IBD-UC PART - 1
PRESENTER:DR.ABHINAV KUMAR
DEFINITIONS
• Ulcerative colitis — Ulcerative colitis is a chronic inflammatory
condition characterized by relapsing and remitting episodes of
inflammation limited to the mucosal layer of the colon.
• Ulcerative Proctitis  Disease limited to the rectum
• Ulcerative Proctosigmoiditis  Rectum and Sigmoid colon and not
involving the descending colon
• Left-sided or distal ulcerative colitis beyond the rectum and as far
proximally as the splenic flexure
• Extensive colitis Extending proximal to the splenic flexure but
sparing the cecum
• Pancolitis is used when the inflammatory process extends
throughout the colon to the cecum
EPIDEMIOLOGY
WESTERN
INCIDENCE
• 6–15.6/100,000North
America
• 10–20.3/100,000North
Europe
PREVALENCE RATES
• 37.5–229/100,000North
America
• 21.4–243/100,000North
Europe
INDIAN
HARYANA STUDY(1984)
• 21,971 persons
• prevalence rate of 42.8/
100,000
Ludhiana, Punjab
• 51,910 persons(23definite
UC)
• Prevalence44.3/100,000,
• Crude incidence calculated
after a second visit 1 year later
was 6.02 per 100,000
EPIDEMIOLOGY
INDIANS
• Incidence rate of 6.02 per
100,000 recorded in India
REST OF ASIAN
• Incidence of UC in Asian0.4 to
2.1/100,000 population
• Prevalence rates  Lower in Asia,
ranging from 6 to 30/100,000
• Studies from Singapore & Malaysia comparing populations of Indian,
Chinese and Malay ethnic origin have shown that residents of Indian
origin had a higher prevalence of UC than those of Chinese or Malay
origin.
• Indians in these studies had odds ratios of 2.9–4.8 compared to Chi-
nese or Malays of having UC.
ETIOLOGY & PATHOGENESIS
Age and gender —15 and 40 years
• Bimodal age distribution second peak 50 and 80 years
• Slight male predominance in ulcerative colitis
UC stratified by age
• A1: <16 More aggressive initial course
• A2:16–40
• A3: >40 years  Lower risk of colectomy
Racial and ethnicity
REST OF WORLD
• Jews > non-Jews
Within Israel Ashkenazi >
Sephardic Jews
• whites > black & Hispanic
• Related to environmental and
lifestyle factors as well as due
to underlying genetic
differences.
SOUTH-ASIAN ETHIC GROUPS
• South Asians in the UK was
about twice as high as that in
Europeans.
• South Asian ethnic groups –
Hindus10.8/100,000/y
Sikhs16.5/100,000/y
Muslims6.2/100,000/y
Europeans5.3/100,000/y
Smoking
• Current smoking may be protective
• Non Smoker > Smoker
Light-smoker > Heavy-smoker
• 229,111 women  current smokers = non smoker
• Former smokers > Non smoker (HR 1.6)
• The risk of ulcerative colitis increased two years after cessation of
smoking and persisted for over 20 years.
• Smoking cessation in patients with ulcerative colitis is associated with
an increase in the disease activity and hospitalization
• Transdermal nicotine patches  Improve ulcerative colitis associated
symptoms  Not shown any effects on objective measures of
disease
Protective effect??
• Appendicectomy  Early age may be protective against the onset
and subsequent severity of UC69% risk reduction
• The protective effect of appendicectomy is additional to that of
smoking, but does not appear to protect against the development
of PSC.
• Appendicectomy is performed after the onset of ulcerative colitis,
the effect (if any) on the course of the disease is far less clear.
Family History
• First-degree relatives 10–15 fold risk of developing the disease.
• Life time risk of UC for a first degree relative  2%
• Familial cases of UC there is a slight female & younger age of
onset compared to sporadic cases
• Western patients with UC  14.6 % to 29.4 %
• Asian patients with UC 0.6 % to 8 %
• ISG-IBD Task Force data collection found a positive family history
in only 2.3 % of UC patients
Comparison of environmental risk factors for UC
and CD in Indian studies and the ACCESS study
Diet
• "Western" style diet (processed, fried, and sugary foods) Ulcerative
colitis.
• Hypersensitivity to cow's milk protein in infancy cause of IBD
• IBD patients V/S controls noted cow's milk hypersensitivity
Ulcerative colitis(21%) > Controls (3%)
• Total fat
• Animal fat INCIDENCE & RELAPSE
• Polyunsaturated fatty acids
• Milk protein
GENETIC FACTORS
Genetic susceptibility
• Non-Mendelian pattern of inheritance
• 80 twins with IBD concordance rate for monozygotic twins
was markedly higher in CD (50%) than UC (19%).
• First-degree relatives  3 to 20 times more likely.
In one report both parents had IBD (CD or UC) had up to a
33%  IBD by age 28
• In Asia, a positive family history  0.6 % to 8 %
Specific genes
• TOTAL 163 LOCI INCREASED RISK OF IBD
• 7.5 % UC
• 13.6% CD
• 23/163 SPECIFIC FOR UC
• 30/163 SPECIFIC FOR CD
• 110/163BOTH UC/CD
• 113/163Other autoimmune diseases
• Psoriasis
• Ankylosing spondylitis
• Primary immunodeficiency
• Mycobacterial infection
Genetics
• NOD2 has the strongest association with IBD CD.
• NOD2 polymorphisms in Indians could not find such an association,
• 2 of these studies could find a weak association of rs2066842
(Pro268Ser) with UC
• Juyal et al
• UC/CD-specific genetic loci North Indian population.
• 53 such loci
• 25 SNPs IBD in Indians
• 15 were CD specific.
• Only 5 SNPs, HLA-DRA,IL10,RNF186,BTNL2,NOD2 retained
significance after Bonferroni correction.
Juyal G, Prasad P, Senapati S, Midha V, Sood A, Amre D, Juyal RC, BK T: An investigation of
genome-wide studies reported susceptibility loci for ulcerative colitis shows limited replication
in north Indians. PLoS One 2011; 6:e16565.
Genetics
• Strong protective TNFSF15 Gene polymorphisms and IBD in
the Indian population
• TNFSF15 has also been associated with an IBD risk in studies
from Japan and the UK
• Autophagy-related gene, the IRGM gene
Baskaran K, Pugazhendhi S, Ramakrishna BS: Protective association of tumor necrosis fac-
tor superfamily 15 (TNFSF15) polymorphic haplotype with Ulcerative Colitis and Crohn’s
disease in an Indian population. PLoS One 2014;9:e114665.
Genetics
Verma R, Ahuja V et al (2012)
• Reported polymorphisms of the NOD1 protein in UC patients
• 3 SNPs which led to significant mutations in ATP and Mg2+-binding
domains of Exon 6 of the NOD1 gene that may cause defective
oligomerization and subsequently the “loss of function” of the protein,
thereby preventing the recognition of muramyl dipeptide that is
necessary for a subsequent NF- κB activation
• Verma R, Ahuja V, Paul J: Detection of single- nucleotide polymorphisms in the intron 9 re-
gion of the nucleotide oligomerization do- main-1 gene in ulcerative colitis patients of North
India. J Gastroenterol Hepatol 2012;27: 96–103.
• Verma R, Ahuja V, Paul J: Frequency of single nucleotide polymorphisms in NOD1 gene of
ulcerative colitis patients: a case-control study in the Indian population. BMC Med Genet
2009;10:82.
Genetics
• TLR4 D299G polymorphism UC and CD
• T399I polymorphisms only in UC
• Modulating the transcription of inflammatory cytokines in UC,
leading to an aberrant immune response.
• TLR5 variants R392X and N592S showed significant association with
UC
Disease phenotype
Combination of multiple SNPs both in the TLR5 and the TLR4 gene
suffered from early-onset disease which had a severe long-term
course.
Meena NK, Ahuja V, Meena K, Paul J: Association of TLR5 gene polymorphisms in ulcerative colitis patients of north
India and their role in cytokine homeostasis. PLoS One 2015;10:e0120697.
Juyal G, Midha V, Amre D, Sood A, Seidman E, Thelma BK: Associations between com- mon variants in the MDR1 (ABCB1)
gene and ulcerative colitis among North Indians. Pharmacogenet Genomics 2009;19:77–85.
Genetics
• MDR1 (ABC B1) gene polymorphisms early age at disease onset,
left-sided disease, and steroid response in UC
• A recent GWAS on UC in a North Indian population revealed 3 novel
HLA-independent loci as susceptibility genes located in 3.81, BAT2,
MSH5, HSPA1L, SLC44A4, CFB, and NOTCH4
• Juyal G, Midha V, Amre D, Sood A, Seidman E, Thelma BK: Associations between com- mon
variants in the MDR1 (ABCB1) gene and ulcerative colitis among North Indians. Phar-
macogenet Genomics 2009;19:77–85.
• Juyal G, Negi S, Sood A, et al: Genome-wide association scan in north Indians reveals three
novel HLA-independent risk loci for ulcer- ative colitis. Gut 2015;64:571–579.
GENETIC SYNDROMES ASSOCIATED WITH
IBD
Turner syndrome
• Absence of an X chromosome
• Dysfunctional X chromosome.
• 1:5000 live female births
• Short stature,
• webbed neck,
• widely spaced nipples,
• Cubitus valgus,
• Cardiac defects (especially
bicuspid aortic valve,
coarctation, and aortic
stenosis).
Association with IBD
• In one of the largest series, 4 of
135 (3 percent) adults with
Turner syndrome developed
IBD (two with UC and two with
CD), an incidence much higher
than an age-matched
population
GENETIC SYNDROMES ASSOCIATED WITH
IBD
Hermansky-Pudlak syndrome — Granulomatous colitis similar to CD
• Autosomal recessive disorder
• Oculocutaneous albinism
• Abnormal platelet aggregation with bleeding diathesis
• Pulmonary fibrosis
• Genetic linkage Chromosome 10q23
• In one study, 8 of 49 (16 percent) patients with HPS had IBD; four of
the eight had a mutation in this gene
Microbiome
• IBD  Abnormal immune response to intestinal microbiota in
genetically susceptible individuals.
• Gut microbiome studies in IBD patients Reduced diversity within
the Firmicutes phylum
Verma R, Verma AK et al (2010)
– Mucosa- associated bacterial flora Control v/s IBD patients
There was a significant decline in the population of
• Bacteroides,
• Lactobacillus,
• Ruminococcus,
• Bifidobacterium bacteria
Verma R, Verma AK, Ahuja V, Paul J: Real- time
analysis of mucosal flora in patients with
inflammatory bowel disease in India. J Clin
Microbiol 2010;48:4279–4282.
Microbiome
• Increased Lactobacilli in the faecal samples of patients Active UC
v/s healthy controls.
• Lactobacilli significantly reverted back to normal during remission
• Increase in faecal lactate level Severe UC patient v/s controls.
• Interplay between butyrate concentration and butyrate-producing
bacteria in faecal samples of UC patients and healthy individuals.
Clostridium coccoides
Clostridium leptum Faecal samples of the UC patients
PATHOGENESIS OF IBD
Conceptual framework for the pathogenesis of IBD
Cytokines in the pathogenesis of IBD
Central role of TNF in the pathogenesis of IBD.
The crucial role of cytokines and epithelial cells on
the battlefield: mucosal healing and cancer in IBD
Distribution of disease
Ulcerative Colitis
When the whole colon is involved, inflammation extends 1-2 cm in Terminal ileum ( Back
wash ileitis)
40-50% 30-40% 20%
WHY EXTENT IMPORTANT
• Extent of inflammation will influence the patient's management &
the choice of delivery system for a given therapy.
• Start and the frequency of surveillance
• Study from Sweden Extent of disease colorectal cancer
• 3117 UC patients followed up from 1 to 60 years after diagnosis.
• No increased RR Disease confined to the rectum
• RR for left-sided colitis2.8 Surveillance colonoscopy
• extensive colitis14.8
Classification according to disease
severity
Classification according to disease severity
Activity & Pattern of disease:
• Copenhagen County, Langholz et al 50% of patients clinical
remission at any time during a given year
• Relapsing course after 25 years of follow up amounted to 90%.
• Disease activity in the first 2 years after diagnosis indicated an
increased probability of 5 consecutive years of active disease.
Activity & Pattern of disease:
Quiescent UC
• Chronic inflammatory cell infiltrate all biopsy specimens
• Crypt architectural irregularities Two thirds
• 52%  acute inflammatory cell infiltrate relapsed after 12 months of
follow-up
• 25% relapsed in the absence of such an infiltrate
• Relapse rates
• Presence of crypt abscesses
• Mucin depletion
• Breaches in the surface epithelium
Choice of index
Clinical features of ulcerative colitis
• Visible blood in the stools > 90%
• Loose stools (or a decrease in stool consistency) > six weeks
differentiates UC from most infectious diarrhoea.
• Extensive active UC  Chronic diarrhoea
• Rectal bleeding
• Rectal urgency
• Tenesmus
• Passage of mucopurulent exudates
• Nocturnal defaecation
• Crampy abdominal pain
• Ache over the left iliac fossa prior to and relieved by defaecation
Clinical features of ulcerative colitis
Proctitis
• Rectal bleeding
• Urgency
• Tenesmus
• Occasionally severe constipation
• Anal and minor perianal lesions may complicate severe diarrhoea
• Simple fistulae may occasionally occur in UC
• Recurrent or complex perianal fistulae should always raise the
suspicion of Crohn's colitis.
• The onset of UC Insidious
• Symptoms Weeks or even months before medical advice is sought
• Disease may present
– Intermittent episodes of symptoms
– Severe attack (15%)
Systemic symptoms including
– weight loss
– Fever
– tachycardia
– even nausea and vomiting
Extraintestinal manifestations Indian
Perspective
Kochhar
34.7 % of UC patients
• Sacroilitis 14 %,
• Peripheral arthritis10.7%
• Ocular manifestations8%
• Mucocutaneous lesions2.7%
• Vascular 2 %
• Hepatobiliary 1.3 %.
Habeeb et al
39 % of UC patients
• Sacroilitis 5 %
• Arthralgia 21 %
• Ocular involvement7 %
Overall Prevalence 6 % to 39 %
DERMATOLOGIC MANIFESTATION
• Erythema nodosum 3 to
10% UC
• 4 to 15%  Crohn disease
• Lesions typically consist of
raised, tender, red or violet
subcutaneous nodules that
are 1 to 5 cm in diameter
• Extensor surfaces of the
extremities, particularly
over the anterior tibial area.
• Biopsy focal panniculitis.
DERMATOLOGIC MANIFESTATION
• Pyoderma gangrenosum is
the second most common
• 2402 patients with IBD,
pyoderma gangrenosum 
0.75%
• The lesions initially appear
as single or multiple
erythematous papules or
pustules that are often
preceded by trauma to the
skin
DERMATOLOGIC MANIFESTATION
• Most commonly on the legs,
but can develop in any area
of the body.
• Subsequent necrosis of the
dermis deep ulcerations
that contain purulent
material
• Usually sterile on culture
• Biopsy reveals nonspecific
findings consistent with a
sterile abscess.
Neutrophilic dermatoses
Sweet syndrome
• Acute inflammatory dermatitis
characterized by tender
papules, plaques, and nodules
distributed on the face, arms,
and trunk
• Skin lesions are most commonly
seen on the head, neck, and
upper extremities.
• Biopsy of the lesion reveals an
intense neutrophilic infiltrate
without evidence of vasculitis.
Neutrophilic dermatoses
Aseptic abscess syndrome –
• Typical presentation includes fever, weight loss, abdominal
pain, and leukocytosis
• Aseptic sterile collections with a neutrophil predominant
infiltrate.
• Sterile abscesses are usually located in the spleen, but
approximately 20 percent of patients have cutaneous
abscesses.
OCULAR MANIFESTATIONS
Primary sclerosing cholangitis (PSC)
• Chronic cholestatic disease of the liver and bile ducts that is
frequently progressive and can lead to end-stage liver disease.
• progressive inflammation, fibrosis, and stricturing of the intrahepatic
and extrahepatic bile ducts.
• 1 case per 100,000 person years.
• 70 %  men
• Mean age at diagnosis of 40 years.
• First-degree relatives of patients with PSC have an increased risk of
PSC and ulcerative colitis (UC)
Primary sclerosing cholangitis (PSC)
• Up to 90 % of PSC also have UC
• < 10 percent of patients with UC have PSC.
• etiologies have been proposed
• Autoimmune process.
• An inflammatory reaction in the liver and bile ducts may be induced
by chronic or recurrent entry of bacteria into the portal circulation.
Liver damage may also result from the accumulation of toxic bile
acids that are abnormally produced by colonic bacteria or chronic
viral infection.
• Ischemic damage to the bile ducts may occur.
Investigations
A) Laboratory Findings
• Thrombocytosis chronic inflammatory response,
• Anaemia severity
• Leucocytosis Infectious complication.
• Hypoalbuminaemia (in extensive disease).
• Elevated ESR and CRP Clinical activity
– CRP >10 mg/L after a year of extensive colitis, predicted an increased rate
of surgery.
• Stool analysis: leucocytes and fecal lactoferrin.
Investigations
• Stool specimens should be cultured for common pathogens
• C. difficile toxin A and B
• Campylobacter spp
• Escherichia coli 0157:H7
• P-ANCA is the most commonly associated serologic marker
• P-ANCA
up to 65% of patients with UC
< 10% of patients with Crohn's
• associated ulcerative colitis medically refractory
• require early surgery
• result in chronic pouchitis in patients who have undergone
ileal pouch anal anastomosis (IPAA)
Microbial investigations
• Not routinely recommended C. difficile  infrequent positive
results
• Microbial stool tests should be performed during a treatment-
refractory or severe relapse.
• Flexible sigmoidoscopy  stool test is negative.
• Reactivation of CMV Immunosuppressed patients with severe
colitis.
• CMV infection may cause refractory or severe relapse.
• Most commonly used technique CMV DNA through PCR
• Occasional intranuclear inclusion bodies Not significant
• Multiple intranuclear inclusions Significant
Investigations
Faecal calprotectin
• most sensitive,
• non-invasive biomarker
• Recent studies emphasise the value of calprotectin in selecting
patients for diagnostic investigation, assessing, disease severity
(correlating with endoscopic indices), diagnosing relapse and
response to treatment.
Imaging Studies
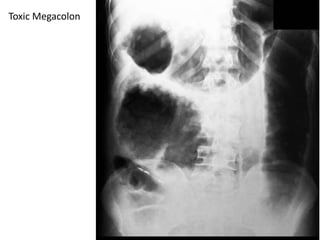
Plain Abdominal X-ray:
Symptoms of severe or fulminant colitis.
Thumbprinting appearance Thickening of the colonic wall + bowel
wall edema.
• Colonic segmental dilatation exceeding 5 cm with an irregular edge
outlined by gas, correlates strongly with ulceration.
• In toxic megacolon, the bowel is dilated with loss of haustral
markings.
Radiograph reveals
Thumbprinting
Toxic Megacolon
Barium Enema
• Useful for detecting active ulcerative disease, polyps, or
masses.
• The colon typically appears granular and shortened.
Double-contrast barium
enema.
• Ahaustral
• Diffuse granular-appearing
mucosa.
• Air-filled terminal ileum is
dilated.
Double-contrast barium enema.
Coarsely granular mucosal
Ulcerations are visible.
Double-contrast barium enema.
• The colon is affected with a
coarsely granular mucosal pattern.
• Numerous polypoid filling defects
also are present.
Contrast-enhanced CT
• Typically reveals
colonic wall
thickening.
• Innumerable
enhancing polypoid
filling defects are
present throughout
the rectosigmoid
colon.
• The wall of the colon
is hyperenhancing
and slightly irregular
in contour.
Coronal MDCT image
• Mild symmetric wall
thickening (arrows) of the left
colon with associated
lymphadenopathy in the
mesocolon.
Abdominal ultrasound
• Screen for small bowel or
colonic inflammation with a
sensitivity of 80–90%.
• Low cost
• Easy to perform without
prior preparation
• Non-invasive
• Accuracy skill of operator
• Low specificity for
differentiating UC from other
causes of colonic inflammation.
• Monitoring treatment success
• initial data that ultrasound
might help to predict the course
of the disease
Abdominal ultrasound
Hydrocolonic ultrasound
• Abdominal ultrasonography in
conjunction with retrograde
instillation of water in the colon
• High sensitivity for identifying
active colitis
• Disadvantage cumbersome
for day to day clinical practice
Doppler ultrasound
• Superior and inferior
mesenteric arteries has been
used to evaluate disease
activity and risk of relapse.
• Complementary technique for
assessing disease activity in
expert hands.
Leukocyte scintigraphy
• Safe
• Non-invasive
• Potentially allows assessment of the presence, extent and
activity of inflammation.
• Lacks specificity
• Not be recommended as a standard diagnostic tool for
ulcerative colitis
• Unreliable if patients are taking steroids.
UC V/C CD
Endoscopic features of ulcerative colitis
Endoscopic features of ulcerative colitis
Mild inflammation
• erythema,
• vascular congestion of the
mucosa
• Loss of visible vascular
pattern
Moderately active colitis
• complete loss of vascular
pattern,
• blood adherent to the
surface of the mucosa and
erosions
• a coarse granular
appearance
• mucosal friability
Endoscopic features of ulcerative colitis
• Severe colitis is characterised by spontaneous bleeding and
ulceration
• In contrast to Crohn's disease, ulcers in severe UC are always
embedded in inflamed mucosa.
• The presence of deep ulceration is a poor prognostic sign.
• In longstanding disease,
• mucosal atrophy can result in loss of haustral folds,
• luminal narrowing
• post-inflammatory (‘pseudo’) polyps
Ulcerative colitis Endoscopic Index of Severity
(UCEIS)
Endoscopic scores for ulcerative colitis commonly
used in clinical trials
• OGD Mucosal biopsy are recommended in patients with
upper gastrointestinal symptoms.
• Wireless capsule endoscopy (WCE)  Colitis unclassified
• Normal Not exclude Crohn's disease
• Very high negative predictive value
• Using WCE, Lopes et al. IBDU to Crohn's disease in 7/14
patients, though this did not lead to change in management.
Assessment of extent, severity and activity
Signs of discontinuous inflammation in ulcerative colitis-
RECTAL SPARING & CAECAL PATCH
• Macroscopic and microscopic rectal sparing Children presenting
with UC prior to treatment
• In adults normal or patchy inflammation in the rectum Topical or
Systemic therapy for UC.
• Patchy inflammation in the caecum ‘caecal patch’ and is observed
in patients with left-sided colitis.
• Macroscopic and Histological rectal sparing
• Presence of a caecal patch in newly diagnosed colitis
Assessment of extent, severity and activity
Appendiceal skip lesions
• Involvement of the appendix as a skip lesion is reported in up
to 75% of patients with UC.
• Appendiceal inflammation has been associated both with a
• More responsive course of disease
• Higher risk of pouchitis after ileal pouch anastomosis
Assessment of extent, severity and activity
Backwash ileitis
Continuous extension of macroscopic or histological inflammation from
the caecum into the most distal ileum is defined as ‘backwash ileitis’
• up to 20% of patients with pancolitis.
• RARELY Ileal erosions may occur in patients without caecal
involvement
• A more refractory course  backwash ileitis.
• Small bowel  UC v/s Crohn's disease.
Small bowel radiology  not routinely recommended.
• Diagnostic difficulty (rectal sparing, atypical symptoms, macroscopic
backwash ileitis)
Microscopic features—definitions
Architectural features
– Crypt branching
– Crypt distortion
– Crypt atrophy
– Surface irregularity
Epithelial cell abnormalities
– mucin depletion
– Paneth cell metaplasia
Inflammatory features
– increased lamina propria
cellularity,
– basal plasmacytosis,
– basal lymphoid
aggregates,
– lamina propria
eosinophils.
Crypt architectural abnormalities
Crypt branching:
• Two or more branched (bifurcated) crypts in a well oriented section,
whether the branching is in the vertical or horizontal axis.
• Applied to a single crypt Less specific
• The pathogenesis can be accounted for by regeneration following
previous damage or destruction (cryptolysis)
Mucosal (crypt) distortion:
• Irregularities in crypt size (i.e. variable diameter)
• Spacing
• Orientation (i.e. loss of parallelism)
Mucosal (crypt) atrophy and crypt density:
• Combination of crypt depletion
• Increase in the distance between the muscularis mucosae and the
base of the crypts.
• An increase in the intercryptal space and the crypt–muscularis
mucosae distance may be normal in the caecum and distal rectum.
• The pathogenesis crypt death
• All crypt cells die, crypts cannot regenerate and disappear within 48
h.
• If one or more clonogenic cell survives the insult, rapid proliferation
regenerates the crypt within 72–96 h.
• The mucosa subsequently heals by clonal expansion and the number
of crypts that survive to regenerate following a cytotoxic insult
correlates with symptom severity
Surface irregularity:
• Surface irregularity (synonyms include villous surface, villiform
surface, or villous mucosa)
• Wide crypt mouths, giving the mucosal surface a finger-like
appearance.
• The impression is due to separation of crypts and a semantic
distinction between “irregular surface” and “villous surface”
has been proposed, according to the villous-crypt ratio
Epithelial cell abnormalities
Paneth cell metaplasia:
• Paneth cells are normally extremely uncommon in the colon distal
to the splenic flexure, being present in 0–1.9% of non-IBD controls.
• The presence of Paneth cells in the distal colon can be termed
Paneth cell metaplasia.
• Pathogenesis epithelial regeneration and repair.
• Mucin depletion: defined as a reduction in number of goblet cells
or depleted mucin within cells.
Inflammatory features
Basal plasmacytosis:
• Presence of plasma cells around (deep 1/5th of the lamina propria) or
below the crypts, alongside or penetrating the muscularis mucosae
• Basal plasmacytosis
• subcryptal plasma cells
– plasmacytosis with extension in the base of the mucosa
• Accumulation of plasma cells between the base of the crypts and the
muscularis mucosae.
• The abnormality can be focal or diffuse and subcryptal location of the
cells is not always present
• Lamina Propria cellularity: An increase in the total number of plasma
cells, lymphocytes, histiocytes and eosinophils is a feature of all types
of colorectal inflammation and is of limited discriminant value. In UC
the cellular infiltrate is diffuse and transmucosal.
• Neutrophils may be present in the lamina propria or between
epithelial cells, are readily recognised and a reproducible feature of
inflammation.
• More than three neutrophils in the lamina propria outside
capillaries may be abnormal, but the exact number has not been
agreed.
• Neutrophils are a feature of cryptitis with migration of
neutrophils through the crypt epithelium, inducing crypt
disruption and crypt abscesses, which may be responsible for
cell surface damage or disruption.
• Eosinophils in the lamina propria are highly variable.
– An increase UC and a potential diagnostic value has
been proposed.
Distribution of the lamina propria cellular
inflammatory infiltrate
• Focal (normal background cellularity with areas of increased
cellularity);
• Patchy (abnormal background cellularity with variable intensity)
• Diffuse (abnormal background cellularity with an overall increase in
density).
• To avoid diagnostic error 
• Early onset disease in children
• After treatment
• Disease is resolving or quiescent
• Basal lymphoid aggregates: Nodular collections of lymphocytes
between the crypt base and muscularis mucosae,without germinal
centres.
 Two aggregates Abnormal
• Stromal changes: Diffuse thickening of the muscularis mucosae or a
double muscularis mucosae (which is unusual, but characteristic
when present) have been observed in longstanding active and
quiescent UC
Backwash ileitis
• ‘Backwash ileitis’ should be in continuity with colonic inflammation
and the lesions in the caecum should show a similar, or greater
degree of active inflammation.
• The ileal lesions in ‘backwash ileitis’
– active inflammation in the villi and lamina propria
– Shortening
– blunting of the villi
• Focal, isolated ileal erosions, mucous gland metaplasia or patchy
oedema with mild active inflammation are features suggestive of
Crohn's disease.
Microscopic features—appraisal of the diagnosis
Early stage disease
• Non-specific increase in the inflammatory infiltrate in the lamina
propria in combination with absent crypt architectural distortion,
indicates a diagnosis of acute, infective colitis rather than UC.
• Not confirmed in those studies of patients with early onset colitis
• Basal plasmacytosis  Early onset in 38–100% of adult patients
and can help differentiate between UC and infectious colitis.
• Feature in young children
• Early feature, sometimes the first lesion to appear
• Good predictive marker
• Glandular abnormalities can be identified with good (83-90%) inter-
observer agreement.
• According to most studies, diffuse crypt architectural irregularity and
reduced crypt numbers or atrophy indicate UC.
• Crypt architectural changes were observed in biopsies obtained
between 16 and 30 days after onset,but not in earlier biopsies.
• Crypt distortion and mucosal atrophy may return to normal or
remain unchanged after resolution of symptoms.
Established disease
• Basal plasmacytosis (defined as presence of plasma cells around
(deep part of the lamina propria)
• Below the crypts (subcryptal)
• Heavy, diffuse transmucosal lamina propria cell increase
• Widespread mucosal or crypt architectural distortion
• Mucosal atrophy
• Villous or irregular mucosal surface appear later during the evolution
of the disease (4 weeks or more).
• General or widespread crypt epithelial neutrophils (cryptitis and
crypt abscesses) favour ulcerative colitis
• Paneth cell metaplasia distal to the splenic flexure is a non
specific feature.
– Suggestive of a diagnosis of ulcerative colitis in established
disease.
– Severe, widespread mucin depletion is helpful for the diagnosis
of ulcerative colitis in active disease
Indeterminate colitis
• Restricted to resection specimens.
• When patients have colitis that has yet to be classified after
all clinical, radiologic, endoscopic and histological results are
taken into account, then the preferable term is IBD
unclassified (IBDU)
INFLAMMATORY BOWEL DISEASE ULCERATIVE COLITIS

INFLAMMATORY BOWEL DISEASE ULCERATIVE COLITIS

  • 1.
    IBD-UC PART -1 PRESENTER:DR.ABHINAV KUMAR
  • 2.
    DEFINITIONS • Ulcerative colitis— Ulcerative colitis is a chronic inflammatory condition characterized by relapsing and remitting episodes of inflammation limited to the mucosal layer of the colon. • Ulcerative Proctitis  Disease limited to the rectum • Ulcerative Proctosigmoiditis  Rectum and Sigmoid colon and not involving the descending colon • Left-sided or distal ulcerative colitis beyond the rectum and as far proximally as the splenic flexure • Extensive colitis Extending proximal to the splenic flexure but sparing the cecum • Pancolitis is used when the inflammatory process extends throughout the colon to the cecum
  • 4.
    EPIDEMIOLOGY WESTERN INCIDENCE • 6–15.6/100,000North America • 10–20.3/100,000North Europe PREVALENCERATES • 37.5–229/100,000North America • 21.4–243/100,000North Europe INDIAN HARYANA STUDY(1984) • 21,971 persons • prevalence rate of 42.8/ 100,000 Ludhiana, Punjab • 51,910 persons(23definite UC) • Prevalence44.3/100,000, • Crude incidence calculated after a second visit 1 year later was 6.02 per 100,000
  • 5.
    EPIDEMIOLOGY INDIANS • Incidence rateof 6.02 per 100,000 recorded in India REST OF ASIAN • Incidence of UC in Asian0.4 to 2.1/100,000 population • Prevalence rates  Lower in Asia, ranging from 6 to 30/100,000 • Studies from Singapore & Malaysia comparing populations of Indian, Chinese and Malay ethnic origin have shown that residents of Indian origin had a higher prevalence of UC than those of Chinese or Malay origin. • Indians in these studies had odds ratios of 2.9–4.8 compared to Chi- nese or Malays of having UC.
  • 8.
    ETIOLOGY & PATHOGENESIS Ageand gender —15 and 40 years • Bimodal age distribution second peak 50 and 80 years • Slight male predominance in ulcerative colitis UC stratified by age • A1: <16 More aggressive initial course • A2:16–40 • A3: >40 years  Lower risk of colectomy
  • 9.
    Racial and ethnicity RESTOF WORLD • Jews > non-Jews Within Israel Ashkenazi > Sephardic Jews • whites > black & Hispanic • Related to environmental and lifestyle factors as well as due to underlying genetic differences. SOUTH-ASIAN ETHIC GROUPS • South Asians in the UK was about twice as high as that in Europeans. • South Asian ethnic groups – Hindus10.8/100,000/y Sikhs16.5/100,000/y Muslims6.2/100,000/y Europeans5.3/100,000/y
  • 10.
    Smoking • Current smokingmay be protective • Non Smoker > Smoker Light-smoker > Heavy-smoker • 229,111 women  current smokers = non smoker • Former smokers > Non smoker (HR 1.6) • The risk of ulcerative colitis increased two years after cessation of smoking and persisted for over 20 years. • Smoking cessation in patients with ulcerative colitis is associated with an increase in the disease activity and hospitalization • Transdermal nicotine patches  Improve ulcerative colitis associated symptoms  Not shown any effects on objective measures of disease
  • 11.
    Protective effect?? • Appendicectomy Early age may be protective against the onset and subsequent severity of UC69% risk reduction • The protective effect of appendicectomy is additional to that of smoking, but does not appear to protect against the development of PSC. • Appendicectomy is performed after the onset of ulcerative colitis, the effect (if any) on the course of the disease is far less clear.
  • 12.
    Family History • First-degreerelatives 10–15 fold risk of developing the disease. • Life time risk of UC for a first degree relative  2% • Familial cases of UC there is a slight female & younger age of onset compared to sporadic cases • Western patients with UC  14.6 % to 29.4 % • Asian patients with UC 0.6 % to 8 % • ISG-IBD Task Force data collection found a positive family history in only 2.3 % of UC patients
  • 13.
    Comparison of environmentalrisk factors for UC and CD in Indian studies and the ACCESS study
  • 14.
    Diet • "Western" stylediet (processed, fried, and sugary foods) Ulcerative colitis. • Hypersensitivity to cow's milk protein in infancy cause of IBD • IBD patients V/S controls noted cow's milk hypersensitivity Ulcerative colitis(21%) > Controls (3%) • Total fat • Animal fat INCIDENCE & RELAPSE • Polyunsaturated fatty acids • Milk protein
  • 15.
    GENETIC FACTORS Genetic susceptibility •Non-Mendelian pattern of inheritance • 80 twins with IBD concordance rate for monozygotic twins was markedly higher in CD (50%) than UC (19%). • First-degree relatives  3 to 20 times more likely. In one report both parents had IBD (CD or UC) had up to a 33%  IBD by age 28 • In Asia, a positive family history  0.6 % to 8 %
  • 16.
    Specific genes • TOTAL163 LOCI INCREASED RISK OF IBD • 7.5 % UC • 13.6% CD • 23/163 SPECIFIC FOR UC • 30/163 SPECIFIC FOR CD • 110/163BOTH UC/CD • 113/163Other autoimmune diseases • Psoriasis • Ankylosing spondylitis • Primary immunodeficiency • Mycobacterial infection
  • 17.
    Genetics • NOD2 hasthe strongest association with IBD CD. • NOD2 polymorphisms in Indians could not find such an association, • 2 of these studies could find a weak association of rs2066842 (Pro268Ser) with UC • Juyal et al • UC/CD-specific genetic loci North Indian population. • 53 such loci • 25 SNPs IBD in Indians • 15 were CD specific. • Only 5 SNPs, HLA-DRA,IL10,RNF186,BTNL2,NOD2 retained significance after Bonferroni correction. Juyal G, Prasad P, Senapati S, Midha V, Sood A, Amre D, Juyal RC, BK T: An investigation of genome-wide studies reported susceptibility loci for ulcerative colitis shows limited replication in north Indians. PLoS One 2011; 6:e16565.
  • 18.
    Genetics • Strong protectiveTNFSF15 Gene polymorphisms and IBD in the Indian population • TNFSF15 has also been associated with an IBD risk in studies from Japan and the UK • Autophagy-related gene, the IRGM gene Baskaran K, Pugazhendhi S, Ramakrishna BS: Protective association of tumor necrosis fac- tor superfamily 15 (TNFSF15) polymorphic haplotype with Ulcerative Colitis and Crohn’s disease in an Indian population. PLoS One 2014;9:e114665.
  • 19.
    Genetics Verma R, AhujaV et al (2012) • Reported polymorphisms of the NOD1 protein in UC patients • 3 SNPs which led to significant mutations in ATP and Mg2+-binding domains of Exon 6 of the NOD1 gene that may cause defective oligomerization and subsequently the “loss of function” of the protein, thereby preventing the recognition of muramyl dipeptide that is necessary for a subsequent NF- κB activation • Verma R, Ahuja V, Paul J: Detection of single- nucleotide polymorphisms in the intron 9 re- gion of the nucleotide oligomerization do- main-1 gene in ulcerative colitis patients of North India. J Gastroenterol Hepatol 2012;27: 96–103. • Verma R, Ahuja V, Paul J: Frequency of single nucleotide polymorphisms in NOD1 gene of ulcerative colitis patients: a case-control study in the Indian population. BMC Med Genet 2009;10:82.
  • 20.
    Genetics • TLR4 D299Gpolymorphism UC and CD • T399I polymorphisms only in UC • Modulating the transcription of inflammatory cytokines in UC, leading to an aberrant immune response. • TLR5 variants R392X and N592S showed significant association with UC Disease phenotype Combination of multiple SNPs both in the TLR5 and the TLR4 gene suffered from early-onset disease which had a severe long-term course. Meena NK, Ahuja V, Meena K, Paul J: Association of TLR5 gene polymorphisms in ulcerative colitis patients of north India and their role in cytokine homeostasis. PLoS One 2015;10:e0120697. Juyal G, Midha V, Amre D, Sood A, Seidman E, Thelma BK: Associations between com- mon variants in the MDR1 (ABCB1) gene and ulcerative colitis among North Indians. Pharmacogenet Genomics 2009;19:77–85.
  • 21.
    Genetics • MDR1 (ABCB1) gene polymorphisms early age at disease onset, left-sided disease, and steroid response in UC • A recent GWAS on UC in a North Indian population revealed 3 novel HLA-independent loci as susceptibility genes located in 3.81, BAT2, MSH5, HSPA1L, SLC44A4, CFB, and NOTCH4 • Juyal G, Midha V, Amre D, Sood A, Seidman E, Thelma BK: Associations between com- mon variants in the MDR1 (ABCB1) gene and ulcerative colitis among North Indians. Phar- macogenet Genomics 2009;19:77–85. • Juyal G, Negi S, Sood A, et al: Genome-wide association scan in north Indians reveals three novel HLA-independent risk loci for ulcer- ative colitis. Gut 2015;64:571–579.
  • 22.
    GENETIC SYNDROMES ASSOCIATEDWITH IBD Turner syndrome • Absence of an X chromosome • Dysfunctional X chromosome. • 1:5000 live female births • Short stature, • webbed neck, • widely spaced nipples, • Cubitus valgus, • Cardiac defects (especially bicuspid aortic valve, coarctation, and aortic stenosis). Association with IBD • In one of the largest series, 4 of 135 (3 percent) adults with Turner syndrome developed IBD (two with UC and two with CD), an incidence much higher than an age-matched population
  • 23.
    GENETIC SYNDROMES ASSOCIATEDWITH IBD Hermansky-Pudlak syndrome — Granulomatous colitis similar to CD • Autosomal recessive disorder • Oculocutaneous albinism • Abnormal platelet aggregation with bleeding diathesis • Pulmonary fibrosis • Genetic linkage Chromosome 10q23 • In one study, 8 of 49 (16 percent) patients with HPS had IBD; four of the eight had a mutation in this gene
  • 24.
    Microbiome • IBD Abnormal immune response to intestinal microbiota in genetically susceptible individuals. • Gut microbiome studies in IBD patients Reduced diversity within the Firmicutes phylum Verma R, Verma AK et al (2010) – Mucosa- associated bacterial flora Control v/s IBD patients There was a significant decline in the population of • Bacteroides, • Lactobacillus, • Ruminococcus, • Bifidobacterium bacteria Verma R, Verma AK, Ahuja V, Paul J: Real- time analysis of mucosal flora in patients with inflammatory bowel disease in India. J Clin Microbiol 2010;48:4279–4282.
  • 25.
    Microbiome • Increased Lactobacilliin the faecal samples of patients Active UC v/s healthy controls. • Lactobacilli significantly reverted back to normal during remission • Increase in faecal lactate level Severe UC patient v/s controls. • Interplay between butyrate concentration and butyrate-producing bacteria in faecal samples of UC patients and healthy individuals. Clostridium coccoides Clostridium leptum Faecal samples of the UC patients
  • 26.
  • 27.
    Conceptual framework forthe pathogenesis of IBD
  • 28.
    Cytokines in thepathogenesis of IBD
  • 29.
    Central role ofTNF in the pathogenesis of IBD.
  • 30.
    The crucial roleof cytokines and epithelial cells on the battlefield: mucosal healing and cancer in IBD
  • 31.
  • 32.
    Ulcerative Colitis When thewhole colon is involved, inflammation extends 1-2 cm in Terminal ileum ( Back wash ileitis) 40-50% 30-40% 20%
  • 33.
    WHY EXTENT IMPORTANT •Extent of inflammation will influence the patient's management & the choice of delivery system for a given therapy. • Start and the frequency of surveillance • Study from Sweden Extent of disease colorectal cancer • 3117 UC patients followed up from 1 to 60 years after diagnosis. • No increased RR Disease confined to the rectum • RR for left-sided colitis2.8 Surveillance colonoscopy • extensive colitis14.8
  • 34.
  • 35.
    Classification according todisease severity Activity & Pattern of disease: • Copenhagen County, Langholz et al 50% of patients clinical remission at any time during a given year • Relapsing course after 25 years of follow up amounted to 90%. • Disease activity in the first 2 years after diagnosis indicated an increased probability of 5 consecutive years of active disease.
  • 36.
    Activity & Patternof disease: Quiescent UC • Chronic inflammatory cell infiltrate all biopsy specimens • Crypt architectural irregularities Two thirds • 52%  acute inflammatory cell infiltrate relapsed after 12 months of follow-up • 25% relapsed in the absence of such an infiltrate • Relapse rates • Presence of crypt abscesses • Mucin depletion • Breaches in the surface epithelium
  • 37.
  • 40.
    Clinical features ofulcerative colitis • Visible blood in the stools > 90% • Loose stools (or a decrease in stool consistency) > six weeks differentiates UC from most infectious diarrhoea. • Extensive active UC  Chronic diarrhoea • Rectal bleeding • Rectal urgency • Tenesmus • Passage of mucopurulent exudates • Nocturnal defaecation • Crampy abdominal pain • Ache over the left iliac fossa prior to and relieved by defaecation
  • 41.
    Clinical features ofulcerative colitis Proctitis • Rectal bleeding • Urgency • Tenesmus • Occasionally severe constipation • Anal and minor perianal lesions may complicate severe diarrhoea • Simple fistulae may occasionally occur in UC • Recurrent or complex perianal fistulae should always raise the suspicion of Crohn's colitis.
  • 42.
    • The onsetof UC Insidious • Symptoms Weeks or even months before medical advice is sought • Disease may present – Intermittent episodes of symptoms – Severe attack (15%) Systemic symptoms including – weight loss – Fever – tachycardia – even nausea and vomiting
  • 43.
    Extraintestinal manifestations Indian Perspective Kochhar 34.7% of UC patients • Sacroilitis 14 %, • Peripheral arthritis10.7% • Ocular manifestations8% • Mucocutaneous lesions2.7% • Vascular 2 % • Hepatobiliary 1.3 %. Habeeb et al 39 % of UC patients • Sacroilitis 5 % • Arthralgia 21 % • Ocular involvement7 % Overall Prevalence 6 % to 39 %
  • 44.
    DERMATOLOGIC MANIFESTATION • Erythemanodosum 3 to 10% UC • 4 to 15%  Crohn disease • Lesions typically consist of raised, tender, red or violet subcutaneous nodules that are 1 to 5 cm in diameter • Extensor surfaces of the extremities, particularly over the anterior tibial area. • Biopsy focal panniculitis.
  • 45.
    DERMATOLOGIC MANIFESTATION • Pyodermagangrenosum is the second most common • 2402 patients with IBD, pyoderma gangrenosum  0.75% • The lesions initially appear as single or multiple erythematous papules or pustules that are often preceded by trauma to the skin
  • 46.
    DERMATOLOGIC MANIFESTATION • Mostcommonly on the legs, but can develop in any area of the body. • Subsequent necrosis of the dermis deep ulcerations that contain purulent material • Usually sterile on culture • Biopsy reveals nonspecific findings consistent with a sterile abscess.
  • 47.
    Neutrophilic dermatoses Sweet syndrome •Acute inflammatory dermatitis characterized by tender papules, plaques, and nodules distributed on the face, arms, and trunk • Skin lesions are most commonly seen on the head, neck, and upper extremities. • Biopsy of the lesion reveals an intense neutrophilic infiltrate without evidence of vasculitis.
  • 48.
    Neutrophilic dermatoses Aseptic abscesssyndrome – • Typical presentation includes fever, weight loss, abdominal pain, and leukocytosis • Aseptic sterile collections with a neutrophil predominant infiltrate. • Sterile abscesses are usually located in the spleen, but approximately 20 percent of patients have cutaneous abscesses.
  • 50.
  • 51.
    Primary sclerosing cholangitis(PSC) • Chronic cholestatic disease of the liver and bile ducts that is frequently progressive and can lead to end-stage liver disease. • progressive inflammation, fibrosis, and stricturing of the intrahepatic and extrahepatic bile ducts. • 1 case per 100,000 person years. • 70 %  men • Mean age at diagnosis of 40 years. • First-degree relatives of patients with PSC have an increased risk of PSC and ulcerative colitis (UC)
  • 52.
    Primary sclerosing cholangitis(PSC) • Up to 90 % of PSC also have UC • < 10 percent of patients with UC have PSC. • etiologies have been proposed • Autoimmune process. • An inflammatory reaction in the liver and bile ducts may be induced by chronic or recurrent entry of bacteria into the portal circulation. Liver damage may also result from the accumulation of toxic bile acids that are abnormally produced by colonic bacteria or chronic viral infection. • Ischemic damage to the bile ducts may occur.
  • 53.
    Investigations A) Laboratory Findings •Thrombocytosis chronic inflammatory response, • Anaemia severity • Leucocytosis Infectious complication. • Hypoalbuminaemia (in extensive disease). • Elevated ESR and CRP Clinical activity – CRP >10 mg/L after a year of extensive colitis, predicted an increased rate of surgery. • Stool analysis: leucocytes and fecal lactoferrin.
  • 54.
    Investigations • Stool specimensshould be cultured for common pathogens • C. difficile toxin A and B • Campylobacter spp • Escherichia coli 0157:H7 • P-ANCA is the most commonly associated serologic marker • P-ANCA up to 65% of patients with UC < 10% of patients with Crohn's • associated ulcerative colitis medically refractory • require early surgery • result in chronic pouchitis in patients who have undergone ileal pouch anal anastomosis (IPAA)
  • 55.
    Microbial investigations • Notroutinely recommended C. difficile  infrequent positive results • Microbial stool tests should be performed during a treatment- refractory or severe relapse. • Flexible sigmoidoscopy  stool test is negative. • Reactivation of CMV Immunosuppressed patients with severe colitis. • CMV infection may cause refractory or severe relapse. • Most commonly used technique CMV DNA through PCR • Occasional intranuclear inclusion bodies Not significant • Multiple intranuclear inclusions Significant
  • 56.
    Investigations Faecal calprotectin • mostsensitive, • non-invasive biomarker • Recent studies emphasise the value of calprotectin in selecting patients for diagnostic investigation, assessing, disease severity (correlating with endoscopic indices), diagnosing relapse and response to treatment.
  • 57.
    Imaging Studies Plain AbdominalX-ray: Symptoms of severe or fulminant colitis. Thumbprinting appearance Thickening of the colonic wall + bowel wall edema. • Colonic segmental dilatation exceeding 5 cm with an irregular edge outlined by gas, correlates strongly with ulceration. • In toxic megacolon, the bowel is dilated with loss of haustral markings.
  • 58.
  • 59.
  • 60.
    Barium Enema • Usefulfor detecting active ulcerative disease, polyps, or masses. • The colon typically appears granular and shortened.
  • 61.
    Double-contrast barium enema. • Ahaustral •Diffuse granular-appearing mucosa. • Air-filled terminal ileum is dilated.
  • 62.
    Double-contrast barium enema. Coarselygranular mucosal Ulcerations are visible.
  • 63.
    Double-contrast barium enema. •The colon is affected with a coarsely granular mucosal pattern. • Numerous polypoid filling defects also are present.
  • 64.
    Contrast-enhanced CT • Typicallyreveals colonic wall thickening. • Innumerable enhancing polypoid filling defects are present throughout the rectosigmoid colon. • The wall of the colon is hyperenhancing and slightly irregular in contour.
  • 65.
    Coronal MDCT image •Mild symmetric wall thickening (arrows) of the left colon with associated lymphadenopathy in the mesocolon.
  • 66.
    Abdominal ultrasound • Screenfor small bowel or colonic inflammation with a sensitivity of 80–90%. • Low cost • Easy to perform without prior preparation • Non-invasive • Accuracy skill of operator • Low specificity for differentiating UC from other causes of colonic inflammation. • Monitoring treatment success • initial data that ultrasound might help to predict the course of the disease
  • 67.
    Abdominal ultrasound Hydrocolonic ultrasound •Abdominal ultrasonography in conjunction with retrograde instillation of water in the colon • High sensitivity for identifying active colitis • Disadvantage cumbersome for day to day clinical practice Doppler ultrasound • Superior and inferior mesenteric arteries has been used to evaluate disease activity and risk of relapse. • Complementary technique for assessing disease activity in expert hands.
  • 68.
    Leukocyte scintigraphy • Safe •Non-invasive • Potentially allows assessment of the presence, extent and activity of inflammation. • Lacks specificity • Not be recommended as a standard diagnostic tool for ulcerative colitis • Unreliable if patients are taking steroids.
  • 69.
  • 70.
    Endoscopic features ofulcerative colitis
  • 71.
    Endoscopic features ofulcerative colitis Mild inflammation • erythema, • vascular congestion of the mucosa • Loss of visible vascular pattern Moderately active colitis • complete loss of vascular pattern, • blood adherent to the surface of the mucosa and erosions • a coarse granular appearance • mucosal friability
  • 72.
    Endoscopic features ofulcerative colitis • Severe colitis is characterised by spontaneous bleeding and ulceration • In contrast to Crohn's disease, ulcers in severe UC are always embedded in inflamed mucosa. • The presence of deep ulceration is a poor prognostic sign. • In longstanding disease, • mucosal atrophy can result in loss of haustral folds, • luminal narrowing • post-inflammatory (‘pseudo’) polyps
  • 73.
    Ulcerative colitis EndoscopicIndex of Severity (UCEIS)
  • 74.
    Endoscopic scores forulcerative colitis commonly used in clinical trials
  • 75.
    • OGD Mucosalbiopsy are recommended in patients with upper gastrointestinal symptoms. • Wireless capsule endoscopy (WCE)  Colitis unclassified • Normal Not exclude Crohn's disease • Very high negative predictive value • Using WCE, Lopes et al. IBDU to Crohn's disease in 7/14 patients, though this did not lead to change in management.
  • 76.
    Assessment of extent,severity and activity Signs of discontinuous inflammation in ulcerative colitis- RECTAL SPARING & CAECAL PATCH • Macroscopic and microscopic rectal sparing Children presenting with UC prior to treatment • In adults normal or patchy inflammation in the rectum Topical or Systemic therapy for UC. • Patchy inflammation in the caecum ‘caecal patch’ and is observed in patients with left-sided colitis. • Macroscopic and Histological rectal sparing • Presence of a caecal patch in newly diagnosed colitis
  • 77.
    Assessment of extent,severity and activity Appendiceal skip lesions • Involvement of the appendix as a skip lesion is reported in up to 75% of patients with UC. • Appendiceal inflammation has been associated both with a • More responsive course of disease • Higher risk of pouchitis after ileal pouch anastomosis
  • 78.
    Assessment of extent,severity and activity Backwash ileitis Continuous extension of macroscopic or histological inflammation from the caecum into the most distal ileum is defined as ‘backwash ileitis’ • up to 20% of patients with pancolitis. • RARELY Ileal erosions may occur in patients without caecal involvement • A more refractory course  backwash ileitis. • Small bowel  UC v/s Crohn's disease. Small bowel radiology  not routinely recommended. • Diagnostic difficulty (rectal sparing, atypical symptoms, macroscopic backwash ileitis)
  • 79.
    Microscopic features—definitions Architectural features –Crypt branching – Crypt distortion – Crypt atrophy – Surface irregularity Epithelial cell abnormalities – mucin depletion – Paneth cell metaplasia Inflammatory features – increased lamina propria cellularity, – basal plasmacytosis, – basal lymphoid aggregates, – lamina propria eosinophils.
  • 80.
    Crypt architectural abnormalities Cryptbranching: • Two or more branched (bifurcated) crypts in a well oriented section, whether the branching is in the vertical or horizontal axis. • Applied to a single crypt Less specific • The pathogenesis can be accounted for by regeneration following previous damage or destruction (cryptolysis) Mucosal (crypt) distortion: • Irregularities in crypt size (i.e. variable diameter) • Spacing • Orientation (i.e. loss of parallelism)
  • 81.
    Mucosal (crypt) atrophyand crypt density: • Combination of crypt depletion • Increase in the distance between the muscularis mucosae and the base of the crypts. • An increase in the intercryptal space and the crypt–muscularis mucosae distance may be normal in the caecum and distal rectum. • The pathogenesis crypt death • All crypt cells die, crypts cannot regenerate and disappear within 48 h. • If one or more clonogenic cell survives the insult, rapid proliferation regenerates the crypt within 72–96 h. • The mucosa subsequently heals by clonal expansion and the number of crypts that survive to regenerate following a cytotoxic insult correlates with symptom severity
  • 82.
    Surface irregularity: • Surfaceirregularity (synonyms include villous surface, villiform surface, or villous mucosa) • Wide crypt mouths, giving the mucosal surface a finger-like appearance. • The impression is due to separation of crypts and a semantic distinction between “irregular surface” and “villous surface” has been proposed, according to the villous-crypt ratio
  • 83.
    Epithelial cell abnormalities Panethcell metaplasia: • Paneth cells are normally extremely uncommon in the colon distal to the splenic flexure, being present in 0–1.9% of non-IBD controls. • The presence of Paneth cells in the distal colon can be termed Paneth cell metaplasia. • Pathogenesis epithelial regeneration and repair. • Mucin depletion: defined as a reduction in number of goblet cells or depleted mucin within cells.
  • 84.
    Inflammatory features Basal plasmacytosis: •Presence of plasma cells around (deep 1/5th of the lamina propria) or below the crypts, alongside or penetrating the muscularis mucosae • Basal plasmacytosis • subcryptal plasma cells – plasmacytosis with extension in the base of the mucosa • Accumulation of plasma cells between the base of the crypts and the muscularis mucosae. • The abnormality can be focal or diffuse and subcryptal location of the cells is not always present
  • 85.
    • Lamina Propriacellularity: An increase in the total number of plasma cells, lymphocytes, histiocytes and eosinophils is a feature of all types of colorectal inflammation and is of limited discriminant value. In UC the cellular infiltrate is diffuse and transmucosal. • Neutrophils may be present in the lamina propria or between epithelial cells, are readily recognised and a reproducible feature of inflammation. • More than three neutrophils in the lamina propria outside capillaries may be abnormal, but the exact number has not been agreed.
  • 86.
    • Neutrophils area feature of cryptitis with migration of neutrophils through the crypt epithelium, inducing crypt disruption and crypt abscesses, which may be responsible for cell surface damage or disruption. • Eosinophils in the lamina propria are highly variable. – An increase UC and a potential diagnostic value has been proposed.
  • 87.
    Distribution of thelamina propria cellular inflammatory infiltrate • Focal (normal background cellularity with areas of increased cellularity); • Patchy (abnormal background cellularity with variable intensity) • Diffuse (abnormal background cellularity with an overall increase in density). • To avoid diagnostic error  • Early onset disease in children • After treatment • Disease is resolving or quiescent
  • 88.
    • Basal lymphoidaggregates: Nodular collections of lymphocytes between the crypt base and muscularis mucosae,without germinal centres.  Two aggregates Abnormal • Stromal changes: Diffuse thickening of the muscularis mucosae or a double muscularis mucosae (which is unusual, but characteristic when present) have been observed in longstanding active and quiescent UC
  • 89.
    Backwash ileitis • ‘Backwashileitis’ should be in continuity with colonic inflammation and the lesions in the caecum should show a similar, or greater degree of active inflammation. • The ileal lesions in ‘backwash ileitis’ – active inflammation in the villi and lamina propria – Shortening – blunting of the villi • Focal, isolated ileal erosions, mucous gland metaplasia or patchy oedema with mild active inflammation are features suggestive of Crohn's disease.
  • 90.
    Microscopic features—appraisal ofthe diagnosis Early stage disease • Non-specific increase in the inflammatory infiltrate in the lamina propria in combination with absent crypt architectural distortion, indicates a diagnosis of acute, infective colitis rather than UC. • Not confirmed in those studies of patients with early onset colitis • Basal plasmacytosis  Early onset in 38–100% of adult patients and can help differentiate between UC and infectious colitis. • Feature in young children • Early feature, sometimes the first lesion to appear • Good predictive marker
  • 91.
    • Glandular abnormalitiescan be identified with good (83-90%) inter- observer agreement. • According to most studies, diffuse crypt architectural irregularity and reduced crypt numbers or atrophy indicate UC. • Crypt architectural changes were observed in biopsies obtained between 16 and 30 days after onset,but not in earlier biopsies. • Crypt distortion and mucosal atrophy may return to normal or remain unchanged after resolution of symptoms.
  • 92.
    Established disease • Basalplasmacytosis (defined as presence of plasma cells around (deep part of the lamina propria) • Below the crypts (subcryptal) • Heavy, diffuse transmucosal lamina propria cell increase • Widespread mucosal or crypt architectural distortion • Mucosal atrophy • Villous or irregular mucosal surface appear later during the evolution of the disease (4 weeks or more).
  • 93.
    • General orwidespread crypt epithelial neutrophils (cryptitis and crypt abscesses) favour ulcerative colitis • Paneth cell metaplasia distal to the splenic flexure is a non specific feature. – Suggestive of a diagnosis of ulcerative colitis in established disease. – Severe, widespread mucin depletion is helpful for the diagnosis of ulcerative colitis in active disease
  • 94.
    Indeterminate colitis • Restrictedto resection specimens. • When patients have colitis that has yet to be classified after all clinical, radiologic, endoscopic and histological results are taken into account, then the preferable term is IBD unclassified (IBDU)

Editor's Notes

  • #11 Taken together, the incidence of UC in Hindus was about twice as high as that in Muslims; the higher frequency of smoking among Muslims was used to explain the observed difference.
  • #17 There is some support for "genetic anticipation," which refers to the development of earlier onset and more severe disease in offspring of affected parents in subsequent generations [15,22,23]. In one study, for example, 48 of 57 children with CD born of parents with CD developed symptoms a median of 16 years earlier than the onset of disease in their parents [22]. Rather than reflecting genetic anticipation, the preceding observations may in part be explained by ascertainment bias because children of parents with IBD may be subjected to earlier diagnostic evaluation [17,24]. In addition, apparent genetic anticipation may be explained in part by bias secondary to the lack of adjustment for different observation times among subjects [25]. Since children of affected parents are typically followed for a much shorter time span than their parents (up to a lower average age), the average age of disease onset in children may be lower than would be found if this group were followed for a longer time. However, this cannot be the entire explanation since the parents may be first diagnosed after the child (12 of 49 cases in one series) 
  • #20 IRGM:IMMUNITY RELATED GTPase FAMILY M GENE
  • #27 In addition, we could also demonstrate decreased concentrations of faecal SCFAs, especially of n-butyrate, iso-butyrate, and acetate, in the faecal sam- ples of the UC patients.
  • #29 Genetic and environmental factors induce impaired barrier function in the intestinal mucosa. Initiating triggers may involve infections in some patients. Altered barrier function subsequently induces the translocation of commensal bacteria and microbial products from the gut lumen into the bowel wall, which leads to immune cell activation and cytokine production. If acute mucosal inflammation cannot be resolved by anti-inflammatory mechanisms and the suppression of pro-inflammatory immune responses, chronic intestinal inflammation develops. In turn, chronic inflammation may cause complications of the disease and also tissue destruction, which are both driven by mucosal cytokine responses. DC, dendritic cell; IBD, inflammatory bowel disease; NSAIDs, non-steroidal anti-inflammatory drugs; TReg cell, regulatory T cell
  • #30 In patients with inflammatory bowel disease (IBD) and in experimental mouse models of colitis, pro-inflammatory and anti-inflammatory cytokines produced by various cells of the mucosal immune system in response to environmental triggers, such as commensal microorganisms. In particular, dendritic cells (DCs), neutrophils, macrophages, natural killer (NK) cells, intestinal epithelial cells (IECs), innate lymphoid cells (ILCs), mucosal effector T cells (T helper 1 (TH1), TH2 and TH17) and regulatory T (TReg) cells produce cytokines in the inflamed mucosa. The key transcription factors and cytokines produced by T helper cell subsets in IBD-affected mucosa are shown. The balance between pro-inflammatory and anti-inflammatory cytokines in the mucosa regulates the development and potential perpetuation of mucosal inflammation in patients with IBD. The dashed arrow indicates that ILCs, which produce cytokines that are involved in intestinal inflammation, may respond to IL-18. GATA3, GATA-binding protein 3; IL, interleukin; RORγt, retinoic acid receptor-related orphan receptor-γt; TGFβ, transforming growth factor-β; TNF tumour necrosis factor.
  • #31 IN IBD increased amounts of soluble and membrane-bound tumour necrosis factor (TNF) are produced by various immune and stromal cell populations, such as macrophages, dendritic cells s , effector T cells, adipocytes and fibroblasts TnF has been shown to exert various pro-inflammatory functions in the inflamed mucosa in IBD. In particular, TNF induces hypervasculariation and angiogenesis, augments pro-inflammatory cytokine production by macrophages and T cells, causes barrier alterations and promotes cell death of intestinal epithelial cells (IECs) and Paneth cells. TNF also promotes tissue destruction by increasing the production of matrix metalloproteinases by myofibroblasts and drives T cell resistance to apoptosis via the induction of TNF receptor-associated factor 2 (TRAF2) and the activation of nuclear factor-κB (NF-κB). TNF-specific antibodies may alleviate disease by simultaneously suppressing several pro-inflammatory pathways in patients with IBD. IL, interleukin; MLCK, myosin light chain kinase; RIPK, receptor-interacting protein kinase; TIMP1, tissue inhibitor of matrix metalloproteinases 1.
  • #32 Intestinal epithelial cells (IECs) are exposed to numerous pro-inflammatory and anti-inflammatory cytokines during chronic intestinal inflammation in inflammatory bowel disease (IBD). These cytokines are produced by cells in the local microenvironment and by IECs themselves. Local cytokine responses have major effects on mucosal healing and cancer development in patients with IBD. The cellular sources of key cytokines and their signalling cascades that regulate IEC survival, cell death and proliferation are shown. In the context of mucosal healing in ulcers (left), green boxes indicate beneficial effects of cytokines, whereas red boxes highlight pathogenic effects of cytokines. In colitis-associated cancer (right), blue boxes indicate pro-tumour effects of cytokines. DC, dendritic cell; IFN, interferon; IL, interleukin; ILC, innate lymphoid cell; TH cell, T helper cell; TNF, tumour necrosis factor.
  • #33 Cytokine signalling pathways and intracellular Janus kinase(JAK)–signal transducer and activator of transcription (STAT) signalling cascades in mucosal immune cells are shown. In IBD, the activation of certain STATs in mucosal T cells results in augmented cytokine production Several pro-inflammatory cytokines have been implicated in IBD pathogenesis and are potential targets for therapy. Antibodies targeting soluble tumour necrosis factor (TNF) and membrane-bound TNF (such as infliximab, adalimumab, certolizumab pegol and golimumab) are routinely used in the clinic. In addition, cytokine blockers (for example, tocilizumab, which targets interleukin-6 (IL-6) and ustekinumab, which targets the p40 subunit of IL-12 and IL-23) have been recently tested in clinical studies. In addition, inhibitors of JAK and STAT signalling (for example, the JAK3 and JAK1 inhibitor tofacitinib, which blocks IL-2, IL-4, IL-7, IL-9, IL-15 and IL-21 signalling) have yielded promising results in clinical trials. Future therapy of IBD may also use bispecific tetravalent dual variable domain IgG (DVD-Ig) antibodies. Finally, the identification of specific cytokines and cytokine expression patterns that are unique to certain subsets of patients with IBD may open new avenues for future personalized medicine for these disorders. βc, cytokine receptor common subunit-β; γc, cytokine receptor common subunit-γ; gp130, IL-6R subunit-β; LIFR, leukaemia inhibitory factor receptor; OSMR, oncostatin-M-specific receptor subunit-β; TRAF2, TNFR-associated factor 2; TYK2, tyrosine kinase 2.
  • #36 For instance, topical therapy in the form of suppositories (for proctitis) or enemas (for left-sided colitis) is often the first line choice, but oral therapy - often combined with topical therapy is appropriate for extensive colitis [EL1b, RG B].
  • #47 The appearance of erythema nodosum usually parallels intestinal disease activity, and treatment directed at the underlying IBD usually results in resolution of the lesions.  
  • #49 Pyoderma gangrenosum lesions usually do not parallel IBD activity [12]. In patients with active IBD and pyoderma gangrenosum, therapy with systemic steroids usually results in healing.
  • #81 Evaluation of small bowel if Macroscopic and Histological rectal sparing Presence of a caecal patch in newly diagnosed colitis
  • #83 and this challenges the pathogenic theory that backwash ileitis is caused simply by reflux of caecal contents into the ileum.
  • #90 The diagnostic value of neutrophils in UC, however, is limited because they are also present in infective colitis and other forms of colitis.
  • #92 To avoid diagnostic error, the criteria of diffuse transmucosal inflammation for diagnosing ulcerative colitis should be avoided in biopsies from early onset disease in children,159 or after treatment and when disease is resolving or quiescent. In these circumstances the biopsy may be normal or show focal changes.
  • #98 However these lesions may occur in infections and other types of colitis. Lamina propria and intraepithelial neutrophils are absent in inactive or quiescent disease.