ABDOMINAL TRAUMA : AN OVERVIEW




          Dr S. Lal MS
           Associate Professor
          Department of Surgery
          ESI PGIMSR New Delhi
Introduction
• Abdominal trauma is regularly
  encountered in the emergency department
• One of the leading cause of death and
  disability
• Identification of serious intra-abdominal
  injuries is often challenging
• Many injuries may not manifest during
  the initial assessment and
  treatment period
Epidemiology
• Peak incidence Abdominal Trauma
   15 - 30yr
• More than 1.5 Lac people die every year
  as a result of injuries by motor vehicle
  accident , fall, suicide and homicide
• Injury accounts for 10% of all deaths
• Estimates indicate that by 2020, 8.4
  million people will die yearly.
• Prevalence: 13%
Types of Abdominal Trauma
1.Blunt Trauma
2.Penetrating Trauma
     -Stab
     -Gun shot Injury
M.V. Accidents involving high kinetic energy and
acceleration or deceleration forces - 60%
Direct blow to abdomen - 15%
Fall- 6-9%
Blunt Trauma Abdomen (contd.)
• Child Abuse
• Domestic Violence
• Iatrogenic injury
     -Endoscopic /Laparoscopic surgical
  procedures
     -Bag-mask ventilations
     -Inadvertent esophageal intubation
     -External cardiac compressions
     -Heimlich manoeuvre
Penetrating Trauma




Penetrating abdominal trauma has a slightly higher mortality rate
Second most common cause of abdominal injury
Gunshot Injury
Gunshot and stab wounds combine to cause 95% of
penetrating abdominal injuries.
Prehospital Care
• The goal of prehospital is to deliver the pt
  to hospital for definitive care as rapidly
  as possible. „Scoop and Run‟
• Maintain airway & start I V line
• Care of spinal cord
• Communicate to medical control
• Rapid transport of patient to trauma
  centre
Initial Assessment and Resuscitation
        Primary survey
     Identification & treatment of life threatening
    conditions

•   Airway , with cervical spine precautions
•   Breathing
•   Circulation
•   Disability
•   Exposure
Emergency Care
•   I V fluids
•   Control external bleeding
•   Dressing of wounds
•   Protect eviscerated organs with a sterile
    dressing
•   Stabilize an impaled object in place
•   Give high flow oxygen
•   Immobilize the patient with a fractured pelvis
•   Keep the patient warm
•   Analgesics
Secondary Survey
• General &Systemic Examination-to identify
  all occult injuries .
• Special attention to Back, Axilla , Perineum
• PR - sphincter tone ,bleeding ,perforation
  , high riding prostate
• Foley‟s catheter- monitor urine out put
• Nasogastric tube
Secondary Survey(contd.)

AMPLE History
A: Allergy
M: Medications
P: Past medical history
L: Last meal
E: Event - What happened
Examination
• Laceration
• Abrasion
• Entry/Exit wounds
• Involvement chest
  & Head injury
• Seat Belt Sign
Examination
Cullen’s Sign:1918
Bluish discoloration around umbilicus

Diffusion of blood along periumbilical
    tissues or falciform ligament
Hemoperitoneum
Severe pancreatitis
Examination
Grey-Turner’s Sign: (1877-1951)
Bluish discoloration of the flanks
Retroperitoneal Hematoma
hemorrhagic pancreatitis.

Kehr’s sign (1862-1916).
Referred pain, Right shoulder
 irritation of the diaphragm
(Splenic injury, free air,
 intra-abdominal bleeding)
Examination
Balance’s Sign
Dullness on percussion of the left upper quadrant
ruptured spleen


Labia and Scrotum : Pooling of blood from
abdominal and pelvic cavities.
Examination
Auscultation :1. Bowel sounds in the thoracic
 cavity (Diaphragmatic rupture)
          2. Haemothorax
Palpation: -Mass
             -Tenderness
             -Signs of peritonitis
              -# Ribs
             -Chest & Pelvic compression test
Investigations
•   FAST
•   X-Ray Chest & Abdomen
•   USG
•   CT Scan
•   Paracentasis
•   Diagnostic Peritoneal Lavage
•    Diagnostic Laparoscopy
Focused Assessment with Sonography in
               Trauma (FAST)
• First used in 1996
• Rapid , Accurate
• Sensitivity 86- 99%
• Can detect 100 mL of blood
• Cost effective
• Four different views- Pericardiac
                        Perihepatic
                        Perisplenic
                    Peripelvic space
• Eliminates unnecessary CT scans
• Helps in management plan
Plain X-Ray Chest & Abdomen
• Pneumotharax, Haemothorax
• Free air under diaphragm
• Nasogastric tube, bowel loops in the chest
• Elevation of the both /Single diaphragm
• Lower Ribs # -Liver /Spleen Injury
• Ground Glass Appearance –
                    Massive Hemoperitoneum
• Obliteration of Psoas Shadow –Retroperitoneal
  Bleeding
• #vertebra
USG
Advantage                      Disadvantage
• Easy & Early to Diagnose     . Examiner Dependent
• Noninvasive                  • Obesity
• No Radiation Exposure        • Gas interposition
  Resuscitation/Emergency      • Low Sensitivity for free fluid
  room                           less 500 mL
  Used in initial Evaluation   • False –Negative
                                 retroperitoneal & Hallow
  Low cost                       viscus injury
Paracentasis

• Four quadrant aspiration of abdomen
• A Positive tap – blood , air , bile
  stained fluid
• Negative tap doesn‟t rule out injury.
• False negatives are as high as 22-60%
Diagnostic Peritoneal Lavage
• First described in 1965
• Rapid & Accurate test used to identify
  intra-abdominal injuries
• Predictive value of greater than 90%
• The RBC count for lavage fluid is >
  1,00,000/cu m.m.
• A WBC count > 500/cu m.m.
• Test is highly sensitive to presence of
  intraperitoneal blood
• However specificity is low
Diagnostic Peritoneal Lavage

Indications                       Contraindications
                                  • Clear indication for
• Unexplained Shock                 Exploratory Laparotomy
• Altered sensorium (Head         • Relative
  injury , Drug)                    -Previous Expl. Laparotomy
• General anesthesia for extra-     -Pregnancy
  abdominal procedures              -Obesity
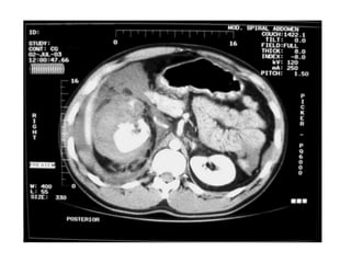
CT Scan
•Gold Standard
•Haemodynamically Stable
• Provides excellent imaging of
pancreas, duodenum and Genitourinary system
•Standard for detection of solid organs injury.
• Determines the source and amount of bleeding
• Can reveal other associated injuries e.g.
Vertebral & Pelvic # & injury in the thoracic
cavity .
•High Specificity-95%
CT Scan

Contraindication:
• Clear indication for Laparotomy
• Haemodynamically Unstable
• Allergy to contrast media
DIAGNOSTIC LAPAROSCOPY
• Haemodynamically stable patients
• Inadequate/equivocal USG
• Mild hypotension or persistent
  tachycardia
• Persistent abdominal signs/symptoms
• It decreases non-therapeutic
  laparotomies
• Useful in penetrating injury
• Limitation :Retroperitoneal Injury
Solid Organ Injuries
• Grading of injured solid organs such as Spleen, Liver &
  Kidneys are on the basis of subcapsular hematoma ,capsular
  tear, parenchymal lacerations & avulsion of vascular pedicle

• Bleeds significantly and cause rapid blood loss

• Difficult to identify injury by physical exam

• Repeated assessment is required to make the diagnosis

• Slowly oozing blood into peritoneal cavity
SPLENIC INJURY
• Most common intra- abdominal organ to injured (40-55%)
• 20% of splenic injuries due to left lower rib fractures
• Commonly arterial hemorrhage
• Conservative management :
        -Hemodynamic stability
       - Negative abdominal examination
       -Absence of contrast extravasation in CT
       - Absence of other indication of Laprotomy
     -Grade 1to 3 (Subcapsular Hematoma ,Laceration <3 cm)
Monitoring
• Serial abdo. Examinations & Haematocrit are essential
• Success rate of conservative m/m is >80%
Splenic Injuries
          Operative Management
Capsular tears (I)- Compression & topical haemostatic
agent
Deep Laceration (II)- Horizontal mattress suture
                 or Splenorrhaphy
Major Laceration not involving hilum (IV)-
                    Partial Splenectomy
Hillar injury (V)–Total Splenectomy

Grade IV-V:      almost    invariably    require      operative
intervention
Success rate of Splenic salvage procedure is 40-60%
Liver injury
• Liver is the largest organ in abdomen
• 2nd most common organ injured (35-
  45%) in BTA
• Driving and fighting responsible for
  50% of deaths due to liver injury
• Usually venous bleeding
• 85% of all patients with blunt hepatic
  trauma are stable
• CT is the mainstay of diagnosis in stable
  pt.
Liver Injury
• 50% liver injury have stop bleeding
    spontaneously by the time of surgery

Non Operative m/m

• Haemodynamically Stable

• No other intra-abdominal injury require surgery

• < 2 units of BT required

• Hemoperitoneum <500 ml on CT

• Grade I-III(subcapsular & intr-perenchymal hematoma)
Liver Injury
           Operative m/m
• Packing
  - Bleeding can be stopped by
  packing of abdomen
  -Pack removed after 48 hr
  -haemostatic agents
  -34 % survival in packing only
Liver Injury
      Operative Management(Contd.)
• Suturing: -Simple suture
             -Deep mattress suture
• Laceration: -Mesh hepatorrhaphy
                -Omental flap to cover the laceration
               - Debridement
• Lobar Resection
• Liver Transplantation
• Ligate or repair damaged blood vessels & bile
  duct
• Mortality of liver injury is 10%
Pancreatic Injury
• Rare 10-20% of all abdominal injury
• Crush , Direct blow to abdo & Seat belt injury
• Associated with abdo. Duodenal injury, Vascular
  injury & liver injury
• Diagnosis – Difficult, High index of suspicion
• CECT Scan is helpful
• Serum amylase is a poor indicator
• Usually diagnose on Laparotomy
• Distal Pancreatic injury - Distal resection
• Pancreaticojejunostomy – Injury to Ampulla of
  Vater, Head & Body of Pancreas
Pancreatic Injury
Renal Injury
• Clinically not suspected & frequently overlooked

• Mechanism: Blunt , Penetrating
             # lower ribs or spinous process,
             Crush abdominal
             Pelvic injury
             Direct blow to flank or back
             Fall
             MVA
Renal Injury
      Diagnosis
1.History ,Clinical examination
2. Presentation :Shock, hematuria & pain
3. Urine: gross or microscopic hematuria
Renal Injury
Diagnosis (contd.)
5.X-ray KUB
         IVP
7. USG
6.CT Scan abdomen
8. Radionuclide Scan
  The degree of hematuria may not predict the
 severity of renal injury
m
Renal Injury
   .
Classification of Injury
• Grade I : Contusion or Subcapsular
  Hematoma
• Grade II: Non Expanding Hematoma, <1
  cm deep ,no extravasation
• Grade III: Laceration >1cm with urinary
  Extravasation
• Grade IV: Parenchymal Laceration deep to
  CM Junction
• Grade V: Renovascular injury
Management of Renal Injury
About 85% of blunt renal trauma can be
  manage by conservatively
Renal Contusion : Conservatively
Renal exploration : Indication
• Deep cortico-medullary Laceration with
  extravasation
• Large perinephric Hematoma
• Renovascular injury
• Uncontrolled bleeding
Before Nephrectomy ,Contralateral
  Kidney should be assessed
Diaphragmatic Injury
• Incidence -0.8%-1.6% in BTA
• High index of suspicion required , may be
  missed.
• 40 to 50% are diagnosed immediately
• Presentation may be delayed
• Imaging
      Nasogastric tube seen in the thorax
      Abdominal contents in the thorax
      Elevated hemidiaphragm (>4 cm Lt vs Rt)
      Distortion of diaphragmatic margin.
• Lt- 69% , Rt -24% B/L- 15%
Diaphragm Rupture /Hernia




•    S Lal, Y Kailasia , S Chouhan , APS Gaharwar, GP Shrivastava . Delayed
    presentation of post traumatic diaphragmatic hernia. JSCR 2011. 7:6
Diaphragm Rupture /Hernia




S Lal, Y Kailasia, S Chouhan, APS Gaharwar, GP Shrivastava. Delayed presentation of
post traumatic diaphragmatic hernia. JSCR 2011. 7:6
Hollow Viscus Injuries
Gastric Injury :     Penetrating trauma MC
                     Blunt trauma abdomen 1%
Causes
     Penetrating Injury
    -Crushing Against the Spine
    -CPR
    -Vigorous Ventilation with ET Tube in the Esophagus
    -Heimlich Maneuver
Diagnosis : X-Ray chest & Abdomen
           CT scan
           Diagnostic Peritoneal Lavage
           During Surgical Exploration
T/t : Expl. Laparotomy with Primary Repair
Hollow Viscus Injuries (Contd.)
           Duodenum
Isolated Duodenum injury rare Incidence - 3-5%

Cause :Penetrating injury: mc
       Steering wheel injury
       Assault
       Fall
Associated with other intra-abdominal injury
Diagnosis:
Plan X-ray –Free air in abdomen
            -Intraoperative diagnosis

Rx : Primary Repair 80% case
   Roux-en –Y duodenojejunostomy 20%
Hollow Viscus Injuries

 Small Intestine& Colonic Injuries
Commonly Injured in Penetrating injury
Blunt Trauma -Incidence 5% -20%
Mechanism : -Crush Injury
            -At Fixed point DJ & IC Junction
  Rx : Exploratory Laprotomy
Bladder Injury
• Commonly in BTA
• 70% of bladder Injury are associated with pelvic fracture .
• Hematuria
Type 1.Extraperitoneal Rupture-by bony fragment
• 2. Intraperitoneal Rupture- at dome
                       when blow in distended bladder
• Diagnosis -1. Clinical 2. Cystography
T/t 1. Intraperitoneal –trans-peritoneal - closure +SPC

    2:Extraperitoneal Rupture : Foley‟s catheter -10 -14 days
Ureteral Injury
• Uncommon
• Mostly occur after penetrating trauma
• Associated with concomitant intra-abdominal or
  genitourinary injury
• Diagnosis
  -IVP
  -15-20% Retrograde ureteroscopy
  - At the time of Laparotomy
• Operative procedure
   Proximal & mid ureter -End to end Anastomosis over
  DJ Stent
  Distal –Ureteric Reimplantaion
Vascular Injury
• Incidence 5-10%
• Highly lethal.
• Associated with extremely rapid rates of blood
  loss
• Exposure is difficult in Laparotomy
• Initial Control by digital pressure
• Heparinized saline (50U/ml) injected in both end
  of vessel
• Rx Lateral suture ,End to end Anastomosis &
   Interposition graft
• Mortality rate is very high
Trauma in Pregnancy
• Incidence- 10-20%
• Causes: 1.Domestic violence
            2.Sexual Assault 3. Accident
• Third trimester- mc- balance & coordination disturbed
• Multidisciplinary team- Obstetrician, surgeon, and
  neonatologist
• Peritoneal sign are delayed
• “Supine hypotensive syndrome” > 20 weeks‟ gestation.
COMPLICATIONS
• Fetal Injury & Death –fetoplacental injury, maternal shock,
• Placental Abruption
• Rupture of Uterus
Penetrating abdominal trauma

 •Gunshot
 •Stab wound
Penetrating Abdominal Trauma

• Patients with deep penetrating injuries always require surgery
• Common Organs –Small int.(29%) liver(28%) Colon(23%)
EAST Algorithm: Stable




      Eastern Association for the Surgery of Trauma, 2001
Penetrating Abdominal Trauma(Contd.)


• Multiple in 20% of cases
• Most stab wounds do not cause an
  intraperitoneal injury
• A complete Laparotomy is
  mandatory
Penetrating Abdominal Trauma(Contd.)



  Abdominal Evisceration
Stab wound to right lower quadrant with caecal
evisceration. No colon injury at laparotomy
Penetrating Abdominal Trauma(Contd.)
     Abdominal Evisceration
• Never try to replace organs
• Cover with moist gauze, then
  sterile dressing.
• Transport immediately
Gunshot Injury
• Handguns, Rifles, and Shotgun
• More dangerous than penetrating injury
• The degree of injury depends .
 Amount of kinetic energy imparted by the bullet to the
 victim
 Mass of the bullet and the square of its velocity
 Distance .
• Injury multiple organ
Injury Prevention
1.Primary: Prevent an injury from its occurrence in
   the first place: Educational activity such as anti-
   drink-driving campaigns , speed limit rule
   -Children should accompanied with parent
2.Secondary: Attempts to lesson the consequences
   of injury – making road & safer car, anti-locking
   brakes, air bags , helmets, seat belt
3. Tertiary: Minimize the effect of injury by health
   care by individuals & system.
Injury Prevention (Contd.)

•      Speed is a critical factor ; a 10% increase
       speed translate into a 40% rise in the case
       fatality rate.
•   Use of seat belt reduces the risk of death or
    serious injury by 45%.
•   Air Bags reduces the risk of fatal injury by 30%
    & deaths by 11 %.
•   Children Below 12yrs should be properly
    restraints in the back seat.
•   Motorcycle experience death rate 35 time
    greater than car.
Summary
• Injuries are Preventable
• Trauma is a massive & growing health burden
  worldwide ,which increasingly afflicts the young &
  productive age group.
• Repeated assessment is required to make the diagnosis
• Ultrasonography and peritoneal aspiration are rapid
  methods of determining or excluding the presence of
  Hemoperitoneum
• Conservative approach in Liver & Renal Injury
• Successful m/m of trauma requires integration of
  Prehospital ,in-hospital ,& rehabilitative care.
Abdominal trauma  : an overview

Abdominal trauma : an overview

  • 1.
    ABDOMINAL TRAUMA :AN OVERVIEW Dr S. Lal MS Associate Professor Department of Surgery ESI PGIMSR New Delhi
  • 2.
    Introduction • Abdominal traumais regularly encountered in the emergency department • One of the leading cause of death and disability • Identification of serious intra-abdominal injuries is often challenging • Many injuries may not manifest during the initial assessment and treatment period
  • 3.
    Epidemiology • Peak incidenceAbdominal Trauma 15 - 30yr • More than 1.5 Lac people die every year as a result of injuries by motor vehicle accident , fall, suicide and homicide • Injury accounts for 10% of all deaths • Estimates indicate that by 2020, 8.4 million people will die yearly. • Prevalence: 13%
  • 4.
    Types of AbdominalTrauma 1.Blunt Trauma 2.Penetrating Trauma -Stab -Gun shot Injury
  • 5.
    M.V. Accidents involvinghigh kinetic energy and acceleration or deceleration forces - 60%
  • 6.
    Direct blow toabdomen - 15% Fall- 6-9%
  • 7.
    Blunt Trauma Abdomen(contd.) • Child Abuse • Domestic Violence • Iatrogenic injury -Endoscopic /Laparoscopic surgical procedures -Bag-mask ventilations -Inadvertent esophageal intubation -External cardiac compressions -Heimlich manoeuvre
  • 8.
    Penetrating Trauma Penetrating abdominaltrauma has a slightly higher mortality rate Second most common cause of abdominal injury
  • 9.
    Gunshot Injury Gunshot andstab wounds combine to cause 95% of penetrating abdominal injuries.
  • 10.
    Prehospital Care • Thegoal of prehospital is to deliver the pt to hospital for definitive care as rapidly as possible. „Scoop and Run‟ • Maintain airway & start I V line • Care of spinal cord • Communicate to medical control • Rapid transport of patient to trauma centre
  • 11.
    Initial Assessment andResuscitation Primary survey Identification & treatment of life threatening conditions • Airway , with cervical spine precautions • Breathing • Circulation • Disability • Exposure
  • 12.
    Emergency Care • I V fluids • Control external bleeding • Dressing of wounds • Protect eviscerated organs with a sterile dressing • Stabilize an impaled object in place • Give high flow oxygen • Immobilize the patient with a fractured pelvis • Keep the patient warm • Analgesics
  • 13.
    Secondary Survey • General&Systemic Examination-to identify all occult injuries . • Special attention to Back, Axilla , Perineum • PR - sphincter tone ,bleeding ,perforation , high riding prostate • Foley‟s catheter- monitor urine out put • Nasogastric tube
  • 14.
    Secondary Survey(contd.) AMPLE History A:Allergy M: Medications P: Past medical history L: Last meal E: Event - What happened
  • 15.
    Examination • Laceration • Abrasion •Entry/Exit wounds • Involvement chest & Head injury • Seat Belt Sign
  • 16.
    Examination Cullen’s Sign:1918 Bluish discolorationaround umbilicus Diffusion of blood along periumbilical tissues or falciform ligament Hemoperitoneum Severe pancreatitis
  • 17.
    Examination Grey-Turner’s Sign: (1877-1951) Bluishdiscoloration of the flanks Retroperitoneal Hematoma hemorrhagic pancreatitis. Kehr’s sign (1862-1916). Referred pain, Right shoulder irritation of the diaphragm (Splenic injury, free air, intra-abdominal bleeding)
  • 18.
    Examination Balance’s Sign Dullness onpercussion of the left upper quadrant ruptured spleen Labia and Scrotum : Pooling of blood from abdominal and pelvic cavities.
  • 19.
    Examination Auscultation :1. Bowelsounds in the thoracic cavity (Diaphragmatic rupture) 2. Haemothorax Palpation: -Mass -Tenderness -Signs of peritonitis -# Ribs -Chest & Pelvic compression test
  • 20.
    Investigations • FAST • X-Ray Chest & Abdomen • USG • CT Scan • Paracentasis • Diagnostic Peritoneal Lavage • Diagnostic Laparoscopy
  • 21.
    Focused Assessment withSonography in Trauma (FAST) • First used in 1996 • Rapid , Accurate • Sensitivity 86- 99% • Can detect 100 mL of blood • Cost effective • Four different views- Pericardiac Perihepatic Perisplenic Peripelvic space • Eliminates unnecessary CT scans • Helps in management plan
  • 22.
    Plain X-Ray Chest& Abdomen • Pneumotharax, Haemothorax • Free air under diaphragm • Nasogastric tube, bowel loops in the chest • Elevation of the both /Single diaphragm • Lower Ribs # -Liver /Spleen Injury • Ground Glass Appearance – Massive Hemoperitoneum • Obliteration of Psoas Shadow –Retroperitoneal Bleeding • #vertebra
  • 23.
    USG Advantage Disadvantage • Easy & Early to Diagnose . Examiner Dependent • Noninvasive • Obesity • No Radiation Exposure • Gas interposition Resuscitation/Emergency • Low Sensitivity for free fluid room less 500 mL Used in initial Evaluation • False –Negative retroperitoneal & Hallow Low cost viscus injury
  • 25.
    Paracentasis • Four quadrantaspiration of abdomen • A Positive tap – blood , air , bile stained fluid • Negative tap doesn‟t rule out injury. • False negatives are as high as 22-60%
  • 26.
    Diagnostic Peritoneal Lavage •First described in 1965 • Rapid & Accurate test used to identify intra-abdominal injuries • Predictive value of greater than 90% • The RBC count for lavage fluid is > 1,00,000/cu m.m. • A WBC count > 500/cu m.m. • Test is highly sensitive to presence of intraperitoneal blood • However specificity is low
  • 27.
    Diagnostic Peritoneal Lavage Indications Contraindications • Clear indication for • Unexplained Shock Exploratory Laparotomy • Altered sensorium (Head • Relative injury , Drug) -Previous Expl. Laparotomy • General anesthesia for extra- -Pregnancy abdominal procedures -Obesity
  • 30.
    CT Scan •Gold Standard •HaemodynamicallyStable • Provides excellent imaging of pancreas, duodenum and Genitourinary system •Standard for detection of solid organs injury. • Determines the source and amount of bleeding • Can reveal other associated injuries e.g. Vertebral & Pelvic # & injury in the thoracic cavity . •High Specificity-95%
  • 32.
    CT Scan Contraindication: • Clearindication for Laparotomy • Haemodynamically Unstable • Allergy to contrast media
  • 33.
    DIAGNOSTIC LAPAROSCOPY • Haemodynamicallystable patients • Inadequate/equivocal USG • Mild hypotension or persistent tachycardia • Persistent abdominal signs/symptoms • It decreases non-therapeutic laparotomies • Useful in penetrating injury • Limitation :Retroperitoneal Injury
  • 34.
    Solid Organ Injuries •Grading of injured solid organs such as Spleen, Liver & Kidneys are on the basis of subcapsular hematoma ,capsular tear, parenchymal lacerations & avulsion of vascular pedicle • Bleeds significantly and cause rapid blood loss • Difficult to identify injury by physical exam • Repeated assessment is required to make the diagnosis • Slowly oozing blood into peritoneal cavity
  • 35.
    SPLENIC INJURY • Mostcommon intra- abdominal organ to injured (40-55%) • 20% of splenic injuries due to left lower rib fractures • Commonly arterial hemorrhage • Conservative management : -Hemodynamic stability - Negative abdominal examination -Absence of contrast extravasation in CT - Absence of other indication of Laprotomy -Grade 1to 3 (Subcapsular Hematoma ,Laceration <3 cm) Monitoring • Serial abdo. Examinations & Haematocrit are essential • Success rate of conservative m/m is >80%
  • 36.
    Splenic Injuries Operative Management Capsular tears (I)- Compression & topical haemostatic agent Deep Laceration (II)- Horizontal mattress suture or Splenorrhaphy Major Laceration not involving hilum (IV)- Partial Splenectomy Hillar injury (V)–Total Splenectomy Grade IV-V: almost invariably require operative intervention Success rate of Splenic salvage procedure is 40-60%
  • 37.
    Liver injury • Liveris the largest organ in abdomen • 2nd most common organ injured (35- 45%) in BTA • Driving and fighting responsible for 50% of deaths due to liver injury • Usually venous bleeding • 85% of all patients with blunt hepatic trauma are stable • CT is the mainstay of diagnosis in stable pt.
  • 38.
    Liver Injury • 50%liver injury have stop bleeding spontaneously by the time of surgery Non Operative m/m • Haemodynamically Stable • No other intra-abdominal injury require surgery • < 2 units of BT required • Hemoperitoneum <500 ml on CT • Grade I-III(subcapsular & intr-perenchymal hematoma)
  • 39.
    Liver Injury Operative m/m • Packing - Bleeding can be stopped by packing of abdomen -Pack removed after 48 hr -haemostatic agents -34 % survival in packing only
  • 40.
    Liver Injury Operative Management(Contd.) • Suturing: -Simple suture -Deep mattress suture • Laceration: -Mesh hepatorrhaphy -Omental flap to cover the laceration - Debridement • Lobar Resection • Liver Transplantation • Ligate or repair damaged blood vessels & bile duct • Mortality of liver injury is 10%
  • 43.
    Pancreatic Injury • Rare10-20% of all abdominal injury • Crush , Direct blow to abdo & Seat belt injury • Associated with abdo. Duodenal injury, Vascular injury & liver injury • Diagnosis – Difficult, High index of suspicion • CECT Scan is helpful • Serum amylase is a poor indicator • Usually diagnose on Laparotomy • Distal Pancreatic injury - Distal resection • Pancreaticojejunostomy – Injury to Ampulla of Vater, Head & Body of Pancreas
  • 44.
  • 45.
    Renal Injury • Clinicallynot suspected & frequently overlooked • Mechanism: Blunt , Penetrating # lower ribs or spinous process, Crush abdominal Pelvic injury Direct blow to flank or back Fall MVA
  • 46.
    Renal Injury Diagnosis 1.History ,Clinical examination 2. Presentation :Shock, hematuria & pain 3. Urine: gross or microscopic hematuria
  • 47.
    Renal Injury Diagnosis (contd.) 5.X-rayKUB IVP 7. USG 6.CT Scan abdomen 8. Radionuclide Scan The degree of hematuria may not predict the severity of renal injury
  • 48.
  • 49.
    Renal Injury . Classification of Injury • Grade I : Contusion or Subcapsular Hematoma • Grade II: Non Expanding Hematoma, <1 cm deep ,no extravasation • Grade III: Laceration >1cm with urinary Extravasation • Grade IV: Parenchymal Laceration deep to CM Junction • Grade V: Renovascular injury
  • 51.
    Management of RenalInjury About 85% of blunt renal trauma can be manage by conservatively Renal Contusion : Conservatively Renal exploration : Indication • Deep cortico-medullary Laceration with extravasation • Large perinephric Hematoma • Renovascular injury • Uncontrolled bleeding Before Nephrectomy ,Contralateral Kidney should be assessed
  • 52.
    Diaphragmatic Injury • Incidence-0.8%-1.6% in BTA • High index of suspicion required , may be missed. • 40 to 50% are diagnosed immediately • Presentation may be delayed • Imaging Nasogastric tube seen in the thorax Abdominal contents in the thorax Elevated hemidiaphragm (>4 cm Lt vs Rt) Distortion of diaphragmatic margin. • Lt- 69% , Rt -24% B/L- 15%
  • 53.
    Diaphragm Rupture /Hernia • S Lal, Y Kailasia , S Chouhan , APS Gaharwar, GP Shrivastava . Delayed presentation of post traumatic diaphragmatic hernia. JSCR 2011. 7:6
  • 55.
    Diaphragm Rupture /Hernia SLal, Y Kailasia, S Chouhan, APS Gaharwar, GP Shrivastava. Delayed presentation of post traumatic diaphragmatic hernia. JSCR 2011. 7:6
  • 56.
    Hollow Viscus Injuries GastricInjury : Penetrating trauma MC Blunt trauma abdomen 1% Causes Penetrating Injury -Crushing Against the Spine -CPR -Vigorous Ventilation with ET Tube in the Esophagus -Heimlich Maneuver Diagnosis : X-Ray chest & Abdomen CT scan Diagnostic Peritoneal Lavage During Surgical Exploration T/t : Expl. Laparotomy with Primary Repair
  • 57.
    Hollow Viscus Injuries(Contd.) Duodenum Isolated Duodenum injury rare Incidence - 3-5% Cause :Penetrating injury: mc Steering wheel injury Assault Fall Associated with other intra-abdominal injury Diagnosis: Plan X-ray –Free air in abdomen -Intraoperative diagnosis Rx : Primary Repair 80% case Roux-en –Y duodenojejunostomy 20%
  • 58.
    Hollow Viscus Injuries Small Intestine& Colonic Injuries Commonly Injured in Penetrating injury Blunt Trauma -Incidence 5% -20% Mechanism : -Crush Injury -At Fixed point DJ & IC Junction Rx : Exploratory Laprotomy
  • 59.
    Bladder Injury • Commonlyin BTA • 70% of bladder Injury are associated with pelvic fracture . • Hematuria Type 1.Extraperitoneal Rupture-by bony fragment • 2. Intraperitoneal Rupture- at dome when blow in distended bladder • Diagnosis -1. Clinical 2. Cystography T/t 1. Intraperitoneal –trans-peritoneal - closure +SPC 2:Extraperitoneal Rupture : Foley‟s catheter -10 -14 days
  • 60.
    Ureteral Injury • Uncommon •Mostly occur after penetrating trauma • Associated with concomitant intra-abdominal or genitourinary injury • Diagnosis -IVP -15-20% Retrograde ureteroscopy - At the time of Laparotomy • Operative procedure Proximal & mid ureter -End to end Anastomosis over DJ Stent Distal –Ureteric Reimplantaion
  • 61.
    Vascular Injury • Incidence5-10% • Highly lethal. • Associated with extremely rapid rates of blood loss • Exposure is difficult in Laparotomy • Initial Control by digital pressure • Heparinized saline (50U/ml) injected in both end of vessel • Rx Lateral suture ,End to end Anastomosis & Interposition graft • Mortality rate is very high
  • 62.
    Trauma in Pregnancy •Incidence- 10-20% • Causes: 1.Domestic violence 2.Sexual Assault 3. Accident • Third trimester- mc- balance & coordination disturbed • Multidisciplinary team- Obstetrician, surgeon, and neonatologist • Peritoneal sign are delayed • “Supine hypotensive syndrome” > 20 weeks‟ gestation. COMPLICATIONS • Fetal Injury & Death –fetoplacental injury, maternal shock, • Placental Abruption • Rupture of Uterus
  • 63.
    Penetrating abdominal trauma •Gunshot •Stab wound
  • 64.
    Penetrating Abdominal Trauma •Patients with deep penetrating injuries always require surgery • Common Organs –Small int.(29%) liver(28%) Colon(23%)
  • 65.
    EAST Algorithm: Stable Eastern Association for the Surgery of Trauma, 2001
  • 66.
    Penetrating Abdominal Trauma(Contd.) •Multiple in 20% of cases • Most stab wounds do not cause an intraperitoneal injury • A complete Laparotomy is mandatory
  • 67.
  • 69.
    Stab wound toright lower quadrant with caecal evisceration. No colon injury at laparotomy
  • 70.
    Penetrating Abdominal Trauma(Contd.) Abdominal Evisceration • Never try to replace organs • Cover with moist gauze, then sterile dressing. • Transport immediately
  • 71.
    Gunshot Injury • Handguns,Rifles, and Shotgun • More dangerous than penetrating injury • The degree of injury depends .  Amount of kinetic energy imparted by the bullet to the victim  Mass of the bullet and the square of its velocity  Distance . • Injury multiple organ
  • 72.
    Injury Prevention 1.Primary: Preventan injury from its occurrence in the first place: Educational activity such as anti- drink-driving campaigns , speed limit rule -Children should accompanied with parent 2.Secondary: Attempts to lesson the consequences of injury – making road & safer car, anti-locking brakes, air bags , helmets, seat belt 3. Tertiary: Minimize the effect of injury by health care by individuals & system.
  • 73.
    Injury Prevention (Contd.) • Speed is a critical factor ; a 10% increase speed translate into a 40% rise in the case fatality rate. • Use of seat belt reduces the risk of death or serious injury by 45%. • Air Bags reduces the risk of fatal injury by 30% & deaths by 11 %. • Children Below 12yrs should be properly restraints in the back seat. • Motorcycle experience death rate 35 time greater than car.
  • 74.
    Summary • Injuries arePreventable • Trauma is a massive & growing health burden worldwide ,which increasingly afflicts the young & productive age group. • Repeated assessment is required to make the diagnosis • Ultrasonography and peritoneal aspiration are rapid methods of determining or excluding the presence of Hemoperitoneum • Conservative approach in Liver & Renal Injury • Successful m/m of trauma requires integration of Prehospital ,in-hospital ,& rehabilitative care.