WRIST FRACTURES
A PRESENTATION BY THE CASUALTY
CREW
TEXT
WHY SHOULD WE KNOW ABOUT THESE FRACTURES
▸ THESE ARE SOME OF THE MOST COMMON FRACTURES
SEEN
▸ THEY ARE ALSO SOME OF THE MOST EASILY MISSED
▸ CAN LEAD TO SIGNIFICANT DISABILITY IF UNTREATED
▸ VERY EASY TO IDENTIFY ONCE YOU KNOW WHAT TO
LOOK FOR
A NORMAL
WRIST
‣ CAN YOU NAME THE BONES?
‣ NOTE THE 3 ARCS YOU SHOULD CHECK FOR
‣ NOTE THE NORMAL DISTANCES BETWEEN THE
CARPAL BONES
S
L
T
P
R U
TR TR
C
H
THE ZONE OF VULNERABILITY
MOST FRACTURES/DISLOCATIONS WILL OCCUR HERE
▸ MOST INJURIES ARE DUE TO FOOSH (FALL ON
OUT STRETCHED HAND)
▸ AS YOU PROGRESS FROM RADIUS TO ULNAR
SIDE, THE SEVERITY OF INJURY INCREASES BUT
THE FREQUENCY DECREASES
▸ I.E, A RADIAL STYLOID # IS COMMON BUT NOT
SEVERE
▸ AN ULNAR STYLOID FRACTURE IS LESS COMMON
BUT MORE SEVERE
▸ A SCAPHOID WAIST # IS MORE COMMON THAN A
HAMATE #, BUT THE HAMATE # IS A MORE SEVERE
INJURY (GOT IT?!)
▸ THIS APPLIES TO DISLOCATIONS/ FRACTURE-
DISLOCATIONS AS WELL
NOW FOR SOME
FRACTURES
LET START WITH EASY ONES
1
2
3
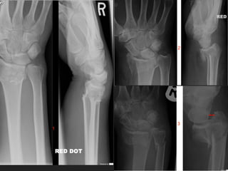
COLLES #
NOTE THAT THE DISTAL
RADIUS IS DISPLACED
POSTERIORLY
SMITHS #
NOTE THAT THE DISTAL
RADIUS IS DISPLACED
ANTERIORLY
BARTONS #
NOTE THAT THERE IS RADIO-
CARPAL SUBLAXATION
THIS A VOLAR TYPE
NAME THE #
WHICH WAY DOES THE
DISPLACEMENT GO?
NAME THE #
WHICH WAY DOES THE
DISPLACEMENT GO?
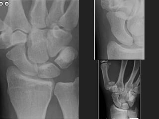
FIND THE FRACTURE
WAS IT DIFFICULT?
▸ HOW COMMON IS IT?
▸ HOW SEVERE IS IT?
FIND THE #
WAS IT DIFFICULT?
▸ HOW COMMON IS IT
▸ HOW SEVERE IS IT
LETS TRY SOME
CARPAL BONE #’S
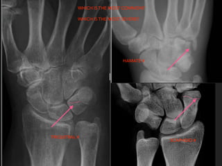
FIND THE FRACTURE
WHAT IS IT CALLED?
▸ HOW COMMON IS IT
▸ HOW SEVERE IS IT
▸ WHAT IS THE DANGER OF THIS #
FIND THE FRACTURE
WAS IT DIFFICULT?
▸ THESE FRACTURES CAN BE
SUBTLE
▸ CHECK FOR PAIN IN THE
ANATOMICAL SNUFFBOX
▸ IF YOU ARE UNSURE THEN
BETTER TO PUT IN A POP AND RE
X-RAY IN 10-14 DAYS
LETS FIND SOME
FRACTURES
BENNETS #
ONE MORE SET
FOR FUN
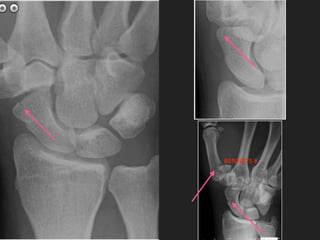
TRIQUITRAL #
HAMATE #
SCAPHOID #
WHICH IS THE MOST COMMON?
WHICH IS THE MOST SEVERE?
LETS DO SOME
DISLOCATIONS
A NORMAL LATERAL
VERY IMPORTANT FOR ASSESSING DISLOCATIONS
▸ CAN YOU NAME WHAT YOU SEE?
▸ C- CAPITATE , SITS IN THE L-
LUNATE, SITS IN THE R-RADIUS
▸ APPLE (C) SITS IN THE CUP (L) SITS
IN THE SAUCER (R)
C
L
R
WHAT IS OUT OF
PLACE?
COMPARE TO THE
PREVIOUS IMAGE
CAN YOU SEE IT NOW
THIS IS A LUNATE DISLOCATION
▸ THE LUNATE (CUP) IS DISPLACED
FROM THE RADIUS (SAUCER)
▸ THE CAPITATE MAY BE IN
VARIOUS POSITIONS BUT IS
GENERALLY POSTERIOR
WHAT IS OUT OF
PLACE?
THINK OF THE APPLE,
CUP AND SAUCER
CAN YOU SEE IT NOW?
THIS IS A PERILUNATE DISLOCATION
▸ THE CAPITATE (APPLE) HAS
DISLOCATED FROM THE LUNATE
(CUP)
▸ BUT THE LUNATE (CUP) IS STILL
ATTACHED TO THE RADIUS
(SAUCER)
▸ EASY?
THE DIAGNOSIS IS NOT
IMPORTANT
CAN YOU SEE THE
DISPLACEMENTS
NOT SO DIFFICULT IS IT!
THIS IS A MIDCARPAL DISLOCATION
▸ BOTH THE CAPITATE AND
LUNATE ARE DISPLACED
▸ THE MOST IMPORTANT THING IS
TO SPOT THE DISPLACEMENT,
THE FINAL DIAGNOSIS IS MADE
BY AN ORTHOPAEDIC SPECIALIST
▸ BUT THEY WILL BE IMPRESSED IF
YOU PICK IT UP
FINALLY
THIS IS A SCAPHO-LUNATE DISSOCIATION
▸ NOTE THE WIDE SPACE BETWEEN
THE SCAPHOID AND THE LUNATE
▸ CAUSES AN UNSTABLE WRIST
▸ VERY EASY TO MISS
▸ SEVERE PAIN ON MOVEMENT IN
THE ABSENCE OF A # SHOULD
MAKE YOU GO BACK AND
CHECK FOR THIS
Wrist fractures pdf

Wrist fractures pdf

  • 1.
    WRIST FRACTURES A PRESENTATIONBY THE CASUALTY CREW
  • 2.
    TEXT WHY SHOULD WEKNOW ABOUT THESE FRACTURES ▸ THESE ARE SOME OF THE MOST COMMON FRACTURES SEEN ▸ THEY ARE ALSO SOME OF THE MOST EASILY MISSED ▸ CAN LEAD TO SIGNIFICANT DISABILITY IF UNTREATED ▸ VERY EASY TO IDENTIFY ONCE YOU KNOW WHAT TO LOOK FOR
  • 3.
    A NORMAL WRIST ‣ CANYOU NAME THE BONES? ‣ NOTE THE 3 ARCS YOU SHOULD CHECK FOR ‣ NOTE THE NORMAL DISTANCES BETWEEN THE CARPAL BONES S L T P R U TR TR C H
  • 4.
    THE ZONE OFVULNERABILITY MOST FRACTURES/DISLOCATIONS WILL OCCUR HERE ▸ MOST INJURIES ARE DUE TO FOOSH (FALL ON OUT STRETCHED HAND) ▸ AS YOU PROGRESS FROM RADIUS TO ULNAR SIDE, THE SEVERITY OF INJURY INCREASES BUT THE FREQUENCY DECREASES ▸ I.E, A RADIAL STYLOID # IS COMMON BUT NOT SEVERE ▸ AN ULNAR STYLOID FRACTURE IS LESS COMMON BUT MORE SEVERE ▸ A SCAPHOID WAIST # IS MORE COMMON THAN A HAMATE #, BUT THE HAMATE # IS A MORE SEVERE INJURY (GOT IT?!) ▸ THIS APPLIES TO DISLOCATIONS/ FRACTURE- DISLOCATIONS AS WELL
  • 5.
    NOW FOR SOME FRACTURES LETSTART WITH EASY ONES
  • 6.
  • 7.
    COLLES # NOTE THATTHE DISTAL RADIUS IS DISPLACED POSTERIORLY
  • 8.
    SMITHS # NOTE THATTHE DISTAL RADIUS IS DISPLACED ANTERIORLY
  • 9.
    BARTONS # NOTE THATTHERE IS RADIO- CARPAL SUBLAXATION THIS A VOLAR TYPE
  • 10.
    NAME THE # WHICHWAY DOES THE DISPLACEMENT GO?
  • 11.
    NAME THE # WHICHWAY DOES THE DISPLACEMENT GO?
  • 12.
    FIND THE FRACTURE WASIT DIFFICULT? ▸ HOW COMMON IS IT? ▸ HOW SEVERE IS IT?
  • 13.
    FIND THE # WASIT DIFFICULT? ▸ HOW COMMON IS IT ▸ HOW SEVERE IS IT
  • 14.
    LETS TRY SOME CARPALBONE #’S
  • 15.
    FIND THE FRACTURE WHATIS IT CALLED? ▸ HOW COMMON IS IT ▸ HOW SEVERE IS IT ▸ WHAT IS THE DANGER OF THIS #
  • 16.
    FIND THE FRACTURE WASIT DIFFICULT? ▸ THESE FRACTURES CAN BE SUBTLE ▸ CHECK FOR PAIN IN THE ANATOMICAL SNUFFBOX ▸ IF YOU ARE UNSURE THEN BETTER TO PUT IN A POP AND RE X-RAY IN 10-14 DAYS
  • 17.
  • 19.
  • 20.
  • 22.
    TRIQUITRAL # HAMATE # SCAPHOID# WHICH IS THE MOST COMMON? WHICH IS THE MOST SEVERE?
  • 23.
  • 24.
    A NORMAL LATERAL VERYIMPORTANT FOR ASSESSING DISLOCATIONS ▸ CAN YOU NAME WHAT YOU SEE? ▸ C- CAPITATE , SITS IN THE L- LUNATE, SITS IN THE R-RADIUS ▸ APPLE (C) SITS IN THE CUP (L) SITS IN THE SAUCER (R) C L R
  • 25.
    WHAT IS OUTOF PLACE? COMPARE TO THE PREVIOUS IMAGE
  • 26.
    CAN YOU SEEIT NOW THIS IS A LUNATE DISLOCATION ▸ THE LUNATE (CUP) IS DISPLACED FROM THE RADIUS (SAUCER) ▸ THE CAPITATE MAY BE IN VARIOUS POSITIONS BUT IS GENERALLY POSTERIOR
  • 27.
    WHAT IS OUTOF PLACE? THINK OF THE APPLE, CUP AND SAUCER
  • 28.
    CAN YOU SEEIT NOW? THIS IS A PERILUNATE DISLOCATION ▸ THE CAPITATE (APPLE) HAS DISLOCATED FROM THE LUNATE (CUP) ▸ BUT THE LUNATE (CUP) IS STILL ATTACHED TO THE RADIUS (SAUCER) ▸ EASY?
  • 29.
    THE DIAGNOSIS ISNOT IMPORTANT CAN YOU SEE THE DISPLACEMENTS
  • 30.
    NOT SO DIFFICULTIS IT! THIS IS A MIDCARPAL DISLOCATION ▸ BOTH THE CAPITATE AND LUNATE ARE DISPLACED ▸ THE MOST IMPORTANT THING IS TO SPOT THE DISPLACEMENT, THE FINAL DIAGNOSIS IS MADE BY AN ORTHOPAEDIC SPECIALIST ▸ BUT THEY WILL BE IMPRESSED IF YOU PICK IT UP
  • 31.
    FINALLY THIS IS ASCAPHO-LUNATE DISSOCIATION ▸ NOTE THE WIDE SPACE BETWEEN THE SCAPHOID AND THE LUNATE ▸ CAUSES AN UNSTABLE WRIST ▸ VERY EASY TO MISS ▸ SEVERE PAIN ON MOVEMENT IN THE ABSENCE OF A # SHOULD MAKE YOU GO BACK AND CHECK FOR THIS