Radical NephrectomyRadical Nephrectomy
Renal Cell CarcinomaRenal Cell Carcinoma
HistoryHistory
The first radical nephrectomy removedThe first radical nephrectomy removed
through Thoracoabdominal incisionthrough Thoracoabdominal incision
Mortensen (1948)
Robson 1960s, popularized RadicalRobson 1960s, popularized Radical
nephrectomynephrectomy
Perifascial resection of the kidneyPerifascial resection of the kidney
Perirenal fatPerirenal fat
Regional LNRegional LN
Adrenal glandAdrenal gland
Robson CJ. Radical nephrectomy for renal cell carcinoma. J Urol 1963;
89:37.
Robson CJ. Radical nephrectomy for renal cell carcinoma. J Urol 1963;
89:37.
HistoryHistory
HistoryHistory
Robson 1960s, Radical nephrectomyRobson 1960s, Radical nephrectomy
Large abdominal or transthoracic incisionsLarge abdominal or transthoracic incisions
Standard approach to the renal tumors forStandard approach to the renal tumors for
the next 20 yearsthe next 20 years
Skinner DG, Colvin RB, Vermillion CD, et al. Diagnosis and management of renal cell carcinoma: a
clinical and pathological study of 309 cases. Cancer 1971;28:1165–1177.
Patel NP, Lavengood RW. Renal cell carcinoma: natural history and results of treatment. J Urol
1978;119:722.
Skinner DG, Colvin RB, Vermillion CD, et al. Diagnosis and management of renal cell carcinoma: a
clinical and pathological study of 309 cases. Cancer 1971;28:1165–1177.
Patel NP, Lavengood RW. Renal cell carcinoma: natural history and results of treatment. J Urol
1978;119:722.
Contemporary Perspective InContemporary Perspective In
Radical NephrectomyRadical Nephrectomy
Radical nephrectomyRadical nephrectomy
 Patients selectionPatients selection
 Comprehensive counselingComprehensive counseling
 Surgical aspectsSurgical aspects
 ComplicationsComplications
 Oncologic outcomesOncologic outcomes
Patient selectionPatient selection
MSKCCMSKCC
 large and centrally localized tumors that havelarge and centrally localized tumors that have
effectively replaced most of the normal renaleffectively replaced most of the normal renal
parenchymaparenchyma
 large tumors associated with regionallarge tumors associated with regional
adenopathy (of benign or malignant etiology)adenopathy (of benign or malignant etiology)
Flanigan RC, Salmon SE, Blumenstein BA, et al. Nephrectomy followed by interferon alfa-2b compared
with interferon alfa-2b alone for metastatic renal-cell cancer. N Engl J Med 2001;23:1655–1659.
Flanigan RC, Salmon SE, Blumenstein BA, et al. Nephrectomy followed by interferon alfa-2b compared
with interferon alfa-2b alone for metastatic renal-cell cancer. N Engl J Med 2001;23:1655–1659.
 inferior vena cava (IVC) or right atrial extensioninferior vena cava (IVC) or right atrial extension
 metastatic disease referred by medical oncologymetastatic disease referred by medical oncology
for cytoreductive nephrectomy before thefor cytoreductive nephrectomy before the
initiation of systemic therapy.initiation of systemic therapy.
 partial nephrectomy are asked to also signpartial nephrectomy are asked to also sign
consent for radical nephrectomy if observedconsent for radical nephrectomy if observed
operative findings or technical problems ariseoperative findings or technical problems arise
making partial nephrectomy unsafe or unwise.making partial nephrectomy unsafe or unwise.
RCC with ipsilateral adrenalRCC with ipsilateral adrenal
involvementinvolvement
Comprehensive counselingComprehensive counseling
 Informed Consent: topics covered in this process include aInformed Consent: topics covered in this process include a
description of the procedure including:description of the procedure including:
 the suspected diagnosisthe suspected diagnosis
 the need for removing the affected kidney, surroundingthe need for removing the affected kidney, surrounding
tissues, and ipsilateral adrenal gland if requiredtissues, and ipsilateral adrenal gland if required
 the alternatives to the intended procedure such asthe alternatives to the intended procedure such as
cryoablation, partial nephrectomy, or laparoscopic RNcryoablation, partial nephrectomy, or laparoscopic RN
 the potential complications of the operation includingthe potential complications of the operation including
 the need for long-term medical follow-up after surgerythe need for long-term medical follow-up after surgery
PreparationPreparation
 routine serum chemistriesroutine serum chemistries
 coagulation profile,coagulation profile,
 cross matchcross match
 chest x-ray are obtainedchest x-ray are obtained
 Preferred imagingPreferred imaging
 Dedicated renal computed tomography (CT)Dedicated renal computed tomography (CT)
 In most cases, this single examination can be used toIn most cases, this single examination can be used to
detect and stagedetect and stage RCC and to provideRCC and to provide
information forinformation for surgical planningsurgical planning withoutwithout
additional imagingadditional imaging
 In the few patients in whom the CT findings areIn the few patients in whom the CT findings are
equivocal, MRI or doppler U/S can be usefulequivocal, MRI or doppler U/S can be useful
 Angiography is rarely used in the workup ofAngiography is rarely used in the workup of
RCCRCC
CTCT
 Dedicated renal CTDedicated renal CT
 Thin section 2.5-5 mm helical imaging of theThin section 2.5-5 mm helical imaging of the
kidneys before IV contrast, followed bykidneys before IV contrast, followed by
coticomedullary (arterial at 40 second),coticomedullary (arterial at 40 second),
nephrographic (at 90 second) and urographicnephrographic (at 90 second) and urographic
(delayed at 7 minute)(delayed at 7 minute)
 Historically, enhancement was consideredHistorically, enhancement was considered
present if the attenuation of the lesion increasedpresent if the attenuation of the lesion increased
by more than 10 HU from baselineby more than 10 HU from baseline
 However, with recent advances in CT hardware,However, with recent advances in CT hardware,
this definition may need to be changed to 15-20this definition may need to be changed to 15-20
HUHU
CTCT
On initial nonenhanced CT scans, RCCs may appear as:On initial nonenhanced CT scans, RCCs may appear as:
hyperattenuatinghyperattenuating
isoattenuatingisoattenuating
Hypoattenuating relative to the remainder of the kidney.Hypoattenuating relative to the remainder of the kidney.
CalcificationsCalcifications
amorphous and internal, although rimlike calcificationsamorphous and internal, although rimlike calcifications
can also be present.can also be present.
CTCT
 On contrast-enhanced CT scans, RCC is usuallyOn contrast-enhanced CT scans, RCC is usually
solid, and decreased attenuation suggestive ofsolid, and decreased attenuation suggestive of
necrosis is often present.necrosis is often present.
 Sometimes RCC is a predominantly cystic mass,Sometimes RCC is a predominantly cystic mass,
with thick septa and wall nodularity.with thick septa and wall nodularity.
 RCC may also appear as a completely solid andRCC may also appear as a completely solid and
highly enhancing masshighly enhancing mass
 Degree of confidence in the imagingDegree of confidence in the imaging
 If a solitary mass isIf a solitary mass is enhancingenhancing, the degree of, the degree of
confidence in diagnosing RCC is high.confidence in diagnosing RCC is high.
 When masses are multiple, metastatic disease andWhen masses are multiple, metastatic disease and
lymphomalymphoma must be considered, especially if themust be considered, especially if the
patient has a history of a primary malignancy.patient has a history of a primary malignancy.
 When a mass is predominantlyWhen a mass is predominantly cysticcystic, the, the
confidence level decreases. In these patients, US mayconfidence level decreases. In these patients, US may
be useful.be useful.
CTCT
 False-positive results for CTFalse-positive results for CT
 Pseudoenhancement of small masses (cysts)Pseudoenhancement of small masses (cysts)
 Bosniak type 2 cystsBosniak type 2 cysts
 Thin septa, hyperattenuation, or small amounts of muralThin septa, hyperattenuation, or small amounts of mural
or septal calcificationsor septal calcifications
 Bosniak type 3 cystsBosniak type 3 cysts
 Mural nodularity, thick septa, or irregular or thickMural nodularity, thick septa, or irregular or thick
calcifications that often require surgical explorationcalcifications that often require surgical exploration
 Oncocytomas (indistinguishable from RCC on CT)Oncocytomas (indistinguishable from RCC on CT)
 Angiomyolipomas that do not contain visible fatAngiomyolipomas that do not contain visible fat
CTCT
CTCT
 False-negative results for CTFalse-negative results for CT
 If the attenuation is not carefully measured beforeIf the attenuation is not carefully measured before
and after IV contrastand after IV contrast
 If cystic masses are not carefully examined for septaIf cystic masses are not carefully examined for septa
or nodularityor nodularity
 If enhancement of a lesion is missed (i.e. lack ofIf enhancement of a lesion is missed (i.e. lack of
enhancement at the time of scanning)enhancement at the time of scanning)
 If the mass is too small for adequate characterizationIf the mass is too small for adequate characterization
Renal Cell Carcinoma
Non contrast CT
Renal Cell CarcinomaRenal Cell Carcinoma
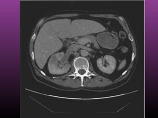
Contrast CT show LT renal cyst with Bosnik IV
Renal Cell CarcinomaRenal Cell Carcinoma
 Renal cell carcinoma. Dedicated renal CT scan obtained before contrastRenal cell carcinoma. Dedicated renal CT scan obtained before contrast
enhancement. Right kidney has an attenuation measurement of 45.7 HUenhancement. Right kidney has an attenuation measurement of 45.7 HU
Renal Cell CarcinomaRenal Cell Carcinoma
 Renal cell carcinoma. Contrast-enhanced dedicated renal CT scan with anRenal cell carcinoma. Contrast-enhanced dedicated renal CT scan with an
attenuation measurement of 101.7 HUattenuation measurement of 101.7 HU
SURGICAL ASPECTSSURGICAL ASPECTS
TechniquesTechniques
 Whats meant by radical nephrectomyWhats meant by radical nephrectomy
 Open surgeryOpen surgery
 LaparoscopyLaparoscopy
 Robotic surgeryRobotic surgery
Open surgeryOpen surgery
RNRN
 How to choose theHow to choose the
incision?incision?
 surgeon's preferencesurgeon's preference
 patient's body habituspatient's body habitus
 tumor size & sitetumor size & site
 Other pathology [IVCOther pathology [IVC
thrombus]thrombus]
 What are the types ofWhat are the types of
incisions?incisions?
 Supracostal flank incisionSupracostal flank incision
 transperitoneal midlinetransperitoneal midline
 transperitoneal subcostaltransperitoneal subcostal
incisionincision
 ThoracoabdominalThoracoabdominal
incisionincision
Radical Nephrectomy Patient in theRadical Nephrectomy Patient in the
Operating RoomOperating Room
Omni-Tract retractor system
Surgical HintsSurgical Hints
Other ClinicalOther Clinical
SituationsSituations
LocallyLocally
Advanced Renal Cell CarcinomaAdvanced Renal Cell Carcinoma
 RCC with perinephric fat involvementRCC with perinephric fat involvement
 RCC with ipsilateral adrenal involvementRCC with ipsilateral adrenal involvement
 RCC with venous tumor thrombusRCC with venous tumor thrombus
 RCC with direct invasion of adjacent organsRCC with direct invasion of adjacent organs
RCC with perinephric fatRCC with perinephric fat
involvementinvolvement
 Modern nephrectomy series demonstrate thatModern nephrectomy series demonstrate that
approximately 20 to 30% of RCC are found toapproximately 20 to 30% of RCC are found to
extend into the perinephric fatextend into the perinephric fat
 Regardless of surgical approach, RN remains theRegardless of surgical approach, RN remains the
treatment of choice for RCC extending into thetreatment of choice for RCC extending into the
perinephric fat.perinephric fat.
RCC WITH IPSILATERAL ADRENALRCC WITH IPSILATERAL ADRENAL
INVOLVEMENTINVOLVEMENT
 DespiteDespite poor cancer specific outcomespoor cancer specific outcomes associatedassociated
with ipsilateral adrenal involvement by RCC, a smallwith ipsilateral adrenal involvement by RCC, a small
but significant proportion of patients can expect abut significant proportion of patients can expect a
durable cure following complete surgical resection.durable cure following complete surgical resection.
 As such, patients with preoperative orAs such, patients with preoperative or
intraoperative evidence of adrenal involvement, asintraoperative evidence of adrenal involvement, as
well as patients with features of LARCC shouldwell as patients with features of LARCC should
undergo nephrectomy with concomitant en blocundergo nephrectomy with concomitant en bloc
adrenalectomyadrenalectomy..
RCC WITH VENOUS TUMORRCC WITH VENOUS TUMOR
THROMBUSTHROMBUS
 The incidence of venous tumor extension inThe incidence of venous tumor extension in
patients with RCC is reported to be between 4patients with RCC is reported to be between 4
and 10%.and 10%.
 In up to 25% of patients, the tumor extendsIn up to 25% of patients, the tumor extends
above the confluence of the hepatic veins and inabove the confluence of the hepatic veins and in
approximately 5%, the thrombi are supra-approximately 5%, the thrombi are supra-
diaphragmatic or intracardialdiaphragmatic or intracardial
Inferior vena caval tumorsInferior vena caval tumors
RCC WITH DIRECT INVASION OFRCC WITH DIRECT INVASION OF
ADJACENT ORGANSADJACENT ORGANS
 Tumor invasion beyond Gerota’s fascia into adjacentTumor invasion beyond Gerota’s fascia into adjacent
organs (pT4), without concomitant metastatic disease,organs (pT4), without concomitant metastatic disease,
is ais a relatively unusualrelatively unusual
 Large retrospective series report a 5 to 15% incidenceLarge retrospective series report a 5 to 15% incidence
of pT4 RCC.4,33of pT4 RCC.4,33
 aggressive surgical resection with en bloc removal of allaggressive surgical resection with en bloc removal of all
affected organs in patients with adjacent organaffected organs in patients with adjacent organ
involvement by RCC.involvement by RCC.
RESULTSRESULTS
SURGICALSURGICAL
COMPLICATIONSCOMPLICATIONS
 Following radical nephrectomy there areFollowing radical nephrectomy there are
reported complication rates of between 13reported complication rates of between 13
and 20 per centand 20 per cent
(Swanson and Borges 1983).(Swanson and Borges 1983).
Laparoscopic RadicalLaparoscopic Radical
NephrectomyNephrectomy
 The introduction of laparoscopic nephrectomyThe introduction of laparoscopic nephrectomy
for the treatment of localized RCC by Claymanfor the treatment of localized RCC by Clayman
and colleagues in 1991 revolutionized renaland colleagues in 1991 revolutionized renal
surgery for renal tumors.surgery for renal tumors.
Clayman RV, Kavoussi LR, Soper NJ, et al. Laparoscopic nephrectomy: initial case
report. J Urol 1991;146:278–82.
 Recently, longer follow-up data has validatedRecently, longer follow-up data has validated
early observations, with local recurrence ratesearly observations, with local recurrence rates
and survival data similar to that of traditionaland survival data similar to that of traditional
open surgery.open surgery.
 several series have reported 5-year disease free andseveral series have reported 5-year disease free and
actuarial survival for patients with stage T1-actuarial survival for patients with stage T1-
2N0M0, ranging from 91 to 95% and 81 to 95%,2N0M0, ranging from 91 to 95% and 81 to 95%,
respectivelyrespectively
 Concerns about tumor spillage, particularly withConcerns about tumor spillage, particularly with
morcellation and the risk of port site recurrencemorcellation and the risk of port site recurrence
were shown to be unfounded as rates are equivalentwere shown to be unfounded as rates are equivalent
with open surgery.with open surgery.
 There have been only nine reported cases ofThere have been only nine reported cases of
port site metastases following laparoscopicport site metastases following laparoscopic
nephrectomy with an overall reported incidencenephrectomy with an overall reported incidence
 Sudies comparing laparoscopic partialSudies comparing laparoscopic partial
nephrectomy and open partial nephrectomynephrectomy and open partial nephrectomy
show:show:
 Blood loss was lower in laparoscopic groupBlood loss was lower in laparoscopic group
 No difference in postoperative morbidity inNo difference in postoperative morbidity in
both groupboth group
 Operative time and warm ischamia was lower inOperative time and warm ischamia was lower in
open group (Gill et al, 2007)open group (Gill et al, 2007)
THANK YOUTHANK YOU
Renal Cell CarcinomaRenal Cell Carcinoma
Renal Cell CarcinomaRenal Cell Carcinoma
 Most common primary renal malignant neoplasm inMost common primary renal malignant neoplasm in
adultsadults
 90% of renal tumours90% of renal tumours
 2% of all adult malignancies2% of all adult malignancies
 More common in men (1.6 to 1)More common in men (1.6 to 1)
 Incidence peaks in patients 55-84 years oldIncidence peaks in patients 55-84 years old
 Approximately 5,800 new cases in Canada in 2009Approximately 5,800 new cases in Canada in 2009
 Approximately 1,300 deaths in Canada in 2009Approximately 1,300 deaths in Canada in 2009
Renal Cell CarcinomaRenal Cell Carcinoma
 20% of cases present with metastatic disease20% of cases present with metastatic disease
 2% of cases present with simultaneous bilateral2% of cases present with simultaneous bilateral
diseasedisease
 Most cases are found in early stages incidentallyMost cases are found in early stages incidentally
due to widespread use of medical imaging indue to widespread use of medical imaging in
generalgeneral
 ““Incidentaloma”Incidentaloma”
Renal Cell CarcinomaRenal Cell Carcinoma
 Risk factors:Risk factors:
 MaleMale
 SmokingSmoking
 CadmiumCadmium
 BenzeneBenzene
 TrichloroethyleneTrichloroethylene
 Asbestos exposureAsbestos exposure
 Elevated body mass indexElevated body mass index
 Chronic dialysisChronic dialysis
 Genetic syndromes (familial RCC, hereditary papillary RCC,Genetic syndromes (familial RCC, hereditary papillary RCC,
von Hippel-Lindau syndrome and tuberous sclerosis)von Hippel-Lindau syndrome and tuberous sclerosis)
Renal Cell CarcinomaRenal Cell Carcinoma
 RCC’s arise from the tubular epithelium and areRCC’s arise from the tubular epithelium and are
based in the renal cortexbased in the renal cortex
 Pathologic subtypes:Pathologic subtypes:
 Clear cellClear cell
 PapillaryPapillary
 Granular cellGranular cell
 Chromophobe cellChromophobe cell
 SarcomatoidSarcomatoid
Renal Cell CarcinomaRenal Cell Carcinoma
 Clear cell carcinomaClear cell carcinoma
Renal Cell CarcinomaRenal Cell Carcinoma
 Bilateral RCC’s are more common in von HippelBilateral RCC’s are more common in von Hippel
Lindau syndrome, tuberous sclerosis and chronicLindau syndrome, tuberous sclerosis and chronic
dialysisdialysis
Renal Cell CarcinomaRenal Cell Carcinoma
 Spread may occur by direct local invasion ofSpread may occur by direct local invasion of
adjacent structuresadjacent structures
 Adrenal glandsAdrenal glands
 LiverLiver
 SpleenSpleen
 ColonColon
 PancreasPancreas
Renal Cell CarcinomaRenal Cell Carcinoma
 Local regional lymph node metastases are alsoLocal regional lymph node metastases are also
commoncommon
 Renal vein or IVC thrombus may occurRenal vein or IVC thrombus may occur
 Distant metastasesDistant metastases
 Lungs (most common)Lungs (most common)
 LiverLiver
 BoneBone
 Adrenal glandAdrenal gland
 Contralateral kidneyContralateral kidney
Renal Cell CarcinomaRenal Cell Carcinoma
 Primary tumor (T)Primary tumor (T)
 TX - Primary tumor cannot be assessedTX - Primary tumor cannot be assessed
 T0 - No evidence of primary tumorT0 - No evidence of primary tumor
 T1 - Tumor 7 cm or smaller in greatest dimension, limited to the kidneyT1 - Tumor 7 cm or smaller in greatest dimension, limited to the kidney
 T2 - Tumor larger than 7 cm in greatest dimension, limited to the kidneyT2 - Tumor larger than 7 cm in greatest dimension, limited to the kidney
 T3 - Tumor extends into major veins or invades adrenal gland or perinephric tissues but notT3 - Tumor extends into major veins or invades adrenal gland or perinephric tissues but not
beyond the Gerota fasciabeyond the Gerota fascia
 T3a - Tumor invades adrenal gland or perinephric tissues but not beyond the Gerota fasciaT3a - Tumor invades adrenal gland or perinephric tissues but not beyond the Gerota fascia
 T3b - Tumor grossly extends into the renal vein(s) or vena cava below the diaphragmT3b - Tumor grossly extends into the renal vein(s) or vena cava below the diaphragm
 T3c - Tumor grossly extends into the renal vein(s) or vena cava above the diaphragmT3c - Tumor grossly extends into the renal vein(s) or vena cava above the diaphragm
 T4 - Tumor invading beyond the Gerota fasciaT4 - Tumor invading beyond the Gerota fascia
 Regional lymph nodes (N) - Laterality does not affect the N classificationRegional lymph nodes (N) - Laterality does not affect the N classification
 NX - Regional lymph nodes cannot be assessedNX - Regional lymph nodes cannot be assessed
 N0 - No regional lymph node metastasisN0 - No regional lymph node metastasis
 N1 - Metastasis in a single regional lymph nodeN1 - Metastasis in a single regional lymph node
 N2 - Metastasis in more than 1 regional lymph nodeN2 - Metastasis in more than 1 regional lymph node
 Distant metastasis (M)Distant metastasis (M)
 MX - Distant metastasis cannot be assessedMX - Distant metastasis cannot be assessed
 M0 - No distant metastasisM0 - No distant metastasis
 M1 - Distant metastasisM1 - Distant metastasis
Renal Cell CarcinomaRenal Cell Carcinoma
 TNM staging systemTNM staging system
 Stage IStage I
 7cm or less and confined to the kidney7cm or less and confined to the kidney
 Stage IIStage II
 >7cm but still organ confined>7cm but still organ confined
 Stage IIIStage III
 Extend into the renal vein or vena cava, involve theExtend into the renal vein or vena cava, involve the
ipsilateral adrenal gland and/or perinephric fat, or haveipsilateral adrenal gland and/or perinephric fat, or have
spread to one local lymph nodespread to one local lymph node
 Stage IVStage IV
 Extend beyond Gerota’s fascia, to more than one localExtend beyond Gerota’s fascia, to more than one local
node or have distant metastasesnode or have distant metastases
Renal Cell CarcinomaRenal Cell Carcinoma
 PrognosisPrognosis
 Dependent on stageDependent on stage
 Survial after surgical resectionSurvial after surgical resection
 T1 (<7cm)T1 (<7cm)
 5yr5yr 95%95%
 10yr10yr 91%91%
 T2 (>7cm)T2 (>7cm)
 5yr5yr 80%80%
 10yr10yr 70%70%
 T3T3 5 yr5 yr 59%59%
 T4T4 5 yr5 yr 20%20%
 Suvival for unresectable RCC is <20% at 5 yearsSuvival for unresectable RCC is <20% at 5 years
Renal Cell CarcinomaRenal Cell Carcinoma
 PresentationPresentation
 Incidental finding on imaging (‘incidentaloma”)Incidental finding on imaging (‘incidentaloma”)
 HematuriaHematuria
 Flank painFlank pain
 Flank massFlank mass
 Fever, nausea, anorexia, malaise, night sweats andFever, nausea, anorexia, malaise, night sweats and
weight lossweight loss
Renal Cell CarcinomaRenal Cell Carcinoma
 Large renal cell carcinoma (U/S)Large renal cell carcinoma (U/S)
 For the workup in RCC, US is used primarily to differentiateFor the workup in RCC, US is used primarily to differentiate
solid masses from simple cystssolid masses from simple cysts
Renal Cell CarcinomaRenal Cell Carcinoma
 Large renal cell carcinoma (contrast enhanced CT)Large renal cell carcinoma (contrast enhanced CT)
Renal Cell CarcinomaRenal Cell Carcinoma
 Small renal cell carcinoma (contrast enhanced CT)Small renal cell carcinoma (contrast enhanced CT)
Renal Cell CarcinomaRenal Cell Carcinoma
 Limitations of imaging techniques (CT)Limitations of imaging techniques (CT)
 Pseudoenhancement of masses smaller than 8-Pseudoenhancement of masses smaller than 8-
10mm may be a problem for CT10mm may be a problem for CT
 U/S may help in characterizing some of these asU/S may help in characterizing some of these as
cystscysts
 If contrast cannot be given then CT is a poor choiceIf contrast cannot be given then CT is a poor choice
so MRI may be more helpfulso MRI may be more helpful
Renal Cell CarcinomaRenal Cell Carcinoma
 Limitations of imaging techniques (U/S)Limitations of imaging techniques (U/S)
 Incomplete staging (bones, lungs and regional nodes)Incomplete staging (bones, lungs and regional nodes)
 Difficult to detect small non-contour deformingDifficult to detect small non-contour deforming
massesmasses
 Large patients may not be good candidates for U/SLarge patients may not be good candidates for U/S
because of technical difficulties in obtaining goodbecause of technical difficulties in obtaining good
quality images of the kidneysquality images of the kidneys
Renal Cell CarcinomaRenal Cell Carcinoma
 Limitations of imaging techniques (MRI)Limitations of imaging techniques (MRI)
 Patient cooperation because MRI is more sensitivePatient cooperation because MRI is more sensitive
to motion artifact than CTto motion artifact than CT
 MRI is more expensive and less readily available thanMRI is more expensive and less readily available than
CTCT
 Patients with pacemakers, medical implants andPatients with pacemakers, medical implants and
severe claustrophobia are excludedsevere claustrophobia are excluded
 BenefitBenefit
 No radiation exposureNo radiation exposure
Renal Cell CarcinomaRenal Cell Carcinoma
 Differntial diagnosisDifferntial diagnosis
 OncocytomaOncocytoma
 Other problems to be consideredOther problems to be considered
 AngiomyolipomaAngiomyolipoma
 Collecting duct carcinomaCollecting duct carcinoma
 Hemorrhagic cystHemorrhagic cyst
 Infected cystInfected cyst
 LymphomaLymphoma
 Metastatic diseaseMetastatic disease
 Renal abscessRenal abscess
 Transitional cell carcinomaTransitional cell carcinoma
Renal Cell CarcinomaRenal Cell Carcinoma
 Typical renal cell carcinoma. CT scan obtained before contrastTypical renal cell carcinoma. CT scan obtained before contrast
enhancement has an attenuation measurement of 33.9 HUenhancement has an attenuation measurement of 33.9 HU
Renal Cell CarcinomaRenal Cell Carcinoma
 Typical renal cell carcinoma. Contrast-enhanced CT scan has anTypical renal cell carcinoma. Contrast-enhanced CT scan has an
attenuation measurement of 75.8 HUattenuation measurement of 75.8 HU
Renal Cell CarcinomaRenal Cell Carcinoma
 Multifocal renal cell carcinoma in a patient with Von Hippel-Multifocal renal cell carcinoma in a patient with Von Hippel-
Lindau disease. Contrast-enhanced CT scanLindau disease. Contrast-enhanced CT scan
Renal Cell CarcinomaRenal Cell Carcinoma
 Multifocal renal cell carcinoma in a patient with Von Hippel Lindau disease.Multifocal renal cell carcinoma in a patient with Von Hippel Lindau disease.
Patient had already undergone a right nephrectomy. Contrast-enhanced CT scanPatient had already undergone a right nephrectomy. Contrast-enhanced CT scan
Renal Cell CarcinomaRenal Cell Carcinoma
 Multifocal renal cell carcinoma in patient presenting with palpableMultifocal renal cell carcinoma in patient presenting with palpable
mass. Nonenhanced CT scanmass. Nonenhanced CT scan
Renal Cell CarcinomaRenal Cell Carcinoma
 Cystic renal cell carcinoma. Nonenhanced CT scan with anCystic renal cell carcinoma. Nonenhanced CT scan with an
attenuation measurement of 25.8 HUattenuation measurement of 25.8 HU
Renal Cell CarcinomaRenal Cell Carcinoma
 Cystic renal cell carcinoma. Contrast-enhanced CT scan with anCystic renal cell carcinoma. Contrast-enhanced CT scan with an
attenuation measurement of 47.1 HUattenuation measurement of 47.1 HU
Renal Cell CarcinomaRenal Cell Carcinoma
 MRIMRI
 Findings are similar to those of CTFindings are similar to those of CT
 Numeric criteria for enhancement are not definedNumeric criteria for enhancement are not defined
for MRI as they are for CT, but MRI signal intensityfor MRI as they are for CT, but MRI signal intensity
changes can be measuredchanges can be measured
Renal Cell CarcinomaRenal Cell Carcinoma
 Large right renal cell carcinoma with renal vein and inferior venaLarge right renal cell carcinoma with renal vein and inferior vena
cava invasion. T1-weighted axial MRI before contrast enhancementcava invasion. T1-weighted axial MRI before contrast enhancement
Renal Cell CarcinomaRenal Cell Carcinoma
 Large right renal cell carcinoma with renal vein and inferior venaLarge right renal cell carcinoma with renal vein and inferior vena
cava invasion. T1-weighted contrast-enhanced axial MRIcava invasion. T1-weighted contrast-enhanced axial MRI
Renal Cell CarcinomaRenal Cell Carcinoma
 T1-weighted imagesT1-weighted images
 NonenhancedNonenhanced
 RCC’s usually appear isointense or hypointense relative toRCC’s usually appear isointense or hypointense relative to
the remainder of the kidneythe remainder of the kidney
 With chemical shift imaging, some clear cell carcinomasWith chemical shift imaging, some clear cell carcinomas
show focal or diffuse loss of signal intensityshow focal or diffuse loss of signal intensity
Renal Cell CarcinomaRenal Cell Carcinoma
 Large right renal cell carcinoma with renal vein and inferior venaLarge right renal cell carcinoma with renal vein and inferior vena
cava invasion. T2-weighted axial MRIcava invasion. T2-weighted axial MRI
Renal Cell CarcinomaRenal Cell Carcinoma
 T2-weighted imagesT2-weighted images
 RCC’s are usually hyperintense and most oftenRCC’s are usually hyperintense and most often
heterogeneousheterogeneous
Renal Cell CarcinomaRenal Cell Carcinoma
 MRIMRI
 Necrosis or hemorrhage may alter signal intensityNecrosis or hemorrhage may alter signal intensity
characteristicscharacteristics
 Especially helpful in determining invasion into renalEspecially helpful in determining invasion into renal
vein and IVCvein and IVC
 The degree of confidence in the diagnosis of RCCThe degree of confidence in the diagnosis of RCC
with MRI is similar to that of CTwith MRI is similar to that of CT
 MRI has no advantage compared with contrast enhancedMRI has no advantage compared with contrast enhanced
CT for the diagnosis of RCC but it is better for staging ofCT for the diagnosis of RCC but it is better for staging of
locally advanced caseslocally advanced cases
Renal Cell CarcinomaRenal Cell Carcinoma
 Renal BiopsyRenal Biopsy
 Gaining popularityGaining popularity
 Older literature of fine needle aspiration biopsies showedOlder literature of fine needle aspiration biopsies showed
40% malignancy, 24% benign and 36% indeterminate40% malignancy, 24% benign and 36% indeterminate
 Recent literature of core biopsies shows 75% malignancy,Recent literature of core biopsies shows 75% malignancy,
20% benign and 5% indeterminate20% benign and 5% indeterminate
 Renal biopsy may be most useful in patients with a priorRenal biopsy may be most useful in patients with a prior
malignancy (? Mets), lymphoma or multiple masses (? Mets)malignancy (? Mets), lymphoma or multiple masses (? Mets)
 ““If in doubt, cut it out!”If in doubt, cut it out!”
Renal Cell CarcinomaRenal Cell Carcinoma
 ManagementManagement
 Surgery – “A chance to cut is a chance to cure”Surgery – “A chance to cut is a chance to cure”
 Unresectable RCC’s have a 5 year survival rate ofUnresectable RCC’s have a 5 year survival rate of
<20%<20%
 RCC’s are resistant to chemotherapy and radiationRCC’s are resistant to chemotherapy and radiation
therapytherapy
Renal Cell CarcinomaRenal Cell Carcinoma
 Surgical optionsSurgical options
 Open radical nephrectomyOpen radical nephrectomy
 Laparoscopic radical nephrectomyLaparoscopic radical nephrectomy
 Open partial nephrectomyOpen partial nephrectomy
 Laparoscopic partial nephrectomyLaparoscopic partial nephrectomy
Normal Renal AnatomyNormal Renal Anatomy
Renal Cell CarcinomaRenal Cell Carcinoma
 3D CT scan of a small RCC that is peripheral3D CT scan of a small RCC that is peripheral
and exophytic which is ideal for nephron sparingand exophytic which is ideal for nephron sparing
surgerysurgery
Renal Cell CarcinomaRenal Cell Carcinoma
 3D CT scan showing a left lower pole RCC3D CT scan showing a left lower pole RCC
extending into the renal hilumextending into the renal hilum
Renal Cell CarcinomaRenal Cell Carcinoma
 3D CT scan obtained during the excretory phase in the3D CT scan obtained during the excretory phase in the
coronal plane shows the mass abutting the inferior surfacecoronal plane shows the mass abutting the inferior surface
of the renal pelvis and invades the lower pole calicesof the renal pelvis and invades the lower pole calices
Renal Cell CarcinomaRenal Cell Carcinoma
 Recurrent renal cell carcinoma. Status post–right nephrectomy withRecurrent renal cell carcinoma. Status post–right nephrectomy with
local recurrence (arrow) in nephrectomy bed. Contrast-enhanced CTlocal recurrence (arrow) in nephrectomy bed. Contrast-enhanced CT
Renal Cell CarcinomaRenal Cell Carcinoma
 Minimally invasive image guided treatmentsMinimally invasive image guided treatments
 Radiofrequency ablation (RFA)Radiofrequency ablation (RFA)
 CryotherapyCryotherapy
 Especially for patients with a high surgical risk,Especially for patients with a high surgical risk,
aversion to surgery or bilateral lesionsaversion to surgery or bilateral lesions
 Minimal morbidity but higher recurrence ratesMinimal morbidity but higher recurrence rates
versus standard surgical excisionversus standard surgical excision
Renal Cell CarcinomaRenal Cell Carcinoma
 Metastatic RCCMetastatic RCC
 Role of radical nephrectomy in metastatic RCCRole of radical nephrectomy in metastatic RCC
 Tyrosine kinase inhibitorsTyrosine kinase inhibitors
 SorefanibSorefanib
 SunitinibSunitinib
 m-TOR inhibitorsm-TOR inhibitors
 TemsirolimusTemsirolimus
 EverolimusEverolimus
Renal Cell CarcinomaRenal Cell Carcinoma
 Recurrent renal cell carcinoma. Status post left nephrectomy withRecurrent renal cell carcinoma. Status post left nephrectomy with
metastatic disease to the contralateral adrenal glandmetastatic disease to the contralateral adrenal gland
Renal Cell CarcinomaRenal Cell Carcinoma
 Recurrent renal cell carcinoma. Status post rightRecurrent renal cell carcinoma. Status post right
nephrectomy with metastatic disease to the livernephrectomy with metastatic disease to the liver
Renal Cell CarcinomaRenal Cell Carcinoma
 Questions?Questions?
 Comments?Comments?
APPROACH ADVANTAGES DISADVANTAGES
Flank Subcostal • Useful for surgery on lower renal
pole, ureteropelvic junction, and
upper ureter, as well as simple
nephrectomy.
• Extraperitoneal approach prevents
peritoneal contamination
• Abdominal panniculus falls away
from incision
• Poor option in patients
with significant scoliosis
or who will not tolerate
flank position.
• Provides poor access to
renal hilum and renal
vasculature
• Risks chronic flank pain
and bulge
Supracostal • Useful for modest-sized tumor
and partial nephrectomy
• Extraperitoneal, extrapleural
approach
• Good renal, suprarenal, and
retroperitoneal exposure
• Permits pivoting of the 11th or
12th rib on a single articulating
• Poor option in patients
with significant scoliosis
or who will not tolerate
flank position.
• Risks chronic flank pain
and bulge
APPROACH ADVANTAGES DISADVANTAGES
Thoracoabdominal • For large renal masses, esp upper
pole
• Right-sided tumors in which the
liver and hepatic veins would
reduce exposure
• Renal tumors with venous
extension and those involving
adjacent structures as well as
excision of suprarenal masses
• Provides maximal suprarenal
exposure
• Permits synchronous biopsy or
resection of pulmonary lesions
• Longer operative time
• Greater potential
pulmonary morbidity
• Damage to phrenic nerve
APPROACH ADVANTAGES DISADVANTAGES
Anterior Subcostal
(extraperitoneal
or
transperitoneal)
Useful for open renal
biopsy, nephrectomy
and
renovascular surgery
Favorable approach for
upper pole tumors and
in
patients with a wide
subcostal angle
Provides good access
to the superior and
lateral
aspect of kidney; the
transperitoneal
approach
permits good access to
the renal hilum
The extraperitoneal
approach diminishes

Rcc

  • 1.
    Radical NephrectomyRadical Nephrectomy RenalCell CarcinomaRenal Cell Carcinoma
  • 2.
    HistoryHistory The first radicalnephrectomy removedThe first radical nephrectomy removed through Thoracoabdominal incisionthrough Thoracoabdominal incision Mortensen (1948)
  • 3.
    Robson 1960s, popularizedRadicalRobson 1960s, popularized Radical nephrectomynephrectomy Perifascial resection of the kidneyPerifascial resection of the kidney Perirenal fatPerirenal fat Regional LNRegional LN Adrenal glandAdrenal gland Robson CJ. Radical nephrectomy for renal cell carcinoma. J Urol 1963; 89:37. Robson CJ. Radical nephrectomy for renal cell carcinoma. J Urol 1963; 89:37. HistoryHistory
  • 4.
    HistoryHistory Robson 1960s, RadicalnephrectomyRobson 1960s, Radical nephrectomy Large abdominal or transthoracic incisionsLarge abdominal or transthoracic incisions Standard approach to the renal tumors forStandard approach to the renal tumors for the next 20 yearsthe next 20 years Skinner DG, Colvin RB, Vermillion CD, et al. Diagnosis and management of renal cell carcinoma: a clinical and pathological study of 309 cases. Cancer 1971;28:1165–1177. Patel NP, Lavengood RW. Renal cell carcinoma: natural history and results of treatment. J Urol 1978;119:722. Skinner DG, Colvin RB, Vermillion CD, et al. Diagnosis and management of renal cell carcinoma: a clinical and pathological study of 309 cases. Cancer 1971;28:1165–1177. Patel NP, Lavengood RW. Renal cell carcinoma: natural history and results of treatment. J Urol 1978;119:722.
  • 5.
    Contemporary Perspective InContemporaryPerspective In Radical NephrectomyRadical Nephrectomy
  • 9.
    Radical nephrectomyRadical nephrectomy Patients selectionPatients selection  Comprehensive counselingComprehensive counseling  Surgical aspectsSurgical aspects  ComplicationsComplications  Oncologic outcomesOncologic outcomes
  • 10.
    Patient selectionPatient selection MSKCCMSKCC large and centrally localized tumors that havelarge and centrally localized tumors that have effectively replaced most of the normal renaleffectively replaced most of the normal renal parenchymaparenchyma  large tumors associated with regionallarge tumors associated with regional adenopathy (of benign or malignant etiology)adenopathy (of benign or malignant etiology) Flanigan RC, Salmon SE, Blumenstein BA, et al. Nephrectomy followed by interferon alfa-2b compared with interferon alfa-2b alone for metastatic renal-cell cancer. N Engl J Med 2001;23:1655–1659. Flanigan RC, Salmon SE, Blumenstein BA, et al. Nephrectomy followed by interferon alfa-2b compared with interferon alfa-2b alone for metastatic renal-cell cancer. N Engl J Med 2001;23:1655–1659.
  • 11.
     inferior venacava (IVC) or right atrial extensioninferior vena cava (IVC) or right atrial extension  metastatic disease referred by medical oncologymetastatic disease referred by medical oncology for cytoreductive nephrectomy before thefor cytoreductive nephrectomy before the initiation of systemic therapy.initiation of systemic therapy.  partial nephrectomy are asked to also signpartial nephrectomy are asked to also sign consent for radical nephrectomy if observedconsent for radical nephrectomy if observed operative findings or technical problems ariseoperative findings or technical problems arise making partial nephrectomy unsafe or unwise.making partial nephrectomy unsafe or unwise.
  • 12.
    RCC with ipsilateraladrenalRCC with ipsilateral adrenal involvementinvolvement
  • 13.
    Comprehensive counselingComprehensive counseling Informed Consent: topics covered in this process include aInformed Consent: topics covered in this process include a description of the procedure including:description of the procedure including:  the suspected diagnosisthe suspected diagnosis  the need for removing the affected kidney, surroundingthe need for removing the affected kidney, surrounding tissues, and ipsilateral adrenal gland if requiredtissues, and ipsilateral adrenal gland if required  the alternatives to the intended procedure such asthe alternatives to the intended procedure such as cryoablation, partial nephrectomy, or laparoscopic RNcryoablation, partial nephrectomy, or laparoscopic RN  the potential complications of the operation includingthe potential complications of the operation including  the need for long-term medical follow-up after surgerythe need for long-term medical follow-up after surgery
  • 14.
    PreparationPreparation  routine serumchemistriesroutine serum chemistries  coagulation profile,coagulation profile,  cross matchcross match  chest x-ray are obtainedchest x-ray are obtained
  • 15.
     Preferred imagingPreferredimaging  Dedicated renal computed tomography (CT)Dedicated renal computed tomography (CT)  In most cases, this single examination can be used toIn most cases, this single examination can be used to detect and stagedetect and stage RCC and to provideRCC and to provide information forinformation for surgical planningsurgical planning withoutwithout additional imagingadditional imaging
  • 16.
     In thefew patients in whom the CT findings areIn the few patients in whom the CT findings are equivocal, MRI or doppler U/S can be usefulequivocal, MRI or doppler U/S can be useful  Angiography is rarely used in the workup ofAngiography is rarely used in the workup of RCCRCC
  • 17.
    CTCT  Dedicated renalCTDedicated renal CT  Thin section 2.5-5 mm helical imaging of theThin section 2.5-5 mm helical imaging of the kidneys before IV contrast, followed bykidneys before IV contrast, followed by coticomedullary (arterial at 40 second),coticomedullary (arterial at 40 second), nephrographic (at 90 second) and urographicnephrographic (at 90 second) and urographic (delayed at 7 minute)(delayed at 7 minute)
  • 18.
     Historically, enhancementwas consideredHistorically, enhancement was considered present if the attenuation of the lesion increasedpresent if the attenuation of the lesion increased by more than 10 HU from baselineby more than 10 HU from baseline  However, with recent advances in CT hardware,However, with recent advances in CT hardware, this definition may need to be changed to 15-20this definition may need to be changed to 15-20 HUHU CTCT
  • 19.
    On initial nonenhancedCT scans, RCCs may appear as:On initial nonenhanced CT scans, RCCs may appear as: hyperattenuatinghyperattenuating isoattenuatingisoattenuating Hypoattenuating relative to the remainder of the kidney.Hypoattenuating relative to the remainder of the kidney. CalcificationsCalcifications amorphous and internal, although rimlike calcificationsamorphous and internal, although rimlike calcifications can also be present.can also be present. CTCT
  • 20.
     On contrast-enhancedCT scans, RCC is usuallyOn contrast-enhanced CT scans, RCC is usually solid, and decreased attenuation suggestive ofsolid, and decreased attenuation suggestive of necrosis is often present.necrosis is often present.  Sometimes RCC is a predominantly cystic mass,Sometimes RCC is a predominantly cystic mass, with thick septa and wall nodularity.with thick septa and wall nodularity.  RCC may also appear as a completely solid andRCC may also appear as a completely solid and highly enhancing masshighly enhancing mass
  • 21.
     Degree ofconfidence in the imagingDegree of confidence in the imaging  If a solitary mass isIf a solitary mass is enhancingenhancing, the degree of, the degree of confidence in diagnosing RCC is high.confidence in diagnosing RCC is high.  When masses are multiple, metastatic disease andWhen masses are multiple, metastatic disease and lymphomalymphoma must be considered, especially if themust be considered, especially if the patient has a history of a primary malignancy.patient has a history of a primary malignancy.  When a mass is predominantlyWhen a mass is predominantly cysticcystic, the, the confidence level decreases. In these patients, US mayconfidence level decreases. In these patients, US may be useful.be useful. CTCT
  • 22.
     False-positive resultsfor CTFalse-positive results for CT  Pseudoenhancement of small masses (cysts)Pseudoenhancement of small masses (cysts)  Bosniak type 2 cystsBosniak type 2 cysts  Thin septa, hyperattenuation, or small amounts of muralThin septa, hyperattenuation, or small amounts of mural or septal calcificationsor septal calcifications  Bosniak type 3 cystsBosniak type 3 cysts  Mural nodularity, thick septa, or irregular or thickMural nodularity, thick septa, or irregular or thick calcifications that often require surgical explorationcalcifications that often require surgical exploration  Oncocytomas (indistinguishable from RCC on CT)Oncocytomas (indistinguishable from RCC on CT)  Angiomyolipomas that do not contain visible fatAngiomyolipomas that do not contain visible fat CTCT
  • 23.
    CTCT  False-negative resultsfor CTFalse-negative results for CT  If the attenuation is not carefully measured beforeIf the attenuation is not carefully measured before and after IV contrastand after IV contrast  If cystic masses are not carefully examined for septaIf cystic masses are not carefully examined for septa or nodularityor nodularity  If enhancement of a lesion is missed (i.e. lack ofIf enhancement of a lesion is missed (i.e. lack of enhancement at the time of scanning)enhancement at the time of scanning)  If the mass is too small for adequate characterizationIf the mass is too small for adequate characterization
  • 24.
  • 25.
    Renal Cell CarcinomaRenalCell Carcinoma Contrast CT show LT renal cyst with Bosnik IV
  • 26.
    Renal Cell CarcinomaRenalCell Carcinoma  Renal cell carcinoma. Dedicated renal CT scan obtained before contrastRenal cell carcinoma. Dedicated renal CT scan obtained before contrast enhancement. Right kidney has an attenuation measurement of 45.7 HUenhancement. Right kidney has an attenuation measurement of 45.7 HU
  • 27.
    Renal Cell CarcinomaRenalCell Carcinoma  Renal cell carcinoma. Contrast-enhanced dedicated renal CT scan with anRenal cell carcinoma. Contrast-enhanced dedicated renal CT scan with an attenuation measurement of 101.7 HUattenuation measurement of 101.7 HU
  • 28.
  • 29.
    TechniquesTechniques  Whats meantby radical nephrectomyWhats meant by radical nephrectomy  Open surgeryOpen surgery  LaparoscopyLaparoscopy  Robotic surgeryRobotic surgery
  • 30.
    Open surgeryOpen surgery RNRN How to choose theHow to choose the incision?incision?  surgeon's preferencesurgeon's preference  patient's body habituspatient's body habitus  tumor size & sitetumor size & site  Other pathology [IVCOther pathology [IVC thrombus]thrombus]  What are the types ofWhat are the types of incisions?incisions?  Supracostal flank incisionSupracostal flank incision  transperitoneal midlinetransperitoneal midline  transperitoneal subcostaltransperitoneal subcostal incisionincision  ThoracoabdominalThoracoabdominal incisionincision
  • 31.
    Radical Nephrectomy Patientin theRadical Nephrectomy Patient in the Operating RoomOperating Room
  • 34.
  • 36.
  • 48.
  • 49.
    LocallyLocally Advanced Renal CellCarcinomaAdvanced Renal Cell Carcinoma  RCC with perinephric fat involvementRCC with perinephric fat involvement  RCC with ipsilateral adrenal involvementRCC with ipsilateral adrenal involvement  RCC with venous tumor thrombusRCC with venous tumor thrombus  RCC with direct invasion of adjacent organsRCC with direct invasion of adjacent organs
  • 50.
    RCC with perinephricfatRCC with perinephric fat involvementinvolvement  Modern nephrectomy series demonstrate thatModern nephrectomy series demonstrate that approximately 20 to 30% of RCC are found toapproximately 20 to 30% of RCC are found to extend into the perinephric fatextend into the perinephric fat  Regardless of surgical approach, RN remains theRegardless of surgical approach, RN remains the treatment of choice for RCC extending into thetreatment of choice for RCC extending into the perinephric fat.perinephric fat.
  • 51.
    RCC WITH IPSILATERALADRENALRCC WITH IPSILATERAL ADRENAL INVOLVEMENTINVOLVEMENT  DespiteDespite poor cancer specific outcomespoor cancer specific outcomes associatedassociated with ipsilateral adrenal involvement by RCC, a smallwith ipsilateral adrenal involvement by RCC, a small but significant proportion of patients can expect abut significant proportion of patients can expect a durable cure following complete surgical resection.durable cure following complete surgical resection.  As such, patients with preoperative orAs such, patients with preoperative or intraoperative evidence of adrenal involvement, asintraoperative evidence of adrenal involvement, as well as patients with features of LARCC shouldwell as patients with features of LARCC should undergo nephrectomy with concomitant en blocundergo nephrectomy with concomitant en bloc adrenalectomyadrenalectomy..
  • 52.
    RCC WITH VENOUSTUMORRCC WITH VENOUS TUMOR THROMBUSTHROMBUS  The incidence of venous tumor extension inThe incidence of venous tumor extension in patients with RCC is reported to be between 4patients with RCC is reported to be between 4 and 10%.and 10%.  In up to 25% of patients, the tumor extendsIn up to 25% of patients, the tumor extends above the confluence of the hepatic veins and inabove the confluence of the hepatic veins and in approximately 5%, the thrombi are supra-approximately 5%, the thrombi are supra- diaphragmatic or intracardialdiaphragmatic or intracardial
  • 53.
    Inferior vena cavaltumorsInferior vena caval tumors
  • 59.
    RCC WITH DIRECTINVASION OFRCC WITH DIRECT INVASION OF ADJACENT ORGANSADJACENT ORGANS  Tumor invasion beyond Gerota’s fascia into adjacentTumor invasion beyond Gerota’s fascia into adjacent organs (pT4), without concomitant metastatic disease,organs (pT4), without concomitant metastatic disease, is ais a relatively unusualrelatively unusual  Large retrospective series report a 5 to 15% incidenceLarge retrospective series report a 5 to 15% incidence of pT4 RCC.4,33of pT4 RCC.4,33  aggressive surgical resection with en bloc removal of allaggressive surgical resection with en bloc removal of all affected organs in patients with adjacent organaffected organs in patients with adjacent organ involvement by RCC.involvement by RCC.
  • 60.
  • 63.
  • 64.
     Following radicalnephrectomy there areFollowing radical nephrectomy there are reported complication rates of between 13reported complication rates of between 13 and 20 per centand 20 per cent (Swanson and Borges 1983).(Swanson and Borges 1983).
  • 66.
    Laparoscopic RadicalLaparoscopic Radical NephrectomyNephrectomy The introduction of laparoscopic nephrectomyThe introduction of laparoscopic nephrectomy for the treatment of localized RCC by Claymanfor the treatment of localized RCC by Clayman and colleagues in 1991 revolutionized renaland colleagues in 1991 revolutionized renal surgery for renal tumors.surgery for renal tumors. Clayman RV, Kavoussi LR, Soper NJ, et al. Laparoscopic nephrectomy: initial case report. J Urol 1991;146:278–82.
  • 70.
     Recently, longerfollow-up data has validatedRecently, longer follow-up data has validated early observations, with local recurrence ratesearly observations, with local recurrence rates and survival data similar to that of traditionaland survival data similar to that of traditional open surgery.open surgery.
  • 71.
     several serieshave reported 5-year disease free andseveral series have reported 5-year disease free and actuarial survival for patients with stage T1-actuarial survival for patients with stage T1- 2N0M0, ranging from 91 to 95% and 81 to 95%,2N0M0, ranging from 91 to 95% and 81 to 95%, respectivelyrespectively  Concerns about tumor spillage, particularly withConcerns about tumor spillage, particularly with morcellation and the risk of port site recurrencemorcellation and the risk of port site recurrence were shown to be unfounded as rates are equivalentwere shown to be unfounded as rates are equivalent with open surgery.with open surgery.  There have been only nine reported cases ofThere have been only nine reported cases of port site metastases following laparoscopicport site metastases following laparoscopic nephrectomy with an overall reported incidencenephrectomy with an overall reported incidence
  • 75.
     Sudies comparinglaparoscopic partialSudies comparing laparoscopic partial nephrectomy and open partial nephrectomynephrectomy and open partial nephrectomy show:show:  Blood loss was lower in laparoscopic groupBlood loss was lower in laparoscopic group  No difference in postoperative morbidity inNo difference in postoperative morbidity in both groupboth group  Operative time and warm ischamia was lower inOperative time and warm ischamia was lower in open group (Gill et al, 2007)open group (Gill et al, 2007)
  • 76.
  • 78.
  • 79.
    Renal Cell CarcinomaRenalCell Carcinoma  Most common primary renal malignant neoplasm inMost common primary renal malignant neoplasm in adultsadults  90% of renal tumours90% of renal tumours  2% of all adult malignancies2% of all adult malignancies  More common in men (1.6 to 1)More common in men (1.6 to 1)  Incidence peaks in patients 55-84 years oldIncidence peaks in patients 55-84 years old  Approximately 5,800 new cases in Canada in 2009Approximately 5,800 new cases in Canada in 2009  Approximately 1,300 deaths in Canada in 2009Approximately 1,300 deaths in Canada in 2009
  • 80.
    Renal Cell CarcinomaRenalCell Carcinoma  20% of cases present with metastatic disease20% of cases present with metastatic disease  2% of cases present with simultaneous bilateral2% of cases present with simultaneous bilateral diseasedisease  Most cases are found in early stages incidentallyMost cases are found in early stages incidentally due to widespread use of medical imaging indue to widespread use of medical imaging in generalgeneral  ““Incidentaloma”Incidentaloma”
  • 81.
    Renal Cell CarcinomaRenalCell Carcinoma  Risk factors:Risk factors:  MaleMale  SmokingSmoking  CadmiumCadmium  BenzeneBenzene  TrichloroethyleneTrichloroethylene  Asbestos exposureAsbestos exposure  Elevated body mass indexElevated body mass index  Chronic dialysisChronic dialysis  Genetic syndromes (familial RCC, hereditary papillary RCC,Genetic syndromes (familial RCC, hereditary papillary RCC, von Hippel-Lindau syndrome and tuberous sclerosis)von Hippel-Lindau syndrome and tuberous sclerosis)
  • 82.
    Renal Cell CarcinomaRenalCell Carcinoma  RCC’s arise from the tubular epithelium and areRCC’s arise from the tubular epithelium and are based in the renal cortexbased in the renal cortex  Pathologic subtypes:Pathologic subtypes:  Clear cellClear cell  PapillaryPapillary  Granular cellGranular cell  Chromophobe cellChromophobe cell  SarcomatoidSarcomatoid
  • 83.
    Renal Cell CarcinomaRenalCell Carcinoma  Clear cell carcinomaClear cell carcinoma
  • 84.
    Renal Cell CarcinomaRenalCell Carcinoma  Bilateral RCC’s are more common in von HippelBilateral RCC’s are more common in von Hippel Lindau syndrome, tuberous sclerosis and chronicLindau syndrome, tuberous sclerosis and chronic dialysisdialysis
  • 85.
    Renal Cell CarcinomaRenalCell Carcinoma  Spread may occur by direct local invasion ofSpread may occur by direct local invasion of adjacent structuresadjacent structures  Adrenal glandsAdrenal glands  LiverLiver  SpleenSpleen  ColonColon  PancreasPancreas
  • 86.
    Renal Cell CarcinomaRenalCell Carcinoma  Local regional lymph node metastases are alsoLocal regional lymph node metastases are also commoncommon  Renal vein or IVC thrombus may occurRenal vein or IVC thrombus may occur  Distant metastasesDistant metastases  Lungs (most common)Lungs (most common)  LiverLiver  BoneBone  Adrenal glandAdrenal gland  Contralateral kidneyContralateral kidney
  • 87.
    Renal Cell CarcinomaRenalCell Carcinoma  Primary tumor (T)Primary tumor (T)  TX - Primary tumor cannot be assessedTX - Primary tumor cannot be assessed  T0 - No evidence of primary tumorT0 - No evidence of primary tumor  T1 - Tumor 7 cm or smaller in greatest dimension, limited to the kidneyT1 - Tumor 7 cm or smaller in greatest dimension, limited to the kidney  T2 - Tumor larger than 7 cm in greatest dimension, limited to the kidneyT2 - Tumor larger than 7 cm in greatest dimension, limited to the kidney  T3 - Tumor extends into major veins or invades adrenal gland or perinephric tissues but notT3 - Tumor extends into major veins or invades adrenal gland or perinephric tissues but not beyond the Gerota fasciabeyond the Gerota fascia  T3a - Tumor invades adrenal gland or perinephric tissues but not beyond the Gerota fasciaT3a - Tumor invades adrenal gland or perinephric tissues but not beyond the Gerota fascia  T3b - Tumor grossly extends into the renal vein(s) or vena cava below the diaphragmT3b - Tumor grossly extends into the renal vein(s) or vena cava below the diaphragm  T3c - Tumor grossly extends into the renal vein(s) or vena cava above the diaphragmT3c - Tumor grossly extends into the renal vein(s) or vena cava above the diaphragm  T4 - Tumor invading beyond the Gerota fasciaT4 - Tumor invading beyond the Gerota fascia  Regional lymph nodes (N) - Laterality does not affect the N classificationRegional lymph nodes (N) - Laterality does not affect the N classification  NX - Regional lymph nodes cannot be assessedNX - Regional lymph nodes cannot be assessed  N0 - No regional lymph node metastasisN0 - No regional lymph node metastasis  N1 - Metastasis in a single regional lymph nodeN1 - Metastasis in a single regional lymph node  N2 - Metastasis in more than 1 regional lymph nodeN2 - Metastasis in more than 1 regional lymph node  Distant metastasis (M)Distant metastasis (M)  MX - Distant metastasis cannot be assessedMX - Distant metastasis cannot be assessed  M0 - No distant metastasisM0 - No distant metastasis  M1 - Distant metastasisM1 - Distant metastasis
  • 88.
    Renal Cell CarcinomaRenalCell Carcinoma  TNM staging systemTNM staging system  Stage IStage I  7cm or less and confined to the kidney7cm or less and confined to the kidney  Stage IIStage II  >7cm but still organ confined>7cm but still organ confined  Stage IIIStage III  Extend into the renal vein or vena cava, involve theExtend into the renal vein or vena cava, involve the ipsilateral adrenal gland and/or perinephric fat, or haveipsilateral adrenal gland and/or perinephric fat, or have spread to one local lymph nodespread to one local lymph node  Stage IVStage IV  Extend beyond Gerota’s fascia, to more than one localExtend beyond Gerota’s fascia, to more than one local node or have distant metastasesnode or have distant metastases
  • 89.
    Renal Cell CarcinomaRenalCell Carcinoma  PrognosisPrognosis  Dependent on stageDependent on stage  Survial after surgical resectionSurvial after surgical resection  T1 (<7cm)T1 (<7cm)  5yr5yr 95%95%  10yr10yr 91%91%  T2 (>7cm)T2 (>7cm)  5yr5yr 80%80%  10yr10yr 70%70%  T3T3 5 yr5 yr 59%59%  T4T4 5 yr5 yr 20%20%  Suvival for unresectable RCC is <20% at 5 yearsSuvival for unresectable RCC is <20% at 5 years
  • 90.
    Renal Cell CarcinomaRenalCell Carcinoma  PresentationPresentation  Incidental finding on imaging (‘incidentaloma”)Incidental finding on imaging (‘incidentaloma”)  HematuriaHematuria  Flank painFlank pain  Flank massFlank mass  Fever, nausea, anorexia, malaise, night sweats andFever, nausea, anorexia, malaise, night sweats and weight lossweight loss
  • 91.
    Renal Cell CarcinomaRenalCell Carcinoma  Large renal cell carcinoma (U/S)Large renal cell carcinoma (U/S)  For the workup in RCC, US is used primarily to differentiateFor the workup in RCC, US is used primarily to differentiate solid masses from simple cystssolid masses from simple cysts
  • 92.
    Renal Cell CarcinomaRenalCell Carcinoma  Large renal cell carcinoma (contrast enhanced CT)Large renal cell carcinoma (contrast enhanced CT)
  • 93.
    Renal Cell CarcinomaRenalCell Carcinoma  Small renal cell carcinoma (contrast enhanced CT)Small renal cell carcinoma (contrast enhanced CT)
  • 94.
    Renal Cell CarcinomaRenalCell Carcinoma  Limitations of imaging techniques (CT)Limitations of imaging techniques (CT)  Pseudoenhancement of masses smaller than 8-Pseudoenhancement of masses smaller than 8- 10mm may be a problem for CT10mm may be a problem for CT  U/S may help in characterizing some of these asU/S may help in characterizing some of these as cystscysts  If contrast cannot be given then CT is a poor choiceIf contrast cannot be given then CT is a poor choice so MRI may be more helpfulso MRI may be more helpful
  • 95.
    Renal Cell CarcinomaRenalCell Carcinoma  Limitations of imaging techniques (U/S)Limitations of imaging techniques (U/S)  Incomplete staging (bones, lungs and regional nodes)Incomplete staging (bones, lungs and regional nodes)  Difficult to detect small non-contour deformingDifficult to detect small non-contour deforming massesmasses  Large patients may not be good candidates for U/SLarge patients may not be good candidates for U/S because of technical difficulties in obtaining goodbecause of technical difficulties in obtaining good quality images of the kidneysquality images of the kidneys
  • 96.
    Renal Cell CarcinomaRenalCell Carcinoma  Limitations of imaging techniques (MRI)Limitations of imaging techniques (MRI)  Patient cooperation because MRI is more sensitivePatient cooperation because MRI is more sensitive to motion artifact than CTto motion artifact than CT  MRI is more expensive and less readily available thanMRI is more expensive and less readily available than CTCT  Patients with pacemakers, medical implants andPatients with pacemakers, medical implants and severe claustrophobia are excludedsevere claustrophobia are excluded  BenefitBenefit  No radiation exposureNo radiation exposure
  • 97.
    Renal Cell CarcinomaRenalCell Carcinoma  Differntial diagnosisDifferntial diagnosis  OncocytomaOncocytoma  Other problems to be consideredOther problems to be considered  AngiomyolipomaAngiomyolipoma  Collecting duct carcinomaCollecting duct carcinoma  Hemorrhagic cystHemorrhagic cyst  Infected cystInfected cyst  LymphomaLymphoma  Metastatic diseaseMetastatic disease  Renal abscessRenal abscess  Transitional cell carcinomaTransitional cell carcinoma
  • 98.
    Renal Cell CarcinomaRenalCell Carcinoma  Typical renal cell carcinoma. CT scan obtained before contrastTypical renal cell carcinoma. CT scan obtained before contrast enhancement has an attenuation measurement of 33.9 HUenhancement has an attenuation measurement of 33.9 HU
  • 99.
    Renal Cell CarcinomaRenalCell Carcinoma  Typical renal cell carcinoma. Contrast-enhanced CT scan has anTypical renal cell carcinoma. Contrast-enhanced CT scan has an attenuation measurement of 75.8 HUattenuation measurement of 75.8 HU
  • 100.
    Renal Cell CarcinomaRenalCell Carcinoma  Multifocal renal cell carcinoma in a patient with Von Hippel-Multifocal renal cell carcinoma in a patient with Von Hippel- Lindau disease. Contrast-enhanced CT scanLindau disease. Contrast-enhanced CT scan
  • 101.
    Renal Cell CarcinomaRenalCell Carcinoma  Multifocal renal cell carcinoma in a patient with Von Hippel Lindau disease.Multifocal renal cell carcinoma in a patient with Von Hippel Lindau disease. Patient had already undergone a right nephrectomy. Contrast-enhanced CT scanPatient had already undergone a right nephrectomy. Contrast-enhanced CT scan
  • 102.
    Renal Cell CarcinomaRenalCell Carcinoma  Multifocal renal cell carcinoma in patient presenting with palpableMultifocal renal cell carcinoma in patient presenting with palpable mass. Nonenhanced CT scanmass. Nonenhanced CT scan
  • 103.
    Renal Cell CarcinomaRenalCell Carcinoma  Cystic renal cell carcinoma. Nonenhanced CT scan with anCystic renal cell carcinoma. Nonenhanced CT scan with an attenuation measurement of 25.8 HUattenuation measurement of 25.8 HU
  • 104.
    Renal Cell CarcinomaRenalCell Carcinoma  Cystic renal cell carcinoma. Contrast-enhanced CT scan with anCystic renal cell carcinoma. Contrast-enhanced CT scan with an attenuation measurement of 47.1 HUattenuation measurement of 47.1 HU
  • 105.
    Renal Cell CarcinomaRenalCell Carcinoma  MRIMRI  Findings are similar to those of CTFindings are similar to those of CT  Numeric criteria for enhancement are not definedNumeric criteria for enhancement are not defined for MRI as they are for CT, but MRI signal intensityfor MRI as they are for CT, but MRI signal intensity changes can be measuredchanges can be measured
  • 106.
    Renal Cell CarcinomaRenalCell Carcinoma  Large right renal cell carcinoma with renal vein and inferior venaLarge right renal cell carcinoma with renal vein and inferior vena cava invasion. T1-weighted axial MRI before contrast enhancementcava invasion. T1-weighted axial MRI before contrast enhancement
  • 107.
    Renal Cell CarcinomaRenalCell Carcinoma  Large right renal cell carcinoma with renal vein and inferior venaLarge right renal cell carcinoma with renal vein and inferior vena cava invasion. T1-weighted contrast-enhanced axial MRIcava invasion. T1-weighted contrast-enhanced axial MRI
  • 108.
    Renal Cell CarcinomaRenalCell Carcinoma  T1-weighted imagesT1-weighted images  NonenhancedNonenhanced  RCC’s usually appear isointense or hypointense relative toRCC’s usually appear isointense or hypointense relative to the remainder of the kidneythe remainder of the kidney  With chemical shift imaging, some clear cell carcinomasWith chemical shift imaging, some clear cell carcinomas show focal or diffuse loss of signal intensityshow focal or diffuse loss of signal intensity
  • 109.
    Renal Cell CarcinomaRenalCell Carcinoma  Large right renal cell carcinoma with renal vein and inferior venaLarge right renal cell carcinoma with renal vein and inferior vena cava invasion. T2-weighted axial MRIcava invasion. T2-weighted axial MRI
  • 110.
    Renal Cell CarcinomaRenalCell Carcinoma  T2-weighted imagesT2-weighted images  RCC’s are usually hyperintense and most oftenRCC’s are usually hyperintense and most often heterogeneousheterogeneous
  • 111.
    Renal Cell CarcinomaRenalCell Carcinoma  MRIMRI  Necrosis or hemorrhage may alter signal intensityNecrosis or hemorrhage may alter signal intensity characteristicscharacteristics  Especially helpful in determining invasion into renalEspecially helpful in determining invasion into renal vein and IVCvein and IVC  The degree of confidence in the diagnosis of RCCThe degree of confidence in the diagnosis of RCC with MRI is similar to that of CTwith MRI is similar to that of CT  MRI has no advantage compared with contrast enhancedMRI has no advantage compared with contrast enhanced CT for the diagnosis of RCC but it is better for staging ofCT for the diagnosis of RCC but it is better for staging of locally advanced caseslocally advanced cases
  • 112.
    Renal Cell CarcinomaRenalCell Carcinoma  Renal BiopsyRenal Biopsy  Gaining popularityGaining popularity  Older literature of fine needle aspiration biopsies showedOlder literature of fine needle aspiration biopsies showed 40% malignancy, 24% benign and 36% indeterminate40% malignancy, 24% benign and 36% indeterminate  Recent literature of core biopsies shows 75% malignancy,Recent literature of core biopsies shows 75% malignancy, 20% benign and 5% indeterminate20% benign and 5% indeterminate  Renal biopsy may be most useful in patients with a priorRenal biopsy may be most useful in patients with a prior malignancy (? Mets), lymphoma or multiple masses (? Mets)malignancy (? Mets), lymphoma or multiple masses (? Mets)  ““If in doubt, cut it out!”If in doubt, cut it out!”
  • 113.
    Renal Cell CarcinomaRenalCell Carcinoma  ManagementManagement  Surgery – “A chance to cut is a chance to cure”Surgery – “A chance to cut is a chance to cure”  Unresectable RCC’s have a 5 year survival rate ofUnresectable RCC’s have a 5 year survival rate of <20%<20%  RCC’s are resistant to chemotherapy and radiationRCC’s are resistant to chemotherapy and radiation therapytherapy
  • 114.
    Renal Cell CarcinomaRenalCell Carcinoma  Surgical optionsSurgical options  Open radical nephrectomyOpen radical nephrectomy  Laparoscopic radical nephrectomyLaparoscopic radical nephrectomy  Open partial nephrectomyOpen partial nephrectomy  Laparoscopic partial nephrectomyLaparoscopic partial nephrectomy
  • 115.
  • 116.
    Renal Cell CarcinomaRenalCell Carcinoma  3D CT scan of a small RCC that is peripheral3D CT scan of a small RCC that is peripheral and exophytic which is ideal for nephron sparingand exophytic which is ideal for nephron sparing surgerysurgery
  • 117.
    Renal Cell CarcinomaRenalCell Carcinoma  3D CT scan showing a left lower pole RCC3D CT scan showing a left lower pole RCC extending into the renal hilumextending into the renal hilum
  • 118.
    Renal Cell CarcinomaRenalCell Carcinoma  3D CT scan obtained during the excretory phase in the3D CT scan obtained during the excretory phase in the coronal plane shows the mass abutting the inferior surfacecoronal plane shows the mass abutting the inferior surface of the renal pelvis and invades the lower pole calicesof the renal pelvis and invades the lower pole calices
  • 119.
    Renal Cell CarcinomaRenalCell Carcinoma  Recurrent renal cell carcinoma. Status post–right nephrectomy withRecurrent renal cell carcinoma. Status post–right nephrectomy with local recurrence (arrow) in nephrectomy bed. Contrast-enhanced CTlocal recurrence (arrow) in nephrectomy bed. Contrast-enhanced CT
  • 120.
    Renal Cell CarcinomaRenalCell Carcinoma  Minimally invasive image guided treatmentsMinimally invasive image guided treatments  Radiofrequency ablation (RFA)Radiofrequency ablation (RFA)  CryotherapyCryotherapy  Especially for patients with a high surgical risk,Especially for patients with a high surgical risk, aversion to surgery or bilateral lesionsaversion to surgery or bilateral lesions  Minimal morbidity but higher recurrence ratesMinimal morbidity but higher recurrence rates versus standard surgical excisionversus standard surgical excision
  • 121.
    Renal Cell CarcinomaRenalCell Carcinoma  Metastatic RCCMetastatic RCC  Role of radical nephrectomy in metastatic RCCRole of radical nephrectomy in metastatic RCC  Tyrosine kinase inhibitorsTyrosine kinase inhibitors  SorefanibSorefanib  SunitinibSunitinib  m-TOR inhibitorsm-TOR inhibitors  TemsirolimusTemsirolimus  EverolimusEverolimus
  • 122.
    Renal Cell CarcinomaRenalCell Carcinoma  Recurrent renal cell carcinoma. Status post left nephrectomy withRecurrent renal cell carcinoma. Status post left nephrectomy with metastatic disease to the contralateral adrenal glandmetastatic disease to the contralateral adrenal gland
  • 123.
    Renal Cell CarcinomaRenalCell Carcinoma  Recurrent renal cell carcinoma. Status post rightRecurrent renal cell carcinoma. Status post right nephrectomy with metastatic disease to the livernephrectomy with metastatic disease to the liver
  • 124.
    Renal Cell CarcinomaRenalCell Carcinoma  Questions?Questions?  Comments?Comments?
  • 127.
    APPROACH ADVANTAGES DISADVANTAGES FlankSubcostal • Useful for surgery on lower renal pole, ureteropelvic junction, and upper ureter, as well as simple nephrectomy. • Extraperitoneal approach prevents peritoneal contamination • Abdominal panniculus falls away from incision • Poor option in patients with significant scoliosis or who will not tolerate flank position. • Provides poor access to renal hilum and renal vasculature • Risks chronic flank pain and bulge Supracostal • Useful for modest-sized tumor and partial nephrectomy • Extraperitoneal, extrapleural approach • Good renal, suprarenal, and retroperitoneal exposure • Permits pivoting of the 11th or 12th rib on a single articulating • Poor option in patients with significant scoliosis or who will not tolerate flank position. • Risks chronic flank pain and bulge
  • 128.
    APPROACH ADVANTAGES DISADVANTAGES Thoracoabdominal• For large renal masses, esp upper pole • Right-sided tumors in which the liver and hepatic veins would reduce exposure • Renal tumors with venous extension and those involving adjacent structures as well as excision of suprarenal masses • Provides maximal suprarenal exposure • Permits synchronous biopsy or resection of pulmonary lesions • Longer operative time • Greater potential pulmonary morbidity • Damage to phrenic nerve
  • 129.
    APPROACH ADVANTAGES DISADVANTAGES AnteriorSubcostal (extraperitoneal or transperitoneal) Useful for open renal biopsy, nephrectomy and renovascular surgery Favorable approach for upper pole tumors and in patients with a wide subcostal angle Provides good access to the superior and lateral aspect of kidney; the transperitoneal approach permits good access to the renal hilum The extraperitoneal approach diminishes