06/25/13 School of Medicine/JUST
SamirSamir orabi MDorabi MD
RENAL TUMORSRENAL TUMORS
BenignBenign MalignantMalignant
Pelvi-calycealPelvi-calyceal T C papillomaT C papilloma T C CarcinomaT C Carcinoma
Sq C CarcinomaSq C Carcinoma
ParenchymalParenchymal Renal papillaryRenal papillary
AdenomaAdenoma
R C CR C C
WilmsWilms
Perirenal fat&Perirenal fat&
capsulecapsule
Lipoma - FibromaLipoma - Fibroma liposarcomaliposarcoma
Vessels & smoothVessels & smooth
msms
HemangiomaHemangioma
AngiomyolipomaAngiomyolipoma
OncocytomaOncocytoma
HemangiosarcomHemangiosarcom
aa
2ry tumor2ry tumor Any secon.Any secon.
06/25/13 School of Medicine/JUST
06/25/13 School of Medicine/JUST
Algorithm for radiographicAlgorithm for radiographic
evaluation ofevaluation of renal massrenal mass
 Several radiographic modalities are currently available forSeveral radiographic modalities are currently available for
detection and evaluation of renal massesdetection and evaluation of renal masses
 IVPIVP :: CCalcification within the mass, increased tissuealcification within the mass, increased tissue
density, irregularity of the margin, and distortion of thedensity, irregularity of the margin, and distortion of the
collecting systemcollecting system
((may miss small anterior or posterior lesions that do not distortmay miss small anterior or posterior lesions that do not distort
the collecting system or the contour of the kidney, may notthe collecting system or the contour of the kidney, may not
always distinguish solid from cystic lesionsalways distinguish solid from cystic lesions ))
 Detection by IVU is onlyDetection by IVU is only 2121% when the lesion is smaller than% when the lesion is smaller than
2 cm2 cm,,
 5252% when the lesion is% when the lesion is 2-32-3 cm,cm,
 andand 8585% when the lesion is% when the lesion is 3 cm3 cm or more in diameteror more in diameter
Algorithm for radiographic evaluation ofAlgorithm for radiographic evaluation of renal massrenal mass
 U/S:U/S: The initial imaging procedure of choiceThe initial imaging procedure of choice
 Reliable for differentiation ofReliable for differentiation of solidsolid tissue fromtissue from
fluidfluid (cyst) and can establish the diagnosis of a(cyst) and can establish the diagnosis of a
simple renal cystsimple renal cyst..
 It can also allow the diagnosis of anIt can also allow the diagnosis of an
angiomyolipomaangiomyolipoma by the characteristic increasedby the characteristic increased
echogenicity produced by high fat content.echogenicity produced by high fat content.
 Sonographic criteria forSonographic criteria for simple cystssimple cysts include:include: 1-1-
smooth cyst wall,smooth cyst wall, 2-2- round or oval shaperound or oval shape 3-3-
without internal echoes (clear fluid)without internal echoes (clear fluid) 4-4- NoNo
calcification nor septationcalcification nor septation
Renal mass
Renal cystRenal cyst
Algorithm for radiographicAlgorithm for radiographic
evaluation ofevaluation of renal massrenal mass
 If US equivocal, or suggestive of malignancyIf US equivocal, or suggestive of malignancy
solid or complexsolid or complex
with internal echoeswith internal echoes
and irregular wallsand irregular walls
if calcifications or septae are seenif calcifications or septae are seen
========Then proceed to CT========Then proceed to CT
Algorithm for radiographic evaluation ofAlgorithm for radiographic evaluation of renal massrenal mass
 AA renal CTrenal CT scan remains the single mostscan remains the single most
important radiographic test for delineating theimportant radiographic test for delineating the
nature of a renal massnature of a renal mass..
 In general, any renal mass that enhances withIn general, any renal mass that enhances with
intravenous administration of contrast materialintravenous administration of contrast material
on CT scanning by more than 15 Hounsfield unitson CT scanning by more than 15 Hounsfield units
((HUHU)) should be considered a renal cell carcinomashould be considered a renal cell carcinoma
((RCCRCC)) until proved otherwiseuntil proved otherwise
 In approximately 10% of solid renal masses, CTIn approximately 10% of solid renal masses, CT
findings are indeterminate, and additional testing orfindings are indeterminate, and additional testing or
surgical exploration is needed to establish a definitivesurgical exploration is needed to establish a definitive
CT scan withoutCT scan without
administration ofadministration of
contrast materialcontrast material
After administration
of the contrast agent
Renal Cell CarcinomaRenal Cell Carcinoma
before contrastbefore contrast
Contrast-enhanced dedicated renalContrast-enhanced dedicated renal
CT scanCT scan

CT scan obtained
Renal Cell CarcinomaRenal Cell Carcinoma
 3D CT scan of a small RCC that is peripheral3D CT scan of a small RCC that is peripheral
and exophytic which is ideal for nephron sparingand exophytic which is ideal for nephron sparing
surgerysurgery
Renal Cell CarcinomaRenal Cell Carcinoma
Algorithm for radiographicAlgorithm for radiographic
evaluation ofevaluation of renal massrenal mass
 MRIMRI : is reserved for >>: is reserved for >>
contrast hypersensitive patientscontrast hypersensitive patients
high serum creatininehigh serum creatinine
Vascular invasion, IVC thrombiVascular invasion, IVC thrombi
Algorithm for radiographicAlgorithm for radiographic
evaluation ofevaluation of renal massrenal mass
 FineFine--needle aspirationneedle aspiration or biopsy hasor biopsy has
traditionally been of limited value intraditionally been of limited value in
the evaluation of renal massesthe evaluation of renal masses
 The primary indications for needleThe primary indications for needle
aspiration or biopsy of a renal mass areaspiration or biopsy of a renal mass are
when a renalwhen a renal abscess or infected cystabscess or infected cyst isis
suspected and when RCC must besuspected and when RCC must be
differentiated fromdifferentiated from metastaticmetastatic
malignant disease ormalignant disease or renal lymphomarenal lymphoma
Algorithm for radiographicAlgorithm for radiographic
evaluation ofevaluation of renal massrenal mass
Metastatic workupMetastatic workup
routine chest radiographroutine chest radiograph
liver function testsliver function tests
bone scanbone scan
C T chestC T chest
RevisionRevision
 What are the indications for MRI in RCC?What are the indications for MRI in RCC?
 •• possible venous involvementpossible venous involvement
 •• renal insufficiencyrenal insufficiency
 •• allergy to IV contrastallergy to IV contrast
 What are the features suggestive ofWhat are the features suggestive of
malignancy on IVP?malignancy on IVP?
 •• calcification w/i the masscalcification w/i the mass
 •• increased tissue densityincreased tissue density
 •• irregular marginirregular margin
 •• invasion of the collecting systeminvasion of the collecting system
BENIGN RENAL TUMORSBENIGN RENAL TUMORS
 Arise from cortical tissue (e.g.,Arise from cortical tissue (e.g., adenoma,adenoma,
oncocytomaoncocytoma) or from the various) or from the various
mesenchymal derivatives within themesenchymal derivatives within the
parenchyma or capsule of the kidneyparenchyma or capsule of the kidney
(Angiomyolipoma).(Angiomyolipoma).
 Differentiation from malignantDifferentiation from malignant
renal masses by radiographic orrenal masses by radiographic or
clinical means can be challenging.clinical means can be challenging.
06/25/13
BENIGN RENAL TUMORSBENIGN RENAL TUMORS
 Renal papillary AdenomaRenal papillary Adenoma : epithelial lesions: epithelial lesions
with a tubulowith a tubulo--papillary architecturepapillary architecture ..UsuallyUsually
measuring less than 0.5cmmeasuring less than 0.5cm
 The “3-cm rule”The “3-cm rule”
 Renal exploration and wedge resectionRenal exploration and wedge resection oror
other ablative therapies should be stronglyother ablative therapies should be strongly
considered for all such clinically evidentconsidered for all such clinically evident
lesions, with appropriate consideration oflesions, with appropriate consideration of
the patient's age, comorbidities, and otherthe patient's age, comorbidities, and other
relevant factors.relevant factors.
BENIGN RENAL TUMORSBENIGN RENAL TUMORS
 OncocytomaOncocytoma:: epithelialepithelial tumor composedtumor composed
of oncocytes, largeof oncocytes, large eosinophiliceosinophilic cells havingcells having
small, round, benign-appearingsmall, round, benign-appearing nucleinuclei withwith
largelarge nucleolinucleoli..
 Arise from the intercalated cells ofArise from the intercalated cells of
collecting ductscollecting ducts of the kidneyof the kidney
 UnfortunatelyUnfortunately, most renal oncocytomas, most renal oncocytomas
cannot be differentiated from malignantcannot be differentiated from malignant
RCC by clinical or radiographic meansRCC by clinical or radiographic means
BENIGN RENAL TUMORSBENIGN RENAL TUMORS
 AngiomyolipomaAngiomyolipoma :: benign tumorbenign tumor consisting ofconsisting of
varying amounts of maturevarying amounts of mature adipose tissueadipose tissue,,
smooth muscle, andsmooth muscle, and thickthick--walled vesselswalled vessels
 Approximately 20% to 30% of AMLs are found inApproximately 20% to 30% of AMLs are found in
patients withpatients with tuberous sclerosistuberous sclerosis syndromesyndrome ((TSTS)),,
an autosomal dominant disorder characterized byan autosomal dominant disorder characterized by
mental retardation, epilepsy, and adenomamental retardation, epilepsy, and adenoma
sebaceumsebaceum
 Middle aged femaleMiddle aged female
 C/PC/P : Asymptomatic or: Asymptomatic or ( loin pain , hematuria,( loin pain , hematuria,
palpable mass, and hypovolemic shock)palpable mass, and hypovolemic shock)
BENIGN RENAL TUMORSBENIGN RENAL TUMORS
 Angiomyolipoma:Angiomyolipoma: Diagnosed byDiagnosed by TheThe
presence of even a small amount of fatpresence of even a small amount of fat
within a renal lesion on CT scan (confirmedwithin a renal lesion on CT scan (confirmed
by a value of -20 HU or lower) virtuallyby a value of -20 HU or lower) virtually
excludes the diagnosis of RCC and isexcludes the diagnosis of RCC and is
considered diagnostic of AMLconsidered diagnostic of AML
 ManagementManagement ::
 1- Asymptomatic, smaller AMLs, less than 41- Asymptomatic, smaller AMLs, less than 4
cm, can be observed expectantlycm, can be observed expectantly
 2- Intervention should be considered for2- Intervention should be considered for
larger tumors, particularly if the patient islarger tumors, particularly if the patient is
symptomaticsymptomatic
Renal Cell CarcinomaRenal Cell Carcinoma
 DefinitionDefinition :: Malignant tumor of renalMalignant tumor of renal
parenchymaparenchyma
 TerminologyTerminology : renal cell carcinoma ,: renal cell carcinoma ,
hypernephroma , grawitz tumor , renalhypernephroma , grawitz tumor , renal
adenocarcinomaadenocarcinoma
 OriginOrigin : The epithelial lining of the: The epithelial lining of the
proximal convoluted tubuleproximal convoluted tubule
 Age:Age: 55thth
– 6– 6thth
decadedecade
 SexSex :: M to FM to F 2:12:1
Renal Cell CarcinomaRenal Cell Carcinoma
 Risk factorsRisk factors:: The only generally acceptedThe only generally accepted
environmental risk factor for RCC is tobaccoenvironmental risk factor for RCC is tobacco
exposureexposure , Others : obesity , hypertension ,, Others : obesity , hypertension ,
heavy metalsheavy metals
 GeneticsGenetics :: Von Hippel LindauVon Hippel Lindau syndrome,syndrome,
affecting 50% of individual with this ADaffecting 50% of individual with this AD
syndrome, ch ch by , renal & pancreatic cyst,syndrome, ch ch by , renal & pancreatic cyst,
phaeochromocytoma, cerebellarphaeochromocytoma, cerebellar
hemangioblastoma , often bilaterallyhemangioblastoma , often bilaterally

Renal Cell CarcinomaRenal Cell Carcinoma
 HistopathologyHistopathology ::
1.1. ConventionalConventional ((70%–80%70%–80%)) (clear cell,(clear cell,
granular, mixes)granular, mixes)
2.2. Chromophilic (10%–15%)Chromophilic (10%–15%)
3.3. Chromophobic (3%–5%)Chromophobic (3%–5%)
4.4. Collecting ductCollecting duct ((1%1%))
5.5. UnclassifiedUnclassified ((1%1%))
Renal Cell CarcinomaRenal Cell Carcinoma
 C/PC/P ::
1.1. AsymptomaticAsymptomatic
2.2. HematuriaHematuria
3.3. Loin painLoin pain
4.4. Palpable swellingPalpable swelling
5.5. Symptoms of metastasisSymptoms of metastasis
6.6. Paraneoplastic syndromeParaneoplastic syndrome
Classic
triad
Less than
10-15%
RENAL CELL CARCINOMARENAL CELL CARCINOMA
INVESTIGATIONS ;INVESTIGATIONS ;
*Laboratory studies in the evaluation of renal cell carcinoma*Laboratory studies in the evaluation of renal cell carcinoma
should include a workup for paraneoplastic syndromes. Initialshould include a workup for paraneoplastic syndromes. Initial
studies are as follows:studies are as follows:
-Urine analysis-Urine analysis
-CBC count with differential-CBC count with differential
-Electrolytes-Electrolytes
-Renal profile-Renal profile
*Liver function tests (AST and ALT)*Liver function tests (AST and ALT)
*Calcium*Calcium
*Erythrocyte sedimentation rate*Erythrocyte sedimentation rate
*Prothrombin time*Prothrombin time
*Activated partial thromboplastin time*Activated partial thromboplastin time
*Other tests indicated by presenting symptoms*Other tests indicated by presenting symptoms
Renal Cell Carcinoma:Renal Cell Carcinoma:
Renal Cell CarcinomaRenal Cell Carcinoma
Paraneoplastic syndromeParaneoplastic syndrome
 found infound in 20%20% of patients with RCCof patients with RCC
 Due to ectopic hormone secretion by the tumorDue to ectopic hormone secretion by the tumor
 Not related to the stageNot related to the stage
 In general, treatment of paraneoplasticIn general, treatment of paraneoplastic
syndromes associated with RCC has requiredsyndromes associated with RCC has required
nephrectomy or systemic immunotherapy, andnephrectomy or systemic immunotherapy, and
except for hypercalcemia, medical therapiesexcept for hypercalcemia, medical therapies
have not proved helpfulhave not proved helpful
Renal Cell CarcinomaRenal Cell Carcinoma
Paraneoplastic syndromeParaneoplastic syndrome
 Elevated erythrocyte sedimentation rateElevated erythrocyte sedimentation rate
55.655.6
 Hypertension 37.5Hypertension 37.5
 Anemia 36.3Anemia 36.3
 Abnormal liver function 14.4Abnormal liver function 14.4
 Hypercalcemia 4.9Hypercalcemia 4.9
 PolycythemiaPolycythemia 3.53.5
 Hypoglycemia & CushingHypoglycemia & Cushing
 Stauffer’s syndromeStauffer’s syndrome is a reversible syndromeis a reversible syndrome
of hepatic dysfunction in the absence of hepaticof hepatic dysfunction in the absence of hepatic
metastases associated with RCC and can occurmetastases associated with RCC and can occur
in up to 20% of patients.in up to 20% of patients.
 Hepatic function abnormalities include elevationHepatic function abnormalities include elevation
of alkaline phosphatase and bilirubin,of alkaline phosphatase and bilirubin,
hypoalbuminemia, prolonged prothrombin time,hypoalbuminemia, prolonged prothrombin time,
and hypergammaglobulinemia.and hypergammaglobulinemia.
Renal Cell Carcinoma:Renal Cell Carcinoma:
Renal Cell CarcinomaRenal Cell Carcinoma
mode of disseminationmode of dissemination
 Direct extensionDirect extension
 VascularVascular
 LymphaticLymphatic
 Lungs, lymph nodes, liver,Lungs, lymph nodes, liver, bonebone brain,brain,
skinskin etc.etc.
06/25/13 School of Medicine/JUST
StagingStaging
StagingStaging
Staging and PrognosisStaging and Prognosis
Cohen HT, McGovern FJ. NEJM. 2005;353:2477.Cohen HT, McGovern FJ. NEJM. 2005;353:2477.
Renal Cell CarcinomaRenal Cell Carcinoma
Renal Cell CarcinomaRenal Cell Carcinoma
ManagementManagement
RCCRCC is chemo-resistant & radio-is chemo-resistant & radio-
resistantresistant
Obstacles Towards TreatmentObstacles Towards Treatment
 RCC is historically resistant to many types of treatmentRCC is historically resistant to many types of treatment
 Chemotherapy (MDR-1)Chemotherapy (MDR-1)
 RadiationRadiation
 Very aggressive in nature (TGF alpha and EGFR)Very aggressive in nature (TGF alpha and EGFR)
 Highly vascular (VEGF secondary to loss of vHL)Highly vascular (VEGF secondary to loss of vHL)
 Expresses tumor-associated antigens (PRAME, RAGE-Expresses tumor-associated antigens (PRAME, RAGE-
1, gp75, and MN-9) which contributes to its1, gp75, and MN-9) which contributes to its
immunogenicityimmunogenicity
Tx of Localized RCCTx of Localized RCC
 Radical nephrectomyRadical nephrectomy
 Nephron-sparing surgery (NSS)Nephron-sparing surgery (NSS)
 NSS with normal opposite kidneyNSS with normal opposite kidney
 NSS with vHL diseaseNSS with vHL disease
 Thermal ablative therapiesThermal ablative therapies
 ObservationObservation
Radical nephrectomyRadical nephrectomy
 Robson and colleagues “gold standard”Robson and colleagues “gold standard”
19691969
 Prototype – A then B, Gerota’s intact, ipsiPrototype – A then B, Gerota’s intact, ipsi
adrenal, LND (crus to aortic bifurcation)adrenal, LND (crus to aortic bifurcation)
 Now – no adrenal if no radiolgicalNow – no adrenal if no radiolgical
evidence unless : extensive renalevidence unless : extensive renal
involvement, locally advanced, locatedinvolvement, locally advanced, located
upper pole, immediately adjacent to adrenalupper pole, immediately adjacent to adrenal
 Today – LND = controversialToday – LND = controversial
 Heme & Lymph spreadHeme & Lymph spread
 Lymphatic drainage variableLymphatic drainage variable
 <2-3% benefit<2-3% benefit
 However, more accurate stagingHowever, more accurate staging
 Risk factors indicating LNDRisk factors indicating LND
 High tumor gradeHigh tumor grade
 Sarcomatoid componentSarcomatoid component
 Histologic tumor necrosisHistologic tumor necrosis
 Large size (> 10 cm)Large size (> 10 cm)
 pT3 or pT4pT3 or pT4
 *incidence 10% with 2 or >, 0.6% if <*incidence 10% with 2 or >, 0.6% if <
 Surgical approach determined by size,Surgical approach determined by size,
location of tumor and body habituslocation of tumor and body habitus
 TransperitonealTransperitoneal
 SubcostalSubcostal
 thoracoabdominalthoracoabdominal
 ExtraperitonealExtraperitoneal
 FlankFlank
 Laparoscopic (trans, retro, hand-assist)Laparoscopic (trans, retro, hand-assist)
 LaparoscopicLaparoscopic
 Cancer specific survival comparable to openCancer specific survival comparable to open
 Usually < 8-10cm; localized with no local invasion,Usually < 8-10cm; localized with no local invasion,
renal vein involvement, or lymphadenopathyrenal vein involvement, or lymphadenopathy
Postoperative Surveillance after RadicalPostoperative Surveillance after Radical
Nephrectomy for Localized Renal Cell CarcinomaNephrectomy for Localized Renal Cell Carcinoma
PathologicPathologic
TumorTumor
StageStage
History,History,
Examination,Examination,
and Bloodand Blood
TestsTests
ChestChest
RadiographRadiograph
AbdominalAbdominal
CT ScanCT Scan
T1 N0 M0T1 N0 M0 YearlyYearly —— ——
T2 N0 M0T2 N0 M0 YearlyYearly YearlyYearly Every 2 yearsEvery 2 years
T3a-c N0 M0T3a-c N0 M0 Every 6Every 6
months for 3months for 3
years, thenyears, then
yearlyyearly
Every 6Every 6
months for 3months for 3
years, thenyears, then
yearlyyearly
At 1 year, thenAt 1 year, then
every 2 yearsevery 2 years
Nephron-Sparing SurgeryNephron-Sparing Surgery
 Czerny 1890Czerny 1890
 Vermooten 1950 – NSSVermooten 1950 – NSS
 Indications include situations where ptIndications include situations where pt
would be anephric or high risk of needingwould be anephric or high risk of needing
HDHD
 Solitary kidney RCCSolitary kidney RCC
 Bilateral RCCBilateral RCC
 Contralateral disease (Hydro, chronic pyelo,Contralateral disease (Hydro, chronic pyelo,
reflux, stones, DM, nephrosclerosis)reflux, stones, DM, nephrosclerosis)
Indications for NSSIndications for NSS
 Absolute:Absolute: Anatomical/ functional solitaryAnatomical/ functional solitary
kidneykidney
 Relative:Relative: Functioning opposite kidney isFunctioning opposite kidney is
affected by a condition that mayaffected by a condition that may
impair renal function in futureimpair renal function in future
 Elective:Elective: Localized unilateral RCC with aLocalized unilateral RCC with a
healthy contralateral kidneyhealthy contralateral kidney
 A functional remnant of at least 20% ofA functional remnant of at least 20% of
one normal kidney is necessary to avoidone normal kidney is necessary to avoid
end-stage renal failureend-stage renal failure
 IF solitary kidney, > 50% reduction inIF solitary kidney, > 50% reduction in
renal mass = incr risk of hyperfiltrationrenal mass = incr risk of hyperfiltration
renal injury (proteinuria, focal segmentalrenal injury (proteinuria, focal segmental
glomerulosclerosis, progressive renalglomerulosclerosis, progressive renal
failure)failure)
 Prevention: Protein restriction & ACEIPrevention: Protein restriction & ACEI
 Preoperative testingPreoperative testing
 r/o local extension, mets, vascular/collecting systemr/o local extension, mets, vascular/collecting system
relationshiprelationship
 Renal angio, veno, 3DCT or MRIRenal angio, veno, 3DCT or MRI
 Cancer-specific survival rates 78-100%Cancer-specific survival rates 78-100%
 Recurrence – undetected dz in remnantRecurrence – undetected dz in remnant
 Complications – majority hemorrhagicComplications – majority hemorrhagic
NSS SurveillanceNSS Surveillance
StageStage H/E/labsH/E/labs CXRCXR CTa/pCTa/p
 T1NOMOT1NOMO yearlyyearly -------- --------
 T2NOMOT2NOMO yearlyyearly yearlyyearly q 2 yrsq 2 yrs
 T3NOMOT3NOMO q 6m x 3 yr - yrq 6m x 3 yr - yr samesame q6m x3y –q2yrq6m x3y –q2yr
Thermal ablativeThermal ablative
 Both perc or lap approachBoth perc or lap approach
 Lack of histo/path stagingLack of histo/path staging
 ? High recurrence rate? High recurrence rate
 Ideal – advanced age, comorbidities, localIdeal – advanced age, comorbidities, local
recurrance, hereditary renal cancerrecurrance, hereditary renal cancer
 CryosurgeryCryosurgery
 Repetition of freeze-thaw cycle (-20C)Repetition of freeze-thaw cycle (-20C)
 Immediate cellular cryodestruction andImmediate cellular cryodestruction and
delayed microcirculatory failure.delayed microcirculatory failure.
 Radiofrequency ablationRadiofrequency ablation
 45C irreversible cell damage45C irreversible cell damage
 55-60C immediate cell death55-60C immediate cell death
 Thermal Ablative PearlsThermal Ablative Pearls
 In general, enhancement within the tumor bed onIn general, enhancement within the tumor bed on
extended follow-up has been considered diagnosticextended follow-up has been considered diagnostic
of local recurrence, and the clinical experience thusof local recurrence, and the clinical experience thus
far has supported thisfar has supported this
ObservationObservation
 Median growth rate 0.36 cm/yrMedian growth rate 0.36 cm/yr
 Alternative for asymptomatic elderly andAlternative for asymptomatic elderly and
poor surgical risk, consider withpoor surgical risk, consider with
solid/small/enhancing/well-solid/small/enhancing/well-
marginated/homogeneousmarginated/homogeneous
 Serial imaging 6mo or 1yr intervalsSerial imaging 6mo or 1yr intervals
 Not appropriate: >3cm, poor margins,Not appropriate: >3cm, poor margins,
nonhomogeneous, young healthy with abnnonhomogeneous, young healthy with abn
imagingimaging
Renal Cell CarcinomaRenal Cell Carcinoma
StageStage SurgerySurgery
T 1T 1 Nephron – sparing surgeryNephron – sparing surgery openopen
laparoscopiclaparoscopic
Radical nephrectomyRadical nephrectomy laparoscopiclaparoscopic
openopen
T 2T 2 Radical nephrectomyRadical nephrectomy laparoscopiclaparoscopic
openopen
Nephron – sparing surgeryNephron – sparing surgery
T3 &T3 &
T4T4
Radical nephrectomyRadical nephrectomy openopen
Tx of Locally AdvancedTx of Locally Advanced RCCRCC
 IVC involvementIVC involvement
 Locally invasive RCCLocally invasive RCC
 Local recurrence after RN or NSSLocal recurrence after RN or NSS
 Adjuvant therapy for RCCAdjuvant therapy for RCC
IVC InvolvementIVC Involvement
 Unique feature of RCCUnique feature of RCC
 45-70% of RCC with IVC thrombus cured45-70% of RCC with IVC thrombus cured
 Local extension/invasion much higher risk ofLocal extension/invasion much higher risk of
recurrencerecurrence
 Occurs 4-10% of patientsOccurs 4-10% of patients
 Suspect with : LE edema, R varicocele,Suspect with : LE edema, R varicocele,
distended abd veins, proteinuria, PE, Rdistended abd veins, proteinuria, PE, R
atrial mass, nonfxn kidneyatrial mass, nonfxn kidney
 IVC Thrombus stagingIVC Thrombus staging
 I – adjacent to ostium of renal veinI – adjacent to ostium of renal vein
 II – extends up to liverII – extends up to liver
 III – intrahepatic portion of IVC belowIII – intrahepatic portion of IVC below
diaphragmdiaphragm
 IV – above the diaphragmIV – above the diaphragm
 ImagingImaging
 CT & AUSCT & AUS
 Contrast inferior venacavography – if probContrast inferior venacavography – if prob
with MRIwith MRI
 MRI – study of choiceMRI – study of choice
 ? Renal arteriography? Renal arteriography
ImagingImaging (contd)(contd)
 Investigate locally advanced malignancy,Investigate locally advanced malignancy,
and specially forand specially for classification of Venaclassification of Vena
caval thrombus:caval thrombus:
 Peri-renalPeri-renal
 Infra-hepaticInfra-hepatic
 Intra-hepaticIntra-hepatic
 Supra-hepaticSupra-hepatic
 Locally Invasive RCCLocally Invasive RCC
 Present with pain from invasion of posteriorPresent with pain from invasion of posterior
abd wall, nerve roots or paraspinous musclesabd wall, nerve roots or paraspinous muscles
 Duodenal & pancreas uncommonDuodenal & pancreas uncommon
 En bloc may be beneficialEn bloc may be beneficial
 Partial / debulking – only 12% alive in 1 yrPartial / debulking – only 12% alive in 1 yr
 Preoperative rad – not beneficial (van derPreoperative rad – not beneficial (van der
Werf-Messing 1973)Werf-Messing 1973)
 Residual tumor, rad may retard growth (Kao etResidual tumor, rad may retard growth (Kao et
al 1994)al 1994)
Adjuvant Therapy for RCCAdjuvant Therapy for RCC
 Include hormonal manipulation,Include hormonal manipulation,
radiotherapy, vaccines, cytokines, etc…radiotherapy, vaccines, cytokines, etc…
 Most studies to date – not significantMost studies to date – not significant
 Vaccine – irradiated tumor cells/BCG, heatVaccine – irradiated tumor cells/BCG, heat
shock proteins (HSPPC) = no provenshock proteins (HSPPC) = no proven
benefitbenefit
 Interferon alfa – modest survival benefitInterferon alfa – modest survival benefit
 IL-2 – no benefitIL-2 – no benefit
Tx of Metastatic RCCTx of Metastatic RCC
 NephrectomyNephrectomy
 Hormonal therapyHormonal therapy
 ChemotherapyChemotherapy
 Radiation therapyRadiation therapy
 Cytokines and Immunologic therapyCytokines and Immunologic therapy
 Multimodal therapyMultimodal therapy
NephrectomyNephrectomy
 1/31/3rdrd
of RCC have metsof RCC have mets
 40-50% will develop mets after initial dx40-50% will develop mets after initial dx
 Regression of mets after RN – 1-2% (lung)Regression of mets after RN – 1-2% (lung)
 Benefit for synchronous mets withBenefit for synchronous mets with
interferon alfa after RNinterferon alfa after RN
 Individuals with: adv dz (PS > 2), mets (CNS,Individuals with: adv dz (PS > 2), mets (CNS,
SC compression), MOD, significantSC compression), MOD, significant
comorbidities – not candidatecomorbidities – not candidate
Hormone TherapyHormone Therapy
 Minimal valueMinimal value
 Progesterone – inhibit growth of DES-induced renalProgesterone – inhibit growth of DES-induced renal
tumors in Syrian hamsterstumors in Syrian hamsters
 No correlation with human RCCNo correlation with human RCC
 Progestational agents = useful for symptomProgestational agents = useful for symptom
palliationpalliation
RevisionRevision
Why were RCCs originally called hypernephromas?Why were RCCs originally called hypernephromas?
idea of suprarenal origin of renal tumoursidea of suprarenal origin of renal tumours
 What is the role of FNA in evaluation of renalWhat is the role of FNA in evaluation of renal
masses?masses?
 •• limited valuelimited value
 →→ high incidence of false negative biopsieshigh incidence of false negative biopsies
 •• IndicationsIndications
 →→ renal abscess or infected cyst suspectedrenal abscess or infected cyst suspected
 →→ RCC must be differentiated from met orRCC must be differentiated from met or
lymphoma
RevisionRevision
 What is the treatment for renal adenomas?What is the treatment for renal adenomas?
 •• consider all to be malignantconsider all to be malignant
 →→ consider wedge resection, other ablativeconsider wedge resection, other ablative
therapiestherapies
 Which patient groups are at increased riskWhich patient groups are at increased risk
of developing AML?of developing AML?
 •• tuberous sclerosis  20% of all AMLstuberous sclerosis  20% of all AMLs
 •• female predominancefemale predominance
RevisionRevision
 Describe the clinical presentation of RCCDescribe the clinical presentation of RCC..
 •• asymptomatic and nonpalpable until advancedasymptomatic and nonpalpable until advanced
 →→ >50% of RCCs now detected incidentally>50% of RCCs now detected incidentally
 •• hemorrhage, paraneoplastic syndromes, or metshemorrhage, paraneoplastic syndromes, or mets
 •• classic triad: flank pain, gross hematuria, andclassic triad: flank pain, gross hematuria, and
palpable abdominal mass  rarely foundpalpable abdominal mass  rarely found
 •• indicators of advanced diseaseindicators of advanced disease
 →→ constitutional sy: wt loss, fever, NS, bone pain,constitutional sy: wt loss, fever, NS, bone pain,
persistent coughpersistent cough
 →→ paraneoplastic syndromesparaneoplastic syndromes
Wilms tumorWilms tumor
NephroblastomaNephroblastoma
NEPHROBLASTOMANEPHROBLASTOMA
((Wilms’ tumour )Wilms’ tumour )
 Embryonal tumour arising fromEmbryonal tumour arising from
nephrogenic blastemal cellsnephrogenic blastemal cells
 can differentiate in to several cell lines -can differentiate in to several cell lines -
blastemal, epithelial and stromalblastemal, epithelial and stromal
 many replicate developing kidneysmany replicate developing kidneys
 Common in young children /Common in young children /
uncommon in neonates and infantsuncommon in neonates and infants
 90% in < 6yrs. old ( mean: 3yrs. in boys90% in < 6yrs. old ( mean: 3yrs. in boys
and 3.5yrs. in girlsand 3.5yrs. in girls ))
NEPHROBLASTOMANEPHROBLASTOMA
Etiology and cytogeneticsEtiology and cytogenetics
 Generally unknownGenerally unknown
 World wide i.e. … No environmental factorsWorld wide i.e. … No environmental factors
 Present in many syndromes :Present in many syndromes :
1-WAGR syndrome1-WAGR syndrome (Wilms, aniridia,(Wilms, aniridia,
genitourinary abnormalities, mental retardationgenitourinary abnormalities, mental retardation))
2-2-Beckwith-WiedemannBeckwith-Wiedemann syndrome (exomphalos-syndrome (exomphalos-
macroglossia-gigantismmacroglossia-gigantism ))
3-Denys-Drash syndrome3-Denys-Drash syndrome ((Gonadal dysgenesis,Gonadal dysgenesis,
nephropathy)nephropathy)
 The most common presentation ofThe most common presentation of
Wilms tumor is the presence of anWilms tumor is the presence of an
asymptomatic abdominal mass.asymptomatic abdominal mass.
 HypertensionHypertension,, gross hematuriagross hematuria, and, and
fever are observed in 5-30% of patients.fever are observed in 5-30% of patients.
 A small number of patients who haveA small number of patients who have
hemorrhaged into their tumor mayhemorrhaged into their tumor may
present with signs ofpresent with signs of hypotension,hypotension,
anemiaanemia, and fever., and fever.
 Rarely, patients with advanced-stageRarely, patients with advanced-stage
disease may present withdisease may present with respiratoryrespiratory
symptomssymptoms related to the presence ofrelated to the presence of
lung metastases.lung metastases.
NEPHROBLASTO
MA
NEPHROBLASTOMANEPHROBLASTOMA
Pathologic findingsPathologic findings (gross)(gross)
 Usually solitary, sharply (well)Usually solitary, sharply (well)
defined masses with pseudocapsuledefined masses with pseudocapsule
 Variable size & weight (60-6350 gms.Variable size & weight (60-6350 gms.
with a mean of 550 gms.)with a mean of 550 gms.)
 Uniform, pale gray to tan, divided byUniform, pale gray to tan, divided by
prominent fibrous septa in to lobulesprominent fibrous septa in to lobules
 May be cystic, hemorrhagic orMay be cystic, hemorrhagic or
necroticnecrotic
 No specific location
NEPHROBLASTOMANEPHROBLASTOMA
Microscopic findingsMicroscopic findings
 Generally triphasic pattern :Generally triphasic pattern :
 blastemal, epithelial and stromal cell typeblastemal, epithelial and stromal cell type
 may contains heterologous elementsmay contains heterologous elements
 ““favorable” or “unfavorable” histologyfavorable” or “unfavorable” histology
on the bases of nuclear anaplasia i.e. . . .on the bases of nuclear anaplasia i.e. . . .
 marked nuclear enlargement (3x)marked nuclear enlargement (3x)
 abnormal mitoses i.e. . . . increased DNAabnormal mitoses i.e. . . . increased DNA
STAGINGSTAGING
 Histopathology and staging are the mostHistopathology and staging are the most
important determinants of outcomeimportant determinants of outcome
StageStage DescriptionDescription
II Tumor limited to kidney & completely excised. Intact renal capsule,Tumor limited to kidney & completely excised. Intact renal capsule,
tumor unruptured. No residual tumortumor unruptured. No residual tumor
IIII Tumor extends thruogh capsule but completely excised. LocalTumor extends thruogh capsule but completely excised. Local
spillage confined to flank or biopsied tumor. Extra renal vesselsspillage confined to flank or biopsied tumor. Extra renal vessels
contain tumor thrombus or infiltratedcontain tumor thrombus or infiltrated
IIIIII Residual nonhaematogenous tumor confined to abdomen: lymphResidual nonhaematogenous tumor confined to abdomen: lymph
node involvement, diffuse peritoneal spillage, peritoneal implants,node involvement, diffuse peritoneal spillage, peritoneal implants,
tumor beyond surgical margin grossly or microscopically or tumortumor beyond surgical margin grossly or microscopically or tumor
not completely removednot completely removed
IVIV Haematogenous mets to lung, liver, bone, brain or other organHaematogenous mets to lung, liver, bone, brain or other organ
VV Bilateral renal involvement at diagnosisBilateral renal involvement at diagnosis
NEPHROBLASTOMANEPHROBLASTOMA
SpreadSpread
 LocalLocal
 Regional i.e. . . lymphaticRegional i.e. . . lymphatic
 Distant :Distant :
lungslungs
liverliver
Wilms Tumor
(Nephroblastoma(
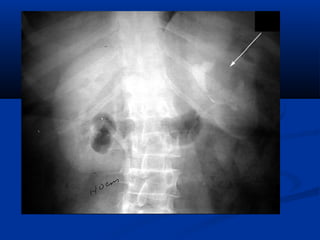
Plain X-Plain X-
Ray:Ray:
Large soft tissue massLarge soft tissue mass
displacing bowel gasdisplacing bowel gas
Calcification is uncommon.Calcification is uncommon.
Wilms Tumor
(Nephroblastoma(
IVU:
Large soft tissue mass
distorting and displacing
the collecting system.
Wilms Tumor
(Nephroblastoma(
US:
• Large soft tissue mass
heterogeneous echogenicity,
which represents hemorrhage,
necrosis, or calcification.
• Vascular Invasion.
Wilms Tumor
(Nephroblastoma(
CT:
CT demonstrates a well-
defined heterogeneous
mass with areas of necrosis
and hemorrhage.
Less common calcification.
Wilms Tumor
(Nephroblastoma(
CT:
CT demonstrates a well-defined
heterogeneous mass with areas
of calcification, necrosis and
hemorrhage.
Wilms Tumor
(Nephroblastoma(
CT:
hepatic metastases
CT scan shows multiple hepatic
metastases in addition to tumor
thrombus within the portal veins
(arrows).
Wilms Tumor
(Nephroblastoma(
CT:
Nodal metastases,.
Wilms Tumor
(Nephroblastoma(
CT:
Lung metastases
Wilms tumor in a 2-year-old boy. A, B: Contrast-enhanced axial computed
tomography and coronal multiplanar reconstruction demonstrate a large,
round, low-density mass that distorts and displaces the enhancing
parenchyma (arrows) in the lower pole of the right kidney
Wilms Tumor
(Nephroblastoma(
Wilms Tumor
(Nephroblastoma(
MRI:
Well-defined heterogeneous mass with low signal
intensity on T1-weighted images and high signal
intensity on T2-weighted images.
Timing of surgeryTiming of surgery
 NWTSG VS SIOP:NWTSG VS SIOP:
 In NWTSGIn NWTSG: surgery with complete resection of a: surgery with complete resection of a
resectable tumour is to be performed first.resectable tumour is to be performed first.
Chemotherapy first is to be given only for those withChemotherapy first is to be given only for those with
irresectable tumour, bilateral wilms tumour, tumourirresectable tumour, bilateral wilms tumour, tumour
thrombusthrombus
 In SIOPIn SIOP: surgery always is after neoadjuvant: surgery always is after neoadjuvant
chemotherapy even for resectable tumourschemotherapy even for resectable tumours
 J urol 1998 159 1316-1325J urol 1998 159 1316-1325
NEPHROBLASTOMANEPHROBLASTOMA
prognosis and treatmentprognosis and treatment
 Depends upon :Depends upon :
stage, age and histologystage, age and histology
 Surgery with chemotherapy for :Surgery with chemotherapy for :
stage I & II with favorable histologystage I & II with favorable histology
surgery with chemotherapy andsurgery with chemotherapy and
radiotherapy for higher stages andradiotherapy for higher stages and
unfavorable histologyunfavorable histology
Stage, HistologyStage, Histology SurgerySurgery ChemotherapyChemotherapy Radiotherapy*Radiotherapy*
Stage I or II withStage I or II with
FHFH
Stage I withStage I with
anaplasiaanaplasia
NephrectomyNephrectomy
VincristineVincristine
DactinomycinDactinomycin
NoneNone
Stage III or IV withStage III or IV with
FHFH
Stage II, III, or IVStage II, III, or IV
with focalwith focal
anaplasiaanaplasia
NephrectomyNephrectomy
VincristineVincristine
DactinomycinDactinomycin
DoxorubicinDoxorubicin
YesYes
Stage II, III, or IVStage II, III, or IV
with diffusewith diffuse
anaplasiaanaplasia
Stage I, II, III, or IVStage I, II, III, or IV
CCSKCCSK
NephrectomyNephrectomy
VincristineVincristine
DoxorubicinDoxorubicin
CyclophosphamidCyclophosphamid
ee
EtoposideEtoposide
YesYes
Stage I, II, III, or IVStage I, II, III, or IV
RTKRTK
NephrectomyNephrectomy
CyclophosphamidCyclophosphamid
ee
EtoposideEtoposide
CarboplatinCarboplatin
YesYes
TREATMENTTREATMENT
 Pre-operative chemo should be given to patientsPre-operative chemo should be given to patients
withwith
 Bilateral involvementBilateral involvement
 Inoperable disease at explorationInoperable disease at exploration
 IVC extension above portal veinsIVC extension above portal veins
 Primary nephrectomy for other patientsPrimary nephrectomy for other patients
 Initial biopsy then chemotherapy then 2Initial biopsy then chemotherapy then 2ndnd
look atlook at
8 – 10 weeks for bilateral disease8 – 10 weeks for bilateral disease
COMPLICATIONSCOMPLICATIONS
 Following irradiationFollowing irradiation
 ScoliosisScoliosis
 Hypogonadism & temporary azoospermiaHypogonadism & temporary azoospermia
 Ovarian failure (12%)Ovarian failure (12%)
 Second malignancySecond malignancy
 Following chemotherapyFollowing chemotherapy
 CCF following treatment with DoxorubicinCCF following treatment with Doxorubicin
RevisionRevision
 What is the most common primary malignantWhat is the most common primary malignant
renal tumour of childhood?renal tumour of childhood?
 Wilms' tumour (a.k.a. nephroblastoma)Wilms' tumour (a.k.a. nephroblastoma)
 What is the embryologic origin of Wilms'What is the embryologic origin of Wilms'
tumour?tumour?
 •• develops from remnants of immature kidneydevelops from remnants of immature kidney
 What pathologic markers are associated w/What pathologic markers are associated w/
favourable outcome in Wilms'?favourable outcome in Wilms'?
 •• classic (triphasic) composition: blastemal,classic (triphasic) composition: blastemal,
epithelial, stromal elementsepithelial, stromal elements
 →→ worse w/ more blastemal elementsworse w/ more blastemal elements

5 renal tumor

  • 1.
    06/25/13 School ofMedicine/JUST SamirSamir orabi MDorabi MD
  • 2.
  • 4.
    BenignBenign MalignantMalignant Pelvi-calycealPelvi-calyceal TC papillomaT C papilloma T C CarcinomaT C Carcinoma Sq C CarcinomaSq C Carcinoma ParenchymalParenchymal Renal papillaryRenal papillary AdenomaAdenoma R C CR C C WilmsWilms Perirenal fat&Perirenal fat& capsulecapsule Lipoma - FibromaLipoma - Fibroma liposarcomaliposarcoma Vessels & smoothVessels & smooth msms HemangiomaHemangioma AngiomyolipomaAngiomyolipoma OncocytomaOncocytoma HemangiosarcomHemangiosarcom aa 2ry tumor2ry tumor Any secon.Any secon.
  • 5.
    06/25/13 School ofMedicine/JUST
  • 6.
    06/25/13 School ofMedicine/JUST
  • 7.
    Algorithm for radiographicAlgorithmfor radiographic evaluation ofevaluation of renal massrenal mass  Several radiographic modalities are currently available forSeveral radiographic modalities are currently available for detection and evaluation of renal massesdetection and evaluation of renal masses  IVPIVP :: CCalcification within the mass, increased tissuealcification within the mass, increased tissue density, irregularity of the margin, and distortion of thedensity, irregularity of the margin, and distortion of the collecting systemcollecting system ((may miss small anterior or posterior lesions that do not distortmay miss small anterior or posterior lesions that do not distort the collecting system or the contour of the kidney, may notthe collecting system or the contour of the kidney, may not always distinguish solid from cystic lesionsalways distinguish solid from cystic lesions ))  Detection by IVU is onlyDetection by IVU is only 2121% when the lesion is smaller than% when the lesion is smaller than 2 cm2 cm,,  5252% when the lesion is% when the lesion is 2-32-3 cm,cm,  andand 8585% when the lesion is% when the lesion is 3 cm3 cm or more in diameteror more in diameter
  • 11.
    Algorithm for radiographicevaluation ofAlgorithm for radiographic evaluation of renal massrenal mass  U/S:U/S: The initial imaging procedure of choiceThe initial imaging procedure of choice  Reliable for differentiation ofReliable for differentiation of solidsolid tissue fromtissue from fluidfluid (cyst) and can establish the diagnosis of a(cyst) and can establish the diagnosis of a simple renal cystsimple renal cyst..  It can also allow the diagnosis of anIt can also allow the diagnosis of an angiomyolipomaangiomyolipoma by the characteristic increasedby the characteristic increased echogenicity produced by high fat content.echogenicity produced by high fat content.  Sonographic criteria forSonographic criteria for simple cystssimple cysts include:include: 1-1- smooth cyst wall,smooth cyst wall, 2-2- round or oval shaperound or oval shape 3-3- without internal echoes (clear fluid)without internal echoes (clear fluid) 4-4- NoNo calcification nor septationcalcification nor septation
  • 12.
  • 13.
  • 14.
    Algorithm for radiographicAlgorithmfor radiographic evaluation ofevaluation of renal massrenal mass  If US equivocal, or suggestive of malignancyIf US equivocal, or suggestive of malignancy solid or complexsolid or complex with internal echoeswith internal echoes and irregular wallsand irregular walls if calcifications or septae are seenif calcifications or septae are seen ========Then proceed to CT========Then proceed to CT
  • 15.
    Algorithm for radiographicevaluation ofAlgorithm for radiographic evaluation of renal massrenal mass  AA renal CTrenal CT scan remains the single mostscan remains the single most important radiographic test for delineating theimportant radiographic test for delineating the nature of a renal massnature of a renal mass..  In general, any renal mass that enhances withIn general, any renal mass that enhances with intravenous administration of contrast materialintravenous administration of contrast material on CT scanning by more than 15 Hounsfield unitson CT scanning by more than 15 Hounsfield units ((HUHU)) should be considered a renal cell carcinomashould be considered a renal cell carcinoma ((RCCRCC)) until proved otherwiseuntil proved otherwise  In approximately 10% of solid renal masses, CTIn approximately 10% of solid renal masses, CT findings are indeterminate, and additional testing orfindings are indeterminate, and additional testing or surgical exploration is needed to establish a definitivesurgical exploration is needed to establish a definitive
  • 16.
    CT scan withoutCTscan without administration ofadministration of contrast materialcontrast material After administration of the contrast agent
  • 17.
    Renal Cell CarcinomaRenalCell Carcinoma before contrastbefore contrast Contrast-enhanced dedicated renalContrast-enhanced dedicated renal CT scanCT scan  CT scan obtained
  • 18.
    Renal Cell CarcinomaRenalCell Carcinoma  3D CT scan of a small RCC that is peripheral3D CT scan of a small RCC that is peripheral and exophytic which is ideal for nephron sparingand exophytic which is ideal for nephron sparing surgerysurgery
  • 19.
  • 20.
    Algorithm for radiographicAlgorithmfor radiographic evaluation ofevaluation of renal massrenal mass  MRIMRI : is reserved for >>: is reserved for >> contrast hypersensitive patientscontrast hypersensitive patients high serum creatininehigh serum creatinine Vascular invasion, IVC thrombiVascular invasion, IVC thrombi
  • 21.
    Algorithm for radiographicAlgorithmfor radiographic evaluation ofevaluation of renal massrenal mass  FineFine--needle aspirationneedle aspiration or biopsy hasor biopsy has traditionally been of limited value intraditionally been of limited value in the evaluation of renal massesthe evaluation of renal masses  The primary indications for needleThe primary indications for needle aspiration or biopsy of a renal mass areaspiration or biopsy of a renal mass are when a renalwhen a renal abscess or infected cystabscess or infected cyst isis suspected and when RCC must besuspected and when RCC must be differentiated fromdifferentiated from metastaticmetastatic malignant disease ormalignant disease or renal lymphomarenal lymphoma
  • 22.
    Algorithm for radiographicAlgorithmfor radiographic evaluation ofevaluation of renal massrenal mass Metastatic workupMetastatic workup routine chest radiographroutine chest radiograph liver function testsliver function tests bone scanbone scan C T chestC T chest
  • 23.
    RevisionRevision  What arethe indications for MRI in RCC?What are the indications for MRI in RCC?  •• possible venous involvementpossible venous involvement  •• renal insufficiencyrenal insufficiency  •• allergy to IV contrastallergy to IV contrast  What are the features suggestive ofWhat are the features suggestive of malignancy on IVP?malignancy on IVP?  •• calcification w/i the masscalcification w/i the mass  •• increased tissue densityincreased tissue density  •• irregular marginirregular margin  •• invasion of the collecting systeminvasion of the collecting system
  • 24.
    BENIGN RENAL TUMORSBENIGNRENAL TUMORS  Arise from cortical tissue (e.g.,Arise from cortical tissue (e.g., adenoma,adenoma, oncocytomaoncocytoma) or from the various) or from the various mesenchymal derivatives within themesenchymal derivatives within the parenchyma or capsule of the kidneyparenchyma or capsule of the kidney (Angiomyolipoma).(Angiomyolipoma).  Differentiation from malignantDifferentiation from malignant renal masses by radiographic orrenal masses by radiographic or clinical means can be challenging.clinical means can be challenging. 06/25/13
  • 25.
    BENIGN RENAL TUMORSBENIGNRENAL TUMORS  Renal papillary AdenomaRenal papillary Adenoma : epithelial lesions: epithelial lesions with a tubulowith a tubulo--papillary architecturepapillary architecture ..UsuallyUsually measuring less than 0.5cmmeasuring less than 0.5cm  The “3-cm rule”The “3-cm rule”  Renal exploration and wedge resectionRenal exploration and wedge resection oror other ablative therapies should be stronglyother ablative therapies should be strongly considered for all such clinically evidentconsidered for all such clinically evident lesions, with appropriate consideration oflesions, with appropriate consideration of the patient's age, comorbidities, and otherthe patient's age, comorbidities, and other relevant factors.relevant factors.
  • 26.
    BENIGN RENAL TUMORSBENIGNRENAL TUMORS  OncocytomaOncocytoma:: epithelialepithelial tumor composedtumor composed of oncocytes, largeof oncocytes, large eosinophiliceosinophilic cells havingcells having small, round, benign-appearingsmall, round, benign-appearing nucleinuclei withwith largelarge nucleolinucleoli..  Arise from the intercalated cells ofArise from the intercalated cells of collecting ductscollecting ducts of the kidneyof the kidney  UnfortunatelyUnfortunately, most renal oncocytomas, most renal oncocytomas cannot be differentiated from malignantcannot be differentiated from malignant RCC by clinical or radiographic meansRCC by clinical or radiographic means
  • 27.
    BENIGN RENAL TUMORSBENIGNRENAL TUMORS  AngiomyolipomaAngiomyolipoma :: benign tumorbenign tumor consisting ofconsisting of varying amounts of maturevarying amounts of mature adipose tissueadipose tissue,, smooth muscle, andsmooth muscle, and thickthick--walled vesselswalled vessels  Approximately 20% to 30% of AMLs are found inApproximately 20% to 30% of AMLs are found in patients withpatients with tuberous sclerosistuberous sclerosis syndromesyndrome ((TSTS)),, an autosomal dominant disorder characterized byan autosomal dominant disorder characterized by mental retardation, epilepsy, and adenomamental retardation, epilepsy, and adenoma sebaceumsebaceum  Middle aged femaleMiddle aged female  C/PC/P : Asymptomatic or: Asymptomatic or ( loin pain , hematuria,( loin pain , hematuria, palpable mass, and hypovolemic shock)palpable mass, and hypovolemic shock)
  • 28.
    BENIGN RENAL TUMORSBENIGNRENAL TUMORS  Angiomyolipoma:Angiomyolipoma: Diagnosed byDiagnosed by TheThe presence of even a small amount of fatpresence of even a small amount of fat within a renal lesion on CT scan (confirmedwithin a renal lesion on CT scan (confirmed by a value of -20 HU or lower) virtuallyby a value of -20 HU or lower) virtually excludes the diagnosis of RCC and isexcludes the diagnosis of RCC and is considered diagnostic of AMLconsidered diagnostic of AML  ManagementManagement ::  1- Asymptomatic, smaller AMLs, less than 41- Asymptomatic, smaller AMLs, less than 4 cm, can be observed expectantlycm, can be observed expectantly  2- Intervention should be considered for2- Intervention should be considered for larger tumors, particularly if the patient islarger tumors, particularly if the patient is symptomaticsymptomatic
  • 30.
    Renal Cell CarcinomaRenalCell Carcinoma  DefinitionDefinition :: Malignant tumor of renalMalignant tumor of renal parenchymaparenchyma  TerminologyTerminology : renal cell carcinoma ,: renal cell carcinoma , hypernephroma , grawitz tumor , renalhypernephroma , grawitz tumor , renal adenocarcinomaadenocarcinoma  OriginOrigin : The epithelial lining of the: The epithelial lining of the proximal convoluted tubuleproximal convoluted tubule  Age:Age: 55thth – 6– 6thth decadedecade  SexSex :: M to FM to F 2:12:1
  • 31.
    Renal Cell CarcinomaRenalCell Carcinoma  Risk factorsRisk factors:: The only generally acceptedThe only generally accepted environmental risk factor for RCC is tobaccoenvironmental risk factor for RCC is tobacco exposureexposure , Others : obesity , hypertension ,, Others : obesity , hypertension , heavy metalsheavy metals  GeneticsGenetics :: Von Hippel LindauVon Hippel Lindau syndrome,syndrome, affecting 50% of individual with this ADaffecting 50% of individual with this AD syndrome, ch ch by , renal & pancreatic cyst,syndrome, ch ch by , renal & pancreatic cyst, phaeochromocytoma, cerebellarphaeochromocytoma, cerebellar hemangioblastoma , often bilaterallyhemangioblastoma , often bilaterally 
  • 33.
    Renal Cell CarcinomaRenalCell Carcinoma  HistopathologyHistopathology :: 1.1. ConventionalConventional ((70%–80%70%–80%)) (clear cell,(clear cell, granular, mixes)granular, mixes) 2.2. Chromophilic (10%–15%)Chromophilic (10%–15%) 3.3. Chromophobic (3%–5%)Chromophobic (3%–5%) 4.4. Collecting ductCollecting duct ((1%1%)) 5.5. UnclassifiedUnclassified ((1%1%))
  • 34.
    Renal Cell CarcinomaRenalCell Carcinoma  C/PC/P :: 1.1. AsymptomaticAsymptomatic 2.2. HematuriaHematuria 3.3. Loin painLoin pain 4.4. Palpable swellingPalpable swelling 5.5. Symptoms of metastasisSymptoms of metastasis 6.6. Paraneoplastic syndromeParaneoplastic syndrome Classic triad Less than 10-15%
  • 35.
    RENAL CELL CARCINOMARENALCELL CARCINOMA INVESTIGATIONS ;INVESTIGATIONS ; *Laboratory studies in the evaluation of renal cell carcinoma*Laboratory studies in the evaluation of renal cell carcinoma should include a workup for paraneoplastic syndromes. Initialshould include a workup for paraneoplastic syndromes. Initial studies are as follows:studies are as follows: -Urine analysis-Urine analysis -CBC count with differential-CBC count with differential -Electrolytes-Electrolytes -Renal profile-Renal profile *Liver function tests (AST and ALT)*Liver function tests (AST and ALT) *Calcium*Calcium *Erythrocyte sedimentation rate*Erythrocyte sedimentation rate *Prothrombin time*Prothrombin time *Activated partial thromboplastin time*Activated partial thromboplastin time *Other tests indicated by presenting symptoms*Other tests indicated by presenting symptoms
  • 36.
  • 37.
    Renal Cell CarcinomaRenalCell Carcinoma Paraneoplastic syndromeParaneoplastic syndrome  found infound in 20%20% of patients with RCCof patients with RCC  Due to ectopic hormone secretion by the tumorDue to ectopic hormone secretion by the tumor  Not related to the stageNot related to the stage  In general, treatment of paraneoplasticIn general, treatment of paraneoplastic syndromes associated with RCC has requiredsyndromes associated with RCC has required nephrectomy or systemic immunotherapy, andnephrectomy or systemic immunotherapy, and except for hypercalcemia, medical therapiesexcept for hypercalcemia, medical therapies have not proved helpfulhave not proved helpful
  • 38.
    Renal Cell CarcinomaRenalCell Carcinoma Paraneoplastic syndromeParaneoplastic syndrome  Elevated erythrocyte sedimentation rateElevated erythrocyte sedimentation rate 55.655.6  Hypertension 37.5Hypertension 37.5  Anemia 36.3Anemia 36.3  Abnormal liver function 14.4Abnormal liver function 14.4  Hypercalcemia 4.9Hypercalcemia 4.9  PolycythemiaPolycythemia 3.53.5  Hypoglycemia & CushingHypoglycemia & Cushing
  • 39.
     Stauffer’s syndromeStauffer’ssyndrome is a reversible syndromeis a reversible syndrome of hepatic dysfunction in the absence of hepaticof hepatic dysfunction in the absence of hepatic metastases associated with RCC and can occurmetastases associated with RCC and can occur in up to 20% of patients.in up to 20% of patients.  Hepatic function abnormalities include elevationHepatic function abnormalities include elevation of alkaline phosphatase and bilirubin,of alkaline phosphatase and bilirubin, hypoalbuminemia, prolonged prothrombin time,hypoalbuminemia, prolonged prothrombin time, and hypergammaglobulinemia.and hypergammaglobulinemia.
  • 40.
  • 41.
    Renal Cell CarcinomaRenalCell Carcinoma mode of disseminationmode of dissemination  Direct extensionDirect extension  VascularVascular  LymphaticLymphatic  Lungs, lymph nodes, liver,Lungs, lymph nodes, liver, bonebone brain,brain, skinskin etc.etc.
  • 42.
    06/25/13 School ofMedicine/JUST
  • 43.
  • 44.
  • 45.
    Staging and PrognosisStagingand Prognosis Cohen HT, McGovern FJ. NEJM. 2005;353:2477.Cohen HT, McGovern FJ. NEJM. 2005;353:2477.
  • 46.
  • 47.
    Renal Cell CarcinomaRenalCell Carcinoma ManagementManagement RCCRCC is chemo-resistant & radio-is chemo-resistant & radio- resistantresistant
  • 48.
    Obstacles Towards TreatmentObstaclesTowards Treatment  RCC is historically resistant to many types of treatmentRCC is historically resistant to many types of treatment  Chemotherapy (MDR-1)Chemotherapy (MDR-1)  RadiationRadiation  Very aggressive in nature (TGF alpha and EGFR)Very aggressive in nature (TGF alpha and EGFR)  Highly vascular (VEGF secondary to loss of vHL)Highly vascular (VEGF secondary to loss of vHL)  Expresses tumor-associated antigens (PRAME, RAGE-Expresses tumor-associated antigens (PRAME, RAGE- 1, gp75, and MN-9) which contributes to its1, gp75, and MN-9) which contributes to its immunogenicityimmunogenicity
  • 49.
    Tx of LocalizedRCCTx of Localized RCC  Radical nephrectomyRadical nephrectomy  Nephron-sparing surgery (NSS)Nephron-sparing surgery (NSS)  NSS with normal opposite kidneyNSS with normal opposite kidney  NSS with vHL diseaseNSS with vHL disease  Thermal ablative therapiesThermal ablative therapies  ObservationObservation
  • 50.
    Radical nephrectomyRadical nephrectomy Robson and colleagues “gold standard”Robson and colleagues “gold standard” 19691969  Prototype – A then B, Gerota’s intact, ipsiPrototype – A then B, Gerota’s intact, ipsi adrenal, LND (crus to aortic bifurcation)adrenal, LND (crus to aortic bifurcation)  Now – no adrenal if no radiolgicalNow – no adrenal if no radiolgical evidence unless : extensive renalevidence unless : extensive renal involvement, locally advanced, locatedinvolvement, locally advanced, located upper pole, immediately adjacent to adrenalupper pole, immediately adjacent to adrenal
  • 51.
     Today –LND = controversialToday – LND = controversial  Heme & Lymph spreadHeme & Lymph spread  Lymphatic drainage variableLymphatic drainage variable  <2-3% benefit<2-3% benefit  However, more accurate stagingHowever, more accurate staging  Risk factors indicating LNDRisk factors indicating LND  High tumor gradeHigh tumor grade  Sarcomatoid componentSarcomatoid component  Histologic tumor necrosisHistologic tumor necrosis  Large size (> 10 cm)Large size (> 10 cm)  pT3 or pT4pT3 or pT4  *incidence 10% with 2 or >, 0.6% if <*incidence 10% with 2 or >, 0.6% if <
  • 52.
     Surgical approachdetermined by size,Surgical approach determined by size, location of tumor and body habituslocation of tumor and body habitus  TransperitonealTransperitoneal  SubcostalSubcostal  thoracoabdominalthoracoabdominal  ExtraperitonealExtraperitoneal  FlankFlank  Laparoscopic (trans, retro, hand-assist)Laparoscopic (trans, retro, hand-assist)
  • 53.
     LaparoscopicLaparoscopic  Cancerspecific survival comparable to openCancer specific survival comparable to open  Usually < 8-10cm; localized with no local invasion,Usually < 8-10cm; localized with no local invasion, renal vein involvement, or lymphadenopathyrenal vein involvement, or lymphadenopathy
  • 54.
    Postoperative Surveillance afterRadicalPostoperative Surveillance after Radical Nephrectomy for Localized Renal Cell CarcinomaNephrectomy for Localized Renal Cell Carcinoma PathologicPathologic TumorTumor StageStage History,History, Examination,Examination, and Bloodand Blood TestsTests ChestChest RadiographRadiograph AbdominalAbdominal CT ScanCT Scan T1 N0 M0T1 N0 M0 YearlyYearly —— —— T2 N0 M0T2 N0 M0 YearlyYearly YearlyYearly Every 2 yearsEvery 2 years T3a-c N0 M0T3a-c N0 M0 Every 6Every 6 months for 3months for 3 years, thenyears, then yearlyyearly Every 6Every 6 months for 3months for 3 years, thenyears, then yearlyyearly At 1 year, thenAt 1 year, then every 2 yearsevery 2 years
  • 55.
    Nephron-Sparing SurgeryNephron-Sparing Surgery Czerny 1890Czerny 1890  Vermooten 1950 – NSSVermooten 1950 – NSS  Indications include situations where ptIndications include situations where pt would be anephric or high risk of needingwould be anephric or high risk of needing HDHD  Solitary kidney RCCSolitary kidney RCC  Bilateral RCCBilateral RCC  Contralateral disease (Hydro, chronic pyelo,Contralateral disease (Hydro, chronic pyelo, reflux, stones, DM, nephrosclerosis)reflux, stones, DM, nephrosclerosis)
  • 56.
    Indications for NSSIndicationsfor NSS  Absolute:Absolute: Anatomical/ functional solitaryAnatomical/ functional solitary kidneykidney  Relative:Relative: Functioning opposite kidney isFunctioning opposite kidney is affected by a condition that mayaffected by a condition that may impair renal function in futureimpair renal function in future  Elective:Elective: Localized unilateral RCC with aLocalized unilateral RCC with a healthy contralateral kidneyhealthy contralateral kidney
  • 57.
     A functionalremnant of at least 20% ofA functional remnant of at least 20% of one normal kidney is necessary to avoidone normal kidney is necessary to avoid end-stage renal failureend-stage renal failure  IF solitary kidney, > 50% reduction inIF solitary kidney, > 50% reduction in renal mass = incr risk of hyperfiltrationrenal mass = incr risk of hyperfiltration renal injury (proteinuria, focal segmentalrenal injury (proteinuria, focal segmental glomerulosclerosis, progressive renalglomerulosclerosis, progressive renal failure)failure)  Prevention: Protein restriction & ACEIPrevention: Protein restriction & ACEI
  • 58.
     Preoperative testingPreoperativetesting  r/o local extension, mets, vascular/collecting systemr/o local extension, mets, vascular/collecting system relationshiprelationship  Renal angio, veno, 3DCT or MRIRenal angio, veno, 3DCT or MRI  Cancer-specific survival rates 78-100%Cancer-specific survival rates 78-100%  Recurrence – undetected dz in remnantRecurrence – undetected dz in remnant  Complications – majority hemorrhagicComplications – majority hemorrhagic
  • 59.
    NSS SurveillanceNSS Surveillance StageStageH/E/labsH/E/labs CXRCXR CTa/pCTa/p  T1NOMOT1NOMO yearlyyearly -------- --------  T2NOMOT2NOMO yearlyyearly yearlyyearly q 2 yrsq 2 yrs  T3NOMOT3NOMO q 6m x 3 yr - yrq 6m x 3 yr - yr samesame q6m x3y –q2yrq6m x3y –q2yr
  • 60.
    Thermal ablativeThermal ablative Both perc or lap approachBoth perc or lap approach  Lack of histo/path stagingLack of histo/path staging  ? High recurrence rate? High recurrence rate  Ideal – advanced age, comorbidities, localIdeal – advanced age, comorbidities, local recurrance, hereditary renal cancerrecurrance, hereditary renal cancer  CryosurgeryCryosurgery  Repetition of freeze-thaw cycle (-20C)Repetition of freeze-thaw cycle (-20C)  Immediate cellular cryodestruction andImmediate cellular cryodestruction and delayed microcirculatory failure.delayed microcirculatory failure.  Radiofrequency ablationRadiofrequency ablation  45C irreversible cell damage45C irreversible cell damage  55-60C immediate cell death55-60C immediate cell death
  • 61.
     Thermal AblativePearlsThermal Ablative Pearls  In general, enhancement within the tumor bed onIn general, enhancement within the tumor bed on extended follow-up has been considered diagnosticextended follow-up has been considered diagnostic of local recurrence, and the clinical experience thusof local recurrence, and the clinical experience thus far has supported thisfar has supported this
  • 62.
    ObservationObservation  Median growthrate 0.36 cm/yrMedian growth rate 0.36 cm/yr  Alternative for asymptomatic elderly andAlternative for asymptomatic elderly and poor surgical risk, consider withpoor surgical risk, consider with solid/small/enhancing/well-solid/small/enhancing/well- marginated/homogeneousmarginated/homogeneous  Serial imaging 6mo or 1yr intervalsSerial imaging 6mo or 1yr intervals  Not appropriate: >3cm, poor margins,Not appropriate: >3cm, poor margins, nonhomogeneous, young healthy with abnnonhomogeneous, young healthy with abn imagingimaging
  • 63.
    Renal Cell CarcinomaRenalCell Carcinoma StageStage SurgerySurgery T 1T 1 Nephron – sparing surgeryNephron – sparing surgery openopen laparoscopiclaparoscopic Radical nephrectomyRadical nephrectomy laparoscopiclaparoscopic openopen T 2T 2 Radical nephrectomyRadical nephrectomy laparoscopiclaparoscopic openopen Nephron – sparing surgeryNephron – sparing surgery T3 &T3 & T4T4 Radical nephrectomyRadical nephrectomy openopen
  • 64.
    Tx of LocallyAdvancedTx of Locally Advanced RCCRCC  IVC involvementIVC involvement  Locally invasive RCCLocally invasive RCC  Local recurrence after RN or NSSLocal recurrence after RN or NSS  Adjuvant therapy for RCCAdjuvant therapy for RCC
  • 65.
    IVC InvolvementIVC Involvement Unique feature of RCCUnique feature of RCC  45-70% of RCC with IVC thrombus cured45-70% of RCC with IVC thrombus cured  Local extension/invasion much higher risk ofLocal extension/invasion much higher risk of recurrencerecurrence  Occurs 4-10% of patientsOccurs 4-10% of patients  Suspect with : LE edema, R varicocele,Suspect with : LE edema, R varicocele, distended abd veins, proteinuria, PE, Rdistended abd veins, proteinuria, PE, R atrial mass, nonfxn kidneyatrial mass, nonfxn kidney
  • 66.
     IVC ThrombusstagingIVC Thrombus staging  I – adjacent to ostium of renal veinI – adjacent to ostium of renal vein  II – extends up to liverII – extends up to liver  III – intrahepatic portion of IVC belowIII – intrahepatic portion of IVC below diaphragmdiaphragm  IV – above the diaphragmIV – above the diaphragm  ImagingImaging  CT & AUSCT & AUS  Contrast inferior venacavography – if probContrast inferior venacavography – if prob with MRIwith MRI  MRI – study of choiceMRI – study of choice  ? Renal arteriography? Renal arteriography
  • 67.
    ImagingImaging (contd)(contd)  Investigatelocally advanced malignancy,Investigate locally advanced malignancy, and specially forand specially for classification of Venaclassification of Vena caval thrombus:caval thrombus:  Peri-renalPeri-renal  Infra-hepaticInfra-hepatic  Intra-hepaticIntra-hepatic  Supra-hepaticSupra-hepatic
  • 68.
     Locally InvasiveRCCLocally Invasive RCC  Present with pain from invasion of posteriorPresent with pain from invasion of posterior abd wall, nerve roots or paraspinous musclesabd wall, nerve roots or paraspinous muscles  Duodenal & pancreas uncommonDuodenal & pancreas uncommon  En bloc may be beneficialEn bloc may be beneficial  Partial / debulking – only 12% alive in 1 yrPartial / debulking – only 12% alive in 1 yr  Preoperative rad – not beneficial (van derPreoperative rad – not beneficial (van der Werf-Messing 1973)Werf-Messing 1973)  Residual tumor, rad may retard growth (Kao etResidual tumor, rad may retard growth (Kao et al 1994)al 1994)
  • 69.
    Adjuvant Therapy forRCCAdjuvant Therapy for RCC  Include hormonal manipulation,Include hormonal manipulation, radiotherapy, vaccines, cytokines, etc…radiotherapy, vaccines, cytokines, etc…  Most studies to date – not significantMost studies to date – not significant  Vaccine – irradiated tumor cells/BCG, heatVaccine – irradiated tumor cells/BCG, heat shock proteins (HSPPC) = no provenshock proteins (HSPPC) = no proven benefitbenefit  Interferon alfa – modest survival benefitInterferon alfa – modest survival benefit  IL-2 – no benefitIL-2 – no benefit
  • 70.
    Tx of MetastaticRCCTx of Metastatic RCC  NephrectomyNephrectomy  Hormonal therapyHormonal therapy  ChemotherapyChemotherapy  Radiation therapyRadiation therapy  Cytokines and Immunologic therapyCytokines and Immunologic therapy  Multimodal therapyMultimodal therapy
  • 71.
    NephrectomyNephrectomy  1/31/3rdrd of RCChave metsof RCC have mets  40-50% will develop mets after initial dx40-50% will develop mets after initial dx  Regression of mets after RN – 1-2% (lung)Regression of mets after RN – 1-2% (lung)  Benefit for synchronous mets withBenefit for synchronous mets with interferon alfa after RNinterferon alfa after RN  Individuals with: adv dz (PS > 2), mets (CNS,Individuals with: adv dz (PS > 2), mets (CNS, SC compression), MOD, significantSC compression), MOD, significant comorbidities – not candidatecomorbidities – not candidate
  • 72.
    Hormone TherapyHormone Therapy Minimal valueMinimal value  Progesterone – inhibit growth of DES-induced renalProgesterone – inhibit growth of DES-induced renal tumors in Syrian hamsterstumors in Syrian hamsters  No correlation with human RCCNo correlation with human RCC  Progestational agents = useful for symptomProgestational agents = useful for symptom palliationpalliation
  • 73.
    RevisionRevision Why were RCCsoriginally called hypernephromas?Why were RCCs originally called hypernephromas? idea of suprarenal origin of renal tumoursidea of suprarenal origin of renal tumours  What is the role of FNA in evaluation of renalWhat is the role of FNA in evaluation of renal masses?masses?  •• limited valuelimited value  →→ high incidence of false negative biopsieshigh incidence of false negative biopsies  •• IndicationsIndications  →→ renal abscess or infected cyst suspectedrenal abscess or infected cyst suspected  →→ RCC must be differentiated from met orRCC must be differentiated from met or lymphoma
  • 74.
    RevisionRevision  What isthe treatment for renal adenomas?What is the treatment for renal adenomas?  •• consider all to be malignantconsider all to be malignant  →→ consider wedge resection, other ablativeconsider wedge resection, other ablative therapiestherapies  Which patient groups are at increased riskWhich patient groups are at increased risk of developing AML?of developing AML?  •• tuberous sclerosis  20% of all AMLstuberous sclerosis  20% of all AMLs  •• female predominancefemale predominance
  • 75.
    RevisionRevision  Describe theclinical presentation of RCCDescribe the clinical presentation of RCC..  •• asymptomatic and nonpalpable until advancedasymptomatic and nonpalpable until advanced  →→ >50% of RCCs now detected incidentally>50% of RCCs now detected incidentally  •• hemorrhage, paraneoplastic syndromes, or metshemorrhage, paraneoplastic syndromes, or mets  •• classic triad: flank pain, gross hematuria, andclassic triad: flank pain, gross hematuria, and palpable abdominal mass  rarely foundpalpable abdominal mass  rarely found  •• indicators of advanced diseaseindicators of advanced disease  →→ constitutional sy: wt loss, fever, NS, bone pain,constitutional sy: wt loss, fever, NS, bone pain, persistent coughpersistent cough  →→ paraneoplastic syndromesparaneoplastic syndromes
  • 76.
  • 77.
    NEPHROBLASTOMANEPHROBLASTOMA ((Wilms’ tumour )Wilms’tumour )  Embryonal tumour arising fromEmbryonal tumour arising from nephrogenic blastemal cellsnephrogenic blastemal cells  can differentiate in to several cell lines -can differentiate in to several cell lines - blastemal, epithelial and stromalblastemal, epithelial and stromal  many replicate developing kidneysmany replicate developing kidneys  Common in young children /Common in young children / uncommon in neonates and infantsuncommon in neonates and infants  90% in < 6yrs. old ( mean: 3yrs. in boys90% in < 6yrs. old ( mean: 3yrs. in boys and 3.5yrs. in girlsand 3.5yrs. in girls ))
  • 78.
    NEPHROBLASTOMANEPHROBLASTOMA Etiology and cytogeneticsEtiologyand cytogenetics  Generally unknownGenerally unknown  World wide i.e. … No environmental factorsWorld wide i.e. … No environmental factors  Present in many syndromes :Present in many syndromes : 1-WAGR syndrome1-WAGR syndrome (Wilms, aniridia,(Wilms, aniridia, genitourinary abnormalities, mental retardationgenitourinary abnormalities, mental retardation)) 2-2-Beckwith-WiedemannBeckwith-Wiedemann syndrome (exomphalos-syndrome (exomphalos- macroglossia-gigantismmacroglossia-gigantism )) 3-Denys-Drash syndrome3-Denys-Drash syndrome ((Gonadal dysgenesis,Gonadal dysgenesis, nephropathy)nephropathy)
  • 79.
     The mostcommon presentation ofThe most common presentation of Wilms tumor is the presence of anWilms tumor is the presence of an asymptomatic abdominal mass.asymptomatic abdominal mass.  HypertensionHypertension,, gross hematuriagross hematuria, and, and fever are observed in 5-30% of patients.fever are observed in 5-30% of patients.  A small number of patients who haveA small number of patients who have hemorrhaged into their tumor mayhemorrhaged into their tumor may present with signs ofpresent with signs of hypotension,hypotension, anemiaanemia, and fever., and fever.  Rarely, patients with advanced-stageRarely, patients with advanced-stage disease may present withdisease may present with respiratoryrespiratory symptomssymptoms related to the presence ofrelated to the presence of lung metastases.lung metastases. NEPHROBLASTO MA
  • 80.
    NEPHROBLASTOMANEPHROBLASTOMA Pathologic findingsPathologic findings(gross)(gross)  Usually solitary, sharply (well)Usually solitary, sharply (well) defined masses with pseudocapsuledefined masses with pseudocapsule  Variable size & weight (60-6350 gms.Variable size & weight (60-6350 gms. with a mean of 550 gms.)with a mean of 550 gms.)  Uniform, pale gray to tan, divided byUniform, pale gray to tan, divided by prominent fibrous septa in to lobulesprominent fibrous septa in to lobules  May be cystic, hemorrhagic orMay be cystic, hemorrhagic or necroticnecrotic  No specific location
  • 82.
    NEPHROBLASTOMANEPHROBLASTOMA Microscopic findingsMicroscopic findings Generally triphasic pattern :Generally triphasic pattern :  blastemal, epithelial and stromal cell typeblastemal, epithelial and stromal cell type  may contains heterologous elementsmay contains heterologous elements  ““favorable” or “unfavorable” histologyfavorable” or “unfavorable” histology on the bases of nuclear anaplasia i.e. . . .on the bases of nuclear anaplasia i.e. . . .  marked nuclear enlargement (3x)marked nuclear enlargement (3x)  abnormal mitoses i.e. . . . increased DNAabnormal mitoses i.e. . . . increased DNA
  • 83.
    STAGINGSTAGING  Histopathology andstaging are the mostHistopathology and staging are the most important determinants of outcomeimportant determinants of outcome StageStage DescriptionDescription II Tumor limited to kidney & completely excised. Intact renal capsule,Tumor limited to kidney & completely excised. Intact renal capsule, tumor unruptured. No residual tumortumor unruptured. No residual tumor IIII Tumor extends thruogh capsule but completely excised. LocalTumor extends thruogh capsule but completely excised. Local spillage confined to flank or biopsied tumor. Extra renal vesselsspillage confined to flank or biopsied tumor. Extra renal vessels contain tumor thrombus or infiltratedcontain tumor thrombus or infiltrated IIIIII Residual nonhaematogenous tumor confined to abdomen: lymphResidual nonhaematogenous tumor confined to abdomen: lymph node involvement, diffuse peritoneal spillage, peritoneal implants,node involvement, diffuse peritoneal spillage, peritoneal implants, tumor beyond surgical margin grossly or microscopically or tumortumor beyond surgical margin grossly or microscopically or tumor not completely removednot completely removed IVIV Haematogenous mets to lung, liver, bone, brain or other organHaematogenous mets to lung, liver, bone, brain or other organ VV Bilateral renal involvement at diagnosisBilateral renal involvement at diagnosis
  • 84.
    NEPHROBLASTOMANEPHROBLASTOMA SpreadSpread  LocalLocal  Regionali.e. . . lymphaticRegional i.e. . . lymphatic  Distant :Distant : lungslungs liverliver
  • 85.
    Wilms Tumor (Nephroblastoma( Plain X-PlainX- Ray:Ray: Large soft tissue massLarge soft tissue mass displacing bowel gasdisplacing bowel gas Calcification is uncommon.Calcification is uncommon.
  • 86.
    Wilms Tumor (Nephroblastoma( IVU: Large softtissue mass distorting and displacing the collecting system.
  • 87.
    Wilms Tumor (Nephroblastoma( US: • Largesoft tissue mass heterogeneous echogenicity, which represents hemorrhage, necrosis, or calcification. • Vascular Invasion.
  • 88.
    Wilms Tumor (Nephroblastoma( CT: CT demonstratesa well- defined heterogeneous mass with areas of necrosis and hemorrhage. Less common calcification.
  • 89.
    Wilms Tumor (Nephroblastoma( CT: CT demonstratesa well-defined heterogeneous mass with areas of calcification, necrosis and hemorrhage.
  • 90.
    Wilms Tumor (Nephroblastoma( CT: hepatic metastases CTscan shows multiple hepatic metastases in addition to tumor thrombus within the portal veins (arrows).
  • 91.
  • 92.
  • 93.
    Wilms tumor ina 2-year-old boy. A, B: Contrast-enhanced axial computed tomography and coronal multiplanar reconstruction demonstrate a large, round, low-density mass that distorts and displaces the enhancing parenchyma (arrows) in the lower pole of the right kidney Wilms Tumor (Nephroblastoma(
  • 94.
    Wilms Tumor (Nephroblastoma( MRI: Well-defined heterogeneousmass with low signal intensity on T1-weighted images and high signal intensity on T2-weighted images.
  • 95.
    Timing of surgeryTimingof surgery  NWTSG VS SIOP:NWTSG VS SIOP:  In NWTSGIn NWTSG: surgery with complete resection of a: surgery with complete resection of a resectable tumour is to be performed first.resectable tumour is to be performed first. Chemotherapy first is to be given only for those withChemotherapy first is to be given only for those with irresectable tumour, bilateral wilms tumour, tumourirresectable tumour, bilateral wilms tumour, tumour thrombusthrombus  In SIOPIn SIOP: surgery always is after neoadjuvant: surgery always is after neoadjuvant chemotherapy even for resectable tumourschemotherapy even for resectable tumours  J urol 1998 159 1316-1325J urol 1998 159 1316-1325
  • 96.
    NEPHROBLASTOMANEPHROBLASTOMA prognosis and treatmentprognosisand treatment  Depends upon :Depends upon : stage, age and histologystage, age and histology  Surgery with chemotherapy for :Surgery with chemotherapy for : stage I & II with favorable histologystage I & II with favorable histology surgery with chemotherapy andsurgery with chemotherapy and radiotherapy for higher stages andradiotherapy for higher stages and unfavorable histologyunfavorable histology
  • 97.
    Stage, HistologyStage, HistologySurgerySurgery ChemotherapyChemotherapy Radiotherapy*Radiotherapy* Stage I or II withStage I or II with FHFH Stage I withStage I with anaplasiaanaplasia NephrectomyNephrectomy VincristineVincristine DactinomycinDactinomycin NoneNone Stage III or IV withStage III or IV with FHFH Stage II, III, or IVStage II, III, or IV with focalwith focal anaplasiaanaplasia NephrectomyNephrectomy VincristineVincristine DactinomycinDactinomycin DoxorubicinDoxorubicin YesYes Stage II, III, or IVStage II, III, or IV with diffusewith diffuse anaplasiaanaplasia Stage I, II, III, or IVStage I, II, III, or IV CCSKCCSK NephrectomyNephrectomy VincristineVincristine DoxorubicinDoxorubicin CyclophosphamidCyclophosphamid ee EtoposideEtoposide YesYes Stage I, II, III, or IVStage I, II, III, or IV RTKRTK NephrectomyNephrectomy CyclophosphamidCyclophosphamid ee EtoposideEtoposide CarboplatinCarboplatin YesYes
  • 98.
    TREATMENTTREATMENT  Pre-operative chemoshould be given to patientsPre-operative chemo should be given to patients withwith  Bilateral involvementBilateral involvement  Inoperable disease at explorationInoperable disease at exploration  IVC extension above portal veinsIVC extension above portal veins  Primary nephrectomy for other patientsPrimary nephrectomy for other patients  Initial biopsy then chemotherapy then 2Initial biopsy then chemotherapy then 2ndnd look atlook at 8 – 10 weeks for bilateral disease8 – 10 weeks for bilateral disease
  • 99.
    COMPLICATIONSCOMPLICATIONS  Following irradiationFollowingirradiation  ScoliosisScoliosis  Hypogonadism & temporary azoospermiaHypogonadism & temporary azoospermia  Ovarian failure (12%)Ovarian failure (12%)  Second malignancySecond malignancy  Following chemotherapyFollowing chemotherapy  CCF following treatment with DoxorubicinCCF following treatment with Doxorubicin
  • 100.
    RevisionRevision  What isthe most common primary malignantWhat is the most common primary malignant renal tumour of childhood?renal tumour of childhood?  Wilms' tumour (a.k.a. nephroblastoma)Wilms' tumour (a.k.a. nephroblastoma)  What is the embryologic origin of Wilms'What is the embryologic origin of Wilms' tumour?tumour?  •• develops from remnants of immature kidneydevelops from remnants of immature kidney  What pathologic markers are associated w/What pathologic markers are associated w/ favourable outcome in Wilms'?favourable outcome in Wilms'?  •• classic (triphasic) composition: blastemal,classic (triphasic) composition: blastemal, epithelial, stromal elementsepithelial, stromal elements  →→ worse w/ more blastemal elementsworse w/ more blastemal elements