Hematology-High Yield Topics For Internal Medicine Boards and Hematology Boards Target Audience:  Internal Medicine Residents, Family Medicine Residents, Hematology Fellows, Medical Students, IM Board Recertification exam aspirants Archer Internal Medicine Board Review www.CcsWorkshop.com
History of the platelet Studies by Osler, Hayam, and Bizzozero identified small particles in the blood, these were believed to be either bacteria or red cell fragments James Homer Wright “Wright Stain” identified platelets as a distinct hematopoetic component arising from megakaryocytes William Duke in 1910 described 3 patients with low platelet counts that had hemorrhagic disease Duke created a venous shunt from a normal donor to a thrombocytopenic recipient and showed that the platelet count could rise and the bleeding would cease
Thrombopoiesis
Thrombopoietin (TPO) TPO is the primary regulatory protein in the production of platelets. Has a major effect on almost all steps of  megakaryocyte differentiation and maturation.  Promotes growth of Meg-CFC Increases the rate of endomitosis Stimulates megakaryocyte maturation TPO gene is on chromosome 3. TPO is expressed in the liver,   kidneys, and smooth muscle cells. Produced at a constant rate by the liver. Has a plasma half life of 30 hours. In circulation, most of it removed by thrombopoietin (c-mpl) receptors on platelets and possibly some by bone marrow megakaryocytes. The residual thrombopoietin (50 to 150 pg/mL) provides basal stimulation of megakaryocytes and a basal rate of platelet production.  Hence, when platelet  mass falls there is more TPO in the blood ( less clearance) stimulating megakaryocytes. When platelet mass increases, TPO falls due to increased clearance and hence, decreased megakaryopoiesis.
Thrombocytopenia Defined as a subnormal amount of platelets in the circulating blood.  Normal platelet count : 150,000 to 450,000/microL. Thrombocytopenia is defined as a platelet count less than 150,000/microL (150 x 10(9)/L).  Not usually clinically detected until the platelet count falls to levels below 100,000/microL . However,  a recent fall in the platelet count by 50%, while still in the normal range, may herald severe clinical problems    requires active follow-up. eg: HIT . 1/3 of platelets are sequestered in the spleen. Half life of a platelet is 9 to 10 days. Platelet production is the function of the multinucleated megakaryocyte. 15 to 45 K platelets are produced daily to maintain steady state Pathophysiology is less well defined
Practical Importance of Thrombocytopenia 1/3 of all Hematology Consults in a General Hospital are for thrombocytopenia. 5 to 10% of all hospital patients are thrombocytopenic in the ICU the number increases to 35%. Thrombocytopenic patients in the hospital suffer a twofold greater mortality rate than those who are not
Clinical Features - Thrombocytopenia Most conditions  are associated with bleeding ( ITP, Drug induced TP, Most other TPs) Some conditions associated with thromboses Thrombotic Thrombocytopenia Purpura (TTP) Disseminated Intravascular Coagulation (DIC) Heparin Induced Thrombocytopenia ( HIT) Sites of bleeding in thrombocytopenia : Skin and mucous membranes : Petechiae, Ecchymosis, Hemorrhagic vesicles, Gingival bleeding and epistaxis. Menorrhagia Gastrointestinal bleeding Intracranial bleeding  Bleeding in to joints and soft tissues are manifestation of coagulation factor deficiencies rather than thrombocytopenia.
Stratifying levels of thrombocytopenia The primary reason for evaluating thrombocytopenia is to assess the risk of bleeding and assess the presence of underlying disorders (TTP, HIT etc.) < 20 K increased risk of bleeding 20K to 50 K rarely have increased risk of spontaneous bleeding but increased risk of bleeding from procedures 50K to 100K no increased risk of spontaneous bleeding and can undergo most procedures
Relation of bleeding risk and platelet count Bleeding time increases in a linear fashion below a platelet count of 100 K. In leukemic children major forms of hemorrhage occurred at platelet counts <10 K. Slichter  et al tagged RBC and found fecal blood loss   10 K  - 5 cc/day 5 to 10 K -  10 cc/day < 5 K - 50 cc/day
Approach to the thrombocytopenic patient History Is the patient bleeding? Do the sites of bleeding suggest a platelet defect? Duration - Is thrombocytopenia – acute or chronic? Is there a history of medications, alcohol use, or recent transfusion ( post-transfusion purpura)? Are there symptoms of a secondary illness? (neoplasm, infection, autoimmune disease) Is there a family history of thrombocytopenia? Heparin exposure – recent or with in past three months (HIT)? Are there risk factors for HIV infection? History of liver disease? Assess the number of platelets CBC with peripheral smear :- Any clumps? Schistocytes? Nucleated RBCs? Any features of nutrional deficiencies (hypersegmented neutrophils), MDS (hyposegmented neutrophils), Myelofibrosis ( tear drop cells) ?  Isolated thrombocytopenia or any other cell line affected? Lab Tests : PT and PTT, autoimmune work-up if suspected, HIV if risk factors, LFTs, Nutrient work up ( B12, Folate)
Thrombocytopenia Several Causes.  Can be broadly classified in to five categories based on the mechanism behind reduced platelet count: Pseudo or Spurious Thrombocytopenia Dilutional Thrombocytopenia Decreased Platelet Production Increased Platelet Destruction Altered Distribution of Platelets ( Increased Sequestration) Most common mechanisms are decreased platelet production and increased destruction.
Pseudo Thrombocytopenia Pseudo Thrombocytopenia : An artifactual clumping of platelets   in vitro   without  clinical significance The first step in evaluating any thrombocytopenia is to confirm if it is “true”.  Evaluate Peripheral smear for platelet clumps which can lead to pseudo-thrombocytopenia.  Failure to recognize this phenomenon may lead   to misdiagnosis and subsequent mismanagement of patients Various Scenarios : Inadequate anticoagulation of  the blood sample : Results in thrombin induced platelet clumps, counted as leucocytes by automated cell counters. Hence, spurious thrombocytopenia. Rarely, WBC count is increased by more than 10%.  EDTA dependant platelet auto-antibodies : “Naturally” occuring platelet antibodies lead to platelet clumps in the presence of EDTA ( in-vitro) .  Abciximab Related Pseudo-Thrombocytopenia.
EDTA Dependant Aggluttinins Present in 0.1% of normal population. Unlike true thrombocytopenias, EDTA-PTCP is associated with a  normal  mean platelet volume These patients have naturally occurring platelet antibodies directed towards a normally “hidden” epitope on platelet membrane GP IIb/IIIa complex    The glycoprotein IIb/IIIa complex must dissociate to expose   this epitope (called the &quot;cryptantigen&quot; or &quot;neoantigen,“)   for antibody binding to occur.  EDTA, Drugs such as Abciximab and Mexiletene , ph and temperature can induce dissociation of GP IIb/IIIa and may expose this cryptantigen causing the antibody to bind and resulting in aggluttination ( clumps).
EDTA Dependant Aggluttinins EDTA – PTCP is diagnosed by examination of peripheral smear for platelet clumping.  If platelet clumping seen, repeat the count in non-EDTA anticoagulant ( heparin or sodium citrate). If citrate is used, remember to correct the platelet count for dilution caused by amount of citrate solution used. No such correction required for heparin.  Although pseudothrombocytopenia has no pathologic significance   and will not increase thrombotic or hemorrhagic risk, failure   to recognize it may potentially place a patient in jeopardy   for inappropriate discontinuation of the needed drug (eg: abciximab), delay   of therapies involving invasive procedures, or initiation of   unnecessary therapies, such as platelet transfusion or use of   steroids. 1
Pseudo-Thrombocytopenia Platelet clumps seen in EDTA anti-coagulated blood sample in a patient with EDTA Dependant platelet aggluttinins No platelet clumps seen and platelet count normal in the blood sample from the same patient anti-coagulated with Sodium Citrate
Abciximab - Pseudothrombocytopenia Thrombocytopenia is a well-recognized adverse effect of abciximab therapy  .  Two mechanisms :  Immune mediated thrombocytopenia  ( onset with in minutes to hours of administration rather than days to weeks seen with other drug induced thrombocytopenias). Pseudothrombocytopenia, of no clinical importance. ( 1/3 rd  of thrombocytopenia” found in patients receiving abciximab is due to pseudothrombocytopenia) Abciximab-PTCP is due to the presence of EDTA   as an anticoagulant in the blood-drawing tube. EDTA exposes the cryptantigen in GPIIb/IIIa complex to aggluttination with naturally occuring antibodies. The mechanism of abciximab-associated, EDTA-induced platelet   clumping is not clear. Differentiation of Abciximab-PTCP from True Abciximab-TP and from HIT is extremely crucial. Diagnosis of PTCP will avoid discontinuation of the abciximab infusion and initiation   of unnecessary therapies, such as platelet transfusions or anticoagulants (as in HIT).  When thrombocytopenia   occurs after abciximab treatment, first review peripheral blood film for clumping or obtain platelet count in citrated blood.
Abciximab – PTCP Time course of automated platelet counts from citrated blood and EDTA blood .
Dilutional Thrombocytopenia Large quantities of PRBC transfusion to treat massive hemmorhage can lead to dilutional TP.  Due to absence of viable platelets in packed RBCs. Usual platelet counts in patients receiving 15 to 20 units of PRBCs in 24 hours is 50k to 100k/µl.  Can be prevented by giving platelet concentrates to patients receiving more than 20 units PRBCs in a 24 hour period.
Distributional Thrombocytopenia Also, referred to as Appartent Thrombocytopenia since total platelet mass is normal.  About 1/3 rd  of circulating platelets are normally sequestrated in spleen.  Splenic sequestration of platelets may increase to 90% in splenomegaly ( hypersplenism) secondary to portal hypertension or other causes .  May be associated with leucopenia and/ or anemia.  Circulating platelet count decreases but total platelet mass and overall platelet survival remain normal.  Hence, these patients can have significant “apparent” thrombocytopenia  but rarely have clinical bleeding ( since total available platelet mass is normal)
Decreased Platelet Production Associated with decreased  or ineffective megakaryopoiesis and thrombopoiesis Marrow Damage:  Aplastic Anemia Fanconi’s anemia ( defect in DNA repair genes) Malignancy ( with/ with out Myelophthisis ). Congenital defects ( Congenital thrombocytopenias) Paroxysmal Nocturnal Hemoglobinuria Viral infections: rubella, CMV, EBV,HIV, Hep-C Ineffective production : Nutritional Deficiencies: B12, Folate, Severe Fe deficiency Drugs: thiazides, estrogen, chemotherapy , linezolid Toxins: alcohol, cocaine
Increased Destruction Most common cause of thrombocytopenia. Leads to stimulation of thrombopoiesis and thus an increase in the number, size and rate of maturation of the precursor megakaryocytes. Increased consumption with intravascular thrombi or damaged endothelial surfaces
Increased Destruction (Cont.) Non-Immune Immune  Microangiopathy DIC TTP HELLP Hemangiomas VonWillebrand Type2b disease (increased aggregation) ITP HIT SLE, AIDS Drug Induced Immune TP: heparin, gold, quinidine, furosemide, cephalosporins, pcn, H2 blockers
Discussion Topics: TTP DIC
Systemic activation of coagulation Intravascular deposition of fibrin Depletion of platelets and coagulation factors Bleeding Thrombosis of small and midsize vessels with organ failure
Common clinical conditions associated with DIC Sepsis Trauma Head injury Fat embolism Malignancy Obstetrical complications Amniotic fluid embolism Abruptio placentae Vascular disorders Reaction to toxin (e.g. snake venom, drugs) Immunologic disorders Severe allergic reaction Transplant rejection Fulminant Hepatitis
DIC Treatment approaches Treatment of underlying disorder Anticoagulation with heparin – when thromboses are an issue  Platelet transfusion – if, bleeding Fresh frozen plasma – if, bleeding
TTP Thrombotic Thrombocytopenia Purpura Characterized my microangiopathic hemolytic anemia and profound intravascular platelet clumping. The disease was first reported in 1923 by Dr. Eli Moschowitz at Beth Israel in NYC 16 year old girl who presented with anemia, petechia ultimate coma and death Terminal arterioles and capillaries were occluded by hyaline thrombi mostly composed of platelets
Lazarchick, J. ASH Image Bank 2001;2001:100174 Figure 1. Peripheral smear showing microangiopathic hemolytic features with numerous RBC fragments (helmet cells/schistocytes)
Copyright ©2001 American Society of Hematology.  Copyright restrictions may apply. Lazarchick, J. ASH Image Bank 2001;2001:100174 Figure 2. Peripheral smear showing RBC fragmentation consistent with a microangiopathic hemolytic process
Clinical and Lab Manifestations of TTP Severe thrombocytopenia and hemolytic anemia with one or several fragmented red cells in high power oil >1% total number of RBC Neurologic Manifestations, abdominal pain Fever and Renal Abnormalities occur in the minority of patients Thrombocytopenia range from <30 K to 75 to 100 K Elevated LDH Initially coagulation studies are normal
Type of TTP Familial chronic relapsing Acquired idiopathic  HIV related TTP Pregnancy can trigger both acquired and congenital TTP Drug related Ticlopidine, Clopidogrel Cancers: Adenocarcinoma of breast, GI tract and Proastate Thrombotic Angiopathies that resemble TTP Mitomycin, cyclosporine, tacrolimus, quinine Chemotherapy, gemcitabine, TBI BM and Solid organ transplant
 
Moake J. N Engl J Med 2002;347:589-600 Proposed Relation among the Absence of ADAMTS 13 Activity in Vivo, Excessive Adhesion and Aggregation of Platelets, and Thrombotic Thrombocytopenic Purpura
Differential Diagnosis of TTP Other conditions causing MAHA : Hemolytic-uremic syndrome DIC Malignant Hypertension Pregnancy Preeclampsia/eclampsia HELLP Severe Vasculitis Evans Syndrome ( Direct Coomb+, No Schistocytes). Macroangiopathic Hemolysis : Malfunctioning prosthetic cardiac valves
Treatment of TTP Urgent plasmapheresis  ( plasma exchange) Plasma Infusion : Infusion of FFP 30 cc/kg/day  until ready  for plasma exchange ( serves as emergency initial measure in those who do not have immediate access to Plasma exchange) Daily plasma exchange with either FFP or cryopoor FFP (45 to 55 cc/kg/day) Steroids (Prednisone 1 mg/kg/day) ( may help by suppressing anti-ADAMTS13 antibodies).  Red Blood Cell transfusions if needed Platelet transfusion may worsen the disease and are avoided. Used only if absolutely necessary ( in very rare cases, where severe bleeding is encountered) Refractory TTP : In patients with worsening disease despite daily plasma exchange + Steroids    Increase plasmpheresis to twice daily exchange.  Poorly responsive or Recurrent TTP    Add Immunosuppressive therapy -Add Rituximab or Cyclosporine
Etiology Impact on patient management
Etiology - Chronic HCV-TP Pathophysiology of HCV-TP is complex and involves the interaction of multiple factors Hepatic Fibrosis and Cirrhosis Patients with advanced fibrosis had significantly lower mean platelet counts compared with those having stage 0-2 fibrosis.  Portal Hypertension and Splenomegaly Splenomegaly and platelet sequestration, or hypersplenism, is seen in  11% to 55%  of patients with cirrhosis and portal hypertension. Hence, these are not the only factors to explain TP in chronic liver disease.  Bone Marrow Suppression by HCV Immune Dysfunction  HCV can bind and alter the confirmation of glycoproteins inducing the formation  autoantibodies and there by, immune mediated platelet clearance. High titers of platelet-associated immunoglobulin G (PAIgG) (immune complex–coated platelets) found in  88% of patients with chronic HCV. Decreased Thrombopoetin levels or activity. Treatment related Thrombocytopenia. Peg-Interferon ( Inteferon-TP is due to BM suppression and decreased secretion of TPO)
1. Pivetti S, et al. Br J Haematol. 1996;95:204-211. 2. Pawlotsky JM, et al. J Hepatol. 1995;23:635-639.  3. Sakuraya M, et al. Eur J. Haematol. 2002;68:49-53. 4. García-Suárez J, et al. Br J Haematol. 2000;110:98-103. 5. Rajan SK, et al. Br J Haematol. 2005;129:818-824. Study N Platelet Threshold, x 10 9 /L HCV Positive, n (%) Pivetti et al [1]   33 < 100 12 (36) Pawlotsky et al [2]   139 < 25 14 (10) Sakuraya et al [3]   79 < 10 11 (14) García-Suárez et al [4] 51 < 100 13 (23) Rajan et al [5] 250 < 100 76 (30)
HCV-TP – Impact on HCV Treatment Greatest challenge of HCV-TP is difficulty in starting or maintaining HCV therapy.  Treatment with Peg-inteferon may reduce platelet counts by 33% Peg-Inteferon : Initiation of therapy : Can not be initiated if platelet count < 50k/µl . For standard dose of  PEG -Interferon 0.5mcg/kg platelet count must be greater than 70k/µl . Patients with platelet count 50 – 70k/µl  can  start  at 0.25mcg/kg .  Dose must be reduced if platelet count falls below 50k/µl  Permanently discontinued if platelets fall below 25k/µl. Postponement of treatment due to thrombocytopenia can result in diminished sustained virologic response because of the potential for further progression of liver disease in the absence of treatment. Dose modifications may lower the chances of sustained virological response.
HCV-TP - Management Platelet transfusions as indicated per routine  trigger levels ( Prophylactic transfusion if less than 10k, prior to procedures or if bleeding and if less than 50k). Platelet transfusions are not indicated prior to starting HCV therapy  or during therapy unless patients have active bleeding with platelet count <50k. Splenectomy and splenic artery embolization : have been used to correct TP in patients with hypersplenism, producing significant and persistent increases in platelet counts. Used prophylactically prior to anti-HCV therapy, this can improve thrombocytopenia in patients with HCV-induced cirrhosis and hypersplenism, thus facilitating the use of antiviral therapy.  Risks: peri-op mortality, infections and DIC
HCV-TP - Management Role of TPO receptor agonists: A double blind, phase II trial evaluated whether eltrombopag could facilitate initiation and maintenance of antiviral therapy. Median platelet counts at baseline and week4 in HCV patients treated with Eltrombopag.  Peg-interferon + ribavirin therapy initiated if platelet counts increased to greater than 70k. number of patients able to initiate antiviral treatment was 80% with eltrombopag vs 22% in the control arm. In total, 65% of patients in the 75-mg dose group, 53% of patients in the 50-mg dosing group, and 36% of patients in the 30-mg dosing group were able to complete the 12-week antiviral therapy phase compared with 6% of placebo-treated patients  Not FDA approved yet. Pivotal phase III studies are underway to further examine eltrombopag in chronic hepatitis C patients with thrombocytopenia.
Drug Induced Thrombocytopenias Classified as : Direct Toxicity BM Suppression Immune mediated destruction Pro-hemorrhagic : all other drugs Pro-Thrombotic : Heparin
Discussion: HIT ITP POST-TRANSFUSION PURPURA
Types of Autoimmune thrombocytopenia Neonatal Thrombocytopenia Isoimmune, Associated with Maternal ITP, Drug-Related Drug Induced Quinidine, Quinine, Sulfa, Gold Salts, Abx (Vanco etc), Heparin Lymphoma Autoimmune disorders Thyroiditis, SLE, Colitis, Sarcoidosis Infections HIV, Rubella, viral Hepatitis, CMV, Lyme disease Postransfusion Purpura ITP
Diagnosis Management
Frequency of HIT Perspectives More than 1 trillion units heparin used yearly in US; 1/3 of hospitalized exposed (12 million). Unfractionated heparin – 3 - 5% incidence; Heart surgery 2.5% incidence LMWHeparin, Catheter-flushes -- ~0.5% Frequency of thromboemboli :  30%–50% of patients with untreated HIT will have a thrombotic complication within 30 days (  Warkentin TE Am J Med.  1996;101:502–507 )     Based on increased morbidity and mortality, heparin cessation alone is inadequate in HIT management
.
Two types – HIT type I and Type II. In general, the term HIT is used widely to refer HIT Type II, the immune form.  Presence of any of the following : Otherwise unexplained thrombocytopenia Venos or arterial thromboses associated with thrombocytopenia A fall in platelet count of 50% or more from a prior value, even if absolute Thrombocytopenia is not present.  Necrotic skin lesions at heparin injection site Acute systemic ( anaphylactoid) reactions occuring after IV heparin bolus.  HIT
Diagnosis of HIT Normal platelet count before commencement of heparin therapy Onset of thrombocytopenia typically 5–14 days after initiation of heparin therapy but can occur earlier Exclusion of other causes of thrombocytopenia (eg, sepsis) Occurrence of thromboembolic complications during heparin therapy
Sequelae Incidence Thrombosis 30%–50%  Amputation 20% (arterial thrombosis) Death 22% to 28% .
30%–50% of untreated patients with thrombocytopenia progress to thrombosis 4:1 Incidence Ratio Venous to Arterial Arterial Aortic/Ileofemoral Thrombosis Acute Thrombotic Stroke  Myocardial Infarction, Mural thrombosis, Thrombi in upper limb, mesenteric, renal and spinal arts. Venous  Deep Vein Thrombosis Pulmonary Embolism Cerebral Dural  Sinus Thrombosis Adrenal Hemorrhagic Infarction
HIT Temporal Variants Day 1 Day 4 Day 14 Day 30 Delayed-onset  HIT  (9–40 days) Rapid-onset HIT  (hours–days) Typical HIT Mean Day 9 (5–14 days) Heparin (re) Exposure THROMBOCYTOPENIA (± THROMBOSIS)
Clinical Suspicion for HIT The 4 T’s (Warkentin, 2003) Thrombocytopenia Platelet count fall > 50% and nadir greater than 20k : 2 points Platelet count fall 30 to 50% or nadir 10 to 19k : 1 point Platelet count fall < 30% or nadir < 10k : 0 points Timing of platelet count fall   Clear onset b/w days 5 to 10 or platelet count fall at ≤1 day if prior heparin exposure within the last 30 days: 2 points  Consistent with fall at 5 to 10 days but not clear (eg, missing platelet counts) or onset after day 10 or fall ≤1 day with prior heparin exposure within the last 30 to 100 days: 1 point  Platelet count fall at <4 days without recent exposure: 0 points Thrombosis or other sequelae  Confirmed new thrombosis, skin necrosis, or acute systemic reaction after intravenous unfractionated heparin bolus: 2 points  Progressive or recurrent thrombosis, non-necrotizing (erythematous) skin lesions, or suspected thrombosis which has not been proven: 1 point  None: zero points Other causes for thrombocytopenia present  —    None apparent: 2 points  Possible: 1 point , Definite: zero points  The 5 th  T : The TEST
Interpretation A score is determined for each of the four above categories, resulting in a total score from zero to 8.  Pretest probabilities for HIT are, as follows: zero to 3: Low probability  4 to 5: Intermediate probability  6 to 8: High probability  Laboratory tests are ordered to confirm HIT.
Laboratory Testing for HIT Test Advantages Disadvantages SRA Sensitivity >95%, Technically demanding Specific > 95% Low predictive value HIPA Rapid, available Variable sensitivity (30%  –  80%);  Technique-dependent ELISA  High sensitivity High cost, less specificity,  > 95% 10% false-negative tests There is no Gold Standard in diagnostic testing; HIT requires a clinical diagnosis .
HIT - Managment Stop all Heparin, including heparin flushes. If dialysis, must be Heparin free.  Platelet transfusions are relatively contraindicated. ( except in those with overt bleeding).  If Intermediate  or High pre-test (clinical) probability + Positive ELISA (Anti-PF4 antibody)    Start alternative anticoagulant.  For low clinical probability, positive ELISA    consider false positive ELISA. Obtain Serotonin Release Assay which is more specific.  If clinical probability increases over time  from a prior value but if initial HIT was negative    Repeat HIT antibody (ELISA) (may turn positive. ) Start alternative anticoagulant
Alternative Anticoagulants  Drug Indications Argatroban FDA-approved for HIT  (also for PCI)  Lepirudin FDA-approved for HIT Bivalirudin (Angiomax) PCI (including HIT patients) Fondaparinux  (Arixtra) FDA approved for DVT Prophylaxis in patients with Hip#, Hip or knee replacements. Also used in Rx of  VTE. Not yet approved for HIT (Off-label use) Danaparoid Approved for HIT in Canada, Europe, Aust.
Argatroban Synthetic Direct Thrombin Inhibitor indicated as a prophylactic anticoagulant  or for treatment of thromboses in HIT. MOA : Directly inhibits Thrombin, Reversibly binds to the thrombin catalytic site and Active against both free and clot-bound thrombin Rapid Onset of Action In healthy subjects, the pharmacokinetics and pharmacodynamics of Argatroban were NOT affected by renal impairment, age, or gender    Dosage adjustment is NOT necessary in renally impaired patients Hepatic impairment decreases Argatroban clearance; therefore, the dosage must be reduced for hepatically impaired patients
Recommended Dosing Guidelines for Argatroban HIT Patients HIT Patients with Renal Impairment HIT Patients with Hepatic Impairment * Not to exceed a dose of 10 µg/kg/min or aPTT of 100 seconds † Due to approximate 4-fold decrease in Argatroban clearance relative to those with normal hepatic function Initiate at  2 µg/kg/min Titrate until steady-state aPTT is 1.5–3.0 times baseline value* No dosage adjustment required Initiate at  0.5 µg/kg/min † Titrate until steady-state aPTT is 1.5–3.0 times baseline value*
Guidelines for Conversion to Oral Anticoagulant Therapy Initiate warfarin  only when platelet count increases above 100k. All direct thrombin inhibitors, including Argatroban, may increase prothrombin time (PT); this must be taken into consideration when converting to warfarin therapy Coadministration of Argatroban and warfarin does produce a combined effect on the laboratory measurement of the INR.  Concurrent therapy with Argatroban and warfarin does not exert an additive effect on the warfarin mechanism of action (e.g., factor Xa activity) The previously established relationship between INR and bleeding risk is altered during combination therapy For example, an INR of 4 on co-therapy may not have the same bleeding risk as an INR of 4 on warfarin monotherapy. Continue anticoagulation for 2-3 months in HIT with out thromboses but continue it for 6 months if a thrombotic event occurred.
Guidelines for Conversion to Oral Anticoagulant Therapy If INR is below the therapeutic range for warfarin alone, resume Argatroban therapy  If INR is >4.0, stop Argatroban infusion Initiate warfarin therapy using the expected  daily dose of warfarin while maintaining Argatroban infusion. *  A loading dose of warfarin should not be used If INR is within therapeutic range on warfarin alone, continue warfarin monotherapy If INR is   4.0, continue concomitant therapy Repeat INR 4-6 hours later Measure INR daily *  For Argatroban infusion at   2 µg/kg/min, the INR on monotherapy may be estimated from the INR on cotherapy. If the dose of Argatroban >2   g/kg/min, temporarily reduce to a dose of 2   g/kg/min 4-6 hours prior to measuring the INR.  
The Key to Avoiding Catastrophes from HIT is Awareness, Vigilance, High Degree of Suspicion When a patient...   experiences a drop in platelet counts develops thrombosis Consider HIT during/soon after heparin exposure* *  Heparin exposure may be through virtually any preparation (including LMWH), any dose, or any route of heparin (including flushes and coated lines)
Thienopyridines – Clopidogrel, Ticlopidine induced TTP GP IIb/IIIa inhibitor induced TP Abciximab – True TP, Pseudo-TP Heparin Induced TP Open Heart Surgery – Bypass circuit Intra Aortic Balloon Pump (IABP)
Differential Diagnosis of Thrombocytopenia Clinical Setting  –  Cardiac Inpatients HIT Use of platelet GP IIb/IIIa-receptor antagonists  Use of adenosine diphosphate-receptor antagonists Coronary-artery bypass grafting Use of intra-aortic ballon pump Aird AC, Mark EJ. N Engl J Med. 2002;346:1562-1570.
Clues to Diagnosis of HIT in patients after Open-Heart Surgery Prolonged thrombocytopenia Rise in platelet count after surgery with subsequent fall Multiple positive functional (SRA) and antibody (ELISA) assay results Unusual or unexpected thrombosis (may require noninvasive testing) Multiple thrombotic events Systemic reaction shortly after heparin bolus
Pathophysiology Diagnosis Treatment  New advances
Immune Mediated Thrombocytopenia Purpura (ITP) Idiopathic ITP vs. Secondary ITP  Idiopathic or Primary ITP : Defined as isolated thrombocytopenia with  Platelet count < 100 x 10 9 /L No other cause of thrombocytopenia  No  clinically evident  secondary form of thrombocytopenia. High prevalence disease 16 to 27 per million per year Incidence increases with age Female predominance under the age of 60 but not over the age of 60 May have onset or insidious onset    generally abrupt in onset with children and insidious in adults.
Pathogenesis of ITP Increased platelet destruction caused by antiplatelet antibodies    antibodies directed against platetelet membrane antigens such as GPIIb/IIIa    the platelets coated with immune complexes bind to Fc portion of macrophages in spleen and other RES and are removed. Lack of compensatory response by megakaryocytes due to suppressive effect of antiplatelet antibodies  So, a combination of increased platelet destruction + ineffective megakaryopoiesis.  Pathogenesis was proved by Harrington when he infused himself with plasma from a women with ITP  ( Harrington-Hollisworth Experiment)
Secondary ITP  Post-Infectious : HIV, HEP-C, H.PYLORI Vasculitis : SLE Lymphoproliferative Disorders : CLL, NHL, HD Drug Dependant ITP (DDITP) : Drug induced TP can be sometimes mediated by antibodies eg: quinidine, sulfa containing drugs
SLE 5% APS 2% CVID 1% CLL 2% Evan’s 2% ALPS, post-tx 1% HIV 1% Hep C 2% H. pylori  1% Postvaccine 1% Misc systemic infection 2% Primary 80% This research was originally published in Blood. Cines DB, et al. Blood. 2009;113:6511-6521.  © the American Society of Hematology
HIV HCV H. pylori
Therapeutic interventions: prednisone, anti-D, splenectomy, or HAART Incidence of ITP in HIV *Platelets < 50 x 10 9 /L 1. Murphy MF, et al. Br J Haematol. 1987;66:337-340. 2. Kaslow RA, et al. Ann Intern Med. 1987;107:474-480. 3. Rossi G, et al. AIDS Res Hum Retroviruses. 1990;6:261-269. 4. Peltier JY, et al. AIDS. 1991;5:381-384. 5. Mientjes GH, et al. Br J Haematol. 1992;82:615-619. 6. Sloand EM, et al. Eur J Haematol. 1992;48:168-172. 7. Sullivan PS, et al. J Acquir Immune Defic Syndr Hum Retrovirol. 1997;14:374-379. Study N ITP, n (%) Murphy et al [1] 105 11 (10.5) Kaslow et al [2] 1611 108 (6.7) Rossi et al [3] 657 72 (10.9) Peltier et al [4] 435 23 (5.5) Mientjes et al [5] 285 67 (23.5) Sloand et al [6] 1004 110 (11) Sullivan et al [7] 30,214 1106 (3.7)* Total 34,311 1497 (4.4)
Evaluation of ITP Features consistent with the diagnosis of ITP Thrombocytopenia with normal or slightly large platelets  ( Increased MPV) Normal RBC morphology and number (may have associated iron def or thallasemia etc.) Normal white cell number and morphology Splenomegaly is extremely rare  Features not consistent with the diagnosis of ITP Giant platelets ( ? Congenital) RBC abnormalities ie schisotocytes ( ? TTP/HUS, DIC) Leukocytosis or Leukopenia (? MPD/MDS, Sepsis )
Laboratory evaluation of ITP Not Much !!! No role for anti-platelet antibodies : many are highly sensitive but they lack specificity.  Bone Marrow not very helpful as initial test Helpful in patient over 50 years and concerned about MDS If more than one cytopenia ( If not “isolated” TP) If patient has failed initial treatment and diagnosis is in question. If abnormal forms on peripheral smear ( nucleated RBCs, blasts) TSH and HIV test helpful, HCV serology Peripheral Smear helpful
Management of ITP Most patients with ITP do not have clinically significant bleeding Risk of intracranial bleed 0.1 to 1% (This is an overestimate) Wet Purpura ie epistaxis, gingival bleeding is a risk factor for major bleeding Treatment is rarely indicated in patients with platelet counts > 50 x 10 9 /L .   In asymptomatic patients with platelets counts  greater then 20 K observation is reasonable option.  ( Wide range of opinions on trigger platelet count at which Rx should be initiated) Patients with higher bleeding risk due to other factors may be chosen for earlier treatment.
Timeline: introduction of modern day ITP drug treatment Splenectomy Corticosteroids IVIg Anti-D Rituximab TPO mimetics 1900 1920 1960 2000 1940 1980
Cines DB, et al. N Engl J Med .  2002;346:995-1008.   Pathophysiology of ITP – Intevention Areas
Acute Pharmacologic Management of ITP Steroids Prednisone 1mg/kg/day with taper over 2 to 3 months Solumedrol  30mg/kg/d x 7 days Decadron Antibodies IVIG 1 gram/kg/day x 2 days Anti-D 50 mcg/kg IV x1 dose in Rh+ patients Binds to D antigen on erythrocytes that now bind to Fc portions of macrophages saturating them    Opsonized erythrocytes compete with opsonized platelets for clearance by macrophages.  IVIG vs. Anti-D : No definitive recommendations are made regarding the preferential use of one agent over another; both agents have adverse events and even fatal events associated with their use. Anti-D may be associated with a longer duration of response, whereas IV IgG may be preferred in patients with CVID. Consideration should be given to specific patient issues such as age, comorbidities, renal function, and hemoglobin level in choosing which agent to use
This research was originally published in Blood. Provan D, et al.  Blood. 2009;[Epub ahead of print].   © the American Society of Hematology. Treatment  Strategy Response Rate Time to Response Response  Duration Cortico-steroids Prednisone:  0.5-2mg/kg x 2-4 weeks 70-80% respond initially Several days to several weeks Uncertain Me-Pred:  30mg/kg/d for 7 days ≤  95% respond initially Few days 23% have > 50x10 9 /L at 39 months Immune Globulin IVIg:  0.4g/kg/d x 5d, 1g/kg/d x 1-2d ≥  80% respond initially 1-2 days 3-4 weeks, months in some Anti-D:  50–75 µg/kg 50-80% (dose dependent) 1-5 days (dose dependent) Typically 3–4 weeks, months in some
Management of ITP Selection of therapeutic option depends on : Urgency of platelet increase Tolerated toxicity by patient, eg, steroids Durability of effect Effect of thrombocytopenia and treatment on lifestyle and profession ( ? people involved in contact sports etc)
Chronic Management of ITP If no durable response or in non-responders :- Splenectomy Immunize with Pneumovax, Hib, Meningococcal  Chronic Anti-D therapy  Does not put the disease in remission Rituximab Eltrombopag ( c-MPL agnonists, TPO receptor agonists) Observation
Management of Adult ITP: Rituximab  Since previous consensus guidelines [1,2]  were published, several studies on the use of anti-CD20 therapy have been published Approximately 60% of patients respond to rituximab treatment and approximately 45% have a CR [3] ; long-term responses (> 4 yrs) occur in 20% of patients The optimal dose of rituximab for ITP treatment is unknown and cases of multifocal leukoencephalopathy have been reported, particularly in patients who have been previously heavily immunosuppressed [4] The drug may be more effective if used earlier in the course of ITP ( may save splenectomy) 1. George JN, et al. Blood. 1996;88:3-40. 2. British Committee for Standards in Haematology General Haematology Task Force. Br J Haematol. 2003;120:574-596. 3. Arnold DM, et al. Ann Intern Med. 2007;146:25-33. 4. Provan D, et al. Blood. 2009;[Epub ahead of print].
Management of Adult ITP: Thrombopoietin Receptor Agonists Recent placebo-controlled randomized clinical trials have demonstrated the utility of 2 thrombopoietin receptor agonists, romiplostim and eltrombopag, in increasing platelet counts in patients refractory to first- or second-line therapy [1,2] These are maintenance agents that support a safe platelet count but have  no effect  on the underlying ITP pathophysiology However, the ability of these agents to increase platelet counts in  refractory postsplenectomy  patients, allowing for reduction or cessation of immunosuppressive agents, may make them the treatment of choice in this patient population. FDA approved for Chronic Refractory ITP.  1. Kuter DJ, et al. Lancet. 2008;371:395-403. 2. Bussel JB, et al. Lancet. 2009;373:641-648.
Immune Thrombocytopenia: New definitions Only patients who fail or relapse  after splenectomy are considered as having refractory ITP . Why: Splenectomy can induce a long-term unmaintained remission in > 60% of patients .   Quality of response  CR: platelet count ≥ 100 x 10 9 /L and absence of bleeding R: platelet count ≥ 30 x 10 9 /L and at least 2-fold increase the baseline count and absence of bleeding NR: platelet count < 30 x 10 9 /L or less than 2-fold increase of baseline platelet count or bleeding Time to response: time from starting treatment to time of achievement of CR or R  Loss of CR or R: platelet count < 100 x 10 9 /L or bleeding (from CR) or < 30 x 10 9 /L or less than 2-fold increase of baseline platelet count or bleeding (from R) Timing of assessment of response to ITP treatments Variable, depends on the type of treatment   Duration of response  Measured from the achievement of CR or R to loss of CR or R Measured as the proportion of the cumulative time spent in CR or R during the period under examination as well as the total time observed from which the proportion is derived Corticosteroid-dependence  The need for ongoing or repeated doses administration of corticosteroids for at least 2 months to maintain a platelet count at or > 30 x 10 9 /L and/or to avoid bleeding (patients with corticosteroid dependence are considered nonresponders) Rodeghiero F, et al. Blood. 2009;113:2386-2393.
New Recommendations for ITP Evaluation Bone marrow aspirate and biopsy with flow studies for patients older than 60 yrs [1]   Why : In addition to excluding underlying myelodysplasia, flow studies may be helpful in identifying patients with an ITP secondary to CLL [1]   Screen for HIV and HCV antibodies and assess  H. pylori  infection by urea breath or stool antigen test [1]   Why : 4% to 30% of patients, depending on the background infection rates in the local population, may have ITP secondary to HIV, HCV, or  H. pylori ; treatment of the primary chronic infection can result in an increase in the platelet count [2] 1. Provan D, et al. Blood. 2009;[Epub ahead of print]. 2. Cines DB, et al. Blood. 2009;113:6511-6521.
New Recommendations for ITP Evaluation Quantitative immunoglobulins [1] Why : This test should be done before patients receive intravenous immunoglobulins; this will reveal patients with CVID or IgA deficiency Direct antiglobulin test [1] Why : A positive DAT was reported in 22% of 205 patients with ITP [2] ; important if patient has anemia and/or a high reticulocyte count Blood group Rh(D) typing [1] Why : Important if treatment with anti-RhD immunoglobulin is being considered; should be done in conjunction with DAT, since a positive DAT may modify a decision to use anti-D therapy 1. Provan D, et al. Blood. 2009;[Epub ahead of print]. 2. Aledort LM, et al. Am J Hematol. 2004;76:204-213.
Management of ITP in pregnancy Gestational Thrombocytopenia Platelet count >70K, occurs late in gestation, not associated with fetal thrombocytopenia, resolves after pregnancy ITP in pregnancy Treat if symptoms - intermittent IVIG, Prednisone, anti-D Epidural anesthesia appears safe if platelet count > 50K Monitoring for neonatal thrombocytopenia
 
Practical Aspects for the management of thrombocytopenia What is an adequate platelet count for procedures? “ Platelet transfusion trigger” Routine Dentistry >10K Dental Extraction >30K Regional Dental Block >30K Minor Surgery >50K Major Surgery>80K Epidural anesthesia is okay at platelet count 50K for patient with ITP The target platelet count for a bleeding patient is generally >50K Prophylactic platelet transfusions for platelets < 10K
Prophylactic Versus Therapeutic Platelet Transfusions Platelet transfusions for active bleeding much more common on surgical and cardiology services Prophylactic transfusions most common on hem/onc services 10 x 10 9 /L has become the standard clinical practice on hem/onc services
Platelet transfusions Source Platelet concentrate (Random donor) Each donor unit should increase platelet count ~10,000 /µl Pheresis platelets (Single donor) ( Equal to 10 random donor plt concentrates) Storage Up to 5 days at room temperature
Factors affecting a patients response to platelet transfusion Clinical situation: Fever, sepsis, splenomegaly, Bleeding, DIC Patient: alloimunization, underlying disease, drugs (IVIG, Ampho B) Length of time platelets stored ( shelf life) 15% of patients who require multiple transfusions become refractory (alloimmunization)
Strategies to improve response to platelet transfusions Treat underlying condition Transfuse ABO identical platelets Transfuse platelets <48 hrs in storage Increase platelet dose Select compatible donor Cross match HLA match
Platelet transfusions - complications Transfusion reactions Higher incidence than in RBC transfusions ( febrile non-hemolytic) Related to length of storage/leukocytes/RBC mismatch Bacterial contamination TRALI Post-Tranfusion Purpura
CONGENITAL TP
Inherited Thrombocytopenias – Mechanisms Mutations in specific genes that play an important role during the development of platelets or the cells that make them, megakaryocytes.  Many forms but all of them are rare    frequently mistaken by physicians for something else, usually, ITP.
Inherited thrombocytopenias – Clinical Spectrum Ranges from severe bleeding diatheses recognized during early weeks of life to mild forms that may remain undetected even in adulthood Diagnosis is difficult Differentiating these ( especially the mild forms that are detected in adults) from acquired thrombocytopenias, especially ITP, is critical to avoid potentially harmful and unnecessary treatments ( immunosuppressive therapes, splenectomies)
Inherited thrombocytopenias –  Questions to help differentiate from immune/ acquired etiology Have the symptoms ( increased bleeding, bruising, petechiae) been present for a long time?  Were platelet counts ever found to be low in the past?  Are there any other family members who might have similar symptoms or thrombocytopenia? What has been the response to treatment? ( steroids, IVIG, Splenectomy) Response to platelet transfusions (if required)?
Inherited Thrombocytopenias – Clues to diagnosis History : Chronicity of symptoms, age at presentation, family history, other co-existent symptoms ( hearing loss, immunodeficiency etc) Mean Platelet Volume ( N = 7-11fl) Peripheral smear - careful examination is warranted for Recognition of macro or micro thrombocytes will narrow the differential Presence of abnormal platelet granules Neutrophil inclusions ( Dohle bodies) Erythroid tear drop cells Hairy cell leukemia
 
Inherited thrombocytopenias – Classification Classified depending on:  the pattern of inheritance the size of the platelets whether or not there are other signs or symptoms that are part of a syndrome.
Inherited Thrombocytopenias-Classification  Based on pattern of inheritance:  Autosomal Dominant    MYH9 related thrombocytopenias    Mediterranean macrothrombocytopenias    Velocardiofacial/DiGeorge Syndromes ( CATCH22)    Familial Platelet Disorder with Associated Myeloid Malignancy (FPDMM)    Autosomal dominant Thrombocytopenia with linkage to Human Chromosome2 ( THC2)    Paris Trousseau Thrombocytopenia    Gray Platelet Syndrome (GPS) Autosomal Recessive    Congenital AMegakaryocytic Thrombocytopenia (CAMT)    Thrombocytopenia with Absent Radii (TAR)    Bernard-Soulier Syndrome (BSS) X-linked Recessive    Wiskott-Aldrich Syndrome    X-linked Thrombocytopenia    GATA-1 Mutations ( X-linked Macrothrombocytopenia)
Inherited Thrombocytopenias-Classification Based on Platelet Size MPV < 7 fl  ( Microthrombocytopenias)    Wiskott-Aldrich Syndrome    X-linked Thrombocytopenia MPV 7-11 fl  (Normal)    FPDMM    THC2    CAMT    TAR MPV > 11 fl  (Large, giant platelets - Macrothrombocytopenias)    MYH9 related thrombocytopenias    Mediterranean macrothrombocytopenias    Velocardiofacial/DiGeorge Syndromes ( CATCH22)    Paris Trousseau Thrombocytopenia    Gray Platelet Syndrome (GPS)    Bernard-Soulier Syndrome (BSS)    GATA-1 Mutations ( X-linked Macrothrombocytopenia)
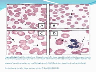
Mey-Hegglin Anomaly First recognized in 1909 Diagnosis : Mild to moderate thrombocytopenia, platelet function is largely preserved Macrothrombocytopenia with an MPV>11 fl    frequent giant platelets on peripheral smear Dohle like cytoplasmic inclusions ( bluish granules in neutrophilic cytoplasm with wright-giemsa stain) in neutrophils  Absence of co-existing clinical features like  nephritis, sensori-neural hearing loss and cataracts MYH9 mutation on genetic testing
May-Heglin Anomaly Fechtner Syndrome Sebastian Syndrome Epstein Syndrome
Fechtner Syndrome Macrothrombocytopenia  + Neutrophilic Inclusions + Additional features like Nephritis + Sensorineural hearing loss + Cataracts
Epstein Syndrome Macrothrombocytopenia  + Absent  Neutrophilic Inclusions + Additional features like Nephritis + Sensorineural hearing loss but no cataracts
MYH9 Related Disorders - Therapy Only mildly increased bleeding.  Usually diagnosed during routine testing of an asymptomatic individual Does not usually require therapy. Educating the affected families (Inheritance pattern – AD) about this diagnosis is paramount to avoid potentially dangerous treatments for presumed ITP.
Common in Southern Europe Very mild macrothrombocytopenia ( 70-150k) Giant platelets but largely preserved platelet function Gene Mutation – GP1BB (vWf Receptor) Chromosomal location – short arm of chr12.
Velocardiofacial syndromes DiGeorge Syndrome
CATCH22 Mild Macrothrombocytopenias No serious bleeding Characterized by cardiac abnormalities, parathyroid and thymus insufficiencies, cognitive impairment and facial dysmorphology Deletion of GP1BB gene ( Chromosome location 22q11) No need of therapy for these mild thrombocytopenias    however, recognize these conditions to avoid unnecessary therapies.
Gene Mutation AML1 Chromosome location 21q22
FPDMM Autosomal Dominant Inheritance. Normal sized platelets Striking predisposition for hematological malignancy. Associated findings : AML, Myelodysplasia Therapy: In view of high incidence of myeloid leukemia at a young age (<60yrs), most patients will undergo stem cell transplantation    physician should be aware of FPDMM so that mild thrombocytopenia in a HLA matched sibling will not go unnoticed    this is important as the recepient may develop donor derived leukemia. If AML1 mutation is identified in a pt with FPD/AML    must screen all potential sibling donors even if platelet count is normal.
?Gene mutation – FLJ14813 Chromosome location 10p12
THC2 Mild thrombocytopenia Normal sized platelets Serious hemorrhage is rare Megakaryocytes are present in bone marrow but are small and have hypolobulated nuclei. ( unlike CAMT where MKs are absent.) No therapy is required. Again, recognition is important to avoid unnecessary therapies.
Gene mutation : unknown
Gray Platelet Syndrome AD inheritance pattern Macrothrombocytopenia Absent alpha granules in the platelets giving a gray color on wright-giemsa staining. Mild bleeding risk.
Gene Mutation: MPL Chromosome location: 1p34 Associated findings : severe marrow failure during 2 nd  decade leading to pancytopenia
CAMT Autosomal recessive inheritance    both parents are carriers and may have normal platelet number and function. Severe Thrombocytopenia in the neonates ( <10,000/ul, MPV normal) secondary to ineffective megakaryopoeisis. Recognized during first few days of birth due to easy bleeding/bruising. Diagnosis : Severe Neonatal Thrombocytopenia Absence of MKs in the bone marrow Consider and rule out other differential diagnoses Diagnosis is confirmed by molecular analysis of the MPL gene.  Most severe form of CAMT is due to complete absence of MPL receptor expression/function. Milder form is  due to residual activity of a mutant MPL receptor
CAMT Course :  Severe CAMT is recognized during the first few days of birth due to easy bleeding/bruising. Milder form of CAMT is associated with low platelet number but sufficient to prevent severe bleeding. Mild form progresses to worsening thrombocytopenia by the first decade of life. Also, associated with reduced leucopoeisis and erythropoeisis    By the second decade of life, can progress to pancytopenia. When pancytopenia develops, CAMT may be confused with other marrow failure disorders ( Aplastic Anemia, Fanconi anemia and Dyskeratosis congenita) Therapy: Initial Rx : Platelet transfusion in neonates to prevent serious bleeding    Platelet increments and survival will be normal. Platelet transfusion should be reserved for symptomatic patients to prevent children from refractoriness because of alloimmunization. HSCT ( Hematopoeitic Stem Cell Transplantation)    should be considered as soon as the diagnosis is confirmed and the donor has been identified.
Severe Neonatal Thrombocytopenia Differential diagnosis Congenital types CAMT    MKs (-) in bone marrow TAR    differentiating feature would be associated skeletal hypoplasia of the arms. MKs + in bone marrow WAS    presence of microthrombocytes. MKs + in bone marrow Acquired types Neonatal AlloImmune Thrombocytopenia (NAIT)    Resolves over several weeks as maternal antibodies are cleared ( in contrast to CAMT that progresses). MKs + in the bonemarrow. Maternal transfer of antiplatelet antibodies ( in cases of maternal ITP)
Neonatal AlloImmune Thrombocytopenia A platelet analogue of the hemolytic disorder of the newborn Mechanism : Induced by feto-maternal alloimmunization    Women who lack common platelet antigens may produce antibodies against paternal antigens that are expressed in the developing fetus  NAIT typically associated with anti-HPA-1a antibodies generated in response to fetal HPA-1a platelets in a mother homozygos for HPA-1b phenotype. Affects 1 in 1500 pregnancies. 50% occur during first pregnancies ( unlike hemolytic disease of newborn) Can lead to severe thrombocytopenia of fetus/ newborn    can manifest with intracranial bleeding.
Neonatal AlloImmune Thrombocytopenia Therapy: Maternal platelet transfusions ( HPA-1a negative) to severely thrombocytopenic newborns. IVIG and steroids to the neonate if thrombocytopenia is life threatening and persistent. NAIT may persist for few weeks until all maternal antibodies have cleared.
Thrombocytopenia with Absent Radii Gene Mutation: unknown Chromosome Location: unknown Autosomal Recessive ( Parents usually completely healthy)
TAR Severe thrombocytopenia at birth    Platelet transfusions are frequently required in neonates Normal sized platelets. MKs present in bone marrow  Associated with skeletal anomalies    shortened/ absent forearms due to defects in development of bilateral radii. Unlike CAMT, TAR will become less severe during first year of life. Most affected people will not need platelet transfusions after infancy.
Autosomal Recessive Absence/ decreased VWF receptor on platelets. Gene Mutation : GP1BA (alpha)/GP1BB Chromosome location: chr17
Bernard-Soulier Syndrome Mild lifelong macrothrombocytopenia (MPV>11 fl) Bleeding tendency exceeds that predicted by degree of thrombocytopenia. Decreased expression of Vwf    deficient binding of vWF to the platelet membrane at sites of vascular injury, resulting in defective platelet adhesion    demonstrated by the lack of aggregation of platelets in response to ristocetin, an antibiotic that normally causes platelets to aggregate    deficient formation of the primary platelet plug and increased bleeding tendency. The cause of the thrombocytopenia is not definitely known.  Questions remain! Why does a defect in VWF receptor cause macrothrombocytopenia? Does the VWF receptor play a role in thrombopoeisis?
X-linked inheritance – common in males Microthrombocytopenia Gene Mutation: WAS Chromosome Location: Xp
WAS Almost exclusively affects male child Moderate to severe  Microthrombocytopenia  ( 5k to 50k) in the neonates ( very reduced MPV of 3.5-5.0 fl) Associated Findings : Eczema, Immunodeficiency and increased incidence of autoimmune diseases and  lymphomas.  Generally recognized in first year of life due to easy bleeding/bruising as well as recurrent bacterial infections. Diagnosis confirmed by genetic analysis of WAS Mechanisms by which WAS mutation leads to microthrombocytopenia not completely understood    MKs appear to be normal or increased in bonemarrow suggesting a block during thrombopoeisis.  Also, both platelet size and number improve after splenectomy suggesting the role of RES in platelet removal ( although no anti platelet antibodies have been detected)
WAS Therapy: Infections – MCC of death in WAS IVIG ( IV gamma globulin) and broad spectrum antibiotics – Initial therapies    have increased median life expectancy of severe WAS patients from 5yrs to 20yrs Thrombocytopenia can be severe and lead to life threatening bleeding    Acute Rx involves platelet transfusions    note that transfusions provide normal increments and survival of circulating platelets. Splenectomy can induce good increases in platelet counts. However, should reserved for severe cases where HSCT is not feasible. Because Splenectomy heavily increases risk of sepsis/infection in WAS. (In a series of 39 patients, surgery normalized platelet count and morphology in almost all cases, and the median survival of splenectomized subjects was 25 years, compared with less than 5 years in unsplenectomized ones. Ref: Mullen CA, Anderson KD, Blaese RM. Splenectomy and/or bone marrow transplantation in the management of the Wiskott-Aldrich syndrome: long-term follow-up of 62 cases. Blood. 1993;82: 2961-2966 ) HSCT is the only curative therapy which corrects both thrombocytopenia and immunodeficiency
- Microthrombocytopenia absent features of WAS Substantially lower risk of late complications such as lymphoma
X-Linked Macrothrombocytopenia Gene Mutation:GATA1 Chromosome location:Xp
GATA1 Mutation X-linked thrombocytopenia which is macrothrombocytopenia (MPV>11 fl) Exclusively affects male children Associated with mild to moderate dyserythropoeisis leading to mild anemia. Clinically, differentiated from WAS by presence of large platelets and absence of WAS related associations. Bone marrow is hypercellular with dysplastic features in MK cell and erythroid lines    but there is no progression to myelodysplasia/ leukemia/bonemarrow failure Thrombocytopenia is significant ( 10k to 40k) and can sometimes lead to severe bleeding. Confirmation is by sequencing of GATA1 gene
GATA1 Mutation Therapy: Therapeutic platelet transfusions ( in scenarios of persistent bleeding and trauma/surgical challenge) HSCT is curative if anemia/thrombocytopenia becomes life-threatening. Future therapies may include repair of GATA1 mutation (gene therapy)
Role of Splenectomy in Congenital thrombocytopenias Definitive role has been established in WAS ( in cases where HSCT is not feasible) Different opinions in other inherited thrombocytopenias (enclosed)

Thrombocytopenia

  • 1.
    Hematology-High Yield TopicsFor Internal Medicine Boards and Hematology Boards Target Audience: Internal Medicine Residents, Family Medicine Residents, Hematology Fellows, Medical Students, IM Board Recertification exam aspirants Archer Internal Medicine Board Review www.CcsWorkshop.com
  • 2.
    History of theplatelet Studies by Osler, Hayam, and Bizzozero identified small particles in the blood, these were believed to be either bacteria or red cell fragments James Homer Wright “Wright Stain” identified platelets as a distinct hematopoetic component arising from megakaryocytes William Duke in 1910 described 3 patients with low platelet counts that had hemorrhagic disease Duke created a venous shunt from a normal donor to a thrombocytopenic recipient and showed that the platelet count could rise and the bleeding would cease
  • 3.
  • 4.
    Thrombopoietin (TPO) TPOis the primary regulatory protein in the production of platelets. Has a major effect on almost all steps of megakaryocyte differentiation and maturation. Promotes growth of Meg-CFC Increases the rate of endomitosis Stimulates megakaryocyte maturation TPO gene is on chromosome 3. TPO is expressed in the liver, kidneys, and smooth muscle cells. Produced at a constant rate by the liver. Has a plasma half life of 30 hours. In circulation, most of it removed by thrombopoietin (c-mpl) receptors on platelets and possibly some by bone marrow megakaryocytes. The residual thrombopoietin (50 to 150 pg/mL) provides basal stimulation of megakaryocytes and a basal rate of platelet production. Hence, when platelet mass falls there is more TPO in the blood ( less clearance) stimulating megakaryocytes. When platelet mass increases, TPO falls due to increased clearance and hence, decreased megakaryopoiesis.
  • 5.
    Thrombocytopenia Defined asa subnormal amount of platelets in the circulating blood. Normal platelet count : 150,000 to 450,000/microL. Thrombocytopenia is defined as a platelet count less than 150,000/microL (150 x 10(9)/L). Not usually clinically detected until the platelet count falls to levels below 100,000/microL . However, a recent fall in the platelet count by 50%, while still in the normal range, may herald severe clinical problems  requires active follow-up. eg: HIT . 1/3 of platelets are sequestered in the spleen. Half life of a platelet is 9 to 10 days. Platelet production is the function of the multinucleated megakaryocyte. 15 to 45 K platelets are produced daily to maintain steady state Pathophysiology is less well defined
  • 6.
    Practical Importance ofThrombocytopenia 1/3 of all Hematology Consults in a General Hospital are for thrombocytopenia. 5 to 10% of all hospital patients are thrombocytopenic in the ICU the number increases to 35%. Thrombocytopenic patients in the hospital suffer a twofold greater mortality rate than those who are not
  • 7.
    Clinical Features -Thrombocytopenia Most conditions are associated with bleeding ( ITP, Drug induced TP, Most other TPs) Some conditions associated with thromboses Thrombotic Thrombocytopenia Purpura (TTP) Disseminated Intravascular Coagulation (DIC) Heparin Induced Thrombocytopenia ( HIT) Sites of bleeding in thrombocytopenia : Skin and mucous membranes : Petechiae, Ecchymosis, Hemorrhagic vesicles, Gingival bleeding and epistaxis. Menorrhagia Gastrointestinal bleeding Intracranial bleeding Bleeding in to joints and soft tissues are manifestation of coagulation factor deficiencies rather than thrombocytopenia.
  • 8.
    Stratifying levels ofthrombocytopenia The primary reason for evaluating thrombocytopenia is to assess the risk of bleeding and assess the presence of underlying disorders (TTP, HIT etc.) < 20 K increased risk of bleeding 20K to 50 K rarely have increased risk of spontaneous bleeding but increased risk of bleeding from procedures 50K to 100K no increased risk of spontaneous bleeding and can undergo most procedures
  • 9.
    Relation of bleedingrisk and platelet count Bleeding time increases in a linear fashion below a platelet count of 100 K. In leukemic children major forms of hemorrhage occurred at platelet counts <10 K. Slichter et al tagged RBC and found fecal blood loss 10 K - 5 cc/day 5 to 10 K - 10 cc/day < 5 K - 50 cc/day
  • 10.
    Approach to thethrombocytopenic patient History Is the patient bleeding? Do the sites of bleeding suggest a platelet defect? Duration - Is thrombocytopenia – acute or chronic? Is there a history of medications, alcohol use, or recent transfusion ( post-transfusion purpura)? Are there symptoms of a secondary illness? (neoplasm, infection, autoimmune disease) Is there a family history of thrombocytopenia? Heparin exposure – recent or with in past three months (HIT)? Are there risk factors for HIV infection? History of liver disease? Assess the number of platelets CBC with peripheral smear :- Any clumps? Schistocytes? Nucleated RBCs? Any features of nutrional deficiencies (hypersegmented neutrophils), MDS (hyposegmented neutrophils), Myelofibrosis ( tear drop cells) ? Isolated thrombocytopenia or any other cell line affected? Lab Tests : PT and PTT, autoimmune work-up if suspected, HIV if risk factors, LFTs, Nutrient work up ( B12, Folate)
  • 11.
    Thrombocytopenia Several Causes. Can be broadly classified in to five categories based on the mechanism behind reduced platelet count: Pseudo or Spurious Thrombocytopenia Dilutional Thrombocytopenia Decreased Platelet Production Increased Platelet Destruction Altered Distribution of Platelets ( Increased Sequestration) Most common mechanisms are decreased platelet production and increased destruction.
  • 12.
    Pseudo Thrombocytopenia PseudoThrombocytopenia : An artifactual clumping of platelets in vitro without clinical significance The first step in evaluating any thrombocytopenia is to confirm if it is “true”. Evaluate Peripheral smear for platelet clumps which can lead to pseudo-thrombocytopenia. Failure to recognize this phenomenon may lead to misdiagnosis and subsequent mismanagement of patients Various Scenarios : Inadequate anticoagulation of the blood sample : Results in thrombin induced platelet clumps, counted as leucocytes by automated cell counters. Hence, spurious thrombocytopenia. Rarely, WBC count is increased by more than 10%. EDTA dependant platelet auto-antibodies : “Naturally” occuring platelet antibodies lead to platelet clumps in the presence of EDTA ( in-vitro) . Abciximab Related Pseudo-Thrombocytopenia.
  • 13.
    EDTA Dependant AggluttininsPresent in 0.1% of normal population. Unlike true thrombocytopenias, EDTA-PTCP is associated with a normal mean platelet volume These patients have naturally occurring platelet antibodies directed towards a normally “hidden” epitope on platelet membrane GP IIb/IIIa complex  The glycoprotein IIb/IIIa complex must dissociate to expose this epitope (called the &quot;cryptantigen&quot; or &quot;neoantigen,“) for antibody binding to occur. EDTA, Drugs such as Abciximab and Mexiletene , ph and temperature can induce dissociation of GP IIb/IIIa and may expose this cryptantigen causing the antibody to bind and resulting in aggluttination ( clumps).
  • 14.
    EDTA Dependant AggluttininsEDTA – PTCP is diagnosed by examination of peripheral smear for platelet clumping. If platelet clumping seen, repeat the count in non-EDTA anticoagulant ( heparin or sodium citrate). If citrate is used, remember to correct the platelet count for dilution caused by amount of citrate solution used. No such correction required for heparin. Although pseudothrombocytopenia has no pathologic significance and will not increase thrombotic or hemorrhagic risk, failure to recognize it may potentially place a patient in jeopardy for inappropriate discontinuation of the needed drug (eg: abciximab), delay of therapies involving invasive procedures, or initiation of unnecessary therapies, such as platelet transfusion or use of steroids. 1
  • 15.
    Pseudo-Thrombocytopenia Platelet clumpsseen in EDTA anti-coagulated blood sample in a patient with EDTA Dependant platelet aggluttinins No platelet clumps seen and platelet count normal in the blood sample from the same patient anti-coagulated with Sodium Citrate
  • 16.
    Abciximab - PseudothrombocytopeniaThrombocytopenia is a well-recognized adverse effect of abciximab therapy . Two mechanisms : Immune mediated thrombocytopenia ( onset with in minutes to hours of administration rather than days to weeks seen with other drug induced thrombocytopenias). Pseudothrombocytopenia, of no clinical importance. ( 1/3 rd of thrombocytopenia” found in patients receiving abciximab is due to pseudothrombocytopenia) Abciximab-PTCP is due to the presence of EDTA as an anticoagulant in the blood-drawing tube. EDTA exposes the cryptantigen in GPIIb/IIIa complex to aggluttination with naturally occuring antibodies. The mechanism of abciximab-associated, EDTA-induced platelet clumping is not clear. Differentiation of Abciximab-PTCP from True Abciximab-TP and from HIT is extremely crucial. Diagnosis of PTCP will avoid discontinuation of the abciximab infusion and initiation of unnecessary therapies, such as platelet transfusions or anticoagulants (as in HIT). When thrombocytopenia occurs after abciximab treatment, first review peripheral blood film for clumping or obtain platelet count in citrated blood.
  • 17.
    Abciximab – PTCPTime course of automated platelet counts from citrated blood and EDTA blood .
  • 18.
    Dilutional Thrombocytopenia Largequantities of PRBC transfusion to treat massive hemmorhage can lead to dilutional TP. Due to absence of viable platelets in packed RBCs. Usual platelet counts in patients receiving 15 to 20 units of PRBCs in 24 hours is 50k to 100k/µl. Can be prevented by giving platelet concentrates to patients receiving more than 20 units PRBCs in a 24 hour period.
  • 19.
    Distributional Thrombocytopenia Also,referred to as Appartent Thrombocytopenia since total platelet mass is normal. About 1/3 rd of circulating platelets are normally sequestrated in spleen. Splenic sequestration of platelets may increase to 90% in splenomegaly ( hypersplenism) secondary to portal hypertension or other causes . May be associated with leucopenia and/ or anemia. Circulating platelet count decreases but total platelet mass and overall platelet survival remain normal. Hence, these patients can have significant “apparent” thrombocytopenia but rarely have clinical bleeding ( since total available platelet mass is normal)
  • 20.
    Decreased Platelet ProductionAssociated with decreased or ineffective megakaryopoiesis and thrombopoiesis Marrow Damage: Aplastic Anemia Fanconi’s anemia ( defect in DNA repair genes) Malignancy ( with/ with out Myelophthisis ). Congenital defects ( Congenital thrombocytopenias) Paroxysmal Nocturnal Hemoglobinuria Viral infections: rubella, CMV, EBV,HIV, Hep-C Ineffective production : Nutritional Deficiencies: B12, Folate, Severe Fe deficiency Drugs: thiazides, estrogen, chemotherapy , linezolid Toxins: alcohol, cocaine
  • 21.
    Increased Destruction Mostcommon cause of thrombocytopenia. Leads to stimulation of thrombopoiesis and thus an increase in the number, size and rate of maturation of the precursor megakaryocytes. Increased consumption with intravascular thrombi or damaged endothelial surfaces
  • 22.
    Increased Destruction (Cont.)Non-Immune Immune Microangiopathy DIC TTP HELLP Hemangiomas VonWillebrand Type2b disease (increased aggregation) ITP HIT SLE, AIDS Drug Induced Immune TP: heparin, gold, quinidine, furosemide, cephalosporins, pcn, H2 blockers
  • 23.
  • 24.
    Systemic activation ofcoagulation Intravascular deposition of fibrin Depletion of platelets and coagulation factors Bleeding Thrombosis of small and midsize vessels with organ failure
  • 25.
    Common clinical conditionsassociated with DIC Sepsis Trauma Head injury Fat embolism Malignancy Obstetrical complications Amniotic fluid embolism Abruptio placentae Vascular disorders Reaction to toxin (e.g. snake venom, drugs) Immunologic disorders Severe allergic reaction Transplant rejection Fulminant Hepatitis
  • 26.
    DIC Treatment approachesTreatment of underlying disorder Anticoagulation with heparin – when thromboses are an issue Platelet transfusion – if, bleeding Fresh frozen plasma – if, bleeding
  • 27.
    TTP Thrombotic ThrombocytopeniaPurpura Characterized my microangiopathic hemolytic anemia and profound intravascular platelet clumping. The disease was first reported in 1923 by Dr. Eli Moschowitz at Beth Israel in NYC 16 year old girl who presented with anemia, petechia ultimate coma and death Terminal arterioles and capillaries were occluded by hyaline thrombi mostly composed of platelets
  • 28.
    Lazarchick, J. ASHImage Bank 2001;2001:100174 Figure 1. Peripheral smear showing microangiopathic hemolytic features with numerous RBC fragments (helmet cells/schistocytes)
  • 29.
    Copyright ©2001 AmericanSociety of Hematology. Copyright restrictions may apply. Lazarchick, J. ASH Image Bank 2001;2001:100174 Figure 2. Peripheral smear showing RBC fragmentation consistent with a microangiopathic hemolytic process
  • 30.
    Clinical and LabManifestations of TTP Severe thrombocytopenia and hemolytic anemia with one or several fragmented red cells in high power oil >1% total number of RBC Neurologic Manifestations, abdominal pain Fever and Renal Abnormalities occur in the minority of patients Thrombocytopenia range from <30 K to 75 to 100 K Elevated LDH Initially coagulation studies are normal
  • 31.
    Type of TTPFamilial chronic relapsing Acquired idiopathic HIV related TTP Pregnancy can trigger both acquired and congenital TTP Drug related Ticlopidine, Clopidogrel Cancers: Adenocarcinoma of breast, GI tract and Proastate Thrombotic Angiopathies that resemble TTP Mitomycin, cyclosporine, tacrolimus, quinine Chemotherapy, gemcitabine, TBI BM and Solid organ transplant
  • 32.
  • 33.
    Moake J. NEngl J Med 2002;347:589-600 Proposed Relation among the Absence of ADAMTS 13 Activity in Vivo, Excessive Adhesion and Aggregation of Platelets, and Thrombotic Thrombocytopenic Purpura
  • 34.
    Differential Diagnosis ofTTP Other conditions causing MAHA : Hemolytic-uremic syndrome DIC Malignant Hypertension Pregnancy Preeclampsia/eclampsia HELLP Severe Vasculitis Evans Syndrome ( Direct Coomb+, No Schistocytes). Macroangiopathic Hemolysis : Malfunctioning prosthetic cardiac valves
  • 35.
    Treatment of TTPUrgent plasmapheresis ( plasma exchange) Plasma Infusion : Infusion of FFP 30 cc/kg/day until ready for plasma exchange ( serves as emergency initial measure in those who do not have immediate access to Plasma exchange) Daily plasma exchange with either FFP or cryopoor FFP (45 to 55 cc/kg/day) Steroids (Prednisone 1 mg/kg/day) ( may help by suppressing anti-ADAMTS13 antibodies). Red Blood Cell transfusions if needed Platelet transfusion may worsen the disease and are avoided. Used only if absolutely necessary ( in very rare cases, where severe bleeding is encountered) Refractory TTP : In patients with worsening disease despite daily plasma exchange + Steroids  Increase plasmpheresis to twice daily exchange. Poorly responsive or Recurrent TTP  Add Immunosuppressive therapy -Add Rituximab or Cyclosporine
  • 36.
    Etiology Impact onpatient management
  • 37.
    Etiology - ChronicHCV-TP Pathophysiology of HCV-TP is complex and involves the interaction of multiple factors Hepatic Fibrosis and Cirrhosis Patients with advanced fibrosis had significantly lower mean platelet counts compared with those having stage 0-2 fibrosis. Portal Hypertension and Splenomegaly Splenomegaly and platelet sequestration, or hypersplenism, is seen in 11% to 55% of patients with cirrhosis and portal hypertension. Hence, these are not the only factors to explain TP in chronic liver disease. Bone Marrow Suppression by HCV Immune Dysfunction HCV can bind and alter the confirmation of glycoproteins inducing the formation autoantibodies and there by, immune mediated platelet clearance. High titers of platelet-associated immunoglobulin G (PAIgG) (immune complex–coated platelets) found in 88% of patients with chronic HCV. Decreased Thrombopoetin levels or activity. Treatment related Thrombocytopenia. Peg-Interferon ( Inteferon-TP is due to BM suppression and decreased secretion of TPO)
  • 38.
    1. Pivetti S,et al. Br J Haematol. 1996;95:204-211. 2. Pawlotsky JM, et al. J Hepatol. 1995;23:635-639. 3. Sakuraya M, et al. Eur J. Haematol. 2002;68:49-53. 4. García-Suárez J, et al. Br J Haematol. 2000;110:98-103. 5. Rajan SK, et al. Br J Haematol. 2005;129:818-824. Study N Platelet Threshold, x 10 9 /L HCV Positive, n (%) Pivetti et al [1] 33 < 100 12 (36) Pawlotsky et al [2] 139 < 25 14 (10) Sakuraya et al [3] 79 < 10 11 (14) García-Suárez et al [4] 51 < 100 13 (23) Rajan et al [5] 250 < 100 76 (30)
  • 39.
    HCV-TP – Impacton HCV Treatment Greatest challenge of HCV-TP is difficulty in starting or maintaining HCV therapy. Treatment with Peg-inteferon may reduce platelet counts by 33% Peg-Inteferon : Initiation of therapy : Can not be initiated if platelet count < 50k/µl . For standard dose of PEG -Interferon 0.5mcg/kg platelet count must be greater than 70k/µl . Patients with platelet count 50 – 70k/µl can start at 0.25mcg/kg . Dose must be reduced if platelet count falls below 50k/µl Permanently discontinued if platelets fall below 25k/µl. Postponement of treatment due to thrombocytopenia can result in diminished sustained virologic response because of the potential for further progression of liver disease in the absence of treatment. Dose modifications may lower the chances of sustained virological response.
  • 40.
    HCV-TP - ManagementPlatelet transfusions as indicated per routine trigger levels ( Prophylactic transfusion if less than 10k, prior to procedures or if bleeding and if less than 50k). Platelet transfusions are not indicated prior to starting HCV therapy or during therapy unless patients have active bleeding with platelet count <50k. Splenectomy and splenic artery embolization : have been used to correct TP in patients with hypersplenism, producing significant and persistent increases in platelet counts. Used prophylactically prior to anti-HCV therapy, this can improve thrombocytopenia in patients with HCV-induced cirrhosis and hypersplenism, thus facilitating the use of antiviral therapy. Risks: peri-op mortality, infections and DIC
  • 41.
    HCV-TP - ManagementRole of TPO receptor agonists: A double blind, phase II trial evaluated whether eltrombopag could facilitate initiation and maintenance of antiviral therapy. Median platelet counts at baseline and week4 in HCV patients treated with Eltrombopag. Peg-interferon + ribavirin therapy initiated if platelet counts increased to greater than 70k. number of patients able to initiate antiviral treatment was 80% with eltrombopag vs 22% in the control arm. In total, 65% of patients in the 75-mg dose group, 53% of patients in the 50-mg dosing group, and 36% of patients in the 30-mg dosing group were able to complete the 12-week antiviral therapy phase compared with 6% of placebo-treated patients Not FDA approved yet. Pivotal phase III studies are underway to further examine eltrombopag in chronic hepatitis C patients with thrombocytopenia.
  • 42.
    Drug Induced ThrombocytopeniasClassified as : Direct Toxicity BM Suppression Immune mediated destruction Pro-hemorrhagic : all other drugs Pro-Thrombotic : Heparin
  • 43.
    Discussion: HIT ITPPOST-TRANSFUSION PURPURA
  • 44.
    Types of Autoimmunethrombocytopenia Neonatal Thrombocytopenia Isoimmune, Associated with Maternal ITP, Drug-Related Drug Induced Quinidine, Quinine, Sulfa, Gold Salts, Abx (Vanco etc), Heparin Lymphoma Autoimmune disorders Thyroiditis, SLE, Colitis, Sarcoidosis Infections HIV, Rubella, viral Hepatitis, CMV, Lyme disease Postransfusion Purpura ITP
  • 45.
  • 46.
    Frequency of HITPerspectives More than 1 trillion units heparin used yearly in US; 1/3 of hospitalized exposed (12 million). Unfractionated heparin – 3 - 5% incidence; Heart surgery 2.5% incidence LMWHeparin, Catheter-flushes -- ~0.5% Frequency of thromboemboli : 30%–50% of patients with untreated HIT will have a thrombotic complication within 30 days ( Warkentin TE Am J Med. 1996;101:502–507 )  Based on increased morbidity and mortality, heparin cessation alone is inadequate in HIT management
  • 47.
  • 48.
    Two types –HIT type I and Type II. In general, the term HIT is used widely to refer HIT Type II, the immune form. Presence of any of the following : Otherwise unexplained thrombocytopenia Venos or arterial thromboses associated with thrombocytopenia A fall in platelet count of 50% or more from a prior value, even if absolute Thrombocytopenia is not present. Necrotic skin lesions at heparin injection site Acute systemic ( anaphylactoid) reactions occuring after IV heparin bolus. HIT
  • 49.
    Diagnosis of HITNormal platelet count before commencement of heparin therapy Onset of thrombocytopenia typically 5–14 days after initiation of heparin therapy but can occur earlier Exclusion of other causes of thrombocytopenia (eg, sepsis) Occurrence of thromboembolic complications during heparin therapy
  • 50.
    Sequelae Incidence Thrombosis30%–50% Amputation 20% (arterial thrombosis) Death 22% to 28% .
  • 51.
    30%–50% of untreatedpatients with thrombocytopenia progress to thrombosis 4:1 Incidence Ratio Venous to Arterial Arterial Aortic/Ileofemoral Thrombosis Acute Thrombotic Stroke Myocardial Infarction, Mural thrombosis, Thrombi in upper limb, mesenteric, renal and spinal arts. Venous Deep Vein Thrombosis Pulmonary Embolism Cerebral Dural Sinus Thrombosis Adrenal Hemorrhagic Infarction
  • 52.
    HIT Temporal VariantsDay 1 Day 4 Day 14 Day 30 Delayed-onset HIT (9–40 days) Rapid-onset HIT (hours–days) Typical HIT Mean Day 9 (5–14 days) Heparin (re) Exposure THROMBOCYTOPENIA (± THROMBOSIS)
  • 53.
    Clinical Suspicion forHIT The 4 T’s (Warkentin, 2003) Thrombocytopenia Platelet count fall > 50% and nadir greater than 20k : 2 points Platelet count fall 30 to 50% or nadir 10 to 19k : 1 point Platelet count fall < 30% or nadir < 10k : 0 points Timing of platelet count fall  Clear onset b/w days 5 to 10 or platelet count fall at ≤1 day if prior heparin exposure within the last 30 days: 2 points Consistent with fall at 5 to 10 days but not clear (eg, missing platelet counts) or onset after day 10 or fall ≤1 day with prior heparin exposure within the last 30 to 100 days: 1 point Platelet count fall at <4 days without recent exposure: 0 points Thrombosis or other sequelae  Confirmed new thrombosis, skin necrosis, or acute systemic reaction after intravenous unfractionated heparin bolus: 2 points Progressive or recurrent thrombosis, non-necrotizing (erythematous) skin lesions, or suspected thrombosis which has not been proven: 1 point None: zero points Other causes for thrombocytopenia present  —  None apparent: 2 points Possible: 1 point , Definite: zero points The 5 th T : The TEST
  • 54.
    Interpretation A scoreis determined for each of the four above categories, resulting in a total score from zero to 8. Pretest probabilities for HIT are, as follows: zero to 3: Low probability 4 to 5: Intermediate probability 6 to 8: High probability Laboratory tests are ordered to confirm HIT.
  • 55.
    Laboratory Testing forHIT Test Advantages Disadvantages SRA Sensitivity >95%, Technically demanding Specific > 95% Low predictive value HIPA Rapid, available Variable sensitivity (30% – 80%); Technique-dependent ELISA High sensitivity High cost, less specificity, > 95% 10% false-negative tests There is no Gold Standard in diagnostic testing; HIT requires a clinical diagnosis .
  • 56.
    HIT - ManagmentStop all Heparin, including heparin flushes. If dialysis, must be Heparin free. Platelet transfusions are relatively contraindicated. ( except in those with overt bleeding). If Intermediate or High pre-test (clinical) probability + Positive ELISA (Anti-PF4 antibody)  Start alternative anticoagulant. For low clinical probability, positive ELISA  consider false positive ELISA. Obtain Serotonin Release Assay which is more specific. If clinical probability increases over time from a prior value but if initial HIT was negative  Repeat HIT antibody (ELISA) (may turn positive. ) Start alternative anticoagulant
  • 57.
    Alternative Anticoagulants Drug Indications Argatroban FDA-approved for HIT (also for PCI) Lepirudin FDA-approved for HIT Bivalirudin (Angiomax) PCI (including HIT patients) Fondaparinux (Arixtra) FDA approved for DVT Prophylaxis in patients with Hip#, Hip or knee replacements. Also used in Rx of VTE. Not yet approved for HIT (Off-label use) Danaparoid Approved for HIT in Canada, Europe, Aust.
  • 58.
    Argatroban Synthetic DirectThrombin Inhibitor indicated as a prophylactic anticoagulant or for treatment of thromboses in HIT. MOA : Directly inhibits Thrombin, Reversibly binds to the thrombin catalytic site and Active against both free and clot-bound thrombin Rapid Onset of Action In healthy subjects, the pharmacokinetics and pharmacodynamics of Argatroban were NOT affected by renal impairment, age, or gender  Dosage adjustment is NOT necessary in renally impaired patients Hepatic impairment decreases Argatroban clearance; therefore, the dosage must be reduced for hepatically impaired patients
  • 59.
    Recommended Dosing Guidelinesfor Argatroban HIT Patients HIT Patients with Renal Impairment HIT Patients with Hepatic Impairment * Not to exceed a dose of 10 µg/kg/min or aPTT of 100 seconds † Due to approximate 4-fold decrease in Argatroban clearance relative to those with normal hepatic function Initiate at 2 µg/kg/min Titrate until steady-state aPTT is 1.5–3.0 times baseline value* No dosage adjustment required Initiate at 0.5 µg/kg/min † Titrate until steady-state aPTT is 1.5–3.0 times baseline value*
  • 60.
    Guidelines for Conversionto Oral Anticoagulant Therapy Initiate warfarin only when platelet count increases above 100k. All direct thrombin inhibitors, including Argatroban, may increase prothrombin time (PT); this must be taken into consideration when converting to warfarin therapy Coadministration of Argatroban and warfarin does produce a combined effect on the laboratory measurement of the INR. Concurrent therapy with Argatroban and warfarin does not exert an additive effect on the warfarin mechanism of action (e.g., factor Xa activity) The previously established relationship between INR and bleeding risk is altered during combination therapy For example, an INR of 4 on co-therapy may not have the same bleeding risk as an INR of 4 on warfarin monotherapy. Continue anticoagulation for 2-3 months in HIT with out thromboses but continue it for 6 months if a thrombotic event occurred.
  • 61.
    Guidelines for Conversionto Oral Anticoagulant Therapy If INR is below the therapeutic range for warfarin alone, resume Argatroban therapy If INR is >4.0, stop Argatroban infusion Initiate warfarin therapy using the expected daily dose of warfarin while maintaining Argatroban infusion. * A loading dose of warfarin should not be used If INR is within therapeutic range on warfarin alone, continue warfarin monotherapy If INR is  4.0, continue concomitant therapy Repeat INR 4-6 hours later Measure INR daily * For Argatroban infusion at  2 µg/kg/min, the INR on monotherapy may be estimated from the INR on cotherapy. If the dose of Argatroban >2  g/kg/min, temporarily reduce to a dose of 2  g/kg/min 4-6 hours prior to measuring the INR.  
  • 62.
    The Key toAvoiding Catastrophes from HIT is Awareness, Vigilance, High Degree of Suspicion When a patient... experiences a drop in platelet counts develops thrombosis Consider HIT during/soon after heparin exposure* * Heparin exposure may be through virtually any preparation (including LMWH), any dose, or any route of heparin (including flushes and coated lines)
  • 63.
    Thienopyridines – Clopidogrel,Ticlopidine induced TTP GP IIb/IIIa inhibitor induced TP Abciximab – True TP, Pseudo-TP Heparin Induced TP Open Heart Surgery – Bypass circuit Intra Aortic Balloon Pump (IABP)
  • 64.
    Differential Diagnosis ofThrombocytopenia Clinical Setting – Cardiac Inpatients HIT Use of platelet GP IIb/IIIa-receptor antagonists Use of adenosine diphosphate-receptor antagonists Coronary-artery bypass grafting Use of intra-aortic ballon pump Aird AC, Mark EJ. N Engl J Med. 2002;346:1562-1570.
  • 65.
    Clues to Diagnosisof HIT in patients after Open-Heart Surgery Prolonged thrombocytopenia Rise in platelet count after surgery with subsequent fall Multiple positive functional (SRA) and antibody (ELISA) assay results Unusual or unexpected thrombosis (may require noninvasive testing) Multiple thrombotic events Systemic reaction shortly after heparin bolus
  • 66.
  • 67.
    Immune Mediated ThrombocytopeniaPurpura (ITP) Idiopathic ITP vs. Secondary ITP Idiopathic or Primary ITP : Defined as isolated thrombocytopenia with Platelet count < 100 x 10 9 /L No other cause of thrombocytopenia No clinically evident secondary form of thrombocytopenia. High prevalence disease 16 to 27 per million per year Incidence increases with age Female predominance under the age of 60 but not over the age of 60 May have onset or insidious onset  generally abrupt in onset with children and insidious in adults.
  • 68.
    Pathogenesis of ITPIncreased platelet destruction caused by antiplatelet antibodies  antibodies directed against platetelet membrane antigens such as GPIIb/IIIa  the platelets coated with immune complexes bind to Fc portion of macrophages in spleen and other RES and are removed. Lack of compensatory response by megakaryocytes due to suppressive effect of antiplatelet antibodies So, a combination of increased platelet destruction + ineffective megakaryopoiesis. Pathogenesis was proved by Harrington when he infused himself with plasma from a women with ITP ( Harrington-Hollisworth Experiment)
  • 69.
    Secondary ITP Post-Infectious : HIV, HEP-C, H.PYLORI Vasculitis : SLE Lymphoproliferative Disorders : CLL, NHL, HD Drug Dependant ITP (DDITP) : Drug induced TP can be sometimes mediated by antibodies eg: quinidine, sulfa containing drugs
  • 70.
    SLE 5% APS2% CVID 1% CLL 2% Evan’s 2% ALPS, post-tx 1% HIV 1% Hep C 2% H. pylori 1% Postvaccine 1% Misc systemic infection 2% Primary 80% This research was originally published in Blood. Cines DB, et al. Blood. 2009;113:6511-6521. © the American Society of Hematology
  • 71.
    HIV HCV H.pylori
  • 72.
    Therapeutic interventions: prednisone,anti-D, splenectomy, or HAART Incidence of ITP in HIV *Platelets < 50 x 10 9 /L 1. Murphy MF, et al. Br J Haematol. 1987;66:337-340. 2. Kaslow RA, et al. Ann Intern Med. 1987;107:474-480. 3. Rossi G, et al. AIDS Res Hum Retroviruses. 1990;6:261-269. 4. Peltier JY, et al. AIDS. 1991;5:381-384. 5. Mientjes GH, et al. Br J Haematol. 1992;82:615-619. 6. Sloand EM, et al. Eur J Haematol. 1992;48:168-172. 7. Sullivan PS, et al. J Acquir Immune Defic Syndr Hum Retrovirol. 1997;14:374-379. Study N ITP, n (%) Murphy et al [1] 105 11 (10.5) Kaslow et al [2] 1611 108 (6.7) Rossi et al [3] 657 72 (10.9) Peltier et al [4] 435 23 (5.5) Mientjes et al [5] 285 67 (23.5) Sloand et al [6] 1004 110 (11) Sullivan et al [7] 30,214 1106 (3.7)* Total 34,311 1497 (4.4)
  • 73.
    Evaluation of ITPFeatures consistent with the diagnosis of ITP Thrombocytopenia with normal or slightly large platelets ( Increased MPV) Normal RBC morphology and number (may have associated iron def or thallasemia etc.) Normal white cell number and morphology Splenomegaly is extremely rare Features not consistent with the diagnosis of ITP Giant platelets ( ? Congenital) RBC abnormalities ie schisotocytes ( ? TTP/HUS, DIC) Leukocytosis or Leukopenia (? MPD/MDS, Sepsis )
  • 74.
    Laboratory evaluation ofITP Not Much !!! No role for anti-platelet antibodies : many are highly sensitive but they lack specificity. Bone Marrow not very helpful as initial test Helpful in patient over 50 years and concerned about MDS If more than one cytopenia ( If not “isolated” TP) If patient has failed initial treatment and diagnosis is in question. If abnormal forms on peripheral smear ( nucleated RBCs, blasts) TSH and HIV test helpful, HCV serology Peripheral Smear helpful
  • 75.
    Management of ITPMost patients with ITP do not have clinically significant bleeding Risk of intracranial bleed 0.1 to 1% (This is an overestimate) Wet Purpura ie epistaxis, gingival bleeding is a risk factor for major bleeding Treatment is rarely indicated in patients with platelet counts > 50 x 10 9 /L . In asymptomatic patients with platelets counts greater then 20 K observation is reasonable option. ( Wide range of opinions on trigger platelet count at which Rx should be initiated) Patients with higher bleeding risk due to other factors may be chosen for earlier treatment.
  • 76.
    Timeline: introduction ofmodern day ITP drug treatment Splenectomy Corticosteroids IVIg Anti-D Rituximab TPO mimetics 1900 1920 1960 2000 1940 1980
  • 77.
    Cines DB, etal. N Engl J Med . 2002;346:995-1008. Pathophysiology of ITP – Intevention Areas
  • 78.
    Acute Pharmacologic Managementof ITP Steroids Prednisone 1mg/kg/day with taper over 2 to 3 months Solumedrol 30mg/kg/d x 7 days Decadron Antibodies IVIG 1 gram/kg/day x 2 days Anti-D 50 mcg/kg IV x1 dose in Rh+ patients Binds to D antigen on erythrocytes that now bind to Fc portions of macrophages saturating them  Opsonized erythrocytes compete with opsonized platelets for clearance by macrophages. IVIG vs. Anti-D : No definitive recommendations are made regarding the preferential use of one agent over another; both agents have adverse events and even fatal events associated with their use. Anti-D may be associated with a longer duration of response, whereas IV IgG may be preferred in patients with CVID. Consideration should be given to specific patient issues such as age, comorbidities, renal function, and hemoglobin level in choosing which agent to use
  • 79.
    This research wasoriginally published in Blood. Provan D, et al. Blood. 2009;[Epub ahead of print]. © the American Society of Hematology. Treatment Strategy Response Rate Time to Response Response Duration Cortico-steroids Prednisone: 0.5-2mg/kg x 2-4 weeks 70-80% respond initially Several days to several weeks Uncertain Me-Pred: 30mg/kg/d for 7 days ≤ 95% respond initially Few days 23% have > 50x10 9 /L at 39 months Immune Globulin IVIg: 0.4g/kg/d x 5d, 1g/kg/d x 1-2d ≥ 80% respond initially 1-2 days 3-4 weeks, months in some Anti-D: 50–75 µg/kg 50-80% (dose dependent) 1-5 days (dose dependent) Typically 3–4 weeks, months in some
  • 80.
    Management of ITPSelection of therapeutic option depends on : Urgency of platelet increase Tolerated toxicity by patient, eg, steroids Durability of effect Effect of thrombocytopenia and treatment on lifestyle and profession ( ? people involved in contact sports etc)
  • 81.
    Chronic Management ofITP If no durable response or in non-responders :- Splenectomy Immunize with Pneumovax, Hib, Meningococcal Chronic Anti-D therapy Does not put the disease in remission Rituximab Eltrombopag ( c-MPL agnonists, TPO receptor agonists) Observation
  • 82.
    Management of AdultITP: Rituximab Since previous consensus guidelines [1,2] were published, several studies on the use of anti-CD20 therapy have been published Approximately 60% of patients respond to rituximab treatment and approximately 45% have a CR [3] ; long-term responses (> 4 yrs) occur in 20% of patients The optimal dose of rituximab for ITP treatment is unknown and cases of multifocal leukoencephalopathy have been reported, particularly in patients who have been previously heavily immunosuppressed [4] The drug may be more effective if used earlier in the course of ITP ( may save splenectomy) 1. George JN, et al. Blood. 1996;88:3-40. 2. British Committee for Standards in Haematology General Haematology Task Force. Br J Haematol. 2003;120:574-596. 3. Arnold DM, et al. Ann Intern Med. 2007;146:25-33. 4. Provan D, et al. Blood. 2009;[Epub ahead of print].
  • 83.
    Management of AdultITP: Thrombopoietin Receptor Agonists Recent placebo-controlled randomized clinical trials have demonstrated the utility of 2 thrombopoietin receptor agonists, romiplostim and eltrombopag, in increasing platelet counts in patients refractory to first- or second-line therapy [1,2] These are maintenance agents that support a safe platelet count but have no effect on the underlying ITP pathophysiology However, the ability of these agents to increase platelet counts in refractory postsplenectomy patients, allowing for reduction or cessation of immunosuppressive agents, may make them the treatment of choice in this patient population. FDA approved for Chronic Refractory ITP. 1. Kuter DJ, et al. Lancet. 2008;371:395-403. 2. Bussel JB, et al. Lancet. 2009;373:641-648.
  • 84.
    Immune Thrombocytopenia: Newdefinitions Only patients who fail or relapse after splenectomy are considered as having refractory ITP . Why: Splenectomy can induce a long-term unmaintained remission in > 60% of patients . Quality of response CR: platelet count ≥ 100 x 10 9 /L and absence of bleeding R: platelet count ≥ 30 x 10 9 /L and at least 2-fold increase the baseline count and absence of bleeding NR: platelet count < 30 x 10 9 /L or less than 2-fold increase of baseline platelet count or bleeding Time to response: time from starting treatment to time of achievement of CR or R Loss of CR or R: platelet count < 100 x 10 9 /L or bleeding (from CR) or < 30 x 10 9 /L or less than 2-fold increase of baseline platelet count or bleeding (from R) Timing of assessment of response to ITP treatments Variable, depends on the type of treatment   Duration of response Measured from the achievement of CR or R to loss of CR or R Measured as the proportion of the cumulative time spent in CR or R during the period under examination as well as the total time observed from which the proportion is derived Corticosteroid-dependence The need for ongoing or repeated doses administration of corticosteroids for at least 2 months to maintain a platelet count at or > 30 x 10 9 /L and/or to avoid bleeding (patients with corticosteroid dependence are considered nonresponders) Rodeghiero F, et al. Blood. 2009;113:2386-2393.
  • 85.
    New Recommendations forITP Evaluation Bone marrow aspirate and biopsy with flow studies for patients older than 60 yrs [1] Why : In addition to excluding underlying myelodysplasia, flow studies may be helpful in identifying patients with an ITP secondary to CLL [1] Screen for HIV and HCV antibodies and assess H. pylori infection by urea breath or stool antigen test [1] Why : 4% to 30% of patients, depending on the background infection rates in the local population, may have ITP secondary to HIV, HCV, or H. pylori ; treatment of the primary chronic infection can result in an increase in the platelet count [2] 1. Provan D, et al. Blood. 2009;[Epub ahead of print]. 2. Cines DB, et al. Blood. 2009;113:6511-6521.
  • 86.
    New Recommendations forITP Evaluation Quantitative immunoglobulins [1] Why : This test should be done before patients receive intravenous immunoglobulins; this will reveal patients with CVID or IgA deficiency Direct antiglobulin test [1] Why : A positive DAT was reported in 22% of 205 patients with ITP [2] ; important if patient has anemia and/or a high reticulocyte count Blood group Rh(D) typing [1] Why : Important if treatment with anti-RhD immunoglobulin is being considered; should be done in conjunction with DAT, since a positive DAT may modify a decision to use anti-D therapy 1. Provan D, et al. Blood. 2009;[Epub ahead of print]. 2. Aledort LM, et al. Am J Hematol. 2004;76:204-213.
  • 87.
    Management of ITPin pregnancy Gestational Thrombocytopenia Platelet count >70K, occurs late in gestation, not associated with fetal thrombocytopenia, resolves after pregnancy ITP in pregnancy Treat if symptoms - intermittent IVIG, Prednisone, anti-D Epidural anesthesia appears safe if platelet count > 50K Monitoring for neonatal thrombocytopenia
  • 88.
  • 89.
    Practical Aspects forthe management of thrombocytopenia What is an adequate platelet count for procedures? “ Platelet transfusion trigger” Routine Dentistry >10K Dental Extraction >30K Regional Dental Block >30K Minor Surgery >50K Major Surgery>80K Epidural anesthesia is okay at platelet count 50K for patient with ITP The target platelet count for a bleeding patient is generally >50K Prophylactic platelet transfusions for platelets < 10K
  • 90.
    Prophylactic Versus TherapeuticPlatelet Transfusions Platelet transfusions for active bleeding much more common on surgical and cardiology services Prophylactic transfusions most common on hem/onc services 10 x 10 9 /L has become the standard clinical practice on hem/onc services
  • 91.
    Platelet transfusions SourcePlatelet concentrate (Random donor) Each donor unit should increase platelet count ~10,000 /µl Pheresis platelets (Single donor) ( Equal to 10 random donor plt concentrates) Storage Up to 5 days at room temperature
  • 92.
    Factors affecting apatients response to platelet transfusion Clinical situation: Fever, sepsis, splenomegaly, Bleeding, DIC Patient: alloimunization, underlying disease, drugs (IVIG, Ampho B) Length of time platelets stored ( shelf life) 15% of patients who require multiple transfusions become refractory (alloimmunization)
  • 93.
    Strategies to improveresponse to platelet transfusions Treat underlying condition Transfuse ABO identical platelets Transfuse platelets <48 hrs in storage Increase platelet dose Select compatible donor Cross match HLA match
  • 94.
    Platelet transfusions -complications Transfusion reactions Higher incidence than in RBC transfusions ( febrile non-hemolytic) Related to length of storage/leukocytes/RBC mismatch Bacterial contamination TRALI Post-Tranfusion Purpura
  • 95.
  • 96.
    Inherited Thrombocytopenias –Mechanisms Mutations in specific genes that play an important role during the development of platelets or the cells that make them, megakaryocytes. Many forms but all of them are rare  frequently mistaken by physicians for something else, usually, ITP.
  • 97.
    Inherited thrombocytopenias –Clinical Spectrum Ranges from severe bleeding diatheses recognized during early weeks of life to mild forms that may remain undetected even in adulthood Diagnosis is difficult Differentiating these ( especially the mild forms that are detected in adults) from acquired thrombocytopenias, especially ITP, is critical to avoid potentially harmful and unnecessary treatments ( immunosuppressive therapes, splenectomies)
  • 98.
    Inherited thrombocytopenias – Questions to help differentiate from immune/ acquired etiology Have the symptoms ( increased bleeding, bruising, petechiae) been present for a long time? Were platelet counts ever found to be low in the past? Are there any other family members who might have similar symptoms or thrombocytopenia? What has been the response to treatment? ( steroids, IVIG, Splenectomy) Response to platelet transfusions (if required)?
  • 99.
    Inherited Thrombocytopenias –Clues to diagnosis History : Chronicity of symptoms, age at presentation, family history, other co-existent symptoms ( hearing loss, immunodeficiency etc) Mean Platelet Volume ( N = 7-11fl) Peripheral smear - careful examination is warranted for Recognition of macro or micro thrombocytes will narrow the differential Presence of abnormal platelet granules Neutrophil inclusions ( Dohle bodies) Erythroid tear drop cells Hairy cell leukemia
  • 100.
  • 101.
    Inherited thrombocytopenias –Classification Classified depending on: the pattern of inheritance the size of the platelets whether or not there are other signs or symptoms that are part of a syndrome.
  • 102.
    Inherited Thrombocytopenias-Classification Based on pattern of inheritance: Autosomal Dominant  MYH9 related thrombocytopenias  Mediterranean macrothrombocytopenias  Velocardiofacial/DiGeorge Syndromes ( CATCH22)  Familial Platelet Disorder with Associated Myeloid Malignancy (FPDMM)  Autosomal dominant Thrombocytopenia with linkage to Human Chromosome2 ( THC2)  Paris Trousseau Thrombocytopenia  Gray Platelet Syndrome (GPS) Autosomal Recessive  Congenital AMegakaryocytic Thrombocytopenia (CAMT)  Thrombocytopenia with Absent Radii (TAR)  Bernard-Soulier Syndrome (BSS) X-linked Recessive  Wiskott-Aldrich Syndrome  X-linked Thrombocytopenia  GATA-1 Mutations ( X-linked Macrothrombocytopenia)
  • 103.
    Inherited Thrombocytopenias-Classification Basedon Platelet Size MPV < 7 fl ( Microthrombocytopenias)  Wiskott-Aldrich Syndrome  X-linked Thrombocytopenia MPV 7-11 fl (Normal)  FPDMM  THC2  CAMT  TAR MPV > 11 fl (Large, giant platelets - Macrothrombocytopenias)  MYH9 related thrombocytopenias  Mediterranean macrothrombocytopenias  Velocardiofacial/DiGeorge Syndromes ( CATCH22)  Paris Trousseau Thrombocytopenia  Gray Platelet Syndrome (GPS)  Bernard-Soulier Syndrome (BSS)  GATA-1 Mutations ( X-linked Macrothrombocytopenia)
  • 104.
    Mey-Hegglin Anomaly Firstrecognized in 1909 Diagnosis : Mild to moderate thrombocytopenia, platelet function is largely preserved Macrothrombocytopenia with an MPV>11 fl  frequent giant platelets on peripheral smear Dohle like cytoplasmic inclusions ( bluish granules in neutrophilic cytoplasm with wright-giemsa stain) in neutrophils Absence of co-existing clinical features like nephritis, sensori-neural hearing loss and cataracts MYH9 mutation on genetic testing
  • 105.
    May-Heglin Anomaly FechtnerSyndrome Sebastian Syndrome Epstein Syndrome
  • 106.
    Fechtner Syndrome Macrothrombocytopenia + Neutrophilic Inclusions + Additional features like Nephritis + Sensorineural hearing loss + Cataracts
  • 107.
    Epstein Syndrome Macrothrombocytopenia + Absent Neutrophilic Inclusions + Additional features like Nephritis + Sensorineural hearing loss but no cataracts
  • 108.
    MYH9 Related Disorders- Therapy Only mildly increased bleeding. Usually diagnosed during routine testing of an asymptomatic individual Does not usually require therapy. Educating the affected families (Inheritance pattern – AD) about this diagnosis is paramount to avoid potentially dangerous treatments for presumed ITP.
  • 109.
    Common in SouthernEurope Very mild macrothrombocytopenia ( 70-150k) Giant platelets but largely preserved platelet function Gene Mutation – GP1BB (vWf Receptor) Chromosomal location – short arm of chr12.
  • 110.
  • 111.
    CATCH22 Mild MacrothrombocytopeniasNo serious bleeding Characterized by cardiac abnormalities, parathyroid and thymus insufficiencies, cognitive impairment and facial dysmorphology Deletion of GP1BB gene ( Chromosome location 22q11) No need of therapy for these mild thrombocytopenias  however, recognize these conditions to avoid unnecessary therapies.
  • 112.
    Gene Mutation AML1Chromosome location 21q22
  • 113.
    FPDMM Autosomal DominantInheritance. Normal sized platelets Striking predisposition for hematological malignancy. Associated findings : AML, Myelodysplasia Therapy: In view of high incidence of myeloid leukemia at a young age (<60yrs), most patients will undergo stem cell transplantation  physician should be aware of FPDMM so that mild thrombocytopenia in a HLA matched sibling will not go unnoticed  this is important as the recepient may develop donor derived leukemia. If AML1 mutation is identified in a pt with FPD/AML  must screen all potential sibling donors even if platelet count is normal.
  • 114.
    ?Gene mutation –FLJ14813 Chromosome location 10p12
  • 115.
    THC2 Mild thrombocytopeniaNormal sized platelets Serious hemorrhage is rare Megakaryocytes are present in bone marrow but are small and have hypolobulated nuclei. ( unlike CAMT where MKs are absent.) No therapy is required. Again, recognition is important to avoid unnecessary therapies.
  • 116.
  • 117.
    Gray Platelet SyndromeAD inheritance pattern Macrothrombocytopenia Absent alpha granules in the platelets giving a gray color on wright-giemsa staining. Mild bleeding risk.
  • 118.
    Gene Mutation: MPLChromosome location: 1p34 Associated findings : severe marrow failure during 2 nd decade leading to pancytopenia
  • 119.
    CAMT Autosomal recessiveinheritance  both parents are carriers and may have normal platelet number and function. Severe Thrombocytopenia in the neonates ( <10,000/ul, MPV normal) secondary to ineffective megakaryopoeisis. Recognized during first few days of birth due to easy bleeding/bruising. Diagnosis : Severe Neonatal Thrombocytopenia Absence of MKs in the bone marrow Consider and rule out other differential diagnoses Diagnosis is confirmed by molecular analysis of the MPL gene. Most severe form of CAMT is due to complete absence of MPL receptor expression/function. Milder form is due to residual activity of a mutant MPL receptor
  • 120.
    CAMT Course : Severe CAMT is recognized during the first few days of birth due to easy bleeding/bruising. Milder form of CAMT is associated with low platelet number but sufficient to prevent severe bleeding. Mild form progresses to worsening thrombocytopenia by the first decade of life. Also, associated with reduced leucopoeisis and erythropoeisis  By the second decade of life, can progress to pancytopenia. When pancytopenia develops, CAMT may be confused with other marrow failure disorders ( Aplastic Anemia, Fanconi anemia and Dyskeratosis congenita) Therapy: Initial Rx : Platelet transfusion in neonates to prevent serious bleeding  Platelet increments and survival will be normal. Platelet transfusion should be reserved for symptomatic patients to prevent children from refractoriness because of alloimmunization. HSCT ( Hematopoeitic Stem Cell Transplantation)  should be considered as soon as the diagnosis is confirmed and the donor has been identified.
  • 121.
    Severe Neonatal ThrombocytopeniaDifferential diagnosis Congenital types CAMT  MKs (-) in bone marrow TAR  differentiating feature would be associated skeletal hypoplasia of the arms. MKs + in bone marrow WAS  presence of microthrombocytes. MKs + in bone marrow Acquired types Neonatal AlloImmune Thrombocytopenia (NAIT)  Resolves over several weeks as maternal antibodies are cleared ( in contrast to CAMT that progresses). MKs + in the bonemarrow. Maternal transfer of antiplatelet antibodies ( in cases of maternal ITP)
  • 122.
    Neonatal AlloImmune ThrombocytopeniaA platelet analogue of the hemolytic disorder of the newborn Mechanism : Induced by feto-maternal alloimmunization  Women who lack common platelet antigens may produce antibodies against paternal antigens that are expressed in the developing fetus NAIT typically associated with anti-HPA-1a antibodies generated in response to fetal HPA-1a platelets in a mother homozygos for HPA-1b phenotype. Affects 1 in 1500 pregnancies. 50% occur during first pregnancies ( unlike hemolytic disease of newborn) Can lead to severe thrombocytopenia of fetus/ newborn  can manifest with intracranial bleeding.
  • 123.
    Neonatal AlloImmune ThrombocytopeniaTherapy: Maternal platelet transfusions ( HPA-1a negative) to severely thrombocytopenic newborns. IVIG and steroids to the neonate if thrombocytopenia is life threatening and persistent. NAIT may persist for few weeks until all maternal antibodies have cleared.
  • 124.
    Thrombocytopenia with AbsentRadii Gene Mutation: unknown Chromosome Location: unknown Autosomal Recessive ( Parents usually completely healthy)
  • 125.
    TAR Severe thrombocytopeniaat birth  Platelet transfusions are frequently required in neonates Normal sized platelets. MKs present in bone marrow Associated with skeletal anomalies  shortened/ absent forearms due to defects in development of bilateral radii. Unlike CAMT, TAR will become less severe during first year of life. Most affected people will not need platelet transfusions after infancy.
  • 126.
    Autosomal Recessive Absence/decreased VWF receptor on platelets. Gene Mutation : GP1BA (alpha)/GP1BB Chromosome location: chr17
  • 127.
    Bernard-Soulier Syndrome Mildlifelong macrothrombocytopenia (MPV>11 fl) Bleeding tendency exceeds that predicted by degree of thrombocytopenia. Decreased expression of Vwf  deficient binding of vWF to the platelet membrane at sites of vascular injury, resulting in defective platelet adhesion  demonstrated by the lack of aggregation of platelets in response to ristocetin, an antibiotic that normally causes platelets to aggregate  deficient formation of the primary platelet plug and increased bleeding tendency. The cause of the thrombocytopenia is not definitely known. Questions remain! Why does a defect in VWF receptor cause macrothrombocytopenia? Does the VWF receptor play a role in thrombopoeisis?
  • 128.
    X-linked inheritance –common in males Microthrombocytopenia Gene Mutation: WAS Chromosome Location: Xp
  • 129.
    WAS Almost exclusivelyaffects male child Moderate to severe Microthrombocytopenia ( 5k to 50k) in the neonates ( very reduced MPV of 3.5-5.0 fl) Associated Findings : Eczema, Immunodeficiency and increased incidence of autoimmune diseases and lymphomas. Generally recognized in first year of life due to easy bleeding/bruising as well as recurrent bacterial infections. Diagnosis confirmed by genetic analysis of WAS Mechanisms by which WAS mutation leads to microthrombocytopenia not completely understood  MKs appear to be normal or increased in bonemarrow suggesting a block during thrombopoeisis. Also, both platelet size and number improve after splenectomy suggesting the role of RES in platelet removal ( although no anti platelet antibodies have been detected)
  • 130.
    WAS Therapy: Infections– MCC of death in WAS IVIG ( IV gamma globulin) and broad spectrum antibiotics – Initial therapies  have increased median life expectancy of severe WAS patients from 5yrs to 20yrs Thrombocytopenia can be severe and lead to life threatening bleeding  Acute Rx involves platelet transfusions  note that transfusions provide normal increments and survival of circulating platelets. Splenectomy can induce good increases in platelet counts. However, should reserved for severe cases where HSCT is not feasible. Because Splenectomy heavily increases risk of sepsis/infection in WAS. (In a series of 39 patients, surgery normalized platelet count and morphology in almost all cases, and the median survival of splenectomized subjects was 25 years, compared with less than 5 years in unsplenectomized ones. Ref: Mullen CA, Anderson KD, Blaese RM. Splenectomy and/or bone marrow transplantation in the management of the Wiskott-Aldrich syndrome: long-term follow-up of 62 cases. Blood. 1993;82: 2961-2966 ) HSCT is the only curative therapy which corrects both thrombocytopenia and immunodeficiency
  • 131.
    - Microthrombocytopenia absentfeatures of WAS Substantially lower risk of late complications such as lymphoma
  • 132.
    X-Linked Macrothrombocytopenia GeneMutation:GATA1 Chromosome location:Xp
  • 133.
    GATA1 Mutation X-linkedthrombocytopenia which is macrothrombocytopenia (MPV>11 fl) Exclusively affects male children Associated with mild to moderate dyserythropoeisis leading to mild anemia. Clinically, differentiated from WAS by presence of large platelets and absence of WAS related associations. Bone marrow is hypercellular with dysplastic features in MK cell and erythroid lines  but there is no progression to myelodysplasia/ leukemia/bonemarrow failure Thrombocytopenia is significant ( 10k to 40k) and can sometimes lead to severe bleeding. Confirmation is by sequencing of GATA1 gene
  • 134.
    GATA1 Mutation Therapy:Therapeutic platelet transfusions ( in scenarios of persistent bleeding and trauma/surgical challenge) HSCT is curative if anemia/thrombocytopenia becomes life-threatening. Future therapies may include repair of GATA1 mutation (gene therapy)
  • 135.
    Role of Splenectomyin Congenital thrombocytopenias Definitive role has been established in WAS ( in cases where HSCT is not feasible) Different opinions in other inherited thrombocytopenias (enclosed)

Editor's Notes

  • #4 Schematic representation of the origin and development of megakaryocytes : - The pluripotential stem cell produces a progenitor cell committed to megakaryocyte differentiation (Meg-CFC) which undergoes mitosis. The Meg-CFC eventually stops mitosis and enters endomitosis during which neither cytoplasm nor nucleus divides but DNA replication proceeds and gives rise to polyploid immature precursor cells. Upon completion of endomitosis, the immature progenitor cells become large, morphologically identifiable mature megakaryocytes  MEGAKARYOCYTE now sheds the platelets. ( non nuclear particles)
  • #6 Having said that, it should be remembered that a recent fall in platelet count by 50% even though with in normal range may precede severe clinical issues and must be actively monitored. One good example is HIT.
  • #14 Although pseudothrombocytopenia has no pathologic significance and will not increase thrombotic or hemorrhagic risk, failure to recognize it may potentially place a patient in jeopardy for inappropriate discontinuation of the needed drug, delay of therapies involving invasive procedures, or initiation of unnecessary therapies, such as platelet transfusion or use of steroids. 1 , 10 , 12 In the case reported here, olanzapine would not have been discontinued if an early distinction between pseudothrombocytopenia and drug-induced immune thrombocytopenia had been made.
  • #18 After abciximab bolus, abciximab PTCP occurs as soon as 2hrs after the bolus and starts normalizing from 3days after the dose. ( Note that even in EDTA blood pseudo-thrombocytopenia recovers 3 days after the bolus as abciximab effect on GP Iib/IIIA wears off). Peripheral smear shows clumps in EDTA blood. Note that in citrate blood, platelet count remains normal in Abciximab related PTCP ( in contrast to true abciximab TP, where platelet clumps are not seen in EDTA smear and platelet counts are low in citrate blood smear as well)
  • #20 WHEN REQUIRED PLATELETS COME OUT OF THE SPLEEN
  • #21 PNH can lead to drop in all cell lines if the mutation occurs in stem cells instead of red cell precursor alone. Cells deficient in CD55 and CD59 which protects them from complement mediated destruction
  • #25 DIC can be better called as consumption coagulopathy – there is activation of entire coagulation cascade with deposition of fibrin thrombi in the vessels that can lead to thromboses of small and mid size vessels  multi organ failure and also, MAHA. Consumption of clotting factors will cause prolonged PT, PTT and reduced fibrinogen. Consumption of plats cause thrombocytopenia that can lead to bleeding complications in some cases.
  • #33 Most cases of TTP occur because of congenital or acquired deficiency of ADAMT13 or secondary to acquired inhibitor to ADAMTS13 – an enzyme that normally cleaves large VWF multimers
  • #34 Figure 2. Proposed Relation among the Absence of ADAMTS 13 Activity in Vivo, Excessive Adhesion and Aggregation of Platelets, and Thrombotic Thrombocytopenic Purpura. In Panel A, in normal subjects, ADAMTS 13 (von Willebrand factor-cleaving metalloprotease) molecules attach to binding sites on endothelial-cell surfaces and cleave unusually large multimers of von Willebrand factor as they are secreted by stimulated endothelial cells. The smaller von Willebrand factor forms that circulate after cleavage do not induce the adhesion and aggregation of platelets during normal blood flow. ADAMTS 13 may use one of its thrombospondin-1-like domains or its arginine-glycine-aspartate (RGD) sequence to attach to the surface of endothelial cells. In Panel B, absent or severely reduced activity of ADAMTS 13 in patients with thrombotic thrombocytopenic purpura prevents timely cleavage of unusually large multimers of von Willebrand factor as they are secreted by endothelial cells. The uncleaved multimers induce the adhesion and aggregation of platelets in flowing blood. A congenital deficiency of ADAMTS 13 activity, or an acquired defect of ADAMTS 13 (such as that caused by autoantibodies or by a change in the production or survival of the protein) can lead to thrombotic thrombocytopenic purpura. Interference with the attachment of ADAMTS 13 to endothelial cells in vivo (for example, as a result of ADAMTS 13-receptor blockade by other types of autoantibodies) may also cause thrombotic thrombocytopenic purpura in patients with normal ADAMTS 13 activity in plasma.
  • #36 Steroids must be used as adjuncts in patients whose platelet count does not increase within several days of treatment with plasma exchange or in those who TP recurs when plasmapheresis is being tapered or discontinued.
  • #38 Further evidence suggesting that splenomegaly and portal hypertension are not the only factors to explain thrombocytopenia in chronic liver disease is the finding that thrombocytopenia has been shown to endure after surgical portal decompression with transjugular intrahepatic portosystemic shunt (TIPS) in cirrhotic patients.
  • #39 Several studies have found increased prevalence of HCV with out overt liver disease in chronic ITP patients between 10 to 30%. Hence, even in the absence of hepatitis or overt liver disease, HCV serology should always be obtained in evaluating the patients with ITP before labelling them as idiopathic ITP . This could turn out to be HCV-related ITP.
  • #40 Low baseline platelets &lt; 70k lead to postponement of therapy. Even if the platelets were higher prior to initiation of therapy, they may fall during therapy requiring dose adjustments and hence, less optimal treatment  Postponement of treatment due to thrombocytopenia can result in diminished sustained virologic response because of the potential for further progression of liver disease in the absence of treatment. Dose modifications may lower the chances of sustained virological response
  • #41 Platelet transfusions are not used just because treatment can be started or treatment can be continued with interruption. Such practice does not help because transfused platelets will not produce a proper response required and also, their life span is not enough to continue prolonged HCV therapy. Multiple platelet transfusions can cause platelet refractoriness ( alloimmunization) and also, other transfusion related complications.
  • #42 The study enrolled 74 patients with evidence of liver damage, which was characterized as a liver biopsy indicating chronic hepatitis and cirrhosis or radiographic evidence of cirrhosis or nonbleeding gastroesophageal varices and compensated liver disease (Child-Pugh A). Inclusion criteria included presence of thrombocytopenia at platelet counts of 20,000-70,000 cells/µL, whereas patients were excluded for a history of thrombosis, HIV infection, or active hepatitis B virus infection. Patients received 30, 50, or 75 mg/day eltrombopag or placebo daily for 4 weeks. After 4 weeks, patients were evaluated before initiation of the antiviral treatment phase of the trial. Criteria for initiation of antiviral therapy with peginterferon and ribavirin included platelet counts of &gt; 70,000 cells/µL for patients receiving peginterferon alfa-2a or &gt; 100,000 cells/µL for individuals receiving peginterferon alfa-2b. Patients who met these criteria received antiviral therapy plus eltrombopag for an additional 12 weeks. Results from the initial 4 weeks of this study are presented in the Table. The initial eltrombopag pretreatment resulted in significant increases in platelet counts at Week 4 in all treatment groups. The number of patients able to initiate antiviral treatment ranged from 71% to 91% with eltrombopag vs 22% in the control arm. In total, 65% of patients in the 75-mg dose group, 53% of patients in the 50-mg dosing group, and 36% of patients in the 30-mg dosing group were able to complete the 12-week antiviral therapy phase compared with 6% of placebo-treated patients ( P &lt; .001, P not provided, and P = .003, respectively).
  • #47 Heparin-Induced Thrombocytopenia (HIT): An Overview Key Point: Broad overview of what the presentation will discuss in detail. The anticoagulant heparin is used in more than 12 million patients per year 1 for treating and preventing thromboembolic disorders in medical and surgical patients. 2 Its importance as an anticoagulant has been well established by its effectiveness, rapid onset of action, ease of laboratory monitoring, and cost. Heparin can cause 2 forms of thrombocytopenia. This slide kit is primarily concerned with immune-mediated thrombocytopenia, or HIT, which occurs in up to 1% to 3% of patients receiving unfractionated heparin and in up to 2% of patients undergoing orthopedic surgery receiving low molecular weight heparin (LMWH). 2 HIT is a serious condition with about 50% of patients at risk of life- or limb-threatening thromboses if they remain untreated. 3 All forms of heparin should be discontinued in the presence of HIT. 4,5 An alternate anticoagulant should be strongly considered to treat HIT as well as the underlying condition. The Food and Drug Administration (FDA) has approved 2 anticoagulants for use in patients with HIT, lepirudin and argatroban. 1. Fahey VA. Heparin-induced thrombocytopenia. J Vasc Nurs . 1995;13(4):112-116. 2. Warkentin TE, Levine MN, Hirsh J, et al. Heparin-induced thrombocytopenia in patients treated with low- molecular-weight heparin or unfractionated heparin. N Engl J Med. 1995;332(20):1330-1335. 3. Warkentin TE, Kelton JG. A 14-year study of heparin-induced thrombocytopenia. Am J Med. 1996;101(5):502-507. 4. Warkentin TE, Barkin RL. Newer strategies for the treatment of heparin- induced thrombocytopenia. Pharmacotherapy. 1999;19(2):181-195. 5. Chong BH. Heparin-induced thrombocytopenia. Br J Haematol. 1995;89(3):431-439.
  • #48 HIT is an immune disease resulting in an extremely pro thrombotic state. HIT occurs due to presence of IgG antibodies that recognize heparin-PF4 complexes. Initially, Platelet activation leads to release of platelet factor 4 (PF4) and microparticles. The heparin that is administered forms complexes with PF4  the IgG antibodies that are already present ( from prior sensitization or from de novo formation during this exposure) now react with PF4-heparin complexes to form circulating immune complexes (PF4-heparin-IgG) which then bind to Fc receptors on the platelets thereby, activating the platelets further  leading to further release of microparticles and more PF4 and activation of the coagulation pathways through platelet-derived microparticles thus setting off prothrombotic state
  • #49 HIT is classified as two types HIT Type 1 which is non immune mild TP ( &gt;100k) associated with heparin that occurs with in first five days of heparin. This is not associated with thrombosis or antibody formation and platelet count recovers despite continuing Heparin. This is probably secondary to tiny platelet aggregates.
  • #51 30 – 50% of patients presenting with HIT experience a thrombotic event within 30 days. Morbidity and mortality are significant in patients with HIT despite discontinuation of heparin therapy. Death can occur in 30% cases if untreated.
  • #52 Venous complications were observed more frequently than arterial events in a ratio of approximately 4:1. 3 The early symptoms of venous thrombosis may not be obvious. The most common venous thrombotic complication was deep vein thrombosis, which was responsible for more than 60% of thrombotic events in one study, followed by pulmonary embolism, which was responsible for 25% of all events. 3, 11 Arterial events are generally evidenced by overt clinical symptoms and may be life or limb threatening. In a single patient, significant clot extensions or multiple sites of thrombosis may occur. 5, 15
  • #53 HIT can be of 3 types based on the time of onset. Early onset HIT can occur with in 5 days of heparin re-exposure and is due to pre-existing circulating anti-PF4 antibodies due to prior recent exposure to heparin in the past 3 months ( the antibodies can exist up to 90 days after initial exposure to heparin). Typical HIT occurs between 5 to 14 days after exposure to heparin. Some patients may have delayed onset HIT which can start as late as 9 days after exposure to heparin and may occur until 40 days after exposure. HIT can occur up until 30 days even after stopping heparin due to circulating antibodies.
  • #54 HIT is a clinical diagnosis. Pre-test probabilty must be estimated by using 4T score. Most laboratory tests have long turnaround time and hence, therapy must not be delayed if pretest is high or intermediate.
  • #56 While these tests are helpful in confirming HIT, the diagnosis remains a clinical one since there is wide variability of, access to, and turnaround time for these assays. There is wide variability in sensitivity and specificity. If SRA is only 95% sensitive, a negative SRA will nor rule out HIT if clinical
  • #58 Direct Thrombin inhibitors : argatroban, lepirudin, bivalirudin. Fondaparinux : Is a INDIRECT inhibitor of Factor Xa. ( does not belong to class of direct thrombin inhibitors) The combination of once-daily subcutaneous administration, predictability of response, and minimal adverse effects makes fondaparinux an appealing alternative anticoagulant for patients with HIT. Although clinical experience with this agent in the setting of HIT is limited, the successful use of fondaparinux in patients with HIT has been reported. To date, one multicenter, blinded, comparative, in vitro study has demon-strated a lack of cross-reactivity between fondaparinux and HIT antibodies. At this time, use of fondaparinux in the setting of HIT is not recommended by the American College of Chest Physicians. Rather, the direct thrombin inhibitors lepirudin and argatroban are recommended as first-line agents. Nevertheless, limited clinical experience suggests that fondaparinux may be an alternative for anticoagulation in patients with HIT. Large, in vivo comparison trials must be performed before fondaparinux can become a standard treatment option in the setting of HIT
  • #60 Dosing for Argatroban is relatively straightforward. 17 The initial dose of Argatroban is 2  g/kg/min; the mean dose during clinical studies was 2  g/kg/min, indicating dose titration for many patients may not be necessary to achieve adequate anticoagulation. No dosage adjustment is necessary in patients with renal impairment. For patients with hepatic impairment, the dose should be reduced to 0.5  g/kg/min.
  • #62 If argatroban infusion rate is &gt;2mcg/kg/min  reduce dose to &lt;2mcg/kg/min first and then, measure inr after 4 hours – now, if INR &gt; 4, can stop argatroban
  • #68 Why less than 100k : A prospective cohort of healthy subjects with platelet counts between 100 and 150 x 10 9 /L had a 10-yr probability of developing persistent platelets counts &lt; 100 x 10 9 /L of only 6.9% . Defined in 3 stages: newly diagnosed (&lt; 3 mos), persistent (3-12 mos), and chronic (&gt; 12 mos) [1] Why : Defining patients as acute vs chronic is a retrospective determination; the new stage definitions will allow for better selection of patients for clinical trials
  • #69 In the summer of 1950, two hematology fellows working at the Barnes Hospital in St. Louis — William J. Harrington and James W. Hollingsworth — hatched a plan to test their idea that the cause of the idiopathic thrombocytopenic purpura (ITP) in a woman under their care was a factor in the blood that destroyed platelets. They decided that of the two fellows, the one whose blood type matched the patient&apos;s would receive 500 ml of her blood. In a flip of the genetic coin, Harrington matched. Within a few hours after receiving the woman&apos;s blood, Harrington&apos;s platelet count dropped.
  • #71 ALPS, autoimmune lymphoproliferative syndrome; APS, antiphospholipid syndrome; CLL, chronic lymphocytic leukemia; CVID, common variable immune deficiency; Hep C, hepatitis C virus; H. pylori, Helicobacter pylori; ITP, immune thrombocytopenia; SLE, systemic lupus erythematosus.   Immune thrombocytopenia can occur in conjunction with a number of other disorders. In this figure taken from a paper by Cines and colleagues published in Blood in 2009, primary ITP encompasses about 80% of all ITP; the other disorders listed in the breakout are all causes of secondary ITP. These include systemic lupus erythematosus (5%), antiphospholipid syndrome (2%), common variable immunodeficiency, and chronic lymphocytic leukemia, for example. These are all disorders that are generally immune related and can be associated with an ITP-like syndrome or secondary ITP.
  • #72 Some infectious causes of ITP are well recognized such as HIV related ITP, HCV and H.pylori. Rx for HIV-TP is HAART and other modalities of ITP rx. Rx HCV-TP discussed earlier. If H.Pylori antigen detected, may try h.pylori eradication therapy first before using more toxic therapies. CAG A strains of H.Pylori are implicated in ITP.
  • #78 B- and T-cell responses in ITP — B cell autoimmune IgG responses in ITP appear to be driven by CD4+ helper T cells reacting to platelet membrane glycoprotein epitopes - possibly involving CD40:CD40L co-stimulation processes , with splenic macrophages as the major antigen-presenting cells.
  • #81 In a bleeding patient with ITP, give plt transfusion after IVIG . Steroid added as well. When urgent increase needed always IVIG vs. Anti D