Miliary TB
Dr. Mahesh Chaudhary
Phase: A (March 2014)
Radiology & Imaging, BSMMU
General Considerations
• Widespread hematogenous dissemination of Mycobacterium tuberculosis
• Nodules are the size of millet seeds (1-4mm, mean 2mm)
• Miliary TB represents only 1-3% of all cases of tuberculosis
• Up to 50% of cases are undiagnosed ante mortem
• Extreme of ages, Immuno-compromised are more susceptible
• Under age 5, there is an increased risk of meningitis
• Seen both in primary and post-primary tuberculosis
• When treated, clearing is frequently rapid
Risk Factors
• Age – Child & Elderly
• Immunosuppression
• Cancer
• Transplantation
• HIV
• Malnutrition
• Diabetes
• Silicosis
• End-stage renal disease
Pathophysiology of Miliary TB
• Tuberculous infection in the lungs results in erosion of
the epithelial layer of alveolar cells and the spread of
infection into a pulmonary vein
• Bacteria reach the left side of the heart and enter the
systemic circulation, they may multiply and infect extra
pulmonary organs
• Once infected, the cell mediated immune response is
activated. The infected sites become surrounded by
macrophages which form granuloma, giving the typical
appearance of miliary tuberculosis
Clinical Findings
• Onset is insidious
• Patients may not be acutely ill
• Symptoms include
 Weakness and fatigue (90%)
 Fever and weight loss (80%)
 Chills, night sweats are common
 Cough, Hemoptysis
 Anorexia
• Hepatomegaly and lymphadenopathy are common
Lab Studies for Miliary TB
• CBC - Leukopenia/leukocytosis
• ESR - elevated in approximately 50% of patients
• Lumbar puncture - strongly considered
Lymphocytic predominance (70%)
Elevated protein levels (90%)
Low glucose levels (90%)
Acid-fast bacilli (≥40%)
• Cultures for mycobacteria
• PCR
Imaging Findings
• Takes weeks between the time of dissemination and the
radiographic appearance
• Up to 30-50% have a normal chest radiograph
• When first visible, they measure about 1 mm in size; they can
grow to 3-5mm if left untreated
• Produces innumerable, non-calcified nodules
• HRCT scans are more sensitive at demonstrating small nodules
• Bilateral, diffuse, random distribution
• May be associated with intra- and interlobular septal thickening
Chest X-Ray
• Typical appearance only in 50% of cases
• Bilateral pleural effusions indicate dissemination.
This may be a useful clue.
• Nodules characteristic of miliary TB may be better
visualized on lateral chest radiography (especially
in the retrocardiac space).
• Nodules are the size of millet seeds (1-5mm,
mean=2mm)
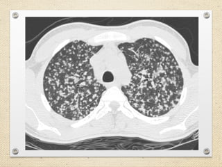
Chest CT scanning
• Chest CT scanning has higher sensitivity and
specificity than chest radiography in displaying well-
defined randomly distributed nodules.
• High-resolution CT scanning with 1-mm cuts may
be even better. It is useful in the presence of
suggestive and inconclusive chest radiography
findings.
USG
• Ultrasonography may reveal
 Diffuse liver disease
 Hepatomegaly
 Splenomegaly
 Para-aortic lymph nodes
 Minimum pleural effusion
Differential Diagnosis
Treatment
• Four-drug regimen to start
 Isoniazid
 Rifampin
 Pyrazinamide
 Ethambutol or streptomycin
• Treatment may continue for 6-9 months
• 9-12 months with meningeal involvement
Complications
• Dissemination via bloodstream to
 Prostate
 Seminal vesicles
 Epididymis
 Fallopian tubes
 Endometrium
 Meninges
 Lymph nodes
 Liver
 Spleen
 Skeleton
 Kidneys
 Adrenals
Prognosis
• If not treated, almost 100% fatal
• With treatment, less than 10% mortality
• Early treatment for suspected TB has been shown to
improve outcome
• The relapse rate is 0-4% with adequate therapy
• Most relapses occur during the first 24 months after
completion of therapy
References
• D. Sutton Text book of Radiology & Imaging 7th
Ed
• Haaga CT & MRI of Whole body 5th
Ed
• Davidson’s Internal Medicine 22nd
Ed
• Medscape
• Pubmed Journals
• Radiopedia.org
• LearningRadiology.com

Miliary Tuberculosis (dr. mahesh)

  • 1.
    Miliary TB Dr. MaheshChaudhary Phase: A (March 2014) Radiology & Imaging, BSMMU
  • 2.
    General Considerations • Widespreadhematogenous dissemination of Mycobacterium tuberculosis • Nodules are the size of millet seeds (1-4mm, mean 2mm) • Miliary TB represents only 1-3% of all cases of tuberculosis • Up to 50% of cases are undiagnosed ante mortem • Extreme of ages, Immuno-compromised are more susceptible • Under age 5, there is an increased risk of meningitis • Seen both in primary and post-primary tuberculosis • When treated, clearing is frequently rapid
  • 3.
    Risk Factors • Age– Child & Elderly • Immunosuppression • Cancer • Transplantation • HIV • Malnutrition • Diabetes • Silicosis • End-stage renal disease
  • 4.
    Pathophysiology of MiliaryTB • Tuberculous infection in the lungs results in erosion of the epithelial layer of alveolar cells and the spread of infection into a pulmonary vein • Bacteria reach the left side of the heart and enter the systemic circulation, they may multiply and infect extra pulmonary organs • Once infected, the cell mediated immune response is activated. The infected sites become surrounded by macrophages which form granuloma, giving the typical appearance of miliary tuberculosis
  • 5.
    Clinical Findings • Onsetis insidious • Patients may not be acutely ill • Symptoms include  Weakness and fatigue (90%)  Fever and weight loss (80%)  Chills, night sweats are common  Cough, Hemoptysis  Anorexia • Hepatomegaly and lymphadenopathy are common
  • 6.
    Lab Studies forMiliary TB • CBC - Leukopenia/leukocytosis • ESR - elevated in approximately 50% of patients • Lumbar puncture - strongly considered Lymphocytic predominance (70%) Elevated protein levels (90%) Low glucose levels (90%) Acid-fast bacilli (≥40%) • Cultures for mycobacteria • PCR
  • 7.
    Imaging Findings • Takesweeks between the time of dissemination and the radiographic appearance • Up to 30-50% have a normal chest radiograph • When first visible, they measure about 1 mm in size; they can grow to 3-5mm if left untreated • Produces innumerable, non-calcified nodules • HRCT scans are more sensitive at demonstrating small nodules • Bilateral, diffuse, random distribution • May be associated with intra- and interlobular septal thickening
  • 8.
    Chest X-Ray • Typicalappearance only in 50% of cases • Bilateral pleural effusions indicate dissemination. This may be a useful clue. • Nodules characteristic of miliary TB may be better visualized on lateral chest radiography (especially in the retrocardiac space). • Nodules are the size of millet seeds (1-5mm, mean=2mm)
  • 10.
    Chest CT scanning •Chest CT scanning has higher sensitivity and specificity than chest radiography in displaying well- defined randomly distributed nodules. • High-resolution CT scanning with 1-mm cuts may be even better. It is useful in the presence of suggestive and inconclusive chest radiography findings.
  • 12.
    USG • Ultrasonography mayreveal  Diffuse liver disease  Hepatomegaly  Splenomegaly  Para-aortic lymph nodes  Minimum pleural effusion
  • 13.
  • 14.
    Treatment • Four-drug regimento start  Isoniazid  Rifampin  Pyrazinamide  Ethambutol or streptomycin • Treatment may continue for 6-9 months • 9-12 months with meningeal involvement
  • 15.
    Complications • Dissemination viabloodstream to  Prostate  Seminal vesicles  Epididymis  Fallopian tubes  Endometrium  Meninges  Lymph nodes  Liver  Spleen  Skeleton  Kidneys  Adrenals
  • 16.
    Prognosis • If nottreated, almost 100% fatal • With treatment, less than 10% mortality • Early treatment for suspected TB has been shown to improve outcome • The relapse rate is 0-4% with adequate therapy • Most relapses occur during the first 24 months after completion of therapy
  • 17.
    References • D. SuttonText book of Radiology & Imaging 7th Ed • Haaga CT & MRI of Whole body 5th Ed • Davidson’s Internal Medicine 22nd Ed • Medscape • Pubmed Journals • Radiopedia.org • LearningRadiology.com

Editor's Notes

  • #8 Calcification in TB 3 Funny Names Ghon lesion=calcified granuloma Ranke complex=Ghon lesion+calcified lymph node Simon focus=healed site of 1°infection at lung apex