Acute Pancreatitis
lethal condition care & cure
what should be the approach
Acute Pancreatitis
lethal condition care & cure
what should be the approach
DR SREEJOY PATNAIKDR SREEJOY PATNAIK
DEFINITIONDEFINITION
• Pancreatitis is a condition associated with development of acute and
sudden inflammation of the pancreas.
• Pancreatic enzymes are released in the abdomen and cause
inflammation by the damage from digestion of normal body
structures, especially fat in the abdomen.
• Mortality ranges from 3 percent in patients with interstitial
edematous pancreatitis to 17 percent in patients who develop
pancreatic necrosis.
• Pancreatitis is a condition associated with development of acute and
sudden inflammation of the pancreas.
• Pancreatic enzymes are released in the abdomen and cause
inflammation by the damage from digestion of normal body
structures, especially fat in the abdomen.
• Mortality ranges from 3 percent in patients with interstitial
edematous pancreatitis to 17 percent in patients who develop
pancreatic necrosis.
Acute Pancreatitis
Revised definitions and classification
of acute pancreatitis
Revised definitions and classification
of acute pancreatitis
• Definition of diagnosis of acute pancreatitis
• The diagnosis of acute pancreatitis requires two of the
following three features:
• (1) abdominal pain consistent with acute pancreatitis (acute
onset of a persistent, severe, epigastric pain often radiating to
the back)
• (2) serum lipase activity (or amylase activity) at least three
times greater than the upper limit of normal.
• (3) characteristic findings of acute pancreatitis on CECT and
less commonly MRI) or USG abdomen.
• Definition of diagnosis of acute pancreatitis
• The diagnosis of acute pancreatitis requires two of the
following three features:
• (1) abdominal pain consistent with acute pancreatitis (acute
onset of a persistent, severe, epigastric pain often radiating to
the back)
• (2) serum lipase activity (or amylase activity) at least three
times greater than the upper limit of normal.
• (3) characteristic findings of acute pancreatitis on CECT and
less commonly MRI) or USG abdomen.
Acute Pancreatitis
Definition of onset of acute pancreatitisDefinition of onset of acute pancreatitis
• The onset of AP is defined as the time of onset of abdominal pain (not the
time of admission to the hospital).
• The time interval between onset of abdominal pain and first admission to
the hospital should be noted.
• When patients with severe disease are transferred to a tertiary hospital,
the intervals between onset of symptoms, first admission and transfer
should be noted.
• Data recorded from a tertiary care hospital should be stratified to allow
separate consideration of the outcomes of patients who were admitted
directly and those admitted by transfer from another hospital.
• The onset of AP is defined as the time of onset of abdominal pain (not the
time of admission to the hospital).
• The time interval between onset of abdominal pain and first admission to
the hospital should be noted.
• When patients with severe disease are transferred to a tertiary hospital,
the intervals between onset of symptoms, first admission and transfer
should be noted.
• Data recorded from a tertiary care hospital should be stratified to allow
separate consideration of the outcomes of patients who were admitted
directly and those admitted by transfer from another hospital.
Acute Pancreatitis
Why we are worriedWhy we are worried
• Acute pancreatitis (AP) is one of the most common disease of the gastrointestinal tract, leading to
tremendous emotional, physical, and financial human burden.
• Recent studies show the incidence of AP varies between 4.9 and 73.4 cases per 100,000 worldwide
• Mortality
– 2-3% overall mortality from acute pancreatitis
• Tertiary centers report rates of 15- 30%
– Interstitial pancreatitis (1%)
– Necrotizing pancreatitis/organ failure (30%)
• Physician office visits
– 911,000 per year
Hospitalizations
– 230,000 in 2002
• Deaths
– 2500 per year
• Acute pancreatitis (AP) is one of the most common disease of the gastrointestinal tract, leading to
tremendous emotional, physical, and financial human burden.
• Recent studies show the incidence of AP varies between 4.9 and 73.4 cases per 100,000 worldwide
• Mortality
– 2-3% overall mortality from acute pancreatitis
• Tertiary centers report rates of 15- 30%
– Interstitial pancreatitis (1%)
– Necrotizing pancreatitis/organ failure (30%)
• Physician office visits
– 911,000 per year
Hospitalizations
– 230,000 in 2002
• Deaths
– 2500 per year
Acute Pancreatitis
Definition of types of acute pancreatitisDefinition of types of acute pancreatitis
Acute Pancreatitis
According to the Atlanta
classification, Acute Pancreatitis can
be divided into two broad categories
According to the Atlanta
classification, Acute Pancreatitis can
be divided into two broad categories
1. Interstitial edematous pancreatitis.
2. Necrotizing pancreatitis
1. Interstitial edematous pancreatitis.
2. Necrotizing pancreatitis
Interstitial edematous pancreatitisInterstitial edematous pancreatitis
Acute Pancreatitis
The majority of patients with AP have diffuse (or occasionally localised)
enlargement of the pancreas due to inflammatory oedema. (75-80% )
On CECT, the pancreatic parenchyma shows
relatively homogeneous enhancement, and the peripancreatic fat usually
shows some inflammatory changes of haziness or mild stranding.
There may also be some peripancreatic fluid .
The clinical symptoms of interstitial oedematous pancreatitis usually
resolve within the first week.
The majority of patients with AP have diffuse (or occasionally localised)
enlargement of the pancreas due to inflammatory oedema. (75-80% )
On CECT, the pancreatic parenchyma shows
relatively homogeneous enhancement, and the peripancreatic fat usually
shows some inflammatory changes of haziness or mild stranding.
There may also be some peripancreatic fluid .
The clinical symptoms of interstitial oedematous pancreatitis usually
resolve within the first week.
A 63-year-old man with acute interstitial oedematous pancreatitis.
Banks P A et al. Gut 2013;62:102-111
Copyright © BMJ Publishing Group Ltd & British Society of Gastroenterology. All rights reserved.
Acute Pancreatitis
Necrotising pancreatitisNecrotising pancreatitis
About 5–10% of patients develop necrosis of the pancreatic
parenchyma, the peripancreatic tissue or both.
Necrotising pancreatitis most commonly manifests as necrosis
involving both the pancreas and peripancreatic tissues and less
commonly as necrosis of only the peripancreatic tissue, and
rarely of the pancreatic parenchyma alone.
About 5–10% of patients develop necrosis of the pancreatic
parenchyma, the peripancreatic tissue or both.
Necrotising pancreatitis most commonly manifests as necrosis
involving both the pancreas and peripancreatic tissues and less
commonly as necrosis of only the peripancreatic tissue, and
rarely of the pancreatic parenchyma alone.
(A) Acute necrotic collections (ANC) in a 44-year-old man with acute necrotising pancreatitis
involving only the peripancreatic tissues.
Banks P A et al. Gut 2013;62:102-111
Copyright © BMJ Publishing Group Ltd & British Society of Gastroenterology. All rights reserved.
Infected pancreatic necrosisInfected pancreatic necrosis
• Necrosis is variable, may remain solid or liquefy, remain sterile or
become infected, persist, or disappear over time.
• occurs > the first week.
• Infected pancreatic necrosis is important because of the need for
antibiotic treatment and likely active intervention.
• The presence of infection - extraluminal gas in the pancreatic and/or
peripancreatic tissues on CECT or PFNA is positive for bacteria and/or
fungi on Gram stain and culture.
• There may be suppuration (pus) associated with the infected
pancreatic necrosis, leading to liquefaction – abscess
• Necrosis is variable, may remain solid or liquefy, remain sterile or
become infected, persist, or disappear over time.
• occurs > the first week.
• Infected pancreatic necrosis is important because of the need for
antibiotic treatment and likely active intervention.
• The presence of infection - extraluminal gas in the pancreatic and/or
peripancreatic tissues on CECT or PFNA is positive for bacteria and/or
fungi on Gram stain and culture.
• There may be suppuration (pus) associated with the infected
pancreatic necrosis, leading to liquefaction – abscess
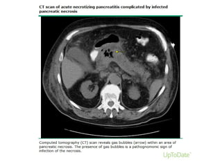
Acute Pancreatitis
A 47-year-old man with acute necrotising pancreatitis complicated by infected pancreatic
necrosis.
Banks P A et al. Gut 2013;62:102-111
Copyright © BMJ Publishing Group Ltd & British Society of Gastroenterology. All rights reserved.
FLUID COLLECTIONS IN AP REVISED ATLANTA
CLASSIFICATION & ITS INTERVENTION
FLUID COLLECTIONS IN AP REVISED ATLANTA
CLASSIFICATION & ITS INTERVENTION
Acute Pancreatitis
Acute Pancreatitis
Phases of acute pancreatitisPhases of acute pancreatitis
Systemic disturbances result from the host response to local pancreatic injury.
Is usually over by the end of the 1st wk or extend to 2nd wk.
Cytokine cascades are activated by the pancreatic inflammation which manifest
clinically as the SIRS. An increased risk of developing OF.
`
The determinant of the severity in this phase is primarily the presence and
duration of OF.
Transient OF -if the organ failure resolves within 48 h 
Persistent OF - if organ failure persists for >48 h. 
Multiple organ failure (MOF) – If OF affects > 1organ system.
Systemic disturbances result from the host response to local pancreatic injury.
Is usually over by the end of the 1st wk or extend to 2nd wk.
Cytokine cascades are activated by the pancreatic inflammation which manifest
clinically as the SIRS. An increased risk of developing OF.
`
The determinant of the severity in this phase is primarily the presence and
duration of OF.
Transient OF -if the organ failure resolves within 48 h 
Persistent OF - if organ failure persists for >48 h. 
Multiple organ failure (MOF) – If OF affects > 1organ system.
Acute Pancreatitis
EARLY PHASEEARLY PHASE
Signs of systemic inflammatory response syndrome
(SIRS)
Signs of systemic inflammatory response syndrome
(SIRS)
• SIRS—defined by presence of two or more criteria:
• HR >90 beats/min
• Core temperature <36°C or >38°C
• WBC count <4000 or >12000/mm3
• Respiration >20/min or PCO2 <32 mm Hg   
• SIRS—defined by presence of two or more criteria:
• HR >90 beats/min
• Core temperature <36°C or >38°C
• WBC count <4000 or >12000/mm3
• Respiration >20/min or PCO2 <32 mm Hg   
Acute Pancreatitis
Late phaseLate phase
• The late phase is characterised by
-Persistence of systemic signs of inflammation or by the presence of local complications, - -
occurs only in patients with moderately severe or severe acute pancreatitis.
• - Local complications evolve during the late phase.
• -It is important to distinguish the different morphologic characteristics of the local complications
by radiologic imaging.
• - Persistent OF, however, remains the main determinant of severity, so characterisation of AP in
the late phase requires both clinical and morphologic criteria.
• The SIRS of the early phase may be followed by a Compensatory anti-inflammatory response
syndrome (CARS) that may contribute to an increased risk of infection.
• The late phase is characterised by
-Persistence of systemic signs of inflammation or by the presence of local complications, - -
occurs only in patients with moderately severe or severe acute pancreatitis.
• - Local complications evolve during the late phase.
• -It is important to distinguish the different morphologic characteristics of the local complications
by radiologic imaging.
• - Persistent OF, however, remains the main determinant of severity, so characterisation of AP in
the late phase requires both clinical and morphologic criteria.
• The SIRS of the early phase may be followed by a Compensatory anti-inflammatory response
syndrome (CARS) that may contribute to an increased risk of infection.
Acute Pancreatitis
CLASSIFICATION ACCORDING TO SEVERITYCLASSIFICATION ACCORDING TO SEVERITY
Acute Pancreatitis
1. Mild acute pancreatitis, which is characterized by the absence
of organ failure and local or systemic complications
2. Moderately severe acute pancreatitis, which is characterized
by no organ failure or transient organ failure (<48 hours) with
systemic or local complications
3. Severe acute pancreatitis, which is characterized by
persistent organ failure (>48 hours) that may involve single or
multiple organs
1. Mild acute pancreatitis, which is characterized by the absence
of organ failure and local or systemic complications
2. Moderately severe acute pancreatitis, which is characterized
by no organ failure or transient organ failure (<48 hours) with
systemic or local complications
3. Severe acute pancreatitis, which is characterized by
persistent organ failure (>48 hours) that may involve single or
multiple organs
Revised Atlanta classificationRevised Atlanta classification
• According to the revised Atlanta classification of AP is clinically defined by at
least the first two of three features:
• (a) abdominal pain (epigastric often radiating to the back),
• (b) serum amylase and lipase levels three or more times normal (imaging is
to be used if the elevated values are ,3 times normal)
• (c) characteristic findings on CT, magnetic resonance (MR) imaging, or
transabdominal ultrasonographic (US) studies.
• If AP is diagnosed on the basis of the first two criteria with no systemic sign of
severe SIRS or persistent OF , CECT may not be necessary for determining
patient care.
• According to the revised Atlanta classification of AP is clinically defined by at
least the first two of three features:
• (a) abdominal pain (epigastric often radiating to the back),
• (b) serum amylase and lipase levels three or more times normal (imaging is
to be used if the elevated values are ,3 times normal)
• (c) characteristic findings on CT, magnetic resonance (MR) imaging, or
transabdominal ultrasonographic (US) studies.
• If AP is diagnosed on the basis of the first two criteria with no systemic sign of
severe SIRS or persistent OF , CECT may not be necessary for determining
patient care.
Acute Pancreatitis
ETIOLOGYETIOLOGY
Pancreatic InjuryPancreatic Injury
Abnormal Pancreatic enzyme
Activation inside acinar cells
Abnormal Pancreatic enzyme
Activation inside acinar cells
Colonization of zymogen granules
&lysosomes inside acinar cells
Colonization of zymogen granules
&lysosomes inside acinar cells
Pancreatic edemaPancreatic edema
Auto-digestion of normal
pancreatic parenchyma
Release of Pro-inflammatory
Cytokines from acinar cells
Release of Pro-inflammatory
Cytokines from acinar cells
TNF-αTNF-α IL-1,2,& 6IL-1,2,& 6 IL-10 & IL-1IL-10 & IL-1
(Anti inflammatory mediators)
PathophysiologyPathophysiology
These mediators propagate the response locally &
systemically >
These mediators propagate the response locally &
systemically >
TNF ,IL, neutrophils & macrophages are released into
the pancreatic parenchyma > release of more
TNF ,IL, neutrophils & macrophages are released into
the pancreatic parenchyma > release of more
TNF ,IL, reactive o2 metabolites, PG, platelet activating
factors & Leucotrienes.
TNF ,IL, reactive o2 metabolites, PG, platelet activating
factors & Leucotrienes.
Aggravation of AP occurs by local inflammatory
response>
Aggravation of AP occurs by local inflammatory
response>
Increased permeability & damage of the pan.micro-
circulation
Increased permeability & damage of the pan.micro-
circulation
Severe cases- inflamm. Response > localised
haemorrhage & pancreatic necrosis.
Severe cases- inflamm. Response > localised
haemorrhage & pancreatic necrosis.
Inflammatory cascade is self limiting – 80- 90% casesInflammatory cascade is self limiting – 80- 90% cases
10 % cases- vicious cycle of rec. panc. Injury &
localised SIR
10 % cases- vicious cycle of rec. panc. Injury &
localised SIR
Rest 10%- massive release of inflam. Mediators into
systemic circulation > SIRS and OF.
Rest 10%- massive release of inflam. Mediators into
systemic circulation > SIRS and OF.
Clinical manifestations:Clinical manifestations:
• ABDOMINAL PAIN- ( cardinal symptom) characteristically dull,boring &
steady; sudden in onset ,gradually becomes severe > constant ache.
• Location- epigastric & or peri-umbilical that radiates to the back & is
constant
• NAUSEA & VOMITING – 90%- does not relieve pain. sometimes anorexia
/diarrhea
• Fever (76%),Tachycardia (65%), Hypotension ( 73%)
• Abdominal tenderness, muscle guarding (68%),distension (65%),diminished or
absent bowel sounds.
• Jaundice (28%),Dyspnea (10%),tachypnea, basal rales left lung.
• Severe cases- haemodynamic instability (10%),haematemesis or malena (5%);
pale, diaphoretic, & listless appearance.
• Occasionally, muscular spasm of extremities secondary to hypocalcemia.
• ABDOMINAL PAIN- ( cardinal symptom) characteristically dull,boring &
steady; sudden in onset ,gradually becomes severe > constant ache.
• Location- epigastric & or peri-umbilical that radiates to the back & is
constant
• NAUSEA & VOMITING – 90%- does not relieve pain. sometimes anorexia
/diarrhea
• Fever (76%),Tachycardia (65%), Hypotension ( 73%)
• Abdominal tenderness, muscle guarding (68%),distension (65%),diminished or
absent bowel sounds.
• Jaundice (28%),Dyspnea (10%),tachypnea, basal rales left lung.
• Severe cases- haemodynamic instability (10%),haematemesis or malena (5%);
pale, diaphoretic, & listless appearance.
• Occasionally, muscular spasm of extremities secondary to hypocalcemia.
Acute Pancreatitis
Clinical manifestations:Clinical manifestations:
• Uncommon findings associated with severe necrotizing pancreatitis:
• 1.Cullens sign- bluish discolouration around the umbilicus resulting from
haemoperitoneum.
• 2.Grey-Turner sign- reddish brown discoloration along the flanks resulting from
retroperitoneal blood dissecting along tissue planes, more commonly patients have a
ruddy erythema in the flanks secondary to extravasated pancreatic exudate.
• Erythematous skin nodules, usually < 1 cm,typically located on extensor skin
surfaces; polyarthritis.
• Pleural effusions (fluid in the bases of the pleural cavity)
• Grünwald sign (appearance of ecchymosis, large bruise, around the umbilicus due to
local toxic lesion of the vessels)
• Körte's sign (pain or resistance in the zone where the head of pancreas is located (in
epigastrium, 6–7 cm above the umbilicus))
Kamenchik's sign (pain with pressure under the xiphoid process)
Mayo-Robson's sign (pain while pressing at the top of the angle lateral to the Erector
spinae muscles and below the left 12th rib (left costovertebral angle (CVA))
• Uncommon findings associated with severe necrotizing pancreatitis:
• 1.Cullens sign- bluish discolouration around the umbilicus resulting from
haemoperitoneum.
• 2.Grey-Turner sign- reddish brown discoloration along the flanks resulting from
retroperitoneal blood dissecting along tissue planes, more commonly patients have a
ruddy erythema in the flanks secondary to extravasated pancreatic exudate.
• Erythematous skin nodules, usually < 1 cm,typically located on extensor skin
surfaces; polyarthritis.
• Pleural effusions (fluid in the bases of the pleural cavity)
• Grünwald sign (appearance of ecchymosis, large bruise, around the umbilicus due to
local toxic lesion of the vessels)
• Körte's sign (pain or resistance in the zone where the head of pancreas is located (in
epigastrium, 6–7 cm above the umbilicus))
Kamenchik's sign (pain with pressure under the xiphoid process)
Mayo-Robson's sign (pain while pressing at the top of the angle lateral to the Erector
spinae muscles and below the left 12th rib (left costovertebral angle (CVA))
P/E
• MILD TO MODERATE EPIGASTRIC TENDERNESS
• ABDOMINAL DISTENSION
• GENERAL REBOUND & ABDOMINAL RIGIDITY
• CHEST RT. SIDE – DULLNESS ON PERCUSSION > RT. PLEURAL
EFFUSION.
• DECREASED BREATH SOUNDS ON RT SIDE
• MILD TO MODERATE EPIGASTRIC TENDERNESS
• ABDOMINAL DISTENSION
• GENERAL REBOUND & ABDOMINAL RIGIDITY
• CHEST RT. SIDE – DULLNESS ON PERCUSSION > RT. PLEURAL
EFFUSION.
• DECREASED BREATH SOUNDS ON RT SIDE
Acute Pancreatitis
Cullen’s signCullen’s sign
Acute Pancreatitis
Gray Turner’sGray Turner’s
Acute Pancreatitis
CLINICAL PREDICTORSCLINICAL PREDICTORS
• Clinical judgment
• Older age
• Alcoholic pancreatitis
• Short time interval to symptom onset
• Obesity
• Organ failure
• LABORATORY AND RADIOLOGIC
PREDICTORS
• Hemoconcentration
• C-reactive protein
• Blood urea nitrogen
• Serum creatinine
• Other serum markers
• Chest radiographs
• CT scan
• MRI and MRCP
• Clinical judgment
• Older age
• Alcoholic pancreatitis
• Short time interval to symptom onset
• Obesity
• Organ failure
• LABORATORY AND RADIOLOGIC
PREDICTORS
• Hemoconcentration
• C-reactive protein
• Blood urea nitrogen
• Serum creatinine
• Other serum markers
• Chest radiographs
• CT scan
• MRI and MRCP
Acute Pancreatitis
SCORING SYSTEMS
Ranson's criteria
The APACHE II score
SIRS score
BISAP score
Harmless acute pancreatitis score
Organ failure-based scores
CT severity index Balthazar score
SCORING SYSTEMS
Ranson's criteria
The APACHE II score
SIRS score
BISAP score
Harmless acute pancreatitis score
Organ failure-based scores
CT severity index Balthazar score
INVESTIGATIONS - BIOCHEMICALINVESTIGATIONS - BIOCHEMICAL
• CBC and hematocrit
• Amylase and lipase
• LFT , GGT
• Serum electrolytes, BUN, creatinine, glucose, Lipid Profile.
• C-reactive protein
• Other tests
• -ABG
• -Lactic dehydrogenase (LDH), and HCO3 levels
• - IgG4 levels
• -Trypsin and its precursor trypsinogen-2 in both the urine and the peritoneal
fluid
• CBC and hematocrit
• Amylase and lipase
• LFT , GGT
• Serum electrolytes, BUN, creatinine, glucose, Lipid Profile.
• C-reactive protein
• Other tests
• -ABG
• -Lactic dehydrogenase (LDH), and HCO3 levels
• - IgG4 levels
• -Trypsin and its precursor trypsinogen-2 in both the urine and the peritoneal
fluid
Acute Pancreatitis
• Amylase or lipase levels at least > 3 times above -diagnostic of AP.
• Serum amylase determinations are not specific for AP
• Amylase P level is more specific to pancreatic pathology
• False + in- SAIO, mesenteric ischemia, tubo-ovarian disease, renal insufficiency, or
macroamylasemia.
• The serum half-life of amylase is short, and elevations generally return to reference
ranges within a few days.
• Lipase has a slightly longer half-life .
• Elevated lipase levels are more specific. Lipase levels remain high for 12 days
• ALP, SB, AST, and ALT levels to search for evidence of gallstone pancreatitis.
• An ALT level higher than 150 U/L suggests gallstone pancreatitis and a more
fulminant disease course.
• Amylase or lipase levels at least > 3 times above -diagnostic of AP.
• Serum amylase determinations are not specific for AP
• Amylase P level is more specific to pancreatic pathology
• False + in- SAIO, mesenteric ischemia, tubo-ovarian disease, renal insufficiency, or
macroamylasemia.
• The serum half-life of amylase is short, and elevations generally return to reference
ranges within a few days.
• Lipase has a slightly longer half-life .
• Elevated lipase levels are more specific. Lipase levels remain high for 12 days
• ALP, SB, AST, and ALT levels to search for evidence of gallstone pancreatitis.
• An ALT level higher than 150 U/L suggests gallstone pancreatitis and a more
fulminant disease course.
Acute Pancreatitis
• CBC (leukocytosis) > 12,000/µL with > segmented polymorphonuclear (PMN) cells.
• On admission hematocrit value greater than 47% - has been proposed as a sensitive
measure of more severe disease
• C-reactive protein (CRP) value can be obtained 24-48 hours after presentation to provide
some indication of prognosis.
• Higher levels have been shown to correlate with a propensity toward OF .
• A CRP value in double figures (ie, ≥ 10 mg/dL) strongly indicates severe pancreatitis.
• CRP is an acute-phase reactant that is not specific for pancreatitis.
• CBC (leukocytosis) > 12,000/µL with > segmented polymorphonuclear (PMN) cells.
• On admission hematocrit value greater than 47% - has been proposed as a sensitive
measure of more severe disease
• C-reactive protein (CRP) value can be obtained 24-48 hours after presentation to provide
some indication of prognosis.
• Higher levels have been shown to correlate with a propensity toward OF .
• A CRP value in double figures (ie, ≥ 10 mg/dL) strongly indicates severe pancreatitis.
• CRP is an acute-phase reactant that is not specific for pancreatitis.
Acute Pancreatitis
• Evaluate ABG if a patient is dyspneic.
• Whether tachypnea is due to acute respiratory distress syndrome (ARDS) or
diaphragmatic irritation must be determined.
• LDH, BUN, and HCO3 levels should be measured both at admission and at 48 hours
in order to help determine the Ranson criteria for survival.
• Immunoglobulin G4 (IgG4) levels can be checked to evaluate for autoimmune
pancreatitis
• Trypsin and its precursor trypsinogen-2 - in both the urine and the peritoneal fluid
have been evaluated as possible markers for acute pancreatitis (especially post-
ERCP pancreatitis.
• Evaluate ABG if a patient is dyspneic.
• Whether tachypnea is due to acute respiratory distress syndrome (ARDS) or
diaphragmatic irritation must be determined.
• LDH, BUN, and HCO3 levels should be measured both at admission and at 48 hours
in order to help determine the Ranson criteria for survival.
• Immunoglobulin G4 (IgG4) levels can be checked to evaluate for autoimmune
pancreatitis
• Trypsin and its precursor trypsinogen-2 - in both the urine and the peritoneal fluid
have been evaluated as possible markers for acute pancreatitis (especially post-
ERCP pancreatitis.
Acute Pancreatitis
Abdominal RadiographyAbdominal Radiography
• Abdominal radiographs have a limited
role in acute pancreatitis.
• KUB radiography in upright position is
primarily performed to detect free air in
the abdomen, indicating a perforated
viscus, as would be the case in a
penetrating, perforated duodenal ulcer.
• In some cases, the inflammatory process
may damage peripancreatic structures,
resulting in a colon cut-off sign, a sentinel
loop, or an ileus.
• The presence of calcifications within or
around the pancreas may indicate chronic
pancreatitis.
• Abdominal radiographs have a limited
role in acute pancreatitis.
• KUB radiography in upright position is
primarily performed to detect free air in
the abdomen, indicating a perforated
viscus, as would be the case in a
penetrating, perforated duodenal ulcer.
• In some cases, the inflammatory process
may damage peripancreatic structures,
resulting in a colon cut-off sign, a sentinel
loop, or an ileus.
• The presence of calcifications within or
around the pancreas may indicate chronic
pancreatitis.
Acute Pancreatitis
UltrasonographyUltrasonography
• USG ( screening )of the abdomen is
the most useful initial test in
determining the etiology of
pancreatitis and is the technique of
choice for detecting gallstones.
• Sensitivity is reduced to 70-80%.
( Pancreatitis )
• In addition, the ability to identify
choledocholithiasis is limited.
• Not specific if overlying gas
shadows secondary to bowel
distention are present.
• Cannot measure the severity of
disease.
• USG ( screening )of the abdomen is
the most useful initial test in
determining the etiology of
pancreatitis and is the technique of
choice for detecting gallstones.
• Sensitivity is reduced to 70-80%.
( Pancreatitis )
• In addition, the ability to identify
choledocholithiasis is limited.
• Not specific if overlying gas
shadows secondary to bowel
distention are present.
• Cannot measure the severity of
disease.
Endoscopic ultrasonography- EUSEndoscopic ultrasonography- EUS
•
• -Is an endoscopic procedure that allows a
high-frequency ultrasound transducer to be
inserted into the gastrointestinal (GI) tract to
visualize the pancreas and the biliary tract.
• Its principal role is in detection of
microlithiasis and periampullary lesions.
• A secretin-stimulated EUS study –
• -may reveal resistance to ductal outflow at
the level of the papilla, for evaluation of
recurrent idiopathic pancreatitis.
•
• -Is an endoscopic procedure that allows a
high-frequency ultrasound transducer to be
inserted into the gastrointestinal (GI) tract to
visualize the pancreas and the biliary tract.
• Its principal role is in detection of
microlithiasis and periampullary lesions.
• A secretin-stimulated EUS study –
• -may reveal resistance to ductal outflow at
the level of the papilla, for evaluation of
recurrent idiopathic pancreatitis.
Acute Pancreatitis
Computed TomographyComputed Tomography
• Abdominal CT is not indicated for patients with mild pancreatitis.
• Always indicated in severe AP and is the imaging study of choice for assessing
complications.
• Scans done after > 72 hours after symptom onset unless the diagnosis is
uncertain, because inflammatory changes are often not radiographically present
until this time.
• Abdominal CT scans also provide prognostic information based on the
following grading scale developed by Balthazar & colleagues.
• Grade A - Normal pancreas
• Grade B - Focal or diffuse gland enlargement
• Grade C - Intrinsic gland abnormality recognized by haziness on the scan
• Grade D - Single ill-defined collection or phlegmon
• Grade E - Two or more ill-defined collections or the presence of gas in
or nearby the pancreas
• Abdominal CT is not indicated for patients with mild pancreatitis.
• Always indicated in severe AP and is the imaging study of choice for assessing
complications.
• Scans done after > 72 hours after symptom onset unless the diagnosis is
uncertain, because inflammatory changes are often not radiographically present
until this time.
• Abdominal CT scans also provide prognostic information based on the
following grading scale developed by Balthazar & colleagues.
• Grade A - Normal pancreas
• Grade B - Focal or diffuse gland enlargement
• Grade C - Intrinsic gland abnormality recognized by haziness on the scan
• Grade D - Single ill-defined collection or phlegmon
• Grade E - Two or more ill-defined collections or the presence of gas in
or nearby the pancreas
Acute Pancreatitis
CTCT
Acute Pancreatitis
Gallsone AP CTGallsone AP CT
Acute Pancreatitis
Peri pancreatic fluidPeri pancreatic fluid
Acute Pancreatitis
Pancreatic necrosisPancreatic necrosis
Acute Pancreatitis
Necrosis - progressionNecrosis - progression
Acute Pancreatitis
• The chances of infection and death are virtually nil in grades A and B
but steadily increase in grades C through E.
• Patients with grade E pancreatitis have a 50% chance of developing an
infection and a 15% chance of dying.
• The chances of infection and death are virtually nil in grades A and B
but steadily increase in grades C through E.
• Patients with grade E pancreatitis have a 50% chance of developing an
infection and a 15% chance of dying.
Acute Pancreatitis
Magnetic Resonance Cholangiopancreatography
MRCP
Magnetic Resonance Cholangiopancreatography
MRCP
• ed. MRCP has an emerging role in the diagnosis of suspected biliary and pancreatic
duct obstruction in the setting of pancreatitis.
• MRCP is not as sensitive as ERCP , it is safer, noninvasive, and fast, and it
provides images useful in guiding clinical care decisions.
• MRCP should be used if choledocholithiasis is suspected but there is concern that
pancreatitis might worsen is
• If ERCP is performed.
• ed. MRCP has an emerging role in the diagnosis of suspected biliary and pancreatic
duct obstruction in the setting of pancreatitis.
• MRCP is not as sensitive as ERCP , it is safer, noninvasive, and fast, and it
provides images useful in guiding clinical care decisions.
• MRCP should be used if choledocholithiasis is suspected but there is concern that
pancreatitis might worsen is
• If ERCP is performed.
Acute Pancreatitis
ERCPERCP
• ERCP is an endoscopic procedure used to
evaluate the biliary and pancreatic ductal
system and is indicated in a subset of patients
with acute pancreatitis.
• Extreme caution in patients with acute
pancreatitis and should never be used as a first-
line diagnostic tool in this disease.
• It should be performed only in the following
situations:
• INDICATIONS :
• The patient has biliary pancreatitis and is
experiencing worsening jaundice and clinical
deterioration despite maximal supportive
therapy.
• When combined with sphincterotomy and
stone extraction, ERCP may reduce the length
of hospital stay, the complication rate, and,
possibly, mortality.
• ERCP is an endoscopic procedure used to
evaluate the biliary and pancreatic ductal
system and is indicated in a subset of patients
with acute pancreatitis.
• Extreme caution in patients with acute
pancreatitis and should never be used as a first-
line diagnostic tool in this disease.
• It should be performed only in the following
situations:
• INDICATIONS :
• The patient has biliary pancreatitis and is
experiencing worsening jaundice and clinical
deterioration despite maximal supportive
therapy.
• When combined with sphincterotomy and
stone extraction, ERCP may reduce the length
of hospital stay, the complication rate, and,
possibly, mortality.
Acute Pancreatitis
CT Image-Guided Aspiration and DrainageCT Image-Guided Aspiration and Drainage
• CT-guided needle aspiration is used to differentiate infected necrosis from sterile
necrosis in patients with severe necrotizing pancreatitis.
• The needle is placed into an area of low attenuation in or around the pancreas of a
patient with fever and tachycardia or other signs of a SIRS , generally following the
first week of severe pancreatitis.
• The procedure may be repeated weekly if clinically indicated.
• The specimen should be delivered to the laboratory within an hour and interpreted
promptly.
•
• The specimen should always be evaluated for Gram stain, and C/S study.
• If the Gram stain shows bacteria or fungi, surgical debridement of the infected
necrosis is generally indicated.
• An exception would be if the patient could not tolerate surgery; in this case, CT-
guided catheter drainage may be more effective.
• CT-guided needle aspiration is used to differentiate infected necrosis from sterile
necrosis in patients with severe necrotizing pancreatitis.
• The needle is placed into an area of low attenuation in or around the pancreas of a
patient with fever and tachycardia or other signs of a SIRS , generally following the
first week of severe pancreatitis.
• The procedure may be repeated weekly if clinically indicated.
• The specimen should be delivered to the laboratory within an hour and interpreted
promptly.
•
• The specimen should always be evaluated for Gram stain, and C/S study.
• If the Gram stain shows bacteria or fungi, surgical debridement of the infected
necrosis is generally indicated.
• An exception would be if the patient could not tolerate surgery; in this case, CT-
guided catheter drainage may be more effective.
Acute Pancreatitis
Histological FindingsHistological Findings
• The infinite spectrum of pancreatitis severity is usually subdivided into mild
and severe categories as follows:
• Mild pancreatitis - The gland exhibits interstitial edema and an inflammatory
infiltrate without hemorrhage or necrosis, usually with minimal or no organ
dysfunction
• Severe pancreatitis - Extensive inflammation and necrosis of the pancreatic
parenchyma are present, often associated with severe gland dysfunction and
multi organ failure.
• The infinite spectrum of pancreatitis severity is usually subdivided into mild
and severe categories as follows:
• Mild pancreatitis - The gland exhibits interstitial edema and an inflammatory
infiltrate without hemorrhage or necrosis, usually with minimal or no organ
dysfunction
• Severe pancreatitis - Extensive inflammation and necrosis of the pancreatic
parenchyma are present, often associated with severe gland dysfunction and
multi organ failure.
Acute Pancreatitis
Radiation of painRadiation of pain
Acute Pancreatitis
ASSESSMENT OF SEVERITY –STAGING OF A.PASSESSMENT OF SEVERITY –STAGING OF A.P
• Ranson Scoring
• Acute Physiology and Chronic Health Evaluation (APACHE) II,
• Glasgow
• BISAP Scoring
• Balthazar CTSI scoring systems.
• Each has advantages and disadvantages, and none is currently recognized as a
criterion standard.
Evidence of ORGAN FAILURE:
Systolic B.P below 90 mm Hg,
Arterial partial pressure of oxygen [Pa O2] 60 mm Hg or lower,
Serum Creatinine level -2 mg/dL or lower,
GI bleeding amounting to 500 mL or more in 24 hrs
• Local complications (eg, necrosis, abscess, pseudocyst)
• Ranson score of 3 or higher or
• APACHE score of 8 or higher
•
• .
• Ranson Scoring
• Acute Physiology and Chronic Health Evaluation (APACHE) II,
• Glasgow
• BISAP Scoring
• Balthazar CTSI scoring systems.
• Each has advantages and disadvantages, and none is currently recognized as a
criterion standard.
Evidence of ORGAN FAILURE:
Systolic B.P below 90 mm Hg,
Arterial partial pressure of oxygen [Pa O2] 60 mm Hg or lower,
Serum Creatinine level -2 mg/dL or lower,
GI bleeding amounting to 500 mL or more in 24 hrs
• Local complications (eg, necrosis, abscess, pseudocyst)
• Ranson score of 3 or higher or
• APACHE score of 8 or higher
•
• .
Acute Pancreatitis
Ranson ScoreRanson Score
• Ranson criteria is a clinical prediction rule for predicting the severity of
acute pancreatitis. It was introduced in 1974.
• At admission
• age in years > 55 years
• TLC > 16000 cells/mm3
• BG > 10 mmol/L (> 200 mg/dL)
• Serum AST > 250 IU/L
• Serum LDH > 350 IU/L
• At 48 hours
• Calcium (serum calcium < 2.0 mmol/L (< 8.0 mg/dL)
• Hematocrit fall >10 mmol/l
• Oxygen (hypoxemia PO2 < 60 mmHg)
• BUN increased by 1.8 or more mmol/L (5 or more mg/dL) after IV fluid
hydration
• Base deficit (negative base excess) > 4 mEq/L
• Sequestration of fluids > 6 L
• Ranson criteria is a clinical prediction rule for predicting the severity of
acute pancreatitis. It was introduced in 1974.
• At admission
• age in years > 55 years
• TLC > 16000 cells/mm3
• BG > 10 mmol/L (> 200 mg/dL)
• Serum AST > 250 IU/L
• Serum LDH > 350 IU/L
• At 48 hours
• Calcium (serum calcium < 2.0 mmol/L (< 8.0 mg/dL)
• Hematocrit fall >10 mmol/l
• Oxygen (hypoxemia PO2 < 60 mmHg)
• BUN increased by 1.8 or more mmol/L (5 or more mg/dL) after IV fluid
hydration
• Base deficit (negative base excess) > 4 mEq/L
• Sequestration of fluids > 6 L
Acute Pancreatitis
Ranson ScoreRanson Score
• Ranson's score of ≥ 8 –OF / Substantial pancreatic necrosis (at least
30% glandular necrosis according to CECT)
• Interpretation
• If the score ≥ 3, severe pancreatitis is likely. If the score < 3, severe
pancreatitis is unlikely
• Or
• Score 0 to 2 : 2% mortality/ Score 3 to 4 : 15% mortality /Score 5 to
6 : 40% mortality/ Score 7 to 8 : 100% mortality
• Ranson's score of ≥ 8 –OF / Substantial pancreatic necrosis (at least
30% glandular necrosis according to CECT)
• Interpretation
• If the score ≥ 3, severe pancreatitis is likely. If the score < 3, severe
pancreatitis is unlikely
• Or
• Score 0 to 2 : 2% mortality/ Score 3 to 4 : 15% mortality /Score 5 to
6 : 40% mortality/ Score 7 to 8 : 100% mortality
Acute Pancreatitis
APACHE II
"Acute Physiology And Chronic Health Evaluation"
APACHE II
"Acute Physiology And Chronic Health Evaluation"
APACHE-II score based patient’s age, previous health status, and 12routine physiologic
measurements, general measure of the severity of disease 8 or higher defines severe
pancreatitis. Used on admission and repeated at any time. Positive predictive value of 43%
and a negative predictive value of 89%. It is an online calculator.
(APACHE II) score > 8 points predicts 11% to 18% mortality
Hemorrhagic peritoneal fluid
•Obesity
Indicators of organ failure
•Hypotension (SBP <90 mmHG) or tachycardia > 130 beat/min
PO2 <60 mmHg
•Oliguria (<50 mL/h) or increasing BUN and creatinine
Serum calcium < 1.90 mmol/L (<8.0 mg/dL) or serum albumin <33 g/L (<3.2.g/dL)>
APACHE-II score based patient’s age, previous health status, and 12routine physiologic
measurements, general measure of the severity of disease 8 or higher defines severe
pancreatitis. Used on admission and repeated at any time. Positive predictive value of 43%
and a negative predictive value of 89%. It is an online calculator.
(APACHE II) score > 8 points predicts 11% to 18% mortality
Hemorrhagic peritoneal fluid
•Obesity
Indicators of organ failure
•Hypotension (SBP <90 mmHG) or tachycardia > 130 beat/min
PO2 <60 mmHg
•Oliguria (<50 mL/h) or increasing BUN and creatinine
Serum calcium < 1.90 mmol/L (<8.0 mg/dL) or serum albumin <33 g/L (<3.2.g/dL)>
Acute Pancreatitis
Glasgow criteriaGlasgow criteria
• The Glasgow criteria is valid for both gallstone and alcohol induced pancreatitis,
whereas the Ranson score is only for alcohol induced pancreatitis. If a patient
scores 3 or more it indicates severe pancreatitis and the patient should be
transferred to ITU.
• It is scored through the mnemonic, PANCREAS:
• P - PaO2 <8kPa
• A - Age >55 years old
• N - Neutrophilia - WCC >15x10(9)/L
• C - Calcium <2 mmol/L
• R - Renal function, Urea >16 mmol/L
• E - Enzymes: LDH >600iu/L; AST >200iu/L
• A - Albumin <3.2g/L (serum)
• S - Sugar: blood glucose >10 mmol/L
• The Glasgow criteria is valid for both gallstone and alcohol induced pancreatitis,
whereas the Ranson score is only for alcohol induced pancreatitis. If a patient
scores 3 or more it indicates severe pancreatitis and the patient should be
transferred to ITU.
• It is scored through the mnemonic, PANCREAS:
• P - PaO2 <8kPa
• A - Age >55 years old
• N - Neutrophilia - WCC >15x10(9)/L
• C - Calcium <2 mmol/L
• R - Renal function, Urea >16 mmol/L
• E - Enzymes: LDH >600iu/L; AST >200iu/L
• A - Albumin <3.2g/L (serum)
• S - Sugar: blood glucose >10 mmol/L
Acute Pancreatitis
BISAP score
Bedside index of severity in AP
BISAP score
Bedside index of severity in AP
• 1.BUN > 25MG/dL
• 2. Impaired mental status ( GCS score < 15)
• 3.SIRS score _>2
• 4.Age > 60 yrs.
• 5.Pleural effusion
• 1.BUN > 25MG/dL
• 2. Impaired mental status ( GCS score < 15)
• 3.SIRS score _>2
• 4.Age > 60 yrs.
• 5.Pleural effusion
Acute Pancreatitis
Balthazar criteriaBalthazar criteria
• Developed in the early 1990s by Emil J. Balthazar et al. the Computed
Tomography Severity Index (CTSI) is a grading system used to determine the
severity of acute pancreatitis. The numerical CTSI has a maximum of ten
points, and is the sum of the Balthazar grade points and pancreatic necrosis
grade points:
• Balthazar Grade Appearance on CT CT Grade Points
• Grade A Normal CT 0 points
• Grade B Focal or diffuse enlargement of the pancreas 1 point
• Grade C Pancreatic gland abnormalities and
• peripancreatic inflammation 2 points
• Grade D Fluid collection in a single location 3 points
• Grade E Two or more fluid collections and / or gas 4 points
bubbles in or adjacent to pancreas
• Developed in the early 1990s by Emil J. Balthazar et al. the Computed
Tomography Severity Index (CTSI) is a grading system used to determine the
severity of acute pancreatitis. The numerical CTSI has a maximum of ten
points, and is the sum of the Balthazar grade points and pancreatic necrosis
grade points:
• Balthazar Grade Appearance on CT CT Grade Points
• Grade A Normal CT 0 points
• Grade B Focal or diffuse enlargement of the pancreas 1 point
• Grade C Pancreatic gland abnormalities and
• peripancreatic inflammation 2 points
• Grade D Fluid collection in a single location 3 points
• Grade E Two or more fluid collections and / or gas 4 points
bubbles in or adjacent to pancreas
Acute Pancreatitis
Balthazar criteriaBalthazar criteria
• Necrosis Score
• Necrosis Percentage Points
• No necrosis 0 points
• 0 to 30% necrosis 2 points
• 30 to 50% necrosis 4 points
• Over 50% necrosis 6 points
• CTSI's staging of acute pancreatitis severity has been shown by a number of studies
to provide more accurate assessment than APACHE II, Ranson, and C-reactive
protein (CRP) level. However, a few studies indicate that CTSI is not significantly
associated with the prognosis of hospitalization in patients with pancreatic necrosis,
nor is it an accurate predictor of AP severity.
CTSI – 0-3 =mortality 3%, morbidity -8%
• CTSI- 4-6 = mortality 6%, morbidity -35%
• CTSI -7-10 = mortality 17%, morbidity- 92 %
• Necrosis Score
• Necrosis Percentage Points
• No necrosis 0 points
• 0 to 30% necrosis 2 points
• 30 to 50% necrosis 4 points
• Over 50% necrosis 6 points
• CTSI's staging of acute pancreatitis severity has been shown by a number of studies
to provide more accurate assessment than APACHE II, Ranson, and C-reactive
protein (CRP) level. However, a few studies indicate that CTSI is not significantly
associated with the prognosis of hospitalization in patients with pancreatic necrosis,
nor is it an accurate predictor of AP severity.
CTSI – 0-3 =mortality 3%, morbidity -8%
• CTSI- 4-6 = mortality 6%, morbidity -35%
• CTSI -7-10 = mortality 17%, morbidity- 92 %
Acute Pancreatitis
Acute Pancreatitis
Normal PancreasNormal Pancreas
CT FindingsCT Findings
Acute Pancreatitis
Tail Indistinct
Intraperitoneal fluid
PANC
PANC
LIVERLIVER
CT Findings
Severe Pancreatitis
CT Findings
Severe Pancreatitis
Acute Pancreatitis
Peripancreatic edema
and inflammation
Unenhancing
Necrosis
PANC
PANC
LIVERLIVER
GBGB
abscessabscess
wopnwopn
wopnwopn
wopnwopn
pseudocystpseudocyst
OutcomesOutcomes
Acute Pancreatitis
Acute Pancreatitis
Acute Pancreatitis
Acute Pancreatitis
Acute Pancreatitis
Acute Pancreatitis
Acute Pancreatitis
Acute Pancreatitis
Imaging
An early CT may be misleading concerning the
severity of the pancreatitis, since it can underestimate
the presence and amount of necrosis.
Early CT is only recommended when the diagnosis is
uncertain, or in case of suspected early complications
such as perforation or ischemia.
An early CT may be misleading concerning the
severity of the pancreatitis, since it can underestimate
the presence and amount of necrosis.
Early CT is only recommended when the diagnosis is
uncertain, or in case of suspected early complications
such as perforation or ischemia.
golden rule
Interstitial
edematous
pancreatitis
Interstitial
edematous
pancreatitis
Acute peripancreatic
fluid collection
pancreatic
pseudocyst
Acute necrotizing
pancreatitis.
Acute necrotizing
pancreatitis
acute necrotic
collection
walled off cystic
necrosis
acute necrotizing
pancreatitis
acute necrotic
collection
Interstitial
edematous
pancreatitis
acute peripancreatic
fluid collection
d 0 to d 28
acute necrotizing
pan.
walled off necrosis
IEP
pancreatic
pseudocyst
after 28
Differential DiagnosisDifferential Diagnosis
• Mesenteric ischemia
• Perforated peptic ulcer
• Intestinal obstruction
• Biliary colic
• Inferior wall MI
• Ectopic pregnancy
• Mesenteric ischemia
• Perforated peptic ulcer
• Intestinal obstruction
• Biliary colic
• Inferior wall MI
• Ectopic pregnancy
Acute Pancreatitis
D/D OF A.P
Acute Pancreatitis
Management questionsManagement questions
• When should patients admitted with AP be monitored in an
ICU or step-down unit?
• When do I order a CT scan?
• Should patients with SAP receive prophylactic abx?
• What is the optimal mode and timing of nutritional support
for the patient with SAP?
• Under what circumstances should patients with gallstone
pancreatitis undergo interventions to clear the bile duct?
• What are the indications for surgery in AP; optimal timing
for intervention, and roles for less invasive approaches
including percutaneous drainage and laparoscopy?
• When should patients admitted with AP be monitored in an
ICU or step-down unit?
• When do I order a CT scan?
• Should patients with SAP receive prophylactic abx?
• What is the optimal mode and timing of nutritional support
for the patient with SAP?
• Under what circumstances should patients with gallstone
pancreatitis undergo interventions to clear the bile duct?
• What are the indications for surgery in AP; optimal timing
for intervention, and roles for less invasive approaches
including percutaneous drainage and laparoscopy?
Acute Pancreatitis
When Do I Transfer to the Unit ?When Do I Transfer to the Unit ?
• Severe pancreatitis
• Multi-organ failure
– Pulmonary
– Renal
• Consider it if you are placing the patient on
antibiotics and/or ordering a CT to evaluate
non-improvement
• Severe pancreatitis
• Multi-organ failure
– Pulmonary
– Renal
• Consider it if you are placing the patient on
antibiotics and/or ordering a CT to evaluate
non-improvement
Acute Pancreatitis
Severe Pancreatitis
Atlanta criteria
Severe Pancreatitis
Atlanta criteria
• Organ Failure
– i.e. systolic blood pressure <90 mm Hg, PaO2
<60 mm Hg, serum creatinine >2
mg/dL, >500 mL/24 h GI bleeding OR
• Local Complications
– Necrosis
– Abscess
– Pseudocyst OR
• Unfavorable Early Prognostic Signs
– ≥ 3 Ranson's signs OR
– ≥ 8 APACHE-II points
• Organ Failure
– i.e. systolic blood pressure <90 mm Hg, PaO2
<60 mm Hg, serum creatinine >2
mg/dL, >500 mL/24 h GI bleeding OR
• Local Complications
– Necrosis
– Abscess
– Pseudocyst OR
• Unfavorable Early Prognostic Signs
– ≥ 3 Ranson's signs OR
– ≥ 8 APACHE-II points
Acute Pancreatitis
Organ FailureOrgan Failure
• Cardiovascular
– Hypotension
– Septic physiology
• ↑ HR, CO and ↓ SVR
• Respiratory
– Hypoxemia
– Pleural effusions
• Renal
– ATN
– Oliguria
• Cardiovascular
– Hypotension
– Septic physiology
• ↑ HR, CO and ↓ SVR
• Respiratory
– Hypoxemia
– Pleural effusions
• Renal
– ATN
– Oliguria
• Hematologic
– DIC
– Thrombocytosis
• Hepatic
– Encephalopathy
– ↑ T bili (3 mg/dl)
– ↑ AST/ALT 2X nl
• GI
– Stress ulcer
– Acalculous cholecystitis
• Hematologic
– DIC
– Thrombocytosis
• Hepatic
– Encephalopathy
– ↑ T bili (3 mg/dl)
– ↑ AST/ALT 2X nl
• GI
– Stress ulcer
– Acalculous cholecystitis
Acute Pancreatitis
When Do I Order A CT?When Do I Order A CT?
• If the patient has…..
– Signs of severe acute pancreatitis
– No signs of clinical improvement after several days
– Diagnostic dilemma
– Infection suspected
• T > 101o
F
• Positive blood cultures
• What kind of CT?
– Dynamic with rapid bolus IV contrast
• What are you looking for?
– Necrosis: Lack of enhancement with contrast
– Fluid Collections
– Alternate diagnosis
• If the patient has…..
– Signs of severe acute pancreatitis
– No signs of clinical improvement after several days
– Diagnostic dilemma
– Infection suspected
• T > 101o
F
• Positive blood cultures
• What kind of CT?
– Dynamic with rapid bolus IV contrast
• What are you looking for?
– Necrosis: Lack of enhancement with contrast
– Fluid Collections
– Alternate diagnosis
Acute Pancreatitis
CT FindingsCT Findings
• Pancreas
– Pancreatic enlargement
– Decreased density due to edema
– Intrapancreatic fluid collections
– Blurring of gland margins due to inflammation
• Peripancreatic
– Fluid collections and stranding densities
– Thickening of retroperitoneal fat
• Pancreas
– Pancreatic enlargement
– Decreased density due to edema
– Intrapancreatic fluid collections
– Blurring of gland margins due to inflammation
• Peripancreatic
– Fluid collections and stranding densities
– Thickening of retroperitoneal fat
Acute Pancreatitis
* It may take up to 72h for inflammatory changes to become apparent on CT ** It may take up to 72h for inflammatory changes to become apparent on CT ** It may take up to 72h for inflammatory changes to become apparent on CT ** It may take up to 72h for inflammatory changes to become apparent on CT *
Acute Pancreatitis
POINTSPOINTS
GradeGrade of Acute Pancreatitis
A = Normal pancreas 0
B = Pancreatic enlargement 1
C = Pancreatic/peripancreatic
inflammation 2
D = Single peripancreatic fluid collection 3
E = Multiple fluid collections 4
Grade E = 50% chance of developing an infection and 15% chance of deathGrade E = 50% chance of developing an infection and 15% chance of death
DegreeDegree of Necrosis
No necrosis 0
Necrosis of one third of pancreas 2
Necrosis of one half of pancreas 4
Necrosis of more than one half 6
CT Severity Index = Grade + Degree of necrosis
POINTSPOINTS
GradeGrade of Acute Pancreatitis
A = Normal pancreas 0
B = Pancreatic enlargement 1
C = Pancreatic/peripancreatic
inflammation 2
D = Single peripancreatic fluid collection 3
E = Multiple fluid collections 4
Grade E = 50% chance of developing an infection and 15% chance of deathGrade E = 50% chance of developing an infection and 15% chance of death
DegreeDegree of Necrosis
No necrosis 0
Necrosis of one third of pancreas 2
Necrosis of one half of pancreas 4
Necrosis of more than one half 6
CT Severity Index = Grade + Degree of necrosis
TREATMENTTREATMENT
Acute Pancreatitis
Management
Mild-Moderate
Management
Mild-Moderate
• NPO with IVF (crystalloids)
– Colloid (blood if Hct <25, albumin if serum alb <2)
– Patients with acute pancreatitis lose a large amount of fluids to third space
into the retroperitoneum and intra-abdominal area. Prompt IV hydration
within the first 24 hours. Especially in the early phase of the illness, aggressive
fluid resuscitation is critically important
• Central venous pressure, pulmonary artery wedge pressure, and urine
output (>0.5 mL/kg/h) can be followed up as markers of adequate
hydration.
• Generous narcotics
• NGT decompression
– if frequent emesis or evidence of ileus on plain films
• Start clear liquids when pain/anorexia resolve
• NPO with IVF (crystalloids)
– Colloid (blood if Hct <25, albumin if serum alb <2)
– Patients with acute pancreatitis lose a large amount of fluids to third space
into the retroperitoneum and intra-abdominal area. Prompt IV hydration
within the first 24 hours. Especially in the early phase of the illness, aggressive
fluid resuscitation is critically important
• Central venous pressure, pulmonary artery wedge pressure, and urine
output (>0.5 mL/kg/h) can be followed up as markers of adequate
hydration.
• Generous narcotics
• NGT decompression
– if frequent emesis or evidence of ileus on plain films
• Start clear liquids when pain/anorexia resolve
Acute Pancreatitis
• Nutritional support
• Mild uncomplicated pancreatitis, no benefit is observed from nutritional support,
only IV dextrose 5% in water (D5W) suffices; oral feedings should be initiated
early.
• Moderate-to-severe pancreatitis, begin nutritional support early in the course of
management, as soon as stabilization of fluid and hemodynamic parameters
permits; optimally, nasojejunal feedings with a low-fat formulation should be
initiated.
• Total parenteral nutrition (TPN) may be required when patients cannot meet their
caloric needs with enteral nutrition or when adequate jejunal access cannot be
maintained; the TPN solution should include fat emulsions in amounts sufficient
to prevent essential fatty acid deficiency
• If surgery is required a feeding jejunostomy at the time of the operation; use a
low-fat formula
• Begin oral feedings once abdominal pain has resolved and the patient regains
appetite; the diet should be low in fat and protein
• Nutritional support
• Mild uncomplicated pancreatitis, no benefit is observed from nutritional support,
only IV dextrose 5% in water (D5W) suffices; oral feedings should be initiated
early.
• Moderate-to-severe pancreatitis, begin nutritional support early in the course of
management, as soon as stabilization of fluid and hemodynamic parameters
permits; optimally, nasojejunal feedings with a low-fat formulation should be
initiated.
• Total parenteral nutrition (TPN) may be required when patients cannot meet their
caloric needs with enteral nutrition or when adequate jejunal access cannot be
maintained; the TPN solution should include fat emulsions in amounts sufficient
to prevent essential fatty acid deficiency
• If surgery is required a feeding jejunostomy at the time of the operation; use a
low-fat formula
• Begin oral feedings once abdominal pain has resolved and the patient regains
appetite; the diet should be low in fat and protein
Acute Pancreatitis
FeedingFeeding
Acute Pancreatitis
When Do I Start Antibiotics?When Do I Start Antibiotics?
• Acute pancreatitis is c/b infection ~ 10%
• 30-50% of those with necrosis get infection
• Prophylactic antibiotics
– Controversial
• No benefit in mild ALC. pancreatitis
• Imipenem or meropenem in necrotizing pancreatitis
• Selective gut decontamination may be beneficial
• Abx do not appear to promote fungal infection
• General recommendations for use:
– Biliary pancreatitis with signs of cholangitis
– > 30% necrosis on CT scan
• Acute pancreatitis is c/b infection ~ 10%
• 30-50% of those with necrosis get infection
• Prophylactic antibiotics
– Controversial
• No benefit in mild ALC. pancreatitis
• Imipenem or meropenem in necrotizing pancreatitis
• Selective gut decontamination may be beneficial
• Abx do not appear to promote fungal infection
• General recommendations for use:
– Biliary pancreatitis with signs of cholangitis
– > 30% necrosis on CT scan
Acute Pancreatitis
Antibiotics - EBMAntibiotics - EBM
Antibiotic therapy for prophylaxis against
infection of pancreatic necrosis in acute
pancreatitis.
Cochrane Database of Systematic Reviews. 3, 2005
Antibiotic therapy for prophylaxis against
infection of pancreatic necrosis in acute
pancreatitis.
Cochrane Database of Systematic Reviews. 3, 2005
Acute Pancreatitis
Despite variations in drug agent, case mix, duration of treatment and
methodological quality (especially the lack of double blinded studies),
there was strong evidence that intravenous antibiotic prophylactic
therapy for 10 to 14 days decreased the risk of super-infection of
necrotic tissue and mortality in patients with severe acute pancreatitis
with proven pancreatic necrosis at CT
Despite variations in drug agent, case mix, duration of treatment and
methodological quality (especially the lack of double blinded studies),
there was strong evidence that intravenous antibiotic prophylactic
therapy for 10 to 14 days decreased the risk of super-infection of
necrotic tissue and mortality in patients with severe acute pancreatitis
with proven pancreatic necrosis at CT
A final word on antibioticsA final word on antibiotics
• Do not use empirically early in mild
pancreatitis
• Fever early in the disease process is almost
universally secondary to the inflammatory
response and NOT an infectious process
• Do not use empirically early in mild
pancreatitis
• Fever early in the disease process is almost
universally secondary to the inflammatory
response and NOT an infectious process
Acute Pancreatitis
When can he eat ?
Nutritional issues in AP
• TPN vs. enteral feeding
– Not TPN per meta-analysis but …*
– NJ not NG
• Early initiation of enteral nutrition in severe AP
• tube feed if anticipate NPO > 1 week
• may be unnecessary for mild AP
– Reduce microbial translocation
– Enhance gut mucosal blood flow
– Promote gut mucosal surface immunity
Acute Pancreatitis
Reduce incidence ofReduce incidence of
infected necrosisinfected necrosis
Reduce incidence ofReduce incidence of
infected necrosisinfected necrosis
** 6 older studies, relationship b/w glycemic control and infectious risk may confound vs. TPN6 older studies, relationship b/w glycemic control and infectious risk may confound vs. TPN
NutritionNutrition
• Mild pancreatitis
– Calories from IVF (D5W)
are sufficient
– No benefit from
additional nutritional
support
– Oral intake advancing to
low fat diet once
pain/anorexia resolve
• Mild pancreatitis
– Calories from IVF (D5W)
are sufficient
– No benefit from
additional nutritional
support
– Oral intake advancing to
low fat diet once
pain/anorexia resolve
• Moderate/Severe
– Begin nutritional support
as early as possible
• NJ tube preferred
– TPN only if :
• Can’t maintain adequate
jejunal access
• Unable to meet caloric
demands enterally
• Moderate/Severe
– Begin nutritional support
as early as possible
• NJ tube preferred
– TPN only if :
• Can’t maintain adequate
jejunal access
• Unable to meet caloric
demands enterally
Acute Pancreatitis
Acute Pancreatitis
When Do I Consult GI Person ?When Do I Consult GI Person ?
• Evidence of biliary pancreatitis
– Elevated LFTs + pancreatitis
• No matter what the US shows
• Severe pancreatitis
• Recurrent unexplained pancreatitis
• Rule out infected necrosis
• EUS FNA sampling of fluid collections
• Endoscopic treatment of necrosis/abscess
• Evidence of biliary pancreatitis
– Elevated LFTs + pancreatitis
• No matter what the US shows
• Severe pancreatitis
• Recurrent unexplained pancreatitis
• Rule out infected necrosis
• EUS FNA sampling of fluid collections
• Endoscopic treatment of necrosis/abscess
Acute Pancreatitis
Biliary pancreatitisBiliary pancreatitis
• Q: When should I suspect it ?
– A: Always
• Q: How do I evaluate for it ?
– A: EUS and LFTs
• Q: When is ERCP indicated ?
– A: 3 studies looked at emergency (within 24-72h)
ERCP with EUS vs standard therapy in biliary AP
• Q: When should I suspect it ?
– A: Always
• Q: How do I evaluate for it ?
– A: EUS and LFTs
• Q: When is ERCP indicated ?
– A: 3 studies looked at emergency (within 24-72h)
ERCP with EUS vs standard therapy in biliary AP
Acute Pancreatitis
Management of Pancreatic
Complications- objectives
• Acute fluid collections
– Occur early, seen not felt
– No defined wall ∴ usually resolve spontaneously
– NO routine percutaneous or operative drainage
• may infect otherwise sterile tissue
• Infected pancreatic necrosis
• Pancreatic abscess
• Pseudocysts
• Gallstones with CBD stones
• Pancreatic duct disruption with ascites
• Acute fluid collections
– Occur early, seen not felt
– No defined wall ∴ usually resolve spontaneously
– NO routine percutaneous or operative drainage
• may infect otherwise sterile tissue
• Infected pancreatic necrosis
• Pancreatic abscess
• Pseudocysts
• Gallstones with CBD stones
• Pancreatic duct disruption with ascites
Acute Pancreatitis
Management of Pancreatic
Complications
• Infected Pancreatic
necrosis
– Organisms on gram stain
after aspirate
– Surgical drainage
– Trans-gastric drainage
– Try to delay necrosectomy 2-
3wk for demarcation of
necrosis
• Pancreatic abscess
– CT or EUS guided
drainage
• Walled collection of pus
• Similar to management
of pseudocyst
• Pancreatic abscess
– CT or EUS guided
drainage
• Walled collection of pus
• Similar to management
of pseudocyst
Acute Pancreatitis
Acute Pancreatitis
PseudocystsPseudocysts
• Collection of pancreatic fluid enclosed by non-
epithelialized wall of granulation tissue
• Complicates 5-10% cases of AP
• ~ 4 weeks after insult
• 25-50% resolve spontaneously
• Collection of pancreatic fluid enclosed by non-
epithelialized wall of granulation tissue
• Complicates 5-10% cases of AP
• ~ 4 weeks after insult
• 25-50% resolve spontaneously
Acute Pancreatitis
Pseudocyst
Acute Pancreatitis
Complications of PseudocystComplications of Pseudocyst
• Infection - 14%
• Rupture - 6.8%
• Hemorrhage - 6.5%
• Common bile duct obstruction - 6.3%
• GI obstruction - 2.6%
• Infection - 14%
• Rupture - 6.8%
• Hemorrhage - 6.5%
• Common bile duct obstruction - 6.3%
• GI obstruction - 2.6%
Acute Pancreatitis
Pseudocyst Management
• Old thought
– Pseudocysts > 5 cm that have been present > 6
weeks must be drained
• Current practice
– Asymptomatic pseudocysts, regardless of size, do
not require treatment
• Old thought
– Pseudocysts > 5 cm that have been present > 6
weeks must be drained
• Current practice
– Asymptomatic pseudocysts, regardless of size, do
not require treatment
Acute Pancreatitis
Pseudocyst Drainage TechniquesPseudocyst Drainage Techniques
• Endoscopic
• Surgical
• Radiologic
• Endoscopic
• Surgical
• Radiologic
Acute Pancreatitis
LiverLiver
PCPC
PCPC
StomStom
Endoscopic Pseudocyst
Management
Endoscopic Pseudocyst
Management
Acute Pancreatitis
• Pseudocyst classification
– Communicating
– Non-communicating
• Pseudocyst classification
– Communicating
– Non-communicating
Endoscopic Pseudocyst
Management
Acute Pancreatitis
Percutaneous
Pseudocyst
Drainage
Percutaneous
Pseudocyst
Drainage
Acute Pancreatitis
Open CystgastrostomyOpen Cystgastrostomy
Laparoscopic Cyst GastrostomyLaparoscopic Cyst Gastrostomy
Acute Pancreatitis
Pancreatic Ascites and Pancreaticopleural FistulasPancreatic Ascites and Pancreaticopleural Fistulas
Acute Pancreatitis
Abdominal drainage endoscopic placement pancreatic stent
across the disruption.
Surgical distal resection and closure of the proximal stump
Abdominal drainage endoscopic placement pancreatic stent
across the disruption.
Surgical distal resection and closure of the proximal stump
NecresectomyNecresectomy
Acute Pancreatitis
Surgical intervention - minimally invasive or conventional open
techniques, is indicated when an anatomic complication
amenable to a mechanical solution is present (eg, acute
necrotizing pancreatitis)
The necrotic phlegmon is excised to limit the source of sepsis or
hemorrhagic pancreatitis to control of bleeding
Depending on the situation and local expertise, this may require
the talents of an interventional radiologist, an interventional
endoscopist, or surgeon (individually or in combination).
Surgical intervention - minimally invasive or conventional open
techniques, is indicated when an anatomic complication
amenable to a mechanical solution is present (eg, acute
necrotizing pancreatitis)
The necrotic phlegmon is excised to limit the source of sepsis or
hemorrhagic pancreatitis to control of bleeding
Depending on the situation and local expertise, this may require
the talents of an interventional radiologist, an interventional
endoscopist, or surgeon (individually or in combination).
Necrosectomy lapNecrosectomy lap
Acute Pancreatitis
NecrosectomyNecrosectomy
Acute Pancreatitis
Vascular ComplicationsVascular Complications
Acute Pancreatitis
Splenic artery, superior mesenteric, cystic and gastroduodenal arteries
Pancreatic elastase damages the vessels with pseudoaneurysm
formation.
Spontaneous rupture massive bleeding sudden onset of abdominal pain,
tachycardia and hypotension,
T/T -
Arterial embolization. Refractory cases require ligation of the vessel
affected mortality 28% to 56%.
Vascular thrombosis splenic vein portal venous system.
Recurrent episodes of UGI l bleeding /venous hypertension >
splenectomy
Splenic artery, superior mesenteric, cystic and gastroduodenal arteries
Pancreatic elastase damages the vessels with pseudoaneurysm
formation.
Spontaneous rupture massive bleeding sudden onset of abdominal pain,
tachycardia and hypotension,
T/T -
Arterial embolization. Refractory cases require ligation of the vessel
affected mortality 28% to 56%.
Vascular thrombosis splenic vein portal venous system.
Recurrent episodes of UGI l bleeding /venous hypertension >
splenectomy
Gallstone pancreatitisGallstone pancreatitis
Acute Pancreatitis
Gallstone pancreatitis that is not responding to supportive
therapy or with ascending cholangitis with worsening signs
and symptoms of obstruction, early endoscopic retrograde
cholangiopancreatography (ERCP) with sphincterotomy and
stone extraction is indicated.
Gallstone pancreatitis that is not responding to supportive
therapy or with ascending cholangitis with worsening signs
and symptoms of obstruction, early endoscopic retrograde
cholangiopancreatography (ERCP) with sphincterotomy and
stone extraction is indicated.
Laparoscopic or open cholecystectomy to be done after 4
to 6 weeks
Laparoscopic or open cholecystectomy to be done after 4
to 6 weeks
Pancreatic duct disruptionPancreatic duct disruption
Acute Pancreatitis
Damage to the pancreatic ductal system may allow pancreatic
juice to leak from the gland. The sudden development of
hypocalcemia or a rapid increase in retroperitoneal fluid on
computed tomography (CT)
Damage to the pancreatic ductal system may allow pancreatic
juice to leak from the gland. The sudden development of
hypocalcemia or a rapid increase in retroperitoneal fluid on
computed tomography (CT)
Percutaneous placement of a drainage tube into the fluid collection
Transpapillary stent placement or, preferably, placement of a 6 French
nasopancreatic tube attached to an external bulb suction device
Refractory cases may warrant surgery. If the persistent leak is present in
the tail of the gland, a distal pancreatectomy is preferred. If the leak is in
the head of the gland, a Whipple procedure is the operation of choice.
Percutaneous placement of a drainage tube into the fluid collection
Transpapillary stent placement or, preferably, placement of a 6 French
nasopancreatic tube attached to an external bulb suction device
Refractory cases may warrant surgery. If the persistent leak is present in
the tail of the gland, a distal pancreatectomy is preferred. If the leak is in
the head of the gland, a Whipple procedure is the operation of choice.
Pancreatic abscessPancreatic abscess
Acute Pancreatitis
Pancreatic abscesses generally occur late in the course of pancreatitis. Many of
these respond to percutaneous catheter drainage and antibiotics. Those that
do not respond require surgical debridement and drainage.
Pancreatic abscesses generally occur late in the course of pancreatitis. Many of
these respond to percutaneous catheter drainage and antibiotics. Those that
do not respond require surgical debridement and drainage.
Algorithm for A.P T/t
Acute Pancreatitis
Acute Pancreatitis
Rec Pancreatitis algorithm of T/tRec Pancreatitis algorithm of T/t
Acute Pancreatitis
Famous people who have had
pancreatitis
Famous people who have had
pancreatitis
• Alexander the Great
• Ludwig von Beethoven
• Dizzie Gillespie
• Maximilian Schell
• Matthew Perry
• John Ashcroft
• Alexander the Great
• Ludwig von Beethoven
• Dizzie Gillespie
• Maximilian Schell
• Matthew Perry
• John Ashcroft
Acute Pancreatitis
Closing PointsClosing Points
• 4 out of 5 patients have mild uneventful pancreatitis
• If the patient is not getting considerably better in 36-
48 hrs, start thinking about that “5th patient”
• A CT is that 5th patient’s friend
• If you are thinking about antibiotics, you should be
thinking about a CT and a few consultations.
• The pancreas is a mean organ….respect it
• 4 out of 5 patients have mild uneventful pancreatitis
• If the patient is not getting considerably better in 36-
48 hrs, start thinking about that “5th patient”
• A CT is that 5th patient’s friend
• If you are thinking about antibiotics, you should be
thinking about a CT and a few consultations.
• The pancreas is a mean organ….respect it
Acute Pancreatitis
Take home messageTake home message
Severity of acute pancreatitis and pancreatic necrosis can only be reliably
assessed by imaging after 72 hours.
• Absence of pancreatic parenchymal necrosis does not preclude a serious
course of the illness.
• CT cannot reliably differentiate between collections that consist of fluid and
those that contain solid debris.
• In these cases MRI can be of additional value.
• Name collections always according to 2012 Atlanta definitions.
• Central gland necrosis is a subtype of necrotizing pancreatitis with important
implications.
• ERCP is the procedure of choice in mild to mod. Cases, with CBD stone
induced pancreatitis, Gallstone t/t after 4-6 weeks.
Severity of acute pancreatitis and pancreatic necrosis can only be reliably
assessed by imaging after 72 hours.
• Absence of pancreatic parenchymal necrosis does not preclude a serious
course of the illness.
• CT cannot reliably differentiate between collections that consist of fluid and
those that contain solid debris.
• In these cases MRI can be of additional value.
• Name collections always according to 2012 Atlanta definitions.
• Central gland necrosis is a subtype of necrotizing pancreatitis with important
implications.
• ERCP is the procedure of choice in mild to mod. Cases, with CBD stone
induced pancreatitis, Gallstone t/t after 4-6 weeks.
Acute Pancreatitis

Acute pancreatitis SP

  • 1.
    Acute Pancreatitis lethal conditioncare & cure what should be the approach Acute Pancreatitis lethal condition care & cure what should be the approach DR SREEJOY PATNAIKDR SREEJOY PATNAIK
  • 2.
    DEFINITIONDEFINITION • Pancreatitis isa condition associated with development of acute and sudden inflammation of the pancreas. • Pancreatic enzymes are released in the abdomen and cause inflammation by the damage from digestion of normal body structures, especially fat in the abdomen. • Mortality ranges from 3 percent in patients with interstitial edematous pancreatitis to 17 percent in patients who develop pancreatic necrosis. • Pancreatitis is a condition associated with development of acute and sudden inflammation of the pancreas. • Pancreatic enzymes are released in the abdomen and cause inflammation by the damage from digestion of normal body structures, especially fat in the abdomen. • Mortality ranges from 3 percent in patients with interstitial edematous pancreatitis to 17 percent in patients who develop pancreatic necrosis. Acute Pancreatitis
  • 3.
    Revised definitions andclassification of acute pancreatitis Revised definitions and classification of acute pancreatitis • Definition of diagnosis of acute pancreatitis • The diagnosis of acute pancreatitis requires two of the following three features: • (1) abdominal pain consistent with acute pancreatitis (acute onset of a persistent, severe, epigastric pain often radiating to the back) • (2) serum lipase activity (or amylase activity) at least three times greater than the upper limit of normal. • (3) characteristic findings of acute pancreatitis on CECT and less commonly MRI) or USG abdomen. • Definition of diagnosis of acute pancreatitis • The diagnosis of acute pancreatitis requires two of the following three features: • (1) abdominal pain consistent with acute pancreatitis (acute onset of a persistent, severe, epigastric pain often radiating to the back) • (2) serum lipase activity (or amylase activity) at least three times greater than the upper limit of normal. • (3) characteristic findings of acute pancreatitis on CECT and less commonly MRI) or USG abdomen. Acute Pancreatitis
  • 4.
    Definition of onsetof acute pancreatitisDefinition of onset of acute pancreatitis • The onset of AP is defined as the time of onset of abdominal pain (not the time of admission to the hospital). • The time interval between onset of abdominal pain and first admission to the hospital should be noted. • When patients with severe disease are transferred to a tertiary hospital, the intervals between onset of symptoms, first admission and transfer should be noted. • Data recorded from a tertiary care hospital should be stratified to allow separate consideration of the outcomes of patients who were admitted directly and those admitted by transfer from another hospital. • The onset of AP is defined as the time of onset of abdominal pain (not the time of admission to the hospital). • The time interval between onset of abdominal pain and first admission to the hospital should be noted. • When patients with severe disease are transferred to a tertiary hospital, the intervals between onset of symptoms, first admission and transfer should be noted. • Data recorded from a tertiary care hospital should be stratified to allow separate consideration of the outcomes of patients who were admitted directly and those admitted by transfer from another hospital. Acute Pancreatitis
  • 5.
    Why we areworriedWhy we are worried • Acute pancreatitis (AP) is one of the most common disease of the gastrointestinal tract, leading to tremendous emotional, physical, and financial human burden. • Recent studies show the incidence of AP varies between 4.9 and 73.4 cases per 100,000 worldwide • Mortality – 2-3% overall mortality from acute pancreatitis • Tertiary centers report rates of 15- 30% – Interstitial pancreatitis (1%) – Necrotizing pancreatitis/organ failure (30%) • Physician office visits – 911,000 per year Hospitalizations – 230,000 in 2002 • Deaths – 2500 per year • Acute pancreatitis (AP) is one of the most common disease of the gastrointestinal tract, leading to tremendous emotional, physical, and financial human burden. • Recent studies show the incidence of AP varies between 4.9 and 73.4 cases per 100,000 worldwide • Mortality – 2-3% overall mortality from acute pancreatitis • Tertiary centers report rates of 15- 30% – Interstitial pancreatitis (1%) – Necrotizing pancreatitis/organ failure (30%) • Physician office visits – 911,000 per year Hospitalizations – 230,000 in 2002 • Deaths – 2500 per year Acute Pancreatitis
  • 6.
    Definition of typesof acute pancreatitisDefinition of types of acute pancreatitis Acute Pancreatitis According to the Atlanta classification, Acute Pancreatitis can be divided into two broad categories According to the Atlanta classification, Acute Pancreatitis can be divided into two broad categories 1. Interstitial edematous pancreatitis. 2. Necrotizing pancreatitis 1. Interstitial edematous pancreatitis. 2. Necrotizing pancreatitis
  • 7.
    Interstitial edematous pancreatitisInterstitialedematous pancreatitis Acute Pancreatitis The majority of patients with AP have diffuse (or occasionally localised) enlargement of the pancreas due to inflammatory oedema. (75-80% ) On CECT, the pancreatic parenchyma shows relatively homogeneous enhancement, and the peripancreatic fat usually shows some inflammatory changes of haziness or mild stranding. There may also be some peripancreatic fluid . The clinical symptoms of interstitial oedematous pancreatitis usually resolve within the first week. The majority of patients with AP have diffuse (or occasionally localised) enlargement of the pancreas due to inflammatory oedema. (75-80% ) On CECT, the pancreatic parenchyma shows relatively homogeneous enhancement, and the peripancreatic fat usually shows some inflammatory changes of haziness or mild stranding. There may also be some peripancreatic fluid . The clinical symptoms of interstitial oedematous pancreatitis usually resolve within the first week.
  • 8.
    A 63-year-old manwith acute interstitial oedematous pancreatitis. Banks P A et al. Gut 2013;62:102-111 Copyright © BMJ Publishing Group Ltd & British Society of Gastroenterology. All rights reserved.
  • 9.
    Acute Pancreatitis Necrotising pancreatitisNecrotisingpancreatitis About 5–10% of patients develop necrosis of the pancreatic parenchyma, the peripancreatic tissue or both. Necrotising pancreatitis most commonly manifests as necrosis involving both the pancreas and peripancreatic tissues and less commonly as necrosis of only the peripancreatic tissue, and rarely of the pancreatic parenchyma alone. About 5–10% of patients develop necrosis of the pancreatic parenchyma, the peripancreatic tissue or both. Necrotising pancreatitis most commonly manifests as necrosis involving both the pancreas and peripancreatic tissues and less commonly as necrosis of only the peripancreatic tissue, and rarely of the pancreatic parenchyma alone.
  • 10.
    (A) Acute necroticcollections (ANC) in a 44-year-old man with acute necrotising pancreatitis involving only the peripancreatic tissues. Banks P A et al. Gut 2013;62:102-111 Copyright © BMJ Publishing Group Ltd & British Society of Gastroenterology. All rights reserved.
  • 11.
    Infected pancreatic necrosisInfectedpancreatic necrosis • Necrosis is variable, may remain solid or liquefy, remain sterile or become infected, persist, or disappear over time. • occurs > the first week. • Infected pancreatic necrosis is important because of the need for antibiotic treatment and likely active intervention. • The presence of infection - extraluminal gas in the pancreatic and/or peripancreatic tissues on CECT or PFNA is positive for bacteria and/or fungi on Gram stain and culture. • There may be suppuration (pus) associated with the infected pancreatic necrosis, leading to liquefaction – abscess • Necrosis is variable, may remain solid or liquefy, remain sterile or become infected, persist, or disappear over time. • occurs > the first week. • Infected pancreatic necrosis is important because of the need for antibiotic treatment and likely active intervention. • The presence of infection - extraluminal gas in the pancreatic and/or peripancreatic tissues on CECT or PFNA is positive for bacteria and/or fungi on Gram stain and culture. • There may be suppuration (pus) associated with the infected pancreatic necrosis, leading to liquefaction – abscess Acute Pancreatitis
  • 12.
    A 47-year-old manwith acute necrotising pancreatitis complicated by infected pancreatic necrosis. Banks P A et al. Gut 2013;62:102-111 Copyright © BMJ Publishing Group Ltd & British Society of Gastroenterology. All rights reserved.
  • 13.
    FLUID COLLECTIONS INAP REVISED ATLANTA CLASSIFICATION & ITS INTERVENTION FLUID COLLECTIONS IN AP REVISED ATLANTA CLASSIFICATION & ITS INTERVENTION Acute Pancreatitis
  • 14.
  • 15.
    Phases of acutepancreatitisPhases of acute pancreatitis Systemic disturbances result from the host response to local pancreatic injury. Is usually over by the end of the 1st wk or extend to 2nd wk. Cytokine cascades are activated by the pancreatic inflammation which manifest clinically as the SIRS. An increased risk of developing OF. ` The determinant of the severity in this phase is primarily the presence and duration of OF. Transient OF -if the organ failure resolves within 48 h  Persistent OF - if organ failure persists for >48 h.  Multiple organ failure (MOF) – If OF affects > 1organ system. Systemic disturbances result from the host response to local pancreatic injury. Is usually over by the end of the 1st wk or extend to 2nd wk. Cytokine cascades are activated by the pancreatic inflammation which manifest clinically as the SIRS. An increased risk of developing OF. ` The determinant of the severity in this phase is primarily the presence and duration of OF. Transient OF -if the organ failure resolves within 48 h  Persistent OF - if organ failure persists for >48 h.  Multiple organ failure (MOF) – If OF affects > 1organ system. Acute Pancreatitis EARLY PHASEEARLY PHASE
  • 16.
    Signs of systemicinflammatory response syndrome (SIRS) Signs of systemic inflammatory response syndrome (SIRS) • SIRS—defined by presence of two or more criteria: • HR >90 beats/min • Core temperature <36°C or >38°C • WBC count <4000 or >12000/mm3 • Respiration >20/min or PCO2 <32 mm Hg    • SIRS—defined by presence of two or more criteria: • HR >90 beats/min • Core temperature <36°C or >38°C • WBC count <4000 or >12000/mm3 • Respiration >20/min or PCO2 <32 mm Hg    Acute Pancreatitis
  • 17.
    Late phaseLate phase •The late phase is characterised by -Persistence of systemic signs of inflammation or by the presence of local complications, - - occurs only in patients with moderately severe or severe acute pancreatitis. • - Local complications evolve during the late phase. • -It is important to distinguish the different morphologic characteristics of the local complications by radiologic imaging. • - Persistent OF, however, remains the main determinant of severity, so characterisation of AP in the late phase requires both clinical and morphologic criteria. • The SIRS of the early phase may be followed by a Compensatory anti-inflammatory response syndrome (CARS) that may contribute to an increased risk of infection. • The late phase is characterised by -Persistence of systemic signs of inflammation or by the presence of local complications, - - occurs only in patients with moderately severe or severe acute pancreatitis. • - Local complications evolve during the late phase. • -It is important to distinguish the different morphologic characteristics of the local complications by radiologic imaging. • - Persistent OF, however, remains the main determinant of severity, so characterisation of AP in the late phase requires both clinical and morphologic criteria. • The SIRS of the early phase may be followed by a Compensatory anti-inflammatory response syndrome (CARS) that may contribute to an increased risk of infection. Acute Pancreatitis
  • 18.
    CLASSIFICATION ACCORDING TOSEVERITYCLASSIFICATION ACCORDING TO SEVERITY Acute Pancreatitis 1. Mild acute pancreatitis, which is characterized by the absence of organ failure and local or systemic complications 2. Moderately severe acute pancreatitis, which is characterized by no organ failure or transient organ failure (<48 hours) with systemic or local complications 3. Severe acute pancreatitis, which is characterized by persistent organ failure (>48 hours) that may involve single or multiple organs 1. Mild acute pancreatitis, which is characterized by the absence of organ failure and local or systemic complications 2. Moderately severe acute pancreatitis, which is characterized by no organ failure or transient organ failure (<48 hours) with systemic or local complications 3. Severe acute pancreatitis, which is characterized by persistent organ failure (>48 hours) that may involve single or multiple organs
  • 19.
    Revised Atlanta classificationRevisedAtlanta classification • According to the revised Atlanta classification of AP is clinically defined by at least the first two of three features: • (a) abdominal pain (epigastric often radiating to the back), • (b) serum amylase and lipase levels three or more times normal (imaging is to be used if the elevated values are ,3 times normal) • (c) characteristic findings on CT, magnetic resonance (MR) imaging, or transabdominal ultrasonographic (US) studies. • If AP is diagnosed on the basis of the first two criteria with no systemic sign of severe SIRS or persistent OF , CECT may not be necessary for determining patient care. • According to the revised Atlanta classification of AP is clinically defined by at least the first two of three features: • (a) abdominal pain (epigastric often radiating to the back), • (b) serum amylase and lipase levels three or more times normal (imaging is to be used if the elevated values are ,3 times normal) • (c) characteristic findings on CT, magnetic resonance (MR) imaging, or transabdominal ultrasonographic (US) studies. • If AP is diagnosed on the basis of the first two criteria with no systemic sign of severe SIRS or persistent OF , CECT may not be necessary for determining patient care. Acute Pancreatitis
  • 20.
  • 22.
    Pancreatic InjuryPancreatic Injury AbnormalPancreatic enzyme Activation inside acinar cells Abnormal Pancreatic enzyme Activation inside acinar cells Colonization of zymogen granules &lysosomes inside acinar cells Colonization of zymogen granules &lysosomes inside acinar cells Pancreatic edemaPancreatic edema Auto-digestion of normal pancreatic parenchyma Release of Pro-inflammatory Cytokines from acinar cells Release of Pro-inflammatory Cytokines from acinar cells TNF-αTNF-α IL-1,2,& 6IL-1,2,& 6 IL-10 & IL-1IL-10 & IL-1 (Anti inflammatory mediators) PathophysiologyPathophysiology
  • 23.
    These mediators propagatethe response locally & systemically > These mediators propagate the response locally & systemically > TNF ,IL, neutrophils & macrophages are released into the pancreatic parenchyma > release of more TNF ,IL, neutrophils & macrophages are released into the pancreatic parenchyma > release of more TNF ,IL, reactive o2 metabolites, PG, platelet activating factors & Leucotrienes. TNF ,IL, reactive o2 metabolites, PG, platelet activating factors & Leucotrienes. Aggravation of AP occurs by local inflammatory response> Aggravation of AP occurs by local inflammatory response> Increased permeability & damage of the pan.micro- circulation Increased permeability & damage of the pan.micro- circulation Severe cases- inflamm. Response > localised haemorrhage & pancreatic necrosis. Severe cases- inflamm. Response > localised haemorrhage & pancreatic necrosis. Inflammatory cascade is self limiting – 80- 90% casesInflammatory cascade is self limiting – 80- 90% cases 10 % cases- vicious cycle of rec. panc. Injury & localised SIR 10 % cases- vicious cycle of rec. panc. Injury & localised SIR Rest 10%- massive release of inflam. Mediators into systemic circulation > SIRS and OF. Rest 10%- massive release of inflam. Mediators into systemic circulation > SIRS and OF.
  • 24.
    Clinical manifestations:Clinical manifestations: •ABDOMINAL PAIN- ( cardinal symptom) characteristically dull,boring & steady; sudden in onset ,gradually becomes severe > constant ache. • Location- epigastric & or peri-umbilical that radiates to the back & is constant • NAUSEA & VOMITING – 90%- does not relieve pain. sometimes anorexia /diarrhea • Fever (76%),Tachycardia (65%), Hypotension ( 73%) • Abdominal tenderness, muscle guarding (68%),distension (65%),diminished or absent bowel sounds. • Jaundice (28%),Dyspnea (10%),tachypnea, basal rales left lung. • Severe cases- haemodynamic instability (10%),haematemesis or malena (5%); pale, diaphoretic, & listless appearance. • Occasionally, muscular spasm of extremities secondary to hypocalcemia. • ABDOMINAL PAIN- ( cardinal symptom) characteristically dull,boring & steady; sudden in onset ,gradually becomes severe > constant ache. • Location- epigastric & or peri-umbilical that radiates to the back & is constant • NAUSEA & VOMITING – 90%- does not relieve pain. sometimes anorexia /diarrhea • Fever (76%),Tachycardia (65%), Hypotension ( 73%) • Abdominal tenderness, muscle guarding (68%),distension (65%),diminished or absent bowel sounds. • Jaundice (28%),Dyspnea (10%),tachypnea, basal rales left lung. • Severe cases- haemodynamic instability (10%),haematemesis or malena (5%); pale, diaphoretic, & listless appearance. • Occasionally, muscular spasm of extremities secondary to hypocalcemia. Acute Pancreatitis
  • 25.
    Clinical manifestations:Clinical manifestations: •Uncommon findings associated with severe necrotizing pancreatitis: • 1.Cullens sign- bluish discolouration around the umbilicus resulting from haemoperitoneum. • 2.Grey-Turner sign- reddish brown discoloration along the flanks resulting from retroperitoneal blood dissecting along tissue planes, more commonly patients have a ruddy erythema in the flanks secondary to extravasated pancreatic exudate. • Erythematous skin nodules, usually < 1 cm,typically located on extensor skin surfaces; polyarthritis. • Pleural effusions (fluid in the bases of the pleural cavity) • Grünwald sign (appearance of ecchymosis, large bruise, around the umbilicus due to local toxic lesion of the vessels) • Körte's sign (pain or resistance in the zone where the head of pancreas is located (in epigastrium, 6–7 cm above the umbilicus)) Kamenchik's sign (pain with pressure under the xiphoid process) Mayo-Robson's sign (pain while pressing at the top of the angle lateral to the Erector spinae muscles and below the left 12th rib (left costovertebral angle (CVA)) • Uncommon findings associated with severe necrotizing pancreatitis: • 1.Cullens sign- bluish discolouration around the umbilicus resulting from haemoperitoneum. • 2.Grey-Turner sign- reddish brown discoloration along the flanks resulting from retroperitoneal blood dissecting along tissue planes, more commonly patients have a ruddy erythema in the flanks secondary to extravasated pancreatic exudate. • Erythematous skin nodules, usually < 1 cm,typically located on extensor skin surfaces; polyarthritis. • Pleural effusions (fluid in the bases of the pleural cavity) • Grünwald sign (appearance of ecchymosis, large bruise, around the umbilicus due to local toxic lesion of the vessels) • Körte's sign (pain or resistance in the zone where the head of pancreas is located (in epigastrium, 6–7 cm above the umbilicus)) Kamenchik's sign (pain with pressure under the xiphoid process) Mayo-Robson's sign (pain while pressing at the top of the angle lateral to the Erector spinae muscles and below the left 12th rib (left costovertebral angle (CVA))
  • 26.
    P/E • MILD TOMODERATE EPIGASTRIC TENDERNESS • ABDOMINAL DISTENSION • GENERAL REBOUND & ABDOMINAL RIGIDITY • CHEST RT. SIDE – DULLNESS ON PERCUSSION > RT. PLEURAL EFFUSION. • DECREASED BREATH SOUNDS ON RT SIDE • MILD TO MODERATE EPIGASTRIC TENDERNESS • ABDOMINAL DISTENSION • GENERAL REBOUND & ABDOMINAL RIGIDITY • CHEST RT. SIDE – DULLNESS ON PERCUSSION > RT. PLEURAL EFFUSION. • DECREASED BREATH SOUNDS ON RT SIDE Acute Pancreatitis
  • 27.
  • 28.
  • 29.
    CLINICAL PREDICTORSCLINICAL PREDICTORS •Clinical judgment • Older age • Alcoholic pancreatitis • Short time interval to symptom onset • Obesity • Organ failure • LABORATORY AND RADIOLOGIC PREDICTORS • Hemoconcentration • C-reactive protein • Blood urea nitrogen • Serum creatinine • Other serum markers • Chest radiographs • CT scan • MRI and MRCP • Clinical judgment • Older age • Alcoholic pancreatitis • Short time interval to symptom onset • Obesity • Organ failure • LABORATORY AND RADIOLOGIC PREDICTORS • Hemoconcentration • C-reactive protein • Blood urea nitrogen • Serum creatinine • Other serum markers • Chest radiographs • CT scan • MRI and MRCP Acute Pancreatitis SCORING SYSTEMS Ranson's criteria The APACHE II score SIRS score BISAP score Harmless acute pancreatitis score Organ failure-based scores CT severity index Balthazar score SCORING SYSTEMS Ranson's criteria The APACHE II score SIRS score BISAP score Harmless acute pancreatitis score Organ failure-based scores CT severity index Balthazar score
  • 30.
    INVESTIGATIONS - BIOCHEMICALINVESTIGATIONS- BIOCHEMICAL • CBC and hematocrit • Amylase and lipase • LFT , GGT • Serum electrolytes, BUN, creatinine, glucose, Lipid Profile. • C-reactive protein • Other tests • -ABG • -Lactic dehydrogenase (LDH), and HCO3 levels • - IgG4 levels • -Trypsin and its precursor trypsinogen-2 in both the urine and the peritoneal fluid • CBC and hematocrit • Amylase and lipase • LFT , GGT • Serum electrolytes, BUN, creatinine, glucose, Lipid Profile. • C-reactive protein • Other tests • -ABG • -Lactic dehydrogenase (LDH), and HCO3 levels • - IgG4 levels • -Trypsin and its precursor trypsinogen-2 in both the urine and the peritoneal fluid Acute Pancreatitis
  • 31.
    • Amylase orlipase levels at least > 3 times above -diagnostic of AP. • Serum amylase determinations are not specific for AP • Amylase P level is more specific to pancreatic pathology • False + in- SAIO, mesenteric ischemia, tubo-ovarian disease, renal insufficiency, or macroamylasemia. • The serum half-life of amylase is short, and elevations generally return to reference ranges within a few days. • Lipase has a slightly longer half-life . • Elevated lipase levels are more specific. Lipase levels remain high for 12 days • ALP, SB, AST, and ALT levels to search for evidence of gallstone pancreatitis. • An ALT level higher than 150 U/L suggests gallstone pancreatitis and a more fulminant disease course. • Amylase or lipase levels at least > 3 times above -diagnostic of AP. • Serum amylase determinations are not specific for AP • Amylase P level is more specific to pancreatic pathology • False + in- SAIO, mesenteric ischemia, tubo-ovarian disease, renal insufficiency, or macroamylasemia. • The serum half-life of amylase is short, and elevations generally return to reference ranges within a few days. • Lipase has a slightly longer half-life . • Elevated lipase levels are more specific. Lipase levels remain high for 12 days • ALP, SB, AST, and ALT levels to search for evidence of gallstone pancreatitis. • An ALT level higher than 150 U/L suggests gallstone pancreatitis and a more fulminant disease course. Acute Pancreatitis
  • 32.
    • CBC (leukocytosis)> 12,000/µL with > segmented polymorphonuclear (PMN) cells. • On admission hematocrit value greater than 47% - has been proposed as a sensitive measure of more severe disease • C-reactive protein (CRP) value can be obtained 24-48 hours after presentation to provide some indication of prognosis. • Higher levels have been shown to correlate with a propensity toward OF . • A CRP value in double figures (ie, ≥ 10 mg/dL) strongly indicates severe pancreatitis. • CRP is an acute-phase reactant that is not specific for pancreatitis. • CBC (leukocytosis) > 12,000/µL with > segmented polymorphonuclear (PMN) cells. • On admission hematocrit value greater than 47% - has been proposed as a sensitive measure of more severe disease • C-reactive protein (CRP) value can be obtained 24-48 hours after presentation to provide some indication of prognosis. • Higher levels have been shown to correlate with a propensity toward OF . • A CRP value in double figures (ie, ≥ 10 mg/dL) strongly indicates severe pancreatitis. • CRP is an acute-phase reactant that is not specific for pancreatitis. Acute Pancreatitis
  • 33.
    • Evaluate ABGif a patient is dyspneic. • Whether tachypnea is due to acute respiratory distress syndrome (ARDS) or diaphragmatic irritation must be determined. • LDH, BUN, and HCO3 levels should be measured both at admission and at 48 hours in order to help determine the Ranson criteria for survival. • Immunoglobulin G4 (IgG4) levels can be checked to evaluate for autoimmune pancreatitis • Trypsin and its precursor trypsinogen-2 - in both the urine and the peritoneal fluid have been evaluated as possible markers for acute pancreatitis (especially post- ERCP pancreatitis. • Evaluate ABG if a patient is dyspneic. • Whether tachypnea is due to acute respiratory distress syndrome (ARDS) or diaphragmatic irritation must be determined. • LDH, BUN, and HCO3 levels should be measured both at admission and at 48 hours in order to help determine the Ranson criteria for survival. • Immunoglobulin G4 (IgG4) levels can be checked to evaluate for autoimmune pancreatitis • Trypsin and its precursor trypsinogen-2 - in both the urine and the peritoneal fluid have been evaluated as possible markers for acute pancreatitis (especially post- ERCP pancreatitis. Acute Pancreatitis
  • 34.
    Abdominal RadiographyAbdominal Radiography •Abdominal radiographs have a limited role in acute pancreatitis. • KUB radiography in upright position is primarily performed to detect free air in the abdomen, indicating a perforated viscus, as would be the case in a penetrating, perforated duodenal ulcer. • In some cases, the inflammatory process may damage peripancreatic structures, resulting in a colon cut-off sign, a sentinel loop, or an ileus. • The presence of calcifications within or around the pancreas may indicate chronic pancreatitis. • Abdominal radiographs have a limited role in acute pancreatitis. • KUB radiography in upright position is primarily performed to detect free air in the abdomen, indicating a perforated viscus, as would be the case in a penetrating, perforated duodenal ulcer. • In some cases, the inflammatory process may damage peripancreatic structures, resulting in a colon cut-off sign, a sentinel loop, or an ileus. • The presence of calcifications within or around the pancreas may indicate chronic pancreatitis. Acute Pancreatitis
  • 35.
    UltrasonographyUltrasonography • USG (screening )of the abdomen is the most useful initial test in determining the etiology of pancreatitis and is the technique of choice for detecting gallstones. • Sensitivity is reduced to 70-80%. ( Pancreatitis ) • In addition, the ability to identify choledocholithiasis is limited. • Not specific if overlying gas shadows secondary to bowel distention are present. • Cannot measure the severity of disease. • USG ( screening )of the abdomen is the most useful initial test in determining the etiology of pancreatitis and is the technique of choice for detecting gallstones. • Sensitivity is reduced to 70-80%. ( Pancreatitis ) • In addition, the ability to identify choledocholithiasis is limited. • Not specific if overlying gas shadows secondary to bowel distention are present. • Cannot measure the severity of disease.
  • 36.
    Endoscopic ultrasonography- EUSEndoscopicultrasonography- EUS • • -Is an endoscopic procedure that allows a high-frequency ultrasound transducer to be inserted into the gastrointestinal (GI) tract to visualize the pancreas and the biliary tract. • Its principal role is in detection of microlithiasis and periampullary lesions. • A secretin-stimulated EUS study – • -may reveal resistance to ductal outflow at the level of the papilla, for evaluation of recurrent idiopathic pancreatitis. • • -Is an endoscopic procedure that allows a high-frequency ultrasound transducer to be inserted into the gastrointestinal (GI) tract to visualize the pancreas and the biliary tract. • Its principal role is in detection of microlithiasis and periampullary lesions. • A secretin-stimulated EUS study – • -may reveal resistance to ductal outflow at the level of the papilla, for evaluation of recurrent idiopathic pancreatitis. Acute Pancreatitis
  • 37.
    Computed TomographyComputed Tomography •Abdominal CT is not indicated for patients with mild pancreatitis. • Always indicated in severe AP and is the imaging study of choice for assessing complications. • Scans done after > 72 hours after symptom onset unless the diagnosis is uncertain, because inflammatory changes are often not radiographically present until this time. • Abdominal CT scans also provide prognostic information based on the following grading scale developed by Balthazar & colleagues. • Grade A - Normal pancreas • Grade B - Focal or diffuse gland enlargement • Grade C - Intrinsic gland abnormality recognized by haziness on the scan • Grade D - Single ill-defined collection or phlegmon • Grade E - Two or more ill-defined collections or the presence of gas in or nearby the pancreas • Abdominal CT is not indicated for patients with mild pancreatitis. • Always indicated in severe AP and is the imaging study of choice for assessing complications. • Scans done after > 72 hours after symptom onset unless the diagnosis is uncertain, because inflammatory changes are often not radiographically present until this time. • Abdominal CT scans also provide prognostic information based on the following grading scale developed by Balthazar & colleagues. • Grade A - Normal pancreas • Grade B - Focal or diffuse gland enlargement • Grade C - Intrinsic gland abnormality recognized by haziness on the scan • Grade D - Single ill-defined collection or phlegmon • Grade E - Two or more ill-defined collections or the presence of gas in or nearby the pancreas Acute Pancreatitis
  • 38.
  • 39.
    Gallsone AP CTGallsoneAP CT Acute Pancreatitis
  • 40.
    Peri pancreatic fluidPeripancreatic fluid Acute Pancreatitis
  • 41.
  • 42.
    Necrosis - progressionNecrosis- progression Acute Pancreatitis
  • 43.
    • The chancesof infection and death are virtually nil in grades A and B but steadily increase in grades C through E. • Patients with grade E pancreatitis have a 50% chance of developing an infection and a 15% chance of dying. • The chances of infection and death are virtually nil in grades A and B but steadily increase in grades C through E. • Patients with grade E pancreatitis have a 50% chance of developing an infection and a 15% chance of dying. Acute Pancreatitis
  • 44.
    Magnetic Resonance Cholangiopancreatography MRCP MagneticResonance Cholangiopancreatography MRCP • ed. MRCP has an emerging role in the diagnosis of suspected biliary and pancreatic duct obstruction in the setting of pancreatitis. • MRCP is not as sensitive as ERCP , it is safer, noninvasive, and fast, and it provides images useful in guiding clinical care decisions. • MRCP should be used if choledocholithiasis is suspected but there is concern that pancreatitis might worsen is • If ERCP is performed. • ed. MRCP has an emerging role in the diagnosis of suspected biliary and pancreatic duct obstruction in the setting of pancreatitis. • MRCP is not as sensitive as ERCP , it is safer, noninvasive, and fast, and it provides images useful in guiding clinical care decisions. • MRCP should be used if choledocholithiasis is suspected but there is concern that pancreatitis might worsen is • If ERCP is performed. Acute Pancreatitis
  • 45.
    ERCPERCP • ERCP isan endoscopic procedure used to evaluate the biliary and pancreatic ductal system and is indicated in a subset of patients with acute pancreatitis. • Extreme caution in patients with acute pancreatitis and should never be used as a first- line diagnostic tool in this disease. • It should be performed only in the following situations: • INDICATIONS : • The patient has biliary pancreatitis and is experiencing worsening jaundice and clinical deterioration despite maximal supportive therapy. • When combined with sphincterotomy and stone extraction, ERCP may reduce the length of hospital stay, the complication rate, and, possibly, mortality. • ERCP is an endoscopic procedure used to evaluate the biliary and pancreatic ductal system and is indicated in a subset of patients with acute pancreatitis. • Extreme caution in patients with acute pancreatitis and should never be used as a first- line diagnostic tool in this disease. • It should be performed only in the following situations: • INDICATIONS : • The patient has biliary pancreatitis and is experiencing worsening jaundice and clinical deterioration despite maximal supportive therapy. • When combined with sphincterotomy and stone extraction, ERCP may reduce the length of hospital stay, the complication rate, and, possibly, mortality. Acute Pancreatitis
  • 46.
    CT Image-Guided Aspirationand DrainageCT Image-Guided Aspiration and Drainage • CT-guided needle aspiration is used to differentiate infected necrosis from sterile necrosis in patients with severe necrotizing pancreatitis. • The needle is placed into an area of low attenuation in or around the pancreas of a patient with fever and tachycardia or other signs of a SIRS , generally following the first week of severe pancreatitis. • The procedure may be repeated weekly if clinically indicated. • The specimen should be delivered to the laboratory within an hour and interpreted promptly. • • The specimen should always be evaluated for Gram stain, and C/S study. • If the Gram stain shows bacteria or fungi, surgical debridement of the infected necrosis is generally indicated. • An exception would be if the patient could not tolerate surgery; in this case, CT- guided catheter drainage may be more effective. • CT-guided needle aspiration is used to differentiate infected necrosis from sterile necrosis in patients with severe necrotizing pancreatitis. • The needle is placed into an area of low attenuation in or around the pancreas of a patient with fever and tachycardia or other signs of a SIRS , generally following the first week of severe pancreatitis. • The procedure may be repeated weekly if clinically indicated. • The specimen should be delivered to the laboratory within an hour and interpreted promptly. • • The specimen should always be evaluated for Gram stain, and C/S study. • If the Gram stain shows bacteria or fungi, surgical debridement of the infected necrosis is generally indicated. • An exception would be if the patient could not tolerate surgery; in this case, CT- guided catheter drainage may be more effective. Acute Pancreatitis
  • 47.
    Histological FindingsHistological Findings •The infinite spectrum of pancreatitis severity is usually subdivided into mild and severe categories as follows: • Mild pancreatitis - The gland exhibits interstitial edema and an inflammatory infiltrate without hemorrhage or necrosis, usually with minimal or no organ dysfunction • Severe pancreatitis - Extensive inflammation and necrosis of the pancreatic parenchyma are present, often associated with severe gland dysfunction and multi organ failure. • The infinite spectrum of pancreatitis severity is usually subdivided into mild and severe categories as follows: • Mild pancreatitis - The gland exhibits interstitial edema and an inflammatory infiltrate without hemorrhage or necrosis, usually with minimal or no organ dysfunction • Severe pancreatitis - Extensive inflammation and necrosis of the pancreatic parenchyma are present, often associated with severe gland dysfunction and multi organ failure. Acute Pancreatitis
  • 48.
    Radiation of painRadiationof pain Acute Pancreatitis
  • 49.
    ASSESSMENT OF SEVERITY–STAGING OF A.PASSESSMENT OF SEVERITY –STAGING OF A.P • Ranson Scoring • Acute Physiology and Chronic Health Evaluation (APACHE) II, • Glasgow • BISAP Scoring • Balthazar CTSI scoring systems. • Each has advantages and disadvantages, and none is currently recognized as a criterion standard. Evidence of ORGAN FAILURE: Systolic B.P below 90 mm Hg, Arterial partial pressure of oxygen [Pa O2] 60 mm Hg or lower, Serum Creatinine level -2 mg/dL or lower, GI bleeding amounting to 500 mL or more in 24 hrs • Local complications (eg, necrosis, abscess, pseudocyst) • Ranson score of 3 or higher or • APACHE score of 8 or higher • • . • Ranson Scoring • Acute Physiology and Chronic Health Evaluation (APACHE) II, • Glasgow • BISAP Scoring • Balthazar CTSI scoring systems. • Each has advantages and disadvantages, and none is currently recognized as a criterion standard. Evidence of ORGAN FAILURE: Systolic B.P below 90 mm Hg, Arterial partial pressure of oxygen [Pa O2] 60 mm Hg or lower, Serum Creatinine level -2 mg/dL or lower, GI bleeding amounting to 500 mL or more in 24 hrs • Local complications (eg, necrosis, abscess, pseudocyst) • Ranson score of 3 or higher or • APACHE score of 8 or higher • • . Acute Pancreatitis
  • 50.
    Ranson ScoreRanson Score •Ranson criteria is a clinical prediction rule for predicting the severity of acute pancreatitis. It was introduced in 1974. • At admission • age in years > 55 years • TLC > 16000 cells/mm3 • BG > 10 mmol/L (> 200 mg/dL) • Serum AST > 250 IU/L • Serum LDH > 350 IU/L • At 48 hours • Calcium (serum calcium < 2.0 mmol/L (< 8.0 mg/dL) • Hematocrit fall >10 mmol/l • Oxygen (hypoxemia PO2 < 60 mmHg) • BUN increased by 1.8 or more mmol/L (5 or more mg/dL) after IV fluid hydration • Base deficit (negative base excess) > 4 mEq/L • Sequestration of fluids > 6 L • Ranson criteria is a clinical prediction rule for predicting the severity of acute pancreatitis. It was introduced in 1974. • At admission • age in years > 55 years • TLC > 16000 cells/mm3 • BG > 10 mmol/L (> 200 mg/dL) • Serum AST > 250 IU/L • Serum LDH > 350 IU/L • At 48 hours • Calcium (serum calcium < 2.0 mmol/L (< 8.0 mg/dL) • Hematocrit fall >10 mmol/l • Oxygen (hypoxemia PO2 < 60 mmHg) • BUN increased by 1.8 or more mmol/L (5 or more mg/dL) after IV fluid hydration • Base deficit (negative base excess) > 4 mEq/L • Sequestration of fluids > 6 L Acute Pancreatitis
  • 51.
    Ranson ScoreRanson Score •Ranson's score of ≥ 8 –OF / Substantial pancreatic necrosis (at least 30% glandular necrosis according to CECT) • Interpretation • If the score ≥ 3, severe pancreatitis is likely. If the score < 3, severe pancreatitis is unlikely • Or • Score 0 to 2 : 2% mortality/ Score 3 to 4 : 15% mortality /Score 5 to 6 : 40% mortality/ Score 7 to 8 : 100% mortality • Ranson's score of ≥ 8 –OF / Substantial pancreatic necrosis (at least 30% glandular necrosis according to CECT) • Interpretation • If the score ≥ 3, severe pancreatitis is likely. If the score < 3, severe pancreatitis is unlikely • Or • Score 0 to 2 : 2% mortality/ Score 3 to 4 : 15% mortality /Score 5 to 6 : 40% mortality/ Score 7 to 8 : 100% mortality Acute Pancreatitis
  • 52.
    APACHE II "Acute PhysiologyAnd Chronic Health Evaluation" APACHE II "Acute Physiology And Chronic Health Evaluation" APACHE-II score based patient’s age, previous health status, and 12routine physiologic measurements, general measure of the severity of disease 8 or higher defines severe pancreatitis. Used on admission and repeated at any time. Positive predictive value of 43% and a negative predictive value of 89%. It is an online calculator. (APACHE II) score > 8 points predicts 11% to 18% mortality Hemorrhagic peritoneal fluid •Obesity Indicators of organ failure •Hypotension (SBP <90 mmHG) or tachycardia > 130 beat/min PO2 <60 mmHg •Oliguria (<50 mL/h) or increasing BUN and creatinine Serum calcium < 1.90 mmol/L (<8.0 mg/dL) or serum albumin <33 g/L (<3.2.g/dL)> APACHE-II score based patient’s age, previous health status, and 12routine physiologic measurements, general measure of the severity of disease 8 or higher defines severe pancreatitis. Used on admission and repeated at any time. Positive predictive value of 43% and a negative predictive value of 89%. It is an online calculator. (APACHE II) score > 8 points predicts 11% to 18% mortality Hemorrhagic peritoneal fluid •Obesity Indicators of organ failure •Hypotension (SBP <90 mmHG) or tachycardia > 130 beat/min PO2 <60 mmHg •Oliguria (<50 mL/h) or increasing BUN and creatinine Serum calcium < 1.90 mmol/L (<8.0 mg/dL) or serum albumin <33 g/L (<3.2.g/dL)> Acute Pancreatitis
  • 53.
    Glasgow criteriaGlasgow criteria •The Glasgow criteria is valid for both gallstone and alcohol induced pancreatitis, whereas the Ranson score is only for alcohol induced pancreatitis. If a patient scores 3 or more it indicates severe pancreatitis and the patient should be transferred to ITU. • It is scored through the mnemonic, PANCREAS: • P - PaO2 <8kPa • A - Age >55 years old • N - Neutrophilia - WCC >15x10(9)/L • C - Calcium <2 mmol/L • R - Renal function, Urea >16 mmol/L • E - Enzymes: LDH >600iu/L; AST >200iu/L • A - Albumin <3.2g/L (serum) • S - Sugar: blood glucose >10 mmol/L • The Glasgow criteria is valid for both gallstone and alcohol induced pancreatitis, whereas the Ranson score is only for alcohol induced pancreatitis. If a patient scores 3 or more it indicates severe pancreatitis and the patient should be transferred to ITU. • It is scored through the mnemonic, PANCREAS: • P - PaO2 <8kPa • A - Age >55 years old • N - Neutrophilia - WCC >15x10(9)/L • C - Calcium <2 mmol/L • R - Renal function, Urea >16 mmol/L • E - Enzymes: LDH >600iu/L; AST >200iu/L • A - Albumin <3.2g/L (serum) • S - Sugar: blood glucose >10 mmol/L Acute Pancreatitis
  • 54.
    BISAP score Bedside indexof severity in AP BISAP score Bedside index of severity in AP • 1.BUN > 25MG/dL • 2. Impaired mental status ( GCS score < 15) • 3.SIRS score _>2 • 4.Age > 60 yrs. • 5.Pleural effusion • 1.BUN > 25MG/dL • 2. Impaired mental status ( GCS score < 15) • 3.SIRS score _>2 • 4.Age > 60 yrs. • 5.Pleural effusion Acute Pancreatitis
  • 55.
    Balthazar criteriaBalthazar criteria •Developed in the early 1990s by Emil J. Balthazar et al. the Computed Tomography Severity Index (CTSI) is a grading system used to determine the severity of acute pancreatitis. The numerical CTSI has a maximum of ten points, and is the sum of the Balthazar grade points and pancreatic necrosis grade points: • Balthazar Grade Appearance on CT CT Grade Points • Grade A Normal CT 0 points • Grade B Focal or diffuse enlargement of the pancreas 1 point • Grade C Pancreatic gland abnormalities and • peripancreatic inflammation 2 points • Grade D Fluid collection in a single location 3 points • Grade E Two or more fluid collections and / or gas 4 points bubbles in or adjacent to pancreas • Developed in the early 1990s by Emil J. Balthazar et al. the Computed Tomography Severity Index (CTSI) is a grading system used to determine the severity of acute pancreatitis. The numerical CTSI has a maximum of ten points, and is the sum of the Balthazar grade points and pancreatic necrosis grade points: • Balthazar Grade Appearance on CT CT Grade Points • Grade A Normal CT 0 points • Grade B Focal or diffuse enlargement of the pancreas 1 point • Grade C Pancreatic gland abnormalities and • peripancreatic inflammation 2 points • Grade D Fluid collection in a single location 3 points • Grade E Two or more fluid collections and / or gas 4 points bubbles in or adjacent to pancreas Acute Pancreatitis
  • 56.
    Balthazar criteriaBalthazar criteria •Necrosis Score • Necrosis Percentage Points • No necrosis 0 points • 0 to 30% necrosis 2 points • 30 to 50% necrosis 4 points • Over 50% necrosis 6 points • CTSI's staging of acute pancreatitis severity has been shown by a number of studies to provide more accurate assessment than APACHE II, Ranson, and C-reactive protein (CRP) level. However, a few studies indicate that CTSI is not significantly associated with the prognosis of hospitalization in patients with pancreatic necrosis, nor is it an accurate predictor of AP severity. CTSI – 0-3 =mortality 3%, morbidity -8% • CTSI- 4-6 = mortality 6%, morbidity -35% • CTSI -7-10 = mortality 17%, morbidity- 92 % • Necrosis Score • Necrosis Percentage Points • No necrosis 0 points • 0 to 30% necrosis 2 points • 30 to 50% necrosis 4 points • Over 50% necrosis 6 points • CTSI's staging of acute pancreatitis severity has been shown by a number of studies to provide more accurate assessment than APACHE II, Ranson, and C-reactive protein (CRP) level. However, a few studies indicate that CTSI is not significantly associated with the prognosis of hospitalization in patients with pancreatic necrosis, nor is it an accurate predictor of AP severity. CTSI – 0-3 =mortality 3%, morbidity -8% • CTSI- 4-6 = mortality 6%, morbidity -35% • CTSI -7-10 = mortality 17%, morbidity- 92 % Acute Pancreatitis
  • 57.
  • 58.
    CT FindingsCT Findings AcutePancreatitis Tail Indistinct Intraperitoneal fluid PANC PANC LIVERLIVER
  • 59.
    CT Findings Severe Pancreatitis CTFindings Severe Pancreatitis Acute Pancreatitis Peripancreatic edema and inflammation Unenhancing Necrosis PANC PANC LIVERLIVER GBGB
  • 60.
  • 61.
  • 62.
  • 63.
  • 64.
  • 65.
  • 66.
  • 67.
  • 68.
  • 69.
    Imaging An early CTmay be misleading concerning the severity of the pancreatitis, since it can underestimate the presence and amount of necrosis. Early CT is only recommended when the diagnosis is uncertain, or in case of suspected early complications such as perforation or ischemia. An early CT may be misleading concerning the severity of the pancreatitis, since it can underestimate the presence and amount of necrosis. Early CT is only recommended when the diagnosis is uncertain, or in case of suspected early complications such as perforation or ischemia. golden rule
  • 70.
  • 71.
    Acute necrotizing pancreatitis. Acute necrotizing pancreatitis acutenecrotic collection walled off cystic necrosis
  • 72.
  • 73.
    acute necrotizing pan. walled offnecrosis IEP pancreatic pseudocyst after 28
  • 74.
    Differential DiagnosisDifferential Diagnosis •Mesenteric ischemia • Perforated peptic ulcer • Intestinal obstruction • Biliary colic • Inferior wall MI • Ectopic pregnancy • Mesenteric ischemia • Perforated peptic ulcer • Intestinal obstruction • Biliary colic • Inferior wall MI • Ectopic pregnancy Acute Pancreatitis
  • 75.
    D/D OF A.P AcutePancreatitis
  • 76.
    Management questionsManagement questions •When should patients admitted with AP be monitored in an ICU or step-down unit? • When do I order a CT scan? • Should patients with SAP receive prophylactic abx? • What is the optimal mode and timing of nutritional support for the patient with SAP? • Under what circumstances should patients with gallstone pancreatitis undergo interventions to clear the bile duct? • What are the indications for surgery in AP; optimal timing for intervention, and roles for less invasive approaches including percutaneous drainage and laparoscopy? • When should patients admitted with AP be monitored in an ICU or step-down unit? • When do I order a CT scan? • Should patients with SAP receive prophylactic abx? • What is the optimal mode and timing of nutritional support for the patient with SAP? • Under what circumstances should patients with gallstone pancreatitis undergo interventions to clear the bile duct? • What are the indications for surgery in AP; optimal timing for intervention, and roles for less invasive approaches including percutaneous drainage and laparoscopy? Acute Pancreatitis
  • 77.
    When Do ITransfer to the Unit ?When Do I Transfer to the Unit ? • Severe pancreatitis • Multi-organ failure – Pulmonary – Renal • Consider it if you are placing the patient on antibiotics and/or ordering a CT to evaluate non-improvement • Severe pancreatitis • Multi-organ failure – Pulmonary – Renal • Consider it if you are placing the patient on antibiotics and/or ordering a CT to evaluate non-improvement Acute Pancreatitis
  • 78.
    Severe Pancreatitis Atlanta criteria SeverePancreatitis Atlanta criteria • Organ Failure – i.e. systolic blood pressure <90 mm Hg, PaO2 <60 mm Hg, serum creatinine >2 mg/dL, >500 mL/24 h GI bleeding OR • Local Complications – Necrosis – Abscess – Pseudocyst OR • Unfavorable Early Prognostic Signs – ≥ 3 Ranson's signs OR – ≥ 8 APACHE-II points • Organ Failure – i.e. systolic blood pressure <90 mm Hg, PaO2 <60 mm Hg, serum creatinine >2 mg/dL, >500 mL/24 h GI bleeding OR • Local Complications – Necrosis – Abscess – Pseudocyst OR • Unfavorable Early Prognostic Signs – ≥ 3 Ranson's signs OR – ≥ 8 APACHE-II points Acute Pancreatitis
  • 79.
    Organ FailureOrgan Failure •Cardiovascular – Hypotension – Septic physiology • ↑ HR, CO and ↓ SVR • Respiratory – Hypoxemia – Pleural effusions • Renal – ATN – Oliguria • Cardiovascular – Hypotension – Septic physiology • ↑ HR, CO and ↓ SVR • Respiratory – Hypoxemia – Pleural effusions • Renal – ATN – Oliguria • Hematologic – DIC – Thrombocytosis • Hepatic – Encephalopathy – ↑ T bili (3 mg/dl) – ↑ AST/ALT 2X nl • GI – Stress ulcer – Acalculous cholecystitis • Hematologic – DIC – Thrombocytosis • Hepatic – Encephalopathy – ↑ T bili (3 mg/dl) – ↑ AST/ALT 2X nl • GI – Stress ulcer – Acalculous cholecystitis Acute Pancreatitis
  • 80.
    When Do IOrder A CT?When Do I Order A CT? • If the patient has….. – Signs of severe acute pancreatitis – No signs of clinical improvement after several days – Diagnostic dilemma – Infection suspected • T > 101o F • Positive blood cultures • What kind of CT? – Dynamic with rapid bolus IV contrast • What are you looking for? – Necrosis: Lack of enhancement with contrast – Fluid Collections – Alternate diagnosis • If the patient has….. – Signs of severe acute pancreatitis – No signs of clinical improvement after several days – Diagnostic dilemma – Infection suspected • T > 101o F • Positive blood cultures • What kind of CT? – Dynamic with rapid bolus IV contrast • What are you looking for? – Necrosis: Lack of enhancement with contrast – Fluid Collections – Alternate diagnosis Acute Pancreatitis
  • 81.
    CT FindingsCT Findings •Pancreas – Pancreatic enlargement – Decreased density due to edema – Intrapancreatic fluid collections – Blurring of gland margins due to inflammation • Peripancreatic – Fluid collections and stranding densities – Thickening of retroperitoneal fat • Pancreas – Pancreatic enlargement – Decreased density due to edema – Intrapancreatic fluid collections – Blurring of gland margins due to inflammation • Peripancreatic – Fluid collections and stranding densities – Thickening of retroperitoneal fat Acute Pancreatitis * It may take up to 72h for inflammatory changes to become apparent on CT ** It may take up to 72h for inflammatory changes to become apparent on CT ** It may take up to 72h for inflammatory changes to become apparent on CT ** It may take up to 72h for inflammatory changes to become apparent on CT *
  • 82.
    Acute Pancreatitis POINTSPOINTS GradeGrade ofAcute Pancreatitis A = Normal pancreas 0 B = Pancreatic enlargement 1 C = Pancreatic/peripancreatic inflammation 2 D = Single peripancreatic fluid collection 3 E = Multiple fluid collections 4 Grade E = 50% chance of developing an infection and 15% chance of deathGrade E = 50% chance of developing an infection and 15% chance of death DegreeDegree of Necrosis No necrosis 0 Necrosis of one third of pancreas 2 Necrosis of one half of pancreas 4 Necrosis of more than one half 6 CT Severity Index = Grade + Degree of necrosis POINTSPOINTS GradeGrade of Acute Pancreatitis A = Normal pancreas 0 B = Pancreatic enlargement 1 C = Pancreatic/peripancreatic inflammation 2 D = Single peripancreatic fluid collection 3 E = Multiple fluid collections 4 Grade E = 50% chance of developing an infection and 15% chance of deathGrade E = 50% chance of developing an infection and 15% chance of death DegreeDegree of Necrosis No necrosis 0 Necrosis of one third of pancreas 2 Necrosis of one half of pancreas 4 Necrosis of more than one half 6 CT Severity Index = Grade + Degree of necrosis
  • 83.
  • 84.
    Management Mild-Moderate Management Mild-Moderate • NPO withIVF (crystalloids) – Colloid (blood if Hct <25, albumin if serum alb <2) – Patients with acute pancreatitis lose a large amount of fluids to third space into the retroperitoneum and intra-abdominal area. Prompt IV hydration within the first 24 hours. Especially in the early phase of the illness, aggressive fluid resuscitation is critically important • Central venous pressure, pulmonary artery wedge pressure, and urine output (>0.5 mL/kg/h) can be followed up as markers of adequate hydration. • Generous narcotics • NGT decompression – if frequent emesis or evidence of ileus on plain films • Start clear liquids when pain/anorexia resolve • NPO with IVF (crystalloids) – Colloid (blood if Hct <25, albumin if serum alb <2) – Patients with acute pancreatitis lose a large amount of fluids to third space into the retroperitoneum and intra-abdominal area. Prompt IV hydration within the first 24 hours. Especially in the early phase of the illness, aggressive fluid resuscitation is critically important • Central venous pressure, pulmonary artery wedge pressure, and urine output (>0.5 mL/kg/h) can be followed up as markers of adequate hydration. • Generous narcotics • NGT decompression – if frequent emesis or evidence of ileus on plain films • Start clear liquids when pain/anorexia resolve Acute Pancreatitis
  • 85.
    • Nutritional support •Mild uncomplicated pancreatitis, no benefit is observed from nutritional support, only IV dextrose 5% in water (D5W) suffices; oral feedings should be initiated early. • Moderate-to-severe pancreatitis, begin nutritional support early in the course of management, as soon as stabilization of fluid and hemodynamic parameters permits; optimally, nasojejunal feedings with a low-fat formulation should be initiated. • Total parenteral nutrition (TPN) may be required when patients cannot meet their caloric needs with enteral nutrition or when adequate jejunal access cannot be maintained; the TPN solution should include fat emulsions in amounts sufficient to prevent essential fatty acid deficiency • If surgery is required a feeding jejunostomy at the time of the operation; use a low-fat formula • Begin oral feedings once abdominal pain has resolved and the patient regains appetite; the diet should be low in fat and protein • Nutritional support • Mild uncomplicated pancreatitis, no benefit is observed from nutritional support, only IV dextrose 5% in water (D5W) suffices; oral feedings should be initiated early. • Moderate-to-severe pancreatitis, begin nutritional support early in the course of management, as soon as stabilization of fluid and hemodynamic parameters permits; optimally, nasojejunal feedings with a low-fat formulation should be initiated. • Total parenteral nutrition (TPN) may be required when patients cannot meet their caloric needs with enteral nutrition or when adequate jejunal access cannot be maintained; the TPN solution should include fat emulsions in amounts sufficient to prevent essential fatty acid deficiency • If surgery is required a feeding jejunostomy at the time of the operation; use a low-fat formula • Begin oral feedings once abdominal pain has resolved and the patient regains appetite; the diet should be low in fat and protein Acute Pancreatitis
  • 86.
  • 87.
    When Do IStart Antibiotics?When Do I Start Antibiotics? • Acute pancreatitis is c/b infection ~ 10% • 30-50% of those with necrosis get infection • Prophylactic antibiotics – Controversial • No benefit in mild ALC. pancreatitis • Imipenem or meropenem in necrotizing pancreatitis • Selective gut decontamination may be beneficial • Abx do not appear to promote fungal infection • General recommendations for use: – Biliary pancreatitis with signs of cholangitis – > 30% necrosis on CT scan • Acute pancreatitis is c/b infection ~ 10% • 30-50% of those with necrosis get infection • Prophylactic antibiotics – Controversial • No benefit in mild ALC. pancreatitis • Imipenem or meropenem in necrotizing pancreatitis • Selective gut decontamination may be beneficial • Abx do not appear to promote fungal infection • General recommendations for use: – Biliary pancreatitis with signs of cholangitis – > 30% necrosis on CT scan Acute Pancreatitis
  • 88.
    Antibiotics - EBMAntibiotics- EBM Antibiotic therapy for prophylaxis against infection of pancreatic necrosis in acute pancreatitis. Cochrane Database of Systematic Reviews. 3, 2005 Antibiotic therapy for prophylaxis against infection of pancreatic necrosis in acute pancreatitis. Cochrane Database of Systematic Reviews. 3, 2005 Acute Pancreatitis Despite variations in drug agent, case mix, duration of treatment and methodological quality (especially the lack of double blinded studies), there was strong evidence that intravenous antibiotic prophylactic therapy for 10 to 14 days decreased the risk of super-infection of necrotic tissue and mortality in patients with severe acute pancreatitis with proven pancreatic necrosis at CT Despite variations in drug agent, case mix, duration of treatment and methodological quality (especially the lack of double blinded studies), there was strong evidence that intravenous antibiotic prophylactic therapy for 10 to 14 days decreased the risk of super-infection of necrotic tissue and mortality in patients with severe acute pancreatitis with proven pancreatic necrosis at CT
  • 89.
    A final wordon antibioticsA final word on antibiotics • Do not use empirically early in mild pancreatitis • Fever early in the disease process is almost universally secondary to the inflammatory response and NOT an infectious process • Do not use empirically early in mild pancreatitis • Fever early in the disease process is almost universally secondary to the inflammatory response and NOT an infectious process Acute Pancreatitis
  • 90.
    When can heeat ? Nutritional issues in AP • TPN vs. enteral feeding – Not TPN per meta-analysis but …* – NJ not NG • Early initiation of enteral nutrition in severe AP • tube feed if anticipate NPO > 1 week • may be unnecessary for mild AP – Reduce microbial translocation – Enhance gut mucosal blood flow – Promote gut mucosal surface immunity Acute Pancreatitis Reduce incidence ofReduce incidence of infected necrosisinfected necrosis Reduce incidence ofReduce incidence of infected necrosisinfected necrosis ** 6 older studies, relationship b/w glycemic control and infectious risk may confound vs. TPN6 older studies, relationship b/w glycemic control and infectious risk may confound vs. TPN
  • 91.
    NutritionNutrition • Mild pancreatitis –Calories from IVF (D5W) are sufficient – No benefit from additional nutritional support – Oral intake advancing to low fat diet once pain/anorexia resolve • Mild pancreatitis – Calories from IVF (D5W) are sufficient – No benefit from additional nutritional support – Oral intake advancing to low fat diet once pain/anorexia resolve • Moderate/Severe – Begin nutritional support as early as possible • NJ tube preferred – TPN only if : • Can’t maintain adequate jejunal access • Unable to meet caloric demands enterally • Moderate/Severe – Begin nutritional support as early as possible • NJ tube preferred – TPN only if : • Can’t maintain adequate jejunal access • Unable to meet caloric demands enterally Acute Pancreatitis
  • 92.
  • 93.
    When Do IConsult GI Person ?When Do I Consult GI Person ? • Evidence of biliary pancreatitis – Elevated LFTs + pancreatitis • No matter what the US shows • Severe pancreatitis • Recurrent unexplained pancreatitis • Rule out infected necrosis • EUS FNA sampling of fluid collections • Endoscopic treatment of necrosis/abscess • Evidence of biliary pancreatitis – Elevated LFTs + pancreatitis • No matter what the US shows • Severe pancreatitis • Recurrent unexplained pancreatitis • Rule out infected necrosis • EUS FNA sampling of fluid collections • Endoscopic treatment of necrosis/abscess Acute Pancreatitis
  • 94.
    Biliary pancreatitisBiliary pancreatitis •Q: When should I suspect it ? – A: Always • Q: How do I evaluate for it ? – A: EUS and LFTs • Q: When is ERCP indicated ? – A: 3 studies looked at emergency (within 24-72h) ERCP with EUS vs standard therapy in biliary AP • Q: When should I suspect it ? – A: Always • Q: How do I evaluate for it ? – A: EUS and LFTs • Q: When is ERCP indicated ? – A: 3 studies looked at emergency (within 24-72h) ERCP with EUS vs standard therapy in biliary AP Acute Pancreatitis
  • 95.
    Management of Pancreatic Complications-objectives • Acute fluid collections – Occur early, seen not felt – No defined wall ∴ usually resolve spontaneously – NO routine percutaneous or operative drainage • may infect otherwise sterile tissue • Infected pancreatic necrosis • Pancreatic abscess • Pseudocysts • Gallstones with CBD stones • Pancreatic duct disruption with ascites • Acute fluid collections – Occur early, seen not felt – No defined wall ∴ usually resolve spontaneously – NO routine percutaneous or operative drainage • may infect otherwise sterile tissue • Infected pancreatic necrosis • Pancreatic abscess • Pseudocysts • Gallstones with CBD stones • Pancreatic duct disruption with ascites Acute Pancreatitis
  • 96.
    Management of Pancreatic Complications •Infected Pancreatic necrosis – Organisms on gram stain after aspirate – Surgical drainage – Trans-gastric drainage – Try to delay necrosectomy 2- 3wk for demarcation of necrosis • Pancreatic abscess – CT or EUS guided drainage • Walled collection of pus • Similar to management of pseudocyst • Pancreatic abscess – CT or EUS guided drainage • Walled collection of pus • Similar to management of pseudocyst Acute Pancreatitis
  • 97.
  • 98.
    PseudocystsPseudocysts • Collection ofpancreatic fluid enclosed by non- epithelialized wall of granulation tissue • Complicates 5-10% cases of AP • ~ 4 weeks after insult • 25-50% resolve spontaneously • Collection of pancreatic fluid enclosed by non- epithelialized wall of granulation tissue • Complicates 5-10% cases of AP • ~ 4 weeks after insult • 25-50% resolve spontaneously Acute Pancreatitis
  • 99.
  • 100.
    Complications of PseudocystComplicationsof Pseudocyst • Infection - 14% • Rupture - 6.8% • Hemorrhage - 6.5% • Common bile duct obstruction - 6.3% • GI obstruction - 2.6% • Infection - 14% • Rupture - 6.8% • Hemorrhage - 6.5% • Common bile duct obstruction - 6.3% • GI obstruction - 2.6% Acute Pancreatitis
  • 101.
    Pseudocyst Management • Oldthought – Pseudocysts > 5 cm that have been present > 6 weeks must be drained • Current practice – Asymptomatic pseudocysts, regardless of size, do not require treatment • Old thought – Pseudocysts > 5 cm that have been present > 6 weeks must be drained • Current practice – Asymptomatic pseudocysts, regardless of size, do not require treatment Acute Pancreatitis
  • 102.
    Pseudocyst Drainage TechniquesPseudocystDrainage Techniques • Endoscopic • Surgical • Radiologic • Endoscopic • Surgical • Radiologic Acute Pancreatitis LiverLiver PCPC PCPC StomStom
  • 103.
    Endoscopic Pseudocyst Management Endoscopic Pseudocyst Management AcutePancreatitis • Pseudocyst classification – Communicating – Non-communicating • Pseudocyst classification – Communicating – Non-communicating
  • 104.
  • 105.
  • 106.
    Laparoscopic Cyst GastrostomyLaparoscopicCyst Gastrostomy Acute Pancreatitis
  • 107.
    Pancreatic Ascites andPancreaticopleural FistulasPancreatic Ascites and Pancreaticopleural Fistulas Acute Pancreatitis Abdominal drainage endoscopic placement pancreatic stent across the disruption. Surgical distal resection and closure of the proximal stump Abdominal drainage endoscopic placement pancreatic stent across the disruption. Surgical distal resection and closure of the proximal stump
  • 108.
    NecresectomyNecresectomy Acute Pancreatitis Surgical intervention- minimally invasive or conventional open techniques, is indicated when an anatomic complication amenable to a mechanical solution is present (eg, acute necrotizing pancreatitis) The necrotic phlegmon is excised to limit the source of sepsis or hemorrhagic pancreatitis to control of bleeding Depending on the situation and local expertise, this may require the talents of an interventional radiologist, an interventional endoscopist, or surgeon (individually or in combination). Surgical intervention - minimally invasive or conventional open techniques, is indicated when an anatomic complication amenable to a mechanical solution is present (eg, acute necrotizing pancreatitis) The necrotic phlegmon is excised to limit the source of sepsis or hemorrhagic pancreatitis to control of bleeding Depending on the situation and local expertise, this may require the talents of an interventional radiologist, an interventional endoscopist, or surgeon (individually or in combination).
  • 109.
  • 110.
  • 111.
    Vascular ComplicationsVascular Complications AcutePancreatitis Splenic artery, superior mesenteric, cystic and gastroduodenal arteries Pancreatic elastase damages the vessels with pseudoaneurysm formation. Spontaneous rupture massive bleeding sudden onset of abdominal pain, tachycardia and hypotension, T/T - Arterial embolization. Refractory cases require ligation of the vessel affected mortality 28% to 56%. Vascular thrombosis splenic vein portal venous system. Recurrent episodes of UGI l bleeding /venous hypertension > splenectomy Splenic artery, superior mesenteric, cystic and gastroduodenal arteries Pancreatic elastase damages the vessels with pseudoaneurysm formation. Spontaneous rupture massive bleeding sudden onset of abdominal pain, tachycardia and hypotension, T/T - Arterial embolization. Refractory cases require ligation of the vessel affected mortality 28% to 56%. Vascular thrombosis splenic vein portal venous system. Recurrent episodes of UGI l bleeding /venous hypertension > splenectomy
  • 112.
    Gallstone pancreatitisGallstone pancreatitis AcutePancreatitis Gallstone pancreatitis that is not responding to supportive therapy or with ascending cholangitis with worsening signs and symptoms of obstruction, early endoscopic retrograde cholangiopancreatography (ERCP) with sphincterotomy and stone extraction is indicated. Gallstone pancreatitis that is not responding to supportive therapy or with ascending cholangitis with worsening signs and symptoms of obstruction, early endoscopic retrograde cholangiopancreatography (ERCP) with sphincterotomy and stone extraction is indicated. Laparoscopic or open cholecystectomy to be done after 4 to 6 weeks Laparoscopic or open cholecystectomy to be done after 4 to 6 weeks
  • 113.
    Pancreatic duct disruptionPancreaticduct disruption Acute Pancreatitis Damage to the pancreatic ductal system may allow pancreatic juice to leak from the gland. The sudden development of hypocalcemia or a rapid increase in retroperitoneal fluid on computed tomography (CT) Damage to the pancreatic ductal system may allow pancreatic juice to leak from the gland. The sudden development of hypocalcemia or a rapid increase in retroperitoneal fluid on computed tomography (CT) Percutaneous placement of a drainage tube into the fluid collection Transpapillary stent placement or, preferably, placement of a 6 French nasopancreatic tube attached to an external bulb suction device Refractory cases may warrant surgery. If the persistent leak is present in the tail of the gland, a distal pancreatectomy is preferred. If the leak is in the head of the gland, a Whipple procedure is the operation of choice. Percutaneous placement of a drainage tube into the fluid collection Transpapillary stent placement or, preferably, placement of a 6 French nasopancreatic tube attached to an external bulb suction device Refractory cases may warrant surgery. If the persistent leak is present in the tail of the gland, a distal pancreatectomy is preferred. If the leak is in the head of the gland, a Whipple procedure is the operation of choice.
  • 114.
    Pancreatic abscessPancreatic abscess AcutePancreatitis Pancreatic abscesses generally occur late in the course of pancreatitis. Many of these respond to percutaneous catheter drainage and antibiotics. Those that do not respond require surgical debridement and drainage. Pancreatic abscesses generally occur late in the course of pancreatitis. Many of these respond to percutaneous catheter drainage and antibiotics. Those that do not respond require surgical debridement and drainage.
  • 115.
    Algorithm for A.PT/t Acute Pancreatitis
  • 116.
  • 117.
    Rec Pancreatitis algorithmof T/tRec Pancreatitis algorithm of T/t Acute Pancreatitis
  • 118.
    Famous people whohave had pancreatitis Famous people who have had pancreatitis • Alexander the Great • Ludwig von Beethoven • Dizzie Gillespie • Maximilian Schell • Matthew Perry • John Ashcroft • Alexander the Great • Ludwig von Beethoven • Dizzie Gillespie • Maximilian Schell • Matthew Perry • John Ashcroft Acute Pancreatitis
  • 119.
    Closing PointsClosing Points •4 out of 5 patients have mild uneventful pancreatitis • If the patient is not getting considerably better in 36- 48 hrs, start thinking about that “5th patient” • A CT is that 5th patient’s friend • If you are thinking about antibiotics, you should be thinking about a CT and a few consultations. • The pancreas is a mean organ….respect it • 4 out of 5 patients have mild uneventful pancreatitis • If the patient is not getting considerably better in 36- 48 hrs, start thinking about that “5th patient” • A CT is that 5th patient’s friend • If you are thinking about antibiotics, you should be thinking about a CT and a few consultations. • The pancreas is a mean organ….respect it Acute Pancreatitis
  • 120.
    Take home messageTakehome message Severity of acute pancreatitis and pancreatic necrosis can only be reliably assessed by imaging after 72 hours. • Absence of pancreatic parenchymal necrosis does not preclude a serious course of the illness. • CT cannot reliably differentiate between collections that consist of fluid and those that contain solid debris. • In these cases MRI can be of additional value. • Name collections always according to 2012 Atlanta definitions. • Central gland necrosis is a subtype of necrotizing pancreatitis with important implications. • ERCP is the procedure of choice in mild to mod. Cases, with CBD stone induced pancreatitis, Gallstone t/t after 4-6 weeks. Severity of acute pancreatitis and pancreatic necrosis can only be reliably assessed by imaging after 72 hours. • Absence of pancreatic parenchymal necrosis does not preclude a serious course of the illness. • CT cannot reliably differentiate between collections that consist of fluid and those that contain solid debris. • In these cases MRI can be of additional value. • Name collections always according to 2012 Atlanta definitions. • Central gland necrosis is a subtype of necrotizing pancreatitis with important implications. • ERCP is the procedure of choice in mild to mod. Cases, with CBD stone induced pancreatitis, Gallstone t/t after 4-6 weeks.
  • 121.

Editor's Notes

  • #9 A 63-year-old man with acute interstitial oedematous pancreatitis. There is peripancreatic fat stranding (arrows) without an acute peripancreatic fluid collection; the pancreas enhances completely but has a heterogeneous appearance due to oedema.
  • #11 (A) Acute necrotic collections (ANC) in a 44-year-old man with acute necrotising pancreatitis involving only the peripancreatic tissues. Note enhancement of the entire pancreatic parenchyma (white stars) and the heterogeneous, non-liquid peripancreatic components in the retroperitoneum (white arrows pointing at the borders of the ANC). (B) The ANC in the same patient as (A) but imaged a few weeks later demonstrate a heterogeneous collection with areas of fat (black arrowheads) surrounded by fluid density, and areas which have a slightly greater attenuation (black arrows) than seen in collections without necrosis such as shown in figure 7. This finding is typical for peripancreatic necrosis. White arrows denote border of ANC; white stars denote enhancement of pancreatic parenchyma. The ANC are not yet fully encapsulated.
  • #13 A 47-year-old man with acute necrotising pancreatitis complicated by infected pancreatic necrosis. There is a heterogeneous, acute necrotic collection (ANC) in the pancreatic and peripancreatic area (white arrows pointing at the borders of the ANC) with presence of gas bubbles (white arrowheads), usually a pathognomonic sign of infection of the necrosis (infected necrosis).