Chụp phim toàn cảnh
Panorama
videoplayback_3.FLV
videoplayback_23.MP4
MỤC TIÊU
1. Liệt kê các tiêu chí đánh giá phim chuẩn
2. Trình bày chỉ định và chống chỉ định.
3. Đọc được một số tổn thương cơ bản trên phim
4. Liệt kê các lỗi của phim
1. Giải phẫu X quang và nguyên lý hoạt động
2. Các tiêu chí đánh giá một phim panorama chuẩn
3. Chỉ định và chống chỉ định
4. Các tổn thương cơ bản trên phim
5. Các lỗi của phim hay mắc phải
NỘI DUNG
Sơ đồ tương quan sự chuyển
động của chùm tia và chuyển
động của phim qua trung tâm
quay theo hướng đứng. Kết
hợp quét ảnh(Scanography) và
cắt lớp
( Tomography-3D)
Nguyên lý hoạt động
Sơ đồ tương quan sự chuyển động của chùm tia
và phim qua trung tâm quay theo hướng ngang
Trung
tâm
quay
Mặt
phẳng
phim
Nguyên lý hoạt động
Trung tâm quay
PhimBóng hướng
lên trên
Các loại trung tâm quay
a: 2 trung tâm
quay
b: 3 trung tâm
quay
c: trung tâm quay
di chuyển liên tục
Tấm chắn cassette
có một khe hẹp
Bóng phát
tia quay
Phim/cassette
quay
Quĩ đạo chuyển động của trung tâm quay ở
máy có trung tâm quay di chuyển liên tục (tia
phát liên tục khi trung tâm quay di chuyển nên
hình ảnh không bị ngắt quãng)
Trung tâm quay
phía trước
Quĩ đạo chuyển động
của trung tâm quay
Trung tâm quay
phía bên
Máng tiêu điểm
Vùng không gian ba chiều hay lớp
hình ảnh mà các cấu trúc nằm trong
đó sẽ được ghi lại rõ nét nhất
Các loại máng tiêu điểm tương ứng với các loại
máy có trung tâm quay khác nhau
Máng tiêu điểm là nơi mà hình ảnh
của vật sẽ được ghi lại rõ nhất
Các vị trí đặt đầu
Sự biến dạng hình ảnh
khi đặt đầu sai vị trí
Không thấy được
Ít rõ
Rõ nhất
Kích thước
thật
Phóng đại 20-
30% theo
chiều ngang
và chiều dọc
a
b
Với loại máy có 2 trung tâm quay, trong quá trình chụp, khi
trung tâm quay đổi từ vị trí (a) sang vị trí (b) thì máy tạm
ngừng phát tia vì vậy hình ảnh bị ngắt quãng ở vùng cằm
24
23
28
27
18
17
19
14
1315
20
8
10
97
29
37
38
33
30
39
3
5
11
21
6
1
12
16
31
32
25
4
26
34
35
36
22
2
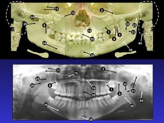
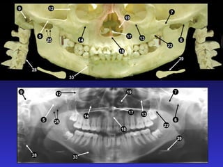
2. Các mốc giải phẫu trên phim toàn cảnh
41
40
47
45
46
43
44
42
2. Các mốc giải phẫu trên phim toàn cảnh
2. Các mốc giải phẫu trên phim toàn cảnh
1. Xoang hàm
2. Hố chân bướm hàm
3. Xương chân bướm
4. Gai bướm
5. Cung xương gò má
6. Lồi khớp xương thái dương
7. Đường khớp gò má thái dương
8. Mỏm gò má
9. Lỗ ống tai ngoài
10. Mỏm chũm
11. Hố sọ giữa
12. Bờ viền ngoài ổ mắt
13. Bờ dưới ổ mắt
14. Lỗ dưới ổ mắt
15. Ống dưới ổ mắt
16. Hốc mũi
17. Vách ngăn mũi
18. Gai mũi trước
19. Xương cuốn dưới
20. Lỗ răng cửa
21. Vòm miệng cứng
22. LồI củ xương hàm trên
23. LồI cầu
24. Mỏm vẹt
25. Khuyết sigma
26. Hố giữa khuyết sigma
27. Mỏm trâm
28. Cột sống cổ
29. Gờ chéo ngoài
30. Ống răng dưới
31. Lỗ ống răng dưới
32. Gai Spix
33. Lỗ cằm
34. Hố tuyến dưới hàm
35. Gờ chéo trong
36. Hố cằm
37. Gờ cằm
38. Gai cằm
39. Xương móng
40. Lưỡi
41. Vòm miệng mềm
42. Lưỡi gà
43. Thành sau họng
44. Dái tai
45. Khoang lưỡi hầu
46. Khoang mũi hầu
47. Khoang vòm miệng lưỡi
33
255
28
9 12
14
18
17
19
22
13
7
6
39
9
5
25
28
14
33
12
18
17
19
13
22
7
39
6
8
20
11
15
116
3
30
44
32 23
2
31
26
38
34
24
8
20
11
15
1
2
3
30
44
32 23
31
38
34
16
24
26
4
40
43
43
42
42
4121
40
21
46
46
41
45
45
47
47
Mũi tên đỏ chỉ hình ảnh kép của vòm miệng cứng
2 8
19
17
18
6
16
21
23
39
3.Tư thế
Đứng (chính) hoặc ngồi, mặt phẳng
Frankfurt nằm ngang.
Định vị: Tựa cầm (±)
Thanh cắn.
Tựa trán.
Hai thanh kẹp vùng thái dương.
Tiêu chuẩn phim đúng
• Đường giữa răng cửa hàm dưới trùng với đường giữa răng cửa hàm
trên
• Đường nối liên tục giữa rìa các răng cửa trên có hình dáng của đường
cười
• Xương móng hai bên cân đối
• Xem được rõ nét hai cung răng, xương hàm dưới và đáy xoang hàm
Đánh giá phim panorama chuẩn
Một số tÝnh chất đặc biệt của phim toµn c¶nh
1. C¸c cấu tróc bị phẳng ra vµ trải rộng.
2. C¸c cấu tróc đường giữa cã thể chiếu như h×nh ảnh
đơn hoặc h×nh ảnh đ«i.
3. H×nh ảnh mờ.
4. Nh×n thấy bãng m« mềm.
5. Nh×n thấy c¸c khoảng khÝ.
6. Nh×n thấy cản quang vµ thấu quang tương đối.
7. Nhiều trường hợp chụp Panorama lµ duy nhất.
5.Chỉ định
5.1.Toàn thân: có thể giao tiếp được.
5.2.Tại chỗ: có thể định vị được
5.3. Lâm sàng trong các bệnh lý:
- Chấn thương, nang, khối u xương hàm,
- Phân tích răng và xương (nắn chỉnh răng, nha chu, cấy ghép
Implant),
- Bệnh lý tuyến nước bọt,
- Tiểu phẫu thuật…
6.Chống chỉ định
6.1. Chống chỉ định tương đối
*Toàn thân:
- Bệnh nhân quá sợ hãi, say rượu.
- Bệnh nhân hôn mê.
* Tại chỗ: dị vật cồng kềnh
6.2. Chống chỉ định
* Toàn thân
- Bệnh nhân không thể giao tiếp được: (Tâm thần, câm điếc,
trẻ em)
- Khổ người quá to hoặc quá nhỏ.
- Bệnh nhân quá sợ hãi.
- Bệnh nhân nặng.
* Tại chỗ:
- Bệnh nhân không thể định vị được:
- Những vùng định vị, bệnh lý bị biến dạng quá nhiều do:
Chấn thương, khuyết hổng, dị vật hoặc dị tật, khối u…
ƯU ĐIỂM
1. Xem được vùng giải phẫu rộng
2. Liều tia xạ thấp
3. Kỹ thuật chụp dễ
4. Bệnh nhân hợp tác tốt
NHƯỢC ĐIỂM
1. Độ rõ nét không cao
2. Giá thành đắt
3. Không xem được các vật thể nằm ngoài máng tiêu điểm
Các loại hình ảnh trên phim toàn cảnh
Hình ảnh đơn
Hình ảnh kép
Hình ảnh ma
Hình ảnh đơn
Chỉ có một hình ảnh duy nhất
của một cấu trúc giải phẫu. Hầu
hết các hình ảnh trên phim toàn
cảnh thuộc loại này.
Hình ảnh kép
Có hai hình ảnh của một cấu
trúc giải phẫu nằm ở đường
giữa. Những cấu trúc có hình
ảnh kép như vòm miệng cứng
và mềm, xương móng và cột
sống.
Hình ảnh ma
Thường là hình ảnh của các vật
thể ngoại lai nhưng cũng có thể
là hình ảnh của cấu trúc giải
phẫu nào đặc như cấu trúc của
xương hàm dưới.
Hình ảnh ma
Bóng của vật thể cản quang
nằm bên đối diện (khuyên tai,
cấu trúc giải phẫu nào đó)
Đặc điểm của hình ảnh ma:
 Nằm bên đối diện
 Cùng hình dạng
 Phóng to hơn
 Nằm cao hơn
 Mờ hơn
Hình ảnh ma của khuyên tai
15 2
Máy trợ thính (mũi tên đỏ) có hình ảnh ma (mũi tên xanh).
27
28
28
Hình ảnh ma của thanh kim loại bên góc hàm trái
Hình ảnh ma của xương hàm dưới
(đường chấm là hình ảnh của góc hàm trái chồng
bóng lên góc hàm phải)
Lỗi khi chụp
phim toàn cảnh
Răng cửa đặt qúa gần phim
Hình các răng cửa sẽ bị mờ và thu nhỏ
Răng cửa đặt qúa xa phim
Hình các răng cửa sẽ bị mờ và phóng to
Bên nào gần phim hình ảnh sẽ nhỏ hơn,
bên đối diện hình ảnh sẽ phóng to
Đầu bị xoay sang một bên
Răng cửa hàm dưới ngắn lại, xương hàm có hình chữ V
Đầu cúi xuống
Mặt phẳng
Đầu ngửa lên
Xương hàm vuông, xương khẩu cái chồng bòng lên các răng hàm trên
a
a - g
b
b - g
Hình ảnh ma của khuyên tai
Bóng của áo chì
Bóng của cột sống, thường do
bệnh nhân không đứng thẳng lưng
Khoang khí vòm miệng lưỡi (vùng màu đen phía
trên) do lưỡi không đặt lên vòm miệng trong quá
trình chụp phim. Hình ảnh này gây khó xem các
bệnh lý vùng cuống răng hàm trên.
Đeo hàm giả cản quang trong miệng khi chụp phim.
Hình ảnh này gây khó xem các bệnh lý vùng cuống
răng hàm trên.

Panorama

  • 1.
    Chụp phim toàncảnh Panorama videoplayback_3.FLV videoplayback_23.MP4
  • 2.
    MỤC TIÊU 1. Liệtkê các tiêu chí đánh giá phim chuẩn 2. Trình bày chỉ định và chống chỉ định. 3. Đọc được một số tổn thương cơ bản trên phim 4. Liệt kê các lỗi của phim 1. Giải phẫu X quang và nguyên lý hoạt động 2. Các tiêu chí đánh giá một phim panorama chuẩn 3. Chỉ định và chống chỉ định 4. Các tổn thương cơ bản trên phim 5. Các lỗi của phim hay mắc phải NỘI DUNG
  • 3.
    Sơ đồ tươngquan sự chuyển động của chùm tia và chuyển động của phim qua trung tâm quay theo hướng đứng. Kết hợp quét ảnh(Scanography) và cắt lớp ( Tomography-3D) Nguyên lý hoạt động
  • 4.
    Sơ đồ tươngquan sự chuyển động của chùm tia và phim qua trung tâm quay theo hướng ngang Trung tâm quay Mặt phẳng phim Nguyên lý hoạt động
  • 5.
    Trung tâm quay PhimBónghướng lên trên
  • 6.
    Các loại trungtâm quay a: 2 trung tâm quay b: 3 trung tâm quay c: trung tâm quay di chuyển liên tục
  • 7.
    Tấm chắn cassette cómột khe hẹp Bóng phát tia quay Phim/cassette quay
  • 8.
    Quĩ đạo chuyểnđộng của trung tâm quay ở máy có trung tâm quay di chuyển liên tục (tia phát liên tục khi trung tâm quay di chuyển nên hình ảnh không bị ngắt quãng)
  • 9.
    Trung tâm quay phíatrước Quĩ đạo chuyển động của trung tâm quay Trung tâm quay phía bên
  • 10.
    Máng tiêu điểm Vùngkhông gian ba chiều hay lớp hình ảnh mà các cấu trúc nằm trong đó sẽ được ghi lại rõ nét nhất
  • 11.
    Các loại mángtiêu điểm tương ứng với các loại máy có trung tâm quay khác nhau Máng tiêu điểm là nơi mà hình ảnh của vật sẽ được ghi lại rõ nhất
  • 12.
    Các vị tríđặt đầu
  • 13.
    Sự biến dạnghình ảnh khi đặt đầu sai vị trí
  • 14.
  • 15.
    Kích thước thật Phóng đại20- 30% theo chiều ngang và chiều dọc
  • 16.
    a b Với loại máycó 2 trung tâm quay, trong quá trình chụp, khi trung tâm quay đổi từ vị trí (a) sang vị trí (b) thì máy tạm ngừng phát tia vì vậy hình ảnh bị ngắt quãng ở vùng cằm
  • 17.
  • 18.
    41 40 47 45 46 43 44 42 2. Các mốcgiải phẫu trên phim toàn cảnh
  • 19.
    2. Các mốcgiải phẫu trên phim toàn cảnh 1. Xoang hàm 2. Hố chân bướm hàm 3. Xương chân bướm 4. Gai bướm 5. Cung xương gò má 6. Lồi khớp xương thái dương 7. Đường khớp gò má thái dương 8. Mỏm gò má 9. Lỗ ống tai ngoài 10. Mỏm chũm 11. Hố sọ giữa 12. Bờ viền ngoài ổ mắt 13. Bờ dưới ổ mắt 14. Lỗ dưới ổ mắt 15. Ống dưới ổ mắt 16. Hốc mũi 17. Vách ngăn mũi 18. Gai mũi trước 19. Xương cuốn dưới 20. Lỗ răng cửa 21. Vòm miệng cứng 22. LồI củ xương hàm trên 23. LồI cầu 24. Mỏm vẹt 25. Khuyết sigma 26. Hố giữa khuyết sigma 27. Mỏm trâm 28. Cột sống cổ 29. Gờ chéo ngoài 30. Ống răng dưới 31. Lỗ ống răng dưới 32. Gai Spix 33. Lỗ cằm 34. Hố tuyến dưới hàm 35. Gờ chéo trong 36. Hố cằm 37. Gờ cằm 38. Gai cằm 39. Xương móng 40. Lưỡi 41. Vòm miệng mềm 42. Lưỡi gà 43. Thành sau họng 44. Dái tai 45. Khoang lưỡi hầu 46. Khoang mũi hầu 47. Khoang vòm miệng lưỡi
  • 20.
  • 21.
  • 22.
  • 23.
    Mũi tên đỏchỉ hình ảnh kép của vòm miệng cứng 2 8 19 17 18 6 16 21 23 39
  • 24.
    3.Tư thế Đứng (chính)hoặc ngồi, mặt phẳng Frankfurt nằm ngang.
  • 25.
    Định vị: Tựacầm (±) Thanh cắn. Tựa trán. Hai thanh kẹp vùng thái dương.
  • 26.
    Tiêu chuẩn phimđúng • Đường giữa răng cửa hàm dưới trùng với đường giữa răng cửa hàm trên • Đường nối liên tục giữa rìa các răng cửa trên có hình dáng của đường cười • Xương móng hai bên cân đối • Xem được rõ nét hai cung răng, xương hàm dưới và đáy xoang hàm
  • 27.
    Đánh giá phimpanorama chuẩn
  • 28.
    Một số tÝnhchất đặc biệt của phim toµn c¶nh 1. C¸c cấu tróc bị phẳng ra vµ trải rộng. 2. C¸c cấu tróc đường giữa cã thể chiếu như h×nh ảnh đơn hoặc h×nh ảnh đ«i. 3. H×nh ảnh mờ. 4. Nh×n thấy bãng m« mềm. 5. Nh×n thấy c¸c khoảng khÝ. 6. Nh×n thấy cản quang vµ thấu quang tương đối. 7. Nhiều trường hợp chụp Panorama lµ duy nhất.
  • 29.
    5.Chỉ định 5.1.Toàn thân:có thể giao tiếp được. 5.2.Tại chỗ: có thể định vị được 5.3. Lâm sàng trong các bệnh lý: - Chấn thương, nang, khối u xương hàm, - Phân tích răng và xương (nắn chỉnh răng, nha chu, cấy ghép Implant), - Bệnh lý tuyến nước bọt, - Tiểu phẫu thuật… 6.Chống chỉ định 6.1. Chống chỉ định tương đối *Toàn thân: - Bệnh nhân quá sợ hãi, say rượu. - Bệnh nhân hôn mê. * Tại chỗ: dị vật cồng kềnh
  • 30.
    6.2. Chống chỉđịnh * Toàn thân - Bệnh nhân không thể giao tiếp được: (Tâm thần, câm điếc, trẻ em) - Khổ người quá to hoặc quá nhỏ. - Bệnh nhân quá sợ hãi. - Bệnh nhân nặng. * Tại chỗ: - Bệnh nhân không thể định vị được: - Những vùng định vị, bệnh lý bị biến dạng quá nhiều do: Chấn thương, khuyết hổng, dị vật hoặc dị tật, khối u…
  • 31.
    ƯU ĐIỂM 1. Xemđược vùng giải phẫu rộng 2. Liều tia xạ thấp 3. Kỹ thuật chụp dễ 4. Bệnh nhân hợp tác tốt NHƯỢC ĐIỂM 1. Độ rõ nét không cao 2. Giá thành đắt 3. Không xem được các vật thể nằm ngoài máng tiêu điểm
  • 32.
    Các loại hìnhảnh trên phim toàn cảnh Hình ảnh đơn Hình ảnh kép Hình ảnh ma
  • 33.
    Hình ảnh đơn Chỉcó một hình ảnh duy nhất của một cấu trúc giải phẫu. Hầu hết các hình ảnh trên phim toàn cảnh thuộc loại này.
  • 34.
    Hình ảnh kép Cóhai hình ảnh của một cấu trúc giải phẫu nằm ở đường giữa. Những cấu trúc có hình ảnh kép như vòm miệng cứng và mềm, xương móng và cột sống.
  • 35.
    Hình ảnh ma Thườnglà hình ảnh của các vật thể ngoại lai nhưng cũng có thể là hình ảnh của cấu trúc giải phẫu nào đặc như cấu trúc của xương hàm dưới.
  • 36.
    Hình ảnh ma Bóngcủa vật thể cản quang nằm bên đối diện (khuyên tai, cấu trúc giải phẫu nào đó)
  • 39.
    Đặc điểm củahình ảnh ma:  Nằm bên đối diện  Cùng hình dạng  Phóng to hơn  Nằm cao hơn  Mờ hơn
  • 41.
    Hình ảnh macủa khuyên tai 15 2
  • 42.
    Máy trợ thính(mũi tên đỏ) có hình ảnh ma (mũi tên xanh). 27 28 28
  • 43.
    Hình ảnh macủa thanh kim loại bên góc hàm trái
  • 44.
    Hình ảnh macủa xương hàm dưới (đường chấm là hình ảnh của góc hàm trái chồng bóng lên góc hàm phải)
  • 45.
  • 46.
    Răng cửa đặtqúa gần phim Hình các răng cửa sẽ bị mờ và thu nhỏ
  • 48.
    Răng cửa đặtqúa xa phim Hình các răng cửa sẽ bị mờ và phóng to
  • 50.
    Bên nào gầnphim hình ảnh sẽ nhỏ hơn, bên đối diện hình ảnh sẽ phóng to Đầu bị xoay sang một bên
  • 53.
    Răng cửa hàmdưới ngắn lại, xương hàm có hình chữ V Đầu cúi xuống Mặt phẳng
  • 55.
    Đầu ngửa lên Xươnghàm vuông, xương khẩu cái chồng bòng lên các răng hàm trên
  • 57.
    a a - g b b- g Hình ảnh ma của khuyên tai
  • 59.
  • 62.
    Bóng của cộtsống, thường do bệnh nhân không đứng thẳng lưng
  • 64.
    Khoang khí vòmmiệng lưỡi (vùng màu đen phía trên) do lưỡi không đặt lên vòm miệng trong quá trình chụp phim. Hình ảnh này gây khó xem các bệnh lý vùng cuống răng hàm trên.
  • 66.
    Đeo hàm giảcản quang trong miệng khi chụp phim. Hình ảnh này gây khó xem các bệnh lý vùng cuống răng hàm trên.