LOWER LIMB
FRACTURES
Hip Surgeon
.
Afshin Taheriazam, MD
PART 1
PELVIC
FRACTURES
Chapter one:
Pelvic fracture
Objectives:
 Epidemiology & relevance
 Anatomical review
 Classification Systems
 Examples
 Management
Epidemiology
 ~3% of all fractures in ED (Emergency Department)
 50-60% secondary to MVA
 Motorcycle crashes ~15%
 Car vs. pedestrian ~15%
 Falls 10-30%
 Crush injuries ~5%
 ( Mortality is about 6 - 50%) :
Mortality 6-10% ; Inc’s to ~50% in unstable pt (prothrombin time)
– 39% due to bleeding (early).
– 30% due to sepsis & multi-organ failure (late).
 Complications:
Hemorrhage, neurological injury, deformity, GU injury, GI injury
Mortality quoted tends to be all causes of mortaltiy; less than 1%
will die as a direct consequence of their pelvis fracture.
Anatomy of Pelvis
 Pelvis = sacrum + 2 inominate
bones
 Inominate bones = ilium,
ischium, pubis
 Strength from ligamentous +
muscular supports
Anatomy of Pelvis
 Pelvis contains one pair of fused
bone
 Each half contains: ilium, pubis,
and ischium
 Joined together in posterior by
sacrum
 Joined in anterior by symphysis
pubis
 Coalesce at triradiate cartilage.
 Ilium, ishium and pubis have three
separate ossification centers that
fuse at sixteen years.
 Gap in symphysis < 5 mm
 SI joint 2-4 mm
Anatomy of Pelvis
Ilium
Sacrum
Male Pelvis Female Pelvis
Pubis
Ischium
Symphysis Pubis
Anatomy of Pelvis : ligaments
 Anterior Support:
 ~40% of strength
 Symphysis pubis
 Fibrocartilaginous joint covered by
ant & post symphyseal ligaments
 Pubic rami
 Posterior Support:
 ~60% of strength
 Sacroiliac complex
 Sacroiliac ligaments
 Iliolumbar ligaments
 Pelvic floor
 Sacrospinous ligament
 Sacrotuberous ligament
 Pelvic diaphragm
Anatomy of Pelvis : ligaments
 posterior ligaments are
stronger than anterior
ligaments:
 Posterior SI
 Anterior SI
 Interosseous ligaments
 Pubic symphysis
 Sacrotuberous
 Sacrospinous
 Sacrospinous resists
external rotation
 Sacrotuberous resists
rotational and vertical
shearing forces
ASI
ST
SS
PSI
ST
Posterior Ligaments
 Ant. SI Joint – resist external rotation
 Post. SI and Interosseous – posterior stability by tension band
(strongest in body)
 Iliolumbar ligaments augments posterior complex
 Sacrotuberous (sacrum behind sacro-spinous into ischial
tuberosily vertically)Resists shear and flexion of SI joint
 Sacrospinous – (anterior sacral body to ischial spine
horizontally) resists external rotation
Normal SI Joint Motion with
Gait
 < 6 mm of translation
 < 6° rotation
 Intact cadaver resist 5,837 N (1,212 lbs)
Anatomy of Pelvis
Relationships
Acetabulum
 Divided into 3 columns:
 Anterior superior column (= ilium)
 Anterior inferior column (= pubis)
 Posterior Column (= ischium)
 Ant superior column is the
primary weight bearing
structure.
 The ant inferior column is thin
and easily fractured.
 The post column is thick and
strong but most commonly
fractured.
Vascular Anatomy
 Vessels lie closely adherent
to posterior pelvic walls
 Most common cause of
bleeding is venous
 Most commonly injured
arteries are superior gluteal
and internal pudendal aa.
 Venous bleeding is most
common because of relative
deficiency in protective
vasospasm, and lack of
valves in pelvis with
extensive collateral
Vascular Anatomy
 Internal iliac artery
courses medial to the
vein, splits into anterior
and posterior branches.
 Posterior branch is
more likely injured (SGA
is largest branch).
 Usual bleeding is from
venous plexus.
Pelvic Stability
 Stability : ability of pelvic
ring to withstand
physiologic forces
without abnormal
deformation.
 Physiologic load may be
sitting, side lying, or
standing, as dictated by
patient needs , else
consider as unstable.
 Strength of ring: 40%
anterior and 60%
posterior.
 Vsphere = 4/3r³.
Pelvic Ring Stability
 Posterior ring integrity is important in
transferring load from torso to lower
extremities
Common Fractures of Pelvis
 Pelvic ring fractures
 Pelvic ring is likely to separate in more
than one location
 Iliac crest fractures
 Fractures to upper wing of ilium
 Loss of posterior ring integrity leads to
instability
 Loss of anterior ring integrity may
contribute to instability, and may be a
marker to posterior ring injury.
 Young and burgess classification will
guide us for stability issues
Pelvic Fractures
 Common mechanisms of pelvic injury result from
high energy
 ex. MVC, significant falls, skiing accident
 Those at risk for pelvic fractures
 Growing teens (especially those involved in
sports)
 Elderly patients (osteoporosis)
Classification systems
 2 most common are Tile and Young systems
 Tile Classification system:
 Advantages
 Comprehensive
 Predicts need for operative intervention
 Disadvantages
 Does NOT predict morbidity or mortality
 Young Classification System:
 Advantages
 Based on mechanism of injury  predicts injury
 Estimates mortality
 Disadvantages
 Excludes more minor injuries
Tile
:
Classification System
 Type A: Stable
pelvis post
structures intact
 A1: avulsion injury
 A2: iliac wing or ant
arch
 A3: Transverse
sacrococcygeal
Tile
:
Classification System
 Type B: Partially
stable pelvis:
incomplete posterior
structure disruption
 B1: open-book injury
 B2: lateral compression
injury
 B3: contralateral /
bucket handle injuries
Tile
:
Classification System
 Type C: Unstable
pelvis: complete
disruption of
posterior structures
 C1: unilateral
 C2: bilateral w/ one
side Type B, one
side Type C
 C3: bilateral Type C
Young & Burgess Classification
Classification System: Young
 Lateral Compression
 (50%) – transverse of
pubic rami, ipsilateral or
contralateral to posterior
injury
 LC I – sacral
compression on side of
impact
 LC II – iliac wing on side
of impact
 LC III – LC-I or LC-II on
side of impact w/
contralateral APC injury
Classification System: Young
 AP Compression
(25%)
 Symphyseal and / or
Longitudinal Rami
Fractures
 APC I – slight widening of
the pubic symphysis
and/or anterior SI joint
 APC II – disrupted anterior
SI joint, sacrotuberous,
and sacrospinous
ligaments
 APC III – complete SI joint
disruption w/ lateral
displacement and
disruption of
Classification System: Young
 Vertical Shear ( VS) (5%)
 Symphyseal diastasis or
vertical displacement
anteriorly and posteriorly
 Example : Fall from heights
 Combined Mechanism
(CM) combination of injury
patterns
Young: Morbidity & Mortality
Fracture
Type
Severe
Bleeding
Bladder
Rupture
Urethral
Injury
Mortalit
y
LC - I 0.5% 4% 2% 6%
LC – II 36% 7% 0% 6%
LC – III 60% 20% 20% 13%
APC – I 1% 8% 12% 7%
APC – II 28% 11% 23% 7%
APC – III 53% 14% 36% 25%
VS 75% 15% 25% 25%
CM 58% 16% 21% 17%
Classify the fractures in the next
slides
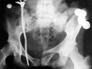
Tile B1 / Young APC II
Tile C1/ Young VS
Tile A1
Type A1 avulsion
Tile A2 / Young LC II
Risks of Pelvic Factures
 Iliac Crest fracture
 Typically pelvis still stable
 Little blood loss
 Pelvic Ring fracture
 Internal organ damage
 Significant blood loss (up to 4 liters) : Fracture and vascular
injury can cause the formation of hematoma in the pelvis
and retroperitoneum  Hypovolemic shock
90% bleeding  venous disruption or cancellous bone
10% bleeding  an arterial injury
 Unstable pelvis
 Risk of death (Mortality of 3.4%-42%)
Assessment
 ATLS Approach (Advanced
Trauma Life Support)
 Check Stability :
 Mechanic
 Haemodynamic
 Pelvis specific assessment
 Check for bruising, deformity,
or abrasions
 Listen/Feel for crepitus
 Check limb length
Stability Assessment
 Check stability of pelvis (DON’T REPEAT)
1) Apply gentle medial pressure with palms by
pressing inward on iliac crests
2) With patient supine, apply gentle posterior pressure
by pressing downward on iliac crests
3) Apply gentle downward pressure on pubis to check
pelvic ring stability
1) Medial pressure 2) Posterior iliac pressure 3) Posterior pubis pressure
Diagnosis
 1. General: abrasion, contusion,
hematoma, over bony prominence of
pelvis, scrotal, vulvar hematoma.
 2. PE ( Physical Exam )
 3. X-ray
 4. FAST
 5. DPL
 6. CT
IDENTIFY THE HIGH RISK PELVIC
DISRUPTION
By Physical Exam By Radiography
Radiographic Evaluation
• X-Ray AP view:
– Anterior lesions:
pubic rami fractures
– Symphysis
displacement
– Sacroiliac joint and
sacral fractures
– Iliac fractures
– L5 transverse
process fractures
Radiographic Signs of Instability
 Broken ‘Ring’
 Symphysis gap > 2.5 cm
 Sacroiliac displacement of 5 mm in any plane.
 Avulsion of the 5th lumbar transverse process,
the lateral border of the sacrum (sacrotuberous
ligament), or the ischial spine (sacrospinous
ligament).
Treatment
 Treat for life threatening injuries
 Treat for possible shock
 Oxygen
 Intravenous infusion
 Splinting / Wrap
 Pain control
 RAPID TRANSPORT!!!
 Patients with hemorrhagic shock and unstable
pelvic fractures have four potential sources of
blood loss :
 (1) fractured bone surfaces
 (2) pelvic venous plexus
 (3) pelvic arterial injury
 (4) extrapelvic sources.
The pelvis should be temporarily stabilized or
"closed" using an available commercial
compression device or sheet to decrease
bleeding.
•
In the presence of unstable pelvic ring
disruption and a positive abdominal
study, stabilization of the pelvis
should be undertaken before
laparatomy.
•
If hemodynamic stability is not
achieved after placement of the
external fixator, arteriography should
then be performed.
Non-Operative Management
( haemodinamically stable )
 Lateral impaction type injuries with minimal
(< 1.5 cm) displacement
 Pubic rami fractures with no posterior
displacement
 Minimal gapping of pubic symphysis
Operative Management
 Operative
indications
Pelvic unstable
 symphysis diastasis > 2.5 cm
 SI joint displacement > 1 cm
 sacral fracture with displacement > 1 cm
 displacement or rotation of hemipelvis
 open fracture
Hemodynamically unstable
Operative Management
 Hemodynamically unstable
 Reduce pelvic volume : promote blood
clot as well as reducing blood volume
from inside bleeding
 Technique
 First aid : pelvic wrap
(This is wrapped circumferentially around the pelvis)
 Next : Ex fix/ C clamp
• Haemodynamic Status
Options for immediate
hemorrhage control
• Military antishock
trousers (MAST):
Typically applied in the
field.
– No impact on survival
rate.
– Severe complications
reported (compartment
syndrome, extremity
 Posterior ring structure is important
 Goal : restoration of anatomy and enough
stability to maintain reduction during healing
 Anterior ring fixation may provide structural
protection of posterior fixation
Operative Management
Anterior Fixation of Pelvic
Posterior Fixation of Pelvic
• Anterior external fixator:
– In the acute phase many
advocate external fixation as a
temporary device to achieve
stabilization of the fracture and a
positive effect on haemorrhage.
External fixation
1. Advantages
 It helps tamponade bleeding
from bone edges .
 Stabilizing the clots and the
bone.
 Could be done in 20 min.
2. Disadvantages
 Can’t stop arterial bleeding.
Delay the embolization for
ongoing arterial hemorrhage.
 Degrade the quality of CT
and Angio.
Complications
• Infection
• Thromboembolism
• Non-Union
• Malunion
Potentially Damaged Visceral Anatomy
 Blunt vs. impaled by
bony spike
 Bladder/urethra
 Rectum
 Vagina
Imaging
 Plain films
 AP
 Inlet view / Outlet view
 Judet view (oblique)
 AP alone ~90% sensitive; combined w/ inlet / outlet views ~94%
sensitive
 Limited in ability to clearly delineate posterior injuries
 Pelvic films are NOT necessary in pts with normal physical exam
+ GCS >13
 At least one study shows clinical exam reliable in EtOH
 Gonzalez et al. J Am Coll Surg. 2002; 194: 121-5
 CT scans
 Evaluates extent of posterior injury better
 Superior imaging of sacrum and acetabulum
 More detailed info about associated injuries
 EtOh levels up to 104 mmol/l, most were >
21.7
 Prospective study of 2176 consecutive blunt
trauma pts of which 4.5% had pelvic #’s
 AP plevis alone missed more injuries than
clinical exam even in intoxicated pts
 On the other hand, plain films can help to
predict bleeding complications and should be
done if pelvis is suspected to be busted as the
first step in the work up
Inlet & Outlet Views
 Inlet view
 X-ray beam at 60o to plate
directed towards feet
 Used to look for vertical &
horizontal fracture
displacement, and SI
widening
 Outlet view
 Beam aimed 30o towards
head
 Used to look at sacral
fractures & SI disruption
Imaging
 What you really want to know is if there has
been damage to the posterior structures
 Clues on X-rays:
 L5 transverse process avulsion (iliolumbar ligament)
 Ischial spine avulsion (sacrospinous ligament)
 Unable to clearly make out sacral foramina
 Assymmetry of sacral foramina
 Significant displacement of anterior arch fracture
 Sacral avulsion (sacrotuberous ligament)
 Ist 2 always denote mechanical instability
 6 lines of the pelvis:
 1. Iliopubic (arcuate) line – disruption
indicates ant column injury
 2. Ilioischial line which defines the
posterior column
 3. Teardrop or Roentgenographic U
formed by roof of acetabaulum and
ilioischial spine defines quadrangular
plate – disruption means intraplevic
penetration
 4. Roof of acetabulum
 5. Post rim of acetabulum
 6. Ant rim of acetabulum
 7. Shenton’s line = medial femoral shaft
 obturator foramen: disruption in hip
dislocation or femoral neck #’s
Pelvic Fracture Complications
 Early complications
 Delayed complications
Hemorrhage
The most dangerous &
life threatening
condition
( hypovolemic shock )
Sources :
Retroperitoneal
(Bone-Small & Large
vessels )
Multiple trauma
(Chest-Abdomen- Long
bone fractures)
• Evaluating Pelvic Hemorrhage (EPH) Study
– 724 consecutive pelvic fractures at
Harborview
• 62 % male
• Average age = 34
• Mechanism
– Motor vehicle crash 57%
– Car versus pedestrian 21%
– Fall (>3.3 meters) 11%
– Crush 5%
• Hemodynamic shock in Emergency Dept.
– Blood pressure<90 27%
– Pulse>130 30%
– Transfuse in ED 29%
• Blood requirement
– Any 80%
– 6 or more units 41%
– Range (0 to 171
units)
• Death 13%
Sign & Symptom
Back pain
Abdominal pain
Swelling & Echymosis
(Flank – Buttock – Inguinal – Perineum )
Hypotension & Shock
X-ray :
Soft tissue shadow displacement
(Int.obturator, Iliopsoas, Gluteal Fat pad
Bladder , Uterus)
CT scan :
Hematoma
Angigraphy :
Fracture Type
APC (anterior posterior compression) & VS
(vertical shear) ( high risk)
Artery & Vein Inj.
Iliac – Iliolumbar – Sup.Gluteal –
Internal Pudental.
LC (rare)
Fx site – Visceral Inj.
Stable Fx (very rare)
Treatment
Transfusion
Pelvic belt
Antishock garment
Reduction & Fixation
Angiographic embolization
Thromboembolism
Pelvic bone trauma &
Immobilization
Ipsilateral or contralateral
Calf – Thigh – Pelvic veins
Proximal thrombosis has
Greatest risk of embolism
Increased risk of DVT
Older age
Spinal cord Inj.
Lower extremity Inj.
History of DVT
Rate
MR Venography 35%
Thrombosis Contrast Venography 29%
Dopler Sonography 9%
Pulmonary Embolism 2 – 12%
Fatal Pulmonary Embo. 0.5 – 10%
Prophylaxy
Routin prophylaxis is mandatory
Method is controversial
Drug : Aspirin – Warfarin
Low dose Heparin
Low M.W.Heparin
Mechanical devices :
Compresion stocking
Foot pump
Compresion device thigh & leg
Vena cava filter
Fat Embolism
 Gasterointestinal Inj.
Open fracture
Deep pelvic infection
Retroperitoneal absces
Peritonitis
High mortality rate
Gasterointestinal Inj.
Wound in perineum
Blood in rectum
More proximal Injury (Contrast CTscan)
Direct Inj. (Bone fragment)
Indirect Inj. (Ext.Rot. Streching)
Summary
 Pelvic fracture  High morbidity and mortality
 Multiple trauma  Team work (ATLS Approach)
 Check stability (Mechanic and Haemodynamic)
 Early immobilization  Pelvic Wrap
 Diagnostic tools
 Definitive treatment
Beckenfragkturen.ppt
Beckenfragkturen.ppt

Beckenfragkturen.ppt

  • 1.
    LOWER LIMB FRACTURES Hip Surgeon . AfshinTaheriazam, MD PART 1 PELVIC FRACTURES
  • 2.
  • 3.
    Objectives:  Epidemiology &relevance  Anatomical review  Classification Systems  Examples  Management
  • 4.
    Epidemiology  ~3% ofall fractures in ED (Emergency Department)  50-60% secondary to MVA  Motorcycle crashes ~15%  Car vs. pedestrian ~15%  Falls 10-30%  Crush injuries ~5%  ( Mortality is about 6 - 50%) : Mortality 6-10% ; Inc’s to ~50% in unstable pt (prothrombin time) – 39% due to bleeding (early). – 30% due to sepsis & multi-organ failure (late).  Complications: Hemorrhage, neurological injury, deformity, GU injury, GI injury Mortality quoted tends to be all causes of mortaltiy; less than 1% will die as a direct consequence of their pelvis fracture.
  • 5.
    Anatomy of Pelvis Pelvis = sacrum + 2 inominate bones  Inominate bones = ilium, ischium, pubis  Strength from ligamentous + muscular supports
  • 6.
    Anatomy of Pelvis Pelvis contains one pair of fused bone  Each half contains: ilium, pubis, and ischium  Joined together in posterior by sacrum  Joined in anterior by symphysis pubis  Coalesce at triradiate cartilage.  Ilium, ishium and pubis have three separate ossification centers that fuse at sixteen years.  Gap in symphysis < 5 mm  SI joint 2-4 mm
  • 7.
    Anatomy of Pelvis Ilium Sacrum MalePelvis Female Pelvis Pubis Ischium Symphysis Pubis
  • 8.
    Anatomy of Pelvis: ligaments  Anterior Support:  ~40% of strength  Symphysis pubis  Fibrocartilaginous joint covered by ant & post symphyseal ligaments  Pubic rami  Posterior Support:  ~60% of strength  Sacroiliac complex  Sacroiliac ligaments  Iliolumbar ligaments  Pelvic floor  Sacrospinous ligament  Sacrotuberous ligament  Pelvic diaphragm
  • 9.
    Anatomy of Pelvis: ligaments  posterior ligaments are stronger than anterior ligaments:  Posterior SI  Anterior SI  Interosseous ligaments  Pubic symphysis  Sacrotuberous  Sacrospinous  Sacrospinous resists external rotation  Sacrotuberous resists rotational and vertical shearing forces
  • 10.
  • 11.
    Posterior Ligaments  Ant.SI Joint – resist external rotation  Post. SI and Interosseous – posterior stability by tension band (strongest in body)  Iliolumbar ligaments augments posterior complex  Sacrotuberous (sacrum behind sacro-spinous into ischial tuberosily vertically)Resists shear and flexion of SI joint  Sacrospinous – (anterior sacral body to ischial spine horizontally) resists external rotation
  • 12.
    Normal SI JointMotion with Gait  < 6 mm of translation  < 6° rotation  Intact cadaver resist 5,837 N (1,212 lbs)
  • 13.
  • 14.
    Acetabulum  Divided into3 columns:  Anterior superior column (= ilium)  Anterior inferior column (= pubis)  Posterior Column (= ischium)  Ant superior column is the primary weight bearing structure.  The ant inferior column is thin and easily fractured.  The post column is thick and strong but most commonly fractured.
  • 15.
    Vascular Anatomy  Vesselslie closely adherent to posterior pelvic walls  Most common cause of bleeding is venous  Most commonly injured arteries are superior gluteal and internal pudendal aa.  Venous bleeding is most common because of relative deficiency in protective vasospasm, and lack of valves in pelvis with extensive collateral
  • 16.
    Vascular Anatomy  Internaliliac artery courses medial to the vein, splits into anterior and posterior branches.  Posterior branch is more likely injured (SGA is largest branch).  Usual bleeding is from venous plexus.
  • 17.
    Pelvic Stability  Stability: ability of pelvic ring to withstand physiologic forces without abnormal deformation.  Physiologic load may be sitting, side lying, or standing, as dictated by patient needs , else consider as unstable.  Strength of ring: 40% anterior and 60% posterior.  Vsphere = 4/3r³.
  • 18.
    Pelvic Ring Stability Posterior ring integrity is important in transferring load from torso to lower extremities
  • 19.
    Common Fractures ofPelvis  Pelvic ring fractures  Pelvic ring is likely to separate in more than one location  Iliac crest fractures  Fractures to upper wing of ilium  Loss of posterior ring integrity leads to instability  Loss of anterior ring integrity may contribute to instability, and may be a marker to posterior ring injury.  Young and burgess classification will guide us for stability issues
  • 20.
    Pelvic Fractures  Commonmechanisms of pelvic injury result from high energy  ex. MVC, significant falls, skiing accident  Those at risk for pelvic fractures  Growing teens (especially those involved in sports)  Elderly patients (osteoporosis)
  • 21.
    Classification systems  2most common are Tile and Young systems  Tile Classification system:  Advantages  Comprehensive  Predicts need for operative intervention  Disadvantages  Does NOT predict morbidity or mortality  Young Classification System:  Advantages  Based on mechanism of injury  predicts injury  Estimates mortality  Disadvantages  Excludes more minor injuries
  • 22.
    Tile : Classification System  TypeA: Stable pelvis post structures intact  A1: avulsion injury  A2: iliac wing or ant arch  A3: Transverse sacrococcygeal
  • 23.
    Tile : Classification System  TypeB: Partially stable pelvis: incomplete posterior structure disruption  B1: open-book injury  B2: lateral compression injury  B3: contralateral / bucket handle injuries
  • 24.
    Tile : Classification System  TypeC: Unstable pelvis: complete disruption of posterior structures  C1: unilateral  C2: bilateral w/ one side Type B, one side Type C  C3: bilateral Type C
  • 25.
    Young & BurgessClassification
  • 26.
    Classification System: Young Lateral Compression  (50%) – transverse of pubic rami, ipsilateral or contralateral to posterior injury  LC I – sacral compression on side of impact  LC II – iliac wing on side of impact  LC III – LC-I or LC-II on side of impact w/ contralateral APC injury
  • 27.
    Classification System: Young AP Compression (25%)  Symphyseal and / or Longitudinal Rami Fractures  APC I – slight widening of the pubic symphysis and/or anterior SI joint  APC II – disrupted anterior SI joint, sacrotuberous, and sacrospinous ligaments  APC III – complete SI joint disruption w/ lateral displacement and disruption of
  • 28.
    Classification System: Young Vertical Shear ( VS) (5%)  Symphyseal diastasis or vertical displacement anteriorly and posteriorly  Example : Fall from heights  Combined Mechanism (CM) combination of injury patterns
  • 29.
    Young: Morbidity &Mortality Fracture Type Severe Bleeding Bladder Rupture Urethral Injury Mortalit y LC - I 0.5% 4% 2% 6% LC – II 36% 7% 0% 6% LC – III 60% 20% 20% 13% APC – I 1% 8% 12% 7% APC – II 28% 11% 23% 7% APC – III 53% 14% 36% 25% VS 75% 15% 25% 25% CM 58% 16% 21% 17%
  • 30.
    Classify the fracturesin the next slides
  • 31.
    Tile B1 /Young APC II
  • 33.
  • 35.
  • 37.
  • 39.
    Tile A2 /Young LC II
  • 40.
    Risks of PelvicFactures  Iliac Crest fracture  Typically pelvis still stable  Little blood loss  Pelvic Ring fracture  Internal organ damage  Significant blood loss (up to 4 liters) : Fracture and vascular injury can cause the formation of hematoma in the pelvis and retroperitoneum  Hypovolemic shock 90% bleeding  venous disruption or cancellous bone 10% bleeding  an arterial injury  Unstable pelvis  Risk of death (Mortality of 3.4%-42%)
  • 41.
    Assessment  ATLS Approach(Advanced Trauma Life Support)  Check Stability :  Mechanic  Haemodynamic  Pelvis specific assessment  Check for bruising, deformity, or abrasions  Listen/Feel for crepitus  Check limb length
  • 42.
    Stability Assessment  Checkstability of pelvis (DON’T REPEAT) 1) Apply gentle medial pressure with palms by pressing inward on iliac crests 2) With patient supine, apply gentle posterior pressure by pressing downward on iliac crests 3) Apply gentle downward pressure on pubis to check pelvic ring stability 1) Medial pressure 2) Posterior iliac pressure 3) Posterior pubis pressure
  • 43.
    Diagnosis  1. General:abrasion, contusion, hematoma, over bony prominence of pelvis, scrotal, vulvar hematoma.  2. PE ( Physical Exam )  3. X-ray  4. FAST  5. DPL  6. CT
  • 44.
    IDENTIFY THE HIGHRISK PELVIC DISRUPTION By Physical Exam By Radiography
  • 45.
    Radiographic Evaluation • X-RayAP view: – Anterior lesions: pubic rami fractures – Symphysis displacement – Sacroiliac joint and sacral fractures – Iliac fractures – L5 transverse process fractures
  • 46.
    Radiographic Signs ofInstability  Broken ‘Ring’  Symphysis gap > 2.5 cm  Sacroiliac displacement of 5 mm in any plane.  Avulsion of the 5th lumbar transverse process, the lateral border of the sacrum (sacrotuberous ligament), or the ischial spine (sacrospinous ligament).
  • 47.
    Treatment  Treat forlife threatening injuries  Treat for possible shock  Oxygen  Intravenous infusion  Splinting / Wrap  Pain control  RAPID TRANSPORT!!!
  • 48.
     Patients withhemorrhagic shock and unstable pelvic fractures have four potential sources of blood loss :  (1) fractured bone surfaces  (2) pelvic venous plexus  (3) pelvic arterial injury  (4) extrapelvic sources. The pelvis should be temporarily stabilized or "closed" using an available commercial compression device or sheet to decrease bleeding.
  • 49.
    • In the presenceof unstable pelvic ring disruption and a positive abdominal study, stabilization of the pelvis should be undertaken before laparatomy. • If hemodynamic stability is not achieved after placement of the external fixator, arteriography should then be performed.
  • 50.
    Non-Operative Management ( haemodinamicallystable )  Lateral impaction type injuries with minimal (< 1.5 cm) displacement  Pubic rami fractures with no posterior displacement  Minimal gapping of pubic symphysis
  • 52.
    Operative Management  Operative indications Pelvicunstable  symphysis diastasis > 2.5 cm  SI joint displacement > 1 cm  sacral fracture with displacement > 1 cm  displacement or rotation of hemipelvis  open fracture Hemodynamically unstable
  • 53.
    Operative Management  Hemodynamicallyunstable  Reduce pelvic volume : promote blood clot as well as reducing blood volume from inside bleeding  Technique  First aid : pelvic wrap (This is wrapped circumferentially around the pelvis)  Next : Ex fix/ C clamp
  • 54.
    • Haemodynamic Status Optionsfor immediate hemorrhage control • Military antishock trousers (MAST): Typically applied in the field. – No impact on survival rate. – Severe complications reported (compartment syndrome, extremity
  • 55.
     Posterior ringstructure is important  Goal : restoration of anatomy and enough stability to maintain reduction during healing  Anterior ring fixation may provide structural protection of posterior fixation Operative Management
  • 56.
  • 57.
  • 58.
    • Anterior externalfixator: – In the acute phase many advocate external fixation as a temporary device to achieve stabilization of the fracture and a positive effect on haemorrhage.
  • 59.
    External fixation 1. Advantages It helps tamponade bleeding from bone edges .  Stabilizing the clots and the bone.  Could be done in 20 min. 2. Disadvantages  Can’t stop arterial bleeding. Delay the embolization for ongoing arterial hemorrhage.  Degrade the quality of CT and Angio.
  • 60.
  • 61.
    Potentially Damaged VisceralAnatomy  Blunt vs. impaled by bony spike  Bladder/urethra  Rectum  Vagina
  • 62.
    Imaging  Plain films AP  Inlet view / Outlet view  Judet view (oblique)  AP alone ~90% sensitive; combined w/ inlet / outlet views ~94% sensitive  Limited in ability to clearly delineate posterior injuries  Pelvic films are NOT necessary in pts with normal physical exam + GCS >13  At least one study shows clinical exam reliable in EtOH  Gonzalez et al. J Am Coll Surg. 2002; 194: 121-5  CT scans  Evaluates extent of posterior injury better  Superior imaging of sacrum and acetabulum  More detailed info about associated injuries
  • 63.
     EtOh levelsup to 104 mmol/l, most were > 21.7  Prospective study of 2176 consecutive blunt trauma pts of which 4.5% had pelvic #’s  AP plevis alone missed more injuries than clinical exam even in intoxicated pts  On the other hand, plain films can help to predict bleeding complications and should be done if pelvis is suspected to be busted as the first step in the work up
  • 64.
    Inlet & OutletViews  Inlet view  X-ray beam at 60o to plate directed towards feet  Used to look for vertical & horizontal fracture displacement, and SI widening  Outlet view  Beam aimed 30o towards head  Used to look at sacral fractures & SI disruption
  • 65.
    Imaging  What youreally want to know is if there has been damage to the posterior structures  Clues on X-rays:  L5 transverse process avulsion (iliolumbar ligament)  Ischial spine avulsion (sacrospinous ligament)  Unable to clearly make out sacral foramina  Assymmetry of sacral foramina  Significant displacement of anterior arch fracture  Sacral avulsion (sacrotuberous ligament)  Ist 2 always denote mechanical instability
  • 67.
     6 linesof the pelvis:  1. Iliopubic (arcuate) line – disruption indicates ant column injury  2. Ilioischial line which defines the posterior column  3. Teardrop or Roentgenographic U formed by roof of acetabaulum and ilioischial spine defines quadrangular plate – disruption means intraplevic penetration  4. Roof of acetabulum  5. Post rim of acetabulum  6. Ant rim of acetabulum  7. Shenton’s line = medial femoral shaft  obturator foramen: disruption in hip dislocation or femoral neck #’s
  • 69.
    Pelvic Fracture Complications Early complications  Delayed complications
  • 70.
    Hemorrhage The most dangerous& life threatening condition ( hypovolemic shock ) Sources : Retroperitoneal (Bone-Small & Large vessels ) Multiple trauma (Chest-Abdomen- Long bone fractures)
  • 71.
    • Evaluating PelvicHemorrhage (EPH) Study – 724 consecutive pelvic fractures at Harborview • 62 % male • Average age = 34 • Mechanism – Motor vehicle crash 57% – Car versus pedestrian 21% – Fall (>3.3 meters) 11% – Crush 5%
  • 72.
    • Hemodynamic shockin Emergency Dept. – Blood pressure<90 27% – Pulse>130 30% – Transfuse in ED 29% • Blood requirement – Any 80% – 6 or more units 41% – Range (0 to 171 units) • Death 13%
  • 73.
    Sign & Symptom Backpain Abdominal pain Swelling & Echymosis (Flank – Buttock – Inguinal – Perineum ) Hypotension & Shock
  • 74.
    X-ray : Soft tissueshadow displacement (Int.obturator, Iliopsoas, Gluteal Fat pad Bladder , Uterus) CT scan : Hematoma Angigraphy :
  • 75.
    Fracture Type APC (anteriorposterior compression) & VS (vertical shear) ( high risk) Artery & Vein Inj. Iliac – Iliolumbar – Sup.Gluteal – Internal Pudental. LC (rare) Fx site – Visceral Inj. Stable Fx (very rare)
  • 76.
  • 77.
    Thromboembolism Pelvic bone trauma& Immobilization Ipsilateral or contralateral Calf – Thigh – Pelvic veins Proximal thrombosis has Greatest risk of embolism
  • 78.
    Increased risk ofDVT Older age Spinal cord Inj. Lower extremity Inj. History of DVT
  • 79.
    Rate MR Venography 35% ThrombosisContrast Venography 29% Dopler Sonography 9% Pulmonary Embolism 2 – 12% Fatal Pulmonary Embo. 0.5 – 10%
  • 80.
    Prophylaxy Routin prophylaxis ismandatory Method is controversial Drug : Aspirin – Warfarin Low dose Heparin Low M.W.Heparin Mechanical devices : Compresion stocking Foot pump Compresion device thigh & leg Vena cava filter
  • 81.
    Fat Embolism  GasterointestinalInj. Open fracture Deep pelvic infection Retroperitoneal absces Peritonitis High mortality rate
  • 82.
    Gasterointestinal Inj. Wound inperineum Blood in rectum More proximal Injury (Contrast CTscan) Direct Inj. (Bone fragment) Indirect Inj. (Ext.Rot. Streching)
  • 83.
    Summary  Pelvic fracture High morbidity and mortality  Multiple trauma  Team work (ATLS Approach)  Check stability (Mechanic and Haemodynamic)  Early immobilization  Pelvic Wrap  Diagnostic tools  Definitive treatment