GUIDED BY: PRESENTED BY:
DR. MAHESH BHATI SIR DR. PRADEEP CHOUDHARY
SENIOR PROFESSOR & PG 2ND YEAR
UNIT HEAD DEPT. OF ORTHOPEDICS
BENIGN BONE TUMORS
BENIGN MEANS- ‘KIND/GENTLE’
 Tumor that does
not invade its
surrounding
tissue
WE WILL DISCUSS-
 Osteoma
 Osteoid osteoma osteoblast
 Osteoblastoma
 Osteoclastoma osteoclast
 Chondroblastoma
 Osteochondroma/exostosis chondroblast
 enchondroma
COMMON FEATURES:-
 Well defined margins
 Sclerotic rim
 No periosteal reaction
 Expanding lesion
 No extra-osseous soft tissue involvment
 Narrow zone of transition
TREATMENT
1.INTRA LESIONAL:
-plane of surgical dissection is
within the tumour.
-Symptomatic benign lesion.
-palliative in metastatic disease.
2.MARGINAL:
-plane of dissection passes
thro’the pseudocapsule formed by
the tumour.
-most benign lesion & low
grade malignancies.
 3.WIDE:
 -plane of dissection is thro’ normal tissue.
 -no specific distance is defined.
 -quality of the margin is more important than the quantity.
 - hiogh grade malignancy.
4.RADICAL:
 All compartments containing tumour are removed en bloc
 -deep soft tissue tumours
 In case of bone tumour: removing entire bone and the
compartments of any involved muscle.
EXTENED CURETTAGE:
- use of adjuvants, ( liq N2 , phenol ,
methacrylate, thermal cautery)
recurrence rate can be reduced
FILLING THE CAVITY:
-autogenous bone graft
-allograft
-demineralised bone matrix
-artificial bone graft substitute
-bone cement ( immediete stability
Curettage
extended curettage
OSTEOMA
 Benign bony outgrowth of membranous bones.
 Multiple osteomas are associated with Gardner's
syndrome[multiple cut./subcut.lesion]
 Highest incidence in the sixth decade
 Male: female is 2:1
 Asymptomatic,[sinonasal osteoma- sinusitis,
nasal discharge,headache]
 Xray- 3-4cm homogenous round radiodense
mass
 Excision if symptomatic
OSTEOID OSTEOMA
 Commonest benign osseous tumour
 Common in 1st& 2nd decade of life
 10% of all benign bone tumours
 M:F – 2:1
 SITE: diaphysis, metaphysis of long bones [prox
femur mc>proximal tibia], posterior elements of
spine
 On basis of CT/MRI-
subperiosteal,intracortical,endosteal
CLINICAL FEATURES
 Dull pain, worse at night (night cries) & responds to
salicylates ( aspirin)
 Swelling uncommon
 Tenderness
RADIOLOGICAL FEATURES
 A sharp round or oval lesion.
 Less than 2 cm in diameter.
 Radiolucent nidus surrounded by reactive sclerosis
 Nidus- osteolytic/partially/entirely calcified
Nidus –central well defined
hypervascular area of
rarefaction[reduction of density of
bone]
INVESTIGATIONS
 CT SCAN: IOC
 Nidus is best localized with CT (1 mm cuts)
 Bull‟s eye lesion
 BONE SCAN: Tc99
Due to intense radioisotope uptake by nidus
and decreased uptake by surrounding sclerotic
bone, a double density image is created that is
typical of osteoid osteoma.
 Headlight in fog appearance
 d/d-
 Stress fracture
 Osteoblastoma
 Intracortical
abscess
MANAGEMENT
 Course: Self limiting
 On maturation, ossify and merge with surrounding
bone
 No reports of malignant transformation till date
 Treatment:
 Conservative - not recommended because of
severity of pain
 Surgical: En Bloc resection, Burr down
 Percutaneous radiofrequency ablation (PRA) –drill
hole made & rf probe inserted with temp 90c for 5-6
min
OSTEOBLASTOMA
 Benign vascular osseous tumour similar to
osteoid osteoma
 Progressive growth, absence of reactive
perifocal bone formation &>2cm nidus
 2nd, 3rd decade.
 M > F
 Sites: vertebrae- posterior elements
 dull aching Pain, long duration ,not relieved by
nsaids, spine –stiffness, painful scoliosis
 xray/CT scan- radiolucent well
circumscribed lesion with central calcification
& thin peripheral shell of reactive
bone„[cotton wool‟ if calcified ]
 Spine-spinous process,pedicle markedly
enlarged
 t/t – intralesional curettage or en-
bloc resection
 Neurologic involvement-
decompressive laminectomy
 d/d-
 Osteiod osteoma
 Gct
 abc
ENCHONDROMA
 Benign hyaline cartilage tumor occur in medulla of
bone and cause destruction of cancellous bone
 Replaces normal bone with mineralized/un. Hyaline
cartilage
 AGE: Most common between 2nd & 4th decades
 SITES: Short tubular bones of hand (phalanges and
metacarpals), followed by metaphysis femur,
humerus and ribs
 c/o- painless swelling,pain due to patho#
 RADIOGRAPHS: well circumscribed distinct area of
rarefaction, expands the cortex ,
 Calcification in older lesions -
spotty/punctate/stippled-rings & arcs
 d/d-
 Low grade chondrosarcoma
 Bone infarcts
 Sbc
 gct
MANAGEMENT
 Asymptomatic lesions - follow-up with serial
radiographs
 Symptomatic – PET Scan or biopsy to r/o
any malignancy
 Curettage and bone grafting
 Wide excision to avoid recurrence
 Pathologic fractures are allowed to heal
with closed treatment, curettage and bone
grafting is then required after fracture
healing.
 OLLIERS DISEASE
 Multiple enchondromatosis unilaterally
 Non-hereditary disorder common in children
 Affects metaphysis of long bones
 Presentation – bony swellings leads to thickening
and shortening and deformities
 25% risk of malignancy
 MAFFUCCI SYNDROME -50%risk of malignancy
 • hereditary familial disease
 • multiple enchondroma and cavernous
haemangioma
OSTEOCHONDROMA
 Also known as: Osteocartilaginous Exostosis
 Cartilage capped bony projection on external
surface of bone containing a marrow cavity that
is continuous with underlying bone
 Commonest benign tumour of bone.
 Lesion has its own growth plate, usually stops
growing at skeletal maturity.
 AGE GROUPS: first two decades
 SEX PREDILECTION: M:F-1.5:1
 SITES OF PREDILECTION: Around the
knee(40%) and proximal humerus.
 LOCATION: Metaphysis of long bones.
 Asymptomatic- hard,immobile, nontendor
swelling of long duration
 Pain: Mechanical irritation, Ischemic
necrosis, Perilesional ,bursitis, Fracture of
stalk, Malignancy <1%
 Growth disturbance of the extremity
 Block to joint motion
 No growth after skeletal maturity
X RAY
 Pedunculated / sessile – exophytic
 metaphysis / diaphysis
 Marrow and cortices of lesion continuous with
bone
 Directed away from growing end
 Cartilage cap not seen on x ray
 PATHOGENESIS:
 Herniation of a fragment of growth plate through
periosteal bone cuff
 Misdirected growth of that portion of physis
 HISTOLOGY:
 Lesion has three layers- periosteum,cartilage,bone
 Cartilage cap resembles layers of the normal growth
plate
 The cartilage is more disorganized than normal
 Binucleate chondrocytes in lacunae
 Covered with a thin layer of periosteum.
 Cartilage cap 1-3 mm thick, thicker in children
 SIGNS OF MALIGNANCY:
 >2 cm after skeletal maturity indicates
possible malignant transformation
 Growth spurt of lesion beyond skeletal
maturity
 Development of soft tissue with calcifications
 Dispersed calcifications within the
cartilaginous cap
MANAGEMENT
 Surgical excision
 Indication- cosmetic
-limitation of joint function,
-fracture,
- secondary impingment of nerve,
tendon, or vessals,repeated
-bursitis,
-suspicion of malignancy
HEREDITARY MULTIPLE EXOSTOSES (H.M.E)
 Also known as: Multiple Exostoses, Diaphyseal
aclasis
 Autosomal dominant hereditary disorder, 10% no
family history. EXT1,2,3 genes [EXT1 –severe dis]
 Knees, ankles and shoulders are most frequently
affected.
 Knobby appearance, Short stature
 Forearm deformity, Tibio-fibular synostosis, Genu
valgum, Coxa valga
 Rx - Excision of symptomatic exostosis
 Correction of deformity and limb length discrepancy
CHONDROBLASTOMA
 ALSO KNOWN AS: Codman’s Tumour
 Arises from immature cells of epiphyseal
cartilage
 AGE GROUPS: 10 to 20 yrs.
 SEX PREDILECTION: Males more affected
than females.
 SITES OF PREDILECTION: Proximal part of
the tibia, proximal part of the humerus and
femur.
 LOCATION: Epiphysis/ apophysis
 SYMPTOMS: Pain and local swelling of joint
without h/o trauma
 RADIOGRAPHS:
Well defined oval lytic lesion
Sclerotic margin
Epiphysis
Eccentric
Cottonwool calcification
HPE: Chicken-wire calcification
 Highly cellular and relatively undifferentiated
tissue,made up of polygonal chondroblast
like cells and multinucleated giant cells of
osteoclast type.
 Presence of cartilagenous intercellular matrix
with areas of focal calcification is typical.
 d/d- gct, tb,abc
 t/t- intralesional curettage with reconstruction
GIANT CELL TUMOUR (OSTEOCLASTOMA)
 INCIDENCE : 5% of biopsied primary bone
tumors.
 F>m,1.5:1
 Epiphysiometaphysel region
5Es- Elderly
Epiphysis
Eccentric
Expansive
Egg shell
crackling
 c/f- pain,swelling, joint restriction, ms
wasting,pathological fracture
 Patho- end of bone is expanded, thin
periosteum,fleshy dark brown soft friable
mass, cystic spaces seen with vascularised
network of round oval stromal cells &
multinucleated giant cells
 Campanacci Grading:
 Grade I: Tumour associated with well defined
margins and thin rim of mature bone [cystic
lesion]
 Grade II: Tumour is well defined but has no
radiopaque rim[thin cortex but no break in
cortex]
 Grade III: Tumour has fuzzy borders [cortex
break & soft tissue extension]
Grade 1 grade2 grade3
 Radiological Signs
Lytic lesion
Epiphysis
Narrow zone of transition
Thinning of cortex
Honey comb appearance
Soap bubble appearance
 DD: GCT has to be differentiated from giant
cell variants.
 Unicameral bone cyst -<20 yrs
age,metaphyseal region, fallen fragment sign
 Aneurysmal bone cyst-metaphyseal,double
density sign on ct
 Non-ossifying fibroma - <15yr age,
metaphysis/diaphysis,well defined scalloped
margins,rim of reactive host bone sclerosis
 Chondroblastoma –adolescent with open
physis,polygonal stromal cells with punctate
calcification,chiken wire appr.
 GCT of hyperparathyroidism (Brown tumor )-
osteopenia,subperiosteal resorption,high ca
&ALP,PTH
T/T ALGORITHM
 Treatment :
 Curettage and bone grating
 Curettage and placement of bone cement
 Curettage and cryosurgery
 Enbloc resection: 2cm normal tissue
include,Endoprosthesis, Arthrodesis
 Angioembolization
 Zolindronic acid –traget osteoclast like giant
cells.Follow-up : Follow-up examination is
essential for at least 5 years
SANDWICH TECHNIQUE
 When tumor is<1cm from articular surface
 Incidence of degenerative changes in
cartilage after the use of cement alone is 2.5
times greater than when tumor is>1cm away
 Than multilayered reconstruction is
recommened- interposing bone graft b/t
cartilage &cement reduces heat damage &
degenerative changes.
T-CONSTRUCT IN PROXIMAL TIBIA
< 2 mm
Morcellised graft
Autograft Iliac crest
Fibula
SIMPLE BONE CYST(UNICAMERAL CYST)
 Developmental anomaly of physis
 Etiology: Unknown –transient failure of ossification
of physeal cartilage & cyst formation
 C/F: 9-13 yrs, 2:1 male predominance. Silent until
pathological fracture occurs.
 Location:75% - humerus and proximal femur.
 Xray – well marginated,central lytic lesion
Fallen-leaf or Fallen-fragment sign
 Histology: cyst filled with clear yellowish fluid, wall
lined with fibrous tissue & hemosiderin.
 Rx: Path # - Immobilize
 Drainage, Steroid injection
SBC of humerus(truncated cone appearance)
SBC with pathological fracture
ANEURYSMAL BONE CYST
 expansile, blood filled cystic cavity separated
by connective tissue{not lined by
endothelium}
 <20 yr age
 Etiology:
 Primary ABC (65-99%): Unknown
 Secondary ABC (1-35%): preexisting bone
 C/F :
 5-20 yrs, 60% in females.
 Presents with pain at the site.
 80% of lesions – long bone like femur and tibia-
fibula
 Spinal lesions affect the neural arch, spinous
process, transverse process, and lamina. The
thoracic and lumbar spine are the common regions.
 Histology: ABC consists of multiple blood filled
sinusoid spaces. The solid, numerous multinucleated
giant cells.
Xray- well
defined,expansile
,eccentric,osteolytic
lesion with thin sclerotic
margin
 CT scan features: “blood filled sponge‟‟, fluid
levels due to sedimentation of blood.
 MRI : Multiple cysts: Fluid – fluid levels [double
density fluid level & intralesional septa]sbc vs
abc
 Nuclear study: “ donut sign ” i.e. peripheral
increased uptake.
 Angiography: hypervascularity in the periphery
of the lesion.
 Rx: Surgical curettage with bone grafting.
 Recurrence rate is high
 d/d-
 Osteoblastom
a
 gct
 Sbc
 chondroblasto
ma
NONOSSIFYING FIBROMA (FIBROUS CORTICAL
DEFECT)
 1st & 2nd decade
 Site- femur ,tibia,humerus
 •Solitary & well defined
 •Eccentric
 •radiolucent, ovoid, bubbly
 • metaphysis
 Rim of sclerosis
 Doesn’t expand cortex & no periosteal rxn
FIBROUS DYSPLASIA
 Developmental anomaly of bone formation.
Replacement of normal bone by fibrous
tissue &small woven bone
 GNAS 1 MUTATION
 C/F : 3-15 yrs,pain and sk deformity
 M:F 1:1, site –rib ,femur ,humerus
 Bowing deformities and pathologic fractures,
Café-au-lait spots are present in 30% of
patients.
 Monostotic fibrous dysplasia (solitary lesion):
70-80%
 Polyostotic fibrous dysplasia (multiple
bones)20-30%
 McCune Albright syndrome: Polyostotic
fibrous dysplasia, Endocrine dysfunction:
precocious puberty, hyperthyroidism, Café-au-
lait spots (coast of Maine)
 Mazabraud syn- polyostotic fd+ intramuscular
myxomas
 Fibrous dysplasia with Shepherd‟s crook
deformity and pathological fracture
 Well defined Geographic
lytic lesion
 Groundglass matrix
 Rx –curettage & grafting
 Int fixation with osteotomy
BROWN TUMOR(OSTEITIS FIBROSA CYSTICA)
 Replacement of bone by vascularized fibrous
tissue secondary to PTH stimulated osteoclastic
activity.
 Not true neoplasm,mimic like tumor
 Eccentric, expansile lytic lesion with well defined
non sclerotic margin.
 Haemorrhage & giant cell rxn within the fibrous
stroma may give rise to brownish,tumor like
mass,whose liquefaction leads to fluid –filled
cysts
 Subperisteal cortical resorption of middle
phalanges
 High PTH & ALP, HIGH Calcium & low P
 Rx – calcium &vit d
 parathyroidectomy
Benign bone tumor ppt

Benign bone tumor ppt

  • 1.
    GUIDED BY: PRESENTEDBY: DR. MAHESH BHATI SIR DR. PRADEEP CHOUDHARY SENIOR PROFESSOR & PG 2ND YEAR UNIT HEAD DEPT. OF ORTHOPEDICS BENIGN BONE TUMORS
  • 3.
    BENIGN MEANS- ‘KIND/GENTLE’ Tumor that does not invade its surrounding tissue
  • 4.
    WE WILL DISCUSS- Osteoma  Osteoid osteoma osteoblast  Osteoblastoma  Osteoclastoma osteoclast  Chondroblastoma  Osteochondroma/exostosis chondroblast  enchondroma
  • 5.
    COMMON FEATURES:-  Welldefined margins  Sclerotic rim  No periosteal reaction  Expanding lesion  No extra-osseous soft tissue involvment  Narrow zone of transition
  • 6.
    TREATMENT 1.INTRA LESIONAL: -plane ofsurgical dissection is within the tumour. -Symptomatic benign lesion. -palliative in metastatic disease. 2.MARGINAL: -plane of dissection passes thro’the pseudocapsule formed by the tumour. -most benign lesion & low grade malignancies.
  • 7.
     3.WIDE:  -planeof dissection is thro’ normal tissue.  -no specific distance is defined.  -quality of the margin is more important than the quantity.  - hiogh grade malignancy. 4.RADICAL:  All compartments containing tumour are removed en bloc  -deep soft tissue tumours  In case of bone tumour: removing entire bone and the compartments of any involved muscle.
  • 9.
    EXTENED CURETTAGE: - useof adjuvants, ( liq N2 , phenol , methacrylate, thermal cautery) recurrence rate can be reduced FILLING THE CAVITY: -autogenous bone graft -allograft -demineralised bone matrix -artificial bone graft substitute -bone cement ( immediete stability
  • 10.
  • 11.
    OSTEOMA  Benign bonyoutgrowth of membranous bones.  Multiple osteomas are associated with Gardner's syndrome[multiple cut./subcut.lesion]  Highest incidence in the sixth decade  Male: female is 2:1  Asymptomatic,[sinonasal osteoma- sinusitis, nasal discharge,headache]  Xray- 3-4cm homogenous round radiodense mass  Excision if symptomatic
  • 12.
    OSTEOID OSTEOMA  Commonestbenign osseous tumour  Common in 1st& 2nd decade of life  10% of all benign bone tumours  M:F – 2:1  SITE: diaphysis, metaphysis of long bones [prox femur mc>proximal tibia], posterior elements of spine  On basis of CT/MRI- subperiosteal,intracortical,endosteal
  • 13.
    CLINICAL FEATURES  Dullpain, worse at night (night cries) & responds to salicylates ( aspirin)  Swelling uncommon  Tenderness RADIOLOGICAL FEATURES  A sharp round or oval lesion.  Less than 2 cm in diameter.  Radiolucent nidus surrounded by reactive sclerosis  Nidus- osteolytic/partially/entirely calcified
  • 14.
    Nidus –central welldefined hypervascular area of rarefaction[reduction of density of bone]
  • 15.
    INVESTIGATIONS  CT SCAN:IOC  Nidus is best localized with CT (1 mm cuts)  Bull‟s eye lesion  BONE SCAN: Tc99 Due to intense radioisotope uptake by nidus and decreased uptake by surrounding sclerotic bone, a double density image is created that is typical of osteoid osteoma.  Headlight in fog appearance
  • 16.
     d/d-  Stressfracture  Osteoblastoma  Intracortical abscess
  • 17.
    MANAGEMENT  Course: Selflimiting  On maturation, ossify and merge with surrounding bone  No reports of malignant transformation till date  Treatment:  Conservative - not recommended because of severity of pain  Surgical: En Bloc resection, Burr down  Percutaneous radiofrequency ablation (PRA) –drill hole made & rf probe inserted with temp 90c for 5-6 min
  • 18.
    OSTEOBLASTOMA  Benign vascularosseous tumour similar to osteoid osteoma  Progressive growth, absence of reactive perifocal bone formation &>2cm nidus  2nd, 3rd decade.  M > F  Sites: vertebrae- posterior elements  dull aching Pain, long duration ,not relieved by nsaids, spine –stiffness, painful scoliosis
  • 19.
     xray/CT scan-radiolucent well circumscribed lesion with central calcification & thin peripheral shell of reactive bone„[cotton wool‟ if calcified ]  Spine-spinous process,pedicle markedly enlarged  t/t – intralesional curettage or en- bloc resection  Neurologic involvement- decompressive laminectomy
  • 20.
     d/d-  Osteiodosteoma  Gct  abc
  • 21.
    ENCHONDROMA  Benign hyalinecartilage tumor occur in medulla of bone and cause destruction of cancellous bone  Replaces normal bone with mineralized/un. Hyaline cartilage  AGE: Most common between 2nd & 4th decades  SITES: Short tubular bones of hand (phalanges and metacarpals), followed by metaphysis femur, humerus and ribs  c/o- painless swelling,pain due to patho#  RADIOGRAPHS: well circumscribed distinct area of rarefaction, expands the cortex ,  Calcification in older lesions - spotty/punctate/stippled-rings & arcs
  • 22.
     d/d-  Lowgrade chondrosarcoma  Bone infarcts  Sbc  gct
  • 24.
    MANAGEMENT  Asymptomatic lesions- follow-up with serial radiographs  Symptomatic – PET Scan or biopsy to r/o any malignancy  Curettage and bone grafting  Wide excision to avoid recurrence  Pathologic fractures are allowed to heal with closed treatment, curettage and bone grafting is then required after fracture healing.
  • 25.
     OLLIERS DISEASE Multiple enchondromatosis unilaterally  Non-hereditary disorder common in children  Affects metaphysis of long bones  Presentation – bony swellings leads to thickening and shortening and deformities  25% risk of malignancy  MAFFUCCI SYNDROME -50%risk of malignancy  • hereditary familial disease  • multiple enchondroma and cavernous haemangioma
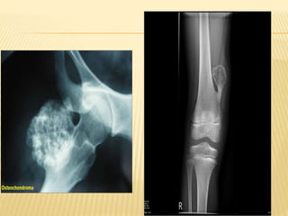
  • 26.
    OSTEOCHONDROMA  Also knownas: Osteocartilaginous Exostosis  Cartilage capped bony projection on external surface of bone containing a marrow cavity that is continuous with underlying bone  Commonest benign tumour of bone.  Lesion has its own growth plate, usually stops growing at skeletal maturity.  AGE GROUPS: first two decades  SEX PREDILECTION: M:F-1.5:1
  • 28.
     SITES OFPREDILECTION: Around the knee(40%) and proximal humerus.  LOCATION: Metaphysis of long bones.  Asymptomatic- hard,immobile, nontendor swelling of long duration  Pain: Mechanical irritation, Ischemic necrosis, Perilesional ,bursitis, Fracture of stalk, Malignancy <1%
  • 30.
     Growth disturbanceof the extremity  Block to joint motion  No growth after skeletal maturity X RAY  Pedunculated / sessile – exophytic  metaphysis / diaphysis  Marrow and cortices of lesion continuous with bone  Directed away from growing end  Cartilage cap not seen on x ray
  • 31.
     PATHOGENESIS:  Herniationof a fragment of growth plate through periosteal bone cuff  Misdirected growth of that portion of physis  HISTOLOGY:  Lesion has three layers- periosteum,cartilage,bone  Cartilage cap resembles layers of the normal growth plate  The cartilage is more disorganized than normal  Binucleate chondrocytes in lacunae  Covered with a thin layer of periosteum.
  • 32.
     Cartilage cap1-3 mm thick, thicker in children  SIGNS OF MALIGNANCY:  >2 cm after skeletal maturity indicates possible malignant transformation  Growth spurt of lesion beyond skeletal maturity  Development of soft tissue with calcifications  Dispersed calcifications within the cartilaginous cap
  • 33.
    MANAGEMENT  Surgical excision Indication- cosmetic -limitation of joint function, -fracture, - secondary impingment of nerve, tendon, or vessals,repeated -bursitis, -suspicion of malignancy
  • 34.
    HEREDITARY MULTIPLE EXOSTOSES(H.M.E)  Also known as: Multiple Exostoses, Diaphyseal aclasis  Autosomal dominant hereditary disorder, 10% no family history. EXT1,2,3 genes [EXT1 –severe dis]  Knees, ankles and shoulders are most frequently affected.  Knobby appearance, Short stature  Forearm deformity, Tibio-fibular synostosis, Genu valgum, Coxa valga  Rx - Excision of symptomatic exostosis  Correction of deformity and limb length discrepancy
  • 35.
    CHONDROBLASTOMA  ALSO KNOWNAS: Codman’s Tumour  Arises from immature cells of epiphyseal cartilage  AGE GROUPS: 10 to 20 yrs.  SEX PREDILECTION: Males more affected than females.  SITES OF PREDILECTION: Proximal part of the tibia, proximal part of the humerus and femur.  LOCATION: Epiphysis/ apophysis  SYMPTOMS: Pain and local swelling of joint without h/o trauma
  • 36.
     RADIOGRAPHS: Well definedoval lytic lesion Sclerotic margin Epiphysis Eccentric Cottonwool calcification HPE: Chicken-wire calcification
  • 39.
     Highly cellularand relatively undifferentiated tissue,made up of polygonal chondroblast like cells and multinucleated giant cells of osteoclast type.  Presence of cartilagenous intercellular matrix with areas of focal calcification is typical.  d/d- gct, tb,abc  t/t- intralesional curettage with reconstruction
  • 40.
    GIANT CELL TUMOUR(OSTEOCLASTOMA)  INCIDENCE : 5% of biopsied primary bone tumors.  F>m,1.5:1  Epiphysiometaphysel region 5Es- Elderly Epiphysis Eccentric Expansive Egg shell crackling
  • 41.
     c/f- pain,swelling,joint restriction, ms wasting,pathological fracture  Patho- end of bone is expanded, thin periosteum,fleshy dark brown soft friable mass, cystic spaces seen with vascularised network of round oval stromal cells & multinucleated giant cells
  • 42.
     Campanacci Grading: Grade I: Tumour associated with well defined margins and thin rim of mature bone [cystic lesion]  Grade II: Tumour is well defined but has no radiopaque rim[thin cortex but no break in cortex]  Grade III: Tumour has fuzzy borders [cortex break & soft tissue extension]
  • 43.
  • 44.
     Radiological Signs Lyticlesion Epiphysis Narrow zone of transition Thinning of cortex Honey comb appearance Soap bubble appearance
  • 45.
     DD: GCThas to be differentiated from giant cell variants.  Unicameral bone cyst -<20 yrs age,metaphyseal region, fallen fragment sign  Aneurysmal bone cyst-metaphyseal,double density sign on ct  Non-ossifying fibroma - <15yr age, metaphysis/diaphysis,well defined scalloped margins,rim of reactive host bone sclerosis
  • 46.
     Chondroblastoma –adolescentwith open physis,polygonal stromal cells with punctate calcification,chiken wire appr.  GCT of hyperparathyroidism (Brown tumor )- osteopenia,subperiosteal resorption,high ca &ALP,PTH
  • 47.
  • 48.
     Treatment : Curettage and bone grating  Curettage and placement of bone cement  Curettage and cryosurgery  Enbloc resection: 2cm normal tissue include,Endoprosthesis, Arthrodesis  Angioembolization  Zolindronic acid –traget osteoclast like giant cells.Follow-up : Follow-up examination is essential for at least 5 years
  • 49.
    SANDWICH TECHNIQUE  Whentumor is<1cm from articular surface  Incidence of degenerative changes in cartilage after the use of cement alone is 2.5 times greater than when tumor is>1cm away  Than multilayered reconstruction is recommened- interposing bone graft b/t cartilage &cement reduces heat damage & degenerative changes.
  • 51.
    T-CONSTRUCT IN PROXIMALTIBIA < 2 mm Morcellised graft Autograft Iliac crest Fibula
  • 52.
    SIMPLE BONE CYST(UNICAMERALCYST)  Developmental anomaly of physis  Etiology: Unknown –transient failure of ossification of physeal cartilage & cyst formation  C/F: 9-13 yrs, 2:1 male predominance. Silent until pathological fracture occurs.  Location:75% - humerus and proximal femur.  Xray – well marginated,central lytic lesion Fallen-leaf or Fallen-fragment sign  Histology: cyst filled with clear yellowish fluid, wall lined with fibrous tissue & hemosiderin.  Rx: Path # - Immobilize  Drainage, Steroid injection
  • 53.
    SBC of humerus(truncatedcone appearance) SBC with pathological fracture
  • 55.
    ANEURYSMAL BONE CYST expansile, blood filled cystic cavity separated by connective tissue{not lined by endothelium}  <20 yr age  Etiology:  Primary ABC (65-99%): Unknown  Secondary ABC (1-35%): preexisting bone
  • 56.
     C/F : 5-20 yrs, 60% in females.  Presents with pain at the site.  80% of lesions – long bone like femur and tibia- fibula  Spinal lesions affect the neural arch, spinous process, transverse process, and lamina. The thoracic and lumbar spine are the common regions.  Histology: ABC consists of multiple blood filled sinusoid spaces. The solid, numerous multinucleated giant cells.
  • 57.
  • 58.
     CT scanfeatures: “blood filled sponge‟‟, fluid levels due to sedimentation of blood.  MRI : Multiple cysts: Fluid – fluid levels [double density fluid level & intralesional septa]sbc vs abc  Nuclear study: “ donut sign ” i.e. peripheral increased uptake.  Angiography: hypervascularity in the periphery of the lesion.  Rx: Surgical curettage with bone grafting.  Recurrence rate is high
  • 59.
     d/d-  Osteoblastom a gct  Sbc  chondroblasto ma
  • 62.
    NONOSSIFYING FIBROMA (FIBROUSCORTICAL DEFECT)  1st & 2nd decade  Site- femur ,tibia,humerus  •Solitary & well defined  •Eccentric  •radiolucent, ovoid, bubbly  • metaphysis  Rim of sclerosis  Doesn’t expand cortex & no periosteal rxn
  • 63.
    FIBROUS DYSPLASIA  Developmentalanomaly of bone formation. Replacement of normal bone by fibrous tissue &small woven bone  GNAS 1 MUTATION  C/F : 3-15 yrs,pain and sk deformity  M:F 1:1, site –rib ,femur ,humerus  Bowing deformities and pathologic fractures, Café-au-lait spots are present in 30% of patients.
  • 64.
     Monostotic fibrousdysplasia (solitary lesion): 70-80%  Polyostotic fibrous dysplasia (multiple bones)20-30%  McCune Albright syndrome: Polyostotic fibrous dysplasia, Endocrine dysfunction: precocious puberty, hyperthyroidism, Café-au- lait spots (coast of Maine)  Mazabraud syn- polyostotic fd+ intramuscular myxomas
  • 65.
     Fibrous dysplasiawith Shepherd‟s crook deformity and pathological fracture  Well defined Geographic lytic lesion  Groundglass matrix  Rx –curettage & grafting  Int fixation with osteotomy
  • 66.
    BROWN TUMOR(OSTEITIS FIBROSACYSTICA)  Replacement of bone by vascularized fibrous tissue secondary to PTH stimulated osteoclastic activity.  Not true neoplasm,mimic like tumor  Eccentric, expansile lytic lesion with well defined non sclerotic margin.  Haemorrhage & giant cell rxn within the fibrous stroma may give rise to brownish,tumor like mass,whose liquefaction leads to fluid –filled cysts
  • 67.
     Subperisteal corticalresorption of middle phalanges  High PTH & ALP, HIGH Calcium & low P  Rx – calcium &vit d  parathyroidectomy