Cervical Anatomy


Biomechanically Specialized
 Support of “large” Cranial mass
 Large range of motion
○ Flexion/extension
○ Axial rotation



Unique osteological characteristics
C1 - Atlas
No body
 2 articular pillars


 Flat articular surface
 Vertebral artery

foramen


2 arches
 Anterior
 Posterior
○ Vertebral artery groove
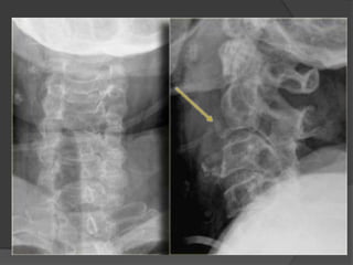
C2 Anatomy


Dens
 Embriological C1 body
 Base poorly vascularized
 Osteoporotic




Flat C1-2 joints
Vertebral artery
foramena
 Inferomedial to

superolateral
Anatomy – The Ligaments



Allow for the wide ROM of upper C-spine while
maintaining stability
Classified according to location with respect to
vertebral canal
 Internal:
○ Tectorial membrane
○ Cruciate ligament – including transverse ligament
○ Alar and apical ligaments
 External
○ Anterior and posterior atlanto-occipital membranes
○ Anterior and posterior atlanto-axial membranes
○ Articular capsules and ligamentum nuchae
AtlantoAxial Anatomy
Tectorial Membrane
AtlantoAxial Anatomy
Tranverse Ligament
occiput

C1-C2 joint

C1
C2

Alar Ligament
AtlantoAxial Anatomy

Facet for
Occipital
Condyle

Transverse
Ligament
AtlantoAxial Anatomy

Vertebral
Artery
APPROACH TO C-SPINE
INJURIES


Following trauma or complaint of neck pain
 Obtain lateral
 AP, and
 odontoid views
 The lateral view is only adequate if T1 can be
visualized



If there is any doubt of fracture or prevertebral
swelling , obtain oblique views and consider CT
All patients with sign/symptoms of cord injury require
MRI


Cervical Views

Odontoid
AP
Swimmer’s View
LATERAL VIEW









1. Anterior vertebral line (anterior
margin of vertebral bodies)
2. Posterior vertebral line
(posterior margin of vertebral
bodies)
3.Articular pillar (where superior
and inferior articular processes of
cervical vertebrae have fused on
either or both sides)
4. Spinolaminar line (posterior
margin of spinal canal)
5. Posterior spinous line (tips of
the spinous processes)
C1-C2


Predental space

(distance between posterior
aspect of anterior arch of C1
and anterior aspect of
odontoid process )


should be< 3mm In adult
and less <5mm in children
Or less
 ring sign of C2
C3-C7


Anterior spinal, posterior spinal and
spinolaminar lines: should be
smooth lines



Disc Spaces should be approximately same
anterior narrowing = flexion injury.
Widening = extension injury



Facet joints should be parallel

Interspinous distance should
decrease from C3 to C7
 Transverse process of C7 points downward and
T1 UPWARDS


INTERVERT
EBRAL
DISC

SPACE
S


Prevertebral Soft
Tissue


Nasopharyngeal space (C1) - 10
mm (adult)



Retropharyngeal spaceC 2-C4 (
between posterior pharyngeal wall
and anterior border of vertebrae).

10m
m



5mm

Retro tracheal space C5-7 (space
between posterior tracheal wall and
anterior inferior body C6 )
c3-4 5mm from vertebral body is normal
C4-7 20mm from vertebral body is normal
22mm
AP View


The height of the cervical
vertebral bodies should
be approximately equal



The height of each joint
space should be roughly
equal at all levels.



Spinous process should
be in midline and in good
alignment.
Odontoid View
An adequate film should include the
entire odontoid and the lateral
borders of C1-C2.
Occipital condyles should line up with
the lateral masses and superior
articular facet of C1.
The distance from the dens to the
lateral masses of C1 should be equal
bilaterally.

The tips of lateral mass of C1 should
line up with the lateral margins of the
superior articular facet of C2.
The odontoid should have
uninterrupted cortical margins
blending with the body of C2.
Classification of
Fractures of c-spine


HYPERFLEXION INJURIES









Hyper extention injuries








Hangman fracture
Extention teardrop fracture
laminar fracture
Pillar fracture
Posterior arch of c1 fracture

FRACTURE DUE TO AXIAL LOADING





Flexion teardrop fracture
Hyper flexion Strain
Wedge Compression fracture
Bilateral facet Lock
Unilateral facet dislocation
Clay-shoveler’s fracture

Jefferson fracture
Burst fracture

OTHER INJURIES



Odontoid fracture
Rotational Injuries
Hyperflexion
 Distraction creates

tensile forces in
posterior column
 Can result in
compression of
body (anterior
column)
 Most commonly
results from MVC
and falls
Compression
 Result from axial

loading
 Commonly from
diving, football,
MVA
 Injury pattern
depends on initial
head position
 May create burst,
wedge or
compression fx’s
Hyperextension
 Impaction of posterior

arches and facet
compression causing many
types of fx’s
○ lamina

○ spinous processes
○ pedicles
 With distraction get

disruption of ALL
 Evaluate carefully for
stability
 LOOK FOR CENTRAL
CORD SYNDROME
Types of Injuries
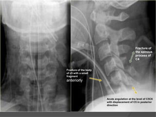
Flexion Teardrop Fracture C5-6
fracture is the result of a combination
of flexion and compression ,most commonly at C5-6
 The teardrop fragment comes from the
anteroinferior aspect of the vertebral body. The
larger posterior part of the vertebral body
is displaced backward into the spinal canal.


Best seen on lateral view
 It is an completely unstable fracture associated with
complete disruption of ligaments and anterior cord
syndrome and quadriplegia
 70% of patients have neurologic deficit.

common in MOTOR VECHICLE ACCIDENT

Signs:
Prevertebral swelling
associated with anterior
longitudinal ligament tear.
Teardrop fragment from
anterior vertebral body
avulsion fracture.
Posterior vertebral body
subluxation into the spinal
canal.
Spinal cord compression
from vertebral body
displacement.
Fracture of the spinous
process.
Fracture of
the spinous
process of
C4

Fracture of the body
of c5 with a small
fragment

anteriorly

Acute angulation at the level of C5C6
with displacement of C5 in posterior
direction
Wedge fracture
 Compression

fracture resulting from

flexion.
Flexion compression injury
 Best seen on lateral view
 Stable
 Common in
 Elderly patients
with osteoporosis or osteogenesis
imperfecta

Wedge shape
vertebra

Antersuperio
r body
fracture
Hangman’s Fracture C-2


Fx through the pars
interarticularis of C2
secondary to
hyperextension



Best seen on lateral
view
Hyperextention injury
Stable fracture ?







The most common scenario
would be
 frontal motor
vehicle(hitting dash
board)
 Hanging
 falls,
 diving injuries
 contact sports.
Neurological involvement is
rare


Classification of Hangman' s fractures



Type I (65%)
 hair-line fracture
 C2-3 disc normal
Type II (28%)
 displaced C2
 disrupted C2-3 disc
 ligamentous rupture with
instability
 C3 anterosuperior compression
fracture
Type III (7%)
 displaced C2
 C2-3 Bilateral interfacet dislocation
 Severe instability




TYPE 1 HANGMAN FRACTURE
There is a hair-line fracture and there is no displacement.
C23 NORMAL


HANGMAN FRACTURE
TYPE 3

Prevertebral soft
tissue swelling

Anterior
dislocation of the
C2 vertebral body

BILATRAL C2 pars
interarticularis
fractures.


The CT-images
confirm the
fracture-lines of
the hangman's
fracture.
They run
through the
pars
interarticularis
resulting in a
traumatic
spondylolysis.
In this case
there was no
neurologic
deficit, because
the spinal canal
is widened at
the level of the
fracture.
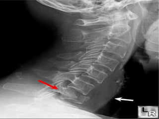
Extention tear drop fracture
AVULSION FRACTURE of anterio inferior content
of the axis resulting from hyperextention
 This injury is






stable in flexion
but highly unstable in extension.

common in diving accidents
 It also may be associated with the central cord
syndrome .

bony
fragment.
This fragment
is a true
avulsion, in
contrast to the
flexion teardrop
fracture in
which the
fragment is
produced by
compression of
the anterior
vertebral
aspect due to
hyperflexion.
Jefferson Fracture C-1
Fracture is caused by a compressive
downward force that is transmitted evenly
through the occipital condyles to the superior
articular surfaces of the lateral masses of C1.
This process displaces the masses laterally and
causes fractures of the anterior and posterior
arches, along with possible disruption of the
transverse ligament.

•
•
•
•

Best seen on odontoid view
Unstable fracture
Fracture due to AXIAL LOADING
frequently associated with
•
diving into shallow water(axial
•
•

blow to the vertex of the head )

impact against the roof of a vehicle
fall from playground equipments
SIGNS ON XRAY:
Displacement of the
lateral masses of
vertebrae C1 beyond the
margins of the body of
vertebra C2.
<2mm bilateral is always
abnormal
<1-2 mm or unilateral
displacement can be due
to head rotation
CT is required to
1. define the extent of fracture
2. detecting fragment in spinal cord
BURST FRACTURE C3-7







Same mechanism as jefferson fracture i.e axial compression
but
Located at c3-7
Stable fracture
The intervertebral disc is driven into the vertebral body below.
Posterior fragments dislocation common
Require ct for fracture evaluation and bone fragment in spinal
cord
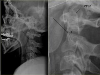
Odontoid Fracture C2


Fracture of the odontoid (dens) of C2
 3 categories, I-III



Best seen on open-mouth odontoid view or lateral radiograph
result from blunt trauma to head leading to cervical hyperflexion or
hyperextension
Unstable fracture
Occur in both elderly and young patients
75% cases are children





Classification

Type I: Avulsion of the tip of
the dens where it is attached
to C1.
This is a rare fracture.
It is potentially stable.?
Type II: Through the base of
the dens.
Most common fracture.
Always unstable and poor
healing.
Type III: Fracture through the
body of the axis and
sometimes facets.
Can be unstable, but has a
better prognosis than type II
due to better healing of the
fracture which runs through
the metaphyseal body of C-2
Type 1 odontoid fracture
Type II
Type III
CT IMAGE
DENS

Dens
The image through the lateral part of C2 nicely shows, that the fracture runs
through the body of C2, i.e. a type III odontoid fracture.
The posterior dura is in a normal position, but the anterior dura is displaced
(arrow).
Showing Central location of spinal cord injury
Clay Shoveler’s Fracture
Oblique avulsion fracture of a spinous process C6-T1
 C7>C6>T1










Best seen on lateral view
Powerful Hyperflexion injury(shoveling)
Stable fracture
Common in
motor vehicle accidents
sudden muscle contraction
direct blows to the spine
Ap view show ghost sign with 2 spinous processes ???
Case 1
5 yo girl
 Hit by car while
riding bike
 VSA at scene
 Vitals recovered
by EMS


Rose et al, Am J Surg 2003;185(4)
Atlanto-Occipital Dislocation







2.5 x more common in
children than adults
Due to small occipital
condyles and horizontal
atlanto-occipital joints
Suspect if distance
between occipital
condyles and C1 is
> 5mm at any point
Usually have ++ soft
tissue swelling
OccipitoAtlantal Dissociation (OAD)
Commonly Fatal
Present 6-20% of post mortem studies
– Alker et al, 1978
– Bucholz & Burkhead,1979
– Adams et al, 1992

50% missed injury rate
1/3 Neurological Worsening
– Davis et al, 1993
OccipitoAtlantal Dissociation (OAD)
Symptoms/Findings
– Wallenberg Syndrome
Lower Cranial nerve deficits
Horner’s syndrome
Cerebellar ataxia
Cruciate paralysis
Contralateral loss of pain and
temperature
Radiographic Lines
Powers’ Ratio


BC/OA
 >1 considered abnormal





Limited Usefulness
Positive only in Anterior
Translational injuries
False Negative with pure
distraction

Powers et al, Neurosurg, 1979
QUESTIONS
REFERRENCES
Text Book of Radiology and imaging
(DAVID SUTTON)
 Primer of Diagnostic Imaging
 Radiology Review Manual(Dahnert)

Thank You!

Cervical spine fractures muhamma

  • 2.
    Cervical Anatomy  Biomechanically Specialized Support of “large” Cranial mass  Large range of motion ○ Flexion/extension ○ Axial rotation  Unique osteological characteristics
  • 3.
    C1 - Atlas Nobody  2 articular pillars   Flat articular surface  Vertebral artery foramen  2 arches  Anterior  Posterior ○ Vertebral artery groove
  • 4.
    C2 Anatomy  Dens  EmbriologicalC1 body  Base poorly vascularized  Osteoporotic   Flat C1-2 joints Vertebral artery foramena  Inferomedial to superolateral
  • 5.
    Anatomy – TheLigaments   Allow for the wide ROM of upper C-spine while maintaining stability Classified according to location with respect to vertebral canal  Internal: ○ Tectorial membrane ○ Cruciate ligament – including transverse ligament ○ Alar and apical ligaments  External ○ Anterior and posterior atlanto-occipital membranes ○ Anterior and posterior atlanto-axial membranes ○ Articular capsules and ligamentum nuchae
  • 6.
  • 7.
  • 8.
  • 9.
  • 10.
    APPROACH TO C-SPINE INJURIES  Followingtrauma or complaint of neck pain  Obtain lateral  AP, and  odontoid views  The lateral view is only adequate if T1 can be visualized  If there is any doubt of fracture or prevertebral swelling , obtain oblique views and consider CT All patients with sign/symptoms of cord injury require MRI 
  • 11.
  • 12.
  • 13.
    LATERAL VIEW      1. Anteriorvertebral line (anterior margin of vertebral bodies) 2. Posterior vertebral line (posterior margin of vertebral bodies) 3.Articular pillar (where superior and inferior articular processes of cervical vertebrae have fused on either or both sides) 4. Spinolaminar line (posterior margin of spinal canal) 5. Posterior spinous line (tips of the spinous processes)
  • 14.
    C1-C2  Predental space (distance betweenposterior aspect of anterior arch of C1 and anterior aspect of odontoid process )  should be< 3mm In adult and less <5mm in children Or less  ring sign of C2
  • 15.
    C3-C7  Anterior spinal, posteriorspinal and spinolaminar lines: should be smooth lines  Disc Spaces should be approximately same anterior narrowing = flexion injury. Widening = extension injury  Facet joints should be parallel Interspinous distance should decrease from C3 to C7  Transverse process of C7 points downward and T1 UPWARDS  INTERVERT EBRAL DISC SPACE S
  • 16.
     Prevertebral Soft Tissue  Nasopharyngeal space(C1) - 10 mm (adult)  Retropharyngeal spaceC 2-C4 ( between posterior pharyngeal wall and anterior border of vertebrae). 10m m  5mm Retro tracheal space C5-7 (space between posterior tracheal wall and anterior inferior body C6 ) c3-4 5mm from vertebral body is normal C4-7 20mm from vertebral body is normal 22mm
  • 18.
    AP View  The heightof the cervical vertebral bodies should be approximately equal  The height of each joint space should be roughly equal at all levels.  Spinous process should be in midline and in good alignment.
  • 19.
    Odontoid View An adequatefilm should include the entire odontoid and the lateral borders of C1-C2. Occipital condyles should line up with the lateral masses and superior articular facet of C1. The distance from the dens to the lateral masses of C1 should be equal bilaterally. The tips of lateral mass of C1 should line up with the lateral margins of the superior articular facet of C2. The odontoid should have uninterrupted cortical margins blending with the body of C2.
  • 20.
    Classification of Fractures ofc-spine  HYPERFLEXION INJURIES        Hyper extention injuries       Hangman fracture Extention teardrop fracture laminar fracture Pillar fracture Posterior arch of c1 fracture FRACTURE DUE TO AXIAL LOADING    Flexion teardrop fracture Hyper flexion Strain Wedge Compression fracture Bilateral facet Lock Unilateral facet dislocation Clay-shoveler’s fracture Jefferson fracture Burst fracture OTHER INJURIES   Odontoid fracture Rotational Injuries
  • 21.
    Hyperflexion  Distraction creates tensileforces in posterior column  Can result in compression of body (anterior column)  Most commonly results from MVC and falls
  • 22.
    Compression  Result fromaxial loading  Commonly from diving, football, MVA  Injury pattern depends on initial head position  May create burst, wedge or compression fx’s
  • 23.
    Hyperextension  Impaction ofposterior arches and facet compression causing many types of fx’s ○ lamina ○ spinous processes ○ pedicles  With distraction get disruption of ALL  Evaluate carefully for stability  LOOK FOR CENTRAL CORD SYNDROME
  • 24.
  • 25.
    Flexion Teardrop FractureC5-6 fracture is the result of a combination of flexion and compression ,most commonly at C5-6  The teardrop fragment comes from the anteroinferior aspect of the vertebral body. The larger posterior part of the vertebral body is displaced backward into the spinal canal.  Best seen on lateral view  It is an completely unstable fracture associated with complete disruption of ligaments and anterior cord syndrome and quadriplegia  70% of patients have neurologic deficit.  common in MOTOR VECHICLE ACCIDENT 
  • 26.
    Signs: Prevertebral swelling associated withanterior longitudinal ligament tear. Teardrop fragment from anterior vertebral body avulsion fracture. Posterior vertebral body subluxation into the spinal canal. Spinal cord compression from vertebral body displacement. Fracture of the spinous process.
  • 27.
    Fracture of the spinous processof C4 Fracture of the body of c5 with a small fragment anteriorly Acute angulation at the level of C5C6 with displacement of C5 in posterior direction
  • 32.
    Wedge fracture  Compression fractureresulting from flexion. Flexion compression injury  Best seen on lateral view  Stable  Common in  Elderly patients with osteoporosis or osteogenesis imperfecta 
  • 34.
  • 35.
    Hangman’s Fracture C-2  Fxthrough the pars interarticularis of C2 secondary to hyperextension  Best seen on lateral view Hyperextention injury Stable fracture ?  
  • 38.
      The most commonscenario would be  frontal motor vehicle(hitting dash board)  Hanging  falls,  diving injuries  contact sports. Neurological involvement is rare
  • 40.
     Classification of Hangman's fractures  Type I (65%)  hair-line fracture  C2-3 disc normal Type II (28%)  displaced C2  disrupted C2-3 disc  ligamentous rupture with instability  C3 anterosuperior compression fracture Type III (7%)  displaced C2  C2-3 Bilateral interfacet dislocation  Severe instability  
  • 41.
    TYPE 1 HANGMANFRACTURE There is a hair-line fracture and there is no displacement. C23 NORMAL
  • 42.
     HANGMAN FRACTURE TYPE 3 Prevertebralsoft tissue swelling Anterior dislocation of the C2 vertebral body BILATRAL C2 pars interarticularis fractures.
  • 43.
     The CT-images confirm the fracture-linesof the hangman's fracture. They run through the pars interarticularis resulting in a traumatic spondylolysis. In this case there was no neurologic deficit, because the spinal canal is widened at the level of the fracture.
  • 45.
    Extention tear dropfracture AVULSION FRACTURE of anterio inferior content of the axis resulting from hyperextention  This injury is    stable in flexion but highly unstable in extension. common in diving accidents  It also may be associated with the central cord syndrome . 
  • 48.
    bony fragment. This fragment is atrue avulsion, in contrast to the flexion teardrop fracture in which the fragment is produced by compression of the anterior vertebral aspect due to hyperflexion.
  • 49.
    Jefferson Fracture C-1 Fractureis caused by a compressive downward force that is transmitted evenly through the occipital condyles to the superior articular surfaces of the lateral masses of C1. This process displaces the masses laterally and causes fractures of the anterior and posterior arches, along with possible disruption of the transverse ligament. • • • • Best seen on odontoid view Unstable fracture Fracture due to AXIAL LOADING frequently associated with • diving into shallow water(axial • • blow to the vertex of the head ) impact against the roof of a vehicle fall from playground equipments
  • 50.
    SIGNS ON XRAY: Displacementof the lateral masses of vertebrae C1 beyond the margins of the body of vertebra C2. <2mm bilateral is always abnormal <1-2 mm or unilateral displacement can be due to head rotation
  • 51.
    CT is requiredto 1. define the extent of fracture 2. detecting fragment in spinal cord
  • 52.
    BURST FRACTURE C3-7       Samemechanism as jefferson fracture i.e axial compression but Located at c3-7 Stable fracture The intervertebral disc is driven into the vertebral body below. Posterior fragments dislocation common Require ct for fracture evaluation and bone fragment in spinal cord
  • 55.
    Odontoid Fracture C2  Fractureof the odontoid (dens) of C2  3 categories, I-III  Best seen on open-mouth odontoid view or lateral radiograph result from blunt trauma to head leading to cervical hyperflexion or hyperextension Unstable fracture Occur in both elderly and young patients 75% cases are children    
  • 56.
    Classification Type I: Avulsionof the tip of the dens where it is attached to C1. This is a rare fracture. It is potentially stable.? Type II: Through the base of the dens. Most common fracture. Always unstable and poor healing. Type III: Fracture through the body of the axis and sometimes facets. Can be unstable, but has a better prognosis than type II due to better healing of the fracture which runs through the metaphyseal body of C-2
  • 57.
  • 58.
  • 59.
  • 60.
  • 61.
  • 62.
    The image throughthe lateral part of C2 nicely shows, that the fracture runs through the body of C2, i.e. a type III odontoid fracture. The posterior dura is in a normal position, but the anterior dura is displaced (arrow).
  • 63.
    Showing Central locationof spinal cord injury
  • 64.
    Clay Shoveler’s Fracture Obliqueavulsion fracture of a spinous process C6-T1  C7>C6>T1         Best seen on lateral view Powerful Hyperflexion injury(shoveling) Stable fracture Common in motor vehicle accidents sudden muscle contraction direct blows to the spine
  • 66.
    Ap view showghost sign with 2 spinous processes ???
  • 67.
    Case 1 5 yogirl  Hit by car while riding bike  VSA at scene  Vitals recovered by EMS  Rose et al, Am J Surg 2003;185(4)
  • 68.
    Atlanto-Occipital Dislocation     2.5 xmore common in children than adults Due to small occipital condyles and horizontal atlanto-occipital joints Suspect if distance between occipital condyles and C1 is > 5mm at any point Usually have ++ soft tissue swelling
  • 69.
    OccipitoAtlantal Dissociation (OAD) CommonlyFatal Present 6-20% of post mortem studies – Alker et al, 1978 – Bucholz & Burkhead,1979 – Adams et al, 1992 50% missed injury rate 1/3 Neurological Worsening – Davis et al, 1993
  • 70.
    OccipitoAtlantal Dissociation (OAD) Symptoms/Findings –Wallenberg Syndrome Lower Cranial nerve deficits Horner’s syndrome Cerebellar ataxia Cruciate paralysis Contralateral loss of pain and temperature
  • 71.
    Radiographic Lines Powers’ Ratio  BC/OA >1 considered abnormal    Limited Usefulness Positive only in Anterior Translational injuries False Negative with pure distraction Powers et al, Neurosurg, 1979
  • 72.
  • 73.
    REFERRENCES Text Book ofRadiology and imaging (DAVID SUTTON)  Primer of Diagnostic Imaging  Radiology Review Manual(Dahnert) 
  • 74.

Editor's Notes

  • #45 displaced C2C2-3 Bilateral interfacet dislocationSevere instability
  • #48 It also may be associated with the central cord syndrome due to buckling of the ligamenta flava into spinal canal during the hyperextension phase of injury
  • #51 The CT confirms the displaced anteroinferior bony fragment. This fragment is a true avulsion, in contrast to the flexion teardrop fracture in which the fragment is produced by compression of the anterior vertebral aspect due to hyperflexion.
  • #54 V can c the displacement of lateral masses of c1
  • #56    Soft tissue swelling can be recognized by an increase in the prevertebral soft tissue of greater than ½ the AP diameter of the C3 vertebral body at C3 or greater than the full AP diameter of the cervical vertebral body at C6
  • #58 Frequent in children due to the relatively large head-to-spine ratio.
  • #59 Type 2 poor healing cuz fracture is above the accessory ligament and vascular supply
  • #60 AVULSION OF TIP OF DENS
  • #64 racture through the base of the dens.Prevertebral soft tissue swelling.Rupture of C1C2 interspinous ligamentNo visualisation of lower C-spine
  • #69 Ap view show ghost sign with 2 spinous processes ???