Bone tumor
Nassr Saif AL-Barhi
Bone tumor
• refers to a neoplastic abnormal growth of tissue
in bone. It can be either benign or malignant.
• Most bone tumors are noncancerous(benign).
• Bone tumors may be classified as:
▫ "primary tumors <3rd decade.
▫ secondary tumors >3rd decade.
Clinical presentation
• Clinically, bone tumors present in various ways.
• The more common benign lesions are:
 frequently asymptomatic and are detected as
incidental findings.
 Many tumors, however, produce localized pain or
are noticed as a slow-growing mass.
 Sometimes, the first hint of a tumor's presence is a
sudden pathologic fracture.
Diagnosis
• Radiographic analysis plays an important role
in diagnosing bone tumors.
▫ Help limit the differential diagnosis
▫ Give clues to the aggressiveness of the tumor.
• Ultimately, in most instances, biopsy and
histologic study are necessary, sometimes we
need radionuclide scanning in small tumors
e.g. osteoid osteoma.
Benign bone tumor
Classification of bone tumor
according to cell type
Bone:
Osteoid osteoma
Cartilage:
Chondroma, Osteochondroma.
Fibrous tissue:
Fibroma
Uncertain:
Giant bone cyst
Osteoid Osteoma
• Peak incidence in 2nd and 3rd decades, M:F= 3:1
• It has a center of growing cells, called a
nidus(less than 1 cm) surrounded by a hard
shell of thickened bone.
• Most common in femur and tibia.
• Symptoms:
▫ An osteoid osteoma causes a dull aching pain.
▫ The pain is moderately intensity, but can be
severe, especially at night.
• The tumor is not related to previous injury or
activity.
• Over-the-counter pain medicines such as
aspirin, ibuprofen are helpful in decreasing pain.
Small nidus <1 cm round oval in
shape in diaphysis
• Treatment:
• is surgically cutting out
of the entire tumor,
particularly the central
core, for a good
outcome
Osteochondroma
• One of the commonest tumor of bone (45% of all
benign)
• It is developmental lesion which is an outgrowth
of the growth plate and is made up of both bone
and cartilage (cartilage-capped bone).
• the commonest site are the fast growing end of
long bone and the crest of ilium.
• Can be simple or multiple
Well defined bony exostosis
emerging from metaphysis
• The most common symptom of an
osteochondroma is a painless mass near the
joints
• An osteochondroma ordinarily stops growing
when a person reaches full normal growth any
further enlargment is suggestive of malignant
change.
• Treatment:
▫ Usually no treatment is required.
▫ Surgical Excision, if causes pain or put
pressure in the nerve or blood vessels.
Enchondroma
• benign Cartilaginous islands growth In medullary
cavity.
• It is very common and often occure in the small bone
of the hand and feet. Others femur, humerus, ribs.
• Appear inside of the bone.
• Usually begin and grow in childhood, then stop
growing but remain through adulthood.(10-20 age)
• Can be single or multiple
• Symptoms:
▫ Usually painless.
▫ But can causes enlarged fingers, pathologic
fracture or deformities.
• X-ray finding:
▫ Dark hole in bone, but usually they have
calcification or white spot in the hole.
• Treatment:
▫ No treatment is required for asymptomatic
lesions.
▫ If fracture occurs, it is usually treated with
scraping out and filling of the cavity with bone
grafting.
• Risk of transformation:
▫ < 2% will transform to chondrosarcoma.
▫ pain without pathological fracture.
Chondroblastoma
• It is rare type of benign tumor.
• It is appear in epiphysis usually in proximal
humrus, femur or tibia.
• Presenting with aching & tenderness adjacent
joint.
• It have potential to metastasize to the lung.
Well demarcated radiolucent
area in the epiphysis
Treatment:
• It requires surgery by scraping out and filling of
the cavity with bone grafting.
Fibrous dysplasia
• replacement of the medullary bone with fibrous
tissue and woven bone.
• It can affect one bone (monostotic) or many
bones(polystotic).
• Fibrous dysplasia leads to bone weakness so it
can cause angulation bent of the bone
(shepherd's crook deformity)
Hazy appearance (ground
glass)
Shepherd’s crook
deformity
Simple bone cyst
• A unicameral bone cyst is a cavity found within
a bone that is filled with straw-colored fluid.
• Appears during childhood typically in the
metaphysis.
• Not tumor tends to heal spontaneously
A large bubble inside the bone
mostly in metaphysis
Giant Cell Tumor of Bone
• is a very rare, aggressive benign tumor. It
generally occurs in between the ages of 20 and
40 years.
• very rarely seen in children or in adults older
than 65 years of age.
• is formed by fusion of several individual giant
cells into a single, larger complex cystic.
occurs in the end portion of
long bones (epiphysis)
• Localized pain.
• Pain increase with movement, decrease with
rest but it progressively increase with time
Treatment:
Radiation therapy or curettage surgery
Summary Tumor location
Osteoid osteoma Diaphysis
Chondroma Intermedulary
Osteochondroma Bone ends of long
bone
Chondroblastoma Epiphysis
Fibrous dysplasia Intermedulary
Simple bone cyst Metaphysis
Giant bone cyst Epiphysis
Summary
- Most of benign tumors are a symptomatic & an
incidental diagnosed.
- No treatment required for benign tumor except
when it cause pain or can damage epiphysis.
- Some of benign tumor can transform to
malignant, the most important symptom for
transforming is pain without pathological
fracture.
Malignant Bone Tumors
• The following malignant tumors will be
discussed:
▫ Osteosarcoma
▫ Chondrosarcoma
▫ Ewing’s Sarcoma
▫ Multiple Myeloma
▫ Metastatic Disease
OSTEOSARCOMA.
• Highly malignant tumor.
• Rapidly go to periosteum.
• Most common primary malignant tumor of bone.
• Males> females.
• Most occur in teenagers ages (10-25)
• Clinical features: localized pain is the first
Worse at night and swelling
Major sites of origin of osteosarcomas. The numbers
are approximate percentages.
Osteosarcoma
• Metaphysial tumor
• Radiographic terms to know:
▫ Codman’s Triangle:
▫ “Sunburst” periostial formation:
▫ Bone destruction
Osteosarcoma
Bone destruction
CHONDROSARCOMA
• Malignant tumor of cartilage.
• pelvic bones, spine, and shoulder girdle
• Males> females age 30-60.
• Slowly growing.
• Tumor may arise primarily or secondary to a
pre-existing enchondroma,exostosis or Paget’s
disease.
• Clinical presentation: dull ache and swelling
Chondrosarcoma
• Plain films show
• large osteolytic lesions.
• Central flecks of calcification
Treatment
• Unresposive to chemotherapy
• Treat with aggressive surgial resection.
EWING SARCOMA
• Malignant neoplasm of undifferentiated cells
arising within the marrow cavity.
• Males are affected slightly more often than
females.
• most occur in teenagers ( 5-20)
• Clinical features: thrombing pain , swelling
and tenderness
• Other symptoms including fever, anemia,
leukocytosis,
X-ray: concentric onion skin
layering of new periosteal
bone.
EWING SARCOMA(cont.)
• Gross:
▫ often affects the diaphyses of long bones with
most common sites like femur, pelvis and tibia
seen a white tan mass with necrosis and
hemorrhage..
• Frequently the tumoral cells erode cortex and
periosteum and invade surrounding tissues.
• Tx:
▫ chemotherapy, surgery and/ or radiation.
• Prognosis: 5 year survival rate of 75%
Multiple myeloma
• Tumor made up of malignant monoclonal
plasma cells ( B-cell).
• is the most common primary bone cancer.
• Usually affects patients Over 40 years of age.
• Patients often present with malaise, bone pain
mild anemia, hypercalcaemia, or a pathologic
fracture.
It cause osteoporosis … How???
Multiple Myeloma
• Classic radiographic appearance is multiple lytic
“punched out” areas in bone.
• Frequently involves the calvarium.
• Treatment consists of palliative chemotherapy or
bone marrow transplant.
Multiple Myeloma
• Characteristic
“punched-out” lesions
Multiple Myeloma
• “Punched-out” lesion
ImagingWhereGrowthpresentageType
Godman
Triangle
sunburst
metaphyses
rapidPain at
night
Local
tenderness
15-
25
Osteosarcom
a
Central
flacks of
calcification
Cartilage
and
metaphyses
slowDull ache
Path-
fructure
30-
60
Chondrosarco
ma
Onion skindiaphysis-Throbbing
pain
swelling .
General
illnes
>40Ewing’s
Sarcoma
Punch outBone
marrow
-Weekness
,back pain
path-
fructure
45-
65
Multiple
Myeloma
Metastatic Disease
• Most common malignancy in bone.
• Must be considered in any differential diagnosis
of a bone lesion in a patient Over 50 years old.
• May have virtually any appearance.
• May be lytic or blastic.
• Majority of metastases to bone originate in
Breast, Prostate, Lung, Kidney and Thyroid.
Metastatic Disease
• Most common sites
for bony metastases
include thoracic and
lumbar spine, pelvis,
femur, rib, proximal
humerus and skull
• Pain
• Sudden back pain
Metastatic Disease
• Bone mets from Lung
CA
Bone Tumor (Benign and malignant)

Bone Tumor (Benign and malignant)

  • 1.
  • 2.
    Bone tumor • refersto a neoplastic abnormal growth of tissue in bone. It can be either benign or malignant. • Most bone tumors are noncancerous(benign). • Bone tumors may be classified as: ▫ "primary tumors <3rd decade. ▫ secondary tumors >3rd decade.
  • 3.
    Clinical presentation • Clinically,bone tumors present in various ways. • The more common benign lesions are:  frequently asymptomatic and are detected as incidental findings.  Many tumors, however, produce localized pain or are noticed as a slow-growing mass.  Sometimes, the first hint of a tumor's presence is a sudden pathologic fracture.
  • 4.
    Diagnosis • Radiographic analysisplays an important role in diagnosing bone tumors. ▫ Help limit the differential diagnosis ▫ Give clues to the aggressiveness of the tumor. • Ultimately, in most instances, biopsy and histologic study are necessary, sometimes we need radionuclide scanning in small tumors e.g. osteoid osteoma.
  • 5.
  • 6.
    Classification of bonetumor according to cell type Bone: Osteoid osteoma Cartilage: Chondroma, Osteochondroma. Fibrous tissue: Fibroma Uncertain: Giant bone cyst
  • 7.
    Osteoid Osteoma • Peakincidence in 2nd and 3rd decades, M:F= 3:1 • It has a center of growing cells, called a nidus(less than 1 cm) surrounded by a hard shell of thickened bone. • Most common in femur and tibia.
  • 8.
    • Symptoms: ▫ Anosteoid osteoma causes a dull aching pain. ▫ The pain is moderately intensity, but can be severe, especially at night. • The tumor is not related to previous injury or activity. • Over-the-counter pain medicines such as aspirin, ibuprofen are helpful in decreasing pain.
  • 9.
    Small nidus <1cm round oval in shape in diaphysis • Treatment: • is surgically cutting out of the entire tumor, particularly the central core, for a good outcome
  • 10.
    Osteochondroma • One ofthe commonest tumor of bone (45% of all benign) • It is developmental lesion which is an outgrowth of the growth plate and is made up of both bone and cartilage (cartilage-capped bone). • the commonest site are the fast growing end of long bone and the crest of ilium. • Can be simple or multiple
  • 11.
    Well defined bonyexostosis emerging from metaphysis
  • 12.
    • The mostcommon symptom of an osteochondroma is a painless mass near the joints • An osteochondroma ordinarily stops growing when a person reaches full normal growth any further enlargment is suggestive of malignant change. • Treatment: ▫ Usually no treatment is required. ▫ Surgical Excision, if causes pain or put pressure in the nerve or blood vessels.
  • 13.
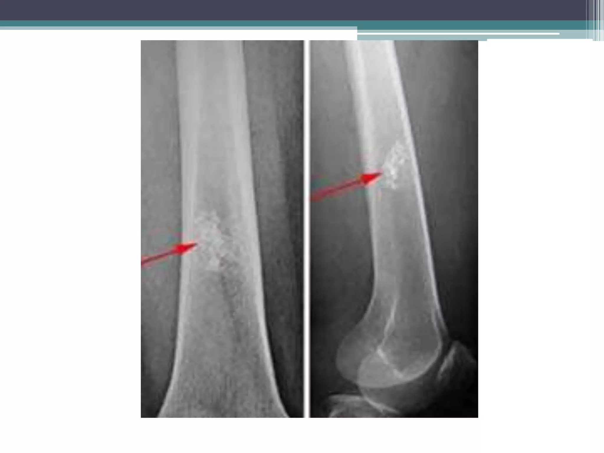
    Enchondroma • benign Cartilaginousislands growth In medullary cavity. • It is very common and often occure in the small bone of the hand and feet. Others femur, humerus, ribs. • Appear inside of the bone. • Usually begin and grow in childhood, then stop growing but remain through adulthood.(10-20 age)
  • 14.
    • Can besingle or multiple • Symptoms: ▫ Usually painless. ▫ But can causes enlarged fingers, pathologic fracture or deformities. • X-ray finding: ▫ Dark hole in bone, but usually they have calcification or white spot in the hole.
  • 17.
    • Treatment: ▫ Notreatment is required for asymptomatic lesions. ▫ If fracture occurs, it is usually treated with scraping out and filling of the cavity with bone grafting. • Risk of transformation: ▫ < 2% will transform to chondrosarcoma. ▫ pain without pathological fracture.
  • 18.
    Chondroblastoma • It israre type of benign tumor. • It is appear in epiphysis usually in proximal humrus, femur or tibia. • Presenting with aching & tenderness adjacent joint. • It have potential to metastasize to the lung.
  • 19.
  • 20.
    Treatment: • It requiressurgery by scraping out and filling of the cavity with bone grafting.
  • 21.
    Fibrous dysplasia • replacementof the medullary bone with fibrous tissue and woven bone. • It can affect one bone (monostotic) or many bones(polystotic). • Fibrous dysplasia leads to bone weakness so it can cause angulation bent of the bone (shepherd's crook deformity)
  • 22.
  • 23.
    Simple bone cyst •A unicameral bone cyst is a cavity found within a bone that is filled with straw-colored fluid. • Appears during childhood typically in the metaphysis. • Not tumor tends to heal spontaneously
  • 24.
    A large bubbleinside the bone mostly in metaphysis
  • 25.
    Giant Cell Tumorof Bone • is a very rare, aggressive benign tumor. It generally occurs in between the ages of 20 and 40 years. • very rarely seen in children or in adults older than 65 years of age. • is formed by fusion of several individual giant cells into a single, larger complex cystic.
  • 26.
    occurs in theend portion of long bones (epiphysis)
  • 27.
    • Localized pain. •Pain increase with movement, decrease with rest but it progressively increase with time Treatment: Radiation therapy or curettage surgery
  • 28.
    Summary Tumor location Osteoidosteoma Diaphysis Chondroma Intermedulary Osteochondroma Bone ends of long bone Chondroblastoma Epiphysis Fibrous dysplasia Intermedulary Simple bone cyst Metaphysis Giant bone cyst Epiphysis
  • 29.
    Summary - Most ofbenign tumors are a symptomatic & an incidental diagnosed. - No treatment required for benign tumor except when it cause pain or can damage epiphysis. - Some of benign tumor can transform to malignant, the most important symptom for transforming is pain without pathological fracture.
  • 31.
    Malignant Bone Tumors •The following malignant tumors will be discussed: ▫ Osteosarcoma ▫ Chondrosarcoma ▫ Ewing’s Sarcoma ▫ Multiple Myeloma ▫ Metastatic Disease
  • 32.
    OSTEOSARCOMA. • Highly malignanttumor. • Rapidly go to periosteum. • Most common primary malignant tumor of bone. • Males> females. • Most occur in teenagers ages (10-25) • Clinical features: localized pain is the first Worse at night and swelling
  • 33.
    Major sites oforigin of osteosarcomas. The numbers are approximate percentages.
  • 34.
  • 35.
    • Metaphysial tumor •Radiographic terms to know: ▫ Codman’s Triangle: ▫ “Sunburst” periostial formation: ▫ Bone destruction
  • 36.
  • 37.
    CHONDROSARCOMA • Malignant tumorof cartilage. • pelvic bones, spine, and shoulder girdle • Males> females age 30-60. • Slowly growing. • Tumor may arise primarily or secondary to a pre-existing enchondroma,exostosis or Paget’s disease. • Clinical presentation: dull ache and swelling
  • 38.
    Chondrosarcoma • Plain filmsshow • large osteolytic lesions. • Central flecks of calcification
  • 40.
    Treatment • Unresposive tochemotherapy • Treat with aggressive surgial resection.
  • 41.
    EWING SARCOMA • Malignantneoplasm of undifferentiated cells arising within the marrow cavity. • Males are affected slightly more often than females. • most occur in teenagers ( 5-20) • Clinical features: thrombing pain , swelling and tenderness • Other symptoms including fever, anemia, leukocytosis,
  • 42.
    X-ray: concentric onionskin layering of new periosteal bone.
  • 44.
    EWING SARCOMA(cont.) • Gross: ▫often affects the diaphyses of long bones with most common sites like femur, pelvis and tibia seen a white tan mass with necrosis and hemorrhage.. • Frequently the tumoral cells erode cortex and periosteum and invade surrounding tissues. • Tx: ▫ chemotherapy, surgery and/ or radiation. • Prognosis: 5 year survival rate of 75%
  • 45.
    Multiple myeloma • Tumormade up of malignant monoclonal plasma cells ( B-cell). • is the most common primary bone cancer. • Usually affects patients Over 40 years of age. • Patients often present with malaise, bone pain mild anemia, hypercalcaemia, or a pathologic fracture. It cause osteoporosis … How???
  • 46.
    Multiple Myeloma • Classicradiographic appearance is multiple lytic “punched out” areas in bone. • Frequently involves the calvarium. • Treatment consists of palliative chemotherapy or bone marrow transplant.
  • 47.
  • 48.
  • 49.
    ImagingWhereGrowthpresentageType Godman Triangle sunburst metaphyses rapidPain at night Local tenderness 15- 25 Osteosarcom a Central flacks of calcification Cartilage and metaphyses slowDullache Path- fructure 30- 60 Chondrosarco ma Onion skindiaphysis-Throbbing pain swelling . General illnes >40Ewing’s Sarcoma Punch outBone marrow -Weekness ,back pain path- fructure 45- 65 Multiple Myeloma
  • 50.
    Metastatic Disease • Mostcommon malignancy in bone. • Must be considered in any differential diagnosis of a bone lesion in a patient Over 50 years old. • May have virtually any appearance. • May be lytic or blastic. • Majority of metastases to bone originate in Breast, Prostate, Lung, Kidney and Thyroid.
  • 51.
    Metastatic Disease • Mostcommon sites for bony metastases include thoracic and lumbar spine, pelvis, femur, rib, proximal humerus and skull • Pain • Sudden back pain
  • 52.
    Metastatic Disease • Bonemets from Lung CA

Editor's Notes

  • #10 is surgically cutting out of the entire tumor, particularly the central core, for a good outcome
  • #12  Pedunculated or stalk smaller than it feels because cartilage cap not show in x ray
  • #13 When a stalk is present, the structure is called pedunculated. When no stalk is present, it is called sessile. The most common symptom of an osteochondroma is a painless bump near the joints Another symptoms may the patient has pain on activity, numbness and tingling
  • #14 In rare cases, multiple tumor can occure as part of disease Ollier disease is a rare nonhereditary sporadic disorder where intraosseous benign cartilaginous tumors develop close to growth plate cartilage Maffucci syndrome is a sporadic disease characterized by the presence of multiple enchondromas associated with multiple hemangiomas.[
  • #15 Symptoms: us
  • #16 X ray Central inside medulla
  • #20 Small (1-4 cm, round tumor . In x-ray , it is usually surronded with white rim . 25%-40% the x-ray will show white spot inside.
  • #26 Giant cell tumors are named for the way they look under the microscope. Many "giant cells" are seen. They are formed by fusion of several individual cells into a single, larger complex. Many bone tumors and other conditions (including normal bone) contain giant cells. Giant cell tumor of bone is given its characteristic appearance by the constant finding of a large number of these cells existing in a typical background. Most bone tumors occur in the flared portion near the ends of long bone (metaphysis), but giant cell tumor of bone occurs almost exclusively in the end portion of long bones next to the joints (epiphysis). Giant cell tumors of bone most frequently occur around the knee joint in the lower end of the thighbone (femur) or the upper end of the shinbone (tibia). Other common locations include the wrist (lower end of the lower arm bone), the hip (upper end of the thighbone), the shoulder (upper end of the upper arm bone), and lower back (connection of the spine and pelvis).
  • #27 A giant cell is a mass formed by the union of several distinct cells (usually macrophages).[1] It can arise in response to an infection or foreign body.
  • #28 Treatment If not treated, these tumors will continue to grow and destroy bone. Surgery has proven to be the most effective treatment for giant cell tumors. Nonsurgical Treatment Radiation therapy is a nonsurgical treatment option that has proven effective. However, this can result in the formation of cancer in as many as 15% of patients who receive it. Therefore, radiation therapy is used only in the most difficult cases where surgery cannot be performed safely or effectively. Surgical Treatment Scooping out the tumor (curettage) is generally performed. This technique causes a hole in the bone that can be filled with a bone graft. The bone may be taken from other parts of the patient's own body (autograft) or from a cadaver (allograft). If treatment is limited to curettage and bone grafting alone, the tumor may come back (recur) up to 45% of the time. The use of bone cement rather than bone graft results in a lower rate of recurrence. Enhancing the curettage with a high-speed burr or with the use of agents such as liquid nitrogen, hydrogen peroxide, or phenol, followed by placement of bone cement decreases the recurrence rate to 10% to 29%. More complex tumor removal and reconstruction is sometimes necessary in situations where the tumor has caused excessive damage or recurred.
  • #33 •Strong association with previous radiation exposure
  • #34 It may affect any bone, but most commonly the long bone metaphyses, especially around the knee and proximal end of humerus
  • #36 Codman triangle (previously referred to as Codman's triangle) is the triangular area of new subperiosteal bone that is created when a lesion, often a tumour, raises the periosteum away from the bone.
  • #47 A skull x-ray taken from the side shows typical findings of multiple myeloma and multiple "punched-out" holes. The arrow is pointing at one of the larger holes