Tumors around knee Dr Zameer AliOrthopaedicsSt Stephens hospital1
GENERAL APPROACH TO MUSCULOSKELETAL NEOPLASMS 2
bone tumourThe term bone tumour  is a broad term used for  benign and malignant  neoplasm's as well as tumour like conditions Metastatic deposits in bone are commoner than primary bone tumours Multiple myeloma being commonest primary malignant  bone tumour 3
Osteochondroma being commonest  benign tumour of bone 4
The accurate diagnosis of tumour is must before planning for surgical intervention5
Differences between benign and malignant neoplasmsbenign1 Slow growing2  well circumscribed3 non invading4 no or few symptoms5 does not metastasize 6 X ray shows lesion confined to bone malignantRapidly growing2 not well circumscribed3 invading4 associated with pain and disability5 metastasize6 x ray shows ill defined borders ,mottled appearance .cortex  broken6
Classification of bone tumors Classification of bone tumors Bone forming tumorsbenignOsteod  osteoma,  osteoma, osteoblastoma,Malignant osteosarcomaCartilage forming tumorsBenign Osteochondroma,chondroblastoma,chondromyxoid fibroma,enchondroma7
Classification of bone tumorsMalignant ChondrosarcomaGiant cell tumoursBenign/intermediate and  malignant Marrow tumours Ewing's tumourPlasma cytoma, multiple myeloma  ,lymphoma8
Vascular tumours haemangioma ,glomangioma  Malignant  angiosarcoma Others Neurolemmoma ,neurofibroma,9
 Malignant malignant fibrous histocytoma ,liposarcoma.undifferentiated sarcoma10
Tumor like conditionsBone cyst  (ABC, or simple bone cyst)Fibrous dysplasia mono or polystoticReprative giant cell granulomaepulisFibrous cortical defect EosinophilicgranulomaSynovial tumours Synovioma11
Malignant  synovial cell sarcoma 12
Approach to patient with bone tumourAn adequate history and physical examination are the first and most important steps in evaluating a patient with a musculoskeletal tumor13
Approach to patient with bone tumourPatients may present to the orthopaedic oncologist with pain, a mass, or with an abnormal radiographic finding detected during the evaluation of an unrelated problem14
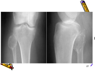
51 year old lady  c/o knee apin15
patients with soft tissue tumors rarely complain of pain but more often complain of a mass. Exceptions to this rule are patients with nerve sheath tumors who have pain or neurological signs. 16
some tumors demonstrate a sex predilection (e.g., female predominance with giant cell tumors), . Race likewise is of little significance with the exception that Ewing sarcoma is exceedingly rare in people of African descent.17
The physical examination should include evaluation of the patient's general health, as well as a careful examination of the part in question. A mass should be measured, and its location, shape, consistency, mobility, tenderness, local temperature, and change with position should be noted18
Atrophy of the surrounding musculature should be recorded, as well as neurological deficits and adequacy of circulation. Café au lait spots or cutaneous hemangiomas also may provide diagnostic clues19
  Potential sites of lymph node metastases should be palpated. Although lymph node metastases are rare with most sarcomas, they often are present with rhabdomyosarcomas, epithelioid sarcomas, and synovial sarcomas. 20
21
22
23
. Even if a specific diagnosis cannot be made, the aggressiveness of the lesion, and whether it is likely to be benign or malignant, usually can be determined by careful evaluation of the plain films. 24
Inactive lesions usually are well marginated, often with a surrounding rim of reactive bone formation.25
. Aggressive lesions usually have a less well-defined zone of transition between the lesion and the host bone. Cortical expansion can be seen with aggressive benign lesions, but frank cortical destruction usually is a sign of malignancy26
27
Periosteal reactive new bone formation results when the tumor destroys cortex and may take the form of a Codman's triangle, "onion-skinning," or a "sunburst" pattern. It usually is a sign of malignancy but may be present with infection or histiocytosis.28
Plain roentgenograms are less helpful for soft tissue lesions but nevertheless should be obtained in all patients because some useful information can be obtained, such as the presence of myositis ossificans, phleboliths in a hemangioma, calcification in a synovial sarcoma, or a fat density with a lipoma29
Computed tomography (CT) is most helpful in assessing ossification and calcification and in evaluating the integrity of the cortex. 30
It also is the best imaging study to localize the nidus of an osteoid osteoma, to detect a thin rim of reactive bone around an aneurysmal bone cyst, to evaluate calcification in a suspected cartilaginous lesion, and to evaluate endosteal cortical erosion in a suspected chondrosarcoma31
Technetium bone scansTechnetium bone scans are indicated to detect skeletal metastases and to determine the presence of multiple lesions in such entities as osteochondroma, enchondroma, fibrous dysplasia, and histiocytosis. Bone scans frequently are falsely negative in multiple myeloma.32
33
With the exception of myeloma, however, virtually all malignant neoplasms of bone demonstrate increased uptake on technetium bone scans34
. A normal bone scan is therefore very reassuring; however, the converse statement is not true because most benign lesions of bone also demonstrate increased uptake35
Magnetic resonance imaging (MRI) has replaced CT as the study of choice to determine the size, extent, and anatomical relationships of both bone and soft tissue tumors. It is the most accurate technique for determining the limits of disease both within and outside bone.36
. MRI may yield a specific diagnosis with tumors such as lipoma, hemangioma, hematoma, or pigmented villonodular synovitis, all of which have very characteristic appearances37
With regard to most neoplasms, however, the MRI appearance is nonspecific. Likewise, MRI is not very useful in differentiating benign from malignant lesions38
. In general, however, any soft tissue neoplasm deep to the fascia or larger than 5 cm in its greatest dimension should be considered highly likely to be a sarcoma39
Ultrasonography is useful for distinguishing cystic from solid soft tissue lesions but otherwise offers little information40
Angiography, which previously was used to determine the relationship of a neoplasm to the vessels, has been supplanted by MRI. However, angiography still is useful to rule out nonneoplastic conditions, such as pseudoaneurysms or arteriovenous malformations, and for preoperative embolization of highly vascular lesions, such as renal cell carcinoma and aneurysmal bone cysts.41
Gallium scans are the most sensitive tests for locating nonpulmonary metastases but are no longer routinely used by most centers for the evaluation of musculoskeletal neoplasms.42
Pet scanPositron emission tomography, although still considered investigational in the field of musculoskeletal oncology, may prove useful in evaluating the response to chemotherapy and helping to direct subsequent treatment. 43
Blood investigationsBlood and urine tests rarely lead to a diagnosis but can be useful in selected situations.44
Risk of wound-healing problems and infection have been shown to be significantly greater in patients whose serum albumin is less than 3.5 g/dl or whose total lymphocyte count is less than 1500/ml.45
A complete blood count may be helpful to rule out infection and leukemia. The erythrocyte sedimentation rate usually is elevated in infection, metastatic carcinoma, AND SMALL "BLUE CELL" tumors such as Ewing sarcoma, lymphoma, leukemia, and histiocytosis46
. A serum protein electrophoresis should be ordered if multiple myeloma is part of the differential diagnosis.47
Blood urea nitrogen and creatinine may be elevated with renal tumors, and a urinalysis may reveal hematuria in this setting.. 48
Brown tumors of hyperparathyroidism can sometimes look like giant cell tumors and can be evaluated with serum calcium and parathyroid hormone levels. 49
Finally, Paget's disease may be in the differential diagnosis and can be evaluated by serum alkaline phosphatase and urinary pyridinium cross-links50
Biopsy?Musculoskeletal neoplasms should be completely evaluated before biopsy is done. 51
The differential diagnosis, extent of the lesion, and potential resect ability of the lesion can affect the type of biopsy, the placement of the biopsy incision, and the pathological management of the tissue obtained52
. A complete workup helps to narrow the differential diagnosis and to bring about a more accurate pathological diagnosis. Finally, tests, such as an MRI or bone scan, can be adversely affected by postoperative changes in the tissues.53
Both bone and soft tissue neoplasms suspected of being malignant therefore should be evaluated with roentgenograms of the involved limb, as well as a chest roentgenogram to evaluate possible metastases.54
An MRI of the lesion delineates the extent of the lesion in the bone, as well as soft tissue involvement and the relationship to other anatomical structures. 55
A bone scan should be obtained to detect any other areas of skeletal involvement, and a CT scan of the chest should be obtained to rule out metastases. Other tests may be added to this minimum basic workup as indicated. 56
Staging of tumour  ENNEKING  STAGINGEnneking and others have demonstrated the desirability of staging both benign and malignant musculoskeletal tumors to aid in treatment decision making and to allow meaningful comparisons of treatment methods. 57
Both benign and malignant tumors of bone and soft tissue can be staged according to the Enneking staging system The stages of benign tumors are designated by Arabic numbers and malignant tumors are designated by Roman numerals. 58
59
Stage 1 lesionsStage 1 lesions are intracapsular, usually asymptomatic, and frequently incidental findings. Roentgenographic features include a well-defined margin with a thick rim of reactive bone. There is no cortical destruction or expansion. 60
Stage 1 lesionsThese lesions do not require treatment because they do not compromise the strength of the bone and usually resolve spontaneously. An example is a small asymptomatic nonossifying fibroma61
STAGE 2Stage 2 lesions also are intracapsular but are actively growing and therefore can cause symptoms or lead to pathological fracture. They have well-defined margins on roentgenograms but may expand and thin the cortex. 62
STAGE 2Usually they have only a very thin rim of reactive bone. Treatment usually consists of extended curettage. Stage 3 lesions are extracapsular.63
Stage 3 lesions are extracapsular. Their aggressive nature is apparent both clinically and radio graphically. They usually have broken through the reactive bone and possibly the cortex. 64
STAGE  3MRI may demonstrate a soft tissue mass, and metastases may be present in up to 5% of patients with these lesions. Treatment consists of extended curettage and marginal or even wide resection, and local recurrences are common. 65
Musculoskeletal sarcomas also can be staged according to the surgical staging system as described by Enneking et al.66
The system is based on the histological grade of the tumor, its local extent, and the presence or absence of metastases. Low-grade lesions are designated as stage I. 67
   These lesions are well-differentiated, have few   mitoses, and exhibit only moderate cytological atypiaThe risk for metastases is low (<25%).68
High-grade lesions are designated as stage II. They are poorly differentiated with a high mitotic rate and a high cell/matrix ratio. Stages I and II lesions are subdivided according to the extent of local growth.69
Stages IA and IIA lesions are contained within well-defined anatomical compartments. Anatomical compartments are determined by the natural anatomical barriers to tumor growth such as cortical bone, articular cartilage, fascial septa, or joint capsules70
Stages IB and IIB lesions extend beyond the compartment of origin. Stage III refers to any lesion that has metastasized regardless of the size or grade of the primary tumor. 71
No distinction is made between lymph node metastases or distant metastases because both circumstances are associated with an equally poor prognosis.72
73
The AJCC staging system for soft tissue sarcomas is based on prognostic variables, including tumor grade (low or high), size (≤5 cm or >5 cm in greatest dimension), depth (superficial or deep to the fascia), and the presence of metastases. 74
Stage I-A tumors are low-grade and small regardless of depth75
Stage I-B tumors are low-grade, large, and superficial. Stage II-A tumors are low-grade, large, and deep. Stage II-B tumors are high-grade and small regardless of depth. 76
Stage II-C tumors are high-grade, large, and superficial. Stage III tumors are high-grade, large, and deep. Stage IV tumors are those associated with metastases (including local lymph nodes) regardless of grade, size, or depth.77
78
BIOPSY A biopsy should be planned as carefully as the definitive procedure. Biopsy should be done only after clinical, laboratory, and roentgenographic examinations are complete79
completion of the evaluation before biopsy will aid in planning the placement of the biopsy incision, will help provide more information leading to a more accurate pathological diagnosis, and will avoid artifacts on imaging studies80
Regardless of whether a needle biopsy or an open biopsy is done, the biopsy track should be considered contaminated with tumor cells. 81
Placement of the biopsy therefore is a crucial decision because the biopsy track will need to be excised en bloc with the tumor.. 82
If a tourniquet is used, the limb may be elevated before 83
Care should be taken to contaminate as little tissue as possible. Transverse incisions should be avoided because they are extremely difficult or impossible to excise with the specimen..84
Major neurovascular structures should be avoided. Soft tissue extension of a bone lesion should be sampled85
. If a hole must be made in the bone, it should be round or oval to minimize stress concentration and prevent a subsequent fracture, which could preclude limb salvage surgery86
87
51 year old lady  c/o knee pain88
T1 weighted MRI revealed lesion within fibula and no breaching of cortex89
Primary resection was done without biopsy 90
This treatment strategy allowed for wide marginal excision without contamination of common peroneal nerve Lesion proved to be low grade  chondro sarcoma 91
92
The goal of treatment in a patient with a primary malignancy of the musculoskeletal system is to make the patient free of disease93
. The goal of treatment of a patient with metastatic carcinoma to bone is to minimize pain and to preserve function94
In either circumstance, the optimal treatment of the tumor often requires a combination of radiation therapy, chemotherapy, And/or  surgery.95
Radiation therapyRadiation causes cell death by inducing the formation of intracellular free radicals that subsequently cause DNA damage. The sensitivity of a cell to radiation depends on several factors including (1) the cell's position in the cell cycle (actively mitotic cells are most sensitive96
 (2) tissue oxygenation (local hypoxia provides a protective effect because oxygen free radicals cannot be formed in hypoxic tissue), and (3) the cell's ability to repair DNA damage or its inability to undergo apoptosis (programmed cell death) in response to this damage. 97
Most primary bone malignancies are relatively radioresistantExceptions are the marrow cell tumors including multiple myeloma, lymphoma, and Ewing sarcoma, which are each exquisitely sensitive. Carcinoma metastatic to bone also is frequently sensitive to radiation treatment98
chemotherapyBefore the routine use of chemotherapy for osteosarcoma, patients usually were treated with immediate wide or radical amputation upon diagnosis. This approach usually treated the local disease adequately99
Nevertheless, 80% of patients eventually died of metastatic disease even if metastasis was not evident at presentation. 80% of patients with apparently localized osteosarcoma actually have undetectable metastases, or "micro metastases," upon presentation.100
The role of chemotherapy is less well defined for adult soft tissue malignancies, with most investigations showing very modest improvements in outcome   In general, chemotherapy is not useful for cartilaginous lesions and most other low-grade malignancies. 101
Adjuvant" chemotherapy refers to chemotherapy administered postoperatively to treat presumed micrometastasesNeoadjuvant" chemotherapy refers to chemotherapy administered before surgical resection of the primary tumor102
No study has proved a survival advantage with regard to the timing of chemotherapy; however, multiple authors have cited several theoretic advantages of neoadjuvant chemotherapy over adjuvant chemotherapy.103
Malawar et al., 9 of 12In a study by Malawar et al., 9 of 12 lesions that initially were deemed unresectable were later treated with limb salvage surgery after chemotherapy induced tumor regression. 104
Principles of surgery amputation/salvagepreoperative radiation therapy for soft tissue sarcomas and neoadjuvant chemotherapy for bone sarcomas have helped surgeons to successfully resect some tumors that in the past would have been deemed unresectable105
, involvement of neurovascular structures, a displaced pathological fracture, or complications secondary to a poorly performed biopsy preclude the possibility of limb salvage106
. More often, however, the choice between limb salvage and amputation must be made on the basis of the expectations and desires of the individual patient and the family107
Simon described four issues that must be considered whenever contemplating limb salvage instead of an amputation: Will survival be affected by the treatment choice? How do the short-term and long-term morbidity compare? 108
How will the function of a salvaged limb compare to that of a prosthesis? Are there any psychosocial consequences? 109
While local recurrence is associated with an extremely poor prognosis, no study has proved any one of surgical techniques (i.e., limb salvage, Tran femoral amputation, hip disarticulation) to be superior in terms of survival provided that wide surgical margins are obtained.110
Amputation for malignancy can be technically demanding111
Complications include infection, wound dehiscence, a chronically painful limb, phantom limb pain, and appositional bone overgrowth requiring revision surgery112
. Limb salvage, however, is associated with greater perioperative and long-term morbidity when compared with amputation. Limb salvage requires a much more extensive surgical procedure with greater risks for infection, wound dehiscence, flap necrosis, blood loss, and deep venous thrombosis113
Treatment for sarcomas around the knee must be individualized. 114
Most patients with osteosarcoma around the knee are treated with one of three surgical procedures—wide resection with prosthetic knee replacement (or allograft-prosthesis composite), wide resection with allograft arthrodesis, or transfemoral amputation115
no study has shown a significant difference between amputation and limb salvage with regard to psychologic outcome or quality of life in long-term sarcoma survivors116
  decision of limb salvage versus amputation involves more than the question of whether the lesion can be resected with wide margins. 117
The patient ultimately must make the final decision in light of long-term goals and lifestyle decisions118
MARGINS the surgical margin is described by one of four terms—intralesional, marginal, wide, or radical.119
Both amputations and limb-sparing resections may be associated with any one of the four types of margins, and therefore the margin must be specifically defined with each procedure120
121
An intralesional margin is one in which the plane of surgical dissection is within the tumor. 122
The surrounding reactive tissue around tumour is  referred to as the pseudocapsule.A marginal margin is achieved when the closest plane of dissection passes through the pseudocapsule123
This type of margin usually is adequate to treat most benign lesions and some low-grade malignancies. In high-grade malignancy, however, the pseudocapsule often contains microscopic foci of disease, or "satellite" lesions.124
Wide margins are achieved when the plane of dissection is in normal tissueAlthough not always possible to achieve, wide margins are the goal of most procedures for high-grade malignancies.125
Radical margins are achieved when all the compartments that contain tumor are removed en blocfrom an oncological standpoint there are eight different surgical procedures126
127
CURETTAGEMany benign bone tumors are adequately treated by curettage. Compared with resection, curettage is associated with a higher rate of local recurrence; however, curettage often allows for a better functional result128
Extended" curettage includes the use of adjuvants, such as liquid nitrogen, phenol, PMMA, or thermal cautery to extend destruction of tumor cells. 129
Multiple authors have reported greatly reduced recurrence rates of aggressive tumors with the use of adjuvants130
, Incision enlarged to expose entire tumor. Bulk of tumor removed with large curet131
Tumor cavity enlarged in all directions with power burr. Note that window in bone is as large as tumor132
Walls of cavity treated with argon beam coagulator133
Large Steinmann pins contoured along joint surface and placed in cavity to add support.134
                                      Thank you…..135

Tumors around knee

  • 1.
    Tumors around kneeDr Zameer AliOrthopaedicsSt Stephens hospital1
  • 2.
    GENERAL APPROACH TOMUSCULOSKELETAL NEOPLASMS 2
  • 3.
    bone tumourThe termbone tumour is a broad term used for benign and malignant neoplasm's as well as tumour like conditions Metastatic deposits in bone are commoner than primary bone tumours Multiple myeloma being commonest primary malignant bone tumour 3
  • 4.
    Osteochondroma being commonest benign tumour of bone 4
  • 5.
    The accurate diagnosisof tumour is must before planning for surgical intervention5
  • 6.
    Differences between benignand malignant neoplasmsbenign1 Slow growing2 well circumscribed3 non invading4 no or few symptoms5 does not metastasize 6 X ray shows lesion confined to bone malignantRapidly growing2 not well circumscribed3 invading4 associated with pain and disability5 metastasize6 x ray shows ill defined borders ,mottled appearance .cortex broken6
  • 7.
    Classification of bonetumors Classification of bone tumors Bone forming tumorsbenignOsteod osteoma, osteoma, osteoblastoma,Malignant osteosarcomaCartilage forming tumorsBenign Osteochondroma,chondroblastoma,chondromyxoid fibroma,enchondroma7
  • 8.
    Classification of bonetumorsMalignant ChondrosarcomaGiant cell tumoursBenign/intermediate and malignant Marrow tumours Ewing's tumourPlasma cytoma, multiple myeloma ,lymphoma8
  • 9.
    Vascular tumours haemangioma,glomangioma Malignant angiosarcoma Others Neurolemmoma ,neurofibroma,9
  • 10.
    Malignant malignantfibrous histocytoma ,liposarcoma.undifferentiated sarcoma10
  • 11.
    Tumor like conditionsBonecyst (ABC, or simple bone cyst)Fibrous dysplasia mono or polystoticReprative giant cell granulomaepulisFibrous cortical defect EosinophilicgranulomaSynovial tumours Synovioma11
  • 12.
    Malignant synovialcell sarcoma 12
  • 13.
    Approach to patientwith bone tumourAn adequate history and physical examination are the first and most important steps in evaluating a patient with a musculoskeletal tumor13
  • 14.
    Approach to patientwith bone tumourPatients may present to the orthopaedic oncologist with pain, a mass, or with an abnormal radiographic finding detected during the evaluation of an unrelated problem14
  • 15.
    51 year oldlady c/o knee apin15
  • 16.
    patients with softtissue tumors rarely complain of pain but more often complain of a mass. Exceptions to this rule are patients with nerve sheath tumors who have pain or neurological signs. 16
  • 17.
    some tumors demonstratea sex predilection (e.g., female predominance with giant cell tumors), . Race likewise is of little significance with the exception that Ewing sarcoma is exceedingly rare in people of African descent.17
  • 18.
    The physical examinationshould include evaluation of the patient's general health, as well as a careful examination of the part in question. A mass should be measured, and its location, shape, consistency, mobility, tenderness, local temperature, and change with position should be noted18
  • 19.
    Atrophy of thesurrounding musculature should be recorded, as well as neurological deficits and adequacy of circulation. Café au lait spots or cutaneous hemangiomas also may provide diagnostic clues19
  • 20.
    Potentialsites of lymph node metastases should be palpated. Although lymph node metastases are rare with most sarcomas, they often are present with rhabdomyosarcomas, epithelioid sarcomas, and synovial sarcomas. 20
  • 21.
  • 22.
  • 23.
  • 24.
    . Even ifa specific diagnosis cannot be made, the aggressiveness of the lesion, and whether it is likely to be benign or malignant, usually can be determined by careful evaluation of the plain films. 24
  • 25.
    Inactive lesions usuallyare well marginated, often with a surrounding rim of reactive bone formation.25
  • 26.
    . Aggressive lesionsusually have a less well-defined zone of transition between the lesion and the host bone. Cortical expansion can be seen with aggressive benign lesions, but frank cortical destruction usually is a sign of malignancy26
  • 27.
  • 28.
    Periosteal reactive newbone formation results when the tumor destroys cortex and may take the form of a Codman's triangle, "onion-skinning," or a "sunburst" pattern. It usually is a sign of malignancy but may be present with infection or histiocytosis.28
  • 29.
    Plain roentgenograms areless helpful for soft tissue lesions but nevertheless should be obtained in all patients because some useful information can be obtained, such as the presence of myositis ossificans, phleboliths in a hemangioma, calcification in a synovial sarcoma, or a fat density with a lipoma29
  • 30.
    Computed tomography (CT)is most helpful in assessing ossification and calcification and in evaluating the integrity of the cortex. 30
  • 31.
    It also isthe best imaging study to localize the nidus of an osteoid osteoma, to detect a thin rim of reactive bone around an aneurysmal bone cyst, to evaluate calcification in a suspected cartilaginous lesion, and to evaluate endosteal cortical erosion in a suspected chondrosarcoma31
  • 32.
    Technetium bone scansTechnetiumbone scans are indicated to detect skeletal metastases and to determine the presence of multiple lesions in such entities as osteochondroma, enchondroma, fibrous dysplasia, and histiocytosis. Bone scans frequently are falsely negative in multiple myeloma.32
  • 33.
  • 34.
    With the exceptionof myeloma, however, virtually all malignant neoplasms of bone demonstrate increased uptake on technetium bone scans34
  • 35.
    . A normalbone scan is therefore very reassuring; however, the converse statement is not true because most benign lesions of bone also demonstrate increased uptake35
  • 36.
    Magnetic resonance imaging(MRI) has replaced CT as the study of choice to determine the size, extent, and anatomical relationships of both bone and soft tissue tumors. It is the most accurate technique for determining the limits of disease both within and outside bone.36
  • 37.
    . MRI mayyield a specific diagnosis with tumors such as lipoma, hemangioma, hematoma, or pigmented villonodular synovitis, all of which have very characteristic appearances37
  • 38.
    With regard tomost neoplasms, however, the MRI appearance is nonspecific. Likewise, MRI is not very useful in differentiating benign from malignant lesions38
  • 39.
    . In general,however, any soft tissue neoplasm deep to the fascia or larger than 5 cm in its greatest dimension should be considered highly likely to be a sarcoma39
  • 40.
    Ultrasonography is usefulfor distinguishing cystic from solid soft tissue lesions but otherwise offers little information40
  • 41.
    Angiography, which previouslywas used to determine the relationship of a neoplasm to the vessels, has been supplanted by MRI. However, angiography still is useful to rule out nonneoplastic conditions, such as pseudoaneurysms or arteriovenous malformations, and for preoperative embolization of highly vascular lesions, such as renal cell carcinoma and aneurysmal bone cysts.41
  • 42.
    Gallium scans arethe most sensitive tests for locating nonpulmonary metastases but are no longer routinely used by most centers for the evaluation of musculoskeletal neoplasms.42
  • 43.
    Pet scanPositron emissiontomography, although still considered investigational in the field of musculoskeletal oncology, may prove useful in evaluating the response to chemotherapy and helping to direct subsequent treatment. 43
  • 44.
    Blood investigationsBlood andurine tests rarely lead to a diagnosis but can be useful in selected situations.44
  • 45.
    Risk of wound-healingproblems and infection have been shown to be significantly greater in patients whose serum albumin is less than 3.5 g/dl or whose total lymphocyte count is less than 1500/ml.45
  • 46.
    A complete bloodcount may be helpful to rule out infection and leukemia. The erythrocyte sedimentation rate usually is elevated in infection, metastatic carcinoma, AND SMALL "BLUE CELL" tumors such as Ewing sarcoma, lymphoma, leukemia, and histiocytosis46
  • 47.
    . A serumprotein electrophoresis should be ordered if multiple myeloma is part of the differential diagnosis.47
  • 48.
    Blood urea nitrogenand creatinine may be elevated with renal tumors, and a urinalysis may reveal hematuria in this setting.. 48
  • 49.
    Brown tumors ofhyperparathyroidism can sometimes look like giant cell tumors and can be evaluated with serum calcium and parathyroid hormone levels. 49
  • 50.
    Finally, Paget's diseasemay be in the differential diagnosis and can be evaluated by serum alkaline phosphatase and urinary pyridinium cross-links50
  • 51.
    Biopsy?Musculoskeletal neoplasms shouldbe completely evaluated before biopsy is done. 51
  • 52.
    The differential diagnosis,extent of the lesion, and potential resect ability of the lesion can affect the type of biopsy, the placement of the biopsy incision, and the pathological management of the tissue obtained52
  • 53.
    . A completeworkup helps to narrow the differential diagnosis and to bring about a more accurate pathological diagnosis. Finally, tests, such as an MRI or bone scan, can be adversely affected by postoperative changes in the tissues.53
  • 54.
    Both bone andsoft tissue neoplasms suspected of being malignant therefore should be evaluated with roentgenograms of the involved limb, as well as a chest roentgenogram to evaluate possible metastases.54
  • 55.
    An MRI ofthe lesion delineates the extent of the lesion in the bone, as well as soft tissue involvement and the relationship to other anatomical structures. 55
  • 56.
    A bone scanshould be obtained to detect any other areas of skeletal involvement, and a CT scan of the chest should be obtained to rule out metastases. Other tests may be added to this minimum basic workup as indicated. 56
  • 57.
    Staging of tumour ENNEKING STAGINGEnneking and others have demonstrated the desirability of staging both benign and malignant musculoskeletal tumors to aid in treatment decision making and to allow meaningful comparisons of treatment methods. 57
  • 58.
    Both benign andmalignant tumors of bone and soft tissue can be staged according to the Enneking staging system The stages of benign tumors are designated by Arabic numbers and malignant tumors are designated by Roman numerals. 58
  • 59.
  • 60.
    Stage 1 lesionsStage1 lesions are intracapsular, usually asymptomatic, and frequently incidental findings. Roentgenographic features include a well-defined margin with a thick rim of reactive bone. There is no cortical destruction or expansion. 60
  • 61.
    Stage 1 lesionsTheselesions do not require treatment because they do not compromise the strength of the bone and usually resolve spontaneously. An example is a small asymptomatic nonossifying fibroma61
  • 62.
    STAGE 2Stage 2lesions also are intracapsular but are actively growing and therefore can cause symptoms or lead to pathological fracture. They have well-defined margins on roentgenograms but may expand and thin the cortex. 62
  • 63.
    STAGE 2Usually theyhave only a very thin rim of reactive bone. Treatment usually consists of extended curettage. Stage 3 lesions are extracapsular.63
  • 64.
    Stage 3 lesionsare extracapsular. Their aggressive nature is apparent both clinically and radio graphically. They usually have broken through the reactive bone and possibly the cortex. 64
  • 65.
    STAGE 3MRImay demonstrate a soft tissue mass, and metastases may be present in up to 5% of patients with these lesions. Treatment consists of extended curettage and marginal or even wide resection, and local recurrences are common. 65
  • 66.
    Musculoskeletal sarcomas alsocan be staged according to the surgical staging system as described by Enneking et al.66
  • 67.
    The system isbased on the histological grade of the tumor, its local extent, and the presence or absence of metastases. Low-grade lesions are designated as stage I. 67
  • 68.
    These lesions are well-differentiated, have few mitoses, and exhibit only moderate cytological atypiaThe risk for metastases is low (<25%).68
  • 69.
    High-grade lesions aredesignated as stage II. They are poorly differentiated with a high mitotic rate and a high cell/matrix ratio. Stages I and II lesions are subdivided according to the extent of local growth.69
  • 70.
    Stages IA andIIA lesions are contained within well-defined anatomical compartments. Anatomical compartments are determined by the natural anatomical barriers to tumor growth such as cortical bone, articular cartilage, fascial septa, or joint capsules70
  • 71.
    Stages IB andIIB lesions extend beyond the compartment of origin. Stage III refers to any lesion that has metastasized regardless of the size or grade of the primary tumor. 71
  • 72.
    No distinction ismade between lymph node metastases or distant metastases because both circumstances are associated with an equally poor prognosis.72
  • 73.
  • 74.
    The AJCC stagingsystem for soft tissue sarcomas is based on prognostic variables, including tumor grade (low or high), size (≤5 cm or >5 cm in greatest dimension), depth (superficial or deep to the fascia), and the presence of metastases. 74
  • 75.
    Stage I-A tumorsare low-grade and small regardless of depth75
  • 76.
    Stage I-B tumorsare low-grade, large, and superficial. Stage II-A tumors are low-grade, large, and deep. Stage II-B tumors are high-grade and small regardless of depth. 76
  • 77.
    Stage II-C tumorsare high-grade, large, and superficial. Stage III tumors are high-grade, large, and deep. Stage IV tumors are those associated with metastases (including local lymph nodes) regardless of grade, size, or depth.77
  • 78.
  • 79.
    BIOPSY A biopsyshould be planned as carefully as the definitive procedure. Biopsy should be done only after clinical, laboratory, and roentgenographic examinations are complete79
  • 80.
    completion of theevaluation before biopsy will aid in planning the placement of the biopsy incision, will help provide more information leading to a more accurate pathological diagnosis, and will avoid artifacts on imaging studies80
  • 81.
    Regardless of whethera needle biopsy or an open biopsy is done, the biopsy track should be considered contaminated with tumor cells. 81
  • 82.
    Placement of thebiopsy therefore is a crucial decision because the biopsy track will need to be excised en bloc with the tumor.. 82
  • 83.
    If a tourniquetis used, the limb may be elevated before 83
  • 84.
    Care should betaken to contaminate as little tissue as possible. Transverse incisions should be avoided because they are extremely difficult or impossible to excise with the specimen..84
  • 85.
    Major neurovascular structuresshould be avoided. Soft tissue extension of a bone lesion should be sampled85
  • 86.
    . If ahole must be made in the bone, it should be round or oval to minimize stress concentration and prevent a subsequent fracture, which could preclude limb salvage surgery86
  • 87.
  • 88.
    51 year oldlady c/o knee pain88
  • 89.
    T1 weighted MRIrevealed lesion within fibula and no breaching of cortex89
  • 90.
    Primary resection wasdone without biopsy 90
  • 91.
    This treatment strategyallowed for wide marginal excision without contamination of common peroneal nerve Lesion proved to be low grade chondro sarcoma 91
  • 92.
  • 93.
    The goal oftreatment in a patient with a primary malignancy of the musculoskeletal system is to make the patient free of disease93
  • 94.
    . The goalof treatment of a patient with metastatic carcinoma to bone is to minimize pain and to preserve function94
  • 95.
    In either circumstance,the optimal treatment of the tumor often requires a combination of radiation therapy, chemotherapy, And/or surgery.95
  • 96.
    Radiation therapyRadiation causescell death by inducing the formation of intracellular free radicals that subsequently cause DNA damage. The sensitivity of a cell to radiation depends on several factors including (1) the cell's position in the cell cycle (actively mitotic cells are most sensitive96
  • 97.
    (2) tissueoxygenation (local hypoxia provides a protective effect because oxygen free radicals cannot be formed in hypoxic tissue), and (3) the cell's ability to repair DNA damage or its inability to undergo apoptosis (programmed cell death) in response to this damage. 97
  • 98.
    Most primary bonemalignancies are relatively radioresistantExceptions are the marrow cell tumors including multiple myeloma, lymphoma, and Ewing sarcoma, which are each exquisitely sensitive. Carcinoma metastatic to bone also is frequently sensitive to radiation treatment98
  • 99.
    chemotherapyBefore the routineuse of chemotherapy for osteosarcoma, patients usually were treated with immediate wide or radical amputation upon diagnosis. This approach usually treated the local disease adequately99
  • 100.
    Nevertheless, 80% ofpatients eventually died of metastatic disease even if metastasis was not evident at presentation. 80% of patients with apparently localized osteosarcoma actually have undetectable metastases, or "micro metastases," upon presentation.100
  • 101.
    The role ofchemotherapy is less well defined for adult soft tissue malignancies, with most investigations showing very modest improvements in outcome In general, chemotherapy is not useful for cartilaginous lesions and most other low-grade malignancies. 101
  • 102.
    Adjuvant" chemotherapy refersto chemotherapy administered postoperatively to treat presumed micrometastasesNeoadjuvant" chemotherapy refers to chemotherapy administered before surgical resection of the primary tumor102
  • 103.
    No study hasproved a survival advantage with regard to the timing of chemotherapy; however, multiple authors have cited several theoretic advantages of neoadjuvant chemotherapy over adjuvant chemotherapy.103
  • 104.
    Malawar et al.,9 of 12In a study by Malawar et al., 9 of 12 lesions that initially were deemed unresectable were later treated with limb salvage surgery after chemotherapy induced tumor regression. 104
  • 105.
    Principles of surgeryamputation/salvagepreoperative radiation therapy for soft tissue sarcomas and neoadjuvant chemotherapy for bone sarcomas have helped surgeons to successfully resect some tumors that in the past would have been deemed unresectable105
  • 106.
    , involvement ofneurovascular structures, a displaced pathological fracture, or complications secondary to a poorly performed biopsy preclude the possibility of limb salvage106
  • 107.
    . More often,however, the choice between limb salvage and amputation must be made on the basis of the expectations and desires of the individual patient and the family107
  • 108.
    Simon described fourissues that must be considered whenever contemplating limb salvage instead of an amputation: Will survival be affected by the treatment choice? How do the short-term and long-term morbidity compare? 108
  • 109.
    How will thefunction of a salvaged limb compare to that of a prosthesis? Are there any psychosocial consequences? 109
  • 110.
    While local recurrenceis associated with an extremely poor prognosis, no study has proved any one of surgical techniques (i.e., limb salvage, Tran femoral amputation, hip disarticulation) to be superior in terms of survival provided that wide surgical margins are obtained.110
  • 111.
    Amputation for malignancycan be technically demanding111
  • 112.
    Complications include infection,wound dehiscence, a chronically painful limb, phantom limb pain, and appositional bone overgrowth requiring revision surgery112
  • 113.
    . Limb salvage,however, is associated with greater perioperative and long-term morbidity when compared with amputation. Limb salvage requires a much more extensive surgical procedure with greater risks for infection, wound dehiscence, flap necrosis, blood loss, and deep venous thrombosis113
  • 114.
    Treatment for sarcomasaround the knee must be individualized. 114
  • 115.
    Most patients withosteosarcoma around the knee are treated with one of three surgical procedures—wide resection with prosthetic knee replacement (or allograft-prosthesis composite), wide resection with allograft arthrodesis, or transfemoral amputation115
  • 116.
    no study hasshown a significant difference between amputation and limb salvage with regard to psychologic outcome or quality of life in long-term sarcoma survivors116
  • 117.
    decisionof limb salvage versus amputation involves more than the question of whether the lesion can be resected with wide margins. 117
  • 118.
    The patient ultimatelymust make the final decision in light of long-term goals and lifestyle decisions118
  • 119.
    MARGINS the surgicalmargin is described by one of four terms—intralesional, marginal, wide, or radical.119
  • 120.
    Both amputations andlimb-sparing resections may be associated with any one of the four types of margins, and therefore the margin must be specifically defined with each procedure120
  • 121.
  • 122.
    An intralesional marginis one in which the plane of surgical dissection is within the tumor. 122
  • 123.
    The surrounding reactivetissue around tumour is referred to as the pseudocapsule.A marginal margin is achieved when the closest plane of dissection passes through the pseudocapsule123
  • 124.
    This type ofmargin usually is adequate to treat most benign lesions and some low-grade malignancies. In high-grade malignancy, however, the pseudocapsule often contains microscopic foci of disease, or "satellite" lesions.124
  • 125.
    Wide margins areachieved when the plane of dissection is in normal tissueAlthough not always possible to achieve, wide margins are the goal of most procedures for high-grade malignancies.125
  • 126.
    Radical margins areachieved when all the compartments that contain tumor are removed en blocfrom an oncological standpoint there are eight different surgical procedures126
  • 127.
  • 128.
    CURETTAGEMany benign bonetumors are adequately treated by curettage. Compared with resection, curettage is associated with a higher rate of local recurrence; however, curettage often allows for a better functional result128
  • 129.
    Extended" curettage includesthe use of adjuvants, such as liquid nitrogen, phenol, PMMA, or thermal cautery to extend destruction of tumor cells. 129
  • 130.
    Multiple authors havereported greatly reduced recurrence rates of aggressive tumors with the use of adjuvants130
  • 131.
    , Incision enlargedto expose entire tumor. Bulk of tumor removed with large curet131
  • 132.
    Tumor cavity enlargedin all directions with power burr. Note that window in bone is as large as tumor132
  • 133.
    Walls of cavitytreated with argon beam coagulator133
  • 134.
    Large Steinmann pinscontoured along joint surface and placed in cavity to add support.134
  • 135.
    Thank you…..135