Embed presentation
Download to read offline














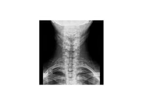
Cervical rib is a congenital condition where an extra rib arises from the 7th cervical vertebrae, usually bilaterally. It can cause thoracic outlet syndrome with symptoms like pain in the arm and numbness in the fingers that worsen with shoulder movements. Diagnosis is made through x-rays and physical exam maneuvers. Conservative treatment involves pain medication and physical therapy while surgery to remove the extra rib may be considered if symptoms persist.













