The Boot-shaped Heart Sign
Thorsang Chayovan
Outline
• Overview of the
boot-shaped heart
sign
• Tetralogy of Fallot
– Overview
– Radiology
– Prognosis and
Treatment
Haider, Ehsan A. "The Boot-shaped Heart Sign." Radiology.rsna.org. RSNA, 1 Jan. 2008. Web. 23 July 2012.
<http://radiology.rsna.org/content/246/1/328.full>.
The Boot-shaped Heart Sign
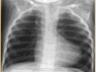
• Frontal chest
radiograph
• The shape of a
wooden boot
• Tetralogy of Fallot
Haider, Ehsan A. "The Boot-shaped Heart Sign." Radiology.rsna.org. RSNA, 1 Jan. 2008. Web. 23 July 2012.
<http://radiology.rsna.org/content/246/1/328.full>.
Haider, Ehsan A. "The Boot-shaped Heart Sign." Radiology.rsna.org. RSNA, 1 Jan. 2008. Web. 23 July 2012.
<http://radiology.rsna.org/content/246/1/328.full>.
Haider, Ehsan A. "The Boot-shaped Heart Sign." Radiology.rsna.org. RSNA, 1 Jan. 2008. Web. 23 July 2012.
<http://radiology.rsna.org/content/246/1/328.full>.
Tetralogy of Fallot
• One of the most common cyanotic congenital
heart conditions (75%)
• Accounts for 10% of all congenital heart
diseases
• Has estimated prevalence of 1 in 2,000 birth
Congenital Heart Diseases
Congenital
Heart Diseases
Acyanotic Cyanotic
Congenital Heart Diseases
Acyanotic
• Simple and single lesion
• Mechanism
– Left-to-right shunt
– Obstructive lesion
Cyanotic
• Multiple and probable
complex lesions
• Capillary reduced
hemoglobin > 5 gm%
(Oxygen saturation < 85%)
• Mechanism
– Right-to-left shunt
– Common mixing
– Parallel circulations
Tetralogy of Fallot
• Eccentric septation of the truncus arteriosus
• Conotruncal septum is displaced anteriorly
– The infundibular septum fails to fuse with the top of
the interventricular septum  high VSD
– The anterior part of aortic valve (superior border of
the VSD) overrides the ventricular septum 
overiding aorta
– The right ventricular outflow tract obstruction or
Pulmonary stenosis
– Right ventricular hypertrophy—right ventricle at
systemic pressure—later in life
Embryogenesis of the heart
Witmer, Lawrence M. "Developmental Anatomy of the Heart and the Embryological Basis for Cardiac Defects." Ohio University, Athens.23 July 2012. Lecture.
Tetralogy of Fallot
• Obstruction of the
right ventricular
outflow tract
• High VSD
• Overriding aorta
• Right ventricle
hypertrophy
+ Atrial septal defect 
Pentalogy of
Fallot
Cukukoglu, Sardar M. "Cyanotic Diseases." Escardio.org. N.p., 2010.
Web. 23 July 2012.
<http://www.escardio.org/congresses/euroecho2010/Documents/teach
ing-course-slides/euroecho2010-cyaotic-disease-Kucukoglu-591.pdf>.
Tetralogy of Fallot
• Cyanosis
– Severe cases ↔ at birth ↔ severe PS
– Mild cases ↔ much later ↔ mild PS
• Squatting
• Dyspnea
• Failure to thrive
Tetralogy of Fallot
• Degree of pulmonary stenosis determines the
clinical picture
– If mild, the clinical picture of VSD is shown instead
– However the muscular element of pulmonary
stenosis is nearly always progressive
– Eventually reversing the left to right shunt to be
permanently right to left before the first birthday
Radiology in Tetralogy of Fallot
• The Boot-shaped
Heart sign
“coeur en sabot”
– The UPPER part of the
Boot: flat / concave
pulmonary trunk
– The TOE--upward
pointing cardiac apex:
concentric right
ventricular
hypertrophy
Accentuated by large lung volume,
small thymus, and lordotic
projection
Radiology in Tetralogy of Fallot
• Heart size
– The heart is usually not enlarged at birth
Unless there is a large left-to-right shunt
– Could be enlarged in later life from biventricular
hypoxic failure
• Pulmonary vasculature—decreased
• Aortic arch
– Always enlarged
– 25% has right-sided aortic arch
• might be associated with absent left pulmonary artery
• resulting in less pulmonary vasculature in the left lung
Upturned cardiac apex sign
• Concentric right ventricular hypertrophy
• However not seen in severe pulmonic stenosis
with intact interventricular septum
(RV systolic pressure >>> systemic systolic pressure)
• Maybe related to right ventricular hypertrophy
with altered development of the left ventricle
and abnormal horizontal ventricular septum
• Only encountered in congenital heart lesions and
not in acquired right ventricular hypertrophy
Gallard, Frank. "Tetralogy of Fallot." Radiopaedia.org. N.p., 5 Jan. 2010. Web. 23 July 2012. <http://radiopaedia.org/images/156636>.
"Cyanotic Heart Diseases." Learningradiology.com. N.p., n.d. Web. 23 July 2012. <www.learningradiology.com/.../cyanoticheartdz.pdf>.
MRI
• Exquisite anatomical and functional information
• Detailed assessment of the pulmonary artery is
particularly important
– Repair of the cardiac defects without addressing
pulmonary artery hypoplasia / stenosis has a poor
outcome
• The main pulmonary artery or right pulmonary
artery/ascending aorta < 0.3
– Primary repair would be unsuccessful
– Bridging shunt operation may be of benefit
• Assessment of coronary artery origin
– essential to surgical planning
Prognosis
• Depends on timing
• Best outcome seen in patients repaired before
the age of 5
• 90% of untreated tetralogy patients succumb
by the age of 10 years
• Residual right ventricular dysfunction is
common
– Up to 10% of patients require re-operation within
20 years
Treatment
• Primary repair
– Preferred
–usually performed at the time of diagnosis
• Palliative shunt
– typically in pulmonary arterial hypoplasia
• Post-surgical complications
– conduction dysfunction
– valvular dysfunction
Reference
• Haider, Ehsan A. "The Boot-shaped Heart Sign." Radiology.rsna.org. RSNA,
1 Jan. 2008. Web. 23 July 2012.
<http://radiology.rsna.org/content/246/1/328.full>.
• Grainger, Ronald G. Grainger & Alison's Diagnostic Radiology. 4th ed. Vol.
1. N.p.: Churchill Livingstone, 2003. Print.
• Cukukoglu, Sardar M. "Cyanotic Diseases." Escardio.org. N.p., 2010. Web.
23 July 2012.
<http://www.escardio.org/congresses/euroecho2010/Documents/teachin
g-course-slides/euroecho2010-cyaotic-disease-Kucukoglu-591.pdf>.
• Gallard, Frank. "Tetralogy of Fallot." Radiopaedia.org. N.p., 5 Jan. 2010.
Web. 23 July 2012. <http://radiopaedia.org/images/156636>.
• "Cyanotic Heart Diseases." Learningradiology.com. N.p., n.d. Web. 23 July
2012. <www.learningradiology.com/.../cyanoticheartdz.pdf>.
• Witmer, Lawrence M. "Developmental Anatomy of the Heart and the
Embryological Basis for Cardiac Defects." Ohio University, Athens. 23 July
2012. Lecture.

The boot shaped heart sign

  • 1.
    The Boot-shaped HeartSign Thorsang Chayovan
  • 2.
    Outline • Overview ofthe boot-shaped heart sign • Tetralogy of Fallot – Overview – Radiology – Prognosis and Treatment Haider, Ehsan A. "The Boot-shaped Heart Sign." Radiology.rsna.org. RSNA, 1 Jan. 2008. Web. 23 July 2012. <http://radiology.rsna.org/content/246/1/328.full>.
  • 3.
    The Boot-shaped HeartSign • Frontal chest radiograph • The shape of a wooden boot • Tetralogy of Fallot Haider, Ehsan A. "The Boot-shaped Heart Sign." Radiology.rsna.org. RSNA, 1 Jan. 2008. Web. 23 July 2012. <http://radiology.rsna.org/content/246/1/328.full>.
  • 4.
    Haider, Ehsan A."The Boot-shaped Heart Sign." Radiology.rsna.org. RSNA, 1 Jan. 2008. Web. 23 July 2012. <http://radiology.rsna.org/content/246/1/328.full>. Haider, Ehsan A. "The Boot-shaped Heart Sign." Radiology.rsna.org. RSNA, 1 Jan. 2008. Web. 23 July 2012. <http://radiology.rsna.org/content/246/1/328.full>.
  • 5.
    Tetralogy of Fallot •One of the most common cyanotic congenital heart conditions (75%) • Accounts for 10% of all congenital heart diseases • Has estimated prevalence of 1 in 2,000 birth
  • 6.
    Congenital Heart Diseases Congenital HeartDiseases Acyanotic Cyanotic
  • 7.
    Congenital Heart Diseases Acyanotic •Simple and single lesion • Mechanism – Left-to-right shunt – Obstructive lesion Cyanotic • Multiple and probable complex lesions • Capillary reduced hemoglobin > 5 gm% (Oxygen saturation < 85%) • Mechanism – Right-to-left shunt – Common mixing – Parallel circulations
  • 8.
    Tetralogy of Fallot •Eccentric septation of the truncus arteriosus • Conotruncal septum is displaced anteriorly – The infundibular septum fails to fuse with the top of the interventricular septum  high VSD – The anterior part of aortic valve (superior border of the VSD) overrides the ventricular septum  overiding aorta – The right ventricular outflow tract obstruction or Pulmonary stenosis – Right ventricular hypertrophy—right ventricle at systemic pressure—later in life
  • 9.
    Embryogenesis of theheart Witmer, Lawrence M. "Developmental Anatomy of the Heart and the Embryological Basis for Cardiac Defects." Ohio University, Athens.23 July 2012. Lecture.
  • 10.
    Tetralogy of Fallot •Obstruction of the right ventricular outflow tract • High VSD • Overriding aorta • Right ventricle hypertrophy + Atrial septal defect  Pentalogy of Fallot Cukukoglu, Sardar M. "Cyanotic Diseases." Escardio.org. N.p., 2010. Web. 23 July 2012. <http://www.escardio.org/congresses/euroecho2010/Documents/teach ing-course-slides/euroecho2010-cyaotic-disease-Kucukoglu-591.pdf>.
  • 11.
    Tetralogy of Fallot •Cyanosis – Severe cases ↔ at birth ↔ severe PS – Mild cases ↔ much later ↔ mild PS • Squatting • Dyspnea • Failure to thrive
  • 12.
    Tetralogy of Fallot •Degree of pulmonary stenosis determines the clinical picture – If mild, the clinical picture of VSD is shown instead – However the muscular element of pulmonary stenosis is nearly always progressive – Eventually reversing the left to right shunt to be permanently right to left before the first birthday
  • 13.
    Radiology in Tetralogyof Fallot • The Boot-shaped Heart sign “coeur en sabot” – The UPPER part of the Boot: flat / concave pulmonary trunk – The TOE--upward pointing cardiac apex: concentric right ventricular hypertrophy Accentuated by large lung volume, small thymus, and lordotic projection
  • 14.
    Radiology in Tetralogyof Fallot • Heart size – The heart is usually not enlarged at birth Unless there is a large left-to-right shunt – Could be enlarged in later life from biventricular hypoxic failure • Pulmonary vasculature—decreased • Aortic arch – Always enlarged – 25% has right-sided aortic arch • might be associated with absent left pulmonary artery • resulting in less pulmonary vasculature in the left lung
  • 15.
    Upturned cardiac apexsign • Concentric right ventricular hypertrophy • However not seen in severe pulmonic stenosis with intact interventricular septum (RV systolic pressure >>> systemic systolic pressure) • Maybe related to right ventricular hypertrophy with altered development of the left ventricle and abnormal horizontal ventricular septum • Only encountered in congenital heart lesions and not in acquired right ventricular hypertrophy
  • 16.
    Gallard, Frank. "Tetralogyof Fallot." Radiopaedia.org. N.p., 5 Jan. 2010. Web. 23 July 2012. <http://radiopaedia.org/images/156636>.
  • 17.
    "Cyanotic Heart Diseases."Learningradiology.com. N.p., n.d. Web. 23 July 2012. <www.learningradiology.com/.../cyanoticheartdz.pdf>.
  • 18.
    MRI • Exquisite anatomicaland functional information • Detailed assessment of the pulmonary artery is particularly important – Repair of the cardiac defects without addressing pulmonary artery hypoplasia / stenosis has a poor outcome • The main pulmonary artery or right pulmonary artery/ascending aorta < 0.3 – Primary repair would be unsuccessful – Bridging shunt operation may be of benefit • Assessment of coronary artery origin – essential to surgical planning
  • 19.
    Prognosis • Depends ontiming • Best outcome seen in patients repaired before the age of 5 • 90% of untreated tetralogy patients succumb by the age of 10 years • Residual right ventricular dysfunction is common – Up to 10% of patients require re-operation within 20 years
  • 20.
    Treatment • Primary repair –Preferred –usually performed at the time of diagnosis • Palliative shunt – typically in pulmonary arterial hypoplasia • Post-surgical complications – conduction dysfunction – valvular dysfunction
  • 21.
    Reference • Haider, EhsanA. "The Boot-shaped Heart Sign." Radiology.rsna.org. RSNA, 1 Jan. 2008. Web. 23 July 2012. <http://radiology.rsna.org/content/246/1/328.full>. • Grainger, Ronald G. Grainger & Alison's Diagnostic Radiology. 4th ed. Vol. 1. N.p.: Churchill Livingstone, 2003. Print. • Cukukoglu, Sardar M. "Cyanotic Diseases." Escardio.org. N.p., 2010. Web. 23 July 2012. <http://www.escardio.org/congresses/euroecho2010/Documents/teachin g-course-slides/euroecho2010-cyaotic-disease-Kucukoglu-591.pdf>. • Gallard, Frank. "Tetralogy of Fallot." Radiopaedia.org. N.p., 5 Jan. 2010. Web. 23 July 2012. <http://radiopaedia.org/images/156636>. • "Cyanotic Heart Diseases." Learningradiology.com. N.p., n.d. Web. 23 July 2012. <www.learningradiology.com/.../cyanoticheartdz.pdf>. • Witmer, Lawrence M. "Developmental Anatomy of the Heart and the Embryological Basis for Cardiac Defects." Ohio University, Athens. 23 July 2012. Lecture.