STATUS
ASTHMATICUS
A PRACTICAL APPROACH
FAMILY MEDICINE - 20 January 2016

1
PRESENTATION
TODAY WE FIND OURSELVES FACED WITH A 26 YEAR OLD FEMALE PT WHO
HAS COME TO MOPD TO COLLECT HER USUAL MEDICATIONS FOR HER ASTHMA
AS SHE IS WAITING IN LINE SHE STARTS TO FEEL UNCOMFORTABLE AND
WALKS OUT TO GET SOME FRESH AIR, FIVE MINUTES LATER AN ORDERLY RUNS
IN TO TELL YOU THERE IS A PATIENT WHO CANNOT BREATH OUTSIDE
YOU RUSH TO FIND HER SITTING IN THE CORRIDOR WITH VERY OBVIOUS
EXPIRATORY WHEEZES AND A RESPIRATORY RATE OF ALMOST 45BPM, HER GCS
IS AT FIRST GLANCE E=2 V=2 M=5 , 9/15
YOU RUSH THE PT INTO CASUALTY
UNFORTUNATELY YOU FIND THAT DR MAHOMED AND HIS TEAM ARE
NOWHERE TO BE FOUND BECAUSE THEY’RE QUITE LAZY AND OFTEN LEAVE AT
11 FOR A FIVE HOUR LUNCH!!!
YOU ARE NOW IN CHARGE!!!
WHAT DO YOU DO FIRST?
• PUT UP A DRIP?
• START BAGGING THE PT?
• SET UP YOUR MONITORS?
• DO A PR EXAMINATION?
• BEGIN SUPPLEMENTAL OXYGEN?
• GO FOR LUNCH?
THE THING TO REMEMBER IS THAT YOU OFTEN HAVE TO DO THINGS IN
PARALLEL IN AN EMERGENCY, SO YOU WOULD SET UP YOUR MONITORS, GAIN
IV ACCESS AND BEGIN OXYGEN, YOU CAN GO FOR LUNCH LATER
SO NOW YOU'VE DONE THESE , AND THE SATS READ 65% ON 40%O2 AT 18L/
MIN, THE BP IS 100/50, THE HEART RATE IS 145, THE BLOOD GLUCOSE IS 3.7
THE PT HAS MARKED RESPIRATORY DISTRESS WITH SEVERE EXPIRATORY
WHEEZES, SOME INSPIRATORY WHEEZES AND A DEAD ZONE IN THE RIGHT
UPPER LOBE, ONE OF THE SISTERS TELLS YOU THAT HER BP IS “GOING UP AND
2
DOWN” AS SHE’S BREATHING IN, YOU NOTE THE RESPIRATORY RATE IS NOW 40
BPM, AND SHE HAS STARTED HAVING AN ALMOST SEE-SAW BREATHING
PATTERN
WHAT IS YOUR NEXT STEP?
• REPEAT THE PR EXAMINATION?
• START INHALED B2 AGONISTS?
• STOP TO GET A DETAILED HISTORY OF THE CONDITION?
• BEGIN INTRAVENOUS STEROIDS?
• TAKE AN FBC, U&E AND LFT’S?
• TAKE AN ABG, FBC, U&E?
• ATTEMPT TO GO FOR LUNCH AGAIN?
• GET AN URGENT BSU CXR?
THE LOW SATS ARE A MAJOR POINT OF CONCERN, AND B2 AGONISTS
SHOULD BE STARTED ASAP, THE PULSE PRESSURE GREATER THAN 25MM HG IS
ALSO INDICATIVE OF SEVERE ASTHMA, AS IS THE PULSUS PARADOXES NOTED
BY THE SISTER,
YOU SHOULD IMMEDIATELY ADMINISTER IV STEROIDS, AND THE ABG,FBC
AND U&E ARE OF VITAL IMPORTANCE TO YOU NOW
WOULD YOU PREPARE FOR INTUBATION?
I WOULD HAVE THIS AT THE BACK OF MY MIND FOR SURE
LUCKILY YOU NOTICE THAT THE SATS ARE IMPROVING AND THE GCS HAS
INCREASED TO E=4 V=2 M=5 11/15, HER BREATHING RATE SEEMS TO BE SLOWING
BUT SHE IS STILL HAVING VERY LABOURED BREATHING AND USE OF
ACCESSORY MUSCLES
HOWEVER YOUR ABG SHOWS
• PH INCREASED
• PCO2 DECREASED
• PO2 NORMAL
WHY IS SHE IN RESPIRATORY ALKALOSIS?
WHAT IS YOUR NEXT STEP?
• CALL DR MAHOMED?
• CONTINUE NEBULIZATION?
• INTUBATION?
3
• CONSIDER AN AMINOPHYLLINE INFUSION?
• CONSIDER SCREAMING THAT YOU’RE VERY HUNGRY AND GO FOR
LUNCH?
• CONSIDER MAGNESIUM SULPHATE?
I THINK ITS QUITE OBVIOUS THAT YOU HAVE TO CONSIDER CONTINUOUS
NEBULISATION AT THIS POINT
I WOULD NOT INTUBATE JUST YET!
AMINOPHYLLINE IS CONTENTIOUS BUT STILL HAS VALUE AND IF GIVEN
AT AN APPROPRIATE DOSE CAN BE USEFUL, THERE ARE DIFFERING VIEWS BUT
5MG/KG IS A SAFE DOSE, WE USE 250MG-500MG IN 200ML N-SALINE OVER 30MIN
AS AN INFUSION, AT HIGHER DOSAGES YOU CAN EXPECT TO RUN INTO
TOXICITY
MAGNESIUM SULPHATE IS WELL DOCUMENTED IN THE TREATMENT OF
ACUTE SEVERE ASTHMA, IT RELAXES SMOOTH MUSCLE , DECREASES
HISTAMINE RELEASE AND INHIBITS RELEASE OF OTHER INFLAMMATORY
MEDIATORS SUCH AS ACETYLCYSTEINE
HOW DO YOU GIVE IT YOU ASK
❖ THE DOSE IS 2G OVER 20 MIN
❖ MIX THE 2G ( A SINGLE VIAL) WITH 20 ML N-SALINE IN A 20 ML SYRINGE
❖ LOOK AT A RELIABLE CLOCK OR MONITOR THAT DISPLAYS TIME
❖ GIVE 1ML EVERY MINUTE CAREFULLY, TRY TO PUSH THE 1ML IN OVER A
FEW SECONDS, REST, AND AS THE NEXT MINUTE STARTS PUSH ANOTHER ML
❖ SOME CENTRES DO GIVE HIGHER DOSES BUT THIS IS NORMALLY DONE
IN AN ICU SETTING
HAS SHE IMPROVED YET DR MAHOMED?
HER GCS REMAINS AT 11/15 ALTHOUGH HER SATS ARE STABILISING
AROUND THE 90’S, SHE SEEMS TO BE TIRING, AND HER BP REMAINS LOW.
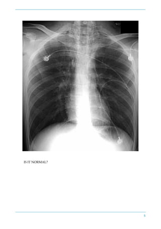
LUCKILY THE CXR FILM HAS ARRIVED
4
IS IT NORMAL?
5
THIS IS A PNEUMOMEDIASTINUM
IT IS CAUSED AS ALVEOLI RUPTURE AND THE AIR BACK TRACKS UNDER
THE EPITHELIUM OF THE BRONCHI AND COLLECTS IN THE MEDIASTINUM
IT IS NOT A GOOD SIGN
YOU REPEAT THE ABG AND FIND
• PH HAS DECREASED TO ACIDOSIS
• THE PCO2 HAS INCREASED DRAMATICALLY
6
• THE PO2 HAS DECREASED SIGNIFICANTLY
WHAT DOES IT MEAN?
SHE IS UNABLE TO EXPIRE CO2 DUE TO TRAPPING FROM MUCUS PLUGS
AND EXHAUSTION, REMEMBER OUR MGSO4 INFUSION AND AMINOPHYLLINE
HAVE TAKEN ALMOST 20-40 MINS NOW
IF WE HAD DONE AN ABG IN THE INTERIM IT WOULD HAVE LOOKED
ALMOST NORMAL AS CO2 STARTED TO BUILD IN THE LUNG, BUT THIS WOULD
HAVE CREATED A FALSE IMPRESSION OF IMPROVEMENT, HER PO2 WOULD HAVE
BEEN LOW HOWEVER (THATS THE MAJOR CLUE) AS THERE IS A V/Q MISMATCH,
O2 IS UNABLE TO ENTER THE BLOOD STREAM
WHAT DO YOU DO NOW?
• CRY?
• INTUBATE?
• ONE LAST CRACK AT A PR EXAM?
• INVOLVE ICU STAFF AND PHYSICIANS?
THIS PT NOW REQUIRES VENTILATION, ANAESTHETIC AGENTS, FURTHER
MGSO4 AND AMINOPHYLLINE INFUSIONS, MGSO4 ENDOTRACHEALLY.
YOU NEED TO HAVE INVOLVED THE PHYSICIANS BY NOW AND PREPARED
FOR INTUBATION
SHE IS AT HIGH RISK FOR CARDIO-PULMONARY ARREST, SEVERE
ELECTROLYTE IMBALANCES (ESPECIALLY K+ DUE TO STEROIDS AND B2
AGONISTS), AS WELL AS HYPOXIC BRAIN DAMAGE IF LEFT UNTREATED.
THANKFULLY MST OF OUR PTS DO RESPOND WELL TO NEBS, IV STEROIDS,
AMINOPHYLLINE AND MGSO4, AND WE HAVE ONLY SENT ONE CHILD TO THE
ICU (AT NPH) SINCE I’VE BEEN HERE
“ALWAYS FORGIVE YOUR ENEMIES-
NOTHING ANNOYS THEM AS MUCH”
— OSCAR WILDE
7

Satus astmaticus scenario pdf

  • 1.
    STATUS ASTHMATICUS A PRACTICAL APPROACH FAMILYMEDICINE - 20 January 2016
 1
  • 2.
    PRESENTATION TODAY WE FINDOURSELVES FACED WITH A 26 YEAR OLD FEMALE PT WHO HAS COME TO MOPD TO COLLECT HER USUAL MEDICATIONS FOR HER ASTHMA AS SHE IS WAITING IN LINE SHE STARTS TO FEEL UNCOMFORTABLE AND WALKS OUT TO GET SOME FRESH AIR, FIVE MINUTES LATER AN ORDERLY RUNS IN TO TELL YOU THERE IS A PATIENT WHO CANNOT BREATH OUTSIDE YOU RUSH TO FIND HER SITTING IN THE CORRIDOR WITH VERY OBVIOUS EXPIRATORY WHEEZES AND A RESPIRATORY RATE OF ALMOST 45BPM, HER GCS IS AT FIRST GLANCE E=2 V=2 M=5 , 9/15 YOU RUSH THE PT INTO CASUALTY UNFORTUNATELY YOU FIND THAT DR MAHOMED AND HIS TEAM ARE NOWHERE TO BE FOUND BECAUSE THEY’RE QUITE LAZY AND OFTEN LEAVE AT 11 FOR A FIVE HOUR LUNCH!!! YOU ARE NOW IN CHARGE!!! WHAT DO YOU DO FIRST? • PUT UP A DRIP? • START BAGGING THE PT? • SET UP YOUR MONITORS? • DO A PR EXAMINATION? • BEGIN SUPPLEMENTAL OXYGEN? • GO FOR LUNCH? THE THING TO REMEMBER IS THAT YOU OFTEN HAVE TO DO THINGS IN PARALLEL IN AN EMERGENCY, SO YOU WOULD SET UP YOUR MONITORS, GAIN IV ACCESS AND BEGIN OXYGEN, YOU CAN GO FOR LUNCH LATER SO NOW YOU'VE DONE THESE , AND THE SATS READ 65% ON 40%O2 AT 18L/ MIN, THE BP IS 100/50, THE HEART RATE IS 145, THE BLOOD GLUCOSE IS 3.7 THE PT HAS MARKED RESPIRATORY DISTRESS WITH SEVERE EXPIRATORY WHEEZES, SOME INSPIRATORY WHEEZES AND A DEAD ZONE IN THE RIGHT UPPER LOBE, ONE OF THE SISTERS TELLS YOU THAT HER BP IS “GOING UP AND 2
  • 3.
    DOWN” AS SHE’SBREATHING IN, YOU NOTE THE RESPIRATORY RATE IS NOW 40 BPM, AND SHE HAS STARTED HAVING AN ALMOST SEE-SAW BREATHING PATTERN WHAT IS YOUR NEXT STEP? • REPEAT THE PR EXAMINATION? • START INHALED B2 AGONISTS? • STOP TO GET A DETAILED HISTORY OF THE CONDITION? • BEGIN INTRAVENOUS STEROIDS? • TAKE AN FBC, U&E AND LFT’S? • TAKE AN ABG, FBC, U&E? • ATTEMPT TO GO FOR LUNCH AGAIN? • GET AN URGENT BSU CXR? THE LOW SATS ARE A MAJOR POINT OF CONCERN, AND B2 AGONISTS SHOULD BE STARTED ASAP, THE PULSE PRESSURE GREATER THAN 25MM HG IS ALSO INDICATIVE OF SEVERE ASTHMA, AS IS THE PULSUS PARADOXES NOTED BY THE SISTER, YOU SHOULD IMMEDIATELY ADMINISTER IV STEROIDS, AND THE ABG,FBC AND U&E ARE OF VITAL IMPORTANCE TO YOU NOW WOULD YOU PREPARE FOR INTUBATION? I WOULD HAVE THIS AT THE BACK OF MY MIND FOR SURE LUCKILY YOU NOTICE THAT THE SATS ARE IMPROVING AND THE GCS HAS INCREASED TO E=4 V=2 M=5 11/15, HER BREATHING RATE SEEMS TO BE SLOWING BUT SHE IS STILL HAVING VERY LABOURED BREATHING AND USE OF ACCESSORY MUSCLES HOWEVER YOUR ABG SHOWS • PH INCREASED • PCO2 DECREASED • PO2 NORMAL WHY IS SHE IN RESPIRATORY ALKALOSIS? WHAT IS YOUR NEXT STEP? • CALL DR MAHOMED? • CONTINUE NEBULIZATION? • INTUBATION? 3
  • 4.
    • CONSIDER ANAMINOPHYLLINE INFUSION? • CONSIDER SCREAMING THAT YOU’RE VERY HUNGRY AND GO FOR LUNCH? • CONSIDER MAGNESIUM SULPHATE? I THINK ITS QUITE OBVIOUS THAT YOU HAVE TO CONSIDER CONTINUOUS NEBULISATION AT THIS POINT I WOULD NOT INTUBATE JUST YET! AMINOPHYLLINE IS CONTENTIOUS BUT STILL HAS VALUE AND IF GIVEN AT AN APPROPRIATE DOSE CAN BE USEFUL, THERE ARE DIFFERING VIEWS BUT 5MG/KG IS A SAFE DOSE, WE USE 250MG-500MG IN 200ML N-SALINE OVER 30MIN AS AN INFUSION, AT HIGHER DOSAGES YOU CAN EXPECT TO RUN INTO TOXICITY MAGNESIUM SULPHATE IS WELL DOCUMENTED IN THE TREATMENT OF ACUTE SEVERE ASTHMA, IT RELAXES SMOOTH MUSCLE , DECREASES HISTAMINE RELEASE AND INHIBITS RELEASE OF OTHER INFLAMMATORY MEDIATORS SUCH AS ACETYLCYSTEINE HOW DO YOU GIVE IT YOU ASK ❖ THE DOSE IS 2G OVER 20 MIN ❖ MIX THE 2G ( A SINGLE VIAL) WITH 20 ML N-SALINE IN A 20 ML SYRINGE ❖ LOOK AT A RELIABLE CLOCK OR MONITOR THAT DISPLAYS TIME ❖ GIVE 1ML EVERY MINUTE CAREFULLY, TRY TO PUSH THE 1ML IN OVER A FEW SECONDS, REST, AND AS THE NEXT MINUTE STARTS PUSH ANOTHER ML ❖ SOME CENTRES DO GIVE HIGHER DOSES BUT THIS IS NORMALLY DONE IN AN ICU SETTING HAS SHE IMPROVED YET DR MAHOMED? HER GCS REMAINS AT 11/15 ALTHOUGH HER SATS ARE STABILISING AROUND THE 90’S, SHE SEEMS TO BE TIRING, AND HER BP REMAINS LOW. LUCKILY THE CXR FILM HAS ARRIVED 4
  • 5.
  • 6.
    THIS IS APNEUMOMEDIASTINUM IT IS CAUSED AS ALVEOLI RUPTURE AND THE AIR BACK TRACKS UNDER THE EPITHELIUM OF THE BRONCHI AND COLLECTS IN THE MEDIASTINUM IT IS NOT A GOOD SIGN YOU REPEAT THE ABG AND FIND • PH HAS DECREASED TO ACIDOSIS • THE PCO2 HAS INCREASED DRAMATICALLY 6
  • 7.
    • THE PO2HAS DECREASED SIGNIFICANTLY WHAT DOES IT MEAN? SHE IS UNABLE TO EXPIRE CO2 DUE TO TRAPPING FROM MUCUS PLUGS AND EXHAUSTION, REMEMBER OUR MGSO4 INFUSION AND AMINOPHYLLINE HAVE TAKEN ALMOST 20-40 MINS NOW IF WE HAD DONE AN ABG IN THE INTERIM IT WOULD HAVE LOOKED ALMOST NORMAL AS CO2 STARTED TO BUILD IN THE LUNG, BUT THIS WOULD HAVE CREATED A FALSE IMPRESSION OF IMPROVEMENT, HER PO2 WOULD HAVE BEEN LOW HOWEVER (THATS THE MAJOR CLUE) AS THERE IS A V/Q MISMATCH, O2 IS UNABLE TO ENTER THE BLOOD STREAM WHAT DO YOU DO NOW? • CRY? • INTUBATE? • ONE LAST CRACK AT A PR EXAM? • INVOLVE ICU STAFF AND PHYSICIANS? THIS PT NOW REQUIRES VENTILATION, ANAESTHETIC AGENTS, FURTHER MGSO4 AND AMINOPHYLLINE INFUSIONS, MGSO4 ENDOTRACHEALLY. YOU NEED TO HAVE INVOLVED THE PHYSICIANS BY NOW AND PREPARED FOR INTUBATION SHE IS AT HIGH RISK FOR CARDIO-PULMONARY ARREST, SEVERE ELECTROLYTE IMBALANCES (ESPECIALLY K+ DUE TO STEROIDS AND B2 AGONISTS), AS WELL AS HYPOXIC BRAIN DAMAGE IF LEFT UNTREATED. THANKFULLY MST OF OUR PTS DO RESPOND WELL TO NEBS, IV STEROIDS, AMINOPHYLLINE AND MGSO4, AND WE HAVE ONLY SENT ONE CHILD TO THE ICU (AT NPH) SINCE I’VE BEEN HERE “ALWAYS FORGIVE YOUR ENEMIES- NOTHING ANNOYS THEM AS MUCH” — OSCAR WILDE 7