Hematology-High Yield Topics
For Internal Medicine Boards and Hematology Boards
Target Audience: Internal Medicine Residents, Family Medicine Residents, Hematology Fellows,
Medical Students, IM Board Recertification exam aspirants
Archer Internal Medicine Board Review
www.CcsWorkshop.com
History of the platelet
 Studies by Osler, Hayam, and Bizzozero identified
small particles in the blood, these were believed to
be either bacteria or red cell fragments
 James Homer Wright “Wright Stain” identified
platelets as a distinct hematopoetic component
arising from megakaryocytes
 William Duke in 1910 described 3 patients with low
platelet counts that had hemorrhagic disease
 Duke created a venous shunt from a normal donor
to a thrombocytopenic recipient and showed that
the platelet count could rise and the bleeding
would cease
Thrombopoiesis
Thrombopoietin (TPO)
 TPO is the primary regulatory protein in the production of platelets.
 Has a major effect on almost all steps of megakaryocyte differentiation and
maturation.
 Promotes growth of Meg-CFC
 Increases the rate of endomitosis
 Stimulates megakaryocyte maturation
 TPO gene is on chromosome 3.
 TPO is expressed in the liver, kidneys, and smooth muscle cells. Produced at a
constant rate by the liver.
 Has a plasma half life of 30 hours.
 In circulation, most of it removed by thrombopoietin (c-mpl) receptors on
platelets and possibly some by bone marrow megakaryocytes. The residual
thrombopoietin (50 to 150 pg/mL) provides basal stimulation of megakaryocytes
and a basal rate of platelet production.
 Hence, when platelet mass falls there is more TPO in the blood ( less clearance)
stimulating megakaryocytes. When platelet mass increases, TPO falls due to
increased clearance and hence, decreased megakaryopoiesis.
Thrombocytopenia
 Defined as a subnormal amount of platelets in the circulating blood.
 Normal platelet count : 150,000 to 450,000/microL. Thrombocytopenia is
defined as a platelet count less than 150,000/microL (150 x 10(9)/L).
 Not usually clinically detected until the platelet count falls to levels below
100,000/microL . However, a recent fall in the platelet count by 50%, while still
in the normal range, may herald severe clinical problems  requires active
follow-up. eg: HIT .
 1/3 of platelets are sequestered in the spleen.
 Half life of a platelet is 9 to 10 days.
 Platelet production is the function of the multinucleated megakaryocyte.
 15 to 45 K platelets are produced daily to maintain steady state
 Pathophysiology is less well defined
Practical Importance of Thrombocytopenia
 1/3 of all Hematology Consults in a General Hospital
are for thrombocytopenia.
 5 to 10% of all hospital patients are thrombocytopenic
in the ICU the number increases to 35%.
 Thrombocytopenic patients in the hospital suffer a
twofold greater mortality rate than those who are not
Clinical Features - Thrombocytopenia
 Most conditions are associated with bleeding ( ITP, Drug
induced TP, Most other TPs)
 Some conditions associated with thromboses
 Thrombotic Thrombocytopenia Purpura (TTP)
 Disseminated Intravascular Coagulation (DIC)
 Heparin Induced Thrombocytopenia ( HIT)
 Sites of bleeding in thrombocytopenia :
 Skin and mucous membranes : Petechiae, Ecchymosis, Hemorrhagic
vesicles, Gingival bleeding and epistaxis.
 Menorrhagia
 Gastrointestinal bleeding
 Intracranial bleeding
 Bleeding in to joints and soft tissues are manifestation of
coagulation factor deficiencies rather than thrombocytopenia.
Stratifying levels of thrombocytopenia
 The primary reason for evaluating
thrombocytopenia is to assess the risk of bleeding
and assess the presence of underlying disorders
(TTP, HIT etc.)
 < 20 K increased risk of bleeding
 20K to 50 K rarely have increased risk of spontaneous
bleeding but increased risk of bleeding from procedures
 50K to 100K no increased risk of spontaneous bleeding
and can undergo most procedures
Relation of bleeding risk and platelet count
 Bleeding time increases in a linear fashion below a
platelet count of 100 K.
 In leukemic children major forms of hemorrhage
occurred at platelet counts <10 K.
 Slichter et al tagged RBC and found fecal blood loss
 10 K - 5 cc/day
 5 to 10 K - 10 cc/day
 < 5 K - 50 cc/day
Approach to the
thrombocytopenic patient
 History
 Is the patient bleeding?
 Do the sites of bleeding suggest a platelet defect?
 Duration - Is thrombocytopenia – acute or chronic?
 Is there a history of medications, alcohol use, or recent transfusion ( post-
transfusion purpura)?
 Are there symptoms of a secondary illness? (neoplasm, infection,
autoimmune disease)
 Is there a family history of thrombocytopenia?
 Heparin exposure – recent or with in past three months (HIT)?
 Are there risk factors for HIV infection?
 History of liver disease?
 Assess the number of platelets
 CBC with peripheral smear :-
 Any clumps? Schistocytes? Nucleated RBCs? Any features of nutrional
deficiencies (hypersegmented neutrophils), MDS (hyposegmented neutrophils),
Myelofibrosis ( tear drop cells) ?
 Isolated thrombocytopenia or any other cell line affected?
 Lab Tests : PT and PTT, autoimmune work-up if suspected, HIV if risk
factors, LFTs, Nutrient work up ( B12, Folate)
Thrombocytopenia
 Several Causes.
 Can be broadly classified in to five categories based on
the mechanism behind reduced platelet count:
 Pseudo or Spurious Thrombocytopenia
 Dilutional Thrombocytopenia
 Decreased Platelet Production
 Increased Platelet Destruction
 Altered Distribution of Platelets ( Increased Sequestration)
 Most common mechanisms are decreased platelet
production and increased destruction.
Pseudo Thrombocytopenia
 Pseudo Thrombocytopenia : An artifactual clumping of
plateletsin vitro without clinical significance
 The first step in evaluating any thrombocytopenia is to
confirm if it is “true”.
 Evaluate Peripheral smear for platelet clumps which can
lead to pseudo-thrombocytopenia.
 Failure to recognize this phenomenon may lead to
misdiagnosis and subsequent mismanagement of patients
 Various Scenarios :
 Inadequate anticoagulation of the blood sample : Results in
thrombin induced platelet clumps, counted as leucocytes by
automated cell counters. Hence, spurious thrombocytopenia.
Rarely, WBC count is increased by more than 10%.
 EDTA dependant platelet auto-antibodies : “Naturally”
occuring platelet antibodies lead to platelet clumps in the
presence of EDTA ( in-vitro) .
 Abciximab Related Pseudo-Thrombocytopenia.
EDTA Dependant Aggluttinins
 Present in 0.1% of normal population.
 Unlike true thrombocytopenias, EDTA-PTCP is
associated with a normal mean platelet volume
 These patients have naturally occurring platelet
antibodies directed towards a normally “hidden”
epitope on platelet membrane GP IIb/IIIa complex 
The glycoprotein IIb/IIIa complex must dissociate to
exposethis epitope (called the "cryptantigen" or
"neoantigen,“) for antibody binding to occur.
 EDTA, Drugs such as Abciximab and Mexiletene , ph
and temperature can induce dissociation of GP IIb/IIIa
and may expose this cryptantigen causing the antibody
to bind and resulting in aggluttination ( clumps).
EDTA Dependant Aggluttinins
 EDTA – PTCP is diagnosed by examination of peripheral
smear for platelet clumping.
 If platelet clumping seen, repeat the count in non-EDTA
anticoagulant ( heparin or sodium citrate).
 If citrate is used, remember to correct the platelet count for
dilution caused by amount of citrate solution used. No such
correction required for heparin.
 Although pseudothrombocytopenia has no pathologic
significanceand will not increase thrombotic or
hemorrhagic risk, failureto recognize it may potentially
place a patient in jeopardyfor inappropriate
discontinuation of the needed drug (eg: abciximab), delay
of therapies involving invasive procedures, or initiation of
unnecessary therapies, such as platelet transfusion or use of
steroids.1
Pseudo-Thrombocytopenia
Platelet clumps seen in EDTA anti-coagulated
blood sample in a patient with EDTA
Dependant platelet aggluttinins
No platelet clumps seen and platelet count
normal in the blood sample from the same
patient anti-coagulated with Sodium Citrate
Abciximab - Pseudothrombocytopenia
 Thrombocytopenia is a well-recognized adverse effect of abciximab therapy.
Two mechanisms :
 Immune mediated thrombocytopenia ( onset with in minutes to hours of
administration rather than days to weeks seen with other drug induced
thrombocytopenias).
 Pseudothrombocytopenia, of no clinical importance. ( 1/3rd of
thrombocytopenia” found in patients receiving abciximab is due to
pseudothrombocytopenia)
 Abciximab-PTCP is due to the presence of EDTAas an anticoagulant in the
blood-drawing tube. EDTA exposes the cryptantigen in GPIIb/IIIa complex to
aggluttination with naturally occuring antibodies. The mechanism of
abciximab-associated, EDTA-induced plateletclumping is not clear.
 Differentiation of Abciximab-PTCP from True Abciximab-TP and from HIT is
extremely crucial. Diagnosis of PTCP will avoid discontinuation of the
abciximab infusion and initiation of unnecessary therapies, such as platelet
transfusions or anticoagulants (as in HIT).
 When thrombocytopeniaoccurs after abciximab treatment, first review peripheral
blood film for clumping or obtain platelet count in citrated blood.
Abciximab – PTCP
Time course of automated platelet counts from citrated blood and EDTA blood.
Dilutional Thrombocytopenia
 Large quantities of PRBC transfusion to treat massive
hemmorhage can lead to dilutional TP.
 Due to absence of viable platelets in packed RBCs.
 Usual platelet counts in patients receiving 15 to 20
units of PRBCs in 24 hours is 50k to 100k/µl.
 Can be prevented by giving platelet concentrates to
patients receiving more than 20 units PRBCs in a 24
hour period.
Distributional Thrombocytopenia
 Also, referred to as Appartent Thrombocytopenia since
total platelet mass is normal.
 About 1/3rd of circulating platelets are normally
sequestrated in spleen.
 Splenic sequestration of platelets may increase to 90%
in splenomegaly ( hypersplenism) secondary to portal
hypertension or other causes . May be associated with
leucopenia and/ or anemia.
 Circulating platelet count decreases but total platelet
mass and overall platelet survival remain normal.
 Hence, these patients can have significant “apparent”
thrombocytopenia but rarely have clinical bleeding (
since total available platelet mass is normal)
Decreased Platelet Production
 Associated with decreased or ineffective
megakaryopoiesis and thrombopoiesis
 Marrow Damage:
 Aplastic Anemia
 Fanconi’s anemia ( defect in DNA repair genes)
 Malignancy ( with/ with out Myelophthisis ).
 Congenital defects ( Congenital thrombocytopenias)
 Paroxysmal Nocturnal Hemoglobinuria
 Viral infections: rubella, CMV, EBV,HIV, Hep-C
 Ineffective production :
 Nutritional Deficiencies: B12, Folate, Severe Fe deficiency
 Drugs: thiazides, estrogen, chemotherapy , linezolid
 Toxins: alcohol, cocaine
Increased Destruction
 Most common cause of thrombocytopenia.
 Leads to stimulation of thrombopoiesis and thus
an increase in the number, size and rate of
maturation of the precursor megakaryocytes.
 Increased consumption with intravascular thrombi
or damaged endothelial surfaces
Increased Destruction (Cont.)
Non-Immune Immune
 Microangiopathy
 DIC
 TTP
 HELLP
 Hemangiomas
 VonWillebrand
Type2b disease
(increased
aggregation)
 ITP
 HIT
 SLE, AIDS
 Drug Induced
Immune TP: heparin,
gold, quinidine,
furosemide,
cephalosporins, pcn,
H2 blockers
Discussion Topics:
TTP
DIC
Disseminated Intravascular Coagulation (DIC)
Mechanism
Systemic activation
of coagulation
Intravascular
deposition of fibrin
Depletion of platelets
and coagulation factors
BleedingThrombosis of small
and midsize vessels
with organ failure
Common clinical conditions
associated with DIC
 Sepsis
 Trauma
 Head injury
 Fat embolism
 Malignancy
 Obstetrical complications
 Amniotic fluid embolism
 Abruptio placentae
 Vascular disorders
 Reaction to toxin (e.g. snake
venom, drugs)
 Immunologic disorders
 Severe allergic reaction
 Transplant rejection
 Fulminant Hepatitis
DIC
Treatment approaches
 Treatment of underlying disorder
 Anticoagulation with heparin – when thromboses
are an issue
 Platelet transfusion – if, bleeding
 Fresh frozen plasma – if, bleeding
TTP Thrombotic Thrombocytopenia Purpura
 Characterized my microangiopathic hemolytic anemia
and profound intravascular platelet clumping.
 The disease was first reported in 1923 by Dr. Eli
Moschowitz at Beth Israel in NYC
 16 year old girl who presented with anemia, petechia
ultimate coma and death
 Terminal arterioles and capillaries were occluded by
hyaline thrombi mostly composed of platelets
Lazarchick, J. ASH Image Bank 2001;2001:100174
Figure 1. Peripheral smear showing microangiopathic hemolytic features with numerous RBC
fragments (helmet cells/schistocytes)
Copyright ©2001 American Society of Hematology. Copyright restrictions may apply.
Lazarchick, J. ASH Image Bank 2001;2001:100174
Figure 2. Peripheral smear showing RBC fragmentation consistent with a microangiopathic
hemolytic process
Clinical and Lab Manifestations of TTP
 Severe thrombocytopenia and hemolytic anemia
with one or several fragmented red cells in high
power oil >1% total number of RBC
 Neurologic Manifestations, abdominal pain
 Fever and Renal Abnormalities occur in the
minority of patients
 Thrombocytopenia range from <30 K to 75 to 100 K
 Elevated LDH
 Initially coagulation studies are normal
Type of TTP
 Familial chronic relapsing
 Acquired idiopathic
 HIV related TTP
 Pregnancy can trigger both acquired and congenital TTP
 Drug related
 Ticlopidine, Clopidogrel
 Cancers: Adenocarcinoma of breast, GI tract and Proastate
 Thrombotic Angiopathies that resemble TTP
 Mitomycin, cyclosporine, tacrolimus, quinine
 Chemotherapy, gemcitabine, TBI
 BM and Solid organ transplant
Moake J. N Engl J Med 2002;347:589-600
Proposed Relation among the Absence of ADAMTS 13 Activity in Vivo, Excessive Adhesion and
Aggregation of Platelets, and Thrombotic Thrombocytopenic Purpura
Differential Diagnosis of TTP
 Other conditions causing MAHA :
 Hemolytic-uremic syndrome
 DIC
 Malignant Hypertension
 Pregnancy
 Preeclampsia/eclampsia
 HELLP
 Severe Vasculitis
 Evans Syndrome ( Direct Coomb+, No Schistocytes).
 Macroangiopathic Hemolysis : Malfunctioning prosthetic
cardiac valves
Treatment of TTP
 Urgent plasmapheresis ( plasma exchange)
 Plasma Infusion : Infusion of FFP 30 cc/kg/day until ready for
plasma exchange ( serves as emergency initial measure in those who
do not have immediate access to Plasma exchange)
 Daily plasma exchange with either FFP or cryopoor FFP (45 to 55
cc/kg/day)
 Steroids (Prednisone 1 mg/kg/day) ( may help by suppressing
anti-ADAMTS13 antibodies).
 Red Blood Cell transfusions if needed
 Platelet transfusion may worsen the disease and are avoided.
Used only if absolutely necessary ( in very rare cases, where
severe bleeding is encountered)
 Refractory TTP : In patients with worsening disease despite daily
plasma exchange + Steroids  Increase plasmpheresis to twice
daily exchange.
 Poorly responsive or Recurrent TTP  Add Immunosuppressive
therapy -Add Rituximab or Cyclosporine
•Etiology
•Impact on patient management
Etiology - Chronic HCV-TP
 Pathophysiology of HCV-TP is complex and involves the
interaction of multiple factors
 Hepatic Fibrosis and Cirrhosis
 Patients with advanced fibrosis had significantly lower mean platelet
counts compared with those having stage 0-2 fibrosis.
 Portal Hypertension and Splenomegaly
 Splenomegaly and platelet sequestration, or hypersplenism, is seen in 11%
to 55% of patients with cirrhosis and portal hypertension. Hence, these
are not the only factors to explain TP in chronic liver disease.
 Bone Marrow Suppression by HCV
 Immune Dysfunction
 HCV can bind and alter the confirmation of glycoproteins inducing the
formation autoantibodies and there by, immune mediated platelet
clearance. High titers of platelet-associated immunoglobulin G (PAIgG)
(immune complex–coated platelets) found in 88% of patients with
chronic HCV.
 Decreased Thrombopoetin levels or activity.
 Treatment related Thrombocytopenia. Peg-Interferon ( Inteferon-
TP is due to BM suppression and decreased secretion of TPO)
Prevalence of HCV in Chronic ITP
Without Overt Liver Disease
1. Pivetti S, et al. Br J Haematol. 1996;95:204-211. 2. Pawlotsky JM, et al. J Hepatol. 1995;23:635-639.
3. Sakuraya M, et al. Eur J. Haematol. 2002;68:49-53. 4. García-Suárez J, et al. Br J Haematol.
2000;110:98-103. 5. Rajan SK, et al. Br J Haematol. 2005;129:818-824.
Study N Platelet Threshold,
x 109/L
HCV Positive, n
(%)
Pivetti et al[1] 33 < 100 12 (36)
Pawlotsky et al[2] 139 < 25 14 (10)
Sakuraya et al[3] 79 < 10 11 (14)
García-Suárez et al[4] 51 < 100 13 (23)
Rajan et al[5] 250 < 100 76 (30)
HCV-TP – Impact on HCV Treatment
 Greatest challenge of HCV-TP is difficulty in starting or
maintaining HCV therapy.
 Treatment with Peg-inteferon may reduce platelet counts by 33%
 Peg-Inteferon :
 Initiation of therapy : Can not be initiated if platelet count < 50k/µl
. For standard dose of PEG-Interferon 0.5mcg/kg platelet count
must be greater than 70k/µl . Patients with platelet count 50 –
70k/µl can start at 0.25mcg/kg .
 Dose must be reduced if platelet count falls below 50k/µl
 Permanently discontinued if platelets fall below 25k/µl.
 Postponement of treatment due to thrombocytopenia can result
in diminished sustained virologic response because of the
potential for further progression of liver disease in the absence of
treatment. Dose modifications may lower the chances of
sustained virological response.
HCV-TP - Management
 Platelet transfusions as indicated per routine trigger levels (
Prophylactic transfusion if less than 10k, prior to procedures or if
bleeding and if less than 50k). Platelet transfusions are not
indicated prior to starting HCV therapy or during therapy unless
patients have active bleeding with platelet count <50k.
 Splenectomy and splenic artery embolization :
 have been used to correct TP in patients with hypersplenism,
producing significant and persistent increases in platelet counts.
 Used prophylactically prior to anti-HCV therapy, this can improve
thrombocytopenia in patients with HCV-induced cirrhosis and
hypersplenism, thus facilitating the use of antiviral therapy.
 Risks: peri-op mortality, infections and DIC
HCV-TP - Management
 Role of TPO receptor agonists: A double blind, phase II trial evaluated whether
eltrombopag could facilitate initiation and maintenance of antiviral therapy.
 Median platelet counts at baseline and week4 in HCV patients treated with
Eltrombopag.
 Peg-interferon + ribavirin therapy initiated if platelet counts increased to
greater than 70k. number of patients able to initiate antiviral treatment was
80% with eltrombopag vs 22% in the control arm. In total, 65% of patients in
the 75-mg dose group, 53% of patients in the 50-mg dosing group, and 36% of
patients in the 30-mg dosing group were able to complete the 12-week antiviral
therapy phase compared with 6% of placebo-treated patients
 Not FDA approved yet. Pivotal phase III studies are underway to further
examine eltrombopag in chronic hepatitis C patients with thrombocytopenia.
Drug Induced Thrombocytopenias
 Classified as :
 Direct Toxicity
 BM Suppression
 Immune mediated destruction
 Pro-hemorrhagic : all other drugs
 Pro-Thrombotic : Heparin
Discussion:
HIT
ITP
POST-TRANSFUSION PURPURA
Types of Autoimmune thrombocytopenia
Neonatal Thrombocytopenia
Isoimmune, Associated with Maternal ITP, Drug-Related
Drug Induced
Quinidine, Quinine, Sulfa, Gold Salts, Abx (Vanco etc),
Heparin
Lymphoma
Autoimmune disorders
Thyroiditis, SLE, Colitis, Sarcoidosis
Infections
HIV, Rubella, viral Hepatitis, CMV, Lyme disease
Postransfusion Purpura
ITP
Diagnosis
Management
Frequency of HIT
Perspectives
 More than 1 trillion units heparin used yearly in
US; 1/3 of hospitalized exposed (12 million).
 Unfractionated heparin – 3 - 5% incidence;
Heart surgery 2.5% incidence
 LMWHeparin, Catheter-flushes -- ~0.5%
 Frequency of thromboemboli : 30%–50% of
patients with untreated HIT will have a thrombotic
complication within 30 days ( Warkentin TE Am J Med.
1996;101:502–507)  Based on increased morbidity and
mortality, heparin cessation alone is inadequate in HIT
management
HIT: Pathophysiology
.
Formation of
PF4-heparin
complexes
IgG antibody
Formation of
immune complexes
(PF4-heparin-IgG)
EC injury
PF4
release
Platelet
activation*
Microparticle
release
Fc receptor
Platelet
Heparin-like
molecules
Blood vessel
PF4 Heparin
HIT
 Two types – HIT type I and Type II. In general, the
term HIT is used widely to refer HIT Type II, the
immune form.
 Presence of any of the following :
 Otherwise unexplained thrombocytopenia
 Venos or arterial thromboses associated with
thrombocytopenia
 A fall in platelet count of 50% or more from a prior
value, even if absolute Thrombocytopenia is not
present.
 Necrotic skin lesions at heparin injection site
 Acute systemic ( anaphylactoid) reactions occuring after
IV heparin bolus.
Diagnosis of HIT
 Normal platelet count before commencement of
heparin therapy
 Onset of thrombocytopenia typically 5–14 days after
initiation of heparin therapy but can occur earlier
 Exclusion of other causes of thrombocytopenia (eg,
sepsis)
 Occurrence of thromboembolic complications during
heparin therapy
Sequelae Incidence
Thrombosis 30%–50%
Amputation 20% (arterial thrombosis)
Death 22% to 28%
.
Clinical Sequelae in HIT
• 30%–50% of untreated patients with
thrombocytopenia progress to thrombosis
4:1 Incidence Ratio Venous to Arterial
Arterial
Aortic/Ileofemoral Thrombosis
Acute Thrombotic Stroke
Myocardial Infarction, Mural
thrombosis, Thrombi in upper limb,
mesenteric, renal and spinal arts.
Venous
Deep Vein Thrombosis
Pulmonary Embolism
Cerebral Dural
Sinus Thrombosis
Adrenal Hemorrhagic Infarction
Sites of Thrombotic Complications
in HIT
Warkentin TE Am J Med 1996;101:502–507
HIT Temporal Variants
Day 1 Day 4 Day 14
Day 30
Delayed-onset
HIT
(9–40 days)
Rapid-onset
HIT
(hours–days)
Typical HIT
Mean Day 9
(5–14 days)
Heparin (re) Exposure
THROMBOCYTOPENIA (± THROMBOSIS)
Clinical Suspicion for HIT
The 4 T’s (Warkentin, 2003)
 Thrombocytopenia
 Platelet count fall > 50% and nadir greater than 20k : 2 points
 Platelet count fall 30 to 50% or nadir 10 to 19k : 1 point
 Platelet count fall < 30% or nadir < 10k : 0 points
 Timing of platelet count fall
 Clear onset b/w days 5 to 10 or platelet count fall at ≤1 day if prior
heparin exposure within the last 30 days: 2 points
 Consistent with fall at 5 to 10 days but not clear (eg, missing platelet counts)
or onset after day 10 or fall ≤1 day with prior heparin exposure within the last
30 to 100 days: 1 point
 Platelet count fall at <4 days without recent exposure: 0 points
 Thrombosis or other sequelae
 Confirmed new thrombosis, skin necrosis, or acute systemic reaction after
intravenous unfractionated heparin bolus: 2 points
 Progressive or recurrent thrombosis, non-necrotizing (erythematous) skin
lesions, or suspected thrombosis which has not been proven: 1 point
 None: zero points
 Other causes for thrombocytopenia present —
 None apparent: 2 points
 Possible: 1 point , Definite: zero points The 5th T : The TEST
Interpretation
 A score is determined for each of the four above
categories, resulting in a total score from zero to 8.
 Pretest probabilities for HIT are, as follows:
 zero to 3: Low probability
 4 to 5: Intermediate probability
 6 to 8: High probability
 Laboratory tests are ordered to confirm HIT.
Laboratory Testing for HIT
Test Advantages Disadvantages
SRA Sensitivity >95%,Technically demanding
Specific > 95% Low predictive value
HIPA Rapid, available Variable sensitivity (30% – 80%);
Technique-dependent
ELISA High sensitivity High cost, less specificity,
> 95% 10% false-negative tests
There is no Gold Standard in diagnostic testing; HIT
requires a clinical diagnosis .
HIT - Managment
 Stop all Heparin, including heparin flushes. If dialysis,
must be Heparin free.
 Platelet transfusions are relatively contraindicated. ( except
in those with overt bleeding).
 If Intermediate or High pre-test (clinical) probability +
Positive ELISA (Anti-PF4 antibody)  Start alternative
anticoagulant.
 For low clinical probability, positive ELISA  consider false
positive ELISA. Obtain Serotonin Release Assay which is
more specific.
 If clinical probability increases over time from a prior
value but if initial HIT was negative  Repeat HIT
antibody (ELISA) (may turn positive. ) Start alternative
anticoagulant
Alternative Anticoagulants
Drug Indications
Argatroban FDA-approved for HIT
(also for PCI)
Lepirudin FDA-approved for HIT
Bivalirudin (Angiomax) PCI (including HIT patients)
Fondaparinux (Arixtra) FDA approved for DVT
Prophylaxis in patients with Hip#,
Hip or knee replacements. Also
used in Rx of VTE. Not yet
approved for HIT (Off-label use)
Danaparoid Approved for HIT in Canada,
Europe, Aust.
Argatroban
 Synthetic Direct Thrombin Inhibitor indicated as a
prophylactic anticoagulant or for treatment of thromboses in
HIT.
 MOA : Directly inhibits Thrombin, Reversibly binds to the
thrombin catalytic site and Active against both free and clot-
bound thrombin
 Rapid Onset of Action
 In healthy subjects, the pharmacokinetics and
pharmacodynamics of Argatroban were NOT affected by renal
impairment, age, or gender  Dosage adjustment is NOT
necessary in renally impaired patients
 Hepatic impairment decreases Argatroban clearance;
therefore, the dosage must be reduced for hepatically
impaired patients
Guidelines
for Argatroban
HIT
Patients
HIT Patients with
Renal
Impairment
HIT Patients with
Hepatic
Impairment
* Not to exceed a dose of 10 µg/kg/min or aPTT of 100 seconds
† Due to approximate 4-fold decrease in Argatroban clearance relative to those with normal
hepatic function
Initiate at
2 µg/kg/min
Titrate until
steady-state
aPTT is 1.5–3.0
times baseline
value*
No dosage
adjustment
required
Initiate at
0.5 µg/kg/min†
Titrate until
steady-state
aPTT is 1.5–3.0
times baseline
value*
Guidelines for Conversion to Oral Anticoagulant Therapy
 Initiate warfarin only when platelet count increases above 100k.
 All direct thrombin inhibitors, including Argatroban, may increase
prothrombin time (PT); this must be taken into consideration when
converting to warfarin therapy
 Coadministration of Argatroban and warfarin does produce a combined
effect on the laboratory measurement of the INR.
 Concurrent therapy with Argatroban and warfarin does not exert an
additive effect on the warfarin mechanism of action (e.g., factor Xa
activity)
 The previously established relationship between INR and bleeding risk is
altered during combination therapy
 For example, an INR of 4 on co-therapy may not have the same
bleeding risk as an INR of 4 on warfarin monotherapy.
 Continue anticoagulation for 2-3 months in HIT with out
thromboses but continue it for 6 months if a thrombotic event
occurred.
Guidelines for Conversion to Oral Anticoagulant Therapy
If INR is below the
therapeutic range
for warfarin alone,
resume Argatroban
therapy
If INR is >4.0, stop Argatroban infusion
Initiate warfarin therapy using the expected
daily dose of warfarin while maintaining Argatroban
infusion.* A loading dose of warfarin should not be used
If INR is within
therapeutic range
on warfarin alone,
continue warfarin
monotherapy
If INR is 4.0,
continue
concomitant therapy
Repeat INR 4-6 hours later
Measure INR daily
* For Argatroban infusion at 2 µg/kg/min, the INR on monotherapy may be estimated
from the INR on cotherapy. If the dose of Argatroban >2 g/kg/min, temporarily reduce
to a dose of 2 g/kg/min 4-6 hours prior to measuring the INR.
The Key to Avoiding Catastrophes from HIT is
Awareness, Vigilance, High Degree of Suspicion
When a patient...
+ experiences a drop in platelet counts
+ develops thrombosis
Consider HIT during/soon after
heparin exposure*
* Heparin exposure may be through virtually any preparation
(including LMWH), any dose, or any route of heparin
(including flushes and coated lines)
•Thienopyridines – Clopidogrel, Ticlopidine induced TTP
•GP IIb/IIIa inhibitor induced TP
•Abciximab – True TP, Pseudo-TP
•Heparin Induced TP
•Open Heart Surgery – Bypass circuit
•Intra Aortic Balloon Pump (IABP)
Differential Diagnosis of Thrombocytopenia
Clinical Setting – Cardiac Inpatients
 HIT
 Use of platelet GP IIb/IIIa-receptor
antagonists
 Use of adenosine diphosphate-receptor
antagonists
 Coronary-artery bypass grafting
 Use of intra-aortic ballon pump
Aird AC, Mark EJ. N Engl J Med. 2002;346:1562-1570.
Clues to Diagnosis of HIT in
patients after Open-Heart Surgery
 Prolonged thrombocytopenia
 Rise in platelet count after surgery with subsequent fall
 Multiple positive functional (SRA) and antibody
(ELISA) assay results
 Unusual or unexpected thrombosis (may require
noninvasive testing)
 Multiple thrombotic events
 Systemic reaction shortly after heparin bolus
Pathophysiology
Diagnosis
Treatment
New advances
Immune Mediated Thrombocytopenia Purpura
(ITP)
 Idiopathic ITP vs. Secondary ITP
 Idiopathic or Primary ITP : Defined as isolated
thrombocytopenia with
 Platelet count < 100 x 109/L
 No other cause of thrombocytopenia
 No clinically evident secondary form of thrombocytopenia.
 High prevalence disease 16 to 27 per million per year
 Incidence increases with age
 Female predominance under the age of 60 but not over the age
of 60
 May have onset or insidious onset  generally abrupt in onset
with children and insidious in adults.
Pathogenesis of ITP
 Increased platelet destruction caused by antiplatelet
antibodies  antibodies directed against platetelet
membrane antigens such as GPIIb/IIIa  the platelets
coated with immune complexes bind to Fc portion of
macrophages in spleen and other RES and are removed.
 Lack of compensatory response by megakaryocytes due
to suppressive effect of antiplatelet antibodies
 So, a combination of increased platelet destruction +
ineffective megakaryopoiesis.
 Pathogenesis was proved by Harrington when he
infused himself with plasma from a women with ITP
( Harrington-Hollisworth Experiment)
Secondary ITP
 Post-Infectious : HIV, HEP-C, H.PYLORI
 Vasculitis : SLE
 Lymphoproliferative Disorders : CLL, NHL, HD
 Drug Dependant ITP (DDITP) : Drug induced TP can
be sometimes mediated by antibodies eg: quinidine,
sulfa containing drugs
Estimated Prevalence of Secondary ITP
in the US
SLE 5%
APS 2%
CVID 1%
CLL 2%
Evan’s 2%
ALPS, post-tx 1%
HIV 1%
Hep C 2%
H. pylori 1%
Postvaccine 1%
Misc systemic infection 2%
Primary
80%
This research was originally published in Blood. Cines DB, et al. Blood. 2009;113:6511-6521.
© the American Society of Hematology
Secondary ITP
Immune Thrombocytopenia - Postinfection
HIV HCV H. pylori
*Platelets < 50 x 109/L
Study N ITP, n (%)
Murphy et al[1] 105 11 (10.5)
Kaslow et al[2] 1611 108 (6.7)
Rossi et al[3] 657 72 (10.9)
Peltier et al[4] 435 23 (5.5)
Mientjes et al[5] 285 67 (23.5)
Sloand et al[6] 1004 110 (11)
Sullivan et al[7] 30,214 1106 (3.7)*
Total 34,311 1497 (4.4)
1. Murphy MF, et al. Br J Haematol. 1987;66:337-340. 2. Kaslow RA, et al. Ann Intern Med. 1987;107:474-
480. 3. Rossi G, et al. AIDS Res Hum Retroviruses. 1990;6:261-269. 4. Peltier JY, et al. AIDS. 1991;5:381-
384. 5. Mientjes GH, et al. Br J Haematol. 1992;82:615-619. 6. Sloand EM, et al. Eur J Haematol.
1992;48:168-172. 7. Sullivan PS, et al. J Acquir Immune Defic Syndr Hum Retrovirol. 1997;14:374-379.
 Therapeutic interventions: prednisone, anti-D, splenectomy, or HAART
Incidence of ITP in HIV
Evaluation of ITP
 Features consistent with the diagnosis of ITP
 Thrombocytopenia with normal or slightly large
platelets
( Increased MPV)
 Normal RBC morphology and number (may have
associated iron def or thallasemia etc.)
 Normal white cell number and morphology
 Splenomegaly is extremely rare
 Features not consistent with the diagnosis of ITP
 Giant platelets ( ? Congenital)
 RBC abnormalities ie schisotocytes ( ? TTP/HUS, DIC)
 Leukocytosis or Leukopenia (? MPD/MDS, Sepsis )
Laboratory evaluation of ITP
 Not Much !!!
 No role for anti-platelet antibodies : many are highly
sensitive but they lack specificity.
 Bone Marrow not very helpful as initial test
 Helpful in patient over 50 years and concerned about MDS
 If more than one cytopenia ( If not “isolated” TP)
 If patient has failed initial treatment and diagnosis is in
question.
 If abnormal forms on peripheral smear ( nucleated RBCs,
blasts)
 TSH and HIV test helpful, HCV serology
 Peripheral Smear helpful
Management of ITP
 Most patients with ITP do not have clinically significant
bleeding
 Risk of intracranial bleed 0.1 to 1% (This is an
overestimate)
 Wet Purpura ie epistaxis, gingival bleeding is a risk factor
for major bleeding
 Treatment is rarely indicated in patients with
platelet counts > 50 x 109/L.
 In asymptomatic patients with platelets counts greater then
20 K observation is reasonable option. ( Wide range of
opinions on trigger platelet count at which Rx should be
initiated)
 Patients with higher bleeding risk due to other factors may be chosen
for earlier treatment.
Timeline: introduction of modern day ITP drug treatment
Splenectomy
Corticosteroids
IVIg
Anti-D
Rituximab
TPO mimetics
1900 1920 1960 20001940 1980
Cines DB, et al. N Engl J Med. 2002;346:995-1008.
Pathophysiology of ITP – Intevention
Areas
Acute Pharmacologic Management of ITP
 Steroids
 Prednisone 1mg/kg/day with taper over 2 to 3 months
 Solumedrol 30mg/kg/d x 7 days
 Decadron
 Antibodies
 IVIG 1 gram/kg/day x 2 days
 Anti-D 50 mcg/kg IV x1 dose in Rh+ patients
 Binds to D antigen on erythrocytes that now bind to Fc
portions of macrophages saturating them  Opsonized
erythrocytes compete with opsonized platelets for clearance by
macrophages.
 IVIG vs. Anti-D : No definitive recommendations are made regarding the preferential use of one agent over another; both
agents have adverse events and even fatal events associated with their use. Anti-D may be associated with a longer duration of
response, whereas IV IgG may be preferred in patients with CVID. Consideration should be given to specific patient issues
such as age, comorbidities, renal function, and hemoglobin level in choosing which agent to use
Treatment
Strategy
Response
Rate
Time to
Response
Response
Duration
Cortico-
steroids
Prednisone:
0.5-2mg/kg x
2-4 weeks
70-80%
respond initially
Several days to
several weeks
Uncertain
Me-Pred:
30mg/kg/d
for 7 days
≤ 95% respond
initially
Few days 23% have > 50x109/L
at 39 months
Immune
Globulin
IVIg:
0.4g/kg/d x
5d, 1g/kg/d x
1-2d
≥ 80% respond
initially
1-2 days 3-4 weeks, months in
some
Anti-D:
50–75 µg/kg
50-80% (dose
dependent)
1-5 days (dose
dependent)
Typically 3–4 weeks,
months in some
This research was originally published in Blood. Provan D, et al. Blood. 2009;[Epub ahead of print].
© the American Society of Hematology.
Frontline Therapies for Adult ITP
Management of ITP
 Selection of therapeutic option depends on :
– Urgency of platelet increase
– Tolerated toxicity by patient, eg, steroids
– Durability of effect
– Effect of thrombocytopenia and treatment on lifestyle and
profession ( ? people involved in contact sports etc)
Chronic Management of ITP
If no durable response or in non-responders :-
 Splenectomy
 Immunize with Pneumovax, Hib, Meningococcal
 Chronic Anti-D therapy
 Does not put the disease in remission
 Rituximab
 Eltrombopag ( c-MPL agnonists, TPO receptor
agonists)
 Observation
Management of Adult ITP: Rituximab
 Since previous consensus guidelines[1,2] were published, several studies
on the use of anti-CD20 therapy have been published
 Approximately 60% of patients respond to rituximab treatment and
approximately 45% have a CR[3]; long-term responses (> 4 yrs) occur in 20%
of patients
 The optimal dose of rituximab for ITP treatment is unknown and cases
of multifocal leukoencephalopathy have been reported, particularly in
patients who have been previously heavily immunosuppressed[4]
 The drug may be more effective if used earlier in the course of ITP (
may save splenectomy)
1. George JN, et al. Blood. 1996;88:3-40. 2. British Committee for Standards in Haematology General
Haematology Task Force. Br J Haematol. 2003;120:574-596. 3. Arnold DM, et al. Ann Intern Med.
2007;146:25-33. 4. Provan D, et al. Blood. 2009;[Epub ahead of print].
Management of Adult ITP:
Thrombopoietin Receptor Agonists
 Recent placebo-controlled randomized clinical trials have
demonstrated the utility of 2 thrombopoietin receptor agonists,
romiplostim and eltrombopag, in increasing platelet counts in
patients refractory to first- or second-line therapy[1,2]
 These are maintenance agents that support a safe platelet count
but have no effect on the underlying ITP pathophysiology
 However, the ability of these agents to increase platelet counts in
refractory postsplenectomy patients, allowing for reduction or
cessation of immunosuppressive agents, may make them the
treatment of choice in this patient population.
 FDA approved for Chronic Refractory ITP.
1. Kuter DJ, et al. Lancet. 2008;371:395-403. 2. Bussel JB, et al. Lancet. 2009;373:641-648.
Immune Thrombocytopenia:
New definitions
 Only patients who fail or relapse after splenectomy are considered as having refractory ITP.
 Why: Splenectomy can induce a long-term unmaintained remission in > 60% of patients.
 Quality of response
– CR: platelet count ≥ 100 x 109/L and absence of bleeding R: platelet count ≥ 30 x 109/L and at
least 2-fold increase the baseline count and absence of bleeding
– NR: platelet count < 30 x 109/L or less than 2-fold increase of baseline platelet count or
bleeding
 Time to response: time from starting treatment to time of achievement of CR or R
 Loss of CR or R: platelet count < 100 x 109/L or bleeding (from CR) or < 30 x 109/L or less than 2-fold
increase of baseline platelet count or bleeding (from R)
 Timing of assessment of response to ITP treatments
– Variable, depends on the type of treatment
 Duration of response
– Measured from the achievement of CR or R to loss of CR or R
– Measured as the proportion of the cumulative time spent in CR or R during the period under
examination as well as the total time observed from which the proportion is derived
 Corticosteroid-dependence
– The need for ongoing or repeated doses administration of corticosteroids for at least 2 months
to maintain a platelet count at or > 30 x 109/L and/or to avoid bleeding (patients with
corticosteroid dependence are considered nonresponders)
Rodeghiero F, et al. Blood. 2009;113:2386-2393.
New Recommendations for ITP
Evaluation
 Bone marrow aspirate and biopsy with flow studies for
patients older than 60 yrs[1]
 Why: In addition to excluding underlying
myelodysplasia, flow studies may be helpful in
identifying patients with an ITP secondary to CLL[1]
 Screen for HIV and HCV antibodies and assess H.
pylori infection by urea breath or stool antigen test[1]
 Why: 4% to 30% of patients, depending on the
background infection rates in the local population, may
have ITP secondary to HIV, HCV, or H. pylori; treatment
of the primary chronic infection can result in an increase
in the platelet count[2]1. Provan D, et al. Blood. 2009;[Epub ahead of print]. 2. Cines DB, et al. Blood. 2009;113:6511-6521.
New Recommendations for ITP
Evaluation
 Quantitative immunoglobulins[1]
 Why: This test should be done before patients receive intravenous
immunoglobulins; this will reveal patients with CVID or IgA
deficiency
 Direct antiglobulin test[1]
 Why: A positive DAT was reported in 22% of 205 patients with
ITP[2]; important if patient has anemia and/or a high reticulocyte
count
 Blood group Rh(D) typing[1]
 Why: Important if treatment with anti-RhD immunoglobulin is
being considered; should be done in conjunction with DAT, since a
positive DAT may modify a decision to use anti-D therapy
1. Provan D, et al. Blood. 2009;[Epub ahead of print]. 2. Aledort LM, et al. Am J Hematol. 2004;76:204-213.
Management of ITP in pregnancy
 Gestational Thrombocytopenia
 Platelet count >70K, occurs late in gestation, not
associated with fetal thrombocytopenia, resolves after
pregnancy
 ITP in pregnancy
 Treat if symptoms - intermittent IVIG, Prednisone, anti-
D
 Epidural anesthesia appears safe if platelet count > 50K
 Monitoring for neonatal thrombocytopenia
Practical Aspects for the management of
thrombocytopenia
 What is an adequate platelet count for procedures?
“Platelet transfusion trigger”
 Routine Dentistry >10K
 Dental Extraction >30K
 Regional Dental Block >30K
 Minor Surgery >50K
 Major Surgery>80K
 Epidural anesthesia is okay at platelet count 50K for patient
with ITP
 The target platelet count for a bleeding patient is
generally >50K
 Prophylactic platelet transfusions for platelets < 10K
Prophylactic Versus Therapeutic Platelet
Transfusions
 Platelet transfusions for active bleeding much more
common on surgical and cardiology services
 Prophylactic transfusions most common on hem/onc
services
 10 x 109/L has become the standard clinical practice on
hem/onc services
Platelet transfusions Source
 Platelet concentrate (Random donor)
Each donor unit should increase platelet count ~10,000
/µl
 Pheresis platelets (Single donor) ( Equal to 10 random
donor plt concentrates)
 Storage
 Up to 5 days at room temperature
Factors affecting a patients response to
platelet transfusion
 Clinical situation: Fever, sepsis, splenomegaly,
Bleeding, DIC
 Patient: alloimunization, underlying disease, drugs
(IVIG, Ampho B)
 Length of time platelets stored ( shelf life)
 15% of patients who require multiple transfusions
become refractory (alloimmunization)
Strategies to improve response to platelet
transfusions
 Treat underlying condition
 Transfuse ABO identical platelets
 Transfuse platelets <48 hrs in storage
 Increase platelet dose
 Select compatible donor
 Cross match
 HLA match
Platelet transfusions - complications
 Transfusion reactions
 Higher incidence than in RBC transfusions ( febrile non-
hemolytic)
 Related to length of storage/leukocytes/RBC mismatch
 Bacterial contamination
 TRALI
 Post-Tranfusion Purpura
CONGENITAL TP
Inherited Thrombocytopenias – Mechanisms
 Mutations in specific genes that play an important role
during the development of platelets or the cells that
make them, megakaryocytes.
 Many forms but all of them are rare  frequently
mistaken by physicians for something else, usually,
ITP.
Inherited thrombocytopenias – Clinical Spectrum
 Ranges from severe bleeding diatheses recognized during
early weeks of life to mild forms that may remain
undetected even in adulthood
 Diagnosis is difficult
 Differentiating these ( especially the mild forms that are
detected in adults) from acquired thrombocytopenias,
especially ITP, is critical to avoid potentially harmful and
unnecessary treatments ( immunosuppressive therapes,
splenectomies)
Inherited thrombocytopenias –
Questions to help differentiate from immune/ acquired
etiology
 Have the symptoms ( increased bleeding, bruising,
petechiae) been present for a long time?
 Were platelet counts ever found to be low in the
past?
 Are there any other family members who might
have similar symptoms or thrombocytopenia?
 What has been the response to treatment? (
steroids, IVIG, Splenectomy)
 Response to platelet transfusions (if required)?
Inherited Thrombocytopenias – Clues to
diagnosis
 History : Chronicity of symptoms, age at
presentation, family history, other co-existent
symptoms ( hearing loss, immunodeficiency etc)
 Mean Platelet Volume ( N = 7-11fl)
 Peripheral smear - careful examination is
warranted for
Recognition of macro or micro thrombocytes will
narrow the differential
Presence of abnormal platelet granules
Neutrophil inclusions ( Dohle bodies)
Erythroid tear drop cells
Hairy cell leukemia
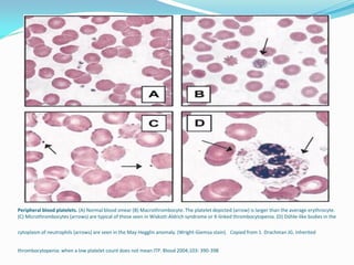
Peripheral blood platelets. (A) Normal blood smear (B) Macrothrombocyte. The platelet depicted (arrow) is larger than the average erythrocyte.
(C) Microthrombocytes (arrows) are typical of those seen in Wiskott-Aldrich syndrome or X-linked thrombocytopenia. (D) Döhle-like bodies in the
cytoplasm of neutrophils (arrows) are seen in the May-Hegglin anomaly. (Wright-Giemsa stain). Copied from 1. Drachman JG. Inherited
thrombocytopenia: when a low platelet count does not mean ITP. Blood 2004;103: 390-398
Inherited thrombocytopenias – Classification
 Classified depending on:
the pattern of inheritance
the size of the platelets
whether or not there are other signs or symptoms that
are part of a syndrome.
Inherited Thrombocytopenias-Classification
Based on pattern of inheritance:
 Autosomal Dominant
 MYH9 related thrombocytopenias
 Mediterranean macrothrombocytopenias
 Velocardiofacial/DiGeorge Syndromes ( CATCH22)
 Familial Platelet Disorder with Associated Myeloid Malignancy
(FPDMM)
 Autosomal dominant Thrombocytopenia with linkage to Human
Chromosome2 ( THC2)
 Paris Trousseau Thrombocytopenia
 Gray Platelet Syndrome (GPS)
 Autosomal Recessive
 Congenital AMegakaryocytic Thrombocytopenia (CAMT)
 Thrombocytopenia with Absent Radii (TAR)
 Bernard-Soulier Syndrome (BSS)
 X-linked Recessive
 Wiskott-Aldrich Syndrome
 X-linked Thrombocytopenia
 GATA-1 Mutations ( X-linked Macrothrombocytopenia)
Inherited Thrombocytopenias-Classification
Based on Platelet Size
 MPV < 7 fl ( Microthrombocytopenias)
 Wiskott-Aldrich Syndrome
 X-linked Thrombocytopenia
 MPV 7-11 fl (Normal)
 FPDMM
 THC2
 CAMT
 TAR
 MPV > 11 fl (Large, giant platelets - Macrothrombocytopenias)
 MYH9 related thrombocytopenias
 Mediterranean macrothrombocytopenias
 Velocardiofacial/DiGeorge Syndromes ( CATCH22)
 Paris Trousseau Thrombocytopenia
 Gray Platelet Syndrome (GPS)
 Bernard-Soulier Syndrome (BSS)
 GATA-1 Mutations ( X-linked Macrothrombocytopenia)
Mey-Hegglin Anomaly
1. First recognized in 1909
2. Diagnosis :
 Mild to moderate thrombocytopenia, platelet
function is largely preserved
 Macrothrombocytopenia with an MPV>11 fl 
frequent giant platelets on peripheral smear
 Dohle like cytoplasmic inclusions ( bluish
granules in neutrophilic cytoplasm with wright-
giemsa stain) in neutrophils
 Absence of co-existing clinical features like
nephritis, sensori-neural hearing loss and
cataracts
 MYH9 mutation on genetic testing
May-Heglin Anomaly
Fechtner Syndrome
Sebastian Syndrome
Epstein Syndrome
Fechtner Syndrome
 Macrothrombocytopenia
+
 Neutrophilic Inclusions
+
 Additional features like Nephritis + Sensorineural
hearing loss + Cataracts
Epstein Syndrome
 Macrothrombocytopenia
+
 Absent Neutrophilic Inclusions
+
 Additional features like Nephritis + Sensorineural
hearing loss but no cataracts
MYH9 Related Disorders - Therapy
 Only mildly increased bleeding.
 Usually diagnosed during routine testing of an
asymptomatic individual
 Does not usually require therapy.
 Educating the affected families (Inheritance pattern –
AD) about this diagnosis is paramount to avoid
potentially dangerous treatments for presumed ITP.
- Common in Southern Europe
- Very mild macrothrombocytopenia ( 70-150k)
- Giant platelets but largely preserved platelet function
- Gene Mutation – GP1BB (vWf Receptor)
- Chromosomal location – short arm of chr12.
-Velocardiofacial syndromes
-DiGeorge Syndrome
CATCH22 Mild Macrothrombocytopenias
 No serious bleeding
 Characterized by cardiac abnormalities,
parathyroid and thymus insufficiencies, cognitive
impairment and facial dysmorphology
 Deletion of GP1BB gene ( Chromosome location
22q11)
 No need of therapy for these mild
thrombocytopenias  however, recognize these
conditions to avoid unnecessary therapies.
Gene Mutation AML1
Chromosome location 21q22
FPDMM
 Autosomal Dominant Inheritance.
 Normal sized platelets
 Striking predisposition for hematological malignancy.
 Associated findings : AML, Myelodysplasia
 Therapy: In view of high incidence of myeloid leukemia at a
young age (<60yrs), most patients will undergo stem cell
transplantation  physician should be aware of FPDMM
so that mild thrombocytopenia in a HLA matched sibling
will not go unnoticed  this is important as the recepient
may develop donor derived leukemia.
 If AML1 mutation is identified in a pt with FPD/AML 
must screen all potential sibling donors even if platelet
count is normal.
?Gene mutation – FLJ14813
Chromosome location 10p12
THC2
 Mild thrombocytopenia
 Normal sized platelets
 Serious hemorrhage is rare
 Megakaryocytes are present in bone marrow but are
small and have hypolobulated nuclei. ( unlike CAMT
where MKs are absent.)
 No therapy is required. Again, recognition is
important to avoid unnecessary therapies.
Gene mutation : unknown
Gray Platelet Syndrome
 AD inheritance pattern
 Macrothrombocytopenia
 Absent alpha granules in the platelets giving a gray
color on wright-giemsa staining.
 Mild bleeding risk.
Gene Mutation: MPL
Chromosome location: 1p34
Associated findings : severe marrow failure during 2nd
decade leading to pancytopenia
CAMT
 Autosomal recessive inheritance  both parents are
carriers and may have normal platelet number and
function.
 Severe Thrombocytopenia in the neonates ( <10,000/ul,
MPV normal) secondary to ineffective megakaryopoeisis.
 Recognized during first few days of birth due to easy
bleeding/bruising.
 Diagnosis :
Severe Neonatal Thrombocytopenia
Absence of MKs in the bone marrow
Consider and rule out other differential diagnoses
Diagnosis is confirmed by molecular analysis of the MPL
gene.
Most severe form of CAMT is due to complete absence of
MPL receptor expression/function. Milder form is due to
residual activity of a mutant MPL receptor
CAMT
Course :
 Severe CAMT is recognized during the first few days of birth due to easy
bleeding/bruising.
 Milder form of CAMT is associated with low platelet number but sufficient to
prevent severe bleeding.
 Mild form progresses to worsening thrombocytopenia by the first decade of
life. Also, associated with reduced leucopoeisis and erythropoeisis  By the
second decade of life, can progress to pancytopenia.
 When pancytopenia develops, CAMT may be confused with other marrow
failure disorders ( Aplastic Anemia, Fanconi anemia and Dyskeratosis
congenita)
Therapy:
 Initial Rx : Platelet transfusion in neonates to prevent serious bleeding 
Platelet increments and survival will be normal.
 Platelet transfusion should be reserved for symptomatic patients to prevent
children from refractoriness because of alloimmunization.
 HSCT ( Hematopoeitic Stem Cell Transplantation)  should be considered as
soon as the diagnosis is confirmed and the donor has been identified.
Severe Neonatal Thrombocytopenia
Differential diagnosis
Congenital types
 CAMT  MKs (-) in bone marrow
 TAR  differentiating feature would be associated skeletal
hypoplasia of the arms. MKs + in bone marrow
 WAS  presence of microthrombocytes. MKs + in bone
marrow
Acquired types
 Neonatal AlloImmune Thrombocytopenia (NAIT) 
Resolves over several weeks as maternal antibodies are
cleared ( in contrast to CAMT that progresses). MKs + in
the bonemarrow.
 Maternal transfer of antiplatelet antibodies ( in cases of
maternal ITP)
Neonatal AlloImmune Thrombocytopenia
 A platelet analogue of the hemolytic disorder of the
newborn
 Mechanism : Induced by feto-maternal alloimmunization
 Women who lack common platelet antigens may
produce antibodies against paternal antigens that are
expressed in the developing fetus
 NAIT typically associated with anti-HPA-1a antibodies
generated in response to fetal HPA-1a platelets in a mother
homozygos for HPA-1b phenotype.
 Affects 1 in 1500 pregnancies. 50% occur during first
pregnancies ( unlike hemolytic disease of newborn)
 Can lead to severe thrombocytopenia of fetus/ newborn 
can manifest with intracranial bleeding.
Neonatal AlloImmune Thrombocytopenia
Therapy:
 Maternal platelet transfusions ( HPA-1a negative)
to severely thrombocytopenic newborns.
 IVIG and steroids to the neonate if
thrombocytopenia is life threatening and
persistent.
 NAIT may persist for few weeks until all maternal
antibodies have cleared.
Thrombocytopenia with Absent Radii
Gene Mutation: unknown
Chromosome Location: unknown
Autosomal Recessive ( Parents usually
completely healthy)
TAR
 Severe thrombocytopenia at birth  Platelet
transfusions are frequently required in neonates
 Normal sized platelets.
 MKs present in bone marrow
 Associated with skeletal anomalies  shortened/
absent forearms due to defects in development of
bilateral radii.
 Unlike CAMT, TAR will become less severe during
first year of life. Most affected people will not need
platelet transfusions after infancy.
Autosomal Recessive
Absence/ decreased VWF receptor on
platelets.
Gene Mutation : GP1BA (alpha)/GP1BB
Chromosome location: chr17
Bernard-Soulier Syndrome
 Mild lifelong macrothrombocytopenia (MPV>11 fl)
 Bleeding tendency exceeds that predicted by degree of
thrombocytopenia.
 Decreased expression of Vwf  deficient binding of vWF
to the platelet membrane at sites of vascular injury,
resulting in defective platelet adhesion  demonstrated by
the lack of aggregation of platelets in response to
ristocetin, an antibiotic that normally causes platelets to
aggregate  deficient formation of the primary platelet
plug and increased bleeding tendency.
 The cause of the thrombocytopenia is not definitely
known.
 Questions remain!
Why does a defect in VWF receptor cause
macrothrombocytopenia?
Does the VWF receptor play a role in thrombopoeisis?
X-linked inheritance – common in males
Microthrombocytopenia
Gene Mutation: WAS
Chromosome Location: Xp
WAS
 Almost exclusively affects male child
 Moderate to severe Microthrombocytopenia ( 5k to 50k) in
the neonates ( very reduced MPV of 3.5-5.0 fl)
 Associated Findings : Eczema, Immunodeficiency and
increased incidence of autoimmune diseases and
lymphomas.
 Generally recognized in first year of life due to easy
bleeding/bruising as well as recurrent bacterial infections.
 Diagnosis confirmed by genetic analysis of WAS
 Mechanisms by which WAS mutation leads to
microthrombocytopenia not completely understood 
MKs appear to be normal or increased in bonemarrow
suggesting a block during thrombopoeisis.
 Also, both platelet size and number improve after
splenectomy suggesting the role of RES in platelet removal
( although no anti platelet antibodies have been detected)
WAS
Therapy:
 Infections – MCC of death in WAS
 IVIG ( IV gamma globulin) and broad spectrum antibiotics – Initial
therapies  have increased median life expectancy of severe WAS
patients from 5yrs to 20yrs
 Thrombocytopenia can be severe and lead to life threatening bleeding
 Acute Rx involves platelet transfusions  note that transfusions
provide normal increments and survival of circulating platelets.
 Splenectomy can induce good increases in platelet counts. However,
should reserved for severe cases where HSCT is not feasible. Because
Splenectomy heavily increases risk of sepsis/infection in WAS. (In a
series of 39 patients, surgery normalized platelet count and
morphology in almost all cases, and the median survival of
splenectomized subjects was 25 years, compared with less than 5 years
in unsplenectomized ones. Ref: Mullen CA, Anderson KD, Blaese RM.
Splenectomy and/or bone marrow transplantation in the management
of the Wiskott-Aldrich syndrome: long-term follow-up of 62 cases.
Blood. 1993;82: 2961-2966 )
 HSCT is the only curative therapy which corrects both
thrombocytopenia and immunodeficiency
- Microthrombocytopenia absent features of
WAS
Substantially lower risk of late complications
such as lymphoma
X-Linked Macrothrombocytopenia
Gene Mutation:GATA1
Chromosome location:Xp
GATA1 Mutation
 X-linked thrombocytopenia which is
macrothrombocytopenia (MPV>11 fl)
 Exclusively affects male children
 Associated with mild to moderate dyserythropoeisis
leading to mild anemia.
 Clinically, differentiated from WAS by presence of large
platelets and absence of WAS related associations.
 Bone marrow is hypercellular with dysplastic features in
MK cell and erythroid lines  but there is no progression
to myelodysplasia/ leukemia/bonemarrow failure
 Thrombocytopenia is significant ( 10k to 40k) and can
sometimes lead to severe bleeding.
 Confirmation is by sequencing of GATA1 gene
GATA1 Mutation
Therapy:
 Therapeutic platelet transfusions ( in scenarios of
persistent bleeding and trauma/surgical
challenge)
 HSCT is curative if anemia/thrombocytopenia
becomes life-threatening.
 Future therapies may include repair of GATA1
mutation (gene therapy)
Role of Splenectomy in Congenital
thrombocytopenias
 Definitive role has been established in WAS ( in cases
where HSCT is not feasible)
 Different opinions in other inherited thrombocytopenias
(enclosed)

GIẢM TIỂU CẦU - HỘI CHỨNG HELLP

  • 1.
    Hematology-High Yield Topics ForInternal Medicine Boards and Hematology Boards Target Audience: Internal Medicine Residents, Family Medicine Residents, Hematology Fellows, Medical Students, IM Board Recertification exam aspirants Archer Internal Medicine Board Review www.CcsWorkshop.com
  • 2.
    History of theplatelet  Studies by Osler, Hayam, and Bizzozero identified small particles in the blood, these were believed to be either bacteria or red cell fragments  James Homer Wright “Wright Stain” identified platelets as a distinct hematopoetic component arising from megakaryocytes  William Duke in 1910 described 3 patients with low platelet counts that had hemorrhagic disease  Duke created a venous shunt from a normal donor to a thrombocytopenic recipient and showed that the platelet count could rise and the bleeding would cease
  • 3.
  • 4.
    Thrombopoietin (TPO)  TPOis the primary regulatory protein in the production of platelets.  Has a major effect on almost all steps of megakaryocyte differentiation and maturation.  Promotes growth of Meg-CFC  Increases the rate of endomitosis  Stimulates megakaryocyte maturation  TPO gene is on chromosome 3.  TPO is expressed in the liver, kidneys, and smooth muscle cells. Produced at a constant rate by the liver.  Has a plasma half life of 30 hours.  In circulation, most of it removed by thrombopoietin (c-mpl) receptors on platelets and possibly some by bone marrow megakaryocytes. The residual thrombopoietin (50 to 150 pg/mL) provides basal stimulation of megakaryocytes and a basal rate of platelet production.  Hence, when platelet mass falls there is more TPO in the blood ( less clearance) stimulating megakaryocytes. When platelet mass increases, TPO falls due to increased clearance and hence, decreased megakaryopoiesis.
  • 5.
    Thrombocytopenia  Defined asa subnormal amount of platelets in the circulating blood.  Normal platelet count : 150,000 to 450,000/microL. Thrombocytopenia is defined as a platelet count less than 150,000/microL (150 x 10(9)/L).  Not usually clinically detected until the platelet count falls to levels below 100,000/microL . However, a recent fall in the platelet count by 50%, while still in the normal range, may herald severe clinical problems  requires active follow-up. eg: HIT .  1/3 of platelets are sequestered in the spleen.  Half life of a platelet is 9 to 10 days.  Platelet production is the function of the multinucleated megakaryocyte.  15 to 45 K platelets are produced daily to maintain steady state  Pathophysiology is less well defined
  • 6.
    Practical Importance ofThrombocytopenia  1/3 of all Hematology Consults in a General Hospital are for thrombocytopenia.  5 to 10% of all hospital patients are thrombocytopenic in the ICU the number increases to 35%.  Thrombocytopenic patients in the hospital suffer a twofold greater mortality rate than those who are not
  • 7.
    Clinical Features -Thrombocytopenia  Most conditions are associated with bleeding ( ITP, Drug induced TP, Most other TPs)  Some conditions associated with thromboses  Thrombotic Thrombocytopenia Purpura (TTP)  Disseminated Intravascular Coagulation (DIC)  Heparin Induced Thrombocytopenia ( HIT)  Sites of bleeding in thrombocytopenia :  Skin and mucous membranes : Petechiae, Ecchymosis, Hemorrhagic vesicles, Gingival bleeding and epistaxis.  Menorrhagia  Gastrointestinal bleeding  Intracranial bleeding  Bleeding in to joints and soft tissues are manifestation of coagulation factor deficiencies rather than thrombocytopenia.
  • 8.
    Stratifying levels ofthrombocytopenia  The primary reason for evaluating thrombocytopenia is to assess the risk of bleeding and assess the presence of underlying disorders (TTP, HIT etc.)  < 20 K increased risk of bleeding  20K to 50 K rarely have increased risk of spontaneous bleeding but increased risk of bleeding from procedures  50K to 100K no increased risk of spontaneous bleeding and can undergo most procedures
  • 9.
    Relation of bleedingrisk and platelet count  Bleeding time increases in a linear fashion below a platelet count of 100 K.  In leukemic children major forms of hemorrhage occurred at platelet counts <10 K.  Slichter et al tagged RBC and found fecal blood loss  10 K - 5 cc/day  5 to 10 K - 10 cc/day  < 5 K - 50 cc/day
  • 10.
    Approach to the thrombocytopenicpatient  History  Is the patient bleeding?  Do the sites of bleeding suggest a platelet defect?  Duration - Is thrombocytopenia – acute or chronic?  Is there a history of medications, alcohol use, or recent transfusion ( post- transfusion purpura)?  Are there symptoms of a secondary illness? (neoplasm, infection, autoimmune disease)  Is there a family history of thrombocytopenia?  Heparin exposure – recent or with in past three months (HIT)?  Are there risk factors for HIV infection?  History of liver disease?  Assess the number of platelets  CBC with peripheral smear :-  Any clumps? Schistocytes? Nucleated RBCs? Any features of nutrional deficiencies (hypersegmented neutrophils), MDS (hyposegmented neutrophils), Myelofibrosis ( tear drop cells) ?  Isolated thrombocytopenia or any other cell line affected?  Lab Tests : PT and PTT, autoimmune work-up if suspected, HIV if risk factors, LFTs, Nutrient work up ( B12, Folate)
  • 11.
    Thrombocytopenia  Several Causes. Can be broadly classified in to five categories based on the mechanism behind reduced platelet count:  Pseudo or Spurious Thrombocytopenia  Dilutional Thrombocytopenia  Decreased Platelet Production  Increased Platelet Destruction  Altered Distribution of Platelets ( Increased Sequestration)  Most common mechanisms are decreased platelet production and increased destruction.
  • 12.
    Pseudo Thrombocytopenia  PseudoThrombocytopenia : An artifactual clumping of plateletsin vitro without clinical significance  The first step in evaluating any thrombocytopenia is to confirm if it is “true”.  Evaluate Peripheral smear for platelet clumps which can lead to pseudo-thrombocytopenia.  Failure to recognize this phenomenon may lead to misdiagnosis and subsequent mismanagement of patients  Various Scenarios :  Inadequate anticoagulation of the blood sample : Results in thrombin induced platelet clumps, counted as leucocytes by automated cell counters. Hence, spurious thrombocytopenia. Rarely, WBC count is increased by more than 10%.  EDTA dependant platelet auto-antibodies : “Naturally” occuring platelet antibodies lead to platelet clumps in the presence of EDTA ( in-vitro) .  Abciximab Related Pseudo-Thrombocytopenia.
  • 13.
    EDTA Dependant Aggluttinins Present in 0.1% of normal population.  Unlike true thrombocytopenias, EDTA-PTCP is associated with a normal mean platelet volume  These patients have naturally occurring platelet antibodies directed towards a normally “hidden” epitope on platelet membrane GP IIb/IIIa complex  The glycoprotein IIb/IIIa complex must dissociate to exposethis epitope (called the "cryptantigen" or "neoantigen,“) for antibody binding to occur.  EDTA, Drugs such as Abciximab and Mexiletene , ph and temperature can induce dissociation of GP IIb/IIIa and may expose this cryptantigen causing the antibody to bind and resulting in aggluttination ( clumps).
  • 14.
    EDTA Dependant Aggluttinins EDTA – PTCP is diagnosed by examination of peripheral smear for platelet clumping.  If platelet clumping seen, repeat the count in non-EDTA anticoagulant ( heparin or sodium citrate).  If citrate is used, remember to correct the platelet count for dilution caused by amount of citrate solution used. No such correction required for heparin.  Although pseudothrombocytopenia has no pathologic significanceand will not increase thrombotic or hemorrhagic risk, failureto recognize it may potentially place a patient in jeopardyfor inappropriate discontinuation of the needed drug (eg: abciximab), delay of therapies involving invasive procedures, or initiation of unnecessary therapies, such as platelet transfusion or use of steroids.1
  • 15.
    Pseudo-Thrombocytopenia Platelet clumps seenin EDTA anti-coagulated blood sample in a patient with EDTA Dependant platelet aggluttinins No platelet clumps seen and platelet count normal in the blood sample from the same patient anti-coagulated with Sodium Citrate
  • 16.
    Abciximab - Pseudothrombocytopenia Thrombocytopenia is a well-recognized adverse effect of abciximab therapy. Two mechanisms :  Immune mediated thrombocytopenia ( onset with in minutes to hours of administration rather than days to weeks seen with other drug induced thrombocytopenias).  Pseudothrombocytopenia, of no clinical importance. ( 1/3rd of thrombocytopenia” found in patients receiving abciximab is due to pseudothrombocytopenia)  Abciximab-PTCP is due to the presence of EDTAas an anticoagulant in the blood-drawing tube. EDTA exposes the cryptantigen in GPIIb/IIIa complex to aggluttination with naturally occuring antibodies. The mechanism of abciximab-associated, EDTA-induced plateletclumping is not clear.  Differentiation of Abciximab-PTCP from True Abciximab-TP and from HIT is extremely crucial. Diagnosis of PTCP will avoid discontinuation of the abciximab infusion and initiation of unnecessary therapies, such as platelet transfusions or anticoagulants (as in HIT).  When thrombocytopeniaoccurs after abciximab treatment, first review peripheral blood film for clumping or obtain platelet count in citrated blood.
  • 17.
    Abciximab – PTCP Timecourse of automated platelet counts from citrated blood and EDTA blood.
  • 18.
    Dilutional Thrombocytopenia  Largequantities of PRBC transfusion to treat massive hemmorhage can lead to dilutional TP.  Due to absence of viable platelets in packed RBCs.  Usual platelet counts in patients receiving 15 to 20 units of PRBCs in 24 hours is 50k to 100k/µl.  Can be prevented by giving platelet concentrates to patients receiving more than 20 units PRBCs in a 24 hour period.
  • 19.
    Distributional Thrombocytopenia  Also,referred to as Appartent Thrombocytopenia since total platelet mass is normal.  About 1/3rd of circulating platelets are normally sequestrated in spleen.  Splenic sequestration of platelets may increase to 90% in splenomegaly ( hypersplenism) secondary to portal hypertension or other causes . May be associated with leucopenia and/ or anemia.  Circulating platelet count decreases but total platelet mass and overall platelet survival remain normal.  Hence, these patients can have significant “apparent” thrombocytopenia but rarely have clinical bleeding ( since total available platelet mass is normal)
  • 20.
    Decreased Platelet Production Associated with decreased or ineffective megakaryopoiesis and thrombopoiesis  Marrow Damage:  Aplastic Anemia  Fanconi’s anemia ( defect in DNA repair genes)  Malignancy ( with/ with out Myelophthisis ).  Congenital defects ( Congenital thrombocytopenias)  Paroxysmal Nocturnal Hemoglobinuria  Viral infections: rubella, CMV, EBV,HIV, Hep-C  Ineffective production :  Nutritional Deficiencies: B12, Folate, Severe Fe deficiency  Drugs: thiazides, estrogen, chemotherapy , linezolid  Toxins: alcohol, cocaine
  • 21.
    Increased Destruction  Mostcommon cause of thrombocytopenia.  Leads to stimulation of thrombopoiesis and thus an increase in the number, size and rate of maturation of the precursor megakaryocytes.  Increased consumption with intravascular thrombi or damaged endothelial surfaces
  • 22.
    Increased Destruction (Cont.) Non-ImmuneImmune  Microangiopathy  DIC  TTP  HELLP  Hemangiomas  VonWillebrand Type2b disease (increased aggregation)  ITP  HIT  SLE, AIDS  Drug Induced Immune TP: heparin, gold, quinidine, furosemide, cephalosporins, pcn, H2 blockers
  • 23.
  • 24.
    Disseminated Intravascular Coagulation(DIC) Mechanism Systemic activation of coagulation Intravascular deposition of fibrin Depletion of platelets and coagulation factors BleedingThrombosis of small and midsize vessels with organ failure
  • 25.
    Common clinical conditions associatedwith DIC  Sepsis  Trauma  Head injury  Fat embolism  Malignancy  Obstetrical complications  Amniotic fluid embolism  Abruptio placentae  Vascular disorders  Reaction to toxin (e.g. snake venom, drugs)  Immunologic disorders  Severe allergic reaction  Transplant rejection  Fulminant Hepatitis
  • 26.
    DIC Treatment approaches  Treatmentof underlying disorder  Anticoagulation with heparin – when thromboses are an issue  Platelet transfusion – if, bleeding  Fresh frozen plasma – if, bleeding
  • 27.
    TTP Thrombotic ThrombocytopeniaPurpura  Characterized my microangiopathic hemolytic anemia and profound intravascular platelet clumping.  The disease was first reported in 1923 by Dr. Eli Moschowitz at Beth Israel in NYC  16 year old girl who presented with anemia, petechia ultimate coma and death  Terminal arterioles and capillaries were occluded by hyaline thrombi mostly composed of platelets
  • 28.
    Lazarchick, J. ASHImage Bank 2001;2001:100174 Figure 1. Peripheral smear showing microangiopathic hemolytic features with numerous RBC fragments (helmet cells/schistocytes)
  • 29.
    Copyright ©2001 AmericanSociety of Hematology. Copyright restrictions may apply. Lazarchick, J. ASH Image Bank 2001;2001:100174 Figure 2. Peripheral smear showing RBC fragmentation consistent with a microangiopathic hemolytic process
  • 30.
    Clinical and LabManifestations of TTP  Severe thrombocytopenia and hemolytic anemia with one or several fragmented red cells in high power oil >1% total number of RBC  Neurologic Manifestations, abdominal pain  Fever and Renal Abnormalities occur in the minority of patients  Thrombocytopenia range from <30 K to 75 to 100 K  Elevated LDH  Initially coagulation studies are normal
  • 31.
    Type of TTP Familial chronic relapsing  Acquired idiopathic  HIV related TTP  Pregnancy can trigger both acquired and congenital TTP  Drug related  Ticlopidine, Clopidogrel  Cancers: Adenocarcinoma of breast, GI tract and Proastate  Thrombotic Angiopathies that resemble TTP  Mitomycin, cyclosporine, tacrolimus, quinine  Chemotherapy, gemcitabine, TBI  BM and Solid organ transplant
  • 33.
    Moake J. NEngl J Med 2002;347:589-600 Proposed Relation among the Absence of ADAMTS 13 Activity in Vivo, Excessive Adhesion and Aggregation of Platelets, and Thrombotic Thrombocytopenic Purpura
  • 34.
    Differential Diagnosis ofTTP  Other conditions causing MAHA :  Hemolytic-uremic syndrome  DIC  Malignant Hypertension  Pregnancy  Preeclampsia/eclampsia  HELLP  Severe Vasculitis  Evans Syndrome ( Direct Coomb+, No Schistocytes).  Macroangiopathic Hemolysis : Malfunctioning prosthetic cardiac valves
  • 35.
    Treatment of TTP Urgent plasmapheresis ( plasma exchange)  Plasma Infusion : Infusion of FFP 30 cc/kg/day until ready for plasma exchange ( serves as emergency initial measure in those who do not have immediate access to Plasma exchange)  Daily plasma exchange with either FFP or cryopoor FFP (45 to 55 cc/kg/day)  Steroids (Prednisone 1 mg/kg/day) ( may help by suppressing anti-ADAMTS13 antibodies).  Red Blood Cell transfusions if needed  Platelet transfusion may worsen the disease and are avoided. Used only if absolutely necessary ( in very rare cases, where severe bleeding is encountered)  Refractory TTP : In patients with worsening disease despite daily plasma exchange + Steroids  Increase plasmpheresis to twice daily exchange.  Poorly responsive or Recurrent TTP  Add Immunosuppressive therapy -Add Rituximab or Cyclosporine
  • 36.
  • 37.
    Etiology - ChronicHCV-TP  Pathophysiology of HCV-TP is complex and involves the interaction of multiple factors  Hepatic Fibrosis and Cirrhosis  Patients with advanced fibrosis had significantly lower mean platelet counts compared with those having stage 0-2 fibrosis.  Portal Hypertension and Splenomegaly  Splenomegaly and platelet sequestration, or hypersplenism, is seen in 11% to 55% of patients with cirrhosis and portal hypertension. Hence, these are not the only factors to explain TP in chronic liver disease.  Bone Marrow Suppression by HCV  Immune Dysfunction  HCV can bind and alter the confirmation of glycoproteins inducing the formation autoantibodies and there by, immune mediated platelet clearance. High titers of platelet-associated immunoglobulin G (PAIgG) (immune complex–coated platelets) found in 88% of patients with chronic HCV.  Decreased Thrombopoetin levels or activity.  Treatment related Thrombocytopenia. Peg-Interferon ( Inteferon- TP is due to BM suppression and decreased secretion of TPO)
  • 38.
    Prevalence of HCVin Chronic ITP Without Overt Liver Disease 1. Pivetti S, et al. Br J Haematol. 1996;95:204-211. 2. Pawlotsky JM, et al. J Hepatol. 1995;23:635-639. 3. Sakuraya M, et al. Eur J. Haematol. 2002;68:49-53. 4. García-Suárez J, et al. Br J Haematol. 2000;110:98-103. 5. Rajan SK, et al. Br J Haematol. 2005;129:818-824. Study N Platelet Threshold, x 109/L HCV Positive, n (%) Pivetti et al[1] 33 < 100 12 (36) Pawlotsky et al[2] 139 < 25 14 (10) Sakuraya et al[3] 79 < 10 11 (14) García-Suárez et al[4] 51 < 100 13 (23) Rajan et al[5] 250 < 100 76 (30)
  • 39.
    HCV-TP – Impacton HCV Treatment  Greatest challenge of HCV-TP is difficulty in starting or maintaining HCV therapy.  Treatment with Peg-inteferon may reduce platelet counts by 33%  Peg-Inteferon :  Initiation of therapy : Can not be initiated if platelet count < 50k/µl . For standard dose of PEG-Interferon 0.5mcg/kg platelet count must be greater than 70k/µl . Patients with platelet count 50 – 70k/µl can start at 0.25mcg/kg .  Dose must be reduced if platelet count falls below 50k/µl  Permanently discontinued if platelets fall below 25k/µl.  Postponement of treatment due to thrombocytopenia can result in diminished sustained virologic response because of the potential for further progression of liver disease in the absence of treatment. Dose modifications may lower the chances of sustained virological response.
  • 40.
    HCV-TP - Management Platelet transfusions as indicated per routine trigger levels ( Prophylactic transfusion if less than 10k, prior to procedures or if bleeding and if less than 50k). Platelet transfusions are not indicated prior to starting HCV therapy or during therapy unless patients have active bleeding with platelet count <50k.  Splenectomy and splenic artery embolization :  have been used to correct TP in patients with hypersplenism, producing significant and persistent increases in platelet counts.  Used prophylactically prior to anti-HCV therapy, this can improve thrombocytopenia in patients with HCV-induced cirrhosis and hypersplenism, thus facilitating the use of antiviral therapy.  Risks: peri-op mortality, infections and DIC
  • 41.
    HCV-TP - Management Role of TPO receptor agonists: A double blind, phase II trial evaluated whether eltrombopag could facilitate initiation and maintenance of antiviral therapy.  Median platelet counts at baseline and week4 in HCV patients treated with Eltrombopag.  Peg-interferon + ribavirin therapy initiated if platelet counts increased to greater than 70k. number of patients able to initiate antiviral treatment was 80% with eltrombopag vs 22% in the control arm. In total, 65% of patients in the 75-mg dose group, 53% of patients in the 50-mg dosing group, and 36% of patients in the 30-mg dosing group were able to complete the 12-week antiviral therapy phase compared with 6% of placebo-treated patients  Not FDA approved yet. Pivotal phase III studies are underway to further examine eltrombopag in chronic hepatitis C patients with thrombocytopenia.
  • 42.
    Drug Induced Thrombocytopenias Classified as :  Direct Toxicity  BM Suppression  Immune mediated destruction  Pro-hemorrhagic : all other drugs  Pro-Thrombotic : Heparin
  • 43.
  • 44.
    Types of Autoimmunethrombocytopenia Neonatal Thrombocytopenia Isoimmune, Associated with Maternal ITP, Drug-Related Drug Induced Quinidine, Quinine, Sulfa, Gold Salts, Abx (Vanco etc), Heparin Lymphoma Autoimmune disorders Thyroiditis, SLE, Colitis, Sarcoidosis Infections HIV, Rubella, viral Hepatitis, CMV, Lyme disease Postransfusion Purpura ITP
  • 45.
  • 46.
    Frequency of HIT Perspectives More than 1 trillion units heparin used yearly in US; 1/3 of hospitalized exposed (12 million).  Unfractionated heparin – 3 - 5% incidence; Heart surgery 2.5% incidence  LMWHeparin, Catheter-flushes -- ~0.5%  Frequency of thromboemboli : 30%–50% of patients with untreated HIT will have a thrombotic complication within 30 days ( Warkentin TE Am J Med. 1996;101:502–507)  Based on increased morbidity and mortality, heparin cessation alone is inadequate in HIT management
  • 47.
    HIT: Pathophysiology . Formation of PF4-heparin complexes IgGantibody Formation of immune complexes (PF4-heparin-IgG) EC injury PF4 release Platelet activation* Microparticle release Fc receptor Platelet Heparin-like molecules Blood vessel PF4 Heparin
  • 48.
    HIT  Two types– HIT type I and Type II. In general, the term HIT is used widely to refer HIT Type II, the immune form.  Presence of any of the following :  Otherwise unexplained thrombocytopenia  Venos or arterial thromboses associated with thrombocytopenia  A fall in platelet count of 50% or more from a prior value, even if absolute Thrombocytopenia is not present.  Necrotic skin lesions at heparin injection site  Acute systemic ( anaphylactoid) reactions occuring after IV heparin bolus.
  • 49.
    Diagnosis of HIT Normal platelet count before commencement of heparin therapy  Onset of thrombocytopenia typically 5–14 days after initiation of heparin therapy but can occur earlier  Exclusion of other causes of thrombocytopenia (eg, sepsis)  Occurrence of thromboembolic complications during heparin therapy
  • 50.
    Sequelae Incidence Thrombosis 30%–50% Amputation20% (arterial thrombosis) Death 22% to 28% . Clinical Sequelae in HIT
  • 51.
    • 30%–50% ofuntreated patients with thrombocytopenia progress to thrombosis 4:1 Incidence Ratio Venous to Arterial Arterial Aortic/Ileofemoral Thrombosis Acute Thrombotic Stroke Myocardial Infarction, Mural thrombosis, Thrombi in upper limb, mesenteric, renal and spinal arts. Venous Deep Vein Thrombosis Pulmonary Embolism Cerebral Dural Sinus Thrombosis Adrenal Hemorrhagic Infarction Sites of Thrombotic Complications in HIT Warkentin TE Am J Med 1996;101:502–507
  • 52.
    HIT Temporal Variants Day1 Day 4 Day 14 Day 30 Delayed-onset HIT (9–40 days) Rapid-onset HIT (hours–days) Typical HIT Mean Day 9 (5–14 days) Heparin (re) Exposure THROMBOCYTOPENIA (± THROMBOSIS)
  • 53.
    Clinical Suspicion forHIT The 4 T’s (Warkentin, 2003)  Thrombocytopenia  Platelet count fall > 50% and nadir greater than 20k : 2 points  Platelet count fall 30 to 50% or nadir 10 to 19k : 1 point  Platelet count fall < 30% or nadir < 10k : 0 points  Timing of platelet count fall  Clear onset b/w days 5 to 10 or platelet count fall at ≤1 day if prior heparin exposure within the last 30 days: 2 points  Consistent with fall at 5 to 10 days but not clear (eg, missing platelet counts) or onset after day 10 or fall ≤1 day with prior heparin exposure within the last 30 to 100 days: 1 point  Platelet count fall at <4 days without recent exposure: 0 points  Thrombosis or other sequelae  Confirmed new thrombosis, skin necrosis, or acute systemic reaction after intravenous unfractionated heparin bolus: 2 points  Progressive or recurrent thrombosis, non-necrotizing (erythematous) skin lesions, or suspected thrombosis which has not been proven: 1 point  None: zero points  Other causes for thrombocytopenia present —  None apparent: 2 points  Possible: 1 point , Definite: zero points The 5th T : The TEST
  • 54.
    Interpretation  A scoreis determined for each of the four above categories, resulting in a total score from zero to 8.  Pretest probabilities for HIT are, as follows:  zero to 3: Low probability  4 to 5: Intermediate probability  6 to 8: High probability  Laboratory tests are ordered to confirm HIT.
  • 55.
    Laboratory Testing forHIT Test Advantages Disadvantages SRA Sensitivity >95%,Technically demanding Specific > 95% Low predictive value HIPA Rapid, available Variable sensitivity (30% – 80%); Technique-dependent ELISA High sensitivity High cost, less specificity, > 95% 10% false-negative tests There is no Gold Standard in diagnostic testing; HIT requires a clinical diagnosis .
  • 56.
    HIT - Managment Stop all Heparin, including heparin flushes. If dialysis, must be Heparin free.  Platelet transfusions are relatively contraindicated. ( except in those with overt bleeding).  If Intermediate or High pre-test (clinical) probability + Positive ELISA (Anti-PF4 antibody)  Start alternative anticoagulant.  For low clinical probability, positive ELISA  consider false positive ELISA. Obtain Serotonin Release Assay which is more specific.  If clinical probability increases over time from a prior value but if initial HIT was negative  Repeat HIT antibody (ELISA) (may turn positive. ) Start alternative anticoagulant
  • 57.
    Alternative Anticoagulants Drug Indications ArgatrobanFDA-approved for HIT (also for PCI) Lepirudin FDA-approved for HIT Bivalirudin (Angiomax) PCI (including HIT patients) Fondaparinux (Arixtra) FDA approved for DVT Prophylaxis in patients with Hip#, Hip or knee replacements. Also used in Rx of VTE. Not yet approved for HIT (Off-label use) Danaparoid Approved for HIT in Canada, Europe, Aust.
  • 58.
    Argatroban  Synthetic DirectThrombin Inhibitor indicated as a prophylactic anticoagulant or for treatment of thromboses in HIT.  MOA : Directly inhibits Thrombin, Reversibly binds to the thrombin catalytic site and Active against both free and clot- bound thrombin  Rapid Onset of Action  In healthy subjects, the pharmacokinetics and pharmacodynamics of Argatroban were NOT affected by renal impairment, age, or gender  Dosage adjustment is NOT necessary in renally impaired patients  Hepatic impairment decreases Argatroban clearance; therefore, the dosage must be reduced for hepatically impaired patients
  • 59.
    Guidelines for Argatroban HIT Patients HIT Patientswith Renal Impairment HIT Patients with Hepatic Impairment * Not to exceed a dose of 10 µg/kg/min or aPTT of 100 seconds † Due to approximate 4-fold decrease in Argatroban clearance relative to those with normal hepatic function Initiate at 2 µg/kg/min Titrate until steady-state aPTT is 1.5–3.0 times baseline value* No dosage adjustment required Initiate at 0.5 µg/kg/min† Titrate until steady-state aPTT is 1.5–3.0 times baseline value*
  • 60.
    Guidelines for Conversionto Oral Anticoagulant Therapy  Initiate warfarin only when platelet count increases above 100k.  All direct thrombin inhibitors, including Argatroban, may increase prothrombin time (PT); this must be taken into consideration when converting to warfarin therapy  Coadministration of Argatroban and warfarin does produce a combined effect on the laboratory measurement of the INR.  Concurrent therapy with Argatroban and warfarin does not exert an additive effect on the warfarin mechanism of action (e.g., factor Xa activity)  The previously established relationship between INR and bleeding risk is altered during combination therapy  For example, an INR of 4 on co-therapy may not have the same bleeding risk as an INR of 4 on warfarin monotherapy.  Continue anticoagulation for 2-3 months in HIT with out thromboses but continue it for 6 months if a thrombotic event occurred.
  • 61.
    Guidelines for Conversionto Oral Anticoagulant Therapy If INR is below the therapeutic range for warfarin alone, resume Argatroban therapy If INR is >4.0, stop Argatroban infusion Initiate warfarin therapy using the expected daily dose of warfarin while maintaining Argatroban infusion.* A loading dose of warfarin should not be used If INR is within therapeutic range on warfarin alone, continue warfarin monotherapy If INR is 4.0, continue concomitant therapy Repeat INR 4-6 hours later Measure INR daily * For Argatroban infusion at 2 µg/kg/min, the INR on monotherapy may be estimated from the INR on cotherapy. If the dose of Argatroban >2 g/kg/min, temporarily reduce to a dose of 2 g/kg/min 4-6 hours prior to measuring the INR.
  • 62.
    The Key toAvoiding Catastrophes from HIT is Awareness, Vigilance, High Degree of Suspicion When a patient... + experiences a drop in platelet counts + develops thrombosis Consider HIT during/soon after heparin exposure* * Heparin exposure may be through virtually any preparation (including LMWH), any dose, or any route of heparin (including flushes and coated lines)
  • 63.
    •Thienopyridines – Clopidogrel,Ticlopidine induced TTP •GP IIb/IIIa inhibitor induced TP •Abciximab – True TP, Pseudo-TP •Heparin Induced TP •Open Heart Surgery – Bypass circuit •Intra Aortic Balloon Pump (IABP)
  • 64.
    Differential Diagnosis ofThrombocytopenia Clinical Setting – Cardiac Inpatients  HIT  Use of platelet GP IIb/IIIa-receptor antagonists  Use of adenosine diphosphate-receptor antagonists  Coronary-artery bypass grafting  Use of intra-aortic ballon pump Aird AC, Mark EJ. N Engl J Med. 2002;346:1562-1570.
  • 65.
    Clues to Diagnosisof HIT in patients after Open-Heart Surgery  Prolonged thrombocytopenia  Rise in platelet count after surgery with subsequent fall  Multiple positive functional (SRA) and antibody (ELISA) assay results  Unusual or unexpected thrombosis (may require noninvasive testing)  Multiple thrombotic events  Systemic reaction shortly after heparin bolus
  • 66.
  • 67.
    Immune Mediated ThrombocytopeniaPurpura (ITP)  Idiopathic ITP vs. Secondary ITP  Idiopathic or Primary ITP : Defined as isolated thrombocytopenia with  Platelet count < 100 x 109/L  No other cause of thrombocytopenia  No clinically evident secondary form of thrombocytopenia.  High prevalence disease 16 to 27 per million per year  Incidence increases with age  Female predominance under the age of 60 but not over the age of 60  May have onset or insidious onset  generally abrupt in onset with children and insidious in adults.
  • 68.
    Pathogenesis of ITP Increased platelet destruction caused by antiplatelet antibodies  antibodies directed against platetelet membrane antigens such as GPIIb/IIIa  the platelets coated with immune complexes bind to Fc portion of macrophages in spleen and other RES and are removed.  Lack of compensatory response by megakaryocytes due to suppressive effect of antiplatelet antibodies  So, a combination of increased platelet destruction + ineffective megakaryopoiesis.  Pathogenesis was proved by Harrington when he infused himself with plasma from a women with ITP ( Harrington-Hollisworth Experiment)
  • 69.
    Secondary ITP  Post-Infectious: HIV, HEP-C, H.PYLORI  Vasculitis : SLE  Lymphoproliferative Disorders : CLL, NHL, HD  Drug Dependant ITP (DDITP) : Drug induced TP can be sometimes mediated by antibodies eg: quinidine, sulfa containing drugs
  • 70.
    Estimated Prevalence ofSecondary ITP in the US SLE 5% APS 2% CVID 1% CLL 2% Evan’s 2% ALPS, post-tx 1% HIV 1% Hep C 2% H. pylori 1% Postvaccine 1% Misc systemic infection 2% Primary 80% This research was originally published in Blood. Cines DB, et al. Blood. 2009;113:6511-6521. © the American Society of Hematology
  • 71.
    Secondary ITP Immune Thrombocytopenia- Postinfection HIV HCV H. pylori
  • 72.
    *Platelets < 50x 109/L Study N ITP, n (%) Murphy et al[1] 105 11 (10.5) Kaslow et al[2] 1611 108 (6.7) Rossi et al[3] 657 72 (10.9) Peltier et al[4] 435 23 (5.5) Mientjes et al[5] 285 67 (23.5) Sloand et al[6] 1004 110 (11) Sullivan et al[7] 30,214 1106 (3.7)* Total 34,311 1497 (4.4) 1. Murphy MF, et al. Br J Haematol. 1987;66:337-340. 2. Kaslow RA, et al. Ann Intern Med. 1987;107:474- 480. 3. Rossi G, et al. AIDS Res Hum Retroviruses. 1990;6:261-269. 4. Peltier JY, et al. AIDS. 1991;5:381- 384. 5. Mientjes GH, et al. Br J Haematol. 1992;82:615-619. 6. Sloand EM, et al. Eur J Haematol. 1992;48:168-172. 7. Sullivan PS, et al. J Acquir Immune Defic Syndr Hum Retrovirol. 1997;14:374-379.  Therapeutic interventions: prednisone, anti-D, splenectomy, or HAART Incidence of ITP in HIV
  • 73.
    Evaluation of ITP Features consistent with the diagnosis of ITP  Thrombocytopenia with normal or slightly large platelets ( Increased MPV)  Normal RBC morphology and number (may have associated iron def or thallasemia etc.)  Normal white cell number and morphology  Splenomegaly is extremely rare  Features not consistent with the diagnosis of ITP  Giant platelets ( ? Congenital)  RBC abnormalities ie schisotocytes ( ? TTP/HUS, DIC)  Leukocytosis or Leukopenia (? MPD/MDS, Sepsis )
  • 74.
    Laboratory evaluation ofITP  Not Much !!!  No role for anti-platelet antibodies : many are highly sensitive but they lack specificity.  Bone Marrow not very helpful as initial test  Helpful in patient over 50 years and concerned about MDS  If more than one cytopenia ( If not “isolated” TP)  If patient has failed initial treatment and diagnosis is in question.  If abnormal forms on peripheral smear ( nucleated RBCs, blasts)  TSH and HIV test helpful, HCV serology  Peripheral Smear helpful
  • 75.
    Management of ITP Most patients with ITP do not have clinically significant bleeding  Risk of intracranial bleed 0.1 to 1% (This is an overestimate)  Wet Purpura ie epistaxis, gingival bleeding is a risk factor for major bleeding  Treatment is rarely indicated in patients with platelet counts > 50 x 109/L.  In asymptomatic patients with platelets counts greater then 20 K observation is reasonable option. ( Wide range of opinions on trigger platelet count at which Rx should be initiated)  Patients with higher bleeding risk due to other factors may be chosen for earlier treatment.
  • 76.
    Timeline: introduction ofmodern day ITP drug treatment Splenectomy Corticosteroids IVIg Anti-D Rituximab TPO mimetics 1900 1920 1960 20001940 1980
  • 77.
    Cines DB, etal. N Engl J Med. 2002;346:995-1008. Pathophysiology of ITP – Intevention Areas
  • 78.
    Acute Pharmacologic Managementof ITP  Steroids  Prednisone 1mg/kg/day with taper over 2 to 3 months  Solumedrol 30mg/kg/d x 7 days  Decadron  Antibodies  IVIG 1 gram/kg/day x 2 days  Anti-D 50 mcg/kg IV x1 dose in Rh+ patients  Binds to D antigen on erythrocytes that now bind to Fc portions of macrophages saturating them  Opsonized erythrocytes compete with opsonized platelets for clearance by macrophages.  IVIG vs. Anti-D : No definitive recommendations are made regarding the preferential use of one agent over another; both agents have adverse events and even fatal events associated with their use. Anti-D may be associated with a longer duration of response, whereas IV IgG may be preferred in patients with CVID. Consideration should be given to specific patient issues such as age, comorbidities, renal function, and hemoglobin level in choosing which agent to use
  • 79.
    Treatment Strategy Response Rate Time to Response Response Duration Cortico- steroids Prednisone: 0.5-2mg/kg x 2-4weeks 70-80% respond initially Several days to several weeks Uncertain Me-Pred: 30mg/kg/d for 7 days ≤ 95% respond initially Few days 23% have > 50x109/L at 39 months Immune Globulin IVIg: 0.4g/kg/d x 5d, 1g/kg/d x 1-2d ≥ 80% respond initially 1-2 days 3-4 weeks, months in some Anti-D: 50–75 µg/kg 50-80% (dose dependent) 1-5 days (dose dependent) Typically 3–4 weeks, months in some This research was originally published in Blood. Provan D, et al. Blood. 2009;[Epub ahead of print]. © the American Society of Hematology. Frontline Therapies for Adult ITP
  • 80.
    Management of ITP Selection of therapeutic option depends on : – Urgency of platelet increase – Tolerated toxicity by patient, eg, steroids – Durability of effect – Effect of thrombocytopenia and treatment on lifestyle and profession ( ? people involved in contact sports etc)
  • 81.
    Chronic Management ofITP If no durable response or in non-responders :-  Splenectomy  Immunize with Pneumovax, Hib, Meningococcal  Chronic Anti-D therapy  Does not put the disease in remission  Rituximab  Eltrombopag ( c-MPL agnonists, TPO receptor agonists)  Observation
  • 82.
    Management of AdultITP: Rituximab  Since previous consensus guidelines[1,2] were published, several studies on the use of anti-CD20 therapy have been published  Approximately 60% of patients respond to rituximab treatment and approximately 45% have a CR[3]; long-term responses (> 4 yrs) occur in 20% of patients  The optimal dose of rituximab for ITP treatment is unknown and cases of multifocal leukoencephalopathy have been reported, particularly in patients who have been previously heavily immunosuppressed[4]  The drug may be more effective if used earlier in the course of ITP ( may save splenectomy) 1. George JN, et al. Blood. 1996;88:3-40. 2. British Committee for Standards in Haematology General Haematology Task Force. Br J Haematol. 2003;120:574-596. 3. Arnold DM, et al. Ann Intern Med. 2007;146:25-33. 4. Provan D, et al. Blood. 2009;[Epub ahead of print].
  • 83.
    Management of AdultITP: Thrombopoietin Receptor Agonists  Recent placebo-controlled randomized clinical trials have demonstrated the utility of 2 thrombopoietin receptor agonists, romiplostim and eltrombopag, in increasing platelet counts in patients refractory to first- or second-line therapy[1,2]  These are maintenance agents that support a safe platelet count but have no effect on the underlying ITP pathophysiology  However, the ability of these agents to increase platelet counts in refractory postsplenectomy patients, allowing for reduction or cessation of immunosuppressive agents, may make them the treatment of choice in this patient population.  FDA approved for Chronic Refractory ITP. 1. Kuter DJ, et al. Lancet. 2008;371:395-403. 2. Bussel JB, et al. Lancet. 2009;373:641-648.
  • 84.
    Immune Thrombocytopenia: New definitions Only patients who fail or relapse after splenectomy are considered as having refractory ITP.  Why: Splenectomy can induce a long-term unmaintained remission in > 60% of patients.  Quality of response – CR: platelet count ≥ 100 x 109/L and absence of bleeding R: platelet count ≥ 30 x 109/L and at least 2-fold increase the baseline count and absence of bleeding – NR: platelet count < 30 x 109/L or less than 2-fold increase of baseline platelet count or bleeding  Time to response: time from starting treatment to time of achievement of CR or R  Loss of CR or R: platelet count < 100 x 109/L or bleeding (from CR) or < 30 x 109/L or less than 2-fold increase of baseline platelet count or bleeding (from R)  Timing of assessment of response to ITP treatments – Variable, depends on the type of treatment  Duration of response – Measured from the achievement of CR or R to loss of CR or R – Measured as the proportion of the cumulative time spent in CR or R during the period under examination as well as the total time observed from which the proportion is derived  Corticosteroid-dependence – The need for ongoing or repeated doses administration of corticosteroids for at least 2 months to maintain a platelet count at or > 30 x 109/L and/or to avoid bleeding (patients with corticosteroid dependence are considered nonresponders) Rodeghiero F, et al. Blood. 2009;113:2386-2393.
  • 85.
    New Recommendations forITP Evaluation  Bone marrow aspirate and biopsy with flow studies for patients older than 60 yrs[1]  Why: In addition to excluding underlying myelodysplasia, flow studies may be helpful in identifying patients with an ITP secondary to CLL[1]  Screen for HIV and HCV antibodies and assess H. pylori infection by urea breath or stool antigen test[1]  Why: 4% to 30% of patients, depending on the background infection rates in the local population, may have ITP secondary to HIV, HCV, or H. pylori; treatment of the primary chronic infection can result in an increase in the platelet count[2]1. Provan D, et al. Blood. 2009;[Epub ahead of print]. 2. Cines DB, et al. Blood. 2009;113:6511-6521.
  • 86.
    New Recommendations forITP Evaluation  Quantitative immunoglobulins[1]  Why: This test should be done before patients receive intravenous immunoglobulins; this will reveal patients with CVID or IgA deficiency  Direct antiglobulin test[1]  Why: A positive DAT was reported in 22% of 205 patients with ITP[2]; important if patient has anemia and/or a high reticulocyte count  Blood group Rh(D) typing[1]  Why: Important if treatment with anti-RhD immunoglobulin is being considered; should be done in conjunction with DAT, since a positive DAT may modify a decision to use anti-D therapy 1. Provan D, et al. Blood. 2009;[Epub ahead of print]. 2. Aledort LM, et al. Am J Hematol. 2004;76:204-213.
  • 87.
    Management of ITPin pregnancy  Gestational Thrombocytopenia  Platelet count >70K, occurs late in gestation, not associated with fetal thrombocytopenia, resolves after pregnancy  ITP in pregnancy  Treat if symptoms - intermittent IVIG, Prednisone, anti- D  Epidural anesthesia appears safe if platelet count > 50K  Monitoring for neonatal thrombocytopenia
  • 89.
    Practical Aspects forthe management of thrombocytopenia  What is an adequate platelet count for procedures? “Platelet transfusion trigger”  Routine Dentistry >10K  Dental Extraction >30K  Regional Dental Block >30K  Minor Surgery >50K  Major Surgery>80K  Epidural anesthesia is okay at platelet count 50K for patient with ITP  The target platelet count for a bleeding patient is generally >50K  Prophylactic platelet transfusions for platelets < 10K
  • 90.
    Prophylactic Versus TherapeuticPlatelet Transfusions  Platelet transfusions for active bleeding much more common on surgical and cardiology services  Prophylactic transfusions most common on hem/onc services  10 x 109/L has become the standard clinical practice on hem/onc services
  • 91.
    Platelet transfusions Source Platelet concentrate (Random donor) Each donor unit should increase platelet count ~10,000 /µl  Pheresis platelets (Single donor) ( Equal to 10 random donor plt concentrates)  Storage  Up to 5 days at room temperature
  • 92.
    Factors affecting apatients response to platelet transfusion  Clinical situation: Fever, sepsis, splenomegaly, Bleeding, DIC  Patient: alloimunization, underlying disease, drugs (IVIG, Ampho B)  Length of time platelets stored ( shelf life)  15% of patients who require multiple transfusions become refractory (alloimmunization)
  • 93.
    Strategies to improveresponse to platelet transfusions  Treat underlying condition  Transfuse ABO identical platelets  Transfuse platelets <48 hrs in storage  Increase platelet dose  Select compatible donor  Cross match  HLA match
  • 94.
    Platelet transfusions -complications  Transfusion reactions  Higher incidence than in RBC transfusions ( febrile non- hemolytic)  Related to length of storage/leukocytes/RBC mismatch  Bacterial contamination  TRALI  Post-Tranfusion Purpura
  • 95.
  • 96.
    Inherited Thrombocytopenias –Mechanisms  Mutations in specific genes that play an important role during the development of platelets or the cells that make them, megakaryocytes.  Many forms but all of them are rare  frequently mistaken by physicians for something else, usually, ITP.
  • 97.
    Inherited thrombocytopenias –Clinical Spectrum  Ranges from severe bleeding diatheses recognized during early weeks of life to mild forms that may remain undetected even in adulthood  Diagnosis is difficult  Differentiating these ( especially the mild forms that are detected in adults) from acquired thrombocytopenias, especially ITP, is critical to avoid potentially harmful and unnecessary treatments ( immunosuppressive therapes, splenectomies)
  • 98.
    Inherited thrombocytopenias – Questionsto help differentiate from immune/ acquired etiology  Have the symptoms ( increased bleeding, bruising, petechiae) been present for a long time?  Were platelet counts ever found to be low in the past?  Are there any other family members who might have similar symptoms or thrombocytopenia?  What has been the response to treatment? ( steroids, IVIG, Splenectomy)  Response to platelet transfusions (if required)?
  • 99.
    Inherited Thrombocytopenias –Clues to diagnosis  History : Chronicity of symptoms, age at presentation, family history, other co-existent symptoms ( hearing loss, immunodeficiency etc)  Mean Platelet Volume ( N = 7-11fl)  Peripheral smear - careful examination is warranted for Recognition of macro or micro thrombocytes will narrow the differential Presence of abnormal platelet granules Neutrophil inclusions ( Dohle bodies) Erythroid tear drop cells Hairy cell leukemia
  • 100.
    Peripheral blood platelets.(A) Normal blood smear (B) Macrothrombocyte. The platelet depicted (arrow) is larger than the average erythrocyte. (C) Microthrombocytes (arrows) are typical of those seen in Wiskott-Aldrich syndrome or X-linked thrombocytopenia. (D) Döhle-like bodies in the cytoplasm of neutrophils (arrows) are seen in the May-Hegglin anomaly. (Wright-Giemsa stain). Copied from 1. Drachman JG. Inherited thrombocytopenia: when a low platelet count does not mean ITP. Blood 2004;103: 390-398
  • 101.
    Inherited thrombocytopenias –Classification  Classified depending on: the pattern of inheritance the size of the platelets whether or not there are other signs or symptoms that are part of a syndrome.
  • 102.
    Inherited Thrombocytopenias-Classification Based onpattern of inheritance:  Autosomal Dominant  MYH9 related thrombocytopenias  Mediterranean macrothrombocytopenias  Velocardiofacial/DiGeorge Syndromes ( CATCH22)  Familial Platelet Disorder with Associated Myeloid Malignancy (FPDMM)  Autosomal dominant Thrombocytopenia with linkage to Human Chromosome2 ( THC2)  Paris Trousseau Thrombocytopenia  Gray Platelet Syndrome (GPS)  Autosomal Recessive  Congenital AMegakaryocytic Thrombocytopenia (CAMT)  Thrombocytopenia with Absent Radii (TAR)  Bernard-Soulier Syndrome (BSS)  X-linked Recessive  Wiskott-Aldrich Syndrome  X-linked Thrombocytopenia  GATA-1 Mutations ( X-linked Macrothrombocytopenia)
  • 103.
    Inherited Thrombocytopenias-Classification Based onPlatelet Size  MPV < 7 fl ( Microthrombocytopenias)  Wiskott-Aldrich Syndrome  X-linked Thrombocytopenia  MPV 7-11 fl (Normal)  FPDMM  THC2  CAMT  TAR  MPV > 11 fl (Large, giant platelets - Macrothrombocytopenias)  MYH9 related thrombocytopenias  Mediterranean macrothrombocytopenias  Velocardiofacial/DiGeorge Syndromes ( CATCH22)  Paris Trousseau Thrombocytopenia  Gray Platelet Syndrome (GPS)  Bernard-Soulier Syndrome (BSS)  GATA-1 Mutations ( X-linked Macrothrombocytopenia)
  • 104.
    Mey-Hegglin Anomaly 1. Firstrecognized in 1909 2. Diagnosis :  Mild to moderate thrombocytopenia, platelet function is largely preserved  Macrothrombocytopenia with an MPV>11 fl  frequent giant platelets on peripheral smear  Dohle like cytoplasmic inclusions ( bluish granules in neutrophilic cytoplasm with wright- giemsa stain) in neutrophils  Absence of co-existing clinical features like nephritis, sensori-neural hearing loss and cataracts  MYH9 mutation on genetic testing
  • 105.
  • 106.
    Fechtner Syndrome  Macrothrombocytopenia + Neutrophilic Inclusions +  Additional features like Nephritis + Sensorineural hearing loss + Cataracts
  • 107.
    Epstein Syndrome  Macrothrombocytopenia + Absent Neutrophilic Inclusions +  Additional features like Nephritis + Sensorineural hearing loss but no cataracts
  • 108.
    MYH9 Related Disorders- Therapy  Only mildly increased bleeding.  Usually diagnosed during routine testing of an asymptomatic individual  Does not usually require therapy.  Educating the affected families (Inheritance pattern – AD) about this diagnosis is paramount to avoid potentially dangerous treatments for presumed ITP.
  • 109.
    - Common inSouthern Europe - Very mild macrothrombocytopenia ( 70-150k) - Giant platelets but largely preserved platelet function - Gene Mutation – GP1BB (vWf Receptor) - Chromosomal location – short arm of chr12.
  • 110.
  • 111.
    CATCH22 Mild Macrothrombocytopenias No serious bleeding  Characterized by cardiac abnormalities, parathyroid and thymus insufficiencies, cognitive impairment and facial dysmorphology  Deletion of GP1BB gene ( Chromosome location 22q11)  No need of therapy for these mild thrombocytopenias  however, recognize these conditions to avoid unnecessary therapies.
  • 112.
  • 113.
    FPDMM  Autosomal DominantInheritance.  Normal sized platelets  Striking predisposition for hematological malignancy.  Associated findings : AML, Myelodysplasia  Therapy: In view of high incidence of myeloid leukemia at a young age (<60yrs), most patients will undergo stem cell transplantation  physician should be aware of FPDMM so that mild thrombocytopenia in a HLA matched sibling will not go unnoticed  this is important as the recepient may develop donor derived leukemia.  If AML1 mutation is identified in a pt with FPD/AML  must screen all potential sibling donors even if platelet count is normal.
  • 114.
    ?Gene mutation –FLJ14813 Chromosome location 10p12
  • 115.
    THC2  Mild thrombocytopenia Normal sized platelets  Serious hemorrhage is rare  Megakaryocytes are present in bone marrow but are small and have hypolobulated nuclei. ( unlike CAMT where MKs are absent.)  No therapy is required. Again, recognition is important to avoid unnecessary therapies.
  • 116.
  • 117.
    Gray Platelet Syndrome AD inheritance pattern  Macrothrombocytopenia  Absent alpha granules in the platelets giving a gray color on wright-giemsa staining.  Mild bleeding risk.
  • 118.
    Gene Mutation: MPL Chromosomelocation: 1p34 Associated findings : severe marrow failure during 2nd decade leading to pancytopenia
  • 119.
    CAMT  Autosomal recessiveinheritance  both parents are carriers and may have normal platelet number and function.  Severe Thrombocytopenia in the neonates ( <10,000/ul, MPV normal) secondary to ineffective megakaryopoeisis.  Recognized during first few days of birth due to easy bleeding/bruising.  Diagnosis : Severe Neonatal Thrombocytopenia Absence of MKs in the bone marrow Consider and rule out other differential diagnoses Diagnosis is confirmed by molecular analysis of the MPL gene. Most severe form of CAMT is due to complete absence of MPL receptor expression/function. Milder form is due to residual activity of a mutant MPL receptor
  • 120.
    CAMT Course :  SevereCAMT is recognized during the first few days of birth due to easy bleeding/bruising.  Milder form of CAMT is associated with low platelet number but sufficient to prevent severe bleeding.  Mild form progresses to worsening thrombocytopenia by the first decade of life. Also, associated with reduced leucopoeisis and erythropoeisis  By the second decade of life, can progress to pancytopenia.  When pancytopenia develops, CAMT may be confused with other marrow failure disorders ( Aplastic Anemia, Fanconi anemia and Dyskeratosis congenita) Therapy:  Initial Rx : Platelet transfusion in neonates to prevent serious bleeding  Platelet increments and survival will be normal.  Platelet transfusion should be reserved for symptomatic patients to prevent children from refractoriness because of alloimmunization.  HSCT ( Hematopoeitic Stem Cell Transplantation)  should be considered as soon as the diagnosis is confirmed and the donor has been identified.
  • 121.
    Severe Neonatal Thrombocytopenia Differentialdiagnosis Congenital types  CAMT  MKs (-) in bone marrow  TAR  differentiating feature would be associated skeletal hypoplasia of the arms. MKs + in bone marrow  WAS  presence of microthrombocytes. MKs + in bone marrow Acquired types  Neonatal AlloImmune Thrombocytopenia (NAIT)  Resolves over several weeks as maternal antibodies are cleared ( in contrast to CAMT that progresses). MKs + in the bonemarrow.  Maternal transfer of antiplatelet antibodies ( in cases of maternal ITP)
  • 122.
    Neonatal AlloImmune Thrombocytopenia A platelet analogue of the hemolytic disorder of the newborn  Mechanism : Induced by feto-maternal alloimmunization  Women who lack common platelet antigens may produce antibodies against paternal antigens that are expressed in the developing fetus  NAIT typically associated with anti-HPA-1a antibodies generated in response to fetal HPA-1a platelets in a mother homozygos for HPA-1b phenotype.  Affects 1 in 1500 pregnancies. 50% occur during first pregnancies ( unlike hemolytic disease of newborn)  Can lead to severe thrombocytopenia of fetus/ newborn  can manifest with intracranial bleeding.
  • 123.
    Neonatal AlloImmune Thrombocytopenia Therapy: Maternal platelet transfusions ( HPA-1a negative) to severely thrombocytopenic newborns.  IVIG and steroids to the neonate if thrombocytopenia is life threatening and persistent.  NAIT may persist for few weeks until all maternal antibodies have cleared.
  • 124.
    Thrombocytopenia with AbsentRadii Gene Mutation: unknown Chromosome Location: unknown Autosomal Recessive ( Parents usually completely healthy)
  • 125.
    TAR  Severe thrombocytopeniaat birth  Platelet transfusions are frequently required in neonates  Normal sized platelets.  MKs present in bone marrow  Associated with skeletal anomalies  shortened/ absent forearms due to defects in development of bilateral radii.  Unlike CAMT, TAR will become less severe during first year of life. Most affected people will not need platelet transfusions after infancy.
  • 126.
    Autosomal Recessive Absence/ decreasedVWF receptor on platelets. Gene Mutation : GP1BA (alpha)/GP1BB Chromosome location: chr17
  • 127.
    Bernard-Soulier Syndrome  Mildlifelong macrothrombocytopenia (MPV>11 fl)  Bleeding tendency exceeds that predicted by degree of thrombocytopenia.  Decreased expression of Vwf  deficient binding of vWF to the platelet membrane at sites of vascular injury, resulting in defective platelet adhesion  demonstrated by the lack of aggregation of platelets in response to ristocetin, an antibiotic that normally causes platelets to aggregate  deficient formation of the primary platelet plug and increased bleeding tendency.  The cause of the thrombocytopenia is not definitely known.  Questions remain! Why does a defect in VWF receptor cause macrothrombocytopenia? Does the VWF receptor play a role in thrombopoeisis?
  • 128.
    X-linked inheritance –common in males Microthrombocytopenia Gene Mutation: WAS Chromosome Location: Xp
  • 129.
    WAS  Almost exclusivelyaffects male child  Moderate to severe Microthrombocytopenia ( 5k to 50k) in the neonates ( very reduced MPV of 3.5-5.0 fl)  Associated Findings : Eczema, Immunodeficiency and increased incidence of autoimmune diseases and lymphomas.  Generally recognized in first year of life due to easy bleeding/bruising as well as recurrent bacterial infections.  Diagnosis confirmed by genetic analysis of WAS  Mechanisms by which WAS mutation leads to microthrombocytopenia not completely understood  MKs appear to be normal or increased in bonemarrow suggesting a block during thrombopoeisis.  Also, both platelet size and number improve after splenectomy suggesting the role of RES in platelet removal ( although no anti platelet antibodies have been detected)
  • 130.
    WAS Therapy:  Infections –MCC of death in WAS  IVIG ( IV gamma globulin) and broad spectrum antibiotics – Initial therapies  have increased median life expectancy of severe WAS patients from 5yrs to 20yrs  Thrombocytopenia can be severe and lead to life threatening bleeding  Acute Rx involves platelet transfusions  note that transfusions provide normal increments and survival of circulating platelets.  Splenectomy can induce good increases in platelet counts. However, should reserved for severe cases where HSCT is not feasible. Because Splenectomy heavily increases risk of sepsis/infection in WAS. (In a series of 39 patients, surgery normalized platelet count and morphology in almost all cases, and the median survival of splenectomized subjects was 25 years, compared with less than 5 years in unsplenectomized ones. Ref: Mullen CA, Anderson KD, Blaese RM. Splenectomy and/or bone marrow transplantation in the management of the Wiskott-Aldrich syndrome: long-term follow-up of 62 cases. Blood. 1993;82: 2961-2966 )  HSCT is the only curative therapy which corrects both thrombocytopenia and immunodeficiency
  • 131.
    - Microthrombocytopenia absentfeatures of WAS Substantially lower risk of late complications such as lymphoma
  • 132.
  • 133.
    GATA1 Mutation  X-linkedthrombocytopenia which is macrothrombocytopenia (MPV>11 fl)  Exclusively affects male children  Associated with mild to moderate dyserythropoeisis leading to mild anemia.  Clinically, differentiated from WAS by presence of large platelets and absence of WAS related associations.  Bone marrow is hypercellular with dysplastic features in MK cell and erythroid lines  but there is no progression to myelodysplasia/ leukemia/bonemarrow failure  Thrombocytopenia is significant ( 10k to 40k) and can sometimes lead to severe bleeding.  Confirmation is by sequencing of GATA1 gene
  • 134.
    GATA1 Mutation Therapy:  Therapeuticplatelet transfusions ( in scenarios of persistent bleeding and trauma/surgical challenge)  HSCT is curative if anemia/thrombocytopenia becomes life-threatening.  Future therapies may include repair of GATA1 mutation (gene therapy)
  • 135.
    Role of Splenectomyin Congenital thrombocytopenias  Definitive role has been established in WAS ( in cases where HSCT is not feasible)  Different opinions in other inherited thrombocytopenias (enclosed)