Ulcerative colitis
Dr.Sabona Bulto (Internal medicine
resident)
July 23, 2020
Outlines
 Definition
 Epidemiology
 Etiology & pathogenesis
 Clinical features
 Diagnosis
 Management
Definition
 Ulcerative colitis - chronic inflammatory condition characterized by
relapsing and remitting episodes of inflammation limited to
the mucosal layer of the colon.
 It almost invariably involves the rectum
 Typically extends in a proximal and continuous fashion to involve other
portions of the colon.
 Different terms have been used to describe the degree of involvement
 Ulcerative proctitis - disease limited to the rectum
 Ulcerative proctosigmoiditis - disease limited to the rectum & sigmoid
colon
 Left-sided or distal UC - disease that extends up to splenic flexure
 Extensive colitis - extending proximal to the splenic flexure but sparing
the cecum
 Pancolitis - extends throughout the colon to cecum
EPIDEMIOLOGY
 The incidence and prevalence - vary with geographic location & ethnicity.
 About 800,000 people in the US & 1.4 million in Europe afflicted .
 The peak incidence of UC occurs in the 2nd & 3rd decades of life.
 Smaller peak in older adults, between the ages of 60 and 70 years.
 M:F ,nearly 1 : 1, applies to all age groups
Map of worldwide incidence (1990-2016) in quintiles for UC
ETIOLOGY AND PATHOGENESIS
 Etiology - currently unknown but is likely multifactorial.
 Complex interaction of 3 elements: genetic susceptibility, host
immunity, & environmental factors.
 Overly aggressive T-cell mediated immune responses to specific
components of the intestinal microbiota in genetically susceptible
individuals, and that disease expression is triggered by additional
environmental factors.
 Dysregulation of the enteric immune response leads to the development of
acute and chronic inflammation and the pathologic feature of mucosal
damage.
Pathogenesis of IBD
PATHOLOGIC FEATURES
 Macroscopically, the mucosa appears hyperemic, edematous, & granular
in mild disease.
 As disease progresses, the mucosa becomes hemorrhagic, with visible
punctate ulcers.
 These ulcers can enlarge and extend into the lamina propria.
 Epithelial regeneration with recurrent attacks results in the formation of
pseudopolyps
 It is typical of long-standing UC but may also develop rapidly in acute
disease.
Surgical specimen of resected colon from a patient with severe UC
showing numerous pseudopolyps.
Microscopically
 Edema of the lamina propria and congestion of capillaries and venules,
often with extravasation of red blood cells.
 Followed by an acute inflammatory cell infiltrates.
 Cryptitis and crypt abscesses with neutrophilic accumulations in the crypt
lumens.
 Features that reflect chronicity and thus argue against a dx of infectious
or colitis
 Distorted crypt architecture, crypt atrophy, increased intercryptal
spacing to fewer than 6 crypts per millimeter, an irregular mucosal
surface, basal lymphoid aggregates, and a chronic inflammatory
infiltrate.
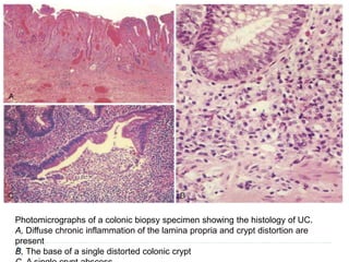
Photomicrographs of a colonic biopsy specimen showing the histology of UC.
A, Diffuse chronic inflammation of the lamina propria and crypt distortion are
present
B, The base of a single distorted colonic crypt
CLINICAL FEATURES
 Varies depending on the location of disease, the intensity of inflammation,
& presence of specific intestinal and extraintestinal complications.
 Common symptoms:- urgency, rectal bleeding, diarrhea, passage of
mucus, tenesmus, and abdominal pain.
 In more severe cases, fever and weight loss may be prominent.
 Hematologic changes:- anemia, leukocytosis, and thrombocytosis
Physical examination
 Often normal, especially in patients with mild disease.
 Moderate to severe UC :- abdominal tenderness to palpation, fever,
hypotension, tachycardia, and pallor.
 Rectal examination may reveal evidence of blood.
 Patients with prolonged diarrhea symptoms may have evidence of
muscle wasting, loss of subcutaneous fat, and peripheral edema due
to weight loss and malnutrition.
Extraintestinal Manifestations
 6-25% of all patients with IBD
 Many of them are common to CD & UC.
 More common among patients with colonic involvement.
 ¼ of those affected have >1 EIM.
 Some EIMs occur as a direct result of the bowel disease.
 Mucocutaneous, joint, and ocular EIMs occurs due to influx of mononuclear
cells activated in the intestine.
Diffuse episcleritisAnterior uveitis
Erythema nodosum Pyoderma gangrenosum
Acute complication
 Severe bleeding
 Up to 10% of patients
 Massive hemorrhage - 3% at some time in their disease course
 Fulminant colitis
 >10 stools/d, continuous bleeding, abdominal pain, distension, fever
and anorexia.
 At high risk of developing toxic megacolon
 Toxic megacolon
 Colonic diameter ≥6 cm or cecal diameter >9 cm with systemic toxicity
 Severe bloody diarrhea, abdominal pain and distension
 Toxic appearing patient with altered sensorium, tachycardia, fever,
postural hypotension, with or without signs of localized or generalized
peritonitis.
 Perforation
 Most commonly occurs as a consequence of toxic megacolon.
 May also occur in first episode of UC due to lack of scarring from prior
attacks of colitis.
 Has been associated with 50% mortality
Diagnosis
 Established through a complete assessment of the clinical
presentation with
 Confirmatory evidence from radiologic, endoscopic, and,
pathologic findings.
 Initial evaluation - thorough Hx, P/E & basic laboratory tests
 Recent travel history, medication (including antibiotics and NSAIDs),
diet
 Hx of predisposing factors - recent infectious gastroenteritis, and a
family history of IBD and GI cancer.
 Features of EIMs
Laboratory Studies
 CBC
 ESR
 CRP
 LFT
 Albumin
 Serum electrolytes
 Fecal calprotectin or lactoferrin
 Stool studies- O/P, culture, CDI toxin
 Serologic testing -ASCA & ANCA, E.histolytica
Imaging
Plain Films
 Severe disease- lumenal margin of the colon becomes edematous &
irregular.
 Thickening of the colonic wall
 Prognostic signs :- islands of residual mucosa surrounded by extensive
deep ulcerations, distention of the small bowel, & dilatation of the colon
 Marked colonic dilatation >> fulminant colitis or toxic megacolon
 Perforation.
 The presence of fecal material
Plain abdominal film of a patient with severe UC
The transverse colon is dilated (arrow), the colon wall is thickened, and mucosal
islands are visible. Distended loops of small bowel are apparent.
Plain abdominal film of a patient with mild left-sided UC
Showing a stool-filled proximal colon, but no stool in the involved segment of
Double contrast barium enema
 May be normal in mild UC
 Diffusely reticulated pattern with superimposed punctate
collections of barium in microulcerations.
 More severe disease :- spiculated collar button ulcers, shortening of
the colon, loss of haustrae, narrowing of the luminal caliber,
pseudopolyps & filiform polyps.
 It should be avoided in patients who are severely ill since it may
precipitate ileus with toxic megacolon.
Extensive mucosal ulceration and
inflammation throughout the colon
Mucosal pseudopolyps (arrows) and a stricture
arising in the descending colon.
Shows a featureless colon with complete loss of
folds in the sigmoid colon.
Endoscopy & biopsy
 First attack of UC, sigmoidoscopy with biopsies usually is sufficient to confirm
the dx.
 The hallmark of UC : - symmetric and continuous inflammation that begins at
the anorectal junction.
 Typical Endoscopic findings
 Erythema
 Edema/loss of the usual fine vascular pattern
 Granularity of the mucosa
 Friability/spontaneous bleeding
 Pseudopolyps
 Erosions
 Ulcers
Seminar on mgt of UC
A.Extensive ulceration of the mucosa.The surface is irregular, friable, and erythematous,
with loss of the normal vascular markings.
B.Pseudopolyps may form as a reaction to inflammation; these can become quite
extensive (C).
Biopsy features
 Crypt abscesses, crypt branching, shortening and disarray, and crypt
atrophy.
 Epithelial cell abnormalities >> mucin depletion and Paneth cell
metaplasia
 Inflammatory features >> increased lamina propria cellularity, basal
plasmacytosis, basal lymphoid aggregates, and lamina propria
eosinophils.
 Basal plasmacytosis may also be a predictor of relapse in patients
with seemingly well-controlled UC with complete mucosal healing.
Assessment of disease activity
 Is important for prognostication and therapeutic decision making.
 The most commonly used is that of Truelove and Witts.
The UCEIS demonstrated excellent correlation with disease severity and
good intra- and inter-observer reliability.
Sample endoscopic images of ulcerative colitis using the Mayo
endoscopic subscore and the Ulcerative Colitis Endoscopic Index of
MANAGEMENT
Goal
 Sustained and durable period of steroid-free remission.
 Normal health-related quality of life (QoL)
 Prevention of morbidity including hospitalization and surgery
 Prevention of CRC
 An emerging goal - mucosal healing
ACG RECOMMENDATIONS
 We suggest treating patients with UC to achieve mucosal healing
(defined as resolution of inflammatory changes (Mayo endoscopic
subscore 0 or 1)) to increase the likelihood of sustained steroid-free
remission and prevent hospitalizations and surgery (conditional
recommendation, low quality of evidence).
 We suggest FC as a surrogate for endoscopy when endoscopy is not
feasible or available to assess for mucosal healing (conditional
recommendation, very low quality of evidence).
Definition of remission
 Corticosteroid-free remission - based on symptoms, endoscopic
findings, or disease impact without ongoing corticosteroid use.
 Symptomatic remission - relates to improvement in PROs
 Endoscopic healing - restoration of intact mucosa without friability.
 Deep remission - combination of symptomatic remission and
endoscopic healing ; preferred goal of management.
Options
 Medical management
 Aminosalicylates –Sulfasalazine , Balsalazide, Mesalamine
 Glucocorticoids - Prednisone, Methylpredinsolone
 Immunomodulators – AZA, 6MP, Cyclosporine, Tacrolimus
 Biologics
 Anti-TNF - Infliximab, Golimumab, Certolizumab
 Alfa Integrin Inhibitors – Natalizumab, Vedolizumab
 IL 12/23 inhibitor- Ustekunumab
 Newer agents
 Kinase inhibitors – Tofacitinib
 S1P Inhibitors- Ozanimod
 Adjunctive therapy
 Surgical management
Aminosalicylates
 Approximately 90% of sulfasalazine reaches the colon, and only a small
amount is absorbed in the small intestine.
 In the colon azoreductase cleaves the azo bond to release 5-ASA, the
active constituent moiety.
 5-ASA effect its anti-inflammatory activity topically, but possibly also
through absorption and via the microenteric circulation.
 3-6 g/day dose of sulfasalazine induces remission in 39% to 62% of
patients with mildly to moderately active UC.
 They have not been evaluated in a RCT in patients with severely active
disease.
 The dose of 5-ASA that induces remission is recommended for
maintenance.
 Complete remission should be the target before considering dose
reduction.
 5-ASA, mesalamine can be rectally administered as enemas,
suppositories or foam.
 AEs of sulfasalazine
 Common: Fever, rash, nausea, vomiting, and headache
 Less common : Hypersensitivity reactions, reversible sperm
abnormalities, & impairment of folate absorption.
Glucocorticoids
 Effective first-line therapy for moderately to severely active UC.
 Can be given for systemic (PO/IV) or topical (liquid, foam or enema) Rx
 IV glucocorticoids commonly used in severely active disease.
 Options for IV: Hydrocortisone (100 mg IV TID), prednisolone (30 mg IV
BID), or methylprednisolone (16 - 20 mg IV TID).
 Glucocorticoids have no maintenance benefits in IBD.
 Immunomodulatory or biologic agents should be considered in patients
with
 Steroid-dependent,
 2 courses of glucocorticoids for induction remission within 1 year, or
 Parenteral glucocorticoids to induce remission.
GLUCOCORTICOIDS
Principles
 Use an effective dose
 Do not overdose
 Do not treat for excessively long periods
 Anticipate side effects
Immunomodulators
Thiopurines - AZA & 6-MP
 The most widely used immunomodulator agents
 Exert their immunosuppressive effects by inhibition of purine and
protein synthesis in lymphocytes.
 They are inactive pro-drugs with subtle structural differences.
 AZA remains widely used , although there are less robust data
supporting its efficacy in the treatment of UC.
Methotrexate Treatment of UC
 MTX long lacked data supporting its use in UC.
 METEOR study, RCT- 111
 Steroid-dependent UC pts to received either parenteral MTX 25
mg weekly or placebo for 24 weeks.
 At the end of the trial, there was no statistically significant
difference in steroid-free remission or endoscopic healing between
the 2 groups.
 However, patients were more likely to be in clinical remission with
MTX when compared to placebo (42% compared to 24%, P =
0.04).
Cyclosporine A (CSA)
 Potent inhibitor of cell-mediated immunity through calcineurin
inhibition pathway-> diminishing T-cell activation.
 Its use in IBD is primarily in patients with acute severe, steroid-refractory
UC.
 IV CSA monotherapy may be as effective as IV glucocorticoids in patients
with severely active UC
 Can be considered as bridge therapy to control active disease in
patients with steroid-refractory UC while waiting for elective surgery or the
onset of action of AZA or 6-MP.
 CYSIF trial (RCT, N= 115) & CONSTRUCT trial (open-label RT, N= 270)
 Both trials demonstrated that infliximab and CSA are similarly effective as
rescue therapy in acute severe UC.
CSA AEs
 Paresthesias, tremors, headache, hypertrichosis, & gingival hyperplasia.
 Hypertension, seizures, electrolyte and liver biochemistry abnormalities,
nephrotoxicity, anaphylaxis, and opportunistic infections.
 These complications are mostly dose dependent.
 Careful monitoring for AEs is critical during CSA therapy.
 Baseline serum electrolytes, creatinine, cholesterol, and liver
biochemical values should be measured.
 CSA therapy should be avoided in patients with an impaired creatinine
clearance.
 Patients on long-term CSA therapy should receive PCP prophylaxis.
Biologic Therapies
Anti-TNF Therapy
 The mechanism of action is most likely multifactorial, all pointing toward the
ability to control the mucosal immune response.
 The antibody can bind to and clear soluble TNF, but it also binds to cell-
bound TNF-> induce apoptosis.
 3 agents are approved for the treatment of UC: Infliximab, adalimumab, &
Golimumab.
 Infliximab is the only anti-TNF agent with robust data to use it as rescue
therapy in steroid non-responders with acute severe UC.
 Results from 2 large, multicenter, RCT trials (ACT 1 & 2) showed efficacy of
infliximab therapy in UC.
ACT trials
Adjunctive Therapies
 Antidiarrheal and anticholinergic agents
 should be used sparingly in those with ongoing active inflammation.
 Parenteral vitamin B12 supplementation or the addition of
cholestyramine
 In patients with ileal disease or resection
 Iron supplementation
 Antibiotics, probiotics & intestinal microbiota transplantation
 Nutritional Rx – Short chain FA, Fish oil, Curcumin
 Cytapheresis
Mgt approach
 Should be guided by
 Specific diagnosis (Montreal classification)
 Disease activity (mild, moderate, or severe)
 Disease prognosis
 Mildly active UC should be reassessed to determine response to
induction therapy within 6 weeks.
Management of mild to moderate UC
Ulcerative proctitis or proctosigmoiditis
 Topical 5-ASA - first-line treatment, preferred over topical steroids .
 5-ASA suppositories and/or enemas -> induce remission in >90% of pts.
 Maintain remission in approximately 75% of pts.
 Complete healing usually requires 4-6 wks or longer, and continued
treatment for 6-8 wks followed by a gradual taper and discontinuation.
 No response to topical therapy - combination of oral and topical 5-
ASA/steroids.
 No response to combination therapy -> oral glucocorticoids.
Maintenance therapy
 Not recommended in pts with a first episode of mild
ulcerative proctitis.
 Recommended : ulcerative proctitis >1 relapse in year and in all
patients with proctosigmoiditis.
 Discontinuation - > considered only if they have been in remission for 2
years and are averse to taking medication.
Maintenance regimen
 Topical therapy for induction of remission
 One 5-ASA suppository in patients with proctitis
 5-ASA enema every night in patients with proctosigmoiditis
 Oral 5-ASA to achieve remission or multiple relapses on topical therapy
 Continue on oral 5-ASAs
Left-sided colitis, extensive colitis, & pancolitis
 Most benefit from combination therapy with oral & topical 5-ASA medications
or topical steroid.
 Oral 5-ASA exert their effect in 2-4 wks and are effective in 40-80% of pts.
 Patients who do not respond in 2 weeks
 Should be treated with topical combined with oral 5-ASA
 If not responded to the combination of oral 5-ASA and topical 5-
ASA/steroids within 2-4 weeks
 MMX budesonide suggested prior to the use of other oral glucocorticoids.
ACG Recommendations
Maintenance therapy
 Recommended in all patients
 5-ASA medications are highly effective
 Combination therapy with oral and intermittent rectal therapy may be
better than oral therapy alone.
 Glucocorticoids should be tapered after the patient has been stable
for 2-4 weeks.
Mgt algorithm for the mild-to-moderate active UC
MGT OF MODERATELY TO SEVERELY ACTIVE UC
 Should be treated with oral glucocorticoids and a combination of
high dose oral 5-ASA (eg, mesalamine 4.8 g/d) & topical therapy
with 5-ASA or steroids.
 Initiation of oral glucocorticoids should not be delayed until the
results of stool studies and cultures are available.
 Anticholinergic, antidiarrheal agents, NSAIDs, and opioid drugs
should be discontinued due to the risk of precipitating toxic
megacolon.
 There is no role of antibiotics in patients with severe colitis without
signs of systemic toxicity.
 Bowel rest is not recommended in in the absence of fulminant
disease.
ACG Recommendations
Maintenance therapy
 In patients who respond, IV glucocorticoids should be converted to
equivalent dose of oral glucocorticoids in 3-5 days.
 Oral glucocorticoids should be tapered after the patient has been stable
for 2-4 weeks.
 Rectal 5-ASA/steroids can be gradually tapered over 2-4 months.
 Oral 5-ASA medications should be continued at the same dose.
 Steroid dependent patients or pts who cannot tolerate 5-ASA medications
should be maintained with 6-MP/AZA or an anti-TNF agent.
Algorithm for the management of severely active UC
TREATMENT OF FULMINANT UC
 Should be admitted & treated with IV glucocorticoids.
 All patients should be treated with broad-spectrum antibiotics
(eg, ciprofloxacin and metronidazole).
 Should be kept NPO.
 CBC, electrolyte, albumin, LFT, ESR & CRP - Q12-24 hrs.
 Nutritional support if malnourished.
 VTE prophylaxis
 Intravenous fluid & electrolyte replacement
 Blood transfusions - maintain Hgb ≥10 g/dL
Subsequent therapy
 Patients who fail to improve by the 3rd day of intensive Rx
-> cyclosporine or infliximab, or undergo colectomy.
 Infliximab can induce remission rapidly and can be used for the
maintenance of remission.
 Cyclosporine is used as a short-term "bridge" to therapy with the
slower onset, longer acting medications, including AZA or 6-MP.
 Colectomy
 For pts who fail treatment with cyclosporine or infliximab within 4-7
days & those with toxic megacolon who don’t respond to therapy
within 72 hrs.
SURGICAL THERAPY
 10-20% of patients with UC require surgical treatment.
 Goals : to remove the entire diseased colon while preserving
continence and sexual function and elimination of CRC risk
 Emergency, urgent or elective surgery
Schematic diagrams of various surgical options for the management of UC.
A, Conventional (Brooke) ileostomy with a subtotal colectomy and a Hartman
pouch.
B, Subtotal colectomy with ileorectal anastomosis.
C, Conventional (Brooke) ileostomy with a total proctocolectomy.
D, Continent ileostomy (Koch pouch) with total proctocolectomy.
E, Restorative proctocolectomy with ileal pouch-anal anastomosis (RPC-IPAA)
Mgt of UC related complication
Strictures and Fibro-stenotic Disease
 Colonic strictures -5%
 Hypertrophy and thickening of muscularis mucosa rather than fibrosis.
 Most commonly in extensive and long-standing colitis
 Typically short -2 to 3 cm
 Occur distal to the splenic flexure
 High index of suspicion of malignancy – esp. when the strictures are
located proximal to the splenic flexure.
 Multiple biopsies are recommended at colonoscopy
 Surgical resection of the stricture is advised, particularly in patients
with long-standing disease.
Toxic Megacolon
 Iv rehydration, NPO, tube decompression
 DVT & ulcer prophylaxis
 All antimotility agents, opiates & anticholinergics should be
discontinued
 Broad-spectrum antibiotics empirically
 IV corticosteroids
 Approximately 50% of acute dilatation resolves with medical Rx
 Patients who do not improve after 48 - 72 hrs of medical rx should
undergo surgery.
 Patients with progressive abdominal distention, development of
rebound tenderness, or hemodynamic instability should undergo
immediate colectomy.
Free perforation
 Can develop in the absence of colonic dilatation -1%
 Classic physical findings of peritonitis may be absent
 Sigmoid colon - most at risk for free perforation
 The mortality has been reported to be >50%.
Dysplasia & CRC
 The risk of developing CRC is low during the first 8-10 yrs after a dx
 The risk increases by 0.5-1%/yr after the first 10 yrs
 Cumulative risk of CRC for all UC
 <1% at 10 yrs, 0.4-2% at 15 yrs, &1.1-2.5% at 20yrs
 RF: Duration and extent of the disease co-existing PSC, M gender,
family hx of CRC, age at dx, severity of inflammation.
 The estimated cancer risks in patients who have
 Polyp with low-grade dysplasia-10 – 30%
 Polyp with high-grade dysplasia -30 -40%
 Dysplasia within a lesion or mass (DALM) - 80%
Surveillance colonoscopy
 Has been associated with lower rates of CRC & mortality.
 Surveillance began at 8 years after dx and at time of dx in patients with
PSC.
 Surveillance intervals: 1-3 yrs & annually in those with PSC
 Colectomy is recommended for HGD & multifocal LGD
References
 Sleisenger and Fordtran’s 11th Edition
 Harrison’s, principles of Internal medicine, 20th
edition
 ACG 2019 practical guidelines
 Uptodate 2018
Thank you!

Ulcerative colitis

  • 1.
    Ulcerative colitis Dr.Sabona Bulto(Internal medicine resident) July 23, 2020
  • 2.
    Outlines  Definition  Epidemiology Etiology & pathogenesis  Clinical features  Diagnosis  Management
  • 3.
    Definition  Ulcerative colitis- chronic inflammatory condition characterized by relapsing and remitting episodes of inflammation limited to the mucosal layer of the colon.  It almost invariably involves the rectum  Typically extends in a proximal and continuous fashion to involve other portions of the colon.
  • 4.
     Different termshave been used to describe the degree of involvement  Ulcerative proctitis - disease limited to the rectum  Ulcerative proctosigmoiditis - disease limited to the rectum & sigmoid colon  Left-sided or distal UC - disease that extends up to splenic flexure  Extensive colitis - extending proximal to the splenic flexure but sparing the cecum  Pancolitis - extends throughout the colon to cecum
  • 5.
    EPIDEMIOLOGY  The incidenceand prevalence - vary with geographic location & ethnicity.  About 800,000 people in the US & 1.4 million in Europe afflicted .  The peak incidence of UC occurs in the 2nd & 3rd decades of life.  Smaller peak in older adults, between the ages of 60 and 70 years.  M:F ,nearly 1 : 1, applies to all age groups
  • 6.
    Map of worldwideincidence (1990-2016) in quintiles for UC
  • 8.
    ETIOLOGY AND PATHOGENESIS Etiology - currently unknown but is likely multifactorial.  Complex interaction of 3 elements: genetic susceptibility, host immunity, & environmental factors.  Overly aggressive T-cell mediated immune responses to specific components of the intestinal microbiota in genetically susceptible individuals, and that disease expression is triggered by additional environmental factors.  Dysregulation of the enteric immune response leads to the development of acute and chronic inflammation and the pathologic feature of mucosal damage.
  • 9.
  • 10.
    PATHOLOGIC FEATURES  Macroscopically,the mucosa appears hyperemic, edematous, & granular in mild disease.  As disease progresses, the mucosa becomes hemorrhagic, with visible punctate ulcers.  These ulcers can enlarge and extend into the lamina propria.  Epithelial regeneration with recurrent attacks results in the formation of pseudopolyps  It is typical of long-standing UC but may also develop rapidly in acute disease.
  • 11.
    Surgical specimen ofresected colon from a patient with severe UC showing numerous pseudopolyps.
  • 12.
    Microscopically  Edema ofthe lamina propria and congestion of capillaries and venules, often with extravasation of red blood cells.  Followed by an acute inflammatory cell infiltrates.  Cryptitis and crypt abscesses with neutrophilic accumulations in the crypt lumens.  Features that reflect chronicity and thus argue against a dx of infectious or colitis  Distorted crypt architecture, crypt atrophy, increased intercryptal spacing to fewer than 6 crypts per millimeter, an irregular mucosal surface, basal lymphoid aggregates, and a chronic inflammatory infiltrate.
  • 13.
    Photomicrographs of acolonic biopsy specimen showing the histology of UC. A, Diffuse chronic inflammation of the lamina propria and crypt distortion are present B, The base of a single distorted colonic crypt
  • 14.
    CLINICAL FEATURES  Variesdepending on the location of disease, the intensity of inflammation, & presence of specific intestinal and extraintestinal complications.  Common symptoms:- urgency, rectal bleeding, diarrhea, passage of mucus, tenesmus, and abdominal pain.  In more severe cases, fever and weight loss may be prominent.  Hematologic changes:- anemia, leukocytosis, and thrombocytosis
  • 15.
    Physical examination  Oftennormal, especially in patients with mild disease.  Moderate to severe UC :- abdominal tenderness to palpation, fever, hypotension, tachycardia, and pallor.  Rectal examination may reveal evidence of blood.  Patients with prolonged diarrhea symptoms may have evidence of muscle wasting, loss of subcutaneous fat, and peripheral edema due to weight loss and malnutrition.
  • 16.
    Extraintestinal Manifestations  6-25%of all patients with IBD  Many of them are common to CD & UC.  More common among patients with colonic involvement.  ¼ of those affected have >1 EIM.  Some EIMs occur as a direct result of the bowel disease.  Mucocutaneous, joint, and ocular EIMs occurs due to influx of mononuclear cells activated in the intestine.
  • 19.
  • 20.
    Acute complication  Severebleeding  Up to 10% of patients  Massive hemorrhage - 3% at some time in their disease course  Fulminant colitis  >10 stools/d, continuous bleeding, abdominal pain, distension, fever and anorexia.  At high risk of developing toxic megacolon  Toxic megacolon  Colonic diameter ≥6 cm or cecal diameter >9 cm with systemic toxicity  Severe bloody diarrhea, abdominal pain and distension  Toxic appearing patient with altered sensorium, tachycardia, fever, postural hypotension, with or without signs of localized or generalized peritonitis.  Perforation  Most commonly occurs as a consequence of toxic megacolon.  May also occur in first episode of UC due to lack of scarring from prior attacks of colitis.  Has been associated with 50% mortality
  • 21.
    Diagnosis  Established througha complete assessment of the clinical presentation with  Confirmatory evidence from radiologic, endoscopic, and, pathologic findings.  Initial evaluation - thorough Hx, P/E & basic laboratory tests  Recent travel history, medication (including antibiotics and NSAIDs), diet  Hx of predisposing factors - recent infectious gastroenteritis, and a family history of IBD and GI cancer.  Features of EIMs
  • 22.
    Laboratory Studies  CBC ESR  CRP  LFT  Albumin  Serum electrolytes  Fecal calprotectin or lactoferrin  Stool studies- O/P, culture, CDI toxin  Serologic testing -ASCA & ANCA, E.histolytica
  • 23.
    Imaging Plain Films  Severedisease- lumenal margin of the colon becomes edematous & irregular.  Thickening of the colonic wall  Prognostic signs :- islands of residual mucosa surrounded by extensive deep ulcerations, distention of the small bowel, & dilatation of the colon  Marked colonic dilatation >> fulminant colitis or toxic megacolon  Perforation.  The presence of fecal material
  • 24.
    Plain abdominal filmof a patient with severe UC The transverse colon is dilated (arrow), the colon wall is thickened, and mucosal islands are visible. Distended loops of small bowel are apparent.
  • 25.
    Plain abdominal filmof a patient with mild left-sided UC Showing a stool-filled proximal colon, but no stool in the involved segment of
  • 26.
    Double contrast bariumenema  May be normal in mild UC  Diffusely reticulated pattern with superimposed punctate collections of barium in microulcerations.  More severe disease :- spiculated collar button ulcers, shortening of the colon, loss of haustrae, narrowing of the luminal caliber, pseudopolyps & filiform polyps.  It should be avoided in patients who are severely ill since it may precipitate ileus with toxic megacolon.
  • 27.
    Extensive mucosal ulcerationand inflammation throughout the colon Mucosal pseudopolyps (arrows) and a stricture arising in the descending colon. Shows a featureless colon with complete loss of folds in the sigmoid colon.
  • 28.
    Endoscopy & biopsy First attack of UC, sigmoidoscopy with biopsies usually is sufficient to confirm the dx.  The hallmark of UC : - symmetric and continuous inflammation that begins at the anorectal junction.  Typical Endoscopic findings  Erythema  Edema/loss of the usual fine vascular pattern  Granularity of the mucosa  Friability/spontaneous bleeding  Pseudopolyps  Erosions  Ulcers
  • 29.
  • 30.
    A.Extensive ulceration ofthe mucosa.The surface is irregular, friable, and erythematous, with loss of the normal vascular markings. B.Pseudopolyps may form as a reaction to inflammation; these can become quite extensive (C).
  • 31.
    Biopsy features  Cryptabscesses, crypt branching, shortening and disarray, and crypt atrophy.  Epithelial cell abnormalities >> mucin depletion and Paneth cell metaplasia  Inflammatory features >> increased lamina propria cellularity, basal plasmacytosis, basal lymphoid aggregates, and lamina propria eosinophils.  Basal plasmacytosis may also be a predictor of relapse in patients with seemingly well-controlled UC with complete mucosal healing.
  • 35.
    Assessment of diseaseactivity  Is important for prognostication and therapeutic decision making.  The most commonly used is that of Truelove and Witts.
  • 37.
    The UCEIS demonstratedexcellent correlation with disease severity and good intra- and inter-observer reliability.
  • 38.
    Sample endoscopic imagesof ulcerative colitis using the Mayo endoscopic subscore and the Ulcerative Colitis Endoscopic Index of
  • 40.
    MANAGEMENT Goal  Sustained anddurable period of steroid-free remission.  Normal health-related quality of life (QoL)  Prevention of morbidity including hospitalization and surgery  Prevention of CRC  An emerging goal - mucosal healing
  • 41.
    ACG RECOMMENDATIONS  Wesuggest treating patients with UC to achieve mucosal healing (defined as resolution of inflammatory changes (Mayo endoscopic subscore 0 or 1)) to increase the likelihood of sustained steroid-free remission and prevent hospitalizations and surgery (conditional recommendation, low quality of evidence).  We suggest FC as a surrogate for endoscopy when endoscopy is not feasible or available to assess for mucosal healing (conditional recommendation, very low quality of evidence).
  • 42.
    Definition of remission Corticosteroid-free remission - based on symptoms, endoscopic findings, or disease impact without ongoing corticosteroid use.  Symptomatic remission - relates to improvement in PROs  Endoscopic healing - restoration of intact mucosa without friability.  Deep remission - combination of symptomatic remission and endoscopic healing ; preferred goal of management.
  • 43.
    Options  Medical management Aminosalicylates –Sulfasalazine , Balsalazide, Mesalamine  Glucocorticoids - Prednisone, Methylpredinsolone  Immunomodulators – AZA, 6MP, Cyclosporine, Tacrolimus  Biologics  Anti-TNF - Infliximab, Golimumab, Certolizumab  Alfa Integrin Inhibitors – Natalizumab, Vedolizumab  IL 12/23 inhibitor- Ustekunumab  Newer agents  Kinase inhibitors – Tofacitinib  S1P Inhibitors- Ozanimod  Adjunctive therapy  Surgical management
  • 44.
    Aminosalicylates  Approximately 90%of sulfasalazine reaches the colon, and only a small amount is absorbed in the small intestine.  In the colon azoreductase cleaves the azo bond to release 5-ASA, the active constituent moiety.  5-ASA effect its anti-inflammatory activity topically, but possibly also through absorption and via the microenteric circulation.  3-6 g/day dose of sulfasalazine induces remission in 39% to 62% of patients with mildly to moderately active UC.  They have not been evaluated in a RCT in patients with severely active disease.
  • 45.
     The doseof 5-ASA that induces remission is recommended for maintenance.  Complete remission should be the target before considering dose reduction.  5-ASA, mesalamine can be rectally administered as enemas, suppositories or foam.  AEs of sulfasalazine  Common: Fever, rash, nausea, vomiting, and headache  Less common : Hypersensitivity reactions, reversible sperm abnormalities, & impairment of folate absorption.
  • 47.
    Glucocorticoids  Effective first-linetherapy for moderately to severely active UC.  Can be given for systemic (PO/IV) or topical (liquid, foam or enema) Rx  IV glucocorticoids commonly used in severely active disease.  Options for IV: Hydrocortisone (100 mg IV TID), prednisolone (30 mg IV BID), or methylprednisolone (16 - 20 mg IV TID).  Glucocorticoids have no maintenance benefits in IBD.  Immunomodulatory or biologic agents should be considered in patients with  Steroid-dependent,  2 courses of glucocorticoids for induction remission within 1 year, or  Parenteral glucocorticoids to induce remission.
  • 48.
    GLUCOCORTICOIDS Principles  Use aneffective dose  Do not overdose  Do not treat for excessively long periods  Anticipate side effects
  • 49.
    Immunomodulators Thiopurines - AZA& 6-MP  The most widely used immunomodulator agents  Exert their immunosuppressive effects by inhibition of purine and protein synthesis in lymphocytes.  They are inactive pro-drugs with subtle structural differences.  AZA remains widely used , although there are less robust data supporting its efficacy in the treatment of UC.
  • 51.
    Methotrexate Treatment ofUC  MTX long lacked data supporting its use in UC.  METEOR study, RCT- 111  Steroid-dependent UC pts to received either parenteral MTX 25 mg weekly or placebo for 24 weeks.  At the end of the trial, there was no statistically significant difference in steroid-free remission or endoscopic healing between the 2 groups.  However, patients were more likely to be in clinical remission with MTX when compared to placebo (42% compared to 24%, P = 0.04).
  • 52.
    Cyclosporine A (CSA) Potent inhibitor of cell-mediated immunity through calcineurin inhibition pathway-> diminishing T-cell activation.  Its use in IBD is primarily in patients with acute severe, steroid-refractory UC.  IV CSA monotherapy may be as effective as IV glucocorticoids in patients with severely active UC  Can be considered as bridge therapy to control active disease in patients with steroid-refractory UC while waiting for elective surgery or the onset of action of AZA or 6-MP.  CYSIF trial (RCT, N= 115) & CONSTRUCT trial (open-label RT, N= 270)  Both trials demonstrated that infliximab and CSA are similarly effective as rescue therapy in acute severe UC.
  • 53.
    CSA AEs  Paresthesias,tremors, headache, hypertrichosis, & gingival hyperplasia.  Hypertension, seizures, electrolyte and liver biochemistry abnormalities, nephrotoxicity, anaphylaxis, and opportunistic infections.  These complications are mostly dose dependent.  Careful monitoring for AEs is critical during CSA therapy.  Baseline serum electrolytes, creatinine, cholesterol, and liver biochemical values should be measured.  CSA therapy should be avoided in patients with an impaired creatinine clearance.  Patients on long-term CSA therapy should receive PCP prophylaxis.
  • 54.
    Biologic Therapies Anti-TNF Therapy The mechanism of action is most likely multifactorial, all pointing toward the ability to control the mucosal immune response.  The antibody can bind to and clear soluble TNF, but it also binds to cell- bound TNF-> induce apoptosis.  3 agents are approved for the treatment of UC: Infliximab, adalimumab, & Golimumab.  Infliximab is the only anti-TNF agent with robust data to use it as rescue therapy in steroid non-responders with acute severe UC.  Results from 2 large, multicenter, RCT trials (ACT 1 & 2) showed efficacy of infliximab therapy in UC.
  • 55.
  • 57.
    Adjunctive Therapies  Antidiarrhealand anticholinergic agents  should be used sparingly in those with ongoing active inflammation.  Parenteral vitamin B12 supplementation or the addition of cholestyramine  In patients with ileal disease or resection  Iron supplementation  Antibiotics, probiotics & intestinal microbiota transplantation  Nutritional Rx – Short chain FA, Fish oil, Curcumin  Cytapheresis
  • 58.
    Mgt approach  Shouldbe guided by  Specific diagnosis (Montreal classification)  Disease activity (mild, moderate, or severe)  Disease prognosis  Mildly active UC should be reassessed to determine response to induction therapy within 6 weeks.
  • 59.
    Management of mildto moderate UC Ulcerative proctitis or proctosigmoiditis  Topical 5-ASA - first-line treatment, preferred over topical steroids .  5-ASA suppositories and/or enemas -> induce remission in >90% of pts.  Maintain remission in approximately 75% of pts.  Complete healing usually requires 4-6 wks or longer, and continued treatment for 6-8 wks followed by a gradual taper and discontinuation.  No response to topical therapy - combination of oral and topical 5- ASA/steroids.  No response to combination therapy -> oral glucocorticoids.
  • 60.
    Maintenance therapy  Notrecommended in pts with a first episode of mild ulcerative proctitis.  Recommended : ulcerative proctitis >1 relapse in year and in all patients with proctosigmoiditis.  Discontinuation - > considered only if they have been in remission for 2 years and are averse to taking medication. Maintenance regimen  Topical therapy for induction of remission  One 5-ASA suppository in patients with proctitis  5-ASA enema every night in patients with proctosigmoiditis  Oral 5-ASA to achieve remission or multiple relapses on topical therapy  Continue on oral 5-ASAs
  • 61.
    Left-sided colitis, extensivecolitis, & pancolitis  Most benefit from combination therapy with oral & topical 5-ASA medications or topical steroid.  Oral 5-ASA exert their effect in 2-4 wks and are effective in 40-80% of pts.  Patients who do not respond in 2 weeks  Should be treated with topical combined with oral 5-ASA  If not responded to the combination of oral 5-ASA and topical 5- ASA/steroids within 2-4 weeks  MMX budesonide suggested prior to the use of other oral glucocorticoids.
  • 62.
  • 63.
    Maintenance therapy  Recommendedin all patients  5-ASA medications are highly effective  Combination therapy with oral and intermittent rectal therapy may be better than oral therapy alone.  Glucocorticoids should be tapered after the patient has been stable for 2-4 weeks.
  • 64.
    Mgt algorithm forthe mild-to-moderate active UC
  • 65.
    MGT OF MODERATELYTO SEVERELY ACTIVE UC  Should be treated with oral glucocorticoids and a combination of high dose oral 5-ASA (eg, mesalamine 4.8 g/d) & topical therapy with 5-ASA or steroids.  Initiation of oral glucocorticoids should not be delayed until the results of stool studies and cultures are available.  Anticholinergic, antidiarrheal agents, NSAIDs, and opioid drugs should be discontinued due to the risk of precipitating toxic megacolon.  There is no role of antibiotics in patients with severe colitis without signs of systemic toxicity.  Bowel rest is not recommended in in the absence of fulminant disease.
  • 66.
  • 67.
    Maintenance therapy  Inpatients who respond, IV glucocorticoids should be converted to equivalent dose of oral glucocorticoids in 3-5 days.  Oral glucocorticoids should be tapered after the patient has been stable for 2-4 weeks.  Rectal 5-ASA/steroids can be gradually tapered over 2-4 months.  Oral 5-ASA medications should be continued at the same dose.  Steroid dependent patients or pts who cannot tolerate 5-ASA medications should be maintained with 6-MP/AZA or an anti-TNF agent.
  • 68.
    Algorithm for themanagement of severely active UC
  • 69.
    TREATMENT OF FULMINANTUC  Should be admitted & treated with IV glucocorticoids.  All patients should be treated with broad-spectrum antibiotics (eg, ciprofloxacin and metronidazole).  Should be kept NPO.  CBC, electrolyte, albumin, LFT, ESR & CRP - Q12-24 hrs.  Nutritional support if malnourished.  VTE prophylaxis  Intravenous fluid & electrolyte replacement  Blood transfusions - maintain Hgb ≥10 g/dL
  • 70.
    Subsequent therapy  Patientswho fail to improve by the 3rd day of intensive Rx -> cyclosporine or infliximab, or undergo colectomy.  Infliximab can induce remission rapidly and can be used for the maintenance of remission.  Cyclosporine is used as a short-term "bridge" to therapy with the slower onset, longer acting medications, including AZA or 6-MP.  Colectomy  For pts who fail treatment with cyclosporine or infliximab within 4-7 days & those with toxic megacolon who don’t respond to therapy within 72 hrs.
  • 71.
    SURGICAL THERAPY  10-20%of patients with UC require surgical treatment.  Goals : to remove the entire diseased colon while preserving continence and sexual function and elimination of CRC risk  Emergency, urgent or elective surgery
  • 72.
    Schematic diagrams ofvarious surgical options for the management of UC. A, Conventional (Brooke) ileostomy with a subtotal colectomy and a Hartman pouch. B, Subtotal colectomy with ileorectal anastomosis. C, Conventional (Brooke) ileostomy with a total proctocolectomy. D, Continent ileostomy (Koch pouch) with total proctocolectomy. E, Restorative proctocolectomy with ileal pouch-anal anastomosis (RPC-IPAA)
  • 73.
    Mgt of UCrelated complication Strictures and Fibro-stenotic Disease  Colonic strictures -5%  Hypertrophy and thickening of muscularis mucosa rather than fibrosis.  Most commonly in extensive and long-standing colitis  Typically short -2 to 3 cm  Occur distal to the splenic flexure  High index of suspicion of malignancy – esp. when the strictures are located proximal to the splenic flexure.  Multiple biopsies are recommended at colonoscopy  Surgical resection of the stricture is advised, particularly in patients with long-standing disease.
  • 74.
    Toxic Megacolon  Ivrehydration, NPO, tube decompression  DVT & ulcer prophylaxis  All antimotility agents, opiates & anticholinergics should be discontinued  Broad-spectrum antibiotics empirically  IV corticosteroids  Approximately 50% of acute dilatation resolves with medical Rx  Patients who do not improve after 48 - 72 hrs of medical rx should undergo surgery.  Patients with progressive abdominal distention, development of rebound tenderness, or hemodynamic instability should undergo immediate colectomy.
  • 75.
    Free perforation  Candevelop in the absence of colonic dilatation -1%  Classic physical findings of peritonitis may be absent  Sigmoid colon - most at risk for free perforation  The mortality has been reported to be >50%.
  • 76.
    Dysplasia & CRC The risk of developing CRC is low during the first 8-10 yrs after a dx  The risk increases by 0.5-1%/yr after the first 10 yrs  Cumulative risk of CRC for all UC  <1% at 10 yrs, 0.4-2% at 15 yrs, &1.1-2.5% at 20yrs  RF: Duration and extent of the disease co-existing PSC, M gender, family hx of CRC, age at dx, severity of inflammation.  The estimated cancer risks in patients who have  Polyp with low-grade dysplasia-10 – 30%  Polyp with high-grade dysplasia -30 -40%  Dysplasia within a lesion or mass (DALM) - 80%
  • 77.
    Surveillance colonoscopy  Hasbeen associated with lower rates of CRC & mortality.  Surveillance began at 8 years after dx and at time of dx in patients with PSC.  Surveillance intervals: 1-3 yrs & annually in those with PSC  Colectomy is recommended for HGD & multifocal LGD
  • 78.
    References  Sleisenger andFordtran’s 11th Edition  Harrison’s, principles of Internal medicine, 20th edition  ACG 2019 practical guidelines  Uptodate 2018
  • 79.

Editor's Notes

  • #4 Dr. Samuel Wilks is credited with being the first to describe UC in 1859 when he wrote on “idiopathic colitis” and recognized it as distinct from the then more common bacillary dysentery.
  • #6 Can occur at any age, although diagnosis before the age of 5 years or after 75 years is uncommon. Industrialization has been postulated to lead to IBD, possibly owing to changes in microbial exposures, sanitation, pollution, diet, and medication exposures. Other factors are heightened awareness of IBD by physicians and patients, improvements in diagnostic techniques (endoscopy and radiologic testing) increased utilization of these tests, and greater access to healthcare by the public.
  • #8 appendectomy with confirmed appendicitis (risk reduction of 13–26%), particularly at a young age Infectious gastroenteritis with pathogens (e.g., Salmonella, Shigella, Campylobacter spp., Clostridium difficile) increases IBD risk by two- to threefold. Diets high in animal protein, sugars, sweets, oils, fish and shellfish, and dietary fat, especially ω-6 fatty acids, and low in ω-3 fatty acids have been implicated in increasing the risk of IBD. A protective effect of vitamin D on the risk of CD has been reported.
  • #10 The tridirectional relationship between the commensal flora (microbiota), intestinal epithelial cells (IECs), and mucosal immune system is dysregulated, leading to chronic inflammation. Each of these three factors is affected by genetic and environmental factors that determine risk for the disease.
  • #11 The ulcers are often irregular in shape with overhanging edges or may be linear along the line of the teniae coli.
  • #12 Pseudopolyps are most common in UC but also may be seen in CD, ischemia, and other ulcerative conditions of the colon. These blunt or finger-like lesions develop as byproducts of ulcers that penetrate into the submucosa, leaving islands of adjacent regenerative mucosa. Although the intervening areas of colonic mucosa are ulcerated, pseudopolyps can persist even when inflammation has abated and the mucosa has healed.
  • #13 This migration of neutrophils from the circulation into the lamina propria occurs in response to a variety of chemoattractants, including chemotactic peptides of colonic bacteria, IL-8, activated complement, platelet-activating factor, and leukotriene B4.
  • #14 A, These features are important in differentiating UC from acute self-limited colitis. B, There are many plasma cells between the crypt and the muscularis mucosae, another important finding that helps differentiate acute from chronic colitis. C, The bottom of this distorted crypt has been destroyed by an aggregate of polymorphonuclear neutrophils. This finding is not specific for UC and may be seen in CD and other types of colitis.
  • #15 In general, severity of symptoms correlates with the severity of disease, however, active disease may be found at colonoscopy in patients who are asymptomatic.
  • #17 In large series, EIMs are found to occur more often in CD than in UC. Some EIMs occur as a direct result of the bowel disease (e.g., nephrolithiasis resulting from oxalate malabsorption). Although less than 10% of patients with IBD have an EIM at initial presentation, 25% of patients have an EIM in their lifetime.
  • #18 Arthritis is the most frequent EIM of IBD
  • #20 Anterior uveitis in a patient with IBD is characterized by injection of the conjunctiva and opacity in the anterior chamber. Monocular attack of diffuse episcleritis in a patient with relapsing polychondritis. There is diffuse injection of the episcleral vessels, but the underlying sclera is normal. Patient with IBD with red nodular areas on the shins which are characteristic of erythema nodosum. Early lesion in pyoderma gangrenosum presenting as a pustular and violaceous plaque with incipient breakdown.
  • #22 History-taking focuses on the key symptoms and their severity and duration. The diagnosis is based on the presence of chronic diarrhea for more than four weeks and evidence of active inflammation on endoscopy and chronic changes on biopsy
  • #23 Patients with ulcerative colitis and primary sclerosing cholangitis may have an elevation in serum alkaline phosphatase concentration Fecal calprotectin (FC) can be used in patients with UC as a noninvasive marker of disease activity and to assess response to therapy and relapse.
  • #24 CT has demonstrated a better diagnostic yield than plain abdominal radiology for detecting disease complications and extent.
  • #29 In patients diagnosed by sigmoidoscopy, colonoscopy should be performed to establish the extent of the disease and to exclude CD after active disease has been controlled. Care must be taken to avoid excessive distention during colonoscopy in patients with active disease to minimize risk of perforation. In patients with active flares of disease, sigmoidoscopy is best performed in unprepared bowel or with just tap water enemas so that the earliest signs of UC can be detected without the hyperemia that is often present because of preparative enemas.
  • #32 Although none of these features are specific for ulcerative colitis, the presence of two or more histologic features is highly suggestive of ulcerative colitis.
  • #36 When evaluating these various activity indices, it is important to recognize that generally these measures are nonspecific, and thus patients with other disorders, such as IBS, could attain high scores even in the absence of any inflammation. Most patients with ulcerative colitis present with an attack of mild severity at presentation, approximately 27% of patients have moderate disease, and 1 % have severe disease at presentation It is purely clinical classification & categorizes disease as mild, moderate, or severe. It is most applicable for patients with extensive colitis and might not adequately reflect disease severity in patients with limited colitis.
  • #41 Accompanied by appropriate psychosocial support
  • #45 azoreductase, which is elaborated by anaerobic colonic bacteria Meta-analyses have demonstrated that the mesalamines are as efficacious as sulfasalazine, and the various mesalamine preparations appear to be comparable in efficacy. Of the 5-ASA that is absorbed from the colon, 20% undergoes hepatic acetylation, forming N-acetyl 5-ASA, and is excreted in the urine.
  • #46 Impairment of folate absorption- by competitively inhibiting the jejunal enzyme , folate conjugase Folate supplementation (≥1 mg/day) should be prescribed to patients receiving sulfasalazine. Approximately 15% of patients taking sulfasalazine develop significant AEs that require discontinuing the medication. Up to 90% of patients who are intolerant to sulfasalazine, however, can tolerate mesalamine.
  • #47 Olsalazine is associated with drug-induced diarrhea in up to 10% of patients, which often limits its use. Oral mesalamine therapy rarely has been associated with reversible AKI due to interstitial nephritis. Routine measurement of a serum creatinine level Q 6 - 12 mo Up to 5% of patients receiving 5-ASA may develop paradoxical worsening of their colitis symptoms, often within the first few days or weeks of initiating therapy. The standard dosing regimens used to induce remission are 1- 4 g of 5-ASA in the form of an enema nightly, or mesalamine suppositories (1 -1.5 g) either nightly or in divided doses
  • #48 The long-term remission rate in patients who require parenteral glucocorticoids for severe UC is approximately 50%.
  • #50 AZA is non-enzymatically converted in the peripheral circulation to 6-MP, which is then metabolized through a series of enzymatic pathways to active and inactive metabolites.
  • #53 The addition of AZA or 6-MP in patients who have responded to IV CSA has been shown in other studies to reduce the rate of relapse or colectomy. CSA also has been used as a third-line salvage therapy in patients refractory to both IV steroids and infliximab.
  • #54 Severe complications have been reported in up to 12% of patients with UC. 2 large series have reported death rates of 1.8% to 2.8% with CSA, > 50% resulted from infections acquired while taking the drug.
  • #55 Elevated TNF concentrations have been found in the inflamed intestine of patients with CD and UC. Stool and mucosal concentrations of TNF in patients with IBD have been shown to correlate with clinical disease activity. Treatment with infliximab was shown to have steroid-sparing and mucosal healing properties. The newest tool in the armamentarium to optimize anti-TNF therapy is the ability to measure anti-TNF drug and antibody levels. 16-week trial (UC-SUCCESS)- Patients receiving combination therapy had higher rates of steroid-free remission (40%) compared with those receiving monotherapy (24% for AZA alone, 22% for infliximab alone).
  • #56 The results for clinical remission at week 30 (ACT 1 and 2) and week 54 (ACT 1) were very similar for all groups, with highly significant greater than 2-fold higher remission rates for the infliximab-treated patients. Their efficacy optimized using 3 principles: Administering therapy early in disease course; Using concomitant immunomodulators;
  • #58 Many other therapies are used to control the symptoms and adverse consequences of IBD. Smoking cessation should be vigorously pursued as a means of improving longterm outcomes in CD. the addition of cholestyramine (1 to 4 g/day) or colesevelam (625 to 3800 mg/day) to control bile salt diarrhea Interestingly, smoking cigarettes has been shown to have therapeutic benefit in patients with UC who developed their UC after quitting smoking. In contrast to CD, antibiotics have a limited role in the management of UC, and most controlled studies have not demonstrated their benefit either in active disease or maintenance of remission
  • #59 Patients with mildly active UC and a number of prognostic factors associated with an increased risk of hospitalization or surgery should be treated with therapies for moderately to severely active disease.
  • #60 For patients with mild to moderate disease confined to the distal 5 to 8 cm of rectum, we recommend treatment with mesalamine suppository twice daily. For patients with mildly to moderately active disease that involves >8 cm of distal rectum, or the rectum plus sigmoid colon (proctosigmoiditis), we begin treatment with 5-ASA enemas given twice daily in addition to 5-ASA suppositories twice daily.
  • #61 Patients with frequent relapses may benefit from a higher dose of maintenance therapy.
  • #64 For patients with steroid-refractory UC, additional medical therapy with cyclosporine as a short-term "bridge" to therapy with longer acting medications (AZA or 6-MP) or an anti-TNF agent should be considered.
  • #66 IV antibiotics (eg, ciprofloxacin & metronidazole) recommended in patients with severe colitis and HGF, leukocytosis with many bands (band form count >700/microL), and peritoneal signs or megacolon. Enteral nutrition is preferred, as it is associated with significantly fewer complications than parenteral nutrition and does not deprive the colon of short chain fatty acids needed for the metabolism and repair of colon epithelial cells.
  • #70 Should be admitted to a hospital & followed closely with V/S and P/E Q 4-6 hrs to evaluate abdominal and rebound tenderness and more frequently if there is clinical deterioration. Stool output should be recorded to chart the number and character of bowel movements, including the presence or absence of blood and liquid versus solid stool.
  • #73 The choice of operation is based on several factors, including the indication for and urgency of surgery, the age and general health of the patient, the status of the patient’s anal function, and the patient’s preference of functional outcome and lifestyle.
  • #74 Endoscopic appearance cannot reliably distinguish benign strictures from malignant strictures Clinically significant obstruction is rare One series reported malignancy in 24% of colonic strictures
  • #75 Results from extension of colonic inflammation beyond the mucosa to the underlying tissues, including the muscularis propria.
  • #77 Patients with extensive UC had a 5X increased risk. For patients who do not have colorectal polyps but have had UC for over 10 years, surgery can also reduce the risk CRC