Recent Advances in Histopathology - 23
Sebastian Lucas
 MMR: 11.4/1,00,000 (UK), 120 death a year
 India : 178 per 1,00,000
 Possible cause of death is very wide
 Evaluation of causation is complex
 Medical, social and legal consequences are
profound, prolonged and expensive
 Death at anytime during pregnancy, delivery
and up to 42 days postdelivery
 Deaths after 42days from delivery are
included only if they result from a problem
that arose before that caesura
 PPCM
 Prolonged survival in intensive care
 Direct
 Pre-eclampsia, AFE, genital tract trauma and
sepsis, PPH
 Indirect
 Sudden cardiac death, DOA, CHD,VTE, AIDS,
SLE, SUDEP, APLA,Tumors
 Coincidental
 Homicide, road collision, drug toxicity, Cancers
 Cause of death
 Standard protocol
 Information and samples
 Placenta
 Classic form – sudden cardioresp collapse
 Clinical triad
 Hypotension / cardiac arrest
 Pulmonary vasospam
 Coagulopathy with severe bleeding
 High mortality ; treatment is supportive
 Amniotic fluid, amniotic and fetal squamous
cells and hair embolise to small vessels of the
lungs
 H and E
 AB
 HMWCK
 CD31
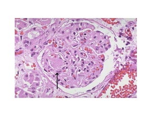
 Renal glomeruli – fibrin thrombi in capillary
lumen – DIC
 Uterus – mucosal bleed – entry of AF into
uterine veins – via CS incision or mucosal split
 Pathogenesis – debated
 Acute anaphylactic response with cardiopulm
shutdown + triggering the clotting cascade
and consumptive coagulopathy
 ? Eg of SIRS – inappropriate release of
endogenous inflammatory mediators, an
abnormal maternal response to fetalAg
 Used as defence against claims of clinical
negligence – Fatal peri or PPH
 AFE : inevitably fatal
 Pre-eclampsia and eclampsia – 3rd trimester
 Increased BP, oedema and proteinuria
 Predisp : essential HT, renal disease & obesity
 Clonic-tonic seizures in pre-eclampsia
 HELLP Syndrome
 Etiopathogenesis – poorly understood
 Generalised vasculopathy
 Mode of acute death
 HT type intracerebral Hm
 Encephalopathy caused by vasogenic edema (
severe generalized version of PRES – due to
endothelial damage)
 Fatal cardiac arrhythmia
 HELLP : intra abdominal Hm
 Brain
 Intracerebral Hm without pre-exisiting berry
aneurysm or predisposing factor (60%)
 Diffuse cortical petechial Hm – occipital lobes
 Swelling and diffuse cerebral oedema
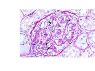
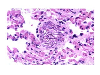
 Kidney
 Glomerular endotheliosis (unique)
 Endothelial cells are swollen ; glomerular capillaries
appear bloodless
 Glomerulus may also herniate into proximal tubules
 Endothelial cells maybe vacuolated with lipid
 Silver staining : string of beads appearance
 Uterus and placenta
 Effects of reduced arterial blood supply on villi + foci
of infarction
 Decidua – atherosis, fibrinoid necrosis of spiral
arterioles
 Liver
 Gross : blotchy focal or confluent Hm necrosis
 Histo : periportal fibrin deposition, Hm and
hepatocyte necrosis ( unique )
 General autopsy findings of hypovolemic
shock
 Pallor
 Pituitary infarction
 Hypoxic – ischaemic neuronal necrosis in brain
 Uterine atony – commonest cause
 Placenta praevia
 Retained placenta
 Placental abruption – severe coagulopathy
 Creta syndromes
 Accreta (villi attach direct to uterine muscle)
 Increta (invade further into myometrium)
 Percreta ( through myometrium)
 Genital tract trauma – large babies / iatrogenic
 ENBLOC removal of genital tract
 Uterine rupture – big baby/ small pelvis/
prolonged labour/ drugs
 Abortion
 Spont ( <24 weeks) : septic or aseptic : genital tract
sepsis/ uterine Hm/ molar preg
 Legal termination of preg
 Criminal : infection/Hm
 Several syndromes with diff pathogensis
 Severe cases – end results : bacteraemic
septic sock and multiorgan failure with DIC
 Placental examination – critical +
microbiological culture + HPE
 Maternal blood cultures : aseptic – neck veins
or heart
CATEGORY TYPICAL INFECTION
AGENT
PATHOLOGY
1. Unsafe abortion Clostridium spp Genital tract necrotising
sepsis ; septic shock;
MOF
2. Ruptured membranes E coli Infected and inflamed
placenta, cord and
membranes, genital tract
sepsis; MOF
3. Post delivery Group A Streptococcus
pyogenes (GAS)
Genital tract sepsis,
sometimes necrotising
with high bact load; MOF
CATEGORY TYPICAL INFECTION
AGENT
PATHOLOGY
4. Community acquired
sepsis
GAS, pneumococcus TSS ; MOF
5. Post partum sepsis
related to birth process
but genital tract not
involved
Gram negative and
positive organisms
Localised sepsis, leading
to MOF
 Collapse and die suddenly
 Critical to examine the entire length of pulm
artery
 Pregnancy is a procoagulant state
 Prevents severe Hm when placenta detaches from
decidua
 10X relative risk ofVTE (through out preg to week
after delivery)
 Common category
 Aneurysm, dissection and rupture – 3rd trimester
 Etiology :multihit
 Inherent predisposition + progestrone-associated
weakening of the media
 Histo : elastic degeneration, mucin deposits and
attenuated muscle
 Outcome : collapse from shock
 Congenital heart lesion with pulmonary HT
 Inheritable cardiomyopathy – HOCM, ARVCM
 Acquired cardiac muscle disease – IHD,
endocardial fibroelastosis, myocarditis
 SADS – sudden unexpected arrhythmic
cardiac syndrome – negative autopsy – long
QT syndrome
 Obesity and sudden cardiac death
 Valvular disease
 Heart failure during last month of pregnancy
and upto 5 months post delivery
 Dilated cardiomyopathy
 Nonsp histology
 Oxidative proapoptotic stress on myocytes,
related to prolactin
 Pregnancy increases risk ofTTP
 Abnormalities of vWF physiology – platelet
clustering and adhesion to endothelia of the
microvasculature – brain, kidney, heart
 Postpartum confusion, MAHA and renal
failure
 Lab : low platelet but normal CF and fibrin
 Preg – relative immunodep state [CMI ]
 Viral infection ( HS , hepatitis , influenza )
 Listeriosis
 Tb
 2009-10 pandemic – type A/H1N1
 3rd trimester preg – influenze pneumonitis
and A/c lung injury
 Acquired secondary bacterial pneumonia
 Preg was the pre-eminent risk factor for
death with H1N1 infection
 Maternal mortality raises by 10 fold
 Late presentation at around time of delivery
 Death –Tb or opportunistic infections, sepsis
or complications of abortion
 Obtain as much as clinical information and lab
data as possible before starting the autopsy
 Take sterile blood culture; later, retain a femoral
venous blood sample
 Pay close attention to pulm artery , heart and
genital tract
 ‘Negative’ autopsy : retain a piece of spleen in
freezer
 To establish cause of death – discuss the case
openly with obstetricians, physicians,
anaesthestists and intensivists
The maternal death autopsy

The maternal death autopsy

  • 1.
    Recent Advances inHistopathology - 23 Sebastian Lucas
  • 2.
     MMR: 11.4/1,00,000(UK), 120 death a year  India : 178 per 1,00,000  Possible cause of death is very wide  Evaluation of causation is complex  Medical, social and legal consequences are profound, prolonged and expensive
  • 3.
     Death atanytime during pregnancy, delivery and up to 42 days postdelivery  Deaths after 42days from delivery are included only if they result from a problem that arose before that caesura  PPCM  Prolonged survival in intensive care
  • 4.
     Direct  Pre-eclampsia,AFE, genital tract trauma and sepsis, PPH  Indirect  Sudden cardiac death, DOA, CHD,VTE, AIDS, SLE, SUDEP, APLA,Tumors  Coincidental  Homicide, road collision, drug toxicity, Cancers
  • 5.
     Cause ofdeath  Standard protocol  Information and samples  Placenta
  • 7.
     Classic form– sudden cardioresp collapse  Clinical triad  Hypotension / cardiac arrest  Pulmonary vasospam  Coagulopathy with severe bleeding  High mortality ; treatment is supportive
  • 8.
     Amniotic fluid,amniotic and fetal squamous cells and hair embolise to small vessels of the lungs  H and E  AB  HMWCK  CD31
  • 10.
     Renal glomeruli– fibrin thrombi in capillary lumen – DIC  Uterus – mucosal bleed – entry of AF into uterine veins – via CS incision or mucosal split
  • 12.
     Pathogenesis –debated  Acute anaphylactic response with cardiopulm shutdown + triggering the clotting cascade and consumptive coagulopathy  ? Eg of SIRS – inappropriate release of endogenous inflammatory mediators, an abnormal maternal response to fetalAg
  • 13.
     Used asdefence against claims of clinical negligence – Fatal peri or PPH  AFE : inevitably fatal
  • 14.
     Pre-eclampsia andeclampsia – 3rd trimester  Increased BP, oedema and proteinuria  Predisp : essential HT, renal disease & obesity  Clonic-tonic seizures in pre-eclampsia  HELLP Syndrome
  • 15.
     Etiopathogenesis –poorly understood  Generalised vasculopathy  Mode of acute death  HT type intracerebral Hm  Encephalopathy caused by vasogenic edema ( severe generalized version of PRES – due to endothelial damage)  Fatal cardiac arrhythmia  HELLP : intra abdominal Hm
  • 16.
     Brain  IntracerebralHm without pre-exisiting berry aneurysm or predisposing factor (60%)  Diffuse cortical petechial Hm – occipital lobes  Swelling and diffuse cerebral oedema
  • 17.
     Kidney  Glomerularendotheliosis (unique)  Endothelial cells are swollen ; glomerular capillaries appear bloodless  Glomerulus may also herniate into proximal tubules  Endothelial cells maybe vacuolated with lipid  Silver staining : string of beads appearance
  • 19.
     Uterus andplacenta  Effects of reduced arterial blood supply on villi + foci of infarction  Decidua – atherosis, fibrinoid necrosis of spiral arterioles  Liver  Gross : blotchy focal or confluent Hm necrosis  Histo : periportal fibrin deposition, Hm and hepatocyte necrosis ( unique )
  • 20.
     General autopsyfindings of hypovolemic shock  Pallor  Pituitary infarction  Hypoxic – ischaemic neuronal necrosis in brain
  • 21.
     Uterine atony– commonest cause  Placenta praevia  Retained placenta  Placental abruption – severe coagulopathy  Creta syndromes  Accreta (villi attach direct to uterine muscle)  Increta (invade further into myometrium)  Percreta ( through myometrium)
  • 23.
     Genital tracttrauma – large babies / iatrogenic  ENBLOC removal of genital tract  Uterine rupture – big baby/ small pelvis/ prolonged labour/ drugs  Abortion  Spont ( <24 weeks) : septic or aseptic : genital tract sepsis/ uterine Hm/ molar preg  Legal termination of preg  Criminal : infection/Hm
  • 24.
     Several syndromeswith diff pathogensis  Severe cases – end results : bacteraemic septic sock and multiorgan failure with DIC  Placental examination – critical + microbiological culture + HPE  Maternal blood cultures : aseptic – neck veins or heart
  • 25.
    CATEGORY TYPICAL INFECTION AGENT PATHOLOGY 1.Unsafe abortion Clostridium spp Genital tract necrotising sepsis ; septic shock; MOF 2. Ruptured membranes E coli Infected and inflamed placenta, cord and membranes, genital tract sepsis; MOF 3. Post delivery Group A Streptococcus pyogenes (GAS) Genital tract sepsis, sometimes necrotising with high bact load; MOF
  • 26.
    CATEGORY TYPICAL INFECTION AGENT PATHOLOGY 4.Community acquired sepsis GAS, pneumococcus TSS ; MOF 5. Post partum sepsis related to birth process but genital tract not involved Gram negative and positive organisms Localised sepsis, leading to MOF
  • 28.
     Collapse anddie suddenly  Critical to examine the entire length of pulm artery  Pregnancy is a procoagulant state  Prevents severe Hm when placenta detaches from decidua  10X relative risk ofVTE (through out preg to week after delivery)
  • 29.
     Common category Aneurysm, dissection and rupture – 3rd trimester  Etiology :multihit  Inherent predisposition + progestrone-associated weakening of the media  Histo : elastic degeneration, mucin deposits and attenuated muscle  Outcome : collapse from shock
  • 30.
     Congenital heartlesion with pulmonary HT  Inheritable cardiomyopathy – HOCM, ARVCM  Acquired cardiac muscle disease – IHD, endocardial fibroelastosis, myocarditis  SADS – sudden unexpected arrhythmic cardiac syndrome – negative autopsy – long QT syndrome  Obesity and sudden cardiac death  Valvular disease
  • 31.
     Heart failureduring last month of pregnancy and upto 5 months post delivery  Dilated cardiomyopathy  Nonsp histology  Oxidative proapoptotic stress on myocytes, related to prolactin
  • 32.
     Pregnancy increasesrisk ofTTP  Abnormalities of vWF physiology – platelet clustering and adhesion to endothelia of the microvasculature – brain, kidney, heart  Postpartum confusion, MAHA and renal failure  Lab : low platelet but normal CF and fibrin
  • 33.
     Preg –relative immunodep state [CMI ]  Viral infection ( HS , hepatitis , influenza )  Listeriosis  Tb
  • 34.
     2009-10 pandemic– type A/H1N1  3rd trimester preg – influenze pneumonitis and A/c lung injury  Acquired secondary bacterial pneumonia  Preg was the pre-eminent risk factor for death with H1N1 infection
  • 35.
     Maternal mortalityraises by 10 fold  Late presentation at around time of delivery  Death –Tb or opportunistic infections, sepsis or complications of abortion
  • 36.
     Obtain asmuch as clinical information and lab data as possible before starting the autopsy  Take sterile blood culture; later, retain a femoral venous blood sample  Pay close attention to pulm artery , heart and genital tract  ‘Negative’ autopsy : retain a piece of spleen in freezer
  • 37.
     To establishcause of death – discuss the case openly with obstetricians, physicians, anaesthestists and intensivists