Gestational trophoblastic
        disease




                Shahin Hameed
Synopsis
 Introduction
   Definition
   Classification
   Epidemiology
   Etiology
   Clinical features
   Imaging
   Tumour spread & staging
   Prognostic factors
Synopsis
 Hydatidiform mole
   Complete mole
   Partial mole
   Invasive mole
   Metastatic mole
 Trophoblastic tumors (neoplastic)
   Gestational choriocarcinoma
   Placental site trophoblastic tumor
   Epithelioid trophoblastic tumor
Synopsis
 Trophoblastic tumor like lesion (benign)
   Placental site nodule
   Exaggerated placental site
 Summary
 References
Introduction
Definition ..
 Gestational trophoblastic disease constitutes a
 diverse group of lesions that includes abnormally
 formed placentas (hydatidiform moles), benign
 nonneoplastic lesions, and gestational
 trophoblastic neoplasms
Epidemiology
 Gestational trophoblastic disease (GTD) varies
  widely among various populations
 As high as 1 in 120 pregnancies in some areas of
  Asia and South America
 The incidence of hydatidiform moles is greater in
  women older than 40 years and is also increased in
  those younger than 20 years.
 Patients who have had prior GTD are more at risk of
  having a second GTD after subsequent pregnancies.
 Other risk factors include: a diet low in vitamin A,
  lower socioeconomic status and blood group A
  women married to group 0 men
Aetiology
 Hydatiform moles arise from abnormal
  conceptions.
 Partial moles result from diandric triploidy,
  whereas complete moles result from diandry
  (fertilization of an empty ovum)
 Up to 50% of choriocarcinomas and 15% of
  placental site trophoblastic tumours follow
  complete moles
Clinical features
 A complete molar pregnancy - first trimester
  bleeding, a uterus larger than expected for
  gestational age and the absence of fetal parts on
  ultrasound in association with a markedly
  elevated beta-human chorionic gonadotropin (b-
  hCG) level
 Other signs include hyperemesis, toxaemia
  during the first or second trimester, theca lutein
  cysts and hyperthyroidism.
 Patients with partial molar gestations-spontaneous
  abortions, sometimes with increased b-hCG levels.
 GTD should always be considered when a patient
  has continued vaginal bleeding following delivery or
  abortion.
Imaging
 A characteristic pattern of multiple vesicles
  (snowstorm pattern) is commonly seen with
  complete molar pregnancy.
 The diagnosis of partial molar pregnancy by
  ultrasonography is more difficult.
Tumour spread and staging
 Choriocarcinoma spreads haematogenously and
  may involve the lung (57-80%), vagina (30%),
  pelvis (20%), brain (17%), and liver (10%)
 Since b-hCG titres accurately reflect the clinical
  disease, histological verification is not required for
  diagnosis.
 Staging should be based on history, clinical
  examination and appropriate laboratory and
  radiological studies.
 Metastatic GTD is categorized by the WHO
  scoring system as low, medium and high risk
 The individual scores for each prognostic factor
  are added together to obtain a total score
 A total prognostic score less than or equal to 4 is
  considered low risk, a total score of 5-7 is
  considered middle risk, and a total score of 8 or
  greater is considered high risk
Somatic genetics
 Overexpression of TP53 protein more commonly
  observed in complete moles and choriocarcinoma
 Overexpression of the p21 gene has also been
  detected in complete moles and choriocarcinoma
 Both complete mole and choriocarcinoma exhibit
  overexpression of several growth factors
  including c-Myc, epidermal growth factors
  receptor (EGFR), c-erbB-2, Rb, mdm2, and bcl-2
  as compared to normal placenta and partial mole
 Strong immunostaining of c-erbB-3 and epidermal
  growth factor receptor in extravillous trophoblast
  of complete mole was significantly correlated with
  the development of persistent gestational
  trophoblastic tumour
Prognosis and predictive
factors
 Major adverse prognostic variables for GTD are:
(1) Age >39
(2) Prior term pregnancy
(3) Interval from antecedent pregnancy of >12
months
(4) b-hCG >105 IU/litre
(5) Tumour mass >5cm
(6) Disease in liver and brain
(7) Failure of 2 or more prior chemotherapies
Hydatidiform moles
Definition
 An abnormal placenta with villous hydrops and
 variable degrees of trophoblastic proliferation.
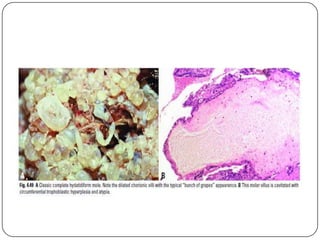
Complete hydatidiform mole
 A hydatidiform mole involving most of the chorionic
 villi and typically having a diploid karyotype
Histopathology
 The villous hydrops of a complete mole is
  characterized by extensive cavitation.
 The trophoblastic proliferation has a circumferential
  distribution, hyperplasia and cytological atypia .
 Intermediate trophoblast of the molar implantation site
  characteristically displays marked cytologic atypia
 A gestational sac, amnion, umbilical cord and fetal
  tissue are not found
 Recently been suggested that villous stromal nuclear
 negative staining for the paternally imprinted gene
 product p57 maybe diagnostically useful for
 confirming the diagnosis of a complete mole
 Although villous cavitation may be minimal in an
  "early" mole, other characteristic villous stromal
  features are present, including hypercellularity and a
  myxoid basophilic stroma
 In addition, unusual villous shapes with complex
  bulbous protrusions ("cauliflower like" villi) and
  trophoblastic atypia are present
Somatic genetics
 Complete moles generally have a 46,XX
  karyotype, and the molar chromosomes are
  completely of paternal origin
 Most complete moles appear to arise from an
  anuclear empty ovum fertilized by a (23X) haploid
  sperm that then replicates its own chromosomes
 About 10% of complete moles have a 46,XY
  karyotype
 The 46,XY complete mole arises from fertilization of
  an anuclear empty egg by two sperm.
 While all chromosomes in a complete mole are
  entirely of paternal origin, the mitochondrial DNA is
  of maternal origin
Partial hydatidiform mole

 A hydatidiform mole having two populations of
  chorionic villi, one of normal size and the other
  hydropic, with focal trophoblastic proliferation.
 The lesion typically has a triploid karyotype
Histopathology

 Histologically, partial moles are characterized by
  the concurrence of four features
(1) Two populations of villi, one hydropic and one
"normal"
(2) Minimal trophoblastic hyperplasia involving
syncytiotrophoblast.
(3) Enlarged cavitated villi.
(4) Other villi with scalloped borders, often
containing trophoblastic inclusions.
 Stromal blood vessels often contain nucleated fetal
 red blood cells; other evidence suggesting fetal
 development including portions of the chorionic sac
 wall, amnion, umbilical cord and embryonic/fetal
 tissue are common
Differential diagnosis
(1) Complete mole.
(2) Hydropic abortus .
(3) Several rare sporadic genetic syndromes such
as the Beckwith-Weidemann syndrome and
placental angiomatous malformation which
collectively have been termed "placental
mesenchymal dysplasia"
Somatic genetics
 Partial moles generally have a triploid karyotype that
  results from fertilization of an apparently normal
  ovum by two sperm
 When fetuses are identified with partial moles, they
  usually have stigmata of triploidy including multiple
  congenital anomalies and growth retardation
Invasive hydatidiform mole

 Invasive hydatidiform mole is defined as villi of
  hydatidiform mole within the myometrium or its
  vascular spaces.
 A clinical diagnosis of invasive mole can be
  suspected when β-hCG titers plateau or increase
  following evacuation of a mole
Pathologic Features ..
 Grossly, invasive mole in the uterus results in an
 irregular, often hemorrhagic lesion that penetrates
 into the myometrium. The lesion can grow through
 the myometrium, perforating the serosa or extending
 into the broad ligament and adnexa

 Most invasive moles follow complete hydatidiform
 mole and have the characteristic histological
 appearance of that lesion.
Metastatic hydatidiform mole

 Metastatic hydatidiform mole is defined as
 extrauterine molar villi within blood vessels or
 tissues, most commonly the vagina or the lung.
Trophoblastic tumours
(neoplastic)
Gestational choriocarcinoma


A malignant neoplasm composed of large sheets of
biphasic, markedly atypical trophoblast without
chorionic villi
 Gestational choriocarcinoma may occur subsequent
  to a molar pregnancy (50% of instances), an
  abortion (25%), a normal gestation (22.5%) or an
  ectopic pregnancy (2.5%)
 In rare cases an intraplacental choriocarcinoma is
  diagnosed immediately following pregnancy from
  placental pathological examination
Morphology

 The choriocarcinoma is classically a soft, fleshy,
 yellow-white tumor with a marked tendency to form
 large pale areas of ischemic necrosis, foci of cystic
 softening, and extensive hemorrhage
Histopathology
 The classic pattern of choriocarcinoma has been
 described as bilaminar, dimorphic, or biphasic.

 Alternating arrangement of mononucleate
 trophoblastic cells and syncytiotrophoblastic cells
 that characterize choriocarcinoma.
 The intermediate trophoblast in choriocarcinoma
 may show marked variation in the degree of
 cytologic atypia . Nuclear pleomorphism and
 hyperchromasia often are striking, and nucleoli
 can be prominent.
 Vascular invasion often is prominent.


 Chorionic villi are not a component of
 choriocarcinoma

 Choriocarcinoma lacks the intrinsic endothelium-
 lined vascular channels in the center of a tumor,
 making it a unique malignant solid tumor.
Immunoprofile
 All trophoblastic cell types are strongly
  immunoreactive for cytokeratins
 Inaddition, the syncytiotrophoblast is strongly
  immunoreactive for b-hCG and weakly
  immunoreactive for human placental lactogen
  (hPL)
 Intermediate trophoblast shows the opposite
  immunoprofile
Treatment
 Includes evacuation of the contents of the uterus,
  surgery, and chemotherapy.
 Chemotherapy consists of the administration of
  one or more of a group of drugs including
  methotrexate, actinomycin D, and etoposide.
 The results of chemotherapy for gestational
  choriocarcinoma are spectacular and have
  resulted in up to 100% cure or remission in all
  patients except some who had high-risk
  metastatic trophoblastic disease.
Differential diagnosis
 The differential diagnosis of choriocarcinoma in
 endometrial curettings includes
   previllous trophoblast from an early gestation
   persistent molar tissue following hydatidiform mole
   placental site trophoblastic tumour
   epithelioid trophoblastic tumour
   undifferentiated carcinoma.
Somatic genetics
 Recent studies using cDNA microarray analysis have
 demonstrated decreased expression of heat shock
 protein-27 in choriocarcinoma, a finding which has
 been associated with chemotherapy responsiveness
 in other cancers
Placental site trophoblastic
  tumour

 A monophasic neoplasm composed of intermediate
 trophoblast and cytotrophoblast without a significant
 component of syncytiotrophoblast
 PSTTs comprise less than 2% of gestational
  trophoblastic neoplasms and present as
  neoplastic polygonal cells infiltrating the
  endomyometrium.
 PSTTs may be preceded by a normal pregnancy
  (one-half), spontaneous abortion (one-sixth), or
  hydatidiform mole (one-fifth)
Histopathology
 The tumour cells are medium to large sized and
  mononuclear or multinucleated with mild to
  marked nuclear atypia, prominent nucleoli,
  eosinophilic to clear cytoplasm, scattered mitoses
  and occasional intranuclear inclusions
 They permeate the myometrium and vessels in a
  manner reminiscent of the implantation site
  trophoblast.
Differential diagnosis
 The differential diagnosis of placental site
 trophoblastic tumour includes
   Placental site nodule
   Exaggerated implantation site
   Epithelioid leiomyosarcoma
   Epithelioid trophoblastic tumour
   Poorly differentiated carcinoma .
 Extensive sampling and immunohistochemistry
 for keratin, b-hCG and hPL are helpful in
 distinguishing among the above lesions
Somatic genetics
 A Y- chromosomal locus and/or new (paternal)
 alleles not present in adjacent normal uterine
 tissue was demonstrated in all cases of placental
 site trophoblastic tumour studied confirming the
 placental origin of these neoplasms
Prognosis and predictive
   factors

 Patients with localized (Stage I or II) disease or a less
  than 2-year interval from the prior pregnancy to
  diagnosis have an excellent prognosis.
 Tumors diagnosed 4 or more years following
  pregnancy, with lung involvement or with advanced
  stage have a poor prognosis.
 An elevated mitotic index predicts a poor outcome
Epithelioid trophoblastic
  tumour

 A tumour composed of a monomorphic population of
 intermediate trophoblastic cells closely resembling
 those of the membranous chorion
Histopathology
 Tumour cells of the epithelioid trophoblastic tumour
 are smaller and less pleomorphic and grow in a
 nodular pattern
 Because they are frequently found in the cervix,
  they may be confused with hyalinizing squamous
  cell carcinomas .
 Epithelioid trophoblastic tumours are focally
  immunoreactive for placental-like alkaline
  phosphatase (PLAP) and hPL but strongly and
  diffusely immunoreactive for E-cadherin and
  epidermal growth factor receptor
Somatic genetics
 A Y-chromosomal locus and/or new (paternal) alleles
 not present in adjacent normal uterine tissue was
 demonstrated in all cases of epithelioid trophoblastic
 tumour studied
Prognosis and predictive
   factors

 Based on available data, the behaviour of epithelioid
 trophoblastic tumour resembles that of placental site
 trophoblastic tumour.
Trophoblastic tumours like lesions
(benign)
Placental site nodule or plaque
 The placental site nodule or plaque is a well
  circumscribed lesion with abundant hyalinized
  stroma infiltrated by scattered, degenerated-
  appearing intermediate trophoblastic cells that are
  normally located on the fetal membrane
 These cells show no significant cytological atypia,
  but rare mitoses may be present
Pathologic Features
 Microscopically, the placental site nodule has a
  discrete, well-circumscribed, lobulated border
  sometimes showing small irregular nests of cells
  projecting into the surrounding tissue.
 Cluster of hyperchromatic and vacuolated
  chorionic type intermediate trophoblast cells
  embedded in hyaline matrix
Immunohistochemistry
 Strongly and diffusely positive for low-molecular-
  weight cytokeratin (CK; such as CK8/18)
 Only focally positive for human placental lactogen
  (hPL) and CD146 (Mel-CAM)
 Negative for mucin-4
 The chorionic-type intermediate trophoblastic cells in
  placental site nodules are positive for p63

 There is a low level of proliferation in the cells of
  placental site nodules as indicated by a few
  scattered Ki-67 labeled nuclei
Differential Diagnosis
 Small size, circumscription, extensive eosinophilic
 extracellular matrix, and paucity of mitotic figures
 distinguish this lesion from PSTT, ETT, and
 cervical squamous carcinoma

 The Ki-67 index in ETTs is significantly higher
 (>10%) than in placental site nodules (<10%).
Exaggerated placental site
 Exaggerated placental site is a benign, nonneoplastic
  lesion characterized by an increased number of
  implantation site intermediate trophoblastic cells that
  extensively infiltrate the endometrium and underlying
  myometrium.
 No specific treatment or follow-up is necessary
Differential Diagnosis
 Exaggerated placental site may be difficult to
 distinguish from PSTT, particularly in curetting

 The presence of chorionic villi (and/or fetal parts)
 and abundant multinucleated intermediate
 trophoblastic cells and the absence of confluence
 of intermediate trophoblastic cells in the
 endomyometrium suggest the diagnosis of an
 exaggerated placental site rather than a PSTT.
 The Ki-67 nuclear labeling index using a Ki-67-
  specific (MIB-1) antibody is superior to the mitotic
  index as a diagnostic aid in the differential diagnosis
  of exaggerated placental site versus PSTT .
 Specifically, the Ki-67 index of the trophoblastic cells
  in an exaggerated placental site is near zero in
  contrast to 14% ± 6.9% in a PSTT
Summary
 Various forms of gestational trophoblastic disease
  can be defined and related to discrete pathologic
  aberrations occurring at different trophoblastic
  subpopulations and stages of trophoblastic
  differentiation during placentation
 The recognition and separation of the individual
  categories of gestational trophoblastic disease are
  important because each disease entity has
  distinctive clinical manifestations and each requires
  different therapeutic approaches
References
 Lora Hedrick Ellenson, Edyat C Pirog. Female
  genital tract. Robbins & Cotran’s Pathologic Basis
  of Disease 2010;8;1057-1061
 D.R Genest, R.S Berkpwitz. Gestational
  trophoblastic disease. Pathology & Genetics of
  breast & female genital organ WHO;2008;250-
  254
 Le Ming Shih, Micheal T Mazur. Female
  reproductive system and peritoneum. Gestational
  trophoblastic disease. Sternberg’s Diagnostic
  Surgical Patholgy;2;5;2049-2068
 Rosai & Ackerman’s Surgical Pathology.
  Gestational trophoblastic disease;2;9;1740-1749
Thank you ..

Gestational trophoblastic disease

  • 1.
    Gestational trophoblastic disease Shahin Hameed
  • 2.
    Synopsis  Introduction  Definition  Classification  Epidemiology  Etiology  Clinical features  Imaging  Tumour spread & staging  Prognostic factors
  • 3.
    Synopsis  Hydatidiform mole  Complete mole  Partial mole  Invasive mole  Metastatic mole  Trophoblastic tumors (neoplastic)  Gestational choriocarcinoma  Placental site trophoblastic tumor  Epithelioid trophoblastic tumor
  • 4.
    Synopsis  Trophoblastic tumorlike lesion (benign)  Placental site nodule  Exaggerated placental site  Summary  References
  • 5.
  • 6.
    Definition ..  Gestationaltrophoblastic disease constitutes a diverse group of lesions that includes abnormally formed placentas (hydatidiform moles), benign nonneoplastic lesions, and gestational trophoblastic neoplasms
  • 8.
    Epidemiology  Gestational trophoblasticdisease (GTD) varies widely among various populations  As high as 1 in 120 pregnancies in some areas of Asia and South America
  • 9.
     The incidenceof hydatidiform moles is greater in women older than 40 years and is also increased in those younger than 20 years.  Patients who have had prior GTD are more at risk of having a second GTD after subsequent pregnancies.  Other risk factors include: a diet low in vitamin A, lower socioeconomic status and blood group A women married to group 0 men
  • 10.
    Aetiology  Hydatiform molesarise from abnormal conceptions.  Partial moles result from diandric triploidy, whereas complete moles result from diandry (fertilization of an empty ovum)  Up to 50% of choriocarcinomas and 15% of placental site trophoblastic tumours follow complete moles
  • 11.
    Clinical features  Acomplete molar pregnancy - first trimester bleeding, a uterus larger than expected for gestational age and the absence of fetal parts on ultrasound in association with a markedly elevated beta-human chorionic gonadotropin (b- hCG) level  Other signs include hyperemesis, toxaemia during the first or second trimester, theca lutein cysts and hyperthyroidism.
  • 12.
     Patients withpartial molar gestations-spontaneous abortions, sometimes with increased b-hCG levels.  GTD should always be considered when a patient has continued vaginal bleeding following delivery or abortion.
  • 13.
    Imaging  A characteristicpattern of multiple vesicles (snowstorm pattern) is commonly seen with complete molar pregnancy.  The diagnosis of partial molar pregnancy by ultrasonography is more difficult.
  • 14.
    Tumour spread andstaging  Choriocarcinoma spreads haematogenously and may involve the lung (57-80%), vagina (30%), pelvis (20%), brain (17%), and liver (10%)  Since b-hCG titres accurately reflect the clinical disease, histological verification is not required for diagnosis.  Staging should be based on history, clinical examination and appropriate laboratory and radiological studies.
  • 15.
     Metastatic GTDis categorized by the WHO scoring system as low, medium and high risk  The individual scores for each prognostic factor are added together to obtain a total score  A total prognostic score less than or equal to 4 is considered low risk, a total score of 5-7 is considered middle risk, and a total score of 8 or greater is considered high risk
  • 16.
    Somatic genetics  Overexpressionof TP53 protein more commonly observed in complete moles and choriocarcinoma  Overexpression of the p21 gene has also been detected in complete moles and choriocarcinoma
  • 17.
     Both completemole and choriocarcinoma exhibit overexpression of several growth factors including c-Myc, epidermal growth factors receptor (EGFR), c-erbB-2, Rb, mdm2, and bcl-2 as compared to normal placenta and partial mole  Strong immunostaining of c-erbB-3 and epidermal growth factor receptor in extravillous trophoblast of complete mole was significantly correlated with the development of persistent gestational trophoblastic tumour
  • 18.
    Prognosis and predictive factors Major adverse prognostic variables for GTD are: (1) Age >39 (2) Prior term pregnancy (3) Interval from antecedent pregnancy of >12 months (4) b-hCG >105 IU/litre (5) Tumour mass >5cm (6) Disease in liver and brain (7) Failure of 2 or more prior chemotherapies
  • 19.
  • 20.
    Definition  An abnormalplacenta with villous hydrops and variable degrees of trophoblastic proliferation.
  • 21.
    Complete hydatidiform mole A hydatidiform mole involving most of the chorionic villi and typically having a diploid karyotype
  • 22.
    Histopathology  The villoushydrops of a complete mole is characterized by extensive cavitation.  The trophoblastic proliferation has a circumferential distribution, hyperplasia and cytological atypia .  Intermediate trophoblast of the molar implantation site characteristically displays marked cytologic atypia  A gestational sac, amnion, umbilical cord and fetal tissue are not found
  • 24.
     Recently beensuggested that villous stromal nuclear negative staining for the paternally imprinted gene product p57 maybe diagnostically useful for confirming the diagnosis of a complete mole
  • 25.
     Although villouscavitation may be minimal in an "early" mole, other characteristic villous stromal features are present, including hypercellularity and a myxoid basophilic stroma  In addition, unusual villous shapes with complex bulbous protrusions ("cauliflower like" villi) and trophoblastic atypia are present
  • 26.
    Somatic genetics  Completemoles generally have a 46,XX karyotype, and the molar chromosomes are completely of paternal origin  Most complete moles appear to arise from an anuclear empty ovum fertilized by a (23X) haploid sperm that then replicates its own chromosomes
  • 27.
     About 10%of complete moles have a 46,XY karyotype  The 46,XY complete mole arises from fertilization of an anuclear empty egg by two sperm.  While all chromosomes in a complete mole are entirely of paternal origin, the mitochondrial DNA is of maternal origin
  • 29.
    Partial hydatidiform mole A hydatidiform mole having two populations of chorionic villi, one of normal size and the other hydropic, with focal trophoblastic proliferation.  The lesion typically has a triploid karyotype
  • 30.
    Histopathology  Histologically, partialmoles are characterized by the concurrence of four features (1) Two populations of villi, one hydropic and one "normal" (2) Minimal trophoblastic hyperplasia involving syncytiotrophoblast. (3) Enlarged cavitated villi. (4) Other villi with scalloped borders, often containing trophoblastic inclusions.
  • 31.
     Stromal bloodvessels often contain nucleated fetal red blood cells; other evidence suggesting fetal development including portions of the chorionic sac wall, amnion, umbilical cord and embryonic/fetal tissue are common
  • 32.
    Differential diagnosis (1) Completemole. (2) Hydropic abortus . (3) Several rare sporadic genetic syndromes such as the Beckwith-Weidemann syndrome and placental angiomatous malformation which collectively have been termed "placental mesenchymal dysplasia"
  • 33.
    Somatic genetics  Partialmoles generally have a triploid karyotype that results from fertilization of an apparently normal ovum by two sperm  When fetuses are identified with partial moles, they usually have stigmata of triploidy including multiple congenital anomalies and growth retardation
  • 36.
    Invasive hydatidiform mole Invasive hydatidiform mole is defined as villi of hydatidiform mole within the myometrium or its vascular spaces.  A clinical diagnosis of invasive mole can be suspected when β-hCG titers plateau or increase following evacuation of a mole
  • 37.
    Pathologic Features .. Grossly, invasive mole in the uterus results in an irregular, often hemorrhagic lesion that penetrates into the myometrium. The lesion can grow through the myometrium, perforating the serosa or extending into the broad ligament and adnexa  Most invasive moles follow complete hydatidiform mole and have the characteristic histological appearance of that lesion.
  • 39.
    Metastatic hydatidiform mole Metastatic hydatidiform mole is defined as extrauterine molar villi within blood vessels or tissues, most commonly the vagina or the lung.
  • 40.
  • 41.
    Gestational choriocarcinoma A malignantneoplasm composed of large sheets of biphasic, markedly atypical trophoblast without chorionic villi
  • 42.
     Gestational choriocarcinomamay occur subsequent to a molar pregnancy (50% of instances), an abortion (25%), a normal gestation (22.5%) or an ectopic pregnancy (2.5%)  In rare cases an intraplacental choriocarcinoma is diagnosed immediately following pregnancy from placental pathological examination
  • 43.
    Morphology  The choriocarcinomais classically a soft, fleshy, yellow-white tumor with a marked tendency to form large pale areas of ischemic necrosis, foci of cystic softening, and extensive hemorrhage
  • 44.
    Histopathology  The classicpattern of choriocarcinoma has been described as bilaminar, dimorphic, or biphasic.  Alternating arrangement of mononucleate trophoblastic cells and syncytiotrophoblastic cells that characterize choriocarcinoma.
  • 45.
     The intermediatetrophoblast in choriocarcinoma may show marked variation in the degree of cytologic atypia . Nuclear pleomorphism and hyperchromasia often are striking, and nucleoli can be prominent.
  • 46.
     Vascular invasionoften is prominent.  Chorionic villi are not a component of choriocarcinoma  Choriocarcinoma lacks the intrinsic endothelium- lined vascular channels in the center of a tumor, making it a unique malignant solid tumor.
  • 48.
    Immunoprofile  All trophoblasticcell types are strongly immunoreactive for cytokeratins  Inaddition, the syncytiotrophoblast is strongly immunoreactive for b-hCG and weakly immunoreactive for human placental lactogen (hPL)  Intermediate trophoblast shows the opposite immunoprofile
  • 49.
    Treatment  Includes evacuationof the contents of the uterus, surgery, and chemotherapy.  Chemotherapy consists of the administration of one or more of a group of drugs including methotrexate, actinomycin D, and etoposide.  The results of chemotherapy for gestational choriocarcinoma are spectacular and have resulted in up to 100% cure or remission in all patients except some who had high-risk metastatic trophoblastic disease.
  • 50.
    Differential diagnosis  Thedifferential diagnosis of choriocarcinoma in endometrial curettings includes  previllous trophoblast from an early gestation  persistent molar tissue following hydatidiform mole  placental site trophoblastic tumour  epithelioid trophoblastic tumour  undifferentiated carcinoma.
  • 51.
    Somatic genetics  Recentstudies using cDNA microarray analysis have demonstrated decreased expression of heat shock protein-27 in choriocarcinoma, a finding which has been associated with chemotherapy responsiveness in other cancers
  • 52.
    Placental site trophoblastic tumour  A monophasic neoplasm composed of intermediate trophoblast and cytotrophoblast without a significant component of syncytiotrophoblast
  • 53.
     PSTTs compriseless than 2% of gestational trophoblastic neoplasms and present as neoplastic polygonal cells infiltrating the endomyometrium.  PSTTs may be preceded by a normal pregnancy (one-half), spontaneous abortion (one-sixth), or hydatidiform mole (one-fifth)
  • 54.
    Histopathology  The tumourcells are medium to large sized and mononuclear or multinucleated with mild to marked nuclear atypia, prominent nucleoli, eosinophilic to clear cytoplasm, scattered mitoses and occasional intranuclear inclusions  They permeate the myometrium and vessels in a manner reminiscent of the implantation site trophoblast.
  • 56.
    Differential diagnosis  Thedifferential diagnosis of placental site trophoblastic tumour includes  Placental site nodule  Exaggerated implantation site  Epithelioid leiomyosarcoma  Epithelioid trophoblastic tumour  Poorly differentiated carcinoma .  Extensive sampling and immunohistochemistry for keratin, b-hCG and hPL are helpful in distinguishing among the above lesions
  • 57.
    Somatic genetics  AY- chromosomal locus and/or new (paternal) alleles not present in adjacent normal uterine tissue was demonstrated in all cases of placental site trophoblastic tumour studied confirming the placental origin of these neoplasms
  • 58.
    Prognosis and predictive factors  Patients with localized (Stage I or II) disease or a less than 2-year interval from the prior pregnancy to diagnosis have an excellent prognosis.  Tumors diagnosed 4 or more years following pregnancy, with lung involvement or with advanced stage have a poor prognosis.  An elevated mitotic index predicts a poor outcome
  • 59.
    Epithelioid trophoblastic tumour  A tumour composed of a monomorphic population of intermediate trophoblastic cells closely resembling those of the membranous chorion
  • 60.
    Histopathology  Tumour cellsof the epithelioid trophoblastic tumour are smaller and less pleomorphic and grow in a nodular pattern
  • 62.
     Because theyare frequently found in the cervix, they may be confused with hyalinizing squamous cell carcinomas .  Epithelioid trophoblastic tumours are focally immunoreactive for placental-like alkaline phosphatase (PLAP) and hPL but strongly and diffusely immunoreactive for E-cadherin and epidermal growth factor receptor
  • 63.
    Somatic genetics  AY-chromosomal locus and/or new (paternal) alleles not present in adjacent normal uterine tissue was demonstrated in all cases of epithelioid trophoblastic tumour studied
  • 64.
    Prognosis and predictive factors  Based on available data, the behaviour of epithelioid trophoblastic tumour resembles that of placental site trophoblastic tumour.
  • 65.
  • 66.
    Placental site noduleor plaque  The placental site nodule or plaque is a well circumscribed lesion with abundant hyalinized stroma infiltrated by scattered, degenerated- appearing intermediate trophoblastic cells that are normally located on the fetal membrane  These cells show no significant cytological atypia, but rare mitoses may be present
  • 67.
    Pathologic Features  Microscopically,the placental site nodule has a discrete, well-circumscribed, lobulated border sometimes showing small irregular nests of cells projecting into the surrounding tissue.  Cluster of hyperchromatic and vacuolated chorionic type intermediate trophoblast cells embedded in hyaline matrix
  • 68.
    Immunohistochemistry  Strongly anddiffusely positive for low-molecular- weight cytokeratin (CK; such as CK8/18)  Only focally positive for human placental lactogen (hPL) and CD146 (Mel-CAM)  Negative for mucin-4
  • 69.
     The chorionic-typeintermediate trophoblastic cells in placental site nodules are positive for p63  There is a low level of proliferation in the cells of placental site nodules as indicated by a few scattered Ki-67 labeled nuclei
  • 70.
    Differential Diagnosis  Smallsize, circumscription, extensive eosinophilic extracellular matrix, and paucity of mitotic figures distinguish this lesion from PSTT, ETT, and cervical squamous carcinoma  The Ki-67 index in ETTs is significantly higher (>10%) than in placental site nodules (<10%).
  • 71.
    Exaggerated placental site Exaggerated placental site is a benign, nonneoplastic lesion characterized by an increased number of implantation site intermediate trophoblastic cells that extensively infiltrate the endometrium and underlying myometrium.  No specific treatment or follow-up is necessary
  • 72.
    Differential Diagnosis  Exaggeratedplacental site may be difficult to distinguish from PSTT, particularly in curetting  The presence of chorionic villi (and/or fetal parts) and abundant multinucleated intermediate trophoblastic cells and the absence of confluence of intermediate trophoblastic cells in the endomyometrium suggest the diagnosis of an exaggerated placental site rather than a PSTT.
  • 73.
     The Ki-67nuclear labeling index using a Ki-67- specific (MIB-1) antibody is superior to the mitotic index as a diagnostic aid in the differential diagnosis of exaggerated placental site versus PSTT .  Specifically, the Ki-67 index of the trophoblastic cells in an exaggerated placental site is near zero in contrast to 14% ± 6.9% in a PSTT
  • 75.
    Summary  Various formsof gestational trophoblastic disease can be defined and related to discrete pathologic aberrations occurring at different trophoblastic subpopulations and stages of trophoblastic differentiation during placentation  The recognition and separation of the individual categories of gestational trophoblastic disease are important because each disease entity has distinctive clinical manifestations and each requires different therapeutic approaches
  • 76.
    References  Lora HedrickEllenson, Edyat C Pirog. Female genital tract. Robbins & Cotran’s Pathologic Basis of Disease 2010;8;1057-1061  D.R Genest, R.S Berkpwitz. Gestational trophoblastic disease. Pathology & Genetics of breast & female genital organ WHO;2008;250- 254  Le Ming Shih, Micheal T Mazur. Female reproductive system and peritoneum. Gestational trophoblastic disease. Sternberg’s Diagnostic Surgical Patholgy;2;5;2049-2068  Rosai & Ackerman’s Surgical Pathology. Gestational trophoblastic disease;2;9;1740-1749
  • 77.