SPINE INJURY
BASSEY, A E M.B., B.S.
DEP’T OF ORTHOPAEDIC & TRAUMA SURGERY
UATH, ABUJA
OUTLINE
• INTRODUCTION
– DEFINITION
– STATEMENT OF IMPORTANCE
– EPIDEMIOLOGY
– RELEVANT ANATOMY: VERTEBRAL COLUMN/SPINAL CORD
• AETIOLOGY
• CLASSIFICATION
• PATHOPHYSIOLOGY
– MECHANISMS OF INJURY
– PRIMARY Vs SECONDARY INJURY
• DIFFERENTIAL DIAGNOSIS
• MANAGEMENT
– PRE-HOSPITAL CARE
– HOSPITAL CARE
• REHABILITATION
• COMPLICATIONS
– EARLY
– LATE
• PREVENTION
• CURRENT TRENDS
• CONCLUSION
INTRODUCTION
• Spine injury refers to insult to the spine
resulting in damage to its osseoligamentous
components with or without associated
neurologic impairment
• It is a frequently-occurring event with
propensity for devastating consequences.
Early recognition and treatment are central to
achieving satisfactory outcomes.
INTRODUCTION - EPIDEMIOLOGY
• USA
• Incidence: 10,000 – 14,000/yr
• Prevalence: 229,000 – 306,000
• Age: 55% in 16-30yrs
• Sex: 81.6% male
• Aetiology: MVA (44.5%), falls (18.1%)
• NIGERIA
• Age: 38.4+/-13.6yrs
• Sex: 82.2% male
• Aetiology: MVA (79.7%), falls (13.4%)
INTRODUCTION - ANATOMY
• Vertebral Column – Fibro-osseous
– 33 Vertebrae
– Soft tissues – IV discs, facet joint capsule, ligaments
• Spinal cord
– Part of CNS
– Neural tissue + coverings
– Blood supply – spinal arteries
AETIOLOGY
• MVA
• Falls
• Sports injuries
• Assault – Firearm, stab injury
• Pathologic fractures – osteoporosis, TB spine
CLASSIFICATION
• STABLE
– A spine injury in which movement of the affected
part would not result in displacement of
fragments
• UNSTABLE
– A spine injury in which movement of the affected
part would result in significant displacement of
fragments thereby causing or aggravating
neurologic injury
PATHOPHYSIOLOGY
• MECHANISMS
• Spine injury
– Traction force
– Direct trauma
– Indirect trauma (commonest) – axial compression, flexion,
flexion-rotation, hyperextension, lateral compression,
distraction
• Cord injury
– Direct trauma
– Compression: displaced bone frags, haematoma
– Disruption of blood supply
PATHOPHYSIOLOGY
• Primary injury
– Caused by initial trauma
• Secondary injury
– Caused by body’s response to initial injury (begins
within minutes, may last for weeks to months)
– Body’s response comprised by
– Inflammation – vascular changes, oedema, hypoxia
– Loss of ATP-dependent processes
– Ionic derangements
– Accumulation of neurotransmitters
– Production of molecules (arachidonic acid, free radicals,
endogenous opioids)
DIFFERENTIAL DIAGNOSIS
• TB spine
• Transverse myelitis
• Tumours
• Degenerative diseases
• Guillain-Barre syndrome
MANAGEMENT
• Pre-hospital
• Resuscitation + spine stabilization
• Log-rolling
• Transportation
MANAGEMENT – HOSPITAL CARE
• Multidisciplinary approach
• Spine injury centre care is best
• Resuscitation
• Clinical evaluation – maintain high index of
suspicion
– History: pain in neck or back, neurologic impairment,
bladder/bowel incontinence, hx of high risk injury,
other injuries
– Examination:
• General exam – Conscious/unconscious, restless,
shock, other injuries
MANAGEMENT – HOSPITAL CARE
• Spine exam
• Inspect head & face for injury
• Inspect spine for deformity, penetrating injury
• Palpate gently for tenderness, bogginess, gap or step
• Other neurological exam
• Carry out power grading for each limb muscle group
• Test for muscle tone and all DTRs
• Anal wink & bulbocavernosus reflex. DRE is mandatory.
• Test each dermatome for sensation and determine the
levels of the various sensory modalities
• Other systemic examination
MANAGEMENT – HOSPITAL CARE
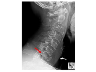
• Investigations
– Confirmatory
• Xrays
• CT
• MRI
• Myelography
– Ancillary
• FBC
• EUCr
• GxM
• Urinalysis
MANAGEMENT – HOSPITAL CARE
• Counselling
• Definitive
– Non-operative
• Indications
– Stable injuries
– Unstable injuries without neurologic impairment
– Patient’s refusal of operative mgt
• Techniques
– Semi-rigid cervical collar
– Halo vest
– Traction
– Minerva jacket
– Thoracolumbar brace
MANAGEMENT – HOSPITAL CARE
• Definitive
– Operative
• Indications
– Unstable fracture with progressive neurologic deficit
– Unstable injuries with neurologic impairment
– Patient’s choice
– To augment spine stability achieve by non-operative means
– Treatment of complications
• Techniques
– Plates
– Rods & screws
– Wires
– Lag screws
MANAGEMENT – HOSPITAL CARE
• Supportive care
– Skin care
– Wash, dry & powder skin
– 2-hrly turning
– No creases or crumbs in sheets
– Bladder and bowel care
– Intermittent, aseptic bladder drainage. Commence bladder
training ASAP
– Bowel training with enemas
– Thromboprophylaxis
– Early physiotherapy
– Drugs
REHABILITATION
• This should be commenced as early as possible
• Physiotherapy
• Promotes neural recovery
• Prevents DVT/PE
• Prevents contractures
• Occupational therapy
• Psychotherapy
COMPLICATIONS
• Early
• DVT
• Pressure sores
• Bladder/bowel dysfunction
• UTI
• Neurogenic shock
• Pulmonary complications – Pneumonia, atelectasis,
ventilatory failure
• Late
• Heterotopic ossification
• Contractures
• Chronic pain
• Autonomic dysreflexia
• Osteoporosis
• Depression
PREVENTION
• Effective & adequate traffic policies (as well as
full enforcement) to reduce RTI
• Creation of new roads, resuscitation of old ones
and establishment of an effective rail system
• Establishment of well-structured, adequately
staffed pre-hospital trauma care teams
• Training and retraining of relevant staff in
management of spine injury with establishment
of purpose-built facilities
• Widespread education of public
CURRENT TRENDS
• ASSISTIVE ROBOTIC EXOSKELETONS
• STEM CELL TRANSPLANTATION (bonemarrow-
derived, iPSCs)
CONCLUSION
• Spine injuries are a clear and present danger
to our economic stability. Apart from being
quite costly to manage, outcomes are
sometimes discouraging despite best care.
• Efforts geared toward prevention will
certainly reduce the burden of this problem
on society as a whole.
THANK YOU
REFERENCES
• Apley’s system of Orthopaedics & fractures, D
Warwick, S Nayagam, 9th
Ed, pp 824 – 847
• Clinical Anatomy,
• emedicine.medscape.com/article/793582-
overview
• orthoportal.aaos.org/oko/article.aspx?
article=OKO_SPI046#article
• Kawu AA. Pattern and presentation of spine
trauma in Gwagwalada-Abuja, Nigeria. Niger J
Clin Pract 2012;15:38-41
• Clinical Anatomy, H Ellis, 11th
Ed, pp 324 – 328
• m.wikihow.com/Logroll-an-Injured-Person-
During-First-Aid

Spine injury

  • 1.
    SPINE INJURY BASSEY, AE M.B., B.S. DEP’T OF ORTHOPAEDIC & TRAUMA SURGERY UATH, ABUJA
  • 2.
    OUTLINE • INTRODUCTION – DEFINITION –STATEMENT OF IMPORTANCE – EPIDEMIOLOGY – RELEVANT ANATOMY: VERTEBRAL COLUMN/SPINAL CORD • AETIOLOGY • CLASSIFICATION • PATHOPHYSIOLOGY – MECHANISMS OF INJURY – PRIMARY Vs SECONDARY INJURY • DIFFERENTIAL DIAGNOSIS • MANAGEMENT – PRE-HOSPITAL CARE – HOSPITAL CARE • REHABILITATION • COMPLICATIONS – EARLY – LATE • PREVENTION • CURRENT TRENDS • CONCLUSION
  • 3.
    INTRODUCTION • Spine injuryrefers to insult to the spine resulting in damage to its osseoligamentous components with or without associated neurologic impairment • It is a frequently-occurring event with propensity for devastating consequences. Early recognition and treatment are central to achieving satisfactory outcomes.
  • 4.
    INTRODUCTION - EPIDEMIOLOGY •USA • Incidence: 10,000 – 14,000/yr • Prevalence: 229,000 – 306,000 • Age: 55% in 16-30yrs • Sex: 81.6% male • Aetiology: MVA (44.5%), falls (18.1%) • NIGERIA • Age: 38.4+/-13.6yrs • Sex: 82.2% male • Aetiology: MVA (79.7%), falls (13.4%)
  • 5.
    INTRODUCTION - ANATOMY •Vertebral Column – Fibro-osseous – 33 Vertebrae – Soft tissues – IV discs, facet joint capsule, ligaments • Spinal cord – Part of CNS – Neural tissue + coverings – Blood supply – spinal arteries
  • 7.
    AETIOLOGY • MVA • Falls •Sports injuries • Assault – Firearm, stab injury • Pathologic fractures – osteoporosis, TB spine
  • 8.
    CLASSIFICATION • STABLE – Aspine injury in which movement of the affected part would not result in displacement of fragments • UNSTABLE – A spine injury in which movement of the affected part would result in significant displacement of fragments thereby causing or aggravating neurologic injury
  • 10.
    PATHOPHYSIOLOGY • MECHANISMS • Spineinjury – Traction force – Direct trauma – Indirect trauma (commonest) – axial compression, flexion, flexion-rotation, hyperextension, lateral compression, distraction • Cord injury – Direct trauma – Compression: displaced bone frags, haematoma – Disruption of blood supply
  • 13.
    PATHOPHYSIOLOGY • Primary injury –Caused by initial trauma • Secondary injury – Caused by body’s response to initial injury (begins within minutes, may last for weeks to months) – Body’s response comprised by – Inflammation – vascular changes, oedema, hypoxia – Loss of ATP-dependent processes – Ionic derangements – Accumulation of neurotransmitters – Production of molecules (arachidonic acid, free radicals, endogenous opioids)
  • 14.
    DIFFERENTIAL DIAGNOSIS • TBspine • Transverse myelitis • Tumours • Degenerative diseases • Guillain-Barre syndrome
  • 15.
    MANAGEMENT • Pre-hospital • Resuscitation+ spine stabilization • Log-rolling • Transportation
  • 18.
    MANAGEMENT – HOSPITALCARE • Multidisciplinary approach • Spine injury centre care is best • Resuscitation • Clinical evaluation – maintain high index of suspicion – History: pain in neck or back, neurologic impairment, bladder/bowel incontinence, hx of high risk injury, other injuries – Examination: • General exam – Conscious/unconscious, restless, shock, other injuries
  • 19.
    MANAGEMENT – HOSPITALCARE • Spine exam • Inspect head & face for injury • Inspect spine for deformity, penetrating injury • Palpate gently for tenderness, bogginess, gap or step • Other neurological exam • Carry out power grading for each limb muscle group • Test for muscle tone and all DTRs • Anal wink & bulbocavernosus reflex. DRE is mandatory. • Test each dermatome for sensation and determine the levels of the various sensory modalities • Other systemic examination
  • 20.
    MANAGEMENT – HOSPITALCARE • Investigations – Confirmatory • Xrays • CT • MRI • Myelography – Ancillary • FBC • EUCr • GxM • Urinalysis
  • 25.
    MANAGEMENT – HOSPITALCARE • Counselling • Definitive – Non-operative • Indications – Stable injuries – Unstable injuries without neurologic impairment – Patient’s refusal of operative mgt • Techniques – Semi-rigid cervical collar – Halo vest – Traction – Minerva jacket – Thoracolumbar brace
  • 28.
    MANAGEMENT – HOSPITALCARE • Definitive – Operative • Indications – Unstable fracture with progressive neurologic deficit – Unstable injuries with neurologic impairment – Patient’s choice – To augment spine stability achieve by non-operative means – Treatment of complications • Techniques – Plates – Rods & screws – Wires – Lag screws
  • 30.
    MANAGEMENT – HOSPITALCARE • Supportive care – Skin care – Wash, dry & powder skin – 2-hrly turning – No creases or crumbs in sheets – Bladder and bowel care – Intermittent, aseptic bladder drainage. Commence bladder training ASAP – Bowel training with enemas – Thromboprophylaxis – Early physiotherapy – Drugs
  • 31.
    REHABILITATION • This shouldbe commenced as early as possible • Physiotherapy • Promotes neural recovery • Prevents DVT/PE • Prevents contractures • Occupational therapy • Psychotherapy
  • 32.
    COMPLICATIONS • Early • DVT •Pressure sores • Bladder/bowel dysfunction • UTI • Neurogenic shock • Pulmonary complications – Pneumonia, atelectasis, ventilatory failure • Late • Heterotopic ossification • Contractures • Chronic pain • Autonomic dysreflexia • Osteoporosis • Depression
  • 33.
    PREVENTION • Effective &adequate traffic policies (as well as full enforcement) to reduce RTI • Creation of new roads, resuscitation of old ones and establishment of an effective rail system • Establishment of well-structured, adequately staffed pre-hospital trauma care teams • Training and retraining of relevant staff in management of spine injury with establishment of purpose-built facilities • Widespread education of public
  • 34.
    CURRENT TRENDS • ASSISTIVEROBOTIC EXOSKELETONS • STEM CELL TRANSPLANTATION (bonemarrow- derived, iPSCs)
  • 36.
    CONCLUSION • Spine injuriesare a clear and present danger to our economic stability. Apart from being quite costly to manage, outcomes are sometimes discouraging despite best care. • Efforts geared toward prevention will certainly reduce the burden of this problem on society as a whole.
  • 37.
  • 38.
    REFERENCES • Apley’s systemof Orthopaedics & fractures, D Warwick, S Nayagam, 9th Ed, pp 824 – 847 • Clinical Anatomy, • emedicine.medscape.com/article/793582- overview • orthoportal.aaos.org/oko/article.aspx? article=OKO_SPI046#article • Kawu AA. Pattern and presentation of spine trauma in Gwagwalada-Abuja, Nigeria. Niger J Clin Pract 2012;15:38-41 • Clinical Anatomy, H Ellis, 11th Ed, pp 324 – 328 • m.wikihow.com/Logroll-an-Injured-Person- During-First-Aid