Hybrid Procedures for
Aortic Arch Involvement
Harapan Kita Experience
2013-2014
Dicky Aligheri, MD FIHA FICA
Cardiac & Vascular Surgeon
National Cardiac & Vascular Centre Harapan Kita
Jakarta 2015
Disclosures : none
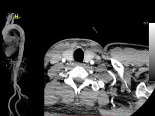
Mr HR, 65yo
Chest & Back Pain 4d before
admissions
Uncontroled hipertension,
DM
History (+) 6 month
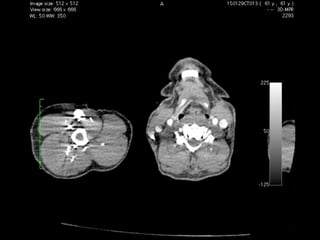
Mr ES, 55yo
Chest & Back Pain 24h before admissions
Heavy smokers, uncontroled hipertension
EXTENSIVE ARCH REPAIR
FOR TYPE A DISSECTIONS ??
In the case of distal extension to the aortic arch, an limited but
open distal anastomosis with the aortic arch or a hemiarch
replacement should be performed
Kallenbach K, Kojic D, Oezsoez M, Bruckner T, Sandrio S, Arif R, Beller CJ, Weymann A, Karck M.
Treatment of ascending aortic aneurysms using different surgical techniques: a single-centre
experience with 548 patients. Eur J Cardiothorac Surg 2013;44:337-345.
2014 ESC Guidelines on the diagnosis and treatment of aortic diseases
Interact Cardiovasc Thorac Surg.
2015 Jan;20(1):120-6. doi:
10.1093/icvts/ivu323. Epub 2014 Oct
3.
Is extended arch replacement
justified for acute type A aortic
dissection?
In [patients undergoing surgery, for acute type A aortic dissection] does
[aggressive initial treatment with total arch repair] result in [reduced mortality
and improved closure of the distal false lumen]?
Medline 1950 to December 2013
We conclude that a more extensive surgical strategy can be justified when it is
based on circumstances, on the individual patient's clinical condition, and on
the anatomical and pathological features of the dissection
↵ Dunning J, Prendergast B, Mackway-Jones K. Towards evidence-based
medicine in cardiothoracic surgery: best BETS. Interact CardioVasc Thorac Surg
2003;2:405-9.
↵ Ohtsubo S, Itoh T, Takarabe K, Rikitake K, Furukawa K, Suda H, et al. Surgical
results of hemiarch replacement for acute type A dissection. Ann Thorac Surg
2002;74:S1853-6. discussion S1857–3. Tan ME, Dossche KM, Morshuis WJ, Kelder↵
JC, Waanders FG, Schepens MA. Is extended arch replacement for acute type A aortic
dissection an additional risk factor for mortality? Ann Thorac Surg 2003;76:1209-14.
↵ Shiono M, Hata M, Sezai A, Niino T, Yagi S, Negishi N. Validity of a limited
ascending and hemiarch replacement for acute type A aortic dissection. Ann Thorac Surg
2006;82:1665-9
↵ Sun L, Qi R, Zhu J, Liu Y, Zheng J. Total arch replacement combined with
stented elephant trunk implantation: a new ā€˜standard’ therapy for type a dissection
involving repair of the aortic arch? Circulation 2011;123:971-8.
↵ Easo J, Weigang E, Holzl PP, Horst M, Hoffmann I, Blettner M, et al. Influence
of operative strategy for the aortic arch in DeBakey type I aortic dissection: analysis of the
German Registry for Acute Aortic Dissection type A. J Thorac Cardiovasc Surg
2012;144:617-23.
↵ Zhang H, Lang X, Lu F, Song Z, Wang J, Han L, et al. Acute type A dissection
without intimal tear in arch: proximal or extensive repair? J Thorac Cardiovasc Surg
2014;147:1251-5.
ACS Vol 2, No 2 (March 2013)
• Pre-existing arch aneurysm
• Primary intimal tear identified on pre-operative CT in
the distal arch or descending thoracic aorta
• Secondary intimal tear in the arch measuring >10 mm
• Clinical signs of visceral or peripheral extremity
malperfusion
• Radiologic signs of potential visceral, renal and
peripheral compromise such as a severely effaced true
lumen in descending thoracic aorta
• False lumen diameter > than 22 mm (20)
• Descending thoracic aorta diameter >35 mm
Mostly dissection
Total arch replacement
Hemi arch replacement
Mostly aneurysm
Pathologic exclusion
L-Sc & ARM involvement
Mostly dissection
Total arch replacement
Hemi arch replacement
Mostly aneurysm
Pathologic exclusion
L-Sc & ARM involvement
59Yo male, Chest pain, smoking
HHD,ASHD, CHF IV, CKD III
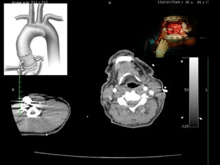
74 yo Female
Chronic Cought, HHD, ASHD
Heavy breath during last 3 mo
Family history (+)
Total
debranching
ECR 2014 / C-0818
ECR 2014 / C-0818
Areas of Controversy:
Covering the Left Subclavian Artery
Indications for Left
C-S Bypass or
Transposition
•Always
•Patent IMA or anticipated
•Left vertebral critical to
posterior circulation
•Previous AAA repair
•Internal iliac status
No Consensus
*
*
It is still debatable whether a hybrid technique is comparable to total open repair, as the
former strategy is reserved for high-risk patients who are unable to withstand an open repair.
According to the available literature and taking into account the less invasive nature of hybrid
repair, it could be speculated that short-term mortality and morbidity should appear to be
reduced in hybrid repair patients. A recent meta-analysis attempted to elucidate this issue
(53). However, it was based on four non-randomized observational studies, which makes the
analysis prone to selection and patient profile biases. Surprisingly, this study showed that a
hybrid repair did not significantly improve operative mortality, whereas it was associated with
a slight but non-significant increase in permanent neurologic deficits. A non-significant trend
towards increased late mortality was observed in the hybrid group.
A systematic review and meta-analysis of hybrid aortic arch replacement
ACS May 2013
Authors
Konstantinos G. Moulakakis1,2, Spyridon N. Mylonas3, Fotis Markatis1, Thomas
Kotsis3, John Kakisis1, Christos D. Liapis1
The chimney-graft technique for preserving
supra-aortic branches: a review
ACS May 2013
Konstantinos G. Moulakakis1,2, Spyridon N.
Mylonas1,2,3, Ilias Dalainas1, George S.
Sfyroeras1, Fotis Markatis1, Thomas Kotsis3,
John Kakisis1, Christos D. Liapis1
The ā€œchimneyā€ technique is a method that requires advanced endovascular skills.
Endovascular aortic arch repair with chimney grafts is associated with a lower
mortality rate compared to totally open and hybrid reconstruction. However, the
stroke rate remains noteworthy. The technique has acceptable short term results.
As there are no available longterm data, it should be approached with a skeptical
view and a reasonable hesitation for a wide embracement of the method.
Compared to fenestrated it has the advantage of avoiding the delay in device
manufacturing and the high cost. Long-term data and larger series are needed to
determine the safety and efficacy of this technique.
FROZEN
ELEPHANT TRUNK
SURGERY
ACS Vol 2, No 5 (September 2013)
FROZEN
ELEPHANT TRUNK
SURGERY
Frozen elephant trunk surgery in type B aortic dissection
ACS Submitted Mar 18, 2014.
A systematic review and meta-analysis on the safety and efficacy of the frozen
elephant trunk technique in aortic arch surgery
ACS Vol 2, No 5 (September 2013)
A systematic review and meta-analysis on the safety and efficacy of the frozen
elephant trunk technique in aortic arch surgery
ACS Vol 2, No 5 (September 2013)
A systematic review and meta-analysis on the safety and efficacy of the frozen
elephant trunk technique in aortic arch surgery
ACS Vol 2, No 5 (September 2013)
A systematic review and meta-analysis on the safety and efficacy of the frozen
elephant trunk technique in aortic arch surgery
ACS Vol 2, No 5 (September 2013)
Aortic arch replacement with frozen elephant trunk—when not to use it
Authors
Axel Haverich
Authors
Department of Cardiothoracic, Transplantation, and Vascular Surgery, Hannover
Medical School, Hannover, Germany
Corresponding to: Axel Haverich, MD. Klinik für Herz-, Thorax-, Transplantations-
und Gefäßchirurgie, OE6210, Medizinische Hochschule Hannover, Carl-Neuberg-
Straβe 1, 30625 Hannover, Germany. Email: haverich.axel@mh-hannover.de
Vol 2, No 5 (September 2013)
Hypothesis-driven surgical research in aortic
surgery. Following the initial disrupted
innovation with the introduction of the
elephant trunk technique, two incremental
steps of innovation were driven by
subsequently developed hypotheses
Aortic arch replacement with frozen elephant trunk—when not to use it
ACS Submitted Mar 18, 2014.
Conclusions
• Aortic arch is the most challenging part.
• Aortic arch should be considered in
proximal/distal aortic procedures
• Some advancement with few drawback
Thank you
Arch final harkit2015 __
Arch final harkit2015 __

Arch final harkit2015 __

  • 1.
    Hybrid Procedures for AorticArch Involvement Harapan Kita Experience 2013-2014 Dicky Aligheri, MD FIHA FICA Cardiac & Vascular Surgeon National Cardiac & Vascular Centre Harapan Kita Jakarta 2015
  • 2.
  • 4.
    Mr HR, 65yo Chest& Back Pain 4d before admissions Uncontroled hipertension, DM History (+) 6 month
  • 7.
    Mr ES, 55yo Chest& Back Pain 24h before admissions Heavy smokers, uncontroled hipertension
  • 12.
    EXTENSIVE ARCH REPAIR FORTYPE A DISSECTIONS ??
  • 13.
    In the caseof distal extension to the aortic arch, an limited but open distal anastomosis with the aortic arch or a hemiarch replacement should be performed Kallenbach K, Kojic D, Oezsoez M, Bruckner T, Sandrio S, Arif R, Beller CJ, Weymann A, Karck M. Treatment of ascending aortic aneurysms using different surgical techniques: a single-centre experience with 548 patients. Eur J Cardiothorac Surg 2013;44:337-345. 2014 ESC Guidelines on the diagnosis and treatment of aortic diseases
  • 14.
    Interact Cardiovasc ThoracSurg. 2015 Jan;20(1):120-6. doi: 10.1093/icvts/ivu323. Epub 2014 Oct 3. Is extended arch replacement justified for acute type A aortic dissection? In [patients undergoing surgery, for acute type A aortic dissection] does [aggressive initial treatment with total arch repair] result in [reduced mortality and improved closure of the distal false lumen]? Medline 1950 to December 2013 We conclude that a more extensive surgical strategy can be justified when it is based on circumstances, on the individual patient's clinical condition, and on the anatomical and pathological features of the dissection
  • 15.
    ↵ Dunning J,Prendergast B, Mackway-Jones K. Towards evidence-based medicine in cardiothoracic surgery: best BETS. Interact CardioVasc Thorac Surg 2003;2:405-9. ↵ Ohtsubo S, Itoh T, Takarabe K, Rikitake K, Furukawa K, Suda H, et al. Surgical results of hemiarch replacement for acute type A dissection. Ann Thorac Surg 2002;74:S1853-6. discussion S1857–3. Tan ME, Dossche KM, Morshuis WJ, Kelder↵ JC, Waanders FG, Schepens MA. Is extended arch replacement for acute type A aortic dissection an additional risk factor for mortality? Ann Thorac Surg 2003;76:1209-14. ↵ Shiono M, Hata M, Sezai A, Niino T, Yagi S, Negishi N. Validity of a limited ascending and hemiarch replacement for acute type A aortic dissection. Ann Thorac Surg 2006;82:1665-9 ↵ Sun L, Qi R, Zhu J, Liu Y, Zheng J. Total arch replacement combined with stented elephant trunk implantation: a new ā€˜standard’ therapy for type a dissection involving repair of the aortic arch? Circulation 2011;123:971-8. ↵ Easo J, Weigang E, Holzl PP, Horst M, Hoffmann I, Blettner M, et al. Influence of operative strategy for the aortic arch in DeBakey type I aortic dissection: analysis of the German Registry for Acute Aortic Dissection type A. J Thorac Cardiovasc Surg 2012;144:617-23. ↵ Zhang H, Lang X, Lu F, Song Z, Wang J, Han L, et al. Acute type A dissection without intimal tear in arch: proximal or extensive repair? J Thorac Cardiovasc Surg 2014;147:1251-5.
  • 16.
    ACS Vol 2,No 2 (March 2013) • Pre-existing arch aneurysm • Primary intimal tear identified on pre-operative CT in the distal arch or descending thoracic aorta • Secondary intimal tear in the arch measuring >10 mm • Clinical signs of visceral or peripheral extremity malperfusion • Radiologic signs of potential visceral, renal and peripheral compromise such as a severely effaced true lumen in descending thoracic aorta • False lumen diameter > than 22 mm (20) • Descending thoracic aorta diameter >35 mm
  • 20.
    Mostly dissection Total archreplacement Hemi arch replacement Mostly aneurysm Pathologic exclusion L-Sc & ARM involvement
  • 21.
    Mostly dissection Total archreplacement Hemi arch replacement Mostly aneurysm Pathologic exclusion L-Sc & ARM involvement
  • 22.
    59Yo male, Chestpain, smoking HHD,ASHD, CHF IV, CKD III
  • 27.
    74 yo Female ChronicCought, HHD, ASHD Heavy breath during last 3 mo Family history (+)
  • 28.
  • 31.
    ECR 2014 /C-0818
  • 32.
    ECR 2014 /C-0818
  • 34.
    Areas of Controversy: Coveringthe Left Subclavian Artery Indications for Left C-S Bypass or Transposition •Always •Patent IMA or anticipated •Left vertebral critical to posterior circulation •Previous AAA repair •Internal iliac status No Consensus * *
  • 35.
    It is stilldebatable whether a hybrid technique is comparable to total open repair, as the former strategy is reserved for high-risk patients who are unable to withstand an open repair. According to the available literature and taking into account the less invasive nature of hybrid repair, it could be speculated that short-term mortality and morbidity should appear to be reduced in hybrid repair patients. A recent meta-analysis attempted to elucidate this issue (53). However, it was based on four non-randomized observational studies, which makes the analysis prone to selection and patient profile biases. Surprisingly, this study showed that a hybrid repair did not significantly improve operative mortality, whereas it was associated with a slight but non-significant increase in permanent neurologic deficits. A non-significant trend towards increased late mortality was observed in the hybrid group. A systematic review and meta-analysis of hybrid aortic arch replacement ACS May 2013 Authors Konstantinos G. Moulakakis1,2, Spyridon N. Mylonas3, Fotis Markatis1, Thomas Kotsis3, John Kakisis1, Christos D. Liapis1
  • 37.
    The chimney-graft techniquefor preserving supra-aortic branches: a review ACS May 2013 Konstantinos G. Moulakakis1,2, Spyridon N. Mylonas1,2,3, Ilias Dalainas1, George S. Sfyroeras1, Fotis Markatis1, Thomas Kotsis3, John Kakisis1, Christos D. Liapis1 The ā€œchimneyā€ technique is a method that requires advanced endovascular skills. Endovascular aortic arch repair with chimney grafts is associated with a lower mortality rate compared to totally open and hybrid reconstruction. However, the stroke rate remains noteworthy. The technique has acceptable short term results. As there are no available longterm data, it should be approached with a skeptical view and a reasonable hesitation for a wide embracement of the method. Compared to fenestrated it has the advantage of avoiding the delay in device manufacturing and the high cost. Long-term data and larger series are needed to determine the safety and efficacy of this technique.
  • 39.
  • 40.
    ACS Vol 2,No 5 (September 2013) FROZEN ELEPHANT TRUNK SURGERY
  • 44.
    Frozen elephant trunksurgery in type B aortic dissection ACS Submitted Mar 18, 2014.
  • 45.
    A systematic reviewand meta-analysis on the safety and efficacy of the frozen elephant trunk technique in aortic arch surgery ACS Vol 2, No 5 (September 2013)
  • 46.
    A systematic reviewand meta-analysis on the safety and efficacy of the frozen elephant trunk technique in aortic arch surgery ACS Vol 2, No 5 (September 2013)
  • 47.
    A systematic reviewand meta-analysis on the safety and efficacy of the frozen elephant trunk technique in aortic arch surgery ACS Vol 2, No 5 (September 2013)
  • 48.
    A systematic reviewand meta-analysis on the safety and efficacy of the frozen elephant trunk technique in aortic arch surgery ACS Vol 2, No 5 (September 2013)
  • 49.
    Aortic arch replacementwith frozen elephant trunk—when not to use it Authors Axel Haverich Authors Department of Cardiothoracic, Transplantation, and Vascular Surgery, Hannover Medical School, Hannover, Germany Corresponding to: Axel Haverich, MD. Klinik für Herz-, Thorax-, Transplantations- und Gefäßchirurgie, OE6210, Medizinische Hochschule Hannover, Carl-Neuberg- Straβe 1, 30625 Hannover, Germany. Email: haverich.axel@mh-hannover.de Vol 2, No 5 (September 2013) Hypothesis-driven surgical research in aortic surgery. Following the initial disrupted innovation with the introduction of the elephant trunk technique, two incremental steps of innovation were driven by subsequently developed hypotheses
  • 50.
    Aortic arch replacementwith frozen elephant trunk—when not to use it ACS Submitted Mar 18, 2014.
  • 51.
    Conclusions • Aortic archis the most challenging part. • Aortic arch should be considered in proximal/distal aortic procedures • Some advancement with few drawback
  • 52.

Editor's Notes

  • #2Ā Type of surgery techniques preceding endovascular treatment: Ā  Extra-anatomic bypass, [4-5]: Ā  Carotid-subclavian bypass (Fig. 1 andĀ Fig. 2) Carotid-carotid bypass (Fig. 3) Carotid-carotid + carotid-subclavian bypass (Fig. 4Ā andĀ Fig. 5) Ā  LSA Revascularization LSA is an important source of blood flow to the left arm but it also plays an important role for the collateral pathways to the cerebellum -via the left vertebral artery (VA)- and the spinal cord -via the left VA to the anterior spinal artery, and collateral perfusion to the left intercostal vessels through the internal mammary and thoracodorsal arteries-. Ā  When revascularization of the LSA is strongly recommended, [6-10]: Occluded or severely stenosed right VA Clearly dominant left VA Discontinuity of the vertebrobasilar system Presence of a patent left internal mammary artery to coronary artery by-pass graft A functioning dialysis access fistula in the left arm In high risk patients for spinal cord ischemia: patients requiring extensive coverage of the thoracic aorta where critical intercostal arteries originate; patients who have undergone infrarenal aortic surgery (ligation of lumbar and middle sacral arteries); patients with compromised hypogastric blood supply Ā  Debranching of epiaortic vessels with sternotomy or ministernotomy [4-5; 11-14]: Ā  Partial debranching: End-to-side graft from ascending aorta to innominate artery and right common carotid artery -> left common carotid artery ± left common carotid artery -> left subclavian artery bypass (Fig. 6) Partial debranching: Bifurcated end-to-side graft from ascending aorta to innominate artery and left common carotid artery ± left common carotid artery -> left subclavian artery bypass (Fig. 7) Total debranching: Trifurcated end-to-side graft from ascending aorta to all supra-aortic vessels (Fig. 8)
  • #4Ā Aortic arch anatomy and the landing zones dictate the type of arch hybrid repair. In a type I arch hybrid, the great vessels are debranched to enable Z0 stent grafting, followed by concomitant antegrade or delayed retrograde TEVAR. For arch aneurysm without a good proximal Z0, but an adequate Z3/Z4 distal landing zone, type II arch hybrid repair is performed involving not only great vessel debranching, but creation of a proximal Z0 by reconstructing the ascending aorta. More complex aortopathies such as mega-aorta syndrome require type III arch hybrid repair Elephant-trunk and Frozen Elephant-trunk techniques [15-17]: Ā  Aortic arch replacement (± replacement of ascending tract) with elephant trunk technique (Fig. 12): a free-floating extension of the arch prosthesis, the so-called ā€œelephant trunkā€ (usually 5- to 7-cm long), is left behind in the proximal descending aorta. This technique facilitates subsequent endovascular treatment (TEVAR) on the downstream aorta which, in our experience, could be performed in the same stage, avoiding the requisite thoracotomy or thoracoabdominal incision, mandatory in the traditional second surgical stage. Aortic arch replacement (± replacement of ascending tract) with frozen technique (Fig. 13). This procedure is adapted from the previous technique, with EĀ®-vita prosthesis placement (Jotec, Hechingen, Germany). EĀ®-vita is a hybrid vascular graft consisting of a conventional tube graft with an endovascular stented graft in the distal end (http://www.jotec.com/english/produkte-hybrid.pml).
  • #15Ā ----- Meeting Notes (2/7/15 08:57) ----- JGVGV
  • #18Ā Tapperā€ like diameter 30 – 40 deg backward angulation Surround structures ,eg nerve
  • #32Ā Preservasi HLB m branc
  • #33Ā Preservasi HLB m branc n sternotomy.. Pitfall !!!!! Result… endoleak n trombosis Comclusion… jauh dr ideal.. Kadng mendingan open
  • #35Ā Issue LCS coverage Aneu vs dissect
  • #37Ā Result harkita???
  • #46Ā Overall, 77.2% of patients were male, with a weighted mean age of 56.5±13.4 years old. Surgical indication was exclusively type A acute dissection in 7 studies (6,11,16,17,20,22,23), while the rest included a combination of acute and chronic type A and type B dissections and aneurysms. Overall, indication was type A acute and chronic dissection in 51.9% and 21.1% of all patients, respectively, and type B acute and chronic dissection in 2.4% and 3.1%, respectively. Aneurysms were the indication for 19.1% of all patients. Marfan’s syndrome was present in 8.6% of patients (range, 2.4-21.2%) in 10 studies (6,10,13-17,19,20,23), while preoperative renal insufficiency/failure was reported in all but two studies (8,17) with a weighted average prevalence of 8.6% (range, 0-20.5%). Other patient demographics reported by more than half of the studies included hypertension, coronary artery disease, cerebral vasculopathies, diabetes, chronic obstructive pulmonary disease, and previous cardiac surgery. A variety of prefabricated and modified prostheses were utilized (Table 2) by these centers. Aortic valve repair/replacement, Bentall procedure, and coronary artery bypass grafting was performed in 14.7%, 20.0% and 11.9%, respectively, in studies which specifically reported these procedures Weighted average cardiopulmonary bypass time, myocardial ischemic time, circulatory arrest time, and cerebral perfusion time were 207±63 minutes (range, 108-297 minutes), 122±45 minutes (range, 74-174 minutes), 48±24 minutes (range, 27.2-64 minutes), 52±31 minutes (range, 24-88 minutes), respectively (Figure 3). Significant strong positive linear relationships between mortality and cardiopulmonary bypass time (Spearman’s correlation coefficient, rs =0.812), circulatory arrest time (rs =0.715), and cerebral perfusion time (rs =0.900) were identified, respectively (Figure 4). Moderate positive linear relationships between mortality and myocardial ischemia time (rs =0.572), and between circulatory arrest time and incidence of spinal cord injury (rs =0.474), were identified
  • #47Ā Overall, 77.2% of patients were male, with a weighted mean age of 56.5±13.4 years old. Surgical indication was exclusively type A acute dissection in 7 studies (6,11,16,17,20,22,23), while the rest included a combination of acute and chronic type A and type B dissections and aneurysms. Overall, indication was type A acute and chronic dissection in 51.9% and 21.1% of all patients, respectively, and type B acute and chronic dissection in 2.4% and 3.1%, respectively. Aneurysms were the indication for 19.1% of all patients. Marfan’s syndrome was present in 8.6% of patients (range, 2.4-21.2%) in 10 studies (6,10,13-17,19,20,23), while preoperative renal insufficiency/failure was reported in all but two studies (8,17) with a weighted average prevalence of 8.6% (range, 0-20.5%). Other patient demographics reported by more than half of the studies included hypertension, coronary artery disease, cerebral vasculopathies, diabetes, chronic obstructive pulmonary disease, and previous cardiac surgery. A variety of prefabricated and modified prostheses were utilized (Table 2) by these centers. Aortic valve repair/replacement, Bentall procedure, and coronary artery bypass grafting was performed in 14.7%, 20.0% and 11.9%, respectively, in studies which specifically reported these procedures Weighted average cardiopulmonary bypass time, myocardial ischemic time, circulatory arrest time, and cerebral perfusion time were 207±63 minutes (range, 108-297 minutes), 122±45 minutes (range, 74-174 minutes), 48±24 minutes (range, 27.2-64 minutes), 52±31 minutes (range, 24-88 minutes), respectively (Figure 3). Significant strong positive linear relationships between mortality and cardiopulmonary bypass time (Spearman’s correlation coefficient, rs =0.812), circulatory arrest time (rs =0.715), and cerebral perfusion time (rs =0.900) were identified, respectively (Figure 4). Moderate positive linear relationships between mortality and myocardial ischemia time (rs =0.572), and between circulatory arrest time and incidence of spinal cord injury (rs =0.474), were identified
  • #48Ā Overall, 77.2% of patients were male, with a weighted mean age of 56.5±13.4 years old. Surgical indication was exclusively type A acute dissection in 7 studies (6,11,16,17,20,22,23), while the rest included a combination of acute and chronic type A and type B dissections and aneurysms. Overall, indication was type A acute and chronic dissection in 51.9% and 21.1% of all patients, respectively, and type B acute and chronic dissection in 2.4% and 3.1%, respectively. Aneurysms were the indication for 19.1% of all patients. Marfan’s syndrome was present in 8.6% of patients (range, 2.4-21.2%) in 10 studies (6,10,13-17,19,20,23), while preoperative renal insufficiency/failure was reported in all but two studies (8,17) with a weighted average prevalence of 8.6% (range, 0-20.5%). Other patient demographics reported by more than half of the studies included hypertension, coronary artery disease, cerebral vasculopathies, diabetes, chronic obstructive pulmonary disease, and previous cardiac surgery. A variety of prefabricated and modified prostheses were utilized (Table 2) by these centers. Aortic valve repair/replacement, Bentall procedure, and coronary artery bypass grafting was performed in 14.7%, 20.0% and 11.9%, respectively, in studies which specifically reported these procedures Weighted average cardiopulmonary bypass time, myocardial ischemic time, circulatory arrest time, and cerebral perfusion time were 207±63 minutes (range, 108-297 minutes), 122±45 minutes (range, 74-174 minutes), 48±24 minutes (range, 27.2-64 minutes), 52±31 minutes (range, 24-88 minutes), respectively (Figure 3). Significant strong positive linear relationships between mortality and cardiopulmonary bypass time (Spearman’s correlation coefficient, rs =0.812), circulatory arrest time (rs =0.715), and cerebral perfusion time (rs =0.900) were identified, respectively (Figure 4). Moderate positive linear relationships between mortality and myocardial ischemia time (rs =0.572), and between circulatory arrest time and incidence of spinal cord injury (rs =0.474), were identified
  • #49Ā Overall, 77.2% of patients were male, with a weighted mean age of 56.5±13.4 years old. Surgical indication was exclusively type A acute dissection in 7 studies (6,11,16,17,20,22,23), while the rest included a combination of acute and chronic type A and type B dissections and aneurysms. Overall, indication was type A acute and chronic dissection in 51.9% and 21.1% of all patients, respectively, and type B acute and chronic dissection in 2.4% and 3.1%, respectively. Aneurysms were the indication for 19.1% of all patients. Marfan’s syndrome was present in 8.6% of patients (range, 2.4-21.2%) in 10 studies (6,10,13-17,19,20,23), while preoperative renal insufficiency/failure was reported in all but two studies (8,17) with a weighted average prevalence of 8.6% (range, 0-20.5%). Other patient demographics reported by more than half of the studies included hypertension, coronary artery disease, cerebral vasculopathies, diabetes, chronic obstructive pulmonary disease, and previous cardiac surgery. A variety of prefabricated and modified prostheses were utilized (Table 2) by these centers. Aortic valve repair/replacement, Bentall procedure, and coronary artery bypass grafting was performed in 14.7%, 20.0% and 11.9%, respectively, in studies which specifically reported these procedures Weighted average cardiopulmonary bypass time, myocardial ischemic time, circulatory arrest time, and cerebral perfusion time were 207±63 minutes (range, 108-297 minutes), 122±45 minutes (range, 74-174 minutes), 48±24 minutes (range, 27.2-64 minutes), 52±31 minutes (range, 24-88 minutes), respectively (Figure 3). Significant strong positive linear relationships between mortality and cardiopulmonary bypass time (Spearman’s correlation coefficient, rs =0.812), circulatory arrest time (rs =0.715), and cerebral perfusion time (rs =0.900) were identified, respectively (Figure 4). Moderate positive linear relationships between mortality and myocardial ischemia time (rs =0.572), and between circulatory arrest time and incidence of spinal cord injury (rs =0.474), were identified
  • #51Ā TETEP PERLU DHCA MAHAL EC DEVICE N HYBRID U MEGA AORTA, TETEP PERLU 2 STEP YG MORTAL N BORBID IDEM CONVENT HYBRID The advantages of DHCA include: A bloodless and motionless operative field; Avoidance of clamping and manipulation of the aorta with reduced risk for brain embolism; Simplicity and no need for additional perfusion equipment. The disadvantages of DHCA include: Limited safe time of circulatory arrest; Prolonged cardiopulmonary bypass (CPB) time required to cool down and rewarm patients, which may result in an increased occurrence of pulmonary, renal, cardiac and endothelial dysfunction; Reperfusion injury; Clotting complications (4).
  • #52Ā TYUD,UTDTDTYDHTDTD