CARCINOMA OF THE
  GALLBLADDER
INTRO

• Most common malignancy of the extrahepatic
  biliary tract
• Slightly more common in women
• Occurs most frequently in the seventh decade of
  life
• Mean 5-year survival rate has remained for many
  years at about 5% to 12% despite surgical
  intervention
• The most common sites of involvement are the
  fundus and the neck; about 20% involve the lateral
  walls.
ETIOLOGY

• The most important risk factor associated with
  gallbladder carcinoma is gallstones (cholelithiasis),
  which are present in 95% of cases
• However, it should be noted that only 0.5% of
  patients with gallstones develop gallbladder cancer
  after twenty or more years
• Carcinogenic derivatives of bile acids are believed
  to play a role.
• Genetic factors
• Previous surgery on the biliary tract
• IBD
MORPHOLOGY



• Carcinomas of the gallbladder show two patterns of
  growth: infiltrating and exophytic
• The infiltrating pattern is more common and usually
  appears as a poorly defined area of diffuse thickening
  and induration of the gallbladder wall that may cover
  several square centimeters or may involve the entire
  gallbladder.

• Deep ulceration can cause direct penetration of the
  gallbladder wall or fistula formation to adjacent viscera
  into which the neoplasm has grown.

• These tumors are scirrhous and have a very firm
  consistency
• The exophytic pattern grows into the lumen as an
  irregular, cauliflower mass but at the same time
  invades the underlying wall.

• The luminal portion may be necrotic, hemorrhagic,
  and ulcerated
The opened gallbladder contains a large, exophytic tumor
that virtually fills the lumen
HISTOLOGY

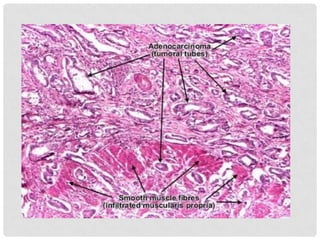
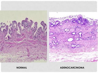
• Most carcinomas of the gallbladder are
  adenocarcinomas.

• Some of the carcinomas are papillary in
  architecture and are well to moderately
  differentiated; others are infiltrative and poorly
  differentiated to undifferentiated

• About 5% are squamous cell carcinomas or have
  adenosquamous differentiation
NORMAL   ADENOCARCINOMA
Malignant glandular structures   Papillary pattern
are present within a densely
fibrotic gallbladder wall.
• By the time these neoplasms are discovered, most
  have invaded the liver centrifugally, and many
  have extended to the cystic duct and adjacent bile
  ducts and portal-hepatic lymph nodes.

• The peritoneum, gastrointestinal tract, and lungs
  are common sites of seeding.
GASTRIC ADENOCARCINOMA
INTRO

• Adenocarcinoma is the most common malignancy
  of the stomach, comprising over 90% of all gastric
  cancers

• Early symptoms resemble those of chronic gastritis.
  As a result, these tumors are often discovered at
  advanced stages,
EPIDEMIOLOGY

• Gastric cancer incidence varies markedly with
  geography



• The cause of the overall reduction in gastric cancer
  is unknown.
• One possible explanation is the decreased
  consumption of dietary carcinogens, such as N-
  nitroso compounds and benzopyrene, because of
  reduced use of salt and smoking for food
  preservation and the widespread availability of
  food refrigeration.

• Conversely, intake of green, leafy vegetables and
  citrus fruits, which contain antioxidants such as
  vitamin C, vitamin E, and beta-carotene, and is
  correlated with reduced risk of gastric cancers,
  may have increased as a result of improved food
  transportation networks.
• Gastric cancer is more common in lower
  socioeconomic groups and in individuals with
  multifocal mucosal atrophy and intestinal
  metaplasia.

• PUD does not impart an increased risk of gastric
  cancer, but patients who have had partial
  gastrectomies for PUD have a slightly higher risk of
  developing cancer in the residual gastric stump as
  a result of hypochlorhydria, bile reflux, and chronic
  gastritis.
• Although overall incidence of gastric
  adenocarcinoma is falling, cancer of the gastric
  cardia is on the rise.

• This is probably related to Barrett esophagus and
  may reflect the increasing incidence of chronic
  GERD and obesity.
ETIOPATHOGENESIS

• Helicobacter Pylori Infection:
  • Chronic H. pylori infection is the most important cause of
    distal gastric adenocarcinoma
  • It commonly generates chronic gastritis, and over several
    decades may induce mucosal atrophy, which in some
    patients precedes the development of cancer .
  • Bacterial virulence factors, such as CagA and Vac A
    (vacuolating enzyme), play an important role in the severity
    of gastritis and intestinal metaplasia
• Dietary and Lifestyle Factors:
  • Smoking and dietary habits (high intake of salt-preserved
    and/or smoked foods) also play a role in increasing cancer
    risk, either individually or by compounding the role of H.
    pylori infection




• Genetic Susceptibility
  • Some individuals are at increased risk of developing gastric
    cancer, as well as other malignancies, because of
    dominantly inherited cancer predisposition syndromes, such
    as FAP, Lynch syndrome, and Li-Fraumeni syndrome .
    Patients with Peutz-Jeghers are also at risk for developing
    gastric cancers
• Hereditary Diffuse Gastric Cancer (HDGC):
  • Familial diffuse gastric cancer with autosomal dominant
    inheritance, caused by germline mutation of E-
    cadherin(CDH1), is a recently reported syndrome



• Precursor Lesions
  • Whether in H. pylori-associated chronic gastritis or
    autoimmune gastritis, atrophy followed by intestinal
    metaplasia develops over time, beginning a sequence of
    events that may culminate in neoplasia, particularly
    adenocarcinoma of tubular type.
• Gastric Polyps: Various polypoid lesions have the
  potential to develop into adenocarcinoma

  • Adenomatous Polyps: The risk of malignant transformation is
    related to size (>2 cm) and the presence of high-grade
    intraepithelial neoplasia/dysplasia

  • Non-neoplastic Polyps: Hyperplastic polyps and rare
    syndromic examples, as well as hamartomatous polyps that
    generally occur as part of hereditary polyposis syndromes
    (Peutz-Jeghers polyp, juvenile polyp, Cronkhite-Canada
    syndrome-associated polyp), also may undergo malignant
    transformation
MORPHOLOGY

• Most gastric adenocarcinomas involve the gastric
  antrum; the lesser curvature is involved more often
  than the greater curvature

• Gastric tumors with an intestinal morphology tend to
  form bulky tumors composed of glandular
  structures , while cancers with a diffuse infiltrative
  growth pattern are more often composed of signet-
  ring cells
Gastric adenocarcinoma. Intestinal-type adenocarcinoma
consisting of an elevated mass with heaped-up borders and
central ulceration.
NORMAL HISTOLOGY
Gastric adenocarcinoma. Intestinal-type adenocarcinoma
composed of columnar, gland-forming cells infiltrating through
desmoplastic stroma.
• When there are large areas of infitration, diffuse
  rugal flattening and a rigid, thickened wall may
  impart a leather bottle appearance termed linitis
  plastica

• Breast and lung cancers that metastasize to the
  stomach may also create a linitis plastica–like
  appearance.
Linitis plastica. The gastric wall is markedly thickened, and
rugal folds are partially lost.
Signet-ring cells can be recognized by their large
cytoplasmic mucin vacuoles and peripherally displaced,
crescent-shaped nuclei.
CLINICAL FEATURES

• Intestinal-type gastric cancer predominates in high-
  risk areas and develops from precursor lesions
  including flat dysplasia and adenomas. The mean
  age of presentation is 55 years, and the male-to-
  female ratio is 2 : 1.

• In contrast, the incidence of diffuse gastric cancer is
  relatively uniform across countries, there are no
  identified precursor lesions, and the disease occurs
  at similar frequencies in males and females.
• The depth of invasion and the extent of nodal and
  distant metastasis at the time of diagnosis remain
  the most powerful prognostic indicators for gastric
  cancer
• In advanced cases gastric carcinoma may first be
  detected as metastases to the supraclavicular
  sentinel lymph node, also called Virchow's node.

• Gastric tumors can also metastasize to the
  periumbilical region to form a subcutaneous
  nodule, termed a Sister Mary Joseph nodule, after
  the nurse who first noted this lesion as a marker of
  metastatic carcinoma.
• Local invasion into the duodenum, pancreas, and
  retroperitoneum is also characteristic. In such cases
  efforts are usually focused on chemotherapy or
  radiation therapy and palliative care
• Surgical resection remains the preferred treatment
  for gastric adenocarcinoma.

• After surgical resection, the 5-year survival rate of
  early gastric cancer can exceed 90%, even if
  lymph node metastases are present. In contrast, the
  5-year survival rate for advanced gastric cancer
  remains below 20%
THANK YOU ..

CA Gall bladder ; AdenoCA Stomach

  • 1.
    CARCINOMA OF THE GALLBLADDER
  • 2.
    INTRO • Most commonmalignancy of the extrahepatic biliary tract • Slightly more common in women • Occurs most frequently in the seventh decade of life • Mean 5-year survival rate has remained for many years at about 5% to 12% despite surgical intervention
  • 3.
    • The mostcommon sites of involvement are the fundus and the neck; about 20% involve the lateral walls.
  • 4.
    ETIOLOGY • The mostimportant risk factor associated with gallbladder carcinoma is gallstones (cholelithiasis), which are present in 95% of cases • However, it should be noted that only 0.5% of patients with gallstones develop gallbladder cancer after twenty or more years
  • 5.
    • Carcinogenic derivativesof bile acids are believed to play a role. • Genetic factors • Previous surgery on the biliary tract • IBD
  • 6.
    MORPHOLOGY • Carcinomas ofthe gallbladder show two patterns of growth: infiltrating and exophytic
  • 7.
    • The infiltratingpattern is more common and usually appears as a poorly defined area of diffuse thickening and induration of the gallbladder wall that may cover several square centimeters or may involve the entire gallbladder. • Deep ulceration can cause direct penetration of the gallbladder wall or fistula formation to adjacent viscera into which the neoplasm has grown. • These tumors are scirrhous and have a very firm consistency
  • 8.
    • The exophyticpattern grows into the lumen as an irregular, cauliflower mass but at the same time invades the underlying wall. • The luminal portion may be necrotic, hemorrhagic, and ulcerated
  • 9.
    The opened gallbladdercontains a large, exophytic tumor that virtually fills the lumen
  • 10.
    HISTOLOGY • Most carcinomasof the gallbladder are adenocarcinomas. • Some of the carcinomas are papillary in architecture and are well to moderately differentiated; others are infiltrative and poorly differentiated to undifferentiated • About 5% are squamous cell carcinomas or have adenosquamous differentiation
  • 11.
    NORMAL ADENOCARCINOMA
  • 12.
    Malignant glandular structures Papillary pattern are present within a densely fibrotic gallbladder wall.
  • 13.
    • By thetime these neoplasms are discovered, most have invaded the liver centrifugally, and many have extended to the cystic duct and adjacent bile ducts and portal-hepatic lymph nodes. • The peritoneum, gastrointestinal tract, and lungs are common sites of seeding.
  • 14.
  • 15.
    INTRO • Adenocarcinoma isthe most common malignancy of the stomach, comprising over 90% of all gastric cancers • Early symptoms resemble those of chronic gastritis. As a result, these tumors are often discovered at advanced stages,
  • 16.
    EPIDEMIOLOGY • Gastric cancerincidence varies markedly with geography • The cause of the overall reduction in gastric cancer is unknown.
  • 17.
    • One possibleexplanation is the decreased consumption of dietary carcinogens, such as N- nitroso compounds and benzopyrene, because of reduced use of salt and smoking for food preservation and the widespread availability of food refrigeration. • Conversely, intake of green, leafy vegetables and citrus fruits, which contain antioxidants such as vitamin C, vitamin E, and beta-carotene, and is correlated with reduced risk of gastric cancers, may have increased as a result of improved food transportation networks.
  • 18.
    • Gastric canceris more common in lower socioeconomic groups and in individuals with multifocal mucosal atrophy and intestinal metaplasia. • PUD does not impart an increased risk of gastric cancer, but patients who have had partial gastrectomies for PUD have a slightly higher risk of developing cancer in the residual gastric stump as a result of hypochlorhydria, bile reflux, and chronic gastritis.
  • 19.
    • Although overallincidence of gastric adenocarcinoma is falling, cancer of the gastric cardia is on the rise. • This is probably related to Barrett esophagus and may reflect the increasing incidence of chronic GERD and obesity.
  • 20.
    ETIOPATHOGENESIS • Helicobacter PyloriInfection: • Chronic H. pylori infection is the most important cause of distal gastric adenocarcinoma • It commonly generates chronic gastritis, and over several decades may induce mucosal atrophy, which in some patients precedes the development of cancer . • Bacterial virulence factors, such as CagA and Vac A (vacuolating enzyme), play an important role in the severity of gastritis and intestinal metaplasia
  • 21.
    • Dietary andLifestyle Factors: • Smoking and dietary habits (high intake of salt-preserved and/or smoked foods) also play a role in increasing cancer risk, either individually or by compounding the role of H. pylori infection • Genetic Susceptibility • Some individuals are at increased risk of developing gastric cancer, as well as other malignancies, because of dominantly inherited cancer predisposition syndromes, such as FAP, Lynch syndrome, and Li-Fraumeni syndrome . Patients with Peutz-Jeghers are also at risk for developing gastric cancers
  • 22.
    • Hereditary DiffuseGastric Cancer (HDGC): • Familial diffuse gastric cancer with autosomal dominant inheritance, caused by germline mutation of E- cadherin(CDH1), is a recently reported syndrome • Precursor Lesions • Whether in H. pylori-associated chronic gastritis or autoimmune gastritis, atrophy followed by intestinal metaplasia develops over time, beginning a sequence of events that may culminate in neoplasia, particularly adenocarcinoma of tubular type.
  • 23.
    • Gastric Polyps:Various polypoid lesions have the potential to develop into adenocarcinoma • Adenomatous Polyps: The risk of malignant transformation is related to size (>2 cm) and the presence of high-grade intraepithelial neoplasia/dysplasia • Non-neoplastic Polyps: Hyperplastic polyps and rare syndromic examples, as well as hamartomatous polyps that generally occur as part of hereditary polyposis syndromes (Peutz-Jeghers polyp, juvenile polyp, Cronkhite-Canada syndrome-associated polyp), also may undergo malignant transformation
  • 24.
    MORPHOLOGY • Most gastricadenocarcinomas involve the gastric antrum; the lesser curvature is involved more often than the greater curvature • Gastric tumors with an intestinal morphology tend to form bulky tumors composed of glandular structures , while cancers with a diffuse infiltrative growth pattern are more often composed of signet- ring cells
  • 25.
    Gastric adenocarcinoma. Intestinal-typeadenocarcinoma consisting of an elevated mass with heaped-up borders and central ulceration.
  • 26.
  • 28.
    Gastric adenocarcinoma. Intestinal-typeadenocarcinoma composed of columnar, gland-forming cells infiltrating through desmoplastic stroma.
  • 29.
    • When thereare large areas of infitration, diffuse rugal flattening and a rigid, thickened wall may impart a leather bottle appearance termed linitis plastica • Breast and lung cancers that metastasize to the stomach may also create a linitis plastica–like appearance.
  • 30.
    Linitis plastica. Thegastric wall is markedly thickened, and rugal folds are partially lost.
  • 31.
    Signet-ring cells canbe recognized by their large cytoplasmic mucin vacuoles and peripherally displaced, crescent-shaped nuclei.
  • 32.
    CLINICAL FEATURES • Intestinal-typegastric cancer predominates in high- risk areas and develops from precursor lesions including flat dysplasia and adenomas. The mean age of presentation is 55 years, and the male-to- female ratio is 2 : 1. • In contrast, the incidence of diffuse gastric cancer is relatively uniform across countries, there are no identified precursor lesions, and the disease occurs at similar frequencies in males and females.
  • 33.
    • The depthof invasion and the extent of nodal and distant metastasis at the time of diagnosis remain the most powerful prognostic indicators for gastric cancer
  • 34.
    • In advancedcases gastric carcinoma may first be detected as metastases to the supraclavicular sentinel lymph node, also called Virchow's node. • Gastric tumors can also metastasize to the periumbilical region to form a subcutaneous nodule, termed a Sister Mary Joseph nodule, after the nurse who first noted this lesion as a marker of metastatic carcinoma.
  • 35.
    • Local invasioninto the duodenum, pancreas, and retroperitoneum is also characteristic. In such cases efforts are usually focused on chemotherapy or radiation therapy and palliative care
  • 36.
    • Surgical resectionremains the preferred treatment for gastric adenocarcinoma. • After surgical resection, the 5-year survival rate of early gastric cancer can exceed 90%, even if lymph node metastases are present. In contrast, the 5-year survival rate for advanced gastric cancer remains below 20%
  • 37.