Presenter :-Dr abhishek chuadhary
Moderator:-Dr pavan kumar chebbi
 Applied anatomy of knee complex
 Biomechanics of knee joint
 OA knee
 Unicondylar OA
 Surgical management options for unicondylar
OA
 Comparisons results and study conclusions of
hto vs ukr for unicondylar OA
 The normal anatomical load-bearing axis of
the knee is viewed as ranging from 5 to 7
degrees of valgus and approximately 60% of
the weight-bearing force is thought to
transmit through the medial compartment
and 40% through the lateral compartment
(Degenerative
arthritis/osteoarthrosis/hypertrophic
arthritis)
 OSTEOARTHRITIS IS A NON-INFLAMMATORY,
DEGENERATIVE CONDITION OF JOINTS
CHARACTERIZED BY DEGENERATION OF
ARTICULAR CARTILAGE AND FORMATION OF
NEW BONE I.E. OSTEOPHYTES.
 COMMON IN WEIGHT-BEARING JOINTS SUCH
AS HIP AND KNEE.
 ALSO SEEN IN SPINE AND HANDS.
 BOTH MALE AND FEMALES ARE AFFECTED.
 BUT MORE COMMON IN OLDER WOMEN I.E.
ABOVE 50 YRS,PARTICULARLY IN
POSTMENOPAUSAL AGE.
RISK FACTORS
 OBESITY ESP OA KNEE
 ABNORMAL MECHANICAL LOADING
EG.MENISCECTOMY, INSTABILITY
INHERITED TYPE II COLLAGEN DEFECTS IN
PREMATURE POLYARTICULAR OA
INHERITANCE IN NODAL OA
 OCCUPATION EG FARMERS
INFECTION:NON-GONOCOCCAL SEPTIC ARTHRITIS
HEREDITARY
POOR POSTURE
AGEING PROCESS IN JOINT CARTILAGE
DEFECTIVE LUBRICATING MECHANISM
INCOMPLETELY TREATED CONGENITAL
DISLOCATION OF HIP
OA
Primary OA Secondary OA
 MORE COMMON THAN SECONDARY OA
 CAUSE –UNKNOWN
 COMMON-IN ELDERS WHERE THERE IS NO
PREVIOUS PATHOLOGY.
 ITS MAINLY DUE TO WEAR AND TEAR
CHANGES OCCURING IN OLD AGES MAINLY IN
WEIGHT BEARING JOINTS.
 DUE TO A PREDISPOSING CAUSE SUCH AS:
1.INJURY TO THE JOINT
2.PREVIOUS INFECTION
3.RA
4.CDH
5.DEFORMITY
6.OBESITY
7.HYPERTHYRIODISM
 OA IS A DEGENERATIVE CONDITION
PRIMARILY AFFECTING THE ARTICULAR
CARTILAGE.
1.ARTICULAR CARTILAGE
2.BONE
3.SYNOVIAL MEMBRANE
4.CAPSULE
5.LIGAMENT
6.MUSCLE
 Cartilage Is The 1st Structure To Be Affected.
 Erosion Occurs,often Central & Frequently In Wt.
Bearing Areas.
 Fibrillation,which Causes Softening,splitting And
Fragmentation Of The Cartilage,occur In Both Wt.
Bearing & Non-wt. Bearing Areas.
 Collagen Fibres Split And There Is Disorganisation
Of The Proteoglycon Collagen Relationship Such As
H2o Is Attracted Into Cartilage, Which Causes Futher
Softening And Flaking.These Flakes Of Cartilage
Break Off And May Be Impacted B/W The Jt.Surfaces
Causing Locking And Inflammation.
RIGHT: EARLY OA
WITH AREA OF
CARTILAGE LOSS IN
THE CENTER.
LEFT: MORE
ADVANCED CHANGES
WITH EXTENSIVE
CARTILAGE LOSS AND
EXPOSED
UNDERLYING BONE
Arthroscopic
appearances in OA of
the knee joint: fibrillated
surface of the cartilage
on the medial femoral
condyle
 Bone Surface Become Hard & Polished As
There Is Loss Of Protection From The
Cartilage.
 Cystic Cavities Form In The Subchondral Bone
Because Eburnated Bone Is Brittle And
Microfractures Occur.
 Venous Congestion In The Subchondral Bone.
Gross superior view
of a femoral head
from a patient with
radiographic stage i
oa. This shows an
area of complete
cartilage loss, with
polishing or
eburnation of the
underlying bone.
 Osteophytes form at the margin of the
articular surface,which may get projected into
the jt. Or into capsule & ligament,bone of the
wt.-Bearing jt.
 There is alteration in the shape of the femoral
head which becomes flat and mushroom
shaped.
 Tibial condyles become flatened.
 Synovial membrane undergo hypertrophy
and become oedematous (which can lead to
‘cold’ effusions).
 Reduction of synovial fluid secretion results
in loss of nutrition and lubricating action of
articular cartilage.
CAPSULE
It undergoes fibrous degeneration and there
are low-grade chronic inflammatory
changes
 Undergoes fibrous degernation
 There is low grade chronic inflammatory changes
and acc.To the aspect joint become contracted or
elongated.
Muscles
Undergoes atrophy,as pt. Is not able to use the jt.
Because of pain which further limits movts. And
function.
 Pain
 Stiffness
 Muscle spasm
 Restricted movement
 Deformity
 Muscle weakness or wasting
 Joint enlargement and instability
 Crepitus, Joint effusion
 PAIN AND TENDERNESS
◦ Usually slow onset of discomfort, with gradual
and intermittent increase
◦ Pain is more on wt. Bearing due to stress on the
synovial membrane & later on due to bone
surface,which r rich in nerve endings coming in
contact.
-Initially relieved by rest but later on disturb
sleep.
-Diffuse/ sharp and stabbing local pain
 PAIN AND TENDERNESS (CONT)
◦ Types of pain
 Mechanical: increases with use of the
joint
 Inflammatory phases
 Rest pain later on in 50%
 Night pain in 30% later on
 MOVEMENT ABNORMALITIES
◦ ‘Gelling’: stiffness after periods of inactivity,
passes over within minutes (approx 15min.) Of
using joint again
◦ Coarse crepitus: palpate/hear (due to flaked
cartilage & eburnated bone ends)
◦ Reduced rom: capsular thickening and bony
changes in joint,ms. Spasm or soft tissue
contracture.
 DEFORMITIES
◦ Soft tissue swelling:
 Mild synovitis
 Small effusions
◦ Osteophytes
◦ Joint laxity
◦ Asymmetrical joint destruction leading to
angulation
OSTEOARTHRITIS OF
THE DIP JOINTS. THIS
PATIENT HAS THE
TYPICAL CLINICAL
FINDINGS OF
ADVANCED OA OF THE
DIP JOINTS, INCLUDING
LARGE FIRM SWELLINGS
(HEBERDEN’S NODES),
SOME OF WHICH ARE
TENDER AND RED DUE
TO ASSOCIATED
INFLAMMATION OF THE
PERIARTICULAR TISSUES
AS WELL AS THE JOINT.
Knee joint effusion
A patient with
typical OA of the
knees. In the
normal standing
posture there is a
mild varus
angulation of the
knee joints due to
symmetrical OA of
the medial
tibiofemoral
compartments.
Pseudolaxity due
to cartilage loss.
The joint is not
loaded in the first
photograph
Unstable distal
interphalangeal
joints in OA. The
examiner is able to
push the joint from
side to side due to
gross instability, a
common finding in
late interphalangeal
joint OA.
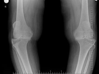
 BLOOD TESTS: NORMAL
 RADIOLOGICAL FEATURES:
◦ CARTILAGE LOSS
◦ SUBCHONDRAL SCLEROSIS
◦ CYSTS
◦ OSTEOPHYTES
 EDUCATION
 PHYSIOTHERAPY
◦ EXERCISE PROGRAM
◦ PAIN RELIEF MODALITIES
 AIDS AND APPLIANCES
 MEDICAL TREATMENT
 SURGICAL TREATMENT
 NONSYSTEMIC NATURE OF DISEASE
 PREVENT OVERLOADING OF JOINT. OBESITY!!
 APPROPRIATE USE OF TREATMENT
MODALITIES
◦ IMPORTANCE OF EXERCISE PROGRAM
◦ AIDS, APLIANCES, BRACES
◦ MEDIAL TREATMENTS
◦ SURGICAL TREATMENTS
 WILL NOT ‘WEAR THE JOINT OUT’
 IMPORTANT FOR CARTILAGE NUTRITION
 SOME EVIDENCE THAT LACK OF EXERCISE
LEADS TO PROGRESSION OF OA
 ENCOURAGE FULL RANGE LOW IMPACT
MOVEMENTS EG SWIMMING, CYCLING
 AVOID
◦ PROLONGED LOADING
◦ ACTIVITIES THAT CAUSE PAIN
◦ CONTACT SPORTS
◦ HIGH IMPACT SPORTS EG RUNNING
Quadriceps exercises
for knee oa. Quadriceps
exercises are of proven
value for pain relief and
improving function, and
everyone with knee oa
should be taught the
correct techniques and
encouraged to make
these exercises a
lifetime habit. There is a
weight on the ankle.
Use of transcutaneous
nerve stimulation
(tens) as an adjunct to
other therapy for pain
relief at the knee joint.
The use of
acupuncture, tens and
other local techniques
to aid pain relief in
difficult cases of oa is
often worthwhile.
 BRACES / SPLINTS
 SPECIAL SHOES/INSOLES
 MOBILITY AIDS
 AIDS: DRESSING, REACHING, TAP OPENERS,
KITCHEN AIDS
 TAPING OF PATELLA IN PATELLO FEMORAL OA
Use of a cane, stick or other walking aid.
This patient, who has hip oa, has found
that she can reduce the pain in her
damaged left hip by leaning on the stick
in the right hand as she walks. The
reduction in loading can be huge, and the
effect on symptoms and confidence with
walking very beneficial.
The use of shoes and
insoles to reduce impact
loading on lower limb
joints. Modern sports
shoes (‘trainers’) often
have appropriate
insoles. Alternatively,
special heel or shoe
insoles of sorbithane or
viscoelastic materials
can be used. They may
help relieve pain as well
as reducing the peak
impact load on the
joints during walking.
 SIMPLE ANALGESICS: PARACETAMOL, LOW
DOSE IBUPROFEN
 NSAID’S/COXIBS PRN REGULAR
 INTRA-ARTICULAR CORTICOSTEROIDS
 TOPICAL TREATMENT EG NSAID CREAMS,
CAPSAICIN
 ‘CHONDROPROTECTIVE AGENTS’
A patient with oa of
the carpometacarpal
joint of the left thumb
undergoing
arthrocentesis for
injection of a depot
corticosteroid
preparation. The doctor
is distracting the
patient’s thumb to
open up the joint
space.
 Indications: pain affecting work, sleep,
walking and leisure activities
 Complications
◦ sepsis
◦ loosening
◦ lifespan of materials (mechanical failure)
 Surgical option for knee arthritis when only one compartment of
the knee is involved.
 Epidemiology
◦ 5% of surgeries where knee arthroplasty is indicated
are unicompartmental knee replacements
◦ location
 fimedial compartment is most common
 Types of implants
◦ fixed-bearing
 historical standard of care
◦ mobile-bearing
 pros
 weightbearing through the meniscus increases conformity and contact
without increasing constraint
 decrease in wear pattern
 excellent survivorship out to the second decade
 cons
 technically demanding
 bearings can dislocate
 INDICATIONS
 controversial and vary widely as an alternative to
total knee arthroplasty or osteotomy for
unicompartmental disease.
 classicaly reserved for older (>60), lower-
demand, and thin (<82 kg) patients
◦ 6% of patient's meet the above criteria with no
contraindications
 new effort to expand indications to include
younger patients and patients with more
moderate arthrosis.
 Contraindications
◦ inflammatory arthritis
◦ ACL deficiency
 absolute contraindication for mobile-bearing UKA and lateral
UKA
 controversial for medial fixed-bearing
◦ fixed varus deformity > 10 degrees
◦ fixed valgus deformity >5 degrees
◦ restricted motion
 arc of motion < 90°
 flexion contracture of > 5-10°
◦ previous meniscectomy in other compartment
◦ tricompartmental arthritis (diffuse or global pain)
◦ younger high activity patients and heavy laborers
◦ overweight patients (> 82 kg)
◦ grade IV patellofemoral chondrosis (anterior knee pain)
 Fixed-bearing
◦ 1st decade results
 10-year survivorship from studies done in 1980s and 1990s
ranges from 87.4% to 96%
 the standard faliure rate in the first decade is 1%
◦ 2nd decade results
 rapid decline in survivorship ranging from 79% to 90%
 Mobile-bearing
◦ excellent clinical results with 15-year survivorship
reported at 93%.
 Long-term results
◦ lateral compartment arthroplasties have equivalent results
to medial
◦ revision rates are worse than total knee revision rates
 Marmor (1973) introduced the first UKA in 1973 and
it subsequently became an attractive concept and an
alternative procedure to HTO.
 The Oxfordmobile meniscal bearing system
 (Oxford UKA), designed by Goodfellow and O’Connor
(1986), addressed these problems by allowing more
conformity between the femoral component and the
 tibial insert in order to reduce the surface forces.
This then allowed the
 polyethylene to move on the underlying tibial tray,
thereby avoiding the problems of increased
constraint
 Complications
 Stress fractures
◦ always involve tibia
◦ associated with high activity and patient weight
◦ clinically there will be a pain free interval followed by
spontaneous pain with activity
◦ blood commonly found on joint aspiration
 Tibial component collapse
◦ poor mechanical properties of bone
 Advantages compared to TKA
◦ faster rehabilitation and quicker recovery
◦ less blood loss
◦ less morbidity
◦ less expensive
◦ preservation of normal kinematics
 theory is that retaining ACL, PCL and other compartments leads to
more normal knee kinematics
◦ smaller incision
 less post-operative pain leading to shorter hospital stays
 compared to osteotomy
◦ faster rehabilitation and quicker recovery
◦ improved cosmesis
◦ higher initial success rate
◦ fewer short-term complications
◦ lasts longer
◦ easier to convert to a TKA
 High tibial osteotomy is a well established
procedure for the treatment of unicompartmental
osteoarthritis of the knee. Most reports have
shown approximately 80% satisfactory results at
5 years and 60% at 10 years after high tibial
osteotomy.
 The biomechanical rationale for proximal tibial
osteotomy in patients with unicompartmental
osteo-arthritis of the knee is “unloading” of the
involved joint compartment by correcting the
malalignment and redistributing the stresses on
the knee joint.
 (1) pain and disability resulting from
osteoarthritis that significantly interfere with
highdemand employment or recreation and
 (2) evidence on weightbearing radiographs of
degenerative arthritis that is confined to one
compartment with a corresponding varus or
valgus deformity. The patient must be able to
use crutches or a walker and have sufficient
muscle strength and motivation to carry out a
rehabilitation program
(1) narrowing of lateral compartment cartilage
space,
(2) lateral tibial subluxation of more than 1 cm,
(3) medial compartment tibial bone loss of more
than 2 or 3 mm,
(4) flexion contracture of more than 15 degrees,
(5) knee flexion of less than 90 degrees,
(6) more than 20 degrees of correction needed,
(7) inflammatory arthritis, and
(8) significant peripheral vascular disease.
Four basic types are most commonly used
 medial opening wedge,
 Wedge bone graft and rigid fixation required.
 lateral closing wedge,
 Longest track record .pop cast immobiization
 dome, aka ‘barrel vault’
 Considered more stable ,accurate and better
adjustability of deformity correction.special jigs
needed.
 medial opening hemicallotasis.
 uses an external fixator to distract the osteotomy site
gradually.
(1) age younger than 60 years,
(2) purely unicompartmental
disease,
(3) ligamentous stability, and
(4) preoperative arc of motion of at least 90 degrees.
Normally, there is valgus alignment of 5 to 8 degrees in
the tibiofemoral angle as measured on radiographs taken in
the weight-bearing position. The amount of correction of the
arthritic knee needed to achieve a normal angle is calculated,
and an additional 3 to 5 degrees of overcorrection is added
to achieve approximately 10 degrees of valgus. With a varus
deformity, the only limitation in the amount of correction
from a valgus osteotomy is the size of the bone wedge that
can be taken proximal to the patellar tendon.
 The advantage
 (1) it is made near the deformity, that is, the knee
joint;
 (2) it is made through cancellous bone, which heals
rapidly;
 (3) it permits the fragments to be held firmly in
position by staples or a rigid fixation device, such as
a plate-and-screw construct; and
 (4) it permits exploration of the knee through the
same incision. After this operation, the danger of
delayed union or nonunion is slight and prolonged
immobilization in a cast is unnecessary, especially
with rigid internal fixation.
 Tricortical iliac crest autograft with supplemental
cancellous graft material also is recommended;
however, other structural graft material, such as
hydroxyapatite wedges, can be successful.
Opening wedge osteotomy .
 should be done if the involved extremity is 2 cm
or more shorter than the contralateral extremity.
 Opening wedge osteotomy also may be indicated
in patients with laxity of the medial collateral
ligament or combined anterior cruciate ligament
deficiency.
 roughly 1 degree of correction for each 1 mm of length at
the base of the wedge (e.g., 20 degrees of correction =a
20-mm base of the wedge). This is true only if the tibia is
57 mm wide, however, and we prefer using exact
measurements for the width of the base of the osteotomy,
with a right triangle con-structed from a preoperative
drawing or the
 formula W =diameter ×0.02 ×angle or tangent tables.
 Alternately, full-length, near actual size, standing
anteroposterior radiographs can be used to determine the
size of the wedge needed. The desired alignment, based on
the mechanical axis from the center of the femoral head
through the knee to the center of the ankle, can be
achieved by cutting the appropriate-sized wedge from the
proximal tibia.
 recurrence of deformity (loss of correction) most
commen,
 peroneal nerve palsy,
 nonunion,
 infection,
 knee stiffness or instability,
 intraarticular fracture,
 deep vein thrombosis,
 compartment syndrome, patella infra, and
osteonecrosis of the proximal fragment.
 Inadequate correction and recurrent varus
deformity have been reported to occur in 5% to
30% of patients with proximal tibial osteotomy.
ABSTRACT
 BACKGROUND:the choice of surgical treatments
for unicompartmental osteoarthritis (oa) of the
knee is still somewhat controversial. midterm
results from cases treated using
unicompartmental knee arthroplasty (uka) or open
wedge high tibial osteotomy (owhto) were
evaluated retrospectively.
 METHODS:twenty-seven knees of 24 patients with
varus deformities underwent owhto and 30 knees
of 18 patients underwent uka surgeries for the
treatment of medial compartmental osteoarthritis
(oa). the kss score,fta, range of motion and
complications were evaluated before and after
surgery.
 RESULTS:
the preoperative mean kss scores were 49 points in the
owhto group and 62 in the uka group which improved
postoperatively to 89 (excellent; 19 knees, good; 8 knees), and
88 (excellent; 25, good; 4, fair; 1), respectively. there was no
significant difference between the owhto and uka scores.
seventeen patients in the owhto group could sit comfortably in
the formal japanese style after surgery. the preoperative mean
fta values for the owhto and uka groups were 182 degrees and
184, and at follow-up measured 169 and 170, respectively. in
the uka group, the femoral component and the polyethylene
insertion in one patient was exchanged at 5 years post-
surgery and revision tkas were performed in 2 cases. in the
owhto group, one tibial plateau fracture and one subcutaneous
tissue infection were noted.
Treatment options should be carefully
considered for each OA patient in accordance
with their activity levels, grade of advanced
OA, age, and range of motion of the knee.
OWHTO shows an improved indication for
active patients with a good range of motion
of the knee.
The Iowa Orthopaedic Journal volume 30
This review examined the literature
regarding high tibial osteotomy (HTO) and
unicompartmental knee arthroplasty (UKA),
focusing on indications,survivorship and
functional outcomes of the two procedures, as
well as revision to total knee arthro-plasty
(TKA) after failed HTO or UKA.
The aim of this review is to identify the
correct in-dications for HTO and UKA, analyze
the results from both treatments, and report
on the comparison studies in the literature.
HTO and UKA share the same indications in
selected cases of medial unicompartmental
knee arthrosis. These indications include
patients who are:
1) 55 to 65 years old;
2) moderately active;
3) non-obese;
4) have mild varus malalignment;
5) no joint instability;
6) good range of motion; and
7) moderate unicompartmental arthrosis
Few studies are available in the literature
comparing the outcomes of HTO and UKA.
those few studies show slightly better results
for UKA in terms of survivorship and
functional outcome. Nevertheless, the
differences are not remarkable, the study
methods are not homogeneous and most of
the papers report on closing wedge HTOs.
For these reasons, no definitive conclusions
can be drawn.
TKA represents the revision option for both
treatments and yields satisfactory functional
outcomes and survivorship. Whether revision
HTO and UKA-to-TKA perform any worse than
primary TKA is still controversial. With the
correct indications, both treatments produce
durable and predictable outcomes in the
treatment of medial unicompartmental arthrosis
of the knee. there is no evidence of superior
results of one treatment over the other.
 High tibial osteotomy and unicompartmental
knee arthroplasty represent a “strange couple” in
the treat-ment of medial compartment arthrosis
of the knee.
 HTO has long been considered a successful and
widely performed procedure to address
malalignment and subsequent unicompartmental
arthrosis of the knee. UKA has gained popularity
in the management of uni-compartmental
arthrosis, when total knee arthroplasty and HTO
are the only alternative treatments available.
The original intent of HTO is correction of a
knee angular deformity or metaphyseal tibial
malalignment, which determines a medial
symptomatic overload or initial arthrosis.
The ideal candidate for an HTO is
1. a young (less than 60 years old),
2. active patient affected by symptomatic mild-to-
moderate varus knee (5 to 15 degrees) with mild
medial compartment involvement (less than grade III,
Ahlback classification), intact lateral and
patellofemoral compartments,
3. good knee range of motion (knee flexion >120
degrees), and
4. no joint laxity or instability.
 However, the indications for HTO have been
recently expanded to include posterolateral
laxity and varus hyperextension thrust,
anterior cruciate liga-ment (ACL) deficiency
and varus thrust or alignment, and combined
ligamentous laxity with varus or
posterolateral thrust.
UKA is the partial surface replacement of the knee
joint. Its increasing popularity is due to:
1) the possibility of replacing a severely damaged
compartment;
2) the preservation of bone stock; together with
3) a faster recovery time and minimal invasiveness
compared to TKA.
 With recent technical improvements, UKA is
consistently less invasive, and newer designs with
arthroscopic techniques will soon be introduced
into the marketplace.
1) unicompartmental osteoarthritis or femoral
condyle avascular necrosis, with intact lateral and
patellofemoral compartments;
2) age over 60 years;
3) low demands;
4) no obesity;
5) minimal pain at rest;
6) range of motion (ROM) arc over 90 degrees with
less than 5 degrees flexion contracture; and
7) within 10 degrees of axial malalignment, which
can be passively corrected almost to neutral.
Anterior cruciate ligament (ACL) deficiency has been
considered a contraindication??
SUMMARY OF INDICATIONS OF HTO AND UKA OR BOTH
 Many papers in the literature described the
outcomes of HTO and UKA.
 These mainly focused on survivorship analyses,
technical features (such as closed versus open
HTO, or all polyethylene versus metal-backed
tibial UKA),
 complications and adverse effects of the
procedures, as well as
 outcomes of revisions to TKA.
 Only a few papers reported a direct comparison of
the two procedures
 Survivorship analyses- the 10-year sur
vivorship increased from around 50% to 80%
 Patient satisfaction and clinical results were
reported to be good as well, with 50 to 80%
achieving good to excellent results at five-to-
seven years follow-up, and 30 to 60% good to
excellent results at 10-to-15 years follow-
up.
 unfavorable factors.
1. Advanced age,
2. over- or under-correction,
3. instability and severe arthrosis
4. The goal to be achieved in alignment
assessment is a slight valgus overcorrection
(2 to 5 degrees)
Controversies still exist regarding three topics
and these include:
1) the most reliable HTO technique (closing,
opening, or dome),
2) the clinical implications of patellar height
changes, and
3) the technical difficulties related to surgical
technique/means of synthesis.
 The complications-
1. fibular osteotomy or proximal tibiofibular joint
disruption,
2. peroneal nerve dissection,
3. more demanding subsequent TKA,
4. loss of bone stock, and
5. more difficulty controlling tibial slope (with a
tendency to decrease it).
 For all these reasons, the opening wedge HTO gained
popularity and became a widely used alternative. This
technique however is not itself free from drawbacks
including the necessity for bone grafting and possible
collapse or loss of correction.
 UKA was introduced in the 1970s but did not
gain wide acceptance due to poor early
results, high failure rates, and high technical
demands .
 10 -15 years survival rate ranges from 82 to
95 %
 Aspects which most likely affect the outcome
of UKA are prosthetic design, alignment, and
stability and experience of surgeon.
JANUARY 2014
 High tibial osteotomies (HTO) and unicompartmental knee
arthroplasties (UKA) are performed for the treatment of
isolated unicompartmental osteoarthritis (OA) of the knee.
 Before the development ofknee arthroplasties, HTO was
the most common operative treatment option for knee OA.
 Over the past two decades, the incidence of osteotomies
has decreased, but symptomatic, radiologically mild or
moderate knee OA is still commonly regarded as an
indication of HTO in young and active patients
 After development and popularisation of total knee
arthroplasty (TKA), the overall proportion of UKAs has
decreased in the treatment of knee OA . However, UKA is
provided as an option for TKA in cases of isolated
unicompartmental knee OA, and significant numbers of
UKAs are still performed worldwide.
 HTO alters the anatomy and biomechanics of the knee. The
most common changes are ligamental imbalance, patellar
tendon length alteration, scar formation and possible
rotational deformities.
 All these factors may make a subsequent TKA procedure
more difficult, but most of the previous studies show no
adverse effects on the results of subsequent TKA.
 Results of UKA operations are controversial. Most single
centre studies report UKA results that are comparable with
those of TKA However, these studies are not supported by
available arthroplasty register data from Australia, Finland,
New Zealand, Norway, Sweden and the United Kingdom,
which report repeatedly inferior survivorship of UKA
compared with TKA patients.
 Marmor (1973) introduced the first UKA in 1973
and it subsequently became an attractive
concept and an alternative procedure to HTO.
 The Oxfordmobile meniscal bearing system
(Oxford UKA), designed by Goodfellow and
O’Connor (1986), addressed these problems by
allowing more conformity between the femoral
component and the tibial insert in order to
reduce the surface forces. This then allowed the
polyethylene to move on the underlying tibial
tray, thereby avoiding the problems of increased
constraint
following conclusion can be made based on the results of this study.
1. The overall incidence of osteotomies in the treatment of knee OA has
decreased steadily over the last two decades, but in the age group less than 50
years, the incidence has slightly increased. The decline in incidence has been
steeper in female patients.
2. The short term survivorship of HTO at a nationwide level is comparable with
that regularly reported in single hospital or surgeon series, but the midterm
survivorship is worse. Females and patients aged more than 50 years have
poorer results.
3. The survivorship of TKAs after previous HTO is satisfactory when compared
with that following routine primary TKAs.
4. The survivorship of UKA cases is poorer compared that of TKA. Critical
patient screening for indications and adequate surgical techniques are crucial
to provide satisfactory UKA results for selected patients with isolated knee
osteoarthritis. In addition, UKA patients have a high revision rate, especially
because of aseptic loosening.
JBJS 1986 RETROSPECTIVE STUDY
COMPARISON AFTER 5-10 YEARS
 This five to ten year study has shown
significantly better results in terms of pain
and function ,in similar group of patients for
unicompartmental degenerative disease of
the knee.
 However the age group (mean age 63 years)
for tibial osteotomy is not favorable as we
know now may have resulted in outright
better outcome for ukr.
 Isolated medial joint line pain, age 40 to 60
years, body mass index (BMI) < 30, high
demand activity but no running or jumping,
varus malalignment < 15 degrees,
metaphyseal varus of tibia> 5 degrees, full
range of movement, normal lateral and
patellofemoral compartments, no defect of
the posteromedial tibia, normal ligament
balance, nonsmoker and some level of pain
tolerance.
 Improvements in surgical techniques and
 instruments have given the UKA procedure potential advantages over TKA in
 properly selected patients. These includeless bone resection, preservation of the
 cruciate ligaments, quicker recovery, decreased perioperative complications and a
 subjective preference as feeling “more normal”, returning to sports, improved
 walking ability, and lower cost
 Only two prospective RCTs have compared UKA and TKA procedures. In the
 first, 15-year follow-up study, UKA produced similar or slightly better results
 compared with TKA. The survivorship of the implant in both groups, with
 revision or a Bristol Knee Score < 60 as the endpoint, was 89.8% in the UKA
 group and 78.7% in the TKA group. The Bristol Knee Scores of the UKA group
 was better throughout the study period and at 15 years 15 of the surviving UKAs
 (71.4%) and 10 of the surviving TKAs (52.6%) achieved an excellent outcome. In
 the second RCT study, including 56 knees(mean follow-up 52 months, range 70–
 100), mobile bearing UKA achieved similar clinical effects to those of TKA, but
 had a higher first year revision rate because of the learning curve. According to
 the scale of the Knee Society, at the latest follow-up, the mean Knee Society
 score was 80.6 (range 70–100) and 78.9 (range 70–87) for UKA and TKA,
 respectively. Seven UKAs were converted to TKA due to component loosing – all
 of them within the first two years of starting the procedure and all of them in
 relatively young patients. None of the TKAs was revised (Sun & Jia 2012).

unilateral knee replacement vs high tibial osteotomy.

  • 1.
    Presenter :-Dr abhishekchuadhary Moderator:-Dr pavan kumar chebbi
  • 2.
     Applied anatomyof knee complex  Biomechanics of knee joint  OA knee  Unicondylar OA  Surgical management options for unicondylar OA  Comparisons results and study conclusions of hto vs ukr for unicondylar OA
  • 11.
     The normalanatomical load-bearing axis of the knee is viewed as ranging from 5 to 7 degrees of valgus and approximately 60% of the weight-bearing force is thought to transmit through the medial compartment and 40% through the lateral compartment
  • 17.
  • 18.
     OSTEOARTHRITIS ISA NON-INFLAMMATORY, DEGENERATIVE CONDITION OF JOINTS CHARACTERIZED BY DEGENERATION OF ARTICULAR CARTILAGE AND FORMATION OF NEW BONE I.E. OSTEOPHYTES.
  • 21.
     COMMON INWEIGHT-BEARING JOINTS SUCH AS HIP AND KNEE.  ALSO SEEN IN SPINE AND HANDS.  BOTH MALE AND FEMALES ARE AFFECTED.  BUT MORE COMMON IN OLDER WOMEN I.E. ABOVE 50 YRS,PARTICULARLY IN POSTMENOPAUSAL AGE.
  • 22.
    RISK FACTORS  OBESITYESP OA KNEE  ABNORMAL MECHANICAL LOADING EG.MENISCECTOMY, INSTABILITY INHERITED TYPE II COLLAGEN DEFECTS IN PREMATURE POLYARTICULAR OA INHERITANCE IN NODAL OA  OCCUPATION EG FARMERS INFECTION:NON-GONOCOCCAL SEPTIC ARTHRITIS HEREDITARY POOR POSTURE AGEING PROCESS IN JOINT CARTILAGE DEFECTIVE LUBRICATING MECHANISM INCOMPLETELY TREATED CONGENITAL DISLOCATION OF HIP
  • 24.
  • 25.
     MORE COMMONTHAN SECONDARY OA  CAUSE –UNKNOWN  COMMON-IN ELDERS WHERE THERE IS NO PREVIOUS PATHOLOGY.  ITS MAINLY DUE TO WEAR AND TEAR CHANGES OCCURING IN OLD AGES MAINLY IN WEIGHT BEARING JOINTS.
  • 26.
     DUE TOA PREDISPOSING CAUSE SUCH AS: 1.INJURY TO THE JOINT 2.PREVIOUS INFECTION 3.RA 4.CDH 5.DEFORMITY 6.OBESITY 7.HYPERTHYRIODISM
  • 27.
     OA ISA DEGENERATIVE CONDITION PRIMARILY AFFECTING THE ARTICULAR CARTILAGE. 1.ARTICULAR CARTILAGE 2.BONE 3.SYNOVIAL MEMBRANE 4.CAPSULE 5.LIGAMENT 6.MUSCLE
  • 28.
     Cartilage IsThe 1st Structure To Be Affected.  Erosion Occurs,often Central & Frequently In Wt. Bearing Areas.  Fibrillation,which Causes Softening,splitting And Fragmentation Of The Cartilage,occur In Both Wt. Bearing & Non-wt. Bearing Areas.  Collagen Fibres Split And There Is Disorganisation Of The Proteoglycon Collagen Relationship Such As H2o Is Attracted Into Cartilage, Which Causes Futher Softening And Flaking.These Flakes Of Cartilage Break Off And May Be Impacted B/W The Jt.Surfaces Causing Locking And Inflammation.
  • 29.
    RIGHT: EARLY OA WITHAREA OF CARTILAGE LOSS IN THE CENTER. LEFT: MORE ADVANCED CHANGES WITH EXTENSIVE CARTILAGE LOSS AND EXPOSED UNDERLYING BONE
  • 30.
    Arthroscopic appearances in OAof the knee joint: fibrillated surface of the cartilage on the medial femoral condyle
  • 31.
     Bone SurfaceBecome Hard & Polished As There Is Loss Of Protection From The Cartilage.  Cystic Cavities Form In The Subchondral Bone Because Eburnated Bone Is Brittle And Microfractures Occur.  Venous Congestion In The Subchondral Bone.
  • 32.
    Gross superior view ofa femoral head from a patient with radiographic stage i oa. This shows an area of complete cartilage loss, with polishing or eburnation of the underlying bone.
  • 33.
     Osteophytes format the margin of the articular surface,which may get projected into the jt. Or into capsule & ligament,bone of the wt.-Bearing jt.  There is alteration in the shape of the femoral head which becomes flat and mushroom shaped.  Tibial condyles become flatened.
  • 35.
     Synovial membraneundergo hypertrophy and become oedematous (which can lead to ‘cold’ effusions).  Reduction of synovial fluid secretion results in loss of nutrition and lubricating action of articular cartilage. CAPSULE It undergoes fibrous degeneration and there are low-grade chronic inflammatory changes
  • 37.
     Undergoes fibrousdegernation  There is low grade chronic inflammatory changes and acc.To the aspect joint become contracted or elongated. Muscles Undergoes atrophy,as pt. Is not able to use the jt. Because of pain which further limits movts. And function.
  • 39.
     Pain  Stiffness Muscle spasm  Restricted movement  Deformity  Muscle weakness or wasting  Joint enlargement and instability  Crepitus, Joint effusion
  • 40.
     PAIN ANDTENDERNESS ◦ Usually slow onset of discomfort, with gradual and intermittent increase ◦ Pain is more on wt. Bearing due to stress on the synovial membrane & later on due to bone surface,which r rich in nerve endings coming in contact. -Initially relieved by rest but later on disturb sleep. -Diffuse/ sharp and stabbing local pain
  • 42.
     PAIN ANDTENDERNESS (CONT) ◦ Types of pain  Mechanical: increases with use of the joint  Inflammatory phases  Rest pain later on in 50%  Night pain in 30% later on
  • 43.
     MOVEMENT ABNORMALITIES ◦‘Gelling’: stiffness after periods of inactivity, passes over within minutes (approx 15min.) Of using joint again ◦ Coarse crepitus: palpate/hear (due to flaked cartilage & eburnated bone ends) ◦ Reduced rom: capsular thickening and bony changes in joint,ms. Spasm or soft tissue contracture.
  • 44.
     DEFORMITIES ◦ Softtissue swelling:  Mild synovitis  Small effusions ◦ Osteophytes ◦ Joint laxity ◦ Asymmetrical joint destruction leading to angulation
  • 45.
    OSTEOARTHRITIS OF THE DIPJOINTS. THIS PATIENT HAS THE TYPICAL CLINICAL FINDINGS OF ADVANCED OA OF THE DIP JOINTS, INCLUDING LARGE FIRM SWELLINGS (HEBERDEN’S NODES), SOME OF WHICH ARE TENDER AND RED DUE TO ASSOCIATED INFLAMMATION OF THE PERIARTICULAR TISSUES AS WELL AS THE JOINT.
  • 46.
  • 47.
    A patient with typicalOA of the knees. In the normal standing posture there is a mild varus angulation of the knee joints due to symmetrical OA of the medial tibiofemoral compartments.
  • 48.
    Pseudolaxity due to cartilageloss. The joint is not loaded in the first photograph
  • 49.
    Unstable distal interphalangeal joints inOA. The examiner is able to push the joint from side to side due to gross instability, a common finding in late interphalangeal joint OA.
  • 53.
     BLOOD TESTS:NORMAL  RADIOLOGICAL FEATURES: ◦ CARTILAGE LOSS ◦ SUBCHONDRAL SCLEROSIS ◦ CYSTS ◦ OSTEOPHYTES
  • 57.
     EDUCATION  PHYSIOTHERAPY ◦EXERCISE PROGRAM ◦ PAIN RELIEF MODALITIES  AIDS AND APPLIANCES  MEDICAL TREATMENT  SURGICAL TREATMENT
  • 58.
     NONSYSTEMIC NATUREOF DISEASE  PREVENT OVERLOADING OF JOINT. OBESITY!!  APPROPRIATE USE OF TREATMENT MODALITIES ◦ IMPORTANCE OF EXERCISE PROGRAM ◦ AIDS, APLIANCES, BRACES ◦ MEDIAL TREATMENTS ◦ SURGICAL TREATMENTS
  • 60.
     WILL NOT‘WEAR THE JOINT OUT’  IMPORTANT FOR CARTILAGE NUTRITION  SOME EVIDENCE THAT LACK OF EXERCISE LEADS TO PROGRESSION OF OA
  • 61.
     ENCOURAGE FULLRANGE LOW IMPACT MOVEMENTS EG SWIMMING, CYCLING  AVOID ◦ PROLONGED LOADING ◦ ACTIVITIES THAT CAUSE PAIN ◦ CONTACT SPORTS ◦ HIGH IMPACT SPORTS EG RUNNING
  • 62.
    Quadriceps exercises for kneeoa. Quadriceps exercises are of proven value for pain relief and improving function, and everyone with knee oa should be taught the correct techniques and encouraged to make these exercises a lifetime habit. There is a weight on the ankle.
  • 63.
    Use of transcutaneous nervestimulation (tens) as an adjunct to other therapy for pain relief at the knee joint. The use of acupuncture, tens and other local techniques to aid pain relief in difficult cases of oa is often worthwhile.
  • 64.
     BRACES /SPLINTS  SPECIAL SHOES/INSOLES  MOBILITY AIDS  AIDS: DRESSING, REACHING, TAP OPENERS, KITCHEN AIDS  TAPING OF PATELLA IN PATELLO FEMORAL OA
  • 65.
    Use of acane, stick or other walking aid. This patient, who has hip oa, has found that she can reduce the pain in her damaged left hip by leaning on the stick in the right hand as she walks. The reduction in loading can be huge, and the effect on symptoms and confidence with walking very beneficial.
  • 66.
    The use ofshoes and insoles to reduce impact loading on lower limb joints. Modern sports shoes (‘trainers’) often have appropriate insoles. Alternatively, special heel or shoe insoles of sorbithane or viscoelastic materials can be used. They may help relieve pain as well as reducing the peak impact load on the joints during walking.
  • 67.
     SIMPLE ANALGESICS:PARACETAMOL, LOW DOSE IBUPROFEN  NSAID’S/COXIBS PRN REGULAR  INTRA-ARTICULAR CORTICOSTEROIDS  TOPICAL TREATMENT EG NSAID CREAMS, CAPSAICIN  ‘CHONDROPROTECTIVE AGENTS’
  • 68.
    A patient withoa of the carpometacarpal joint of the left thumb undergoing arthrocentesis for injection of a depot corticosteroid preparation. The doctor is distracting the patient’s thumb to open up the joint space.
  • 70.
     Indications: painaffecting work, sleep, walking and leisure activities  Complications ◦ sepsis ◦ loosening ◦ lifespan of materials (mechanical failure)
  • 74.
     Surgical optionfor knee arthritis when only one compartment of the knee is involved.  Epidemiology ◦ 5% of surgeries where knee arthroplasty is indicated are unicompartmental knee replacements ◦ location  fimedial compartment is most common  Types of implants ◦ fixed-bearing  historical standard of care ◦ mobile-bearing  pros  weightbearing through the meniscus increases conformity and contact without increasing constraint  decrease in wear pattern  excellent survivorship out to the second decade  cons  technically demanding  bearings can dislocate
  • 76.
     INDICATIONS  controversialand vary widely as an alternative to total knee arthroplasty or osteotomy for unicompartmental disease.  classicaly reserved for older (>60), lower- demand, and thin (<82 kg) patients ◦ 6% of patient's meet the above criteria with no contraindications  new effort to expand indications to include younger patients and patients with more moderate arthrosis.
  • 77.
     Contraindications ◦ inflammatoryarthritis ◦ ACL deficiency  absolute contraindication for mobile-bearing UKA and lateral UKA  controversial for medial fixed-bearing ◦ fixed varus deformity > 10 degrees ◦ fixed valgus deformity >5 degrees ◦ restricted motion  arc of motion < 90°  flexion contracture of > 5-10° ◦ previous meniscectomy in other compartment ◦ tricompartmental arthritis (diffuse or global pain) ◦ younger high activity patients and heavy laborers ◦ overweight patients (> 82 kg) ◦ grade IV patellofemoral chondrosis (anterior knee pain)
  • 78.
     Fixed-bearing ◦ 1stdecade results  10-year survivorship from studies done in 1980s and 1990s ranges from 87.4% to 96%  the standard faliure rate in the first decade is 1% ◦ 2nd decade results  rapid decline in survivorship ranging from 79% to 90%  Mobile-bearing ◦ excellent clinical results with 15-year survivorship reported at 93%.  Long-term results ◦ lateral compartment arthroplasties have equivalent results to medial ◦ revision rates are worse than total knee revision rates
  • 79.
     Marmor (1973)introduced the first UKA in 1973 and it subsequently became an attractive concept and an alternative procedure to HTO.  The Oxfordmobile meniscal bearing system  (Oxford UKA), designed by Goodfellow and O’Connor (1986), addressed these problems by allowing more conformity between the femoral component and the  tibial insert in order to reduce the surface forces. This then allowed the  polyethylene to move on the underlying tibial tray, thereby avoiding the problems of increased constraint
  • 80.
     Complications  Stressfractures ◦ always involve tibia ◦ associated with high activity and patient weight ◦ clinically there will be a pain free interval followed by spontaneous pain with activity ◦ blood commonly found on joint aspiration  Tibial component collapse ◦ poor mechanical properties of bone
  • 81.
     Advantages comparedto TKA ◦ faster rehabilitation and quicker recovery ◦ less blood loss ◦ less morbidity ◦ less expensive ◦ preservation of normal kinematics  theory is that retaining ACL, PCL and other compartments leads to more normal knee kinematics ◦ smaller incision  less post-operative pain leading to shorter hospital stays  compared to osteotomy ◦ faster rehabilitation and quicker recovery ◦ improved cosmesis ◦ higher initial success rate ◦ fewer short-term complications ◦ lasts longer ◦ easier to convert to a TKA
  • 82.
     High tibialosteotomy is a well established procedure for the treatment of unicompartmental osteoarthritis of the knee. Most reports have shown approximately 80% satisfactory results at 5 years and 60% at 10 years after high tibial osteotomy.  The biomechanical rationale for proximal tibial osteotomy in patients with unicompartmental osteo-arthritis of the knee is “unloading” of the involved joint compartment by correcting the malalignment and redistributing the stresses on the knee joint.
  • 83.
     (1) painand disability resulting from osteoarthritis that significantly interfere with highdemand employment or recreation and  (2) evidence on weightbearing radiographs of degenerative arthritis that is confined to one compartment with a corresponding varus or valgus deformity. The patient must be able to use crutches or a walker and have sufficient muscle strength and motivation to carry out a rehabilitation program
  • 84.
    (1) narrowing oflateral compartment cartilage space, (2) lateral tibial subluxation of more than 1 cm, (3) medial compartment tibial bone loss of more than 2 or 3 mm, (4) flexion contracture of more than 15 degrees, (5) knee flexion of less than 90 degrees, (6) more than 20 degrees of correction needed, (7) inflammatory arthritis, and (8) significant peripheral vascular disease.
  • 85.
    Four basic typesare most commonly used  medial opening wedge,  Wedge bone graft and rigid fixation required.  lateral closing wedge,  Longest track record .pop cast immobiization  dome, aka ‘barrel vault’  Considered more stable ,accurate and better adjustability of deformity correction.special jigs needed.  medial opening hemicallotasis.  uses an external fixator to distract the osteotomy site gradually.
  • 86.
    (1) age youngerthan 60 years, (2) purely unicompartmental disease, (3) ligamentous stability, and (4) preoperative arc of motion of at least 90 degrees. Normally, there is valgus alignment of 5 to 8 degrees in the tibiofemoral angle as measured on radiographs taken in the weight-bearing position. The amount of correction of the arthritic knee needed to achieve a normal angle is calculated, and an additional 3 to 5 degrees of overcorrection is added to achieve approximately 10 degrees of valgus. With a varus deformity, the only limitation in the amount of correction from a valgus osteotomy is the size of the bone wedge that can be taken proximal to the patellar tendon.
  • 88.
     The advantage (1) it is made near the deformity, that is, the knee joint;  (2) it is made through cancellous bone, which heals rapidly;  (3) it permits the fragments to be held firmly in position by staples or a rigid fixation device, such as a plate-and-screw construct; and  (4) it permits exploration of the knee through the same incision. After this operation, the danger of delayed union or nonunion is slight and prolonged immobilization in a cast is unnecessary, especially with rigid internal fixation.
  • 92.
     Tricortical iliaccrest autograft with supplemental cancellous graft material also is recommended; however, other structural graft material, such as hydroxyapatite wedges, can be successful. Opening wedge osteotomy .  should be done if the involved extremity is 2 cm or more shorter than the contralateral extremity.  Opening wedge osteotomy also may be indicated in patients with laxity of the medial collateral ligament or combined anterior cruciate ligament deficiency.
  • 94.
     roughly 1degree of correction for each 1 mm of length at the base of the wedge (e.g., 20 degrees of correction =a 20-mm base of the wedge). This is true only if the tibia is 57 mm wide, however, and we prefer using exact measurements for the width of the base of the osteotomy, with a right triangle con-structed from a preoperative drawing or the  formula W =diameter ×0.02 ×angle or tangent tables.  Alternately, full-length, near actual size, standing anteroposterior radiographs can be used to determine the size of the wedge needed. The desired alignment, based on the mechanical axis from the center of the femoral head through the knee to the center of the ankle, can be achieved by cutting the appropriate-sized wedge from the proximal tibia.
  • 96.
     recurrence ofdeformity (loss of correction) most commen,  peroneal nerve palsy,  nonunion,  infection,  knee stiffness or instability,  intraarticular fracture,  deep vein thrombosis,  compartment syndrome, patella infra, and osteonecrosis of the proximal fragment.  Inadequate correction and recurrent varus deformity have been reported to occur in 5% to 30% of patients with proximal tibial osteotomy.
  • 99.
    ABSTRACT  BACKGROUND:the choiceof surgical treatments for unicompartmental osteoarthritis (oa) of the knee is still somewhat controversial. midterm results from cases treated using unicompartmental knee arthroplasty (uka) or open wedge high tibial osteotomy (owhto) were evaluated retrospectively.  METHODS:twenty-seven knees of 24 patients with varus deformities underwent owhto and 30 knees of 18 patients underwent uka surgeries for the treatment of medial compartmental osteoarthritis (oa). the kss score,fta, range of motion and complications were evaluated before and after surgery.
  • 100.
     RESULTS: the preoperativemean kss scores were 49 points in the owhto group and 62 in the uka group which improved postoperatively to 89 (excellent; 19 knees, good; 8 knees), and 88 (excellent; 25, good; 4, fair; 1), respectively. there was no significant difference between the owhto and uka scores. seventeen patients in the owhto group could sit comfortably in the formal japanese style after surgery. the preoperative mean fta values for the owhto and uka groups were 182 degrees and 184, and at follow-up measured 169 and 170, respectively. in the uka group, the femoral component and the polyethylene insertion in one patient was exchanged at 5 years post- surgery and revision tkas were performed in 2 cases. in the owhto group, one tibial plateau fracture and one subcutaneous tissue infection were noted.
  • 101.
    Treatment options shouldbe carefully considered for each OA patient in accordance with their activity levels, grade of advanced OA, age, and range of motion of the knee. OWHTO shows an improved indication for active patients with a good range of motion of the knee.
  • 102.
    The Iowa OrthopaedicJournal volume 30
  • 103.
    This review examinedthe literature regarding high tibial osteotomy (HTO) and unicompartmental knee arthroplasty (UKA), focusing on indications,survivorship and functional outcomes of the two procedures, as well as revision to total knee arthro-plasty (TKA) after failed HTO or UKA. The aim of this review is to identify the correct in-dications for HTO and UKA, analyze the results from both treatments, and report on the comparison studies in the literature.
  • 104.
    HTO and UKAshare the same indications in selected cases of medial unicompartmental knee arthrosis. These indications include patients who are: 1) 55 to 65 years old; 2) moderately active; 3) non-obese; 4) have mild varus malalignment; 5) no joint instability; 6) good range of motion; and 7) moderate unicompartmental arthrosis
  • 105.
    Few studies areavailable in the literature comparing the outcomes of HTO and UKA. those few studies show slightly better results for UKA in terms of survivorship and functional outcome. Nevertheless, the differences are not remarkable, the study methods are not homogeneous and most of the papers report on closing wedge HTOs. For these reasons, no definitive conclusions can be drawn.
  • 106.
    TKA represents therevision option for both treatments and yields satisfactory functional outcomes and survivorship. Whether revision HTO and UKA-to-TKA perform any worse than primary TKA is still controversial. With the correct indications, both treatments produce durable and predictable outcomes in the treatment of medial unicompartmental arthrosis of the knee. there is no evidence of superior results of one treatment over the other.
  • 107.
     High tibialosteotomy and unicompartmental knee arthroplasty represent a “strange couple” in the treat-ment of medial compartment arthrosis of the knee.  HTO has long been considered a successful and widely performed procedure to address malalignment and subsequent unicompartmental arthrosis of the knee. UKA has gained popularity in the management of uni-compartmental arthrosis, when total knee arthroplasty and HTO are the only alternative treatments available.
  • 108.
    The original intentof HTO is correction of a knee angular deformity or metaphyseal tibial malalignment, which determines a medial symptomatic overload or initial arthrosis. The ideal candidate for an HTO is 1. a young (less than 60 years old), 2. active patient affected by symptomatic mild-to- moderate varus knee (5 to 15 degrees) with mild medial compartment involvement (less than grade III, Ahlback classification), intact lateral and patellofemoral compartments, 3. good knee range of motion (knee flexion >120 degrees), and 4. no joint laxity or instability.
  • 109.
     However, theindications for HTO have been recently expanded to include posterolateral laxity and varus hyperextension thrust, anterior cruciate liga-ment (ACL) deficiency and varus thrust or alignment, and combined ligamentous laxity with varus or posterolateral thrust.
  • 110.
    UKA is thepartial surface replacement of the knee joint. Its increasing popularity is due to: 1) the possibility of replacing a severely damaged compartment; 2) the preservation of bone stock; together with 3) a faster recovery time and minimal invasiveness compared to TKA.  With recent technical improvements, UKA is consistently less invasive, and newer designs with arthroscopic techniques will soon be introduced into the marketplace.
  • 111.
    1) unicompartmental osteoarthritisor femoral condyle avascular necrosis, with intact lateral and patellofemoral compartments; 2) age over 60 years; 3) low demands; 4) no obesity; 5) minimal pain at rest; 6) range of motion (ROM) arc over 90 degrees with less than 5 degrees flexion contracture; and 7) within 10 degrees of axial malalignment, which can be passively corrected almost to neutral. Anterior cruciate ligament (ACL) deficiency has been considered a contraindication??
  • 112.
    SUMMARY OF INDICATIONSOF HTO AND UKA OR BOTH
  • 113.
     Many papersin the literature described the outcomes of HTO and UKA.  These mainly focused on survivorship analyses, technical features (such as closed versus open HTO, or all polyethylene versus metal-backed tibial UKA),  complications and adverse effects of the procedures, as well as  outcomes of revisions to TKA.  Only a few papers reported a direct comparison of the two procedures
  • 114.
     Survivorship analyses-the 10-year sur vivorship increased from around 50% to 80%  Patient satisfaction and clinical results were reported to be good as well, with 50 to 80% achieving good to excellent results at five-to- seven years follow-up, and 30 to 60% good to excellent results at 10-to-15 years follow- up.
  • 115.
     unfavorable factors. 1.Advanced age, 2. over- or under-correction, 3. instability and severe arthrosis 4. The goal to be achieved in alignment assessment is a slight valgus overcorrection (2 to 5 degrees)
  • 116.
    Controversies still existregarding three topics and these include: 1) the most reliable HTO technique (closing, opening, or dome), 2) the clinical implications of patellar height changes, and 3) the technical difficulties related to surgical technique/means of synthesis.
  • 117.
     The complications- 1.fibular osteotomy or proximal tibiofibular joint disruption, 2. peroneal nerve dissection, 3. more demanding subsequent TKA, 4. loss of bone stock, and 5. more difficulty controlling tibial slope (with a tendency to decrease it).  For all these reasons, the opening wedge HTO gained popularity and became a widely used alternative. This technique however is not itself free from drawbacks including the necessity for bone grafting and possible collapse or loss of correction.
  • 118.
     UKA wasintroduced in the 1970s but did not gain wide acceptance due to poor early results, high failure rates, and high technical demands .  10 -15 years survival rate ranges from 82 to 95 %  Aspects which most likely affect the outcome of UKA are prosthetic design, alignment, and stability and experience of surgeon.
  • 120.
  • 121.
     High tibialosteotomies (HTO) and unicompartmental knee arthroplasties (UKA) are performed for the treatment of isolated unicompartmental osteoarthritis (OA) of the knee.  Before the development ofknee arthroplasties, HTO was the most common operative treatment option for knee OA.  Over the past two decades, the incidence of osteotomies has decreased, but symptomatic, radiologically mild or moderate knee OA is still commonly regarded as an indication of HTO in young and active patients  After development and popularisation of total knee arthroplasty (TKA), the overall proportion of UKAs has decreased in the treatment of knee OA . However, UKA is provided as an option for TKA in cases of isolated unicompartmental knee OA, and significant numbers of UKAs are still performed worldwide.
  • 122.
     HTO altersthe anatomy and biomechanics of the knee. The most common changes are ligamental imbalance, patellar tendon length alteration, scar formation and possible rotational deformities.  All these factors may make a subsequent TKA procedure more difficult, but most of the previous studies show no adverse effects on the results of subsequent TKA.  Results of UKA operations are controversial. Most single centre studies report UKA results that are comparable with those of TKA However, these studies are not supported by available arthroplasty register data from Australia, Finland, New Zealand, Norway, Sweden and the United Kingdom, which report repeatedly inferior survivorship of UKA compared with TKA patients.
  • 132.
     Marmor (1973)introduced the first UKA in 1973 and it subsequently became an attractive concept and an alternative procedure to HTO.  The Oxfordmobile meniscal bearing system (Oxford UKA), designed by Goodfellow and O’Connor (1986), addressed these problems by allowing more conformity between the femoral component and the tibial insert in order to reduce the surface forces. This then allowed the polyethylene to move on the underlying tibial tray, thereby avoiding the problems of increased constraint
  • 138.
    following conclusion canbe made based on the results of this study. 1. The overall incidence of osteotomies in the treatment of knee OA has decreased steadily over the last two decades, but in the age group less than 50 years, the incidence has slightly increased. The decline in incidence has been steeper in female patients. 2. The short term survivorship of HTO at a nationwide level is comparable with that regularly reported in single hospital or surgeon series, but the midterm survivorship is worse. Females and patients aged more than 50 years have poorer results. 3. The survivorship of TKAs after previous HTO is satisfactory when compared with that following routine primary TKAs. 4. The survivorship of UKA cases is poorer compared that of TKA. Critical patient screening for indications and adequate surgical techniques are crucial to provide satisfactory UKA results for selected patients with isolated knee osteoarthritis. In addition, UKA patients have a high revision rate, especially because of aseptic loosening.
  • 139.
    JBJS 1986 RETROSPECTIVESTUDY COMPARISON AFTER 5-10 YEARS
  • 144.
     This fiveto ten year study has shown significantly better results in terms of pain and function ,in similar group of patients for unicompartmental degenerative disease of the knee.  However the age group (mean age 63 years) for tibial osteotomy is not favorable as we know now may have resulted in outright better outcome for ukr.
  • 146.
     Isolated medialjoint line pain, age 40 to 60 years, body mass index (BMI) < 30, high demand activity but no running or jumping, varus malalignment < 15 degrees, metaphyseal varus of tibia> 5 degrees, full range of movement, normal lateral and patellofemoral compartments, no defect of the posteromedial tibia, normal ligament balance, nonsmoker and some level of pain tolerance.
  • 148.
     Improvements insurgical techniques and  instruments have given the UKA procedure potential advantages over TKA in  properly selected patients. These includeless bone resection, preservation of the  cruciate ligaments, quicker recovery, decreased perioperative complications and a  subjective preference as feeling “more normal”, returning to sports, improved  walking ability, and lower cost  Only two prospective RCTs have compared UKA and TKA procedures. In the  first, 15-year follow-up study, UKA produced similar or slightly better results  compared with TKA. The survivorship of the implant in both groups, with  revision or a Bristol Knee Score < 60 as the endpoint, was 89.8% in the UKA  group and 78.7% in the TKA group. The Bristol Knee Scores of the UKA group  was better throughout the study period and at 15 years 15 of the surviving UKAs  (71.4%) and 10 of the surviving TKAs (52.6%) achieved an excellent outcome. In  the second RCT study, including 56 knees(mean follow-up 52 months, range 70–  100), mobile bearing UKA achieved similar clinical effects to those of TKA, but  had a higher first year revision rate because of the learning curve. According to  the scale of the Knee Society, at the latest follow-up, the mean Knee Society  score was 80.6 (range 70–100) and 78.9 (range 70–87) for UKA and TKA,  respectively. Seven UKAs were converted to TKA due to component loosing – all  of them within the first two years of starting the procedure and all of them in  relatively young patients. None of the TKAs was revised (Sun & Jia 2012).