Author(s): Vernon Carruthers, Ph.D., Cary Engleberg, M.D., D.T.M.&H., 2009

License: Unless otherwise noted, this material is made available under the terms of the
Creative Commons Attribution 3.0 License: http://creativecommons.org/licenses/by/3.0/


We have reviewed this material in accordance with U.S. Copyright Law and have tried to maximize your ability to use, share, and adapt it.
The citation key on the following slide provides information about how you may share and adapt this material.

Copyright holders of content included in this material should contact open.michigan@umich.edu with any questions, corrections, or
clarification regarding the use of content.

For more information about how to cite these materials visit http://open.umich.edu/education/about/terms-of-use.

Any medical information in this material is intended to inform and educate and is not a tool for self-diagnosis or a replacement for medical
evaluation, advice, diagnosis or treatment by a healthcare professional. Please speak to your physician if you have questions about your
medical condition.

Viewer discretion is advised: Some medical content is graphic and may not be suitable for all viewers.
Citation Key
                                 for more information see: http://open.umich.edu/wiki/CitationPolicy



Use + Share + Adapt
  { Content the copyright holder, author, or law permits you to use, share and adapt. }
                 Public Domain – Government: Works that are produced by the U.S. Government. (17 USC § 105)
                 Public Domain – Expired: Works that are no longer protected due to an expired copyright term.
                 Public Domain – Self Dedicated: Works that a copyright holder has dedicated to the public domain.

                 Creative Commons – Zero Waiver

                 Creative Commons – Attribution License
                 Creative Commons – Attribution Share Alike License
                 Creative Commons – Attribution Noncommercial License
                 Creative Commons – Attribution Noncommercial Share Alike License
                 GNU – Free Documentation License

Make Your Own Assessment
   { Content Open.Michigan believes can be used, shared, and adapted because it is ineligible for copyright. }
                Public Domain – Ineligible: Works that are ineligible for copyright protection in the U.S. (17 USC § 102(b)) *laws in your jurisdiction
                may differ
   { Content Open.Michigan has used under a Fair Use determination. }
                Fair Use: Use of works that is determined to be Fair consistent with the U.S. Copyright Act. (17 USC § 107) *laws in your jurisdiction
                may differ
                Our determination DOES NOT mean that all uses of this 3rd-party content are Fair Uses and we DO NOT guarantee that your use of
                the content is Fair.
                To use this content you should do your own independent analysis to determine whether or not your use will be Fair.
Helmintic Infections
          M1 Infectious Diseases Sequence
                 Vernon Carruthers
                   Cary Engleberg



Spring 2009
Infection vs. disease

• successful parasites live in, but do not
  kill their hosts
• protozoa multiply within hosts
  expression of disease depends on host
   factors
• helminths do not multiply within hosts
  severity of disease depends on parasite
   burden and immunologic response to
   parasites
                                            3
Helminth forms




                              Larva

Egg
                              Cyst
                                            Adults
                                                     4
 C. Engleberg/V. Carruthers
Helminth modes of entry


• Ingestion (eggs or cysts)
• Arthropod bites (larvae)
• Penetration of intact skin or
 mucous membranes (larvae)


                                  5
Spread and tropisms
• Some parasites must migrate to
  certain locations within the host
  in order to complete their life
  cycle
• Non-human parasites, in humans,
  often fail to migrate properly and
  become dead-end infections

                                   6
Cary Engleberg



                 7
Mechanisms for evading the host response
•  antigenic variation - trypanosomes, malaria,
   giardia
•  intracellular infection - malaria, toxoplasma
•  encystation* - Toxoplasma, cestodes
•  camouflage - schistosomes
•  cleavage of ABs or C components - amoebae,
   leishmania
•  suppression/redirection of the cellular immune
   response - malaria, leishmania, schistosomes
            * cyst has multiple meanings    8
Tissue damage and host
             response

• direct destruction of tissue
• hypersensitivity reactions
• eosinophila
  – occurs with helminths, not protozoa
  – results from tissue migration
                                      9
Classification of helminths


Nematodes (roundworms)
Platyhelminthes (flatworms)
   Trematodes ( flukes )
   Cestodes ( tapeworms )


C. Engleberg/V. Carruthers
                                                  10
Helmintic diseases
             • Intestinal
               – Others
               – Strongyloides   (autoinfection cycle)
roundworms   • Invasive
               – Trichinosis (muscle pain, uncooked carnivores)
               – Filaria (worms in lymphatics or under skin)
    flukes     – Schistosomiasis (liver or urinary tract
                                   granulomas and fibrosis)

 tapeworms
               – Cysticercosis (cysts in brain, seizures)
               – Echinococcus (massive cysts in liver or lung)
                                                         11
Intestinal nematodes
                                           Adult worms in the
                                             the intestine
           Larvae pass
          through lungs
                                       Trichiuris (whipworm)
                                       Enterobius (pinworm)


Larvae enter                                                             Eggs
bloodstream                                 Eggs ingested
                             ascaris




                                                 strongyloides
                                                  hookworm       Larvae hatch
                      Larvae penetrate
                                                                  from eggs
                     through intact skin

C. Engleberg/V. Carruthers
                                                                                12
Strongyloides life cycle
                               Adult worms in the
                                 the intestine
          Larvae pass
         through lungs




Larvae enter                                                  Eggs
bloodstream                  Autoinfection

                                                         1st stage
         Larvae penetrate                              larvae hatch
        through intact skin        Larvae molt           from eggs
                                   twice to form
                                   filariform larvae                  13
C. Engleberg/V. Carruthers            (infectious)
Source Undetermined



                      14
Strongyloides - clinical features

• uncomplicated
  – GI upset
• autoinfection
• hyperinfection
  – rash
  – bronchspasm, chest X-ray infiltrates
  – diarrhea
  – profound eosinophilia
  – recurrent Gram-negative bacteremia     15
Trichinosis



              16
Trichinella spiralis - life cycle

•  cycle of carnivorism among hogs and rats
•  humans ingest encysted larvae in infected,
   undercooked pork
•  larvae exist in stomach and burrow into small
   intestinal mucosa
•  adult males and female reemerge and produce
   larvae which penetrate intestine and circulate in
   bloodstream
•  larvae enter skeletal muscle cells and encyst
                                                 17
Source Undetermined   Source Undetermined




                                            18
Trichinosis cases, by source of
      infection, U.S.,1981
  Pork products
    sausage               93
    other                 44
    unspecified            9
  Non-pork products
    hamburger             18
    bear                  10
    other wild animals     7
  Unknown                  7
                         188      19
Clinical features of trichinosis

• Most common sxs:
  – muscle pain and tenderness
  – fever +/- chills
  – edema (often periorbital)
• >10% eosinophilia (often ~50%)
• elevated creatine phosphokinase (CPK)
• +/- chronic neurologic/myocardial sxs
• self-limited (2% mortality)
                                       20
Treatment of trichinosis

• antihelmintic (albendazole) to kill
  any intestinal adults
• steroids to relieve inflammatory
  reactions
• antipyretics

                                        21
Filaria


          22
Life cycles of two types of
                            filaria

                     Arthropod       Adult            Larvae
                      vector        worm pairs     (microfilariae)
Lymph-               mosquitoes      peripheral        circulate
 dwelling                           lymphatics      in bloodstream
(e.g, Wuchereria
      bancroftii )

Skin-                biting flies   skin nodules   migrate through
  dwelling                          or migratory      dermis


                                                             23
Microfiliaria found in the blood of
     lymph dwelling species




 Armed Forces Institute of Pathology



                                       24
Long-term
consequences of
persistent lymph-
dwelling filarial
infection:

Blockage of lymph
drainage with
chronic lymphedema
(elephantiasis)


                     Source Undetermined

                                           25
Source Undetermined

                      26
Life cycles of two types of
                            filaria
                     Arthropod       Adult            Larvae
                      vector        worm pairs     (microfilariae)
Lymph-               mosquitoes      peripheral        circulate
 dwelling                           lymphatics      in bloodstream
(e.g, Wuchereria
      bancroftii )

Skin-                biting flies   skin nodules   migrate through
  dwelling                          or migratory      dermis
(e.g., Onchocerca
       volvulus &
       Loa loa )

                                                             27
Source Undetermined




Black fly: vector of Onchocerciasis

                                      28
O. volvulus microfilaria (a skin-
                     dwelling species) in skin snip
      Snip site




                        Source Undetermined


                  Depigmentation due to chronic
                  microfilarial production, degradation, and
                  allergic host responses in the skin
Cary Engleberg
                                                       29
Cary Engleberg


                 30
Source Undetermined



O. volvulus skin nodule removed and sectioned,
  showing cross-sections of male and female
     adult worms (source of microfiliariae)
                                                 31
Source Undetermined



  Onchocerciasis ( River blindness )   32
Role of endosymbiont Wohlbachia
      sp. in filiaria infection

• Rickettsia-like organisms required
  for fecundity and viability of filaria
• Wohlbachia-free worms produce
  less inflammation in tissue (? LPS)
• Implications for rx:
  – ivermectin kills microfilaria only
  – tetracycline may destroy adult worms
                                           33
Schistosomiasis



                  34
Geographic distribution of
                     schistosomiasis




                           S. mansoni
                           S. hematobium
                           S. japonicum
                                              35
Cary Engleberg
Schistosomiasis - life cycle




                                                                      Eggs
Cercaria
                                                    S.m. S.h. S.j.




(snail) Pearson Scott Foresman, wikimedia commons
                                                                     36
Cary Engleberg (All other images)
Source Undetermined
  Source Undetermined        Source Undetermined



S. mansoni              S. haematobium             S. japonicum

                                                                    37
Source Undetermined




                      38
Events following cercarial penetration
1.  Larva migrate to lungs and develop as
      schistosomulae (this may trigger a self-
    limited febrile illness).
2.  Male and female schistomulae migrate to the
    abdominal venules:
    I.  Superior mesenteric (S. japonicum)
    II.  Inferior mesenteric (S. mansoni)
    III.  Bladder plexus (S. hematobium)
3.  Males and females pair off and egg production
    begins
4.  Eggs migrate out of the body through visceral
    organs or become trapped and die in tissues.
                                               39
Immune response to
          schistosoma infection




Source Undetermined
                                  40
Source Undetermined




                      41
Source Undetermined




                      42
Source Undetermined




                      43
Source Undetermined




                      44
Source Undetermined




                      45
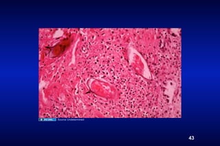
Source Undetermined



        pipestem fibrosis
                            46
Source Undetermined




                      47
Schistosomiasis - pathogenesis


• egg granuloma (type IV reaction)--> fibrosis
• morbidity ~ worm (egg) burden
• concomitant immunity to schistosomula
• adult worms: invisible to the immune
 system (survive for years)



                                          48
Schistosomiasis- clinical features

• Cercarial dermatitis
• Intestinal schistosomiasis (granulomas -->
 polyps, protein loss, malabsorption, strictures)
• Hepatosplenic schistosomiasis (portal
 hypertension --> ascites, varices, splenomegaly,
 normal hepatic function)
• Urinary schistosomiasis (hematuria, chronic
   infection, obstruction)
•  Other (cardiopulmonary, CNS, etc.)
                                               49
Drug treatment of
         schistosomiasis

• Praziquantel increases permeability
  of adult parasite to Ca++.
• Tetanospasm --> death


                                    50
Cestode infections



                     51
Tapeworms

• Definitive hosts: harbor adult worms
• Intermediate hosts: harbor tissue cysts
  (containing worm heads)
• Humans acquire infection two ways:
  – ingestion of eggs from feces (to acquire
   tissue cysts) = Intermediate host
  – ingestion of tissue cysts in undercooked
   meat (to acquire a tapeworm) = Definitive host
                                               52
Taeniasis                                                             poor
                                                                      sanitation
                                                ingestion of
                                                undercooked pork




                                                                   poor
                                                                   hygiene




                                                 Tapeworm             Cysticercosis
(pig) Martin von Nathusius, wikimedia commons
                                                                                   53
 Cary Engleberg (All other images)
Source Undetermined



                      54
Source Undetermined

                      55
Source Undetermined




                      56
Source Undetermined


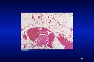
                      57
Cysticerci         Hydatid Cyst




C. Engleberg/V. Carruthers
                                            58
Isolated cysticerci      Hydatid cyst




                         Source Undetermined
   Source Undetermined


                                               59
Source Undetermined




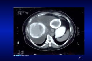
Duane Newton          60
Echinococcosis                       ingestion of
                                     eggs in
                                     pastures
                                                       ingestion of
                                                         entrails


                                             contact
                                              with
                                              dogs




 (dog) Abujoy, wikimedia commons     Cystic Hydatid Disease
 (sheep) wikimedia commons                                        61
 Cary Engleberg (All other images)
Cary Engleberg

                 62
Treatment of cysticercosis and
       echinococcosis
• Antihelminthic therapy (e.g.,
  albendazole, praziquantel)
• (Echinococcus only)
   – Surgical removal
   – Irrigation-evacuation of cysts

                                      63
Comparison of pork tapeworm
            and Echinococcus life cycles

  Definitive
    hosts                     Dog      Dead-end
   (adult                    Human      hosts
 tapeworms)
                                           Human
                                           Human
Intermediate
    hosts                    Sheep
(tissue cysts)
                              Pig

C. Engleberg/V. Carruthers
                                            64
Additional Source Information
                                   for more information see: http://open.umich.edu/wiki/CitationPolicy

Slide 5: Cary Engleberg and Vernon Carruthers
Slide 8: Cary Engleberg
Slide 11: Cary Engleberg and Vernon Carruthers
Slide 13: Cary Engleberg and Vernon Carruthers
Slide 14: Cary Engleberg and Vernon Carruthers
Slide 15: Source Undetermined
Slide 19: Sources Undetermined
Slide 25: Armed Forces Institute of Pathology, http://www.afip.org/index.html
Slide 26: Source Undetermined
Slide 27: Source Undetermined
Slide 29: Source Undetermined
Slide 30: Cary Engleberg (left) Sources Undetermined (right)
Slide 31: Cary Engleberg
Slide 32: Source Undetermined
Slide 33: Source Undetermined
Slide 36: Cary Engleberg
Slide 37: (snail) Pearson Scott Foresman, Wikimedia Commons, http://commons.wikimedia.org/wiki/File:Snail_(PSF).png; Cary Engleberg All other images)
Slide 38: Sources Undetermined
Slide 39: Source Undetermined
Slide 41: Source Undetermined
Slide 42: Source Undetermined
Slide 43: Source Undetermined
Slide 44: Source Undetermined
Slide 45: Source Undetermined
Slide 46: Source Undetermined
Slide 47: Source Undetermined
Slide 48: Source Undetermined
Slide 54: (pig) Martin von Nathusius, Wikimedia Commons, http://commons.wikimedia.org/wiki/File:Cochon.svg; Cary Engleberg (All other images)
Slide 55: Source Undetermined
Slide 56: Source Undetermined
Slide 57: Source Undetermined
Slide 58: Source Undetermined
Slide 59: Cary Engleberg and Vernon Carruthers
Slide 60: Sources Undetermined
Slide 61: Duane Newton, University fo Michigan
Slide 62: (dog) Abujoy, Wikimedia Commons, http://commons.wikimedia.org/wiki/File:Dog_silhouette.svg, CC:BY-SA,
      http://creativecommons.org/licenses/by-sa/2.5/deed.en ; (sheep) Wikimedia Commons,
      http://commons.wikimedia.org/wiki/File:LA2-Blitz-Ostfriesisches_Milchschaf.png ; Cary Engleberg (All other images)
Slide 63: Cary Engleberg
Slide 65: Cary Engleberg and Vernon Carruthers

04.30.09: Helmintic Infections

  • 1.
    Author(s): Vernon Carruthers,Ph.D., Cary Engleberg, M.D., D.T.M.&H., 2009 License: Unless otherwise noted, this material is made available under the terms of the Creative Commons Attribution 3.0 License: http://creativecommons.org/licenses/by/3.0/ We have reviewed this material in accordance with U.S. Copyright Law and have tried to maximize your ability to use, share, and adapt it. The citation key on the following slide provides information about how you may share and adapt this material. Copyright holders of content included in this material should contact open.michigan@umich.edu with any questions, corrections, or clarification regarding the use of content. For more information about how to cite these materials visit http://open.umich.edu/education/about/terms-of-use. Any medical information in this material is intended to inform and educate and is not a tool for self-diagnosis or a replacement for medical evaluation, advice, diagnosis or treatment by a healthcare professional. Please speak to your physician if you have questions about your medical condition. Viewer discretion is advised: Some medical content is graphic and may not be suitable for all viewers.
  • 2.
    Citation Key for more information see: http://open.umich.edu/wiki/CitationPolicy Use + Share + Adapt { Content the copyright holder, author, or law permits you to use, share and adapt. } Public Domain – Government: Works that are produced by the U.S. Government. (17 USC § 105) Public Domain – Expired: Works that are no longer protected due to an expired copyright term. Public Domain – Self Dedicated: Works that a copyright holder has dedicated to the public domain. Creative Commons – Zero Waiver Creative Commons – Attribution License Creative Commons – Attribution Share Alike License Creative Commons – Attribution Noncommercial License Creative Commons – Attribution Noncommercial Share Alike License GNU – Free Documentation License Make Your Own Assessment { Content Open.Michigan believes can be used, shared, and adapted because it is ineligible for copyright. } Public Domain – Ineligible: Works that are ineligible for copyright protection in the U.S. (17 USC § 102(b)) *laws in your jurisdiction may differ { Content Open.Michigan has used under a Fair Use determination. } Fair Use: Use of works that is determined to be Fair consistent with the U.S. Copyright Act. (17 USC § 107) *laws in your jurisdiction may differ Our determination DOES NOT mean that all uses of this 3rd-party content are Fair Uses and we DO NOT guarantee that your use of the content is Fair. To use this content you should do your own independent analysis to determine whether or not your use will be Fair.
  • 3.
    Helmintic Infections M1 Infectious Diseases Sequence Vernon Carruthers Cary Engleberg Spring 2009
  • 4.
    Infection vs. disease • successfulparasites live in, but do not kill their hosts • protozoa multiply within hosts expression of disease depends on host factors • helminths do not multiply within hosts severity of disease depends on parasite burden and immunologic response to parasites 3
  • 5.
    Helminth forms Larva Egg Cyst Adults 4 C. Engleberg/V. Carruthers
  • 6.
    Helminth modes ofentry • Ingestion (eggs or cysts) • Arthropod bites (larvae) • Penetration of intact skin or mucous membranes (larvae) 5
  • 7.
    Spread and tropisms • Someparasites must migrate to certain locations within the host in order to complete their life cycle • Non-human parasites, in humans, often fail to migrate properly and become dead-end infections 6
  • 8.
  • 9.
    Mechanisms for evadingthe host response •  antigenic variation - trypanosomes, malaria, giardia •  intracellular infection - malaria, toxoplasma •  encystation* - Toxoplasma, cestodes •  camouflage - schistosomes •  cleavage of ABs or C components - amoebae, leishmania •  suppression/redirection of the cellular immune response - malaria, leishmania, schistosomes * cyst has multiple meanings 8
  • 10.
    Tissue damage andhost response • direct destruction of tissue • hypersensitivity reactions • eosinophila – occurs with helminths, not protozoa – results from tissue migration 9
  • 11.
    Classification of helminths Nematodes(roundworms) Platyhelminthes (flatworms) Trematodes ( flukes ) Cestodes ( tapeworms ) C. Engleberg/V. Carruthers 10
  • 12.
    Helmintic diseases • Intestinal – Others – Strongyloides (autoinfection cycle) roundworms • Invasive – Trichinosis (muscle pain, uncooked carnivores) – Filaria (worms in lymphatics or under skin) flukes – Schistosomiasis (liver or urinary tract granulomas and fibrosis) tapeworms – Cysticercosis (cysts in brain, seizures) – Echinococcus (massive cysts in liver or lung) 11
  • 13.
    Intestinal nematodes Adult worms in the the intestine Larvae pass through lungs Trichiuris (whipworm) Enterobius (pinworm) Larvae enter Eggs bloodstream Eggs ingested ascaris strongyloides hookworm Larvae hatch Larvae penetrate from eggs through intact skin C. Engleberg/V. Carruthers 12
  • 14.
    Strongyloides life cycle Adult worms in the the intestine Larvae pass through lungs Larvae enter Eggs bloodstream Autoinfection 1st stage Larvae penetrate larvae hatch through intact skin Larvae molt from eggs twice to form filariform larvae 13 C. Engleberg/V. Carruthers (infectious)
  • 15.
  • 16.
    Strongyloides - clinicalfeatures • uncomplicated – GI upset • autoinfection • hyperinfection – rash – bronchspasm, chest X-ray infiltrates – diarrhea – profound eosinophilia – recurrent Gram-negative bacteremia 15
  • 17.
  • 18.
    Trichinella spiralis -life cycle •  cycle of carnivorism among hogs and rats •  humans ingest encysted larvae in infected, undercooked pork •  larvae exist in stomach and burrow into small intestinal mucosa •  adult males and female reemerge and produce larvae which penetrate intestine and circulate in bloodstream •  larvae enter skeletal muscle cells and encyst 17
  • 19.
    Source Undetermined Source Undetermined 18
  • 20.
    Trichinosis cases, bysource of infection, U.S.,1981 Pork products sausage 93 other 44 unspecified 9 Non-pork products hamburger 18 bear 10 other wild animals 7 Unknown 7 188 19
  • 21.
    Clinical features oftrichinosis • Most common sxs: – muscle pain and tenderness – fever +/- chills – edema (often periorbital) • >10% eosinophilia (often ~50%) • elevated creatine phosphokinase (CPK) • +/- chronic neurologic/myocardial sxs • self-limited (2% mortality) 20
  • 22.
    Treatment of trichinosis • antihelmintic(albendazole) to kill any intestinal adults • steroids to relieve inflammatory reactions • antipyretics 21
  • 23.
  • 24.
    Life cycles oftwo types of filaria Arthropod Adult Larvae vector worm pairs (microfilariae) Lymph- mosquitoes peripheral circulate dwelling lymphatics in bloodstream (e.g, Wuchereria bancroftii ) Skin- biting flies skin nodules migrate through dwelling or migratory dermis 23
  • 25.
    Microfiliaria found inthe blood of lymph dwelling species Armed Forces Institute of Pathology 24
  • 26.
    Long-term consequences of persistent lymph- dwellingfilarial infection: Blockage of lymph drainage with chronic lymphedema (elephantiasis) Source Undetermined 25
  • 27.
  • 28.
    Life cycles oftwo types of filaria Arthropod Adult Larvae vector worm pairs (microfilariae) Lymph- mosquitoes peripheral circulate dwelling lymphatics in bloodstream (e.g, Wuchereria bancroftii ) Skin- biting flies skin nodules migrate through dwelling or migratory dermis (e.g., Onchocerca volvulus & Loa loa ) 27
  • 29.
    Source Undetermined Black fly:vector of Onchocerciasis 28
  • 30.
    O. volvulus microfilaria(a skin- dwelling species) in skin snip Snip site Source Undetermined Depigmentation due to chronic microfilarial production, degradation, and allergic host responses in the skin Cary Engleberg 29
  • 31.
  • 32.
    Source Undetermined O. volvulusskin nodule removed and sectioned, showing cross-sections of male and female adult worms (source of microfiliariae) 31
  • 33.
    Source Undetermined Onchocerciasis ( River blindness ) 32
  • 34.
    Role of endosymbiontWohlbachia sp. in filiaria infection • Rickettsia-like organisms required for fecundity and viability of filaria • Wohlbachia-free worms produce less inflammation in tissue (? LPS) • Implications for rx: – ivermectin kills microfilaria only – tetracycline may destroy adult worms 33
  • 35.
  • 36.
    Geographic distribution of schistosomiasis S. mansoni S. hematobium S. japonicum 35 Cary Engleberg
  • 37.
    Schistosomiasis - lifecycle Eggs Cercaria S.m. S.h. S.j. (snail) Pearson Scott Foresman, wikimedia commons 36 Cary Engleberg (All other images)
  • 38.
    Source Undetermined Source Undetermined Source Undetermined S. mansoni S. haematobium S. japonicum 37
  • 39.
  • 40.
    Events following cercarialpenetration 1.  Larva migrate to lungs and develop as schistosomulae (this may trigger a self- limited febrile illness). 2.  Male and female schistomulae migrate to the abdominal venules: I.  Superior mesenteric (S. japonicum) II.  Inferior mesenteric (S. mansoni) III.  Bladder plexus (S. hematobium) 3.  Males and females pair off and egg production begins 4.  Eggs migrate out of the body through visceral organs or become trapped and die in tissues. 39
  • 41.
    Immune response to schistosoma infection Source Undetermined 40
  • 42.
  • 43.
  • 44.
  • 45.
  • 46.
  • 47.
    Source Undetermined pipestem fibrosis 46
  • 48.
  • 49.
    Schistosomiasis - pathogenesis • egggranuloma (type IV reaction)--> fibrosis • morbidity ~ worm (egg) burden • concomitant immunity to schistosomula • adult worms: invisible to the immune system (survive for years) 48
  • 50.
    Schistosomiasis- clinical features • Cercarialdermatitis • Intestinal schistosomiasis (granulomas --> polyps, protein loss, malabsorption, strictures) • Hepatosplenic schistosomiasis (portal hypertension --> ascites, varices, splenomegaly, normal hepatic function) • Urinary schistosomiasis (hematuria, chronic infection, obstruction) •  Other (cardiopulmonary, CNS, etc.) 49
  • 51.
    Drug treatment of schistosomiasis • Praziquantel increases permeability of adult parasite to Ca++. • Tetanospasm --> death 50
  • 52.
  • 53.
    Tapeworms • Definitive hosts: harboradult worms • Intermediate hosts: harbor tissue cysts (containing worm heads) • Humans acquire infection two ways: – ingestion of eggs from feces (to acquire tissue cysts) = Intermediate host – ingestion of tissue cysts in undercooked meat (to acquire a tapeworm) = Definitive host 52
  • 54.
    Taeniasis poor sanitation ingestion of undercooked pork poor hygiene Tapeworm Cysticercosis (pig) Martin von Nathusius, wikimedia commons 53 Cary Engleberg (All other images)
  • 55.
  • 56.
  • 57.
  • 58.
  • 59.
    Cysticerci Hydatid Cyst C. Engleberg/V. Carruthers 58
  • 60.
    Isolated cysticerci Hydatid cyst Source Undetermined Source Undetermined 59
  • 61.
  • 62.
    Echinococcosis ingestion of eggs in pastures ingestion of entrails contact with dogs (dog) Abujoy, wikimedia commons Cystic Hydatid Disease (sheep) wikimedia commons 61 Cary Engleberg (All other images)
  • 63.
  • 64.
    Treatment of cysticercosisand echinococcosis • Antihelminthic therapy (e.g., albendazole, praziquantel) • (Echinococcus only) – Surgical removal – Irrigation-evacuation of cysts 63
  • 65.
    Comparison of porktapeworm and Echinococcus life cycles Definitive hosts Dog Dead-end (adult Human hosts tapeworms) Human Human Intermediate hosts Sheep (tissue cysts) Pig C. Engleberg/V. Carruthers 64
  • 66.
    Additional Source Information for more information see: http://open.umich.edu/wiki/CitationPolicy Slide 5: Cary Engleberg and Vernon Carruthers Slide 8: Cary Engleberg Slide 11: Cary Engleberg and Vernon Carruthers Slide 13: Cary Engleberg and Vernon Carruthers Slide 14: Cary Engleberg and Vernon Carruthers Slide 15: Source Undetermined Slide 19: Sources Undetermined Slide 25: Armed Forces Institute of Pathology, http://www.afip.org/index.html Slide 26: Source Undetermined Slide 27: Source Undetermined Slide 29: Source Undetermined Slide 30: Cary Engleberg (left) Sources Undetermined (right) Slide 31: Cary Engleberg Slide 32: Source Undetermined Slide 33: Source Undetermined Slide 36: Cary Engleberg Slide 37: (snail) Pearson Scott Foresman, Wikimedia Commons, http://commons.wikimedia.org/wiki/File:Snail_(PSF).png; Cary Engleberg All other images) Slide 38: Sources Undetermined Slide 39: Source Undetermined Slide 41: Source Undetermined Slide 42: Source Undetermined Slide 43: Source Undetermined Slide 44: Source Undetermined Slide 45: Source Undetermined Slide 46: Source Undetermined Slide 47: Source Undetermined Slide 48: Source Undetermined Slide 54: (pig) Martin von Nathusius, Wikimedia Commons, http://commons.wikimedia.org/wiki/File:Cochon.svg; Cary Engleberg (All other images) Slide 55: Source Undetermined Slide 56: Source Undetermined Slide 57: Source Undetermined Slide 58: Source Undetermined Slide 59: Cary Engleberg and Vernon Carruthers Slide 60: Sources Undetermined Slide 61: Duane Newton, University fo Michigan Slide 62: (dog) Abujoy, Wikimedia Commons, http://commons.wikimedia.org/wiki/File:Dog_silhouette.svg, CC:BY-SA, http://creativecommons.org/licenses/by-sa/2.5/deed.en ; (sheep) Wikimedia Commons, http://commons.wikimedia.org/wiki/File:LA2-Blitz-Ostfriesisches_Milchschaf.png ; Cary Engleberg (All other images) Slide 63: Cary Engleberg Slide 65: Cary Engleberg and Vernon Carruthers