BACK TO BASICS
Phase
Frequency
Amplitude
Wavelength
Sound
▪ Mechanical vibration transmitted through an elastic medium
▪ Pressure waves when propagate through air at appropriate frequency
produce sensation of hearing
Vibration Propagation
As sound propagates through a medium
the particles of the medium vibrate
Air at equilibrium, in the
absence of a sound wave
Compressions and rarefactions
that constitute a sound wave
ULTRASOUND
▪ Ultrasound is sound with a frequency over 20,000 Hz, which is the
upper limit of human hearing.
▪ The basic principles and properties are same as that of audible sound
▪ Frequencies used for diagnostic ultrasound are between 2 to 20 MHz
COMPONENTS OF AWAVE
Phase
Frequency
Amplitude
Wavelength
Sine wave:
▪ Amplitude - maximal
compression of particles
above the baseline
▪ Wavelength - distance
between the two nearest
points of equal pressure
and density
One Compression and rarefaction constitute one sound wave . It can be
represented as “Sine wave”.
wavelength = speed/frequency
Amplitude
• Defines the Brightness of the image
Irrespective of the Freq the Amp remains
constant
The Higher the Amp the brighter the image
and the lower the more darker the images
Returning Waves
FREQUENCY:
▪ Number of cycles per second
▪ Units are Hertz
▪ Ultrasound imaging frequency range 2-20Mhz
Wave Length and Frequency:
Velocity = Distance/Time
( 100 meters in 9.81 sec)
Velocity:
▪ Speed at which a sound wave travels through a medium(cm/sec)
▪ Average speed of ultrasound in body is 1540 m/sec
Phase
Frequency
Amplitude
Wavelength
velocity = frequency x wavelength
• Dependent on physical properties of the medium through which it travels
• Directly proportional to stiffness of the material
• Inversely proportional to density within a physiological limit
Rule Of Thumb:
▪ Stiffness and Speed ---- Same Direction
▪ Density and Speed ---- Opposite Direction
▪ Stiffness is related to change in shape – squishability
▪ Density is related to Weight
Sound velocity in different materials
Material Velocity ( m/s)
Air 330
Water 1497
Metal 3000 - 6000
Fat 1440
Blood 1570
Soft tissue 1540
Pulsed Ultrasound
▪ In diagnostic imaging short pulses of acoustic energy are used to
create anatomic images.
▪ Continuous wave sound can not create images. CW is used for
Doppler
▪ Two component of Pulsed Ultrasound:
– The cycles (Transmit time)
– Dead time (Receive time)
5 Parameters Of Pulsed Sound
▪ Pulse Duration
▪ Spatial Pulse Length
▪ Pulse repetition Period
▪ PRF
▪ Duty Factor
Pulse Duration
▪ The time from the start of pulse to end of pulse
▪ Transmit time
▪ Can not be changed by sonographer
▪ In clinical imaging its 2-4 cycles
Spatial Pulse Length
▪ The distance from start to the end of one pulse.
▪ Can not be changed by sonographer
▪ Determines Axial Resolution
Spatial pulse length
Time
Distance
Pulse Repetition Period
▪ Time from the start of one pulse to the start of next pulse
▪ Includes one pulse and one Listening time
▪ Sonographer can change PRP (listening time only and not pulse duration of period)
Time
Distance Spatial pulse length
Pulse Repetition Period
• No change in pulse (only listening
time) while changing depth
PRP
PRP
Pulse Repetition Frequency (PRF)
▪ Number of Pulses created by system in one second.
▪ Not related to Frequency
▪ Determined by depth
– Shallow image -- High PRF
– Deep Image – Low PRF
PRP and PRF (Inverse Relation)
Depth
PRP
PRF
PRP
PRP
PRF
PRF
Frequency vs. Resolution
▪ The frequency also affects the QUALITY of the ultrasound image
–The HIGHER the frequency, the BETTER the resolution
–The LOWER the frequency, the LESS the resolution
Frequency, Penetration & Resolution
Higher the frequency Lower the penetration and Higher the
resolution
Low the frequency higher the penetration and lower the
resolution
The Trade Off
▪ The trade-off between tissue resolution and penetration
▪ A 12 MHz transducer has very good resolution, but cannot penetrate
very deep into the body
▪ A 3 MHz transducer can penetrate deep into the body, but the
resolution is not as good as the 12 MHz
How Is Ultrasound Imaging Done?
Pierre Curie (1859-1906),
Nobel Prize in Physics, 1903
Jacques Curie (1856-1941)
PIEZOELECTRIC EFFECT
Piezoelectric Effect
Vibration
Piezoelectric effect results in Compression
& Rarefaction:
Damping Material is used to “ring down” the
Pulse Length & Bandwidth which results in
improved resolution
INTERACTIONS OF ULTRASOUND WITH TISSUE
▪ Reflection
▪ Transmission
▪ Attenuation
▪ Scattering
Reflection
– Occurs at a boundary between 2 adjacent tissues or media
– The amount of reflection depends on differences in
acoustic impedance (z) between media
– The ultrasound image is formed from reflected echoes
Transducer
Z = Density xVelocity
Angle of Incidence
Reflection from a tissue interface at
right angle. There is
stronger reflection resulting in brighter
echo.
Reflection at an angle equal to
the angle of incidence
producing less bright echo.
Reflected Echoes
▪ Strong Reflections =White dots
– Pericardium, calcified structures,diaphragm
▪ Weaker Reflections = Grey dots
– Myocardium, valve tissue, vessel walls,liver
▪ No Reflections = Black dots
– Intra-cardiac cavities,gall bladder
▪ Not all the sound wave is reflected, some continues
deeper into the body
▪ These waves will reflect from deeper tissue
structures
Transducer
Transmission
▪ The deeper the wave travels in the body, the
weaker it becomes
▪ The amplitude of the wave decreases with
increasing depth
Attenuation
 Higher frequency ,
more attenuation
 Longer the distance
(Depth), more the
attenuation
Scattering
▪ Redirection of sound in several directions
▪ Caused by interaction with small reflector or rough surface
▪ Only portion of sound wave returns to transducer
▪ The resistance that a material offers to the passage of sound wave
▪ Velocity of propagation “v” varies between different tissues
▪ Tissues also have differing densities “ρ”
▪ Acoustic impedance
“Z = ρv”
▪ Soft tissue / bone and soft tissue / air interfaces have large “Acoustic
Impedance mismatch”
▪ Difference between Air and Blood
Acoustic Impedance
How Does An Ultrasound Machine Make An Image ?
– Ultrasound transducer produces “pulses” of
ultrasound waves
– These waves travel within the body and interact
with various tissues
– The reflected waves return to the transducer and are
processed by the ultrasound machine
– An image which represents these reflections is
formed on the monitor
Pulse-Echo Method
Imaging By Ultrasound
▪ Ultrasound imaging is performed by emitting a pulse, which is partly
reflected from a boundary between two tissue structures, and partially
transmitted.
The amount of energy being reflected from each point is given
in the diagram as the Amplitude.
B- Brightness
mode shows
the energy as
the brightness
of the point
M- Motion mode the
reflector is moving so
if the depth is shown
in a time plot, the
motion will be seen
as a curve
A
B
C
2-Dimensional Imaging
▪ Provides more structural and functional
information
▪ Rapid repetitive scanning along many different
radii with in an area in the shape of a fan
▪ 2-D image is built up by firing a beam , waiting
for the return echoes, maintaining the
information and then firing a new line from a
neighboring transducer along a neighboring line
A single ‘FRAME’ being formed
from one full sweep of beams
A ‘CINE LOOP’ from multiple FRAMES
Position of Reflected Echoes
▪ How does the system know the depth of the
reflection?
▪ TIMING
– The system calculates how long it takes for the echo to return
to the transducer
– The velocity in tissue is assumed constant at 1540m/sec
Velocity = Distance xTime
2
How Is An Image Formed On The Monitor?
▪ The amplitude of each reflected wave is represented by a
dot
▪ The position of the dot represents the depth from which
the echo is received
▪ The brightness of the dot represents the strength of the
returning echo
▪ These dots are combined to form a complete image
End Of Part 1
Part II
Goal of an Ultrasound System
▪ The ultimate goal of any ultrasound system is to make
like tissues look alike and unlike tissues look different.
▪ Axial Resolution
▪ Lateral Resolution
▪ Temporal Resolution
▪ Contrast resolution
Types Of Resolution
▪ Spatial Resolution
– also called Detail Resolution
– the combination ofAXIAL and LATERAL resolution
– some customers may use this term
Types of Resolution
Axial Resolution
– specifies how close together two objects can be
along the axis of the beam, yet still be
detected as two separate objects
– frequency (wavelength) affects axial resolution
▫ Determinants:
▫ Wavelength – smaller the
better
▫ Pulse length – shorter the
train of cycles greater the
resolution
Lateral Resolution
– the ability to resolve two adjacent objects that are
perpendicular to the beam axis as separate objects
– Beamwidth affects lateral resolution
▫ Determinants:
▫ Beam width – smaller
the better
▫ Depth
▫ Gain
Lateral Resolution
•
• •
•
Only one here
2 structures seen here
Lateral Resolution
▪ The lateral resolution is approximately equals
the beam diameter.
▪ Since the beam diameter varies with depth,
the lateral resolution also varies with depth.
▪ It is best at near zone ( focal ) length.
▪ The ability to accurately locate the position of moving
structures at particular instants in time
▪ The temporal resolution is limited by the sweep speed of
the beam.
▪ And the sweep speed is limited by the speed of sound, as
the echo from the deepest part of the image has to return
before the next pulse is sent out ad a different angle in the
neighboring beam
Temporal resolution:
As the depth of the sector determines
the time before next pulse can be sent
out, higher depth results in longer time
for building each line, and thus longer
time for building the sector from a
given number of lines, i.e. lower frame
rate.
Thus reducing the desired depth of the
sector results in shorter time between
pulses, and thus shorter time for
building each line, shorter time for
building the same number of lines, i.e.
higher frame rate.
• Use Depth and NOT Zoom
• Adjust sector size
• Adjust gain
• Decreasing the line density
Improving Temporal Resolution (Frame Rate)
• Use Depth and NOT Zoom
In the image to the left, the depth has been halved, reducing the time for
building each line to half, thus also halving the time for building the full
sector, doubling the frame rate
(Temporal Resolution)
Reducing the line density instead and maintaining sector
width, results in lower number of lines, i.e. lateral resolution,
and gives the same increase in frame rate.
Reducing sector width, but maintaining the line density, gives
unchanged lateral resolution but higher frame rate, at the cost
of field of view.
• Line density & Sector width
(Temporal Resolution)
▪ Contrast Resolution
– the ability to resolve two adjacent objects of similar
intensity/reflective properties as separate objects
Types of Resolution
The Classic Trade off ..
How To Make Better Images
DEPTH:
The deeper the field of the image, the slower the frame rate
The smallest depth that permits display of the region of interest should be employed
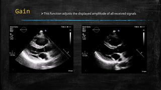
Gain This function adjusts the displayed amplitude of all received signals
Signal-To-Noise Ratio
▪ Returning ultrasound waves are referred to as signal,
while background artifact is referred to as noise.
▪ Increasing the gain increases the signal-to-noise ratio.
Time Gain Compensation
• TGC will change the gain factor so that equally reflective
structures will be displayed with the same brightness
regardless of their depth.
• TGC allows amplification of ultrasound beams from deeper
depths because different amplitudes of ultrasound signals
are produced when received from different depths.
• MoreTGC is required for higher frequency transducers,
which create more attenuation.
Time Gain Compensation
Focusing The Beam
• Near Field
• Far Field
• Imaging quality is best within the near field.
• The length of the near field is greater at higher transducer frequencies
and wider transducer diameters.
FOCUS:
Indicates the region of the image in which the ultrasound beam is narrowest
Resolution is greatest in this region
Focusing The Beam
▪ Focusing the ultrasound beam does not affect the length of the
near field
▪ It produces a narrower beam (and higher resolution) within the
near field
▪ But makes the beam wider in the far field
▪ A phased-array transducer also offers electronic focusing, which
allows the sonographer to control the depth at which the
ultrasound beam is most tightly focused.
Harmonic Imaging
• When an ultrasound wave passes through the body, the
tissue generates "harmonic ultrasound waves" because
the tissue resonates.
• The resonance frequency is typically a multiple of the
original frequency (transmitted frequency)
• Fundamental components are filtered out.
• Images produced with harmonic imaging have a higher
resolution and are associated with fewer artifacts than
conventional (fundamental) imaging
Harmonic Imaging
Thanks for your patience
▪ Thus frame rate is a compromise
between sector size (width and depth),
resolution (line density).
▪ High frequency transducers produce pulses with
shorter wave length and higher longitudinal resolution.
Lateral resolution.
▪ The minimum distance that 2 side by side structures can be
separated and still produce 2 distinct echoes.
•• •
•
Only one here
2 structures seen here
More foci per image.
▪ More sound pulses per line.
▪ Superb lateral resolution at all depths.
▪ More time per image scan line.
▪ More time to create a frame.
Lower frame rate.
Multiple focal zones.
▪ An ultrasound pulse has only a single focal zone.
▪ By using multiple sound beams with different focal
depth to create a single image line the lateral
resolution is optimal at all depths
Tissue Harmonics
Tissue Signature
Tissue Harmonic Imaging
Ultrasound Interactions with Tissue Interfaces
Arrow representVectors whose length equal the strength & direction
of the reflected signal
A and B represent specular (mirror like) reflectors,
the B return signal does not return to the transducer
C and D have a rough surface that is typical of human tissue
E are objects smaller than a wavelength & therefore scatter the
energy
Interactions of Ultrasound Waves with
Tissue
The interactions will determine the types of images &
artifacts that are generated
Reflection, Attenuation & Time Gain
Conpensation Settings
Transducer Frequency & Wavelength
affect Resolution & Penetration
Understanding
Ultrasound physics.
Reflection:
▪ Occurs when some of the propagating acoustic energy
is redirected and returns toward the transducer.
▪ Reflection off of a very smooth reflector such as a
mirror are called specular
Reflection and incidence.
▪ if the boundary between 2 media has
irregularities, then the wave is distributed in a
number of different directions.
▪ It occurs when a sound wave strikes material
whose size is approximately equal to or smaller
than the wavelength of the cycles in the pulse.
Scattering:
Incidence:
Reflection with normal incidence.
 In clinical ultrasound imaging 99% or more of
the incident energy is transmitted forward at a
boundary between soft tissues.
Reflection with oblique incidence.
▪ With oblique incidence, we cannot predict whether
transmission and/ or reflection will occur.
Refraction.
▪ Is a change in direction, or a bending away from a straight
line path, of a wave traveling from one medium to another.
▪ Refraction occurs only when there are:
1. Different Propagation Speed.
2. Oblique Incidence between the sound wave and the
boundary.
Snell’s Law.
Range equation.
How does an imaging system
determine the depth of a reflecting
surface?
Time-Of-Flight.
▪ Time-Of-Flight: the go-return time
Is the elapsed time between pulse production and echo
reception by the transducer.
▪ Estimating distance from the go-return time is called
echo ranging.
Machines
There are 5 basic components of an ultrasound scanner that are required for
generation, display and storage of an ultrasound image.
1. Pulse generator - applies high amplitude voltage to energize the crystals
2. Transducer - converts electrical energy to mechanical (ultrasound) energy
and vice versa
3. Receiver - detects and amplifies weak signals
4. Display - displays ultrasound signals in a variety of modes
5. Memory - stores video display
▪ Depicted as sine wave-peaks and troughs
▪ One cylce=one compression + one rarefaction
▪ Distance between 2 similar points represent
wavelength
▪ 0.15 to 1.5 mm in soft tissue
▪ Frequency- number of wavelengths per unit time
▪ V=f X λ(v=velocity,f =frequency, λ is wavelength)
▪ Velocity of sound=1540 m/sec in soft tissue
▪ Wavelength=1.54/f
▪ Amplitude
Measure of strength of the sound wave
Indicated by height of sine wave above and below baseline
▪ Higher the frequency greater the resolution
▪ Higher frequency,lesser the penetration
▪ Loss of ultrasound as it propogates through a medium is
called attenuation
PRICIPLES OF PEIZO ELECTRIC CRYSTALS
The charges in a piezoelectric crystal are exactly
balanced, even if they're not symmetrically
arranged.
The effects of the charges exactly cancel out, leaving
no net charge on the crystal faces
the electric dipole moments—vector lines
separating opposite charges—exactly cancel one
another out.
If you squeeze the crystal , you force the charges out
of balance.
▪ Now the effects of the charges (their dipole moments) no
longer cancel one another out and net positive and
negative charges appear on opposite crystal faces.
▪ By squeezing the crystal, voltage is produced across its
opposite faces- piezoelectricity
▪ The piezoelectric effect was discovered in 1880 by two French physicists, brothers Pierre and
Paul-Jacques Curie, in crystals of quartz, tourmaline, and Rochelle salt (potassium sodium
tartrate).They took the name from the Greek work piezein, which means "to press."
▪ The phenomenon of generation of a voltage under mechanical stress
is referred to as the direct piezoelectric effect
▪ mechanical strain produced in the crystal under electric stress is
called the converse piezoelectric effect.
▪ Ferro electrics,barium tianate,lead zirconate titanate are used
as peizo electric crystals.
▪ Dampening material-shortens the ringing response
Also absorbs backward and laterally transmitted acoustic
energy
▪ Frequency emitted by transducer is directly proportional to
propagation speed within crystal and inversely related to
thickness
▪ Important feature of ultrasound is ability to direct or focus
the beam as it leaves the transducer
▪ Proximal cylindrical and distally divergent
▪ Proximal zone –Fresnel zone
▪ Divergent field is called Fraunhofer zone
▪ Imaging is optimal in near field
▪ Decreasing wavelength or increasing transducer size
increase near field
Haemo”dynamics”
▪ Blood flow is a complex phenomenon
▪ Not a uniform liquid
▪ Flow pulsatile
▪ Vessel walls are elastic
Properties of Blood
▪ Density-mass of blood per unit volume
▪ Measure of resistance to accelaration
▪ Greater the density,greater the resistance to flow
▪ Viscosity:resistance to flow offered by fluid in motion
▪ 0.035 poise at 37 degree.
Factors determining flow
▪ Flow rate is determined by
– Pressure gradient
– Resistance
▪ Viscosity of blood
▪ Radius of lumen
▪ Length of vessel
Types of flow
Laminar flow
Shape of parabola
Concentric layers,each parallel to vessel wall
Velocity of each layer differs
Maximal velocity is at centre of vessel
Decreasing profile towards peripheries
Turbulent flow
▪ Obstruction produce increased velocities, flow vortices
▪ Whirlpools shed off in different directions producing variable
velocities- chaos
▪ Predicted by Reynolds number
▪ Reynolds number depends on
Re=( ρ x c x D)/v
ρ-Density of blood
D-Vessel diameter
c-Velocity of flow
V-viscosity
The Reynolds number is dimensionless
If Re is less than 1200 the flow will be -laminar
1200-2000 flow is described as -transitional
Greater than 2000 -turbulent
Basics/Physics of Echocardiography
Basics/Physics of Echocardiography
Basics/Physics of Echocardiography

Basics/Physics of Echocardiography

  • 1.
  • 2.
    Sound ▪ Mechanical vibrationtransmitted through an elastic medium ▪ Pressure waves when propagate through air at appropriate frequency produce sensation of hearing Vibration Propagation
  • 3.
    As sound propagatesthrough a medium the particles of the medium vibrate Air at equilibrium, in the absence of a sound wave Compressions and rarefactions that constitute a sound wave
  • 4.
    ULTRASOUND ▪ Ultrasound issound with a frequency over 20,000 Hz, which is the upper limit of human hearing. ▪ The basic principles and properties are same as that of audible sound ▪ Frequencies used for diagnostic ultrasound are between 2 to 20 MHz
  • 5.
  • 6.
    Sine wave: ▪ Amplitude- maximal compression of particles above the baseline ▪ Wavelength - distance between the two nearest points of equal pressure and density One Compression and rarefaction constitute one sound wave . It can be represented as “Sine wave”. wavelength = speed/frequency
  • 7.
    Amplitude • Defines theBrightness of the image Irrespective of the Freq the Amp remains constant The Higher the Amp the brighter the image and the lower the more darker the images Returning Waves
  • 8.
    FREQUENCY: ▪ Number ofcycles per second ▪ Units are Hertz ▪ Ultrasound imaging frequency range 2-20Mhz
  • 9.
    Wave Length andFrequency:
  • 10.
    Velocity = Distance/Time (100 meters in 9.81 sec)
  • 11.
    Velocity: ▪ Speed atwhich a sound wave travels through a medium(cm/sec) ▪ Average speed of ultrasound in body is 1540 m/sec Phase Frequency Amplitude Wavelength velocity = frequency x wavelength • Dependent on physical properties of the medium through which it travels • Directly proportional to stiffness of the material • Inversely proportional to density within a physiological limit
  • 12.
    Rule Of Thumb: ▪Stiffness and Speed ---- Same Direction ▪ Density and Speed ---- Opposite Direction ▪ Stiffness is related to change in shape – squishability ▪ Density is related to Weight
  • 13.
    Sound velocity indifferent materials Material Velocity ( m/s) Air 330 Water 1497 Metal 3000 - 6000 Fat 1440 Blood 1570 Soft tissue 1540
  • 14.
    Pulsed Ultrasound ▪ Indiagnostic imaging short pulses of acoustic energy are used to create anatomic images. ▪ Continuous wave sound can not create images. CW is used for Doppler ▪ Two component of Pulsed Ultrasound: – The cycles (Transmit time) – Dead time (Receive time)
  • 15.
    5 Parameters OfPulsed Sound ▪ Pulse Duration ▪ Spatial Pulse Length ▪ Pulse repetition Period ▪ PRF ▪ Duty Factor
  • 16.
    Pulse Duration ▪ Thetime from the start of pulse to end of pulse ▪ Transmit time ▪ Can not be changed by sonographer ▪ In clinical imaging its 2-4 cycles
  • 17.
    Spatial Pulse Length ▪The distance from start to the end of one pulse. ▪ Can not be changed by sonographer ▪ Determines Axial Resolution Spatial pulse length Time Distance
  • 18.
    Pulse Repetition Period ▪Time from the start of one pulse to the start of next pulse ▪ Includes one pulse and one Listening time ▪ Sonographer can change PRP (listening time only and not pulse duration of period) Time Distance Spatial pulse length
  • 19.
    Pulse Repetition Period •No change in pulse (only listening time) while changing depth PRP PRP
  • 20.
    Pulse Repetition Frequency(PRF) ▪ Number of Pulses created by system in one second. ▪ Not related to Frequency ▪ Determined by depth – Shallow image -- High PRF – Deep Image – Low PRF
  • 21.
    PRP and PRF(Inverse Relation) Depth PRP PRF PRP PRP PRF PRF
  • 22.
    Frequency vs. Resolution ▪The frequency also affects the QUALITY of the ultrasound image –The HIGHER the frequency, the BETTER the resolution –The LOWER the frequency, the LESS the resolution
  • 23.
    Frequency, Penetration &Resolution Higher the frequency Lower the penetration and Higher the resolution Low the frequency higher the penetration and lower the resolution
  • 24.
    The Trade Off ▪The trade-off between tissue resolution and penetration ▪ A 12 MHz transducer has very good resolution, but cannot penetrate very deep into the body ▪ A 3 MHz transducer can penetrate deep into the body, but the resolution is not as good as the 12 MHz
  • 26.
    How Is UltrasoundImaging Done?
  • 27.
    Pierre Curie (1859-1906), NobelPrize in Physics, 1903 Jacques Curie (1856-1941) PIEZOELECTRIC EFFECT
  • 28.
  • 29.
    Piezoelectric effect resultsin Compression & Rarefaction:
  • 30.
    Damping Material isused to “ring down” the Pulse Length & Bandwidth which results in improved resolution
  • 31.
    INTERACTIONS OF ULTRASOUNDWITH TISSUE ▪ Reflection ▪ Transmission ▪ Attenuation ▪ Scattering
  • 32.
    Reflection – Occurs ata boundary between 2 adjacent tissues or media – The amount of reflection depends on differences in acoustic impedance (z) between media – The ultrasound image is formed from reflected echoes Transducer Z = Density xVelocity
  • 33.
    Angle of Incidence Reflectionfrom a tissue interface at right angle. There is stronger reflection resulting in brighter echo. Reflection at an angle equal to the angle of incidence producing less bright echo.
  • 34.
    Reflected Echoes ▪ StrongReflections =White dots – Pericardium, calcified structures,diaphragm ▪ Weaker Reflections = Grey dots – Myocardium, valve tissue, vessel walls,liver ▪ No Reflections = Black dots – Intra-cardiac cavities,gall bladder
  • 35.
    ▪ Not allthe sound wave is reflected, some continues deeper into the body ▪ These waves will reflect from deeper tissue structures Transducer Transmission
  • 36.
    ▪ The deeperthe wave travels in the body, the weaker it becomes ▪ The amplitude of the wave decreases with increasing depth Attenuation  Higher frequency , more attenuation  Longer the distance (Depth), more the attenuation
  • 37.
    Scattering ▪ Redirection ofsound in several directions ▪ Caused by interaction with small reflector or rough surface ▪ Only portion of sound wave returns to transducer
  • 38.
    ▪ The resistancethat a material offers to the passage of sound wave ▪ Velocity of propagation “v” varies between different tissues ▪ Tissues also have differing densities “ρ” ▪ Acoustic impedance “Z = ρv” ▪ Soft tissue / bone and soft tissue / air interfaces have large “Acoustic Impedance mismatch” ▪ Difference between Air and Blood Acoustic Impedance
  • 39.
    How Does AnUltrasound Machine Make An Image ? – Ultrasound transducer produces “pulses” of ultrasound waves – These waves travel within the body and interact with various tissues – The reflected waves return to the transducer and are processed by the ultrasound machine – An image which represents these reflections is formed on the monitor Pulse-Echo Method
  • 40.
    Imaging By Ultrasound ▪Ultrasound imaging is performed by emitting a pulse, which is partly reflected from a boundary between two tissue structures, and partially transmitted. The amount of energy being reflected from each point is given in the diagram as the Amplitude.
  • 41.
    B- Brightness mode shows theenergy as the brightness of the point M- Motion mode the reflector is moving so if the depth is shown in a time plot, the motion will be seen as a curve A B C
  • 42.
    2-Dimensional Imaging ▪ Providesmore structural and functional information ▪ Rapid repetitive scanning along many different radii with in an area in the shape of a fan ▪ 2-D image is built up by firing a beam , waiting for the return echoes, maintaining the information and then firing a new line from a neighboring transducer along a neighboring line
  • 44.
    A single ‘FRAME’being formed from one full sweep of beams A ‘CINE LOOP’ from multiple FRAMES
  • 45.
    Position of ReflectedEchoes ▪ How does the system know the depth of the reflection? ▪ TIMING – The system calculates how long it takes for the echo to return to the transducer – The velocity in tissue is assumed constant at 1540m/sec Velocity = Distance xTime 2
  • 46.
    How Is AnImage Formed On The Monitor? ▪ The amplitude of each reflected wave is represented by a dot ▪ The position of the dot represents the depth from which the echo is received ▪ The brightness of the dot represents the strength of the returning echo ▪ These dots are combined to form a complete image
  • 47.
  • 48.
  • 49.
    Goal of anUltrasound System ▪ The ultimate goal of any ultrasound system is to make like tissues look alike and unlike tissues look different.
  • 50.
    ▪ Axial Resolution ▪Lateral Resolution ▪ Temporal Resolution ▪ Contrast resolution Types Of Resolution
  • 51.
    ▪ Spatial Resolution –also called Detail Resolution – the combination ofAXIAL and LATERAL resolution – some customers may use this term Types of Resolution
  • 52.
    Axial Resolution – specifieshow close together two objects can be along the axis of the beam, yet still be detected as two separate objects – frequency (wavelength) affects axial resolution ▫ Determinants: ▫ Wavelength – smaller the better ▫ Pulse length – shorter the train of cycles greater the resolution
  • 53.
    Lateral Resolution – theability to resolve two adjacent objects that are perpendicular to the beam axis as separate objects – Beamwidth affects lateral resolution ▫ Determinants: ▫ Beam width – smaller the better ▫ Depth ▫ Gain
  • 54.
    Lateral Resolution • • • • Onlyone here 2 structures seen here
  • 55.
  • 56.
    ▪ The lateralresolution is approximately equals the beam diameter. ▪ Since the beam diameter varies with depth, the lateral resolution also varies with depth. ▪ It is best at near zone ( focal ) length.
  • 57.
    ▪ The abilityto accurately locate the position of moving structures at particular instants in time ▪ The temporal resolution is limited by the sweep speed of the beam. ▪ And the sweep speed is limited by the speed of sound, as the echo from the deepest part of the image has to return before the next pulse is sent out ad a different angle in the neighboring beam Temporal resolution:
  • 58.
    As the depthof the sector determines the time before next pulse can be sent out, higher depth results in longer time for building each line, and thus longer time for building the sector from a given number of lines, i.e. lower frame rate. Thus reducing the desired depth of the sector results in shorter time between pulses, and thus shorter time for building each line, shorter time for building the same number of lines, i.e. higher frame rate.
  • 59.
    • Use Depthand NOT Zoom • Adjust sector size • Adjust gain • Decreasing the line density Improving Temporal Resolution (Frame Rate)
  • 60.
    • Use Depthand NOT Zoom In the image to the left, the depth has been halved, reducing the time for building each line to half, thus also halving the time for building the full sector, doubling the frame rate (Temporal Resolution)
  • 61.
    Reducing the linedensity instead and maintaining sector width, results in lower number of lines, i.e. lateral resolution, and gives the same increase in frame rate. Reducing sector width, but maintaining the line density, gives unchanged lateral resolution but higher frame rate, at the cost of field of view. • Line density & Sector width (Temporal Resolution)
  • 62.
    ▪ Contrast Resolution –the ability to resolve two adjacent objects of similar intensity/reflective properties as separate objects Types of Resolution
  • 63.
  • 64.
    How To MakeBetter Images
  • 65.
    DEPTH: The deeper thefield of the image, the slower the frame rate The smallest depth that permits display of the region of interest should be employed
  • 66.
    Gain This functionadjusts the displayed amplitude of all received signals
  • 67.
    Signal-To-Noise Ratio ▪ Returningultrasound waves are referred to as signal, while background artifact is referred to as noise. ▪ Increasing the gain increases the signal-to-noise ratio.
  • 68.
    Time Gain Compensation •TGC will change the gain factor so that equally reflective structures will be displayed with the same brightness regardless of their depth. • TGC allows amplification of ultrasound beams from deeper depths because different amplitudes of ultrasound signals are produced when received from different depths. • MoreTGC is required for higher frequency transducers, which create more attenuation.
  • 69.
  • 70.
    Focusing The Beam •Near Field • Far Field • Imaging quality is best within the near field. • The length of the near field is greater at higher transducer frequencies and wider transducer diameters.
  • 71.
    FOCUS: Indicates the regionof the image in which the ultrasound beam is narrowest Resolution is greatest in this region
  • 72.
    Focusing The Beam ▪Focusing the ultrasound beam does not affect the length of the near field ▪ It produces a narrower beam (and higher resolution) within the near field ▪ But makes the beam wider in the far field ▪ A phased-array transducer also offers electronic focusing, which allows the sonographer to control the depth at which the ultrasound beam is most tightly focused.
  • 73.
    Harmonic Imaging • Whenan ultrasound wave passes through the body, the tissue generates "harmonic ultrasound waves" because the tissue resonates. • The resonance frequency is typically a multiple of the original frequency (transmitted frequency) • Fundamental components are filtered out. • Images produced with harmonic imaging have a higher resolution and are associated with fewer artifacts than conventional (fundamental) imaging
  • 74.
  • 75.
  • 76.
    ▪ Thus framerate is a compromise between sector size (width and depth), resolution (line density).
  • 77.
    ▪ High frequencytransducers produce pulses with shorter wave length and higher longitudinal resolution.
  • 78.
    Lateral resolution. ▪ Theminimum distance that 2 side by side structures can be separated and still produce 2 distinct echoes. •• • • Only one here 2 structures seen here
  • 80.
    More foci perimage. ▪ More sound pulses per line. ▪ Superb lateral resolution at all depths. ▪ More time per image scan line. ▪ More time to create a frame. Lower frame rate.
  • 81.
    Multiple focal zones. ▪An ultrasound pulse has only a single focal zone. ▪ By using multiple sound beams with different focal depth to create a single image line the lateral resolution is optimal at all depths
  • 82.
  • 83.
  • 84.
  • 85.
    Ultrasound Interactions withTissue Interfaces Arrow representVectors whose length equal the strength & direction of the reflected signal A and B represent specular (mirror like) reflectors, the B return signal does not return to the transducer C and D have a rough surface that is typical of human tissue E are objects smaller than a wavelength & therefore scatter the energy
  • 86.
    Interactions of UltrasoundWaves with Tissue The interactions will determine the types of images & artifacts that are generated
  • 87.
    Reflection, Attenuation &Time Gain Conpensation Settings
  • 88.
    Transducer Frequency &Wavelength affect Resolution & Penetration
  • 91.
  • 92.
    Reflection: ▪ Occurs whensome of the propagating acoustic energy is redirected and returns toward the transducer. ▪ Reflection off of a very smooth reflector such as a mirror are called specular Reflection and incidence.
  • 93.
    ▪ if theboundary between 2 media has irregularities, then the wave is distributed in a number of different directions. ▪ It occurs when a sound wave strikes material whose size is approximately equal to or smaller than the wavelength of the cycles in the pulse. Scattering:
  • 95.
  • 98.
  • 99.
     In clinicalultrasound imaging 99% or more of the incident energy is transmitted forward at a boundary between soft tissues.
  • 100.
    Reflection with obliqueincidence. ▪ With oblique incidence, we cannot predict whether transmission and/ or reflection will occur.
  • 101.
    Refraction. ▪ Is achange in direction, or a bending away from a straight line path, of a wave traveling from one medium to another. ▪ Refraction occurs only when there are: 1. Different Propagation Speed. 2. Oblique Incidence between the sound wave and the boundary.
  • 102.
  • 103.
    Range equation. How doesan imaging system determine the depth of a reflecting surface? Time-Of-Flight.
  • 104.
    ▪ Time-Of-Flight: thego-return time Is the elapsed time between pulse production and echo reception by the transducer. ▪ Estimating distance from the go-return time is called echo ranging.
  • 109.
    Machines There are 5basic components of an ultrasound scanner that are required for generation, display and storage of an ultrasound image. 1. Pulse generator - applies high amplitude voltage to energize the crystals 2. Transducer - converts electrical energy to mechanical (ultrasound) energy and vice versa 3. Receiver - detects and amplifies weak signals 4. Display - displays ultrasound signals in a variety of modes 5. Memory - stores video display
  • 110.
    ▪ Depicted assine wave-peaks and troughs ▪ One cylce=one compression + one rarefaction ▪ Distance between 2 similar points represent wavelength ▪ 0.15 to 1.5 mm in soft tissue ▪ Frequency- number of wavelengths per unit time ▪ V=f X λ(v=velocity,f =frequency, λ is wavelength)
  • 111.
    ▪ Velocity ofsound=1540 m/sec in soft tissue ▪ Wavelength=1.54/f ▪ Amplitude Measure of strength of the sound wave Indicated by height of sine wave above and below baseline
  • 114.
    ▪ Higher thefrequency greater the resolution ▪ Higher frequency,lesser the penetration ▪ Loss of ultrasound as it propogates through a medium is called attenuation
  • 115.
    PRICIPLES OF PEIZOELECTRIC CRYSTALS The charges in a piezoelectric crystal are exactly balanced, even if they're not symmetrically arranged. The effects of the charges exactly cancel out, leaving no net charge on the crystal faces the electric dipole moments—vector lines separating opposite charges—exactly cancel one another out. If you squeeze the crystal , you force the charges out of balance.
  • 116.
    ▪ Now theeffects of the charges (their dipole moments) no longer cancel one another out and net positive and negative charges appear on opposite crystal faces. ▪ By squeezing the crystal, voltage is produced across its opposite faces- piezoelectricity ▪ The piezoelectric effect was discovered in 1880 by two French physicists, brothers Pierre and Paul-Jacques Curie, in crystals of quartz, tourmaline, and Rochelle salt (potassium sodium tartrate).They took the name from the Greek work piezein, which means "to press."
  • 117.
    ▪ The phenomenonof generation of a voltage under mechanical stress is referred to as the direct piezoelectric effect ▪ mechanical strain produced in the crystal under electric stress is called the converse piezoelectric effect.
  • 118.
    ▪ Ferro electrics,bariumtianate,lead zirconate titanate are used as peizo electric crystals. ▪ Dampening material-shortens the ringing response Also absorbs backward and laterally transmitted acoustic energy ▪ Frequency emitted by transducer is directly proportional to propagation speed within crystal and inversely related to thickness
  • 119.
    ▪ Important featureof ultrasound is ability to direct or focus the beam as it leaves the transducer ▪ Proximal cylindrical and distally divergent ▪ Proximal zone –Fresnel zone ▪ Divergent field is called Fraunhofer zone ▪ Imaging is optimal in near field ▪ Decreasing wavelength or increasing transducer size increase near field
  • 121.
    Haemo”dynamics” ▪ Blood flowis a complex phenomenon ▪ Not a uniform liquid ▪ Flow pulsatile ▪ Vessel walls are elastic
  • 122.
    Properties of Blood ▪Density-mass of blood per unit volume ▪ Measure of resistance to accelaration ▪ Greater the density,greater the resistance to flow ▪ Viscosity:resistance to flow offered by fluid in motion ▪ 0.035 poise at 37 degree.
  • 124.
    Factors determining flow ▪Flow rate is determined by – Pressure gradient – Resistance ▪ Viscosity of blood ▪ Radius of lumen ▪ Length of vessel
  • 125.
    Types of flow Laminarflow Shape of parabola Concentric layers,each parallel to vessel wall Velocity of each layer differs Maximal velocity is at centre of vessel Decreasing profile towards peripheries
  • 129.
    Turbulent flow ▪ Obstructionproduce increased velocities, flow vortices ▪ Whirlpools shed off in different directions producing variable velocities- chaos ▪ Predicted by Reynolds number ▪ Reynolds number depends on Re=( ρ x c x D)/v ρ-Density of blood D-Vessel diameter c-Velocity of flow V-viscosity
  • 130.
    The Reynolds numberis dimensionless If Re is less than 1200 the flow will be -laminar 1200-2000 flow is described as -transitional Greater than 2000 -turbulent