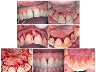
THE PERIODONTAL FLAP
-SHRADDHA KODE
1.
DEFINITION
DEFINITION
Periodontal flap is a section of gingiva and / or mucosa
surgically separated from the underlying tissues to provide
visibility and access to the bone and root surface.
The flap also allows the gingiva to be displaced to a different
location in patients with mucogingival involvement
2.
CLASSIFICATION
CLASSIFICATION OF FLAPS
▸ BONE EXPOSURE AFTER REFLECTION
FULL-THICKNESS FLAP (MUCOPERIOSTEAL FLAP): All
of the soft tissue including the periosteum is reflected to
expose the underlying bone.
SPLIT-THICKNESS FLAP (MUCOSAL FLAP): The partial-
thickness flap includes only the epithelium and a layer
of the underlying connective tissue. The bone remains
covered by a layer of connective tissue that includes the
periosteum.
CLASSIFICATION OF FLAPS
CLASSIFICATION OF FLAPS
▸ WHEN SPLIT THICKNESS FLAP IS RAISED???
Indicated when the flap is to be positioned apically or
when the operator does not want to expose bone (loss
of marginal bone when bone is striped of its
periosteum)
Crestal bone margin is thin and exposed with an apically
placed flap or when dehiscences or fenestrations are
present
CLASSIFICATION OF FLAPS
▸ FLAP PLACEMENT AFTER SURGERY
NONDISPLACED FLAPS: Flap is returned and sutured in
its original position
DISPLACED FLAPS: Flap is placed apically, coronally, or
laterally to their original position.
CLASSIFICATION OF FLAPS
Apically displaced flaps have the important advantage
of preserving the outer portion of the pocket wall and
transforming it into attached gingiva. Therefore, these
flaps accomplish the double objective of eliminating the
pocket and increasing the width of the attached gingiva.
Palatal flaps cannot be displaced because of the
absence of unattached gingiva.
CLASSIFICATION OF FLAPS
CLASSIFICATION OF FLAPS
▸ MANAGEMENT OF PAPILLA
CONVENTIONAL FLAP: Interdental papilla is split
beneath the contact point of the two approximating
teeth to allow for the reflection of the buccal and lingual
flaps. The incision is usually scalloped to maintain
gingival morphology and to retain as much papilla as
possible.
Indicated:
(1) when the interdental spaces are too narrow, thereby
precluding the possibility of preserving the papilla
(2) when the flap is to be displaced.
CLASSIFICATION OF FLAPS
PAPILLA PRESERVATION FLAP: Incorporates the entire
papilla in one of the flaps by means of crevicular
interdental incisions to sever the connective tissue
attachment as well as a horizontal incision at the base
of the papilla to leave it connected to one of the flaps.
CLASSIFICATION OF FLAPS
3.
FLAP DESIGN
FLAP DESIGN
oSurgical judgement of operator
oObjectives of the procedure
oDegree of access to underlying bone and root surfaces
oEsthetic concerns
oPreservation of good blood supply
4.
INCISIONS
INCISIONS
HORIZONTAL
(Mesial-distal)
VERTICAL
(Occlusal-apical)
Horizontal incisions
Directed along the margin of gingiva in mesial or distal
direction
3 types:
1) INTERNAL BEVEL INCISION which starts at a distance
from the gingival margin and which is aimed at the bone
crest
2) CREVICULAR INCISION which starts at the bottom of the
pocket and which is directed to the bone margin
3) INTERDENTAL INCISION is performed after the flap is
elevated to remove the interdental tissue
Horizontal incisions
INTERNAL BEVEL INCISION
FIRST INCISION - The initial incision for the reflection
of a periodontal flap
REVERSE BEVEL INCISION - Its bevel is in reverse direction
from that of the gingivectomy incision
No.15 or 15C surgical blade is used most often to make
this incision
3 objectives:
(1) It removes the pocket lining
(2) It conserves the relatively uninvolved outer surface
of the gingiva which if apically positioned, becomes attached
gingiva
(3) It produces a sharp, thin flap margin for adaptation
to the bone–tooth junction
INTERNAL BEVEL INCISION
That portion of the gingiva left around the tooth after the
internal bevel incision (first) incision contains the epithelium
of the pocket lining and the adjacent granulomatous tissue
It is discarded after the crevicular (second) and interdental
(third) incisions are performed
The internal bevel incision starts from a designated area on
the gingiva and it is then directed to an area at or near the
crest of the bone
INTERNAL BEVEL INCISION
CREVICULAR INCISION
SECOND INCISION – Made from the base of the pocket to the
crest of the bone
This incision, together with the initial reverse bevel incision
forms a V-shaped wedge that ends at or near the crest of bone
Beak shaped no. 12D blade is usually used for this incision
Periosteal elevator is inserted into the initial internal bevel
incision and the flap is separated from the bone
CREVICULAR INCISION
CREVICULAR INCISION
INTERDENTAL INCISION
THIRD INCISION
PURPOSE: separate the collar of gingiva that is left around
the tooth
The Orban knife is usually used for this incision
The incision is made not only around the facial and lingual
radicular area but also interdentally where it connects the
facial and lingual segments to free the gingiva completely
around the tooth
Horizontal incisions
These three incisions allow for the removal of the gingiva
around the tooth (i.e., the pocket epithelium and the adjacent
granulomatous tissue)
A curette or a large scaler (U15/30) can be used for this
purpose
After the removal of the large pieces of tissue, the remaining
connective tissue in the osseous lesion should be carefully
curetted and removed so that the entire root and the bone
surface adjacent to the teeth can be observed
Horizontal incisions
Flaps can be reflected with the use of only the horizontal
incision if sufficient access can be obtained in this way and if
apical, lateral, or coronal displacement of the flap is not
anticipated.
If vertical incisions are not made, the flap is called an
envelope flap.
VERTICAL INCISIONS
OBLIQUE RELEASING INCISION
Can be used on one or both ends of the horizontal incision
depending on the design and purpose of the flap
RULES:
Vertical incision at both ends is necessary if the flap is to be
apically displaced
Vertical incisions must extend beyond the mucogingival line
to reach the alveolar mucosa; this allows for the release of the
flap to be displaced
VERTICAL INCISIONS
Vertical incisions in the lingual and palatal areas are avoided
Facial vertical incisions should not be made in the center
of an interdental papilla or over the radicular surface of a
tooth. Incisions should be made at the line angles of a tooth
either to include the papilla in the flap or to avoid it
completely
The vertical incision should also be designed to avoid short
flaps (mesiodistal) with long, apically directed incisions
because this could jeopardize the blood supply to the flap
VERTICAL INCISIONS
5.
FLAP ELEVATION
FLAP ELEVATION
▸ When a full-thickness flap is desired, reflection of the
flap is accomplished via blunt dissection
▸ A periosteal elevator is used to separate the
mucoperiosteum from the bone by moving it
mesially, distally and apically until the desired
reflection is accomplished
▸ Sharp dissection is necessary to reflect a partial-
thickness flap
▸ A surgical scalpel (no. 15) is used
FLAP ELEVATION
FLAP ELEVATION
▸ A combination of full-thickness and partial-
thickness flaps may be indicated to obtain the
advantages of both
▸ The flap is started as a full-thickness procedure, and
then a partial thickness flap is made at the apical
portion
▸ In this way, the coronal portion of the bone which
may be subject to osseous remodeling—is exposed,
whereas the remaining bone is protected by the
periosteum
FLAP ELEVATION
▸ After the flap is reflected, the osseous shape and
contour is examined, and the necessary osseous
correction is accomplished
▸ The root surface is than carefully root planed and
the flap is replaced and ready to be sutured
6.
HEALING AFTER FLAP
SURGERY
HEALING AFTER FLAP SURGERY
▸ Immediately after suturing (≤24 hours) - a connection
between the flap and the tooth or bone surface is
established by a blood clot
▸ It consists of a fibrin reticulum with many
polymorphonuclear leukocytes, erythrocytes, debris of
injured cells, and capillaries at the edge of the wound
▸ Bacteria and an exudate or transudate also result from
tissue injury
HEALING AFTER FLAP SURGERY
▸ One to 3 days after flap surgery - the space between
the flap and the tooth or bone is thinner
▸ Epithelial cells migrate over the border of the flap, and
they usually contact the tooth at this time
▸ When the flap is closely adapted to the alveolar process,
there is a minimal inflammatory response
HEALING AFTER FLAP SURGERY
▸ One week after surgery - an epithelial attachment to
the root has been established by means of
hemidesmosomes and a basal lamina
▸ The blood clot is replaced by granulation tissue derived
from the gingival connective tissue, the bone marrow,
and the periodontal ligament
HEALING AFTER FLAP SURGERY
▸ Two weeks after surgery - collagen fibers begin to
appear parallel to the tooth surface
▸ Union of the flap to the tooth is still weak because of the
presence of immature collagen fibers, although the
clinical aspect may be almost normal
HEALING AFTER FLAP SURGERY
▸ One month after surgery - a fully epithelialized gingival
crevice with a well-defined epithelial attachment is
present
▸ There is a beginning of functional arrangement of the
supracrestal fibers
HEALING AFTER FLAP SURGERY
▸ Full-thickness flaps which denude the bone result in a
superficial bone necrosis after 1 to 3 days
▸ Osteoclastic resorption follows and reaches a peak at 4
to 6 days and then declines thereafter
▸ This results in a loss of bone of about 1 cmm; the bone
loss is greater if the bone is thin
7.
FLAP TECHNIQUES
FLAP TECHNIQUES
▸ Flaps are used for pocket therapy to accomplish the
following:
1. Increase accessibility to root deposits for scaling and
root planing
2. Eliminate or reduce pocket depth via resection of the
pocket wall
3. Gain access for osseous resective surgery, if
necessary
4. Expose the area for the performance of regenerative
methods
FLAP TECHNIQUES
▸ Three different categories of flap techniques used in
periodontal flap surgery are as follows:
 THE MODIFIED WIDMAN FLAP
 THE UNDISPLACED FLAP
 THE APICALLY DISPLACED FLAP
OVERVIEW
▸ The modified Widman flap facilitates
instrumentation for root therapy
▸ It does not attempt to reduce the pocket depth
except for the reduction that occurs during healing
as a result of tissue shrinkage, but it does eliminate
the pocket lining
▸ The original intent of the surgery was to access the
root surface for scaling and root planing
▸ The objectives for the other two flap procedures—
the undisplaced flap and the apically displaced flap
include root surface access and the reduction or
elimination of the pocket depth
OVERVIEW
▸ The choice of which procedure to use depends on
two important anatomic landmarks: the pocket
depth and the location of the mucogingival junction
▸ These landmarks establish the presence and width
of the attached gingiva, which is the basis for the
decision
▸ The undisplaced (unrepositioned) flap improves
accessibility for instrumentation, but it also removes
the pocket wall, thereby reducing or eliminating the
pocket. This is essentially an excisional procedure of
the gingiva
OVERVIEW
▸ The apically displaced flap provides accessibility and
eliminates the pocket, but it does the latter by
apically positioning the soft-tissue wall of the
pocket
▸ Therefore, it preserves or increases the width of the
attached gingiva by transforming the previously
unattached keratinized pocket wall into attached
tissue
▸ This increase in the width of the attached gingiva is
based on the apical shift of the mucogingival
junction, which may include the apical displacement
of the muscle attachments
OVERVIEW
▸ For the undisplaced flap, the internal bevel incision is
initiated at or near a point just coronal to where the
bottom of the pocket is projected on the outer surface
of the gingiva
▸ This incision can be accomplished only if sufficient
attached gingiva remains apical to the incision
▸ Because the pocket wall is not displaced apically, the
initial incision should eliminate the pocket wall
▸ Thus, an incision should not be made too close to the
tooth because it will not eliminate the pocket wall
and it may result in the re-creation of the soft-tissue
pocket
OVERVIEW
▸ If the tissue is too thick the flap margin should be
thinned with the initial incision
▸ The proper placement of the flap margin at the
tooth–bone junction during closure is important to
prevent either recurrence of the pocket or the
exposure of bone
▸ The internal bevel incision should be scalloped into
the interdental area to preserve the interdental
papilla
▸ This will allow better coverage of the bone at both
the radicular and interdental areas
OVERVIEW
▸ Reconstructive Techniques - The techniques that
are used to achieve reconstructive and regenerative
objectives are the papilla preservation flap and the
conventional flap which involve only crevicular or
pocket incisions
▸ This will allow the clinician to retain the maximum
amount of gingival tissue, including the papilla,
which is essential for graft or membrane coverage
MODIFIED WIDMAN FLAP
▸ 1965 Morris - “unrepositioned mucoperiosteal flap”
▸ 1974 Ramfjord and Nissle described the same
procedure - “modified Widman flap”
▸ This technique offers the possibility of establishing an
intimate postoperative adaptation of healthy
collagenous connective tissue to tooth surfaces and it
provides access for adequate instrumentation of the
root surfaces and immediate closure of the area
MODIFIED WIDMAN FLAP
▸ Step 1: The initial incision is an internal bevel incision to
the alveolar crest starting 0.5 mm to 1 mm away from
the gingival margin. Scalloping follows the gingival
margin
▸ Step 2: The gingiva is reflected with a periosteal elevator
▸ Step 3: A crevicular incision is made from the bottom of
the pocket to the bone in such a way that it
circumscribes the triangular wedge of tissue that
contains the pocket lining
MODIFIED WIDMAN FLAP
▸ Step 4: After the flap is reflected, a third incision is made
in the interdental spaces coronal to the bone with a
curette or an interproximal knife, and the gingival
collar is removed
▸ Step 5: Tissue tags and granulation tissue are removed
with a curette. The root surfaces are checked and then
scaled and planed, if needed
MODIFIED WIDMAN FLAP
▸ Step 6: Bone architecture is not corrected unless it
prevents good tissue adaptation to the necks of the
teeth. Every effort is made to adapt the facial and
lingual interproximal tissue adjacent to each other in
such a way that no interproximal bone remains
exposed at the time of suturing. The flaps may be
thinned to allow for close adaptation of the gingiva
around the entire circumference of the tooth and to
each other interproximally
▸ Step 7: Continuous, independent sling sutures are placed
in both the facial and palatal areas and covered with a
periodontal surgical pack
MODIFIED WIDMAN FLAP
UNDISPLACED FLAP
▸ Most frequently performed type of periodontal surgery
▸ It differs from the modified Widman flap in that the
soft-tissue pocket wall is removed with the initial
incision; thus, it may be considered an “internal bevel
gingivectomy”
▸ The undisplaced flap and the gingivectomy are the two
techniques that surgically remove the pocket wall
UNDISPLACED FLAP
▸ Step 1: The pockets are measured with the periodontal
probe and a bleeding point is produced on the outer
surface of the gingiva to mark the pocket bottom
▸ Step 2: The initial or internal bevel incision is made after
scalloping the bleeding marks on the gingiva. The
incision is usually carried to a point apical to the
alveolar crest, depending on the thickness of the tissue.
The thicker the tissue is, the more apical the ending
point of the incision. In addition, thinning of the flap
should be performed with the initial incision, because it
is easier to accomplish at this time than it is later with a
loose, reflected flap that is difficult to manage.
UNDISPLACED FLAP
▸ Step 3: The second or crevicular incision is made from
the bottom of the pocket to the bone to detach the
connective tissue from the bone
▸ Step 4: The flap is reflected with a periosteal elevator
(blunt dissection) from the internal bevel incision.
Usually there is no need for vertical incisions, because
the flap is not displaced apically
▸ Step 5: The third or interdental incision is made with an
interdental knife to separate the connective tissue from
the bone
▸ Step 6: The triangular wedge of tissue created by the
three incisions is removed with a curette
UNDISPLACED FLAP
▸ Step 7: The area is debrided to remove all tissue tags and
granulation tissue with the use of sharp curettes
▸ Step 8: After the necessary scaling and root planing, the
flap edge should rest on the root–bone junction. If this
is not the case as a result of the improper location of
the initial incision or the unexpected need for osseous
surgery, the edge of the flap is scalloped again and
trimmed to allow the flap edge to end at the root–bone
junction
UNDISPLACED FLAP
▸ Step 9: A continuous sling suture is used to secure the
facial and lingual or palatal flaps. This type of suture,
which makes use of the tooth as an anchor, is
advantageous to position and hold the flap edges at
the root–bone junction. The area is covered with a
periodontal pack.
UNDISPLACED FLAP
PALATAL FLAP
▸ The surgical approach to the palatal area differs from
that used for other areas as a result of the character of
the palatal tissue and the anatomy of the area
▸ The palatal tissue is all attached, keratinized tissue and
has none of the elastic properties associated with other
gingival tissues
▸ Therefore, the palatal tissue cannot be apically
displaced, and a partial-thickness (split-thickness) flap
cannot be accomplished
PALATAL FLAP
▸ The initial incision for the palatal flap should allow the
flap, when sutured, to be precisely adapted at the root–
bone junction
▸ The flap cannot be moved apically or coronally to
adapt to the root–bone junction, as can be done with
the flaps in other areas
▸ Therefore, the location of the initial incision is
important for the final placement of the flap
PALATAL FLAP
▸ The initial incision for a flap varies with the anatomic
situation. The initial incision may be the usual internal
bevel incision, which will then be followed by crevicular
and interdental incisions
▸ If the tissue is thick, a horizontal gingivectomy incision
may be made, and this may be followed by an internal
bevel incision that starts at the edge of this incision and
ends on the lateral surface of the underlying bone
▸ The placement of the internal bevel incision must be
done in such a way that the flap fits around the tooth
without exposing the bone
PALATAL FLAP
▸ Flaps should be thin to adapt to the underlying osseous
tissue and provide a thin, knifelike gingival margin
▸ Flaps particularly palatal flaps are often too thick; they
may have a propensity to separate from the tooth,
which may delay and complicate healing
▸ It is best to thin the flaps before their complete
reflection, because a free, mobile flap is difficult to hold
for thinning
PALATAL FLAP
▸ A sharp, thin papilla positioned properly around the
interdental areas at the tooth–bone junction is essential
to prevent the recurrence of soft-tissue pockets
▸ The apical portion of the scalloping should be narrower
than the line–angle area, because the palatal root tapers
apically
▸ A rounded scallop results in a palatal flap that does not fit
snugly around the root
▸ This procedure should be done before the complete
reflection of the palatal flap, because a loose flap is
difficult to grasp and stabilize for dissection
PALATAL FLAP
APICALLY DISPLACED FLAP
▸ Used for pocket eradication, widening the zone of
attached gingiva, or both
▸ Step 1: An internal bevel incision is made. To preserve
as much of the keratinized and attached gingiva as
possible, it should be no more than about 1 mm
from the crest of the gingiva and directed to the
crest of the bone
▸ Step 2: Crevicular incisions are made, and this is
followed by the initial elevation of the flap.
Interdental incisions are then performed, and the
wedge of tissue that contains the pocket wall is
removed.
APICALLY DISPLACED FLAP
▸ Step 3: Vertical incisions are made extending beyond
the mucogingival junction. If the objective is a full-
thickness flap, it is elevated by blunt dissection with
a periosteal elevator
▸ If a split-thickness flap is required, it is elevated via
sharp dissection with the use of a Bard–Parker knife
to split it. This leaves a layer of connective tissue,
including the periosteum on the bone
APICALLY DISPLACED FLAP
▸ Step 4: After the removal of all granulation tissue,
scaling and root planing, and osseous surgery if
needed, the flap is displaced apically
▸ It is important that the vertical incisions and
therefore the flap elevation reach past the
mucogingival junction to provide adequate mobility
to the flap for its apical displacement
APICALLY DISPLACED FLAP
▸ Step 5: If a full-thickness flap was created, a sling
suture around the tooth prevents the flap from
sliding to a position more apical than what is
desired, and the periodontal dressing can avoid its
movement in a coronal direction
▸ A partial thickness flap is sutured to the periosteum
with the use of a direct loop suture or a
combination of loop and anchor suture
▸ A dry foil is placed over the flap before it is covered
with the dressing to prevent the introduction of
pack under the flap
APICALLY DISPLACED FLAP
PAPILLA PRESERVATION FLAP
▸ To use this flap, there must be adequate interdental
space to allow the intact papilla to be reflected with
the facial or lingual/ palatal flap
▸ When the interdental space is very narrow, thereby
making it impossible to perform a papilla
preservation flap, a conventional flap with only
crevicular incisions is made
PAPILLA PRESERVATION FLAP
▸ Step 1: A crevicular incision is made around each
tooth, with no incisions across the interdental
papilla
▸ Step 2: The preserved papilla can be incorporated
into the facial or lingual/palatal flap, although it is
most often integrated into the facial flap. In these
cases, the lingual or palatal incision consists of a
semilunar incision across the interdental papilla in
its palatal or lingual aspect; this incision dips
apically from the line angles of the tooth so that the
papillary incision is at least 5 mm from the crest of
the papilla
PAPILLA PRESERVATION FLAP
▸ Step 3: An Orban knife is then introduced into this
incision to sever half to two thirds of the base of the
interdental papilla. The papilla is then dissected
from the lingual or palatal aspect and elevated
intact with the facial flap
▸ Step 4: The flap is reflected without thinning the
tissue
PAPILLA PRESERVATION FLAP
CONVENTIONAL FLAP
▸ Step 1: With the use of a no. 12 blade, incise the tissue
at the bottom of the pocket and to the crest of the
bone to split the papilla below the contact point.
Every effort should be made to retain as much
tissue as possible to protect the area subsequently
▸ Step 2: Reflect the flap; keep it as thick as possible,
and do not attempt to thin it as is done for resective
surgery. The maintenance of a thick flap is
necessary to prevent exposure of the graft or the
membrane, which results from necrosis of the flap
margins
DISTAL MOLAR SURGERY
▸ The treatment of periodontal pockets on the distal
surface of terminal molars is often complicated by
the presence of bulbous fibrous tissue over the
maxillary tuberosity or prominent retromolar pads
in the mandible
▸ Deep vertical defects are also often present in
conjunction with the redundant fibrous tissue
▸ Some of these osseous lesions may result from
incomplete repair after the extraction of impacted
third molars
DISTAL MOLAR SURGERY
▸ The gingivectomy incision is the most direct
approach to the treatment of distal pockets that
have adequate attached gingiva and no osseous
lesions
▸ However, the flap approach is less traumatic
postsurgically because it produces a primary
closure wound rather than the open secondary
wound left by a gingivectomy incision
DISTAL MOLAR SURGERY
▸ Maxillary Molars
▸ The treatment of distal pockets on the maxillary
arch is usually simpler than the treatment of a
similar lesion on the mandibular arch, because the
tuberosity presents a greater amount of fibrous
attached gingiva than does the area of the
retromolar pad
▸ In addition, the anatomy of the tuberosity that
extends distally is more adaptable to pocket
elimination than is that of the mandibular molar
arch, where the tissue extends coronally
DISTAL MOLAR SURGERY
▸ However, the lack of a broad area of attached
gingiva and the abruptly ascending tuberosity
sometimes complicate therapy
DISTAL MOLAR SURGERY
▸ Technique: Two parallel incisions that begin at the
distal portion of the tooth and extend to the
mucogingival junction distal to the tuberosity or
retromolar pad are made
▸ The faciolingual distance between these two
incisions depends on the depth of the pocket and
the amount of fibrous tissue involved
▸ The deeper the pocket, the greater is the distance
between the two parallel incisions
DISTAL MOLAR SURGERY
▸ A transversal incision is made at the distal end of the
two parallel incisions so that a long, rectangular piece
of tissue can be removed
▸ The parallel distal incisions should be confined to the
attached gingiva, because bleeding and flap
management become problems when the incision is
extended into the alveolar mucosa
▸ If access is difficult especially if the distance from the
distal aspect of the tooth to the mucogingival junction
is short then a vertical incision can be made at the end
of the parallel incisions
DISTAL MOLAR SURGERY
▸ When treating the tuberosity area, the two distal
incisions are usually made at the midline of the
tuberosity
▸ These incisions are made straight down into the
underlying bone, where access is difficult. A no. 12B
blade is generally used.
DISTAL MOLAR SURGERY
▸ Mandibular Molars
▸ The retromolar pad area does not usually present as
much fibrous attached gingiva. The keratinized
gingiva, if present, may not be found directly distal to
the molar
▸ The greatest amount may be distolingual or
distofacial, and it may not be over the bony crest
▸ The ascending ramus of the mandible may also create
a short, horizontal area distal to the terminal molar
▸ The shorter this area, the more difficult it is to treat any
deep distal lesion around the terminal molar
DISTAL MOLAR SURGERY
▸ The two incisions distal to the molar should follow the
area with the greatest amount of attached gingiva
▸ Therefore, the incisions could be directed
distolingually or distofacially, depending on which
area has more attached gingiva
DISTAL MOLAR SURGERY
8.
CONCLUSION
▸ Periodontal flap procedures for pocket therapy
include flaps that are created solely for access to
root surfaces and bone margins, flaps for the precise
processes of osseous surgery, and flaps for
periodontal regeneration
▸ All of these approaches have specific flap designs
and step-by-step elements, and all of them include
calculus removal and root planing as part of the
essential treatment protocol
▸ Flaps should allow for adequate access and they
should be reflected so that at least 3 mm of crestal
bone is exposed
▸ Postoperative plaque control is essential for
successful outcomes
▸ Clinicians should ensure that patients have
demonstrated adequate oral hygiene during the
presurgical phase, and they should emphasize that
this must continue this after surgery
“
THANK YOU!

Periodontal flap surgery

  • 1.
  • 2.
  • 3.
    DEFINITION Periodontal flap isa section of gingiva and / or mucosa surgically separated from the underlying tissues to provide visibility and access to the bone and root surface. The flap also allows the gingiva to be displaced to a different location in patients with mucogingival involvement
  • 4.
  • 5.
    CLASSIFICATION OF FLAPS ▸BONE EXPOSURE AFTER REFLECTION FULL-THICKNESS FLAP (MUCOPERIOSTEAL FLAP): All of the soft tissue including the periosteum is reflected to expose the underlying bone. SPLIT-THICKNESS FLAP (MUCOSAL FLAP): The partial- thickness flap includes only the epithelium and a layer of the underlying connective tissue. The bone remains covered by a layer of connective tissue that includes the periosteum.
  • 6.
  • 7.
    CLASSIFICATION OF FLAPS ▸WHEN SPLIT THICKNESS FLAP IS RAISED??? Indicated when the flap is to be positioned apically or when the operator does not want to expose bone (loss of marginal bone when bone is striped of its periosteum) Crestal bone margin is thin and exposed with an apically placed flap or when dehiscences or fenestrations are present
  • 8.
    CLASSIFICATION OF FLAPS ▸FLAP PLACEMENT AFTER SURGERY NONDISPLACED FLAPS: Flap is returned and sutured in its original position DISPLACED FLAPS: Flap is placed apically, coronally, or laterally to their original position.
  • 9.
    CLASSIFICATION OF FLAPS Apicallydisplaced flaps have the important advantage of preserving the outer portion of the pocket wall and transforming it into attached gingiva. Therefore, these flaps accomplish the double objective of eliminating the pocket and increasing the width of the attached gingiva. Palatal flaps cannot be displaced because of the absence of unattached gingiva.
  • 10.
  • 11.
    CLASSIFICATION OF FLAPS ▸MANAGEMENT OF PAPILLA CONVENTIONAL FLAP: Interdental papilla is split beneath the contact point of the two approximating teeth to allow for the reflection of the buccal and lingual flaps. The incision is usually scalloped to maintain gingival morphology and to retain as much papilla as possible. Indicated: (1) when the interdental spaces are too narrow, thereby precluding the possibility of preserving the papilla (2) when the flap is to be displaced.
  • 12.
    CLASSIFICATION OF FLAPS PAPILLAPRESERVATION FLAP: Incorporates the entire papilla in one of the flaps by means of crevicular interdental incisions to sever the connective tissue attachment as well as a horizontal incision at the base of the papilla to leave it connected to one of the flaps.
  • 13.
  • 14.
  • 15.
    FLAP DESIGN oSurgical judgementof operator oObjectives of the procedure oDegree of access to underlying bone and root surfaces oEsthetic concerns oPreservation of good blood supply
  • 16.
  • 17.
  • 18.
    Horizontal incisions Directed alongthe margin of gingiva in mesial or distal direction 3 types: 1) INTERNAL BEVEL INCISION which starts at a distance from the gingival margin and which is aimed at the bone crest 2) CREVICULAR INCISION which starts at the bottom of the pocket and which is directed to the bone margin 3) INTERDENTAL INCISION is performed after the flap is elevated to remove the interdental tissue
  • 19.
  • 20.
    INTERNAL BEVEL INCISION FIRSTINCISION - The initial incision for the reflection of a periodontal flap REVERSE BEVEL INCISION - Its bevel is in reverse direction from that of the gingivectomy incision No.15 or 15C surgical blade is used most often to make this incision 3 objectives: (1) It removes the pocket lining (2) It conserves the relatively uninvolved outer surface of the gingiva which if apically positioned, becomes attached gingiva (3) It produces a sharp, thin flap margin for adaptation to the bone–tooth junction
  • 21.
    INTERNAL BEVEL INCISION Thatportion of the gingiva left around the tooth after the internal bevel incision (first) incision contains the epithelium of the pocket lining and the adjacent granulomatous tissue It is discarded after the crevicular (second) and interdental (third) incisions are performed The internal bevel incision starts from a designated area on the gingiva and it is then directed to an area at or near the crest of the bone
  • 22.
  • 23.
    CREVICULAR INCISION SECOND INCISION– Made from the base of the pocket to the crest of the bone This incision, together with the initial reverse bevel incision forms a V-shaped wedge that ends at or near the crest of bone Beak shaped no. 12D blade is usually used for this incision Periosteal elevator is inserted into the initial internal bevel incision and the flap is separated from the bone
  • 24.
  • 25.
  • 26.
    INTERDENTAL INCISION THIRD INCISION PURPOSE:separate the collar of gingiva that is left around the tooth The Orban knife is usually used for this incision The incision is made not only around the facial and lingual radicular area but also interdentally where it connects the facial and lingual segments to free the gingiva completely around the tooth
  • 27.
    Horizontal incisions These threeincisions allow for the removal of the gingiva around the tooth (i.e., the pocket epithelium and the adjacent granulomatous tissue) A curette or a large scaler (U15/30) can be used for this purpose After the removal of the large pieces of tissue, the remaining connective tissue in the osseous lesion should be carefully curetted and removed so that the entire root and the bone surface adjacent to the teeth can be observed
  • 28.
    Horizontal incisions Flaps canbe reflected with the use of only the horizontal incision if sufficient access can be obtained in this way and if apical, lateral, or coronal displacement of the flap is not anticipated. If vertical incisions are not made, the flap is called an envelope flap.
  • 29.
    VERTICAL INCISIONS OBLIQUE RELEASINGINCISION Can be used on one or both ends of the horizontal incision depending on the design and purpose of the flap RULES: Vertical incision at both ends is necessary if the flap is to be apically displaced Vertical incisions must extend beyond the mucogingival line to reach the alveolar mucosa; this allows for the release of the flap to be displaced
  • 30.
    VERTICAL INCISIONS Vertical incisionsin the lingual and palatal areas are avoided Facial vertical incisions should not be made in the center of an interdental papilla or over the radicular surface of a tooth. Incisions should be made at the line angles of a tooth either to include the papilla in the flap or to avoid it completely The vertical incision should also be designed to avoid short flaps (mesiodistal) with long, apically directed incisions because this could jeopardize the blood supply to the flap
  • 31.
  • 32.
  • 33.
    FLAP ELEVATION ▸ Whena full-thickness flap is desired, reflection of the flap is accomplished via blunt dissection ▸ A periosteal elevator is used to separate the mucoperiosteum from the bone by moving it mesially, distally and apically until the desired reflection is accomplished ▸ Sharp dissection is necessary to reflect a partial- thickness flap ▸ A surgical scalpel (no. 15) is used
  • 34.
  • 35.
    FLAP ELEVATION ▸ Acombination of full-thickness and partial- thickness flaps may be indicated to obtain the advantages of both ▸ The flap is started as a full-thickness procedure, and then a partial thickness flap is made at the apical portion ▸ In this way, the coronal portion of the bone which may be subject to osseous remodeling—is exposed, whereas the remaining bone is protected by the periosteum
  • 36.
    FLAP ELEVATION ▸ Afterthe flap is reflected, the osseous shape and contour is examined, and the necessary osseous correction is accomplished ▸ The root surface is than carefully root planed and the flap is replaced and ready to be sutured
  • 37.
  • 38.
    HEALING AFTER FLAPSURGERY ▸ Immediately after suturing (≤24 hours) - a connection between the flap and the tooth or bone surface is established by a blood clot ▸ It consists of a fibrin reticulum with many polymorphonuclear leukocytes, erythrocytes, debris of injured cells, and capillaries at the edge of the wound ▸ Bacteria and an exudate or transudate also result from tissue injury
  • 39.
    HEALING AFTER FLAPSURGERY ▸ One to 3 days after flap surgery - the space between the flap and the tooth or bone is thinner ▸ Epithelial cells migrate over the border of the flap, and they usually contact the tooth at this time ▸ When the flap is closely adapted to the alveolar process, there is a minimal inflammatory response
  • 40.
    HEALING AFTER FLAPSURGERY ▸ One week after surgery - an epithelial attachment to the root has been established by means of hemidesmosomes and a basal lamina ▸ The blood clot is replaced by granulation tissue derived from the gingival connective tissue, the bone marrow, and the periodontal ligament
  • 41.
    HEALING AFTER FLAPSURGERY ▸ Two weeks after surgery - collagen fibers begin to appear parallel to the tooth surface ▸ Union of the flap to the tooth is still weak because of the presence of immature collagen fibers, although the clinical aspect may be almost normal
  • 42.
    HEALING AFTER FLAPSURGERY ▸ One month after surgery - a fully epithelialized gingival crevice with a well-defined epithelial attachment is present ▸ There is a beginning of functional arrangement of the supracrestal fibers
  • 43.
    HEALING AFTER FLAPSURGERY ▸ Full-thickness flaps which denude the bone result in a superficial bone necrosis after 1 to 3 days ▸ Osteoclastic resorption follows and reaches a peak at 4 to 6 days and then declines thereafter ▸ This results in a loss of bone of about 1 cmm; the bone loss is greater if the bone is thin
  • 44.
  • 45.
    FLAP TECHNIQUES ▸ Flapsare used for pocket therapy to accomplish the following: 1. Increase accessibility to root deposits for scaling and root planing 2. Eliminate or reduce pocket depth via resection of the pocket wall 3. Gain access for osseous resective surgery, if necessary 4. Expose the area for the performance of regenerative methods
  • 46.
    FLAP TECHNIQUES ▸ Threedifferent categories of flap techniques used in periodontal flap surgery are as follows:  THE MODIFIED WIDMAN FLAP  THE UNDISPLACED FLAP  THE APICALLY DISPLACED FLAP
  • 47.
    OVERVIEW ▸ The modifiedWidman flap facilitates instrumentation for root therapy ▸ It does not attempt to reduce the pocket depth except for the reduction that occurs during healing as a result of tissue shrinkage, but it does eliminate the pocket lining ▸ The original intent of the surgery was to access the root surface for scaling and root planing ▸ The objectives for the other two flap procedures— the undisplaced flap and the apically displaced flap include root surface access and the reduction or elimination of the pocket depth
  • 48.
    OVERVIEW ▸ The choiceof which procedure to use depends on two important anatomic landmarks: the pocket depth and the location of the mucogingival junction ▸ These landmarks establish the presence and width of the attached gingiva, which is the basis for the decision ▸ The undisplaced (unrepositioned) flap improves accessibility for instrumentation, but it also removes the pocket wall, thereby reducing or eliminating the pocket. This is essentially an excisional procedure of the gingiva
  • 49.
    OVERVIEW ▸ The apicallydisplaced flap provides accessibility and eliminates the pocket, but it does the latter by apically positioning the soft-tissue wall of the pocket ▸ Therefore, it preserves or increases the width of the attached gingiva by transforming the previously unattached keratinized pocket wall into attached tissue ▸ This increase in the width of the attached gingiva is based on the apical shift of the mucogingival junction, which may include the apical displacement of the muscle attachments
  • 50.
    OVERVIEW ▸ For theundisplaced flap, the internal bevel incision is initiated at or near a point just coronal to where the bottom of the pocket is projected on the outer surface of the gingiva ▸ This incision can be accomplished only if sufficient attached gingiva remains apical to the incision ▸ Because the pocket wall is not displaced apically, the initial incision should eliminate the pocket wall ▸ Thus, an incision should not be made too close to the tooth because it will not eliminate the pocket wall and it may result in the re-creation of the soft-tissue pocket
  • 51.
    OVERVIEW ▸ If thetissue is too thick the flap margin should be thinned with the initial incision ▸ The proper placement of the flap margin at the tooth–bone junction during closure is important to prevent either recurrence of the pocket or the exposure of bone ▸ The internal bevel incision should be scalloped into the interdental area to preserve the interdental papilla ▸ This will allow better coverage of the bone at both the radicular and interdental areas
  • 52.
    OVERVIEW ▸ Reconstructive Techniques- The techniques that are used to achieve reconstructive and regenerative objectives are the papilla preservation flap and the conventional flap which involve only crevicular or pocket incisions ▸ This will allow the clinician to retain the maximum amount of gingival tissue, including the papilla, which is essential for graft or membrane coverage
  • 53.
    MODIFIED WIDMAN FLAP ▸1965 Morris - “unrepositioned mucoperiosteal flap” ▸ 1974 Ramfjord and Nissle described the same procedure - “modified Widman flap” ▸ This technique offers the possibility of establishing an intimate postoperative adaptation of healthy collagenous connective tissue to tooth surfaces and it provides access for adequate instrumentation of the root surfaces and immediate closure of the area
  • 54.
    MODIFIED WIDMAN FLAP ▸Step 1: The initial incision is an internal bevel incision to the alveolar crest starting 0.5 mm to 1 mm away from the gingival margin. Scalloping follows the gingival margin ▸ Step 2: The gingiva is reflected with a periosteal elevator ▸ Step 3: A crevicular incision is made from the bottom of the pocket to the bone in such a way that it circumscribes the triangular wedge of tissue that contains the pocket lining
  • 55.
    MODIFIED WIDMAN FLAP ▸Step 4: After the flap is reflected, a third incision is made in the interdental spaces coronal to the bone with a curette or an interproximal knife, and the gingival collar is removed ▸ Step 5: Tissue tags and granulation tissue are removed with a curette. The root surfaces are checked and then scaled and planed, if needed
  • 56.
    MODIFIED WIDMAN FLAP ▸Step 6: Bone architecture is not corrected unless it prevents good tissue adaptation to the necks of the teeth. Every effort is made to adapt the facial and lingual interproximal tissue adjacent to each other in such a way that no interproximal bone remains exposed at the time of suturing. The flaps may be thinned to allow for close adaptation of the gingiva around the entire circumference of the tooth and to each other interproximally ▸ Step 7: Continuous, independent sling sutures are placed in both the facial and palatal areas and covered with a periodontal surgical pack
  • 57.
  • 58.
    UNDISPLACED FLAP ▸ Mostfrequently performed type of periodontal surgery ▸ It differs from the modified Widman flap in that the soft-tissue pocket wall is removed with the initial incision; thus, it may be considered an “internal bevel gingivectomy” ▸ The undisplaced flap and the gingivectomy are the two techniques that surgically remove the pocket wall
  • 59.
    UNDISPLACED FLAP ▸ Step1: The pockets are measured with the periodontal probe and a bleeding point is produced on the outer surface of the gingiva to mark the pocket bottom ▸ Step 2: The initial or internal bevel incision is made after scalloping the bleeding marks on the gingiva. The incision is usually carried to a point apical to the alveolar crest, depending on the thickness of the tissue. The thicker the tissue is, the more apical the ending point of the incision. In addition, thinning of the flap should be performed with the initial incision, because it is easier to accomplish at this time than it is later with a loose, reflected flap that is difficult to manage.
  • 60.
    UNDISPLACED FLAP ▸ Step3: The second or crevicular incision is made from the bottom of the pocket to the bone to detach the connective tissue from the bone ▸ Step 4: The flap is reflected with a periosteal elevator (blunt dissection) from the internal bevel incision. Usually there is no need for vertical incisions, because the flap is not displaced apically ▸ Step 5: The third or interdental incision is made with an interdental knife to separate the connective tissue from the bone ▸ Step 6: The triangular wedge of tissue created by the three incisions is removed with a curette
  • 61.
    UNDISPLACED FLAP ▸ Step7: The area is debrided to remove all tissue tags and granulation tissue with the use of sharp curettes ▸ Step 8: After the necessary scaling and root planing, the flap edge should rest on the root–bone junction. If this is not the case as a result of the improper location of the initial incision or the unexpected need for osseous surgery, the edge of the flap is scalloped again and trimmed to allow the flap edge to end at the root–bone junction
  • 62.
    UNDISPLACED FLAP ▸ Step9: A continuous sling suture is used to secure the facial and lingual or palatal flaps. This type of suture, which makes use of the tooth as an anchor, is advantageous to position and hold the flap edges at the root–bone junction. The area is covered with a periodontal pack.
  • 63.
  • 64.
    PALATAL FLAP ▸ Thesurgical approach to the palatal area differs from that used for other areas as a result of the character of the palatal tissue and the anatomy of the area ▸ The palatal tissue is all attached, keratinized tissue and has none of the elastic properties associated with other gingival tissues ▸ Therefore, the palatal tissue cannot be apically displaced, and a partial-thickness (split-thickness) flap cannot be accomplished
  • 65.
    PALATAL FLAP ▸ Theinitial incision for the palatal flap should allow the flap, when sutured, to be precisely adapted at the root– bone junction ▸ The flap cannot be moved apically or coronally to adapt to the root–bone junction, as can be done with the flaps in other areas ▸ Therefore, the location of the initial incision is important for the final placement of the flap
  • 66.
    PALATAL FLAP ▸ Theinitial incision for a flap varies with the anatomic situation. The initial incision may be the usual internal bevel incision, which will then be followed by crevicular and interdental incisions ▸ If the tissue is thick, a horizontal gingivectomy incision may be made, and this may be followed by an internal bevel incision that starts at the edge of this incision and ends on the lateral surface of the underlying bone ▸ The placement of the internal bevel incision must be done in such a way that the flap fits around the tooth without exposing the bone
  • 67.
    PALATAL FLAP ▸ Flapsshould be thin to adapt to the underlying osseous tissue and provide a thin, knifelike gingival margin ▸ Flaps particularly palatal flaps are often too thick; they may have a propensity to separate from the tooth, which may delay and complicate healing ▸ It is best to thin the flaps before their complete reflection, because a free, mobile flap is difficult to hold for thinning
  • 68.
    PALATAL FLAP ▸ Asharp, thin papilla positioned properly around the interdental areas at the tooth–bone junction is essential to prevent the recurrence of soft-tissue pockets ▸ The apical portion of the scalloping should be narrower than the line–angle area, because the palatal root tapers apically ▸ A rounded scallop results in a palatal flap that does not fit snugly around the root ▸ This procedure should be done before the complete reflection of the palatal flap, because a loose flap is difficult to grasp and stabilize for dissection
  • 69.
  • 70.
    APICALLY DISPLACED FLAP ▸Used for pocket eradication, widening the zone of attached gingiva, or both ▸ Step 1: An internal bevel incision is made. To preserve as much of the keratinized and attached gingiva as possible, it should be no more than about 1 mm from the crest of the gingiva and directed to the crest of the bone ▸ Step 2: Crevicular incisions are made, and this is followed by the initial elevation of the flap. Interdental incisions are then performed, and the wedge of tissue that contains the pocket wall is removed.
  • 71.
    APICALLY DISPLACED FLAP ▸Step 3: Vertical incisions are made extending beyond the mucogingival junction. If the objective is a full- thickness flap, it is elevated by blunt dissection with a periosteal elevator ▸ If a split-thickness flap is required, it is elevated via sharp dissection with the use of a Bard–Parker knife to split it. This leaves a layer of connective tissue, including the periosteum on the bone
  • 72.
    APICALLY DISPLACED FLAP ▸Step 4: After the removal of all granulation tissue, scaling and root planing, and osseous surgery if needed, the flap is displaced apically ▸ It is important that the vertical incisions and therefore the flap elevation reach past the mucogingival junction to provide adequate mobility to the flap for its apical displacement
  • 73.
    APICALLY DISPLACED FLAP ▸Step 5: If a full-thickness flap was created, a sling suture around the tooth prevents the flap from sliding to a position more apical than what is desired, and the periodontal dressing can avoid its movement in a coronal direction ▸ A partial thickness flap is sutured to the periosteum with the use of a direct loop suture or a combination of loop and anchor suture ▸ A dry foil is placed over the flap before it is covered with the dressing to prevent the introduction of pack under the flap
  • 74.
  • 75.
    PAPILLA PRESERVATION FLAP ▸To use this flap, there must be adequate interdental space to allow the intact papilla to be reflected with the facial or lingual/ palatal flap ▸ When the interdental space is very narrow, thereby making it impossible to perform a papilla preservation flap, a conventional flap with only crevicular incisions is made
  • 76.
    PAPILLA PRESERVATION FLAP ▸Step 1: A crevicular incision is made around each tooth, with no incisions across the interdental papilla ▸ Step 2: The preserved papilla can be incorporated into the facial or lingual/palatal flap, although it is most often integrated into the facial flap. In these cases, the lingual or palatal incision consists of a semilunar incision across the interdental papilla in its palatal or lingual aspect; this incision dips apically from the line angles of the tooth so that the papillary incision is at least 5 mm from the crest of the papilla
  • 77.
    PAPILLA PRESERVATION FLAP ▸Step 3: An Orban knife is then introduced into this incision to sever half to two thirds of the base of the interdental papilla. The papilla is then dissected from the lingual or palatal aspect and elevated intact with the facial flap ▸ Step 4: The flap is reflected without thinning the tissue
  • 78.
  • 79.
    CONVENTIONAL FLAP ▸ Step1: With the use of a no. 12 blade, incise the tissue at the bottom of the pocket and to the crest of the bone to split the papilla below the contact point. Every effort should be made to retain as much tissue as possible to protect the area subsequently ▸ Step 2: Reflect the flap; keep it as thick as possible, and do not attempt to thin it as is done for resective surgery. The maintenance of a thick flap is necessary to prevent exposure of the graft or the membrane, which results from necrosis of the flap margins
  • 80.
    DISTAL MOLAR SURGERY ▸The treatment of periodontal pockets on the distal surface of terminal molars is often complicated by the presence of bulbous fibrous tissue over the maxillary tuberosity or prominent retromolar pads in the mandible ▸ Deep vertical defects are also often present in conjunction with the redundant fibrous tissue ▸ Some of these osseous lesions may result from incomplete repair after the extraction of impacted third molars
  • 81.
    DISTAL MOLAR SURGERY ▸The gingivectomy incision is the most direct approach to the treatment of distal pockets that have adequate attached gingiva and no osseous lesions ▸ However, the flap approach is less traumatic postsurgically because it produces a primary closure wound rather than the open secondary wound left by a gingivectomy incision
  • 82.
    DISTAL MOLAR SURGERY ▸Maxillary Molars ▸ The treatment of distal pockets on the maxillary arch is usually simpler than the treatment of a similar lesion on the mandibular arch, because the tuberosity presents a greater amount of fibrous attached gingiva than does the area of the retromolar pad ▸ In addition, the anatomy of the tuberosity that extends distally is more adaptable to pocket elimination than is that of the mandibular molar arch, where the tissue extends coronally
  • 83.
    DISTAL MOLAR SURGERY ▸However, the lack of a broad area of attached gingiva and the abruptly ascending tuberosity sometimes complicate therapy
  • 84.
    DISTAL MOLAR SURGERY ▸Technique: Two parallel incisions that begin at the distal portion of the tooth and extend to the mucogingival junction distal to the tuberosity or retromolar pad are made ▸ The faciolingual distance between these two incisions depends on the depth of the pocket and the amount of fibrous tissue involved ▸ The deeper the pocket, the greater is the distance between the two parallel incisions
  • 85.
    DISTAL MOLAR SURGERY ▸A transversal incision is made at the distal end of the two parallel incisions so that a long, rectangular piece of tissue can be removed ▸ The parallel distal incisions should be confined to the attached gingiva, because bleeding and flap management become problems when the incision is extended into the alveolar mucosa ▸ If access is difficult especially if the distance from the distal aspect of the tooth to the mucogingival junction is short then a vertical incision can be made at the end of the parallel incisions
  • 86.
    DISTAL MOLAR SURGERY ▸When treating the tuberosity area, the two distal incisions are usually made at the midline of the tuberosity ▸ These incisions are made straight down into the underlying bone, where access is difficult. A no. 12B blade is generally used.
  • 87.
    DISTAL MOLAR SURGERY ▸Mandibular Molars ▸ The retromolar pad area does not usually present as much fibrous attached gingiva. The keratinized gingiva, if present, may not be found directly distal to the molar ▸ The greatest amount may be distolingual or distofacial, and it may not be over the bony crest ▸ The ascending ramus of the mandible may also create a short, horizontal area distal to the terminal molar ▸ The shorter this area, the more difficult it is to treat any deep distal lesion around the terminal molar
  • 88.
    DISTAL MOLAR SURGERY ▸The two incisions distal to the molar should follow the area with the greatest amount of attached gingiva ▸ Therefore, the incisions could be directed distolingually or distofacially, depending on which area has more attached gingiva
  • 89.
  • 90.
  • 91.
    ▸ Periodontal flapprocedures for pocket therapy include flaps that are created solely for access to root surfaces and bone margins, flaps for the precise processes of osseous surgery, and flaps for periodontal regeneration ▸ All of these approaches have specific flap designs and step-by-step elements, and all of them include calculus removal and root planing as part of the essential treatment protocol ▸ Flaps should allow for adequate access and they should be reflected so that at least 3 mm of crestal bone is exposed
  • 92.
    ▸ Postoperative plaquecontrol is essential for successful outcomes ▸ Clinicians should ensure that patients have demonstrated adequate oral hygiene during the presurgical phase, and they should emphasize that this must continue this after surgery
  • 93.