PHYSEAL INJURIES 
DR. BASSEY, A E 
ORTHOPAEDIC & TRAUMA SURGERY 
U.A.T.H, ABUJA
OUTLINE 
• INTRODUCTION 
 DEFINITION 
 STATEMENT OF IMPORTANCE 
 EPIDEMIOLOGY 
• ANATOMY OF THE PHYSIS 
• AETIOPATHOGENESIS OF PHYSEAL INJURIES 
• CLASSIFICATION 
• MANAGEMENT 
 HISTORY 
 EXAMINATION 
 INVESTIGATION 
 TREATMENT 
• COMPLICATIONS 
• FOLLOW-UP/REHABILITATION 
• PROGNOSIS 
• CURRENT TRENDS 
• CONCLUSION
INTRODUCTION 
• DEFINITION - PHYSEAL INJURY IS A 
DISRUPTION IN THE CARTILAGINOUS PHYSIS 
OF LONG BONES THAT MAY INVOLVE 
EPIPHYSEAL AND/OR METAPHYSEAL BONE 
• IT IS A FAIRLY COMMON INJURY WITH A 
PROPENSITY FOR LIFELONG DIMINUTION OF 
PRODUCTIVITY AND QUALITY OF LIFE. IT IS 
THEREFORE IMPERATIVE FOR TODAY’S 
SURGEON TO HAVE ADEQUATE KNOWLEDGE 
AND SKILL IN ORDER TO DIAGNOSE THIS 
CONDITION EARLY AND INSTITUTE 
APPROPRIATE TREATMENT EXPEDITIOUSLY.
EPIDEMIOLOGY 
• PREVALENCE: 10 – 30% OF CHILDHOOD 
FRACTURES 
• AGE: BIMODAL PEAKS AT INFANCY & 10 – 12 
YEARS 
• SEX: M>F 
• COMMONEST SITES: 
 UPPER EXTREMITY>LOWER EXTREMITY 
 DISTAL RADIUS DECREASING 
 DISTAL HUMERUS FREQUENCY 
 PROXIMAL TIBIA/FIBULA
ANATOMY OF THE PHYSIS 
• THE PHYSIS IS A SLAB OF HYALINE 
CARTILAGE LOCATED AT THE ENDS OF 
GROWING BONES BETWEEN THE 
EPIPHYSES AND METAPHYSES AND WHICH 
ARE RESPONSIBLE FOR THE GROWTH OF 
SUCH BONES 
• IT IS DIVIDED INTO 4 DISTINCT ZONES 
HISTOLOGICALLY: 
 GERMINAL (RESTING) ZONE 
 PROLIFERATIVE ZONE 
 HYPERTROPHIC (MATURATION) ZONE 
 ZONE OF CALCIFICATION
ANATOMY OF THE PHYSIS 
• GERMINAL ZONE 
 CONTAINS CHONDROCYTES IN QUISENCE 
 REPLENISHES PROLIFERATIVE ZONE 
 INJURY CESSATION OF GROWTH 
• PROLIFERATIVE ZONE 
 CONTAINS CHONDROCYTES IN MITOSIS 
 RESPONSIBLE FOR INCREASE IN BONE LENGTH 
 INJURY CESSATION OF GROWTH 
• HYPERTROPHIC ZONE 
 CELLS ACCUMULATE GLYCOGEN/LIPIDS 
 INCREASED ALKALINE PHOSPHATASE ACTIVITY 
 WEAKEST ZONE AND SITE OF PHYSEAL FRACTURES 
• ZONE OF CALCIFICATION 
 MINERALISATION OF CHONDROID MATRIX 
 INFILTRATION BY METAPHYSEAL BLOOD VESSELS
ANATOMY OF PHYSIS
AETIOPATHOGENESIS OF PHYSEAL INJURIES 
• AETIOLOGY – 
 RTI 
 FALLS 
 SPORTS 
 PLAYGROUND ACTIVITIES 
• BIOMECHANICS 
 COMPRESSION 
 SHEAR 
 TENSION 
• FRACTURE CONFIGURATION USUALLY 
TRANSVERSE
CLASSIFICATION 
• SALTER-HARRIS (1963) – MOST WIDELY USED: 
▫ TYPE 1: TRANVERSE FRACTURE IN HYPERTROPHIC ZONE 
▫ TYPE 2: ABOVE FRACTURE VEERING OFF INTO 
METAPHYSIS TO INCLUDE A TRIANGULAR CHIP OF BONE 
▫ TYPE 3: FRACTURE SPLITS EPIPHYSIS AND RUNS 
TRANVERSELY IN HYPERTROPHIC ZONE 
▫ TYPE 4: FRACTURE RUNS LONGITUDINALLY SPLITTING 
EPIPHYSIS, PHYSIS & METAPHYSIS 
▫ TYPE 5: LONGITUDINAL COMPRESSION INJURY 
• TYPE 6 ADDED IN 1969 – INJURY TO PERICHONDRAL 
RING 
• COMMONEST IS TYPE 2 (75% OF PHYSEAL INJURIES) 
• TYPE 5 IS RARE, MAY BE ASSOCIATED WITH 
DIAPHYSEAL FRACTURE 
• TYPES 3 – 6 HAVE HIGH RISK OF GROWTH ARREST
CLASSIFICATION
MANAGEMENT 
• HISTORY 
▫ PAIN/SWELLING AROUND THE CONTIGUOUS 
JOINT 
▫ UPPER LIMB – FUNCTION LIMITED BY PAIN 
▫ LOWER LIMB – INABILITY TO BEAR WEIGHT 
ON AFFECTED LIMB 
▫ PRECEEDING TRAUMATIC EVENT 
• EXAMINATION 
▫ SWELLING 
▫ DEFORMITY +/- (MINIMAL IF PRESENT) 
▫ FOCAL TENDERNESS OVER PHYSIS 
▫ LIMITED ROM
INVESTIGATION 
•X-RAYS 
 WIDENING OF PHYSEAL GAP 
 JOINT INCONGRUITY 
 TILTING OF EPIPHYSIS 
 PRESENCE OF DISPLACEMENT MAKES 
DIAGNOSIS MORE OBVIOUS 
 TYPES 5 & 6 INJURIES ARE USUALLY 
DIAGNOSED RETROSPECTIVELY
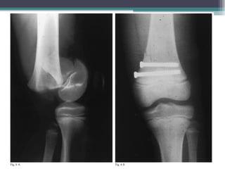
X-RAY FINDINGS IN PHYSEAL INJURY – NORMAL 
PHYSIS
SALTER HARRIS TYPE 1
SALTER HARRIS TYPE 2
SALTER HARRIS TYPE 2
SALTER HARRIS TYPE 3
SALTER HARRIS TYPE 4
INVESTIGATION 
• CT 
 TO VISUALISE FRACTURE ANATOMY IN SEVERELY 
COMMINUTED FRACTURES OF EPIPHYSIS AND 
METAPHYSIS 
• MRI 
 MOST ACCURATE FOR FRACTURE ANATOMY IF DONE IN 
ACUTE PERIOD 
 IDENTIFIES FORMATION OF BONY BRIDGE EARLIER 
THAN X-RAYS
TREATMENT 
• DEPENDS ON THE FOLLOWING FACTORS 
 TYPE OF INJURY 
 AGE OF PATIENT 
 FRACTURE STABILITY 
• FOR TYPES 1 & 2 
 CLOSED REDUCTION AND IMMOBILIZATION IN 
CAST WILL USUALLY SUFFICE 
 CHECK X-RAY IN 7 – 10 DAYS 
• FOR TYPES 3 & 4 
 REQUIRE ANATOMICAL REALIGNMENT VIA ORIF 
 ORIF CAN BE WITH LAG SCREWS OR KIRSCHNER 
WIRES RUNNING PARALLEL TO PHYSIS 
• FOR TYPES 5 & 6 
 USUALLY DIAGNOSED RETROSPECTIVELY 
HOWEVER HIGH INDEX OF SUSPICION MUST BE 
MAINTAINED IN HIGH RISK INJURIES
COMPLICATIONS 
• GROWTH ARREST 
 OCCURS BY DISRUPTION OF PHYSEAL BLOOD 
SUPPLY OR BONE BRIDGE FORMATION 
 MAY BE PARTIAL OR COMPLETE 
• GROWTH ACCELERATION 
• SECONDARY OSTEOARTHRITIS
FOLLOW-UP/REHABILITATION 
• TYPES 1 & 2 FRACTURES ARE IMMOBILIZED 
FOR 3 – 6 WEEKS 
• TYPES 3 & 4 FRACTURES ARE IMMOBILIZED 
FOR 4 – 8 WEEKS 
• PATIENT RESUMES UNRESTRICTED 
PHYSICAL ACTIVITIES 4 – 6 WEEKS 
FOLLOWING REMOVAL OF IMPLANTS FOR 
FRACTURES THAT REQUIRED OPERATIVE 
FIXATION
FOLLOW-UP/REHABILITATION 
• FOLLOW-UP CHECK XRAYS ARE DONE AT 6 
MONTHS AND 12 MONTHS POST INJURY 
AND MAY BE EXTENDED UP TO 2 YEARS AS 
GROWTH ARREST MAY BE DELAYED FOR 
THAT LONG
PROGNOSIS 
• AGE OF PATIENT AT TIME OF INJURY 
• TYPE OF INJURY 
• EXTENT OF CHONDRO-OSSEOUS 
DISRUPTION
CURRENT TRENDS 
• GROWTH PLATE INTERPOSITION 
 FAT 
 BONE WAX 
 SILICON RUBBER 
 POLYMETHYLMETHACRYLATE 
 LABORATORY-DERIVED CHONDROCYTE 
ALLOGRAFT 
• GENE THERAPY & TISSUE ENGINEERING 
 USE OF RETROVIRUSES TO INTRODUCE GENES 
CODING BMP-7 INTO RABBIT PERIOSTEAL 
MESENCHYMAL CELLS
CONCLUSION 
PHYSEAL INJURIES MAY NOT BE READILY 
OBVIOUS IN CHILDREN PRESENTING WITH 
PERIARTICULAR TRAUMA; A HIGH INDEX 
OF SUSPICION DURING EVALUATION, 
TREATMENT AND FOLLOW-UP OF SUCH 
PATIENTS IS OF THE ESSENCE TO 
FORESTALL FUTURE COMPLICATION.
THANK 
YOU
REFERENCES 
• Nayagam S. Principles of Fractures. In: Solomon L, 
Warwick D, Nayagam S. Apley’s System of Orthopaedics 
& Fractures. 9th ed. Hodder Arnold;2010: 727 – 730. 
• Mann DC, Rajmaira S. Distribution of physeal and non-physeal 
fractures in 2,650 long-bone fractures in 
children aged 0-16 years. J Pediatr Orthop. Nov-Dec 
1990;10(6):713-6. 
• Neer CS, Horowitz BS. Fractures of the proximal 
humeral epiphyseal plate. Clin Orthop Rel Res. 
1965;41:24-31. 
• http://emedicine.medscape.com/article/1260663-overview 
• http://www.wheelessonline.com/ortho/growth_plate_anatomy 
• http://www.orthobullets.com/pediatrics/4002/physeal-considerations

Physeal injuries

  • 1.
    PHYSEAL INJURIES DR.BASSEY, A E ORTHOPAEDIC & TRAUMA SURGERY U.A.T.H, ABUJA
  • 2.
    OUTLINE • INTRODUCTION  DEFINITION  STATEMENT OF IMPORTANCE  EPIDEMIOLOGY • ANATOMY OF THE PHYSIS • AETIOPATHOGENESIS OF PHYSEAL INJURIES • CLASSIFICATION • MANAGEMENT  HISTORY  EXAMINATION  INVESTIGATION  TREATMENT • COMPLICATIONS • FOLLOW-UP/REHABILITATION • PROGNOSIS • CURRENT TRENDS • CONCLUSION
  • 3.
    INTRODUCTION • DEFINITION- PHYSEAL INJURY IS A DISRUPTION IN THE CARTILAGINOUS PHYSIS OF LONG BONES THAT MAY INVOLVE EPIPHYSEAL AND/OR METAPHYSEAL BONE • IT IS A FAIRLY COMMON INJURY WITH A PROPENSITY FOR LIFELONG DIMINUTION OF PRODUCTIVITY AND QUALITY OF LIFE. IT IS THEREFORE IMPERATIVE FOR TODAY’S SURGEON TO HAVE ADEQUATE KNOWLEDGE AND SKILL IN ORDER TO DIAGNOSE THIS CONDITION EARLY AND INSTITUTE APPROPRIATE TREATMENT EXPEDITIOUSLY.
  • 4.
    EPIDEMIOLOGY • PREVALENCE:10 – 30% OF CHILDHOOD FRACTURES • AGE: BIMODAL PEAKS AT INFANCY & 10 – 12 YEARS • SEX: M>F • COMMONEST SITES:  UPPER EXTREMITY>LOWER EXTREMITY  DISTAL RADIUS DECREASING  DISTAL HUMERUS FREQUENCY  PROXIMAL TIBIA/FIBULA
  • 5.
    ANATOMY OF THEPHYSIS • THE PHYSIS IS A SLAB OF HYALINE CARTILAGE LOCATED AT THE ENDS OF GROWING BONES BETWEEN THE EPIPHYSES AND METAPHYSES AND WHICH ARE RESPONSIBLE FOR THE GROWTH OF SUCH BONES • IT IS DIVIDED INTO 4 DISTINCT ZONES HISTOLOGICALLY:  GERMINAL (RESTING) ZONE  PROLIFERATIVE ZONE  HYPERTROPHIC (MATURATION) ZONE  ZONE OF CALCIFICATION
  • 6.
    ANATOMY OF THEPHYSIS • GERMINAL ZONE  CONTAINS CHONDROCYTES IN QUISENCE  REPLENISHES PROLIFERATIVE ZONE  INJURY CESSATION OF GROWTH • PROLIFERATIVE ZONE  CONTAINS CHONDROCYTES IN MITOSIS  RESPONSIBLE FOR INCREASE IN BONE LENGTH  INJURY CESSATION OF GROWTH • HYPERTROPHIC ZONE  CELLS ACCUMULATE GLYCOGEN/LIPIDS  INCREASED ALKALINE PHOSPHATASE ACTIVITY  WEAKEST ZONE AND SITE OF PHYSEAL FRACTURES • ZONE OF CALCIFICATION  MINERALISATION OF CHONDROID MATRIX  INFILTRATION BY METAPHYSEAL BLOOD VESSELS
  • 7.
  • 8.
    AETIOPATHOGENESIS OF PHYSEALINJURIES • AETIOLOGY –  RTI  FALLS  SPORTS  PLAYGROUND ACTIVITIES • BIOMECHANICS  COMPRESSION  SHEAR  TENSION • FRACTURE CONFIGURATION USUALLY TRANSVERSE
  • 9.
    CLASSIFICATION • SALTER-HARRIS(1963) – MOST WIDELY USED: ▫ TYPE 1: TRANVERSE FRACTURE IN HYPERTROPHIC ZONE ▫ TYPE 2: ABOVE FRACTURE VEERING OFF INTO METAPHYSIS TO INCLUDE A TRIANGULAR CHIP OF BONE ▫ TYPE 3: FRACTURE SPLITS EPIPHYSIS AND RUNS TRANVERSELY IN HYPERTROPHIC ZONE ▫ TYPE 4: FRACTURE RUNS LONGITUDINALLY SPLITTING EPIPHYSIS, PHYSIS & METAPHYSIS ▫ TYPE 5: LONGITUDINAL COMPRESSION INJURY • TYPE 6 ADDED IN 1969 – INJURY TO PERICHONDRAL RING • COMMONEST IS TYPE 2 (75% OF PHYSEAL INJURIES) • TYPE 5 IS RARE, MAY BE ASSOCIATED WITH DIAPHYSEAL FRACTURE • TYPES 3 – 6 HAVE HIGH RISK OF GROWTH ARREST
  • 10.
  • 11.
    MANAGEMENT • HISTORY ▫ PAIN/SWELLING AROUND THE CONTIGUOUS JOINT ▫ UPPER LIMB – FUNCTION LIMITED BY PAIN ▫ LOWER LIMB – INABILITY TO BEAR WEIGHT ON AFFECTED LIMB ▫ PRECEEDING TRAUMATIC EVENT • EXAMINATION ▫ SWELLING ▫ DEFORMITY +/- (MINIMAL IF PRESENT) ▫ FOCAL TENDERNESS OVER PHYSIS ▫ LIMITED ROM
  • 12.
    INVESTIGATION •X-RAYS WIDENING OF PHYSEAL GAP  JOINT INCONGRUITY  TILTING OF EPIPHYSIS  PRESENCE OF DISPLACEMENT MAKES DIAGNOSIS MORE OBVIOUS  TYPES 5 & 6 INJURIES ARE USUALLY DIAGNOSED RETROSPECTIVELY
  • 13.
    X-RAY FINDINGS INPHYSEAL INJURY – NORMAL PHYSIS
  • 14.
  • 15.
  • 16.
  • 17.
  • 18.
  • 19.
    INVESTIGATION • CT  TO VISUALISE FRACTURE ANATOMY IN SEVERELY COMMINUTED FRACTURES OF EPIPHYSIS AND METAPHYSIS • MRI  MOST ACCURATE FOR FRACTURE ANATOMY IF DONE IN ACUTE PERIOD  IDENTIFIES FORMATION OF BONY BRIDGE EARLIER THAN X-RAYS
  • 20.
    TREATMENT • DEPENDSON THE FOLLOWING FACTORS  TYPE OF INJURY  AGE OF PATIENT  FRACTURE STABILITY • FOR TYPES 1 & 2  CLOSED REDUCTION AND IMMOBILIZATION IN CAST WILL USUALLY SUFFICE  CHECK X-RAY IN 7 – 10 DAYS • FOR TYPES 3 & 4  REQUIRE ANATOMICAL REALIGNMENT VIA ORIF  ORIF CAN BE WITH LAG SCREWS OR KIRSCHNER WIRES RUNNING PARALLEL TO PHYSIS • FOR TYPES 5 & 6  USUALLY DIAGNOSED RETROSPECTIVELY HOWEVER HIGH INDEX OF SUSPICION MUST BE MAINTAINED IN HIGH RISK INJURIES
  • 23.
    COMPLICATIONS • GROWTHARREST  OCCURS BY DISRUPTION OF PHYSEAL BLOOD SUPPLY OR BONE BRIDGE FORMATION  MAY BE PARTIAL OR COMPLETE • GROWTH ACCELERATION • SECONDARY OSTEOARTHRITIS
  • 24.
    FOLLOW-UP/REHABILITATION • TYPES1 & 2 FRACTURES ARE IMMOBILIZED FOR 3 – 6 WEEKS • TYPES 3 & 4 FRACTURES ARE IMMOBILIZED FOR 4 – 8 WEEKS • PATIENT RESUMES UNRESTRICTED PHYSICAL ACTIVITIES 4 – 6 WEEKS FOLLOWING REMOVAL OF IMPLANTS FOR FRACTURES THAT REQUIRED OPERATIVE FIXATION
  • 25.
    FOLLOW-UP/REHABILITATION • FOLLOW-UPCHECK XRAYS ARE DONE AT 6 MONTHS AND 12 MONTHS POST INJURY AND MAY BE EXTENDED UP TO 2 YEARS AS GROWTH ARREST MAY BE DELAYED FOR THAT LONG
  • 26.
    PROGNOSIS • AGEOF PATIENT AT TIME OF INJURY • TYPE OF INJURY • EXTENT OF CHONDRO-OSSEOUS DISRUPTION
  • 27.
    CURRENT TRENDS •GROWTH PLATE INTERPOSITION  FAT  BONE WAX  SILICON RUBBER  POLYMETHYLMETHACRYLATE  LABORATORY-DERIVED CHONDROCYTE ALLOGRAFT • GENE THERAPY & TISSUE ENGINEERING  USE OF RETROVIRUSES TO INTRODUCE GENES CODING BMP-7 INTO RABBIT PERIOSTEAL MESENCHYMAL CELLS
  • 28.
    CONCLUSION PHYSEAL INJURIESMAY NOT BE READILY OBVIOUS IN CHILDREN PRESENTING WITH PERIARTICULAR TRAUMA; A HIGH INDEX OF SUSPICION DURING EVALUATION, TREATMENT AND FOLLOW-UP OF SUCH PATIENTS IS OF THE ESSENCE TO FORESTALL FUTURE COMPLICATION.
  • 29.
  • 30.
    REFERENCES • NayagamS. Principles of Fractures. In: Solomon L, Warwick D, Nayagam S. Apley’s System of Orthopaedics & Fractures. 9th ed. Hodder Arnold;2010: 727 – 730. • Mann DC, Rajmaira S. Distribution of physeal and non-physeal fractures in 2,650 long-bone fractures in children aged 0-16 years. J Pediatr Orthop. Nov-Dec 1990;10(6):713-6. • Neer CS, Horowitz BS. Fractures of the proximal humeral epiphyseal plate. Clin Orthop Rel Res. 1965;41:24-31. • http://emedicine.medscape.com/article/1260663-overview • http://www.wheelessonline.com/ortho/growth_plate_anatomy • http://www.orthobullets.com/pediatrics/4002/physeal-considerations