Myeloproliferative Neoplasms (MPNs)
By:
Ahmed Makboul Ahmed
M.B.B.Ch, M.Sc
Assistant Lecturer, Clinical Pathology Department, South Egypt Cancer Institute
Overview:
- MPNs are clonal hematopoietic neoplasms characterized by bone marrow
hypercellularity and intact maturation with effective hematopoiesis resulting in
elevations of ≥ 1 hematopoietic lineages in blood.
• Myeloblasts not substantially increased and dysplasia is not significant in chronic
phase of MPN.
• Molecular genetic abnormalities are present in MPN and define some subtypes.
- Splenomegaly and hepatomegaly are common and caused by the sequestration of
excess blood cells, extramedullary hematopoiesis, or both.
- Despite an insidious onset, each MPN entity has the potential to progress to BM failure
due to myelofibrosis, ineffective hematopoiesis, transformation to a blast phase, or any
combination of these events. Disease progression is usually accompanied by genetic
evolution.
Disease progression in MPN patients:
Disease progression in MPN patients:
The 2017 WHO Classification of MPN:
The 2017 WHO Classification of MPN
Chronic myeloid leukemia (CML), BCR-ABL1–positive
Chronic neutrophilic leukemia (CNL)
Polycythemia vera (PV)
Primary myelofibrosis (PMF)
Primary myelofibrosis, prefibrotic/early stage
Primary myelofibrosis, overt fibrotic stage
Essential thrombocythemia (ET)
Chronic eosinophilic leukemia, not otherwise specified (CEL, NOS)
Myeloproliferative neoplasm, unclassifiable (MPN-U)
Chronic Myeloid Leukemia, BCR-ABL1 Positive
TERMINOLOGY:
Definition:
•Specific subtype of myeloproliferative neoplasm that harbors BCR-ABL1 gene fusion.
oBCR-ABL1 fusion gene results from reciprocal translocation involving long arms of
chromosomes 9 and 22.
oResults in production of abnormal tyrosine kinase protein.
•3 classically defined phases of disease: Chronic, Accelerated, and Blast:
oChronic: 1 - 9% blasts: indolent.
oAccelerated phase (10-19% blasts as one example): Disease progression.
oBlast phase (≥ 20% blasts): Aggressive disease, often refractory to therapy.
•The natural history of untreated CML is bi- or triphasic: an initial indolent chronic phase
(CP) is followed by an accelerated phase (AP), a blast phase (BP) or both.
ETIOLOGY/PATHOGENESIS:
t(9;22)(q34;q11.2):
- Reciprocal translocation following breakpoints
at BCR and ABL1 loci.
- Translocation is balanced in majority of cases.
- t(9;22)(q34;q11.2) fuses 3’ sequences from
ABL1 to 5’ sequences from BCR.
ABL1 breakpoint:
• ABL1 gene is located on 9q34.
• ABL1 breakpoint typically occurs between
exon 1 and 2 (a2).
BCR breakpoints:
At least 3 different breakpoints:
1. Major breakpoint cluster region (M-BCR):
• Encodes a p210 fusion protein.
• M-BCR present in 99% of CML and 40% of adult Ph(+) B-cell ALL cases.
2. Minor breakpoint cluster region (m-BCR):
• m-BCR encode a p190 fusion protein.
• m-BCR present in 90% of pediatric ALL and 60% of adult ALL.
• m-BCR is also present in rare CML cases (1%).
3. Micro breakpoint cluster region (µ-BCR):
• µ-BCR encodes a p230 fusion protein.
• CML cases with this fusion show prominent neutrophils &/or conspicuous thrombocytosis.
The Philadelphia Chromosome
The Philadelphia Chromosome
CLINICAL FEATURES:
• Age:
oThe median age at diagnosis is 65 years, but children as young as 3 years can be
affected.
• Gender:
oA slight male predominance is observed.
• Clinical picture:
oPatients are often initially identified due to leukocytosis being found during routine
blood work, because approximately half of the patients at diagnosis do not have
symptoms.
oThe other half complain of fatigue, malaise, weight loss, or night sweats.
• Physical examination:
oSplenomegaly and hepatomegaly are seen in about 50% and 20% of patients,
respectively.
MICROSCOPIC PATHOLOGY:
CHRONIC PHASE:
Peripheral Blood:
WBCs:
• Granulocytic leukocytosis with left shift to immaturity.
• Predominance of neutrophils and myelocytes (2
peaks).
• < 10 % blasts (Usually 1 – 9%).
• Basophilia.
• Often eosinophilia.
• Absolute monocyte count is elevated (> 1 x 109/L);
but the percentage is usually < 3%.
• No significant granulocytic dysplasia or toxic
changes.
RBCs:
• No or mild anemia.
• Circulating nucleated red blood cells.
Platelets:
• Preserved/elevated platelet count. Marked thrombocytosis is unusual.
• Atypical large platelets or megakaryocytic cytoplasmic fragments; circulating
megakaryocytic nuclei.
Bone marrow aspirate:
Cellularity:
• Hypercellular for age due to marked granulocytic
proliferation.
Erythroid Series:
• Erythroid precursors are reduced in percentage
but show normal maturation.
Granulocytic Series:
• Usually 1 – 9%.
o10% or more indicates disease progression.
• Myeloid:erythroid (M:E) ratio > 10:1.
• Predominance of neutrophils and myelocytes (2
peaks).
• Minimal/absent dysplasia.
Megakaryocytic Series:
• Usually increased megakaryocytes.
• Distinctive megakaryocytic morphology; small and
monolobulated (so-called dwarf megakaryocytes).
Other Findings:
• Sea-blue histiocytes due to increased cell
turnover. These cells carry BCR-ABL1 because
they are progeny of the affected leukemic stem
cell.
Bone marrow core biopsy:
Cellularity:
• 95% cellular due to marked granulocytic predominance.
Erythroid Series:
• Decreased erythroid lineage.
Granulocytic Series:
• Marked granulocytic predominance.
• M:E ratio > 10:1.
• No clusters of blasts.
Megakaryocytic Series:
• Small, monolobulated, (dwarf) megakaryocytes.
Other Findings:
• May see increased reticulin fibrosis.
Disease progression:
ACCELERATED PHASE (AP):
The 2017 WHO criteria for diagnosis of accelerated phase include:
1. Hematologic criteria:
- Persistent or increasing WBC count (>10 x 109/L), unresponsive to therapy.
- Persistent or increasing splenomegaly, unresponsive to therapy.
- Persistent thrombocytosis (>1000 x 109/L), unresponsive to therapy.
- Persistent thrombocytopenia (<100 x 109/L) unrelated to therapy.
- 20% or more basophils in the peripheral blood.
- 10% - 19% blasts in the peripheral blood or bone marrow.
2. Cytogenetic criteria:
- Additional clonal chromosomal abnormalities in Ph+ cells at diagnosis that include “major
route” abnormalities (second Ph, trisomy 8, isochromosome 17q, trisomy 19), a complex
karyotype, or abnormalities of 3q26.2.
- Any new clonal chromosomal abnormality in Ph+ cells that occurs during therapy.
3. Provisional response to tyrosine kinase inhibitor criteria:
- Hematologic resistance to the first TKI (or failure to achieve a complete hematologic
response to the first TKI).
or
- Any hematologic, cytogenetic, or molecular indications of resistance to two sequential
TKIs.
or
- Occurrence of two or more mutations in BCR-ABL1 during TKI therapy.
Any one or more of the previous hematologic/cytogenetic criteria or
response to TKI criteria diagnose CML accelerated phase
BLAST PHASE (BP):
The BP is diagnosed when:
- Blasts equal or are greater than 20% of the peripheral blood WBC or of the nucleated cells of the
BM.
OR
- When there is an extramedullary blast proliferation.
Types of blast phase:
• 70-80% myeloid: (70% granulocytic, 10-20% megakaryocytic, < 10% erythroid, < 5%
monocytic).
• 20-30% lymphoid: (90% B-lymphoblastic leukemia, T-lymphoblastic leukemia uncommon).
oPresence of lymphoblasts (detection of any lymphoblasts should raise concern for
impending lymphoid blast phase).
• < 5% biphenotypic.
ANCILLARY TESTS:
1. Immunohistochemistry:
• Role is minimal in chronic-phase CML.
• Blast markers: CD34 &/or CD117, TdT: Assess for increased &/or clustered blasts.
2. Flow Cytometric Immunophenotyping:
• Plays minimal role in chronic-phase CML.
• Useful in blast lineage determination in accelerated/blast phase.
oAberrant antigen expression on blasts not uncommon.
§ Myeloid antigen expression (e.g., CD13, CD33) on lymphoblasts.
§ Lymphoid antigen expression on myeloblasts.
• If concern for lymphoblasts, immunophenotyping is warranted.
3. Conventional Cytogenetic Analysis (Karyotyping):
• Should be performed routinely in work-up for myeloid neoplasm.
• Detection of t(9;22)(q34.1;q11.2):
ot(9;22)(q34.1;q11.2) (or variant) &/or BCR-ABL1 gene fusion required for
diagnosis.
§ t(9;22)(q34.1;q11.2) is most often reciprocal translocation found on derivative
chromosome 22.
ot(9;22)(q34.1;q11.2) reportedly cryptic in 5% of cases (not detected by
karyotyping).
§ Do FISH or molecular for BCR-ABL1 fusion.
• Clonal evolution in accelerated/blast phase:
oAdditional Philadelphia chromosome, trisomy 8, isochromosome (17q), and
trisomy 19 (major route abnormalities).
The Philadelphia Chromosome
4. Fluorescence in Situ Hybridization (FISH):
• Reveals/confirms genetic fusion of BCR-ABL1.
• Advantages:
oMore sensitive than conventional
cytogenetics.
oDetects most cryptic rearrangements.
• Disadvantages:
oRare cryptic rearrangements may be
missed.
oNot sensitive enough for MRD or early
relapse detection.
BCR
ABL1
BCR-ABL
BCR-ABL
5. Molecular RT-PCR Based Studies:
a). Detection of BCR-ABL1 transcripts:
• Multiple primer sets to detect different fusion transcripts.
• Different fusion transcripts show variable association with different disease types:
• p210 seen in most cases of CML.
• p190 seen in majority of cases of pediatric B-lymphoblastic leukemia, BCR-ABL1 positive.
• p230 (rare); associated with neutrophilia and may be thrombocytosis.
• Determination of particular fusion transcript (e.g., p210) is useful for MRD monitoring.
b). ABL1 kinase domain testing:
• Considered in case of TKI resistance to detect mutations in ABL1.
• Prior to mutation testing:
oConfirm TKI treatment compliance.
oRule out drug-drug interaction.
DIFFERENTIAL DIAGNOSIS:
1. Leukemoid reaction:
Criteria CML Leukemoid Reaction
1. Clinical features Splenomegaly According to the cause
2. Peripheral blood:
- Myelocyte & neutrophil peaks: Present Not present
- Basophilia & eosinophilia: Present Not present
- Toxic granulation: Not present Present
3. BM examination: Trilineage hyperplasia Granulocytic hyperplasia
4. NAP score: Low Normal or increased
5. Philadelphia chromosome Positive Negative
2. BCR-ABL1(-) Myeloproliferative Neoplasm:
• Key feature distinguishing from CML is lack of BCR-ABL1.
• JAK2 V617F mutation identified in
o> 95% of polycythemia vera.
o50% of essential thrombocythemia and primary myelofibrosis.
oNot seen in classic CML.
• Also see JAK2 exon 12, CALR, and MPL mutations in specific subsets of these
diseases.
• Chronic neutrophilic leukemia: Most cases show CSF3R mutation.
3. Atypical Chronic Myelogenous Leukemia BCR-ABL1 Negative:
• Unfortunate disease name. No relationship to CML.
• BCR-ABL1 Negative
• Dysplasia prominent
• Recurrent SETBP1 mutations
Polycythemia Vera (PV)
TERMINOLOGY:
Definition:
• Classic myeloproliferative neoplasm (MPN) characterized by:
oIncreased red blood cells (RBCs).
oJAK2 gene gain of function somatic mutation.
Phases of PV:
1. Pre-polycythemic phase with mild erythrocytosis (so-called masked PV): Borderline to only
mild erythrocytosis.
2. Overt polycythemic phase: Associated with significantly increased Hb, Hct, and RBC mass.
3. Spent phase and post-polycythemic myelofibrosis:
• Decrease in RBC mass; patient often anemic.
• Further enlargement of spleen.
• Marked reticulin and collagen fibrosis of BM.
• Extramedullary hematopoiesis.
ETIOLOGY/PATHOGENESIS:
I. JAK2 V617F mutation:
• Detected in > 95% of PV cases.
• Point mutation in exon 14 of pseudokinase
domain:
oSubstitution of a G to T at 1849 position.
oThis substitution leads to substitution of
valine for phenylalanine (V617F).
oMutation involves myeloid lineages and is
absent in lymphocytes.
• Consequences of JAK2 V617F mutation:
oGain-of-function somatic mutation.
oConstitutively activate STAT-mediated
transcription in absence of EPO ligand.
II. JAK2 exon 12 mutations:
• Uncommon, except in JAK2 V617F-negative PV.
• Present in 3% of PV cases.
• JAK2 exon 12 mutations appear to result specifically in an erythrocytosis
phenotype.
CLINICAL FEATURES:
• Age:
oThe average age at diagnosis is 60 years.
• Gender:
oSlight male predominance.
• Clinical picture:
oMany patients are asymptomatic.
oThe diagnosis may be suspected by the findings of plethora and splenomegaly on
examination or abnormalities on a routine blood count that, in addition to increased
HGB and HCT, often include leukocytosis and/or thrombocytosis.
oThe main causes of morbidity and mortality are due to complications of blood
hyperviscosity, which stems from increases in red cell mass and contributes to an
increased risk of venous and arterial thrombosis.
MICROSCOPIC PATHOLOGY:
1. Pre-polycythemic and polycythemic phases:
Peripheral Blood:
WBCs:
• Neutrophilia and, rarely, basophilia may be present.
• Occasional immature granulocytic cells may be seen in
polycythemic phase.
RBCs:
• Mild to significantly increased normochromic/normocytic
RBCs.
• The RBC indices are usually normal unless there is
concomitant iron deficiency.
Platelets:
• Prominent thrombocytosis in 15% of cases.
Bone marrow examination:
Cellularity:
• Typically, hypercellular for age.
• Increased subcortical cellularity.
• Panmyelosis: prominent erythroid, granulocytic and megakaryocytic proliferation.
Erythroid series:
• Erythropoiesis is prominent, often occurs in expanded erythroid islands.
• It demonstrates normoblastic maturation.
Granulocytic series:
• Granulopoiesis may show a shift toward immaturity.
• There is no increase in the percentage of blasts.
• There is no significant dysplasia.
Megakaryocytic series:
• Increased number of megakaryocytes with variably hyperlobated forms.
2. Spent phase and post-polycythemic myelofibrosis:
Peripheral Blood:
• Peripheral blood with anemia &/or leukoerythroblastic picture.
• Prominent anisopoikilocytosis, including teardrop forms and nucleated RBCs.
• Immature granulocytic cells but no significant dysplastic cells.
Bone marrow examination:
• Cellularity: Variable cellularity but often
hypocellular for age.
• Erythroid & Granulocytic Series:
Decreased erythropoiesis and granulopoiesis.
• Megakaryocytic Series: Megakaryocytes
generally similar to those seen in antecedent
PV.
• Other Findings:
oProminent reticulin and collagen fibrosis.
oOsteosclerosis may be seen in late-stage
disease.
oIncreasing splenomegaly or constitutional
symptoms.
ANCILLARY TESTS:
1. Flow Cytometric Immunophenotyping:
• No consistent immnuophenotypic abnormality described in absence of leukemic
transformation.
2. Conventional Cytogenetic Analysis (Karyotyping):
• Common cytogenetic abnormalities:
oTrisomy 8, trisomy 9, del(20q), del(13q), and del(9p).
oComplex cytogenetic abnormalities in post-polycythemic myelofibrosis.
• Cytogenetic abnormalities in PV patients with transformation to myelodysplastic syndrome
(MDS) or blast phase:
oDetected in virtually all patients with transformation to MDS/blast phase.
oInclude those commonly seen in therapy-related MDS/acute myeloid leukemia.
3. Molecular Genetic Testing:
JAK2 V617F mutation:
• Gain-of-function mutation.
• Mutation occurs in all cells of myeloid lineages.
• Present in 95% of patients with PV.
• JAK2 V617F mutation is homozygous in most PV cases.
JAK2 exon 12 mutations:
• Relatively specific for JAK2 V617F-negative PV.
• 4% frequency among all patients with PV.
• JAK2 exon 12 mutations are often heterozygous.
• Associated with predominantly erythroid myelopoiesis and younger age at diagnosis.
4. Other Laboratory tests:
Serum erythropoietin (EPO):
• Serum EPO levels are typically decreased in PV, in contrast to elevated levels
usually found in secondary polycythemia.
• Measurement of EPO levels is an important study that should be performed early
in the workup of polycythemia.
• A normal EPO level does not necessarily exclude PV or secondary erythrocytosis.
DIAGNOSTIC CRITERIA:
The 2017 WHO Diagnostic Criteria for Polycythemia Vera (PV)
Major Criteria:
1. Hemoglobin > 16.5 g/dL in men, > 16.0 g/dL in women;
or hematocrit > 49% in men, > 48% in women;
or increased red cell mass (More than 25% above mean predicted value).
2. BM biopsy showing hypercellularity for age with trilineage growth (panmyelosis) including
prominent erythroid, granulocytic, and megakaryocytic proliferation with pleomorphic, mature
megakaryocytes (differences in size).
3. Presence of JAK2 V617F or JAK2 exon 12 mutation.
Minor Criterion:
- Subnormal serum erythropoietin level.
Diagnosis of polycythemia vera (PV) requires meeting either all three major criteria or
the first two major criteria and the minor criterion.
The 2017 WHO Diagnostic Criteria for Post-polycythemia vera Myelofibrosis:
Required Criteria:
1. Documentation of a previous diagnosis of WHO-defined polycythemia vera.
2. Bone marrow fibrosis grade 2-3 (on 0-3 scale).
Additional Criteria (two are required):
1. Anemia or sustained loss of either phlebotomy (in the absence of cytoreductive therapy) or cytoreductive treatment
requirement for erythrocytosis.
2. Leukoerythroblastic picture in PB smear.
3. Increasing splenomegaly:
§ defined as either an increase in palpable splenomegaly of > 5 cm from baseline (distance from the left costal
margin) or the appearance of newly palpable splenomegaly.
4. Development of > 1 of 3 constitutional symptoms:
§ > 10% weight loss in 6 months.
§ Night sweats.
§ Unexplained fever (> 37.5° C).
DIAGNOSTIC ALGORITHM:
Essential Thrombocythemia (ET)
TERMINOLOGY:
Definitions:
• Specific subtype of myeloproliferative neoplasm (MPN).
• Hematopoietic proliferation essentially restricted to megakaryocytic lineage.
• Exclusion of other classic MPNs:
oChronic myeloid leukemia, BCR-ABL1 positive.
oPolycythemia vera.
oPrimary myelofibrosis, early phase.
ETIOLOGY/PATHOGENESIS:
Molecular Mutations:
3 driver mutations are identified:
I. JAK2 V617F mutation:
• 1st driver mutation to be identified.
II. MPL W515L mutation:
• 2nd driver mutation to be identified.
• 3-5% of ET cases harbor this mutation.
• Substitution of a G to T at nucleotide 1544.
• Results in substitution of amino acid tryptophan to leucine (W515L).
• General outcome of mutation is promotion of constitutive, cytokine-independent
activation of JAK/ STAT signaling pathway.
III. CALR mutation:
• 3rd driver mutation to be identified.
• 20-25% of ET cases harbor this mutation (CALR + ET).
• 2 most common types of mutations:
oType 1 mutation: A 52-bp deletion (Most common type).
oType 2 mutation: A 5-bp insertion.
• Abnormal function of CALR-mutated protein:
oSuggestion that mutant calreticulin activates JAK-STAT pathway.
oResults in excessive platelet production.
• JAK2, CALR, and MPL mutations are most often mutually exclusive.
oPresence of 1 of these mutations distinguishes reactive disorder from neoplasm.
oThese mutations do not distinguish PMF from PV or ET.
CLINICAL FEATURES:
• Age:
oThe median age at diagnosis is 60 years.
• Gender:
oSlight female predominance.
• Clinical picture:
oPatients are usually asymptomatic.
oPatients may exhibit symptoms such as headaches, blurred vision, dizziness, and
erythromelalgia (redness, burning, pain of distal ends of toes and fingers) due to thrombotic
occlusion of the microvasculature.
oCatastrophic large vessel thrombosis includes stroke, myocardial infarction, deep venous
thrombosis (including splanchnic vein thrombosis), and peripheral arterial thrombosis.
oBleeding is less common than thrombosis.
oSplenomegaly is not as prominent as that of the other MPNs, and it occurs in 15–20% of
patients.
MICROSCOPIC PATHOLOGY:
Peripheral Blood:
WBCs:
• The WBC count and leukocyte differential
are usually normal.
• Mild leukocytosis is sometimes seen.
• White blood cell morphology unremarkable.
• No leucoerythroblastic reaction.
• Neutrophilia uncommon.
• No significant left shift in granulocytic
series.
• No significant basophilia.
• Circulating blasts unusual.
RBCs:
•Red blood cell morphology unremarkable.
•Significant anisopoikilocytosis is
uncommon and teardrop-shaped RBCs are
not observed.
Platelets:
•Variable thrombocytosis but ≥ 450 x 10⁹/L.
•Striking platelet anisocytosis:
oSmall and large platelets.
oHypogranular forms may be seen.
oCirculating megakaryocytic nuclei.
Bone marrow:
Cellularity:
• Normal cellularity to mildly hypercellular.
Erythroid and Granulocytic Series:
• Generally, no significant granulocytic or erythroid proliferation.
• Occasionally may encounter mild granulocytic hyperplasia.
oConsider early phase of primary myelofibrosis.
• Blasts < 5%.
Megakaryocytic Series:
• Striking megakaryocytic proliferation:
oIncreased numbers.
oLoosely clustered.
oMarkedly enlarged, hyperlobated.
oET megakaryocytes are largest of all BM disorders.
Other Findings:
• Absent/minimal reticulin fibrosis.
BM aspirate shows the phenomenon of “pseudoparticle” formation
that may occur as a result of marked thrombocytosis and extensive
platelet clumping in vitro. These particles mimic BM particles but have
less cellular element.
In ET, BM aspirate typically reveals intact granulopoiesis and
erythropoiesis with unremarkable morphology. The very large
hyperlobated megakaryocytes are characteristic.
BM core biopsy shows normal bone and mild hypercellularity. Increased
megakaryocytes form loose clusters and demonstrate hyperlobulation.
BM core biopsy features of ET. Increased megakaryocytes form loose
clusters and demonstrate hyperlobulation.
ANCILLARY TESTS:
1. Histochemistry:
• Reticulin:
oAbsent to minimal fibrosis.
oProgressive fibrosis in rare cases.
2. Flow Cytometric Immunophenotyping:
• Blasts < 5% in typical ET.
• Rare cases of leukemic transformation of ET.
oBlasts > 20%; usually myeloid phenotype.
3. Conventional Cytogenetic Analysis (Karyotyping):
• Usually normal karyotype (in 90% of cases).
• Cytogenetic abnormalities are detected in less than 10% of ET cases at diagnosis.
4. Molecular Genetic Testing:
• JAK2 V617F mutations present in 60% of cases.
• JAK2 exon 12 mutations are absent.
• CALR mutations in 20-25% of cases.
• MPL mutations present in 3-5% of cases.
DIFFERENTIAL DIAGNOSIS:
1. Reactive/Secondary thrombocytosis:
2. Pre-fibrotic PMF:
Megakaryocytes in ET Megakaryocytes in prePMF
DIAGNOSTIC CRITERIA:
The 2017 WHO Diagnostic Criteria of Essential Thrombocythemia (ET)
Major Criteria:
1. Platelet count > 450 x 109/L.
2. BM biopsy showing:
• Proliferation mainly of the megakaryocyte lineage with increased numbers of enlarged, mature
megakaryocytes with hyperlobulated nuclei.
• No significant increase or shift toward immaturity in neutrophil granulopoiesis or erythropoiesis
and very rarely minor (grade 1) increase in reticulin fibers.
3. Not meeting the WHO criteria for BCR-ABL1+ CML, PV, PMF, MDS, or other myeloid neoplasms.
4. Presence of JAK2, CALR, or MPL mutation.
Minor Criterion:
- Presence of a clonal marker or absence of evidence for reactive thrombocytosis.
Diagnosis of ET requires meeting all four major criteria or the first three major
criteria and the minor criterion.
DIAGNOSTIC ALGORITHM:
Pathologic Interpretation Pearls:
• Sustained thrombocytosis: Platelet count ≥ 450 x 10⁹/L.
• Reactive thrombocytosis excluded.
• Red blood cell and white blood cell cytology and counts unremarkable.
• Enlarged megakaryocytes with hyperlobulation.
• Absent/minimal fibrosis.
• Clonal:
o JAK2 V617F positivity in 60%.
o CALR mutations in 20-25%.
o MPL mutations in 3-5%.
SUMMARY:
Primary Myelofibrosis (PMF)
TERMINOLOGY:
Definition:
• Specific subtype of myeloproliferative neoplasm (MPN).
• Clonal hematopoietic stem cell disorder.
• Hematopoietic proliferation that shows predominantly megakaryocytic and granulocytic
proliferation with ultimate fibrosis.
• Exclusion of other classic MPNs:
oChronic myeloid leukemia (CML), BCR-ABL1 positive.
oPolycythemia vera (PV).
oEssential thrombocythemia (ET).
ETIOLOGY/PATHOGENESIS:
Molecular Mutations:
3 driver mutations are identified:
I. JAK2 V617F mutation:
• 1st driver mutation to be identified.
II. MPL W515L mutation:
• 2nd driver mutation to be identified.
• 6-7% of PMF cases harbor this mutation.
• Substitution of a G to T at nucleotide 1544.
• Results in substitution of amino acid tryptophan to leucine (W515L).
• General outcome of mutation is promotion of constitutive, cytokine-independent
activation of JAK/ STAT signaling pathway.
III. CALR mutation:
• 3rd driver mutation to be identified.
• 20-25% of PMF cases harbor this mutation.
• 2 most common types of mutations:
oType 1 mutation: A 52-bp deletion (Most common type).
oType 2 mutation: A 5-bp insertion.
• Abnormal function of CALR-mutated protein:
oSuggestion that mutant calreticulin activates JAK-STAT pathway.
oResults in excessive platelet production.
• JAK2, CALR, and MPL mutations are most often mutually exclusive.
oPresence of 1 of these mutations distinguishes reactive disorder from neoplasm.
oThese mutations do not distinguish PMF from PV or ET.
Triple negative PMF:
•10-15% of PMF cases are negative for all 3 mutations: JAK2,
CALR, and MPL.
•Associated with poor prognosis.
Phases of primary myelofibrosis (PMF):
There are 2 phases of PMF:
I. Prefibrotic phase (prePMF)
It is characterized by:
- Marked thrombocytosis in the peripheral
blood.
- Hypercellular BM with granulocytic and
atypical megakaryocytic proliferation.
- Absent or only slight reticulin fibrosis.
- Minimal if any EMH.
II. Fibrotic phase (Overt PMF)
It is characterized by:
- Variable BM cellularity.
- Reticulin or collagen fibrosis, often
osteosclerosis.
- Prominent hepatosplenomegaly due to
EMH.
- Leucoerythroblastic reaction in the
peripheral blood.
CLINICAL FEATURES:
• Age:
oThe median age at diagnosis is 67 years. About 5% of cases present before 40 years.
• Gender:
oNo significant prediliction.
• Clinical picture:
oPatients are usually asymptomatic.
oPatients may exhibit symptoms such as headaches, blurred vision, dizziness, and
erythromelalgia (redness, burning, pain of distal ends of toes and fingers) due to thrombotic
occlusion of the microvasculature.
oCatastrophic large vessel thrombosis includes stroke, myocardial infarction, deep venous
thrombosis (including splanchnic vein thrombosis), and peripheral arterial thrombosis.
oBleeding is less common than thrombosis.
oSplenomegaly is not as prominent as that of the other MPNs, and it occurs in 15–20% of
patients.
CLINICAL FEATURES:
MICROSCOPIC PATHOLOGY:
Peripheral blood:
I. Prefibrotic phase (prePMF)
RBCs: Modest anemia.
WBCs: Mild leukocytosis.
Platelets: Moderate to marked thrombocytosis.
Blood film morphology:
- The most striking finding is often the marked increase
in platelets.
- Mild neutrophilia with a left shift may be seen.
- No significant dysplasia.
- Variable, often subtle, basophilia.
- Myeloblasts, nucleated RBCs, and teardrop-shaped
RBCs are rarely observed in the early stages
II. Fibrotic phase (Overt PMF)
There is gradual worsening of hematologic parameters
as the disease progresses.
RBCs: More severe anemia than PrePMF.
WBCs:
- Mild leukocytosis.
- Severe leucopenia may occur as BM failure becomes
more prominent as a result of increasing fibrosis.
Platelets: Lower platelet count than PrePMF.
Blood film morphology:
The classic findings of patients with overt PMF are:
- Leucoerythroblastic reaction with numerous teardrop-
shaped RBCs.
- Bizarre, abnormal platelets.
- Blasts occasionally account for 5% or more. Blast
percentages of 10% to 19% in PB indicate that there is
progression to AP, and 20% or more blasts is sufficient
for the diagnosis of blast transformation.
BM Examination:
I. Pre-fibrotic phase (PrePMF):
Cellularity:
- In prePMF, BM is hypercellular.
Erythroid series:
- Erythropoiesis is reduced in most cases.
Granulocytic series:
- There is an increased number of neutrophils.
- Although there may be a left shift in granulopoiesis, neutrophils at the metamyelocyte through segmented stages usually predominate.
- The percentage of myeloblasts is not increased.
Megakaryocytic series:
- There is an increased number of atypical megakaryocytes.
- Megakaryocytes in PMF are morphologically more atypical than in any other MPN:
• They vary from small to large. Some have an abnormal nuclear-cytoplasmic ratio and disorganized, plump, cloudlike, or balloonlike
nuclear lobation.
Reticulin stain:
- Reticulin fibers vary in quantity and thickness but are often not increased in prePMF, except focally around blood vessels.
Pre-fibrotic
II. Fibrotic phase (Overt PMF):
Cellularity:
- As prePMF progresses to the fibrotic stage, the marrow cellularity decreases.
Erythroid and Granulocytic series: depressed.
Megakaryocytic series:
• Megakaryocytic atypia:
• Dense clusters.
• Hyperchromatic and bizarre nuclei.
• Cloud-like nuclei.
Reticulin fibrosis: Reticulin or even overt collagen fibrosis of the marrow becomes more obvious.
Other findings:
• Osteosclerosis.
• Moderate to marked reticulin/collagen fibrosis.
• Dilated sinuses.
Fibrotic
MF-0: Scattered linear reticulin
with no intersections (cross-overs)
corresponding to normal BM
MF-1: Loose network of reticulin
with many intersections,
especially in perivascular areas
ANCILLARY TESTS:
1. Histochemistry (Reticulin stain):
Semiquantitative Grading of MF
MF-2: Diffuse and dense ↑ in
reticulin with extensive
intersections, occasionally with
focal bundles of collagen and/or
focal osteosclerosis.
MF-3: Diffuse and dense ↑ in
reticulin with extensive
intersections and coarse bundles
of collagen, often with
osteosclerosis
2. Molecular Genetic Testing:
• JAK2 V617F mutations present in 60% of cases.
• JAK2 exon 12 mutations are absent.
• CALR mutations in 25% of cases.
• MPL mutations present in 6-7% of cases.
• 10 – 15% of cases are negative for JAK2 V617F, CALR and MPL (triple negative
PMF).
Molecular Approach in BCR-ABL negative MPN:
oThese include: PV, ET and PMF.
1. BCR-ABL1 fusion must be ruled out to exclude chronic myelogenous leukemia.
2. Cases of suspected PV would be considered for JAK2 V617F and JAK2 exon 12
mutations.
3. If a diagnosis of ET or PMF is favored, mutations may be sought in MPL, JAK2
(V617F), or CALR.
§ Because these mutations are considered mutually exclusive, a stepwise reflex
algorithm may be used:
§ Based on frequency, best order is JAK2 V617F > CALR > MPL.
4. Next generation sequencing assessment of all of these mutations at once (±
additional genes) may become increasingly cost effective and widespread.
DIAGNOSTIC CRITERIA:
The 2017 WHO Diagnostic Criteria of Pre-fibrotic/Early PMF (PrePMF):
Major criteria:
1.Megakaryocytic proliferation and atypia, without reticulin fibrosis > grade 1, accompanied by increased age-
adjusted BM cellularity, granulocytic proliferation and often decreased erythropoiesis
2. Not meeting WHO criteria of BCR/ABL+ CML, PV, ET, MDS or other myeloid neoplasms.
3. Presence of JAK2, MPL or CALR mutation or in the absence of these mutations, presence of another clonal
marker or absence of minor reactive BM reticulin fibrosis.
Minor criteria:
Presence of at least one of the following, confirmed in two consecutive determinations:
a. Anemia not attributed to a comorbid condition.
b. Leukocytosis ≥ 11 x 109/L.
c. Palpable splenomegaly.
d. LDH increased to above upper normal limit of institutional reference range.
Diagnosis of prePMF requires meeting all three major criteria and at least one minor criterion.
The 2017 WHO Diagnostic Criteria of Overt Primary Myelofibrosis
Major criteria:
1.Megakaryocytic proliferation and atypia, accompanied by either reticulin and/or collagen fibrosis grades 2 or 3.
2. Not meeting WHO criteria of BCR/ABL+ CML, PV, ET, MDS or other myeloid neoplasms.
3. Presence of JAK2, MPL or CALR mutation or in the absence of these mutations, presence of another clonal
marker or absence of minor reactive BM reticulin fibrosis.
Minor criteria:
Presence of at least one of the following, confirmed in two consecutive determinations:
a. Anemia not attributed to a comorbid condition.
b. Leukocytosis ≥11 x 109/L.
c. Palpable splenomegaly.
d. LDH increased to above upper normal limit of institutional reference range.
e. Leucoerythroblastosis.
Diagnosis of Overt PMF requires meeting all three major criteria and at least one minor criterion.
Chronic Neutrophilic Leukemia (CNL)
TERMINOLOGY:
Definition:
• Specific subtype of myeloproliferative neoplasm (MPN).
• Clonal hematopoietic stem cell disorder manifesting predominantly in granulocytic lineage.
• Characterized by:
oPersistent peripheral blood neutrophilia.
oPersistent BM granulocytic proliferation.
oThere is no BCR-ABL1 fusion gene.
oHepatosplenomegaly common.
oActivating mutation of CSF3R gene. Mutation present in most cases.
oReactive conditions resulting in neutrophilia must be excluded in cases lacking clonal
genetic marker.
oOther myeloid neoplasms must be systematically excluded in cases
lacking CSF3R mutation.
CLINICAL FEATURES:
• Age:
oThe average age at diagnosis is 60 years.
• Gender:
oSlight male predominance.
• Clinical picture:
oMajority of patients asymptomatic.
oIncidental detection of leukocytosis on CBC.
oHepatomegaly.
oSplenomegaly: the most consistent clinical finding.
oWeight loss.
oEasy bruising.
MICROSCOPIC PATHOLOGY:
Peripheral Blood:
•WBC ≥ 25.0 x 10⁹/L.
•Neutrophilia and increased band forms (≥
80% of WBC).
•Toxic changes with prominent granules may
be seen. Must exclude reactive condition.
•Absence of dysplasia.
•No significant basophilia.
•Immature granulocytes constitute < 10% of
WBC.
•Blasts rarely noted.
•RBCs & platelets: usually unremarkable.
Bone marrow:
• Cellularity: Hypercellular; > 90%; due to granulocytic predominance.
• Erythroid series: Reduced in percentage but show normoblastic maturation.
• Granulocytic Series:
oThe percentage of blasts and promyelocytes in BM is not increased at diagnosis
(Blasts < 5%).
oThere is an increase in the percentage of myelocytes, metamyelocytes, bands,
and segmented neutrophils.
oThere is no significant dysplasia.
oBasophilia and eosinophilia are generally not observed.
• Megakaryocytic Series: Normal.
• Other findings: No significant fibrosis.
DIAGNOSTIC CRITERIA:
The 2017 WHO Diagnostic Criteria of Chronic Neutrophilic Leukemia (CNL)
1. Peripheral blood white blood cell count ≥ 25 x 109/L
- Segmented neutrophils plus band forms are > 80% of white blood cells.
- Neutrophil precursors (promyelocytes, myelocytes, metamyelocytes) are <10% of white blood cells.
- Myeloblasts rarely observed.
- Monocyte count <1 x 109/L.
- No dysgranulopoiesis.
2. Presence of CSF3R T6181 or other activating CSF3R mutation.
OR
- In the absence of a CSFR3R mutation, persistent neutrophilia (at least 3 months) and no identifiable
cause of physiological or reactive neutrophilia, including absence of a plasma cell neoplasm or, if
present, demonstration of clonality of myeloid cells by cytogenetic or molecular studies.
3. Hypercellular bone marrow:
- Neutrophilic granulocytes increased in percentage and number.
- Neutrophil maturation appears normal.
- Myeloblasts < 5% of nucleated bone marrow cells.
4. Not meeting the WHO criteria for any other myeloid neoplasm:
- Specifically, no BCR-ABL1; no rearrangement of PDGFRA, PDGFRB, or FGFR1; no
PCM1-JAK2, ETV6-JAK2, or BCR-JAK2.
All criteria must be met for the diagnosis of chronic neutrophilic leukemia to be
made.
DIAGNOSTIC ALGORITHM:
Chronic Eosinophilic Leukemia (CEL, NOS)
TERMINOLOGY:
Definition:
• Clonal hematopoietic myeloproliferative neoplasm.
oManifests as sustained proliferation of eosinophils and precursors.
CLINICAL ISSUES:
Incidence:
• Rare.
• Difficult to determine accurately.
• Significant degree of diagnostic overlap with idiopathic hypereosinophilic syndrome.
Clinical Presentation:
• Asymptomatic:
oIncidental identification of eosinophilia on complete blood cell count.
• Symptomatic:
oFever.
oFatigue.
oPruritus.
oGastrointestinal disturbance.
oEndomyocardial fibrosis.
oCentral nervous symptoms.
MICROSCOPIC PATHOLOGY:
Peripheral Blood:
•Eosinophilia:
oMostly mature eosinophils.
oOccasional eosinophil precursors.
oEosinophil count ≥ 1.5 x 10⁹/L.
•Other features:
• Neutrophilia common.
• Blasts < 20% (usually > 2%).
• No significant population of mast cells.
• No circulating lymphoma cells.
Bone Marrow:
• Cellularity:
oUsually hypercellular due to eosinophilia.
• Erythroid and Megakaryocytic Series:
oIntact erythropoiesis and megakaryopoiesis.
• Granulocytic Series:
oEosinophilia.
oBlasts < 20% (usually > 5%).
oDysplasia is uncommon.
oExclude myelodysplasia with associated
eosinophilia.
oCharcot-Leyden crystals may be observed.
ANCILLARY TESTS:
1. Immunohistochemistry:
• Assess for mast cell disease:
oTryptase and CD25.
oMast cells may be spindled and individually distributed; not in aggregates.
• Assess for Hodgkin/non-Hodgkin lymphoma:
oIf morphology in BM negative:
§ No further testing except for consideration of CD30 for occult T-cell lymphoma.
oIf morphology in BM positive:
§ No further testing if morphologic features similar to lymphoma diagnosed in
extramedullary site.
2. Conventional Cytogenetics Analysis (Karyotyping):
•Document clonality if present.
•Exclude recurring genetic abnormality diagnostic of different neoplasm e.g.
ot(9;22)(q34.1;q11.2); BCR-ABL1 fusion in chronic myeloid leukemia.
oRearrangement of PDGFRB (5q31~33), FGFR1 (8p11.23-p11.22), and PCM1-
JAK2;t(8;9)(p22;q24.1).
oCBFB-MYH11 in AML with inv(16).
3. Fluorescent in Situ Hybridization (FISH):
•Perform testing for FIP1L1-PDGFRA fusion since cytogenetically cryptic.
•Investigate possible PDGFRB, FGFR1, and PCM1-JAK2 abnormalities by
chromosomal analysis.
DIAGNOSTIC CRITERIA:
The 2017 WHO Diagnostic Criteria of CEL
1. Eosinophilia (eosinophil count ≥1.5 x 109/L).
2. WHO criteria for BCR-ABL1-positive CML, polycythemia vera, essential thrombocythemia,
PMF, CNL, chronic myelomonocytic leukemia, and BCR-ABL1-negative atypical CML are not
met.
3. No rearrangement of PDGFRA, PDGFRB, or FGFR1, and no PCM1-JAK2, ETV6-JAK2, or
BCR-JAK2 fusion.
4. Blast cells constitute <20% of the cells in the peripheral blood and bone marrow, and
inv(16)(p13.1q22), t(16;16) (p13.1;q22), t(8;21)(q22;q22.1), and other diagnostic features of AML
are absent.
5. There is a clonal cytogenetic or molecular genetic abnormality or blast cells account for ≥2%
of cells in the peripheral blood or ≥5% in the bone marrow.
All criteria must be met for diagnosis of CEL.
MPN, Unclassifiable (MPN-U)
TERMINOLOGY:
Definition:
• The designation MPN, unclassifiable, should be applied only to:
oCases that have definite clinical, laboratory, and morphologic features of an MPN
but fail to meet the criteria for any of the specific MPN entities.
OR
oCases present with features that overlap two or more of the MPN categories.
• The designation MPN, unclassifiable, should not be used if:
oLaboratory data necessary for classification are incomplete or were never obtained.
oThe size or quality of BM specimen is inadequate for complete evaluation.
oThe patient has received prior growth factor or cytotoxic therapy.
DIAGNOSTIC CRITERIA:
The 2017 WHO Diagnostic Criteria of MPN, unclassifiable (MPN-U)
1. Features of an MPN are present.
2. WHO criteria for any other MPN, myelodysplastic syndrome,
myelodysplastic/myeloproliferative disorder, or BCR-ABL1–positive chronic myeloid leukemia are
not met.
3. Demonstration of JAK2, CALR, or MPL mutation characteristically associated with MPN.
OR
- In the absence of these mutations, presence of another clonal marker.
OR
- In the absence of a clonal marker, no evidence that bone marrow fibrosis is secondary to
infection, autoimmune disorder or other chronic inflammatory condition, hairy cell leukemia or
other lymphoid neoplasm, metastatic malignant neoplasm, or toxic (chronic) myelopathy.
All criteria must be met for diagnosis of MPN-U.
SUMMARY
MPN COMPARATIVE FEATURES:
Blood Features BM Features Molecular/Genetics
I. CML, BCR-ABL1 Positive, Chronic Phase:
Marked leukocytosis. Marked hypercellular. t(9;22)(q34.1;q11.2) is virtually present
in 100% of metaphases.
Predominance of mature
neutrophils (peaks).
Predominance of myeloid lineage
cells.
BCR-ABL1 gene fusion is the defining
feature; required for diagnosis.
Left shift to blasts (< 10%). Maturation intact; granulocytic lineage
predominates in BM with normal
maturation and without dysplasia.
Responsive to tyrosine kinase inhibitor
therapy with marked reduction of
incidence of blast phase.
Absolute basophilia. Blasts < 10 %.
Frequent thrombocytosis. Increased small hypolobated
megakaryocytes.
Nucleated RBCs (nRBCs)
common.
Other dysplastic features uncommon.
Dysplasia absent. Absent fibrosis.
Blood Features BM Features Molecular/Genetics
II. Polycythemia Vera, Chronic Phase:
Erythrocytosis. Hypercellular. Must be BCR-ABL1 negative.
Variable leukocytosis and
nRBCs.
Maturation intact; panmyelosis. o JAK2 V617F in >95% of cases.
o JAK2 exon 12 in the remainder.
Variable basophilia;
thrombocytosis.
Blasts <2%. JAK2 inhibitor therapy is potential
treatment option.
Dysplasia absent. Increased, usually hyperlobated
megakaryocytes.
Fibrosis absent/minimal.
Blood Features BM Features Molecular/Genetics
III. Essential Thrombocythemia:
Thrombocytosis: sustained. Variable cellularity (may be normal). Must be BCR-ABL1 negative.
Variable WBC and basophil
count.
Increased, markedly hyperlobated
megakaryocytes.
o JAK2 V617F in 50% of cases.
o CALR mutation in 40%.
o MPL W151L/K mutation in
small subset.
RBCs parameters usually normal. Other lineages unremarkable. Some cases are triple negative.
Blasts <2%. Mutation status linked to outcome
and thrombosis risk.
Blood Features BM Features Molecular/Genetics
IV. Primary Myelofibrosis, Early to Overt Fibrotic Phases:
Leukocytosis and thrombocytosis
common in early disease.
Marked hypercellularity; granulocytic
lineage predominance; cellularity
decreases as fibrosis progresses.
Must be BCR-ABL1 negative.
Leucoerythroblastic blood picture
common in fibrotic phase.
Dilated sinuses with intrasinusoidal
megakaryocytes.
o JAK2 V617F in 60% of cases.
o CALR mutation in 40%.
o MPL W151L/K mutation in small
subset.
Teardrop-shaped RBCs in fibrotic
phase.
Myeloid predominance with intact
maturation
Some cases are triple negative.
Variable basophilia. Blasts < 10 %. Mutation status linked to outcome
and thrombosis risk.
Cytopenias may develop with more
advanced disease.
Increased megakaryocytes with
pyknotic and hyperlobated forms.
Progressive osteosclerosis and
myelofibrosis.
Blood Features BM Features Molecular/Genetics
V. Chronic Neutrophilic Leukemia
Sustained unexplained neutrophilia. Hypercellular BM. Must be BCR-ABL1
negative.
May see toxic changes. Myeloid lineage predominates. CSF3R mutation in most
cases; may be defining
event.
Absent basophilia. Intact maturation.
Other CBC parameters generally
unremarkable.
Blasts <2%.
Blood Features BM Features Molecular/Genetics
VI. Chronic Eosinophilic Leukemia, NOS
Sustained unexplained eosinophilia. Hypercellular BM. Must be BCR-ABL1 negative.
Basophilia generally absent. Prominent eosinophils. Absence of PDGFRA,
PDGFRB and FGFR1
required.
Other CBC parameters generally
unremarkable.
Intact maturation, blasts <2%.

Myeloprolmiferative Neoplasms (2021)

  • 1.
    Myeloproliferative Neoplasms (MPNs) By: AhmedMakboul Ahmed M.B.B.Ch, M.Sc Assistant Lecturer, Clinical Pathology Department, South Egypt Cancer Institute
  • 2.
    Overview: - MPNs areclonal hematopoietic neoplasms characterized by bone marrow hypercellularity and intact maturation with effective hematopoiesis resulting in elevations of ≥ 1 hematopoietic lineages in blood. • Myeloblasts not substantially increased and dysplasia is not significant in chronic phase of MPN. • Molecular genetic abnormalities are present in MPN and define some subtypes. - Splenomegaly and hepatomegaly are common and caused by the sequestration of excess blood cells, extramedullary hematopoiesis, or both. - Despite an insidious onset, each MPN entity has the potential to progress to BM failure due to myelofibrosis, ineffective hematopoiesis, transformation to a blast phase, or any combination of these events. Disease progression is usually accompanied by genetic evolution.
  • 7.
  • 8.
  • 9.
    The 2017 WHOClassification of MPN: The 2017 WHO Classification of MPN Chronic myeloid leukemia (CML), BCR-ABL1–positive Chronic neutrophilic leukemia (CNL) Polycythemia vera (PV) Primary myelofibrosis (PMF) Primary myelofibrosis, prefibrotic/early stage Primary myelofibrosis, overt fibrotic stage Essential thrombocythemia (ET) Chronic eosinophilic leukemia, not otherwise specified (CEL, NOS) Myeloproliferative neoplasm, unclassifiable (MPN-U)
  • 10.
    Chronic Myeloid Leukemia,BCR-ABL1 Positive
  • 11.
    TERMINOLOGY: Definition: •Specific subtype ofmyeloproliferative neoplasm that harbors BCR-ABL1 gene fusion. oBCR-ABL1 fusion gene results from reciprocal translocation involving long arms of chromosomes 9 and 22. oResults in production of abnormal tyrosine kinase protein. •3 classically defined phases of disease: Chronic, Accelerated, and Blast: oChronic: 1 - 9% blasts: indolent. oAccelerated phase (10-19% blasts as one example): Disease progression. oBlast phase (≥ 20% blasts): Aggressive disease, often refractory to therapy. •The natural history of untreated CML is bi- or triphasic: an initial indolent chronic phase (CP) is followed by an accelerated phase (AP), a blast phase (BP) or both.
  • 12.
    ETIOLOGY/PATHOGENESIS: t(9;22)(q34;q11.2): - Reciprocal translocationfollowing breakpoints at BCR and ABL1 loci. - Translocation is balanced in majority of cases. - t(9;22)(q34;q11.2) fuses 3’ sequences from ABL1 to 5’ sequences from BCR. ABL1 breakpoint: • ABL1 gene is located on 9q34. • ABL1 breakpoint typically occurs between exon 1 and 2 (a2).
  • 13.
    BCR breakpoints: At least3 different breakpoints: 1. Major breakpoint cluster region (M-BCR): • Encodes a p210 fusion protein. • M-BCR present in 99% of CML and 40% of adult Ph(+) B-cell ALL cases. 2. Minor breakpoint cluster region (m-BCR): • m-BCR encode a p190 fusion protein. • m-BCR present in 90% of pediatric ALL and 60% of adult ALL. • m-BCR is also present in rare CML cases (1%). 3. Micro breakpoint cluster region (µ-BCR): • µ-BCR encodes a p230 fusion protein. • CML cases with this fusion show prominent neutrophils &/or conspicuous thrombocytosis.
  • 14.
  • 15.
  • 17.
    CLINICAL FEATURES: • Age: oThemedian age at diagnosis is 65 years, but children as young as 3 years can be affected. • Gender: oA slight male predominance is observed. • Clinical picture: oPatients are often initially identified due to leukocytosis being found during routine blood work, because approximately half of the patients at diagnosis do not have symptoms. oThe other half complain of fatigue, malaise, weight loss, or night sweats. • Physical examination: oSplenomegaly and hepatomegaly are seen in about 50% and 20% of patients, respectively.
  • 18.
    MICROSCOPIC PATHOLOGY: CHRONIC PHASE: PeripheralBlood: WBCs: • Granulocytic leukocytosis with left shift to immaturity. • Predominance of neutrophils and myelocytes (2 peaks). • < 10 % blasts (Usually 1 – 9%). • Basophilia. • Often eosinophilia. • Absolute monocyte count is elevated (> 1 x 109/L); but the percentage is usually < 3%. • No significant granulocytic dysplasia or toxic changes.
  • 19.
    RBCs: • No ormild anemia. • Circulating nucleated red blood cells. Platelets: • Preserved/elevated platelet count. Marked thrombocytosis is unusual. • Atypical large platelets or megakaryocytic cytoplasmic fragments; circulating megakaryocytic nuclei.
  • 20.
    Bone marrow aspirate: Cellularity: •Hypercellular for age due to marked granulocytic proliferation. Erythroid Series: • Erythroid precursors are reduced in percentage but show normal maturation. Granulocytic Series: • Usually 1 – 9%. o10% or more indicates disease progression. • Myeloid:erythroid (M:E) ratio > 10:1. • Predominance of neutrophils and myelocytes (2 peaks). • Minimal/absent dysplasia.
  • 21.
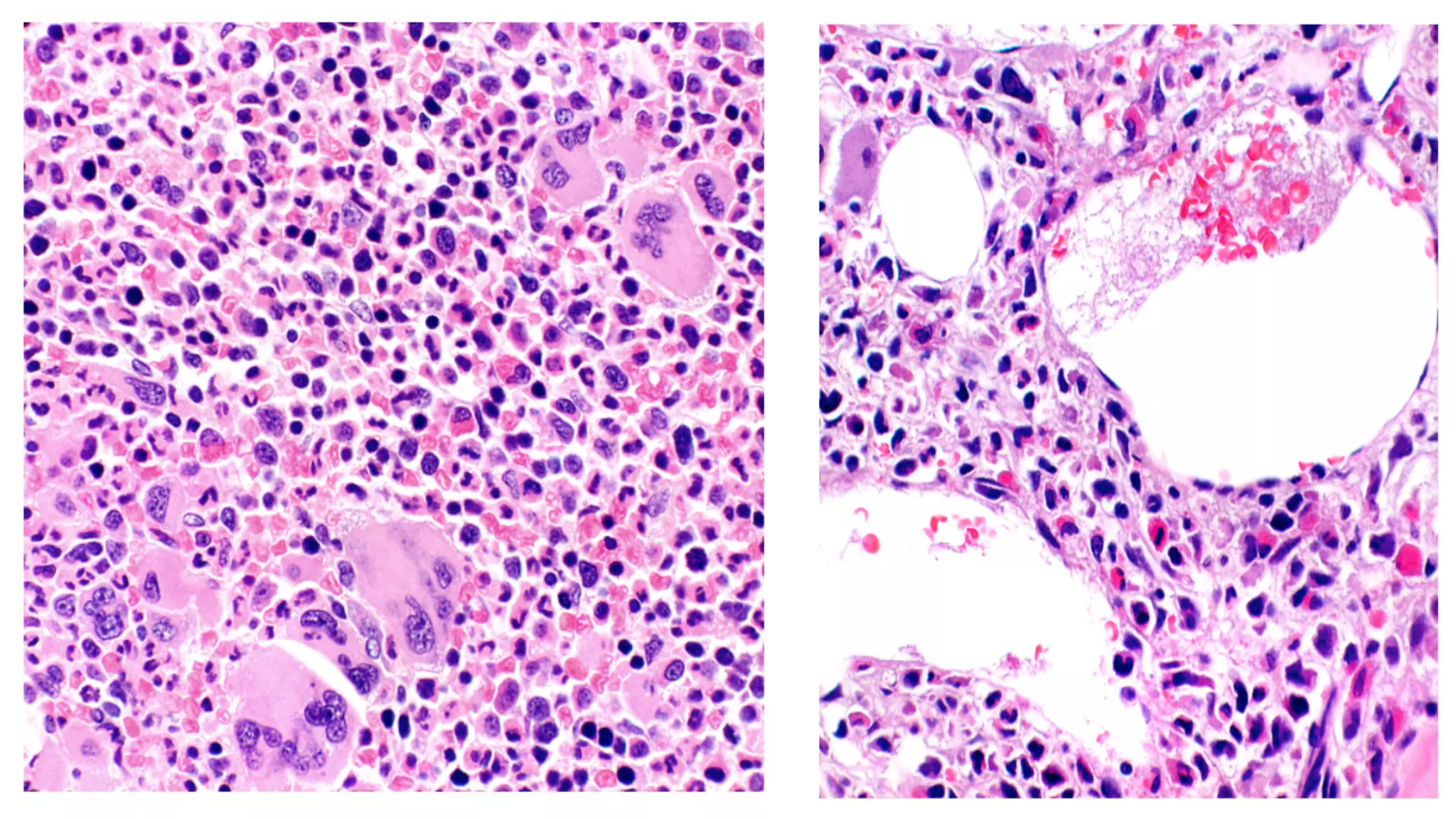
    Megakaryocytic Series: • Usuallyincreased megakaryocytes. • Distinctive megakaryocytic morphology; small and monolobulated (so-called dwarf megakaryocytes). Other Findings: • Sea-blue histiocytes due to increased cell turnover. These cells carry BCR-ABL1 because they are progeny of the affected leukemic stem cell.
  • 22.
    Bone marrow corebiopsy: Cellularity: • 95% cellular due to marked granulocytic predominance. Erythroid Series: • Decreased erythroid lineage. Granulocytic Series: • Marked granulocytic predominance. • M:E ratio > 10:1. • No clusters of blasts. Megakaryocytic Series: • Small, monolobulated, (dwarf) megakaryocytes. Other Findings: • May see increased reticulin fibrosis.
  • 23.
    Disease progression: ACCELERATED PHASE(AP): The 2017 WHO criteria for diagnosis of accelerated phase include: 1. Hematologic criteria: - Persistent or increasing WBC count (>10 x 109/L), unresponsive to therapy. - Persistent or increasing splenomegaly, unresponsive to therapy. - Persistent thrombocytosis (>1000 x 109/L), unresponsive to therapy. - Persistent thrombocytopenia (<100 x 109/L) unrelated to therapy. - 20% or more basophils in the peripheral blood. - 10% - 19% blasts in the peripheral blood or bone marrow. 2. Cytogenetic criteria: - Additional clonal chromosomal abnormalities in Ph+ cells at diagnosis that include “major route” abnormalities (second Ph, trisomy 8, isochromosome 17q, trisomy 19), a complex karyotype, or abnormalities of 3q26.2. - Any new clonal chromosomal abnormality in Ph+ cells that occurs during therapy.
  • 24.
    3. Provisional responseto tyrosine kinase inhibitor criteria: - Hematologic resistance to the first TKI (or failure to achieve a complete hematologic response to the first TKI). or - Any hematologic, cytogenetic, or molecular indications of resistance to two sequential TKIs. or - Occurrence of two or more mutations in BCR-ABL1 during TKI therapy. Any one or more of the previous hematologic/cytogenetic criteria or response to TKI criteria diagnose CML accelerated phase
  • 25.
    BLAST PHASE (BP): TheBP is diagnosed when: - Blasts equal or are greater than 20% of the peripheral blood WBC or of the nucleated cells of the BM. OR - When there is an extramedullary blast proliferation. Types of blast phase: • 70-80% myeloid: (70% granulocytic, 10-20% megakaryocytic, < 10% erythroid, < 5% monocytic). • 20-30% lymphoid: (90% B-lymphoblastic leukemia, T-lymphoblastic leukemia uncommon). oPresence of lymphoblasts (detection of any lymphoblasts should raise concern for impending lymphoid blast phase). • < 5% biphenotypic.
  • 26.
    ANCILLARY TESTS: 1. Immunohistochemistry: •Role is minimal in chronic-phase CML. • Blast markers: CD34 &/or CD117, TdT: Assess for increased &/or clustered blasts. 2. Flow Cytometric Immunophenotyping: • Plays minimal role in chronic-phase CML. • Useful in blast lineage determination in accelerated/blast phase. oAberrant antigen expression on blasts not uncommon. § Myeloid antigen expression (e.g., CD13, CD33) on lymphoblasts. § Lymphoid antigen expression on myeloblasts. • If concern for lymphoblasts, immunophenotyping is warranted.
  • 27.
    3. Conventional CytogeneticAnalysis (Karyotyping): • Should be performed routinely in work-up for myeloid neoplasm. • Detection of t(9;22)(q34.1;q11.2): ot(9;22)(q34.1;q11.2) (or variant) &/or BCR-ABL1 gene fusion required for diagnosis. § t(9;22)(q34.1;q11.2) is most often reciprocal translocation found on derivative chromosome 22. ot(9;22)(q34.1;q11.2) reportedly cryptic in 5% of cases (not detected by karyotyping). § Do FISH or molecular for BCR-ABL1 fusion. • Clonal evolution in accelerated/blast phase: oAdditional Philadelphia chromosome, trisomy 8, isochromosome (17q), and trisomy 19 (major route abnormalities).
  • 28.
  • 29.
    4. Fluorescence inSitu Hybridization (FISH): • Reveals/confirms genetic fusion of BCR-ABL1. • Advantages: oMore sensitive than conventional cytogenetics. oDetects most cryptic rearrangements. • Disadvantages: oRare cryptic rearrangements may be missed. oNot sensitive enough for MRD or early relapse detection. BCR ABL1 BCR-ABL BCR-ABL
  • 30.
    5. Molecular RT-PCRBased Studies: a). Detection of BCR-ABL1 transcripts: • Multiple primer sets to detect different fusion transcripts. • Different fusion transcripts show variable association with different disease types: • p210 seen in most cases of CML. • p190 seen in majority of cases of pediatric B-lymphoblastic leukemia, BCR-ABL1 positive. • p230 (rare); associated with neutrophilia and may be thrombocytosis. • Determination of particular fusion transcript (e.g., p210) is useful for MRD monitoring. b). ABL1 kinase domain testing: • Considered in case of TKI resistance to detect mutations in ABL1. • Prior to mutation testing: oConfirm TKI treatment compliance. oRule out drug-drug interaction.
  • 31.
    DIFFERENTIAL DIAGNOSIS: 1. Leukemoidreaction: Criteria CML Leukemoid Reaction 1. Clinical features Splenomegaly According to the cause 2. Peripheral blood: - Myelocyte & neutrophil peaks: Present Not present - Basophilia & eosinophilia: Present Not present - Toxic granulation: Not present Present 3. BM examination: Trilineage hyperplasia Granulocytic hyperplasia 4. NAP score: Low Normal or increased 5. Philadelphia chromosome Positive Negative
  • 33.
    2. BCR-ABL1(-) MyeloproliferativeNeoplasm: • Key feature distinguishing from CML is lack of BCR-ABL1. • JAK2 V617F mutation identified in o> 95% of polycythemia vera. o50% of essential thrombocythemia and primary myelofibrosis. oNot seen in classic CML. • Also see JAK2 exon 12, CALR, and MPL mutations in specific subsets of these diseases. • Chronic neutrophilic leukemia: Most cases show CSF3R mutation.
  • 34.
    3. Atypical ChronicMyelogenous Leukemia BCR-ABL1 Negative: • Unfortunate disease name. No relationship to CML. • BCR-ABL1 Negative • Dysplasia prominent • Recurrent SETBP1 mutations
  • 35.
  • 36.
    TERMINOLOGY: Definition: • Classic myeloproliferativeneoplasm (MPN) characterized by: oIncreased red blood cells (RBCs). oJAK2 gene gain of function somatic mutation. Phases of PV: 1. Pre-polycythemic phase with mild erythrocytosis (so-called masked PV): Borderline to only mild erythrocytosis. 2. Overt polycythemic phase: Associated with significantly increased Hb, Hct, and RBC mass. 3. Spent phase and post-polycythemic myelofibrosis: • Decrease in RBC mass; patient often anemic. • Further enlargement of spleen. • Marked reticulin and collagen fibrosis of BM. • Extramedullary hematopoiesis.
  • 37.
    ETIOLOGY/PATHOGENESIS: I. JAK2 V617Fmutation: • Detected in > 95% of PV cases. • Point mutation in exon 14 of pseudokinase domain: oSubstitution of a G to T at 1849 position. oThis substitution leads to substitution of valine for phenylalanine (V617F). oMutation involves myeloid lineages and is absent in lymphocytes. • Consequences of JAK2 V617F mutation: oGain-of-function somatic mutation. oConstitutively activate STAT-mediated transcription in absence of EPO ligand.
  • 38.
    II. JAK2 exon12 mutations: • Uncommon, except in JAK2 V617F-negative PV. • Present in 3% of PV cases. • JAK2 exon 12 mutations appear to result specifically in an erythrocytosis phenotype.
  • 39.
    CLINICAL FEATURES: • Age: oTheaverage age at diagnosis is 60 years. • Gender: oSlight male predominance. • Clinical picture: oMany patients are asymptomatic. oThe diagnosis may be suspected by the findings of plethora and splenomegaly on examination or abnormalities on a routine blood count that, in addition to increased HGB and HCT, often include leukocytosis and/or thrombocytosis. oThe main causes of morbidity and mortality are due to complications of blood hyperviscosity, which stems from increases in red cell mass and contributes to an increased risk of venous and arterial thrombosis.
  • 40.
    MICROSCOPIC PATHOLOGY: 1. Pre-polycythemicand polycythemic phases: Peripheral Blood: WBCs: • Neutrophilia and, rarely, basophilia may be present. • Occasional immature granulocytic cells may be seen in polycythemic phase. RBCs: • Mild to significantly increased normochromic/normocytic RBCs. • The RBC indices are usually normal unless there is concomitant iron deficiency. Platelets: • Prominent thrombocytosis in 15% of cases.
  • 41.
    Bone marrow examination: Cellularity: •Typically, hypercellular for age. • Increased subcortical cellularity. • Panmyelosis: prominent erythroid, granulocytic and megakaryocytic proliferation. Erythroid series: • Erythropoiesis is prominent, often occurs in expanded erythroid islands. • It demonstrates normoblastic maturation. Granulocytic series: • Granulopoiesis may show a shift toward immaturity. • There is no increase in the percentage of blasts. • There is no significant dysplasia. Megakaryocytic series: • Increased number of megakaryocytes with variably hyperlobated forms.
  • 43.
    2. Spent phaseand post-polycythemic myelofibrosis: Peripheral Blood: • Peripheral blood with anemia &/or leukoerythroblastic picture. • Prominent anisopoikilocytosis, including teardrop forms and nucleated RBCs. • Immature granulocytic cells but no significant dysplastic cells.
  • 44.
    Bone marrow examination: •Cellularity: Variable cellularity but often hypocellular for age. • Erythroid & Granulocytic Series: Decreased erythropoiesis and granulopoiesis. • Megakaryocytic Series: Megakaryocytes generally similar to those seen in antecedent PV. • Other Findings: oProminent reticulin and collagen fibrosis. oOsteosclerosis may be seen in late-stage disease. oIncreasing splenomegaly or constitutional symptoms.
  • 45.
    ANCILLARY TESTS: 1. FlowCytometric Immunophenotyping: • No consistent immnuophenotypic abnormality described in absence of leukemic transformation. 2. Conventional Cytogenetic Analysis (Karyotyping): • Common cytogenetic abnormalities: oTrisomy 8, trisomy 9, del(20q), del(13q), and del(9p). oComplex cytogenetic abnormalities in post-polycythemic myelofibrosis. • Cytogenetic abnormalities in PV patients with transformation to myelodysplastic syndrome (MDS) or blast phase: oDetected in virtually all patients with transformation to MDS/blast phase. oInclude those commonly seen in therapy-related MDS/acute myeloid leukemia.
  • 46.
    3. Molecular GeneticTesting: JAK2 V617F mutation: • Gain-of-function mutation. • Mutation occurs in all cells of myeloid lineages. • Present in 95% of patients with PV. • JAK2 V617F mutation is homozygous in most PV cases. JAK2 exon 12 mutations: • Relatively specific for JAK2 V617F-negative PV. • 4% frequency among all patients with PV. • JAK2 exon 12 mutations are often heterozygous. • Associated with predominantly erythroid myelopoiesis and younger age at diagnosis.
  • 47.
    4. Other Laboratorytests: Serum erythropoietin (EPO): • Serum EPO levels are typically decreased in PV, in contrast to elevated levels usually found in secondary polycythemia. • Measurement of EPO levels is an important study that should be performed early in the workup of polycythemia. • A normal EPO level does not necessarily exclude PV or secondary erythrocytosis.
  • 48.
    DIAGNOSTIC CRITERIA: The 2017WHO Diagnostic Criteria for Polycythemia Vera (PV) Major Criteria: 1. Hemoglobin > 16.5 g/dL in men, > 16.0 g/dL in women; or hematocrit > 49% in men, > 48% in women; or increased red cell mass (More than 25% above mean predicted value). 2. BM biopsy showing hypercellularity for age with trilineage growth (panmyelosis) including prominent erythroid, granulocytic, and megakaryocytic proliferation with pleomorphic, mature megakaryocytes (differences in size). 3. Presence of JAK2 V617F or JAK2 exon 12 mutation. Minor Criterion: - Subnormal serum erythropoietin level. Diagnosis of polycythemia vera (PV) requires meeting either all three major criteria or the first two major criteria and the minor criterion.
  • 49.
    The 2017 WHODiagnostic Criteria for Post-polycythemia vera Myelofibrosis: Required Criteria: 1. Documentation of a previous diagnosis of WHO-defined polycythemia vera. 2. Bone marrow fibrosis grade 2-3 (on 0-3 scale). Additional Criteria (two are required): 1. Anemia or sustained loss of either phlebotomy (in the absence of cytoreductive therapy) or cytoreductive treatment requirement for erythrocytosis. 2. Leukoerythroblastic picture in PB smear. 3. Increasing splenomegaly: § defined as either an increase in palpable splenomegaly of > 5 cm from baseline (distance from the left costal margin) or the appearance of newly palpable splenomegaly. 4. Development of > 1 of 3 constitutional symptoms: § > 10% weight loss in 6 months. § Night sweats. § Unexplained fever (> 37.5° C).
  • 50.
  • 51.
  • 52.
    TERMINOLOGY: Definitions: • Specific subtypeof myeloproliferative neoplasm (MPN). • Hematopoietic proliferation essentially restricted to megakaryocytic lineage. • Exclusion of other classic MPNs: oChronic myeloid leukemia, BCR-ABL1 positive. oPolycythemia vera. oPrimary myelofibrosis, early phase.
  • 53.
    ETIOLOGY/PATHOGENESIS: Molecular Mutations: 3 drivermutations are identified: I. JAK2 V617F mutation: • 1st driver mutation to be identified. II. MPL W515L mutation: • 2nd driver mutation to be identified. • 3-5% of ET cases harbor this mutation. • Substitution of a G to T at nucleotide 1544. • Results in substitution of amino acid tryptophan to leucine (W515L). • General outcome of mutation is promotion of constitutive, cytokine-independent activation of JAK/ STAT signaling pathway.
  • 54.
    III. CALR mutation: •3rd driver mutation to be identified. • 20-25% of ET cases harbor this mutation (CALR + ET). • 2 most common types of mutations: oType 1 mutation: A 52-bp deletion (Most common type). oType 2 mutation: A 5-bp insertion. • Abnormal function of CALR-mutated protein: oSuggestion that mutant calreticulin activates JAK-STAT pathway. oResults in excessive platelet production. • JAK2, CALR, and MPL mutations are most often mutually exclusive. oPresence of 1 of these mutations distinguishes reactive disorder from neoplasm. oThese mutations do not distinguish PMF from PV or ET.
  • 55.
    CLINICAL FEATURES: • Age: oThemedian age at diagnosis is 60 years. • Gender: oSlight female predominance. • Clinical picture: oPatients are usually asymptomatic. oPatients may exhibit symptoms such as headaches, blurred vision, dizziness, and erythromelalgia (redness, burning, pain of distal ends of toes and fingers) due to thrombotic occlusion of the microvasculature. oCatastrophic large vessel thrombosis includes stroke, myocardial infarction, deep venous thrombosis (including splanchnic vein thrombosis), and peripheral arterial thrombosis. oBleeding is less common than thrombosis. oSplenomegaly is not as prominent as that of the other MPNs, and it occurs in 15–20% of patients.
  • 56.
    MICROSCOPIC PATHOLOGY: Peripheral Blood: WBCs: •The WBC count and leukocyte differential are usually normal. • Mild leukocytosis is sometimes seen. • White blood cell morphology unremarkable. • No leucoerythroblastic reaction. • Neutrophilia uncommon. • No significant left shift in granulocytic series. • No significant basophilia. • Circulating blasts unusual.
  • 57.
    RBCs: •Red blood cellmorphology unremarkable. •Significant anisopoikilocytosis is uncommon and teardrop-shaped RBCs are not observed. Platelets: •Variable thrombocytosis but ≥ 450 x 10⁹/L. •Striking platelet anisocytosis: oSmall and large platelets. oHypogranular forms may be seen. oCirculating megakaryocytic nuclei.
  • 58.
    Bone marrow: Cellularity: • Normalcellularity to mildly hypercellular. Erythroid and Granulocytic Series: • Generally, no significant granulocytic or erythroid proliferation. • Occasionally may encounter mild granulocytic hyperplasia. oConsider early phase of primary myelofibrosis. • Blasts < 5%.
  • 59.
    Megakaryocytic Series: • Strikingmegakaryocytic proliferation: oIncreased numbers. oLoosely clustered. oMarkedly enlarged, hyperlobated. oET megakaryocytes are largest of all BM disorders. Other Findings: • Absent/minimal reticulin fibrosis.
  • 60.
    BM aspirate showsthe phenomenon of “pseudoparticle” formation that may occur as a result of marked thrombocytosis and extensive platelet clumping in vitro. These particles mimic BM particles but have less cellular element. In ET, BM aspirate typically reveals intact granulopoiesis and erythropoiesis with unremarkable morphology. The very large hyperlobated megakaryocytes are characteristic.
  • 61.
    BM core biopsyshows normal bone and mild hypercellularity. Increased megakaryocytes form loose clusters and demonstrate hyperlobulation. BM core biopsy features of ET. Increased megakaryocytes form loose clusters and demonstrate hyperlobulation.
  • 62.
    ANCILLARY TESTS: 1. Histochemistry: •Reticulin: oAbsent to minimal fibrosis. oProgressive fibrosis in rare cases. 2. Flow Cytometric Immunophenotyping: • Blasts < 5% in typical ET. • Rare cases of leukemic transformation of ET. oBlasts > 20%; usually myeloid phenotype. 3. Conventional Cytogenetic Analysis (Karyotyping): • Usually normal karyotype (in 90% of cases). • Cytogenetic abnormalities are detected in less than 10% of ET cases at diagnosis.
  • 63.
    4. Molecular GeneticTesting: • JAK2 V617F mutations present in 60% of cases. • JAK2 exon 12 mutations are absent. • CALR mutations in 20-25% of cases. • MPL mutations present in 3-5% of cases.
  • 64.
  • 65.
  • 66.
    Megakaryocytes in ETMegakaryocytes in prePMF
  • 67.
    DIAGNOSTIC CRITERIA: The 2017WHO Diagnostic Criteria of Essential Thrombocythemia (ET) Major Criteria: 1. Platelet count > 450 x 109/L. 2. BM biopsy showing: • Proliferation mainly of the megakaryocyte lineage with increased numbers of enlarged, mature megakaryocytes with hyperlobulated nuclei. • No significant increase or shift toward immaturity in neutrophil granulopoiesis or erythropoiesis and very rarely minor (grade 1) increase in reticulin fibers. 3. Not meeting the WHO criteria for BCR-ABL1+ CML, PV, PMF, MDS, or other myeloid neoplasms. 4. Presence of JAK2, CALR, or MPL mutation. Minor Criterion: - Presence of a clonal marker or absence of evidence for reactive thrombocytosis. Diagnosis of ET requires meeting all four major criteria or the first three major criteria and the minor criterion.
  • 68.
  • 69.
    Pathologic Interpretation Pearls: •Sustained thrombocytosis: Platelet count ≥ 450 x 10⁹/L. • Reactive thrombocytosis excluded. • Red blood cell and white blood cell cytology and counts unremarkable. • Enlarged megakaryocytes with hyperlobulation. • Absent/minimal fibrosis. • Clonal: o JAK2 V617F positivity in 60%. o CALR mutations in 20-25%. o MPL mutations in 3-5%. SUMMARY:
  • 70.
  • 71.
    TERMINOLOGY: Definition: • Specific subtypeof myeloproliferative neoplasm (MPN). • Clonal hematopoietic stem cell disorder. • Hematopoietic proliferation that shows predominantly megakaryocytic and granulocytic proliferation with ultimate fibrosis. • Exclusion of other classic MPNs: oChronic myeloid leukemia (CML), BCR-ABL1 positive. oPolycythemia vera (PV). oEssential thrombocythemia (ET).
  • 72.
    ETIOLOGY/PATHOGENESIS: Molecular Mutations: 3 drivermutations are identified: I. JAK2 V617F mutation: • 1st driver mutation to be identified. II. MPL W515L mutation: • 2nd driver mutation to be identified. • 6-7% of PMF cases harbor this mutation. • Substitution of a G to T at nucleotide 1544. • Results in substitution of amino acid tryptophan to leucine (W515L). • General outcome of mutation is promotion of constitutive, cytokine-independent activation of JAK/ STAT signaling pathway.
  • 73.
    III. CALR mutation: •3rd driver mutation to be identified. • 20-25% of PMF cases harbor this mutation. • 2 most common types of mutations: oType 1 mutation: A 52-bp deletion (Most common type). oType 2 mutation: A 5-bp insertion. • Abnormal function of CALR-mutated protein: oSuggestion that mutant calreticulin activates JAK-STAT pathway. oResults in excessive platelet production. • JAK2, CALR, and MPL mutations are most often mutually exclusive. oPresence of 1 of these mutations distinguishes reactive disorder from neoplasm. oThese mutations do not distinguish PMF from PV or ET.
  • 74.
    Triple negative PMF: •10-15%of PMF cases are negative for all 3 mutations: JAK2, CALR, and MPL. •Associated with poor prognosis.
  • 75.
    Phases of primarymyelofibrosis (PMF): There are 2 phases of PMF: I. Prefibrotic phase (prePMF) It is characterized by: - Marked thrombocytosis in the peripheral blood. - Hypercellular BM with granulocytic and atypical megakaryocytic proliferation. - Absent or only slight reticulin fibrosis. - Minimal if any EMH. II. Fibrotic phase (Overt PMF) It is characterized by: - Variable BM cellularity. - Reticulin or collagen fibrosis, often osteosclerosis. - Prominent hepatosplenomegaly due to EMH. - Leucoerythroblastic reaction in the peripheral blood.
  • 76.
    CLINICAL FEATURES: • Age: oThemedian age at diagnosis is 67 years. About 5% of cases present before 40 years. • Gender: oNo significant prediliction. • Clinical picture: oPatients are usually asymptomatic. oPatients may exhibit symptoms such as headaches, blurred vision, dizziness, and erythromelalgia (redness, burning, pain of distal ends of toes and fingers) due to thrombotic occlusion of the microvasculature. oCatastrophic large vessel thrombosis includes stroke, myocardial infarction, deep venous thrombosis (including splanchnic vein thrombosis), and peripheral arterial thrombosis. oBleeding is less common than thrombosis. oSplenomegaly is not as prominent as that of the other MPNs, and it occurs in 15–20% of patients.
  • 77.
  • 78.
    MICROSCOPIC PATHOLOGY: Peripheral blood: I.Prefibrotic phase (prePMF) RBCs: Modest anemia. WBCs: Mild leukocytosis. Platelets: Moderate to marked thrombocytosis. Blood film morphology: - The most striking finding is often the marked increase in platelets. - Mild neutrophilia with a left shift may be seen. - No significant dysplasia. - Variable, often subtle, basophilia. - Myeloblasts, nucleated RBCs, and teardrop-shaped RBCs are rarely observed in the early stages
  • 79.
    II. Fibrotic phase(Overt PMF) There is gradual worsening of hematologic parameters as the disease progresses. RBCs: More severe anemia than PrePMF. WBCs: - Mild leukocytosis. - Severe leucopenia may occur as BM failure becomes more prominent as a result of increasing fibrosis. Platelets: Lower platelet count than PrePMF. Blood film morphology: The classic findings of patients with overt PMF are: - Leucoerythroblastic reaction with numerous teardrop- shaped RBCs. - Bizarre, abnormal platelets. - Blasts occasionally account for 5% or more. Blast percentages of 10% to 19% in PB indicate that there is progression to AP, and 20% or more blasts is sufficient for the diagnosis of blast transformation.
  • 80.
    BM Examination: I. Pre-fibroticphase (PrePMF): Cellularity: - In prePMF, BM is hypercellular. Erythroid series: - Erythropoiesis is reduced in most cases. Granulocytic series: - There is an increased number of neutrophils. - Although there may be a left shift in granulopoiesis, neutrophils at the metamyelocyte through segmented stages usually predominate. - The percentage of myeloblasts is not increased. Megakaryocytic series: - There is an increased number of atypical megakaryocytes. - Megakaryocytes in PMF are morphologically more atypical than in any other MPN: • They vary from small to large. Some have an abnormal nuclear-cytoplasmic ratio and disorganized, plump, cloudlike, or balloonlike nuclear lobation. Reticulin stain: - Reticulin fibers vary in quantity and thickness but are often not increased in prePMF, except focally around blood vessels.
  • 81.
  • 82.
    II. Fibrotic phase(Overt PMF): Cellularity: - As prePMF progresses to the fibrotic stage, the marrow cellularity decreases. Erythroid and Granulocytic series: depressed. Megakaryocytic series: • Megakaryocytic atypia: • Dense clusters. • Hyperchromatic and bizarre nuclei. • Cloud-like nuclei. Reticulin fibrosis: Reticulin or even overt collagen fibrosis of the marrow becomes more obvious. Other findings: • Osteosclerosis. • Moderate to marked reticulin/collagen fibrosis. • Dilated sinuses.
  • 83.
  • 84.
    MF-0: Scattered linearreticulin with no intersections (cross-overs) corresponding to normal BM MF-1: Loose network of reticulin with many intersections, especially in perivascular areas ANCILLARY TESTS: 1. Histochemistry (Reticulin stain): Semiquantitative Grading of MF
  • 85.
    MF-2: Diffuse anddense ↑ in reticulin with extensive intersections, occasionally with focal bundles of collagen and/or focal osteosclerosis. MF-3: Diffuse and dense ↑ in reticulin with extensive intersections and coarse bundles of collagen, often with osteosclerosis
  • 86.
    2. Molecular GeneticTesting: • JAK2 V617F mutations present in 60% of cases. • JAK2 exon 12 mutations are absent. • CALR mutations in 25% of cases. • MPL mutations present in 6-7% of cases. • 10 – 15% of cases are negative for JAK2 V617F, CALR and MPL (triple negative PMF).
  • 87.
    Molecular Approach inBCR-ABL negative MPN: oThese include: PV, ET and PMF. 1. BCR-ABL1 fusion must be ruled out to exclude chronic myelogenous leukemia. 2. Cases of suspected PV would be considered for JAK2 V617F and JAK2 exon 12 mutations. 3. If a diagnosis of ET or PMF is favored, mutations may be sought in MPL, JAK2 (V617F), or CALR. § Because these mutations are considered mutually exclusive, a stepwise reflex algorithm may be used: § Based on frequency, best order is JAK2 V617F > CALR > MPL. 4. Next generation sequencing assessment of all of these mutations at once (± additional genes) may become increasingly cost effective and widespread.
  • 88.
    DIAGNOSTIC CRITERIA: The 2017WHO Diagnostic Criteria of Pre-fibrotic/Early PMF (PrePMF): Major criteria: 1.Megakaryocytic proliferation and atypia, without reticulin fibrosis > grade 1, accompanied by increased age- adjusted BM cellularity, granulocytic proliferation and often decreased erythropoiesis 2. Not meeting WHO criteria of BCR/ABL+ CML, PV, ET, MDS or other myeloid neoplasms. 3. Presence of JAK2, MPL or CALR mutation or in the absence of these mutations, presence of another clonal marker or absence of minor reactive BM reticulin fibrosis. Minor criteria: Presence of at least one of the following, confirmed in two consecutive determinations: a. Anemia not attributed to a comorbid condition. b. Leukocytosis ≥ 11 x 109/L. c. Palpable splenomegaly. d. LDH increased to above upper normal limit of institutional reference range. Diagnosis of prePMF requires meeting all three major criteria and at least one minor criterion.
  • 89.
    The 2017 WHODiagnostic Criteria of Overt Primary Myelofibrosis Major criteria: 1.Megakaryocytic proliferation and atypia, accompanied by either reticulin and/or collagen fibrosis grades 2 or 3. 2. Not meeting WHO criteria of BCR/ABL+ CML, PV, ET, MDS or other myeloid neoplasms. 3. Presence of JAK2, MPL or CALR mutation or in the absence of these mutations, presence of another clonal marker or absence of minor reactive BM reticulin fibrosis. Minor criteria: Presence of at least one of the following, confirmed in two consecutive determinations: a. Anemia not attributed to a comorbid condition. b. Leukocytosis ≥11 x 109/L. c. Palpable splenomegaly. d. LDH increased to above upper normal limit of institutional reference range. e. Leucoerythroblastosis. Diagnosis of Overt PMF requires meeting all three major criteria and at least one minor criterion.
  • 90.
  • 91.
    TERMINOLOGY: Definition: • Specific subtypeof myeloproliferative neoplasm (MPN). • Clonal hematopoietic stem cell disorder manifesting predominantly in granulocytic lineage. • Characterized by: oPersistent peripheral blood neutrophilia. oPersistent BM granulocytic proliferation. oThere is no BCR-ABL1 fusion gene. oHepatosplenomegaly common. oActivating mutation of CSF3R gene. Mutation present in most cases. oReactive conditions resulting in neutrophilia must be excluded in cases lacking clonal genetic marker. oOther myeloid neoplasms must be systematically excluded in cases lacking CSF3R mutation.
  • 92.
    CLINICAL FEATURES: • Age: oTheaverage age at diagnosis is 60 years. • Gender: oSlight male predominance. • Clinical picture: oMajority of patients asymptomatic. oIncidental detection of leukocytosis on CBC. oHepatomegaly. oSplenomegaly: the most consistent clinical finding. oWeight loss. oEasy bruising.
  • 93.
    MICROSCOPIC PATHOLOGY: Peripheral Blood: •WBC≥ 25.0 x 10⁹/L. •Neutrophilia and increased band forms (≥ 80% of WBC). •Toxic changes with prominent granules may be seen. Must exclude reactive condition. •Absence of dysplasia. •No significant basophilia. •Immature granulocytes constitute < 10% of WBC. •Blasts rarely noted. •RBCs & platelets: usually unremarkable.
  • 94.
    Bone marrow: • Cellularity:Hypercellular; > 90%; due to granulocytic predominance. • Erythroid series: Reduced in percentage but show normoblastic maturation. • Granulocytic Series: oThe percentage of blasts and promyelocytes in BM is not increased at diagnosis (Blasts < 5%). oThere is an increase in the percentage of myelocytes, metamyelocytes, bands, and segmented neutrophils. oThere is no significant dysplasia. oBasophilia and eosinophilia are generally not observed. • Megakaryocytic Series: Normal. • Other findings: No significant fibrosis.
  • 96.
    DIAGNOSTIC CRITERIA: The 2017WHO Diagnostic Criteria of Chronic Neutrophilic Leukemia (CNL) 1. Peripheral blood white blood cell count ≥ 25 x 109/L - Segmented neutrophils plus band forms are > 80% of white blood cells. - Neutrophil precursors (promyelocytes, myelocytes, metamyelocytes) are <10% of white blood cells. - Myeloblasts rarely observed. - Monocyte count <1 x 109/L. - No dysgranulopoiesis. 2. Presence of CSF3R T6181 or other activating CSF3R mutation. OR - In the absence of a CSFR3R mutation, persistent neutrophilia (at least 3 months) and no identifiable cause of physiological or reactive neutrophilia, including absence of a plasma cell neoplasm or, if present, demonstration of clonality of myeloid cells by cytogenetic or molecular studies.
  • 97.
    3. Hypercellular bonemarrow: - Neutrophilic granulocytes increased in percentage and number. - Neutrophil maturation appears normal. - Myeloblasts < 5% of nucleated bone marrow cells. 4. Not meeting the WHO criteria for any other myeloid neoplasm: - Specifically, no BCR-ABL1; no rearrangement of PDGFRA, PDGFRB, or FGFR1; no PCM1-JAK2, ETV6-JAK2, or BCR-JAK2. All criteria must be met for the diagnosis of chronic neutrophilic leukemia to be made.
  • 98.
  • 99.
  • 100.
    TERMINOLOGY: Definition: • Clonal hematopoieticmyeloproliferative neoplasm. oManifests as sustained proliferation of eosinophils and precursors. CLINICAL ISSUES: Incidence: • Rare. • Difficult to determine accurately. • Significant degree of diagnostic overlap with idiopathic hypereosinophilic syndrome.
  • 101.
    Clinical Presentation: • Asymptomatic: oIncidentalidentification of eosinophilia on complete blood cell count. • Symptomatic: oFever. oFatigue. oPruritus. oGastrointestinal disturbance. oEndomyocardial fibrosis. oCentral nervous symptoms.
  • 102.
    MICROSCOPIC PATHOLOGY: Peripheral Blood: •Eosinophilia: oMostlymature eosinophils. oOccasional eosinophil precursors. oEosinophil count ≥ 1.5 x 10⁹/L. •Other features: • Neutrophilia common. • Blasts < 20% (usually > 2%). • No significant population of mast cells. • No circulating lymphoma cells.
  • 103.
    Bone Marrow: • Cellularity: oUsuallyhypercellular due to eosinophilia. • Erythroid and Megakaryocytic Series: oIntact erythropoiesis and megakaryopoiesis. • Granulocytic Series: oEosinophilia. oBlasts < 20% (usually > 5%). oDysplasia is uncommon. oExclude myelodysplasia with associated eosinophilia. oCharcot-Leyden crystals may be observed.
  • 104.
    ANCILLARY TESTS: 1. Immunohistochemistry: •Assess for mast cell disease: oTryptase and CD25. oMast cells may be spindled and individually distributed; not in aggregates. • Assess for Hodgkin/non-Hodgkin lymphoma: oIf morphology in BM negative: § No further testing except for consideration of CD30 for occult T-cell lymphoma. oIf morphology in BM positive: § No further testing if morphologic features similar to lymphoma diagnosed in extramedullary site.
  • 105.
    2. Conventional CytogeneticsAnalysis (Karyotyping): •Document clonality if present. •Exclude recurring genetic abnormality diagnostic of different neoplasm e.g. ot(9;22)(q34.1;q11.2); BCR-ABL1 fusion in chronic myeloid leukemia. oRearrangement of PDGFRB (5q31~33), FGFR1 (8p11.23-p11.22), and PCM1- JAK2;t(8;9)(p22;q24.1). oCBFB-MYH11 in AML with inv(16). 3. Fluorescent in Situ Hybridization (FISH): •Perform testing for FIP1L1-PDGFRA fusion since cytogenetically cryptic. •Investigate possible PDGFRB, FGFR1, and PCM1-JAK2 abnormalities by chromosomal analysis.
  • 106.
    DIAGNOSTIC CRITERIA: The 2017WHO Diagnostic Criteria of CEL 1. Eosinophilia (eosinophil count ≥1.5 x 109/L). 2. WHO criteria for BCR-ABL1-positive CML, polycythemia vera, essential thrombocythemia, PMF, CNL, chronic myelomonocytic leukemia, and BCR-ABL1-negative atypical CML are not met. 3. No rearrangement of PDGFRA, PDGFRB, or FGFR1, and no PCM1-JAK2, ETV6-JAK2, or BCR-JAK2 fusion. 4. Blast cells constitute <20% of the cells in the peripheral blood and bone marrow, and inv(16)(p13.1q22), t(16;16) (p13.1;q22), t(8;21)(q22;q22.1), and other diagnostic features of AML are absent. 5. There is a clonal cytogenetic or molecular genetic abnormality or blast cells account for ≥2% of cells in the peripheral blood or ≥5% in the bone marrow. All criteria must be met for diagnosis of CEL.
  • 107.
  • 108.
    TERMINOLOGY: Definition: • The designationMPN, unclassifiable, should be applied only to: oCases that have definite clinical, laboratory, and morphologic features of an MPN but fail to meet the criteria for any of the specific MPN entities. OR oCases present with features that overlap two or more of the MPN categories. • The designation MPN, unclassifiable, should not be used if: oLaboratory data necessary for classification are incomplete or were never obtained. oThe size or quality of BM specimen is inadequate for complete evaluation. oThe patient has received prior growth factor or cytotoxic therapy.
  • 109.
    DIAGNOSTIC CRITERIA: The 2017WHO Diagnostic Criteria of MPN, unclassifiable (MPN-U) 1. Features of an MPN are present. 2. WHO criteria for any other MPN, myelodysplastic syndrome, myelodysplastic/myeloproliferative disorder, or BCR-ABL1–positive chronic myeloid leukemia are not met. 3. Demonstration of JAK2, CALR, or MPL mutation characteristically associated with MPN. OR - In the absence of these mutations, presence of another clonal marker. OR - In the absence of a clonal marker, no evidence that bone marrow fibrosis is secondary to infection, autoimmune disorder or other chronic inflammatory condition, hairy cell leukemia or other lymphoid neoplasm, metastatic malignant neoplasm, or toxic (chronic) myelopathy. All criteria must be met for diagnosis of MPN-U.
  • 110.
  • 111.
    MPN COMPARATIVE FEATURES: BloodFeatures BM Features Molecular/Genetics I. CML, BCR-ABL1 Positive, Chronic Phase: Marked leukocytosis. Marked hypercellular. t(9;22)(q34.1;q11.2) is virtually present in 100% of metaphases. Predominance of mature neutrophils (peaks). Predominance of myeloid lineage cells. BCR-ABL1 gene fusion is the defining feature; required for diagnosis. Left shift to blasts (< 10%). Maturation intact; granulocytic lineage predominates in BM with normal maturation and without dysplasia. Responsive to tyrosine kinase inhibitor therapy with marked reduction of incidence of blast phase. Absolute basophilia. Blasts < 10 %. Frequent thrombocytosis. Increased small hypolobated megakaryocytes. Nucleated RBCs (nRBCs) common. Other dysplastic features uncommon. Dysplasia absent. Absent fibrosis.
  • 112.
    Blood Features BMFeatures Molecular/Genetics II. Polycythemia Vera, Chronic Phase: Erythrocytosis. Hypercellular. Must be BCR-ABL1 negative. Variable leukocytosis and nRBCs. Maturation intact; panmyelosis. o JAK2 V617F in >95% of cases. o JAK2 exon 12 in the remainder. Variable basophilia; thrombocytosis. Blasts <2%. JAK2 inhibitor therapy is potential treatment option. Dysplasia absent. Increased, usually hyperlobated megakaryocytes. Fibrosis absent/minimal.
  • 113.
    Blood Features BMFeatures Molecular/Genetics III. Essential Thrombocythemia: Thrombocytosis: sustained. Variable cellularity (may be normal). Must be BCR-ABL1 negative. Variable WBC and basophil count. Increased, markedly hyperlobated megakaryocytes. o JAK2 V617F in 50% of cases. o CALR mutation in 40%. o MPL W151L/K mutation in small subset. RBCs parameters usually normal. Other lineages unremarkable. Some cases are triple negative. Blasts <2%. Mutation status linked to outcome and thrombosis risk.
  • 114.
    Blood Features BMFeatures Molecular/Genetics IV. Primary Myelofibrosis, Early to Overt Fibrotic Phases: Leukocytosis and thrombocytosis common in early disease. Marked hypercellularity; granulocytic lineage predominance; cellularity decreases as fibrosis progresses. Must be BCR-ABL1 negative. Leucoerythroblastic blood picture common in fibrotic phase. Dilated sinuses with intrasinusoidal megakaryocytes. o JAK2 V617F in 60% of cases. o CALR mutation in 40%. o MPL W151L/K mutation in small subset. Teardrop-shaped RBCs in fibrotic phase. Myeloid predominance with intact maturation Some cases are triple negative. Variable basophilia. Blasts < 10 %. Mutation status linked to outcome and thrombosis risk. Cytopenias may develop with more advanced disease. Increased megakaryocytes with pyknotic and hyperlobated forms. Progressive osteosclerosis and myelofibrosis.
  • 115.
    Blood Features BMFeatures Molecular/Genetics V. Chronic Neutrophilic Leukemia Sustained unexplained neutrophilia. Hypercellular BM. Must be BCR-ABL1 negative. May see toxic changes. Myeloid lineage predominates. CSF3R mutation in most cases; may be defining event. Absent basophilia. Intact maturation. Other CBC parameters generally unremarkable. Blasts <2%.
  • 116.
    Blood Features BMFeatures Molecular/Genetics VI. Chronic Eosinophilic Leukemia, NOS Sustained unexplained eosinophilia. Hypercellular BM. Must be BCR-ABL1 negative. Basophilia generally absent. Prominent eosinophils. Absence of PDGFRA, PDGFRB and FGFR1 required. Other CBC parameters generally unremarkable. Intact maturation, blasts <2%.