Leukemias
Seyed Morteza Mahmoodi
Maryam Bulooshi
Nadia choudhry
Acute Lymphoblastic
Leukemia
Acute and Chronic
Myelogenous Leukemia
Leukemia with Down
syndrome
Contents
Acute Lymphoblastic
Leukemia
Contents
INTRODUCTION
TREATMENT
CLASSIFICATION
EITIOLOGY
DIAGNOSIS
CLINICAL
PRESENTATION
Acute Lymphoblastic
Leukemia
Contents
INTRODUCTION
TREATMENT
CLASSIFICATION
EITIOLOGY
DIAGNOSIS
CLINICAL
PRESENTATION
 The most common malignant neoplasms of
childhood are………………
INTRODUCTION
 The most common malignant neoplasms of
childhood are Leukemias.
INTRODUCTION
 The most common malignant neoplasms of
childhood are Leukemias.
 Which one is the commonest type of
childhood Leukemias?
AML
ALL
CML
JCML
INTRODUCTION
 The most common malignant neoplasms of
childhood are Leukemias
 Which one is the commonest type of
childhood Leukemias?
AML …………….%
ALL …………….%
CML .……………%
JCML …………….%
INTRODUCTION
 The most common malignant neoplasms of
childhood are Leukemias
 Which one is the commonest type of
childhood Leukemias?
AML …………….%
ALL 80%
CML .……………%
JCML …………….%
INTRODUCTION
 The most common malignant neoplasms of
childhood are Leukemias
 Which one is the commonest type of
childhood Leukemias?
AML 10%
ALL 80%
CML 2-3%
JCML 1-2%
INTRODUCTION
Acute Lymphoblastic
Leukemia
Contents
INTRODUCTION
TREATMENT
CLASSIFICATION
EITIOLOGY
DIAGNOSIS
CLINICAL
PRESENTATION
CLASSIFICATION
EITIOLOGY
FAB
WHO
Immunophenotypic
L1 L2
L3
 1- Acute lymphoblastic leukemia/lymphoma
Synonyms: Former Fab L1/L2
• Precursor B acute lymphoblastic
leukemia/lymphoma. Cytogenetic subtypes:
t(12;21)(p12,q22) TEL/AML-1
t(1;19)(q23;p13) PBX/E2A
t(9;22)(q34;q11) ABL/BCR
T(V,11)(V;q23) V/MLL
• Precursor T acute lymphoblastic
leukemia/lymphoma
 2-Burkitt's leukemia/lymphoma Synonyms:
Former FAB L3
 3-Biphenotypic acute leukemia
CLASSIFICATION
EITIOLOGY
 B-cell ALL
• Early pre-B ALL (pro-B ALL) - 10%
• common ALL - 50%
• pre-B ALL - 10%
• mature B-cell ALL (Burkitt leukemia) - 4%
 T-cell ALL
• pre-T ALL - 5% to 10%
• mature T-cell ALL - 15% to 20%
CLASSIFICATION
EITIOLOGY
Acute Lymphoblastic
Leukemia
Contents
INTRODUCTION
TREATMENT
CLASSIFICATION
EITIOLOGY
DIAGNOSIS
CLINICAL
PRESENTATION
CLINICAL
PRESENTATION
CLINICAL
PRESENTATION
 Common presentations of all acute
Leukemias?
1)
2)
3)
CLINICAL
PRESENTATION
 Common presentations of all acute
Leukemias?
1) Fever
2) Fatigue
3) Bleeding
  Feature Percent of Total
Children
Fever 57
Fatigue 50
Bleeding 43
Bone or joint pain 25
Lymphadenopathy 70
Marked (>3 cm) 15
Hepatomegaly 66
Marked (below umbilicus) 17
Splenomegaly 60
Marked (below umbilicus) 17
Mediastinal mass 8
CNS leukemia 3
Testicular leukemia 1
 An anterior mediastinal mass
 Superior vena cava syndrome
• Cough, dyspnea, orthopnea, dysphagia, stridor,
cyanosis, facial edema, increased intracranial
pressure, syncope
 Ocular involvement
 Cranial nerve palsy
 Epidural spinal cord compression
 Enlarged salivary glands (Mikulicz syndrome)
 Subcutaneous nodules (leukemia cutis)
 Priapism
 Infiltration of tonsils, adenoids, appendix, or
mesenteric lymph nodes
CLINICAL
PRESENTATION
Differential Diagnosis
 At early presentations
 Late presentation
 CBC picture
 Microscopic blood picture
Differential Diagnosis
 Aplastic anemia
 Idiopathic thrombocytopenic purpura
 Recent viral infection
 Infectious mononucleosis
 Pertussis or parapertussis
 Small round cell tumors involving the bone
marrow, including neuroblastoma,
rhabdomyosarcoma, and retinoblastoma
 Juvenile rheumatoid arthritis, rheumatic
fever, other collagen diseases, or
osteomyelitis
Acute Lymphoblastic
Leukemia
Contents
INTRODUCTION
TREATMENT
CLASSIFICATION
EITIOLOGY
DIAGNOSIS
CLINICAL
PRESENTATION
DIAGNOSIS
DIAGNOSIS
 ESR, CRP
 Bleeding profile
 Electrolytes
 LDH
 LFT
 RFT
 Serum Igs
 Urinalysis
DIAGNOSIS
 What should we do if we found
blasts?
 F_ _ _ C _ _ _ _ _ _ _ _
DIAGNOSIS
 FLOW CYTOMETRY
DIAGNOSIS
EGIL-Score for biphenotypic leukemias
Score B-lymphocytic T-lymphocytic Myeloid
2 CD79
(cyt/membrane)
CD22
(cyt/membrane)
cyt.IgM
CD3
(cyt/membrane)
TCR-a/b
TCR-g/d
Myelo-
peroxidase
(cytopl.)
1 CD19
CD10
CD20
CD2
CD5
CD8
CD10
CD13
CD33
CDw65
0.5 TdT
CD24
CD14
CD15
CD64
CD117*
B Lineage T Lineage
CD19/CD79a/CD22 CD3 (surface/cytoplasmic)
Pre-pre-B ALL — Precursor T ALL CD1a, CD2,
CD5, CD7,
CD8, cCD3
Common ALL CD10 (CALLA) Mature T ALL Surface CD3
(plus any other
T-cell markers)
Pre-B ALL Cytoplasmic
IgM
Mature B-cell
ALL
Cytoplasmic or
surface Ig
A
LL
AM
L
Acute Lymphoblastic
Leukemia
Contents
INTRODUCTION
TREATMENT
CLASSIFICATION
EITIOLOGY
DIAGNOSIS
CLINICAL
PRESENTATION
 How much is the cure rate?????????
TREATMENT
 Around 85%
TREATMENT
TREATMENT
Remission Induction
Intensification
Maintenance Therapy
Outcomes of treatment
 A remission (complete remission)
 Minimal residual disease
 Active disease
Prognosis
 Sex
 Ethnicity
 Age at diagnosis
 Whether the cancer has spread to the brain or
spinal cord
 Initial white blood cell count
 Response of patient to initial treatment
 Genetic disorders such as Down's Syndrome
 ALL subtype
 Cytogenetics
 Chromosome translocations
Childhood Acute Lymphoblastic Leukemia

Childhood Acute Lymphoblastic Leukemia

Editor's Notes

  • #11 bimodal age distribution: an early peak at around 4 to 5 years where the incidence may be as high as 4 to 5 per 100,000 population, followed by a second gradual increase at around age 50 where it reaches up to 2 per 100,000 population
  • #12 Blasts"The immature blood cells of an acute leukemia are generally called blasts. One has to be aware, that in bone marrow a small number of blasts is absolutely normal. A malignant blast population may be detected because of Increase of immature cells  Abnormal marker expression of immature cells
  • #14 based on morphologic criteria (cell size, cytoplasm, nucleoli, basophilia, and vacuolation) Whereas the morphologic distinction between L1 and L2 has lost its prognostic significance, L3 morphology is associated with mature B-cell ALL (Burkitt's lymphoma) and is characterized by a high rate of cell turnover giving rise to the "starry sky" pattern on marrow biopsies the morphologic distinction of L1, L2, and L3 morphologies is abandoned as no longer relevant. Both FAB and WHO classification systems continue to rely heavily on morphological assessment
  • #15 L1 ALL - uniform small blasts, scanty cytoplasm, high nuclear cytoplasmic ratio L2 ALL - blast cells are larger, heterogeneous, lower nuclear cytoplasmic ratio, prominent nucleoli L3 ALL – blasts are large with prominent nucleoli, strongly basophilic cytoplasm, and cytoplasmic vacuoles
  • #16 The recent WHO International panel on ALL recommends that the FAB classification be abandoned, since the morphological classification has no clinical or prognostic relevance. It instead advocates the use of the immunophenotypic classification mentioned below.
  • #18 Genetic predisposition Trisomy 21, Klinefelter's syndrome, Inherited diseases with excessive chromosomal fragility such as Fanconi's anemia, Bloom's syndrome, and ataxia-telangiectasia Infectious etiologies: HTLV-1 as the etiologic agent of adult T-cell leukemia/lymphoma (ATLL) Epstein-Barr virus (EBV) with mature B-cell ALL HIV-related lymphoproliferative disorders Varicella and influenza viruses Radiation Benzene and other chemicals A genetic predisposition to ALL can be deduced from a higher incidence of ALL among mono- and dizygotic twins of ALL patients trisomy 21, Klinefelter's syndrome, and inherited diseases with excessive chromosomal fragility such as Fanconi's anemia, Bloom's syndrome, and ataxia-telangiectasia have a higher risk of developing ALL (10–14). Recent studies have implicated a protective effect of a polymorphism in the methylenetetrahydrofolate reductase (MTHFR) gene in infant and adult ALL, pointing toward genetic susceptibility genes as part of ALL etiology Infectious etiologies are implicated in the pathogenesis of ALL (17,18). Associations have been described with HTLV-1 as the etiologic agent of adult T-cell leukemia/lymphoma (ATLL) (19), and Epstein-Barr virus (EBV) with mature B-cell ALL and HIV-related lymphoproliferative disorders (20). Associations have further been suggested with varicella and influenza viruses
  • #24 headache, nausea and vomiting, lethargy, irritability, nuchal rigidity, papilledema.
  • #25 are pallor, petechiae, and ecchymosis in the skin and mucous membranes and bone tenderness Liver, spleen, and lymph nodes are the most common sites of extramedullary involvement An anterior mediastinal (thymic) mass is present in 7 to 10 percent of childhood cases A bulky, anterior mediastinal mass can compress the great vessels and trachea and possibly lead to the superior vena cava syndrome or the superior mediastinal syndrome. 68 Patients with this syndrome present with cough, dyspnea, orthopnea, dysphagia, stridor, cyanosis, facial edema, increased intracranial pressure, and sometimes syncope Painless enlargement of the scrotum can be a sign of a testicular leukemia or hydrocele, ocular involvement (leukemic infiltration of the orbit, optic nerve, retina, iris, cornea, or conjunctiva), subcutaneous nodules (leukemia cutis), enlarged salivary glands (Mikulicz syndrome), cranial nerve palsy, and priapism (resulting from leukostasis of the corpora cavernosa and dorsal veins or sacral nerve involvement). Epidural spinal cord compression at presentation is a rare but serious finding that requires immediate treatment to prevent permanent paraparesis or paraplegia. In some pediatric patients, infiltration of tonsils, adenoids, appendix, or mesenteric lymph nodes leads to surgical intervention before leukemia is diagnosed. ALL is associated with exposure to radiation and chemicals in animals and humans. The association of radiation and leukemia in humans has been clearly established in studies of victims of the Chernobyl nuclear reactor and atom bombs in Hiroshima and Nagasaki. In animals, exposure to benzene and other chemicals can cause leukemia. Epidemiological studies have associated leukemia with workplace exposure to chemicals, but these studies are not as conclusive. Patients who are treated for other cancers with radiation and chemotherapy often develop leukemias as a result of that treatment
  • #26 he needs further information about what he sees? E.g., a patient shows an increase of lymphocytes in his blood. The reason for this may be a leukemia or it may just be a reaction to a viral infection. With flow cytometry this important discrimination is rather easy. Another example: in the microscope you definitely spot blasts, you are sure that the patient has an acute leukemia. But what kind. It may be an acute lymphocytic leukemia or an acute myeloid leukemia. This distinction is important for therapy and for prognosis. Flow cytometry usually can give the answer. Sometimes flow cytometry helps to define the leukemia subgroup. For example the so called M7, the megakaryoblastic leukemia. Flow cytometry also helps to define lymphoma subgroups, for example the distinction between CLL, hairy cell leukemia or other subgroups.
  • #27 large platelets in blood films, normal hemoglobin concentration, and absence of leukocyte abnormalities in blood or marrow Patients with ALL or aplastic anemia can present with pancytopenia and complications associated with marrow failure. However, in aplastic anemia, hepatosplenomegaly and lymphadenopathy are rare, and the skeletal changes associated with leukemia are absent. The results of bone marrow aspiration or biopsy usually distinguish between the two diseases, although the diagnosis can be difficult in a patient who has hypocellular marrow that is later replaced by lymphoblasts. In one study, transient pancytopenia preceded ALL in 2 percent of all pediatric cases. 75 During the preleukemic phase in these patients, PCR analysis demonstrated monoclonality. ALL should be considered in the differential diagnosis of patients with hypereosinophilia, which can be a presenting feature of leukemia or can precede its diagnosis by several months Infectious mononucleosis and other viral infections, especially those associated with thrombocytopenia or hemolytic anemia, can be confused with leukemia. Patients with acute infectious lymphocytosis, pertussis or parapertussis can have marked lymphocytosis However, even when leukocyte counts are as high as 50 x 109/liter, the affected cells are mature lymphocytes rather than lymphoblasts. Bone pain, arthralgia, and occasionally arthritis mimic juvenile rheumatoid arthritis, rheumatic fever, other collagen diseases, or osteomyelitis. Bone marrow should be examined if glucocorticoid treatment is planned for presumed rheumatoid diseases.
  • #30 WBC Normal, Reduced 0.1 thou, increased 10-12 tho, Hyperleukocytosis 1 million 500 thousand Most patients have circulating leukemic blast cells. Hypereosinophilia, generally reactive, may precede the diagnosis of ALL by several months. 70 Some patients, principally male, have ALL with the t(5;14)(q31;q32) chromosomal abnormality and a hypereosinophilic syndrome (pulmonary infiltration, cardiomegaly, and congestive heart failure). These patients often do not have circulating leukemic blasts or other cytopenias and have a relatively low percentage of blasts in the bone marrow CBC (Anemia, neutropenia, and thrombocytopenia) leukocyte counts range widely, from 0.1 to 1500 x 109/liter (median 10–12 x 109/liter). Hyperleukocytosis (>100 x 109/liter) is seen in 10 to 16 percent of patients. Profound neutropenia (<0.5 x 109/liter) is found in 20 to 40 percent of patients, rendering them at high risk for infection Most patients have circulating leukemic blast cells. Hypereosinophilia, hypereosinophilic syndrome (pulmonary infiltration, cardiomegaly, and congestive heart failure). These patients often do not have circulating leukemic blasts or other cytopenias and have a relatively low percentage of blasts in the bone marrow Occasionally, a child with ALL has a hemoglobin level as low as 1 g/dl. Decreased platelet counts often are seen at diagnosis (median, 48–52 x 109/liter). Occasional patients, principally male, present with thrombocytosis (>400 x 109/liter). Decreased platelet counts often are seen at diagnosis (median, 48–52 x 109/liter). This finding differs from immune thrombocytopenia because the decreased platelet counts almost always are accompanied by anemia, leukocyte abnormalities, or both.
  • #31 WBC Normal, Reduced 0.1 thou, increased 10-12 tho, Hyperleukocytosis 1 million 500 thousand Most patients have circulating leukemic blast cells. Hypereosinophilia, generally reactive, may precede the diagnosis of ALL by several months. 70 Some patients, principally male, have ALL with the t(5;14)(q31;q32) chromosomal abnormality and a hypereosinophilic syndrome (pulmonary infiltration, cardiomegaly, and congestive heart failure). These patients often do not have circulating leukemic blasts or other cytopenias and have a relatively low percentage of blasts in the bone marrow CBC (Anemia, neutropenia, and thrombocytopenia) leukocyte counts range widely, from 0.1 to 1500 x 109/liter (median 10–12 x 109/liter). Hyperleukocytosis (>100 x 109/liter) is seen in 10 to 16 percent of patients. Profound neutropenia (<0.5 x 109/liter) is found in 20 to 40 percent of patients, rendering them at high risk for infection Most patients have circulating leukemic blast cells. Hypereosinophilia, hypereosinophilic syndrome (pulmonary infiltration, cardiomegaly, and congestive heart failure). These patients often do not have circulating leukemic blasts or other cytopenias and have a relatively low percentage of blasts in the bone marrow Occasionally, a child with ALL has a hemoglobin level as low as 1 g/dl. Decreased platelet counts often are seen at diagnosis (median, 48–52 x 109/liter). Occasional patients, principally male, present with thrombocytosis (>400 x 109/liter). Decreased platelet counts often are seen at diagnosis (median, 48–52 x 109/liter). This finding differs from immune thrombocytopenia because the decreased platelet counts almost always are accompanied by anemia, leukocyte abnormalities, or both.
  • #32 Coagulopathy, usually mild, can be seen in 3 to 5 percent of patients, most of whom have T cell ALL The level of serum lactate dehydrogenase is increased in most patients with ALL and is well correlated with the size of the leukemic infiltrate. 77 Increased levels of serum uric acid are common in patients with a large leukemic cell burden, a finding that reflects an increased rate of purine catabolism. Patients with massive renal involvement can have increased levels of creatinine, urea nitrogen, uric acid, and phosphorus. Occasionally, patients with T cell ALL present with acute renal failure, despite a relatively small leukemic infiltrate. 78 Rarely, patients present with hypercalcemia resulting from release of parathyroid hormone-like protein from lymphoblasts and leukemic infiltration of bone. 79 Liver dysfunction as a result of leukemic infiltration occurs in 10 to 20 percent of patients, usually is mild, and has no important clinical or prognostic consequences. 59 Serum immunoglobulin levels (mostly IgA and IgM classes) are modestly decreased in approximately one third of children with ALL. The reduction reflects the decreased number and impaired function of normal lymphocytes. 80 Urinalysis may show microscopic hematuria and the presence of uric acid crystals. Chest radiography: Evaluate for a mediastinal mass. In general, no other imaging studies are required. However, if the physical examination reveals enlarged testes, perform ultrasonography to evaluate for testicular infiltration. Testicular ultrasonography: Perform testicular ultrasonography if the testes are enlarged on physical examination. Renal ultrasonography: Some clinicians prefer to evaluate for leukemic kidney involvement to assess the risk of tumor lysis syndrome. Echocardiography and ECG: Obtain an echocardiogram and an ECG before anthracyclines are administered. potassium, phosphorus
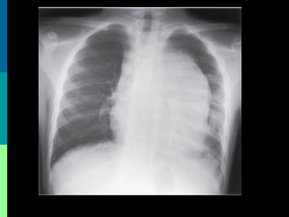
  • #33 Chest radiography is needed to detect enlargement of the thymus or mediastinal nodes, with or without pleural effusion (see Fig. 91-3). Although bony abnormalities, such as metaphyseal banding, periosteal reactions, osteolysis, osteosclerosis, and osteopenia, can be found in 50 percent of patients, especially children with low leukocyte counts at presentation, 81 skeletal roentgenography is not necessary for case management. Spinal roentgenography is useful in patients with suspected vertebral collapse.
  • #34 Testicular ultrasonography Renal ultrasonography Echocardiography and ECG
  • #38 Flow cytometry can answer this question quickly and reliably. Some antigens are typical for AML others for ALL. Some antigens are typical for B-ALL others for T-ALL. How reliably a marker defines a lineage can be estimated from a table published by the European group for the immunophenotyping of leukemias (EGIL).
  • #41 Precursor T-cell acute lymphoblastic leukemia/lymphoma. Flow cytometry. Staining pattern seen in a marrow cells from a patient with acute lymphoblastic leukemia/lymphoma, precursor T-cell type. The upper left panel shows the pattern of leukocyte common antigen (CD45) versus side-scatter analysis. Lymphoblasts have slightly dimmer CD45 staining than mature lymphocytes but merges with the normal lymphocyte population. The upper middle and upper right panels show that the bright CD45+ population (indicated by R1 and shown in red on gated graphs) contains a subpopulation of cells that are negative for surface CD3 and surface CD19 but co-express CD4 and CD8 (a common thymocyte phenotype). In this case, the CD4+/CD8+ population accounts for approximately 26% of all cells in the marrow. The lower row of dot plots indicates that this population is surface CD3 negative, surface CD5 positive, surface CD7 positive, and co-expresses cytoplasmic CD3 and terminal deoxynucleotidyl transferase (TdT). TdT is a nuclear antigen, but can be assessed by flow cytometry using permeabilization methods that are also used for assessing cytoplasmic marker staining (cellular fixation in formalin, followed by incubation of antibody with cells in a very weak detergent solution).
  • #42 Precursor B ALL blasts are positive for TdT, HLA-DR, CD19, and CD79a. Different stages of maturation have been defined as pre-pre-B ALL (pro-B-ALL), common ALL, and pre-B ALL. Whereas pre-pre-B ALL blasts are positive for CD19, CD79a, or CD22, but no other B-cell differentiation antigens, common ALL (cALL, early pre-B-ALL) is characterized by expression of CD10 (common ALL antigen, CALLA), and pre-B-ALL by expression of cytoplasmic immunoglobulins with or without CD10. Mature B-cell ALL (Burkitt's lymphoma) blasts are positive for surface immunoglobulins (sIg, usually IgM), are clonal for or light chains, and are negative for TdT. Similarly to B-lineage ALL, T ALL can be further stratified into subtypes based on different stages of intrathymic differentiation (37,38). Surface CD3 (sCD3) is the most lineage-specific marker for T-cell differentiation and is typically positive in mature T ALL. Mature T ALL is also positive for either CD4 or CD8 but not both. Blasts in pre-T-ALL are negative for sCD3, but may still express cytoplasmic CD3 (39). Pre-T-ALL is negative for both CD4 and CD8. CD52 is expressed in about 30 to 50% of cases of T ALL. It is not lineage-specific, but may have therapeutic significance when using the anti-CD52 monoclonal antibody alemtuzumab. Coexpression of markers from more than one lineage can be demonstrated in 15 to 50% in adult ALL and 5 to 35% in children (40–44). Using flow cytometry, lineage can be assigned in more than 95% of cases and truly biphenotypic leukemias are rare (45,46).
  • #43 T(1;19)(Q23;P13.3) oligonucleotide or cDNA microarray technologies are being investigated to identify previously unrecognized molecular ALL subtypes
  • #44 TRISOMY 8 (+8), G-BANDING
  • #45 DUP(1)(Q12-21) G-BANDING
  • #46 del(6)(q15-q22) G-banding. Arrow indicates deletion on long arm of chromosome 6.
  • #51 A: ALL, less nucleoli, condensed nuclear chromatin, and cytoplasmic granules are absent. B: AML, delicate nuclear chromatin, prominent nucleoli, and fine azurophilic cytoplasmic granules.. A & B are AML while C & D are ALL
  • #56 The combination of vincristine, corticosteroids, and anthracyclines achieves complete remission (CR) rates of 72 to 92% with a median remission duration of around 18 months and has been the backbone of ALL induction regimens (102). Dexamethasone is often substituted for prednisone because of better in vitro antileukemic activity and achievement of higher drug levels in the cerebrospinal fluid (CSF) (103,104). Intensification of induction by use of additional agents has positively influenced outcome in some ALL subsets [e.g., T-lineage ALL (cytarabine and cyclophosphamide) and mature B ALL (fractionated doses of cyclophosphamide and high-dose methotrexate)] (90,91,95,105–107). Hematopoietic growth factors high-dose methotrexate in standard risk B-lineage ALL; cyclophosphamide and cytarabine in T-lineage ALL; and high-dose methotrexate and high-dose cytarabine in high-risk B-lineage ALL. No maintenance therapy is given in mature B-cell ALL Philadelphia chromosome (Ph)-positive ALL remains disputed, but requires reconsideration in view of the emergence of effective BCR-ABL tyrosine kinase inhibitors such as imatinib
  • #57 A remission (complete remission) is usually defined as having no evidence of disease after treatment. This means the bone marrow contains fewer than 5% blast cells, the blood cell counts are within normal limits, and there are no signs or symptoms of the disease. A molecular complete remission means there is no evidence of leukemia cells in the bone marrow, even when using very sensitive tests, such as PCR. Minimal residual disease is a term used after treatment when leukemia cells can't be found in the bone marrow using standard tests (such as looking at cells under a microscope), but more sensitive tests (such as flow cytometry or polymerase chain reaction) find evidence that leukemia cells remain in the bone marrow. Active disease means that either there is evidence that the leukemia is still present during treatment or that the disease has relapsed (come back) after treatment. For a patient to be in relapse, they must have more than 5% blast cells present in the bone marrow.
  • #58 Age: Younger patients tend to have a better prognosis than older patients. There is no set cutoff for this, but generally those younger than 50 do better than those in their 50s, while people in their 50s do better than those in their 60s or older. Initial white blood cell count: People with a lower WBC count (less than 50,000) at the time of diagnosis tend to have a better prognosis. ALL subtype: In general, T-cell ALL has a better prognosis, while mature B-cell ALL (Burkitt leukemia) has a poorer prognosis. Other subtypes of B-cell ALL fall somewhere in between. It's important to note that these rules aren't absolute. For instance, some subtypes of T-cell ALL have a better outlook than others. Chromosome translocations: The presence of Philadelphia chromosome (a translocation between chromosomes 9 and 22), which is found in 20% to 25% of ALL cases, predicts a poorer prognosis. The same is true of a translocation between chromosomes 4 and 11, which is found in about 5% of cases. Response to chemotherapy: Patients who achieve a complete remission (no evidence of leukemia remaining) within 4 to 5 weeks of starting therapy tend to have a better prognosis than those in whom this takes longer. Patients who don't achieve a complete remission at all have a poorer outlook. The prognostic value of minimal residual disease (described below) is still being studied. Sex: females tend to fare better than males. Ethnicity: Caucasians are more likely to develop acute leukemia than African-Americans, Asians and Hispanics and tend to have a better prognosis than non-Caucasians. Age at diagnosis: children between 1-10 years of age are most likely to develop ALL and to be cured of it. Cases in older patients are more likely to result from chromosomal abnormalities (e.g. the Philadelphia chromosome) that make treatment more difficult and prognoses poorer. White blood cell count at diagnosis of less than 50,000/µl Whether the cancer has spread to the brain or spinal cord Morphological, immunological, and genetic subtypes Response of patient to initial treatment Genetic disorders such as Down's Syndrome Cytogenetics, the study of characteristic large changes in the chromosomes of cancer cells, has been increasingly recognized as an important predictor of outcome in ALL.[12] Some cytogenetic subtypes have a worse prognosis than others. These include: A translocation between chromosomes 9 and 22, known as the Philadelphia chromosome, occurs in about 20% of adult and 5% in pediatric cases of ALL. A translocation between chromosomes 4 and 11 occurs in about 4% of cases and is most common in infants under 12 months. Not all translocations of chromosomes carry a poorer prognosis. Some translocations are relatively favorable. For example, Hyperdiploidy (>50 chromosomes) is a good prognostic factor.