SURGICAL ANATOMY OF VENOUS
SYSTEM OF HEART

CORONARY SINUS,LSVC
By- Dr.Jyotindra Singh
NIMS,HYDERABAD
PLAN
INTRODUCTION
EMBRYOLOGY
VENOUS ANATOMY
SURGICAL IMPLICATIONS
CORONARY SINUS
LSVC
RECENT UPDATES
TAKE HOME MESSAGE
The Developing Venous System
Vitelline
Umbilical
Cardinal

Sinus
Venosus
The Developing Venous System
Vitelline
Umbilical
Cardinal

Subcardinal

Supra cardinal

Supra-Subcardinal
Anastomosis

Sinus
Venosus
EMBRYOLOGY
Formed by vasculogenesis.
3 vital systemic venous drainage - VITELLINE/ UMBILICAL/ CARDINAL
SINUS VENOSUS - RIGHT AND LEFT HORNS - Provide bilateral
connection

The connection of 3 veins on left side regress- CORONARY SINUS

When sinus venosus fail to regress- Persistent left superior vena cava
Remodeling of Abdominal Venous System Occurs
through Obliteration of the Left Supracardinal Vein
Failure of Left Cardinal Veins to Undergo Normal
Regression Leads to Venous Anomalies
LSVC occurs in 0.3% to 0.5%
of the normal population
In 65% of cases, left
brachiocephalic vein is also
missing
4% of patients with CHD have
an LSVC

Usually drains to the coronary
sinus
VENOUS ANATOMY
CORONARY SINUS

ANTERIOR CARDIAC VEINS
.

VENAE CORDIS MINIMI
TRIBUTARIES TO CORONARY SINUS
1. The Great Cardiac Vein (v. cordis magna; left coronary vein)
2. The Small Cardiac Vein (v. cordis parva; right coronary vein)
3. The Middle Cardiac Vein (v. cordis media)

.4. The Posterior Vein of the Left Ventricle (v. ventriculi sinistri)
5. The Oblique Vein of the Left Atrium(oblique vein of Marshall)
6. The Right Marginal vein
Brachiocephalic trunk

Lt. common carotid A.

Brachiocephalic veins
Lt. subclavian A.

Ligamentum arteriosum
Ascending aorta
Superior vena cava

Aortic arch
Pulmonary trunk
Left pulmonary
artery

Right coronary artery
Left
pulmonary
veins
Left coronary artery
Marginal artery

Small
cardiac vein

Circumflex artery

Great cardiac vein

Anterior interventricular
(left anterior descending)
artery
Coronary sinus
Inferior vena cava

Lt. pulmonary
vein

Rt. Coronary A

Posterior cardiac
vein

Middle
cardiac
vein

Posterior
interventricular A.

Right
ventricle

Left ventricle
Overview of venous drainage
GREAT CARDIAC VEIN
The GCV curves to the left as it leaves the anterior interventricular
groove, to form the base of the triangle of

‘‘ Brocq and Mouchet ”
Left anterior descending and the left circumflex arteries form other
sides.
GCV related internally to the anterolateral commissure of the mitral
valve.
The latter part lay in close relationship to the left circumflex artery

After crossing the left circumflex artery, the great cardiac vein ended
at the Vieussens valve and continued as the coronary sinus
GREAT CARDIAC VEIN
Patent SVGs and
a patent LIMA to
the 1st diagonal
branch of the LAD.

.

Inadvertent
insertion of the
LIMA skip graft
into the Great
cardiac vein,
instead of the
distal LAD
GREAT CARDIAC VEIN
Introducing the cardioplegic solution via the coronary
sinus will not perfuse the entire left side of the heart.
Post operatively there will be some myocardial
dysfunction due to non perfusion of the area drained
by Great cardiac vein.
Since the opening of the great cardiac vein in the right
atrium is very close to the interatrial septum it may be
mistaken as an atrial septal defect during cardiac
catheterization
Selective arterialization of coronary
venous system
CVBG – Therapeutic option in patients with diffuse coronary artery
disease.
Arterial blood can perform retrograde perfusion through it and
nourish ischemic myocardium.
It helps to ensure sufficient blood flow, reduced thrombosis and
improved graft patency.
Another reason to select middle cardiac vein for arterialization was
that left coronary artery trunk or its branches may lie on the surface of
great cardiac vein for nearly 50% patients.
It means that, when coronary atherosclerosis happens, great cardiac
vein may be oppressed by sclerotic left coronary artery trunk or its
branches,
THEBESIAN VENOUS SYSTEM
In the absence of both
LSVC and a Coronary sinus
ostium in the left
atrium, drainage occurs
through enlarged Thebesian
veins.
Also, when hypoplastic
cardiac veins fail t o join t h
e coronary sinus, they
empty individually into the
atrial chambers through
dilated Thebesian channels
Opening
of IVC
TRIANGLE OF KOCH
.

CORONARY SINUS DILATATION

1. Cardiac arrhythmia due
to stretching of the
atrioventricular node and
bundle of His.
2. Obstruction of the left
atrioventricular flow
because of partial occlusion
of the mitral valve.

a
CORONARY SINUS
The coronary sinus is defined as the blood conduit that is a continuation of the great cardiac
vein from the valve of the great cardiac vein to the ostium of the coronary sinus.

The length varies from 3 to 5.5 cm. CS lies in the sulcus between the left atrium and ventricle
Begins proximally at the right atrial orifice and ends distally at the valve of Vieussen's.

.

The CS receives blood from the ventricular veins during ventricular systole and empties into the
right atrium during atrial systole.
The wall of the CS is made up of striated myocardium that is continuous with the atria, forming
a myocardial sleeve around the venous system

The Thebesian valve is a crescent shaped structure often found guarding the mouth of the CS
as it opens to the right atrium.
THEBESIAN VALVE
(1) absent, 14.7%;
(2) small and crescentric,
38%;
(3) large and covering the
entire orifice of the coronary
sinus, 30.7%;
(4) bars and bands, 5.3%;
(5) threads and networks,
5.3%;
(6) common Eustachian
and Thebesian valves,
RETROGRADE CARDIOPLEGIA
(1) the provision of a relatively uniform distribution of cardioplegia
even in the presence of severe coronary artery disease
2) it is effective in the presence of aortic regurgitation
(3) Redo – CABG antegrade cardioplegia is associated with a high
risk of atheromatous embolization from patent grafts
(4) RCP may be an effective method for treating coronary air
embolism

(5) it can be given without interrupting the surgical procedure.
Coronary Sinus ANOMALIES
An Absent coronary sinus is always
associated with a persistent left
superior vena cava (PLSVC)
connecting to the left atrium.
A Hypoplastic coronary sinus
occurs when one or more of the
cardiac veins drain directly into the
atria.

Atresia or stenosis of the coronary
sinus ostium may occur alone or with
associated cardiac anomalies
Enlargement of the coronary sinus
can be divided into two groups
- with left to right shunt
- without left to right shunt
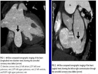
Unroofed coronary sinus anomaly
CORONARY SINUS ASD
Located – posteriorly and inferiorly in the interatrial septum.
INTERATRIAL SEPTAL TISSUE – separates AV valve
annulus.
May be associated SECUNDUM ASD.

CLEFT MITRAL VALVE- confluent PRIMUM ASD
PULMONARY VEINS – enter left atrium more superiorly than
usual – when LSVC present with coronary sinus ASD.
Left to right or right to left shunt depending on relative
ventricular compliance/ right atrial pressure.
Figure 1. Transesophageal echocardiography revealed both atrial and right ventricular
enlargement (left), a defect of the partial coronary sinus (middle), and shunt of the left atrium
to the dilated coronary sinus (right) at the near longitudinal plane.
ROOFING THE CORONARY SINUS
REPAIR OF CORONARY SINUS ASD
Goal – separate systemic & pulmonary return
- eliminate shunting at atrial level
Caution – close to conduction system and pulmonary veins.
ROOFING PROCEDURE - BICAVAL VENOUS CANNULATION
- STANDARD RIGHT ATRIOTOMY
IF ATRIAL SEPTUM INTACT- FOSSA OVALIS IS INCISED
UNROOFED CS- MEDIAL TO PULMONARY VEINS
PERICARDIAL PATCH USED TO COVER THE DEFECT
ATRIAL SEPTUM REPAIRED EITHER PRIMARILY OR WITH
SECOND PERICARDIAL PATCH
UNROOFED CORONARY SINUS SYNDROME

LSVC to left atrium with coronary sinus ASD
LSVC to left atrium with COMMON ATRIUM

Complete unroofing without LSVC
Partial unroofing –mid portion without LSVC
Partial unroofing –distal portion ,no LSVC

Partial unroofing –distal portion ,intact
corsinus ostium with coronary sinus ASD
LSVC
PLSVC, is a result of a residual left
anterior cardinal vein.
It occurs in 0.1% to 0.3% of the
general population.
PLSVC is 3% to 8%, and up to 40%
when such patients have abnormal
situs
A PLSVC originates from the
junction of the left innominate vein
and the left jugular vein.

More than 90% of cases of PLSVC
drain through a coronary sinus.
The rest drain into the coronary sinus
through a window into the left atrium,
directly into the left atrium or into the
left pulmonary vein .
In 60% of cases, the innominate vein
bridges the two superior venae
cavae;
In the other 40%, the cavae drain the
right and left brachiocephalic regions
separately.
If there is no innominate vein the
PLSVC must persist; however, the
converse is not true.

A PLSVC with an absent right
superior vena cava is found in 14% of
cases
Questions to be asked
Is there a right superior
vena cava?
Is the Innominate
vein present
Is the PLSVC associated
with any other cardiac
malformations?
Where does the PLSVC
drain?
And does the surgery
involve the right atrium?
LSVC
CONNECTIONS
LEFT ATRIUM
CORONARY SINUS
WITH OSTIAL ATRESIA
WITHOUT OSTIAL ATRESIA
- INTACT CORONARY SINUS
- UNROOFED CORONARY SINUS
- COMPLETE UNROOFING
- PARTIAL UNROOFING
LSVC with CS Ostial atresia
Physiologically benign
Grave hazard- for cardiac surgeon if not identified
Permanent/temporary occlusion or vigorous
manipulation – cause myocardial congestion/ischemia
Patency should be sought – preoperatively/intraop
LSVC TO CS WITHOUT ATRESIA
If large left innominate vein is present – tourniquet.
Small/absent innominate veinCardiac catheterisation – occlusion pressure less than
18 mm hg- temporarily occluded.
Third angled venous cannula – cannulated directly
When temporarily occlusion not advisable
Flexible venous cannula retrograde through CS
Use of cardiotomy sucker.
Single right atrial venous cannula + profound
hypothermia and total circulatory arrest
LSVC TO LA without CS
LSVC can be ligated below innominate vein.

LSVC to RIGHT ATRIUM
- direct implantation
- left atrial tubular flap creation
- right atrial tubular extension
- PTFE graft
limitation – stenosis /occlusion of rerouted LSVC
COMMON ATRIUM
Repositioning the ATRIAL SEPTUM

-- Interatrial septum- completely excised
-- autologous pericardium/ prosthetic
patch used
Goal – systemic venous orifice lie on right side
- pulmonary venous orifice lie on left side
- optimal baffle placement
Biderectional Cavopulmonary
connection
Extracardiac repair
LSVC detached from heart – cardiac end oversewn
LSVC sutured to superior aspect of –
LEFT PULMONARY ARTERY
Avoids complication likebaffle leaks/baffle stenosis /atrial arrythmia
ATRIAL ISOMERISM
When b/l morphologically Right atria present

Lsvc enters the left sided Right atrium
Not an example of Unroofed coronary sinus.
Right isomerism – CS usually absent
Minor venous channel open directly into RA/RV
RAGHIB SYNDROME
INCLUDES – LSVC to left atrium
- Absence of coronary sinus
- Low lying ASD
Simple closure – Persistent desaturation
Correction - ASD repair + ligation of LSVC
- Excision of septum primum
- Placement of intra atrial baffle
HEART LUNG TRANSPLANT
Recipient LSVC is divided near its entrance
into left atrium during recipient cardiectomy
It is sutured end to end to donor left inominate
vein
SUPERIOR ROOFING – defect made in
interatrial septum

Superior wall of left atrium is used to make left
atrial tunnel from LSVC orifice to interatrial
defect
Cor Triatriatum
Pathogenesis - Impingement of a left superior
vena cava on the developing left atrium.
Left and right pulmonary veins may enter the
left atrium more superior than usual.

Mild to moderate narrowing- left atrium to which
pulmonary veins are attached.
Partially unroofed CS
condition can be easily overlooked
suspicious- when no asd or pulmonary vein
anomaly seen in RA with documented oxygen
step up
Diagnosis – pass a probe in CS orifice
- View defect through separate
incision in interatrial septum
FONTAN REPAIR - When it co exists with
tricuspid atresia – marked RIGHT to left shunt
that incorporates coronary sinus into systemic
venous pathway.
RECENT ADVANCES
Clinical trials investigating treatment with angiogenesis factors and gene therapy have been
goin on

New devices for creating cardiac arteriovenous fistulas percutaneously have been deviced
Radionuclide cardioangiography.

Three different systems of percutaneous mitral annuloplasty are currently under evaluation:
the Edwards Monarc system, the Carillon Mitral Contour System and the PTMA implant
system.

They are inserted into the coronary sinus and the great cardiac vein and all
work on the same principle: they shrink the mitral annulus, increasing leaflet coaptation and
thus reducing the regurgitation .
Take home message
Indications of selective CVBG include the patients with
tenuous right coronary artery or with diffuse lesions. It
is fit for the patients who need secondary CABG
operation.

Partially unroofed coronary sinus should not be
over looked

Close relation between LAD and GCV should
be kept in mind.
Eyes see what the mind knows!!

Cardiac venous system

  • 2.
    SURGICAL ANATOMY OFVENOUS SYSTEM OF HEART CORONARY SINUS,LSVC By- Dr.Jyotindra Singh NIMS,HYDERABAD
  • 3.
  • 5.
    The Developing VenousSystem Vitelline Umbilical Cardinal Sinus Venosus
  • 6.
    The Developing VenousSystem Vitelline Umbilical Cardinal Subcardinal Supra cardinal Supra-Subcardinal Anastomosis Sinus Venosus
  • 9.
    EMBRYOLOGY Formed by vasculogenesis. 3vital systemic venous drainage - VITELLINE/ UMBILICAL/ CARDINAL SINUS VENOSUS - RIGHT AND LEFT HORNS - Provide bilateral connection The connection of 3 veins on left side regress- CORONARY SINUS When sinus venosus fail to regress- Persistent left superior vena cava
  • 10.
    Remodeling of AbdominalVenous System Occurs through Obliteration of the Left Supracardinal Vein
  • 11.
    Failure of LeftCardinal Veins to Undergo Normal Regression Leads to Venous Anomalies LSVC occurs in 0.3% to 0.5% of the normal population In 65% of cases, left brachiocephalic vein is also missing 4% of patients with CHD have an LSVC Usually drains to the coronary sinus
  • 12.
    VENOUS ANATOMY CORONARY SINUS ANTERIORCARDIAC VEINS . VENAE CORDIS MINIMI
  • 13.
    TRIBUTARIES TO CORONARYSINUS 1. The Great Cardiac Vein (v. cordis magna; left coronary vein) 2. The Small Cardiac Vein (v. cordis parva; right coronary vein) 3. The Middle Cardiac Vein (v. cordis media) .4. The Posterior Vein of the Left Ventricle (v. ventriculi sinistri) 5. The Oblique Vein of the Left Atrium(oblique vein of Marshall) 6. The Right Marginal vein
  • 14.
    Brachiocephalic trunk Lt. commoncarotid A. Brachiocephalic veins Lt. subclavian A. Ligamentum arteriosum Ascending aorta Superior vena cava Aortic arch Pulmonary trunk Left pulmonary artery Right coronary artery Left pulmonary veins Left coronary artery Marginal artery Small cardiac vein Circumflex artery Great cardiac vein Anterior interventricular (left anterior descending) artery
  • 16.
    Coronary sinus Inferior venacava Lt. pulmonary vein Rt. Coronary A Posterior cardiac vein Middle cardiac vein Posterior interventricular A. Right ventricle Left ventricle
  • 17.
  • 19.
    GREAT CARDIAC VEIN TheGCV curves to the left as it leaves the anterior interventricular groove, to form the base of the triangle of ‘‘ Brocq and Mouchet ” Left anterior descending and the left circumflex arteries form other sides. GCV related internally to the anterolateral commissure of the mitral valve. The latter part lay in close relationship to the left circumflex artery After crossing the left circumflex artery, the great cardiac vein ended at the Vieussens valve and continued as the coronary sinus
  • 21.
    GREAT CARDIAC VEIN PatentSVGs and a patent LIMA to the 1st diagonal branch of the LAD. . Inadvertent insertion of the LIMA skip graft into the Great cardiac vein, instead of the distal LAD
  • 23.
    GREAT CARDIAC VEIN Introducingthe cardioplegic solution via the coronary sinus will not perfuse the entire left side of the heart. Post operatively there will be some myocardial dysfunction due to non perfusion of the area drained by Great cardiac vein. Since the opening of the great cardiac vein in the right atrium is very close to the interatrial septum it may be mistaken as an atrial septal defect during cardiac catheterization
  • 25.
    Selective arterialization ofcoronary venous system CVBG – Therapeutic option in patients with diffuse coronary artery disease. Arterial blood can perform retrograde perfusion through it and nourish ischemic myocardium. It helps to ensure sufficient blood flow, reduced thrombosis and improved graft patency. Another reason to select middle cardiac vein for arterialization was that left coronary artery trunk or its branches may lie on the surface of great cardiac vein for nearly 50% patients. It means that, when coronary atherosclerosis happens, great cardiac vein may be oppressed by sclerotic left coronary artery trunk or its branches,
  • 26.
    THEBESIAN VENOUS SYSTEM Inthe absence of both LSVC and a Coronary sinus ostium in the left atrium, drainage occurs through enlarged Thebesian veins. Also, when hypoplastic cardiac veins fail t o join t h e coronary sinus, they empty individually into the atrial chambers through dilated Thebesian channels
  • 29.
  • 30.
    TRIANGLE OF KOCH . CORONARYSINUS DILATATION 1. Cardiac arrhythmia due to stretching of the atrioventricular node and bundle of His. 2. Obstruction of the left atrioventricular flow because of partial occlusion of the mitral valve. a
  • 32.
    CORONARY SINUS The coronarysinus is defined as the blood conduit that is a continuation of the great cardiac vein from the valve of the great cardiac vein to the ostium of the coronary sinus. The length varies from 3 to 5.5 cm. CS lies in the sulcus between the left atrium and ventricle Begins proximally at the right atrial orifice and ends distally at the valve of Vieussen's. . The CS receives blood from the ventricular veins during ventricular systole and empties into the right atrium during atrial systole. The wall of the CS is made up of striated myocardium that is continuous with the atria, forming a myocardial sleeve around the venous system The Thebesian valve is a crescent shaped structure often found guarding the mouth of the CS as it opens to the right atrium.
  • 33.
    THEBESIAN VALVE (1) absent,14.7%; (2) small and crescentric, 38%; (3) large and covering the entire orifice of the coronary sinus, 30.7%; (4) bars and bands, 5.3%; (5) threads and networks, 5.3%; (6) common Eustachian and Thebesian valves,
  • 34.
    RETROGRADE CARDIOPLEGIA (1) theprovision of a relatively uniform distribution of cardioplegia even in the presence of severe coronary artery disease 2) it is effective in the presence of aortic regurgitation (3) Redo – CABG antegrade cardioplegia is associated with a high risk of atheromatous embolization from patent grafts (4) RCP may be an effective method for treating coronary air embolism (5) it can be given without interrupting the surgical procedure.
  • 35.
    Coronary Sinus ANOMALIES AnAbsent coronary sinus is always associated with a persistent left superior vena cava (PLSVC) connecting to the left atrium. A Hypoplastic coronary sinus occurs when one or more of the cardiac veins drain directly into the atria. Atresia or stenosis of the coronary sinus ostium may occur alone or with associated cardiac anomalies Enlargement of the coronary sinus can be divided into two groups - with left to right shunt - without left to right shunt Unroofed coronary sinus anomaly
  • 37.
    CORONARY SINUS ASD Located– posteriorly and inferiorly in the interatrial septum. INTERATRIAL SEPTAL TISSUE – separates AV valve annulus. May be associated SECUNDUM ASD. CLEFT MITRAL VALVE- confluent PRIMUM ASD PULMONARY VEINS – enter left atrium more superiorly than usual – when LSVC present with coronary sinus ASD. Left to right or right to left shunt depending on relative ventricular compliance/ right atrial pressure.
  • 38.
    Figure 1. Transesophagealechocardiography revealed both atrial and right ventricular enlargement (left), a defect of the partial coronary sinus (middle), and shunt of the left atrium to the dilated coronary sinus (right) at the near longitudinal plane.
  • 40.
  • 41.
    REPAIR OF CORONARYSINUS ASD Goal – separate systemic & pulmonary return - eliminate shunting at atrial level Caution – close to conduction system and pulmonary veins. ROOFING PROCEDURE - BICAVAL VENOUS CANNULATION - STANDARD RIGHT ATRIOTOMY IF ATRIAL SEPTUM INTACT- FOSSA OVALIS IS INCISED UNROOFED CS- MEDIAL TO PULMONARY VEINS PERICARDIAL PATCH USED TO COVER THE DEFECT ATRIAL SEPTUM REPAIRED EITHER PRIMARILY OR WITH SECOND PERICARDIAL PATCH
  • 42.
    UNROOFED CORONARY SINUSSYNDROME LSVC to left atrium with coronary sinus ASD LSVC to left atrium with COMMON ATRIUM Complete unroofing without LSVC Partial unroofing –mid portion without LSVC Partial unroofing –distal portion ,no LSVC Partial unroofing –distal portion ,intact corsinus ostium with coronary sinus ASD
  • 43.
    LSVC PLSVC, is aresult of a residual left anterior cardinal vein. It occurs in 0.1% to 0.3% of the general population. PLSVC is 3% to 8%, and up to 40% when such patients have abnormal situs A PLSVC originates from the junction of the left innominate vein and the left jugular vein. More than 90% of cases of PLSVC drain through a coronary sinus.
  • 44.
    The rest draininto the coronary sinus through a window into the left atrium, directly into the left atrium or into the left pulmonary vein . In 60% of cases, the innominate vein bridges the two superior venae cavae; In the other 40%, the cavae drain the right and left brachiocephalic regions separately. If there is no innominate vein the PLSVC must persist; however, the converse is not true. A PLSVC with an absent right superior vena cava is found in 14% of cases
  • 45.
    Questions to beasked Is there a right superior vena cava? Is the Innominate vein present Is the PLSVC associated with any other cardiac malformations? Where does the PLSVC drain? And does the surgery involve the right atrium?
  • 46.
    LSVC CONNECTIONS LEFT ATRIUM CORONARY SINUS WITHOSTIAL ATRESIA WITHOUT OSTIAL ATRESIA - INTACT CORONARY SINUS - UNROOFED CORONARY SINUS - COMPLETE UNROOFING - PARTIAL UNROOFING
  • 47.
    LSVC with CSOstial atresia Physiologically benign Grave hazard- for cardiac surgeon if not identified Permanent/temporary occlusion or vigorous manipulation – cause myocardial congestion/ischemia Patency should be sought – preoperatively/intraop
  • 48.
    LSVC TO CSWITHOUT ATRESIA If large left innominate vein is present – tourniquet. Small/absent innominate veinCardiac catheterisation – occlusion pressure less than 18 mm hg- temporarily occluded. Third angled venous cannula – cannulated directly When temporarily occlusion not advisable Flexible venous cannula retrograde through CS Use of cardiotomy sucker. Single right atrial venous cannula + profound hypothermia and total circulatory arrest
  • 49.
    LSVC TO LAwithout CS LSVC can be ligated below innominate vein. LSVC to RIGHT ATRIUM - direct implantation - left atrial tubular flap creation - right atrial tubular extension - PTFE graft limitation – stenosis /occlusion of rerouted LSVC
  • 50.
    COMMON ATRIUM Repositioning theATRIAL SEPTUM -- Interatrial septum- completely excised -- autologous pericardium/ prosthetic patch used Goal – systemic venous orifice lie on right side - pulmonary venous orifice lie on left side - optimal baffle placement
  • 51.
    Biderectional Cavopulmonary connection Extracardiac repair LSVCdetached from heart – cardiac end oversewn LSVC sutured to superior aspect of – LEFT PULMONARY ARTERY Avoids complication likebaffle leaks/baffle stenosis /atrial arrythmia
  • 52.
    ATRIAL ISOMERISM When b/lmorphologically Right atria present Lsvc enters the left sided Right atrium Not an example of Unroofed coronary sinus. Right isomerism – CS usually absent Minor venous channel open directly into RA/RV
  • 53.
    RAGHIB SYNDROME INCLUDES –LSVC to left atrium - Absence of coronary sinus - Low lying ASD Simple closure – Persistent desaturation Correction - ASD repair + ligation of LSVC - Excision of septum primum - Placement of intra atrial baffle
  • 54.
    HEART LUNG TRANSPLANT RecipientLSVC is divided near its entrance into left atrium during recipient cardiectomy It is sutured end to end to donor left inominate vein SUPERIOR ROOFING – defect made in interatrial septum Superior wall of left atrium is used to make left atrial tunnel from LSVC orifice to interatrial defect
  • 55.
    Cor Triatriatum Pathogenesis -Impingement of a left superior vena cava on the developing left atrium. Left and right pulmonary veins may enter the left atrium more superior than usual. Mild to moderate narrowing- left atrium to which pulmonary veins are attached.
  • 56.
    Partially unroofed CS conditioncan be easily overlooked suspicious- when no asd or pulmonary vein anomaly seen in RA with documented oxygen step up Diagnosis – pass a probe in CS orifice - View defect through separate incision in interatrial septum FONTAN REPAIR - When it co exists with tricuspid atresia – marked RIGHT to left shunt that incorporates coronary sinus into systemic venous pathway.
  • 57.
    RECENT ADVANCES Clinical trialsinvestigating treatment with angiogenesis factors and gene therapy have been goin on New devices for creating cardiac arteriovenous fistulas percutaneously have been deviced Radionuclide cardioangiography. Three different systems of percutaneous mitral annuloplasty are currently under evaluation: the Edwards Monarc system, the Carillon Mitral Contour System and the PTMA implant system. They are inserted into the coronary sinus and the great cardiac vein and all work on the same principle: they shrink the mitral annulus, increasing leaflet coaptation and thus reducing the regurgitation .
  • 58.
    Take home message Indicationsof selective CVBG include the patients with tenuous right coronary artery or with diffuse lesions. It is fit for the patients who need secondary CABG operation. Partially unroofed coronary sinus should not be over looked Close relation between LAD and GCV should be kept in mind.
  • 59.
    Eyes see whatthe mind knows!!