APPROACH TO HEMOLYTIC ANEMIA
Candidate: Dr SARATH MENON.R
K.B.ILLAVA HEMATOLOGY DIVISION
DEPT.MEDICINE,
MGM MEDICAL COLLEGE,INDORE
OBJECTIVES
 Lab indication of hemolysis
 Intravascular v/s extravascular hemolysis
 D/D of hemolytic anemia
 Diagnose hemo.anemia with peripheral smear &
ancillary lab tests
HEMOLYTIC ANEMIA
 Definition:
 Those anemias which result from an increase in RBC
destruction coupled with increased erythropoiesis
 Classification:
 Congenital / Hereditary
 Acquired
CLASSIFICATION OF HEMOLYTIC ANEMIAS
INTRACORPUSCULAR
DEFECTS
EXTRACORPUSCULAR
FACTORS
HEREDITARY •HEMOGLOBINOPATHIES
•ENZYMOPATHIES
•MEMBRANE-
CYTOSKELETAL DEFECTS
•FAMILIAL HEMOLYTIC
UREMIC SYNDROME
ACQUIRED •PAROXYSMAL
NOCTURNAL
HEMOGLOBINURIA
•MECHANICAL DESTRUCTION
[MICROANGIOPATHIC]
•TOXIC AGENTS
•DRUGS
•INFECTIOUS
•AUTOIMMUNE
CLASSIFICATION
 MAHA
 Transfusion rx
 PNH
 Infections
 Snake bite
 Hemoglobinopathies
 Enzymopathies
 Membrane defects
 AIHA
Intravascular hemolysis Extravascular hemolysis
HOW IS HEMOLYTIC ANEMIA DIAGNOSED?
Two main principles
 One is to confirm that it is hemolysis
 Two is to determine the etiology
HOW TO DIAGNOSE HEMOLYTIC ANEMIA
 New onset pallor or anemia
 Jaundice
 Splenomegaly
 Gall stones
 Dark colored urine
 Leg ulcers
GENERAL FEATURES
OF HEMOLYTIC DISORDERS
 GENERAL EXAMINATION - JAUNDICE, PALLOR
BOSSING OF SKULL
 PHYSICAL FINDINGS - ENLARGED SPLEEN
 HEMOGLOBIN - FROM NORMAL TO SEVERELY REDUCED
 MCV - USUALLY INCREASED
 RETICULOCYTES - INCREASED
 BILIRUBIN - INCREASED[MOSTLY UNCONJUGATED]
 LDH - INCREASED
 HAPTOGLOBULIN - REDUCED TO ABSENT
HEMOLYTIC FACIES- CHIPMUNK FACIES
Laboratory Evaluation of Hemolysis
Extravascular Intravascular
HEMATOLOGIC
Routine blood film
Reticulocyte count
Bone marrow
examination
Polychromatophilia
Erythroid
hyperplasia
Polychromatophilia
Erythroid
hyperplasia
PLASMA OR SERUM
Bilirubin
Haptoglobin
Plasma hemoglobin
Lactate dehydrogenase
Unconjugated
, Absent
N/
(Variable)
Unconjugated
Absent
(Variable)
URINE
Bilirubin
Hemosiderin
Hemoglobin
+
0
0
+
+
+ severe cases
POLYCHROMATOPHILIC CELLS
THE KEY TO THE ETIOLOGY OF
HEMOLYTIC ANEMIA
The history
The peripheral blood film
PATIENT HISTORY
 Acute or chronic
 Medication/Drug precipitants
G6PD
AIHA
 Family history
 Concomitant medical illnesses
 Clinical presentation
CASE 1
 3 yr old male child presenting with pallor,jaundice,
 Severe pain of long bones, fever
 CBC-anemia,reticulocytosis,increased WBC
 LAB - LDH -600 (normal upto 200)
S.bilirubin- 5mg%
PERIPHERAL SMEAR
WHAT IS THE DIAGNOSIS ?
 SICKLE CELL ANEMIA
DIAGNOSIS – OTHER TESTS
 Hemoglobin electrophoresis
-HbS >80%
-HbF -1-20%
-HbA2 -2- 4.5%
 Sickling test POSITIVE
SICKLE CELL DISEASE
 Mutn .beta globin-6 Glu Val.
 Deoxy HbS (polymerised)
 Ca influx, K leakage
 stiff,viscous sickle cell
 venocclusion dec.RBC survival
microinfarctions,isch.pains anemia,jaundice,
autoinfarct.spleen gallstones,leg ulcers
CLINICAL MANIFESTATIONS
 Hemo.anemia,reticulocytosis,granulocytosis
 Vasoocclusion-protean
 Painful crises
 Splenic sequestration crises
 Hand foot syndrome
 Acute chest syndrome
DIAGNOSIS?
SICKLE THALASSEMIA`
CLINICAL FEATURES OF SICKLE
HEMOGLOBINOPATHIES
Condition Clinical
abnorm
Hb level g% MCV,fl Hb
electropho
Sickle cell trait None,rare
painlss
hematuria
normal normal HbS/A:
40/60
Sickle cell
anemia
Vasocclusive
crises,AVN,gal
lstones,
priapism
7-10 80-100 HbS/A:100/0
HbF;2-25%
S/beta0
thalasssemia
Vasoocclusive
Crises,AVN
7-10 60-80 HbS/A-100/0
HbF; 1-10%
S/beta+
thalassemia
Rare crises,
AVN
10-14 70-80 HbS/A:
60/40
HbSC --do--,
retinopathy
10-14 80-100 HbS/A;50/0
HbC;50%
CASE 2
 6 yr old child presenting with severe pallor,jaundice
growth delay
 Abnormal facies,hepatosplenomegaly+
 h/o recurrent blood transfusions
 CBC-Hb -3gm%, MCV-58FL(Nl-86-98),
-MCH- 19pg (nl-28-33)
P.S- MICROCYTIC,HYPOCHROMIA with
target cells +
DIAGNOSIS?
TARGET CELLS
THALASSEMIA
 Other diagnosis test-Hb electrophoresis
 DNA analysis for mutations
 Alpha thalassemia & beta thalassemia
 Beta thalassemia- major
- intermedia
- minor
BETA THALASSEMIA
 Mutn. Beta globin expression
 M.C- derange splicing of m-RNA
 HYPOCHROMIA ,MICROCYTIC anemia
BETA THALASSEMIA MAJOR
 Severe homozygous
 Childhood, growth delay
 Severe anemia,hepatosplenomegaly,r/r transfusion
 Iron overload-endo.dysfnct
 P.Smear- severe microcytosis,target cells
Hb electro- HbF - 90-96 %
HbA2- 3.5 %- 5.5%
HbA - 0 %
BETA THALASSEMIA INTERMEDIA
 Similar stigmata like major
 Survive without c/c transfusion
 Less severe than major
 Moderate anemia,microcytosis,hypochromia
 Hb electrophor- HbF - 20-100%
HbA2 -3.5%-5.5%
HbA – 0-30%
BETA THALASSEMIA MINOR
 Profound microcytosis,target cells
 Minimal anemia
 Similar bld picture of iron def.anemia
 Lab inv:
MCV<75,Hct <30-33%
Hb electr: HbA2-3.5-7.5%,HbA-80-95%,HbF-1-5%
ALPHA THALASSEMIAS
disease Hb A % HbH % Hb , % MCV,fl
normal 97 0 15 90
Thalassemia
traits
90-95 rare 12-13 70-80
HbH (b4) 70-95 5-30 6-10 60-70
Hb Bart
(hydrops
fetalis)
0 5-10 Fatal inutero or at
birth
CASE 3
 45 yr old male came to opd in a remote PHC with
burning micturition
 Urine R/M shows numerous pus cells++++
 UTI diagnosed & medical officer gave
cotrimoxazole 2 bd X 5days
 1 wk later,pt developed severe
pallor,palpitation,jaundice
 Lab- increased LDH, S.BILIRUBIN,RETIC COUNT
 P.S- shows irreg cells like
BLISTER CELLS
HEINZ BODIES
DIAGNOSIS?
 G-6PD DEFICIENCY
 INVESTIGATION-
 Peripheral smear- bite cells,heinz bodies,
- polychromasia
G-6PD LEVEL
BEUTLER FLUORESCENT SPOT TEST-
Positive-if blood spot fails to flouresce in U V
 Clinical Features:
 Acute hemolysis:
Drugs,infections,asso with diabetic acidosis
 Favism
 Neonatal jaundice
 Congenital nonspherocytic hemolytic anemia
Definitive risk Possible risk Doubtful risk
antimalarials Primaquine
Dapsone
cholrproguanil
chloroquine quinine
Sulphonamides/
sulphones
Sulphametoxazole
Dapsone
Sulfasalazine
Sulfadimidine
Sulfisoxazole
Sulfadiazine
Antibacterials/
Antibiotics
Cotrimoxazole
Nalidixic acid
Nitrofurantoin
Ciprofloxacin
Norfloxacin
Cholramphenicol
p-Aminosalicylic
acid
Antipyretic/
Analgesics
Acetanilide
Phenazopyridine
[pyridium]
Acetylsalicylic acid
High dose[>3g/d]
Acetylsalicylic acid
[<3g/d]
Acetaminophen
2. Pyruvate Kinase Deficiency
 AR
 Deficient ATP production, Chronic hemolytic
anemia
 Clinical features
o hydrops fetalis
o neonatal jaundice
o compensated hemolytic anemia
 Inv;
P. Smear: PRICKLE CELLS ( Contracted rbc with
spicules)
Decreased enzyme activity
PRICKLE CELL
CASE 4
 14 YR old female present with anemia, jaundice
 Rt hypochondrial pain
 o/e- vitals stable.pallor+,icterus+,splenomegaly +
 Usg- cholilithiasis
 Lab; elevated ,LDH, S.Bilirubin
 Peripheral smear shows-
DIFFERENTIAL DIAGNOSIS
 Hereditary spherocytosis
 Autoimmune hemolytic anemia
 Other diagnostic tests- osmotic fragility
- coombs test
RED CELL MEMBRANE DEFECTS
1.Hereditary Spherocytosis
 Usually inherited as AD disorder
 Defect: Deficiency of Beta Spectrin or Ankyrin  Loss of
membrane surface area becomes more spherical
Destruction in Spleen
 C/F:
Pallor
Jaundice
Splenomegaly
Pigmented gall stones- 50%
COMPLICATIONS
 Clinical course may be complicated with Crisis:
 Hemolytic Crisis: associated with infection
 Aplastic crisis: associated with Parvovirus infection
 Inv:
 Test will confirm Hemolysis
 P Smear: Spherocytes
 Osmotic Fragility: Increased
 Screen family members
AUTOIMMUNE HEMOLYTIC ANEMIA
 Result from RBC destruction due to RBC
autoantibodies: Ig G, M, E, A
 Most commonly-idiopathic
 Classification
 Warm AI hemolysis:Ab binds at 37degree Celsius
 Cold AI Hemolysis: Ab binds at 4 degree Celsius
1.Warm AI Hemolysis:
 Can occurs at all age groups
 F > M
 Causes:
50% Idiopathic
Rest - secondary causes:
1.Lymphoid neoplasm: CLL, Lymphoma,
Myeloma
2.Solid Tumors: Lung, Colon, Kidney, Ovary,
Thymoma
3.CTD: SLE,RA
4.Drugs: Alpha methyl DOPA, Penicillin ,
Quinine, Chloroquine
5. UC, HIV
 Inv:
 hemolysis, MCV decreased
 P Smear: microspherocytosis,
 Confirmation: Direct Coomb’s Test / Antiglobulin test
• 2. Cold AI Hemolysis
Usually Ig M directed at the RBC I antigen
 Infection: Mycoplasma pneumonia, Infec Mononucleosis
 Neoplasms : waldenstrom macroglobulinemia ,
lymphoma,CLL,kaposi sarcoma, myeloma.
C/F:
Elderly patients
Exacerbations in the winter
Cold , painful & often blue fingers, toes,
ears, or nose ( Acrocyanosis)
Inv:
 e/o hemolysis
 P Smear: Microspherocytosis
 DAT positive with polyspecific and anticompliment antisera
CASE 5
 32 yr old presented 4 days history of distention of
abdomen and rt hypochondrial pain and has h/o
passage of dark colored urine at night for weeks
 On USG- hepatomegaly,gross ascites,hepatic vein
thrombosis
Lab : Hb – 7gm%. WBC- 2200, PLC- 80,000
LDH- 600, S.BR- 4 mg%
urine bile pigment +,heme dip stick++
What is the diagnosis?
PAROXYSMAL NOCTURNAL HEMOGLOBINURIA
 Acquired chronic H.A
 Persistent intra vascular hemolysis
 Pancytopenia
 Lab :hburia,hemosiderinuria,increased LDH,bilirubin
 Risk of venous thrombosis
 C/F – hemoglobinuria during night
 P.S – polychromatophilia, normoblasts
 B.M – normoblastic hyperplasia
 Def.diagnosis-flow cytometry CD59-,CD55- RBC,WBC
- Hams’ acidified serum test
CASE 6
 25 yr old male with RHD – severe MR done MVR,after 10
days presented with pallor, palpitation,jaundice
CBC shows Hb – 7.5 gm %, Hct -22 %
Lab : S.bilirubin -4.5mg%
LDH -600
Retic count 10%
Peripheral smear –
MICROANGIOPATHIC HEMOLYTIC ANEMIA
NON-IMMUNE ACQUIRED HEMOLYTIC
ANEMIA
1. Mechanical Trauma
A). Mechanical heart valves, Arterial grafts: cause shear stress
damage
B).March hemoglobinuria: Red cell damage in capillaries of feet
C). Thermal injury: burns
D). Microangiopathic hemolytic anemia (MAHA): by passage of
RBC through fibrin strands deposited in small vessels 
disruption of RBC eg: DIC,PIH, Malignant HTN,TTP,HUS
MICROANGIOPATHIC HEMOLYTIC
ANEMIA(MAHA)
 Other findings - leukocytosis
- thrombocytopenia(DIC,TTP)
- hemoglobinuria
- deranged RFT
- PT,APTT prolonged
(DIC,TTP)
ACQUIRED HEMOLYSIS
Infection
F. malaria: intravascular hemolysis: severe called
‘Blackwater fever’
Cl. perfringens septicemia
Chemical/Drugs: oxidant denaturation of hemoglobin
Eg: Dapsone, sulphasalazine, Arsenic gas, Cu,
Nitrates & Nitrobenzene
PERIPHERAL BLOOD SMEAR
 Spherocytes
AIHA, hereditary spherocytosis
 Schistocytes
With thrombocytopenia-Familial HUS TTP or DIC
Without thrombocytopenia- heart valve hemolysis
 Blister Cells
oxidative damage- G6PD
 Sickle cells
sickle cell anemia
 Heinz bodies
Alpha thalassemia
G6PD deficiency
CONCLUSION
 Hemolytic anemia can be recogised by clinical
picture-
- history & physical
- lab test to confirm hemolysis
- peripheral smear to guide further
tests
THANK YOU

Approach to hemolytic anemia

  • 1.
    APPROACH TO HEMOLYTICANEMIA Candidate: Dr SARATH MENON.R K.B.ILLAVA HEMATOLOGY DIVISION DEPT.MEDICINE, MGM MEDICAL COLLEGE,INDORE
  • 2.
    OBJECTIVES  Lab indicationof hemolysis  Intravascular v/s extravascular hemolysis  D/D of hemolytic anemia  Diagnose hemo.anemia with peripheral smear & ancillary lab tests
  • 3.
    HEMOLYTIC ANEMIA  Definition: Those anemias which result from an increase in RBC destruction coupled with increased erythropoiesis  Classification:  Congenital / Hereditary  Acquired
  • 4.
    CLASSIFICATION OF HEMOLYTICANEMIAS INTRACORPUSCULAR DEFECTS EXTRACORPUSCULAR FACTORS HEREDITARY •HEMOGLOBINOPATHIES •ENZYMOPATHIES •MEMBRANE- CYTOSKELETAL DEFECTS •FAMILIAL HEMOLYTIC UREMIC SYNDROME ACQUIRED •PAROXYSMAL NOCTURNAL HEMOGLOBINURIA •MECHANICAL DESTRUCTION [MICROANGIOPATHIC] •TOXIC AGENTS •DRUGS •INFECTIOUS •AUTOIMMUNE
  • 5.
    CLASSIFICATION  MAHA  Transfusionrx  PNH  Infections  Snake bite  Hemoglobinopathies  Enzymopathies  Membrane defects  AIHA Intravascular hemolysis Extravascular hemolysis
  • 6.
    HOW IS HEMOLYTICANEMIA DIAGNOSED? Two main principles  One is to confirm that it is hemolysis  Two is to determine the etiology
  • 7.
    HOW TO DIAGNOSEHEMOLYTIC ANEMIA  New onset pallor or anemia  Jaundice  Splenomegaly  Gall stones  Dark colored urine  Leg ulcers
  • 8.
    GENERAL FEATURES OF HEMOLYTICDISORDERS  GENERAL EXAMINATION - JAUNDICE, PALLOR BOSSING OF SKULL  PHYSICAL FINDINGS - ENLARGED SPLEEN  HEMOGLOBIN - FROM NORMAL TO SEVERELY REDUCED  MCV - USUALLY INCREASED  RETICULOCYTES - INCREASED  BILIRUBIN - INCREASED[MOSTLY UNCONJUGATED]  LDH - INCREASED  HAPTOGLOBULIN - REDUCED TO ABSENT
  • 9.
  • 10.
    Laboratory Evaluation ofHemolysis Extravascular Intravascular HEMATOLOGIC Routine blood film Reticulocyte count Bone marrow examination Polychromatophilia Erythroid hyperplasia Polychromatophilia Erythroid hyperplasia PLASMA OR SERUM Bilirubin Haptoglobin Plasma hemoglobin Lactate dehydrogenase Unconjugated , Absent N/ (Variable) Unconjugated Absent (Variable) URINE Bilirubin Hemosiderin Hemoglobin + 0 0 + + + severe cases
  • 11.
  • 12.
    THE KEY TOTHE ETIOLOGY OF HEMOLYTIC ANEMIA The history The peripheral blood film
  • 13.
    PATIENT HISTORY  Acuteor chronic  Medication/Drug precipitants G6PD AIHA  Family history  Concomitant medical illnesses  Clinical presentation
  • 14.
    CASE 1  3yr old male child presenting with pallor,jaundice,  Severe pain of long bones, fever  CBC-anemia,reticulocytosis,increased WBC  LAB - LDH -600 (normal upto 200) S.bilirubin- 5mg%
  • 15.
  • 16.
    WHAT IS THEDIAGNOSIS ?  SICKLE CELL ANEMIA
  • 17.
    DIAGNOSIS – OTHERTESTS  Hemoglobin electrophoresis -HbS >80% -HbF -1-20% -HbA2 -2- 4.5%  Sickling test POSITIVE
  • 18.
    SICKLE CELL DISEASE Mutn .beta globin-6 Glu Val.  Deoxy HbS (polymerised)  Ca influx, K leakage  stiff,viscous sickle cell  venocclusion dec.RBC survival microinfarctions,isch.pains anemia,jaundice, autoinfarct.spleen gallstones,leg ulcers
  • 19.
    CLINICAL MANIFESTATIONS  Hemo.anemia,reticulocytosis,granulocytosis Vasoocclusion-protean  Painful crises  Splenic sequestration crises  Hand foot syndrome  Acute chest syndrome
  • 20.
  • 21.
    CLINICAL FEATURES OFSICKLE HEMOGLOBINOPATHIES Condition Clinical abnorm Hb level g% MCV,fl Hb electropho Sickle cell trait None,rare painlss hematuria normal normal HbS/A: 40/60 Sickle cell anemia Vasocclusive crises,AVN,gal lstones, priapism 7-10 80-100 HbS/A:100/0 HbF;2-25% S/beta0 thalasssemia Vasoocclusive Crises,AVN 7-10 60-80 HbS/A-100/0 HbF; 1-10% S/beta+ thalassemia Rare crises, AVN 10-14 70-80 HbS/A: 60/40 HbSC --do--, retinopathy 10-14 80-100 HbS/A;50/0 HbC;50%
  • 22.
    CASE 2  6yr old child presenting with severe pallor,jaundice growth delay  Abnormal facies,hepatosplenomegaly+  h/o recurrent blood transfusions  CBC-Hb -3gm%, MCV-58FL(Nl-86-98), -MCH- 19pg (nl-28-33) P.S- MICROCYTIC,HYPOCHROMIA with target cells +
  • 23.
  • 24.
  • 25.
    THALASSEMIA  Other diagnosistest-Hb electrophoresis  DNA analysis for mutations  Alpha thalassemia & beta thalassemia  Beta thalassemia- major - intermedia - minor
  • 26.
    BETA THALASSEMIA  Mutn.Beta globin expression  M.C- derange splicing of m-RNA  HYPOCHROMIA ,MICROCYTIC anemia
  • 27.
    BETA THALASSEMIA MAJOR Severe homozygous  Childhood, growth delay  Severe anemia,hepatosplenomegaly,r/r transfusion  Iron overload-endo.dysfnct  P.Smear- severe microcytosis,target cells Hb electro- HbF - 90-96 % HbA2- 3.5 %- 5.5% HbA - 0 %
  • 28.
    BETA THALASSEMIA INTERMEDIA Similar stigmata like major  Survive without c/c transfusion  Less severe than major  Moderate anemia,microcytosis,hypochromia  Hb electrophor- HbF - 20-100% HbA2 -3.5%-5.5% HbA – 0-30%
  • 29.
    BETA THALASSEMIA MINOR Profound microcytosis,target cells  Minimal anemia  Similar bld picture of iron def.anemia  Lab inv: MCV<75,Hct <30-33% Hb electr: HbA2-3.5-7.5%,HbA-80-95%,HbF-1-5%
  • 30.
    ALPHA THALASSEMIAS disease HbA % HbH % Hb , % MCV,fl normal 97 0 15 90 Thalassemia traits 90-95 rare 12-13 70-80 HbH (b4) 70-95 5-30 6-10 60-70 Hb Bart (hydrops fetalis) 0 5-10 Fatal inutero or at birth
  • 31.
    CASE 3  45yr old male came to opd in a remote PHC with burning micturition  Urine R/M shows numerous pus cells++++  UTI diagnosed & medical officer gave cotrimoxazole 2 bd X 5days  1 wk later,pt developed severe pallor,palpitation,jaundice  Lab- increased LDH, S.BILIRUBIN,RETIC COUNT  P.S- shows irreg cells like
  • 32.
  • 33.
  • 34.
    DIAGNOSIS?  G-6PD DEFICIENCY INVESTIGATION-  Peripheral smear- bite cells,heinz bodies, - polychromasia G-6PD LEVEL BEUTLER FLUORESCENT SPOT TEST- Positive-if blood spot fails to flouresce in U V
  • 35.
     Clinical Features: Acute hemolysis: Drugs,infections,asso with diabetic acidosis  Favism  Neonatal jaundice  Congenital nonspherocytic hemolytic anemia
  • 36.
    Definitive risk Possiblerisk Doubtful risk antimalarials Primaquine Dapsone cholrproguanil chloroquine quinine Sulphonamides/ sulphones Sulphametoxazole Dapsone Sulfasalazine Sulfadimidine Sulfisoxazole Sulfadiazine Antibacterials/ Antibiotics Cotrimoxazole Nalidixic acid Nitrofurantoin Ciprofloxacin Norfloxacin Cholramphenicol p-Aminosalicylic acid Antipyretic/ Analgesics Acetanilide Phenazopyridine [pyridium] Acetylsalicylic acid High dose[>3g/d] Acetylsalicylic acid [<3g/d] Acetaminophen
  • 37.
    2. Pyruvate KinaseDeficiency  AR  Deficient ATP production, Chronic hemolytic anemia  Clinical features o hydrops fetalis o neonatal jaundice o compensated hemolytic anemia  Inv; P. Smear: PRICKLE CELLS ( Contracted rbc with spicules) Decreased enzyme activity
  • 38.
  • 39.
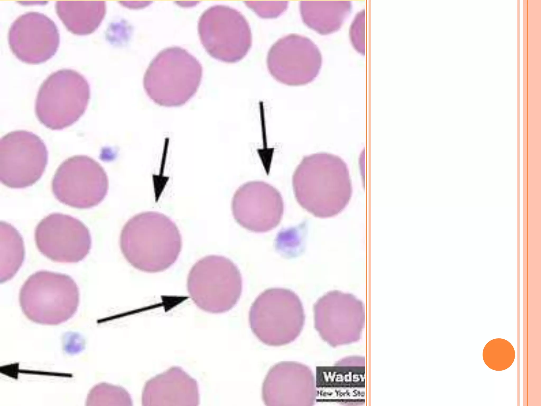
    CASE 4  14YR old female present with anemia, jaundice  Rt hypochondrial pain  o/e- vitals stable.pallor+,icterus+,splenomegaly +  Usg- cholilithiasis  Lab; elevated ,LDH, S.Bilirubin  Peripheral smear shows-
  • 41.
    DIFFERENTIAL DIAGNOSIS  Hereditaryspherocytosis  Autoimmune hemolytic anemia  Other diagnostic tests- osmotic fragility - coombs test
  • 42.
    RED CELL MEMBRANEDEFECTS 1.Hereditary Spherocytosis  Usually inherited as AD disorder  Defect: Deficiency of Beta Spectrin or Ankyrin  Loss of membrane surface area becomes more spherical Destruction in Spleen
  • 43.
  • 44.
    COMPLICATIONS  Clinical coursemay be complicated with Crisis:  Hemolytic Crisis: associated with infection  Aplastic crisis: associated with Parvovirus infection
  • 45.
     Inv:  Testwill confirm Hemolysis  P Smear: Spherocytes  Osmotic Fragility: Increased  Screen family members
  • 46.
    AUTOIMMUNE HEMOLYTIC ANEMIA Result from RBC destruction due to RBC autoantibodies: Ig G, M, E, A  Most commonly-idiopathic  Classification  Warm AI hemolysis:Ab binds at 37degree Celsius  Cold AI Hemolysis: Ab binds at 4 degree Celsius
  • 47.
    1.Warm AI Hemolysis: Can occurs at all age groups  F > M  Causes: 50% Idiopathic Rest - secondary causes: 1.Lymphoid neoplasm: CLL, Lymphoma, Myeloma 2.Solid Tumors: Lung, Colon, Kidney, Ovary, Thymoma 3.CTD: SLE,RA 4.Drugs: Alpha methyl DOPA, Penicillin , Quinine, Chloroquine 5. UC, HIV
  • 48.
     Inv:  hemolysis,MCV decreased  P Smear: microspherocytosis,  Confirmation: Direct Coomb’s Test / Antiglobulin test
  • 50.
    • 2. ColdAI Hemolysis Usually Ig M directed at the RBC I antigen  Infection: Mycoplasma pneumonia, Infec Mononucleosis  Neoplasms : waldenstrom macroglobulinemia , lymphoma,CLL,kaposi sarcoma, myeloma. C/F: Elderly patients Exacerbations in the winter Cold , painful & often blue fingers, toes, ears, or nose ( Acrocyanosis)
  • 51.
    Inv:  e/o hemolysis P Smear: Microspherocytosis  DAT positive with polyspecific and anticompliment antisera
  • 52.
    CASE 5  32yr old presented 4 days history of distention of abdomen and rt hypochondrial pain and has h/o passage of dark colored urine at night for weeks  On USG- hepatomegaly,gross ascites,hepatic vein thrombosis Lab : Hb – 7gm%. WBC- 2200, PLC- 80,000 LDH- 600, S.BR- 4 mg% urine bile pigment +,heme dip stick++ What is the diagnosis?
  • 54.
    PAROXYSMAL NOCTURNAL HEMOGLOBINURIA Acquired chronic H.A  Persistent intra vascular hemolysis  Pancytopenia  Lab :hburia,hemosiderinuria,increased LDH,bilirubin  Risk of venous thrombosis  C/F – hemoglobinuria during night  P.S – polychromatophilia, normoblasts  B.M – normoblastic hyperplasia  Def.diagnosis-flow cytometry CD59-,CD55- RBC,WBC - Hams’ acidified serum test
  • 55.
    CASE 6  25yr old male with RHD – severe MR done MVR,after 10 days presented with pallor, palpitation,jaundice CBC shows Hb – 7.5 gm %, Hct -22 % Lab : S.bilirubin -4.5mg% LDH -600 Retic count 10% Peripheral smear –
  • 56.
  • 57.
    NON-IMMUNE ACQUIRED HEMOLYTIC ANEMIA 1.Mechanical Trauma A). Mechanical heart valves, Arterial grafts: cause shear stress damage B).March hemoglobinuria: Red cell damage in capillaries of feet C). Thermal injury: burns D). Microangiopathic hemolytic anemia (MAHA): by passage of RBC through fibrin strands deposited in small vessels  disruption of RBC eg: DIC,PIH, Malignant HTN,TTP,HUS
  • 58.
    MICROANGIOPATHIC HEMOLYTIC ANEMIA(MAHA)  Otherfindings - leukocytosis - thrombocytopenia(DIC,TTP) - hemoglobinuria - deranged RFT - PT,APTT prolonged (DIC,TTP)
  • 59.
    ACQUIRED HEMOLYSIS Infection F. malaria:intravascular hemolysis: severe called ‘Blackwater fever’ Cl. perfringens septicemia Chemical/Drugs: oxidant denaturation of hemoglobin Eg: Dapsone, sulphasalazine, Arsenic gas, Cu, Nitrates & Nitrobenzene
  • 60.
    PERIPHERAL BLOOD SMEAR Spherocytes AIHA, hereditary spherocytosis  Schistocytes With thrombocytopenia-Familial HUS TTP or DIC Without thrombocytopenia- heart valve hemolysis  Blister Cells oxidative damage- G6PD  Sickle cells sickle cell anemia  Heinz bodies Alpha thalassemia G6PD deficiency
  • 62.
    CONCLUSION  Hemolytic anemiacan be recogised by clinical picture- - history & physical - lab test to confirm hemolysis - peripheral smear to guide further tests
  • 63.