MALARIAL PARASITES
Dr. Suprakash Das
Assist. Prof.
1
2
General Characteristics & Classification
The Apical complex consists of
Polar rings,
Rhoptries,
Micronemes,
Mitochondria,
Microtubules and
Micropores.
It is visible only by EM.
3
Apicomplexa
4
Malarial Parasites of Medical Importance
 Plasmodium falciparum
Plasmodium vivax
Plasmodium ovale
Plasmodium malariae
Plasmodium knowlesi
5
Characteristics of the Family-
PLASMODIIDEA
 Development of Micro- and Macro- gametes takes place
independently
 Each microgamont produces eight microgametes
 Zygotes are motile
 Sporozoites are naked with a 3 layered wall
 Merogony and Sporogony takes place in Vertebrate hosts and
Insect hosts respectively
 Parasites are transmitted by Insect hosts.
6
7
Timeline of Malaria
First
Reference
• Early Hindu and Chinese writings
Early 17th
• The bark of Cinchona was successfully used to treat the
disease
1880
• Charles Louise Alphonse Leveran , a French army
surgeon- Discovered malarial parasite( Exoflagellated
gametocytes) in an unstained preparation of fresh blood.
8
Timeline of Malaria
1883
• Methylene Blue was used by Marchiafava
for staining malarial parasites
1885
• Golgi demonstated the multiplication of
asexual blood forms
1891
• Romanowsky Polychrome stain was
introduced for staining malarial parasites.
9
Timeline of Malaria
1898
• Ross demonstrated developing Plasmodia in the
stomach of mosquito. Later he discovered the life cycle
of malarial parasites in mosquito. Noble- 1902
1900
• Patrick Manson- supports the Ross observations
1948
• Shortt & Granham- Exo-erythrocytic development in
Liver
10
Timeline of Malaria
1955
• WHO launched worldwide Malaria
Eradication Programme
1976
• Continuous P. falciparum culture was
establishes using RPMI 1640 medium.
11
12
IDENTIFY THEM?
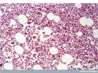
Plasmodium falciparum-LIFE CYCLE
Malarial parasites shows alteration of
generation with alteration of hosts in Human
(INTERMEDIATE HOST) and in Mosquitos
(DEFINITE HOST ).
HUMAN CYCLE
Human is the intermediate host.
Parasite reproduce by ASEXUAL METHOD
(SCHIZOGONY)
13
Plasmodium falciparum-LIFE CYCLE
Human cycle begins with a bite of Infected
Female Anopheles mosquito/ Transfusion of
Infected blood
(Except-> Transfusion malaria and Congenital
malaria)
There are 2 stages in the Human cycle
1] Exo-erythrocytic (EE) schizogony in the Liver
2] Erythrocytic schizogony in the RBCs.
14
Exo-erythrocytic Schizogony
 Mosquito during biting inject SPOROZOITES along with
saliva into the small blood vessels.
 Motile sporozoites are carried to the LIVER by the blood
stream (30 mins)
 The surface of the sporozoites is covered by a protein k/a
Circumsporozoite protein (CSP) which has a ligand for
receptor in the hepatocyte cell membrane.
 Within the hepatocytes, the sporozoites undergo a stage of
ASEXUAL REPRODUCTION k/a- Primary EE
schizogony (PE)
15
Exo-erythrocytic Schizogony
 During this cycle, the sporozoites are transformed into
TROPHOZOITES. (Organelles of the Apical complex
disappear and growing trophozoites feed on host cell
cytoplasm)
 Mature trophozoites begin schizogony-> numerous
daughter nuclei are first produced subsequently leading
to the development of Multinucleate Liver Stage
Schizonts ( EE Schizont)
 Mature EE Schizonts are Spherical, 60µm in diameter,
contain 2000- 50,000 uninuclate MEROZOITES
16
Exo-erythrocytic Schizogony
 Finally mature EE schizonts and enlarged liver cells
ruptures releasing thousands of merozoites into the
blood straem.
 In P. falciparum only a single cycle of Primary EE
schizogony takes place. It is completed in 6 days.
 The secondary schizogony which occur in P. vivax and
ovale is absent in falciparum and no HYPNOZOITES
(the stage responsible for Relapse ) are produced in
falciparum infection.
17
Exo-erythrocytic Schizogony
Once the merozoites enter the erythrocytes ,
they never reinvade the liver.
So EE forms are absent in Transfusion
malaria.
There may be recrudescence of fever even
after remission due to persistence of small
number of infected RBCs.
18
19
20
21
erythrocytic Schizogony
This begins with the attachment and invasion of
erythrocytes with blood stream merozoites.
The merozoites became attach to the
GLYCOPHORINS( the major surface
glycoproteins of RBCs) and other Sialoproteins
on the RBC membr.
The Erythrocytes of Any Age & Reticulocytes
are infected.
22
erythrocytic Schizogony
During invasion the apical end of the merozoites
first come in contact with the erythrocytes.
Then the merozoite lies within an
Intraerythrocytic Parasitophorus vacuole
formed by erythrocyte plasma membrane.
The nature of Haemoglobin and RBC enzymes
influence the development of merozoites inside
the RBC ….. Feotal Hb & HbS inhibit the
development.
23
erythrocytic Schizogony
 Inside the RBCs, the Merozoite develop into Young
TROPHOZOITES or, RING FORMS.
 These feed on Hb by ingesting the RBC cytoplasm.
 HAEMAZOIN (Malarial pigment) A compound of
Haematin and Ferric acid , is produced as an end product of
haemoglobin break down.
 The trophozoites multiply by division of nucleus by mitosis
followed by division of cytoplasm , to become MATURE
SCHIZONTS.
24
erythrocytic Schizogony
A mature ERYTHROCYTIC SCHIZONT is
asymmetrical and contains 8-32 MEROZOITES
& Haemazoin.
Rupture of schizont releases merozoites into
circulation. These merozoites within seconds
attach and penetrate new RBCs.
The process of intracellular maturation leading to
the development of Schizont and subsequent
rupture is k/a- SCHIZOGONY.
25
erythrocytic Schizogony
In P. falciparum, the erythrocytic schizogony is
completed within 48 hrs.
 It always takes place in capillaries and vascular
beds of internal organs.
Therefore, in P. falciparum infection,
SCHIZONTS & MEROZOITES are usually
not demonstrated in the peripheral blood
circulation.
26
Gemetocytogenesis
 After 2-3 erythrocytic cycles, some of the merozoites
invade the new erythrocytes and instead of developing into
schizonts, they develop into
 MALE MICROGAMETOCYTES AND
 FEMALE MACROGAMETOCYTES.
 These gametocytes develop in the RBC of the BONE
MARROW AND SPLEEN.
 The early gametocytes are of irregular shape but finally they
become CRSCENT- Shaped, a distinctive feature of P.
falciparum.
27
Gemetocytogenesis
The haemazoin granules of gametocytes of P.
falciparum is found in central part of
cytoplasm surrounding the nucleus of micro-
& macrogamets.
In P. vivax, heamazoin pigments are
distributed throughout the cytoplasm.
In PBS , only mature gametocytes are
found.
Gametocytogenesis completes in 96 hrs.
28
29
30
31
32
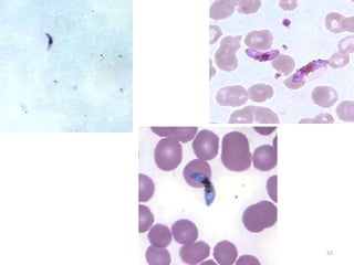
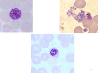
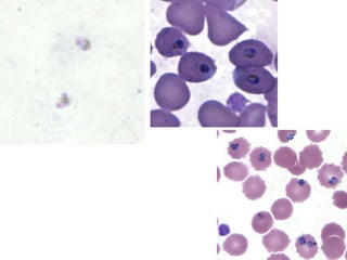
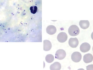
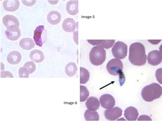
Diagnostic forms of P. falciparum
33
STUDENTS ARE REQUESTED TO
IDENTIFY THESE FORMS AS AN EXERCISE…!!
34
Image-1
Image-2
35
Image-3
Image-4
36
Image-5
Image-6
37
Mosquito Cycle- SPOROGONY
Sporogony, sexual cycle of parasite takes place in
Female Anopheline Mosquito- Definitive Host.
It begins with the ingestion of gametocytes by
female mosquito during a blood meal.
In the stomach of the mosquito the male
gametocytes divides rapidly through a process of
transformation k/a- Exflagellation.
38
Mosquito Cycle- SPOROGONY
In exflagellation, the microgametocytes first
become extracellular and
Then within 10-12 mins, it’s nucleus dividing
repeatedly to form 6-8 daughter nuclei.
Each nucleus is surrounded by a developing
Axoneme.
Subsequently , the outer membrane of the
microgamatocyte ruptures releasing 6-8 daughter
nuclei, associated with Axoneme bud, each of
which becomes Microgametes.
39
Mosquito Cycle- SPOROGONY
The microgametes are sperm like organisms,
highly motile with single flagellum.
Female Macrogametocytes do not show any
process of flagellation but mature by simple
process of nuclear reduction and extension of
Polar bodies.
A single macrogamatocyte gives rise to only
one Macrogamete.
40
41
42
Mosquito Cycle- SPOROGONY
The male gamate fertilizes the female gamate and
the Zygote is produced within 20-120 minutes of
blood meal.
The zygote lengthens(slender) and develop into a
motile Ookinete.
It measures 11-13 × 2.5 µm and penetrates the gut
wall of stomach where it secrets a thin wall and
grows into a spherical structure- Oocyst (6- 12
µm).
43
Mosquito Cycle- SPOROGONY
Oocyst contains a number of haploid nucleated
masses called SPOROBLASTS and the cytoplasm.
The sporoblasts then divide repeatedly to form
thousands of Sporpzoites, which are Raleased by
rupture of Oocyst into the Heamocele , from
there they migrate to the Salivary glands.
Sporozoites are infectious for human and the
process of formation of sporozoites are called
SPOROGONY which completes in 9-10 days.
44
45
Diagnostic forms in Human
RING Form – this is the Young Trophozoite
and found inside an RBC.
 it’s morphology resembles a Ring like
structure
The ring shaped parasite cytoplasm
surrounding a central vacuole stain blue
The nucleus (Chromatin dot) stain red.
46
47
Diagnostic forms in Human
 TROPHOZOITES- they are vacuolated, more or less
amoeboid, uninucleate.
 thin ring of cytoplasm and darkish stained nucleus.
 In heavy infection, the growing forms assume a compact
form
 A single large mass of Pigment (Heamazoin) is present.
 In falciparum malaria both early and late trophozoites
are rarely seen in peripheral blood.
48
49
Diagnostic forms in Human
 ERYTHROCYTIC SCHIZONTS – they are asexual and
dividing forms of the parasite.
 They occupy 2/3 of the infected RBCs.
 They contain 2-3 merozoites and dark stained pigments.
 Mature Schizonts contain 10-36 merozoites which are
arranged in grape like clusters.
 Schizonts are very rarely seen and indicates severe
infection.
50
51
Diagnostic forms in Human
GAMETOCYTES – They are sexual and
erythrocytic stages of the parasite and
Infectious for mosquitoes.
 they are crescent/ banana shaped with round
or pointed ends.
Mature gamatocytes are 1 and ½ times larger
than the RBC
Gamatocytes are 2 types- Microgamatocyte
(Male) and Macrogamatocyte (female)
52
53
54
55
56
Pathogenesis and Pathology
P .falciparum is the most pathogenic malaria spp.
It is protected from Immune system as most of it’s
life cycle is inside Liver cells and RBCs ,invisible
from immune surveillance.
Infected RBCs are destroyed in the spleen.
The clinical symptoms of malaria is caused by the
asexual intra-erythrocytic stage of the parasite.
57
Pathogenesis and Pathology
The disease process in malaria is due to-
Local & systemic response to Host and Parasite
antigens.
Tissue hypoxia caused by sequestration of
parasites.
Anemia caused by destruction of large number of
RBCs.
58
Virulence factors
High level parasitaemia- Parasite density
exceeds > 250,000 – 300,000/ml of blood.
Nearly 30-40% of total body RBCs are
parasitised.
Erythrocytes of all ages are invaded.
A level of 25% parasitaemia is usually fatal.
59
Virulence factors
 Sequestration of the parasite- It means a condition of
holding back the mature parasites in the vital organs.
 This phenomenon is shown exclusively by P.
falciparum and is due to it’s ability of cytoadherence.
 Inside RBCs , the P. falciparum merozoites produce a
protein within the RBC surface membrane in the form
of a deformation called KNOBS.
 These Knobs produce High molecular weight adhesive
proteins resulting in RBCs to stick to walls of small
blood vessels.
60
Virulence factors
This causes sequestration of parasites in general
circulation and spleen.
Attachment of these infected RBCs in endothelial
venule in large amount causes blockage of vessels
in the Brain, Kidneys, spleen and lungs.
Gametocyte infected RBCs don’t have any knob-
> don’t stick to vessels-> don’t sequestrate and
seen in PBS.
61
Virulence factors
 Pf erythrocyte membrane protein 1 ( PfEMP1) are
exposed to the immune system but
 don’t act as a good immune target due to it’s extreme
diversity and switching of parasites between a broad
repertoire of PfEMP1 surface proteins.
 CYTOKINES- Pf produces a number of cytokines
such as IL-1, TNF, INF-γ.
 These cytokines act on various receptors on endothelial
cells on small capillaries and post capillary venules->
End organ ds. of Kidney, Lungs and Brain.
62
63
64
65
66
Pathological changes in various organs
 In malaria , typical pathological changes are seen
primarily in the Spleen, Liver, Bone marrow, Lungs,
Kidney and Brain.
 Effected organs shows the following features-
 Pigments are present in various organs- Characteristic
Slate-grey/ Black appearance
 The cells of the RE system shows hyperplasia
67
Pathological changes in various organs
Free pigments , free plasmodia, and infected
erythrocytes are present within the capillaries
of these organs.
The capillaries also have Macrophages with
infected RBCs and segmented plasmodia.
Sometimes, thrombi caused by aggregation of
pigments can be seen in capillaries.
68
Pathological changes in various organs
SPLEEN- Markedly enlarged,
 In Acute infection- its soft, and moderately enlarged,
and spleenic substance is congested / heamorrhagic.
 In chronic infection- Spleen is usually greyish or dark
brown or even black and is k/a- Ague Cake.
 Histologically- (Acute) Marked congestion and
hypertrophy and phagocytic activity of RE cells and
Macrophages.
69
Pathological changes in various organs
Capillaries are filled with Parasite infected
RBCs
Chronic – Spleen cells are filled with brown
black pigments- Haemazoin
 Leucocyte and RBC debris are seen.
70
71
Pathological changes in various organs
At the top of this picture are the spleen (left) and
liver (right) from an autopsy of a child.
They show a normal spleen and liver
appearance.
At the bottom of the picture are the spleen and
liver from the autopsy of a child who died of
malaria, which are a darker colour than the
normal organs.
The dark colour comes from extreme congestion
and heavy deposition of haemozoin.
72
Genus: Plasmodium | Species: falciparum | Stage: Malaria pigment
| Tissue: Human spleen | Stain: Haematoxylin eosin
| Imaging: Brightfield
73
Pathological changes in various organs
LIVER –
Acute- Moderately Enlarged, congested,
Chronic- Enlarged, Pigmented and firm
Hyperplasia of Kupffer cells and their
cytoplasms filled with parasites, malarial
pigment and cellular debris.
 Pigments are found in Parenchymal cells.
74
Pathological changes in various organs
Bone marrow
 Acute- Red & Hyperplastic
Chronic- Pale, RE Cells hyperplasia
Capillaries are filled with infected RBCs
KIDNEYS
 Enlarged & congested
Glomeruli- Malarial pigments
Tubules- Haemoglobin casts
75
76
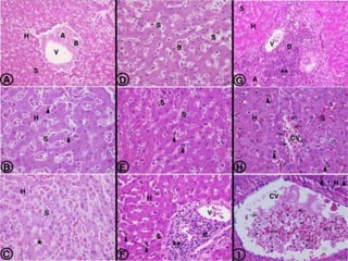
Pathological changes in various organs
 Histopathological changes of liver tissue
 H– hepatocytes,
 A- hepatic artery,
 V- hepatic vein,
 B- bile duct,
 S- sinusoidal area,
 CV- central vein,
 Arrowheads- Kupffer cells,
 Star- fatty change,
 Asterisks- inflammatory cells,
 Arrows- PRBCs.
77
78
Pathological changes in various organs
• Acute falciparum malaria: histopathology of the
kidney
• This is a medium power view of a section of
kidney from a child with falciparum malaria.
It shows mild hyperplasia of the mesangium
and
small flecks of brown pigment (haemozoin) in
mesangial cells.
The adjacent tubules are normal. (H&E stain)
79
80
Pathological changes in various organs
This is a medium power microscopic view of a
bone marrow specimen from a patient with
falciparum malaria.
It shows active haemopoietic tissue, with
deposits of brown haemozoin.
This marrow is hyperplastic, ie. the marrow
occupies more than 50% of the total
volume. (H&E stain).
81
Pathological changes in various organs
LUNGS
 The lungs are pigmented and show haemorrhagic patches.
 Pigments, pigmented leucocytes, phagocytes and infected RBCs are
present in the capillaries.
BRAIN
 Congested, capillaries are plugged with parasitised RBCs, each cell
contains Malarial pigment.
 Small foci of heamorrhages are found in the parenchyma.
 Small foci of inflammatory granuloma- Durck’s Granuloma.
82
83
Pathological changes in various organs
Histopathology of the lung in a fatal case of adult
falciparum malaria
There is expansion of alveolar capillaries by
sequestered parasitized erythrocytes and host
inflammatory leukocytes.
Monocytes and neutrophils within alveolar septal
capillaries contain phagocytosed hemozoin
pigment
(hematoxylin and eosin [H&E] staining,
magnification 3 400,
84
Pathological changes in various organs
HEAMATOLOGICAL CHANGES
Anemia-
 1] Enormous destruction of both Parasitised and non-
parasitised RBCs- Antigenically different Parasitised
RBCs bind with the non-parasitised and form Rossets and
block vanules.
 Non parasitised RBCs are destroyed probably by auto-
immune mechanism.
 2] Decreased erythropoesis in Bone marrow- This is in
part due to TNF Toxicity. In long term infection there may
be Leucopenia & decreased Hb levels
85
Immunity Against Malaria
 Nature of Hemoglobin- Sickle- cell trait (HbS )
Thalassemia trait
Foetal Hb
 G6PD Deficiency
 Humoral- Circulating Abs against asexual forms may
protect against the malarial parasite by-
Inhabiting RBC invasion
Inhibiting grown inside RBC
Sequestration of RBC
 These antibodies results in decreased susceptibility to
malaria and reduce transmission.
86
Immunity Against Malaria
CMI
 Activated Macrophages may phagocytose and
induce extracellular killing of the target cells.
It may be enhanced by Antibodies bound to
the target cell surface.
This natural immunity is supressed in Pregnant
women, children and patients on immuno-
supressed drugs.
87
88
89
Clinical manifestations
 The clinical symptoms can be divided into –
A] Prodromal period
B] Malarial paroxysm
C] Anemia
D] Hepatospleenomegaly.
 Prodromal period- Malarial paroxysm is preceded by a Prodromal
period which varies from a few to several days.
Non-specific symptoms such as
 Malaise,
 Myalgia,
 Headache, and Fatigue are seen.
 Local symptoms like Chest pain, Abdominal pain and Arthralgia
are also found.
90
Clinical manifestations
 Malarial paroxysm- It is the classic manifestation of
Acute malaria characterised by – Fever, Chill & Rigor.
 Malignant Tertian Fever- Key manifestation that
occurs every 48 hours in falciparum malaria.
 Fever is irregular and doesn’t show any periodicity
pattern.
 Ruture of RBCs-> erythrocytic debris-> activation of
Macrophages-> IL-1 & TNFs. -> Fever/ Chill.
91
Clinical manifestations
Anemia- It is haemolytic Normocytic &
Normochromic anemia.
Hepatosplenomegaly- In uncomplicated
malaria there is moderate splenomegaly (4-8
cms ) and tender hepatomegaly.
 Lymphadenopathy don’t occur.
92
Clinical manifestations
 The first symptoms of malaria are nonspecific; the lack of a
sense of well-being, headache, fatigue, abdominal discomfort,
and muscle aches.
 Followed by fever are all similar to the symptoms of a minor
viral illness. In some instances, a prominence of headache, chest
pain, abdominal pain, arthralgia, myalgia, or diarrhea may
suggest another diagnosis.
 Although headache may be severe in malaria, there is no neck
stiffness or photophobia resembling that in meningitis.
 While myalgia may be prominent, it is not usually as severe as
in dengue fever, and the muscles are not tender as in
leptospirosis or typhus.
93
Clinical manifestations
 Nausea, vomiting, and orthostatic hypotension are common.
 The classic malarial paroxysms, in which fever spikes,
chills, and rigors occur at regular intervals, are
relatively unusual and suggest infection with P. vivax or
P. ovale.
 The fever is irregular at first (that of falciparum malaria
may never become regular)
 The temperature of non-immune individuals and children
often rises above 40°C in conjunction with tachycardia and
sometimes delirium.
94
Clinical manifestations
 Although childhood febrile convulsions may occur
with any of the malarias,
 Generalized seizures are specifically associated with
falciparum malaria and may herald the development of
cerebral disease.
 Uncomplicated infections have few abnormal physical
findings other than fever, malaise, mild anemia, and (in
some cases) a palpable spleen.
 Anemia is common among young children living in
areas with stable transmission, particularly where
resistance has compromised the efficacy of antimalarial
drugs.
95
Clinical manifestations
In nonimmune individuals with acute malaria, the
spleen takes several days to become palpable,
Splenic enlargement is found in a high proportion
of otherwise healthy individuals in malaria-
endemic areas and reflects repeated infections.
 Slight enlargement of the liver is also common,
particularly among young children.
Mild jaundice is common among adults;
It may develop in patients with otherwise
uncomplicated falciparum malaria and usually
resolves over 1–3 weeks.
96
97
98
Complications of
Severe Falciparum malaria
 Appropriately and promptly treated, uncomplicated
falciparum malaria (i.e., the patient can swallow medicines
and food) carries a mortality rate of ~0.1%.
 However, once vital-organ dysfunction occurs or the total
proportion of erythrocytes infected increases to >2% (a
level corresponding to >1012 parasites in an adult), mortality
risk rises steeply.
 The condition occurs more frequently in –
 Non-immune persons
 Immuno-suppressed persons
 Pregnant women
 Splenectomy patients.
99
Complications of Severe Falciparum malaria-
BLACKWATER FEVER
 The syndrome is manifestation of repeated infection
from falciparum malaria which was inadequeately
treated with quinine.
 The condition is characterized by Rapid & Massive
Intravascular heamolysis of both infected and non-
infected RBCs.
 It is associated with high levels of Hb and Hb
breakdown products in blood and urine.
100
Complications of Severe Falciparum malaria-
BLACKWATER FEVER
 Clinical features-
 High fever,
 Vomiting,
 Pain in loin,
 Jaundice,
 Heamoglobinaemia,
 Heamoglobinuria,
 Circulatory collapse and renal failure.
 1-2 haemolytic episodes are usually present.
 Cold, abnormal physical activity and Alcohol abuse are precipitating
factors.
 The urine is dark red to brown black in appearance due to presence of
metheamoglobin or oxyheamoglobin.
 Protein, epithelial cells and casts are present in the urine.
101
Complications of Severe Falciparum malaria-
BLACKWATER FEVER
 Acute Renal Failure is the immediate cause of death.
Mortality rate- 20- 50%
 An autoimmune mechanism has been suggested in the
pathogenesis of Black water fever.
 Erythrocytic autoantibodies produced in previous P.
falciparum infections probably combine with the
autoantigens occuring in the newer infections of the
erythrocytes with the same P. falciparum, resulting in
heamolysis.
 The quininised and parasitised RBCs act as autoantigens
against which autoantibodies are produced.
102
Complications of Severe Falciparum
malaria- CEREBRAL MALARIA
 Cerebral malaria is defined as any abnormality of
mental status in a person with malaria.
 It is a diffuse symmetric encephalopathy and is
believe to represent metabolic encephalopathy.
 Coma is a characteristic and ominous feature of
falciparum malaria and, despite treatment, is associated
with death rates of ~20% among adults and 15% among
children
103
Complications of Severe Falciparum
malaria- CEREBRAL MALARIA
Cerebral malaria manifests as diffuse
symmetric encephalopathy;
Focal neurologic signs are unusual.
 Although some passive resistance to head
flexion may be detected, signs of meningeal
irritation are lacking.
The eyes may be divergent and a pout reflex
is common, but other primitive reflexes are
usually absent.
104
Complications of Severe Falciparum
malaria- CEREBRAL MALARIA
The corneal reflexes are preserved, except in
deep coma.
Muscle tone may be either increased or
decreased.
The tendon reflexes are variable, and the
plantar reflexes may be flexor or extensor;
The abdominal and cremasteric reflexes are
absent.
Flexor or extensor posturing may be seen.
105
Complications of Severe Falciparum
malaria
 Approximately 15% of patients have retinal hemorrhages; with
pupillary dilatation and indirect ophthalmoscopy, this figure
increases to 30–40%.
 Other funduscopic abnormalities include discrete spots of retinal
opacification (30–60%),
 Papilledema (8% among children, rare among adults),
 Cotton wool spots (<5%), and
 decolorization of a retinal vessel or segment of vessel
 Below Image- The eye in cerebral malaria: perimacular whitening
and palecentered retinal hemorrhages
106
107
Complications of Severe Falciparum
malaria
 Convulsions, usually generalized and often repeated, occur in up to 50%
of children with cerebral malaria.
 More covert seizure activity is also common, particularly among children,
and may manifest as repetitive tonic-clonic eye movements or even
hypersalivation.
 ~15% of children surviving cerebral malaria—especially those with
hypoglycemia, severe anemia, repeated seizures, and deep coma—have
some residual neurologic deficit when they regain consciousness;
hemiplegia, cerebral palsy, cortical blindness, deafness, and impaired
cognition and learning (all of varying duration) have been reported.
 Approximately 10% of children surviving cerebral malaria have a
persistent language deficit.
108
Complications of Severe Falciparum
malaria
The plugging of capillaries by Rossets of
sequestered parasitised RBCs in the cerebral
microvasculature -> Circulatory stasis and
hypoxia.
The below images shows the autopsy of Brain
from patient died with Cerebral malaria.
109
110
111
Complications of Severe Falciparum
malaria- HYPOGLYCEMIA
 Hypoglycemia, an important and common complication of severe
malaria, is associated with a poor prognosis and is particularly
problematic in children and pregnant women.
 Hypoglycemia in malaria results from a failure of hepatic
gluconeogenesis and an increase in the consumption of glucose by
both host and, to a much lesser extent, the malaria parasites.
 To compound the situation, quinine and quinidine—drugs used
for the treatment of severe chloroquine-resistant malaria—are
powerful stimulants of pancreatic insulin secretion.
 Hyperinsulinemic hypoglycemia is especially troublesome in
pregnant women receiving quinine treatment.
112
Complications of Severe Falciparum
malaria- HYPOGLYCEMIA-
Diagnosis of hypoglycemia is difficult:
The usual physical signs (sweating,
gooseflesh, tachycardia) are absent, and the
Neurologic impairment caused by
hypoglycemia cannot be distinguished from
that caused by malaria.
113
Complications of Severe Falciparum
malaria-ACIDOSIS
 Acidosis, an important cause of death from severe malaria,
results from accumulation of organic acids.
 Hyperlactatemia commonly coexists with hypoglycemia.
 In adults, coexisting renal impairment often compounds
the acidosis; in children, ketoacidosis may also contribute.
 Other still-unidentified organic acids are major contributors
to acidosis.
 Acidotic breathing, sometimes called respiratory distress,
is a sign of poor prognosis.
 It is often followed by circulatory failure refractory to
volume expansion or inotropic drugs and ultimately by
respiratory arrest.
114
Complications of Severe Falciparum
malaria-ACIDOSIS
 The plasma concentrations of bicarbonate or lactate
are the best biochemical prognosticators in severe
malaria.
 Lactic acidosis is caused by the combination of
anaerobic glycolysis in tissues where sequestered
parasites interfere with
 microcirculatory flow,
 hypovolemia,
 lactate production by the parasites, and
 a failure of hepatic and renal lactate clearance.
 The prognosis of severe acidosis is poor.
115
Complications of Severe Falciparum malaria-
Noncardiogenic Pulmonary Edema
 Adults with severe falciparum malaria may develop noncardiogenic
pulmonary edema even after several days of antimalarial therapy.
 The pathogenesis of this variant of the adult respiratory distress
syndrome is unclear. The mortality rate is >80%-> Most serious
complication.
 This condition can be aggravated by overly vigorous
administration of IV fluid.
 Noncardiogenic pulmonary edema can also develop in otherwise
uncomplicated vivax malaria, where recovery is usual.
 Most commonly occur in Pregnant women.
116
Complications of Severe Falciparum
malaria- Renal Impairment
 Renal impairment is common among adults with severe falciparum
malaria but rare among children.
 The pathogenesis of renal failure is unclear but may be related to
erythrocyte sequestration interfering with renal
microcirculatory flow and metabolism.
 Clinically and pathologically, this syndrome manifests as acute
tubular necrosis, although renal cortical necrosis never develops.
 Acute renal failure may occur simultaneously with other vital-organ
dysfunction (in which case the mortality risk is high) or may
progress as other disease manifestations resolve.
117
Complications of Severe Falciparum
malaria- Renal Impairment
In survivors, urine flow resumes in a median
of 4 days, and serum creatinine levels return
to normal in a mean of 17 days.
 Early dialysis or hemofiltration considerably
enhances the likelihood of a patient’s survival,
particularly in acute hypercatabolic renal
failure
118
Complications of Severe Falciparum malaria-Liver
Dysfunction
 Mild hemolytic jaundice is common in malaria. Severe jaundice is
associated with P. falciparum infections; is more common among
adults than among children; and
 Results from hemolysis, hepatocyte injury, and cholestasis. When
accompanied by other vital-organ dysfunction (often renal
impairment),
 Liver dysfunction carries a poor prognosis. Hepatic dysfunction
contributes to hypoglycemia, lactic acidosis,and impaired drug
metabolism.
 Occasional patients with falciparum malaria may develop deep
jaundice (with hemolytic, hepatitic, and cholestatic components)
without evidence of other vital-organ dysfunction.
119
Complications of Severe Falciparum
malaria- Hematologic Abnormalities
 Anemia results from
 Accelerated RBC removal by the spleen,
 Obligatory RBC destruction at parasite schizogony, and
 Ineffective erythropoiesis.
 In severe malaria, both infected and uninfected RBCs show reduced
deformability, which correlates with prognosis and development of
anemia.
 Splenic clearance of all RBCs is increased.
 In nonimmune individuals and in areas with unstable transmission,
anemia can develop rapidly and transfusion is often required.
 As a consequence of repeated malarial infections, children in many
areas of Africa may develop severe anemia resulting from both
shortened RBC survival and marked dyserythropoiesis.
120
Hematologic Abnormalities
Slight coagulation abnormalities are common
in falciparum malaria, and mild
thrombocytopenia is usual.
Of patients with severe malaria, <5% have
significant bleeding with evidence of
disseminated intravascular coagulation.
Hematemesis from stress ulceration or acute
gastric erosions may also occur
121
CHRONIC COMPLICATIONS OF MALARIA-TROPICAL
SPLENOMEGALY (HYPERREACTIVE MALARIAL
SPLENOMEGALY)
 Chronic or repeated malarial infections produce
hypergammaglobulinemia; normochromic, normocytic
anemia; and, in certain situations, splenomegaly.
 Some residents of malaria-endemic areas in tropical Africa
and Asia exhibit an abnormal immunologic response to
repeated infections characterized by
 Massive splenomegaly,
 Hepatomegaly,
 Marked elevations in serum titers of IgM and malarial
antibody,
 Hepatic sinusoidal lymphocytosis, and
 (in Africa) Peripheral B cell lymphocytosis.
122
CHRONIC COMPLICATIONS OF MALARIA-TROPICAL
SPLENOMEGALY (HYPERREACTIVE MALARIAL
SPLENOMEGALY)
This syndrome has been associated with the production
of
 cytotoxic IgM antibodies to CD8+ T lymphocytes,
 antibodies to CD5+ T lymphocytes, and
 an increase in the ratio of CD4+ T cells to CD8+ T
cells.
 These events may lead to uninhibited B cell production
of IgM and the formation of cryoglobulins (IgM
aggregates and immune complexes)
123
CHRONIC COMPLICATIONS OF MALARIA-TROPICAL
SPLENOMEGALY (HYPERREACTIVE MALARIAL
SPLENOMEGALY)
 This immunologic process stimulates
reticuloendothelial hyperplasia and clearance activity
and eventually produces splenomegaly.
 Patients with hyperreactive malarial splenomegaly
(HMS) present with an abdominal mass or a
dragging sensation in the abdomen and occasional
sharp abdominal pains suggesting perisplenitis.
 Anemia and some degree of pancytopenia are
usually evident, and in some cases malarial parasites
cannot be found in peripheral-blood smears
124
CHRONIC COMPLICATIONS OF MALARIA-TROPICAL
SPLENOMEGALY (HYPERREACTIVE MALARIAL
SPLENOMEGALY)
Vulnerability to respiratory and skin
infections is increased; many patients die of
overwhelming sepsis.
Persons with HMS who are living in endemic
areas should receive antimalarial
chemoprophylaxis;
In nonendemic areas, antimalarial treatment is
advised.
125
MALARIA IN PREGNANCY
 In heavily endemic (hyper- and holoendemic) areas,
falciparum malaria in primi- and secundigravid women is
associated with low birth weight (average reduction, ~170
g)
 consequently increased infant and childhood mortality.
 In general, infected mothers in areas of stable transmission
remain asymptomatic despite intense accumulation of
parasitized erythrocytes in the placental microcirculation.
126
MALARIA IN PREGNANCY
 Maternal HIV infection predisposes pregnant women
to malaria, predisposes their newborns to congenital
malarial infection, and exacerbates the reduction in
birth weight associated with malaria.
 In areas with unstable transmission of malaria,
pregnant women are prone to severe infections and are
particularly vulnerable to high-level parasitemia with
anemia, hypoglycemia, and acute pulmonary edema.
 Fetal distress, premature labor, and stillbirth or low
birth weight are common results.
127
MALARIA IN PREGNANCY
Fetal death is usual in severe malaria.
Congenital malaria occurs in <5% of
newborns whose mothers are infected
Its frequency and the level of parasitemia are
related directly to the parasite density in
maternal blood and in the placenta.
P. vivax malaria in pregnancy is also
associated with a reduction in birth weight
(average, 110 g)
128
MALARIA IN CHILDREN
 Most of the estimated 1–3 million persons who die of falciparum malaria
each year are young African children.
 Convulsions, coma, hypoglycemia, metabolic acidosis, and severe
anemia are relatively common among children with severe malaria,
whereas deep jaundice, acute renal failure, and acute pulmonary edema are
unusual.
 Severely anemic children may present with labored deep breathing, which
in the past has been attributed incorrectly to “anemic congestive cardiac
failure” but in fact is usually caused by metabolic acidosis, often
compounded by hypovolemia.
 Evidence is accruing that severe malaria can result in longterm
neurocognitive and developmental deficits. In general, children tolerate
antimalarial drugs well and respond rapidly to treatment.
129
TRANSFUSION MALARIA
 Malaria can be transmitted by blood transfusion,
needlestick injury, sharing of needles by infected
injection drug users, or organ transplantation.
 The incubation period in these settings is often short
because there is no pre-erythrocytic stage of development.
 The clinical features and management of these cases are the
same as for naturally acquired infections.
 Radical chemotherapy with primaquine is unnecessary for
transfusion-transmitted P. vivax and P. ovale infections.
130
Mosquito borne Vs.
Transfusion Malaria
Feature Mosquito borne Transfusion
Infective stage Sporozoite Trophozoite
Incubation period Long Short
PE Schizogony Present Absent
EE Schizogony May be present Absent
Relapse May occur Don’t
T/t Radical cure not possible Radical cure possible
131
Recurrence of Clinical malaria
 Recurrence of clinical malaria after treatment may occur
due to 3 reasons-
1] True relapse: It is caused by Hypnozoites in P. vivax & P.
ovale.
 It is due to re-emrgence of blood stage parasites from latent
parasites(Hypnozoites) in liver.
 Since no Hypnozoites in P. falciparum No true relapse.
2] Recrudescence- It is seen falciparum malaria d/t
inadequate t/t and seen in – Drug resistance, Immuno-
suppression & pregnancy.
132
Recurrence of Clinical malaria
3] Latent malaria- This condition refers to a
state of asymptomatic malaria harbouring
plasmodia gametocytes in the peripheral blood.
These persons are infectious to mosquitoes and
act as Reservoirs .
133
134
EPIDEMIOLOGY
 Malaria occurs throughout most of the tropical regions of
the world.
 P. falciparum predominates in Africa, New Guinea, and
Haiti;
 P. vivax is more common in Central America.
 The prevalence of these two species is approximately equal
in South America, the Indian subcontinent, eastern Asia, and
Oceania.
 P. malariae is found in most endemic areas, especially
throughout sub-Saharan Africa, but is much less common.
 P. ovale is relatively unusual outside of Africa and, where it
is found, comprises <1% of isolates.
135
EPIDEMIOLOGY
• Endemicity traditionally has been defined in terms of parasitemia
rates or palpable-spleen rates in children 2–9 years of age as
 hypoendemic (<10%), mesoendemic (11–50%), hyperendemic
(51–75%), and holoendemic (>75%)
 In holo- and hyperendemic areas (e.g., certain regions of tropical
Africa or coastal New Guinea) where there is intense P. falciparum
transmission, people may sustain more than one infectious mosquito
bite per day and are infected repeatedly throughout their lives.
 In such settings, rates of morbidity and mortality due to malaria are
considerable during childhood.
136
EPIDEMIOLOGY
 Constant, frequent, year-round infection is termed stable
transmission.
 In areas where transmission is low, erratic, or focal, full protective
immunity is not acquired, and symptomatic disease may occur at all
ages.
 This situation usually exists in hypoendemic areas and is termed
unstable transmission.
 Malaria behaves like an epidemic disease in some areas, particularly
those with unstable malaria, such as northern India, Sri Lanka,
Southeast Asia, Ethiopia, Eritrea,Rwanda, Burundi, Southern
Africa, and Madagascar
137
EPIDEMIOLOGY
An epidemic can develop when there are changes
in environmental, economic, or social conditions,
 such as heavy rains following drought or
migrations (usually of refugees or workers) from
a non-malarious region to an area of high
transmission;
a breakdown in malaria control and prevention
services can intensify epidemic conditions.
This situation usually results in considerable
mortality among all age groups.
138
EPIDEMIOLOGY
 The principal determinants of the epidemiology of malaria are the
number (density), the human-biting habits, and the longevity of the
anopheline mosquito vectors.
 More specifically, the transmission of malaria is directly proportional
to the density of the vector, the square of the number of human bites
per day per mosquito, and the tenth power of the probability of the
mosquito’s surviving for 1 day.
 Mosquito longevity is particularly important, because the portion of the
parasite’s life cycle that takes place within the mosquito— from
gametocyte ingestion to subsequent inoculation (sporogony)—lasts 8–30
days,
 depending on ambient temperature; thus, to transmit malaria, the
mosquito must survive for >7 days.
139
140
141
DIAGNOSIS-Demonstration of Parasites- Light
Microscopy
 The diagnosis of malaria rests on the demonstration of asexual
forms of the parasite in stained peripheral-blood smears. It is the
Gold standard for confirmation of malaria.
 After a negative blood smear, repeat smears should be made if there
is a high degree of suspicion.
 Of the Romanowsky stains, Giemsa at pH 7.2 is preferred;
Wright’s, Field’s, or Leishman’s stain or, JSB stain can also be
used.
 Both thin and and thick blood smears should be examined. The
thin blood smear should be rapidly air-dried, fixed in anhydrous
methanol, and stained; the RBCs in the tail of the film should then
be examined under oil immersion (×1000 magnification).
 The level of parasitemia is expressed as the number of parasitized
erythrocytes per 1000 RBCs.
142
DIAGNOSIS-Demonstration of Parasites- Light
Microscopy
 The thick blood film should be of uneven thickness. The smear should be
dried thoroughly and stained without fixing. As many layers of erythrocytes
overlie one another and are lysed during the staining procedure,
 The thick film has the advantage of concentrating the parasites (by 40- to
100-fold compared with a thin blood film) and thus increasing diagnostic
sensitivity.
 Both parasites and white blood cells (WBCs) are counted, and the number
of parasites per unit volume is calculated from the total leukocyte
count. Alternatively, a WBC count of 8000/μL is assumed. A minimum
of 200 WBCs should be counted under oil immersion.
 This figure is converted to the number of parasitized erythrocytes per
microliter-> Quantitative test-> Prognostic value.
143
DIAGNOSIS-Demonstration of Parasites-
Light Microscopy
Before a thick smear is judged to be negative,
100–200 fields should be examined under oil
immersion.
The presence of only malarial pigments in the
absence of Malarial parasites suggests recent P.
falciparum infection.
Disadvange of thick smear is that Plasmodial
spp. cant be identified.
144
DIAGNOSIS-
Preparation of thick blood smears
 Prepare at least 2 smears per patient.
 Place a small drop of blood in the center of the pre-cleaned,
labeled slide.
 Using the corner of another slide or an applicator stick,
spread the drop in a circular pattern until it is the size of a
dime (1.5 cm2).
 A thick smear of proper density is one which, if placed
(wet) over newsprint, allows you to barely read the words.
 Lay the slides flat and allow the smears to dry thoroughly
(protect from dust and insects!).
 Insufficiently dried smears (and/or smears that are too
thick) can detach from the slides during staining.
145
DIAGNOSIS-
Preparation of thick blood smears
 The risk is increased in smears made with
anticoagulated blood.
 At room temperature, drying can take several hours; 30
minutes is the minimum; in the latter case, handle the
smear very delicately during staining.
 Drying can be accelarated by using a fan or hair dryer
(use cool setting). Protect thick smears from hot
environments to prevent heat-fixing the smear.
 Do not fix thick smears with methanol or heat. If there
will be a delay in staining smears, dip the thick smear
briefly in water to hemolyse the RBCs.
146
DIAGNOSIS-
Preparation of thin blood smears
 Thin smears consist of blood spread in a layer such that the thickness decreases
progressively toward the feathered edge. In the feathered edge, the cells should be
in a monolayer, not touching one another.
 Prepare at least 2 smears per patient!
 A thin smear being prepared.
 Place a small drop of blood on the pre-cleaned, labeled slide, near its frosted end.
 Bring another slide at a 30-45° angle up to the drop, allowing the drop to spread
along the contact line of the 2 slides.
 Quickly push the upper (spreader) slide toward the unfrosted end of the lower slide.
 Make sure that the smears have a good feathered edge. This is achieved by using
the correct amount of blood and spreading technique.
 Allow the thin smears to dry. (They dry much faster than the thick smears, and are
less subject to detachment because they will be fixed.)
 Fix the smears by dipping them in absolute methanol.
 https://www.youtube.com/watch?v=WPP7AjmStBg
147
148
149
150
151
152
153
154
DIAGNOSIS- Quantitative Buffy Coat
(QBC)
 This is a sensitive microscopic test based on the ability of Acridin
Orange to stain the nucleic acid contained parasites.
 In this method, blood is collected in a capillary tube coated with
fluorescence dye and subjected to microheamatocrit
centrifugation in a special centrifugation apparatus.
 After centrifugation, the buffy coat in the centrifused capillary
tube is examined directly under a fluorescence microscope.
 Dye stained malarial parasites appear bright green. It can detect
parasite count as low as 3-4 parasites/ µL.
 The disadvantage is inability to identify parasite spp.
155
156
157
158
159
DIAGNOSIS- Fluorescence Microscopy
 Kawamoto technique is a fluorescent-
staining method for demonstrating the malarial
parasite.
 the blood smears are prepared in a slide and is
stained with Acrydine organge.
 this results in differential staining of Malarial
parasite- Nuclear DNA- Stained GREEN,
Cytoplasmic RNA- Stained RED
160
DIAGNOSIS- SERODIAGNOSIS
 Serological tests are used for
Identify infected donors in case of Transfusion malaria
Confirm past malaria in patients.
Epidemiological survey
 Indirect heamaglutination (IHA), Indirect Fluorescence
antibody (IFA) & ELISA are most frequently used test to
detect malarial antibody in serum.
 ELISA –Inhibition Test is a recent method to detect
malarial antigen in serum.
161
DIAGNOSIS-
Immunochromatographic tests-
 They are used for Malarial Antigen detection from blood
or urine aka- Malarial rapid diagnostic tests, Antigen
capture assay or Dipstics.
 The ICTs are monoclonal antibody based assays to detect
 Plasmodium falciparum histidine-rich protein-2,
 Parasite lactose dehydrogenase or Plasmodium aldolase.
 PfHRP-2 persists in blood for few months so can’t be used
to predict t/t failure.
 100 parasites/ µL density is required for the test .
162
163
164
DIAGNOSIS- Molecular diagnosis
 DNA and RNA probes are highly sensitive and specific molecular
methods for d/g of falciparum malaria.
 DNA probes can detect <10 parasites/ µL of blood.
 PCR including real time assay like QT-NASBA (quantitative
nucleic acid sequence-based amplification) can detect parasite as
low as 1 parasite in 20 µL of blood using PBRK1 primer> 100
times more sensitive than Thick smear.
 PCR can detect parasites in dry blood spots and drug resistance
malaria.
165
166
167
Treatment of Malaria
168
169
Treatment of Malaria
170
171
THANKS FOR YOUR
ATTENTION
172

Malaria

  • 1.
  • 2.
  • 3.
    General Characteristics &Classification The Apical complex consists of Polar rings, Rhoptries, Micronemes, Mitochondria, Microtubules and Micropores. It is visible only by EM. 3
  • 4.
  • 5.
    Malarial Parasites ofMedical Importance  Plasmodium falciparum Plasmodium vivax Plasmodium ovale Plasmodium malariae Plasmodium knowlesi 5
  • 6.
    Characteristics of theFamily- PLASMODIIDEA  Development of Micro- and Macro- gametes takes place independently  Each microgamont produces eight microgametes  Zygotes are motile  Sporozoites are naked with a 3 layered wall  Merogony and Sporogony takes place in Vertebrate hosts and Insect hosts respectively  Parasites are transmitted by Insect hosts. 6
  • 7.
  • 8.
    Timeline of Malaria First Reference •Early Hindu and Chinese writings Early 17th • The bark of Cinchona was successfully used to treat the disease 1880 • Charles Louise Alphonse Leveran , a French army surgeon- Discovered malarial parasite( Exoflagellated gametocytes) in an unstained preparation of fresh blood. 8
  • 9.
    Timeline of Malaria 1883 •Methylene Blue was used by Marchiafava for staining malarial parasites 1885 • Golgi demonstated the multiplication of asexual blood forms 1891 • Romanowsky Polychrome stain was introduced for staining malarial parasites. 9
  • 10.
    Timeline of Malaria 1898 •Ross demonstrated developing Plasmodia in the stomach of mosquito. Later he discovered the life cycle of malarial parasites in mosquito. Noble- 1902 1900 • Patrick Manson- supports the Ross observations 1948 • Shortt & Granham- Exo-erythrocytic development in Liver 10
  • 11.
    Timeline of Malaria 1955 •WHO launched worldwide Malaria Eradication Programme 1976 • Continuous P. falciparum culture was establishes using RPMI 1640 medium. 11
  • 12.
  • 13.
    Plasmodium falciparum-LIFE CYCLE Malarialparasites shows alteration of generation with alteration of hosts in Human (INTERMEDIATE HOST) and in Mosquitos (DEFINITE HOST ). HUMAN CYCLE Human is the intermediate host. Parasite reproduce by ASEXUAL METHOD (SCHIZOGONY) 13
  • 14.
    Plasmodium falciparum-LIFE CYCLE Humancycle begins with a bite of Infected Female Anopheles mosquito/ Transfusion of Infected blood (Except-> Transfusion malaria and Congenital malaria) There are 2 stages in the Human cycle 1] Exo-erythrocytic (EE) schizogony in the Liver 2] Erythrocytic schizogony in the RBCs. 14
  • 15.
    Exo-erythrocytic Schizogony  Mosquitoduring biting inject SPOROZOITES along with saliva into the small blood vessels.  Motile sporozoites are carried to the LIVER by the blood stream (30 mins)  The surface of the sporozoites is covered by a protein k/a Circumsporozoite protein (CSP) which has a ligand for receptor in the hepatocyte cell membrane.  Within the hepatocytes, the sporozoites undergo a stage of ASEXUAL REPRODUCTION k/a- Primary EE schizogony (PE) 15
  • 16.
    Exo-erythrocytic Schizogony  Duringthis cycle, the sporozoites are transformed into TROPHOZOITES. (Organelles of the Apical complex disappear and growing trophozoites feed on host cell cytoplasm)  Mature trophozoites begin schizogony-> numerous daughter nuclei are first produced subsequently leading to the development of Multinucleate Liver Stage Schizonts ( EE Schizont)  Mature EE Schizonts are Spherical, 60µm in diameter, contain 2000- 50,000 uninuclate MEROZOITES 16
  • 17.
    Exo-erythrocytic Schizogony  Finallymature EE schizonts and enlarged liver cells ruptures releasing thousands of merozoites into the blood straem.  In P. falciparum only a single cycle of Primary EE schizogony takes place. It is completed in 6 days.  The secondary schizogony which occur in P. vivax and ovale is absent in falciparum and no HYPNOZOITES (the stage responsible for Relapse ) are produced in falciparum infection. 17
  • 18.
    Exo-erythrocytic Schizogony Once themerozoites enter the erythrocytes , they never reinvade the liver. So EE forms are absent in Transfusion malaria. There may be recrudescence of fever even after remission due to persistence of small number of infected RBCs. 18
  • 19.
  • 20.
  • 21.
  • 22.
    erythrocytic Schizogony This beginswith the attachment and invasion of erythrocytes with blood stream merozoites. The merozoites became attach to the GLYCOPHORINS( the major surface glycoproteins of RBCs) and other Sialoproteins on the RBC membr. The Erythrocytes of Any Age & Reticulocytes are infected. 22
  • 23.
    erythrocytic Schizogony During invasionthe apical end of the merozoites first come in contact with the erythrocytes. Then the merozoite lies within an Intraerythrocytic Parasitophorus vacuole formed by erythrocyte plasma membrane. The nature of Haemoglobin and RBC enzymes influence the development of merozoites inside the RBC ….. Feotal Hb & HbS inhibit the development. 23
  • 24.
    erythrocytic Schizogony  Insidethe RBCs, the Merozoite develop into Young TROPHOZOITES or, RING FORMS.  These feed on Hb by ingesting the RBC cytoplasm.  HAEMAZOIN (Malarial pigment) A compound of Haematin and Ferric acid , is produced as an end product of haemoglobin break down.  The trophozoites multiply by division of nucleus by mitosis followed by division of cytoplasm , to become MATURE SCHIZONTS. 24
  • 25.
    erythrocytic Schizogony A matureERYTHROCYTIC SCHIZONT is asymmetrical and contains 8-32 MEROZOITES & Haemazoin. Rupture of schizont releases merozoites into circulation. These merozoites within seconds attach and penetrate new RBCs. The process of intracellular maturation leading to the development of Schizont and subsequent rupture is k/a- SCHIZOGONY. 25
  • 26.
    erythrocytic Schizogony In P.falciparum, the erythrocytic schizogony is completed within 48 hrs.  It always takes place in capillaries and vascular beds of internal organs. Therefore, in P. falciparum infection, SCHIZONTS & MEROZOITES are usually not demonstrated in the peripheral blood circulation. 26
  • 27.
    Gemetocytogenesis  After 2-3erythrocytic cycles, some of the merozoites invade the new erythrocytes and instead of developing into schizonts, they develop into  MALE MICROGAMETOCYTES AND  FEMALE MACROGAMETOCYTES.  These gametocytes develop in the RBC of the BONE MARROW AND SPLEEN.  The early gametocytes are of irregular shape but finally they become CRSCENT- Shaped, a distinctive feature of P. falciparum. 27
  • 28.
    Gemetocytogenesis The haemazoin granulesof gametocytes of P. falciparum is found in central part of cytoplasm surrounding the nucleus of micro- & macrogamets. In P. vivax, heamazoin pigments are distributed throughout the cytoplasm. In PBS , only mature gametocytes are found. Gametocytogenesis completes in 96 hrs. 28
  • 29.
  • 30.
  • 31.
  • 32.
  • 33.
    Diagnostic forms ofP. falciparum 33 STUDENTS ARE REQUESTED TO IDENTIFY THESE FORMS AS AN EXERCISE…!!
  • 34.
  • 35.
  • 36.
  • 37.
  • 38.
    Mosquito Cycle- SPOROGONY Sporogony,sexual cycle of parasite takes place in Female Anopheline Mosquito- Definitive Host. It begins with the ingestion of gametocytes by female mosquito during a blood meal. In the stomach of the mosquito the male gametocytes divides rapidly through a process of transformation k/a- Exflagellation. 38
  • 39.
    Mosquito Cycle- SPOROGONY Inexflagellation, the microgametocytes first become extracellular and Then within 10-12 mins, it’s nucleus dividing repeatedly to form 6-8 daughter nuclei. Each nucleus is surrounded by a developing Axoneme. Subsequently , the outer membrane of the microgamatocyte ruptures releasing 6-8 daughter nuclei, associated with Axoneme bud, each of which becomes Microgametes. 39
  • 40.
    Mosquito Cycle- SPOROGONY Themicrogametes are sperm like organisms, highly motile with single flagellum. Female Macrogametocytes do not show any process of flagellation but mature by simple process of nuclear reduction and extension of Polar bodies. A single macrogamatocyte gives rise to only one Macrogamete. 40
  • 41.
  • 42.
  • 43.
    Mosquito Cycle- SPOROGONY Themale gamate fertilizes the female gamate and the Zygote is produced within 20-120 minutes of blood meal. The zygote lengthens(slender) and develop into a motile Ookinete. It measures 11-13 × 2.5 µm and penetrates the gut wall of stomach where it secrets a thin wall and grows into a spherical structure- Oocyst (6- 12 µm). 43
  • 44.
    Mosquito Cycle- SPOROGONY Oocystcontains a number of haploid nucleated masses called SPOROBLASTS and the cytoplasm. The sporoblasts then divide repeatedly to form thousands of Sporpzoites, which are Raleased by rupture of Oocyst into the Heamocele , from there they migrate to the Salivary glands. Sporozoites are infectious for human and the process of formation of sporozoites are called SPOROGONY which completes in 9-10 days. 44
  • 45.
  • 46.
    Diagnostic forms inHuman RING Form – this is the Young Trophozoite and found inside an RBC.  it’s morphology resembles a Ring like structure The ring shaped parasite cytoplasm surrounding a central vacuole stain blue The nucleus (Chromatin dot) stain red. 46
  • 47.
  • 48.
    Diagnostic forms inHuman  TROPHOZOITES- they are vacuolated, more or less amoeboid, uninucleate.  thin ring of cytoplasm and darkish stained nucleus.  In heavy infection, the growing forms assume a compact form  A single large mass of Pigment (Heamazoin) is present.  In falciparum malaria both early and late trophozoites are rarely seen in peripheral blood. 48
  • 49.
  • 50.
    Diagnostic forms inHuman  ERYTHROCYTIC SCHIZONTS – they are asexual and dividing forms of the parasite.  They occupy 2/3 of the infected RBCs.  They contain 2-3 merozoites and dark stained pigments.  Mature Schizonts contain 10-36 merozoites which are arranged in grape like clusters.  Schizonts are very rarely seen and indicates severe infection. 50
  • 51.
  • 52.
    Diagnostic forms inHuman GAMETOCYTES – They are sexual and erythrocytic stages of the parasite and Infectious for mosquitoes.  they are crescent/ banana shaped with round or pointed ends. Mature gamatocytes are 1 and ½ times larger than the RBC Gamatocytes are 2 types- Microgamatocyte (Male) and Macrogamatocyte (female) 52
  • 53.
  • 54.
  • 55.
  • 56.
  • 57.
    Pathogenesis and Pathology P.falciparum is the most pathogenic malaria spp. It is protected from Immune system as most of it’s life cycle is inside Liver cells and RBCs ,invisible from immune surveillance. Infected RBCs are destroyed in the spleen. The clinical symptoms of malaria is caused by the asexual intra-erythrocytic stage of the parasite. 57
  • 58.
    Pathogenesis and Pathology Thedisease process in malaria is due to- Local & systemic response to Host and Parasite antigens. Tissue hypoxia caused by sequestration of parasites. Anemia caused by destruction of large number of RBCs. 58
  • 59.
    Virulence factors High levelparasitaemia- Parasite density exceeds > 250,000 – 300,000/ml of blood. Nearly 30-40% of total body RBCs are parasitised. Erythrocytes of all ages are invaded. A level of 25% parasitaemia is usually fatal. 59
  • 60.
    Virulence factors  Sequestrationof the parasite- It means a condition of holding back the mature parasites in the vital organs.  This phenomenon is shown exclusively by P. falciparum and is due to it’s ability of cytoadherence.  Inside RBCs , the P. falciparum merozoites produce a protein within the RBC surface membrane in the form of a deformation called KNOBS.  These Knobs produce High molecular weight adhesive proteins resulting in RBCs to stick to walls of small blood vessels. 60
  • 61.
    Virulence factors This causessequestration of parasites in general circulation and spleen. Attachment of these infected RBCs in endothelial venule in large amount causes blockage of vessels in the Brain, Kidneys, spleen and lungs. Gametocyte infected RBCs don’t have any knob- > don’t stick to vessels-> don’t sequestrate and seen in PBS. 61
  • 62.
    Virulence factors  Pferythrocyte membrane protein 1 ( PfEMP1) are exposed to the immune system but  don’t act as a good immune target due to it’s extreme diversity and switching of parasites between a broad repertoire of PfEMP1 surface proteins.  CYTOKINES- Pf produces a number of cytokines such as IL-1, TNF, INF-γ.  These cytokines act on various receptors on endothelial cells on small capillaries and post capillary venules-> End organ ds. of Kidney, Lungs and Brain. 62
  • 63.
  • 64.
  • 65.
  • 66.
  • 67.
    Pathological changes invarious organs  In malaria , typical pathological changes are seen primarily in the Spleen, Liver, Bone marrow, Lungs, Kidney and Brain.  Effected organs shows the following features-  Pigments are present in various organs- Characteristic Slate-grey/ Black appearance  The cells of the RE system shows hyperplasia 67
  • 68.
    Pathological changes invarious organs Free pigments , free plasmodia, and infected erythrocytes are present within the capillaries of these organs. The capillaries also have Macrophages with infected RBCs and segmented plasmodia. Sometimes, thrombi caused by aggregation of pigments can be seen in capillaries. 68
  • 69.
    Pathological changes invarious organs SPLEEN- Markedly enlarged,  In Acute infection- its soft, and moderately enlarged, and spleenic substance is congested / heamorrhagic.  In chronic infection- Spleen is usually greyish or dark brown or even black and is k/a- Ague Cake.  Histologically- (Acute) Marked congestion and hypertrophy and phagocytic activity of RE cells and Macrophages. 69
  • 70.
    Pathological changes invarious organs Capillaries are filled with Parasite infected RBCs Chronic – Spleen cells are filled with brown black pigments- Haemazoin  Leucocyte and RBC debris are seen. 70
  • 71.
  • 72.
    Pathological changes invarious organs At the top of this picture are the spleen (left) and liver (right) from an autopsy of a child. They show a normal spleen and liver appearance. At the bottom of the picture are the spleen and liver from the autopsy of a child who died of malaria, which are a darker colour than the normal organs. The dark colour comes from extreme congestion and heavy deposition of haemozoin. 72
  • 73.
    Genus: Plasmodium |Species: falciparum | Stage: Malaria pigment | Tissue: Human spleen | Stain: Haematoxylin eosin | Imaging: Brightfield 73
  • 74.
    Pathological changes invarious organs LIVER – Acute- Moderately Enlarged, congested, Chronic- Enlarged, Pigmented and firm Hyperplasia of Kupffer cells and their cytoplasms filled with parasites, malarial pigment and cellular debris.  Pigments are found in Parenchymal cells. 74
  • 75.
    Pathological changes invarious organs Bone marrow  Acute- Red & Hyperplastic Chronic- Pale, RE Cells hyperplasia Capillaries are filled with infected RBCs KIDNEYS  Enlarged & congested Glomeruli- Malarial pigments Tubules- Haemoglobin casts 75
  • 76.
  • 77.
    Pathological changes invarious organs  Histopathological changes of liver tissue  H– hepatocytes,  A- hepatic artery,  V- hepatic vein,  B- bile duct,  S- sinusoidal area,  CV- central vein,  Arrowheads- Kupffer cells,  Star- fatty change,  Asterisks- inflammatory cells,  Arrows- PRBCs. 77
  • 78.
  • 79.
    Pathological changes invarious organs • Acute falciparum malaria: histopathology of the kidney • This is a medium power view of a section of kidney from a child with falciparum malaria. It shows mild hyperplasia of the mesangium and small flecks of brown pigment (haemozoin) in mesangial cells. The adjacent tubules are normal. (H&E stain) 79
  • 80.
  • 81.
    Pathological changes invarious organs This is a medium power microscopic view of a bone marrow specimen from a patient with falciparum malaria. It shows active haemopoietic tissue, with deposits of brown haemozoin. This marrow is hyperplastic, ie. the marrow occupies more than 50% of the total volume. (H&E stain). 81
  • 82.
    Pathological changes invarious organs LUNGS  The lungs are pigmented and show haemorrhagic patches.  Pigments, pigmented leucocytes, phagocytes and infected RBCs are present in the capillaries. BRAIN  Congested, capillaries are plugged with parasitised RBCs, each cell contains Malarial pigment.  Small foci of heamorrhages are found in the parenchyma.  Small foci of inflammatory granuloma- Durck’s Granuloma. 82
  • 83.
  • 84.
    Pathological changes invarious organs Histopathology of the lung in a fatal case of adult falciparum malaria There is expansion of alveolar capillaries by sequestered parasitized erythrocytes and host inflammatory leukocytes. Monocytes and neutrophils within alveolar septal capillaries contain phagocytosed hemozoin pigment (hematoxylin and eosin [H&E] staining, magnification 3 400, 84
  • 85.
    Pathological changes invarious organs HEAMATOLOGICAL CHANGES Anemia-  1] Enormous destruction of both Parasitised and non- parasitised RBCs- Antigenically different Parasitised RBCs bind with the non-parasitised and form Rossets and block vanules.  Non parasitised RBCs are destroyed probably by auto- immune mechanism.  2] Decreased erythropoesis in Bone marrow- This is in part due to TNF Toxicity. In long term infection there may be Leucopenia & decreased Hb levels 85
  • 86.
    Immunity Against Malaria Nature of Hemoglobin- Sickle- cell trait (HbS ) Thalassemia trait Foetal Hb  G6PD Deficiency  Humoral- Circulating Abs against asexual forms may protect against the malarial parasite by- Inhabiting RBC invasion Inhibiting grown inside RBC Sequestration of RBC  These antibodies results in decreased susceptibility to malaria and reduce transmission. 86
  • 87.
    Immunity Against Malaria CMI Activated Macrophages may phagocytose and induce extracellular killing of the target cells. It may be enhanced by Antibodies bound to the target cell surface. This natural immunity is supressed in Pregnant women, children and patients on immuno- supressed drugs. 87
  • 88.
  • 89.
  • 90.
    Clinical manifestations  Theclinical symptoms can be divided into – A] Prodromal period B] Malarial paroxysm C] Anemia D] Hepatospleenomegaly.  Prodromal period- Malarial paroxysm is preceded by a Prodromal period which varies from a few to several days. Non-specific symptoms such as  Malaise,  Myalgia,  Headache, and Fatigue are seen.  Local symptoms like Chest pain, Abdominal pain and Arthralgia are also found. 90
  • 91.
    Clinical manifestations  Malarialparoxysm- It is the classic manifestation of Acute malaria characterised by – Fever, Chill & Rigor.  Malignant Tertian Fever- Key manifestation that occurs every 48 hours in falciparum malaria.  Fever is irregular and doesn’t show any periodicity pattern.  Ruture of RBCs-> erythrocytic debris-> activation of Macrophages-> IL-1 & TNFs. -> Fever/ Chill. 91
  • 92.
    Clinical manifestations Anemia- Itis haemolytic Normocytic & Normochromic anemia. Hepatosplenomegaly- In uncomplicated malaria there is moderate splenomegaly (4-8 cms ) and tender hepatomegaly.  Lymphadenopathy don’t occur. 92
  • 93.
    Clinical manifestations  Thefirst symptoms of malaria are nonspecific; the lack of a sense of well-being, headache, fatigue, abdominal discomfort, and muscle aches.  Followed by fever are all similar to the symptoms of a minor viral illness. In some instances, a prominence of headache, chest pain, abdominal pain, arthralgia, myalgia, or diarrhea may suggest another diagnosis.  Although headache may be severe in malaria, there is no neck stiffness or photophobia resembling that in meningitis.  While myalgia may be prominent, it is not usually as severe as in dengue fever, and the muscles are not tender as in leptospirosis or typhus. 93
  • 94.
    Clinical manifestations  Nausea,vomiting, and orthostatic hypotension are common.  The classic malarial paroxysms, in which fever spikes, chills, and rigors occur at regular intervals, are relatively unusual and suggest infection with P. vivax or P. ovale.  The fever is irregular at first (that of falciparum malaria may never become regular)  The temperature of non-immune individuals and children often rises above 40°C in conjunction with tachycardia and sometimes delirium. 94
  • 95.
    Clinical manifestations  Althoughchildhood febrile convulsions may occur with any of the malarias,  Generalized seizures are specifically associated with falciparum malaria and may herald the development of cerebral disease.  Uncomplicated infections have few abnormal physical findings other than fever, malaise, mild anemia, and (in some cases) a palpable spleen.  Anemia is common among young children living in areas with stable transmission, particularly where resistance has compromised the efficacy of antimalarial drugs. 95
  • 96.
    Clinical manifestations In nonimmuneindividuals with acute malaria, the spleen takes several days to become palpable, Splenic enlargement is found in a high proportion of otherwise healthy individuals in malaria- endemic areas and reflects repeated infections.  Slight enlargement of the liver is also common, particularly among young children. Mild jaundice is common among adults; It may develop in patients with otherwise uncomplicated falciparum malaria and usually resolves over 1–3 weeks. 96
  • 97.
  • 98.
  • 99.
    Complications of Severe Falciparummalaria  Appropriately and promptly treated, uncomplicated falciparum malaria (i.e., the patient can swallow medicines and food) carries a mortality rate of ~0.1%.  However, once vital-organ dysfunction occurs or the total proportion of erythrocytes infected increases to >2% (a level corresponding to >1012 parasites in an adult), mortality risk rises steeply.  The condition occurs more frequently in –  Non-immune persons  Immuno-suppressed persons  Pregnant women  Splenectomy patients. 99
  • 100.
    Complications of SevereFalciparum malaria- BLACKWATER FEVER  The syndrome is manifestation of repeated infection from falciparum malaria which was inadequeately treated with quinine.  The condition is characterized by Rapid & Massive Intravascular heamolysis of both infected and non- infected RBCs.  It is associated with high levels of Hb and Hb breakdown products in blood and urine. 100
  • 101.
    Complications of SevereFalciparum malaria- BLACKWATER FEVER  Clinical features-  High fever,  Vomiting,  Pain in loin,  Jaundice,  Heamoglobinaemia,  Heamoglobinuria,  Circulatory collapse and renal failure.  1-2 haemolytic episodes are usually present.  Cold, abnormal physical activity and Alcohol abuse are precipitating factors.  The urine is dark red to brown black in appearance due to presence of metheamoglobin or oxyheamoglobin.  Protein, epithelial cells and casts are present in the urine. 101
  • 102.
    Complications of SevereFalciparum malaria- BLACKWATER FEVER  Acute Renal Failure is the immediate cause of death. Mortality rate- 20- 50%  An autoimmune mechanism has been suggested in the pathogenesis of Black water fever.  Erythrocytic autoantibodies produced in previous P. falciparum infections probably combine with the autoantigens occuring in the newer infections of the erythrocytes with the same P. falciparum, resulting in heamolysis.  The quininised and parasitised RBCs act as autoantigens against which autoantibodies are produced. 102
  • 103.
    Complications of SevereFalciparum malaria- CEREBRAL MALARIA  Cerebral malaria is defined as any abnormality of mental status in a person with malaria.  It is a diffuse symmetric encephalopathy and is believe to represent metabolic encephalopathy.  Coma is a characteristic and ominous feature of falciparum malaria and, despite treatment, is associated with death rates of ~20% among adults and 15% among children 103
  • 104.
    Complications of SevereFalciparum malaria- CEREBRAL MALARIA Cerebral malaria manifests as diffuse symmetric encephalopathy; Focal neurologic signs are unusual.  Although some passive resistance to head flexion may be detected, signs of meningeal irritation are lacking. The eyes may be divergent and a pout reflex is common, but other primitive reflexes are usually absent. 104
  • 105.
    Complications of SevereFalciparum malaria- CEREBRAL MALARIA The corneal reflexes are preserved, except in deep coma. Muscle tone may be either increased or decreased. The tendon reflexes are variable, and the plantar reflexes may be flexor or extensor; The abdominal and cremasteric reflexes are absent. Flexor or extensor posturing may be seen. 105
  • 106.
    Complications of SevereFalciparum malaria  Approximately 15% of patients have retinal hemorrhages; with pupillary dilatation and indirect ophthalmoscopy, this figure increases to 30–40%.  Other funduscopic abnormalities include discrete spots of retinal opacification (30–60%),  Papilledema (8% among children, rare among adults),  Cotton wool spots (<5%), and  decolorization of a retinal vessel or segment of vessel  Below Image- The eye in cerebral malaria: perimacular whitening and palecentered retinal hemorrhages 106
  • 107.
  • 108.
    Complications of SevereFalciparum malaria  Convulsions, usually generalized and often repeated, occur in up to 50% of children with cerebral malaria.  More covert seizure activity is also common, particularly among children, and may manifest as repetitive tonic-clonic eye movements or even hypersalivation.  ~15% of children surviving cerebral malaria—especially those with hypoglycemia, severe anemia, repeated seizures, and deep coma—have some residual neurologic deficit when they regain consciousness; hemiplegia, cerebral palsy, cortical blindness, deafness, and impaired cognition and learning (all of varying duration) have been reported.  Approximately 10% of children surviving cerebral malaria have a persistent language deficit. 108
  • 109.
    Complications of SevereFalciparum malaria The plugging of capillaries by Rossets of sequestered parasitised RBCs in the cerebral microvasculature -> Circulatory stasis and hypoxia. The below images shows the autopsy of Brain from patient died with Cerebral malaria. 109
  • 110.
  • 111.
  • 112.
    Complications of SevereFalciparum malaria- HYPOGLYCEMIA  Hypoglycemia, an important and common complication of severe malaria, is associated with a poor prognosis and is particularly problematic in children and pregnant women.  Hypoglycemia in malaria results from a failure of hepatic gluconeogenesis and an increase in the consumption of glucose by both host and, to a much lesser extent, the malaria parasites.  To compound the situation, quinine and quinidine—drugs used for the treatment of severe chloroquine-resistant malaria—are powerful stimulants of pancreatic insulin secretion.  Hyperinsulinemic hypoglycemia is especially troublesome in pregnant women receiving quinine treatment. 112
  • 113.
    Complications of SevereFalciparum malaria- HYPOGLYCEMIA- Diagnosis of hypoglycemia is difficult: The usual physical signs (sweating, gooseflesh, tachycardia) are absent, and the Neurologic impairment caused by hypoglycemia cannot be distinguished from that caused by malaria. 113
  • 114.
    Complications of SevereFalciparum malaria-ACIDOSIS  Acidosis, an important cause of death from severe malaria, results from accumulation of organic acids.  Hyperlactatemia commonly coexists with hypoglycemia.  In adults, coexisting renal impairment often compounds the acidosis; in children, ketoacidosis may also contribute.  Other still-unidentified organic acids are major contributors to acidosis.  Acidotic breathing, sometimes called respiratory distress, is a sign of poor prognosis.  It is often followed by circulatory failure refractory to volume expansion or inotropic drugs and ultimately by respiratory arrest. 114
  • 115.
    Complications of SevereFalciparum malaria-ACIDOSIS  The plasma concentrations of bicarbonate or lactate are the best biochemical prognosticators in severe malaria.  Lactic acidosis is caused by the combination of anaerobic glycolysis in tissues where sequestered parasites interfere with  microcirculatory flow,  hypovolemia,  lactate production by the parasites, and  a failure of hepatic and renal lactate clearance.  The prognosis of severe acidosis is poor. 115
  • 116.
    Complications of SevereFalciparum malaria- Noncardiogenic Pulmonary Edema  Adults with severe falciparum malaria may develop noncardiogenic pulmonary edema even after several days of antimalarial therapy.  The pathogenesis of this variant of the adult respiratory distress syndrome is unclear. The mortality rate is >80%-> Most serious complication.  This condition can be aggravated by overly vigorous administration of IV fluid.  Noncardiogenic pulmonary edema can also develop in otherwise uncomplicated vivax malaria, where recovery is usual.  Most commonly occur in Pregnant women. 116
  • 117.
    Complications of SevereFalciparum malaria- Renal Impairment  Renal impairment is common among adults with severe falciparum malaria but rare among children.  The pathogenesis of renal failure is unclear but may be related to erythrocyte sequestration interfering with renal microcirculatory flow and metabolism.  Clinically and pathologically, this syndrome manifests as acute tubular necrosis, although renal cortical necrosis never develops.  Acute renal failure may occur simultaneously with other vital-organ dysfunction (in which case the mortality risk is high) or may progress as other disease manifestations resolve. 117
  • 118.
    Complications of SevereFalciparum malaria- Renal Impairment In survivors, urine flow resumes in a median of 4 days, and serum creatinine levels return to normal in a mean of 17 days.  Early dialysis or hemofiltration considerably enhances the likelihood of a patient’s survival, particularly in acute hypercatabolic renal failure 118
  • 119.
    Complications of SevereFalciparum malaria-Liver Dysfunction  Mild hemolytic jaundice is common in malaria. Severe jaundice is associated with P. falciparum infections; is more common among adults than among children; and  Results from hemolysis, hepatocyte injury, and cholestasis. When accompanied by other vital-organ dysfunction (often renal impairment),  Liver dysfunction carries a poor prognosis. Hepatic dysfunction contributes to hypoglycemia, lactic acidosis,and impaired drug metabolism.  Occasional patients with falciparum malaria may develop deep jaundice (with hemolytic, hepatitic, and cholestatic components) without evidence of other vital-organ dysfunction. 119
  • 120.
    Complications of SevereFalciparum malaria- Hematologic Abnormalities  Anemia results from  Accelerated RBC removal by the spleen,  Obligatory RBC destruction at parasite schizogony, and  Ineffective erythropoiesis.  In severe malaria, both infected and uninfected RBCs show reduced deformability, which correlates with prognosis and development of anemia.  Splenic clearance of all RBCs is increased.  In nonimmune individuals and in areas with unstable transmission, anemia can develop rapidly and transfusion is often required.  As a consequence of repeated malarial infections, children in many areas of Africa may develop severe anemia resulting from both shortened RBC survival and marked dyserythropoiesis. 120
  • 121.
    Hematologic Abnormalities Slight coagulationabnormalities are common in falciparum malaria, and mild thrombocytopenia is usual. Of patients with severe malaria, <5% have significant bleeding with evidence of disseminated intravascular coagulation. Hematemesis from stress ulceration or acute gastric erosions may also occur 121
  • 122.
    CHRONIC COMPLICATIONS OFMALARIA-TROPICAL SPLENOMEGALY (HYPERREACTIVE MALARIAL SPLENOMEGALY)  Chronic or repeated malarial infections produce hypergammaglobulinemia; normochromic, normocytic anemia; and, in certain situations, splenomegaly.  Some residents of malaria-endemic areas in tropical Africa and Asia exhibit an abnormal immunologic response to repeated infections characterized by  Massive splenomegaly,  Hepatomegaly,  Marked elevations in serum titers of IgM and malarial antibody,  Hepatic sinusoidal lymphocytosis, and  (in Africa) Peripheral B cell lymphocytosis. 122
  • 123.
    CHRONIC COMPLICATIONS OFMALARIA-TROPICAL SPLENOMEGALY (HYPERREACTIVE MALARIAL SPLENOMEGALY) This syndrome has been associated with the production of  cytotoxic IgM antibodies to CD8+ T lymphocytes,  antibodies to CD5+ T lymphocytes, and  an increase in the ratio of CD4+ T cells to CD8+ T cells.  These events may lead to uninhibited B cell production of IgM and the formation of cryoglobulins (IgM aggregates and immune complexes) 123
  • 124.
    CHRONIC COMPLICATIONS OFMALARIA-TROPICAL SPLENOMEGALY (HYPERREACTIVE MALARIAL SPLENOMEGALY)  This immunologic process stimulates reticuloendothelial hyperplasia and clearance activity and eventually produces splenomegaly.  Patients with hyperreactive malarial splenomegaly (HMS) present with an abdominal mass or a dragging sensation in the abdomen and occasional sharp abdominal pains suggesting perisplenitis.  Anemia and some degree of pancytopenia are usually evident, and in some cases malarial parasites cannot be found in peripheral-blood smears 124
  • 125.
    CHRONIC COMPLICATIONS OFMALARIA-TROPICAL SPLENOMEGALY (HYPERREACTIVE MALARIAL SPLENOMEGALY) Vulnerability to respiratory and skin infections is increased; many patients die of overwhelming sepsis. Persons with HMS who are living in endemic areas should receive antimalarial chemoprophylaxis; In nonendemic areas, antimalarial treatment is advised. 125
  • 126.
    MALARIA IN PREGNANCY In heavily endemic (hyper- and holoendemic) areas, falciparum malaria in primi- and secundigravid women is associated with low birth weight (average reduction, ~170 g)  consequently increased infant and childhood mortality.  In general, infected mothers in areas of stable transmission remain asymptomatic despite intense accumulation of parasitized erythrocytes in the placental microcirculation. 126
  • 127.
    MALARIA IN PREGNANCY Maternal HIV infection predisposes pregnant women to malaria, predisposes their newborns to congenital malarial infection, and exacerbates the reduction in birth weight associated with malaria.  In areas with unstable transmission of malaria, pregnant women are prone to severe infections and are particularly vulnerable to high-level parasitemia with anemia, hypoglycemia, and acute pulmonary edema.  Fetal distress, premature labor, and stillbirth or low birth weight are common results. 127
  • 128.
    MALARIA IN PREGNANCY Fetaldeath is usual in severe malaria. Congenital malaria occurs in <5% of newborns whose mothers are infected Its frequency and the level of parasitemia are related directly to the parasite density in maternal blood and in the placenta. P. vivax malaria in pregnancy is also associated with a reduction in birth weight (average, 110 g) 128
  • 129.
    MALARIA IN CHILDREN Most of the estimated 1–3 million persons who die of falciparum malaria each year are young African children.  Convulsions, coma, hypoglycemia, metabolic acidosis, and severe anemia are relatively common among children with severe malaria, whereas deep jaundice, acute renal failure, and acute pulmonary edema are unusual.  Severely anemic children may present with labored deep breathing, which in the past has been attributed incorrectly to “anemic congestive cardiac failure” but in fact is usually caused by metabolic acidosis, often compounded by hypovolemia.  Evidence is accruing that severe malaria can result in longterm neurocognitive and developmental deficits. In general, children tolerate antimalarial drugs well and respond rapidly to treatment. 129
  • 130.
    TRANSFUSION MALARIA  Malariacan be transmitted by blood transfusion, needlestick injury, sharing of needles by infected injection drug users, or organ transplantation.  The incubation period in these settings is often short because there is no pre-erythrocytic stage of development.  The clinical features and management of these cases are the same as for naturally acquired infections.  Radical chemotherapy with primaquine is unnecessary for transfusion-transmitted P. vivax and P. ovale infections. 130
  • 131.
    Mosquito borne Vs. TransfusionMalaria Feature Mosquito borne Transfusion Infective stage Sporozoite Trophozoite Incubation period Long Short PE Schizogony Present Absent EE Schizogony May be present Absent Relapse May occur Don’t T/t Radical cure not possible Radical cure possible 131
  • 132.
    Recurrence of Clinicalmalaria  Recurrence of clinical malaria after treatment may occur due to 3 reasons- 1] True relapse: It is caused by Hypnozoites in P. vivax & P. ovale.  It is due to re-emrgence of blood stage parasites from latent parasites(Hypnozoites) in liver.  Since no Hypnozoites in P. falciparum No true relapse. 2] Recrudescence- It is seen falciparum malaria d/t inadequate t/t and seen in – Drug resistance, Immuno- suppression & pregnancy. 132
  • 133.
    Recurrence of Clinicalmalaria 3] Latent malaria- This condition refers to a state of asymptomatic malaria harbouring plasmodia gametocytes in the peripheral blood. These persons are infectious to mosquitoes and act as Reservoirs . 133
  • 134.
  • 135.
    EPIDEMIOLOGY  Malaria occursthroughout most of the tropical regions of the world.  P. falciparum predominates in Africa, New Guinea, and Haiti;  P. vivax is more common in Central America.  The prevalence of these two species is approximately equal in South America, the Indian subcontinent, eastern Asia, and Oceania.  P. malariae is found in most endemic areas, especially throughout sub-Saharan Africa, but is much less common.  P. ovale is relatively unusual outside of Africa and, where it is found, comprises <1% of isolates. 135
  • 136.
    EPIDEMIOLOGY • Endemicity traditionallyhas been defined in terms of parasitemia rates or palpable-spleen rates in children 2–9 years of age as  hypoendemic (<10%), mesoendemic (11–50%), hyperendemic (51–75%), and holoendemic (>75%)  In holo- and hyperendemic areas (e.g., certain regions of tropical Africa or coastal New Guinea) where there is intense P. falciparum transmission, people may sustain more than one infectious mosquito bite per day and are infected repeatedly throughout their lives.  In such settings, rates of morbidity and mortality due to malaria are considerable during childhood. 136
  • 137.
    EPIDEMIOLOGY  Constant, frequent,year-round infection is termed stable transmission.  In areas where transmission is low, erratic, or focal, full protective immunity is not acquired, and symptomatic disease may occur at all ages.  This situation usually exists in hypoendemic areas and is termed unstable transmission.  Malaria behaves like an epidemic disease in some areas, particularly those with unstable malaria, such as northern India, Sri Lanka, Southeast Asia, Ethiopia, Eritrea,Rwanda, Burundi, Southern Africa, and Madagascar 137
  • 138.
    EPIDEMIOLOGY An epidemic candevelop when there are changes in environmental, economic, or social conditions,  such as heavy rains following drought or migrations (usually of refugees or workers) from a non-malarious region to an area of high transmission; a breakdown in malaria control and prevention services can intensify epidemic conditions. This situation usually results in considerable mortality among all age groups. 138
  • 139.
    EPIDEMIOLOGY  The principaldeterminants of the epidemiology of malaria are the number (density), the human-biting habits, and the longevity of the anopheline mosquito vectors.  More specifically, the transmission of malaria is directly proportional to the density of the vector, the square of the number of human bites per day per mosquito, and the tenth power of the probability of the mosquito’s surviving for 1 day.  Mosquito longevity is particularly important, because the portion of the parasite’s life cycle that takes place within the mosquito— from gametocyte ingestion to subsequent inoculation (sporogony)—lasts 8–30 days,  depending on ambient temperature; thus, to transmit malaria, the mosquito must survive for >7 days. 139
  • 140.
  • 141.
  • 142.
    DIAGNOSIS-Demonstration of Parasites-Light Microscopy  The diagnosis of malaria rests on the demonstration of asexual forms of the parasite in stained peripheral-blood smears. It is the Gold standard for confirmation of malaria.  After a negative blood smear, repeat smears should be made if there is a high degree of suspicion.  Of the Romanowsky stains, Giemsa at pH 7.2 is preferred; Wright’s, Field’s, or Leishman’s stain or, JSB stain can also be used.  Both thin and and thick blood smears should be examined. The thin blood smear should be rapidly air-dried, fixed in anhydrous methanol, and stained; the RBCs in the tail of the film should then be examined under oil immersion (×1000 magnification).  The level of parasitemia is expressed as the number of parasitized erythrocytes per 1000 RBCs. 142
  • 143.
    DIAGNOSIS-Demonstration of Parasites-Light Microscopy  The thick blood film should be of uneven thickness. The smear should be dried thoroughly and stained without fixing. As many layers of erythrocytes overlie one another and are lysed during the staining procedure,  The thick film has the advantage of concentrating the parasites (by 40- to 100-fold compared with a thin blood film) and thus increasing diagnostic sensitivity.  Both parasites and white blood cells (WBCs) are counted, and the number of parasites per unit volume is calculated from the total leukocyte count. Alternatively, a WBC count of 8000/μL is assumed. A minimum of 200 WBCs should be counted under oil immersion.  This figure is converted to the number of parasitized erythrocytes per microliter-> Quantitative test-> Prognostic value. 143
  • 144.
    DIAGNOSIS-Demonstration of Parasites- LightMicroscopy Before a thick smear is judged to be negative, 100–200 fields should be examined under oil immersion. The presence of only malarial pigments in the absence of Malarial parasites suggests recent P. falciparum infection. Disadvange of thick smear is that Plasmodial spp. cant be identified. 144
  • 145.
    DIAGNOSIS- Preparation of thickblood smears  Prepare at least 2 smears per patient.  Place a small drop of blood in the center of the pre-cleaned, labeled slide.  Using the corner of another slide or an applicator stick, spread the drop in a circular pattern until it is the size of a dime (1.5 cm2).  A thick smear of proper density is one which, if placed (wet) over newsprint, allows you to barely read the words.  Lay the slides flat and allow the smears to dry thoroughly (protect from dust and insects!).  Insufficiently dried smears (and/or smears that are too thick) can detach from the slides during staining. 145
  • 146.
    DIAGNOSIS- Preparation of thickblood smears  The risk is increased in smears made with anticoagulated blood.  At room temperature, drying can take several hours; 30 minutes is the minimum; in the latter case, handle the smear very delicately during staining.  Drying can be accelarated by using a fan or hair dryer (use cool setting). Protect thick smears from hot environments to prevent heat-fixing the smear.  Do not fix thick smears with methanol or heat. If there will be a delay in staining smears, dip the thick smear briefly in water to hemolyse the RBCs. 146
  • 147.
    DIAGNOSIS- Preparation of thinblood smears  Thin smears consist of blood spread in a layer such that the thickness decreases progressively toward the feathered edge. In the feathered edge, the cells should be in a monolayer, not touching one another.  Prepare at least 2 smears per patient!  A thin smear being prepared.  Place a small drop of blood on the pre-cleaned, labeled slide, near its frosted end.  Bring another slide at a 30-45° angle up to the drop, allowing the drop to spread along the contact line of the 2 slides.  Quickly push the upper (spreader) slide toward the unfrosted end of the lower slide.  Make sure that the smears have a good feathered edge. This is achieved by using the correct amount of blood and spreading technique.  Allow the thin smears to dry. (They dry much faster than the thick smears, and are less subject to detachment because they will be fixed.)  Fix the smears by dipping them in absolute methanol.  https://www.youtube.com/watch?v=WPP7AjmStBg 147
  • 148.
  • 149.
  • 150.
  • 151.
  • 152.
  • 153.
  • 154.
  • 155.
    DIAGNOSIS- Quantitative BuffyCoat (QBC)  This is a sensitive microscopic test based on the ability of Acridin Orange to stain the nucleic acid contained parasites.  In this method, blood is collected in a capillary tube coated with fluorescence dye and subjected to microheamatocrit centrifugation in a special centrifugation apparatus.  After centrifugation, the buffy coat in the centrifused capillary tube is examined directly under a fluorescence microscope.  Dye stained malarial parasites appear bright green. It can detect parasite count as low as 3-4 parasites/ µL.  The disadvantage is inability to identify parasite spp. 155
  • 156.
  • 157.
  • 158.
  • 159.
  • 160.
    DIAGNOSIS- Fluorescence Microscopy Kawamoto technique is a fluorescent- staining method for demonstrating the malarial parasite.  the blood smears are prepared in a slide and is stained with Acrydine organge.  this results in differential staining of Malarial parasite- Nuclear DNA- Stained GREEN, Cytoplasmic RNA- Stained RED 160
  • 161.
    DIAGNOSIS- SERODIAGNOSIS  Serologicaltests are used for Identify infected donors in case of Transfusion malaria Confirm past malaria in patients. Epidemiological survey  Indirect heamaglutination (IHA), Indirect Fluorescence antibody (IFA) & ELISA are most frequently used test to detect malarial antibody in serum.  ELISA –Inhibition Test is a recent method to detect malarial antigen in serum. 161
  • 162.
    DIAGNOSIS- Immunochromatographic tests-  Theyare used for Malarial Antigen detection from blood or urine aka- Malarial rapid diagnostic tests, Antigen capture assay or Dipstics.  The ICTs are monoclonal antibody based assays to detect  Plasmodium falciparum histidine-rich protein-2,  Parasite lactose dehydrogenase or Plasmodium aldolase.  PfHRP-2 persists in blood for few months so can’t be used to predict t/t failure.  100 parasites/ µL density is required for the test . 162
  • 163.
  • 164.
  • 165.
    DIAGNOSIS- Molecular diagnosis DNA and RNA probes are highly sensitive and specific molecular methods for d/g of falciparum malaria.  DNA probes can detect <10 parasites/ µL of blood.  PCR including real time assay like QT-NASBA (quantitative nucleic acid sequence-based amplification) can detect parasite as low as 1 parasite in 20 µL of blood using PBRK1 primer> 100 times more sensitive than Thick smear.  PCR can detect parasites in dry blood spots and drug resistance malaria. 165
  • 166.
  • 167.
  • 168.
  • 169.
  • 170.
  • 171.
  • 172.