DR. FAISAL  AL-SAWAFI EMERGENCY MEDICINE R1
OBJECTIVES SKIN FUNCTION APPROACH TO PATIENT WITH RASH ACUTE SKIN FAILURE COMMON CHALLENGING RASHES ALGORITHM FOR DIAGNOSING PATIENT WITH RASH SUMMARY
Skin functions The integument system of the human occupy 16% of total body WT. Protection: an anatomical barrier  Sensation Heat regulation Control of evaporation Storage and synthesis:  lipids and water
HISTORY The following key questions should be a part of every patient history: 1. When did the rash appear, and how quickly did it progress?  The most lethal rashes often progress rapidly. Acute urticaria with anaphylaxis  2. Did the rash change over time?  ANTRAX: PUPURA THEN ULCERATE THEN BLACK SCAR TSS. SSSS, TEN : ERYTHEMATOUS RASH THEN DESUQUMATION
3. What was the progression of the rash? Where did the rash start?  Vasculitic rashes generally spread in a peripheral-to-central pattern,  *viral rashes (e.g., varicella) start centrally and spread peripherally. 4. Is the lesion pruritic? Itching is, mediated by histamine released by mast cells.  *Diffuse pruritus without a rash can be seen in biliary cirrhosis or certain cancers, especially lymphomas. *Pruritus with a diffuse rash may be from an acute allergic reaction or , dermatitis, scabies
5. Has there been any recent travel?  *  a petechial rash in someone who has been to a wooded area may be Rocky Mountain spotted fever, * typhus if travel to the southwestern United States, and a maculopapular rash that spreads from the trunk to the extremities.
6. What medications is the patient taking? Cutaneous drug reactions occur in about 2%-3% of hospitalized patients and 1% of OPD CASES 7. What is the patient’s past medical history ? ** patients with an artificial heart valve, cardiac valvular lesions, or IV drug use may have endocarditis.  **herpes zoster associated with HIV **erythema multiforme following herpes simplex or mycoplasma infections.
EXAMINATION GENERAL APPEARNCE  VITALS  HEAD TO EXAMINATION DESCRIPTION OF THE RASH
MACULAR : DRUG ERUPTION, VIRAL EXANTHEMA, TOXIC OR INFECTIOUS ERYTHEMA, VITILIGO, TINEA VERSICOLOR, CELLUL. PAPULE: ACNE, BCC, MELANOMA, ATOPIC DEMATITIS, URTICARIA, ECZEMA, …. PLAQUE: ECZEMA, PITYARSIS ROSEA, PSOIASIS WHEEL: URTICARIA, ANGIOEDEMA
PUSTULE: ACNE, FOLLECULITIS, GONOCOCCEMIA, HYDRADENITIS SUPPURATIVA, HERPETIC INFECTION….. VESICLE: HERPETIC INFECTION, IMPETIGO…
Acute skin failure(ASF) is   A state of total dysfunction of the skin resulting from different dermatological conditions. It constitutes a dermatological emergency and requires  a multi-disciplinary, intensive care approach.
SO HEAT REGULATOR: loss of normal temperature control failure to prevent percutaneous loss of fluid, electrolytes and protein, with resulting imbalance,  failure of the mechanical barrier to prevent penetration of foreign materials
 
case 50 year old male  diagnosed recently as brain tumor starting 5 days back anticonvulsant medication, also diagnosed recently as gout and start medication for that Presnting to LHC with rashes all over body
o/e : Vitals stable Maculopapular rash over trunks and upper limbs Topical steroids and antibiotics Then after 2 days present to A&E with
 
A 2007 multinational study from Europe and indicated that  allopurinol  was the most common cause of SJS and TEN in these areas .
 
 
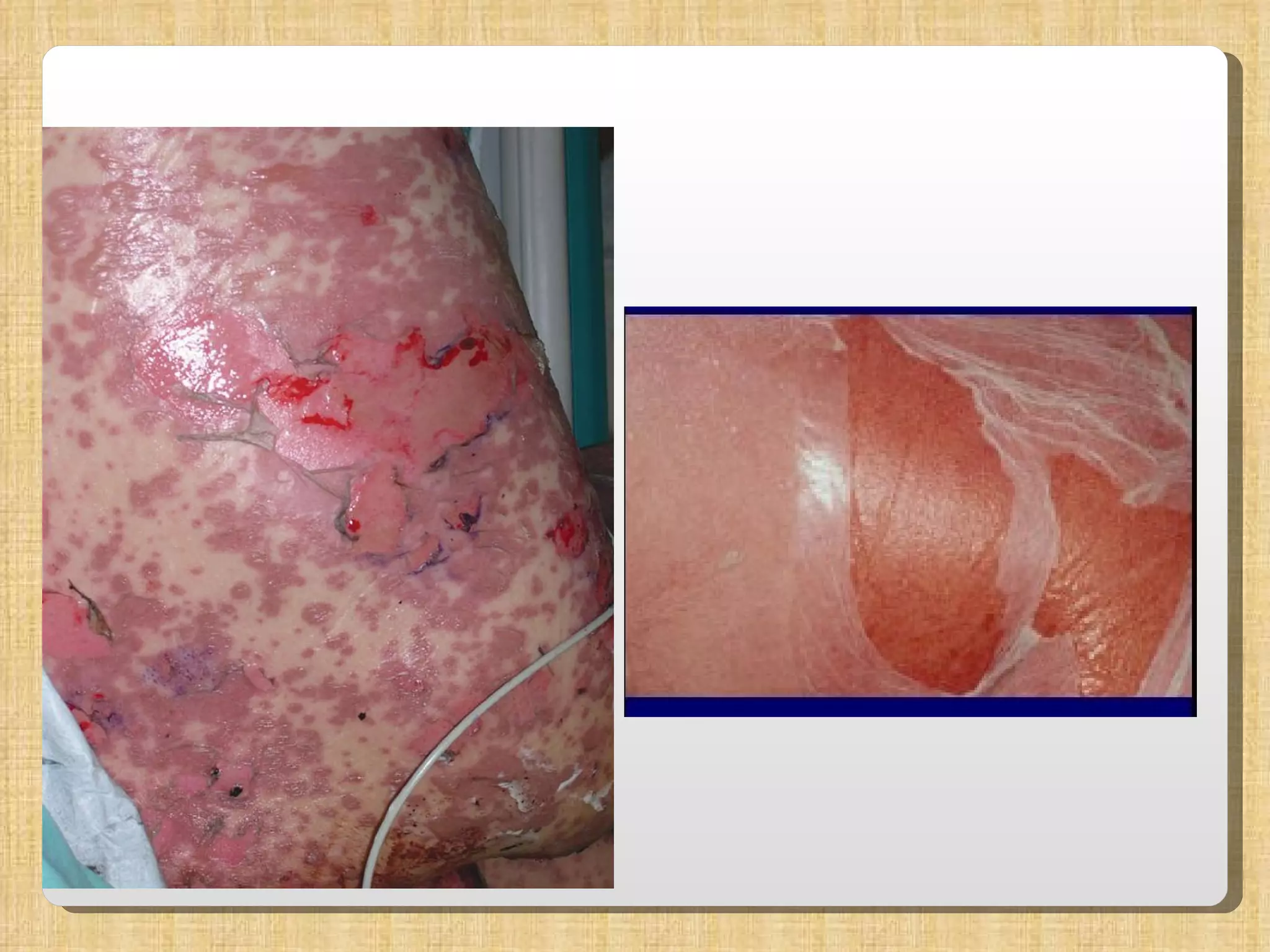
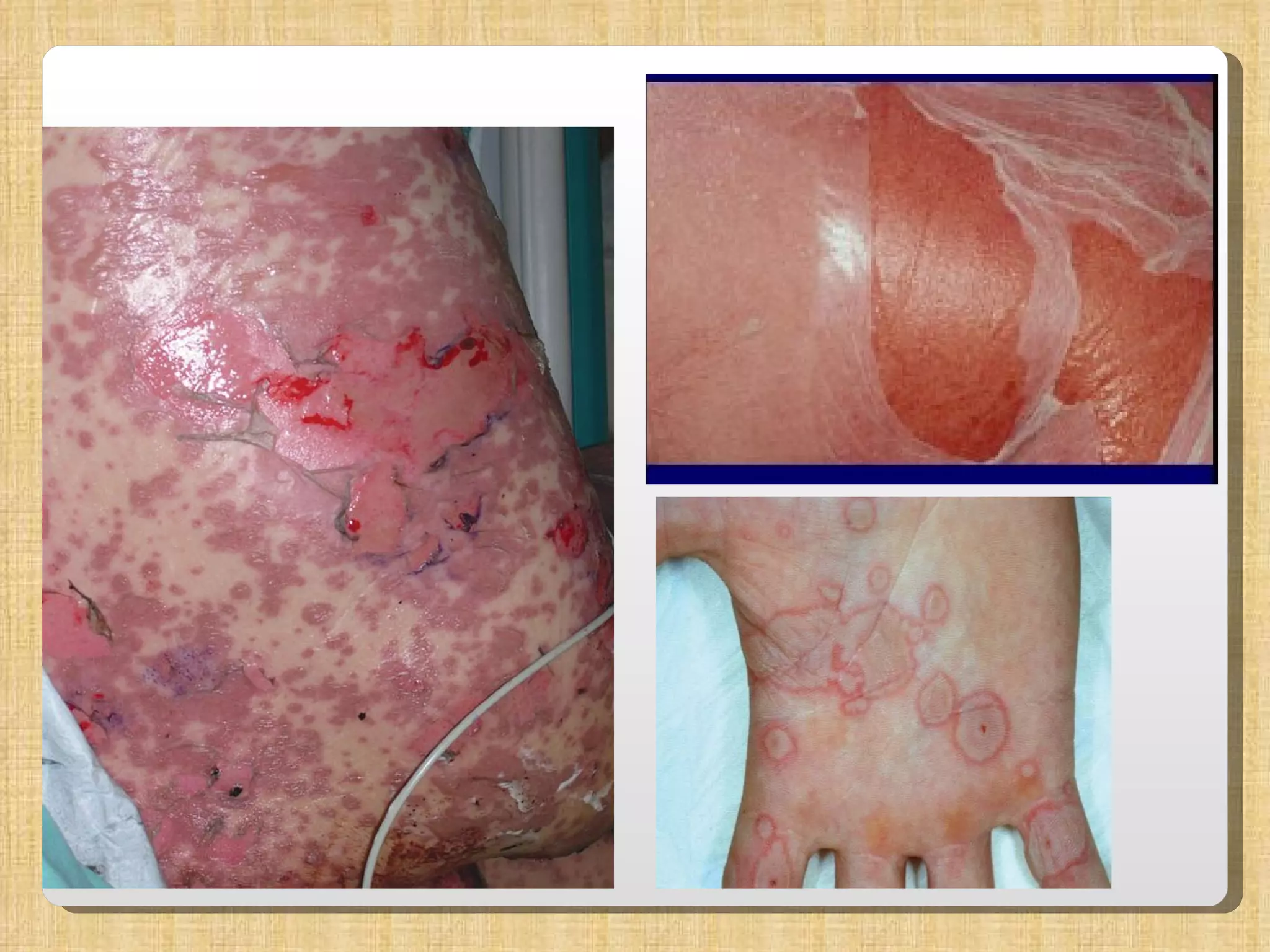
STEVEN-JOHNSON SYNDROME It is characterized by a prodrome of malaise and fever, followed by the rapid onset of erythematous or purpuric macules and plaques . The skin lesions (<10%) progress to epidermal necrosis and sloughing . * Mucosal membranes are affected (ocular, oral, and genital)  .
Toxic epidermal necrolysis   involves sloughing of greater than 30 percent of the body surface area . also begins with a prodrome of fever and malaise, . temperatures are typically higher than those seen with SJS, often exceeding 39 degrees Celsius. Mucous membranes are involved in  SKIN DESUQEMQTION.
 
WHY A CHALLENGE RASH? SEPTIC SHOCK HYPOVOLEMIC SHOCK ELECTROLYTES IMBALANCE MULTIORGAN DYSFUNCTION
Ophthalmologic - Conjunctival lesions ,Excessive tearing sometimes occurs from obstruction of the tear punctae . Urogenital - Urethritis ,dysuria or even urinary retention . Pulmonary - dyspnea, hypoxia, bronchial hypersecretion, tracheobronchitis, pulmonary edema, bacterial pneumonitis, and bronchiolitis obliterans .
Erythema multiforme (EM) Is an acute, self-limiting, mucocutaneous reaction pattern to many viral, bacterial, protozoal and fungal infections, tumors, drugs, autoimmune states and miscellaneous conditions. The most frequent cause is HSV infection followed by mycoplasma pneumoniae. Clinical spectrum of EM ranges from mild (erythema multiforme minor) to severe form (Steven-Johnson’s syndrome-TEN complex and TEN)  Variable prodromal symptoms and a symmetrically distributed polymorphic rash classically with iris or target lesions seen on hands with a central vesicle, or erythema surrounded by a pale and then a red ring. The eruption in SJS(Severe EM) occurs preferentially periorificially or on mucocutaneous locations as painful erosions with thick adherent crusts.
Cutaneous lesions frequently begin on the extensor extremities, and may spread centripetally to other areas. Lesions are usually asymptomatic, although some patients may note pruritus or a burning sensation.  EM may also involve mucosal surfaces, presenting as painful erythematous patches, erosions, or bullae. The diagnosis of acute erythema multiforme typically is based upon the patient's history and clinical findings.  When the diagnosis is uncertain, skin biopsies are useful for establishing the diagnosis .
 
 
Hemorrhagic erosions of the lips in EM,  Severe eye-involvement in EM,
managment ABC ICU
**   The management of patients requires well-synchronized teamwork. **   In addition to experienced dermatologists, internists & well-trained, devoted nursing staff are needed for continuous monitoring of patients. The  pillars  in the management of such patients are  **nursing care;  **monitoring hemodynamic changes;  **fluid, electrolyte balance and nutrition;  **prevention of complication (e.g. sepsis); **prompt identification of risk factors; **& topical therapy .
Nursing care and general measures **  Patients can be managed in  burn units  or in a  specialized ward .  **   The  environmental temperature  should be maintained at 30°-32°C;alternatively, an  infrared lamp  can be used to reduce shivering & the associated energy loss. **   Use of  air-fluidized beds  & a  burn-cage  ensures patient comfort & easy handling.
Regular cleaning & removal of crusts  from the oral & nasal cavities, &  care of eyes, genitalia & perianal  region has to be ensured. *   bathing in lukewarm water (35°-38°C)  is recommended *  Introduction of an  I.V line  &  urinary catheter  or  condom drainage  are mandatory.  *  A  nasogastric tube  should be considered in the presence of severe mucosal involvement restricting oral intake or in severely ill patients.  It helps in  feeding , and assessing the  gastric emptying . *  An hourly record of the  PR, RR , BP, & urine volume & osmolality  is essential.  *  The  body temp & gastric emptying  should be recorded every 3 to 4  hours.  *  An accurate  daily intake-output chart  should be maintained.
 
Monitoring hemodynamic changes A urine output of  50-100 ml/hour  and an osmolality lower than  1020  are indicative of adequate tissue  perfusion. **  However, while assessing the adequacy of urine output in these patients,  hyperglycemia  has to be ruled out as it is commonly associated.
**  TEN   is often compared with burn injury, the fluid requirement is  2/3rd to 3/4th  of that of patients with  burns  covering the same area.
Topical management **   An oozy denuded skin should be managed conservatively.  **   In patients with TEN, the detachable epidermis is preferably left in place. **   Topical agents (0.5% silver nitrate) **  Non-physiologic lipids  (petrolatum jelly, lanolin) in vapor-permeable dressings (gauze) can be used as barrier repair agents. **  Use of  physiologic lipids  (component mixture of cholesterol, ceramide and free fatty acids in an optimized ratio of 3:1:1), accelerates the barrier repair. **  Moreover, use of these emollients prevents the skin surface from sticking to the bed or the apparel.
Other  measures **   Individual cases should be considered for  sedatives like diazepam or morphine to reduce anxiety and apprehension, and H2-blockers to prevent stress ulcers .  **  In the presence of significant  hyperglycemia, insulin  should be added as per medical advice. **  Ophthalmic care  should be provided in the form of protective ocular pads, periodic instillation of normal saline or artificial tears, and preventive measures for synechiae formation.
***  The poor prognostic factors in ASF are **older age **larger body surface area involvement **presence of severe neutropenia **early thrombocytopenia **high blood urea nitrogen level **a causative drug with long half life in drug-induced cases.
GLUCOCORTICOIDS studies result in avoiding GLUCOCORTICOIDS in children with SJS, as this therapy can cause significant side effects and the overall prognosis is good with supportive care alone.
Studies result in favor of administration of glucocorticoids to adult patients in whom SJS has been diagnosed  within 24 to 48 hours, while recognizing that the evidence of clear benefit is inadequate. We suggest administering  prednisone , 2 mg/kg daily (or an equivalent amount of  prednisolone  or  methylprednisolone ), 5-7 days .
do not  give  glucocorticoids to treat adults with TEN because of concern for increased risk of sepsis, although the evidence of harm is not conclusive.
Intravenous Immunoglobulin  2010 Oct 15. High-dose intravenous immunoglobulins in the treatment of Stevens-Johnson Syndrome and Toxic Epidermal Necrolysis in Chinese patients: a retrospective study of 82 cases.
24 CORTICOIDS AND IVIG 58 GLUCOCORTICOIDS IVIG and corticosteroids shortened the   duration of hospitalization from 26.4 ± 9.5 d to 18.1 ± 5.3 d (P < 0.05). No significant difference was observed in the incidence of complications between the two groups (54.2% vs 39.7%, P > 0.05). The actual mortalities were 12.5% in the IVIG group and 3.4% in corticosteroid group respectively,
Intravenous Immunoglobulin  (with doses ranging from 0.65 to 5.8 grams/kg divided over one to five days).
Plasmapheresis, have been reported to be beneficial in several studies of patients with TEN
Bullous diseases Immunobullous diseases like pemphigus, pemphigoid, and hereditary mechanobullous disorders like epidermolysis bullosa can be disabling and  even life-threatening in some cases Pemphigus vulgaris   There are three main types of pemphigus- P foliaceous, (the blister is in the superficial granular layers), P vulgaris, (the blisters form just above the basal layer) and paraneoplastic pemphigus that occurs in association with malignancy Flaccid blisters are the primary lesions associated with painful erosions  and Oral mucosal involvement.
Large erosive areas in a patient with pemphigus vulgaris
Generalized pustular psoriasis Is a rare but serious and even life-threatening form of psoriasis.  Sheets of small, sterile yellowish pustules develop on an erythematous background and may rapidly spread . The onset is often acute.  The patient is unwell, with fever and malaise, and requires hospital admission
CASE 10 YEAR OLD BOY, HE GOT INJRY TO HIS UPPER LIMB (LENGTH 3CM , DEEP 1CM), HE DID NOT SEEK ANY TREATMENT OR CLEAN HIS WOUND WOUND BECOME INFLAMMED, THEN STARTED TO GET FEVER AND SKIN RASH PARENTS GIVE HIM OMOL, BUT RASH BECAME MORE AGGRESSIVE (SKIN EASILY DETACH ON PALPATION)
o/e Erythematous skin rashes over trunk and limbs with some areas of peeling off skin
 
STAPH. TSS
DISEASE COURSE PHASE I: SUDDEN APPEARANCE OF TENDER ERYTHEMA WITH A SNANDPAPERLIKE TEXTURE PHASE II: EXFOLIATIVE PHASE, SKIN WRINKLE AND PEEL OFF EVEN WITH PRESSURE (NIKOLSKY SIGN), BULLAE OR BLISTER MAY APPER PHASE III: 3-5 DAYS SKIN DESQUMATES, NORMAL SKIN 10-14 DAYS
staph. TSS symptoms/exam Presents as acute febrile illness with high fever, myalgia, vomiting, headache, pharyngitis Accompanied with diffuse, non pruritic , exanthema , starts on trunk then spread, subsequent desquamation occur. Other manifestation: conjunctivitis, strawberry tongue, erythema hand& sole Rapid progression to hypotension
Aetiology Linked with extoxin producing staph aureus  Associated with TAMPONS USE, NASAL PACKS , surgical wounds
Why a challenge rash? profound shock, renal failure,  sepsis,  adult respiratory distress syndrome. The overall mortality is 30%, and can reach 80% in the elderly.
Treatment Patients with TSS and STSS require ABCD.  Some will need vasopressors, inotropic agents,  and mechanical ventilation.  In  staph TSS, remove the source of staphylococcal colonization, such as vaginal tampons, nasal packing, or breast implants
Antibiotic therapy with anti-staphylococcal coverage is recommended.: Intravenous beta-lactamase-resistant antibiotics (oxacillin,nafcillin, cefoxitin, vancomycin, or clindamycin) should be started as soon as the diagnosis is considered.
Strep. TSS Affects mostly healthy people 20-50 yrs Affects multiple organ system with fever, hypotension, skin findings of edema, erythema or bullae. Aetiology: Invasive soft-tissue strep. Pyogenes (GAS) infection, such as cellulitis or myositis
MANAGEMENT     ABC Surgical involvement Start of antibiotics IVIG
Hemodynamic support  —  Massive amounts of intravenous fluids (10 to 20 L/day) are often necessary to maintain perfusion vasopressors (eg, dopamine and/or norepinephrine) may also be required.  Surgical therapy  —  Prompt and aggressive exploration and debridement of suspected deep-seated S. pyogenes infection is mandatory .
Antibiotic therapy Clindamycin  — Should be a first choice and should be started immediately   A retrospective review of 56 children with invasive GAS infections noted that a favorable outcome was more likely in patients who received a protein synthesis-inhibiting antibiotic (eg,  clindamycin ) compared to those who received only a cell wall-inhibiting antibiotic (eg, beta-lactams) (83 versus 14 percent with beta-lactams had a favorable outcome) .
IVIG including neutralization of streptococcal toxins, inhibition of T-cell proliferation,  neutralizing antibodies against several streptococcal toxins such as the pyrogenic exotoxins , streptolysin O,
Staphylococcal Scalded Skin Syndrome A spectrum of superficial blistering skin disorders caused by the exfoliative toxins of some strains of  Staphylococcus aureus . It is a syndrome of acute exfoliation of the skin typically following an erythematous cellulitis.  Severity of SSSS varies from a few blisters localized to the site of infection to a severe exfoliation affecting almost the entire body.
 
 
 
 
treatment ABC ICU Septic precaution ? antibiotic
CASE 15
 
 
Acute rheumatic fever a nonsuppurative sequela of group A streptococcus pharyngitis that occurs two to four weeks following infection.  The five major manifestations are migratory arthritis (predominantly involving the large joints), carditis and valvulitis (eg, pancarditis), central nervous system involvement (eg, Sydenham chorea), erythema marginatum, and subcutaneous nodules.  The four minor manifestations are arthralgia, fever, elevated acute phase reactants, and prolonged PR interval.
Arthritis usually is the earliest symptomatic manifestation of ARF. The natural history that the disease &quot;migrates&quot; from joint to joint. Joint pain usually is more prominent than objective signs of inflammation and is almost always transient.  Rheumatic fever causes a pancarditis,
 
 
CASE 23 YEAR OLD MALE , PRESENT TO A&E WITH HISTORY OF ITCHING RASH OVER HIS TRUNKS STARTS AFTER EATING PEANUTS O/E: BP 80/50, PR 110 CHEST: WHEEZE BILATERALLY
Severe and acute urticaria caused by penicillin allergy
 
ANAPHYLAXIS SEVERE SYSTEMIC HYPERSENSITIVITY REACTION CHARACTERISED BY MULTI SYSTEM INVOLVMENT, INCLUDE HYPOTENSION OR AIRWAY COMPROMISE IgE DEPENDENT: RELEASE MEDIATORS FROM MAST CELLS
ANAPHYLACTOID RESPONSES THAT ARE CLINICALLY INDISTIGUSHBLE FROM ANAPHYLAXIS NOT IgE DEPENDENT DON’T REQUIRE SENSITIZING EXPOSURE
WHY A CHALLENGE RASH? CAN LEAD TO AIRWAY , COMPROMISE SHOCK DEATH
COMMON CAUSES DRUGS: B-LACTAM, PENICILLIN, VANCOMYCIN, CONTRAST FOODS: SHELLFISH, NUTS, WHEAT, MILK,EGGS, SEEDS
SIGNS AND SYMPTOMS ITCHING, ERYTHEMA, URTICARIA, EDEMA WHEEZE, LARYNGEAL OBSTRUCTION, CYANOSIS TACHYCARDIA, HYPOTENSION
Removal of the suspect inciting antigen (eg, stop infusion of a suspect medication)  Call for help (summon a resuscitation team in the hospital setting, call 911 or an equivalent service in the community setting)  Intramuscular injection of epinephrine  Placement of the patient in the supine position (if tolerated)  Supplemental oxygen  Volume resussitation
Intramuscular injection — provides a more rapid increase in the plasma and tissue concentrations of epinephrine .  For adults, the recommended dose of epinephrine (1 mg per mL) is 0.3 to 0.5 mg per single dose, injected intramuscularly into the mid-anterolateral thigh (vastus lateralis muscle). This treatment may be repeated at 5 to 15 minute intervals,  For infants and children, the recommended dose of epinephrine (1 mg per mL) is 0.01 mg per kilogram (up to 0.5 mg per dose),
IV infusion; for patient who are not responding to treatment Adult: 2-10 mic per minutes, titrated according to BP Infants and child: 0.1-1 mg/kg/min.
 
CASE 25 YR OLD MALE WHO USE TO HAVE SEX WITH MULTIPLE PARTNER , STARTED TO GET PAINLES ULCER OVER HIS PENIS, WHICH HEALS SPONTANEOUSLY AFTER 2 WKS WITHOUT SEEKING TREATMENT NOW, PRESENT WITH RASH OVER HIS TRUNK AND UPPER LIMBS FLU LIKE SYMPTOMS, AND HAS INGUINAL LYMPHADENOPATHE (O/E)
 
 
syphilis The spirochete: treponema pallidum Primary syphilis: *painless genital ulcer * heals spontaneously 2-6 wk Secondary syphilis :  (4-8 week after healing chancre) * rash , non pruruitic, maculopapular, start on trunk then spread to extremeties *sore throat, flu-like symptoms *generalized lymphadenopathy
Why a challeng rash ? Gastrointestinal abnormalities  — The gastrointestinal tract may become extensively infiltrated or ulcerated;  Musculoskeletal abnormalities  — Synovitis, osteitis, and periostitis  Renal abnormalities  — immune-complex glomerulonephritis or nephrotic syndrome Neurologic abnormalities  — Invasion of the cerebrospinal fluid (CSF) , MENINGITIS, DEMENTIA Ocular abnormalities  — S anterior uveitis, posterior uveitis, or panuveitis Cvs : arotitis
 
 
DIAGNOSIS Early stage: Dark fild microscopy (sensitivity 80%) Other stages: serological tests ( including ESR) Consider LP if suspect meningitis
treatment guidelines 2006 issued by the CDC, as summarized below: The following antibiotics have activity against syphilis: penicillin,  doxycycline ,  azithromycin , and  ceftriaxone .  benzathine  penicillin G  (a dose of 2.4 million units) should be administered as a single dose FOR primary or early latent syphilis and three doses for late latent syphilis.  Long-acting benzathine penicillin should only be given via the IM route; IV administration has been associated with cardiopulmonary arrest and death In patients with severe penicillin allergy, alternative agents for the treatment of syphilis include  doxycycline  or  azithromycin ..
CASE 33 YR OL FEMALE C/O SEVERAL DAYS OF SEVERE HEADACHE WITH BRUISING TO HER EXTREMITIES NO FEVER, NO VOMITING, NO NECK STIFFNESS, NO VISUAL CHANGE NOT RELIEVED WITH PAIN KILLER, THEN SHE GOT ONE ATTACK OF TONIC- CLONIC SEIZURE
 
Causes  —  Most cases of TTP-HUS in adults are idiopathic .
DIAGNOSIS MICROANGIOPATHIC HEMOLYTIC ANEMIA WITH SCHISTOCYTES ON SMEAR PLATELET COUNT 5000 TO 1x105/UL FEVER SEVERE HEADACHE
WHY IT IS A CHALLENGE RASH?  RENAL ABNORMAL: RENAL INSUFFICINCY,  PROTENUREA NEUROLOGICAL ABNORMAL: HEADACHE, CONFUSION, SEIZURE OR COMA
TREATMENT EXCHANGE TRANSFUSION IS TREATMENT OF CHOICE EXCHANGE PLASMAPHARESIS AVOID PLATELET TRANSFUSION PLASMA TRANSFUSION SHOULD NOT BE DONE AS IT MAY CAUSE VOLUME OVERLOAD BUT , RESERVED IN 2 SITUATION: 1) IF PLASMA EXCHANGE CAN NOT BE STARTED PROMPTLY 2) IF Pt WITH SEVERE DISEASE BETWEEN EXCHANGE SESSION
CASE 1 year old boy presented with history of  fever for 1 day associated with poor feeding, vomiting , lethargic and spreading  rash O/E:febrile  lethargic, purpuric rash over chest, upper and lower limb
 
Acute meningococcemia and meningococcal meningitis are caused by  Neisseria meningitidis ,  begin with colonization of the nasopharynx  to systemic invasion,  bacteremia,  SEPSIS and/or CNS invasion.  Untreated meningococcemia is invariably fatal.  Even with prompt treatment, the mortality rate is about 10%-20%. Common :  *  Children from 6 m to 1 yr of age  *  adult < 20 year *  Persons with complement deficiencies, protein  C&S  deficiency, or who are asplenic
The incubation period varies from 2- 10 days,  Symptoms: may begin with an upper respiratory infection. fever, chills, malaise, myalgias,headaches, nausea, and vomiting. A rash is seen in more than 70% of people with meningococcemia . Petechiae on the wrist and ankles, are the first sign of impending septicemia. The petechiae spread to the rest of the body, becoming confluent and eventually developing into purpuric
Why it is a challenge rash ? Because if untreated early and aggresively, it can lead to serious complication: Cerebral: hearing loss, local vasculitis, local cerebral infarction, subdural effusion, hydrocephalus, cerebral abscess
INVESTIGATION LP:  CSF glucose concentration below 45 mg/dL (2.5 mmol/L), a protein concentration above 500 mg/dL, and a white cell count above 1000/microL.  The polymerase chain reaction (PCR) is a sensitive and rapid tool for diagnosing meningococcal infection.  However, PCR has not replaced traditional culture methods because it cannot be used to determine antimicrobial susceptibility .
TREATMENT should be admitted to an isolation room. Supportive care involving IV fluids is crucial in the patient with overt or incipient shock., ceftriaxone (2 g q12h) is the initial antibiotic of choice to cover the most common bacterial causes of purpuric disease:  N. meningitidis, H. influenzae,  and  S. pneumoniae. OR CEFOTAXIME DO NOT DELAY TREATMENT AFTER LP IF SUSPECT
DEXAMETHASONE FOR BACTERIAL MENIGITIDIS Abstract Four hundred twenty-nine patients with bacterial meningitis were assigned on a nonselective alternating basis into one of two therapeutic regimens. Patients in Group I received dexamethasone in addition to standard antibacterial chemotherapy of ampicillin and chloramphenicol whereas those in Group II received antibacterial chemotherapy alone. Dexamethasone was given intramuscularly (8 mg to children younger than 12 years and 12 mg to adults every 12 hours for 3 days). Both treatment groups were comparable with regard to age, sex, duration of symptoms and state of consciousness at the time of hospitalization. A  significant reduction in the case fatality rate (P < 0.01)  was observed in patients with p meningitis receiving dexamethasone; only 7 of 52 patients died compared with 22 of 54 patients not receiving dexamethasone.  A reduction in the overall neurologic sequelae (hearing impairment and paresis) was observed  in patients receiving dexamethasone. This reduction was significant only in patients with meningitis; none of the 45 surviving patients receiving steroids had hearing loss whereas 4 of 32 patients not receiving dexamethasone had severe hearing loss (P < 0.05). No significant difference was observed between the two groups with regard to time for patients to become afebrile or to regain consciousness or in the mean admission and 24- to 36-hour cerebrospinal fluid leukocyte count, glucose or protein content.
CASE 3 YEAR OLD BOY HAD DEVELOPED A HIGH GRADE FEVER OF 3 DAYS DURATION O/E: RASH, MILD CONJUNCTIVITIS, AND CERVICAL LYMPHADENITIS, CRACKED LIPS Ix: HIGH WBC , NEUT. , ESR
Kawasaki disease Affect children from 6 month-4 year Cause : not known, bacterial toxin acting as superantigen Vasculitis affecting small & medium size vessels CF:  fever more than 5 days, conjunctivitis, mucous memebrane chang (pharymngeal injection, cracked lip, strawberry tongue) Rash after 4 th day
 
 
 
Extremities: red and edematous palms and soles, peeling of fingers and toes Ix: high wbc, neutophils and ESR,,
Why it is a challenging rash ? Cause fetal complication if misdiagnosed. Aneurysms of coronary artery Myocardial ischemia and sudden death Echocardiogaphy ========================= Rx: IV immunoglobulin within 10 days Aspirin :reduce risk of thrombosis Antiplatelet aggregation
Myocardial infarction in Kawasaki disease: Clinical analyses in 195 cases    .   M.D.Hirohisa Kato a ,  b ,  , M.D.Eisei Ichinose a ,  b  and M.D.Tomisaku  a ,  b a Department of Pediatrics, Division of Pediatric Cardiology, Kurume University School of Medicine, Japan   We analyzed clinical data from 195 patients (141 boys) with myocardial infarction complicating Kawasaki disease, collected from 74 major hospitals in Japan. The myocardial infarction usually occurred within the first year of illness, but 27.2% of the patients had myocardial infarction more than 1 year later.  The main symptoms of acute myocardial infarction were shock, unrest, vomiting, abdominal pain, and chest pain; chest pain was much more frequently recognized in the survivors and in older patients. The myocardial infarctions were asymptomatic in 37% of the patients. Twenty-two percent of the patients died during the first attack. Sixteen percent of the survivors of a first attack had a second attack. Forty-three percent of all survivors of the first or subsequent attack are doing well; however, others have some type of cardiac dysfunction, such as mitral regurgitation, decreased ejection fraction of the left ventricle, or left ventricular aneurysm. Coronary angiographic studies indicate that in most of the fatal cases there was obstruction either in the main left coronary artery or in both the main right coronary artery and the anterior descending artery. In survivors, one-vessel obstruction was frequently recognized, particularly in the right coronary artery.
Adult coronary artery disease probably due to childhood Kawasaki disease  H. Kato MD, Prof a ,  , O. Inoue MD a , H. Toshima MD b , T. Kawasaki MD c , H. Fujiwara MD d  an .  Abstract We have surveyed adult survivors of childhood Kawasaki disease (KD) who had coronary artery disease that could be ascribed to KD. In response to questionnaires sent to cardiologists throughout Japan, 21 patients (17 men, 4 women, aged 20-63 years) with coronary lesions and a definite (2) or suspected (19) history of KD were reported. 5 patients had presented with acute myocardial infarction, 6 previous myocardial infarction, 9 angina pectoris, and 1 dilated cardiomyopathy. 16 patients had obstructions in two or more coronary arteries. 3 had died and 18 were alive with serious sequelae (mitral regurgitation, arrhythmias, congestive heart failure). Childhood KD should be included in the differential diagnosis of coronary artery disease in young adults
The Prevention of Coronary Artery Aneurysm in Kawasaki Disease: A Meta-analysis on the Efficacy of Aspirin and Immunoglobulin Treatment  Kritvikrom Durongpisitkul MD 1 , Vymutt J. Gururaj MD 1 , Joon M. Park MD 1 , , Conclusion . The incidence of CAA both at   30  and  60 days was significantly lower in low-IVIG than in ASA   and  in high-IVIG than in low-IVIG groups. Also, the incidence   was lower in the single-IVIG than in the high-IVIG group, but   this was noted at 30 days  and  not at 60 days. There was no statistically   significant difference in the incidence of CAA both at 30  and   60 days between the high-IWIG-low-ASA  and  high-IVIG-high-ASA   groups .
CLINICAL EVALUATION OF SKIN RASH POSSIBLE LIFE THREATINING FLUID FILLED SOLID PUSTULAR VESICO BULLOS NON ERYTHEMATOS ERYTHEMATOS
NON  ERYTHEMATOUS VESICO- BULLOUS PUSTULAR *EM MAJOR *SJS, TEN *PEMPHIGUS VULGARIS *VARICELLA ZOOSTER 2NDRY  SYPHILIS ANTHRAX *BACTERIAL FOLLICULITIS *GONORRHEA
ERYTHEMATOUS DIFFUSE ERYTHEMATOUS PETECHIAL OR PURPURIC MACULO- PAPULAR
MACULOPAPULAR PERIPHERAL CENTRAL SKIN CONTACT YES NO VIRAL  EXANTHEMA *BCUTANEOUS DRUG REACTION **LYME DISEASE **PITYRIASIS ROSEA *MENINGO- COCCAL *HAND FOOT MOUTH *RMSF *ERYTHEMA  MULTIFORM *2NDRY  SYPHILIS *ANTHRAX + SC - SC
Evaluating The Petechial Rash Petechial rash ➤ If the patient is ill-appearing, consider empiric treatment for meningococcemia and Rocky Mountain spotted fever ➤ Does the patient have any sick contacts? YES  NO •  Meningococcemia  TRAVEL , INCIDENCE OF TICK BORN  •  Rubella  YES  NO  •  Epstein-Barr virus  RMSV  PALPABLE •  Enterovirus  DANGUE  PURPURA FEVER  YES  NO •  Gonococcemia  VASCU-  ITP LITIS  TTP
DIFFUSE ERYTHEMATOUS *TSS *SSSS *KAWASAKI DISEASE
 

challenge rash

  • 1.
    DR.FAISAL AL-SAWAFI EMERGENCY MEDICINE R1
  • 2.
    OBJECTIVES SKIN FUNCTIONAPPROACH TO PATIENT WITH RASH ACUTE SKIN FAILURE COMMON CHALLENGING RASHES ALGORITHM FOR DIAGNOSING PATIENT WITH RASH SUMMARY
  • 3.
    Skin functions Theintegument system of the human occupy 16% of total body WT. Protection: an anatomical barrier Sensation Heat regulation Control of evaporation Storage and synthesis: lipids and water
  • 4.
    HISTORY The followingkey questions should be a part of every patient history: 1. When did the rash appear, and how quickly did it progress? The most lethal rashes often progress rapidly. Acute urticaria with anaphylaxis 2. Did the rash change over time? ANTRAX: PUPURA THEN ULCERATE THEN BLACK SCAR TSS. SSSS, TEN : ERYTHEMATOUS RASH THEN DESUQUMATION
  • 5.
    3. What wasthe progression of the rash? Where did the rash start? Vasculitic rashes generally spread in a peripheral-to-central pattern, *viral rashes (e.g., varicella) start centrally and spread peripherally. 4. Is the lesion pruritic? Itching is, mediated by histamine released by mast cells. *Diffuse pruritus without a rash can be seen in biliary cirrhosis or certain cancers, especially lymphomas. *Pruritus with a diffuse rash may be from an acute allergic reaction or , dermatitis, scabies
  • 6.
    5. Has therebeen any recent travel? * a petechial rash in someone who has been to a wooded area may be Rocky Mountain spotted fever, * typhus if travel to the southwestern United States, and a maculopapular rash that spreads from the trunk to the extremities.
  • 7.
    6. What medicationsis the patient taking? Cutaneous drug reactions occur in about 2%-3% of hospitalized patients and 1% of OPD CASES 7. What is the patient’s past medical history ? ** patients with an artificial heart valve, cardiac valvular lesions, or IV drug use may have endocarditis. **herpes zoster associated with HIV **erythema multiforme following herpes simplex or mycoplasma infections.
  • 8.
    EXAMINATION GENERAL APPEARNCE VITALS HEAD TO EXAMINATION DESCRIPTION OF THE RASH
  • 9.
    MACULAR : DRUGERUPTION, VIRAL EXANTHEMA, TOXIC OR INFECTIOUS ERYTHEMA, VITILIGO, TINEA VERSICOLOR, CELLUL. PAPULE: ACNE, BCC, MELANOMA, ATOPIC DEMATITIS, URTICARIA, ECZEMA, …. PLAQUE: ECZEMA, PITYARSIS ROSEA, PSOIASIS WHEEL: URTICARIA, ANGIOEDEMA
  • 10.
    PUSTULE: ACNE, FOLLECULITIS,GONOCOCCEMIA, HYDRADENITIS SUPPURATIVA, HERPETIC INFECTION….. VESICLE: HERPETIC INFECTION, IMPETIGO…
  • 11.
    Acute skin failure(ASF)is A state of total dysfunction of the skin resulting from different dermatological conditions. It constitutes a dermatological emergency and requires a multi-disciplinary, intensive care approach.
  • 12.
    SO HEAT REGULATOR:loss of normal temperature control failure to prevent percutaneous loss of fluid, electrolytes and protein, with resulting imbalance, failure of the mechanical barrier to prevent penetration of foreign materials
  • 13.
  • 14.
    case 50 yearold male diagnosed recently as brain tumor starting 5 days back anticonvulsant medication, also diagnosed recently as gout and start medication for that Presnting to LHC with rashes all over body
  • 15.
    o/e : Vitalsstable Maculopapular rash over trunks and upper limbs Topical steroids and antibiotics Then after 2 days present to A&E with
  • 16.
  • 17.
    A 2007 multinationalstudy from Europe and indicated that allopurinol  was the most common cause of SJS and TEN in these areas .
  • 18.
  • 19.
  • 20.
    STEVEN-JOHNSON SYNDROME Itis characterized by a prodrome of malaise and fever, followed by the rapid onset of erythematous or purpuric macules and plaques . The skin lesions (<10%) progress to epidermal necrosis and sloughing . * Mucosal membranes are affected (ocular, oral, and genital) .
  • 21.
    Toxic epidermal necrolysis  involves sloughing of greater than 30 percent of the body surface area . also begins with a prodrome of fever and malaise, . temperatures are typically higher than those seen with SJS, often exceeding 39 degrees Celsius. Mucous membranes are involved in SKIN DESUQEMQTION.
  • 22.
  • 23.
    WHY A CHALLENGERASH? SEPTIC SHOCK HYPOVOLEMIC SHOCK ELECTROLYTES IMBALANCE MULTIORGAN DYSFUNCTION
  • 24.
    Ophthalmologic - Conjunctivallesions ,Excessive tearing sometimes occurs from obstruction of the tear punctae . Urogenital - Urethritis ,dysuria or even urinary retention . Pulmonary - dyspnea, hypoxia, bronchial hypersecretion, tracheobronchitis, pulmonary edema, bacterial pneumonitis, and bronchiolitis obliterans .
  • 25.
    Erythema multiforme (EM)Is an acute, self-limiting, mucocutaneous reaction pattern to many viral, bacterial, protozoal and fungal infections, tumors, drugs, autoimmune states and miscellaneous conditions. The most frequent cause is HSV infection followed by mycoplasma pneumoniae. Clinical spectrum of EM ranges from mild (erythema multiforme minor) to severe form (Steven-Johnson’s syndrome-TEN complex and TEN) Variable prodromal symptoms and a symmetrically distributed polymorphic rash classically with iris or target lesions seen on hands with a central vesicle, or erythema surrounded by a pale and then a red ring. The eruption in SJS(Severe EM) occurs preferentially periorificially or on mucocutaneous locations as painful erosions with thick adherent crusts.
  • 26.
    Cutaneous lesions frequentlybegin on the extensor extremities, and may spread centripetally to other areas. Lesions are usually asymptomatic, although some patients may note pruritus or a burning sensation. EM may also involve mucosal surfaces, presenting as painful erythematous patches, erosions, or bullae. The diagnosis of acute erythema multiforme typically is based upon the patient's history and clinical findings. When the diagnosis is uncertain, skin biopsies are useful for establishing the diagnosis .
  • 27.
  • 28.
  • 29.
    Hemorrhagic erosions ofthe lips in EM, Severe eye-involvement in EM,
  • 30.
  • 31.
    ** The management of patients requires well-synchronized teamwork. ** In addition to experienced dermatologists, internists & well-trained, devoted nursing staff are needed for continuous monitoring of patients. The pillars in the management of such patients are **nursing care; **monitoring hemodynamic changes; **fluid, electrolyte balance and nutrition; **prevention of complication (e.g. sepsis); **prompt identification of risk factors; **& topical therapy .
  • 32.
    Nursing care andgeneral measures ** Patients can be managed in burn units or in a specialized ward . ** The environmental temperature should be maintained at 30°-32°C;alternatively, an infrared lamp can be used to reduce shivering & the associated energy loss. ** Use of air-fluidized beds & a burn-cage ensures patient comfort & easy handling.
  • 33.
    Regular cleaning &removal of crusts from the oral & nasal cavities, & care of eyes, genitalia & perianal region has to be ensured. * bathing in lukewarm water (35°-38°C) is recommended * Introduction of an I.V line & urinary catheter or condom drainage are mandatory. * A nasogastric tube should be considered in the presence of severe mucosal involvement restricting oral intake or in severely ill patients. It helps in feeding , and assessing the gastric emptying . * An hourly record of the PR, RR , BP, & urine volume & osmolality is essential. * The body temp & gastric emptying should be recorded every 3 to 4 hours. * An accurate daily intake-output chart should be maintained.
  • 34.
  • 35.
    Monitoring hemodynamic changesA urine output of 50-100 ml/hour and an osmolality lower than 1020 are indicative of adequate tissue perfusion. ** However, while assessing the adequacy of urine output in these patients, hyperglycemia has to be ruled out as it is commonly associated.
  • 36.
    ** TEN is often compared with burn injury, the fluid requirement is 2/3rd to 3/4th of that of patients with burns covering the same area.
  • 37.
    Topical management ** An oozy denuded skin should be managed conservatively. ** In patients with TEN, the detachable epidermis is preferably left in place. ** Topical agents (0.5% silver nitrate) ** Non-physiologic lipids (petrolatum jelly, lanolin) in vapor-permeable dressings (gauze) can be used as barrier repair agents. ** Use of physiologic lipids (component mixture of cholesterol, ceramide and free fatty acids in an optimized ratio of 3:1:1), accelerates the barrier repair. ** Moreover, use of these emollients prevents the skin surface from sticking to the bed or the apparel.
  • 38.
    Other measures** Individual cases should be considered for sedatives like diazepam or morphine to reduce anxiety and apprehension, and H2-blockers to prevent stress ulcers . ** In the presence of significant hyperglycemia, insulin should be added as per medical advice. ** Ophthalmic care should be provided in the form of protective ocular pads, periodic instillation of normal saline or artificial tears, and preventive measures for synechiae formation.
  • 39.
    *** Thepoor prognostic factors in ASF are **older age **larger body surface area involvement **presence of severe neutropenia **early thrombocytopenia **high blood urea nitrogen level **a causative drug with long half life in drug-induced cases.
  • 40.
    GLUCOCORTICOIDS studies resultin avoiding GLUCOCORTICOIDS in children with SJS, as this therapy can cause significant side effects and the overall prognosis is good with supportive care alone.
  • 41.
    Studies result infavor of administration of glucocorticoids to adult patients in whom SJS has been diagnosed within 24 to 48 hours, while recognizing that the evidence of clear benefit is inadequate. We suggest administering prednisone , 2 mg/kg daily (or an equivalent amount of prednisolone  or methylprednisolone ), 5-7 days .
  • 42.
    do not give glucocorticoids to treat adults with TEN because of concern for increased risk of sepsis, although the evidence of harm is not conclusive.
  • 43.
    Intravenous Immunoglobulin  2010Oct 15. High-dose intravenous immunoglobulins in the treatment of Stevens-Johnson Syndrome and Toxic Epidermal Necrolysis in Chinese patients: a retrospective study of 82 cases.
  • 44.
    24 CORTICOIDS ANDIVIG 58 GLUCOCORTICOIDS IVIG and corticosteroids shortened the duration of hospitalization from 26.4 ± 9.5 d to 18.1 ± 5.3 d (P < 0.05). No significant difference was observed in the incidence of complications between the two groups (54.2% vs 39.7%, P > 0.05). The actual mortalities were 12.5% in the IVIG group and 3.4% in corticosteroid group respectively,
  • 45.
    Intravenous Immunoglobulin  (withdoses ranging from 0.65 to 5.8 grams/kg divided over one to five days).
  • 46.
    Plasmapheresis, have beenreported to be beneficial in several studies of patients with TEN
  • 47.
    Bullous diseases Immunobullousdiseases like pemphigus, pemphigoid, and hereditary mechanobullous disorders like epidermolysis bullosa can be disabling and even life-threatening in some cases Pemphigus vulgaris There are three main types of pemphigus- P foliaceous, (the blister is in the superficial granular layers), P vulgaris, (the blisters form just above the basal layer) and paraneoplastic pemphigus that occurs in association with malignancy Flaccid blisters are the primary lesions associated with painful erosions and Oral mucosal involvement.
  • 48.
    Large erosive areasin a patient with pemphigus vulgaris
  • 49.
    Generalized pustular psoriasisIs a rare but serious and even life-threatening form of psoriasis. Sheets of small, sterile yellowish pustules develop on an erythematous background and may rapidly spread . The onset is often acute. The patient is unwell, with fever and malaise, and requires hospital admission
  • 50.
    CASE 10 YEAROLD BOY, HE GOT INJRY TO HIS UPPER LIMB (LENGTH 3CM , DEEP 1CM), HE DID NOT SEEK ANY TREATMENT OR CLEAN HIS WOUND WOUND BECOME INFLAMMED, THEN STARTED TO GET FEVER AND SKIN RASH PARENTS GIVE HIM OMOL, BUT RASH BECAME MORE AGGRESSIVE (SKIN EASILY DETACH ON PALPATION)
  • 51.
    o/e Erythematous skinrashes over trunk and limbs with some areas of peeling off skin
  • 52.
  • 53.
  • 54.
    DISEASE COURSE PHASEI: SUDDEN APPEARANCE OF TENDER ERYTHEMA WITH A SNANDPAPERLIKE TEXTURE PHASE II: EXFOLIATIVE PHASE, SKIN WRINKLE AND PEEL OFF EVEN WITH PRESSURE (NIKOLSKY SIGN), BULLAE OR BLISTER MAY APPER PHASE III: 3-5 DAYS SKIN DESQUMATES, NORMAL SKIN 10-14 DAYS
  • 55.
    staph. TSS symptoms/examPresents as acute febrile illness with high fever, myalgia, vomiting, headache, pharyngitis Accompanied with diffuse, non pruritic , exanthema , starts on trunk then spread, subsequent desquamation occur. Other manifestation: conjunctivitis, strawberry tongue, erythema hand& sole Rapid progression to hypotension
  • 56.
    Aetiology Linked withextoxin producing staph aureus Associated with TAMPONS USE, NASAL PACKS , surgical wounds
  • 57.
    Why a challengerash? profound shock, renal failure, sepsis, adult respiratory distress syndrome. The overall mortality is 30%, and can reach 80% in the elderly.
  • 58.
    Treatment Patients withTSS and STSS require ABCD. Some will need vasopressors, inotropic agents, and mechanical ventilation. In staph TSS, remove the source of staphylococcal colonization, such as vaginal tampons, nasal packing, or breast implants
  • 59.
    Antibiotic therapy withanti-staphylococcal coverage is recommended.: Intravenous beta-lactamase-resistant antibiotics (oxacillin,nafcillin, cefoxitin, vancomycin, or clindamycin) should be started as soon as the diagnosis is considered.
  • 60.
    Strep. TSS Affectsmostly healthy people 20-50 yrs Affects multiple organ system with fever, hypotension, skin findings of edema, erythema or bullae. Aetiology: Invasive soft-tissue strep. Pyogenes (GAS) infection, such as cellulitis or myositis
  • 61.
    MANAGEMENT    ABC Surgical involvement Start of antibiotics IVIG
  • 62.
    Hemodynamic support  — Massive amounts of intravenous fluids (10 to 20 L/day) are often necessary to maintain perfusion vasopressors (eg, dopamine and/or norepinephrine) may also be required. Surgical therapy  —  Prompt and aggressive exploration and debridement of suspected deep-seated S. pyogenes infection is mandatory .
  • 63.
    Antibiotic therapy Clindamycin — Should be a first choice and should be started immediately   A retrospective review of 56 children with invasive GAS infections noted that a favorable outcome was more likely in patients who received a protein synthesis-inhibiting antibiotic (eg, clindamycin ) compared to those who received only a cell wall-inhibiting antibiotic (eg, beta-lactams) (83 versus 14 percent with beta-lactams had a favorable outcome) .
  • 64.
    IVIG including neutralizationof streptococcal toxins, inhibition of T-cell proliferation, neutralizing antibodies against several streptococcal toxins such as the pyrogenic exotoxins , streptolysin O,
  • 65.
    Staphylococcal Scalded SkinSyndrome A spectrum of superficial blistering skin disorders caused by the exfoliative toxins of some strains of Staphylococcus aureus . It is a syndrome of acute exfoliation of the skin typically following an erythematous cellulitis. Severity of SSSS varies from a few blisters localized to the site of infection to a severe exfoliation affecting almost the entire body.
  • 66.
  • 67.
  • 68.
  • 69.
  • 70.
    treatment ABC ICUSeptic precaution ? antibiotic
  • 71.
  • 72.
  • 73.
  • 74.
    Acute rheumatic fevera nonsuppurative sequela of group A streptococcus pharyngitis that occurs two to four weeks following infection. The five major manifestations are migratory arthritis (predominantly involving the large joints), carditis and valvulitis (eg, pancarditis), central nervous system involvement (eg, Sydenham chorea), erythema marginatum, and subcutaneous nodules. The four minor manifestations are arthralgia, fever, elevated acute phase reactants, and prolonged PR interval.
  • 75.
    Arthritis usually isthe earliest symptomatic manifestation of ARF. The natural history that the disease &quot;migrates&quot; from joint to joint. Joint pain usually is more prominent than objective signs of inflammation and is almost always transient. Rheumatic fever causes a pancarditis,
  • 76.
  • 77.
  • 78.
    CASE 23 YEAROLD MALE , PRESENT TO A&E WITH HISTORY OF ITCHING RASH OVER HIS TRUNKS STARTS AFTER EATING PEANUTS O/E: BP 80/50, PR 110 CHEST: WHEEZE BILATERALLY
  • 79.
    Severe and acuteurticaria caused by penicillin allergy
  • 80.
  • 81.
    ANAPHYLAXIS SEVERE SYSTEMICHYPERSENSITIVITY REACTION CHARACTERISED BY MULTI SYSTEM INVOLVMENT, INCLUDE HYPOTENSION OR AIRWAY COMPROMISE IgE DEPENDENT: RELEASE MEDIATORS FROM MAST CELLS
  • 82.
    ANAPHYLACTOID RESPONSES THATARE CLINICALLY INDISTIGUSHBLE FROM ANAPHYLAXIS NOT IgE DEPENDENT DON’T REQUIRE SENSITIZING EXPOSURE
  • 83.
    WHY A CHALLENGERASH? CAN LEAD TO AIRWAY , COMPROMISE SHOCK DEATH
  • 84.
    COMMON CAUSES DRUGS:B-LACTAM, PENICILLIN, VANCOMYCIN, CONTRAST FOODS: SHELLFISH, NUTS, WHEAT, MILK,EGGS, SEEDS
  • 85.
    SIGNS AND SYMPTOMSITCHING, ERYTHEMA, URTICARIA, EDEMA WHEEZE, LARYNGEAL OBSTRUCTION, CYANOSIS TACHYCARDIA, HYPOTENSION
  • 86.
    Removal of thesuspect inciting antigen (eg, stop infusion of a suspect medication) Call for help (summon a resuscitation team in the hospital setting, call 911 or an equivalent service in the community setting) Intramuscular injection of epinephrine Placement of the patient in the supine position (if tolerated) Supplemental oxygen Volume resussitation
  • 87.
    Intramuscular injection — providesa more rapid increase in the plasma and tissue concentrations of epinephrine . For adults, the recommended dose of epinephrine (1 mg per mL) is 0.3 to 0.5 mg per single dose, injected intramuscularly into the mid-anterolateral thigh (vastus lateralis muscle). This treatment may be repeated at 5 to 15 minute intervals, For infants and children, the recommended dose of epinephrine (1 mg per mL) is 0.01 mg per kilogram (up to 0.5 mg per dose),
  • 88.
    IV infusion; forpatient who are not responding to treatment Adult: 2-10 mic per minutes, titrated according to BP Infants and child: 0.1-1 mg/kg/min.
  • 89.
  • 90.
    CASE 25 YROLD MALE WHO USE TO HAVE SEX WITH MULTIPLE PARTNER , STARTED TO GET PAINLES ULCER OVER HIS PENIS, WHICH HEALS SPONTANEOUSLY AFTER 2 WKS WITHOUT SEEKING TREATMENT NOW, PRESENT WITH RASH OVER HIS TRUNK AND UPPER LIMBS FLU LIKE SYMPTOMS, AND HAS INGUINAL LYMPHADENOPATHE (O/E)
  • 91.
  • 92.
  • 93.
    syphilis The spirochete:treponema pallidum Primary syphilis: *painless genital ulcer * heals spontaneously 2-6 wk Secondary syphilis : (4-8 week after healing chancre) * rash , non pruruitic, maculopapular, start on trunk then spread to extremeties *sore throat, flu-like symptoms *generalized lymphadenopathy
  • 94.
    Why a challengrash ? Gastrointestinal abnormalities  — The gastrointestinal tract may become extensively infiltrated or ulcerated; Musculoskeletal abnormalities  — Synovitis, osteitis, and periostitis Renal abnormalities  — immune-complex glomerulonephritis or nephrotic syndrome Neurologic abnormalities  — Invasion of the cerebrospinal fluid (CSF) , MENINGITIS, DEMENTIA Ocular abnormalities  — S anterior uveitis, posterior uveitis, or panuveitis Cvs : arotitis
  • 95.
  • 96.
  • 97.
    DIAGNOSIS Early stage:Dark fild microscopy (sensitivity 80%) Other stages: serological tests ( including ESR) Consider LP if suspect meningitis
  • 98.
    treatment guidelines 2006issued by the CDC, as summarized below: The following antibiotics have activity against syphilis: penicillin, doxycycline , azithromycin , and ceftriaxone . benzathine penicillin G  (a dose of 2.4 million units) should be administered as a single dose FOR primary or early latent syphilis and three doses for late latent syphilis. Long-acting benzathine penicillin should only be given via the IM route; IV administration has been associated with cardiopulmonary arrest and death In patients with severe penicillin allergy, alternative agents for the treatment of syphilis include doxycycline  or azithromycin ..
  • 99.
    CASE 33 YROL FEMALE C/O SEVERAL DAYS OF SEVERE HEADACHE WITH BRUISING TO HER EXTREMITIES NO FEVER, NO VOMITING, NO NECK STIFFNESS, NO VISUAL CHANGE NOT RELIEVED WITH PAIN KILLER, THEN SHE GOT ONE ATTACK OF TONIC- CLONIC SEIZURE
  • 100.
  • 101.
    Causes  —  Mostcases of TTP-HUS in adults are idiopathic .
  • 102.
    DIAGNOSIS MICROANGIOPATHIC HEMOLYTICANEMIA WITH SCHISTOCYTES ON SMEAR PLATELET COUNT 5000 TO 1x105/UL FEVER SEVERE HEADACHE
  • 103.
    WHY IT ISA CHALLENGE RASH? RENAL ABNORMAL: RENAL INSUFFICINCY, PROTENUREA NEUROLOGICAL ABNORMAL: HEADACHE, CONFUSION, SEIZURE OR COMA
  • 104.
    TREATMENT EXCHANGE TRANSFUSIONIS TREATMENT OF CHOICE EXCHANGE PLASMAPHARESIS AVOID PLATELET TRANSFUSION PLASMA TRANSFUSION SHOULD NOT BE DONE AS IT MAY CAUSE VOLUME OVERLOAD BUT , RESERVED IN 2 SITUATION: 1) IF PLASMA EXCHANGE CAN NOT BE STARTED PROMPTLY 2) IF Pt WITH SEVERE DISEASE BETWEEN EXCHANGE SESSION
  • 105.
    CASE 1 yearold boy presented with history of fever for 1 day associated with poor feeding, vomiting , lethargic and spreading rash O/E:febrile lethargic, purpuric rash over chest, upper and lower limb
  • 106.
  • 107.
    Acute meningococcemia andmeningococcal meningitis are caused by Neisseria meningitidis , begin with colonization of the nasopharynx to systemic invasion, bacteremia, SEPSIS and/or CNS invasion. Untreated meningococcemia is invariably fatal. Even with prompt treatment, the mortality rate is about 10%-20%. Common : * Children from 6 m to 1 yr of age * adult < 20 year * Persons with complement deficiencies, protein C&S deficiency, or who are asplenic
  • 108.
    The incubation periodvaries from 2- 10 days, Symptoms: may begin with an upper respiratory infection. fever, chills, malaise, myalgias,headaches, nausea, and vomiting. A rash is seen in more than 70% of people with meningococcemia . Petechiae on the wrist and ankles, are the first sign of impending septicemia. The petechiae spread to the rest of the body, becoming confluent and eventually developing into purpuric
  • 109.
    Why it isa challenge rash ? Because if untreated early and aggresively, it can lead to serious complication: Cerebral: hearing loss, local vasculitis, local cerebral infarction, subdural effusion, hydrocephalus, cerebral abscess
  • 110.
    INVESTIGATION LP: CSF glucose concentration below 45 mg/dL (2.5 mmol/L), a protein concentration above 500 mg/dL, and a white cell count above 1000/microL. The polymerase chain reaction (PCR) is a sensitive and rapid tool for diagnosing meningococcal infection. However, PCR has not replaced traditional culture methods because it cannot be used to determine antimicrobial susceptibility .
  • 111.
    TREATMENT should beadmitted to an isolation room. Supportive care involving IV fluids is crucial in the patient with overt or incipient shock., ceftriaxone (2 g q12h) is the initial antibiotic of choice to cover the most common bacterial causes of purpuric disease: N. meningitidis, H. influenzae, and S. pneumoniae. OR CEFOTAXIME DO NOT DELAY TREATMENT AFTER LP IF SUSPECT
  • 112.
    DEXAMETHASONE FOR BACTERIALMENIGITIDIS Abstract Four hundred twenty-nine patients with bacterial meningitis were assigned on a nonselective alternating basis into one of two therapeutic regimens. Patients in Group I received dexamethasone in addition to standard antibacterial chemotherapy of ampicillin and chloramphenicol whereas those in Group II received antibacterial chemotherapy alone. Dexamethasone was given intramuscularly (8 mg to children younger than 12 years and 12 mg to adults every 12 hours for 3 days). Both treatment groups were comparable with regard to age, sex, duration of symptoms and state of consciousness at the time of hospitalization. A significant reduction in the case fatality rate (P < 0.01) was observed in patients with p meningitis receiving dexamethasone; only 7 of 52 patients died compared with 22 of 54 patients not receiving dexamethasone. A reduction in the overall neurologic sequelae (hearing impairment and paresis) was observed in patients receiving dexamethasone. This reduction was significant only in patients with meningitis; none of the 45 surviving patients receiving steroids had hearing loss whereas 4 of 32 patients not receiving dexamethasone had severe hearing loss (P < 0.05). No significant difference was observed between the two groups with regard to time for patients to become afebrile or to regain consciousness or in the mean admission and 24- to 36-hour cerebrospinal fluid leukocyte count, glucose or protein content.
  • 113.
    CASE 3 YEAROLD BOY HAD DEVELOPED A HIGH GRADE FEVER OF 3 DAYS DURATION O/E: RASH, MILD CONJUNCTIVITIS, AND CERVICAL LYMPHADENITIS, CRACKED LIPS Ix: HIGH WBC , NEUT. , ESR
  • 114.
    Kawasaki disease Affectchildren from 6 month-4 year Cause : not known, bacterial toxin acting as superantigen Vasculitis affecting small & medium size vessels CF: fever more than 5 days, conjunctivitis, mucous memebrane chang (pharymngeal injection, cracked lip, strawberry tongue) Rash after 4 th day
  • 115.
  • 116.
  • 117.
  • 118.
    Extremities: red andedematous palms and soles, peeling of fingers and toes Ix: high wbc, neutophils and ESR,,
  • 119.
    Why it isa challenging rash ? Cause fetal complication if misdiagnosed. Aneurysms of coronary artery Myocardial ischemia and sudden death Echocardiogaphy ========================= Rx: IV immunoglobulin within 10 days Aspirin :reduce risk of thrombosis Antiplatelet aggregation
  • 120.
    Myocardial infarction inKawasaki disease: Clinical analyses in 195 cases   .   M.D.Hirohisa Kato a , b , , M.D.Eisei Ichinose a , b and M.D.Tomisaku a , b a Department of Pediatrics, Division of Pediatric Cardiology, Kurume University School of Medicine, Japan   We analyzed clinical data from 195 patients (141 boys) with myocardial infarction complicating Kawasaki disease, collected from 74 major hospitals in Japan. The myocardial infarction usually occurred within the first year of illness, but 27.2% of the patients had myocardial infarction more than 1 year later. The main symptoms of acute myocardial infarction were shock, unrest, vomiting, abdominal pain, and chest pain; chest pain was much more frequently recognized in the survivors and in older patients. The myocardial infarctions were asymptomatic in 37% of the patients. Twenty-two percent of the patients died during the first attack. Sixteen percent of the survivors of a first attack had a second attack. Forty-three percent of all survivors of the first or subsequent attack are doing well; however, others have some type of cardiac dysfunction, such as mitral regurgitation, decreased ejection fraction of the left ventricle, or left ventricular aneurysm. Coronary angiographic studies indicate that in most of the fatal cases there was obstruction either in the main left coronary artery or in both the main right coronary artery and the anterior descending artery. In survivors, one-vessel obstruction was frequently recognized, particularly in the right coronary artery.
  • 121.
    Adult coronary arterydisease probably due to childhood Kawasaki disease H. Kato MD, Prof a , , O. Inoue MD a , H. Toshima MD b , T. Kawasaki MD c , H. Fujiwara MD d an . Abstract We have surveyed adult survivors of childhood Kawasaki disease (KD) who had coronary artery disease that could be ascribed to KD. In response to questionnaires sent to cardiologists throughout Japan, 21 patients (17 men, 4 women, aged 20-63 years) with coronary lesions and a definite (2) or suspected (19) history of KD were reported. 5 patients had presented with acute myocardial infarction, 6 previous myocardial infarction, 9 angina pectoris, and 1 dilated cardiomyopathy. 16 patients had obstructions in two or more coronary arteries. 3 had died and 18 were alive with serious sequelae (mitral regurgitation, arrhythmias, congestive heart failure). Childhood KD should be included in the differential diagnosis of coronary artery disease in young adults
  • 122.
    The Prevention ofCoronary Artery Aneurysm in Kawasaki Disease: A Meta-analysis on the Efficacy of Aspirin and Immunoglobulin Treatment Kritvikrom Durongpisitkul MD 1 , Vymutt J. Gururaj MD 1 , Joon M. Park MD 1 , , Conclusion . The incidence of CAA both at 30 and 60 days was significantly lower in low-IVIG than in ASA and in high-IVIG than in low-IVIG groups. Also, the incidence was lower in the single-IVIG than in the high-IVIG group, but this was noted at 30 days and not at 60 days. There was no statistically significant difference in the incidence of CAA both at 30 and 60 days between the high-IWIG-low-ASA and high-IVIG-high-ASA groups .
  • 123.
    CLINICAL EVALUATION OFSKIN RASH POSSIBLE LIFE THREATINING FLUID FILLED SOLID PUSTULAR VESICO BULLOS NON ERYTHEMATOS ERYTHEMATOS
  • 124.
    NON ERYTHEMATOUSVESICO- BULLOUS PUSTULAR *EM MAJOR *SJS, TEN *PEMPHIGUS VULGARIS *VARICELLA ZOOSTER 2NDRY SYPHILIS ANTHRAX *BACTERIAL FOLLICULITIS *GONORRHEA
  • 125.
    ERYTHEMATOUS DIFFUSE ERYTHEMATOUSPETECHIAL OR PURPURIC MACULO- PAPULAR
  • 126.
    MACULOPAPULAR PERIPHERAL CENTRALSKIN CONTACT YES NO VIRAL EXANTHEMA *BCUTANEOUS DRUG REACTION **LYME DISEASE **PITYRIASIS ROSEA *MENINGO- COCCAL *HAND FOOT MOUTH *RMSF *ERYTHEMA MULTIFORM *2NDRY SYPHILIS *ANTHRAX + SC - SC
  • 127.
    Evaluating The PetechialRash Petechial rash ➤ If the patient is ill-appearing, consider empiric treatment for meningococcemia and Rocky Mountain spotted fever ➤ Does the patient have any sick contacts? YES NO • Meningococcemia TRAVEL , INCIDENCE OF TICK BORN • Rubella YES NO • Epstein-Barr virus RMSV PALPABLE • Enterovirus DANGUE PURPURA FEVER YES NO • Gonococcemia VASCU- ITP LITIS TTP
  • 128.
    DIFFUSE ERYTHEMATOUS *TSS*SSSS *KAWASAKI DISEASE
  • 129.