TOÅN THÖÔNG CÔ BAÛN
   VUØNG MIEÄNG
           BS. Nguyeãn Thò Hoàng
MUÏC TIEÂU :

   Moâ taû vaø nhaän daïng ñöôïc
   nhöõng toån thöông cô baûn
vuøng mieäng qua khaùm laâm saøng.
1.ÑÒNH NGHÓA

Toån thöông cô baûn laø toån thöông ñaàu tieân
chöa bò thay ñoåi do ñieàu trò (duøng thuoác,
boâi thuoác, xaï trò…).
II. Phaân loaïi
1.Daùt
Macule



Ñònh nghóa:
 Vuøng khaùc maøu vôùi moâ xung quanh,

 khoâng nhoâ leân cuõng khoâng loõm xuoáng, ≤ 1 cm

 * neáu > 1 cm thì goïi laø beät (patch)
Phaân loaïi Daùt



1.Daùt saéc toá: * daùt melanin

                * daùt khoâng melanin

2. Hoàng ban

3. Daùt maïch maùu

4. Daùt xuaát huyeát
Daùt melanin: Baåm sinh hay thuï ñaéc.
Daùt melanin: Baåm sinh hay thuï ñaéc.
Hoäi chöùng Peutz-Jeghers
Hoäi chöùng Addison
Daùt khoâng meâlanin:

Do söï tích tuï chaát maøu ngoaïi lai trong moâ




       Daùt amalgam
Daùt khoâng meâlanin:




    Daùt bismuth
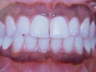
HOÀNG BAN
daùt maøu ñoû hay hoàng,
 coù tính chaát vieâm vaø
 bieán maát khi ñeø eùp.
 Vieâm do nhieãm:
 Vieâm do virus

 Vieâm do vi naám

 Vieâm do vi khuaån
Hoàng ban: VIEÂM KHOÂNG DO NHIEÃM
 Vieâm do dò öùng.

 Vieâm do chaán thöông

 Vieâm do beänh töï mieãn
DAÙT MAÏCH MAÙU:
hoàng hay ñoû saãm, bieán maát khi ñeø eùp
 nhöng khoâng coù tính chaát vieâm
 Daùt do giaõn mao maïch, böôùu maùu phaúng
Daùt bieán maát khi ñeø:
=> Daùt maïch maùu
=> Hoàng ban
DAÙT XUAÁT HUYEÁT
* maøu ñoû töôi nhöng ñeø khoâng bieán maát.

* 1-2 tuaàn: ñoû -> tím -> naâu->vaøng ->bieán maát.

Ñieåm xuaát huyeát         Baàm maùu




Petechiae                  Ecchymosis
Ban xuaát huyeát (purpura)
     : baàm maùu lôùn
1. Daùt
Daùt        Hoàng ban       Daùt            Daùt
saéc toá                 maïch maùu      xuaát huyeát


Ñen       -Hoàng / ñoû -Hoàng/ ñoû      -Ñoû töôi
(melanin) -Maát khi ñeø -Maát khi ñeø   -Khoâng maát
          -Vieâm        -Khoângvieâm    khi ñeø eùp
Xanh ñen,                               -Ñoû – Tím –
naâu ñen                                Naâu – Vaøng-
(khoâng                                 Maát (2 tuaàn)
melanin)
2. Saàn – Papule

 Vuøng goà leân, noâng, chaéc.
 Döôùi 1cm.
 Maøu traéng xaùm, coù theå vaøng, hoàng, ñoû,
                                     tím, naâu.
 Nhieàu saàn gaàn nhau keát thaønh maûng.
Liken phaúng – lichen planus
3. MAÛNG - Plaque
                   SAÀN            MAÛNG
Vuøng goà leân,    Noâng           Deït
chaéc                              Lan saâu vaøo lôùp bì hôn.
Kích thöôùc        Döôùi 1cm       Treân 1cm
Maøu               Traéng (liken) Traéng (maûng baïch saûn)
                   Coù theå hoàng, Hoàng/ñoû (maûng hoàng saûn)
                   ñoû, tím, naâu Tím/ naâu/ñen (maûng söøng
                                   hoùa ôû ngöôøi cao tuoái)
Beà maët                           Trôn laùng hay khoâng ñeàu
Hình thaønh                        Nguyeân phaùt hay do nhieàu
                                   saàn keát nhau
BAÏCH SAÛN - Leukoplakia
BAÏCH SAÛN TOÙC - Hairy leukoplakia
HOÀNG SAÛN - Erythroplakia
DAØY SÖØNG ÔÛ NGÖÔØI CAO TUOÅI
       Keùratose seùnile
4. HOØN - Nodule
               SAÀN      MAÛNG          HOØN



Vuøng goà      Noâng     Lan saâu       Lan saâu vaøo
leân, chaéc              vaøo lôùp bì   lôùp bì hôn.
                         hôn.
Kích thöôùc Döôùi 1cm    Treân 1cm      Döôùi 1cm

Tieán trieån   Thöôøng   Thöôøng        Thöôøng laønh
               laønh     laønh          Ñau/khoâng
U sôïi do kích thích
U sôïi do kích thích
Epulis (u haït sinh muõ)
Boïc maùu tuï - Hematoma
5. Böôùu - Tumor
1.Söï taân sinh (neoplasia):
  - Söï taêng sinh môùi
  - Do caùc teá baøo sinh saûn khoâng ngöøng,
    khoâng kieåm soaùt ñöôïc,
    khoâng nhaèm muïc ñích naøo.
2. Toån thöông ñaëc chaéc goà leân, lan saâu xuoáng
  beân döôùi vaø thöôøng lôùn hôn 1 cm.
3. Caàn phaân bieät Böôùu vaø toån thöông daïng böôùu
                  Böôùu laønh vaø böôùu aùc (ung thö)
Caùc daïng thöôøng gaëp cuûa böôùu:

1. Choài suøi (exophytic form): moät khoái moâ ñaëc
  coù nhieàu nhuù cao hay choài nhoû treân beà maët.

2. Loeùt

3. Daïng aên cöùng

4. Daïng döôùi nieâm
Neâvi




        Meâlanoâm aùc
Böôùu maùu (Hemangioma)
Böôùu maùu & Böôùu baïch maïch
Sarcoâm Kaposi
Böôùu môõ
Böôùu - Suøi
Böôùu gai (u nhuù)      Ung thö teá baøo gai
7. Muïn nöôùc - Vesicle
1.Nhoû döôùi 5 mm, goà leân, chöùa dòch (trong hay
  hôi ñoû tuøy möùc ñoä vieâm).

2.Ñôn leû hay töøng chuøm, töøng ñaùm

3.Nhieàu muïn nöôùc ôû nhöõng giai ñoaïn khaùc nhau:
  muïn nöôùc -> veát chôït / veát loeùt.

4.Thöôøng gaëp trong beänh do virus nhö vieâm do
  virus herpes simplex, virus zoster, thuûy ñaäu…
Herpes moâi do virus Herpes simplex
Herpes
Zona
8. Muïn muõ - Pustule
1.Laø muïn nöôùc nhöng chöùa muõ do nhieãm truøng.

2.Döôùi 1 cm, coù toån thöông ban ñaàu laø muïn
  nöôùc hay saàn. Ít gaëp trong mieäng.

3.Maøu traéng kem, nhöng coù theå vaøng hay xanh

VDï: muïn muû do vieâm mieäng muû, impeùtigo mieäng
Muïn muõ




AÙp xe do nhieãm truøng raêng
Boùng nöôùc




 Töø ñaàu hay do nhieàu muïn nöôùc keát hôïp.

 Deã vôõ -> veát chôït / veát loeùt.

 Beänh naëng hôn beänh gaây muïn nöôùc: thöôøng gaëp
  trong hoàng ban ña daïng, pemphigus…
9. Boùng    nöôùc

   Bulla



 Gioáng muïn nöôùc nhöng treân 5 mm, chöùa dòch
  trong hay hôi ñoû.

 Caêêng / Phaäp pheàu tuøy löông dòch chöùa.

 Nieâm maïc phuû daøy /moûng tuøy vò trí boùng nöôùc
  naèm saâu döôùi lôùp bieåu moâ hay trong bieåu moâ
10. Nang - Cyst

 Laø moät tuùi chöùa chaát loûng coù voû bao bieåu moâ
 Thöôøng troøn / baàu duïc, vaøi mm -> vaøi cm.
 Chöùa dòch trong: thöôøng hoàng/ vaøng trong
  Chöùa chaát söøng: thöôøng vaøng/ traéng kem
 Sôø phaäp pheàu / caêng/ meàm
Nang nieâm dòch
Nang nhaùi
Nang daïng bì
11. Loeùt – ulcer

 Toån thöông maát chaát vöôït quaù maøng ñaùy

 Vaøi mm ñeán vaøi cm

 Ñau / Khoâng ñau

 Coù theå töø söï vôõ ra cuûa muïn nöôùc / boùng nöôùc.
Loeùt do chaán thöông
Loeùt do chaán thöông
Loeùt aùp-tô
Lao löôõi
Loeùt do
ung thö
teá baøo gai
ung thö
nieâm maïc maù
11. Veát chôït - Erosion
                   Loeùt                   Chôït

Maát chaát   Vöôït quaù maøng    Khoâng vöôït quaù
             ñaùy                maøng ñaùy.

Ñaùy         Moâ lieân keát,     Tieát dòch vaø ñoû do
             dòch vieâm, xuaát   aùnh moâ lieân keát beân
             huyeát              döôùi

Ñau          Ñau/khoâng          Hôi ñau
Liken phaúng daïng chôït
12. Teo nieâm maïc - Atrophia
Nieâm maïc teo ñoû do bieåu moâ phuû moûng.




     Löôõi truïi gai
13. Seïo
     Scar


1.Moâ hình thaønh thay theá phaàn moâ bò maát
  chaát do bò chaán thöông hay bò vieâm.
2. Ít gaëp trong mieäng.
3. Thöôøng nhaït maøu hôn moâ xung quanh.
Nöùt (fissure)
Ñöôøng maát chaát heïp
Ñöôøng doø (sinus)
 Loã doø (fistule)
Doø do nhieãm truøng raêng
TOÅN THÖÔNG CÔ BAÛN vuøng mieäng
Khoâng goà khoâng loõm   Daùt
Thay ñoåi maøu           Beät
GOÀ ñaëc                 Saàn
                         Maûng
                         Hoøn
                         Böôùu
GOÀ chöùa dòch           Muïn nöôùc
                         Muïn muû
                         Boùng nöôùc
                         Nang
LOÕM                     Chôït         Loeùt

Ton thuong co ban 2009

  • 1.
    TOÅN THÖÔNG CÔBAÛN VUØNG MIEÄNG BS. Nguyeãn Thò Hoàng
  • 2.
    MUÏC TIEÂU : Moâ taû vaø nhaän daïng ñöôïc nhöõng toån thöông cô baûn vuøng mieäng qua khaùm laâm saøng.
  • 3.
    1.ÑÒNH NGHÓA Toån thöôngcô baûn laø toån thöông ñaàu tieân chöa bò thay ñoåi do ñieàu trò (duøng thuoác, boâi thuoác, xaï trò…).
  • 4.
    II. Phaân loaïi 1.Daùt Macule Ñònhnghóa: Vuøng khaùc maøu vôùi moâ xung quanh, khoâng nhoâ leân cuõng khoâng loõm xuoáng, ≤ 1 cm * neáu > 1 cm thì goïi laø beät (patch)
  • 5.
    Phaân loaïi Daùt 1.Daùtsaéc toá: * daùt melanin * daùt khoâng melanin 2. Hoàng ban 3. Daùt maïch maùu 4. Daùt xuaát huyeát
  • 6.
    Daùt melanin: Baåmsinh hay thuï ñaéc.
  • 7.
    Daùt melanin: Baåmsinh hay thuï ñaéc.
  • 8.
  • 9.
  • 10.
    Daùt khoâng meâlanin: Dosöï tích tuï chaát maøu ngoaïi lai trong moâ Daùt amalgam
  • 11.
  • 12.
    HOÀNG BAN daùt maøuñoû hay hoàng, coù tính chaát vieâm vaø bieán maát khi ñeø eùp. Vieâm do nhieãm:  Vieâm do virus  Vieâm do vi naám  Vieâm do vi khuaån
  • 14.
    Hoàng ban: VIEÂMKHOÂNG DO NHIEÃM  Vieâm do dò öùng.  Vieâm do chaán thöông  Vieâm do beänh töï mieãn
  • 15.
    DAÙT MAÏCH MAÙU: hoànghay ñoû saãm, bieán maát khi ñeø eùp nhöng khoâng coù tính chaát vieâm  Daùt do giaõn mao maïch, böôùu maùu phaúng
  • 17.
    Daùt bieán maátkhi ñeø: => Daùt maïch maùu => Hoàng ban
  • 19.
    DAÙT XUAÁT HUYEÁT *maøu ñoû töôi nhöng ñeø khoâng bieán maát. * 1-2 tuaàn: ñoû -> tím -> naâu->vaøng ->bieán maát. Ñieåm xuaát huyeát Baàm maùu Petechiae Ecchymosis
  • 20.
    Ban xuaát huyeát(purpura) : baàm maùu lôùn
  • 21.
    1. Daùt Daùt Hoàng ban Daùt Daùt saéc toá maïch maùu xuaát huyeát Ñen -Hoàng / ñoû -Hoàng/ ñoû -Ñoû töôi (melanin) -Maát khi ñeø -Maát khi ñeø -Khoâng maát -Vieâm -Khoângvieâm khi ñeø eùp Xanh ñen, -Ñoû – Tím – naâu ñen Naâu – Vaøng- (khoâng Maát (2 tuaàn) melanin)
  • 22.
    2. Saàn –Papule  Vuøng goà leân, noâng, chaéc.  Döôùi 1cm.  Maøu traéng xaùm, coù theå vaøng, hoàng, ñoû, tím, naâu.  Nhieàu saàn gaàn nhau keát thaønh maûng.
  • 23.
    Liken phaúng –lichen planus
  • 25.
    3. MAÛNG -Plaque SAÀN MAÛNG Vuøng goà leân, Noâng Deït chaéc Lan saâu vaøo lôùp bì hôn. Kích thöôùc Döôùi 1cm Treân 1cm Maøu Traéng (liken) Traéng (maûng baïch saûn) Coù theå hoàng, Hoàng/ñoû (maûng hoàng saûn) ñoû, tím, naâu Tím/ naâu/ñen (maûng söøng hoùa ôû ngöôøi cao tuoái) Beà maët Trôn laùng hay khoâng ñeàu Hình thaønh Nguyeân phaùt hay do nhieàu saàn keát nhau
  • 26.
    BAÏCH SAÛN -Leukoplakia
  • 27.
    BAÏCH SAÛN TOÙC- Hairy leukoplakia
  • 28.
    HOÀNG SAÛN -Erythroplakia
  • 29.
    DAØY SÖØNG ÔÛNGÖÔØI CAO TUOÅI Keùratose seùnile
  • 30.
    4. HOØN -Nodule SAÀN MAÛNG HOØN Vuøng goà Noâng Lan saâu Lan saâu vaøo leân, chaéc vaøo lôùp bì lôùp bì hôn. hôn. Kích thöôùc Döôùi 1cm Treân 1cm Döôùi 1cm Tieán trieån Thöôøng Thöôøng Thöôøng laønh laønh laønh Ñau/khoâng
  • 31.
    U sôïi dokích thích
  • 32.
    U sôïi dokích thích
  • 33.
    Epulis (u haïtsinh muõ)
  • 34.
    Boïc maùu tuï- Hematoma
  • 37.
    5. Böôùu -Tumor 1.Söï taân sinh (neoplasia): - Söï taêng sinh môùi - Do caùc teá baøo sinh saûn khoâng ngöøng, khoâng kieåm soaùt ñöôïc, khoâng nhaèm muïc ñích naøo. 2. Toån thöông ñaëc chaéc goà leân, lan saâu xuoáng beân döôùi vaø thöôøng lôùn hôn 1 cm. 3. Caàn phaân bieät Böôùu vaø toån thöông daïng böôùu Böôùu laønh vaø böôùu aùc (ung thö)
  • 38.
    Caùc daïng thöôønggaëp cuûa böôùu: 1. Choài suøi (exophytic form): moät khoái moâ ñaëc coù nhieàu nhuù cao hay choài nhoû treân beà maët. 2. Loeùt 3. Daïng aên cöùng 4. Daïng döôùi nieâm
  • 42.
    Neâvi Meâlanoâm aùc
  • 43.
  • 44.
    Böôùu maùu &Böôùu baïch maïch
  • 45.
  • 46.
  • 47.
    Böôùu - Suøi Böôùugai (u nhuù) Ung thö teá baøo gai
  • 48.
    7. Muïn nöôùc- Vesicle 1.Nhoû döôùi 5 mm, goà leân, chöùa dòch (trong hay hôi ñoû tuøy möùc ñoä vieâm). 2.Ñôn leû hay töøng chuøm, töøng ñaùm 3.Nhieàu muïn nöôùc ôû nhöõng giai ñoaïn khaùc nhau: muïn nöôùc -> veát chôït / veát loeùt. 4.Thöôøng gaëp trong beänh do virus nhö vieâm do virus herpes simplex, virus zoster, thuûy ñaäu…
  • 49.
    Herpes moâi dovirus Herpes simplex
  • 50.
  • 51.
  • 53.
    8. Muïn muõ- Pustule 1.Laø muïn nöôùc nhöng chöùa muõ do nhieãm truøng. 2.Döôùi 1 cm, coù toån thöông ban ñaàu laø muïn nöôùc hay saàn. Ít gaëp trong mieäng. 3.Maøu traéng kem, nhöng coù theå vaøng hay xanh VDï: muïn muû do vieâm mieäng muû, impeùtigo mieäng
  • 54.
    Muïn muõ AÙp xedo nhieãm truøng raêng
  • 55.
    Boùng nöôùc  Töøñaàu hay do nhieàu muïn nöôùc keát hôïp.  Deã vôõ -> veát chôït / veát loeùt.  Beänh naëng hôn beänh gaây muïn nöôùc: thöôøng gaëp trong hoàng ban ña daïng, pemphigus…
  • 56.
    9. Boùng nöôùc Bulla  Gioáng muïn nöôùc nhöng treân 5 mm, chöùa dòch trong hay hôi ñoû.  Caêêng / Phaäp pheàu tuøy löông dòch chöùa.  Nieâm maïc phuû daøy /moûng tuøy vò trí boùng nöôùc naèm saâu döôùi lôùp bieåu moâ hay trong bieåu moâ
  • 58.
    10. Nang -Cyst  Laø moät tuùi chöùa chaát loûng coù voû bao bieåu moâ  Thöôøng troøn / baàu duïc, vaøi mm -> vaøi cm.  Chöùa dòch trong: thöôøng hoàng/ vaøng trong Chöùa chaát söøng: thöôøng vaøng/ traéng kem  Sôø phaäp pheàu / caêng/ meàm
  • 59.
  • 60.
  • 61.
  • 62.
    11. Loeùt –ulcer  Toån thöông maát chaát vöôït quaù maøng ñaùy  Vaøi mm ñeán vaøi cm  Ñau / Khoâng ñau  Coù theå töø söï vôõ ra cuûa muïn nöôùc / boùng nöôùc.
  • 63.
  • 64.
  • 65.
  • 66.
  • 67.
  • 68.
  • 69.
    11. Veát chôït- Erosion Loeùt Chôït Maát chaát Vöôït quaù maøng Khoâng vöôït quaù ñaùy maøng ñaùy. Ñaùy Moâ lieân keát, Tieát dòch vaø ñoû do dòch vieâm, xuaát aùnh moâ lieân keát beân huyeát döôùi Ñau Ñau/khoâng Hôi ñau
  • 70.
  • 71.
    12. Teo nieâmmaïc - Atrophia Nieâm maïc teo ñoû do bieåu moâ phuû moûng. Löôõi truïi gai
  • 72.
    13. Seïo Scar 1.Moâ hình thaønh thay theá phaàn moâ bò maát chaát do bò chaán thöông hay bò vieâm. 2. Ít gaëp trong mieäng. 3. Thöôøng nhaït maøu hôn moâ xung quanh.
  • 73.
  • 74.
    Ñöôøng doø (sinus) Loã doø (fistule)
  • 75.
    Doø do nhieãmtruøng raêng
  • 81.
    TOÅN THÖÔNG CÔBAÛN vuøng mieäng Khoâng goà khoâng loõm Daùt Thay ñoåi maøu Beät GOÀ ñaëc Saàn Maûng Hoøn Böôùu GOÀ chöùa dòch Muïn nöôùc Muïn muû Boùng nöôùc Nang LOÕM Chôït Loeùt