Cervical Spine Fracture
C1 – C2
Mohamed Elsayed Elsebaey
Neurosurgery Registrar
Egypt, Ismailia
Ministry of Health
Seba3y700025@gmail.com
Mohamed E Elsebaey
Spine fracture
• Atlanto- occipital injuries
• Atlanto- axial subluxation
• Atlas fractures
• C2 fractures
• Subaxial Fracture
• thoracic fractures
• thoracolumabar fractures
• Sacral fractures
10 % of the Cervical #s resembles C1 #
56% of those C1 are pure ( Isolated )
44% of those C1 # are Combination
20% of the cervical #s resembles C2 #
Atlas C1
Axis C2
Radiographic Signs of Trauma
Alignment
disrupted cervical arcs
Focal kyphosis/scoliosis/loss of lordosis
Spinous process rotation
Vertebral listhesis
Cartilage (joint/disc) space
facet widening
Interspinous widening (ā€œfanningā€)
Widened predental space
Widened/narrowed disc space
Bone Integrity
fracture/cortical buckling
Disrupted posterior vertebral body line
Anterior wedging
Disrupted C2 ring (ā€œfatā€ C2 sign)
Soft Tissue
widened prevertebral space
Displaced prevertebral ā€œfatā€ strip
Vacuum disc phenomenon
Deviated airway
Cervical ligamentous structure
Ligaments
Internal
• Tectorial membrane
• Cruciate membrane
• Alar & Apical ligaments
External
• Ant. & Post. Atlanto
occipital membrane
• Ant. & Post. Atlanto
axial membrane
• Articular capsules
Pathophysiology of injury
• Flexion
• Flexion rotation
• Extension
• Extension rotation
• Vertical compression
• Lateral flexion
So what will happen ???
No thing or Injury
Mechanism of injury
• Primary
• Compression that can be
occurred by bony
fragments
• Acute spinal cord
distraction
• Acceleration-
Deceleration with
shearing
• Laceration from
penetrating injuries
• Secondary
• hypoxia and ischemia
• Intracelular & extracellular
ionic shift
• Lipid peroxidation
• Free radical production
• Excitotoxicity
• Neutral protease activation
• Prostaglandin production
• Apoptosis
Complain
• Neck pain
• Loss of function ( moving the head )
• Numbness and weakness
• Bowel and bladder dysfunction
Management
• Primary: A,B, C
• Secondary:
• Local signs: brusing, increased interspinous
gap
• Search for another spine injury
• Priapism & diaphramitic breathing
• Warm & well perfused peripharies
Neurological assessment
• Examine
• Detect the level
• Reflexes
• The first reflex to return is the bulbocavernous
reflex in over 90% of cases
•ASIA
Neurological Assessment
• ASIA level can only be determined with
accurate three repeated physical exams in 72
hours.
• No reliable way of determining the real and
exact neurologic injury level at admission.
• Great difference in prognosis between
complete ( ASIA-A) & Incomplete ( ASIA-B,C,D)
• Always give the patient the benefit of doubt.
Spinal cord injury
Complete
Another session
Incomplete
Anterior
Posterior
Central
Brown sequard
Radiological Assessment
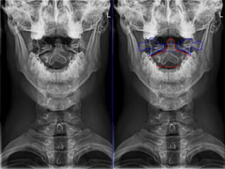
• Cervical –X- Ray
Lateral
A-P especially (( Odontoid # type 2 ))
Open mouth
• CT thin cuts with reconstruction ( sagittal, Coronal )
• MRI
C1
Reported # C1 in boy 6 year old FFH into his
vertex, complained with Neck pain, Muscle
Spasm, Head tilt
Judd DB1, Liem LK, Petermann G, Neurosurgery.2000 Apr,46 (4):991-4
• Reported congenital deficiency of the
posterior arch in 16 year old girl that was
falling from bicycle
Schrodel M H, Braun V, Stolpe E, Emerg Med J 2005;22:526-8
• So there is classification
of the defects of the Post.
Atlas that we must not forget
Classification of defects of Post. Arch of
C1
Von Torklus and Gehle (1975) reported:
Failure of the posterior midline fusion of the two
hemiarches
Type A
Unilateral cleftType B
Bilateral cleftsType C
Total absence of the post. Arch + Persistent Post. tubercleType D
Total absence of the post. Arch + Absent Post. tubercleType E
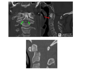
C1 fracture
• Type 1
Stable
Usually occur in the junction of the posterior
arch and the lateral mass
C1 fracture
• Type 2
Burst
Named Jefferson #, has many variations
( 4 , 3 or 2 ) points of fracture in the ring
C1 fracture
Jefferson # , is classified into
Stable unstable
Intact Transverse Lig. Ruptured
Transverse Lig.
Dickman greene & sonttag (1996)
classified the TL injury into
Type 1
Disruption of substance of
the ligament
Type 2
Avulsion from the lateral
mass
C1 fracture
• Type 3
Lateral mass #
Usually occur in one side with line passing
through the articular surface, just Anterior or
posterior to the lateral mass on one side
Different Subtypes types of C1 fracture
Management
• Immobilization
Since 1950
Price now is about 1000 $
Fracture Line
• Union
• Same
• Diastasis
C2 fracture
C2 fracture
Types:
Odontoid #
Hangman #
Miscellnanous #s
Odontoid #
Anderson and D Alonzo classification 1974
Be aware
• Odontoid tip # itself is stable fracture but
it means Alar ligament Avulsion -
Atlanto Occipital Instability
It highly suggest Transverse ligament disruption -
 Atlanto Axial Instability
So, it is very annoying Unstable fracture
Management of Odontoid #
Type 1:
If there is Atlanto Axial instability  surgical
intervention for fusion is necessary
But
If the stability is preserved  Ext. Immobilization
Management of Odontoid #
Type 2:
The main is conservative Except in:
• Age > / = 7 year old with
• Displacement > 5 mm
• Instability at #site in the Halovest
• Nonunion including fibrous union especially if
accompanied with myelopathy
• Disruption of the transverse ligament
Odontoid #
Type 3
Heal with External mobilizaion as
it contains large cancellous surface for fusion
Aim here is to correct the Angulation of displaced
Dens #
Halovest : Fusion rate reach 100%
Rigid collar : fusion rate reach 50 – 70%
for 8 – 14 weeks
Monitoring the pt. with frequent C spine X ray
Hangman #
Described by Schneider et al in 1965
Bilateral # at the Pars interarticularis of C2 +
Traumatic subluxation of C2 on C3
Levine classification 1973
• type I: fracture with <3 mm antero-posterior deviation
• no angular deviation
• type II: fracture with >3 mm antero-posterior deviation
• significant angular deviation
• disruption of posterior longitudinal ligament
• type IIa: the fracture line is horizontal/oblique (instead
of vertical)
• significant angular deviation without anterior translation
• type III: type I with bilateral facet joint dislocation
Anterior displacement
William R. Francis / Bassam El-Effendi
Both graduated in 1973, different universities.
They were also both unaware they studied the
same topic
Their paths crossed in the same edition of a journal
where their studies were published in the same
year
One classification scheme is well-known while the
other is almost completely unheard of for no
apparent reason other than chance for one and
misfortune for the other.
A coinsidence, a chance or a misfortune? Hangman's fracture.
Dalbayrak S1, Yaman O2. Neurol Neurochir Pol. 2014;48(4):305-7.
DisplacementAngulationGrade
d < 3.5 mm< 11I
d < 3.5 mm> 11II
d >3.5 mm and d/b < 0.5< 11III
d >3.5 mm and d/b < 0.5> 11IV
Disc disruption-V
d is displacement
b is C3 body width
Francis grading
system for hangman
fracture
Management
ļ‚§ Managed with External Mobilization in Most
cases.
ļ‚§ Surgical stabilization should be considered:
Severe angulation ( Levaine II, Francis II, IV )
Disc C2, C3 disruption ( Levaine II, Francis V )
Inability to maintain alignment with Ext.
Mobilization.
Miscellaneous fractures
Present 20% of the fractures
Include:
Spinous process
Lamina
Facets
Lateral mass
Vertebral body
Ext. Immobilization
Combined C1 & C2 #s
• Common
• Accompanying C2 injuries
• ttt is based on the nature of the C2 fracture
• External immobilization is recommended
%Injury
40%Type 2 dens fracture
20%Type 3 dens fracture
12%Hangman’s fracture
28%other
Surgical stabilization
• C1 – type II odontoid combination # with d >
5mm.
• C1 – hangman combination # C2-3 angulation
> 11 degree
Be so familial with the Enemy
Take home massage
• The ossification centres of dens that mimic
the fracture lines
• Transverse lig. & Alar lig.s are the most
stabilizing ligaments.
• A ( C ) , B , C , D, …
• Do not wait for neurological deficit if u suspect
C1, C2 injury
• Do not neglect the pediatric traumatized pts.
• The more cancellous surface meet each other,
the more fusion done
Surrounding talks
• Embryology of the Craniovertebral
junction.
• Types of Spinal Cord Injury.
• Vertebral Artery Anatomy and Dissection.
• Surgical Approaches in management of
C1 and C2 fractures.
C1 C2 fractures

C1 C2 fractures

  • 1.
    Cervical Spine Fracture C1– C2 Mohamed Elsayed Elsebaey Neurosurgery Registrar Egypt, Ismailia Ministry of Health Seba3y700025@gmail.com Mohamed E Elsebaey
  • 2.
    Spine fracture • Atlanto-occipital injuries • Atlanto- axial subluxation • Atlas fractures • C2 fractures • Subaxial Fracture • thoracic fractures • thoracolumabar fractures • Sacral fractures
  • 3.
    10 % ofthe Cervical #s resembles C1 # 56% of those C1 are pure ( Isolated ) 44% of those C1 # are Combination 20% of the cervical #s resembles C2 #
  • 7.
  • 8.
  • 11.
    Radiographic Signs ofTrauma Alignment disrupted cervical arcs Focal kyphosis/scoliosis/loss of lordosis Spinous process rotation Vertebral listhesis Cartilage (joint/disc) space facet widening Interspinous widening (ā€œfanningā€) Widened predental space Widened/narrowed disc space
  • 12.
    Bone Integrity fracture/cortical buckling Disruptedposterior vertebral body line Anterior wedging Disrupted C2 ring (ā€œfatā€ C2 sign) Soft Tissue widened prevertebral space Displaced prevertebral ā€œfatā€ strip Vacuum disc phenomenon Deviated airway
  • 18.
  • 19.
    Ligaments Internal • Tectorial membrane •Cruciate membrane • Alar & Apical ligaments External • Ant. & Post. Atlanto occipital membrane • Ant. & Post. Atlanto axial membrane • Articular capsules
  • 23.
    Pathophysiology of injury •Flexion • Flexion rotation • Extension • Extension rotation • Vertical compression • Lateral flexion
  • 24.
    So what willhappen ??? No thing or Injury
  • 25.
    Mechanism of injury •Primary • Compression that can be occurred by bony fragments • Acute spinal cord distraction • Acceleration- Deceleration with shearing • Laceration from penetrating injuries • Secondary • hypoxia and ischemia • Intracelular & extracellular ionic shift • Lipid peroxidation • Free radical production • Excitotoxicity • Neutral protease activation • Prostaglandin production • Apoptosis
  • 26.
    Complain • Neck pain •Loss of function ( moving the head ) • Numbness and weakness • Bowel and bladder dysfunction
  • 27.
    Management • Primary: A,B,C • Secondary: • Local signs: brusing, increased interspinous gap • Search for another spine injury • Priapism & diaphramitic breathing • Warm & well perfused peripharies
  • 28.
    Neurological assessment • Examine •Detect the level • Reflexes • The first reflex to return is the bulbocavernous reflex in over 90% of cases •ASIA
  • 30.
    Neurological Assessment • ASIAlevel can only be determined with accurate three repeated physical exams in 72 hours. • No reliable way of determining the real and exact neurologic injury level at admission. • Great difference in prognosis between complete ( ASIA-A) & Incomplete ( ASIA-B,C,D) • Always give the patient the benefit of doubt.
  • 34.
    Spinal cord injury Complete Anothersession Incomplete Anterior Posterior Central Brown sequard
  • 35.
    Radiological Assessment • Cervical–X- Ray Lateral A-P especially (( Odontoid # type 2 )) Open mouth • CT thin cuts with reconstruction ( sagittal, Coronal ) • MRI
  • 36.
    C1 Reported # C1in boy 6 year old FFH into his vertex, complained with Neck pain, Muscle Spasm, Head tilt Judd DB1, Liem LK, Petermann G, Neurosurgery.2000 Apr,46 (4):991-4
  • 37.
    • Reported congenitaldeficiency of the posterior arch in 16 year old girl that was falling from bicycle Schrodel M H, Braun V, Stolpe E, Emerg Med J 2005;22:526-8 • So there is classification of the defects of the Post. Atlas that we must not forget
  • 38.
    Classification of defectsof Post. Arch of C1 Von Torklus and Gehle (1975) reported: Failure of the posterior midline fusion of the two hemiarches Type A Unilateral cleftType B Bilateral cleftsType C Total absence of the post. Arch + Persistent Post. tubercleType D Total absence of the post. Arch + Absent Post. tubercleType E
  • 39.
    C1 fracture • Type1 Stable Usually occur in the junction of the posterior arch and the lateral mass
  • 40.
    C1 fracture • Type2 Burst Named Jefferson #, has many variations ( 4 , 3 or 2 ) points of fracture in the ring
  • 41.
    C1 fracture Jefferson #, is classified into Stable unstable Intact Transverse Lig. Ruptured Transverse Lig.
  • 42.
    Dickman greene &sonttag (1996) classified the TL injury into Type 1 Disruption of substance of the ligament Type 2 Avulsion from the lateral mass
  • 43.
    C1 fracture • Type3 Lateral mass # Usually occur in one side with line passing through the articular surface, just Anterior or posterior to the lateral mass on one side
  • 44.
  • 45.
  • 46.
    Since 1950 Price nowis about 1000 $
  • 47.
    Fracture Line • Union •Same • Diastasis
  • 48.
  • 49.
  • 50.
    Odontoid # Anderson andD Alonzo classification 1974
  • 51.
    Be aware • Odontoidtip # itself is stable fracture but it means Alar ligament Avulsion - Atlanto Occipital Instability It highly suggest Transverse ligament disruption -  Atlanto Axial Instability So, it is very annoying Unstable fracture
  • 52.
    Management of Odontoid# Type 1: If there is Atlanto Axial instability  surgical intervention for fusion is necessary But If the stability is preserved  Ext. Immobilization
  • 53.
    Management of Odontoid# Type 2: The main is conservative Except in: • Age > / = 7 year old with • Displacement > 5 mm • Instability at #site in the Halovest • Nonunion including fibrous union especially if accompanied with myelopathy • Disruption of the transverse ligament
  • 55.
    Odontoid # Type 3 Healwith External mobilizaion as it contains large cancellous surface for fusion Aim here is to correct the Angulation of displaced Dens # Halovest : Fusion rate reach 100% Rigid collar : fusion rate reach 50 – 70% for 8 – 14 weeks Monitoring the pt. with frequent C spine X ray
  • 56.
    Hangman # Described bySchneider et al in 1965 Bilateral # at the Pars interarticularis of C2 + Traumatic subluxation of C2 on C3
  • 57.
    Levine classification 1973 •type I: fracture with <3 mm antero-posterior deviation • no angular deviation • type II: fracture with >3 mm antero-posterior deviation • significant angular deviation • disruption of posterior longitudinal ligament • type IIa: the fracture line is horizontal/oblique (instead of vertical) • significant angular deviation without anterior translation • type III: type I with bilateral facet joint dislocation
  • 59.
  • 61.
    William R. Francis/ Bassam El-Effendi Both graduated in 1973, different universities. They were also both unaware they studied the same topic Their paths crossed in the same edition of a journal where their studies were published in the same year One classification scheme is well-known while the other is almost completely unheard of for no apparent reason other than chance for one and misfortune for the other. A coinsidence, a chance or a misfortune? Hangman's fracture. Dalbayrak S1, Yaman O2. Neurol Neurochir Pol. 2014;48(4):305-7.
  • 62.
    DisplacementAngulationGrade d < 3.5mm< 11I d < 3.5 mm> 11II d >3.5 mm and d/b < 0.5< 11III d >3.5 mm and d/b < 0.5> 11IV Disc disruption-V d is displacement b is C3 body width Francis grading system for hangman fracture
  • 63.
    Management ļ‚§ Managed withExternal Mobilization in Most cases. ļ‚§ Surgical stabilization should be considered: Severe angulation ( Levaine II, Francis II, IV ) Disc C2, C3 disruption ( Levaine II, Francis V ) Inability to maintain alignment with Ext. Mobilization.
  • 64.
    Miscellaneous fractures Present 20%of the fractures Include: Spinous process Lamina Facets Lateral mass Vertebral body Ext. Immobilization
  • 65.
    Combined C1 &C2 #s • Common • Accompanying C2 injuries • ttt is based on the nature of the C2 fracture • External immobilization is recommended %Injury 40%Type 2 dens fracture 20%Type 3 dens fracture 12%Hangman’s fracture 28%other
  • 66.
    Surgical stabilization • C1– type II odontoid combination # with d > 5mm. • C1 – hangman combination # C2-3 angulation > 11 degree
  • 67.
    Be so familialwith the Enemy
  • 73.
    Take home massage •The ossification centres of dens that mimic the fracture lines • Transverse lig. & Alar lig.s are the most stabilizing ligaments. • A ( C ) , B , C , D, … • Do not wait for neurological deficit if u suspect C1, C2 injury • Do not neglect the pediatric traumatized pts. • The more cancellous surface meet each other, the more fusion done
  • 74.
    Surrounding talks • Embryologyof the Craniovertebral junction. • Types of Spinal Cord Injury. • Vertebral Artery Anatomy and Dissection. • Surgical Approaches in management of C1 and C2 fractures.