Renal
Infectious/Inflammato
ry Disease
Jud Gash, MD
Outline









Pyelonephritis
Renal Abscess
Emphasematous Pyelonephritis
Pyonephrosis
Xanthogranulomatous Pyelonephritis
TB
Renal Malakoplakia
Other Infection
Pyelonephritis


Predisposition


Most cases similar to lower UTI causes (esp intercourse)






About 20-30:1 cystitis to PN

Female, reflux, obstruction, stones, diabetes, stasis
(congenital anomalies, diverticula), pregnancy

Clinical



Gram negatives (E coli, Proteus, Pseudomonas, etc.)
Flank pain and tenderness, fever, N/V, signs of cystitis
Pyelonephritis


Imaging



Usually not necessary (uncomplicated PN)
Reasons to image
Uncertain diagnosis
 Severe symptoms
 Atypical clinical situation




men, unresolving, children, diabetics

Role out obstruction
 Evaluate source in recurrent pyelonephritis





May see incidentally
Note: imaging of PN/UTI in children whole separate
topic
Pyelonephritis


Pathophysiology


Ascending Infection



Adhesions and
Endotoxins
Ureteropyelitis





Pyelonephritis





Thickened, enhancing
Urothelium
Ureteral “ileus”

Access/spread via
papilla
Wedge shaped and
patchy

Rarely hematogeneous



Staph
Bilateral
Ultrasound


Role
Detect Complications





Pyonephrosis; abscess

Predisposing factors
Scarring






Imaging
Normal (75%?)
Enlargement
Loss of corticomedullary
junction
Decreased Echogenecity




Hyperechoic (hemorrhage)




Focal or diffuse

Focal

Hypoechoic area on Power
Doppler
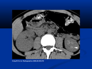
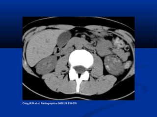
Severe unilateral acute bacterial pyelonephritis

Craig W D et al. Radiographics 2008;28:255-276
Craig W D et al. Radiographics 2008;28:255-276
Pyelonephritis

Radiographics. 2000;20:215-243

Craig W D et al. Radiographics 2008;28:255-276
Pyelonephritis


CT


Noncontrast


Normal

Nephromegaly
 Perinephric stranding
 Loss of hyperdense pyramids
 Hyperdensities (hemorrhage)
 Thickening of urothelium
 Mild ureteral dilation
Contrast
 Wedges of hypoattenuation (edema, obstruction, and vasospasm)
 Dense on delayed
 Striations (focal, diffuse)
May be abnormal for days or weeks
Role











Diagnosis/alternative diagnosis
Acute complications
Underlying predispositions (CTU)
ED – flank pain (no stone seen)
Pyelonephritis


DDX







PN
Recent stone passage
Non-stone obstruction (clot,
fungus ball, iodinovir)
Acute vascular lesion (RA, RV
occlusion)

So, non-contrast findings
nonspecific.



Clinical exam/UA/hydro should
allow distinction
Consider contrast if unclear

RadioGraphics 2004;24:S11-S28
Craig W D et al. Radiographics 2008;28:255-276
Craig W D et al. Radiographics 2008;28:255-276
Pyelonephritis

RadioGraphics 2004;24:S11-S28
Pyelonephritis

Kawashima A - Infect Dis Clin North Am - 01-JUN-2003
 Acute bacterial pyelonephritis caused by hematologic 
seeding in a patient with Staphylococcus aureus 
endocarditis

Craig W D et al. Radiographics 2008;28:255-276
Pyelonephritis – DDX (3 I’s)

Radiographics. 2000;20:215-243
Pyelonephritis


Focal Pyelonephritis
Replaces old terms (FLN,
ABN, etc.)
 May be pre-abscess state
 Now focal or diffuse
pyelonephritis
 Imaging




Focal mass-like lesion can
mimic tumor
Complications of Pyelonephritis


Acute


Abscess








Renal
Perinephric

Emphysematous PN
Pyonephrosis

Chronic




Scarring/Atrophy
XGP/malakoplakia
Papillary Necrosis
Abscess


Etiology
PN which proceeds to tissue necrosis and
liquefaction
 More likely with obstruction, diabetes (75% of all
abscesses), stone disease
 Normal kidneys or superinfect pre-existing lesions
(cysts, diverticula, RCC)
 Can spread to perinephric space

Abscess


Imaging


US




CT






Rounded, thick wall cystic
mass with debris
Rounded cystic lesion with
enhancing wall
Surrounding inflammatory
changes

Microabscesses


Small, often multiple areas
in the setting of PN
RadioGraphics 2004;24:S11-S28
Perinephric Abscess


Usually secondary
to pyonephrosis


Less commonly in
unobstructed PN
Kawashima A - Infect Dis Clin North Am - 01-JUN-2003
Emphysematous Pyelonephritis






Aggressive form of PN with necrosis, vascular
compromise and air production
Rare life threatening form urologic emergency
90% diabetics (poorly controlled)
Obstruction common (must exclude)
Adults




Rare, if ever, seen in pediatrics

Clinical presentation



Fever, flank pain, lethargy, renal failure, septic shock
Usually gram negatives, esp. E. Coli
Emphysematous Pyelonephritis


KUB




Gas collections
Renal Enlargement
Stones

Radiographics. 2002;22:543-561
Emphysematous Pyelonephritis
Emphysematous Pyelonephritis
Emphysematous Pyelonephritis
Emphysematous Pyelonephritis

Radiographics. 2002;22:543-561
Emphysematous Pyelonephritis


US
Hyperechoic dirty
shadowing
 DDX: nephrocalcinosis
and nephrolithiasis

Emphysematous Pyelonephritis

Radiographics. 2002;22:543-561
Emphysematous Pyelonephritis


CT
Parenchymal air – bubbles,
linear
 Severe inflammatory
changes
 Look for obstruction


Kawashima A - Infect Dis Clin North Am - 01-JUN-2003
Emphysematous Pyelonephritis


Treatment
Nephrectomy –
traditional gold
standard
 If more limited,
milder form –
percutaneous
drainage/relief of
obstruction and
antibiotics


Radiographics. 2002;22:543-561
Emphysemtous pyelitis






Gas in collecting
system
Same epidemiology
as EPN
Better prognosis


Relief of
obstruction/ABX
Emphysemtous pyelitis
Air In Collecting System




Emphysematous Pyelitis
Fistula
Iatrogenic

Radiology. 2001;218:647-650
Pyonephrosis



Obstructed, infected kidney
Cause of obstruction




Stones (rarely other: Conj UPJ, tumor)

Emergency
Urosepsis
 Renal destruction
 XGP (chronic)




Treatment


Drainage (perc neph/stent and antibiotics)
Pyonephrosis


US





Large, hypoechoic kidney
Hydronephrosis
Echogenic debris
Fluid – Fluid Level
Kawashima A - Infect Dis Clin North Am - 01-JUN-2003
Pyonephrosis – 4 cases
Pyonephrosis


CT




Findings of infection
Findings of obstruction
Hypedense/debris in collecting
system




Thick pelvic pelvic wall (2-5mm)






>30 hu (Note: 50%<15hu)
75% (Note: 10% of uninfected
obstruction)

Emphysematous pyelitis in 10%

Aspirate Urine
Chronic Pyelonephritis




Controversial
Pathophysiology
Findings
Renal Scarring
 Calyceal Clubbing
 At Renal Poles




DDX


Renal infarcts
Xanthogranulomatous Pyelonephritis
(XGP)




Disorder immune response in
setting of chronic infection, often
with obstruction and stones (ie
pyonephrosis)
Pathophysiology






Stone leads to obstruction
Caliectasis (peripelvic fibrosis limits
pelviectasis).
Infection leads to parenchymal
destruction and replacement with
lipid laden macrophages

Treatment


nephrectomy

Radiographics. 2000;20:215-243
Xanthogranulomatous Pyelonephritis
(XGP)


Key points


Middle age women with longstanding
infection/stones




DM in only 10%

Triad
Nonfunction
 Renal enlargement






Caliectasis with less pelviectasis, parenchymal loss

Stones (90%)


Staghorn, exploded
Xanthogranulomatous Pyelonephritis
(XGP)


KUB




“exploded” staghorn
with large renal
shadow

US
Caliectasis (massive)
with debris
 Stones


Kawashima A - Infect Dis Clin North Am - 01-JUN-2003
Xanthogranulomatous Pyelonephritis
(XGP)


CT



“Bear Claw”
Massive caliectasis (without
pelviectasis)





Not fluid though

Parenchyma enhances (not
function)
Stones

Kawashima A - Infect Dis Clin North Am - 01-JUN-2003
  Xanthogranulomatous pyelonephritis

Craig W D et al. Radiographics 2008;28:255-276

©2008 by Radiological Society of North America
Xanthogranulomatous Pyelonephritis
(XGP)

Radiographics. 2000;20:215-243
Radiographics. 2000;20:215-243
Xanthogranulomatous Pyelonephritis
(XGP)


Other Findings





Extrarenal Extension
Nodes
Fistula
Segmental
Tuberculosis


Pathophysiology








Renal cortical
deposition occurs in
primary infection
Reactivation (one
kidney) in medulla
Descending process
Destruction, fibrosis,
calcification,
obstruction

Dx


Culture (sterile pyuria)
Tuberculosis


KUB
Diffuse or scattered
renal calcifications
(25%)
 Often small renal
shadow
 “putty kidney”


Kawashima A - Infect Dis Clin North Am - 01-JUN-2003
Tuberculosis


CTU (IVP)


Renal









Ureter







Moth eaten, fuzzy calyx with
papillary necrosis
Infundibular, pelvic fibrosis (purse
string pelvis)
Calyceal/pelvic obstruction
(hydrocalyx, phantom calyx)
Renal nonfunction
(autonephrectomy), scarring
calcification (putty kidney)
Note: renal changes mimic TCC
Ulcerations and irregularity;
sawtooth (early)
Multiple strictures; corkscrew
(later)
Short, strait, aperistaltic (latest)
Calcifications (DDX:
schistosomiasis)

Bladder involvement is very late

AJR 2005; 184:143-150
Renal Parenchyma Malakoplakia
(RPM)



Inflammatory condition to chronic E. coli infection
Disordered macrophage response to bacterial
phagocytosis




Entire GU tract can be affected





histologic hallmark is basophilic inclusions (MichaelisGutmann bodies) within large eosinophilic macrophages (von
Hansemann histiocytes)
Most commonly urothelial plaques (bladder esp.)
RPM occurs uncommonly

Usually middle age women with h/o chronic infection


Flank pain, fever
Renal Parenchyma Malakoplakia
(RPM)


Findings:
Bilateralor unilateral
 Focal, multifocal or
diffuse
 infiltrating masses
 Renal pelvis
involvement may
occur
 Calcifications
uncommon


Radiographics. 2000;20:215-243.)
Fungal Disease





Usually immunocompromised
(DM, steroids, HIV, etc.)
Candida most common
Any portion of urinary tract
Imaging



Changes of PN, abscess
Fungus ball in collecting system


Non-stone (echogenic) filling
defect


DDX: sloughed papilla, tcc, clot

Kawashima A - Infect Dis Clin North Am - 01-JUN-2003
Outline









Pyelonephritis
Renal Abscess
Emphasematous Pyelonephritis
Pyonephrosis
Xanthogranulomatous Pyelonephritis
TB
Renal Malakoplakia
Other Infection

Renal inflammatory disease

Editor's Notes

  • #8 Figure 4a.  Severe unilateral acute bacterial pyelonephritis. (a) US image demonstrates a slightly enlarged right kidney that is otherwise unremarkable, belying the advanced disease. (b) CT scan shows the enlarged kidney with global decreased uptake of contrast material and multiple small low-attenuation foci from abscess pockets, findings that prompted nephrectomy. (c) Photograph of the resected gross specimen reveals multiple intrarenal abscesses that have begun to partially coalesce. Scale is in centimeters.
  • #9 Figure 3b.  Acute bacterial pyelonephritis. (a) US scan shows a wedge-shaped hyperechoic focus (arrowhead) in the upper pole of the right kidney related to acute bacterial pyelonephritis. (b) Color flow US image demonstrates diminished flow through the involved area.
  • #10 2 different cases of mass-like hyperechoic PN
  • #13 Stone
  • #14 Figure 7.  Acute bacterial pyelonephritis. (7) Unenhanced CT scan from a clinically documented case of acute bacterial pyelonephritis shows asymmetric enlargement and absence of the pyramids of the right kidney (cf the preserved pyramids [arrow] in the normal left kidney). Loss of the renal pyramids is a nonspecific marker for edema, which is more typically seen in obstruction related to calculi.
  • #15 Figure 8.  Acute bacterial pyelonephritis. (8) Unenhanced CT scan demonstrates multiple, scattered, round and oval hyperattenuation foci within the left kidney, findings indicative of hemorrhagic acute bacterial pyelonephritis.
  • #17 PN; right is 5 hours later.
  • #18 Figure 11.  Acute bacterial pyelonephritis caused by hematologic seeding in a patient with Staphylococcus aureus endocarditis. CT scan demonstrates peripheral low-attenuation lesions (arrowheads) that are maturing into small abscess cavities. In such cases, blood and urine cultures grow the same organism.
  • #19 left column: collecting duct carcinoma Middle column: top is urothelial carcinoma, bottom is lymphoma Right column: infarct following trauma
  • #23 US – immature abscess
  • #25 Emphysematous pyelonephritis represents a severe life-threatening infection of the renal parenchyma with gas-forming bacteria. Underlying poorly controlled diabetes mellitis is present in up to 90% of patients who develop emphysematous pyelonephritis. Urinary collecting system obstruction from pathologic conditions such as stone disease, urothelial neoplasm, or sloughed papilla (31) is also commonly present. Patients present clinically with varying degrees of renal failure, lethargy, acid-base irregularities, and hyperglycemia. Rapid progression to septic shock may be seen, and emphysematous pyelonephritis carries an overall mortality rate of approximately 50% (32). Flank pain and, rarely, crepitus over the lower back or thigh may be seen at physical examination (33). E coli is the causative bacterial source in approximately 70% of cases, with Klebsiella, Candida, and Pseudomonas species isolated less frequently
  • #26 Bilateral emphysematous pyelonephritis in a 72-year-old man who presented with fever, chills, and near syncope. Abdominal radiograph reveals extensive, radially oriented air within and surrounding the kidneys (black arrows). Air is also seen within the left renal collecting system (white arrows).
  • #30 Emphysematous pyelonephritis in a 45-year-old woman. (a) Abdominal radiograph obtained with the patient upright demonstrates a 2-cm calcification overlying the region of the left ureteropelvic junction (arrow) and several smaller calcifications overlying the lower pole. Note also the mottled collection of gas bubbles in the region of the left lower renal pole (arrowheads) and the large air-fluid level within the upper pole (*). (b) Contrast-enhanced excretory-phase CT scan obtained at the same level as a demonstrates enlargement of the left kidney with persistent parenchymal enhancement relative to the normal right kidney. Note the air-fluid and debris level (*) within the upper pole, a finding that corresponds to the radiographic finding. A large obstructing ureteral stone (arrow) and perinephric inflammatory changes are also present. (c) Photograph of the cut gross specimen reveals diffuse parenchymal necrosis.
  • #32 Emphysematous pyelonephritis in a 60-year-old diabetic man with several days’ history of nausea and general malaise. (a) Longitudinal US image of the left kidney demonstrates normal findings. (b) Longitudinal US image of the right kidney shows foci of high-amplitude echoes (long arrow) with associated posterior dirty shadowing (short arrow). (c) Corresponding contrast-enhanced CT scan obtained during the late excretory phase shows multiple parenchymal gas collections (arrows
  • #36 Left: 65-year-old woman with cirrhosis and portal hypertension in the right kidney Initial transverse postcontrast CT scan shows the gas-fluid level (arrow) inside the dilated calyx. (c) Transverse postcontrast CT scan obtained at a level similar to that in b 3 weeks after medical treatment shows the disappearance of both gas and dilatation of the calyces. Right: CT scans in a 72-year-old man with staghorn calculi in the left kidney
  • #38 H
  • #46 Figure 23a.  Xanthogranulomatous pyelonephritis. (a) Contrast-enhanced CT scan demonstrates bilateral staghorn calculi, with distention of the right collecting system secondary to inflammatory debris. (b) US scan also shows the dilated collecting system (arrowheads) and a shadowing calculus (arrow). (c) Photograph of a cut specimen clearly depicts a complex, milky infiltrate that fills and expands the collecting system.
  • #49 During primary infection, TB reaches both kidneys and forms microscopic granulomas in cortex where remains innocuous, potentially forever. However if reactivation occurs, usually in one kidney. Reactivation begins in medulla, where microabscesses form in the papilla; where they can then rupture into the calyces, spreading down the collecting system. Destruction, fibrosis, calcifications and obstruction are components of the process.
  • #53 49 yo female with flank pain and fever – bilateral malakoplakia
  • #54 2 cases of candida infection