Initial Assessment
Trauma life support
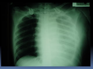
WHAT ISTHIS?
WHAT ISTHE FIRST STEPYOU DO?
OBJECTIVE
Initial assessment
of trauma patients
Life saving
maneuvers
Practicing trauma
skills
HISTORY
▪ When I can provide better care in the field
with limited resources than what my children
and I received at the primary care facility,
there is something wrong with the system,
and the system has to be changed
So ATLS is a system
TRAUMA SCENARIO
▪ MALE PATIENT 34YEARS OLD COMINGTO ER
AFTER ROAD TRAFFIC ACCIDENT:
HOARSNESSOFVOICE
BP 90/50
RR 30
PULSE 130
ABRASION ON LT CHESY
WHAT DOYOU DO?
Initial assessment of trauma patient
Preparation
Triage
Primary survey (ABCDEs)
Adjuncts to the primary survey and resuscitation
Consideration of the need for patient transfer
Secondary survey (head-to-toe evaluation and patient history)
Adjuncts to the secondary survey
monitoring and reevaluation
Definitive care
Critical aspects of hospital preparation
A resuscitation
area is available for
trauma patients.
functioning
airway
equipment.
Warmed
intravenous
crystalloid
solutions.
A protocol to
summon additional
medical assistance
is in place,.
Transfer
Standard Precautions
Cap
Gown
Mask
Shoe covers
Goggles / face shield
Check safety before start primary
survey
Assess the patient in 10 seconds?
Ask patient
about his
name
➢ suggests that there is no major airway compromise
(i.e., ability to speak clearly)
➢ breathing is not severely compromised (i.e., ability
to generate air movement to permit speech)
➢ the level of consciousness is not markedly
decreased (i.e., alert enough to describe what
happened)
MY NAME IS
MOHAMED
MEAN:
Airway opened, clear
Breathing adequate
Conscious
Breathing / ventilation / oxygenation
Circulation with hemorrhage control
Disability
Expose / Environment / body temp.
Primary Survey
Airway with c-spine protection
Airway
GIVE HIGH FLOW
O2TO ALL
TRAUMA PATIENT
IF EIGHT
INTUBATE
A
opened clear maintained
Chin lift Jaw thrust
Oropharyngeal airway nasopharyngeal suction
ANTICIPATINGAIRWAY COMPROMISE
CHIN LIFT
JAWTRUST
AIRWAY ADJUNCTS
SIZING
•OPAs too large or too small may obstruct the airway.
•NPAs sized incorrectly may enter the esophagus.
•Always check for spontaneous respirations after insertion of either device.
ADVANCED AIRWAY
Sequence of air way maneuvers
Chin lift&jaw trust
Finger sweep& suction
Airway adjuncts
Oropharyngeal/ orotrachial tube
LMA
BMV
Needle Cricothyroidotomy
Surgical cricothyroidotomy
Tracheostomy
C- SPINE PROTECTION
▪ INLINE
IMMBOLIZATION
▪ NECK COLAR
▪ HEAD LOCK
▪ HARD BOARD
▪ BELLETS
pearls
If the patient unconscious don’t remove
neck coller and back board till proved
radiographically that whole spine is intact
BREATHINGB
▪ Airway patency alone does not ensure adequate
ventilation. Adequate gas exchange is required to
maximize oxygenation and carbon dioxide
elimination
▪ Every injured patient should receive supplemental
oxygen. If the patient is not intubated, oxygen
should be delivered by a mask-reservoir device to
achieve optimal oxygenation
Our task is to identify
▪ Five life threatening thoracic conditions:
▪ Tension Pneumothorax
▪ Massive Pneumothorax
▪ Open pneumothorax
▪ Flail segment
▪ Cardiac tamponade
Abnormal Findings
Un equality of chest movement
Hyper resonance on percussion
Decrease air entry
Tachypenic
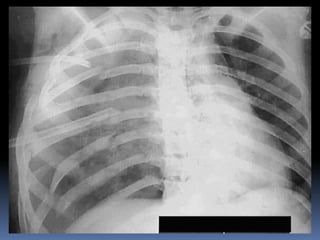
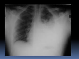
Pneumo thorax
chest tube
pearls
A simple pneumothorax can be converted to a tension
pneumothorax when a patient is intubated and
positive pressure ventilation is provided before
decompressing the pneumothorax with a chest tube.
Abnormal Findings
Un equality of chest movement
Hyper resonance on percussion
Decrease air entry ,tachypenic
Deviated trachea ,congested neck vein
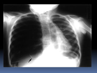
Tension Pneumo thorax
Needle decompression & chest tube
Abnormal Findings
Un equality of chest movement
Dullness on percussion
Decrease air entry
Tachypenic
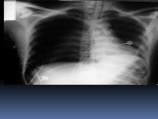
heamothorax
chest tube
heamothorax
heamothorax
Abnormal Findings
Un equality of chest movement
Dullness on percussion
Normal air entry ,muffled heart sounds
Tachypenic, congested neck veins
Cardiac tamponade
pericardiocentesis
▪ (almost always seen with a penetrating
wound)
▪ Beck’s triad:
Hypotension
distended neck veins
Muffled heart sounds
Pulsus paradoxus
Cardiac tamponade
cardiac tamponade
Skills in B
Needle de
compression
Chest tube pericardiocentesis
pearls
circulation
Check :
▪ Bp
▪ Pulse
▪ Capillary refill
▪ Search for External bleeding
▪ Search for Internal bleeding
▪ 2 wide bore cannula
▪ Blood sample for ABO compatibility,
creatinine,urea,ABG
▪ GIVE 2 liters warmed crystalloid
C
pearls
European and American military studies demonstrate
improved survival when tranexamic acid is administered
within 3 hours of injury.When bolused in the field follow
up infusion is given over 8 hours in the hospital
▪ Hemorrhage is the predominant cause of
preventable deaths after injury.
▪ Tachycardia in a cold patient indicates shock
▪ Causes of shock following injury:
▪ Hypovolemic
▪ Cardiogenic
▪ Neurogenic
▪ Septic
Aggressive and continued volume resuscitation is not a substitute for definitive
control of hemorrhage.
Shock associated with injury is most often hypovolemic in origin.
In such cases, initiate IV fluid therapy with crystalloids.All IV solutions should be warmed
either by storage in a warm environment (i.e., 37°C to 40°C, or 98.6°F to 104°F) or
administered through fluid warming devices.
A bolus of 1 L of an isotonic solution may be required to achieve
an appropriate response in an adult patient.
If a patient is unresponsive to initial crystalloid therapy, he or she
should receive a blood transfusion
pearls
▪ Adults- 2 lit of Ringer lact solu as initial fluid
challenge
▪ Children- 20mg/kg of body wt
Response to initial fluid challenge:
▪ Immediate & sustained return of vital signs.
▪ Transient response with later deterioration
▪ No improvement.
▪ Urine output –
▪ 0.5ml/kg/hr in adults
▪ 1ml/kg/hr in children
▪ 2ml/kg/hr in infants
Skills in C
▪ Direct compression in
site of external bleeding
▪ Splint of long bone
fractures
▪ Pelvic binder
▪ FAST( E- FAST)
▪ X-ray chest , pelvis
▪ Consult surgeon
Blood in the floor and 4 more
Chest
Abdomen
Pelvis
femur
Disability
▪ Determine Glasgow coma
scale
▪ Check pupil for (equality-
reactivity)
▪ Signs of lateralization
▪ Neurological assessment
D
A.-Alert
V.-Responds to
Voice
P.-Responds to
Pain
U.-Unresponsive
Pupil.-Size and
reaction
Exposure
▪ Remove clothes
▪ Log roll
▪ Prevent hypothermia
E
Hypothermia can be present when
the patient arrives, or it may develop
quickly in the ED if the patient is
uncovered and undergoes rapid
administration of room-temperature
fluids or refrigerated blood.
Because hypothermia is a potentially
lethal complication in injured
patients, tak aggressive measures to
prevent the loss of body heat and
restore body temperature to normal
pearls
ADJUNCTS
Vital signs
ABGs
Pulse
oximeter
and CO2
Urinary / gastric catheters
unless contraindicated
Urinary
output
ECG
Physiologic parameters for adequcy of resuscitation
such as pulse rate, blood
pressure, pulse pressure,
ventilatory rate, ABG levels,
body temperature, and
urinary output are assessable
measures that reflect the
adequacy of resuscitation
CONSIDER EARLY PATIENT TRANSFER
➢Do not delay transfer for
diagnostic tests
➢Use time before transfer for
resuscitation
The secondary survey does not
begin until the primary survey
(ABCDE) is completed, resuscitative
efforts are under way, and
improvement of the patient’s vital
functions has been demonstrated
Secondary Survey
Secondary Survey
AMPLE History
Allergies
Medications
Past illnesses
Last meal
Events / Environment
HEAD
▪ Inspection
▪ Palpation
▪ Signs of fracture base
▪ Eye (PUPIL,visual acuity)
▪ Nose (RHINORRHEA)
▪ Maxilla (FRACTURE)
▪ Mouth
▪ Ear(HAEMOTYPMANUM
Fracture base skull
▪ Haemotympnym
▪ Otorrhea
▪ Rhinorrhea
▪ Rakon eyes
▪ Battle s signs
NECK
▪ Inspection
(abrasion-cut wounds)
▪ Palpation
(mass , surgical emphysema ,trachea ,
carotid pulse -Cervical spine fractures)
Auscultation
carotid bruit
▪ The finding of active arterial bleeding, an
expanding hematoma, arterial bruit, or
airway compromise usually requires
operative evaluation.
▪ Unexplained or isolated paralysis of an upper
extremity should raise the suspicion of a
cervical nerve root injury and should be
accurately documented.
pearls
CHEST
▪Inspection
▪Palpation
▪Percussion
▪Auscultation air
entery &heart
sounds
pearls
Search for potentially life threatening injuries
▪ Pulmonary complication
▪ Myocardial contusion
▪ Aortic tear
▪ Diaphragmatic tear
▪ Oesophageal tear
▪ Tracheobronchial tear
▪ Early thoracotomy if initial
▪ haemorrhage > 1500 ml
ABDOMEN
▪ Inspection
▪ Auscultation
▪ Palpation
▪ percussion
PELVIS
➢ Pelvic fractures can be suspected by the
identification
▪ of ecchymosis over the iliac wings, pubis, labia, or
▪ scrotum.
➢ Clinical assessment of stability
▪ X-ray
▪ stabilize pelvis with fixator/clamps –pelvic
binder
▪ urethral injury is suspected when
high up prostate in PR
▪ blood in meatus
▪ perineal haematoma
pearls
Perineum, Rectum, andVagina
▪ The perineum should be examined for contusions,
hematomas, lacerations, and urethral bleeding.
▪ A rectal examination may be performed to assess for
the presence of blood within the bowel lumen,
integrity of the rectal wall, and quality of sphincter
tone.
▪ Vaginal examination should be performed in patients
who are at risk of vaginal injury. The clinician should
assess for the presence of blood in the vaginal vault
and vaginal lacerations. In addition, pregnancy tests
should be performed on all females of childbearing
age.
Inspection
•Wounds
•Swelling
•contusion
•Source of bleeding
Palpation
•Peripheral pulsation
•Click of fracture
•Compartmental
syndrome
EXTERMITIES
diagnostic tests may be performed during the
secondary survey to identify specific
x-ray examinations of the spine and extremities
CT scans of the head, chest, abdomen, and spine
contrast urography and angiography
transesophageal ultrasound;
bronchoscopy
esophagoscopy; and other diagnostic procedures
ADJUCANTS
Reevaluation
Trauma patients must be reevaluated constantly to ensure that new
findings are not overlooked and to discover any deterioration in
previously noted findings.
Continuous monitoring of vital signs, oxygen saturation, and urinary
output is essential. For adult patients, maintenance of urinary
output at 0.5 mL/kg/h is desirable. In pediatric patients who are
older than 1 year, an output of 1 mL/kg/h is typically adequate.
PeriodicABG analyses and end-tidalCO2 monitoring are useful in
some patients.
Definitive care
▪ Whenever the patient’s treatment needs exceed
the capability of the receiving institution, transfer
is considered.
▪ This decision requires a detailed assessment of the
patient’s injuries and knowledge of the capabilities
of the institution, including equipment, resources,
and personnel.
Forensic Evidence
▪ If criminal activity is suspected in conjunction with
a patient’s injury, the personnel caring for the
patient must preserve the evidence.
▪ All items, such as clothing and bullets, are saved
for law enforcement personnel.
▪ Laborator determinations of blood alcohol
concentrations and other drugs may be
particularly pertinent and have substantial legal
implications.
Trauma team
Work up of any case of trauma:
LAB
▪ 1-cbc
▪ 2-blood chemistry (renal-liver-cardiac-electrolyte)
▪ 3-coagulation profile
▪ 4- Blood group, cross matching if multiple trauma
patient
▪ IMAGING:
▪ 1-x ray cervical vertebra
▪ 2-x ray chest
▪ 3-x ray pelvis
▪ 4-Abd U/S ( FAST)
▪
INDICATION OF CT INTRAUMA PATIENT:
▪
▪ CT HEAD FOR HEAD TRAUMA IF:
▪ 1-old age more than 65
▪ 2- Patient on warfarin
▪ 3- Loss of conscious level after trauma
▪ 4-GCS less than 15 for 2 hours
▪ 5-suspected depressed skull fracture
▪ 6-signs of basal skull fracture
▪ 7-pediatric with signs of increase ICT
▪ 8-convulsion after trauma
▪ 9-dangerous trauma
▪ 10-polytraumatized patient
▪ CT CHEST IF:
▪ 1-chest pain after trauma
▪ 2-chest contusion
▪ 3-decrease air entry
▪ 4-any change in o2 sat
▪ 5-suspecting rib fracture
▪ 6-polytraumatized patient
CT abdomen must be with contrast if:
▪ 1- positive FAST scan
▪ 2- Cullen sign
▪ 3- turner sign
▪ 4- abdominal Contusion
▪ 5- unexplained shock
▪ 6- Part from pan scan of multiple trauma
patient
TRAUMA SCENARIO
▪ MALE PATIENT 34YEARS OLD COMINGTO ER
AFTER ROAD TRAFFIC ACCIDENT:
HOARSNESSOFVOICE
BP 90/50
RR 30
PULSE 130
ABRASION ON LT CHESY
WHATYOU DO?
THEANSWER
▪A
▪B
▪C
▪D
▪E
THANKYOU

ATLS initial assessment 2019

  • 1.
  • 2.
    WHAT ISTHIS? WHAT ISTHEFIRST STEPYOU DO?
  • 3.
    OBJECTIVE Initial assessment of traumapatients Life saving maneuvers Practicing trauma skills
  • 4.
    HISTORY ▪ When Ican provide better care in the field with limited resources than what my children and I received at the primary care facility, there is something wrong with the system, and the system has to be changed So ATLS is a system
  • 5.
    TRAUMA SCENARIO ▪ MALEPATIENT 34YEARS OLD COMINGTO ER AFTER ROAD TRAFFIC ACCIDENT: HOARSNESSOFVOICE BP 90/50 RR 30 PULSE 130 ABRASION ON LT CHESY WHAT DOYOU DO?
  • 8.
    Initial assessment oftrauma patient Preparation Triage Primary survey (ABCDEs) Adjuncts to the primary survey and resuscitation Consideration of the need for patient transfer Secondary survey (head-to-toe evaluation and patient history) Adjuncts to the secondary survey monitoring and reevaluation Definitive care
  • 9.
    Critical aspects ofhospital preparation A resuscitation area is available for trauma patients. functioning airway equipment. Warmed intravenous crystalloid solutions. A protocol to summon additional medical assistance is in place,. Transfer
  • 10.
    Standard Precautions Cap Gown Mask Shoe covers Goggles/ face shield Check safety before start primary survey
  • 11.
    Assess the patientin 10 seconds? Ask patient about his name
  • 12.
    ➢ suggests thatthere is no major airway compromise (i.e., ability to speak clearly) ➢ breathing is not severely compromised (i.e., ability to generate air movement to permit speech) ➢ the level of consciousness is not markedly decreased (i.e., alert enough to describe what happened) MY NAME IS MOHAMED MEAN: Airway opened, clear Breathing adequate Conscious
  • 13.
    Breathing / ventilation/ oxygenation Circulation with hemorrhage control Disability Expose / Environment / body temp. Primary Survey Airway with c-spine protection
  • 14.
    Airway GIVE HIGH FLOW O2TOALL TRAUMA PATIENT IF EIGHT INTUBATE A opened clear maintained Chin lift Jaw thrust Oropharyngeal airway nasopharyngeal suction
  • 15.
  • 16.
  • 17.
  • 18.
  • 19.
    SIZING •OPAs too largeor too small may obstruct the airway. •NPAs sized incorrectly may enter the esophagus. •Always check for spontaneous respirations after insertion of either device.
  • 22.
  • 26.
    Sequence of airway maneuvers Chin lift&jaw trust Finger sweep& suction Airway adjuncts Oropharyngeal/ orotrachial tube LMA BMV Needle Cricothyroidotomy Surgical cricothyroidotomy Tracheostomy
  • 28.
    C- SPINE PROTECTION ▪INLINE IMMBOLIZATION ▪ NECK COLAR ▪ HEAD LOCK ▪ HARD BOARD ▪ BELLETS
  • 30.
    pearls If the patientunconscious don’t remove neck coller and back board till proved radiographically that whole spine is intact
  • 31.
    BREATHINGB ▪ Airway patencyalone does not ensure adequate ventilation. Adequate gas exchange is required to maximize oxygenation and carbon dioxide elimination ▪ Every injured patient should receive supplemental oxygen. If the patient is not intubated, oxygen should be delivered by a mask-reservoir device to achieve optimal oxygenation
  • 33.
    Our task isto identify ▪ Five life threatening thoracic conditions: ▪ Tension Pneumothorax ▪ Massive Pneumothorax ▪ Open pneumothorax ▪ Flail segment ▪ Cardiac tamponade
  • 34.
    Abnormal Findings Un equalityof chest movement Hyper resonance on percussion Decrease air entry Tachypenic Pneumo thorax chest tube
  • 36.
    pearls A simple pneumothoraxcan be converted to a tension pneumothorax when a patient is intubated and positive pressure ventilation is provided before decompressing the pneumothorax with a chest tube.
  • 37.
    Abnormal Findings Un equalityof chest movement Hyper resonance on percussion Decrease air entry ,tachypenic Deviated trachea ,congested neck vein Tension Pneumo thorax Needle decompression & chest tube
  • 40.
    Abnormal Findings Un equalityof chest movement Dullness on percussion Decrease air entry Tachypenic heamothorax chest tube
  • 41.
  • 42.
  • 43.
    Abnormal Findings Un equalityof chest movement Dullness on percussion Normal air entry ,muffled heart sounds Tachypenic, congested neck veins Cardiac tamponade pericardiocentesis
  • 44.
    ▪ (almost alwaysseen with a penetrating wound) ▪ Beck’s triad: Hypotension distended neck veins Muffled heart sounds Pulsus paradoxus
  • 46.
  • 47.
  • 49.
    Skills in B Needlede compression Chest tube pericardiocentesis
  • 58.
  • 59.
    circulation Check : ▪ Bp ▪Pulse ▪ Capillary refill ▪ Search for External bleeding ▪ Search for Internal bleeding ▪ 2 wide bore cannula ▪ Blood sample for ABO compatibility, creatinine,urea,ABG ▪ GIVE 2 liters warmed crystalloid C
  • 60.
    pearls European and Americanmilitary studies demonstrate improved survival when tranexamic acid is administered within 3 hours of injury.When bolused in the field follow up infusion is given over 8 hours in the hospital
  • 61.
    ▪ Hemorrhage isthe predominant cause of preventable deaths after injury. ▪ Tachycardia in a cold patient indicates shock ▪ Causes of shock following injury: ▪ Hypovolemic ▪ Cardiogenic ▪ Neurogenic ▪ Septic
  • 63.
    Aggressive and continuedvolume resuscitation is not a substitute for definitive control of hemorrhage. Shock associated with injury is most often hypovolemic in origin. In such cases, initiate IV fluid therapy with crystalloids.All IV solutions should be warmed either by storage in a warm environment (i.e., 37°C to 40°C, or 98.6°F to 104°F) or administered through fluid warming devices. A bolus of 1 L of an isotonic solution may be required to achieve an appropriate response in an adult patient. If a patient is unresponsive to initial crystalloid therapy, he or she should receive a blood transfusion pearls
  • 64.
    ▪ Adults- 2lit of Ringer lact solu as initial fluid challenge ▪ Children- 20mg/kg of body wt Response to initial fluid challenge: ▪ Immediate & sustained return of vital signs. ▪ Transient response with later deterioration ▪ No improvement.
  • 65.
    ▪ Urine output– ▪ 0.5ml/kg/hr in adults ▪ 1ml/kg/hr in children ▪ 2ml/kg/hr in infants
  • 66.
    Skills in C ▪Direct compression in site of external bleeding ▪ Splint of long bone fractures ▪ Pelvic binder ▪ FAST( E- FAST) ▪ X-ray chest , pelvis ▪ Consult surgeon
  • 67.
    Blood in thefloor and 4 more Chest Abdomen Pelvis femur
  • 70.
    Disability ▪ Determine Glasgowcoma scale ▪ Check pupil for (equality- reactivity) ▪ Signs of lateralization ▪ Neurological assessment D A.-Alert V.-Responds to Voice P.-Responds to Pain U.-Unresponsive Pupil.-Size and reaction
  • 74.
    Exposure ▪ Remove clothes ▪Log roll ▪ Prevent hypothermia E
  • 75.
    Hypothermia can bepresent when the patient arrives, or it may develop quickly in the ED if the patient is uncovered and undergoes rapid administration of room-temperature fluids or refrigerated blood. Because hypothermia is a potentially lethal complication in injured patients, tak aggressive measures to prevent the loss of body heat and restore body temperature to normal pearls
  • 78.
    ADJUNCTS Vital signs ABGs Pulse oximeter and CO2 Urinary/ gastric catheters unless contraindicated Urinary output ECG
  • 79.
    Physiologic parameters foradequcy of resuscitation such as pulse rate, blood pressure, pulse pressure, ventilatory rate, ABG levels, body temperature, and urinary output are assessable measures that reflect the adequacy of resuscitation
  • 81.
    CONSIDER EARLY PATIENTTRANSFER ➢Do not delay transfer for diagnostic tests ➢Use time before transfer for resuscitation
  • 83.
    The secondary surveydoes not begin until the primary survey (ABCDE) is completed, resuscitative efforts are under way, and improvement of the patient’s vital functions has been demonstrated Secondary Survey
  • 84.
    Secondary Survey AMPLE History Allergies Medications Pastillnesses Last meal Events / Environment
  • 87.
    HEAD ▪ Inspection ▪ Palpation ▪Signs of fracture base ▪ Eye (PUPIL,visual acuity) ▪ Nose (RHINORRHEA) ▪ Maxilla (FRACTURE) ▪ Mouth ▪ Ear(HAEMOTYPMANUM
  • 88.
    Fracture base skull ▪Haemotympnym ▪ Otorrhea ▪ Rhinorrhea ▪ Rakon eyes ▪ Battle s signs
  • 93.
    NECK ▪ Inspection (abrasion-cut wounds) ▪Palpation (mass , surgical emphysema ,trachea , carotid pulse -Cervical spine fractures) Auscultation carotid bruit
  • 94.
    ▪ The findingof active arterial bleeding, an expanding hematoma, arterial bruit, or airway compromise usually requires operative evaluation. ▪ Unexplained or isolated paralysis of an upper extremity should raise the suspicion of a cervical nerve root injury and should be accurately documented.
  • 96.
  • 98.
  • 99.
  • 100.
    Search for potentiallylife threatening injuries ▪ Pulmonary complication ▪ Myocardial contusion ▪ Aortic tear ▪ Diaphragmatic tear ▪ Oesophageal tear ▪ Tracheobronchial tear ▪ Early thoracotomy if initial ▪ haemorrhage > 1500 ml
  • 101.
  • 102.
    PELVIS ➢ Pelvic fracturescan be suspected by the identification ▪ of ecchymosis over the iliac wings, pubis, labia, or ▪ scrotum. ➢ Clinical assessment of stability ▪ X-ray ▪ stabilize pelvis with fixator/clamps –pelvic binder ▪ urethral injury is suspected when high up prostate in PR ▪ blood in meatus ▪ perineal haematoma
  • 103.
  • 104.
    Perineum, Rectum, andVagina ▪The perineum should be examined for contusions, hematomas, lacerations, and urethral bleeding. ▪ A rectal examination may be performed to assess for the presence of blood within the bowel lumen, integrity of the rectal wall, and quality of sphincter tone. ▪ Vaginal examination should be performed in patients who are at risk of vaginal injury. The clinician should assess for the presence of blood in the vaginal vault and vaginal lacerations. In addition, pregnancy tests should be performed on all females of childbearing age.
  • 105.
    Inspection •Wounds •Swelling •contusion •Source of bleeding Palpation •Peripheralpulsation •Click of fracture •Compartmental syndrome EXTERMITIES
  • 109.
    diagnostic tests maybe performed during the secondary survey to identify specific x-ray examinations of the spine and extremities CT scans of the head, chest, abdomen, and spine contrast urography and angiography transesophageal ultrasound; bronchoscopy esophagoscopy; and other diagnostic procedures ADJUCANTS
  • 110.
    Reevaluation Trauma patients mustbe reevaluated constantly to ensure that new findings are not overlooked and to discover any deterioration in previously noted findings. Continuous monitoring of vital signs, oxygen saturation, and urinary output is essential. For adult patients, maintenance of urinary output at 0.5 mL/kg/h is desirable. In pediatric patients who are older than 1 year, an output of 1 mL/kg/h is typically adequate. PeriodicABG analyses and end-tidalCO2 monitoring are useful in some patients.
  • 111.
    Definitive care ▪ Wheneverthe patient’s treatment needs exceed the capability of the receiving institution, transfer is considered. ▪ This decision requires a detailed assessment of the patient’s injuries and knowledge of the capabilities of the institution, including equipment, resources, and personnel.
  • 112.
    Forensic Evidence ▪ Ifcriminal activity is suspected in conjunction with a patient’s injury, the personnel caring for the patient must preserve the evidence. ▪ All items, such as clothing and bullets, are saved for law enforcement personnel. ▪ Laborator determinations of blood alcohol concentrations and other drugs may be particularly pertinent and have substantial legal implications.
  • 113.
  • 115.
    Work up ofany case of trauma: LAB ▪ 1-cbc ▪ 2-blood chemistry (renal-liver-cardiac-electrolyte) ▪ 3-coagulation profile ▪ 4- Blood group, cross matching if multiple trauma patient ▪ IMAGING: ▪ 1-x ray cervical vertebra ▪ 2-x ray chest ▪ 3-x ray pelvis ▪ 4-Abd U/S ( FAST) ▪
  • 116.
    INDICATION OF CTINTRAUMA PATIENT: ▪ ▪ CT HEAD FOR HEAD TRAUMA IF: ▪ 1-old age more than 65 ▪ 2- Patient on warfarin ▪ 3- Loss of conscious level after trauma ▪ 4-GCS less than 15 for 2 hours ▪ 5-suspected depressed skull fracture ▪ 6-signs of basal skull fracture ▪ 7-pediatric with signs of increase ICT ▪ 8-convulsion after trauma ▪ 9-dangerous trauma ▪ 10-polytraumatized patient
  • 117.
    ▪ CT CHESTIF: ▪ 1-chest pain after trauma ▪ 2-chest contusion ▪ 3-decrease air entry ▪ 4-any change in o2 sat ▪ 5-suspecting rib fracture ▪ 6-polytraumatized patient
  • 118.
    CT abdomen mustbe with contrast if: ▪ 1- positive FAST scan ▪ 2- Cullen sign ▪ 3- turner sign ▪ 4- abdominal Contusion ▪ 5- unexplained shock ▪ 6- Part from pan scan of multiple trauma patient
  • 119.
    TRAUMA SCENARIO ▪ MALEPATIENT 34YEARS OLD COMINGTO ER AFTER ROAD TRAFFIC ACCIDENT: HOARSNESSOFVOICE BP 90/50 RR 30 PULSE 130 ABRASION ON LT CHESY WHATYOU DO?
  • 120.
  • 121.