BENIGN BONE TUMOURS
- DR SURYA
WHO CLASSIFICATION OF BENIGN BONE
TUMOURS
• CHONDROGENIC TUMOURS
• Benign – Osteochondroma
Enchondroma
Periosteal chondroma
Osteochondromyxoma
Subungual exostosis
Synovial chondromatosis
Chondromyxoid fibroma
• Intermediate (locally aggressive) – Atypical cartilaginous tumour
• Intermediate (rarely metastasising) - Chondroblastoma
• OSTEOGENIC TUMOURS
• Benign – Osteoma
Osteoid osteoma
• Intermediate (Locally aggressive) – Osteoblastoma
• OSTEOCLASTIC GIANT CELL TUMOUR
• Benign – Giant cell lesion of small bones
• Intermediate (locally aggressive, rarely metastasing)- Giant cell tumour
• FIBROGENIC TUMOURS
• Intermediate (locally aggressive) – Desmoplastic fibroma
• FIBROHISTIOCYTIC TUMOURS
• Benign – Benign fibrous histiocytoma/ non ossifying fibroma
• NOTOCHORDAL TUMOUR
• Benign – Benign notochordal tumour
• VASCULAR TUMOURS
• Benign – haemangioma
• TUMOURS OF UNDEFINED NEOPLASTIC NATURE
* Benign – Simple bone cyst
Fibrous dysplasia
Osteofibrous dysplasia
* Intermediate (Locally aggressive, rarely metastasising) – Aneurysmal bone cyst
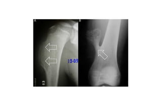
OSTEOCHONDROMA
• Osteochondroma is a bony exostosis projecting fro the external surface of bone
• It usually has hyaline lined cartilaginous cap.
• Incidence – 20 to 50% of all primary benign bone tumour
• Common in males, second decade of life
• Predisposing factors – Total body radiotheraphy, salter harris fracture and
surgery
• Location – Metaphysis of long bones > flat bones
• Long bones – Distal femur > Proximal humerus, proximal tibia, proximal femur
• Short bones – Ilium, scapula, ribs
TYPES
• By number
1. One bone – Solitary osteochondroma
2. Two or three bones with no family history – Multiple osteochondromas
3. Multiple bones with family history – Hereditary multiple exostoses (Diaphyseal aclasis)
• By morphology
1. Pedunculated – Exhibits a base that has an elongated bony stalk merging continuously with
host bone. Common in bones around knee, hip and ankle
2. Sessile – plateau like stalk producing a broad base protuberance. Common in proximal humerus
and scapula.
SYMPTOMS
• Mostly asymptomaticnunless they disturb adjacent blood vessels,
nerve or joint function.
• Hard painless mass near a joint
• Fracture through the stalk – severe pain and swelling
• Large spinal osteochondroma – cord compression, sciatica and
scoliosis
COMPLICATIONS
• Fracture
• Deformity with subsequent loss of motion
• Vascular injury (Pseudoaneurysm)
• Neurological compromise
• Adventitious bursae formation
• Malignant transformation (HME > Solitary)
Radiological features
Sessile or pedunculated and is seen in
metaphyseal region, typical project away
from join. Continuity of medullary cavity of
lesion with that of underlying bone noted.
• Cartilge cap is variable in appearance – It may be thin and difficult to
identify or thick with ring arc calcification. It usually measures <2 cm
in adults and <3 cm in children
Hypoechoic region bounded by
bone on deeper surface and muscle/fat
superficially
Proton density sequence
or T2 FSE shows
hyperintense cartilage
Malignant osteochondroma
Malignancy is suspected when
• Growth after skeletal maturity
• Cortical destruction
• Increasing pain and mass
• Soft tissue mass
• Thick irregular calcified cap
• Cartilage cap > 2 cm in adults, > 3 cm in children.
Special varieties
• Trevor disease – Hereditary disease in which osteochondroma like lesion arises
from epiphysis
• Cauliflower osteochondroma – cauliflower like exostosis arising from adjacent
bone with increased density scattered throughout the osteochondroma,
representing calcified islands of cartilage
Hereditary Multiple exostosis
• Autosomal dominant disorder characterized by multiple
osteochondromas(Average 10)
• Common sites – Long bones of knee, ankle, shoulder and wrist. Flat
bones involvement is rare.
• Distribution is usually bilateral and symmetric
• Radiological features – Multiple osteochondromas, Bayonet hand
deformity, pressure erosions to adjacent bones
Bayonet hand deformity Pressure erosions
Treatment
• Asymptomatic – No treatment
• Symptomatic / Risk of malignancy – Surgical resection with care taken
to include periosteal surface
Subungual exostosis
• It is histologically distinct from osteochondroma and demonstrates no
medullary continuity.
• It has fibrocartilagious cap.
• Most common in dorsal surface of distal phalanx (Common in big toe), It
extends beneath or adjacent to nail bed
• Predisposing factor – Previous trauma
• Radiological features :
Bony spur extending into nail bed
ENCHONDROMA
• It is an intramedullary neoplasm comprising lobules of benign hyaline
cartilage.
• Incidence – 10% of all benign bone tumours
• Common in age 10 – 30 years , equal in both males and females.
• Location – Tubular bones of hands and feet (Proximal phalanges >
metacarpals > middle phalanges)
• Other sites – Femur, tibia and humerus.
• Symptoms – Mostly asymptomatic but can present with pathological
fracture
• Can rarely lead to chondrosarcoma
Radiological features
• Well circumscribed geographic lytic lesion, which may expand the
cortex. Stippled calcification can be noted.
• Sharply defined margins
• Size <5cm
• Narrow zone of transition
• Endosteal scalloping
• Thinned cortex
• Ring and arcs calcification
• No bone destruction, periosteal reaction or soft tissue mass
• MRI features – Intermediate signal on T1WI and T2WI and
hyperintensity on STIR with no surrounding edema.
• A hypointense rim and septa may be seen , which will show contrast
enhancement
ENCHONDROMA PROTUBERANCE
• Eccentrically placed enchondroma with extra osseous component,
covered by thin shell of intact cortical bone
TREATMENT
• Asymptomatic – No treatment
• Symptomatic – Curettage followed by cryosurgery and bone chips
OLLIER’S DISEASE
• Inborn anomaly of enchondral bone formation – leads to unossified
cartilage remanents in diaphysis and metaphysis
• Malignant transformation is more common than than in solitary
enchondroma
• Location – Small bones of hand and feet, femur , tbia and illoac bone
• Unilateral distribution
Maffucci syndrome
• Characterised by multiple enchrondromas and soft tissue cavernous
hemangiomas
• Malignancy is more common here than in ollier’s disease
Periosteal chondroma
• Slow growing benign cartilaginous tumour that develops within and
beneath the periosteum on the surface of cortical bone
• Common in young adults
• Common sites – Small bones of hand and feet
• Other sites – Femur, tibial, radius, ulna and fibula
Radiological features
Metaphyseal lesion in a tubular bone that appears as an area of cortical
indentation resulting in sauceruzed depression of outer cortex with a well
defined inner margin.
Synovial chondromatosis
• Also known as Reichel syndrome
• Characterised by loose cartilaginous bodies which may or may not be
calcified
• Primary – Predominantly monoarticular disorder of unknown etiology
• Secondary – Osteoarthrosis, neuropathic arthropathy
Chondromyxoid fibroma
• Rare, benign tumour of bone composed of chondroid, fibrous and
myxoid tissues
• Incidence - < 1% of all bone tumoours
• Age – 10 to 30 yrs and > 60 yrs.
• Commonn site- Bone around knee > humerus, ribs
• Symptoms – Evolving pain and occasional swelling
• Size – 1 to 10 cm (average 3 cm)
Radiological features
• Metaphyseal geographic lesion , eccentric , oval or round, endosteal
scalloping, can be expansile and can give soap bubble appearance.
Rarely shows calcification in matrix
• MRI – low signal intensity on T1WI and heterogeneous high signal
intensity on T2WI
Chondroblastoma
• Rare primary benign tumour of cartilaginous origin.
• Usually seen before epiphyseal closure and primarily affects the long
tubular bones of lower extremities.
• Incidence - <1% of all bone tumours (550)
• 10 – 25 years of age, males
• Symptoms – pain aften reffered to adjacent joint, swelling and
tenderness, joint effusion, pathological fractures.
• Common sites – Proximal femur > distal femur > proximal tibia > proximal
humerus > tarsak bones
• Microscopy – Chicken wire calcification
• Can rarely have metastases to lung
Radiological features
• Medullary round or oval lytic lesion involving epiphysis > metaphysis
in a long bone of a adolescent patient, most lesions are eccentric with
sharp zone of transtition with marginal rim of sclerosis
• Surrounding periosteal reaction and marrow edema may be present
MRI features
• T1 – intermediate signal ,T2 – heterogeneous intermediate signal
• Hypointense sclerotic rim
• STIR – high signal
• Can have surrounding bone marrow and soft tissue edema
Differential diagnosis
• Giant cell tumour
• Brodie’s abscess
• Eosinnophilic granuloma
• Treatment
• Curettage accompanied by packing with cancellous bone chips
OSTEOGENIC TUMOURS
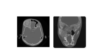
OSTEOMA
• Benign bone tumour that arise from membranous bone
• Most are asymptomatic and their true incidence is unknown
• Common sites – Frontal and ethmoidal sinuses, outer and inner table
of skull
• If lesion interferes with drainage of sinuses – chronic sinusitis with
retro orbital pressure, headache, mucoceles and rarely leads to brain
abscess
• Most osteoma never reach a size of > 2 cm
• However these lesion rarely enlarge , filling a sinus completely(Giant
osteoma)
Radiological features
• Round or oval radio-opaque structure < 2 cm.
• In case of giant osteoma , expansion of sinus wall can happen
• Rarely osteoma may occur off the outer skull table and can become
quite large
GARDENER’S SYNDROME
• Triad of multiple osteomas, colonic polyposis and soft tissue fibromas
• Common bones involved – frontal, mandible, maxilla, sphenoid,
ethmoid, zygoma and tubular bones of hand and feet.
ENDOSTEMA
• Discrete area of sclerosis usually called a bone island
• It is usually asymptomatic and incidentally found
• Common sites – Ischium, ilium, sacrum and proximal femur
Osteoid osteoma
• It is a small benign vascular osteoblastic ttumour is associated with
clinical picture of night pain relieved by NSAIDS
• Second or third decade, males
• Sites – Diaphysis of metaphysis of appendicular skeleton, more
common in femur or tibia
• Some of these lesions are intra articular causing synovitis and mono
arthropathy
Radiological features
• Characteristic feature is a nidus which can be lytic or sclerotic or most
commonly of mixed density depending upon the degree of central
mineralization
• The nidus measures upto 15 mm surrounded by a region of reactive
medullary sclerosis and solid periosteal reaction.
• CT demonstrates the classical feature of a round or oval nidus of soft
tissue density which commonly shows central dense mineralisation
• Vascular groove sign manifests as thin channel in the thickened bone
surrounding the nidus
• Nidus shows low signal intensity on T1 and variable SI on T2 and STIR
images depending on degree of sclerosis/ mineralization
• It enhances strongly on post contrast images
Treatment
• Most will have spontaneous regression
• NSAIDS
• Surgery
• Radiotheraphy and thermocoagulation
SPINAL OSTEOID OSTEOMA
• Most common - Lumbar spine
• Common site in spine – Neural arch
• Symptoms precedes radiological changes
• Vertebral body lesion can cause ivory vertebrae or focal sclerosis
DD for ivory vertebrae
• Pediatric
• lymphoma: commonest cause, usually Hodgkin lymphoma
• osteosarcoma
• osteoblastoma
• blastic metastatic disease
• neuroblastoma
• medulloblastoma
• Ewing sarcoma (rare)
• Adult
• osteoblastic metastases
• prostate cancer
• breast cancer
• lymphoma (usually Hodgkin lymphoma)
• tuberculous spondylitis
• hemangioma
• chordoma
• Paget disease of bone
• vertebral body expansion (unlike hemangioma)
• coarsened trabeculae
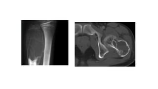
OSTEOBLASTOMA
• Rare benign neoplastic lesion
• Incidence <1 % (400) , 10-20 yrs, males
• It is termed as giant osteoid osteoma
• Symptoms – Pain (Neither nocturnal nor relieved by NSAIDS), scoliosis
provoked by pain, parasthesias and weakness
• Location – Spine > femur > foot and ankle > ribs > others
• In spine , neural arch is commonly involved. Upper thoracic and lower
lumbar is commonly involved.
• Nidus is usually > 2 cm and softer than of osteoid osteoma
Radiological features
• SPINE – Expansile lesion with a clearly defined eggshell thin cortical
rim at the periphery of the lesion. Most lesions are radiolucent with a
size of 4-6 cm
• Extremities – Involves metaphysis or diaphysis ; expansile lytic lesion
with size > 2 cm and thin peripheral cortical rim
TREATMENT
• Small lesion – surgery and curettage
• Spinal lesions are often inoperable and requires radiation theraphy
OTHERS
Giant cell tumour
• GCTs are locally aggressive neoplasm that orginates from non bone
forming supporting connective tissue of marrow.
• This highly vascular tumour is composed of spindle shaped stromal
cells interspread among multinucleated giant cell.
• Some of these tumours can be malignant
• It accounts for 15% of all benign bone tumours and 5-8% of all
primary malignant bone tumour
• 20-40 years, female
• Symptoms – aching pain with localized swelling and tenderness,
pathological fractre
• Location- Distal femur > proximal tibia > distal radius > proximal
humerus > others
• Involvement of distal radius causes a more series prognosis as most of
the lesions are malignant
• Sacrum is the most common spinal site
• These lesion usually begins in metaphyseal end of a long bone and
extends to the end of a long bone abutting its joint surface leaving the
lesion subarticular
Radiological features
• Eccentric, subarticular, multilobed lesion giving a soap bubble
appearance
TREATMENT
• Treatment of choice is surgical curettage combined with liquid
nitrogen freezing, bone packing or grafting
• Spinal lesions are often inoperable and needs radiotheraphy
• Prognosis is good for benign wheras for malignant tumour only 10% 5
year survival rate.
Desmoplastic fibroma
• Rare locally aggressive benign bone tumour which is considered as
counterpart of soft tissue desmoid tumour
• 0.3% of all benign bone tumours
• Common in young adults
• Common sites – mandible, metaphysis and diaphysis of long bone,
pelvis
Radiological features
• Well defined lobulated, expasile lesion with narrow transtition zone
• Sometimes can show cortical bone destriction and extension into
surrounding tissues
• Internal pseudotrabaculations can be seen
Non ossifying fibroma
• They are benign osteoclastic neoplasm
• Second decade, males
• Most are asymptomatic and found incidently
• However large lesions >8 cm, can cause persistant pain and
pathological fractures
• Location – Distal tibia > proximal tibia, distal femur, fibula and
proximal humerus
• Most lesions are dimetaphyseal and eccentric in position
• Multiple non ossifying fibromas are found in neurofibromatosis
Radiological features
• Solitary, radiolucent, eccentric, generally ovoid with thinned out
cortex
• Margins are scalloped and often a multilocular bubbly appearance
• Narrow zone of transistion
• Large lesions may involve the entire width of long bone
HEMANGIOMA
• It is a vascular solitary neoplasm that is slow growing and composed
of newly formed capillary, cavernous or venous blood vessel
• Represents 1% of all primary benign bone tumours
• Most common benign tumour of spine
• Age < 40 yrs, females
• Symptoms – Mostly asymptomatic, can cause localized pain and
surrounding muscle spasms, neurological compromise due to spinal
stenosis
• Location – Spine (lower thoracic and upper lumbar) and skull >
mandible, maxilla, petalla, metacarpals, ribs , scapula
• Capillary hemangioma – Fine capillary loops tend to spread outward
in a sunburst fashion , when present , is usually encountered in flat
bones and metaphyseal ends of long bones
• Cavernous hemangioma – Large thin walled blood vessels and sinus
surrounded by a resorbed bony trabeculae. It is most common type
and frequently involves skull and spine
Radiological features
• SPINE – mostly solitary, coarse vertical striations seen known as
corduroy cloth appearance which is appreciated in lateral view: There
is slight overall loss to bone density
• Skull – most common in frontal bone , 1-7 cm round to oval lytic
lesion with dense, fine spicula radiating from its centrum giving a
sunburst or spoked wheel appearance
TREATMENT
• Most lesion nned no treatment
• In lesions causing spinal stenosis, cord decompression should be done
• Radiation treatment can be given in inoperable vertebral
hemangioma
INTRAOSSEOUS LIPOMA
• Primary intraosseous lipoma is a rarest benign bone tumour (200).
• Soft tissue and subperiosteal lipomas are more common and can
secondarily involve the skeleton by extrinsic pressure on the cortex
• 4th
decade with no sex predilection
• Location – metaphysis of long bones particularly tibia and fibula,
calcenous and metatarsals
Radiological features
• Osteolytic lesion with a well defined or sclerotic border, Sequestrum
calcification can be seen in the centre
Simple bone cyst
• It is otherwise called as unicameral bone cyst or juvenile bone cyst is
not a true neoplasm of bone
• It is fluid filled cyst lined by a thin fibrous layer
• Age – 3 to 14 yrs, males
• Symptoms – Asymptomatic wntil they undergo pathological fracture
(2/3)
• Location – Proximal humerus and proximal femur > fibula, tibia,ribs,
pelvis , calcaneum, sacrum and clavicle
• Site – metaphysis immediately adjacent to epiphyseal cartilage plate
• Most lesion are central, with long axis parallel to long axis of bone
Radiological features
• Cystic radiolucency that is broad at metaphyseal end and narrower at
epiphyseal end, long axis greater than diameter.
• A characteristic radiologic sign may be seen when a pathologic
fracture complicates this lesion – Fallen fragment sign and represent a
small, detached, floating bone fragment which will change position
within the lytic defect.
TREATMENT
• Treatment of choice is surgical curettage with cauterization of cyst
• Packing of the hollow cavity with bone chips following surgery is
necessary
• Injection of steroids has significantly reduced the recurrence rates
ANEURYSMAL BONE CYST
• ABC is a non neoplastic solitary lesion of bone containing a cystic
cavity filled with blood.
• The lesion is neither an aneurysm nor abone cyst but is made of
channels containing flowing blood
• Age – 5 to 20 years, female
• Symmptoms – pain with rapid increase in severity in a short period of
time, pathological fracture, spinal ABCs can cause neurological deficits
• Location – Long tubular bones (femur and tibia) and spine (Neural
arch) > Flat bones and short tubular bones
• Mostly affects metaphysis > diaphysis
Radiological features
• Expansile, rapid growing , saccular lytic lesion, sharply demarcated by
thin subperiosteal shell
• Tends to be eccentric with multiple fine septa and sharply
demarcated, bulging , scalloping borders
• Many lesion may reach 8-10 cm and cause marked ballooning of a
thnned cortex - finger in the balloon sign.
• Periosteal new bone formation near the margins of lesion, creating a
buttressing effect
• On CT and MRI, several fluid levels can be seen within this lesion
owing to settling of degraded blood products
FIBROUS DYSPLASIA
• Fibrous dysplasia is a developmental anamoly in which a defect in
osteoblastic differentiation and maturation results in replacement of
normal bone marrow with fibro-osseous tissue.
• Incidence – 7% of all benign bone tumours
• AGE < 30 yrs
• Symptoms – asymptomatic in case of no pathological fracture
• Common sites – Ribs > Proximal femur > Craniofacial bones
• McCune albert syndrome (females)– Fibrous dyplasia, café au lait
spots, precocious puberty
• Mazabraud syndrome – Fibrous dysplasia , soft tissue myxomata
• Polyostoic fibrous dysplasia- femur, skull, tibia, humerus, ribs, fibula,
radius and ulna
Radiological features
• Involves the diametaphysis and spares the subarticular surface
• Radiolucent, often having a loculated or trabeculated appearance
• Scattered through the fibrous lesion, there is appearance of radio
opacity – ground glass or smoky appearance
• They have a thick sclerotic margin – Rind of sclerosis
• MRI
• T1 isointense , hyprintense in case of hemorrhage
• T2 - variable depending on whether the tumour containing fibrous
tissue or has undergone cystic change
• Uniform or septal enhancement
CHERUBISM
• It si familial fibrous dysplasia of jaws charcterised by swelling of lower
face
• It is recognized by age of 2 years and spontaneously regresses during
puberty
• It affects mandible > Maxillary
THANK YOU

BENIGN BONE TUMOURS ppt classification Radiology

  • 1.
  • 2.
    WHO CLASSIFICATION OFBENIGN BONE TUMOURS • CHONDROGENIC TUMOURS • Benign – Osteochondroma Enchondroma Periosteal chondroma Osteochondromyxoma Subungual exostosis Synovial chondromatosis Chondromyxoid fibroma • Intermediate (locally aggressive) – Atypical cartilaginous tumour • Intermediate (rarely metastasising) - Chondroblastoma
  • 3.
    • OSTEOGENIC TUMOURS •Benign – Osteoma Osteoid osteoma • Intermediate (Locally aggressive) – Osteoblastoma • OSTEOCLASTIC GIANT CELL TUMOUR • Benign – Giant cell lesion of small bones • Intermediate (locally aggressive, rarely metastasing)- Giant cell tumour
  • 4.
    • FIBROGENIC TUMOURS •Intermediate (locally aggressive) – Desmoplastic fibroma • FIBROHISTIOCYTIC TUMOURS • Benign – Benign fibrous histiocytoma/ non ossifying fibroma • NOTOCHORDAL TUMOUR • Benign – Benign notochordal tumour • VASCULAR TUMOURS • Benign – haemangioma
  • 5.
    • TUMOURS OFUNDEFINED NEOPLASTIC NATURE * Benign – Simple bone cyst Fibrous dysplasia Osteofibrous dysplasia * Intermediate (Locally aggressive, rarely metastasising) – Aneurysmal bone cyst
  • 6.
    OSTEOCHONDROMA • Osteochondroma isa bony exostosis projecting fro the external surface of bone • It usually has hyaline lined cartilaginous cap. • Incidence – 20 to 50% of all primary benign bone tumour • Common in males, second decade of life • Predisposing factors – Total body radiotheraphy, salter harris fracture and surgery • Location – Metaphysis of long bones > flat bones • Long bones – Distal femur > Proximal humerus, proximal tibia, proximal femur • Short bones – Ilium, scapula, ribs
  • 7.
    TYPES • By number 1.One bone – Solitary osteochondroma 2. Two or three bones with no family history – Multiple osteochondromas 3. Multiple bones with family history – Hereditary multiple exostoses (Diaphyseal aclasis) • By morphology 1. Pedunculated – Exhibits a base that has an elongated bony stalk merging continuously with host bone. Common in bones around knee, hip and ankle 2. Sessile – plateau like stalk producing a broad base protuberance. Common in proximal humerus and scapula.
  • 9.
    SYMPTOMS • Mostly asymptomaticnunlessthey disturb adjacent blood vessels, nerve or joint function. • Hard painless mass near a joint • Fracture through the stalk – severe pain and swelling • Large spinal osteochondroma – cord compression, sciatica and scoliosis
  • 10.
    COMPLICATIONS • Fracture • Deformitywith subsequent loss of motion • Vascular injury (Pseudoaneurysm) • Neurological compromise • Adventitious bursae formation • Malignant transformation (HME > Solitary)
  • 11.
    Radiological features Sessile orpedunculated and is seen in metaphyseal region, typical project away from join. Continuity of medullary cavity of lesion with that of underlying bone noted.
  • 12.
    • Cartilge capis variable in appearance – It may be thin and difficult to identify or thick with ring arc calcification. It usually measures <2 cm in adults and <3 cm in children Hypoechoic region bounded by bone on deeper surface and muscle/fat superficially Proton density sequence or T2 FSE shows hyperintense cartilage
  • 13.
    Malignant osteochondroma Malignancy issuspected when • Growth after skeletal maturity • Cortical destruction • Increasing pain and mass • Soft tissue mass • Thick irregular calcified cap • Cartilage cap > 2 cm in adults, > 3 cm in children.
  • 14.
    Special varieties • Trevordisease – Hereditary disease in which osteochondroma like lesion arises from epiphysis • Cauliflower osteochondroma – cauliflower like exostosis arising from adjacent bone with increased density scattered throughout the osteochondroma, representing calcified islands of cartilage
  • 15.
    Hereditary Multiple exostosis •Autosomal dominant disorder characterized by multiple osteochondromas(Average 10) • Common sites – Long bones of knee, ankle, shoulder and wrist. Flat bones involvement is rare. • Distribution is usually bilateral and symmetric • Radiological features – Multiple osteochondromas, Bayonet hand deformity, pressure erosions to adjacent bones
  • 16.
    Bayonet hand deformityPressure erosions
  • 17.
    Treatment • Asymptomatic –No treatment • Symptomatic / Risk of malignancy – Surgical resection with care taken to include periosteal surface
  • 18.
    Subungual exostosis • Itis histologically distinct from osteochondroma and demonstrates no medullary continuity. • It has fibrocartilagious cap. • Most common in dorsal surface of distal phalanx (Common in big toe), It extends beneath or adjacent to nail bed • Predisposing factor – Previous trauma • Radiological features : Bony spur extending into nail bed
  • 19.
    ENCHONDROMA • It isan intramedullary neoplasm comprising lobules of benign hyaline cartilage. • Incidence – 10% of all benign bone tumours • Common in age 10 – 30 years , equal in both males and females. • Location – Tubular bones of hands and feet (Proximal phalanges > metacarpals > middle phalanges) • Other sites – Femur, tibia and humerus. • Symptoms – Mostly asymptomatic but can present with pathological fracture • Can rarely lead to chondrosarcoma
  • 20.
    Radiological features • Wellcircumscribed geographic lytic lesion, which may expand the cortex. Stippled calcification can be noted.
  • 21.
    • Sharply definedmargins • Size <5cm • Narrow zone of transition • Endosteal scalloping • Thinned cortex • Ring and arcs calcification • No bone destruction, periosteal reaction or soft tissue mass
  • 22.
    • MRI features– Intermediate signal on T1WI and T2WI and hyperintensity on STIR with no surrounding edema. • A hypointense rim and septa may be seen , which will show contrast enhancement
  • 23.
    ENCHONDROMA PROTUBERANCE • Eccentricallyplaced enchondroma with extra osseous component, covered by thin shell of intact cortical bone
  • 24.
    TREATMENT • Asymptomatic –No treatment • Symptomatic – Curettage followed by cryosurgery and bone chips
  • 25.
    OLLIER’S DISEASE • Inbornanomaly of enchondral bone formation – leads to unossified cartilage remanents in diaphysis and metaphysis • Malignant transformation is more common than than in solitary enchondroma • Location – Small bones of hand and feet, femur , tbia and illoac bone • Unilateral distribution
  • 26.
    Maffucci syndrome • Characterisedby multiple enchrondromas and soft tissue cavernous hemangiomas • Malignancy is more common here than in ollier’s disease
  • 27.
    Periosteal chondroma • Slowgrowing benign cartilaginous tumour that develops within and beneath the periosteum on the surface of cortical bone • Common in young adults • Common sites – Small bones of hand and feet • Other sites – Femur, tibial, radius, ulna and fibula
  • 28.
    Radiological features Metaphyseal lesionin a tubular bone that appears as an area of cortical indentation resulting in sauceruzed depression of outer cortex with a well defined inner margin.
  • 29.
    Synovial chondromatosis • Alsoknown as Reichel syndrome • Characterised by loose cartilaginous bodies which may or may not be calcified • Primary – Predominantly monoarticular disorder of unknown etiology • Secondary – Osteoarthrosis, neuropathic arthropathy
  • 30.
    Chondromyxoid fibroma • Rare,benign tumour of bone composed of chondroid, fibrous and myxoid tissues • Incidence - < 1% of all bone tumoours • Age – 10 to 30 yrs and > 60 yrs. • Commonn site- Bone around knee > humerus, ribs • Symptoms – Evolving pain and occasional swelling • Size – 1 to 10 cm (average 3 cm)
  • 31.
    Radiological features • Metaphysealgeographic lesion , eccentric , oval or round, endosteal scalloping, can be expansile and can give soap bubble appearance. Rarely shows calcification in matrix
  • 32.
    • MRI –low signal intensity on T1WI and heterogeneous high signal intensity on T2WI
  • 33.
    Chondroblastoma • Rare primarybenign tumour of cartilaginous origin. • Usually seen before epiphyseal closure and primarily affects the long tubular bones of lower extremities. • Incidence - <1% of all bone tumours (550) • 10 – 25 years of age, males • Symptoms – pain aften reffered to adjacent joint, swelling and tenderness, joint effusion, pathological fractures. • Common sites – Proximal femur > distal femur > proximal tibia > proximal humerus > tarsak bones • Microscopy – Chicken wire calcification • Can rarely have metastases to lung
  • 34.
    Radiological features • Medullaryround or oval lytic lesion involving epiphysis > metaphysis in a long bone of a adolescent patient, most lesions are eccentric with sharp zone of transtition with marginal rim of sclerosis • Surrounding periosteal reaction and marrow edema may be present
  • 35.
    MRI features • T1– intermediate signal ,T2 – heterogeneous intermediate signal • Hypointense sclerotic rim • STIR – high signal • Can have surrounding bone marrow and soft tissue edema
  • 36.
    Differential diagnosis • Giantcell tumour • Brodie’s abscess • Eosinnophilic granuloma • Treatment • Curettage accompanied by packing with cancellous bone chips
  • 37.
  • 38.
    OSTEOMA • Benign bonetumour that arise from membranous bone • Most are asymptomatic and their true incidence is unknown • Common sites – Frontal and ethmoidal sinuses, outer and inner table of skull • If lesion interferes with drainage of sinuses – chronic sinusitis with retro orbital pressure, headache, mucoceles and rarely leads to brain abscess • Most osteoma never reach a size of > 2 cm • However these lesion rarely enlarge , filling a sinus completely(Giant osteoma)
  • 39.
    Radiological features • Roundor oval radio-opaque structure < 2 cm. • In case of giant osteoma , expansion of sinus wall can happen
  • 40.
    • Rarely osteomamay occur off the outer skull table and can become quite large
  • 41.
    GARDENER’S SYNDROME • Triadof multiple osteomas, colonic polyposis and soft tissue fibromas • Common bones involved – frontal, mandible, maxilla, sphenoid, ethmoid, zygoma and tubular bones of hand and feet.
  • 42.
    ENDOSTEMA • Discrete areaof sclerosis usually called a bone island • It is usually asymptomatic and incidentally found • Common sites – Ischium, ilium, sacrum and proximal femur
  • 43.
    Osteoid osteoma • Itis a small benign vascular osteoblastic ttumour is associated with clinical picture of night pain relieved by NSAIDS • Second or third decade, males • Sites – Diaphysis of metaphysis of appendicular skeleton, more common in femur or tibia • Some of these lesions are intra articular causing synovitis and mono arthropathy
  • 44.
    Radiological features • Characteristicfeature is a nidus which can be lytic or sclerotic or most commonly of mixed density depending upon the degree of central mineralization • The nidus measures upto 15 mm surrounded by a region of reactive medullary sclerosis and solid periosteal reaction.
  • 45.
    • CT demonstratesthe classical feature of a round or oval nidus of soft tissue density which commonly shows central dense mineralisation
  • 46.
    • Vascular groovesign manifests as thin channel in the thickened bone surrounding the nidus
  • 47.
    • Nidus showslow signal intensity on T1 and variable SI on T2 and STIR images depending on degree of sclerosis/ mineralization • It enhances strongly on post contrast images
  • 48.
    Treatment • Most willhave spontaneous regression • NSAIDS • Surgery • Radiotheraphy and thermocoagulation
  • 49.
    SPINAL OSTEOID OSTEOMA •Most common - Lumbar spine • Common site in spine – Neural arch • Symptoms precedes radiological changes • Vertebral body lesion can cause ivory vertebrae or focal sclerosis
  • 51.
    DD for ivoryvertebrae • Pediatric • lymphoma: commonest cause, usually Hodgkin lymphoma • osteosarcoma • osteoblastoma • blastic metastatic disease • neuroblastoma • medulloblastoma • Ewing sarcoma (rare)
  • 52.
    • Adult • osteoblasticmetastases • prostate cancer • breast cancer • lymphoma (usually Hodgkin lymphoma) • tuberculous spondylitis • hemangioma • chordoma • Paget disease of bone • vertebral body expansion (unlike hemangioma) • coarsened trabeculae
  • 53.
    OSTEOBLASTOMA • Rare benignneoplastic lesion • Incidence <1 % (400) , 10-20 yrs, males • It is termed as giant osteoid osteoma • Symptoms – Pain (Neither nocturnal nor relieved by NSAIDS), scoliosis provoked by pain, parasthesias and weakness • Location – Spine > femur > foot and ankle > ribs > others • In spine , neural arch is commonly involved. Upper thoracic and lower lumbar is commonly involved. • Nidus is usually > 2 cm and softer than of osteoid osteoma
  • 54.
    Radiological features • SPINE– Expansile lesion with a clearly defined eggshell thin cortical rim at the periphery of the lesion. Most lesions are radiolucent with a size of 4-6 cm
  • 55.
    • Extremities –Involves metaphysis or diaphysis ; expansile lytic lesion with size > 2 cm and thin peripheral cortical rim
  • 56.
    TREATMENT • Small lesion– surgery and curettage • Spinal lesions are often inoperable and requires radiation theraphy
  • 57.
  • 58.
    Giant cell tumour •GCTs are locally aggressive neoplasm that orginates from non bone forming supporting connective tissue of marrow. • This highly vascular tumour is composed of spindle shaped stromal cells interspread among multinucleated giant cell. • Some of these tumours can be malignant • It accounts for 15% of all benign bone tumours and 5-8% of all primary malignant bone tumour • 20-40 years, female • Symptoms – aching pain with localized swelling and tenderness, pathological fractre
  • 59.
    • Location- Distalfemur > proximal tibia > distal radius > proximal humerus > others • Involvement of distal radius causes a more series prognosis as most of the lesions are malignant • Sacrum is the most common spinal site • These lesion usually begins in metaphyseal end of a long bone and extends to the end of a long bone abutting its joint surface leaving the lesion subarticular
  • 60.
    Radiological features • Eccentric,subarticular, multilobed lesion giving a soap bubble appearance
  • 61.
    TREATMENT • Treatment ofchoice is surgical curettage combined with liquid nitrogen freezing, bone packing or grafting • Spinal lesions are often inoperable and needs radiotheraphy • Prognosis is good for benign wheras for malignant tumour only 10% 5 year survival rate.
  • 62.
    Desmoplastic fibroma • Rarelocally aggressive benign bone tumour which is considered as counterpart of soft tissue desmoid tumour • 0.3% of all benign bone tumours • Common in young adults • Common sites – mandible, metaphysis and diaphysis of long bone, pelvis
  • 63.
    Radiological features • Welldefined lobulated, expasile lesion with narrow transtition zone • Sometimes can show cortical bone destriction and extension into surrounding tissues • Internal pseudotrabaculations can be seen
  • 64.
    Non ossifying fibroma •They are benign osteoclastic neoplasm • Second decade, males • Most are asymptomatic and found incidently • However large lesions >8 cm, can cause persistant pain and pathological fractures • Location – Distal tibia > proximal tibia, distal femur, fibula and proximal humerus • Most lesions are dimetaphyseal and eccentric in position • Multiple non ossifying fibromas are found in neurofibromatosis
  • 65.
    Radiological features • Solitary,radiolucent, eccentric, generally ovoid with thinned out cortex • Margins are scalloped and often a multilocular bubbly appearance • Narrow zone of transistion • Large lesions may involve the entire width of long bone
  • 66.
    HEMANGIOMA • It isa vascular solitary neoplasm that is slow growing and composed of newly formed capillary, cavernous or venous blood vessel • Represents 1% of all primary benign bone tumours • Most common benign tumour of spine • Age < 40 yrs, females • Symptoms – Mostly asymptomatic, can cause localized pain and surrounding muscle spasms, neurological compromise due to spinal stenosis • Location – Spine (lower thoracic and upper lumbar) and skull > mandible, maxilla, petalla, metacarpals, ribs , scapula
  • 67.
    • Capillary hemangioma– Fine capillary loops tend to spread outward in a sunburst fashion , when present , is usually encountered in flat bones and metaphyseal ends of long bones • Cavernous hemangioma – Large thin walled blood vessels and sinus surrounded by a resorbed bony trabeculae. It is most common type and frequently involves skull and spine
  • 68.
    Radiological features • SPINE– mostly solitary, coarse vertical striations seen known as corduroy cloth appearance which is appreciated in lateral view: There is slight overall loss to bone density
  • 69.
    • Skull –most common in frontal bone , 1-7 cm round to oval lytic lesion with dense, fine spicula radiating from its centrum giving a sunburst or spoked wheel appearance
  • 70.
    TREATMENT • Most lesionnned no treatment • In lesions causing spinal stenosis, cord decompression should be done • Radiation treatment can be given in inoperable vertebral hemangioma
  • 71.
    INTRAOSSEOUS LIPOMA • Primaryintraosseous lipoma is a rarest benign bone tumour (200). • Soft tissue and subperiosteal lipomas are more common and can secondarily involve the skeleton by extrinsic pressure on the cortex • 4th decade with no sex predilection • Location – metaphysis of long bones particularly tibia and fibula, calcenous and metatarsals
  • 72.
    Radiological features • Osteolyticlesion with a well defined or sclerotic border, Sequestrum calcification can be seen in the centre
  • 73.
    Simple bone cyst •It is otherwise called as unicameral bone cyst or juvenile bone cyst is not a true neoplasm of bone • It is fluid filled cyst lined by a thin fibrous layer • Age – 3 to 14 yrs, males • Symptoms – Asymptomatic wntil they undergo pathological fracture (2/3) • Location – Proximal humerus and proximal femur > fibula, tibia,ribs, pelvis , calcaneum, sacrum and clavicle • Site – metaphysis immediately adjacent to epiphyseal cartilage plate • Most lesion are central, with long axis parallel to long axis of bone
  • 74.
    Radiological features • Cysticradiolucency that is broad at metaphyseal end and narrower at epiphyseal end, long axis greater than diameter. • A characteristic radiologic sign may be seen when a pathologic fracture complicates this lesion – Fallen fragment sign and represent a small, detached, floating bone fragment which will change position within the lytic defect.
  • 75.
    TREATMENT • Treatment ofchoice is surgical curettage with cauterization of cyst • Packing of the hollow cavity with bone chips following surgery is necessary • Injection of steroids has significantly reduced the recurrence rates
  • 76.
    ANEURYSMAL BONE CYST •ABC is a non neoplastic solitary lesion of bone containing a cystic cavity filled with blood. • The lesion is neither an aneurysm nor abone cyst but is made of channels containing flowing blood • Age – 5 to 20 years, female • Symmptoms – pain with rapid increase in severity in a short period of time, pathological fracture, spinal ABCs can cause neurological deficits • Location – Long tubular bones (femur and tibia) and spine (Neural arch) > Flat bones and short tubular bones • Mostly affects metaphysis > diaphysis
  • 77.
    Radiological features • Expansile,rapid growing , saccular lytic lesion, sharply demarcated by thin subperiosteal shell • Tends to be eccentric with multiple fine septa and sharply demarcated, bulging , scalloping borders • Many lesion may reach 8-10 cm and cause marked ballooning of a thnned cortex - finger in the balloon sign. • Periosteal new bone formation near the margins of lesion, creating a buttressing effect • On CT and MRI, several fluid levels can be seen within this lesion owing to settling of degraded blood products
  • 79.
    FIBROUS DYSPLASIA • Fibrousdysplasia is a developmental anamoly in which a defect in osteoblastic differentiation and maturation results in replacement of normal bone marrow with fibro-osseous tissue. • Incidence – 7% of all benign bone tumours • AGE < 30 yrs • Symptoms – asymptomatic in case of no pathological fracture • Common sites – Ribs > Proximal femur > Craniofacial bones
  • 80.
    • McCune albertsyndrome (females)– Fibrous dyplasia, café au lait spots, precocious puberty • Mazabraud syndrome – Fibrous dysplasia , soft tissue myxomata • Polyostoic fibrous dysplasia- femur, skull, tibia, humerus, ribs, fibula, radius and ulna
  • 81.
    Radiological features • Involvesthe diametaphysis and spares the subarticular surface • Radiolucent, often having a loculated or trabeculated appearance • Scattered through the fibrous lesion, there is appearance of radio opacity – ground glass or smoky appearance • They have a thick sclerotic margin – Rind of sclerosis
  • 84.
    • MRI • T1isointense , hyprintense in case of hemorrhage • T2 - variable depending on whether the tumour containing fibrous tissue or has undergone cystic change • Uniform or septal enhancement
  • 85.
    CHERUBISM • It sifamilial fibrous dysplasia of jaws charcterised by swelling of lower face • It is recognized by age of 2 years and spontaneously regresses during puberty • It affects mandible > Maxillary
  • 86.