Tricuspid Atresia
Dina Abdelsalam .MD
Tanta University
• Defined as congenital absence or
agenesis of the tricuspid valve, with
no direct communication between the
right atrium and right ventricle.
• Incidence : 0.06 per 1000 live births
• Gender: There is no gender
predominance
patients with associated TGA —male to
female ratio was 2 : 1
• Prevalence :in clinical series of
congenital heart disease is 1- 2.4 %.
Embryology
The atrioventricular valves develop shortly after the
atrioventricular canal divides. (Days 34 to 36)
The tricuspid valve leaflets have several origins:
The septal leaflet :mostly develops from the inferior endocardial
cushion with a small contribution from the superior cushion.
The anterior and posterior leaflets:
develop by undermining of a skirt
of ventricular muscle tissue.
The process of undermining extends
until the atrioventricular valve junction
is reached.
• Defined as congenital absence or
agenesis of the tricuspid valve,
with no direct communication
between the right atrium and right
ventricle.
• Incidence : 0.06 per 1000 live
births
• Prevalence :in clinical series of
congenital heart disease is 1- 2.4
%.
Embryology
• Resorption of the muscle tissue produces normal-appearing valve
leaflets and chordae tendineae.
• Fusion of developing valve leaflet components results in stenosis
(partial fusion) or atresia (complete fusion) of the valve.
• Whether a muscular type of TA develops or whether well-formed
but fused tricuspid-valve leaflets develop depends on the stage of
development when the embryologic aberration takes place.
Embryology
• The classic muscular form of TA develops if the embryologic insult occurs early in
gestation, and fused valve leaflets occur if the embryologic abnormality occurs
slightly later than this in gestation.
• If the valve fusion is incomplete, stenosis of the tricuspid valve develops.
Therefore, the fact that isolated congenital tricuspid stenosis belongs to the
group of TA defects and that their embryologic developments are similar is no
surprise. Thus, the tricuspid valve stenosis, TA with well formed but fused valve
leaflets, and the muscular type of TA represent a spectrum of morphologic
abnormalities . The pathologic, clinical, and ECG features of tricuspid stenosis and
TA are similar
Classification
Tricuspid atresia is classified on the basis of:
• Valve Morphology
• Pulmonary Vascular markings
• and associated cardiac defects
Valve Morphology
• Mascular : common 89% dimpling or fibrous
thickenening
• Membranous : 6.6% with the atrioventricular portion
of the membranous septum forming the floor of RA
• Valvar: 1% fused cusps
• Ebstein:
• Unguarded with muscular shelf.
• The Atrioventricular canal type is extremely rare (0.2%).
-A leaflet of the common atrioventricular valve seals off
the only entrance into the right ventricle.
Heart specimen of a patient with
muscular type of tricuspid atresia.
Note dimple (arrow) in the floor of the
right atrium with muscle fibers radiating
around it. An atrial septal defect (ASD)
is also shown.
MEMBRANEOUS
VALVAR
1%
FUSED CUSPS
ASSOCIATED CARDIAC
DEFECT
GREAT ARTERY INTERRELATIONSHIP
Pathophysiology
ATRESIA OF TRICUSPID VALVE (type I)
• No communication between RA AND RV
RV is underdeveloped.
• Systemic venous blood received by RA
Enters LA through PFO or ASD Mixing of
systemic and pulmonary blood RA Enters
LV Blood enters RV through VSD From
RV blood enters Pulm trunk
• Blood enters pulm trunk via PDA
Increased pulmonary blood flow LA and
LV hypertrophy CHF
Pathophysiology
Type II (d-TGA)
the pulmonary blood flow is directly
derived from the LV. The systemic blood
flow is via the VSD and the RV.
Type III, subtype 1 (L- TGA)
the atretic morphologic tricuspid valve is a
left sided atrioventricular valve and
therefore, in a physiological sense, it
behaves as mitral (left ) obstruction.
In other type III and type IV patients,
the systemic and pulmonary blood flows
are determined by the size of the
VSD and other associated defects
 Pulmonary Outflow obstruction may be either
subvalvar or valvar in Patients with TGA,
while in Patients with normally related great arteries the
pulmonary Obstruction is often
• at the VSD level although, in a few cases,
• Subvalvar pulmonary stenosis,
• narrow tract of the hypoplastic Right ventricle
• and rarely, valvar pulmonary stenosis may Also be
responsible for pulmonary outflow tract obstruction.
 With pulmonary atresia, either a PDA or
Aortopulmonary collateral vessels may be present.
Decreased pulm flow 90%
• Severe cyanosis, hypoxemia, and acidosis
• LV apical impulse
Approximately one-half of the patients with
tricuspid atresia manifest symptoms on the 1st
day of life and 80 % would be symptomatic by the
end of the 1st month of life
The magnitude of pulmonary blood flow determines
the clinical features.
Two modes of presentation are recognized:
• those with decreased pulmonary blood flow
• those with increased pulmonary blood flow.
INCREASED PULM FLOW 10%
• may not appear cyanotic but may present with
signs of heart failure later in infancy
• pulmonary plethora present with symptoms of
dyspnea, fatigue, difficulty feeding, and
perspiration, which are suggestive of
congestive heart failure.
• Cyanosis is minimal
History
1. Cyanosis is usually severe from birth. Tachypnea
and poor feeding usually manifest.
2. History of hypoxic spells may be present in infants.
Physical examination
1. Cyanosis, either with or without clubbing, is always
present.
2. A systolic thrill is rarely palpable when associated
with PS.
CLINICAL MANIFESTATIONS
3. Auscultations:
• The S2 is single.
• A grade 2 to 3/6 holosystolic (or early systolic)
murmur of VSD is usually present
• At the lower left sternal border. A continuous
murmur of PDA is occasionally present. An apical
• Diastolic rumble is rarely audible in patients with
large PBF.
4. Hepatomegaly may indicate an inadequate
interatrial communication or CHF.
ELECTROCARDIOGRAPHY
1. “Superior” QRS axis (between 0 and –90 degrees) is
characteristic. It appears in most patients without TGA
and in only 50% of patients with TGA.
2. LVH is usually present; RAH or biatrial hypertrophy (BAH)
is common
X-ray Studies
The heart size is normal or slightly increased, with
enlargement of the RA and LV. Pulmonary vascularity
decreases in most patients although it may increase in
infants with TGA.
Occasionally, the concave PA segment may produce a
boot-shaped heart, like the x-ray findings of TOF.
ECHOCARDIOGRAPHY.
Two-dimensional :
• Absence of the tricuspid orifice, marked hypoplasia of the
RV, and a large LV can be imaged in the apical four-chamber
view.
• 2. The bulging of the atrial septum toward the left and the
size of the interatrial communication are easily imaged in the
subcostal four-chamber view.
• In the most common muscular type, a dense band of echoes
is seen at the site, where tricuspid valve should be and the
anterior leaflet of the detectable atrioventricular valve is
attached to the left side of interatrial septum Apical and
subcostal four-chambered views are best to demonstrate The
anatomy
• 3. The size of the VSD, the presence and severity of PS, and
the presence of TGA should all be investigated.
• 4. Patients with TGA should be examined for possible
ECHOCARDIOGRAPHY.
EECHOCARDIOGRAPHY
ECHOCARDIOGRAPHY.
M-mode echocardiographic features
• Large LA (usually proportional to the magnitude of
pulmonary blood flow)
• Dilated LV
• Normal to decreased LV FS%.
• A large posterior atrioventricular valve in
continuity with posterior semilunar valve
• and a small RV.
• The pulmonary valve may or may not be recorded.
• The tricuspid valve is conspicuously absent.
• Tricuspid valve-like echoes of low amplitude may
be recorded occasionally and this should not
exclude the diagnosis of tricuspid atresia.
OTHER LABORATORY STUDIES
Pulse oximeter and blood gas values are useful in quantitating
the degree of hypoxemia, thereby indicating the severity of
pulmonary oligemia.
Hemoglobin and hematocrit values are useful in children; the
degree of polycythemia is useful in estimating the severity of
hypoxemia.
Magnetic resonance imaging (MRI) and computed tomography
(CT) scan
with modified Fontan repair. The Fontan conduit (white arrow) runs from th
atrium (A) around the front of the heart towards the pulmonary artery. Note
front of the heart is identified by the anterior atrioventricular sulcus tissue
containing the signal void of the right coronary artery (black arrow
CARDIAC CATHETRIZATION
The diagnosis of tricuspid atresia based on clinical,
electrocardiographic and echocardiographic features is relatively
simple and cardiac catheterization rarely, if ever, are essential for
establishing the diagnosis.
Catheterization may be indicated prior to bidirectional Glenn or
Fontan
operations.
NATURAL HISTORY
1. Few infants with tricuspid atresia and normally related great
arteries survive beyond 6 months of age without surgical
palliation.
2. Occasionally, patients with increased PBF develop CHF and
eventually pulmonary vascular obstructive disease.
3. For patients who survive into their second decade of life
without a Fontan-type operation, the chronic volume overload of
the LV usually produces secondary cardiomyopathy and reduced
contractility of that ventricle.
(A Fontan procedure should be performed before LV dysfunction
develops.)
Management
Physiologically ‘corrective’ surgery for tricuspid
atresia and their modifications have improved
the prognosis of patients with tricuspid atresia.
Such physiologic correction is usually
performed in patients older than 2 years.
most tricuspid atresia patients manifest
symptoms in the neonatal period and should be
effectively palliated to enable them to reach the
age at which surgical correction could be
undertaken.
Medical management at the time of initial
presentation
• Infants with low arterial PO2 and decreased oxygen saturation
may be ductal dependent and therefore, the ductus should be
kept open by intravenous administration of prostaglandin
E1(PGE1)
• Dose of 0.05 -0.1 μg /kg/min
• The Rashkind procedure (balloon atrial septostomy) may be
performed as part of the initial catheterization to improve the RA-
to-LA shunt, especially when the interatrial communication is
considered inadequate by echo studies.
• Anticongestive measures in patients with CHF.
RASHKIND BALLOON ATRIAL
SEPTOSTOMY.
• Patients with associated severe coarctation of the
aorta may also be helped with PGE1 infusion; this
should be followed by surgical relief of
coarctation. Alternatively, balloon angioplasty may
be utilized to relieve the aortic obstruction.
• Infants with normally related great arteries and
adequate PBF through a VSD do not need any
other Procedures; rather, they need to be closely
watched for decreasing oxygen saturation
resulting from Spontaneous reduction of the VSD.
Palliative treatment of specific physiologic
abnormalities
Most infants with TA require one or more
palliative procedures before a Fontan-type
operation, the definitive surgery, can be
performed.
Staged palliative surgical procedures are aimed
at producing ideal candidates for a future Fontan
procedure. who have;
• Normal LV function
• and Low pulmonary resistance
1. Normal LV function :
a.Preventing excessive volume load by using a relatively
small systemic-to-pulmonary shunt (e.g., 3.5 mm for
neonates).
b. Avoiding ventricular hypertrophy (for example, by
relieving outflow obstruction).
2. Low pulmonary resistance:
a. Providing adequate PBF that promotes the growth of
PA branches
b. Preventing distortion of the central pulmonary
arteries. A shunt operation is preferably done on the
right PA, which can be incorporated into the Fontan
operation.
DECREASED PULMONARY FLOW
• Systemic to pulmonary artery shunt:
Surgically created left to right shunt at the great
vessel level
• formalin infiltration of the ductal wall; stenting the
ductus arteriosus and enlarging the VSD.
Classic Blalock-Taussig shunt
Subclavian artery-to-ipsilateral pulmonary artery
Modified Blalock-
Taussig shunt
Gortex interposition
graft
Central shunt
Gortex interposition graft
between aorta and main
pulmonary artery
Potts
Direct anastomosis descending aorta to left pulmonary artery
Direct anastomosis ascending aorta to right
pulmonary artery
Increased pulmonary blood flow
Only type Ic and Type IIc patients,
i.e. without associated pulmonary stenosis, will fall
into the category of pulmonary plethora. A majority
of these patients will have type II anatomy and will
usually manifest during early infancy.
Pulmonary artery banding
Intracardiac obstruction
Intracardiac obstruction can occur at two different levels,
namely, patent foramen ovale and VSD.
Interatrial obstruction: Balloon atrial septostomy, if
unsuccessful blade atrial septostomy, and rarely surgical atrial
septostomy may be necessary to relieve the obstruction.
Interventricular obstruction:
Spontaneous closure of the VSD causing severe pulmonary
oligemia in type I patients and subaortic obstruction in type II
patients
The obstruction must be tackled at the time of either a
bidirectional Glenn or a modified Fontan operation.
Resection of the conal muscular septum, thus enlarging the
VSD, is a direct approach
Alternatively, the VSD, right ventricle and aortic valve may be
bypassed by anastomosis of the proximal stump of the
divided pulmonary artery to the ascending aorta (Damus-
Kaye-Stansel) at the time of bidirectional Glenn (or Fontan)
operation
Stage I. One of the following procedures is done in
preparation for a future Fontan operation:
1. Blalock-Taussig shunt, when PBF is small
2. PA banding, when PBF is excessive
3. Damus-Kaye-Stansel plus shunt operation (for TA
+ TGA + restrictive VSD)
Medical follow-up after stage I. Watch for:
a. Cyanosis (O2 saturation <75%)—cardiac
catheterization or MRI to find out its cause.
b. Poor weight gain (CHF from too much PBF)—
tightening of PA band may be necessary.
Fontan pathway
• Stage II (at 3 months or by 6 months).
• 1. BDG operation (an end-to-side SVC-to-RPA
shunt) also called bidirectional superior
cavopulmonary shunt)or
• 2. The hemi-fontan operation
Medical follow-up after stage II. Watch for the
following:
• A. A gradual decrease in O2 saturation (<75%) .
• B. Transient hypertension—1 to 2 weeks
postoperatively
Cardiac catheterization by 12 months after stage II
Bidirectional Glenn
Hemifontan
• Stage III ( fontan operation)
within 1 to 2 years after stage II operation.
• 1. “Lateral tunnel” fontan (with 4 mm fenestration)
Intracardiac total cavopulmonary connection
• 2. An extracardiac conduit (with or without
fenestration) extracardiac total cavopulmonary
connection
Did you know?
When you finish your PowerPoint
presentation, you can upload it to:
SlideOnline.com
Congratulations
You can use this free PowerPoint template for
your own presentations. Follow us on Twitter
@ppttemplatenet
PPTTemplate.net
Download More Free PowerPoint Templates
And now what?
You can safely delete this slide, but please consider to read below:

Tricuspid atresia

  • 1.
  • 2.
    • Defined ascongenital absence or agenesis of the tricuspid valve, with no direct communication between the right atrium and right ventricle. • Incidence : 0.06 per 1000 live births • Gender: There is no gender predominance patients with associated TGA —male to female ratio was 2 : 1 • Prevalence :in clinical series of congenital heart disease is 1- 2.4 %.
  • 3.
    Embryology The atrioventricular valvesdevelop shortly after the atrioventricular canal divides. (Days 34 to 36) The tricuspid valve leaflets have several origins: The septal leaflet :mostly develops from the inferior endocardial cushion with a small contribution from the superior cushion. The anterior and posterior leaflets: develop by undermining of a skirt of ventricular muscle tissue. The process of undermining extends until the atrioventricular valve junction is reached.
  • 5.
    • Defined ascongenital absence or agenesis of the tricuspid valve, with no direct communication between the right atrium and right ventricle. • Incidence : 0.06 per 1000 live births • Prevalence :in clinical series of congenital heart disease is 1- 2.4 %.
  • 6.
    Embryology • Resorption ofthe muscle tissue produces normal-appearing valve leaflets and chordae tendineae. • Fusion of developing valve leaflet components results in stenosis (partial fusion) or atresia (complete fusion) of the valve. • Whether a muscular type of TA develops or whether well-formed but fused tricuspid-valve leaflets develop depends on the stage of development when the embryologic aberration takes place.
  • 7.
    Embryology • The classicmuscular form of TA develops if the embryologic insult occurs early in gestation, and fused valve leaflets occur if the embryologic abnormality occurs slightly later than this in gestation. • If the valve fusion is incomplete, stenosis of the tricuspid valve develops. Therefore, the fact that isolated congenital tricuspid stenosis belongs to the group of TA defects and that their embryologic developments are similar is no surprise. Thus, the tricuspid valve stenosis, TA with well formed but fused valve leaflets, and the muscular type of TA represent a spectrum of morphologic abnormalities . The pathologic, clinical, and ECG features of tricuspid stenosis and TA are similar
  • 8.
    Classification Tricuspid atresia isclassified on the basis of: • Valve Morphology • Pulmonary Vascular markings • and associated cardiac defects
  • 9.
    Valve Morphology • Mascular: common 89% dimpling or fibrous thickenening • Membranous : 6.6% with the atrioventricular portion of the membranous septum forming the floor of RA • Valvar: 1% fused cusps • Ebstein: • Unguarded with muscular shelf. • The Atrioventricular canal type is extremely rare (0.2%). -A leaflet of the common atrioventricular valve seals off the only entrance into the right ventricle.
  • 10.
    Heart specimen ofa patient with muscular type of tricuspid atresia. Note dimple (arrow) in the floor of the right atrium with muscle fibers radiating around it. An atrial septal defect (ASD) is also shown.
  • 11.
  • 12.
  • 13.
  • 14.
    Pathophysiology ATRESIA OF TRICUSPIDVALVE (type I) • No communication between RA AND RV RV is underdeveloped. • Systemic venous blood received by RA Enters LA through PFO or ASD Mixing of systemic and pulmonary blood RA Enters LV Blood enters RV through VSD From RV blood enters Pulm trunk • Blood enters pulm trunk via PDA Increased pulmonary blood flow LA and LV hypertrophy CHF
  • 15.
    Pathophysiology Type II (d-TGA) thepulmonary blood flow is directly derived from the LV. The systemic blood flow is via the VSD and the RV. Type III, subtype 1 (L- TGA) the atretic morphologic tricuspid valve is a left sided atrioventricular valve and therefore, in a physiological sense, it behaves as mitral (left ) obstruction. In other type III and type IV patients, the systemic and pulmonary blood flows are determined by the size of the VSD and other associated defects
  • 16.
     Pulmonary Outflowobstruction may be either subvalvar or valvar in Patients with TGA, while in Patients with normally related great arteries the pulmonary Obstruction is often • at the VSD level although, in a few cases, • Subvalvar pulmonary stenosis, • narrow tract of the hypoplastic Right ventricle • and rarely, valvar pulmonary stenosis may Also be responsible for pulmonary outflow tract obstruction.  With pulmonary atresia, either a PDA or Aortopulmonary collateral vessels may be present.
  • 17.
    Decreased pulm flow90% • Severe cyanosis, hypoxemia, and acidosis • LV apical impulse Approximately one-half of the patients with tricuspid atresia manifest symptoms on the 1st day of life and 80 % would be symptomatic by the end of the 1st month of life The magnitude of pulmonary blood flow determines the clinical features. Two modes of presentation are recognized: • those with decreased pulmonary blood flow • those with increased pulmonary blood flow.
  • 18.
    INCREASED PULM FLOW10% • may not appear cyanotic but may present with signs of heart failure later in infancy • pulmonary plethora present with symptoms of dyspnea, fatigue, difficulty feeding, and perspiration, which are suggestive of congestive heart failure. • Cyanosis is minimal
  • 19.
    History 1. Cyanosis isusually severe from birth. Tachypnea and poor feeding usually manifest. 2. History of hypoxic spells may be present in infants. Physical examination 1. Cyanosis, either with or without clubbing, is always present. 2. A systolic thrill is rarely palpable when associated with PS. CLINICAL MANIFESTATIONS
  • 20.
    3. Auscultations: • TheS2 is single. • A grade 2 to 3/6 holosystolic (or early systolic) murmur of VSD is usually present • At the lower left sternal border. A continuous murmur of PDA is occasionally present. An apical • Diastolic rumble is rarely audible in patients with large PBF. 4. Hepatomegaly may indicate an inadequate interatrial communication or CHF.
  • 21.
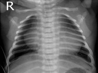
    ELECTROCARDIOGRAPHY 1. “Superior” QRSaxis (between 0 and –90 degrees) is characteristic. It appears in most patients without TGA and in only 50% of patients with TGA. 2. LVH is usually present; RAH or biatrial hypertrophy (BAH) is common X-ray Studies The heart size is normal or slightly increased, with enlargement of the RA and LV. Pulmonary vascularity decreases in most patients although it may increase in infants with TGA. Occasionally, the concave PA segment may produce a boot-shaped heart, like the x-ray findings of TOF.
  • 25.
    ECHOCARDIOGRAPHY. Two-dimensional : • Absenceof the tricuspid orifice, marked hypoplasia of the RV, and a large LV can be imaged in the apical four-chamber view. • 2. The bulging of the atrial septum toward the left and the size of the interatrial communication are easily imaged in the subcostal four-chamber view. • In the most common muscular type, a dense band of echoes is seen at the site, where tricuspid valve should be and the anterior leaflet of the detectable atrioventricular valve is attached to the left side of interatrial septum Apical and subcostal four-chambered views are best to demonstrate The anatomy • 3. The size of the VSD, the presence and severity of PS, and the presence of TGA should all be investigated. • 4. Patients with TGA should be examined for possible
  • 26.
  • 27.
  • 29.
    ECHOCARDIOGRAPHY. M-mode echocardiographic features •Large LA (usually proportional to the magnitude of pulmonary blood flow) • Dilated LV • Normal to decreased LV FS%. • A large posterior atrioventricular valve in continuity with posterior semilunar valve • and a small RV. • The pulmonary valve may or may not be recorded. • The tricuspid valve is conspicuously absent. • Tricuspid valve-like echoes of low amplitude may be recorded occasionally and this should not exclude the diagnosis of tricuspid atresia.
  • 30.
    OTHER LABORATORY STUDIES Pulseoximeter and blood gas values are useful in quantitating the degree of hypoxemia, thereby indicating the severity of pulmonary oligemia. Hemoglobin and hematocrit values are useful in children; the degree of polycythemia is useful in estimating the severity of hypoxemia. Magnetic resonance imaging (MRI) and computed tomography (CT) scan
  • 33.
    with modified Fontanrepair. The Fontan conduit (white arrow) runs from th atrium (A) around the front of the heart towards the pulmonary artery. Note front of the heart is identified by the anterior atrioventricular sulcus tissue containing the signal void of the right coronary artery (black arrow
  • 34.
    CARDIAC CATHETRIZATION The diagnosisof tricuspid atresia based on clinical, electrocardiographic and echocardiographic features is relatively simple and cardiac catheterization rarely, if ever, are essential for establishing the diagnosis. Catheterization may be indicated prior to bidirectional Glenn or Fontan operations.
  • 35.
    NATURAL HISTORY 1. Fewinfants with tricuspid atresia and normally related great arteries survive beyond 6 months of age without surgical palliation. 2. Occasionally, patients with increased PBF develop CHF and eventually pulmonary vascular obstructive disease. 3. For patients who survive into their second decade of life without a Fontan-type operation, the chronic volume overload of the LV usually produces secondary cardiomyopathy and reduced contractility of that ventricle. (A Fontan procedure should be performed before LV dysfunction develops.)
  • 36.
    Management Physiologically ‘corrective’ surgeryfor tricuspid atresia and their modifications have improved the prognosis of patients with tricuspid atresia. Such physiologic correction is usually performed in patients older than 2 years. most tricuspid atresia patients manifest symptoms in the neonatal period and should be effectively palliated to enable them to reach the age at which surgical correction could be undertaken.
  • 37.
    Medical management atthe time of initial presentation • Infants with low arterial PO2 and decreased oxygen saturation may be ductal dependent and therefore, the ductus should be kept open by intravenous administration of prostaglandin E1(PGE1) • Dose of 0.05 -0.1 μg /kg/min • The Rashkind procedure (balloon atrial septostomy) may be performed as part of the initial catheterization to improve the RA- to-LA shunt, especially when the interatrial communication is considered inadequate by echo studies. • Anticongestive measures in patients with CHF.
  • 38.
  • 39.
    • Patients withassociated severe coarctation of the aorta may also be helped with PGE1 infusion; this should be followed by surgical relief of coarctation. Alternatively, balloon angioplasty may be utilized to relieve the aortic obstruction. • Infants with normally related great arteries and adequate PBF through a VSD do not need any other Procedures; rather, they need to be closely watched for decreasing oxygen saturation resulting from Spontaneous reduction of the VSD.
  • 40.
    Palliative treatment ofspecific physiologic abnormalities Most infants with TA require one or more palliative procedures before a Fontan-type operation, the definitive surgery, can be performed. Staged palliative surgical procedures are aimed at producing ideal candidates for a future Fontan procedure. who have; • Normal LV function • and Low pulmonary resistance
  • 41.
    1. Normal LVfunction : a.Preventing excessive volume load by using a relatively small systemic-to-pulmonary shunt (e.g., 3.5 mm for neonates). b. Avoiding ventricular hypertrophy (for example, by relieving outflow obstruction). 2. Low pulmonary resistance: a. Providing adequate PBF that promotes the growth of PA branches b. Preventing distortion of the central pulmonary arteries. A shunt operation is preferably done on the right PA, which can be incorporated into the Fontan operation.
  • 42.
    DECREASED PULMONARY FLOW •Systemic to pulmonary artery shunt: Surgically created left to right shunt at the great vessel level • formalin infiltration of the ductal wall; stenting the ductus arteriosus and enlarging the VSD.
  • 43.
    Classic Blalock-Taussig shunt Subclavianartery-to-ipsilateral pulmonary artery
  • 44.
  • 45.
    Central shunt Gortex interpositiongraft between aorta and main pulmonary artery
  • 46.
    Potts Direct anastomosis descendingaorta to left pulmonary artery
  • 47.
    Direct anastomosis ascendingaorta to right pulmonary artery
  • 48.
    Increased pulmonary bloodflow Only type Ic and Type IIc patients, i.e. without associated pulmonary stenosis, will fall into the category of pulmonary plethora. A majority of these patients will have type II anatomy and will usually manifest during early infancy. Pulmonary artery banding
  • 49.
    Intracardiac obstruction Intracardiac obstructioncan occur at two different levels, namely, patent foramen ovale and VSD. Interatrial obstruction: Balloon atrial septostomy, if unsuccessful blade atrial septostomy, and rarely surgical atrial septostomy may be necessary to relieve the obstruction.
  • 50.
    Interventricular obstruction: Spontaneous closureof the VSD causing severe pulmonary oligemia in type I patients and subaortic obstruction in type II patients The obstruction must be tackled at the time of either a bidirectional Glenn or a modified Fontan operation. Resection of the conal muscular septum, thus enlarging the VSD, is a direct approach Alternatively, the VSD, right ventricle and aortic valve may be bypassed by anastomosis of the proximal stump of the divided pulmonary artery to the ascending aorta (Damus- Kaye-Stansel) at the time of bidirectional Glenn (or Fontan) operation
  • 51.
    Stage I. Oneof the following procedures is done in preparation for a future Fontan operation: 1. Blalock-Taussig shunt, when PBF is small 2. PA banding, when PBF is excessive 3. Damus-Kaye-Stansel plus shunt operation (for TA + TGA + restrictive VSD) Medical follow-up after stage I. Watch for: a. Cyanosis (O2 saturation <75%)—cardiac catheterization or MRI to find out its cause. b. Poor weight gain (CHF from too much PBF)— tightening of PA band may be necessary. Fontan pathway
  • 52.
    • Stage II(at 3 months or by 6 months). • 1. BDG operation (an end-to-side SVC-to-RPA shunt) also called bidirectional superior cavopulmonary shunt)or • 2. The hemi-fontan operation Medical follow-up after stage II. Watch for the following: • A. A gradual decrease in O2 saturation (<75%) . • B. Transient hypertension—1 to 2 weeks postoperatively Cardiac catheterization by 12 months after stage II
  • 53.
  • 54.
  • 55.
    • Stage III( fontan operation) within 1 to 2 years after stage II operation. • 1. “Lateral tunnel” fontan (with 4 mm fenestration) Intracardiac total cavopulmonary connection • 2. An extracardiac conduit (with or without fenestration) extracardiac total cavopulmonary connection
  • 60.
    Did you know? Whenyou finish your PowerPoint presentation, you can upload it to: SlideOnline.com Congratulations You can use this free PowerPoint template for your own presentations. Follow us on Twitter @ppttemplatenet PPTTemplate.net Download More Free PowerPoint Templates And now what? You can safely delete this slide, but please consider to read below:

Editor's Notes

  • #61 Download free PowerPoint templates from http://ppttemplate.net/ - Later, you can also upload your finished presentations for free to http://slideonline.com/