GUIDED TISSUE
REGENERATION
DEFINITION
• REGENERATION:-          Regeneration is the
  growth & differentiation of new cells &
  intercellular substances to form new tissues or
  parts.


• GUIDED TISSUE REGENERATION:- The
  method for the prevention of epithelial
  migration along the cemental wall of the
  pocket that has gained wide attention & called
  GTR.
INTRODUCTION
• This method based on the
  assumption that only the
  periodontal ligament cells have
  the    potential    for     the
  regeneration       of       the
  attachment appratus of tooth.

• It consists of placing barriers
  of different types to cover the
  bone & periodontal ligament
  thus temporarily separating
  them from gingival epithelium.
• Excluding the epithelium & the gingival
 connective tissue from the root surface
 during the post surgical healing phase not
 only prevent epithelial migration into the
 wound but also favours repopulation of
 the area by cells from the periodontal
 ligaments & the bones.
ANIMAL STUDIES
• A number of studies were undertaken to
  determine the nature & quality of the
  attachement when the root surface was
  repopulated by different selected cell types.


• NYMAN et al (1982) used a millipore filter
  over a window created in the bone & found
  that only when cells from the PDL were allow
  to repopulate the wound was total
  regeneration achieve.
• GOTTLOW et al (1984) used both a millipore
  filter & a Gore Tex membrane over
  submerged roots in monkeys to demonstrate
  repopulation of the wound by cells of PDL
  resulting in a considerably greater increase
  in new attachment of test teeth.


• KARRING et al (1986) used a combination of
  tight & loose elastic about the roots to
  prevent or permit cell repopulation from the
  PDL.
HUMAN STUDIES

• NYMAN    etal    (1982)    tested     the
 hypothesis   of   GTR      on   a    single
 mandibular incisor using a millipore
 filter. He was able histologically to
 show 5 mm. of new attachment above
 the alveolar crest 3 months later.
• The   use      of   polytetrafluoroethylene
 membrane.(Gore Tex PD material) has
 been tested in controlled clinical studies
 in lower molar furcations & has shown
 statistically    significant   decrease   in
 pocket       depth     &   involvement    in
 attachment level after 6 month.
BARRIERS
1.NONBIORESORBABLE MEMBRANE:-


 It is biocompatible porous material possessing
  two unique microstructures.


• One is the open microstructure of its collar,
  which is design to retard or inhibit the apical
  proliferation of epithelium through contact
  inhibition.
• The other is occlusive
  membrane which acts
  as a barrier to the
  gingival     connective
  tissue & the underlying
  root surface.


 •Different shapes & size
 of   expanded     PTFEa
 membrane are available.
NON BIORESORBABLE
       MEMBRANE
1.e-PTFE :-Titanium reinforced expanded
  polytetrafluoroethylene membrane.
2.Nucleopore & Millipore filters.
3. Silicon Barriers
4. Sterlized rubber dam.
2. BIO RESORBABLE
       MEMBRANE
• Composed of polylactic acid bonded with a
  citric acid ester.
• It is design to provide initial barrier
  function during the early stages of healing
  (minimum of 6 wk), & during later stages the
  barrier is slowly resorbed & replaced by the
  periodontal tissue underlying root surface
BIORESORBABLE
          MEMBRANE
1. Collagen (Periogen, Biomend)
2. Polylactic acid & Polyglycolic acid
   polymer.
  (Guidor, Vicryl, Atrisorb, Resolut,
   Epiguide)
GOTTLOW’S
       CLASSIFICATION
• First generation (Nonresorbable)
• Second generation (Resorbable)
• Third generation
          (Resorbable with growth factor)
FIRST GENERATION
      MEMBRANES

1. Millipore Filter
2. Expanded polytetrafluoroethylene
   membrane (e-PTFE)
3. Nucleopore membrane.
4. Rubber Dam.
SECOND GENERATION
      MEMBRANE
1. Collagen Membrane.
2. Polylactic acid Membrane. (Guidor)
3. Vicryl Mesh
4. Cargile Membrane.
5. Oxidised Cellulose Membrane
6. Hydrolyzable polyester.
THIRD GENERATION
        MEMBRANE

• They are the Bio-resorbable membrane
  with added growth factor.
NON RESORBABLE
MEMBRANE ARE AVAILABLE
IN FOUR CONFIGURATION
 1. Wrap around
 2. Interproximal
 3. Single tooth wide
 4. Single tooth narrow
OBJECTIVES OF AN IDEAL
       BARRIER MEMBRANE

1.   It should be bio compatible &/or allow
     tissue integration.
2. It should be non toxic & non carcinogenic.
3. It should be chemically inert & non
     antigenic.
4. It should be easily sterlizable.
5. It should be easy to handle during surgery.
6. It should be sufficiently rigid so as to
  maintain a space b/w it & the root surface.
7. It should be supplied in different in
  different design to suit the specific clinic
  situation.
8. It should be easily stored & should have a
  long shelf life.
9. It should be easily retrierable in case of
  complication.
10. It should not be too expensive.
INDICATIONS
1. Class II furcation
2. Infra bony defect.
3. Recession defect
4. To restore PD attachement in narrow 2
   or 3 walled infra bony defect.
5. Alveolar ridge augmentation
6. Repair of apicocetomy defect.
CONTRAINDICATION

1. In cases where flap vascularity will be
  compromised.
2. Very severe defect-minimal remaining
  periodontium.
3. Horizontal defects.
4. In cases of flap perforation.
DEFECT SELECTION

• It may have the greatest impact on the
  predictability of the regenerative regions.


A). MOST PREDICTABLE:-
1. for grade II furcation on teeth with high
  interproximal bone.
2. 2 to 3 wall intra bony vertical defect >4-5
 mm. measurable defect.
B). MODERATE PREDICTABILITY:-
 1. 2 wall defect.
 2. Maxillary mesial or distal ClassII furcations.

C). LOW PREDICTABILITY:-
1. Class III furcation with high interproximal
   bone.

D). LEAST PREDICTABLE:-
1. Horizontal bone loss.
2. Class III furcation with horizontal bone loss
SURGICAL PROCEDURE
        Incisions
        Defect preparation
        Placement of suitable
        memb.
        Suturing
        Material removal
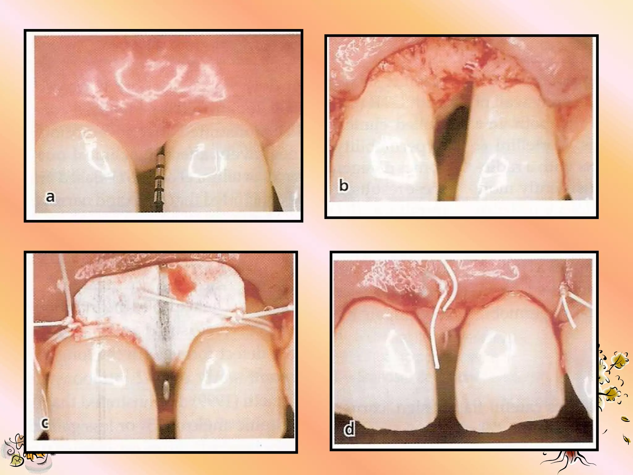
PRIMARY INCISIONS
1.   Intra sulcular incisions are made in
     preparation for a full mucoperiosteal flap.
2. All residual pocket epithelium is removed
   after flap reflection to permit integration
   b/w the e-PTFE & flap connective tissue.
3. Incision should extend 1-2 teeth mesial &/
   or distal of the area being treated to permit
   adequate visualization.
4. Vertical incision should be placed mesially
   where necessary.
DEFECT PREPARATION
1. Degranulation of defect.
2. Scaling & root planning for removal of all
   tooth deposits.
3. Decortification of bone for increased
   vascularity & scratching of the PDL to
   stimulate cell & vascular proliferation.
SELECTION & PLACEMENT OF
  GORE-TEX PERIODONTAL
        MATERIAL
1. Maintain sterility of material.
2. Choose a size that offers the most
  ideal design for defect coverage.
3. Shape the material with scissors,
  avoid leaving sharp edges.
4. Enough material should be left to permit lateral
  & interproximal suturing while leaving at least 3
  mm apical & lateral overextension of defect
  margins.


5. Do not remove the open microstructure or
  coronal portion of the material. It can be
  trimmed on the lateral aspect.


6. The material should fit smoothly, avoiding folds,
  overlaps & protrusions which may compromise the
  overlying gingival tissue.
SUTURE MATERIAL

1.   Gore-Tex suture (provided with material) is
     recommended for placing the material & flap
     closure.


2. Silk or monofilament suture may be used in
   areas away from the material.


3. Bioabsorbable sutures are not recommended.
SUTURING TECHNIQUES
1.   Sling suture are used to approximate
     material over the defect without engaging
     the flap or tissue.
2. The material must fit tightly against the
     tooth surface at all points to prevent
     epithelial proliferation b/w tooth & material
     & to help in stabilizing the wound.
3. The flap margin should ideally be 2 to 3 mm
  coronal to the material.


4. Tight flap apposition is desired to avoid
  premature flap opening & material exposure.
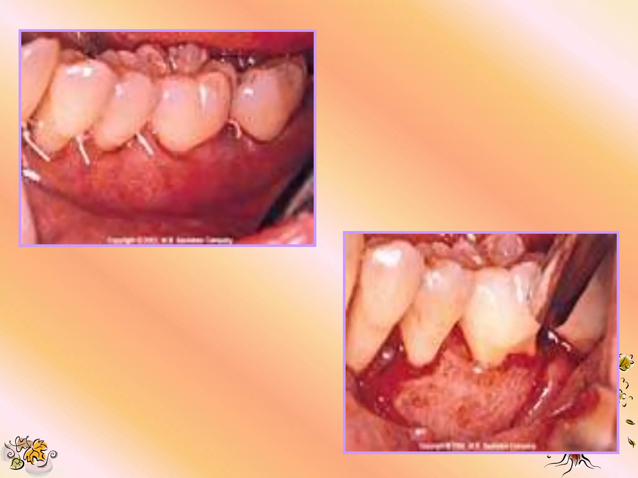
MATERIAL REMOVAL

1. Removal should
 be 4 to 8 wks
 after placement
 or any time a
 serious
 complication
 occurs.
2. If the material can not be removed
  with a gentle tug, sharp dissection is
  recommended.
3. Extreme care should be used to avoid
  damaging the underlying the new granulation
  tissue.


4. A small tissue forcep is used to remove the
  material.


5. The flap is re-approximated over the new
  tissue & sutured with silk suture.
POST OPERATIVE
CONSIDERATIONS
1.   Peridox mouth wash should be for 10 days if
     the material becomes exposed, peridox
     should be used untill removal.


2. Antibiotic coverage-    (7-10 days)
          Tetracycline 250mg q.i.d.
          Doxycycline 100mg b.i.d.


3. Use of periodontal dressing is optional.


4. Flossing at the treatment site is to be avoided
    while the material is in place.
5. The patient should be seen biweekly if there is
  no exposure, & wkly if exposure is present.


6. Do not attempt to cover the previously
  exposed material.


7. The material should be removed immediately if
  any complication develops.
A FINAL WORD

• GUIDE   TISSUE       REGENERATION     as   a
 procedure   attempt    regeneration   through
 differential tissue responses. It concluded
 that GTR was not an experimental procedure &
 that it showed predictability for connective
 tissue attachment in infra bony defect & in
 grade II furcation involvement.
REFERENCES
• Jan Lindhe – Clinic Periodontology & Implant
  Dentistry, Fourth Edition.
• Carranza’s Clinic Periodontology, Ninth
  Edition.
• Edward S. Cohen –Atlas of Cosmetic &
  Reconstructive Periodontal Surgery, second
  Edition.
• J D Manson & B M Eley – Outline of
  Periodontics, Fourth Edition.
• Guru Raja Rao – Text Book Of Periodontology,
  Second Edition.

Guided tissue regeneration

  • 1.
  • 2.
    DEFINITION • REGENERATION:- Regeneration is the growth & differentiation of new cells & intercellular substances to form new tissues or parts. • GUIDED TISSUE REGENERATION:- The method for the prevention of epithelial migration along the cemental wall of the pocket that has gained wide attention & called GTR.
  • 3.
    INTRODUCTION • This methodbased on the assumption that only the periodontal ligament cells have the potential for the regeneration of the attachment appratus of tooth. • It consists of placing barriers of different types to cover the bone & periodontal ligament thus temporarily separating them from gingival epithelium.
  • 4.
    • Excluding theepithelium & the gingival connective tissue from the root surface during the post surgical healing phase not only prevent epithelial migration into the wound but also favours repopulation of the area by cells from the periodontal ligaments & the bones.
  • 5.
    ANIMAL STUDIES • Anumber of studies were undertaken to determine the nature & quality of the attachement when the root surface was repopulated by different selected cell types. • NYMAN et al (1982) used a millipore filter over a window created in the bone & found that only when cells from the PDL were allow to repopulate the wound was total regeneration achieve.
  • 6.
    • GOTTLOW etal (1984) used both a millipore filter & a Gore Tex membrane over submerged roots in monkeys to demonstrate repopulation of the wound by cells of PDL resulting in a considerably greater increase in new attachment of test teeth. • KARRING et al (1986) used a combination of tight & loose elastic about the roots to prevent or permit cell repopulation from the PDL.
  • 7.
    HUMAN STUDIES • NYMAN etal (1982) tested the hypothesis of GTR on a single mandibular incisor using a millipore filter. He was able histologically to show 5 mm. of new attachment above the alveolar crest 3 months later.
  • 8.
    • The use of polytetrafluoroethylene membrane.(Gore Tex PD material) has been tested in controlled clinical studies in lower molar furcations & has shown statistically significant decrease in pocket depth & involvement in attachment level after 6 month.
  • 9.
    BARRIERS 1.NONBIORESORBABLE MEMBRANE:- Itis biocompatible porous material possessing two unique microstructures. • One is the open microstructure of its collar, which is design to retard or inhibit the apical proliferation of epithelium through contact inhibition.
  • 10.
    • The otheris occlusive membrane which acts as a barrier to the gingival connective tissue & the underlying root surface. •Different shapes & size of expanded PTFEa membrane are available.
  • 11.
    NON BIORESORBABLE MEMBRANE 1.e-PTFE :-Titanium reinforced expanded polytetrafluoroethylene membrane. 2.Nucleopore & Millipore filters. 3. Silicon Barriers 4. Sterlized rubber dam.
  • 12.
    2. BIO RESORBABLE MEMBRANE • Composed of polylactic acid bonded with a citric acid ester. • It is design to provide initial barrier function during the early stages of healing (minimum of 6 wk), & during later stages the barrier is slowly resorbed & replaced by the periodontal tissue underlying root surface
  • 13.
    BIORESORBABLE MEMBRANE 1. Collagen (Periogen, Biomend) 2. Polylactic acid & Polyglycolic acid polymer. (Guidor, Vicryl, Atrisorb, Resolut, Epiguide)
  • 14.
    GOTTLOW’S CLASSIFICATION • First generation (Nonresorbable) • Second generation (Resorbable) • Third generation (Resorbable with growth factor)
  • 15.
    FIRST GENERATION MEMBRANES 1. Millipore Filter 2. Expanded polytetrafluoroethylene membrane (e-PTFE) 3. Nucleopore membrane. 4. Rubber Dam.
  • 16.
    SECOND GENERATION MEMBRANE 1. Collagen Membrane. 2. Polylactic acid Membrane. (Guidor) 3. Vicryl Mesh 4. Cargile Membrane. 5. Oxidised Cellulose Membrane 6. Hydrolyzable polyester.
  • 17.
    THIRD GENERATION MEMBRANE • They are the Bio-resorbable membrane with added growth factor.
  • 18.
    NON RESORBABLE MEMBRANE AREAVAILABLE IN FOUR CONFIGURATION 1. Wrap around 2. Interproximal 3. Single tooth wide 4. Single tooth narrow
  • 20.
    OBJECTIVES OF ANIDEAL BARRIER MEMBRANE 1. It should be bio compatible &/or allow tissue integration. 2. It should be non toxic & non carcinogenic. 3. It should be chemically inert & non antigenic. 4. It should be easily sterlizable. 5. It should be easy to handle during surgery.
  • 21.
    6. It shouldbe sufficiently rigid so as to maintain a space b/w it & the root surface. 7. It should be supplied in different in different design to suit the specific clinic situation. 8. It should be easily stored & should have a long shelf life. 9. It should be easily retrierable in case of complication. 10. It should not be too expensive.
  • 22.
    INDICATIONS 1. Class IIfurcation 2. Infra bony defect. 3. Recession defect 4. To restore PD attachement in narrow 2 or 3 walled infra bony defect. 5. Alveolar ridge augmentation 6. Repair of apicocetomy defect.
  • 23.
    CONTRAINDICATION 1. In caseswhere flap vascularity will be compromised. 2. Very severe defect-minimal remaining periodontium. 3. Horizontal defects. 4. In cases of flap perforation.
  • 24.
    DEFECT SELECTION • Itmay have the greatest impact on the predictability of the regenerative regions. A). MOST PREDICTABLE:- 1. for grade II furcation on teeth with high interproximal bone. 2. 2 to 3 wall intra bony vertical defect >4-5 mm. measurable defect.
  • 25.
    B). MODERATE PREDICTABILITY:- 1. 2 wall defect. 2. Maxillary mesial or distal ClassII furcations. C). LOW PREDICTABILITY:- 1. Class III furcation with high interproximal bone. D). LEAST PREDICTABLE:- 1. Horizontal bone loss. 2. Class III furcation with horizontal bone loss
  • 26.
    SURGICAL PROCEDURE Incisions Defect preparation Placement of suitable memb. Suturing Material removal
  • 27.
    PRIMARY INCISIONS 1. Intra sulcular incisions are made in preparation for a full mucoperiosteal flap. 2. All residual pocket epithelium is removed after flap reflection to permit integration b/w the e-PTFE & flap connective tissue. 3. Incision should extend 1-2 teeth mesial &/ or distal of the area being treated to permit adequate visualization. 4. Vertical incision should be placed mesially where necessary.
  • 29.
    DEFECT PREPARATION 1. Degranulationof defect. 2. Scaling & root planning for removal of all tooth deposits. 3. Decortification of bone for increased vascularity & scratching of the PDL to stimulate cell & vascular proliferation.
  • 31.
    SELECTION & PLACEMENTOF GORE-TEX PERIODONTAL MATERIAL 1. Maintain sterility of material. 2. Choose a size that offers the most ideal design for defect coverage. 3. Shape the material with scissors, avoid leaving sharp edges.
  • 32.
    4. Enough materialshould be left to permit lateral & interproximal suturing while leaving at least 3 mm apical & lateral overextension of defect margins. 5. Do not remove the open microstructure or coronal portion of the material. It can be trimmed on the lateral aspect. 6. The material should fit smoothly, avoiding folds, overlaps & protrusions which may compromise the overlying gingival tissue.
  • 33.
    SUTURE MATERIAL 1. Gore-Tex suture (provided with material) is recommended for placing the material & flap closure. 2. Silk or monofilament suture may be used in areas away from the material. 3. Bioabsorbable sutures are not recommended.
  • 34.
    SUTURING TECHNIQUES 1. Sling suture are used to approximate material over the defect without engaging the flap or tissue. 2. The material must fit tightly against the tooth surface at all points to prevent epithelial proliferation b/w tooth & material & to help in stabilizing the wound.
  • 35.
    3. The flapmargin should ideally be 2 to 3 mm coronal to the material. 4. Tight flap apposition is desired to avoid premature flap opening & material exposure.
  • 36.
    MATERIAL REMOVAL 1. Removalshould be 4 to 8 wks after placement or any time a serious complication occurs.
  • 37.
    2. If thematerial can not be removed with a gentle tug, sharp dissection is recommended.
  • 38.
    3. Extreme careshould be used to avoid damaging the underlying the new granulation tissue. 4. A small tissue forcep is used to remove the material. 5. The flap is re-approximated over the new tissue & sutured with silk suture.
  • 49.
  • 50.
    1. Peridox mouth wash should be for 10 days if the material becomes exposed, peridox should be used untill removal. 2. Antibiotic coverage- (7-10 days) Tetracycline 250mg q.i.d. Doxycycline 100mg b.i.d. 3. Use of periodontal dressing is optional. 4. Flossing at the treatment site is to be avoided while the material is in place.
  • 51.
    5. The patientshould be seen biweekly if there is no exposure, & wkly if exposure is present. 6. Do not attempt to cover the previously exposed material. 7. The material should be removed immediately if any complication develops.
  • 52.
    A FINAL WORD •GUIDE TISSUE REGENERATION as a procedure attempt regeneration through differential tissue responses. It concluded that GTR was not an experimental procedure & that it showed predictability for connective tissue attachment in infra bony defect & in grade II furcation involvement.
  • 53.
    REFERENCES • Jan Lindhe– Clinic Periodontology & Implant Dentistry, Fourth Edition. • Carranza’s Clinic Periodontology, Ninth Edition. • Edward S. Cohen –Atlas of Cosmetic & Reconstructive Periodontal Surgery, second Edition. • J D Manson & B M Eley – Outline of Periodontics, Fourth Edition. • Guru Raja Rao – Text Book Of Periodontology, Second Edition.