GINGIVAL CURETTAGE

DR. SWAPNIL BORKAR
I-YEAR POST GRADUATE STUDENT
DEPARTMENT OF PERIODONTICS & ORAL IMPLANTOLOGY
S.D.K.S DENTAL COLLEGE
NAGPUR
1






Introduction
Definitions
History
Terminology
Procedure











Basic Technique
Indication
 Contraindication
 Excisional New Attachment Procedure
 Modified ENAP
 Indication
 Contraindication
 Advantage
 Disadvantage
Caustic Drug
Ultrasonic curettage
Clinical Appearance After Curettage
Healing After Curettage
Studies
AAP Statement Regarding Gingival curettage
2
INTRODUCTION
“CURETTE”:
 From the Latin term “curare”, to care or to cure.
 Then to French curer means to care
 Bronze curette have been found in Egyptian tombs

3
 Definitions :

 The term "gingival curettage" implies directing an operative instrument

against the gingival wall of the periodontal pocket in order to remove the
ulcerated epithelium covering the sulcus.
( Nestor & Lopez ,1977)


Curettage is a technique designed to remove, by surgical debridement, the
inner aspect of the diseased gingival wall, including the ulcerated and
hyperplastic pocket epithelium and the contiguous zone of damaged
connective tissue downward and outward to the firm and intact aspect of the
gingival corium
(Simon Kon 1968 )
 The word curettage is used in periodontics to mean the scraping of the gingival
wall of a periodontal pocket to separate diseased soft tissue
(F.A. carranza 10th edition )

4
 Rationale:

Curettage is the conversion of chronic inflammatory ulcers to the gingival wall of
the pockets into surgical wound. Curettage can be used alone as the separate procedure
after root planing has to perform or as in combination with root planing to eliminate the
pocket.

The end result of the therapy is that the remaining gingival wall will shrink via
resolution of inflammatory infiltrates and the drainage of tissue fluid from the
wound, the exposed connective tissue from the contiguous oral epithelium will re
epithelialize , the new lamina propria subjacent to the new sulcular lining and epithelial
attachment forms, and the microvascularization of the tissue will return to the original
quality and distribution.
5
 History :

1902 –Zanmensky published the classic paper ”Alveolar Pyorrhea – Its
pathological anatomy and its radiacal treatment. The infiltration with
white blood corpuscles is still not deep, it embraces almost exclusively
the papillary layer of gum ; the bone of socket is yet normal…”
He treated Pyorrhea with removal of calculus and also deep curettage

of the sockets, using cocaine anesthesia
1845-1928 -Salomon Robicsek He developed a surgical technique
consisting of a scalloped continuous gingivectomy excision, exposing
the marginal bone for subsequent curettage and remodeling
6
 History :

1935-kronfeld proved that the bone in the peiodontal pockets was neither
necrotic nor infected but rather destroy by inflammatory process, and the
era of tissue curettage began as the attention was shifted to the soft tissue
surrounding the tooth as the source of infection.

The rationale for the radical treatment was supported by the authors
such as Neuman, Widman , Robicsek ,Zemsky , Ceszynki and Nodine
who popularized the surgical procedures for the elimination of periodontal
pocket.
7
 1948- Goldman discussed the rationale for curettage and differentiated

between those designed for elimination of gingival pocket. He stated that
the cure can be accomplished when the diseased epithelium lining and
attachment and the altered gingival corium are eliminated.
He later observed the soft tissue curettage with the use of ultrasonic

instruments.

1969- Morries,Moskow & Simao Kon,goldman
Carried out a study on the healing of periodontal pocket &
microvascularization of healing of periodontal wound.
8
 Terminology : Gingival curettage

Removal of the inflammed soft tissue
lateral to the pocket wall.
 Subgingival curettage

Procedure that is performed apical to the
epithelial attachment, severing the connective
tissue attachment down to the osseous crest.
 Inadvertent curettage

Some degree of curettage is done
unintentionally when scaling and root planing
is performed.
9
10
 Basic technique :


Curettage is a closed, definitive surgical procedure performed
under local anesthesia and aimed at pocket reduction, elimination,
reattachment, or new attachment.

 It

is indicated primarily for edematous suprabony pockets, where
shrinkage and a reduction in inflammation will result in a shallow
sulcus, or prior to surgery for pocket elimination to reduce
inflammation (Hirschfeld, 1952).

 It is performed with sharp curettes in an attempt to remove:

(1) The sulcular epithelium and the epithelial attachment and
(2) The inflammed connective issue of the pocket wall

11
Indications :
1. Edematous and inflammed tissues
2. Shallow pockets
3. Suprabony pockets
4. As part of initial preparation prior to open
surgical procedures in an attempt to achieve
tissue quality that can be handled easily
5. Progressive attachment or alveolar bone loss
6. Increased levels of pathogenic microorganisms

12
Contraindications :
1. Fibrotic tissue
2. Deep pockets ≥ 5mm
3. Furcation involvements
4. Medically compromised patient

13
Basic Technique with a Curette
Instruments:
Gracey curettes
Universal curettes
Isolation & Anesthetize :

Local infiltration is given to anesthetize the
isolated selected site.
Insertion of Curettage :

Sharp Gracey or Universal curette is inserted with
the cutting edge against the tissue so as to engage the
inner lining of pocket wall & junctional epithelium.
14
Curette the soft tissue wall :

Curette is carried along the soft tissue in a horizontal stroke

The pocket wall is supported by gentle finger pressure on
the external surface

Several overlapping strokes are used to completely remove
the epithelium & underlying granulation tissue .

In subgingival curettage, the tissue attached to the bottom
of the pocket & alveolar crest are removed with a scooping
motion of the curette to the tooth surface.
Irrigation :
Irrigate the area to remove debris & press the tissue to the
tooth surface gently which enables the arrest of bleeding &
adaptation of soft tissue to the root surface
Suturing :

Indicated if the clot area has been disrupted & the papilla
have been separated.
Healing :

It will result in shrunken, firm well adapted & well
contoured tissue.
15
16
Excisional New Attachment Procedure (ENAP)

 1931 Kirkland described a modified flap operation for treating periodontal
disease
 1939 Barkann described a conservative surgical approach to treat
periodontal pockets.
 Barkann's procedure closely approximates the ENAP technique reported on
by Yukna et al. 1976
The ENAP is essentially subgingival curettage performed with a knife.
Objectives :
•permit thorough soft tissue preparation
•secure better access to the root surface
•advantages over traditional subgingival curettage is the definitive, clean
excision of the junctional epithelium and the subjacent tissue with a greater
probability of new clinical attachment
17
 Indications

1. Suprabony pockets
2. Adequate keratinized tissue
3. When esthetics are unimportant
 Contraindictions

1. Pockets exceed mucogingival junction
2. Edematous tissue
3. Lack of keratinized tissue
4. Osseous defects must be treated
5. Hyperplastic tissue
6. Close root proximity
7. Furcation involvement
8. Probing depths of 3 mm or less
18
 Advantages

1. Improved root visualization
2. Complete removal of sulcular epithelium and epithelial
attachment
3. Minimal gingival trauma
4. No loss of keratinized gingiva

 Disadvantages

1. Difficult to determine apical extent of epithelial
attachment
2. Does not result in new attachment
19
Procedure :
Instruments

Surgical handle
(Bard parker no. 3)
surgical blades no. 11, 12, 15
Curettes
Technique
Scaling and root planing are performed at least 1 week before
the ENAP, which increases the healing potential
Anesthesia
Adequate anesthesia is given, after which pockets are checked
to ensure that the zone of keratinized tissue is adequate and that the
pockets do not exceed the mucogingival junction

20
Incision :
With a no. 11 or no. 15 scalpel blade, a scalloped, partialthickness, inverse-beveled incision is made from the crest of the gingiva to the
base of the sulcus.
The incisions are carried facially, lingually, and
interproximally as far as possible. The papilla is thinned interproximally to
remove any inflammed connective tissue and the triangular wedge of
interproximal tissue. This tissue is difficult to remove once the flap is free.
Removal of the tissue :
With scalers and curettes, the inflammed granulated and
excised tissues are removed. All tissue tags are carefully removed. The root is
scaled until it is hard and smooth and is free of calculus and softened
cementum.

21
Irrigation
The area is flushed with normal saline to remove debris, blood
clots, and tissue tags.
Suturing
Interproximal sutures are used to position the tissue as closely as
possible to the presurgical height and to adapt the papillae and tissue
tightly about the necks of the teeth. Primary closure is desirable.
Dressing
A periodontal dressing is now placed interproximally, without
being forced.

22
 Clinical improvement was reported at 1 and 3 year

evaluations following the procedure but probing depths
increased slightly and the amount of newly gained
attachment decreased slightly at each postoperative
evaluation from 1 to 5 years. However, an overall gain of 1.5
mm in clinical attachment was still evident 5 years after the
treatment.
 Studies by Yukna (1980) and associates suggest a trend
towards a relapse somewhere around the 5-year mark.
 Since no clinically significant tissue loss occurs with this
technique, retreatment by the ENAP procedure every 5
years or so may well preserve the maximum amount of
attachment for the longest possible time.
 Both subgingival curettage and ENAP have the advantage
of minimizing postsurgical recession and root sensitivity
because the free gingival margin is kept virtually intact and
tissue elevation is not a part of these procedures.
23
24
ENAP Modification
In 1977, Fredi and Rosenfeld modified the technique by
advocating a partial-thickness inverse beveled incision down to the crest of
bone to completely remove tissue about the periodontal ligament. The flaps
were then sutured at the presurgical height . The technique is basically the
same in all other aspects

A. Initial incision made
to the crest of bone of
the pocket

B. Inner wall removed
down to the crest of bone
& periodontal ligament

C. Healed tissue
25
Caustic Drugs.
Since early in the development of periodontal procedures, the use
of caustic drugs has been recommended to induce a chemical curettage of the
lateral wall of the pocket or even the selective elimination
of the epithelium.

Drugs such as :
sodium sulfide
alkaline sodium hypochlorite solution (Antiformin),
phenol
These drugs were discarded after studies showed their ineffectiveness.
The extent of tissue destruction with these drugs cannot be controlled,
and they may increase rather than reduce the amount of tissue to be
removed by enzymes and phagocytes (Kenneth – 1981) (Lorraine et al-1986)

26
Ultrasonic Curettage.

The use of ultrasonic devices has been recommended for gingival curettage.
When applied to the gingiva of experimental animals, ultrasonic vibrations
disrupt tissue continuity, lift off epithelium, dismember collagen bundles,
and alter the morphologic features of fibroblast nuclei.
Ultrasound is effective for debriding the epithelial lining of periodontal
pockets. It results in a narrow band of necrotic tissue (microcauterization),
which strips off the inner lining of the pocket
The Morse scaler-shaped and rod-shaped ultrasonic instruments
are used for this purpose.
Nadler H-1962 found ultrasonic instruments to be as effective as manual
instruments for curettage but resulted in less inflammation
and less removal of underlying connective tissue.
27
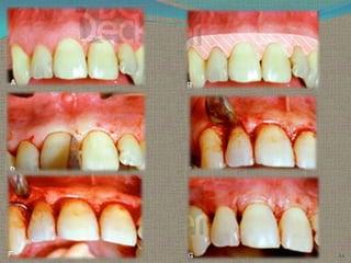
CLINICAL APPEARANCE AFTER SCALING AND CURETTAGE
Immediately after scaling and curettage, the gingiva appears
hemorrhagic and bright red.
After 1 week,
The gingiva appears reduced in height
owing to an apical shift in the position of the gingival
margin. The gingiva is also slightly redder than normal,
but much less so than on previous days.
After 2 weeks
The normal color, consistency, surface texture, and
contour of the gingiva are attained, and the gingival
margin is well adapted to the tooth

28
Clinical Appearance Of Gingiva

29
HEALING FOLLOWED BY CURETTAGE
Visualization Of Microvascularization Of The Healing Periodontal
Wound Followed By Curettage
(Simao kon , H. Goldman et al 1969)
A study was carried out for the purpose of observing
the wound healing process and the behaviour of the blood
vessels when curettage was performed.
Pelikan carbon black suspension (Gunther Wagner) was filtered and
injected into the common carotid arteries of young
adult mongrel dogs.
The perfusion technique was performed 2, 4, 6, 7, 12, 16, 23, 31,
38, 55 and 85 days after the curettage.
The macroscopic aspect of the wound was evaluated
clinically by means of kodachromes. Sections (8
microns in thickness) were stained by the Mallory technique
(Goldman-Bloom modification) and HematoxylinEosin.
30
Zero Hour.
The connective tissue at the sulcus was exposed and in few animals
when epithelial cells remained they were at the tip of the margin, at the middle area of
the sulcus or at both locations.
Beyond the epithelial attachment the connective tissue was sometimes torn from overcurettement. When the tissue was torn and the perfused material flowed into the
sulcus, more vascularization was seen and there was some Hemorrhaging. The capillary
loops in the rete peg area were easily observed due to the perfusion with carbon black.
No inflammatory cells were present in the sulcular area.

31
Two Days.
In this animal the blood clot covers the entire sulcular area. There are no epithelial
cells from the tip of the margin to the cementum enamel junction( C E J ) .
The underlying connective tissue is still disorganized.

The connective tissue surface derived from this hand curettage is irregular but is corrected
by the blood clot which presents an even surface. A large perfused vessel seems
to give rise to the blood clot formation,
as demonstrated by the continuity between
the carbon black and the clot. No change could

be detected in the oral epithelium.

32
Four Days.
The whole area has a thick blood clot and
there was a hemorrhage deep in the connective
tissue, caused by the instrument.

33
The sulcular epithelium is being formed by a proliferation of
the oral epithelium which migrates underneath the clot.
The subsulcular connective tissue is still disorganized.

34
Six Days.
The epithelium already covers the cut surface of the connective tissue. It is very
thin, being formed by an average of five layers of flat epithelial cells. The
connective tissue is healed and there is no
apparent inflammatory infiltrate. A large
number of loaded small capillaries is present
directly beneath the sulcular epithelium.
At the cemento-enamel junction the bottom of
the long epithelial attachment and the insertion
of Group III fibers can be seen forming a well
collagenated area. Group I is still disorganized..

35
36
 Seven Days.
 It is also completely epithelized as far as the

cementum enamel junction. The epithelium is
thin, but irregular and there are some epithelial
projections.
 Many desquamated cells and debris are present in the
sulcus, in which area there is an inflammatory
response.
37
12 Days.

The sulcular epithelium remains thin and is located at the cementum enamel

junction. Keratinization is present at the margin where the sulcular and oral
epithelium join. There is no inflammatory infiltrate
in the connective tissue which underlies the newly
formed sulcular epithelium. It is well collagenated,
and Group I fibers as well as the subsulcular capillaries
show some semblance of organization.
The tip of the margin is well vascularized

38
39
 16 Days.

The sulcular epithelium remains at the
cementum enamel junction. It is thin and there are no
rete pegs. There is a flattening of cells against the
enamel, forming the cuticle which identifies the
bottom of the new sulcus. The connective tissue is well
organized, with little vascularization and without
inflammatory infiltrate. Group I fibers are not as
distinguishable at this stage.

40
23 Days.
No significant change in the epithelium and vascularization can be observed;
however, Group I fibers seem to be better organized and there is more
delineation.
There are more dark spots of carbon black at the tip of the margin. Flat
cells, separated from the sulcular epithelium, form a cuticle that remains free at

the enamel space.

41
31 Days.
There is no significant difference
between this specimen and that of the 23-day
specimen. The sulcular epithelium appears to be
somewhat thicker and there is a noticeable
increase in vascularization, predominantly at the
gingival margin. The epithelial attachment
remains at the cementum enamel junction

42
38 Days.
The sulcus remains normal, with no inflammation, and the
connective tissue is well collagenated. Fewer vessels can be
observed here than in the control, since there is no inflammatory
reaction.

43
 Studies
 1949 Henry M. Goldman conducted a study for a treatment of

intrabony pockets with subgingival curettage procedure and he
concluded that new bone formation has been achieved in all the
6 cases
 1971 Herbert Oshrain, Albart Salkind conducted a study in
which , a contoured mylar strips were inserted into periodontal
pockets immediately after curettage, removed after ten minutes
and examined for microbial population.
A viable flora was present subgingivally which probably
represents remnants of a pre curettage population.

1977 Nestor Lopez , Mario conducted a comparative study
to check effects upon gingival inflammation by subgingival
scaling with root planing and curettage.
They concluded , the clinical appearance of gingiva after 14
days was similar in both groups where as the depth of gingival
sulcus recorded prior the treatment & 4 and 6 weeks following
treatment suggest that curettage accomplish a greater retraction
of the gingiva than subgingival scaling and root planing.

44
 Dennis et. Al. 1980 conducted his study for testing

short term clinical differences in periodontal status

after treatment with osseous recontouring and flap
curettage in humans.


Twelve systemically healthy patients with
bilaterally similar marginal periodontal destruction
received a standardized presurgical therapy.



The posterior segments of these patients were
then treated with osseous recontouring and flap
curettage.
45
Following results are obtain in his study

(1) Osseous recontouring and open flap curettage equally reduced
plaque and gingival inflammation;
(2) Each surgical procedure equally increased attached gingiva;
(3) Pocket reduction achieved with osseous recontouring was
maintained over 6 months, pockets recurring after open curettage;

(4) Open curettage did not induce bone regeneration;
(5) Osseous recontouring did not result in irreversible tooth
mobility;
(6) Osseous recontouring resulted in a net loss of attachment; open
curettage producing a net gain, especially in deeper pockets;
(7) Both procedures improved periodontal health.
46
 1981 Kenneth, tussing et al conducted a study in which a

histological evaluation of gingival curettage was performed

by sodium hypochlorite solution.
According to this study chemical curettage gives better
results than routine gingival curettage therapy

 Predictable , uniform removal of pocket lining

 Local anesthesia is not required
 Reduce hemorrhage due to the styptic action of sodium

hypochlorite solution allowing better vision and easier
tissue management.

47
 1984 Harold Meador , James et al were conducted a study

to evaluate long term effectiveness of periodontal therapy
in clinical practice.
 In this study various periodontal therapies were assessed

such as non surgical treatment , close curettage, open
curettage, modified widman flap and osseous surgery.
 The major conclusions were that the modified widman flap

and open curettage were more effective that flap and
osseous surgery and much more effective than close
curettage
48
1986 Lorraine B Forgas , sherry Gound were conducted a study to
investigate the effect of Antiformin-citric Acid chemical curettage
Combine with SRP would significantly reduce pathogenic bacteria

of the periodontal pocket when compared to SRP alone.
No significant result were found
1988 G. Biagini , L. checchi et al were conducted a study to evaluate
Gingival repair in periodontitis were treated with scaling and root planing
Performed with ultrasonic and hand scalers.
In this study no differences were found in the histological features of repair
Process triggered by either type of scaler

49
AAP Statement Regarding Gingival curettage
(2002)
The American Dental Association has deleted that code from the fourth edition
Of current Dental Terminology(CDT-4). In addition the American Academy
of Periodontology in its Guidelines for peiodontal therapy, did not include
Gingival curettage as a method of treatment

50
 Lindhe J, Nyman S. The effect of plaque control and surgical pocket









elimination on the establishment and maintenance of periondontal
health. A longitudinal study of periodontal therapy in cases of
advanced disease. J Clin Periodontol 1975;2:67–79.
Stern T, Everett F, Robicsek K. S. Robicsek a pioneer in the surgical
treatment of periodontal disease. J Periodontol 1965;36:265–268.
The American Academy of Periodontology; Glossary of Periodontal
Terms, 3rd ed. Chicago; The American Academy of Periodontology;
1992
Nabers, CL. Repositioning the attached gingiva. J Periodontol
1954;25:38–39.
Newman M, Sanz M, Nachnani S, Saltini C, Anderson L. Effect of a
0.12% chlorhexidine on bacterial colonization following periodontal
surgery. J Periodontol 1989;60:577–581.
Becker W, Becker BE, Ochsenbein C, et al. A longitudinal study
comparing scaling osseous surgery and modified Widman procedures.
Results after 1 year. J Periodontol 1988;59:351–365.
Trylovich D, Cobb C, Pippin D, Spencer, P, Killoy W. The effects of
Nd:YAG laser on in-vitro fibroblast attachment to endotoxin treated
root surfaces. J Periodontol 1992;63:626–632
Chace, R.: Subgingival curettage in periodontal therapy. J Periodontol
45:107, 1974
51
 Raust, G.: What is the value of gingival curettage in

periodontal therapy. Periodont Abst 17:142, 1969.
 Beube, F.: A rationale approach to periodontal surgery.
Dent Clin North Am 4:425, 1960
 Caton, J. and Zander, H.: The attachment between
tooth and gingival tissues after periodic root planning
and soft tissue curettage. J Periodontol 50:462, 1979

52

Gingival curettage

  • 1.
    GINGIVAL CURETTAGE DR. SWAPNILBORKAR I-YEAR POST GRADUATE STUDENT DEPARTMENT OF PERIODONTICS & ORAL IMPLANTOLOGY S.D.K.S DENTAL COLLEGE NAGPUR 1
  • 2.
         Introduction Definitions History Terminology Procedure         Basic Technique Indication  Contraindication Excisional New Attachment Procedure  Modified ENAP  Indication  Contraindication  Advantage  Disadvantage Caustic Drug Ultrasonic curettage Clinical Appearance After Curettage Healing After Curettage Studies AAP Statement Regarding Gingival curettage 2
  • 3.
    INTRODUCTION “CURETTE”:  From theLatin term “curare”, to care or to cure.  Then to French curer means to care  Bronze curette have been found in Egyptian tombs 3
  • 4.
     Definitions : The term "gingival curettage" implies directing an operative instrument against the gingival wall of the periodontal pocket in order to remove the ulcerated epithelium covering the sulcus. ( Nestor & Lopez ,1977)  Curettage is a technique designed to remove, by surgical debridement, the inner aspect of the diseased gingival wall, including the ulcerated and hyperplastic pocket epithelium and the contiguous zone of damaged connective tissue downward and outward to the firm and intact aspect of the gingival corium (Simon Kon 1968 )  The word curettage is used in periodontics to mean the scraping of the gingival wall of a periodontal pocket to separate diseased soft tissue (F.A. carranza 10th edition ) 4
  • 5.
     Rationale: Curettage isthe conversion of chronic inflammatory ulcers to the gingival wall of the pockets into surgical wound. Curettage can be used alone as the separate procedure after root planing has to perform or as in combination with root planing to eliminate the pocket. The end result of the therapy is that the remaining gingival wall will shrink via resolution of inflammatory infiltrates and the drainage of tissue fluid from the wound, the exposed connective tissue from the contiguous oral epithelium will re epithelialize , the new lamina propria subjacent to the new sulcular lining and epithelial attachment forms, and the microvascularization of the tissue will return to the original quality and distribution. 5
  • 6.
     History : 1902–Zanmensky published the classic paper ”Alveolar Pyorrhea – Its pathological anatomy and its radiacal treatment. The infiltration with white blood corpuscles is still not deep, it embraces almost exclusively the papillary layer of gum ; the bone of socket is yet normal…” He treated Pyorrhea with removal of calculus and also deep curettage of the sockets, using cocaine anesthesia 1845-1928 -Salomon Robicsek He developed a surgical technique consisting of a scalloped continuous gingivectomy excision, exposing the marginal bone for subsequent curettage and remodeling 6
  • 7.
     History : 1935-kronfeldproved that the bone in the peiodontal pockets was neither necrotic nor infected but rather destroy by inflammatory process, and the era of tissue curettage began as the attention was shifted to the soft tissue surrounding the tooth as the source of infection. The rationale for the radical treatment was supported by the authors such as Neuman, Widman , Robicsek ,Zemsky , Ceszynki and Nodine who popularized the surgical procedures for the elimination of periodontal pocket. 7
  • 8.
     1948- Goldmandiscussed the rationale for curettage and differentiated between those designed for elimination of gingival pocket. He stated that the cure can be accomplished when the diseased epithelium lining and attachment and the altered gingival corium are eliminated. He later observed the soft tissue curettage with the use of ultrasonic instruments. 1969- Morries,Moskow & Simao Kon,goldman Carried out a study on the healing of periodontal pocket & microvascularization of healing of periodontal wound. 8
  • 9.
     Terminology :Gingival curettage Removal of the inflammed soft tissue lateral to the pocket wall.  Subgingival curettage Procedure that is performed apical to the epithelial attachment, severing the connective tissue attachment down to the osseous crest.  Inadvertent curettage Some degree of curettage is done unintentionally when scaling and root planing is performed. 9
  • 10.
  • 11.
     Basic technique:  Curettage is a closed, definitive surgical procedure performed under local anesthesia and aimed at pocket reduction, elimination, reattachment, or new attachment.  It is indicated primarily for edematous suprabony pockets, where shrinkage and a reduction in inflammation will result in a shallow sulcus, or prior to surgery for pocket elimination to reduce inflammation (Hirschfeld, 1952).  It is performed with sharp curettes in an attempt to remove: (1) The sulcular epithelium and the epithelial attachment and (2) The inflammed connective issue of the pocket wall 11
  • 12.
    Indications : 1. Edematousand inflammed tissues 2. Shallow pockets 3. Suprabony pockets 4. As part of initial preparation prior to open surgical procedures in an attempt to achieve tissue quality that can be handled easily 5. Progressive attachment or alveolar bone loss 6. Increased levels of pathogenic microorganisms 12
  • 13.
    Contraindications : 1. Fibrotictissue 2. Deep pockets ≥ 5mm 3. Furcation involvements 4. Medically compromised patient 13
  • 14.
    Basic Technique witha Curette Instruments: Gracey curettes Universal curettes Isolation & Anesthetize :  Local infiltration is given to anesthetize the isolated selected site. Insertion of Curettage :  Sharp Gracey or Universal curette is inserted with the cutting edge against the tissue so as to engage the inner lining of pocket wall & junctional epithelium. 14
  • 15.
    Curette the softtissue wall :  Curette is carried along the soft tissue in a horizontal stroke  The pocket wall is supported by gentle finger pressure on the external surface  Several overlapping strokes are used to completely remove the epithelium & underlying granulation tissue .  In subgingival curettage, the tissue attached to the bottom of the pocket & alveolar crest are removed with a scooping motion of the curette to the tooth surface. Irrigation : Irrigate the area to remove debris & press the tissue to the tooth surface gently which enables the arrest of bleeding & adaptation of soft tissue to the root surface Suturing :  Indicated if the clot area has been disrupted & the papilla have been separated. Healing :  It will result in shrunken, firm well adapted & well contoured tissue. 15
  • 16.
  • 17.
    Excisional New AttachmentProcedure (ENAP)  1931 Kirkland described a modified flap operation for treating periodontal disease  1939 Barkann described a conservative surgical approach to treat periodontal pockets.  Barkann's procedure closely approximates the ENAP technique reported on by Yukna et al. 1976 The ENAP is essentially subgingival curettage performed with a knife. Objectives : •permit thorough soft tissue preparation •secure better access to the root surface •advantages over traditional subgingival curettage is the definitive, clean excision of the junctional epithelium and the subjacent tissue with a greater probability of new clinical attachment 17
  • 18.
     Indications 1. Suprabonypockets 2. Adequate keratinized tissue 3. When esthetics are unimportant  Contraindictions 1. Pockets exceed mucogingival junction 2. Edematous tissue 3. Lack of keratinized tissue 4. Osseous defects must be treated 5. Hyperplastic tissue 6. Close root proximity 7. Furcation involvement 8. Probing depths of 3 mm or less 18
  • 19.
     Advantages 1. Improvedroot visualization 2. Complete removal of sulcular epithelium and epithelial attachment 3. Minimal gingival trauma 4. No loss of keratinized gingiva  Disadvantages 1. Difficult to determine apical extent of epithelial attachment 2. Does not result in new attachment 19
  • 20.
    Procedure : Instruments Surgical handle (Bardparker no. 3) surgical blades no. 11, 12, 15 Curettes Technique Scaling and root planing are performed at least 1 week before the ENAP, which increases the healing potential Anesthesia Adequate anesthesia is given, after which pockets are checked to ensure that the zone of keratinized tissue is adequate and that the pockets do not exceed the mucogingival junction 20
  • 21.
    Incision : With ano. 11 or no. 15 scalpel blade, a scalloped, partialthickness, inverse-beveled incision is made from the crest of the gingiva to the base of the sulcus. The incisions are carried facially, lingually, and interproximally as far as possible. The papilla is thinned interproximally to remove any inflammed connective tissue and the triangular wedge of interproximal tissue. This tissue is difficult to remove once the flap is free. Removal of the tissue : With scalers and curettes, the inflammed granulated and excised tissues are removed. All tissue tags are carefully removed. The root is scaled until it is hard and smooth and is free of calculus and softened cementum. 21
  • 22.
    Irrigation The area isflushed with normal saline to remove debris, blood clots, and tissue tags. Suturing Interproximal sutures are used to position the tissue as closely as possible to the presurgical height and to adapt the papillae and tissue tightly about the necks of the teeth. Primary closure is desirable. Dressing A periodontal dressing is now placed interproximally, without being forced. 22
  • 23.
     Clinical improvementwas reported at 1 and 3 year evaluations following the procedure but probing depths increased slightly and the amount of newly gained attachment decreased slightly at each postoperative evaluation from 1 to 5 years. However, an overall gain of 1.5 mm in clinical attachment was still evident 5 years after the treatment.  Studies by Yukna (1980) and associates suggest a trend towards a relapse somewhere around the 5-year mark.  Since no clinically significant tissue loss occurs with this technique, retreatment by the ENAP procedure every 5 years or so may well preserve the maximum amount of attachment for the longest possible time.  Both subgingival curettage and ENAP have the advantage of minimizing postsurgical recession and root sensitivity because the free gingival margin is kept virtually intact and tissue elevation is not a part of these procedures. 23
  • 24.
  • 25.
    ENAP Modification In 1977,Fredi and Rosenfeld modified the technique by advocating a partial-thickness inverse beveled incision down to the crest of bone to completely remove tissue about the periodontal ligament. The flaps were then sutured at the presurgical height . The technique is basically the same in all other aspects A. Initial incision made to the crest of bone of the pocket B. Inner wall removed down to the crest of bone & periodontal ligament C. Healed tissue 25
  • 26.
    Caustic Drugs. Since earlyin the development of periodontal procedures, the use of caustic drugs has been recommended to induce a chemical curettage of the lateral wall of the pocket or even the selective elimination of the epithelium. Drugs such as : sodium sulfide alkaline sodium hypochlorite solution (Antiformin), phenol These drugs were discarded after studies showed their ineffectiveness. The extent of tissue destruction with these drugs cannot be controlled, and they may increase rather than reduce the amount of tissue to be removed by enzymes and phagocytes (Kenneth – 1981) (Lorraine et al-1986) 26
  • 27.
    Ultrasonic Curettage. The useof ultrasonic devices has been recommended for gingival curettage. When applied to the gingiva of experimental animals, ultrasonic vibrations disrupt tissue continuity, lift off epithelium, dismember collagen bundles, and alter the morphologic features of fibroblast nuclei. Ultrasound is effective for debriding the epithelial lining of periodontal pockets. It results in a narrow band of necrotic tissue (microcauterization), which strips off the inner lining of the pocket The Morse scaler-shaped and rod-shaped ultrasonic instruments are used for this purpose. Nadler H-1962 found ultrasonic instruments to be as effective as manual instruments for curettage but resulted in less inflammation and less removal of underlying connective tissue. 27
  • 28.
    CLINICAL APPEARANCE AFTERSCALING AND CURETTAGE Immediately after scaling and curettage, the gingiva appears hemorrhagic and bright red. After 1 week, The gingiva appears reduced in height owing to an apical shift in the position of the gingival margin. The gingiva is also slightly redder than normal, but much less so than on previous days. After 2 weeks The normal color, consistency, surface texture, and contour of the gingiva are attained, and the gingival margin is well adapted to the tooth 28
  • 29.
  • 30.
    HEALING FOLLOWED BYCURETTAGE Visualization Of Microvascularization Of The Healing Periodontal Wound Followed By Curettage (Simao kon , H. Goldman et al 1969) A study was carried out for the purpose of observing the wound healing process and the behaviour of the blood vessels when curettage was performed. Pelikan carbon black suspension (Gunther Wagner) was filtered and injected into the common carotid arteries of young adult mongrel dogs. The perfusion technique was performed 2, 4, 6, 7, 12, 16, 23, 31, 38, 55 and 85 days after the curettage. The macroscopic aspect of the wound was evaluated clinically by means of kodachromes. Sections (8 microns in thickness) were stained by the Mallory technique (Goldman-Bloom modification) and HematoxylinEosin. 30
  • 31.
    Zero Hour. The connectivetissue at the sulcus was exposed and in few animals when epithelial cells remained they were at the tip of the margin, at the middle area of the sulcus or at both locations. Beyond the epithelial attachment the connective tissue was sometimes torn from overcurettement. When the tissue was torn and the perfused material flowed into the sulcus, more vascularization was seen and there was some Hemorrhaging. The capillary loops in the rete peg area were easily observed due to the perfusion with carbon black. No inflammatory cells were present in the sulcular area. 31
  • 32.
    Two Days. In thisanimal the blood clot covers the entire sulcular area. There are no epithelial cells from the tip of the margin to the cementum enamel junction( C E J ) . The underlying connective tissue is still disorganized. The connective tissue surface derived from this hand curettage is irregular but is corrected by the blood clot which presents an even surface. A large perfused vessel seems to give rise to the blood clot formation, as demonstrated by the continuity between the carbon black and the clot. No change could be detected in the oral epithelium. 32
  • 33.
    Four Days. The wholearea has a thick blood clot and there was a hemorrhage deep in the connective tissue, caused by the instrument. 33
  • 34.
    The sulcular epitheliumis being formed by a proliferation of the oral epithelium which migrates underneath the clot. The subsulcular connective tissue is still disorganized. 34
  • 35.
    Six Days. The epitheliumalready covers the cut surface of the connective tissue. It is very thin, being formed by an average of five layers of flat epithelial cells. The connective tissue is healed and there is no apparent inflammatory infiltrate. A large number of loaded small capillaries is present directly beneath the sulcular epithelium. At the cemento-enamel junction the bottom of the long epithelial attachment and the insertion of Group III fibers can be seen forming a well collagenated area. Group I is still disorganized.. 35
  • 36.
  • 37.
     Seven Days. It is also completely epithelized as far as the cementum enamel junction. The epithelium is thin, but irregular and there are some epithelial projections.  Many desquamated cells and debris are present in the sulcus, in which area there is an inflammatory response. 37
  • 38.
    12 Days. The sulcularepithelium remains thin and is located at the cementum enamel junction. Keratinization is present at the margin where the sulcular and oral epithelium join. There is no inflammatory infiltrate in the connective tissue which underlies the newly formed sulcular epithelium. It is well collagenated, and Group I fibers as well as the subsulcular capillaries show some semblance of organization. The tip of the margin is well vascularized 38
  • 39.
  • 40.
     16 Days. Thesulcular epithelium remains at the cementum enamel junction. It is thin and there are no rete pegs. There is a flattening of cells against the enamel, forming the cuticle which identifies the bottom of the new sulcus. The connective tissue is well organized, with little vascularization and without inflammatory infiltrate. Group I fibers are not as distinguishable at this stage. 40
  • 41.
    23 Days. No significantchange in the epithelium and vascularization can be observed; however, Group I fibers seem to be better organized and there is more delineation. There are more dark spots of carbon black at the tip of the margin. Flat cells, separated from the sulcular epithelium, form a cuticle that remains free at the enamel space. 41
  • 42.
    31 Days. There isno significant difference between this specimen and that of the 23-day specimen. The sulcular epithelium appears to be somewhat thicker and there is a noticeable increase in vascularization, predominantly at the gingival margin. The epithelial attachment remains at the cementum enamel junction 42
  • 43.
    38 Days. The sulcusremains normal, with no inflammation, and the connective tissue is well collagenated. Fewer vessels can be observed here than in the control, since there is no inflammatory reaction. 43
  • 44.
     Studies  1949Henry M. Goldman conducted a study for a treatment of intrabony pockets with subgingival curettage procedure and he concluded that new bone formation has been achieved in all the 6 cases  1971 Herbert Oshrain, Albart Salkind conducted a study in which , a contoured mylar strips were inserted into periodontal pockets immediately after curettage, removed after ten minutes and examined for microbial population. A viable flora was present subgingivally which probably represents remnants of a pre curettage population.  1977 Nestor Lopez , Mario conducted a comparative study to check effects upon gingival inflammation by subgingival scaling with root planing and curettage. They concluded , the clinical appearance of gingiva after 14 days was similar in both groups where as the depth of gingival sulcus recorded prior the treatment & 4 and 6 weeks following treatment suggest that curettage accomplish a greater retraction of the gingiva than subgingival scaling and root planing. 44
  • 45.
     Dennis et.Al. 1980 conducted his study for testing short term clinical differences in periodontal status after treatment with osseous recontouring and flap curettage in humans.  Twelve systemically healthy patients with bilaterally similar marginal periodontal destruction received a standardized presurgical therapy.  The posterior segments of these patients were then treated with osseous recontouring and flap curettage. 45
  • 46.
    Following results areobtain in his study (1) Osseous recontouring and open flap curettage equally reduced plaque and gingival inflammation; (2) Each surgical procedure equally increased attached gingiva; (3) Pocket reduction achieved with osseous recontouring was maintained over 6 months, pockets recurring after open curettage; (4) Open curettage did not induce bone regeneration; (5) Osseous recontouring did not result in irreversible tooth mobility; (6) Osseous recontouring resulted in a net loss of attachment; open curettage producing a net gain, especially in deeper pockets; (7) Both procedures improved periodontal health. 46
  • 47.
     1981 Kenneth,tussing et al conducted a study in which a histological evaluation of gingival curettage was performed by sodium hypochlorite solution. According to this study chemical curettage gives better results than routine gingival curettage therapy  Predictable , uniform removal of pocket lining  Local anesthesia is not required  Reduce hemorrhage due to the styptic action of sodium hypochlorite solution allowing better vision and easier tissue management. 47
  • 48.
     1984 HaroldMeador , James et al were conducted a study to evaluate long term effectiveness of periodontal therapy in clinical practice.  In this study various periodontal therapies were assessed such as non surgical treatment , close curettage, open curettage, modified widman flap and osseous surgery.  The major conclusions were that the modified widman flap and open curettage were more effective that flap and osseous surgery and much more effective than close curettage 48
  • 49.
    1986 Lorraine BForgas , sherry Gound were conducted a study to investigate the effect of Antiformin-citric Acid chemical curettage Combine with SRP would significantly reduce pathogenic bacteria of the periodontal pocket when compared to SRP alone. No significant result were found 1988 G. Biagini , L. checchi et al were conducted a study to evaluate Gingival repair in periodontitis were treated with scaling and root planing Performed with ultrasonic and hand scalers. In this study no differences were found in the histological features of repair Process triggered by either type of scaler 49
  • 50.
    AAP Statement RegardingGingival curettage (2002) The American Dental Association has deleted that code from the fourth edition Of current Dental Terminology(CDT-4). In addition the American Academy of Periodontology in its Guidelines for peiodontal therapy, did not include Gingival curettage as a method of treatment 50
  • 51.
     Lindhe J,Nyman S. The effect of plaque control and surgical pocket        elimination on the establishment and maintenance of periondontal health. A longitudinal study of periodontal therapy in cases of advanced disease. J Clin Periodontol 1975;2:67–79. Stern T, Everett F, Robicsek K. S. Robicsek a pioneer in the surgical treatment of periodontal disease. J Periodontol 1965;36:265–268. The American Academy of Periodontology; Glossary of Periodontal Terms, 3rd ed. Chicago; The American Academy of Periodontology; 1992 Nabers, CL. Repositioning the attached gingiva. J Periodontol 1954;25:38–39. Newman M, Sanz M, Nachnani S, Saltini C, Anderson L. Effect of a 0.12% chlorhexidine on bacterial colonization following periodontal surgery. J Periodontol 1989;60:577–581. Becker W, Becker BE, Ochsenbein C, et al. A longitudinal study comparing scaling osseous surgery and modified Widman procedures. Results after 1 year. J Periodontol 1988;59:351–365. Trylovich D, Cobb C, Pippin D, Spencer, P, Killoy W. The effects of Nd:YAG laser on in-vitro fibroblast attachment to endotoxin treated root surfaces. J Periodontol 1992;63:626–632 Chace, R.: Subgingival curettage in periodontal therapy. J Periodontol 45:107, 1974 51
  • 52.
     Raust, G.:What is the value of gingival curettage in periodontal therapy. Periodont Abst 17:142, 1969.  Beube, F.: A rationale approach to periodontal surgery. Dent Clin North Am 4:425, 1960  Caton, J. and Zander, H.: The attachment between tooth and gingival tissues after periodic root planning and soft tissue curettage. J Periodontol 50:462, 1979 52

Editor's Notes

  • #16 The pocket wall is supported by gentle finger pressure on the external surface