THE MANAGEMENT OF A
POLYTRAUMATISED PATIENT
PRESENTING AT THE EMERGENCY
DEPARTMENT
DR BASSEY A E
DEPARTMENT OF ORTHOPAEDICS
OUTLINE
• Introduction
• Definitions
• Epidemiology
• Statement of importance
• Aetiology
• Mechanisms of injury
• Management
• Primary survey and resuscitation
• Secondary survey
• Definitive treatment
• Complications
• Early
• Late
• Polytrauma in special populations
• Children
• Elderly
• Pregnant
• Current trends
• Conclusion
INTRODUCTION - Definitions
• Trauma – the exchange of energy between
the body and it’s environment exceeding it’s
resilience and leading to injury
• Significant trauma – is an injury which by
virtue of it’s location, extent, past or existing
complications, present or impending
haemodynamic instability will require hospital
admission and treatment
INTRODUCTION - Definitions
• Polytraumatised patient – is one who has
suffered 2 or more significant injuries to 2 or
more organ systems
• Emergency room – is a section of a healthcare
facility specializing in the provision of acute care
to patients presenting, without prior
appointment, with a broad spectrum of illnesses
and injuries which may be life-threatening,
arriving either by ambulance or their own means
INTRODUCTION – Epidemiology of
trauma
• Commonest cause of death in 1-44yrs
• 3rd
commonest cause of death overall
• Trauma mortality
– >90% of trauma mortality in low and middle
income countries
– 50% in 15-44yrs
– M:F = 2:1
– RTA commonest cause
INTRODUCTION – Epidemiology of
trauma
• In Nigeria,
• Prevalence – 11.2/100,000
• Age – 27+/- 13yrs
• Sex – M:F = 2:1
• Trauma mortality
– Avg age – 29.5yrs
– M:F = 2.5:1
– RTA – 75%
– Polytrauma – 60.9%
INTRODUCTION - Statement of
importance
• Trauma is a public health problem of epidemic
proportion, and from data just supplied,
mortality is more associated with polytrauma
than isolated injury.
• Judicious application of in-depth knowledge
and well-honed skills is mandatory in order to
curb its devastating effects on individuals and
society.
AETIOLOGY
• RTA
• Fall from height
• Assault
• Terrorism
• Natural disasters
• Conflict
MECHANISMS OF INJURY
• Blunt
– RTA commonest cause
– Severity factors – mass & speed of vehicle, type of
vehicle, use of restraints, ejection from vehicle,
interaction with vehicle parts
• Penetrating
– Severity factors – mass & velocity of missile, viscera in
path of missile
• Blast
• Crush
• Thermal
MECHANISMS OF INJURY
• Trimodal pattern of death following trauma
• Immediate death
(50%) – 0-1 hr
(massive head inj.)
• Early death
(30%) – 1-3 hrs
(chest inj, exsanguinatn)
• Late death
( 20%) – 1-6 wks
(sepsis, org failure)
MANAGEMENT
• Multidisciplinary
• Orthopaedic surgeon
• General surgeon
• Anaesthetist
• Trauma nurse
• Radiographer
• Other subspecialties, as needed
• Time is of essence
• Golden hour concept
MANAGEMENT
• Aim of management
‘To return patient to pre-injury status or as
near as possible’
• Scale of priorities
• Save life
• Save limb
• Save looks
MANAGEMENT
• ATLS
– Developed in USA
– Adopted globally
• ATLS philosophy
Treat lethal injuries first
Reassess
Treat again
MANAGEMENT
• Primary survey and resuscitation
– Identify and treat what is killing the patient.
• Secondary survey
– Proceed to identify other injuries.
• Definitive treatment
– Develop a definitive management plan
MANAGEMENT - Primary survey and
resuscitation
• A – airway and cervical spine protection
• B – breathing
• C – circulation and control of external
haemorrhage
• D – disability status
• E – exposure and environmental control
Caveat – when patient has catastrophic limb
haemorrhage CABCDE is practised
MANAGEMENT
• Airway obstruction in the polytraumatised
patient results in death in a few minutes and
must be addressed immediately
• Assume c-spine injury in all polytraumatised
patients and immobilize
• In-line immobilization
• Device combination – rigid c-collar, sandbags, head
strap
MANAGEMENT
• Airway assessment
• High risk injury – TBI (commonest cause), maxillofacial
injury, neck injury, inhalational burn injury
• If conscious, elicit speech e.g. ask name. if unconscious,
search for following features,
• Restlessness, sweating, cyanosis, resp. distress, noisy
breathing, hoarseness of voice, stridor
• Use dorsum of hand to feel for breath
MANAGEMENT
• Interventions
– Carried out without extending neck
– The manoevres are carried out in a methodical
fashion with the simpler ones attempted first
– It serves as a guideline, however special situations
may require modification
Chin lift
Jaw thrust
Finger sweep/suction
oro/nasopharyngeal airway
Supraglottic airway eg LMA
tracheal intubation
surgical airway
CHIN LIFT
JAWTHRUST
Laryngeal mask airway
Endotracheal tube
Endotracheal tube in situ
MANAGEMENT
• Breathing
• Assessment
– Inspection – resp rate, shallow or gasping,
assymetry, contusion, penetrating wound, flail
segment, distended neck veins
– Palpation – tracheal deviation, tenderness,
crepitus, surgical emphysema
– Percussion – hyperresonance, dullness
– Auscultation – diminished BS, absent BS, noisiness
MANAGEMENT
• All polytraumatised patients should be given high
concentration oxygen at 15L/min via a
nonrebreathing face mask preferably
• Search for ‘lethal six’. Diagnosis is clinical.
– Airway obstruction – treated as previously stated
– Tension pneumothorax – cardinal signs are tracheal
deviation, hyperresonance, absent breath sounds.
Treatment: needle thoracostomy then CTTD
– Open pneumothorax
treatment: tape 3 sides of the wound leaving one side
for air venting
MANAGEMENT
• Massive haemothorax – tachpnoea, decreased
chest expansion, dullness, absent BS, shock
treatment – CTTD + thoracotomy
• Flail chest – treatment: intubation and PPV
• Cardiac tamponade – distended neck veins,
hypotension, muffled heart sounds
treatment: pericardiocentesis
MANAGEMENT
• Circulation and control of external
haemorrhage
• Assessment
– Patient may be agitated, confused, pale,
dehydrated, cold clammy extremities, increased
capillary refill time. Pulses may be rapid and
thready, hypotensive, oliguric/anuric
• To identify site of haemorrhage remember,
‘Bleeding onto the floor and four more’
MANAGEMENT
• Treatment
– Pass 2 wide-bore iv cannulae, at same time blood is
obtained for invx.
– Commence on iv crystalloids – N/S or R/L, 2L bolus
(consider intraosseous in children with difficult veins)
– Control external haemorrhage by
• Pressure and elevation
• Clamping and ligation
• Tourniquets
• Windlass technique
• Quikclot or HemCon have been found to be useful
– Pass urethral catheter and commence hourly urine
output monitoring after emptying bladder
– Transfuse transient and non-responders
Windlass technique
MANAGEMENT
• Disability
• Assessment
– AVPU – quick
– GCS – more detailed
• Exposure & environmental control
– All clothing removed
– Emergency room kept warm
– All fluids and gases warmed
– Warm blankets
MANAGEMENT
• Analgesia – opioids
• Antibiotics
• Anti-tetanus
• Adjuncts
• 12-lead ECG
• Pulse oximetry
• Xrays (trauma series)
• Other investigations – as needed
MANAGEMENT
• Re-evaluation: following primary survey and
resuscitation, patient is re-evaluated and if
stable secondary survey commences
MANAGEMENT – secondary survey
• This is a detailed, systemic assessment of
patient to identify other injuries
• Usually done after primary survey but
sometimes may be done after surgery or in
the ICU
• ISS and MESS scores can be determined at this
time as well as more complex investigations
e.g. CT, MRI, angiography
MANAGEMENT
• Detailed history
– AMPLE
• Head-to-toe examination proceeding in a
systemic manner
– Head & face – open head injury, ocular inj, csf
otorrhoea or rhinorrhoea
– Neck – inspect for injury, swelling, palpate for
tenderness. Inspect c-spine starting from occiput.
Palpate for tenderness, haematoma, step
MANAGEMENT
• Chest – review primary survey and perform
full exam
• Abdomen and pelvis – inspect for distention,
penetrating wounds, palpate for tenderness, a
4-quadrant tap or DPL may be done at this
stage if haemoperitoneum is suspected. Pelvic
compression test. Inspect perineum for
lacerations, ecchymosis. Do DRE, and in the
female a vaginal exam in addition
MANAGEMENT
• Extremities – examine for swelling, deformity,
tenderness, crepitus. Note neurovascular status.
Obviously deformed limbs should be reduced and
immobilized using cast or traction for example
• Neurological assessment – full neurological exam
and sensory or motor deficit documented, spine
surgeons or neurosurgeons called in.
• Log-roll – requires at least 4people. Examine back
for swellings, wounds eg gunshot. Examine spine
from occiput to sacrum.
Missed injury!!??
MANAGEMENT
• Transfer for definitive care is done following
secondary survey.
• Care is tailored to patient’s injuries
COMPLICATIONS
• Early
• Shock
• AKI
• Sepsis
• Tetanus
• Fat embolism
• DIC
• Late
• ARDS
• MODS
• Demise
POLYTRAUMA IN SPECIAL
POPULATIONS
• Children
• Falls & RTA cause 90% of paediatric polytrauma
• RTA commonest cause of death
• Consider child abuse as a cause
• Dosing of fluids and medication according to weight is
essential
• Higher surface area-to-volume ratio means child is at greater
risk of hypothermia, increased emphasis on warmth
• Children have increased blood loss associated with long
bone and pelvic fractures compared with adults; therefore,
early splinting and stabilization are even more important
• Children initially respond to hypovolemia with tachycardia
and may not drop their blood pressure until they have lost
45% of their circulating volume
• Consider early transfer to a pediatric trauma center.
POLYTRAUMA IN SPECIAL
POPULATIONS
• Elderly
• Elderly are less likely to be involved in trauma but are more
likely to die from it
• Falls 2nd
commonest cause in 65-74yrs group; commonest in
>75yrs group
• Consider elder abuse as a cause
• Elderly may not be able to mount a tachycardic response to
shock because of medications or reduced sensitivity to
sympathetic outflow.
• A seemingly normal blood pressure might actually be
dangerously low in a patient with baseline hypertension
• Fluid overload may be as dangerous as hypovolemia.
Consider invasive monitoring
POLYTRAUMA IN SPECIAL
POPULATIONS
• Pregnant
• Trauma is commonest cause of non-obstetric M & M
• Patients at high risk of pulmonary aspiration, consider
early NG tube placement & rapid sequence intubation
if ET airway required
• After 12 wks, foetus is vulnerable to abdominal trauma
incurred by mother, therefore fetal age assessment
and viability becomes part of primary survey
• Early consultation with an obstetrician-gynecologist is
recommended
CURRENT TRENDS
• Permissive hypotension
• Rise of regional trauma centres
CONCLUSION
• Trauma remains the ‘neglected step-child of
modernisation’.
• The burden of trauma mortality, mainly
resulting from polytrauma, rests upon us in
developing nations.
• Training and retraining of doctors and
healthcare professionals as well as enactment
of adequate, specific and appropriate policy
with widespread implementation of same will
go a long way in lightening this burden.
THANK YOU
REFERENCES
• Apley System of orthopaedics and fractures,
9th
Ed, pp627-687
• Bailey & Love short practice of surgery, 25th
Ed,
pp285-298
• http://emedicine.medscape.com/article/1270
888-overview#a6
• http://www.scopemed.org/?mno=9087
• Lateef O.A. Thanni (2011). Epidemiology of
Injuries in Nigeria—A Systematic review of
Mortality and Etiology. Prehospital and
Disaster Medicine, 26, pp 293-298
REFERENCES
• https://en.wikipedia.org/wiki/Emergency_depart
ment
• http://www.ncbi.nlm.nih.gov/pmc/articles/PMC1
831976/
• https://en.wikipedia.org/wiki/Injury_Severity_Sc
ore
• https://en.wikipedia.org/wiki/Polytrauma
• http://www.ncbi.nlm.nih.gov/pubmed/2239047
• http://www.slideshare.net/prithwiraj2012/polytr
auma-2

The management of a polytraumatised

  • 1.
    THE MANAGEMENT OFA POLYTRAUMATISED PATIENT PRESENTING AT THE EMERGENCY DEPARTMENT DR BASSEY A E DEPARTMENT OF ORTHOPAEDICS
  • 3.
    OUTLINE • Introduction • Definitions •Epidemiology • Statement of importance • Aetiology • Mechanisms of injury • Management • Primary survey and resuscitation • Secondary survey • Definitive treatment • Complications • Early • Late • Polytrauma in special populations • Children • Elderly • Pregnant • Current trends • Conclusion
  • 4.
    INTRODUCTION - Definitions •Trauma – the exchange of energy between the body and it’s environment exceeding it’s resilience and leading to injury • Significant trauma – is an injury which by virtue of it’s location, extent, past or existing complications, present or impending haemodynamic instability will require hospital admission and treatment
  • 5.
    INTRODUCTION - Definitions •Polytraumatised patient – is one who has suffered 2 or more significant injuries to 2 or more organ systems • Emergency room – is a section of a healthcare facility specializing in the provision of acute care to patients presenting, without prior appointment, with a broad spectrum of illnesses and injuries which may be life-threatening, arriving either by ambulance or their own means
  • 6.
    INTRODUCTION – Epidemiologyof trauma • Commonest cause of death in 1-44yrs • 3rd commonest cause of death overall • Trauma mortality – >90% of trauma mortality in low and middle income countries – 50% in 15-44yrs – M:F = 2:1 – RTA commonest cause
  • 7.
    INTRODUCTION – Epidemiologyof trauma • In Nigeria, • Prevalence – 11.2/100,000 • Age – 27+/- 13yrs • Sex – M:F = 2:1 • Trauma mortality – Avg age – 29.5yrs – M:F = 2.5:1 – RTA – 75% – Polytrauma – 60.9%
  • 8.
    INTRODUCTION - Statementof importance • Trauma is a public health problem of epidemic proportion, and from data just supplied, mortality is more associated with polytrauma than isolated injury. • Judicious application of in-depth knowledge and well-honed skills is mandatory in order to curb its devastating effects on individuals and society.
  • 9.
    AETIOLOGY • RTA • Fallfrom height • Assault • Terrorism • Natural disasters • Conflict
  • 10.
    MECHANISMS OF INJURY •Blunt – RTA commonest cause – Severity factors – mass & speed of vehicle, type of vehicle, use of restraints, ejection from vehicle, interaction with vehicle parts • Penetrating – Severity factors – mass & velocity of missile, viscera in path of missile • Blast • Crush • Thermal
  • 14.
    MECHANISMS OF INJURY •Trimodal pattern of death following trauma • Immediate death (50%) – 0-1 hr (massive head inj.) • Early death (30%) – 1-3 hrs (chest inj, exsanguinatn) • Late death ( 20%) – 1-6 wks (sepsis, org failure)
  • 15.
    MANAGEMENT • Multidisciplinary • Orthopaedicsurgeon • General surgeon • Anaesthetist • Trauma nurse • Radiographer • Other subspecialties, as needed • Time is of essence • Golden hour concept
  • 16.
    MANAGEMENT • Aim ofmanagement ‘To return patient to pre-injury status or as near as possible’ • Scale of priorities • Save life • Save limb • Save looks
  • 17.
    MANAGEMENT • ATLS – Developedin USA – Adopted globally • ATLS philosophy Treat lethal injuries first Reassess Treat again
  • 18.
    MANAGEMENT • Primary surveyand resuscitation – Identify and treat what is killing the patient. • Secondary survey – Proceed to identify other injuries. • Definitive treatment – Develop a definitive management plan
  • 19.
    MANAGEMENT - Primarysurvey and resuscitation • A – airway and cervical spine protection • B – breathing • C – circulation and control of external haemorrhage • D – disability status • E – exposure and environmental control Caveat – when patient has catastrophic limb haemorrhage CABCDE is practised
  • 20.
    MANAGEMENT • Airway obstructionin the polytraumatised patient results in death in a few minutes and must be addressed immediately • Assume c-spine injury in all polytraumatised patients and immobilize • In-line immobilization • Device combination – rigid c-collar, sandbags, head strap
  • 23.
    MANAGEMENT • Airway assessment •High risk injury – TBI (commonest cause), maxillofacial injury, neck injury, inhalational burn injury • If conscious, elicit speech e.g. ask name. if unconscious, search for following features, • Restlessness, sweating, cyanosis, resp. distress, noisy breathing, hoarseness of voice, stridor • Use dorsum of hand to feel for breath
  • 24.
    MANAGEMENT • Interventions – Carriedout without extending neck – The manoevres are carried out in a methodical fashion with the simpler ones attempted first – It serves as a guideline, however special situations may require modification
  • 25.
    Chin lift Jaw thrust Fingersweep/suction oro/nasopharyngeal airway Supraglottic airway eg LMA tracheal intubation surgical airway
  • 26.
  • 27.
  • 34.
  • 35.
  • 36.
  • 37.
    MANAGEMENT • Breathing • Assessment –Inspection – resp rate, shallow or gasping, assymetry, contusion, penetrating wound, flail segment, distended neck veins – Palpation – tracheal deviation, tenderness, crepitus, surgical emphysema – Percussion – hyperresonance, dullness – Auscultation – diminished BS, absent BS, noisiness
  • 38.
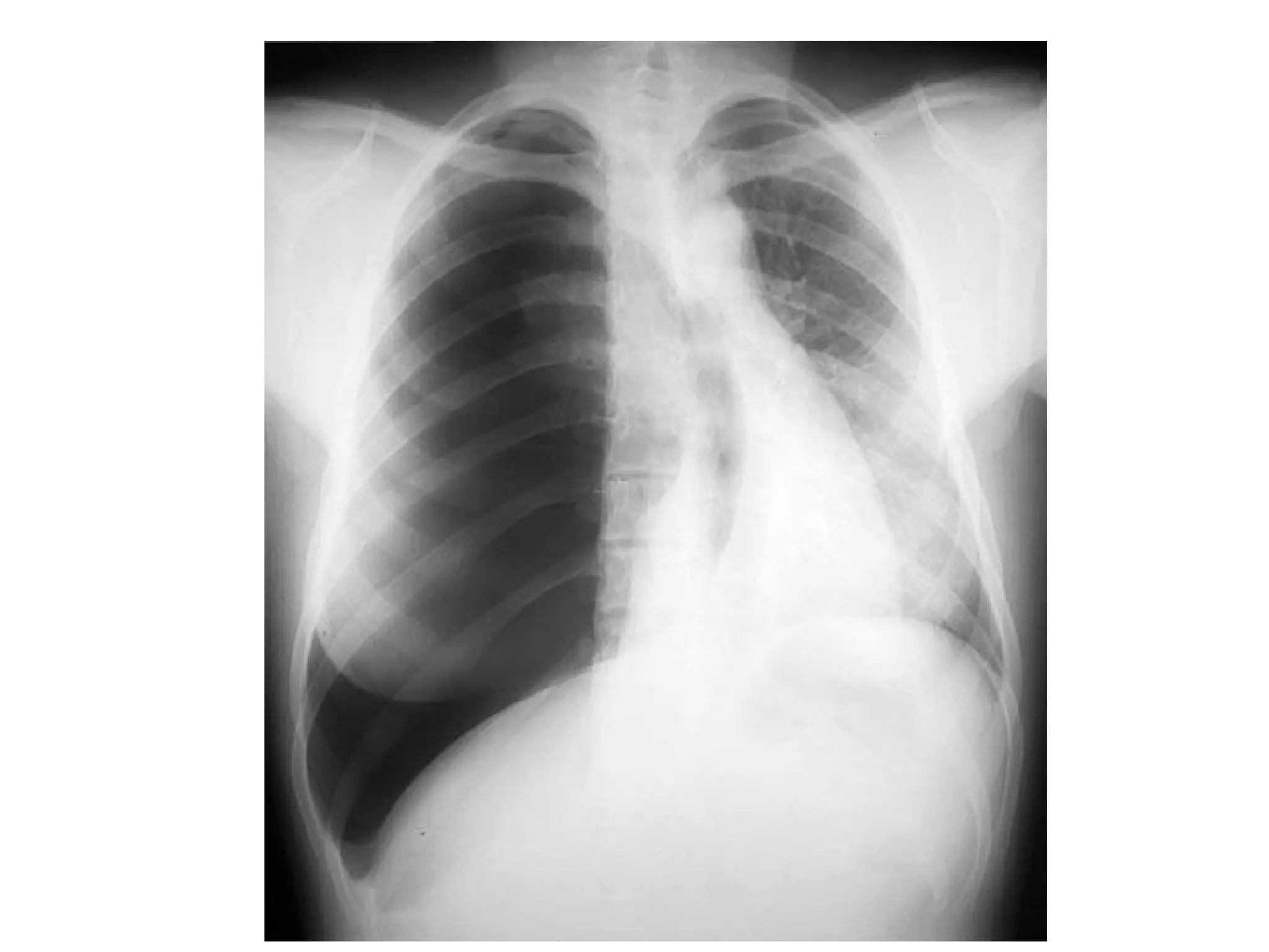
    MANAGEMENT • All polytraumatisedpatients should be given high concentration oxygen at 15L/min via a nonrebreathing face mask preferably • Search for ‘lethal six’. Diagnosis is clinical. – Airway obstruction – treated as previously stated – Tension pneumothorax – cardinal signs are tracheal deviation, hyperresonance, absent breath sounds. Treatment: needle thoracostomy then CTTD – Open pneumothorax treatment: tape 3 sides of the wound leaving one side for air venting
  • 39.
    MANAGEMENT • Massive haemothorax– tachpnoea, decreased chest expansion, dullness, absent BS, shock treatment – CTTD + thoracotomy • Flail chest – treatment: intubation and PPV • Cardiac tamponade – distended neck veins, hypotension, muffled heart sounds treatment: pericardiocentesis
  • 42.
    MANAGEMENT • Circulation andcontrol of external haemorrhage • Assessment – Patient may be agitated, confused, pale, dehydrated, cold clammy extremities, increased capillary refill time. Pulses may be rapid and thready, hypotensive, oliguric/anuric • To identify site of haemorrhage remember, ‘Bleeding onto the floor and four more’
  • 43.
    MANAGEMENT • Treatment – Pass2 wide-bore iv cannulae, at same time blood is obtained for invx. – Commence on iv crystalloids – N/S or R/L, 2L bolus (consider intraosseous in children with difficult veins) – Control external haemorrhage by • Pressure and elevation • Clamping and ligation • Tourniquets • Windlass technique • Quikclot or HemCon have been found to be useful – Pass urethral catheter and commence hourly urine output monitoring after emptying bladder – Transfuse transient and non-responders
  • 46.
  • 47.
    MANAGEMENT • Disability • Assessment –AVPU – quick – GCS – more detailed • Exposure & environmental control – All clothing removed – Emergency room kept warm – All fluids and gases warmed – Warm blankets
  • 48.
    MANAGEMENT • Analgesia –opioids • Antibiotics • Anti-tetanus • Adjuncts • 12-lead ECG • Pulse oximetry • Xrays (trauma series) • Other investigations – as needed
  • 49.
    MANAGEMENT • Re-evaluation: followingprimary survey and resuscitation, patient is re-evaluated and if stable secondary survey commences
  • 50.
    MANAGEMENT – secondarysurvey • This is a detailed, systemic assessment of patient to identify other injuries • Usually done after primary survey but sometimes may be done after surgery or in the ICU • ISS and MESS scores can be determined at this time as well as more complex investigations e.g. CT, MRI, angiography
  • 51.
    MANAGEMENT • Detailed history –AMPLE • Head-to-toe examination proceeding in a systemic manner – Head & face – open head injury, ocular inj, csf otorrhoea or rhinorrhoea – Neck – inspect for injury, swelling, palpate for tenderness. Inspect c-spine starting from occiput. Palpate for tenderness, haematoma, step
  • 52.
    MANAGEMENT • Chest –review primary survey and perform full exam • Abdomen and pelvis – inspect for distention, penetrating wounds, palpate for tenderness, a 4-quadrant tap or DPL may be done at this stage if haemoperitoneum is suspected. Pelvic compression test. Inspect perineum for lacerations, ecchymosis. Do DRE, and in the female a vaginal exam in addition
  • 53.
    MANAGEMENT • Extremities –examine for swelling, deformity, tenderness, crepitus. Note neurovascular status. Obviously deformed limbs should be reduced and immobilized using cast or traction for example • Neurological assessment – full neurological exam and sensory or motor deficit documented, spine surgeons or neurosurgeons called in. • Log-roll – requires at least 4people. Examine back for swellings, wounds eg gunshot. Examine spine from occiput to sacrum.
  • 54.
  • 55.
    MANAGEMENT • Transfer fordefinitive care is done following secondary survey. • Care is tailored to patient’s injuries
  • 56.
    COMPLICATIONS • Early • Shock •AKI • Sepsis • Tetanus • Fat embolism • DIC • Late • ARDS • MODS • Demise
  • 57.
    POLYTRAUMA IN SPECIAL POPULATIONS •Children • Falls & RTA cause 90% of paediatric polytrauma • RTA commonest cause of death • Consider child abuse as a cause • Dosing of fluids and medication according to weight is essential • Higher surface area-to-volume ratio means child is at greater risk of hypothermia, increased emphasis on warmth • Children have increased blood loss associated with long bone and pelvic fractures compared with adults; therefore, early splinting and stabilization are even more important • Children initially respond to hypovolemia with tachycardia and may not drop their blood pressure until they have lost 45% of their circulating volume • Consider early transfer to a pediatric trauma center.
  • 58.
    POLYTRAUMA IN SPECIAL POPULATIONS •Elderly • Elderly are less likely to be involved in trauma but are more likely to die from it • Falls 2nd commonest cause in 65-74yrs group; commonest in >75yrs group • Consider elder abuse as a cause • Elderly may not be able to mount a tachycardic response to shock because of medications or reduced sensitivity to sympathetic outflow. • A seemingly normal blood pressure might actually be dangerously low in a patient with baseline hypertension • Fluid overload may be as dangerous as hypovolemia. Consider invasive monitoring
  • 59.
    POLYTRAUMA IN SPECIAL POPULATIONS •Pregnant • Trauma is commonest cause of non-obstetric M & M • Patients at high risk of pulmonary aspiration, consider early NG tube placement & rapid sequence intubation if ET airway required • After 12 wks, foetus is vulnerable to abdominal trauma incurred by mother, therefore fetal age assessment and viability becomes part of primary survey • Early consultation with an obstetrician-gynecologist is recommended
  • 60.
    CURRENT TRENDS • Permissivehypotension • Rise of regional trauma centres
  • 61.
    CONCLUSION • Trauma remainsthe ‘neglected step-child of modernisation’. • The burden of trauma mortality, mainly resulting from polytrauma, rests upon us in developing nations. • Training and retraining of doctors and healthcare professionals as well as enactment of adequate, specific and appropriate policy with widespread implementation of same will go a long way in lightening this burden.
  • 62.
  • 63.
    REFERENCES • Apley Systemof orthopaedics and fractures, 9th Ed, pp627-687 • Bailey & Love short practice of surgery, 25th Ed, pp285-298 • http://emedicine.medscape.com/article/1270 888-overview#a6 • http://www.scopemed.org/?mno=9087 • Lateef O.A. Thanni (2011). Epidemiology of Injuries in Nigeria—A Systematic review of Mortality and Etiology. Prehospital and Disaster Medicine, 26, pp 293-298
  • 64.
    REFERENCES • https://en.wikipedia.org/wiki/Emergency_depart ment • http://www.ncbi.nlm.nih.gov/pmc/articles/PMC1 831976/ •https://en.wikipedia.org/wiki/Injury_Severity_Sc ore • https://en.wikipedia.org/wiki/Polytrauma • http://www.ncbi.nlm.nih.gov/pubmed/2239047 • http://www.slideshare.net/prithwiraj2012/polytr auma-2