Embed presentation
Downloaded 47 times



































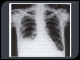
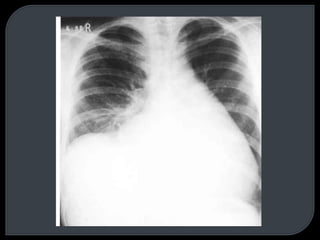
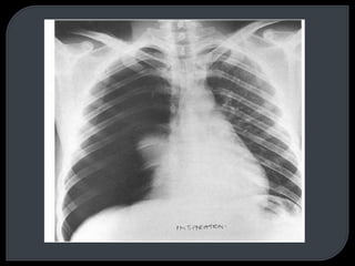
This document discusses x-rays and radiographic views. It begins with the discovery of x-rays by Wilhelm Conrad Roentgen. It then covers basic concepts like radiopacity and radiolucency. Several standard radiographic views are described like AP, PA, lateral, and decubitus. The document outlines how to analyze a chest x-ray using the ABCD method and lists common abnormal radiological signs. Radiographic technique factors like centering and inspiration level are also addressed.


































