TOTAL ANOMALOUS
PULMONARY VENOUS
CONNECTION
DR VISHWANATH HESARUR
SENIOR RESIDENT
DEPARTMENT OF CARDIOLOGY
JNMC , BELGAUM
DEFINITION
 TAPVC defines the anomaly in which the pulmonary
veins have no connection with the left atrium. Rather,
the pulmonary veins connect directly to one of the
systemic veins (TAPVC) or drain in to right atrium.
 A PFO or ASD is present essentially in those who
survive after birth
HISTORY
 Wilson : 1st
description - case report in
1798.
 Friedlowsky : 1st
description of TAPVC in
1868.
 Muller : 1st
Successful open repair in
1951.
INCIDENCE
 0.6 to 1.2 per 10,000 live births
 0.7 and 1.5 percent of all CHD
 A strong male preponderance of 3:1
 
 Birth weight was less than 2500 g in 16.2%
 Gestational age was less than 38 weeks in 18.9%
 Intrauterine growth retardation occurred in 26.8%
 68% of these patients were diagnosed as neonates
GENETICS
 Mechanism of transmission – Not been elucidated
 No known genetic pattern of transmission.
 Associated with syndromes most notably Asplenia ,
Polysplenia .
EMBRYOLOGY
 PAPVC results from failure to establish a normal
connection between one or more of the pulmonary
veins with the CPV before the connections with the
splanchnic venous system have regressed.
 TAPVC results from failure to establish a normal
connection between the pulmonary venous plexus
& the CPV before the connections with splanchnic
venous system have regressed .
  Atresia of the common pulmonary vein and 
cor triatriatum.
CLASSIFICATION OF TAPVC
 Smiths classification
 Neills classification - Based on embryologic
basis
 Burroughs and Edwards classification
 Darlings classification
Smith classification
 Supradiaphragmatic Type: Pulmonary veins are
connected to: the left innominate vein by the
characteristic vertical vein, or the coronary sinus,
the right atrium, or the SVC, without pulmonary
venous obstruction
 Infradiaphragmatic Type: Pulmonary veins drain
into the portal vein or hepatic veins, with
pulmonary venous obstruction.
Smith et.al. Am J Dis Child 1961;101:41-51
Neills classification
 Group having connection to the right atrium or
right common cardinal system (SVC and the
azygous veins)
 Connections to the left common cardinal
system(left innominate vein, left SVC or the
coronary sinus)
 Connections to the umbilicovitelline system
(portal vein, ductus venosus or hepatic veins)
Neill CA: Pediatrics 18:880,1956
Burroughs and Edwards classification
 Suggested a classification with prognostic
implications based on the length of of the
anomalous channel (long, intermediate, or short)
 However the prognostic implications suggested
are not always true.
Burroughs and Edwards.Am Heart J 1960;59:913-931
Darlings classification
 The most common classification system was originally
described by Darling et al. in 1957. consists of four
types
Type I (Supracardiac TAPVC ): 45% of cases.
Both right and left pulmonary veins join a common
pulmonary venous confluence behind the heart that
drains via a vertical vein to the undersurface of the left
innominate vein and thence to the Right atrium.
Type II ( Cardiac TAPVC) : 25% of cases.
The pulmonary venous confluence connects to the
coronary sinus, & thence to the RA via the coronary
sinus ostium.
Type III (Infracardiac TAPVC) : 21% of cases.
The pulmonary venous confluence drains
inferiorly via a vertical vein to the portal vein
or hepatic veins & thence to the RA.
Type IV (Mixed Type ) : <10% of cases.
Left pulmonary veins drain to the LIV , &
right pulmonary veins to the coronary sinus
Darling RC et.al. Lab Invest.1957;6:44-64
THE FREQUENCIES OF THE
VARIOUS SITES OF TAPVC OR
DRAINAGE
 More than one-third of the cases had the
anomalous connection to the left innominate
vein (LIV).
ANATOMIC SITES OF OBSTRUCTIO
N TO  PULMONARY VENOUS
DRAINAGE
 The presence of an obstructive lesion in the anomalous
 pulmonary venous channel profoundly influences the 
hemodynamic state and clinical features
 Obstruction at the Interatrial Septum
 Burroughs and Edwards (40) clearly related longevity in
TAPVC to the size of the ASD. 
 Those patients with large defects survived longer than
did with restricted interatrial openings.
 Obstruction in the Anomalous Venous Channel
 Intrinsic narrowing in the walls of the anomalous vessels or
Extrinsic pressure results in narrowing of venous structure .
For example, when the vertical vein in TAPVC to the
innominate vein passes between the left main pulmonary
artery and left main bronchus.
 Similarly, the anomalous pulmonary vein in TAPVC
 to the SVC may be obstructed by the right
pulmonary artery & trachea.. 
 Finally, when the anomalous connection is to the 
portal vein or one of its tributaries, the hepatic
sinusoids are interposed in the pulmonary venous
channel and result in increased resistance to
pulmonary venous return.  
ASSOCIATED CARDIAC ANOMALI
ES
 TAPVC occurs as an isolated anomaly in two third
cases.
 It has been reported, however, to be associated wit
h TGA , TOF, PDA, single ventricle , truncus
arteriosus , tricuspid atresia , hypoplastic left heart
syndrome ,pulmonary atresia, multiple small
VSDs , COA , vascular sling, and other anomalies . 
 Asplenia & polysplenia syndromes.
SK Choudhary, A Bhan, R Sharma, B Airan, V Devagourou, A Saxena,
SS Kothari, Total-Anomalous-Pulmonary-Venous-Connection: Surgical Experience in Indians
Cardiothoracic Centre, All India Institute of Medical Sciences, New Delhi .
Indian Heart J 2001; 53: 754–760)
PHYSIOLOGY
 All venous blood returns to the RA. 
 Communication between the right and left sides of 
the heart - essential for survival . 
 Physiologic features depend on the distribution of
this mixed venous blood between the pulmonary
and systemic circulations. 
 The state of the interatrial septum is of primary
importance in this distribution. 
 During fetal life, PBF is small & the combined
systemic and pulmonary venous return to the RA is
only minimally increased.
 Hence, the stimulus for the development of a large 
interatrial communication is minimal.
 Some degree of restriction to fow across a patent
foramen ovale (found in 70% to 80% of cases) is
common.
  In patients with a restrictive interatrial
communication , the amount of blood reaching the
LA is limited and systemic output is reduced.
  As pulmonary vascular resistance gradually
decreases after birth and as demands for SBF
increase with the rapid growth of the infant, massive
pulmonary overcirculation ensues. 
 Pulmonary and systemic venous blood return is to
the RA , therefore, increased right atrial pressure
results in pressure elevation and congestion in both
venous circuits.
 On the other hand, the presence of a widely patent 
foramen ovale or ASD allows free communication
between the two atria.
 In this circumstance, the distribution of mixed 
venous blood depends on the relative compliance of
the atria and ventricles and the relative resistance 
imposed by the pulmonary & systemic arterial
circuits.
 
 The major variable is the state of the pulmonary
vascular bed , which initially depends on the
presence or absence of pulmonary venous 
obstruction.
TAPVC without Pulmonary Venous Obstruction
 At birth, the distribution of blood between the 
pulmonary & systemic circuits is approximately
equal because the resistance in these two vascular
beds is nearly equal. 
 In the first few weeks of life , maturation of the
pulmonary vascular bed produces a decrease in
pulmonay vascular resistance , & a progressively
larger proportion of the mixed venous blood
traverses the pulmonary circuit. 
 PBF is three to five times SBF. SBF is usually
normal.
 Progressive dilation and hypertrophy of RV and
dilation of the pulmonary artery usually occur.
 Pulmonary artery pressure in infants ranges from 
slightly elevated to systemic. 
 The state of the interatrial communication in 
patients with TAPVC without pulmonary venous
obstruction has a major impact on PBF , pressure
and resistance. 
 In the few patients who survive to older childhood 
or early adulthood , PA pressure is only slightly
elevated. 
 As time goes on, medial hypertrophy and 
intimal proliferation occur in the pulmonary
arterioles, resulting in more severe pulmonary
hypertension in the third and fourth decades.
TAPVC with Pulmonary Venous Obstruction
 Elevated pressure in the pulmonary venous 
channels is transmitted to the pulmonary capillary 
bed - pulmonary edema.
 The right ventricular volume and pressure overload
  result in a leftward shift of the interventricular
septum that, together with the decreased inflow
from the LA, lead to decrease in
left ventricular volume. 
 Systemic output usually is low because of the
inadequate filling volume.
CLINICAL MANIFESTATIONS
 The signs and symptoms in TAPVC are variable, 
depending on the underlying hemodynamics. 
 When the interatrial communication is inadequate ,
symptoms occur at birth or shortly thereafter.
 The hemodynamic consequences of inadequate 
interatrial communication include pulmonary 
venous obstruction. 
 The presence of intrinsic or extrinsic narrowing in 
the connecting  vein also produces pulmonary
 venous obstruction. 
 Thus, the manifestations may be divided 
according to whether pulmonary venous
obstruction is absent or present.
CLINICAL FEATURES
TAPVC without Pulmonary Venous  Obstruction
 Asymptomatic at birth.
 Tachypnea and feeding difficulties - within
first few weeks of life.
 Have recurrent resp.tract infections and
failure to thrive.
 Mild cyanosis
 Gradually they develop right heart failure
and pulmonary arterial hypertension
 A prominent right ventricular heave . 
 A characteristic feature - multiple cardiac
sounds. 
 S1is Loud and often is often followed by a
systolic ejection click. 
 S2 widely split & does not vary with respiration,
The pulmonary component of the second sound
 is  accentuated. 
 S3 maximal at apex almost always ,is present.
 S4 is frequently heard in older patients.
 Characteristically, a grade 2/6 soft , blowing ,
systolic ejection murmur is heard in pulmonary
area .
 When the anomalous connection is to the LIV, a
venous hum at the left or right base may be heard.
 
  Hepatomegaly & peripheral edema
 Clubbing occasionally is seen in the patient who 
survives infancy.
TAPVC with Pulmonary Venous Obstruction
 Tachypnea, tachycardia and cyanosis within few
hours of birth.
 Dyspnea - pulmonary venous congestion and
cyanosis - reduced pulmonary flow.
 If left untreated death may occur from pulmonary
edema and RV failure within few days or weeks of
life.
 Once symptoms began- rapid progression to
dyspnea , feeding difficulties and cardiorespiratory
failure.
 Age at death ranged from 2 days to 4.5 months .
 When the anomalous connection is below the
diaphragm , cyanosis & dyspnea may be
accentuated by straining & swallowing as a
consequence of interference of pulmonary venous
outflow by increased intra-abdominal pressure or
impingement of the esophagus on the CPV as it
exits through the esophageal hiatus.
 The clinical course in patients with severely
obstructed infradiaphragmatic TAPVC might be
stormy with rapid development of severe respiratory
 distress and acidosis in the first hours of life.
 Despite the alarming symptoms, the cardiovascular 
findings may be minimal. 
 No significant right ventricular heave. 
 S1 loud, S2 split, P2 loud  
 A cardiac murmur often is absent, but, when 
present, it is usually a soft blowing systoloic
ejection murmur in the pulmonary area. 
 Moist rales - lung bases. 
 Hepatomegaly and peripheral edema.
ELECTROCARDIOGRAPHIC FEATUR
ES
TAPVC without Pulmonary Venous  Obstruction
 A tall peaked P wave in lead II or the right 
precordial leads characteristic of RA enlargement.
 Right-axis deviation.
 
 Right ventricular hypertrophy –high voltage in the
right precordial leads
 Occasionally as an incomplete RBBB pattern.
TAPVC with Pulmonary Venous  Obstruction
 Right ventricular hypertrophy is invariably 
present.
 
 Unlike TAPVC without obstruction ,
however RA enlargement is not a usual
feature.
CRITERIA OF RVH IN NEWBORNS
 Pure R wave 10 mm (with no S waves )in V1.˃
 R wave in V1 25 mm or R wave in aVR 8 mm.˃ ˃
 S wave in lead I 12 mm or greater.
 A qR pattern in V1.(also seen in10% of normal
newborns).
 Extreme RAD.
 Upright T waves in V1 after 1 week of age.
Normally T wave upright until 4 to 7 days of
age. Between 1 week to adolescence it is negative
and then reverts to upright.
RADIOLOGIC FEATURES
TAPVC without Pulmonary Venous  Obstruction
 The RA and RV are enlarged, and the pulmonary
artery segment is prominent. 
 The left-sided chambers are not enlarged.
 A figure-of-8 or snowman appearance of the cardiac
shadow is seen in patients with TAPVC to the LIV . 
 “FIGURE OF EIGHT” OR “SNOWMAN'S”
APPEARANCE.
Ground-glass
appearance
 Diffuse reticular pattern
 Cardiac size is normal
 Kerley B lines may be
present
TAPVC with Pulmonary Venous  Obstruction
ECHOCARDIOGRAPHIC FEATURE
S
Goals of the echocardiographic examination  
 To establish the diagnosis; 
 To image and determine the size of the individual
pulmonary veins ; 
 To ascertain that all 4 pulmonary veins join the
pulmonary venous confluence and no additional
pulmonary veins drain separately ; 
 To image and determine the size of the pulmonary
venous confluence and its relation to the LA; 
 To image the course of the pulmonary venous 
channel (usually the vertical vein ), its connection
with systemic vein & its relation to neighboring
structures (i.e., pulmonary arteries and airways); 
 To determine whether there is obstruction to
pulmonary venous flow ; 
 To evaluate the interatrial communication for 
obstruction; and 
 To perform a complete anatomic and functional 
survey of all cardiovascular structures & to exclude
additional structural cardiac anomalies. 
 These goals are achieved by performing
a complete step by step
echocardiographic examination from multiple
windows.
 The features common to all forms of TAPVC are
 
 Signs of Rright ventricular volume overload. 
 The right-sided heart structures are dilated. 
 The RA is enlarged, and the atrial septum
bows toward the left. 
 The right ventricle appears to compress
the left ventricle, the interventricular septum 
deviates leftward,and left ventricular volume is 
decreased. 
 The IVS septum may move paradoxically. 
 The pulmonary arteries are dilated.
 Features of right ventricular volume overload, the 
first echocardiographic suspicion that supports the
diagnosis of TAPVC is the inability to image the
pulmonary veins entering the LA & LA is small. 
 The pulmonary venous confluence - echo free space
behind the LA.
 The individual pulmonary veins - parasternal ,
subclavicular & suprasternal notch views mostly
used.
 Once the pulmonary venous confluence is characte
rized, the venous channel that connects with the
systemic vein is followed by 2-D imaging
and color Doppler flow mapping. 
 The venous channel in 
 Supracardiac TAPVC - precordial windows
 Infradaiphragmatic TAPVC - subcostal view.
  In supracardiac TAPVC, the venous channel
should be examined for its relation with the branch
 pulmonary arteries and the bronchi.
 In TAPVC to coronary sinus, the sinus is
dilated and bulges anterosuperiorly into the
LA.
 Imaging of the pulmonary veins draining into
the coronary sinus is important for diagnosis
because CS may be dilated in other conditions
also like persistent LSVC to CS.
 Descending anomalous vein is characterized
by the venous flow pattern and direction of
flow is away from the heart towards abdomen.
 An increased flow velocity, turbulent flow pattern
and loss of phasic variations characterize
obstructed pulmonary venous flow. (normal venous
flow is low velocity, phasic laminar pattern with
brief flow reversal during atrial systole)
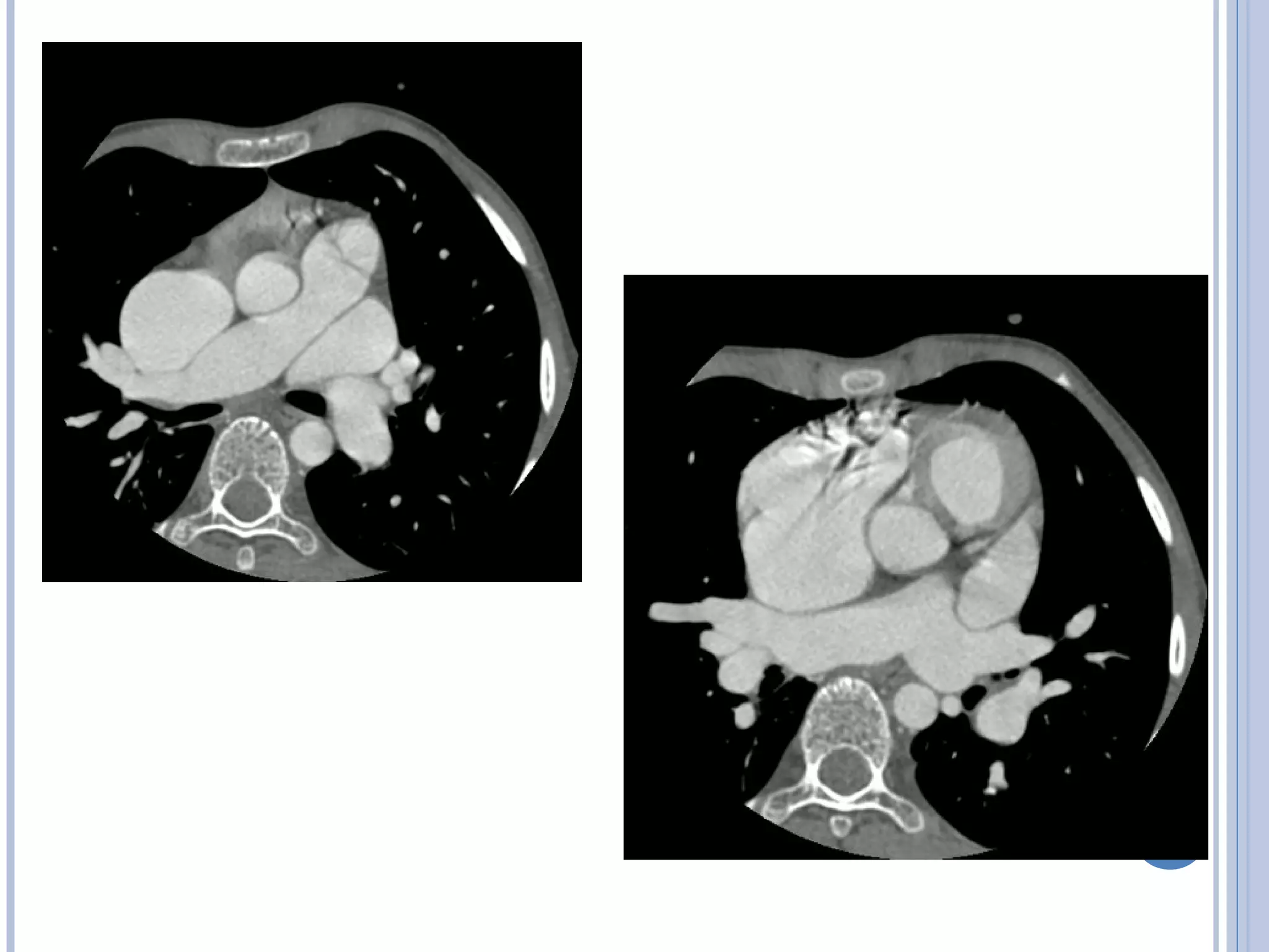
MRI AND CT IMAGING
CARDIAC CATHETERIZATION
TAPVC without Pulmonary Venous  Obstruction
 The venous site of anomalous connection may be 
identified if highly saturated blood is obtained from
LIV, right SVC, or CS. 
 In TAPVC, the oxygen saturation in the RA- usually
ranges between 80% and 95%, and saturations in 
the RA, RV, PA, LA, LV and systemic arteries are
nearly identical.
 Pressure in RV & PA ranges from slightly elevated to
equal or higher than systemic pressure.
 
 Interpretation of atrial pressures – adequacy of
the interatrial communication, is difficult.
 
 The presence of equal pressures in the two atria -
nonobstructive intera-trial communication. 
 A RA pressure >2 mm Hg in excess of LA pressure -
restrictive interatrial communication.
TAPVC with Pulmonary Venous  Obstruction
 Difficult in patients with obstructed TAPVC
 Must be avoided – May aggravate already
compromised clinical condition of these patients
and delay operation.
 Right ventricular pressures usually are systemic or 
higher.
 Pressures in the RA usually are normal.
 LA pressure is normal.
 Selective pulmonary arteriography - in levophase shows the
anomalous venous connections.
THE TREE IN WINTER –
INFRACARDIAC TYPE
NATURAL HISTORY
 Among patients of TAPVC of all types, 50% die at 3
months and almost 80% die by the age of 1 year
 Asymptomatic at birth
 56% symptomatic at 1st
month of life
 Failure at 6 months of age
 Severe obstruction pulmonary edema 1st
few hrs
 Cyanosis mild, more with failure & pulm vascular
changes
 Death – 1st
few wks/months of life in most neonates
 80% death – 1st
year of life
 Survivors of 1st
few wks of life – ↑pulm bld flow mild
cyanosis, PHTN
 50% survive beyond 3 months
 Median survival 3wks (obst) & 2.5 months in (non
obstr)
 Infracardiac- worse prognosis- 3wks survival
MANAGEMENT
 Corrective surgery - definitive treatment.
 Infants presenting with obstructed TAPVC
represent surgical emergency. They need require
intensive resuscitation before going for definitive
surgery.
 Nonobstructed TAPVC patient are relatively stable
and can be taken for elective corrective surgery
within few days of diagnosis irrespective of patients
age and weight.
EMERGENCY MEDICAL
MANAGEMENT
 Mechanical ventilation.
 Correction of Metabolic acidosis.
 Inotropic support
 Prostaglandin therapy (PGE1)
ADDITIONAL INTERVENTIONS INCLUDE
 Extracorporeal membrane oxygenation (ECMO) may
be used in infants with severe pulmonary
hypertension or refractory cardiac failure.
 Balloon or blade atrial septostomy may be used as a
palliative procedure.
 It is not appropriate because it delays the definitive
procedure and is of no value in obstructed venous
channel.
SURGERY
 The goal of the surgery is
 To create a communication between LA and
the pulmonary venous.
 Closure of the anomalous pulmonary
venous connections to systemic circulation
 Closure of ASD
 The surgical approach is via a median sternotomy
and is performed under cardiopulmonary bypass
with circulatory arrest. The surgical procedure
varies depending upon the anatomy of the TAPVC
lesion.
 In supra- and infracardiac TAPVC with a common
vertical vein, a normal pulmonary venous
pathway is created by opening and forming an
anastomosis between the pulmonary venous
confluence and the left atrium. The vertical vein is
then ligated and divided.
SUPRACARDIAC TAPVC:
INFRACARDIAC TAPVC:
CARDIAC TAPVC:
 In intracardiac TAPVC to the coronary sinus, the
sinus and the partition between the sinus and right
atrium are incised, and connected to the left
atrium.
MIXED TYPE TAPVC
 The repair of mixed type TAPVC involves a
combination of the above approaches as
dictated by the specific anatomy of the
lesion
 Recurrent
pulmonary venous
obstruction
SURGICAL OUTCOMES
 Surgical mortality has decreased from approx. 50%
in 1960 to 5% recently.˂
  Risk factors for mortality included earlier age at
surgery, hypoplastic/stenotic pulmonary veins,
associated cardiac lesions, postoperative pulmonary
hypertension, postoperative PVO , Small pulmonary
vein and confluence size & Increased total bypass
and circulatory arrest time .
SURGICAL OUTCOMES RISK FACTORS
377 patients of operated TAPVC were followed
retrospectively.pulmonary venous obstruction was in 48% of
patients.
SURGICAL OUTCOMES IN NEONATES
 112 patient were followed retrospectively who were
operated for simple TAPVC in first month of life
from 1973 to 2008.
 Preoperative pulmonary venous obstruction in 89
pts (80%).
 There were 12 (10.7%) early deaths. Significant risk
factors were bypass time 65 minutes and emergent˃
surgery.
 Survival at 20 years was 83.4%.Risk factors for late
death were operative weight 2.5 kg or less and
postoperative pulmonary hypertensive crisis.
 Re-operation for recurrent PVO was in 13 patients
(11.9%).
SURGICAL OUTCOMES IN INDIA
 73 pts, were operated on for TAPVC from Jan 1987 to Oct
1997.
 35 patients had obstructed drainage.
 Operative mortality was 23.3% (17 out of 73).
COMPLICATIONS OF SURGERY
EARLY-
 Pulmonary edema
 Pulmonary hypertensive crisis
 Phrenic nerve damage
 Rhythm disorders
LATE-
 Pulmonary venous obstruction
 Anastomotic stricture
 Pulmonary venous stenosis
 Pulmonary edema- noncompliant left heart and
increased left atrial pressure leads to pulmonary
arteriolar vasoconstriction. Diuretics are useful for
treatment.
 Pulmonary hypertensive crisis-hyperventilation with
100% oxygen and inhaled nitric oxide is the treatment of
choice. Infusion of prostacyclin may also be useful.
 Rhythm disorders- junctional rhythms and various
types of heart blocks are common in cardiac type TAPVC
repair.
Pulmonary venous obstruction
 This is most significant cause of late morbidity and
mortality after corrective surgery.
 It develops in 5-15% of patients within first
postoperative year where TAPVC is corrected using
standard technique.
 Anastomotic fibrotic strictures, intimal proliferation
and diffuse fibrosis are pathogenic mechanisms.
REOPERATION
  Based upon a number of case series, the rate
for reoperation is between 10 and 15 percent
in patients with isolated TAPVC (11 percent) .
 Stenosis of individual pulmonary vein and
surgical anastomosis are the primary reasons
for reoperation.
 If restenosis does not occur within one year
after surgical repair, then reoperation is rarely
required.
MORBIDITY
 Although long-term follow-up data are limited, one
case series reported a poorer perception of health
and school performance in survivors of TAPVC
correction.
 In addition, several case series noted an increased
risk of arrhythmias, especially sinus node
dysfunction .
 This may be due to disruption of the conduction
system by the atrial incision used to repair TAPVC.
 Children with TAPVC should undergo appropriate
surveillance, screening, and or referral for
neurodevelopmental impairment as recommended
in a 2012 scientific statement from the American
Heart Association.
 follow-up care should be individually planned through
the primary caregiver in collaboration with a pediatric
cardiologist
 In the absence of residual pulmonary vein stenosis or
pulmonary hypertension, exercise tolerance is generally
normal in children with repaired TAPVC regardless of
the anatomic subtype.
 Physical activities and sports participation should not be
restricted. Infective endocarditis prophylaxis precautions
should be considered within the first six months after
surgical repair, after which it is no longer required.
FOLLOW-UP CARE
 Periodic screening for arrhythmias is not routinely
recommended in asymptomatic children with
repaired TAPVC.
 Because of the known association between
intracardiac surgical repairs and atrial arrhythmias,
however, periodic Holter monitoring may be
considered in asymptomatic adolescents
CONCLUSION
 TAPVC is a rare congenital heart anomaly but
presents as a surgical emergency in neonatal
periods.
 Echocardiography is the diagnostic modality of
choice.
 Cardiac catheterization is rarely needed for
diagnosis.
 Surgical correction is the definitive treatment.
 Improved surgical techniques and hospital care
have led to significantly better outcomes of TAPVC
surgery.
 Suturless repair is safe and effective method to deal
with post operative pulmonary venous obstruction.
DIFFERENTIAL DIAGNOSIS
 Non obstructive TAPVC -
Conditions producing high pulmonary flow
with cyanosis like TGA ,Taussig Bing anomaly,
persistent truncus arteriosus and common atrium.
 Obstructive type of TAPVC-
Conditions producing PAH without shunt
lesion like congenital mitral stenosis, cor-
triatriatum, pulmonary venous stenosis and
persistent fetal circulation.
THANKS

TOTAL ANOMALOUS PULMONARY VENOUS CONNECTION (TAPVC)

  • 1.
    TOTAL ANOMALOUS PULMONARY VENOUS CONNECTION DRVISHWANATH HESARUR SENIOR RESIDENT DEPARTMENT OF CARDIOLOGY JNMC , BELGAUM
  • 2.
    DEFINITION  TAPVC definesthe anomaly in which the pulmonary veins have no connection with the left atrium. Rather, the pulmonary veins connect directly to one of the systemic veins (TAPVC) or drain in to right atrium.  A PFO or ASD is present essentially in those who survive after birth
  • 3.
    HISTORY  Wilson :1st description - case report in 1798.  Friedlowsky : 1st description of TAPVC in 1868.  Muller : 1st Successful open repair in 1951.
  • 4.
    INCIDENCE  0.6 to1.2 per 10,000 live births  0.7 and 1.5 percent of all CHD
  • 5.
     A strongmale preponderance of 3:1    Birth weight was less than 2500 g in 16.2%  Gestational age was less than 38 weeks in 18.9%  Intrauterine growth retardation occurred in 26.8%  68% of these patients were diagnosed as neonates
  • 6.
    GENETICS  Mechanism oftransmission – Not been elucidated  No known genetic pattern of transmission.  Associated with syndromes most notably Asplenia , Polysplenia .
  • 8.
  • 9.
     PAPVC results from failure to establish a normal connection between one or more of thepulmonary veins with the CPV before the connections with the splanchnic venous system have regressed.
  • 10.
     TAPVC resultsfrom failure to establish a normal connection between the pulmonary venous plexus & the CPV before the connections with splanchnic venous system have regressed .
  • 11.
  • 12.
    CLASSIFICATION OF TAPVC Smiths classification  Neills classification - Based on embryologic basis  Burroughs and Edwards classification  Darlings classification
  • 13.
    Smith classification  SupradiaphragmaticType: Pulmonary veins are connected to: the left innominate vein by the characteristic vertical vein, or the coronary sinus, the right atrium, or the SVC, without pulmonary venous obstruction  Infradiaphragmatic Type: Pulmonary veins drain into the portal vein or hepatic veins, with pulmonary venous obstruction. Smith et.al. Am J Dis Child 1961;101:41-51
  • 14.
    Neills classification  Grouphaving connection to the right atrium or right common cardinal system (SVC and the azygous veins)  Connections to the left common cardinal system(left innominate vein, left SVC or the coronary sinus)  Connections to the umbilicovitelline system (portal vein, ductus venosus or hepatic veins) Neill CA: Pediatrics 18:880,1956
  • 15.
    Burroughs and Edwardsclassification  Suggested a classification with prognostic implications based on the length of of the anomalous channel (long, intermediate, or short)  However the prognostic implications suggested are not always true. Burroughs and Edwards.Am Heart J 1960;59:913-931
  • 16.
    Darlings classification  Themost common classification system was originally described by Darling et al. in 1957. consists of four types Type I (Supracardiac TAPVC ): 45% of cases. Both right and left pulmonary veins join a common pulmonary venous confluence behind the heart that drains via a vertical vein to the undersurface of the left innominate vein and thence to the Right atrium. Type II ( Cardiac TAPVC) : 25% of cases. The pulmonary venous confluence connects to the coronary sinus, & thence to the RA via the coronary sinus ostium.
  • 17.
    Type III (InfracardiacTAPVC) : 21% of cases. The pulmonary venous confluence drains inferiorly via a vertical vein to the portal vein or hepatic veins & thence to the RA. Type IV (Mixed Type ) : <10% of cases. Left pulmonary veins drain to the LIV , & right pulmonary veins to the coronary sinus Darling RC et.al. Lab Invest.1957;6:44-64
  • 20.
    THE FREQUENCIES OFTHE VARIOUS SITES OF TAPVC OR DRAINAGE  More than one-third of the cases had the anomalous connection to the left innominate vein (LIV).
  • 21.
    ANATOMIC SITES OF OBSTRUCTIO N TO  PULMONARY VENOUS DRAINAGE  The presence of an obstructive lesion in the anomalous  pulmonary venous channel profoundly influences the  hemodynamicstate and clinical features  Obstruction at the Interatrial Septum  Burroughs and Edwards (40) clearly related longevity in TAPVC to the size of the ASD.   Those patients with large defects survived longer than did with restricted interatrial openings.
  • 22.
     Obstruction in the Anomalous Venous Channel  Intrinsic narrowing in the walls of the anomalous vessels or Extrinsic pressure resultsin narrowing of venous structure . For example, when the vertical vein in TAPVC to the innominate vein passes between the left main pulmonary artery and left main bronchus.
  • 23.
     Similarly, the anomalous pulmonary vein in TAPVC  to the SVCmay be obstructed by the right pulmonary artery & trachea..   Finally, when the anomalous connection is to the  portal vein or one of its tributaries, the hepatic sinusoids are interposed in the pulmonary venous channel and result in increased resistance to pulmonary venous return.  
  • 24.
    ASSOCIATED CARDIAC ANOMALI ES  TAPVC occurs as an isolated anomaly in two third cases. It has been reported, however, to be associated wit h TGA , TOF, PDA, single ventricle , truncus arteriosus , tricuspid atresia , hypoplastic left heart syndrome ,pulmonary atresia, multiple small VSDs , COA , vascular sling, and other anomalies .   Asplenia & polysplenia syndromes.
  • 25.
    SK Choudhary, ABhan, R Sharma, B Airan, V Devagourou, A Saxena, SS Kothari, Total-Anomalous-Pulmonary-Venous-Connection: Surgical Experience in Indians Cardiothoracic Centre, All India Institute of Medical Sciences, New Delhi . Indian Heart J 2001; 53: 754–760)
  • 26.
    PHYSIOLOGY  All venous blood returns to the RA.   Communication between the right and left sides of  the heart- essential for survival .   Physiologic features depend on the distribution of this mixed venous blood between the pulmonary and systemic circulations.   The state of the interatrial septum is of primary importance in this distribution. 
  • 27.
     During fetallife, PBF is small & the combined systemic and pulmonary venous return to the RA is only minimally increased.  Hence, the stimulus for the development of a large  interatrial communication is minimal.  Some degree of restriction to fow across a patent foramen ovale (found in 70% to 80% of cases) is common.   In patients with a restrictive interatrial communication , the amount of blood reaching the LA is limited and systemic output is reduced.
  • 28.
      As pulmonary vascular resistancegradually decreases after birth and as demands for SBF increase with the rapid growth of the infant, massive pulmonary overcirculation ensues.   Pulmonary and systemic venous blood return is to the RA , therefore, increased right atrial pressure results in pressure elevation and congestion in both venous circuits.  On the other hand, the presence of a widely patent  foramen ovale or ASD allows free communication between the two atria.
  • 29.
     In this circumstance, the distribution of mixed  venous blooddepends on the relative compliance of the atria and ventricles and the relative resistance  imposed by the pulmonary & systemic arterial circuits.    The major variable is the state of the pulmonary vascular bed , which initially depends on the presence or absence of pulmonary venous  obstruction.
  • 30.
    TAPVC without Pulmonary Venous Obstruction  At birth, the distribution of blood between the  pulmonary &systemic circuits is approximately equal because the resistance in these two vascular beds is nearly equal.   In the first few weeks of life , maturation of the pulmonary vascular bed produces a decrease in pulmonay vascular resistance , & a progressively larger proportion of the mixed venous blood traverses the pulmonary circuit.   PBF is three to five times SBF. SBF is usually normal.
  • 31.
     Progressive dilation and hypertrophy of RVand dilation of the pulmonary artery usually occur.  Pulmonary artery pressure in infants ranges from  slightly elevated to systemic.   The state of the interatrial communication in  patients with TAPVC without pulmonary venous obstruction has a major impact on PBF , pressure and resistance.   In the few patients who survive to older childhood  or early adulthood , PA pressure is only slightly elevated. 
  • 32.
     As time goes on, medial hypertrophy and  intimal proliferationoccur in the pulmonary arterioles, resulting in more severe pulmonary hypertension in the third and fourth decades.
  • 33.
    TAPVC with Pulmonary Venous Obstruction  Elevated pressure in the pulmonary venous  channels is transmitted to the pulmonary capillary  bed - pulmonaryedema.  The right ventricular volume and pressure overload   result in a leftward shift of the interventricular septum that, together with the decreased inflow from the LA, lead to decrease in left ventricular volume.   Systemic output usually is low because of the inadequate filling volume.
  • 34.
    CLINICAL MANIFESTATIONS  The signs and symptoms in TAPVC are variable,  depending on the underlying hemodynamics.  When the interatrial communication is inadequate , symptoms occur at birth or shortly thereafter.  The hemodynamic consequences of inadequate  interatrial communication include pulmonary  venous obstruction.   The presence of intrinsic or extrinsic narrowing in  the connecting  vein also produces pulmonary  venous obstruction. 
  • 35.
     Thus, the manifestations may be divided  according to whetherpulmonary venous obstruction is absent or present.
  • 36.
    CLINICAL FEATURES TAPVC without Pulmonary Venous  Obstruction  Asymptomaticat birth.  Tachypnea and feeding difficulties - within first few weeks of life.  Have recurrent resp.tract infections and failure to thrive.  Mild cyanosis  Gradually they develop right heart failure and pulmonary arterial hypertension
  • 37.
     A prominent right ventricular heave .   A characteristic feature -multiple cardiac sounds.   S1is Loud and often is often followed by a systolic ejection click.   S2 widely split & does not vary with respiration, The pulmonary component of the second sound  is  accentuated.   S3 maximal at apex almost always ,is present.  S4 is frequently heard in older patients.  Characteristically, a grade 2/6 soft , blowing , systolic ejection murmur is heard in pulmonary area .
  • 38.
     When the anomalous connection is to the LIV, a venous hum at the left or right base may be heard.     Hepatomegaly &peripheral edema  Clubbing occasionally is seen in the patient who  survives infancy.
  • 39.
    TAPVC with Pulmonary Venous Obstruction  Tachypnea,tachycardia and cyanosis within few hours of birth.  Dyspnea - pulmonary venous congestion and cyanosis - reduced pulmonary flow.  If left untreated death may occur from pulmonary edema and RV failure within few days or weeks of life.
  • 40.
     Once symptoms began-rapid progression to dyspnea , feeding difficulties and cardiorespiratory failure.  Age at death ranged from 2 days to 4.5 months .  When the anomalous connection is below the diaphragm , cyanosis & dyspnea may be accentuated by straining & swallowing as a consequence of interference of pulmonary venous outflow by increased intra-abdominal pressure or impingement of the esophagus on the CPV as it exits through the esophageal hiatus.
  • 41.
     The clinical course in patients with severely obstructedinfradiaphragmatic TAPVC might be stormy with rapid development of severe respiratory  distress and acidosis in the first hours of life.  Despite the alarming symptoms, the cardiovascular  findings may be minimal.   No significant right ventricular heave.   S1 loud, S2 split, P2 loud    A cardiac murmur often is absent, but, when  present, it is usually a soft blowing systoloic ejection murmur in the pulmonary area.   Moist rales - lung bases.   Hepatomegaly and peripheral edema.
  • 42.
    ELECTROCARDIOGRAPHIC FEATUR ES TAPVC without Pulmonary Venous  Obstruction  A tall peaked P wave in lead II or the right  precordial leadscharacteristic of RA enlargement.  Right-axis deviation.    Right ventricular hypertrophy –high voltage in the right precordial leads  Occasionally as an incomplete RBBB pattern.
  • 43.
    TAPVC with Pulmonary Venous  Obstruction  Right ventricular hypertrophy is invariably  present.   Unlike TAPVC without obstruction , however RA enlargement is not a usual feature.
  • 44.
    CRITERIA OF RVHIN NEWBORNS  Pure R wave 10 mm (with no S waves )in V1.˃  R wave in V1 25 mm or R wave in aVR 8 mm.˃ ˃  S wave in lead I 12 mm or greater.  A qR pattern in V1.(also seen in10% of normal newborns).  Extreme RAD.  Upright T waves in V1 after 1 week of age. Normally T wave upright until 4 to 7 days of age. Between 1 week to adolescence it is negative and then reverts to upright.
  • 45.
    RADIOLOGIC FEATURES TAPVC without Pulmonary Venous  Obstruction  The RA and RV are enlarged, and thepulmonary artery segment is prominent.   The left-sided chambers are not enlarged.  A figure-of-8 or snowman appearance of the cardiac shadow is seen in patients with TAPVC to the LIV . 
  • 46.
     “FIGURE OF EIGHT”OR “SNOWMAN'S” APPEARANCE.
  • 47.
    Ground-glass appearance  Diffuse reticularpattern  Cardiac size is normal  Kerley B lines may be present TAPVC with Pulmonary Venous  Obstruction
  • 48.
    ECHOCARDIOGRAPHIC FEATURE S Goals of the echocardiographic examination    To establish the diagnosis;   To image and determinethe size of the individual pulmonary veins ;   To ascertain that all 4 pulmonary veins join the pulmonary venous confluence and no additional pulmonary veins drain separately ;   To image and determine the size of the pulmonary venous confluence and its relation to the LA; 
  • 49.
     To image the course of the pulmonary venous  channel (usually thevertical vein ), its connection with systemic vein & its relation to neighboring structures (i.e., pulmonary arteries and airways);   To determine whether there is obstruction to pulmonary venous flow ;   To evaluate the interatrial communication for  obstruction; and   To perform a complete anatomic and functional  survey of all cardiovascular structures & to exclude additional structural cardiac anomalies.   These goals are achieved by performing a complete step by step echocardiographic examination from multiple windows.
  • 50.
     The features common to all forms of TAPVC are    Signs ofRright ventricular volume overload.   The right-sided heart structures are dilated.   The RA is enlarged, and the atrial septum bows toward the left.   The right ventricle appears to compress the left ventricle, the interventricular septum  deviates leftward,and left ventricular volume is  decreased.   The IVS septum may move paradoxically.   The pulmonary arteries are dilated.
  • 51.
     Features of right ventricular volume overload, the  first echocardiographic suspicion that supportsthe diagnosis of TAPVC is the inability to image the pulmonary veins entering the LA & LA is small.   The pulmonary venous confluence - echo free space behind the LA.  The individual pulmonary veins - parasternal , subclavicular & suprasternal notch views mostly used.
  • 52.
     Once the pulmonary venous confluence is characte rized, the venous channel thatconnects with the systemic vein is followed by 2-D imaging and color Doppler flow mapping.   The venous channel in   Supracardiac TAPVC - precordial windows  Infradaiphragmatic TAPVC - subcostal view.   In supracardiac TAPVC, the venous channel should be examined for its relation with the branch  pulmonary arteries and the bronchi.
  • 54.
     In TAPVCto coronary sinus, the sinus is dilated and bulges anterosuperiorly into the LA.  Imaging of the pulmonary veins draining into the coronary sinus is important for diagnosis because CS may be dilated in other conditions also like persistent LSVC to CS.  Descending anomalous vein is characterized by the venous flow pattern and direction of flow is away from the heart towards abdomen.
  • 56.
     An increasedflow velocity, turbulent flow pattern and loss of phasic variations characterize obstructed pulmonary venous flow. (normal venous flow is low velocity, phasic laminar pattern with brief flow reversal during atrial systole)
  • 58.
  • 62.
    CARDIAC CATHETERIZATION TAPVC without Pulmonary Venous  Obstruction  The venous site of anomalous connection may be  identifiedif highly saturated blood is obtained from LIV, right SVC, or CS.   In TAPVC, the oxygen saturation in the RA- usually ranges between 80% and 95%, and saturations in  the RA, RV, PA, LA, LV and systemic arteries are nearly identical.  Pressure in RV & PA ranges from slightly elevated to equal or higher than systemic pressure.
  • 63.
       Interpretation of atrial pressures –adequacy of the interatrial communication, is difficult.    The presence of equal pressures in the two atria - nonobstructive intera-trial communication.   A RA pressure >2 mm Hg in excess of LA pressure - restrictive interatrial communication.
  • 64.
    TAPVC with Pulmonary Venous  Obstruction  Difficultin patients with obstructed TAPVC  Must be avoided – May aggravate already compromised clinical condition of these patients and delay operation.  Right ventricular pressures usually are systemic or  higher.  Pressures in the RA usually are normal.  LA pressure is normal.
  • 65.
     Selective pulmonary arteriography -in levophase shows the anomalous venous connections.
  • 66.
    THE TREE INWINTER – INFRACARDIAC TYPE
  • 68.
    NATURAL HISTORY  Amongpatients of TAPVC of all types, 50% die at 3 months and almost 80% die by the age of 1 year  Asymptomatic at birth  56% symptomatic at 1st month of life  Failure at 6 months of age  Severe obstruction pulmonary edema 1st few hrs  Cyanosis mild, more with failure & pulm vascular changes
  • 69.
     Death –1st few wks/months of life in most neonates  80% death – 1st year of life  Survivors of 1st few wks of life – ↑pulm bld flow mild cyanosis, PHTN  50% survive beyond 3 months  Median survival 3wks (obst) & 2.5 months in (non obstr)  Infracardiac- worse prognosis- 3wks survival
  • 70.
    MANAGEMENT  Corrective surgery- definitive treatment.  Infants presenting with obstructed TAPVC represent surgical emergency. They need require intensive resuscitation before going for definitive surgery.  Nonobstructed TAPVC patient are relatively stable and can be taken for elective corrective surgery within few days of diagnosis irrespective of patients age and weight.
  • 71.
    EMERGENCY MEDICAL MANAGEMENT  Mechanicalventilation.  Correction of Metabolic acidosis.  Inotropic support  Prostaglandin therapy (PGE1)
  • 72.
    ADDITIONAL INTERVENTIONS INCLUDE Extracorporeal membrane oxygenation (ECMO) may be used in infants with severe pulmonary hypertension or refractory cardiac failure.  Balloon or blade atrial septostomy may be used as a palliative procedure.  It is not appropriate because it delays the definitive procedure and is of no value in obstructed venous channel.
  • 73.
    SURGERY  The goalof the surgery is  To create a communication between LA and the pulmonary venous.  Closure of the anomalous pulmonary venous connections to systemic circulation  Closure of ASD
  • 74.
     The surgicalapproach is via a median sternotomy and is performed under cardiopulmonary bypass with circulatory arrest. The surgical procedure varies depending upon the anatomy of the TAPVC lesion.  In supra- and infracardiac TAPVC with a common vertical vein, a normal pulmonary venous pathway is created by opening and forming an anastomosis between the pulmonary venous confluence and the left atrium. The vertical vein is then ligated and divided.
  • 75.
  • 76.
  • 77.
    CARDIAC TAPVC:  Inintracardiac TAPVC to the coronary sinus, the sinus and the partition between the sinus and right atrium are incised, and connected to the left atrium.
  • 78.
    MIXED TYPE TAPVC The repair of mixed type TAPVC involves a combination of the above approaches as dictated by the specific anatomy of the lesion
  • 79.
  • 80.
    SURGICAL OUTCOMES  Surgicalmortality has decreased from approx. 50% in 1960 to 5% recently.˂   Risk factors for mortality included earlier age at surgery, hypoplastic/stenotic pulmonary veins, associated cardiac lesions, postoperative pulmonary hypertension, postoperative PVO , Small pulmonary vein and confluence size & Increased total bypass and circulatory arrest time .
  • 81.
    SURGICAL OUTCOMES RISKFACTORS 377 patients of operated TAPVC were followed retrospectively.pulmonary venous obstruction was in 48% of patients.
  • 83.
    SURGICAL OUTCOMES INNEONATES  112 patient were followed retrospectively who were operated for simple TAPVC in first month of life from 1973 to 2008.  Preoperative pulmonary venous obstruction in 89 pts (80%).
  • 84.
     There were12 (10.7%) early deaths. Significant risk factors were bypass time 65 minutes and emergent˃ surgery.  Survival at 20 years was 83.4%.Risk factors for late death were operative weight 2.5 kg or less and postoperative pulmonary hypertensive crisis.  Re-operation for recurrent PVO was in 13 patients (11.9%).
  • 85.
    SURGICAL OUTCOMES ININDIA  73 pts, were operated on for TAPVC from Jan 1987 to Oct 1997.  35 patients had obstructed drainage.  Operative mortality was 23.3% (17 out of 73).
  • 87.
    COMPLICATIONS OF SURGERY EARLY- Pulmonary edema  Pulmonary hypertensive crisis  Phrenic nerve damage  Rhythm disorders LATE-  Pulmonary venous obstruction  Anastomotic stricture  Pulmonary venous stenosis
  • 88.
     Pulmonary edema-noncompliant left heart and increased left atrial pressure leads to pulmonary arteriolar vasoconstriction. Diuretics are useful for treatment.  Pulmonary hypertensive crisis-hyperventilation with 100% oxygen and inhaled nitric oxide is the treatment of choice. Infusion of prostacyclin may also be useful.  Rhythm disorders- junctional rhythms and various types of heart blocks are common in cardiac type TAPVC repair.
  • 89.
    Pulmonary venous obstruction This is most significant cause of late morbidity and mortality after corrective surgery.  It develops in 5-15% of patients within first postoperative year where TAPVC is corrected using standard technique.  Anastomotic fibrotic strictures, intimal proliferation and diffuse fibrosis are pathogenic mechanisms.
  • 90.
    REOPERATION   Based upona number of case series, the rate for reoperation is between 10 and 15 percent in patients with isolated TAPVC (11 percent) .  Stenosis of individual pulmonary vein and surgical anastomosis are the primary reasons for reoperation.  If restenosis does not occur within one year after surgical repair, then reoperation is rarely required.
  • 91.
    MORBIDITY  Although long-termfollow-up data are limited, one case series reported a poorer perception of health and school performance in survivors of TAPVC correction.  In addition, several case series noted an increased risk of arrhythmias, especially sinus node dysfunction .  This may be due to disruption of the conduction system by the atrial incision used to repair TAPVC.
  • 92.
     Children withTAPVC should undergo appropriate surveillance, screening, and or referral for neurodevelopmental impairment as recommended in a 2012 scientific statement from the American Heart Association.
  • 93.
     follow-up careshould be individually planned through the primary caregiver in collaboration with a pediatric cardiologist  In the absence of residual pulmonary vein stenosis or pulmonary hypertension, exercise tolerance is generally normal in children with repaired TAPVC regardless of the anatomic subtype.  Physical activities and sports participation should not be restricted. Infective endocarditis prophylaxis precautions should be considered within the first six months after surgical repair, after which it is no longer required. FOLLOW-UP CARE
  • 94.
     Periodic screeningfor arrhythmias is not routinely recommended in asymptomatic children with repaired TAPVC.  Because of the known association between intracardiac surgical repairs and atrial arrhythmias, however, periodic Holter monitoring may be considered in asymptomatic adolescents
  • 95.
    CONCLUSION  TAPVC isa rare congenital heart anomaly but presents as a surgical emergency in neonatal periods.  Echocardiography is the diagnostic modality of choice.  Cardiac catheterization is rarely needed for diagnosis.  Surgical correction is the definitive treatment.
  • 96.
     Improved surgicaltechniques and hospital care have led to significantly better outcomes of TAPVC surgery.  Suturless repair is safe and effective method to deal with post operative pulmonary venous obstruction.
  • 97.
    DIFFERENTIAL DIAGNOSIS  Nonobstructive TAPVC - Conditions producing high pulmonary flow with cyanosis like TGA ,Taussig Bing anomaly, persistent truncus arteriosus and common atrium.  Obstructive type of TAPVC- Conditions producing PAH without shunt lesion like congenital mitral stenosis, cor- triatriatum, pulmonary venous stenosis and persistent fetal circulation.
  • 98.

Editor's Notes

  • #6 0.7 and 1.5 percent
  • #8 A monogenic pattern of inheritance has been suggested from the number of reported family cases in the literature among siblings
  • #25 TAPVR: Anatomy- Supracardiac 1 Gross anatomy of supracardiac total anomalous pulmonary venous return. Pulmonary veins (PV) drain to a vertical vein that connects to the right atrium (RA) via the innominate vein and superior vena cava (SVC). Other abbreviation: RV right ventricle  TAPVC: Anatomy- Coronary Sinus Posterior view of gross anatomy of total anomalous pulmonary venous return to the coronary sinus. The coronary sinus has been opened longitudinally. The right forceps is grasping one side of the coronary sinus wall. The left forceps is grasping the left atrial appendage (LAA). The left (LPV) and right (RPV) pulmonary veins enter the coronary sinus. Through the opened coronary sinus, a patch can be seen that covers the coronary sinus os in the right atrium. TAPVR: Anatomy- Infradiaphragmatic 2 Posterior view of gross anatomy of infradiaphragmatic total anomalous pulmonary venous return. The right (RPV) and left (LPV) pulmonary veins enter a vertical vein that courses through the esophageal hiatus to connect to the portal venous system. 
  • #29 Obstruction in the anomalous venous channel may be caused by several factors. 
  • #33 Tapvc as isolated lesion in two third cases , remaining one third pda,sv,avcd,tga
  • #36 In the last 15 years, 248 patients (168 boys, 80 girls)
  • #45 Pulmonary edema results when the hydrostatic pressure in the capillaries exceeds the osmotic pressure of the blood.  Mechanisms that tend to prevent pulmonary edema include increased pulmonary lymphatic flow,  alternative pulmonary venous bypass channels, altered permeability of the pulmonary capillary wall and reflex pulmonary arteriolar constriction. 
  • #48 Dyspnea, tachypnea, tachycardia, and poor feeding are almost always present.
  • #49 This murmur often is heard well over the xiphoid and at the lower left sternal border; in this case, it is SI coincident secondary to tricuspid regurgitation.  Turbulence in the pulmonary outflow tract or tricuspid valve insufficiency, or both, account for the systolic murmurs. S1is loud and distinct and often is often followed by a systolic ejection click.  S2 widely split &amp; does not vary with respiration,The pulmonary component of the second sound is accentuated.  S3 maximal at the apex almost always, is present. S4 is frequently heard in older patients. Characteristically, a grade 2/6 soft , blowing , systolic ejection murmur is heard in pulmonary area . A diastolic tricuspid flow murmur at the lower left sternal border occurs frequently. 
  • #50 Unlike the &amp;quot;innocent&amp;quot; venous hum, this murmur is not louder during diastole and is not altered by change in position or pressure on the neck veins. Cardiac failure occurs in most patients prior to 6 months of age. 
  • #51 D/D Respiratory distress syndrome-symptoms within 12 hours of life.
  • #57 Certain features are common to all cases.  The lung fields reflect increased  In addition, the specific site of anomalous connection may result in characteristic signs.  PBF. The upper portion of the figure-of 8 Is Composed Of the Anomalous Vertical Vein on the left, the LIV superiorly &amp; SVC on the right. This diagnostic sign usually is not present in the first few months of life but often is present in the older child and adult.  When the anomalous connection is to the right SVC, dilation of this  structure results in a prominence at the upper right cardiac border
  • #60 The cardiac size is normal or nearly so.  The lung fields have abnormal pulmonary vascular markings, characterized by diffuse, stippled densities that form a reticular pattern that fans out from the hilar regions.  The cardiac borders often are obscured.  Kerley B lines have been described, and prominence of the superior pulmonary veins is usual.  The radiographic appearance is not diagnostic of TAPVC with obstruction because it also is associated with other causes of pulmonary venous obstruction.
  • #64  Next, the individual pulmonary veins are sought.  Once identified, each individual pulmonary vein is imaged by 2-D and is interrogated by color Doppler flow mapping.  The course and diameter of each vein then should be determined. Jenkins et al. (45) showed that the size of the individual pulmonary veins at the time of initial diagnosis is a strong, independent predictor of survival in TAPVC.  Smaller pulmonary veins were associated with poorer prognosis. Based upon a recent multicenter study from Europe investigators similarly found hypoplastic/stenotic pulmonary veins to be an independent risk factor for death (46). 
  • #69 In supracardiac TAPVC, the site of connection with systemic vein (most frequently the left innominate vein) is a common site of narrowing. In infradiaphragmatic TAPVC, the most common site of obstruction is its connection with the portal or hepatic vein
  • #76 The 2D and Doppler findings are as described in the previous section on TAPVC without obstruction. 
  • #80 Angio CT examination with coronal MIP reformat and 3D reconstruction. Infradia­phragmatic type of total anomalous pulmonary venous connection. The four pulmonary veins join together and drain downwards, connecting to the liver&amp;apos;s portal vein system Angio CT examination. Infradiaphragmatic type of total anomalous pulmonary venous connection (reconstruction)
  • #81 In the uncommon circumstance when echocardiography cannot provide all diagnostic information required for surgical planning, MRI provides an excellent complementary option.
  • #82 The accuracy of 2-D and Doppler echocardiography in identifying the presence and type of TAPVC nearly has eliminated the need for diagnostic cardiac  catheterization and angiography in the diagnosis of TAPVC. Ninety-seven percent sensitivity and 99% specificity have been reported in the echocardiographic diagnosis of TAPVC, even before color Doppler became available (48).  Diagnostic cardiac catheterization now rarely is performed to clarify problems unresolved by 2-D and Doppler echocardiography.  The advent of MRI in recent years may obviate the need for diagnostic catheterization even further. When TAPVC is to the LIV or right SVC , SVC blood preferentially flows in to the tricuspid orifice and IVC blood preferentially shunts into the LA,  resulting in a pulmonary artery oxygen saturation  that may be higher than that in the systemic artery.
  • #83 particularly in an attempt to  determine the This phenomenon is most likely attributable to the fact that the compliances of the two ventricles are usually comparable, and their filling pressures are thus equal even in the face of a restrictive interatrial communication. 
  • #84 Interpretation of oximetry must be cautious , however On the one hand, PBF is decreased and its volume may not be sufficient to allow a high  oxygen saturation when mixed with systemic venous blood. 
  • #86 Selective pulmonary arteriography usually is diagnostic. Following injection and passage of opaque dye through the pulmonary fields, the dye collects in the pulmonary venous channels and clearly outlines the anomalous connection (Fig. 35.20).  In TAPVC to the LIV, the vertical vein can be seen to originate from the area of the&amp;apos; common pulmonary vein and to ascend to join the LIV.  The latter is outlined in its course to the SVC.
  • #89 In infracardiac type, anomalous connection of pulmonary veins via descending vertical vein to portal vein is characteristic and it is termed as TREE IN WINTER.
  • #95 The counterclockwise frontal vector loop identifies common AVSD, as does the murmur of MR.
  • #98 Immediate endotracheal intubation and hyperventilation with 100% oxygen to a PaCO2 of ˂ 30 mm Hg and correction of pH. Induced respiratory alkalosis decreases pulmonary vascular resistance and improves oxygenation