A N A P P R O A C H T O C H E S T
A N D A B D O M I N A L T R A U M A
A P R E S E N T A T I O N B Y T H E C A S U A L T Y C R E W
F L A I L C H E S T
• OCCURS WHEN SEGMENT OF
FRACTURED RIBS ARE SEPARATED
FROM THE CHEST WALL
• NOTE THE PARADOXICAL MOVEMENT
• MAIN AIM OF TX IN CASUALTY IS PAIN
CONTROL AND ICD
• PAIN CONTROL VIA INTERCOSTAL
NERVE BLOCK
• SURGEONS AND ICU MUST BE
INVOLVED EARLY, OFTEN PTS REQUIRE
VENTILATION
• OFTEN THERE ARE ASSOCIATED LUNG
CONTUSIONS, HAEMOPNEUMOTHORAX
AND CARDIAC CONTUSIONS
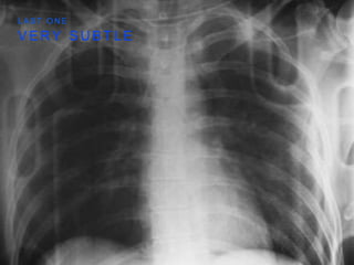
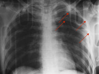
F I N D T H E F L A I L
S E G M E N T
L E T S T R Y A N X R A Y
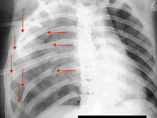
L O O K C A R E F U L L Y
L E T S T R Y O N E M O R E
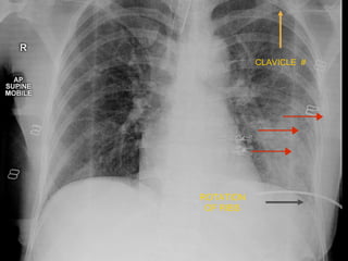
CLAVICLE #
ROTATION
OF RIBS
V E R Y S U B T L E
L A S T O N E
W H A T I S T H E D X ?
P T W I T H S E V E R E A S T H M A
T E N S I O N
P N E U M O T H O R A X
• NOTE THE TRACHEAL
DEVIATION
• ABSENCE OF LUNG
MARKINGS LEFT
• DEEP SULCUS SIGN
LEFT
W H A T S T H E D X ?
P T W I T H A S T A B T O L E F T C H E S T W A L L
A N E A S Y P N E U M O T H O R A X T O
S E E
T H A T S R I G H T
H E M O T H O R A X F F G
S T A B
A L S O A N E A S Y O N E
S A F E Z O N E F O R I C D
V E R Y I M P O R T A N T
S I G N S O F
S T A B H E A R T
• DISTENDED NECK VEINS
AS SEEN HERE
• MUFFLED HEART SOUNDS
• LOW BP
• CALLED BECKS TRIAD
• EVEN ONE OF THESE
SHOULD AROUSE
SUSPICION OF STAB INTO
HEART
H O P E F U L L Y Y O U W I L L S E E O N E S O M E T I M E
N O T P E R F O R M E D R O U T I N E L Y I N O U R
C A S U A L T Y
E M E R G E N C Y T H O R A C O T O M Y
M E A N S F R E E A I R I N P E R I T O N E A L
C A V I T Y
F R E E A I R U N D E R D I A P H R A G M
W H A T I S T H I S C A L L E D
W H A T D O E S I T I N D I C A T E
C H I L D F E L L A N D I N J U R E D A B D O M E N
D O U B L E W A L L
S I G N
• AIR IS PRESENT ON
BOTH SIDES OF THE
INTESTINAL WALL
• INDICATES FREE AIR IN
THE PERITONEAL
CAVITY
W H A T I S T H I S C A L L E D
I N F A N T W I T H S P O N T A N E O U S O N S E T P A I N A N D P E R I T O N I T I S
F O O T B A L L
S I G N
• ALSO A SIGN OF FREE
AIR IN THE PERITONEAL
CAVITY
C A N Y O U S E E T H E F O O T B A L L
A N D T H E D O U B L E W A L L
S U P I N E V I E W
T R A U M A T O T H E A B D O M E N
• PERITONITIS IS MUCH EASIER TO ELICIT IN ADULTS
• MOST INTERNS AND JUNIOR MO’S CAN IDENTIFY OR
HAVE A HIGH INDEX OF SUSPICION FOR IT
• MUCH MORE DIFFICULT IN CHILDREN ,TODDLERS AND
INFANTS
• ANY CHILD WITH ANY TRAUMA TO ANY PART OF THE
BODY MUST STILL HAVE THEIR ABDOMEN CHECKED,
ANY SUSPICION OF INJURY SHOULD MEAN THEY
HAVE AN X-RAY DONE
O F T E N A S S O C I A T E D W I T H
I N T R A B D O M I N A L A N D S P I N A L I N J U R Y
S E A T B E L T I N J U R Y
V E R Y C O M M O N W I T H S E A T B E L T
I N J U R Y
C H A N C E F R A C T U R E S
CHANCE FRACTURE CT
G R E Y - T U R N E R
& C U L L E N
S I G N
• SIGN OF
RETROPERITONEAL
HAEMORRHAGE
• SEEN IN TRAUMA,
HAEMORRHAGIC
PANCREATITIS, LEAKING
AORTIC ANEURYSM,
RUPTURED ECTOPIC
PREGNANCY
Chest and abd trauma ppt

Chest and abd trauma ppt

  • 1.
    A N AP P R O A C H T O C H E S T A N D A B D O M I N A L T R A U M A A P R E S E N T A T I O N B Y T H E C A S U A L T Y C R E W
  • 2.
    F L AI L C H E S T • OCCURS WHEN SEGMENT OF FRACTURED RIBS ARE SEPARATED FROM THE CHEST WALL • NOTE THE PARADOXICAL MOVEMENT • MAIN AIM OF TX IN CASUALTY IS PAIN CONTROL AND ICD • PAIN CONTROL VIA INTERCOSTAL NERVE BLOCK • SURGEONS AND ICU MUST BE INVOLVED EARLY, OFTEN PTS REQUIRE VENTILATION • OFTEN THERE ARE ASSOCIATED LUNG CONTUSIONS, HAEMOPNEUMOTHORAX AND CARDIAC CONTUSIONS
  • 3.
    F I ND T H E F L A I L S E G M E N T L E T S T R Y A N X R A Y
  • 5.
    L O OK C A R E F U L L Y L E T S T R Y O N E M O R E
  • 6.
  • 7.
    V E RY S U B T L E L A S T O N E
  • 9.
    W H AT I S T H E D X ? P T W I T H S E V E R E A S T H M A
  • 10.
    T E NS I O N P N E U M O T H O R A X • NOTE THE TRACHEAL DEVIATION • ABSENCE OF LUNG MARKINGS LEFT • DEEP SULCUS SIGN LEFT
  • 12.
    W H AT S T H E D X ? P T W I T H A S T A B T O L E F T C H E S T W A L L
  • 13.
    A N EA S Y P N E U M O T H O R A X T O S E E T H A T S R I G H T
  • 14.
    H E MO T H O R A X F F G S T A B A L S O A N E A S Y O N E
  • 15.
    S A FE Z O N E F O R I C D V E R Y I M P O R T A N T
  • 16.
    S I GN S O F S T A B H E A R T • DISTENDED NECK VEINS AS SEEN HERE • MUFFLED HEART SOUNDS • LOW BP • CALLED BECKS TRIAD • EVEN ONE OF THESE SHOULD AROUSE SUSPICION OF STAB INTO HEART
  • 17.
    H O PE F U L L Y Y O U W I L L S E E O N E S O M E T I M E N O T P E R F O R M E D R O U T I N E L Y I N O U R C A S U A L T Y E M E R G E N C Y T H O R A C O T O M Y
  • 18.
    M E AN S F R E E A I R I N P E R I T O N E A L C A V I T Y F R E E A I R U N D E R D I A P H R A G M
  • 19.
    W H AT I S T H I S C A L L E D W H A T D O E S I T I N D I C A T E C H I L D F E L L A N D I N J U R E D A B D O M E N
  • 20.
    D O UB L E W A L L S I G N • AIR IS PRESENT ON BOTH SIDES OF THE INTESTINAL WALL • INDICATES FREE AIR IN THE PERITONEAL CAVITY
  • 21.
    W H AT I S T H I S C A L L E D I N F A N T W I T H S P O N T A N E O U S O N S E T P A I N A N D P E R I T O N I T I S
  • 22.
    F O OT B A L L S I G N • ALSO A SIGN OF FREE AIR IN THE PERITONEAL CAVITY
  • 23.
    C A NY O U S E E T H E F O O T B A L L A N D T H E D O U B L E W A L L S U P I N E V I E W
  • 25.
    T R AU M A T O T H E A B D O M E N • PERITONITIS IS MUCH EASIER TO ELICIT IN ADULTS • MOST INTERNS AND JUNIOR MO’S CAN IDENTIFY OR HAVE A HIGH INDEX OF SUSPICION FOR IT • MUCH MORE DIFFICULT IN CHILDREN ,TODDLERS AND INFANTS • ANY CHILD WITH ANY TRAUMA TO ANY PART OF THE BODY MUST STILL HAVE THEIR ABDOMEN CHECKED, ANY SUSPICION OF INJURY SHOULD MEAN THEY HAVE AN X-RAY DONE
  • 26.
    O F TE N A S S O C I A T E D W I T H I N T R A B D O M I N A L A N D S P I N A L I N J U R Y S E A T B E L T I N J U R Y
  • 27.
    V E RY C O M M O N W I T H S E A T B E L T I N J U R Y C H A N C E F R A C T U R E S
  • 28.
  • 29.
    G R EY - T U R N E R & C U L L E N S I G N • SIGN OF RETROPERITONEAL HAEMORRHAGE • SEEN IN TRAUMA, HAEMORRHAGIC PANCREATITIS, LEAKING AORTIC ANEURYSM, RUPTURED ECTOPIC PREGNANCY