LEFT ATRIUM THROMBUS
23-12-2014
 Introduction
 Determinants
 Classification
 Management
 Conclusions
 Patients with severe symptomatic MS, 50% or more
have chronic AF.
 The incidence of thromboembolic complications is
higher in patients with rheumatic mitral stenosis and is a
major cause of morbidity and mortality.
 The left atrium and left atrial appendage are well
recognised sites of clot formation in these patients.
 Patients with a clot in the left atrium and left atrial
appendage had a higher incidence of systemic
embolization.
 LA thrombi are reported to occur in 26-33% of
patients with severe mitral stenosis.
 LA thrombi were found in 20% of patients who
underwent surgery for mitral stenosis.
 The presence of LA thrombi was associated with a
threefold increase in embolic events.
 Fifty percent of LA thrombi in patients with
rheumatic valvular disease, and nearly 90% of LA
thrombi in patients with non-valvular AF are limited
to the LA appendage
DETERMINANTS
 Various factors determine the individual risk for the
development of left atrial clot and thromboembolization
in patients with rheumaticmitral valve disease which
include
 Atrial fibrillation
 Left atrial size
 Duration of symptoms
 Older age
 Severity of mitral stenosis
 However the presence of moderate to severe mitral
regurgitation has a negative predictive value for the
development of clot in the left atrium.
`
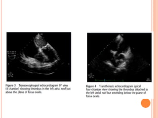
CLASSIFICATION
 The thrombus in the left atrium can be classified as
(Manjunath et al.) -
 Ia (thrombus confined to LAA)
 Ib (thrombus in LAA and protruding into LA cavity)
 IIa (attached to LA roof but above the plane of fossa ovalis)
 IIb (reaching below plane of fossa ovalis)
 III (attached to interatrial septum)
 IV (mobile with attachment to roof or lateral wall)
 V (ball valve thrombus)
SPONTANEOUS ECHO CONTRAST
 The incidence of spontaneous echo contrast in
mitral stenosis varies from 21 to 67%.
 Previous reports have shown that in majority or all,
left atrial clot and systemic thromboembolization
were associated with spontaneous echo contrast in
left atrium on transesophageal echocardiography.
 Spontaneous echo contrast was also found to be
an important predictor of systemic embolization,
independent of the presence of clot in LA clot.
 Fatkin et al, in a group of 140 patients who
underwent transesophageal echocardiography
found that the presence of SEC, not the presence
of clot in LA correlated significantly with previous
history thromboembolism.
 Acarturk et al, found that the presence of both
(spontaneous echo contrast and left atrial clot)
correlated significantly with thromboembolism.
MANAGEMENT
 Anticoagulation is conventionally used to reduce
the risks of thromboembolic events associated with
atrial fibrillation, particularly in the pericardioversion
period.
 The benefit is balanced by the high cost and risk of
anticoagulation.
 The mechanism by which warfarin achieves the
reported risk reduction is speculative.
 Earlier reports supported the hypothesis of
"thrombus maturation," by which the thrombus
endothelializes and adheres to the atrial wall.
 Coumarin anticoagulants such as warfarin act by inhibiting the
synthesis of vitamin Kdependent coagulation factors II, VII, IX,
and X.
 The primary effect of this form of anticoagulation is to prevent
further thrombus extension and development.
 It has been suggested that this will facilitate the action of the
endogenous fibrinolysis (ie, tissue plasminogen activator).
 Thrombus resolution has been demonstrated in clinical reports
on patients with left ventricular thrombi treated with 12 weeks
of warfarin.
CONCLUSIONS
 It can be stated that more than one third of the
patients with severe rheumatic MS and AF will have
LA thrombi.
 In a subgroup of the patients with normal sinus
rhythm, patients with larger left atrium (≥40 cm2 )
and spontaneous echo contrast have a higher risk
of clot formation in the LA/LAA.
 Anticoagulation appears to be facilitating LAC and
LA thrombus resolution, with an 80% short term
success rate.

Left Atrial Thrombus - A Review

  • 1.
  • 2.
     Introduction  Determinants Classification  Management  Conclusions
  • 3.
     Patients withsevere symptomatic MS, 50% or more have chronic AF.  The incidence of thromboembolic complications is higher in patients with rheumatic mitral stenosis and is a major cause of morbidity and mortality.  The left atrium and left atrial appendage are well recognised sites of clot formation in these patients.  Patients with a clot in the left atrium and left atrial appendage had a higher incidence of systemic embolization.
  • 4.
     LA thrombiare reported to occur in 26-33% of patients with severe mitral stenosis.  LA thrombi were found in 20% of patients who underwent surgery for mitral stenosis.  The presence of LA thrombi was associated with a threefold increase in embolic events.  Fifty percent of LA thrombi in patients with rheumatic valvular disease, and nearly 90% of LA thrombi in patients with non-valvular AF are limited to the LA appendage
  • 5.
    DETERMINANTS  Various factorsdetermine the individual risk for the development of left atrial clot and thromboembolization in patients with rheumaticmitral valve disease which include  Atrial fibrillation  Left atrial size  Duration of symptoms  Older age  Severity of mitral stenosis  However the presence of moderate to severe mitral regurgitation has a negative predictive value for the development of clot in the left atrium.
  • 6.
  • 8.
    CLASSIFICATION  The thrombusin the left atrium can be classified as (Manjunath et al.) -  Ia (thrombus confined to LAA)  Ib (thrombus in LAA and protruding into LA cavity)  IIa (attached to LA roof but above the plane of fossa ovalis)  IIb (reaching below plane of fossa ovalis)  III (attached to interatrial septum)  IV (mobile with attachment to roof or lateral wall)  V (ball valve thrombus)
  • 13.
    SPONTANEOUS ECHO CONTRAST The incidence of spontaneous echo contrast in mitral stenosis varies from 21 to 67%.  Previous reports have shown that in majority or all, left atrial clot and systemic thromboembolization were associated with spontaneous echo contrast in left atrium on transesophageal echocardiography.  Spontaneous echo contrast was also found to be an important predictor of systemic embolization, independent of the presence of clot in LA clot.
  • 14.
     Fatkin etal, in a group of 140 patients who underwent transesophageal echocardiography found that the presence of SEC, not the presence of clot in LA correlated significantly with previous history thromboembolism.  Acarturk et al, found that the presence of both (spontaneous echo contrast and left atrial clot) correlated significantly with thromboembolism.
  • 16.
    MANAGEMENT  Anticoagulation isconventionally used to reduce the risks of thromboembolic events associated with atrial fibrillation, particularly in the pericardioversion period.  The benefit is balanced by the high cost and risk of anticoagulation.  The mechanism by which warfarin achieves the reported risk reduction is speculative.  Earlier reports supported the hypothesis of "thrombus maturation," by which the thrombus endothelializes and adheres to the atrial wall.
  • 17.
     Coumarin anticoagulantssuch as warfarin act by inhibiting the synthesis of vitamin Kdependent coagulation factors II, VII, IX, and X.  The primary effect of this form of anticoagulation is to prevent further thrombus extension and development.  It has been suggested that this will facilitate the action of the endogenous fibrinolysis (ie, tissue plasminogen activator).  Thrombus resolution has been demonstrated in clinical reports on patients with left ventricular thrombi treated with 12 weeks of warfarin.
  • 21.
    CONCLUSIONS  It canbe stated that more than one third of the patients with severe rheumatic MS and AF will have LA thrombi.  In a subgroup of the patients with normal sinus rhythm, patients with larger left atrium (≥40 cm2 ) and spontaneous echo contrast have a higher risk of clot formation in the LA/LAA.  Anticoagulation appears to be facilitating LAC and LA thrombus resolution, with an 80% short term success rate.