All the truth about  local treatment options T1-T2 RADIOTHERAPY Anders Widmark, Professor,  Senior Consultant Department of Radiation Sciences, ONCOLOLGY, Umeå University Hospital   Paid Consultant, sanofi-aventis, part time Advisory boards: Astellas, Roche and Janssen  European School of Oncology Educational Cancer Convention Lugano (ECCLU):  What is New and What is True in Genito-Urinary Oncology? 12-14 May 2011, Lugano, Switzerland ECCLU 2011
Philosophy : Risk adapted Treatment with EBRT - Decrease side-effects in low risk tumor  – Increase treatment in aggressive tumors Technical Development Dose-escalation, Results IGRT, IMRT 3D-CRT Margins,  MRI, CT  New techniques to decrease rectal toxicity Combination of hormones SPCG-7/SFUO-3  Hormones vs. Hormones + EBRT  Side-effects Overview ECCLU 2011
Historical Radiotherapy of PC Onk klin, NUS, A W 0002 ECCLU 2011
Dosescalation  65Gy -> 70Gy ->  78 Gy   HDR + EBRT  IGRT Improved Precision, Tighter Margins Image Guided RadioTherapy IMRT Concave forms, Tighter Marigins Intensity Modulated RadioTherapy MRI Improved Target Deliniation, Established Technical Improvments ECCLU 2011
Why EBRT Dose-escalation  ? Biopsy Data Local control influence outcome SPCG-7/SFUO-3 Onk. AW 0103 Improvement in technique CT-Based 3D-CRT Decreased margins -> side-effects  IGRT ECCLU 2011
ALL 393 664 843 301 202 104 GETUG  306 Viani et al IJROBP 2009
Low Risk Inter M Risk High Risk Viani et al IJROBP 2009
Viani et al IJROBP 2009
Viani et al IJROBP 2009
 
 
MD anderson Trial  Kuban et al Röda 2008  ECCLU 2011 78% 39% 78% 59%
Rand Trial 70 vs. 78 Gy,  MDA Onk. AW 0101 Metastases ALL Pre PSA > 10 +13% p=0,035 Pollack et al JCO 2002 Kuban et al 2008 Kuban et al 2008 P=0.059 +4% ECCLU 2011
Onk. AW 0308 PROT 05  Update 8.9 y. Zietman et al JCO 2010
Onk. AW 0308 32.4% 17.4% PROT 05  Update 8.9 y. Zietman et al JCO 2010
Onk. AW 0308 28.2% 7.1% 42.1% 30.4% PROT 05  Update 8.9 y. Zietman et al JCO 2010 Low Risk InterMed. Risk
Side –Effects Dose –Escalation  MRC RT01 Trial ,  Syndikus at al IJROBP 2009 ECCLU 2011
ASTRO 2001 Onk. AW 0111 Dansande prostata: mätning av prostata rörlighet med MRI ECCLU 2011
BeamCath for IGRT   Prostata cancer  Onk. AW 9809 CT-bild ECCLU 2011
Digital Bildframställning “Portal Vision”  BeamCath, med markörer som visar urinröret 1:a uppläggning Vid Behandling Onk, NUS, A W 0504 ECCLU 2011 Strålfältet Strålfältet
Prostate EBRT IGRT  Onk klin, NUS, A W 0002 7 mm ECCLU 2011
“ Picture verified” radioterapi (IGRT) Röntgenrör Detektor ECCLU 2011
Dose plan  ECCLU 2011
Rectum and dose distribution
Rectum dose volume histograms QUANTEC objectives
GPS in Prostate   Calypso, Micropos ECCLU 2011
MR/CT
MR-Bild Onk klin, NUS, A W 9602 ECCLU 2011
Prostate MRI  Cancer   (S Johansson) Axial Coronal ECCLU 2011
Umeå Trial 1 A randomized Trial Extern Beam RT v.s. Deferred Treatment in Localized Prostate Cancer Inclusion Criteria <  75 years T1b-T2, pN0, G1-G2, M0 Inclusion within 3 mo. from diagnosis Surgical staging (obturator) Bonescan, Pulm X-ray No previous treatment ECCLU 2011
Umeå Trial 1 Inklusion 1986- 1996 > 20 års FU Rand studie, Sweden, Denmark, Norway WW  v.s.  RT  Patienter 107 107 ECCLU 2011
HYPO-fractionation alpha/beta value in PC  HYPO-RT-PC -Study   Fractionation schedule  under development Yeho Lukka B&R
Onk. AW 0609 Hypofractionationated   treatments ECCLU 2011
SCANDINAVIAN HYPO-Fractionation study NUS Onk. AW 0402 Intermediate Risk Patients Conv:  2 Gy x 39  = 78 Gy R HYPO:   6.1 Gy x 7  = 42,7 Gy 15 centers, Sweden and Denmark Canada might Join 440/ 800 patients Included  ECCLU 2011
Blood in Stools With Smaller margins ECCLU 2011
Treatment Effect are improving What about Side-effects? ECCLU 2011
Biverkningar - Funding ECCLU 2011
N 603 292 306 - Age 59 69 65 - PSA 6.7 9.1 5.8 Side-Effects - Sexual ECCLU 2011
Side-Effects - URIN - Funding ECCLU 2011
Side-Efects – Bowel - Vitality ECCLU 2011
Intestinal Symptoms EBRT Fig. 2 ECCLU 2011
Rectal leakage - When? Q31 ECCLU 2011
Localized PC! Local Cure is Achivable ! Improve Techniques to  Decrease Rectal Toxicity!! ECCLU 2011
Prada et al Brachytherapy , 2007, 2009 ECCLU 2011
Principal of the No-HARM study Needel operated Hyaluronic Acid for Rectal Move HA 10% 50% 70% 10% 70% 50% ECCLU 2011
ECCLU 2011
ECCLU 2011 Before  RT 20 treatments ./40 G
ECCLU 2011
ECCLU 2011
Rectal fixation probe! ECCLU 2011
Rectal fixation probe! ECCLU 2011
Hydrodissection of the space  between rectum and prostate ECCLU 2011 Pro-Space: Novel Biodegradable Inflatable Balloon System
BLADDER PENIS RECTUM ECCLU 2011 Pro-Space: Novel Biodegradable Inflatable Balloon System
Lymph Node treatment? ECCLU 2011
Lymph Node treatment, IMRT? ECCLU 2011
Lymph Node treatment, VMAT? ECCLU 2011
Lymph Node treatment? RTOG 0924 And PIVOTAL RT + HORMONES vs  RT + HORMONES + Lymph Node Iradiation ECCLU 2011
RTOG 8610 RT    2 må.+2 må./RT  Randomised Studies Radiation v.s. Radiation + Hormones   Umeå 2 RT   Kir. Kastration + RT  EORTC/Bolla RT  RT/samtidigt + Adj.3 år RTOG 8531 RT  RT + Adj. LHRH 2 år  Lavendiere RT  2 må. +2 m/RT 2 +2 må/RT+6må Adj.LHRH Is anyone doing RT 78 Gy  vs  Hormones + RT 78 Gy In intermediate risk PC? ECCLU 2011
- Funding PSA recurrence-free survival T1b-T2, PSA  <  50; Grad I-II  (“SPCG-4 population”) Combination (n=69) Antiandrogen (n=64) HR 0.10 (0.04, 0.24); p>0.0001 ECCLU 2011
- Funding Prostate Cancer specific survival   T1b-T2, PSA  <  50; Grad I-II  (“SPCG-4 population”) Combination (n=69) Antiandrogen (n=64) HR 0.21 (0.04, 1.00); p<0.03 ECCLU 2011
- Funding Overall survival   T1b-T2, PSA  <  50; Grad I-II  (“SPCG-4 population”)   Combination (n=69) Antiandrogen (n=64) HR 0.69 (0.34, 1.39); p<0.30 ECCLU 2011
 
 
 
 
RT 70 Gy  +  6 m. ADT  Intermediate risk  No/mild comorbidity Moderate/ severe comor
RT 70 Gy  +  6 m. ADT  High Risk No/mild comorbidity Moderate/ severe comor
Summary Localised PC! Local Cure is ”Achivable (-ed)” New Radiotherapy Tecniques  To further  Decrease Rectal Toxicity!! ECCLU 2011
Conclusions Radiotherapy  Local Cure is Achivable!!  Dose escalation ! IGRT, IMRT Improved precision - smaller margins Less Rectal Toxicity? HYPO - Shorter Treatment time? Low Doctor time Low Cost treatment ECCLU 2011
Thank You! ECCLU 2011
Tack!  Frågor ? ECCLU 2011
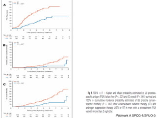
A Randomized Trial Comparing Antiandrogens  With Or Without Radiotherapy In The Treatment Of Locally Advanced Prostate Cancer:  Survival and Qol Outcome   A. Widmark , O. Klepp, P. Fransson, J. Damber, A. Angelsen,  A. Solberg, J. Lund, M. Hoyer, F Wiklund, S.D. Fosså On Behalf of SPCG-7/SFUO-3 Study Group Scandinavian Prostate Cancer Group and Swedish Association of Urological Oncology ASTRO, 2008, Plenary Session,  The Lancet  ECCLU 2011
Cumulative incidence of  PSA Recurrence 74.7 % (69.6 - 79.8) 71.1  (66.3-75.9) 25.9 % (19.3 - 32.6) p<0.00001 Combination 17.6 % (13.6-21.5) Why this huge benefit? Local control is important? Seeding of cancer cells? Abscopla effect? Vaccination/immunstimulation? ECCLU 2011
Cumulative incidence of  Prostate Cancer mortality 11.9% (7.4 -16.5) p=0.00003 23.9%  (18.4 - 29.4) 9.9  (7.1-5.9) 6.3 % (3.9-8.6) ASTRO, 2008, Plenary Session ECCLU 2011
Cumulative incidence of  Prostate Cancer mortality 9.9  (7.1-5.9) 6.3 % (3.9-8.6) ASTRO, 2008, Plenary Session ECCLU 2011 SPCG-4

ECCLU 2011 - A. Widmark - Prostate cancer: All the truth about local treatment options T1-T2 - Radiotherapy

  • 1.
    All the truthabout local treatment options T1-T2 RADIOTHERAPY Anders Widmark, Professor, Senior Consultant Department of Radiation Sciences, ONCOLOLGY, Umeå University Hospital Paid Consultant, sanofi-aventis, part time Advisory boards: Astellas, Roche and Janssen European School of Oncology Educational Cancer Convention Lugano (ECCLU): What is New and What is True in Genito-Urinary Oncology? 12-14 May 2011, Lugano, Switzerland ECCLU 2011
  • 2.
    Philosophy : Riskadapted Treatment with EBRT - Decrease side-effects in low risk tumor – Increase treatment in aggressive tumors Technical Development Dose-escalation, Results IGRT, IMRT 3D-CRT Margins, MRI, CT New techniques to decrease rectal toxicity Combination of hormones SPCG-7/SFUO-3 Hormones vs. Hormones + EBRT Side-effects Overview ECCLU 2011
  • 3.
    Historical Radiotherapy ofPC Onk klin, NUS, A W 0002 ECCLU 2011
  • 4.
    Dosescalation 65Gy-> 70Gy -> 78 Gy HDR + EBRT IGRT Improved Precision, Tighter Margins Image Guided RadioTherapy IMRT Concave forms, Tighter Marigins Intensity Modulated RadioTherapy MRI Improved Target Deliniation, Established Technical Improvments ECCLU 2011
  • 5.
    Why EBRT Dose-escalation ? Biopsy Data Local control influence outcome SPCG-7/SFUO-3 Onk. AW 0103 Improvement in technique CT-Based 3D-CRT Decreased margins -> side-effects IGRT ECCLU 2011
  • 6.
    ALL 393 664843 301 202 104 GETUG 306 Viani et al IJROBP 2009
  • 7.
    Low Risk InterM Risk High Risk Viani et al IJROBP 2009
  • 8.
    Viani et alIJROBP 2009
  • 9.
    Viani et alIJROBP 2009
  • 10.
  • 11.
  • 12.
    MD anderson Trial Kuban et al Röda 2008 ECCLU 2011 78% 39% 78% 59%
  • 13.
    Rand Trial 70vs. 78 Gy, MDA Onk. AW 0101 Metastases ALL Pre PSA > 10 +13% p=0,035 Pollack et al JCO 2002 Kuban et al 2008 Kuban et al 2008 P=0.059 +4% ECCLU 2011
  • 14.
    Onk. AW 0308PROT 05 Update 8.9 y. Zietman et al JCO 2010
  • 15.
    Onk. AW 030832.4% 17.4% PROT 05 Update 8.9 y. Zietman et al JCO 2010
  • 16.
    Onk. AW 030828.2% 7.1% 42.1% 30.4% PROT 05 Update 8.9 y. Zietman et al JCO 2010 Low Risk InterMed. Risk
  • 17.
    Side –Effects Dose–Escalation MRC RT01 Trial , Syndikus at al IJROBP 2009 ECCLU 2011
  • 18.
    ASTRO 2001 Onk.AW 0111 Dansande prostata: mätning av prostata rörlighet med MRI ECCLU 2011
  • 19.
    BeamCath for IGRT Prostata cancer Onk. AW 9809 CT-bild ECCLU 2011
  • 20.
    Digital Bildframställning “PortalVision” BeamCath, med markörer som visar urinröret 1:a uppläggning Vid Behandling Onk, NUS, A W 0504 ECCLU 2011 Strålfältet Strålfältet
  • 21.
    Prostate EBRT IGRT Onk klin, NUS, A W 0002 7 mm ECCLU 2011
  • 22.
    “ Picture verified”radioterapi (IGRT) Röntgenrör Detektor ECCLU 2011
  • 23.
    Dose plan ECCLU 2011
  • 24.
    Rectum and dosedistribution
  • 25.
    Rectum dose volumehistograms QUANTEC objectives
  • 26.
    GPS in Prostate Calypso, Micropos ECCLU 2011
  • 27.
  • 28.
    MR-Bild Onk klin,NUS, A W 9602 ECCLU 2011
  • 29.
    Prostate MRI Cancer (S Johansson) Axial Coronal ECCLU 2011
  • 30.
    Umeå Trial 1A randomized Trial Extern Beam RT v.s. Deferred Treatment in Localized Prostate Cancer Inclusion Criteria < 75 years T1b-T2, pN0, G1-G2, M0 Inclusion within 3 mo. from diagnosis Surgical staging (obturator) Bonescan, Pulm X-ray No previous treatment ECCLU 2011
  • 31.
    Umeå Trial 1Inklusion 1986- 1996 > 20 års FU Rand studie, Sweden, Denmark, Norway WW v.s. RT Patienter 107 107 ECCLU 2011
  • 32.
    HYPO-fractionation alpha/beta valuein PC HYPO-RT-PC -Study Fractionation schedule under development Yeho Lukka B&R
  • 33.
    Onk. AW 0609Hypofractionationated treatments ECCLU 2011
  • 34.
    SCANDINAVIAN HYPO-Fractionation studyNUS Onk. AW 0402 Intermediate Risk Patients Conv: 2 Gy x 39 = 78 Gy R HYPO: 6.1 Gy x 7 = 42,7 Gy 15 centers, Sweden and Denmark Canada might Join 440/ 800 patients Included ECCLU 2011
  • 35.
    Blood in StoolsWith Smaller margins ECCLU 2011
  • 36.
    Treatment Effect areimproving What about Side-effects? ECCLU 2011
  • 37.
  • 38.
    N 603 292306 - Age 59 69 65 - PSA 6.7 9.1 5.8 Side-Effects - Sexual ECCLU 2011
  • 39.
    Side-Effects - URIN- Funding ECCLU 2011
  • 40.
    Side-Efects – Bowel- Vitality ECCLU 2011
  • 41.
    Intestinal Symptoms EBRTFig. 2 ECCLU 2011
  • 42.
    Rectal leakage -When? Q31 ECCLU 2011
  • 43.
    Localized PC! LocalCure is Achivable ! Improve Techniques to Decrease Rectal Toxicity!! ECCLU 2011
  • 44.
    Prada et alBrachytherapy , 2007, 2009 ECCLU 2011
  • 45.
    Principal of theNo-HARM study Needel operated Hyaluronic Acid for Rectal Move HA 10% 50% 70% 10% 70% 50% ECCLU 2011
  • 46.
  • 47.
    ECCLU 2011 Before RT 20 treatments ./40 G
  • 48.
  • 49.
  • 50.
  • 51.
  • 52.
    Hydrodissection of thespace between rectum and prostate ECCLU 2011 Pro-Space: Novel Biodegradable Inflatable Balloon System
  • 53.
    BLADDER PENIS RECTUMECCLU 2011 Pro-Space: Novel Biodegradable Inflatable Balloon System
  • 54.
  • 55.
    Lymph Node treatment,IMRT? ECCLU 2011
  • 56.
    Lymph Node treatment,VMAT? ECCLU 2011
  • 57.
    Lymph Node treatment?RTOG 0924 And PIVOTAL RT + HORMONES vs RT + HORMONES + Lymph Node Iradiation ECCLU 2011
  • 58.
    RTOG 8610 RT 2 må.+2 må./RT Randomised Studies Radiation v.s. Radiation + Hormones Umeå 2 RT Kir. Kastration + RT EORTC/Bolla RT RT/samtidigt + Adj.3 år RTOG 8531 RT RT + Adj. LHRH 2 år Lavendiere RT 2 må. +2 m/RT 2 +2 må/RT+6må Adj.LHRH Is anyone doing RT 78 Gy vs Hormones + RT 78 Gy In intermediate risk PC? ECCLU 2011
  • 59.
    - Funding PSArecurrence-free survival T1b-T2, PSA < 50; Grad I-II (“SPCG-4 population”) Combination (n=69) Antiandrogen (n=64) HR 0.10 (0.04, 0.24); p>0.0001 ECCLU 2011
  • 60.
    - Funding ProstateCancer specific survival T1b-T2, PSA < 50; Grad I-II (“SPCG-4 population”) Combination (n=69) Antiandrogen (n=64) HR 0.21 (0.04, 1.00); p<0.03 ECCLU 2011
  • 61.
    - Funding Overallsurvival T1b-T2, PSA < 50; Grad I-II (“SPCG-4 population”) Combination (n=69) Antiandrogen (n=64) HR 0.69 (0.34, 1.39); p<0.30 ECCLU 2011
  • 62.
  • 63.
  • 64.
  • 65.
  • 66.
    RT 70 Gy + 6 m. ADT Intermediate risk No/mild comorbidity Moderate/ severe comor
  • 67.
    RT 70 Gy + 6 m. ADT High Risk No/mild comorbidity Moderate/ severe comor
  • 68.
    Summary Localised PC!Local Cure is ”Achivable (-ed)” New Radiotherapy Tecniques To further Decrease Rectal Toxicity!! ECCLU 2011
  • 69.
    Conclusions Radiotherapy Local Cure is Achivable!! Dose escalation ! IGRT, IMRT Improved precision - smaller margins Less Rectal Toxicity? HYPO - Shorter Treatment time? Low Doctor time Low Cost treatment ECCLU 2011
  • 70.
  • 71.
    Tack! Frågor? ECCLU 2011
  • 72.
    A Randomized TrialComparing Antiandrogens With Or Without Radiotherapy In The Treatment Of Locally Advanced Prostate Cancer: Survival and Qol Outcome A. Widmark , O. Klepp, P. Fransson, J. Damber, A. Angelsen, A. Solberg, J. Lund, M. Hoyer, F Wiklund, S.D. Fosså On Behalf of SPCG-7/SFUO-3 Study Group Scandinavian Prostate Cancer Group and Swedish Association of Urological Oncology ASTRO, 2008, Plenary Session, The Lancet ECCLU 2011
  • 73.
    Cumulative incidence of PSA Recurrence 74.7 % (69.6 - 79.8) 71.1 (66.3-75.9) 25.9 % (19.3 - 32.6) p<0.00001 Combination 17.6 % (13.6-21.5) Why this huge benefit? Local control is important? Seeding of cancer cells? Abscopla effect? Vaccination/immunstimulation? ECCLU 2011
  • 74.
    Cumulative incidence of Prostate Cancer mortality 11.9% (7.4 -16.5) p=0.00003 23.9% (18.4 - 29.4) 9.9 (7.1-5.9) 6.3 % (3.9-8.6) ASTRO, 2008, Plenary Session ECCLU 2011
  • 75.
    Cumulative incidence of Prostate Cancer mortality 9.9 (7.1-5.9) 6.3 % (3.9-8.6) ASTRO, 2008, Plenary Session ECCLU 2011 SPCG-4

Editor's Notes