ESSENTIALS OF CT BRAIN
(For Undergraduates)
Dr. Prithwiraj Maiti
MBBS
House Physician, Department of Internal Medicine
R.G.Kar Medical College
Admin and Founder, Pgblaster India
Author of: “A Practical Handbook of Pathology Specimens and Slides” and
“An Ultimate Guide to Community Medicine”; published by Jaypee Brothers, India
Topics to be discussed
1. Introduction
2. Principle of CT scan
3. Mechanism of CT scan
4. Concept of Hounsfield unit (HU)
5. Different Window levels in head CT
6. Advantages and limitations of CT scan
7. Anatomical structures seen in a normal brain CT
8. CT scan in head trauma
9. CT scan in cerebrovascular accident (CVA)
10. CT scan in CNS infections
11. CT scan in diagnosing brain tumors
12. CT scan in sinus pathology
13. CT scan in evaluation of headache
Introduction
• In 1970, Sir Jeffrey Hounsfield combined a mathematical
reconstruction formula with a rotating apparatus that could both
produce and detect X-Rays, producing a prototype for the modern-
day CT scanner. For this work he received both a Nobel Prize and a
knighthood.
• The cranial computed tomography (CT) has assumed a critical role in
the practice of emergency medicine for the evaluation of neurological
emergencies, both traumatic and atraumatic.
Principle of CT scan
• The most fundamental principle behind radiography of any kind is the
following statement: X-rays are absorbed to different degrees by
different tissues.
• Dense tissues, such as bone, absorb the most x-rays, and hence allow
the fewest through the body part being studied to the film or
detector opposite.
• Conversely, tissues with low density (air/fat), absorb almost none of
the x-rays, allowing most to pass through to a film or detector
opposite.
Mechanism of CT scan
• CT scan machines have an X-Ray source and detector, situated 180◦
across from each other, move 360◦ around the patient, continuously
sending and detecting information on the attenuation of X-Rays as
they pass through the body.
• Very thin x-ray beams are utilized, which minimizes the degree of
scatter or blurring.
• Finally, a computer manipulates and integrates the acquired data and
assigns numerical values based on the subtle differences in X-Ray
attenuation.
• Based on these values, a grey-scale axial image is generated that can
distinguish between objects with even small differences in density.
Concept of Hounsfield unit (HU)
Different Window levels in head CT
• Brain Window: Shows subarachnoid hemorrhage
• Subdural window: Shows subdural hemorrhage
• Bone window: Shows bullet fragment and fracture.
Advantages and limitations of CT scan
(Compared to MRI)
ADVANTAGES LIMITATIONS
1. Shorter imaging time
2. Lower cost
3. Superior in detecting the presence of
calcification and bony abnormalities
4. Good definition of extra-axial bone
tumors (Ex.: Acoustic neuroma,
Meningioma etc.).
1. Poor definition of the extent of
edema (so lower rate of tumor
detection)
2. Poor neuroanatomical definition
compared to MRI
3. Imaging of posterior fossa lesion is
limited due to bony artifacts
4. Risk of exposure to radiation.
Anatomical structures seen in a normal brain CT
At the level of Orbit
A= ORBIT
B= SPHENOID SINUS
C= TEMPORAL LOBE
D= EXTERNAL AUDITORY
CANAL
E= MASTOID AIR CELLS
F= CEREBELLAR
HEMISPHERES
Anatomical structures seen in a normal brain CT
At the level of Sella Turcica
A= Frontal Lobe
B= Frontal Bone
C= Dorsum Sellae
D= Basilar Artery
E= Temporal Lobe
F= Mastoid Air Cells
G= Cerebellar
Hemisphere
Anatomical structures seen in a normal brain CT
At the level of Midbrain
A= FRONTAL LOBE
B= SYLVIAN FISSURE
C= TEMPORAL LOBE
D= SUPRASELLAR
CISTERN
E= MIDBRAIN
F= FOURTH VENTRICLE
G= CEREBELLAR
HEMISPHERE
Anatomical structures seen in a normal brain CT
At the level of Cerebellum
A= FALX CEREBRI
B= FRONTAL LOBE
C= ANTERIOR HORN LAT
VENTRICLE
D= THIRD VENTRICLE
E= QUADRIGEMINAL
PLATE CISTERN
F= CEREBELLUM
Anatomical structures seen in a normal brain CT
At the level of Basal ganglia
A= ANTERIOR HORN LAT
VENTRICLE
B= CAUDATE NUCLEUS
C= ANT. LIMB OF
INTERNAL CAPSULE
D= GLOBUS PALLIDUS
AND PUTAMEN
E= POST. LIMB OF
INTERNAL CAPSULE
F= THIRD VENTRICLE
G= QUADRIGEMINAL
PLATE CISTERN
H= CEREBELLAR VERMIS
I= OCCIPITAL LOBE
Anatomical structures seen in a normal brain CT
At the level of Thalamus
A= GENU OF CORPUS
CALLOSUM
B= ANT HORN OF
LATERAL VENTRICLE
C= INT CAPSULE
D= THALAMUS
E= PINEAL GLAND
F= CHOROID PLEXUS
G= STARAIGHT SINUS
Anatomical structures seen in a normal brain CT
At the level of Lateral ventricle
A= FALX CEREBRI
B= FRONTAL LOBE
C= BODY OF LATERAL
VENTRICLE
D= SPLENIUM OF
CORPUS CALLOSUM
E= PARIETAL LOBE
F= OCCIPITAL LOBE
G= SUPERIOR SAGITTAL
SINUS
Anatomical structures seen in a normal brain CT
At the uppermost level
A= FALX CEREBRI
B= SULCUS
C= GYRUS
D= SUPERIOR SAGGITAL
SINUS
CT scan in head trauma
• Imaging modality of choice in head trauma is non contrast CT scan.
• Important CT findings of head trauma:
1. Extradural hemorrhage (EDH)
2. Subdural hemorrhage (SDH)
3. Subarachnoid hemorrhage (SAH)
4. Orbital blow out fractures
5. Isolated bone fractures.
Extradural hemorrhage
• Location: Between the inner surface of skull and outer layer of dura
(periosteum)
• As a result, EDHs are usually limited in their extent by the cranial
sutures [unlike SDH, which are not limited by sutures]
• Features in CT: Biconvex in shape, hyperdense, sharply demarcated
• Features of mass effect (i.e. midline shift and uncal herniation) may
be present.
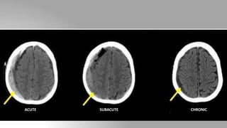
Subdural hemorrhage
• Location: Between the dura and arachnoid mater
• In contrast to EDH, SDH is not limited by sutures but are limited by
dural reflections (falx cerebri, tentorium and falx cerebelli)
• Appearance of SDH depends upon the time since its formation:
Acute SDH (<3 days): Crescentic, hyperdense
Subacute SDH (3-14 days): Nearly isodense, for detection often CECT
is needed
Chronic SDH (>14 days): Hypodense with enhancing membrane.
ACUTE SUBACUTE CHRONIC
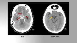
Subarachnoid hemorrhage (SAH)
• Location: Subarachnoid space
• The most common cause of subarachnoid hemorrhage is trauma
• The most common cause of non traumatic subarachnoid hemorrhage
is a ruptured aneurysm
• CT finding includes hyperdense material (instead of hypodense CSF)
within the subarachnoid space.
SAH NORMAL CT
Orbital blow out fractures
• Typically occurs when there is a fracture of one of the walls of orbit
but the orbital rim remains intact
• Inferior blow-out fractures are the most common.
CT in cerebrovascular accident (CVA)
Ischemic stroke
1. Immediate phase (<1 hour): The earliest CT sign visible is a
hyperdense segment of a vessel, representing direct visualisation of
the intravascular thrombus / embolus and as such is visible
immediately
2. Early phase (1-3 hours): Loss of grey-white matter differentiation
and Hypo-attenuation of deep nuclei
3. First week: Hypo-attenuation and swelling become more marked
resulting in a significant mass effect
4. 2nd-3rd week: Swelling starts to subside, at this time cortex appears
near normal.
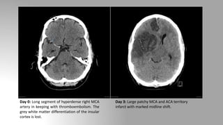
Day 0: Long segment of hyperdense right MCA
artery in keeping with thromboembolism. The
grey white matter differentiation of the insular
cortex is lost.
Day 3: Large patchy MCA and ACA territory
infarct with marked midline shift.
• There are two types of hemorrhagic strokes: those caused by an
intracerebral hemorrhage (ICH) and those caused by a subarachnoid
hemorrhage (SAH)
• Common locations: Basal ganglia and thalamus, pons and cerebellar
hemisphere
• Acute blood is markedly hyperdense compared to brain parenchyma,
and as such usually poses little difficulty in diagnosis.
CT in cerebrovascular accident (CVA)
Hemorrhagic stroke
BASAL GANGLIA BLEED
CT scan in CNS infections
Topics to be discussed:
1. Tubercular meningitis
2. Herpes simplex encephalitis
3. Neurocysticercosis
4. Brain abscess
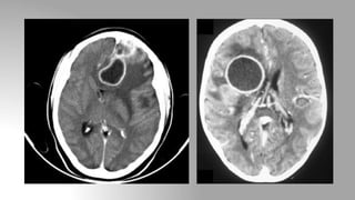
Tubercular meningitis (TBM)
It is to be noted that NCCT may be absolutely normal.
Following are the hallmarks of TBM:
1. Dural thickening and calcification around basal cisterns
2. Enhancing basal exudates involving basal cisterns
3. Cerebral atrophy
4. Infarcts resulting from arteritis
5. Non communicating hydrocephalus
6. Ring enhancing lesions -> Tuberculoma.
Tuberculoma with hydrocephalus
Herpes simplex encephalitis (HSE)
• Predominant involvement of limbic system (temporal lobe, subfrontal
region, cingulate gyri)
• CT findings:
Very early stage: May be normal
Initial stage: Low density lesions in temporal lobe
Late stage: Hemorrhage is highly suggestive of HSE.
Neurocysticercosis
Stage of the disease CT finding
Vesicular stage Non-enhancing cyst
Colloidal stage Cyst wall enhancement in form of ring
Granular nodular stage Isodense cyst with calcified scolex
Calcified stage Small calcified nodule
Brain abscess
• Ring of iso/hyperdense tissue, typically of uniform thickness
• Central low attenuation (fluid/pus)
• Surrounding low density (due to vasogenic oedema)
• Obstructive hydrocephalus common in case of intraventricular spread.
CT scan in diagnosing brain tumors
Although the most
effective and common
tool for diagnosing a
brain tumor is the use of
a MRI scan, CT scan
serves as an effective
screening tool for supra-
tentorial abnormalities.
CT scan in sinus pathology
• Physicians who are interested in treating patients with sinus disease
must be able to read and interpret sinus CT scans
• Here, normal sinus radiology and its infectious changes are shown:
Normal sinus CT:
+ - Border of maxillary sinus
* - Maxillary sinus ostium
U - Uncinate process
E - Ethmoid sinuses
IT- Inferior turbinate
MT- Middle turbinate
S – Septum
C - Concha bullosa
CT scan showing bilateral
ethmoid and maxillary disease,
with complete obliteration of
both osteomeatal complexes.
CT scan in evaluation of headache
One should consider neuroimaging in the following situations:
1. Recent significant change in the pattern/ frequency/ severity of
headache
2. Progressive worsening of headache despite appropriate therapy
3. Focal neurologic signs or symptoms
4. Onset of headache with exertion, cough, or sexual activity
5. Orbital bruit
6. Onset of headache after 40 years of age.
• A head CT scan (± Contrast) is likely to be sufficient in most patients.
• An MRI along with MRA is indicated when posterior fossa or vascular
lesions are suspected.
Thank you.
Disclaimer: All the photographs used in this presentation belongs to
their copyright owners and had been used for purely educational
purposes. For any query, suggestions or recommendations; please
leave a message at: prithwiraj2009@yahoo.in.

ESSENTIALS_OF_CT_BRAIN_For_Undergraduate.pptx

  • 1.
    ESSENTIALS OF CTBRAIN (For Undergraduates) Dr. Prithwiraj Maiti MBBS House Physician, Department of Internal Medicine R.G.Kar Medical College Admin and Founder, Pgblaster India Author of: “A Practical Handbook of Pathology Specimens and Slides” and “An Ultimate Guide to Community Medicine”; published by Jaypee Brothers, India
  • 2.
    Topics to bediscussed 1. Introduction 2. Principle of CT scan 3. Mechanism of CT scan 4. Concept of Hounsfield unit (HU) 5. Different Window levels in head CT 6. Advantages and limitations of CT scan 7. Anatomical structures seen in a normal brain CT 8. CT scan in head trauma 9. CT scan in cerebrovascular accident (CVA) 10. CT scan in CNS infections 11. CT scan in diagnosing brain tumors 12. CT scan in sinus pathology 13. CT scan in evaluation of headache
  • 3.
    Introduction • In 1970,Sir Jeffrey Hounsfield combined a mathematical reconstruction formula with a rotating apparatus that could both produce and detect X-Rays, producing a prototype for the modern- day CT scanner. For this work he received both a Nobel Prize and a knighthood. • The cranial computed tomography (CT) has assumed a critical role in the practice of emergency medicine for the evaluation of neurological emergencies, both traumatic and atraumatic.
  • 4.
    Principle of CTscan • The most fundamental principle behind radiography of any kind is the following statement: X-rays are absorbed to different degrees by different tissues. • Dense tissues, such as bone, absorb the most x-rays, and hence allow the fewest through the body part being studied to the film or detector opposite. • Conversely, tissues with low density (air/fat), absorb almost none of the x-rays, allowing most to pass through to a film or detector opposite.
  • 5.
    Mechanism of CTscan • CT scan machines have an X-Ray source and detector, situated 180◦ across from each other, move 360◦ around the patient, continuously sending and detecting information on the attenuation of X-Rays as they pass through the body. • Very thin x-ray beams are utilized, which minimizes the degree of scatter or blurring. • Finally, a computer manipulates and integrates the acquired data and assigns numerical values based on the subtle differences in X-Ray attenuation. • Based on these values, a grey-scale axial image is generated that can distinguish between objects with even small differences in density.
  • 6.
  • 7.
    Different Window levelsin head CT • Brain Window: Shows subarachnoid hemorrhage • Subdural window: Shows subdural hemorrhage • Bone window: Shows bullet fragment and fracture.
  • 8.
    Advantages and limitationsof CT scan (Compared to MRI) ADVANTAGES LIMITATIONS 1. Shorter imaging time 2. Lower cost 3. Superior in detecting the presence of calcification and bony abnormalities 4. Good definition of extra-axial bone tumors (Ex.: Acoustic neuroma, Meningioma etc.). 1. Poor definition of the extent of edema (so lower rate of tumor detection) 2. Poor neuroanatomical definition compared to MRI 3. Imaging of posterior fossa lesion is limited due to bony artifacts 4. Risk of exposure to radiation.
  • 9.
    Anatomical structures seenin a normal brain CT At the level of Orbit A= ORBIT B= SPHENOID SINUS C= TEMPORAL LOBE D= EXTERNAL AUDITORY CANAL E= MASTOID AIR CELLS F= CEREBELLAR HEMISPHERES
  • 10.
    Anatomical structures seenin a normal brain CT At the level of Sella Turcica A= Frontal Lobe B= Frontal Bone C= Dorsum Sellae D= Basilar Artery E= Temporal Lobe F= Mastoid Air Cells G= Cerebellar Hemisphere
  • 11.
    Anatomical structures seenin a normal brain CT At the level of Midbrain A= FRONTAL LOBE B= SYLVIAN FISSURE C= TEMPORAL LOBE D= SUPRASELLAR CISTERN E= MIDBRAIN F= FOURTH VENTRICLE G= CEREBELLAR HEMISPHERE
  • 12.
    Anatomical structures seenin a normal brain CT At the level of Cerebellum A= FALX CEREBRI B= FRONTAL LOBE C= ANTERIOR HORN LAT VENTRICLE D= THIRD VENTRICLE E= QUADRIGEMINAL PLATE CISTERN F= CEREBELLUM
  • 13.
    Anatomical structures seenin a normal brain CT At the level of Basal ganglia A= ANTERIOR HORN LAT VENTRICLE B= CAUDATE NUCLEUS C= ANT. LIMB OF INTERNAL CAPSULE D= GLOBUS PALLIDUS AND PUTAMEN E= POST. LIMB OF INTERNAL CAPSULE F= THIRD VENTRICLE G= QUADRIGEMINAL PLATE CISTERN H= CEREBELLAR VERMIS I= OCCIPITAL LOBE
  • 14.
    Anatomical structures seenin a normal brain CT At the level of Thalamus A= GENU OF CORPUS CALLOSUM B= ANT HORN OF LATERAL VENTRICLE C= INT CAPSULE D= THALAMUS E= PINEAL GLAND F= CHOROID PLEXUS G= STARAIGHT SINUS
  • 15.
    Anatomical structures seenin a normal brain CT At the level of Lateral ventricle A= FALX CEREBRI B= FRONTAL LOBE C= BODY OF LATERAL VENTRICLE D= SPLENIUM OF CORPUS CALLOSUM E= PARIETAL LOBE F= OCCIPITAL LOBE G= SUPERIOR SAGITTAL SINUS
  • 16.
    Anatomical structures seenin a normal brain CT At the uppermost level A= FALX CEREBRI B= SULCUS C= GYRUS D= SUPERIOR SAGGITAL SINUS
  • 17.
    CT scan inhead trauma • Imaging modality of choice in head trauma is non contrast CT scan. • Important CT findings of head trauma: 1. Extradural hemorrhage (EDH) 2. Subdural hemorrhage (SDH) 3. Subarachnoid hemorrhage (SAH) 4. Orbital blow out fractures 5. Isolated bone fractures.
  • 18.
    Extradural hemorrhage • Location:Between the inner surface of skull and outer layer of dura (periosteum) • As a result, EDHs are usually limited in their extent by the cranial sutures [unlike SDH, which are not limited by sutures] • Features in CT: Biconvex in shape, hyperdense, sharply demarcated • Features of mass effect (i.e. midline shift and uncal herniation) may be present.
  • 20.
    Subdural hemorrhage • Location:Between the dura and arachnoid mater • In contrast to EDH, SDH is not limited by sutures but are limited by dural reflections (falx cerebri, tentorium and falx cerebelli) • Appearance of SDH depends upon the time since its formation: Acute SDH (<3 days): Crescentic, hyperdense Subacute SDH (3-14 days): Nearly isodense, for detection often CECT is needed Chronic SDH (>14 days): Hypodense with enhancing membrane.
  • 21.
  • 22.
    Subarachnoid hemorrhage (SAH) •Location: Subarachnoid space • The most common cause of subarachnoid hemorrhage is trauma • The most common cause of non traumatic subarachnoid hemorrhage is a ruptured aneurysm • CT finding includes hyperdense material (instead of hypodense CSF) within the subarachnoid space.
  • 23.
  • 24.
    Orbital blow outfractures • Typically occurs when there is a fracture of one of the walls of orbit but the orbital rim remains intact • Inferior blow-out fractures are the most common.
  • 25.
    CT in cerebrovascularaccident (CVA) Ischemic stroke 1. Immediate phase (<1 hour): The earliest CT sign visible is a hyperdense segment of a vessel, representing direct visualisation of the intravascular thrombus / embolus and as such is visible immediately 2. Early phase (1-3 hours): Loss of grey-white matter differentiation and Hypo-attenuation of deep nuclei 3. First week: Hypo-attenuation and swelling become more marked resulting in a significant mass effect 4. 2nd-3rd week: Swelling starts to subside, at this time cortex appears near normal.
  • 26.
    Day 0: Longsegment of hyperdense right MCA artery in keeping with thromboembolism. The grey white matter differentiation of the insular cortex is lost. Day 3: Large patchy MCA and ACA territory infarct with marked midline shift.
  • 28.
    • There aretwo types of hemorrhagic strokes: those caused by an intracerebral hemorrhage (ICH) and those caused by a subarachnoid hemorrhage (SAH) • Common locations: Basal ganglia and thalamus, pons and cerebellar hemisphere • Acute blood is markedly hyperdense compared to brain parenchyma, and as such usually poses little difficulty in diagnosis. CT in cerebrovascular accident (CVA) Hemorrhagic stroke
  • 30.
  • 31.
    CT scan inCNS infections Topics to be discussed: 1. Tubercular meningitis 2. Herpes simplex encephalitis 3. Neurocysticercosis 4. Brain abscess
  • 32.
    Tubercular meningitis (TBM) Itis to be noted that NCCT may be absolutely normal. Following are the hallmarks of TBM: 1. Dural thickening and calcification around basal cisterns 2. Enhancing basal exudates involving basal cisterns 3. Cerebral atrophy 4. Infarcts resulting from arteritis 5. Non communicating hydrocephalus 6. Ring enhancing lesions -> Tuberculoma.
  • 33.
  • 34.
    Herpes simplex encephalitis(HSE) • Predominant involvement of limbic system (temporal lobe, subfrontal region, cingulate gyri) • CT findings: Very early stage: May be normal Initial stage: Low density lesions in temporal lobe Late stage: Hemorrhage is highly suggestive of HSE.
  • 36.
    Neurocysticercosis Stage of thedisease CT finding Vesicular stage Non-enhancing cyst Colloidal stage Cyst wall enhancement in form of ring Granular nodular stage Isodense cyst with calcified scolex Calcified stage Small calcified nodule
  • 38.
    Brain abscess • Ringof iso/hyperdense tissue, typically of uniform thickness • Central low attenuation (fluid/pus) • Surrounding low density (due to vasogenic oedema) • Obstructive hydrocephalus common in case of intraventricular spread.
  • 40.
    CT scan indiagnosing brain tumors Although the most effective and common tool for diagnosing a brain tumor is the use of a MRI scan, CT scan serves as an effective screening tool for supra- tentorial abnormalities.
  • 41.
    CT scan insinus pathology • Physicians who are interested in treating patients with sinus disease must be able to read and interpret sinus CT scans • Here, normal sinus radiology and its infectious changes are shown:
  • 42.
    Normal sinus CT: +- Border of maxillary sinus * - Maxillary sinus ostium U - Uncinate process E - Ethmoid sinuses IT- Inferior turbinate MT- Middle turbinate S – Septum C - Concha bullosa CT scan showing bilateral ethmoid and maxillary disease, with complete obliteration of both osteomeatal complexes.
  • 43.
    CT scan inevaluation of headache One should consider neuroimaging in the following situations: 1. Recent significant change in the pattern/ frequency/ severity of headache 2. Progressive worsening of headache despite appropriate therapy 3. Focal neurologic signs or symptoms 4. Onset of headache with exertion, cough, or sexual activity 5. Orbital bruit 6. Onset of headache after 40 years of age. • A head CT scan (± Contrast) is likely to be sufficient in most patients. • An MRI along with MRA is indicated when posterior fossa or vascular lesions are suspected.
  • 44.
    Thank you. Disclaimer: Allthe photographs used in this presentation belongs to their copyright owners and had been used for purely educational purposes. For any query, suggestions or recommendations; please leave a message at: prithwiraj2009@yahoo.in.